Sign in to use this feature.

Years

Between: -

Subjects

remove_circle_outline
remove_circle_outline
remove_circle_outline
remove_circle_outline
remove_circle_outline
remove_circle_outline
remove_circle_outline
remove_circle_outline
remove_circle_outline

Journals

remove_circle_outline
remove_circle_outline
remove_circle_outline
remove_circle_outline
remove_circle_outline
remove_circle_outline
remove_circle_outline
remove_circle_outline
remove_circle_outline
remove_circle_outline
remove_circle_outline
remove_circle_outline
remove_circle_outline

Article Types

Countries / Regions

remove_circle_outline
remove_circle_outline
remove_circle_outline
remove_circle_outline

Search Results (255)

Search Parameters:
Keywords = cryotherapy

Order results
Result details
Results per page
Select all
Export citation of selected articles as:
7 pages, 2552 KB  
Case Report
A Case of Recurrent Chromoblastomycosis Treated with Multiple Surgical Management Options
by Madeleine Kelly, Crystal Williams and Robert Miller
Dermatopathology 2026, 13(1), 10; https://doi.org/10.3390/dermatopathology13010010 - 18 Mar 2026
Viewed by 80
Abstract
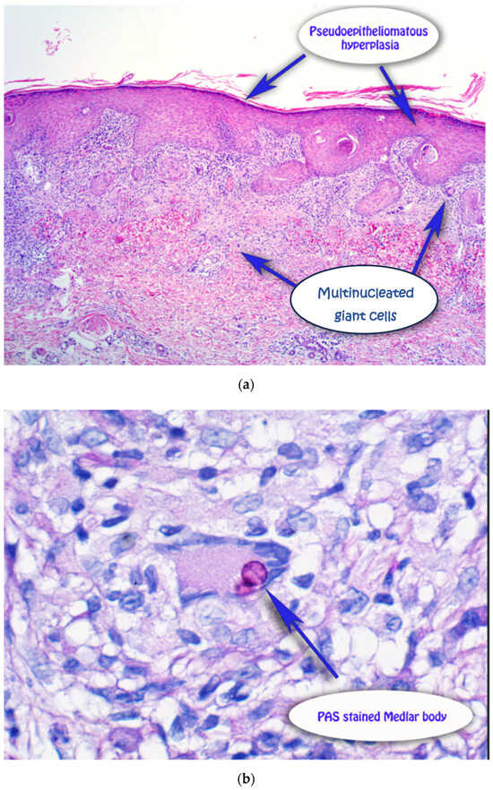
Chromoblastomycosis is a chronic mycosis of the skin and subcutaneous tissue typically caused by traumatic inoculation of dematiaceous fungi of the Herpotrichiellaceae. A 59-year-old male presented with a 12-month history of an asymmetrical, scaly plaque on the left forearm that has been [...] Read more.
Chromoblastomycosis is a chronic mycosis of the skin and subcutaneous tissue typically caused by traumatic inoculation of dematiaceous fungi of the Herpotrichiellaceae. A 59-year-old male presented with a 12-month history of an asymmetrical, scaly plaque on the left forearm that has been slowly increasing in size. Past medical history included atrial fibrillation on apixaban, hypertension and a cardiac stent. A 4 mm punch biopsy of the left forearm revealed superficial dermal fibrosis with mild pseudoepitheliomatous hyperplasia and granulomatous inflammation with scattered multinucleate histiocytes. There were giant cells with dark brown, somewhat round, yeast-like structures, some with internal septation exhibiting moderate staining for PAS, compatible with Medlar bodies suggestive of chromoblastomycosis. The patient was on rosuvastatin, rendering itraconazole not a possible treatment option, and instead the patient underwent curettage and cautery with two bouts of cryotherapy freeze and thaw cycles. A twelve-month follow-up noted a crusted area on the distal aspect of the scar. A shave biopsy of this area revealed pigmented organisms suggesting a recurrence of chromoblastomycosis. A further excisional biopsy was performed, with no evidence of chromoblastomycosis. This case highlights multiple surgical options for the management of chromoblastomycosis in patients where medical management is contraindicated. It highlights the therapeutic challenge of this disease due to frequent recurrence of lesions and that repeat biopsy may be efficacious in monitoring for recurrence. Full article
Show Figures

Figure 1

13 pages, 1576 KB  
Article
Differential Cytokine Profiles in Prostate Cancer Under Treatment: Implications for Prognosis and Synergistic Therapy Design
by Aaron E. Katz, Maryann Johnson, Lora J. Kasselman, Saba Ahmed, Ankita Srivastava, David J. Grossfeld, Heather A. Renna, Kathleen Li and Allison B. Reiss
Cancers 2026, 18(6), 967; https://doi.org/10.3390/cancers18060967 - 17 Mar 2026
Viewed by 103
Abstract
Background/Objectives: Localized prostate cancer may be treated with total cryotherapy, focal cryotherapy, stereotactic body radiotherapy (SBRT), or radical prostatectomy (RP). However, the immune response to these therapies is not fully understood despite its potential importance in determining extent and timing of recovery, [...] Read more.
Background/Objectives: Localized prostate cancer may be treated with total cryotherapy, focal cryotherapy, stereotactic body radiotherapy (SBRT), or radical prostatectomy (RP). However, the immune response to these therapies is not fully understood despite its potential importance in determining extent and timing of recovery, disease control and cancer recurrence rate. This exploratory study measured cytokine expression changes in the urine and blood of prostate cancer patients as a means of monitoring immune response to these four alternative treatments. Methods: Urine and blood multiplex ELISA cytokine assays were performed in 37 men with histologically confirmed prostate adenocarcinoma before, 2 weeks after, and 3 months after therapy. Results: Treatment method alone significantly affected levels of plasma but not urine cytokines. Both plasma and urine showed significant changes across visit number and significant interactions between treatment and visit number for some cytokines. In plasma, SBRT was associated with the highest cytokine levels when compared to RP and cryotherapy. Urinary IL-8 levels increased over time following cryoablation, whereas they remained relatively stable across visits after SBRT and RP (β = 1.51, 95% CI [0.89–2.13], p < 0.001). Urinary IL-6 levels reached their highest point at visit three following both SBRT and cryoablation, whereas after RP, the peak occurred earlier at visit two (β = 0.07, 95%CI [0.04–0.11], p < 0.001). The pattern of plasma levels of IL-10 differed by time elapsed after treatment depending upon treatment group (β = −0.05, 95%CI [−0.08–−0.01], p = 0.005). Conclusions: These findings show that the prostate cancer treatment method employed may affect post-operative inflammatory mechanisms. This small study encourages expansion to determine the prognostic utility of urine and plasma cytokine expression patterns based on prostate cancer treatment and time elapsed following treatment. Understanding these changes may inform a personalized medicine approach to prostate cancer immunotherapies. Full article
(This article belongs to the Section Cancer Informatics and Big Data)
Show Figures

Figure 1

12 pages, 747 KB  
Article
Two-Week Recovery Strategies to Enhance Performance Readiness in Martial Arts Athletes: A Pilot Study
by Behnam Boobani, Juris Grants, Sergejs Saulite, Germans Jakubovskis, Anna Zusa, Edgars Bernans, Žermēna Vazne, Katrina Volgemute, Marta Stromberga and Artur Litwiniuk
Sports 2026, 14(2), 46; https://doi.org/10.3390/sports14020046 - 2 Feb 2026
Viewed by 565
Abstract
This study aimed to examine preliminary responses of two-week post-exercise recovery strategies on performance readiness in well-trained Taekwondo athletes. Fifteen athletes were randomly assigned to cryotherapy (partial-body cryotherapy followed by cold-water immersion; n = 5 per group), foam rolling (FR; n = 5 [...] Read more.
This study aimed to examine preliminary responses of two-week post-exercise recovery strategies on performance readiness in well-trained Taekwondo athletes. Fifteen athletes were randomly assigned to cryotherapy (partial-body cryotherapy followed by cold-water immersion; n = 5 per group), foam rolling (FR; n = 5 per group), and control (CON; n = 5 per group). The intervention lasted two weeks and consisted of post-exercise recovery strategies only. Performance and recovery outcomes were assessed using the Latvian Recovery–Stress Questionnaire (RESTQ), the determination test of the Vienna test (DT), the countermovement jump (CMJ), and isokinetic knee flexion and extension. Data were analyzed using mixed-design ANOVA. Significant time effects were observed for DT (F(1,12) = 5.91, p = 0.03, η2p = 0.33), CMJ (F(1,12) = 12.44, p = 0.004, η2p = 0.50), and knee extension (F(1,12) = 5.20, p = 0.04, η2p = 0.30). No changes were detected under the present conditions for RESTQ stress and recovery scores and knee flexion (p > 0.05). Overall, the findings indicate time-dependent changes in several performance outcomes, while differences between recovery conditions should be interpreted as exploratory, as no clear intervention-specific effects were demonstrated under the study conditions. Full article
Show Figures

Figure 1

14 pages, 1254 KB  
Article
Whole-Body Cryotherapy at −90 °C for 9 Weeks: Effects on Immune Function, Stress, and Immune-Related and Vascular Blood Parameters in Healthy Adults—Results of an Exploratory One-Armed Pilot Study
by Punito Michael Aisenpreis, Sibylle Aisenpreis, Manuel Feisst and Robert Schleip
J. Clin. Med. 2026, 15(3), 967; https://doi.org/10.3390/jcm15030967 - 25 Jan 2026
Viewed by 638
Abstract
Background/Objectives: Whole-body cryotherapy (WBC), a brief exposure to extreme cold (−90 °C), has been proposed to modulate immune, metabolic, and stress-related pathways. This exploratory one-armed pilot study investigated the effects of an 18-session WBC protocol on immune markers, body composition, and perceived [...] Read more.
Background/Objectives: Whole-body cryotherapy (WBC), a brief exposure to extreme cold (−90 °C), has been proposed to modulate immune, metabolic, and stress-related pathways. This exploratory one-armed pilot study investigated the effects of an 18-session WBC protocol on immune markers, body composition, and perceived stress in healthy adults. Methods: Nineteen participants (mean age 52.9 ± 9.8 years) completed 18 WBC sessions over 9 weeks (3–6 min each), followed by a 9-week follow-up. Assessments were performed at baseline (M1), post-intervention (M2), and follow-up (M3). Primary outcomes included immune parameters (lymphocytes, granulocytes, cytokines, soluble ACE2), body composition (waist circumference, water compartments, lean mass), and perceived stress (Trier Inventory for Chronic Stress, TICS). Results: Waist circumference decreased from 83.8 ± 5.7 cm (M1) to 80.2 ± 4.2 cm (M2) (p = 0.001; M1 vs. M2; p = 0.004). Total body water (p = 0.008), lean body mass (p = 0.008), intracellular water (p = 0.005), and extracellular water (p = 0.021) also showed time-dependent effects. Immune modulation included increased lymphocytes (25.6 ± 7.1% to 29.3 ± 8.3%, p = 0.012) and decreased granulocytes (63.5 ± 6.8% to 58.7 ± 7.9%, p = 0.011) at M2. Anti-inflammatory IL-10 (virus-stimulated) rose markedly (33.5 ± 29.3 to 63.5 ± 50.5 pg/mL, p < 0.001), while IFN-γ (virus-stimulated) increased over time (p = 0.031). Soluble ACE2 decreased at follow-up (0.5 ± 0.7 to 0.3 ± 0.4 ng/mL, p = 0.029). Perceived stress improved in several TICS domains, including Work Overload (p = 0.009) and Pressure to Succeed (p = 0.018). Conclusions: This pilot study demonstrates that repeated WBC at −90 °C induces measurable changes in immune regulation, body composition, and perceived stress. These findings support the feasibility and potential physiological relevance of WBC and providing effect-size estimates for future randomized controlled trials. Full article
(This article belongs to the Section Cardiology)
Show Figures

Figure 1

15 pages, 402 KB  
Article
Acute Effects of Three Recovery Interventions on Post-Practice Vertical Jump Force-Time Metrics in Female Basketball Players
by Dimitrije Cabarkapa, Damjana V. Cabarkapa, Dora Nagy, Richard Repasi, Tamas Laczko and Laszlo Ratgeber
J. Funct. Morphol. Kinesiol. 2026, 11(1), 44; https://doi.org/10.3390/jfmk11010044 - 21 Jan 2026
Viewed by 434
Abstract
Objectives: The purpose of the present study was to investigate the acute effects of cold-water immersion (CWI), cryotherapy (CRT), and intermittent pneumatic compression (IPC) on lower-body neuromuscular performance in female basketball players. Methods: Eighteen athletes volunteered to participate (body mass = [...] Read more.
Objectives: The purpose of the present study was to investigate the acute effects of cold-water immersion (CWI), cryotherapy (CRT), and intermittent pneumatic compression (IPC) on lower-body neuromuscular performance in female basketball players. Methods: Eighteen athletes volunteered to participate (body mass = 63.0 ± 7.2 kg; height = 171.4 ± 6.5 cm; age = 16.4 ± 1.2 years), completing testing at three time points: (i) pre-practice, (ii) post-practice, and (iii) 45–60 min following a randomly assigned recovery intervention. At each time point, athletes performed three countermovement vertical jumps on a dual force plate system sampling at 1000 Hz (VALD Performance). To standardize external load across groups, all players wore inertial measurement units (Kinexon). Results: The two-way repeated measures ANOVA showed no statistically significant interaction (p > 0.05) between the three testing time points and recovery modalities for any of the analyzed variables. However, a significant main effect of time was observed, with 13 of 20 force-time metrics (65%), including jump height, reactive strength index-modified, contraction time, and concentric peak and mean force, declining post-recovery compared with pre-practice values, regardless of the recovery intervention applied. External load measures (e.g., total distance, number of jumps) remained consistent across groups. Conclusions: Overall, these findings suggest that CWI, CRT, and IPC were no more effective than passive recovery (i.e., control group) in mitigating post-practice declines in lower-body force and power-producing capacities. Full article
(This article belongs to the Special Issue Physiological and Biomechanical Foundations of Strength Training)
Show Figures

Figure 1

20 pages, 3081 KB  
Article
Fractional-Order Bioimpedance Modelling for Early Detection of Tissue Freezing in Cryogenic and Thermal Medical Applications
by Noelia Vaquero-Gallardo, Herminio Martínez-García and Oliver Millán-Blasco
Sensors 2026, 26(2), 603; https://doi.org/10.3390/s26020603 - 15 Jan 2026
Viewed by 509
Abstract
Cryotherapy and radiofrequency (RF) treatments modulate tissue temperature to induce therapeutic effects; however, improper application can result in thermal injury. Traditional temperature-based monitoring methods rely on multiple thermal sensors whose accuracy strongly depends on their number and spatial positioning, often failing to detect [...] Read more.
Cryotherapy and radiofrequency (RF) treatments modulate tissue temperature to induce therapeutic effects; however, improper application can result in thermal injury. Traditional temperature-based monitoring methods rely on multiple thermal sensors whose accuracy strongly depends on their number and spatial positioning, often failing to detect early tissue crystallization. This study introduces a fractional order bioimpedance modelling framework for the early detection of tissue freezing during cryogenic and thermal medical treatments, with the feasibility and effectiveness of this approach having been reported in our prior publications. While bioimpedance spectroscopy itself is a well-est. The corresponablished technique in biomedical engineering, its novel application to predict and identify premature freezing events provides a new pathway for safe and efficient energy-based therapies. Fractional-order models derived from the Cole family accurately reproduce the complex electrical behavior of biological tissues using fewer parameters than classical integer-order models, thus reducing both hardware requirements and computational cost. Experimental impedance data from human abdominal, gluteal, and femoral regions were modelled to extract fractional parameters that serve as sensitive indicators of phase-transition onset. The results demonstrate that the proposed approach enables real-time identification of freezing-induced electrical transitions, offering a physiologically grounded alternative to conventional temperature-based monitoring. Furthermore, the fractional order bioimpedance method exhibits high reproducibility and selectivity, and its analytical figures of merit, including the limits of detection and quantification, support its use for reliable real-time tissue monitoring and early injury detection. Overall, the proposed fractional order bioimpedance framework enhances both safety and control precision in cryogenic and thermal medical applications. Full article
(This article belongs to the Special Issue Feature Papers in Biosensors Section 2025)
Show Figures

Figure 1

16 pages, 569 KB  
Article
A Nursing-Focused Quasi-Experimental Study on Compressive Cryotherapy for Postoperative Recovery in Knee Arthroscopy Patients
by Ibrahim Alasqah, Mona Metwally El-Sayed, Helalia Shalabi Mohamed Shalab and Mahmoud Abdelwahab Khedr
J. Clin. Med. 2026, 15(2), 586; https://doi.org/10.3390/jcm15020586 - 11 Jan 2026
Viewed by 595
Abstract
Background: Compressive cryotherapy, which combines cold therapy with compression, has gained attention to relieve pain and swelling after the Knee arthroscopy. However, there is still limited evidence specifically related to its use after knee arthroscopy. Objective: This study investigated the efficacy of compressive [...] Read more.
Background: Compressive cryotherapy, which combines cold therapy with compression, has gained attention to relieve pain and swelling after the Knee arthroscopy. However, there is still limited evidence specifically related to its use after knee arthroscopy. Objective: This study investigated the efficacy of compressive cryotherapy in decreasing postoperative pain and swelling in patients following knee arthroscopy. Methods: A quasi-experimental study was conducted at the Kasr Al-Ainy Hospital. Sixty patients scheduled for knee arthroscopy were divided into two groups. The intervention group (n = 30) received compressive cryotherapy using a cold-pack knee wrap set at 2 to 5 °C for 15 to 20 min, three times daily. The control group (n = 30) received standard postoperative care. Pain was assessed with the Numerical Rating Scale. Swelling was measured by assessing knee circumference at the mid-patella. Assessments occurred immediately after surgery (baseline), and on the first and second postoperative days. Non-parametric tests used in the analysis included the Chi-square test, the Mann–Whitney U test, the Friedman test, and the Wilcoxon signed-rank test with Bonferroni–Holm correction. Results: Patients in the compressive cryotherapy group experienced a greater reduction in pain than those in the control group. By the first postoperative day, none of the patients in the intervention group reported severe pain (p < 0.001). Knee circumference decreased significantly in the intervention group, from a median of 51.05 cm [IQR: 49.1–53.2] at baseline to 40.90 cm [39.8–42.1] by the second day. In comparison, the control group showed a smaller reduction, from 52.70 cm [50.8–54.5] to 48.55 cm [46.8–50.9]. Between-group differences in swelling were significant at the first postoperative assessment (U = 105.0, p < 0.001) and on day 2 (U = 62.5, p < 0.001). Overall, differences in both pain intensity and knee swelling between groups were statistically significant across all time points (p < 0.001). Conclusions: Compressive cryotherapy is an effective non-pharmacological intervention for reducing pain and swelling in the early postoperative period following knee arthroscopy. These results suggest that it could be a valuable addition to routine postoperative care, helping patients recover more comfortably and quickly. Full article
(This article belongs to the Section Orthopedics)
Show Figures

Figure 1

14 pages, 1046 KB  
Article
Effects of Cryotherapy and Thermotherapy Using an E-TEET on Pain, Stress, and Satisfaction Among Patients and Healthcare Providers During Intravenous Catheterization: A Randomized Controlled Trial
by Bosong Kim, Soukyoung Kim, Jihoo Her, Yu Jin Lee and Myung-Haeng Hur
Nurs. Rep. 2026, 16(1), 17; https://doi.org/10.3390/nursrep16010017 - 7 Jan 2026
Viewed by 453
Abstract
Background: Intravenous catheterization is a common nursing procedure, although it is invasive and may cause pain and stress. Non-pharmacological interventions such as cryotherapy and thermotherapy have been explored, but practical and effective options remain limited. Purpose: This study aimed to evaluate [...] Read more.
Background: Intravenous catheterization is a common nursing procedure, although it is invasive and may cause pain and stress. Non-pharmacological interventions such as cryotherapy and thermotherapy have been explored, but practical and effective options remain limited. Purpose: This study aimed to evaluate the effects of cryotherapy and thermotherapy using the Enhanced Thermoelectric Element Tourniquet (E-TEET) a device equipped with a temperature-controlled plate and wireless charging on pain, stress, and patient satisfaction during intravenous catheterization. Methods: A randomized controlled trial was conducted involving 128 adult inpatients scheduled for preoperative intravenous catheterization. Participants were randomly assigned to one of four groups: cryotherapy (n = 31), thermotherapy (n = 31), control (E-TEET without temperature, n = 33), or comparison (latex tourniquet, n = 33). Pain and stress levels were measured using- the Numeric Rating Scale (NRS), along with pulse rate and oxygen saturation. Post-procedure satisfaction was also evaluated. Results: No significant differences were observed among the groups in terms of pain, pulse rate, or oxygen saturation. However, the cryotherapy group exhibited significantly lower stress levels and higher satisfaction compared to the comparison group (p < 0.05). Furthermore, Healthcare provider Satisfaction was significantly higher in the cryotherapy group than in the control group (p < 0.05). Conclusions: Cryotherapy using the E-TEE Tourniquet effectively reduced stress and improved satisfaction during intravenous catheterization, supporting its use as a feasible non-pharmacological intervention. Further studies are needed to standardize intervention parameters and validate findings across populations. Full article
Show Figures

Figure 1

12 pages, 2827 KB  
Communication
Acute Cold Exposure Cell-Autonomously Reduces mTORC1 Signaling and Protein Synthesis Independent of AMPK
by Benjamin Y. Sung, Eliza J. Ford, Daniel J. Foster, Kyler J. Fullmer, Cosette Cromwell, Benoit Viollet and David M. Thomson
Cells 2026, 15(1), 65; https://doi.org/10.3390/cells15010065 - 30 Dec 2025
Viewed by 1989
Abstract
Cryotherapy is a commonly used strategy for skeletal muscle recovery, although the efficacy of its use has been controversial. Therefore, more research is needed to understand under what circumstances it should be used. This study aimed to examine the cell-autonomous effects of acute [...] Read more.
Cryotherapy is a commonly used strategy for skeletal muscle recovery, although the efficacy of its use has been controversial. Therefore, more research is needed to understand under what circumstances it should be used. This study aimed to examine the cell-autonomous effects of acute cold exposure on primary mouse myoblasts, focusing on metabolic signaling through the AMPK/mTORC1 pathway. In it, we hypothesized that cold exposure (COLD) would impair myoblast proliferation, differentiation, and protein synthesis in an AMPK-dependent manner. Wild-type (WT) and AMPK double-knockout (dKO) myoblast cultures were treated at 37 °C or 26 °C to evaluate AMPK-dependent effects. As expected, 30 min of cold exposure activated AMPK and decreased mTORC1 activity and protein synthesis; however, mTORC1 and protein synthesis were downregulated independently of AMPK activation. Additionally, cold exposure suppressed proliferation 6 h post-treatment in WT, but not dKO, myoblasts. On the other hand, in differentiated WT and dKO cells, cold treatment did not influence myotube size, although dKO myotubes exhibited decreased fusion index and increased size compared to WT. These findings offer new insights into the cell-autonomous metabolic effects of cryotherapy in skeletal muscle and indicate that while COLD-induced AMPK activation contributes to impaired myoblast proliferation, AMPK is not necessary for the COLD-induced inhibition of the mTORC1 pathway and protein synthesis. Full article
(This article belongs to the Special Issue AMPK: From Mechanisms to New Therapies)
Show Figures

Figure 1

17 pages, 7824 KB  
Review
Freeze the Disease: Advances the Therapy for Barrett’s Esophagus and Esophageal Adenocarcinoma
by Ted G. Xiao, Shree Atul Patel, Nishita Sunkara and Virendra Joshi
Cancers 2026, 18(1), 59; https://doi.org/10.3390/cancers18010059 - 24 Dec 2025
Viewed by 598
Abstract
Cryotherapy involves flash freezing of tissue and removing unwanted tissue. Mechanism of injury is causing cell membrane rupture by rapid multiple freeze–thaw cycles, while reserving tissue architecture and the collagen matrix. This promotes favorable wound healing. In recent years, it has gained increasing [...] Read more.
Cryotherapy involves flash freezing of tissue and removing unwanted tissue. Mechanism of injury is causing cell membrane rupture by rapid multiple freeze–thaw cycles, while reserving tissue architecture and the collagen matrix. This promotes favorable wound healing. In recent years, it has gained increasing attention as a treatment option for upper gastrointestinal diseases (Barrett’s Esophagus and early cancer). Currently, two FDA-approved delivery methods are available in the GI tract: Cryoballoon and spray cryotherapy, which will be discussed. In this review, we also propose to examine the expanding role of cryotherapy in gastrointestinal practice, drawing from both clinical studies and illustrative vignettes. In addition, we will highlight its established role in eradicating Barrett’s with low and high-grade dysplasia and compare its outcomes and safety profile with radiofrequency ablation (RFA). We will also discuss the application and safety of spray cryotherapy in the palliation of malignant esophageal strictures when compared with Esophageal stent placement. Cryotherapy may have immunological potential, and it may shrink both primary and metastatic diseases. Ongoing research in this field of Cryo-immunology will be highlighted. Beyond esophageal neoplasia, cryotherapy is increasingly utilized in other upper gastrointestinal precancerous conditions. Through this synthesis, our goal is to provide a timely and comprehensive overview of advancements in cryotherapy and its potential to reshape novel therapeutic approaches in upper gastrointestinal cancers. Finally, we highlight the evolution of a novel platform using nitrous oxide delivered by a handheld device, a contact balloon, and a small replaceable cartridge. This approach may make delivery of cryogen application favorable and a first-line approach in the management of Barrett’s esophagus and early cancer. In addition, Cryoballoon therapy for dysphagia palliation for malignant esophageal strictures may become a preferred approach as more data evolves. Full article
(This article belongs to the Special Issue New Insights in Esophageal Cancer Diagnosis and Treatment)
Show Figures

Figure 1

13 pages, 253 KB  
Article
The Effectiveness of Cryoflow Cooling on Forearm Skin Temperature and Nerve Conduction Velocity in Normal Subjects: A Case–Control Study
by Mohamed Salaheldien Alayat, Kadrya H. Battecha, Yazeed Saleh Jabr, Faisal Zagzoog, Baraa Hasaballah, Faisal Faleh Saud Alsulami, Matuq Abdullah Refaei and Osama Saleh Almehmadi
NeuroSci 2026, 7(1), 1; https://doi.org/10.3390/neurosci7010001 - 24 Dec 2025
Viewed by 1132
Abstract
Objectives: The aim of this study was to investigate the effectiveness of Cryoflow cooling on forearm skin temperature and nerve conduction velocity (NCV) in normal subjects. Methods: Thirty male volunteers participated in this study, with a mean age of 20.8 ± [...] Read more.
Objectives: The aim of this study was to investigate the effectiveness of Cryoflow cooling on forearm skin temperature and nerve conduction velocity (NCV) in normal subjects. Methods: Thirty male volunteers participated in this study, with a mean age of 20.8 ± 0.74 years. A Cryoflow hose with a nozzle was positioned approximately 10 cm from the forearm and scanned the anterior surface of the non-dominant forearm for 10 min, with temperatures adjusted to −10 °C. Participants’ average skin temperature was measured by using an infrared camera. Motor and sensory NCV for both the median and ulnar nerves were measured from both forearms. The dominant side served as a control side. The level of significance was set at p value ≤ 0.05. Results: Following treatment, the experimental group experienced a reduction in average skin temperature, dropping from 32.94 ± 1.11 °C to 16.92 ± 1.68 °C, while the control group showed no significant change. Both the median and ulnar nerves exhibited significant decreases in motor NCV (−10.37 m/s and −8.79 m/s, respectively), alongside slight increases in distal motor latency. Sensory NCV of the median and ulnar nerves decreased significantly (−5.20 m/s and −8.40 m/s, respectively), accompanied by increased onset latency. No significant changes were found in the control group. Conclusions: Cryoflow air-based cryotherapy to the forearm causes a substantial reduction in local skin temperature and significant slowing of peripheral nerve conduction. Both motor and sensory fibers of the median and ulnar nerves exhibited decreased conduction velocities and increased latencies following cooling. Full article
7 pages, 812 KB  
Case Report
Salvage Cryoballoon Ablation After Non-Curative Endoscopic Submucosal Dissection: The First Case Report on T1bN0M0 Esophageal Adenocarcinoma
by Marianna Spinou, Eleni Nakou, Petros Zormpas, Antonis Pikoulas and George Tribonias
Reports 2025, 8(4), 265; https://doi.org/10.3390/reports8040265 - 12 Dec 2025
Viewed by 618
Abstract
Background and Clinical Significance: Cryotherapy, particularly with the CryoBalloon Focal Ablation System (CbFAS), has emerged as a minimally invasive modality delivering targeted ablation through liquid nitrous oxide. While its role in treating Barrett’s esophagus and dysplasia is well established, its application in [...] Read more.
Background and Clinical Significance: Cryotherapy, particularly with the CryoBalloon Focal Ablation System (CbFAS), has emerged as a minimally invasive modality delivering targeted ablation through liquid nitrous oxide. While its role in treating Barrett’s esophagus and dysplasia is well established, its application in early esophageal adenocarcinoma (EAC) salvage treatment remains limited. Case Presentation: We report the case of an 84-year-old male with Barrett’s esophagus and multiple comorbidities who underwent endoscopic submucosal dissection (ESD) for a 3 cm esophageal adenocarcinoma (pT1bN0M0). Histology revealed deep submucosal invasion, perivascular infiltration, and positive margins, rendering the resection non-curative. Given surgical ineligibility, the patient underwent cryoballoon ablation six months later for recurrent intramucosal carcinoma proximal to the ESD scar. At three months, surveillance endoscopy showed residual Barrett’s esophagus with low-grade dysplasia. Conclusions: This case highlights the feasibility and safety of cryoballoon ablation as salvage therapy after non-curative ESD in inoperable EAC. To our knowledge, this represents the first report of salvage CbFAS in T1bN0M0 EAC, underscoring the need for further studies to define its role in the multimodal management of EAC. Full article
(This article belongs to the Section Gastroenterology)
Show Figures

Figure 1

9 pages, 1537 KB  
Case Report
Verrucous Carcinoma of the Lower Lip: A Rare Case Mimicking Benign Lesion
by Dong Gyu Kim and Kyung Ah Lee
J. Clin. Med. 2025, 14(24), 8763; https://doi.org/10.3390/jcm14248763 - 11 Dec 2025
Viewed by 673
Abstract
Background: Verrucous carcinoma (VC) is a rare, well-differentiated subtype of squamous cell carcinoma characterized by slow growth and local invasiveness. Although it can arise in various anatomical regions, involvement of the lip is uncommon. Because VC may clinically resemble benign verrucous lesions such [...] Read more.
Background: Verrucous carcinoma (VC) is a rare, well-differentiated subtype of squamous cell carcinoma characterized by slow growth and local invasiveness. Although it can arise in various anatomical regions, involvement of the lip is uncommon. Because VC may clinically resemble benign verrucous lesions such as squamous cell papilloma, accurate diagnosis is often delayed. This case report aims to illustrate the diagnostic pitfalls encountered when lower-lip VC is managed as a benign verrucous lesion and to emphasize the need for adequately deep or excisional biopsy in persistent lesions that fail to respond to conservative treatment. Methods: We report the case of a 75-year-old man who presented with a persistent, cauliflower-like lesion on the lower lip initially diagnosed as verruca. Despite repeated cryotherapy, the lesion enlarged. Wide local excision was performed under general anesthesia, and frozen biopsy suggested malignancy. The resultant defect was reconstructed using a step-ladder advancement flap designed to preserve lip symmetry and function. Results: Histopathologic examination revealed a well-differentiated squamous epithelium with parakeratinized invaginations extending into the stroma, confirming VC. The postoperative course was uneventful, with preserved oral competence and no evidence of recurrence during follow-up. Conclusions: Verrucous carcinoma of the lip can be misdiagnosed as a benign papillomatous or verrucous lesion, particularly when only a superficial biopsy is obtained and management relies on prolonged conservative therapy such as repeated cryotherapy. Persistent verrucous lesions of the lip that do not respond to an apparently adequate course of treatment should prompt reconsideration of the diagnosis and performance of an adequately deep or excisional biopsy. Complete excision with negative margins remains the treatment of choice, and increased clinical awareness, together with careful histopathologic evaluation, are essential for early detection and appropriate management, ultimately improving patient outcomes and minimizing morbidity. Full article
Show Figures

Figure 1

16 pages, 735 KB  
Systematic Review
Cryotherapy as a Surgical De-Escalation Strategy in Breast Cancer: Techniques, Complications, and Oncological Outcomes
by Kai Lin Lee, Ashita Ashish Sule, Hao Xing Lai, Qin Xiang Ng and Serene Si Ning Goh
Biomedicines 2025, 13(12), 2987; https://doi.org/10.3390/biomedicines13122987 - 5 Dec 2025
Cited by 1 | Viewed by 1171
Abstract
Background: Early breast cancer outcomes have improved substantially, yet surgery may carry physical and psychosocial costs. Cryotherapy has gained attention as a minimally invasive alternative to surgery for select patients with breast cancer: particularly, those with small, unifocal, hormone receptor-positive tumors. Given [...] Read more.
Background: Early breast cancer outcomes have improved substantially, yet surgery may carry physical and psychosocial costs. Cryotherapy has gained attention as a minimally invasive alternative to surgery for select patients with breast cancer: particularly, those with small, unifocal, hormone receptor-positive tumors. Given rapidly expanding but heterogeneous reports, this state-of-the-art review therefore aims to synthesize information on how breast cryotherapy is performed, for whom it is most suitable, what outcomes to expect, and where evidence is still immature. Methods: We queried MEDLINE (via PubMed), Embase (via Ovid), and the Cochrane Library up to January 2025, using terms related to “breast neoplasms,” “cryotherapy,” and “cryoablation.” Eligible studies included clinical trials, cohort studies, and case series reporting outcomes of cryotherapy in breast cancer. Data were extracted on patient characteristics, procedural parameters, recurrence, survival, and complications. The risk of bias was assessed using the MINORS tool, and certainty of evidence was appraised with the GRADE framework. Results: A total of thirty one studies (comprising 1357 patients) formed the evidence corpus summarized here. Most involved early-stage, hormone receptor-positive breast cancers ≤ 2 cm treated with percutaneous cryoablation. Local recurrence, defined as any ipsilateral breast tumor recurrence confirmed radiologically or histologically, ranged from 0 to 68.8%, with smaller, unifocal tumors achieving the best control. Overall survival exceeded 80% in early-stage disease, while complications were generally minor, including bruising, hematoma, and skin erythema. Patient satisfaction was high, with favorable cosmetic outcomes reported in limited studies. However, the follow-up duration ranged from 1 month to 10 years (with nearly half < 1 year), and protocols varied substantially across studies. In summary, breast cryotherapy appears safe and can achieve encouraging local control and cosmetic results in carefully selected early-stage cases. Its role in aggressive subtypes, larger or multifocal disease, and as part of multimodal regimens requires further study. Conclusions: Standardized protocols, imaging/reporting conventions, and longer follow-up with patient-reported outcomes are needed to advance the field and further define where cryotherapy can appropriately de-escalate surgery. Full article
(This article belongs to the Special Issue Breast Cancer: New Diagnostic and Therapeutic Approaches)
Show Figures

Graphical abstract

22 pages, 1103 KB  
Review
Traditional Health Practices May Promote Nrf2 Activation Similar to Exercise
by Hubert Kolb, Stephan Martin and Kerstin Kempf
Int. J. Mol. Sci. 2025, 26(23), 11546; https://doi.org/10.3390/ijms262311546 - 28 Nov 2025
Viewed by 1918
Abstract
Various non-pharmacological practices have been reported to enhance overall health. The molecular effects of exercise have been shown to involve the upregulation of enzymes and transcription factors that enhance antioxidative and anti-inflammatory activity, boost mitochondrial function and growth, and promote a parasympathetic tone. [...] Read more.
Various non-pharmacological practices have been reported to enhance overall health. The molecular effects of exercise have been shown to involve the upregulation of enzymes and transcription factors that enhance antioxidative and anti-inflammatory activity, boost mitochondrial function and growth, and promote a parasympathetic tone. These beneficial changes occur as an adaptive/hormetic response to an initial increase in oxygen radical and nitric oxide production in working muscles. The redox-sensitive nuclear factor erythroid 2-related factor 2 (Nrf2) was identified as the key mediator of the cellular defense response. A similar adaptive response appears to occur in response to exposure to heat or cold, hyperbaric or hypobaric oxygen, cupping therapy, acupuncture, caloric restriction, and the consumption of polyphenol-rich plant-based foods or spices, and there is direct or indirect evidence for the involvement of Nrf2. In many cases, additional stress signaling pathways have been observed to be upregulated, including the nicotinamide adenine dinucleotide (NAD+)-sirtuin and the adenosine monophosphate (AMP)-activated protein kinase pathways. We conclude that while several traditional health practices may share a hormetic mechanism—mild radical-induced damage triggers a defense response through upregulation of antioxidative, anti-inflammatory, and repair activities, which may impact body-wide tissue function. Full article
(This article belongs to the Special Issue Role of NRF2 Pathway in Chronic Diseases)
Show Figures

Figure 1

Back to TopTop