Sign in to use this feature.

Years

Between: -

Subjects

remove_circle_outline
remove_circle_outline
remove_circle_outline
remove_circle_outline
remove_circle_outline
remove_circle_outline
remove_circle_outline
remove_circle_outline
remove_circle_outline

Journals

remove_circle_outline
remove_circle_outline
remove_circle_outline
remove_circle_outline
remove_circle_outline
remove_circle_outline
remove_circle_outline
remove_circle_outline
remove_circle_outline

Article Types

Countries / Regions

remove_circle_outline
remove_circle_outline
remove_circle_outline
remove_circle_outline

Search Results (735)

Search Parameters:
Keywords = cell spray

Order results
Result details
Results per page
Select all
Export citation of selected articles as:
11 pages, 19852 KB  
Article
Fabrication of Thin Copper Anode Current Collectors on Ceramic Solid Electrolytes Using Atmospheric Plasma Spraying for Anode-Free Solid-State Batteries
by Andre Borchers, Timo Paschen, Manuela Ockel, Florian Vollnhals, Cornelius Dirksen, Martin Muckelbauer, Berik Uzakbaiuly, George Sarau, Jörg Franke and Silke Christiansen
Batteries 2026, 12(4), 142; https://doi.org/10.3390/batteries12040142 - 16 Apr 2026
Abstract
Metal anodes offer substantially higher specific and volumetric capacities than conventional anode materials such as graphite in lithium-ion batteries or hard carbon in sodium-ion batteries. However, the integration of metal anodes into solid-state batteries poses significant challenges, particularly with respect to processing, interfacial [...] Read more.
Metal anodes offer substantially higher specific and volumetric capacities than conventional anode materials such as graphite in lithium-ion batteries or hard carbon in sodium-ion batteries. However, the integration of metal anodes into solid-state batteries poses significant challenges, particularly with respect to processing, interfacial stability, and cell assembly. Anode-free solid-state batteries (AFSSBs) address these challenges by eliminating the pre-installed metal anode, instead forming the metal in situ during the initial charging (formation) step. In anode-free solid-state batteries, the quality of the interfacial contact is particularly critical, as insufficient contact can lead to locally increased current densities. Consequently, the initial metal plating during the formation step plays a decisive role in determining the homogeneity and stability of the anode interface. Furthermore, conventional battery-grade copper foils (~10 µm) are considerably thicker than required for the targeted C-rates and are difficult to use as stand-alone anode-free current collectors, thereby hindering the industrial production of anode-free solid-state batteries. In this publication, we demonstrate the application of atmospheric plasma spraying (APS) to fabricate thin copper current collectors directly on the ceramic solid electrolytes LAGP (lithium aluminium germanium phosphate) and BASE (beta-alumina solid electrolyte) with superior interface contact. No mechanical damage or diffusion of copper into the solid electrolyte nor formation of secondary phases at the interfaces were observed in SEM or EDS despite the elevated process temperature. LAGP with a thickness as low as 300 µm was successfully coated and subsequently used for plating/stripping experiments. Finally, dense sodium metal was plated at the copper-substrate interface of a 1.4 mm thick BASE sample. Full article
(This article belongs to the Special Issue 10th Anniversary of Batteries: Interface Science in Batteries)
Show Figures

Figure 1

9 pages, 3171 KB  
Article
Influence of Zinc Doping on the Morphological, Structural, and Optical Characteristics of Copper Oxide Thin Films Prepared Through Ultrasound Spray Pyrolysis
by Isis Chetzyl Ballardo Rodríguez, Brahim El Filali, Aarón Israel Díaz Cano, Rebeca Jiménez Rodríguez and Juan Antonio Jaramillo Gómez
Materials 2026, 19(8), 1596; https://doi.org/10.3390/ma19081596 - 15 Apr 2026
Viewed by 153
Abstract
The study of wide-bandgap nanomaterials has gained considerable attention in recent years, especially in the case of semiconductor oxides that exhibit full or partial optical transparency in fundamental research and technological applications. These include optoelectronic devices, gas sensors and photovoltaic cells, among others. [...] Read more.
The study of wide-bandgap nanomaterials has gained considerable attention in recent years, especially in the case of semiconductor oxides that exhibit full or partial optical transparency in fundamental research and technological applications. These include optoelectronic devices, gas sensors and photovoltaic cells, among others. The activation or adjustment of optical and structural properties, especially the bandgap and the parameters of unit cell lattice, can be achieved by varying the dopant concentration during the synthesis of semiconductor thin films in these applications. In this context, copper oxide has emerged as a valuable material, owing to its thoroughly analyzed structural behavior and its broad potential across multiple technological fields. The present work focuses on the synthesis of zinc-doped copper oxide (ZnxCu1−xO) thin films on silicon and quartz substrates through ultrasonic spray pyrolysis. The effects of varying the zinc doping concentration (0.0, 5.0, 10.0 and 20.0 at. %) on the morphological, structural, and optical characteristics of the ZnxCu1−xO films were analyzed. Scanning electron microscopy (SEM) analysis indicated a gradual increase in nanoparticle size, rising from 221 nm for CuO to approximately 322 nm for the Zn0.2Cu0.8O samples as the zinc content increased. Structural characterization via X-ray diffraction (XRD) confirmed a monoclinic crystal arrangement belonging to the C2h6 (c2/c) space group. As the percentage of zinc increased, the XRD peaks shifted to lower angles, consequently increasing the volume and crystal lattice parameters of the ZnxCu1−xO structure; this finding was additionally supported by a redshift observed in the Raman analysis. The transmittance spectra of the films showed low transmittance between 40 and 44%. The optical bandgap of the ZnxCu1−xO thin films was estimated from the transmittance data by applying the Tauc plot method. A decrease in the band gap was observed at higher doping concentrations. It can be confirmed that no secondary phases are observed at a doping level of 20.0 at. % of zinc, indicating good solubility of zinc in CuO. The analysis and discussion of these findings are included throughout this work to elucidate the controversies noted in the literature. Full article
(This article belongs to the Special Issue Revisiting the Fundamentals: Synthesis of Metal Oxides)
Show Figures

Figure 1

38 pages, 21946 KB  
Review
Surface Modification and Coating for Titanium Dental Implants: A Review on Advances in Techniques, Biological Performance, and Clinical Applications
by Amantle Balang, Gordon Blunn, Marta Roldo, Katerina Karali and Roxane Bonithon
Coatings 2026, 16(4), 423; https://doi.org/10.3390/coatings16040423 - 2 Apr 2026
Viewed by 608
Abstract
Dental implants have become common for restoring function and aesthetics after edentulism, with titanium (Ti) remaining the most widely used material due to its excellent mechanical properties and biocompatibility. Despite their clinical success, long-term performance is strongly influenced by surface characteristics, which regulate [...] Read more.
Dental implants have become common for restoring function and aesthetics after edentulism, with titanium (Ti) remaining the most widely used material due to its excellent mechanical properties and biocompatibility. Despite their clinical success, long-term performance is strongly influenced by surface characteristics, which regulate osseointegration and susceptibility to bacterial colonisation. Consequently, surface modification approaches have become critical strategies to enhance implant stability, bioactivity and longevity. This review critically evaluates conventional, advanced, and hybrid surface modification strategies. Subtractive methods, such as sandblasting and acid etching, increase microroughness (Ra 1.5–3 μm), enhancing osteoblast attachment and differentiation, but may promote bacterial adhesion and surface contamination. Combined treatments like SLA and SLActive generate hierarchical micro–nano topographies, improving protein adsorption, early-stage osteoblast proliferation (up to 2-fold), and clinical stability. Laser ablation and photofunctionalisation further modulate surface chemistry and wettability, accelerating osseointegration and epithelial cell adhesion. Coating approaches, including layer-by-layer self-assembly, nanospray drying, plasma spraying, and piezoelectric nanocomposites, introduce antimicrobial activity (>95% reduction in Escherichia coli or Staphylococcus aureus) and enhanced osteogenic differentiation with mechanical stability, with adhesion values reaching 49 MPa. Hybrid techniques such as sol–gel, hydrothermal, and anodisation provide controlled topography, chemical composition, and bioactivity, promoting early bone-to-implant contact (BIC increase of 10%–25%) in preclinical models. Notwithstanding promising in vitro and in vivo outcomes, variability in processing parameters and limited standardisation restrict large-scale clinical translation. Overall, contemporary Ti surface engineering emphasises a synergistic balance of topography, chemistry, wettability, and hierarchical structuring to optimise biological performance for dental implant applications. Full article
(This article belongs to the Special Issue Surface Properties and Modification of Implanted Materials)
Show Figures

Figure 1

39 pages, 2596 KB  
Review
Collagen-Based Microspheres for Biomedical Applications in Drug Delivery and Tissue Engineering
by Mohammad Jahir Raihan, Zhong Hu and Solaiman Tarafder
Biomimetics 2026, 11(4), 233; https://doi.org/10.3390/biomimetics11040233 - 1 Apr 2026
Viewed by 619
Abstract
Collagen, the most abundant extracellular matrix (ECM) protein, has emerged as a cornerstone biomaterial in drug delivery and regenerative medicine due to its intrinsic biocompatibility, biodegradability, and low immunogenicity. Engineering collagen into microspheres transforms its functionality beyond bulk scaffolds by increasing surface area, [...] Read more.
Collagen, the most abundant extracellular matrix (ECM) protein, has emerged as a cornerstone biomaterial in drug delivery and regenerative medicine due to its intrinsic biocompatibility, biodegradability, and low immunogenicity. Engineering collagen into microspheres transforms its functionality beyond bulk scaffolds by increasing surface area, enabling minimally invasive delivery, and providing precise control over degradation, mechanical properties, and therapeutic release. This review provides a comprehensive analysis of collagen-based microspheres, with a particular focus on their dual role as biomimetic microenvironments and delivery systems. Recent advances in fabrication strategies, including emulsification, microfluidics, spray-drying, and electrospraying, are discussed in the context of scalability, size control, and payload encapsulation. Composite approaches that incorporate bioactive minerals, polysaccharides, or synthetic polymers are highlighted for their ability to enhance mechanical performance and biological function. We further examine characterization frameworks that link microscale structure and physicochemical properties to biological outcomes, with emphasis on how collagen microspheres replicate key structural, mechanical, and signaling features of native tissue microenvironments. Collagen microspheres have demonstrated broad utility as controlled delivery platforms, cell-instructive microcarriers, and injectable systems for tissue regeneration, including applications in bone, cartilage, skin, and nerve repair, as well as advanced wound care and localized cancer therapy. Finally, we critically assess current challenges related to scalable manufacturing, sterilization compatibility, and batch reproducibility, and outline emerging solutions such as recombinant collagen, advanced biofabrication, and stimuli-responsive systems. Collectively, collagen microspheres represent a powerful and adaptable platform poised to advance next-generation regenerative and therapeutic technologies. Full article
Show Figures

Graphical abstract

27 pages, 3188 KB  
Article
From Cell Physiology to Process Design: Spray-Drying-Based Production of a Stable and Functional Ensifer meliloti Bioinoculant
by Florencia Belén Alvarez Strazzi, María Evangelina Carezzano, Martina Guerrieri Magrini, Ladislao Iván Díaz Vergara, Walter Giordano and Pablo Bogino
Processes 2026, 14(7), 1094; https://doi.org/10.3390/pr14071094 - 28 Mar 2026
Viewed by 354
Abstract
The formulation of rhizobial bioinoculants remains a critical bottleneck for the large-scale deployment of biological nitrogen fixation in sustainable agriculture, mainly due to limitations in the stability and viability of conventional liquid products. In this study, a spray-drying-based process was developed and optimized [...] Read more.
The formulation of rhizobial bioinoculants remains a critical bottleneck for the large-scale deployment of biological nitrogen fixation in sustainable agriculture, mainly due to limitations in the stability and viability of conventional liquid products. In this study, a spray-drying-based process was developed and optimized to produce a stable and functional bioinoculant using Ensifer meliloti Rm8530, an EPS II–producing strain with enhanced stress tolerance. Strain robustness was evaluated through thermal and osmotic stress assays, together with growth performance across relevant temperature and pH ranges. Six carrier-based formulations combining polysaccharides and proteins were then tested under controlled spray-drying conditions. Process performance was assessed in terms of powder recovery, residual moisture, bacterial survival, yield, and storage stability over 16 weeks. The morphological integrity of spray-dried particles and rehydrated cells was analyzed by scanning electron microscopy. The biological functionality of selected formulations was subsequently validated in planta using alfalfa as a host model. Among the formulations tested, a mixed alginate–gum Arabic matrix showed the best overall balance between process efficiency, post-drying viability, long-term stability, and symbiotic performance. Spray-dried cells retained the ability to induce nodulation and support early plant responses under the conditions evaluated. These results demonstrate that spray drying, combined with appropriate strain selection and formulation design, constitutes a viable and scalable platform for producing stable, functional rhizobial bioinoculants. Full article
(This article belongs to the Section Biological Processes and Systems)
Show Figures

Figure 1

16 pages, 2594 KB  
Article
Microtubule Dynamics Modulate Cold-Responsive Gene Expression in Brassica rapa
by Xinyi Zhang, Xiaoyun Dong, Guoqiang Zheng, Qian Luo, Zefeng Wu, Jinxiong Wang, Junmei Cui, Yan Fang, Zigang Liu and Jiaping Wei
Agronomy 2026, 16(7), 698; https://doi.org/10.3390/agronomy16070698 - 26 Mar 2026
Viewed by 385
Abstract
Winter rapeseed (Brassica rapa L.) is an important crop for vegetable oil production in China. However, its productivity is frequently threatened by severe cold waves during winter. To investigate the role of the microtubule cytoskeleton in cold adaptation of winter rapeseed, a [...] Read more.
Winter rapeseed (Brassica rapa L.) is an important crop for vegetable oil production in China. However, its productivity is frequently threatened by severe cold waves during winter. To investigate the role of the microtubule cytoskeleton in cold adaptation of winter rapeseed, a microtubule stabilizer paclitaxel (Tax) and a microtubule depolymerizer colchicine (Col) were sprayed on winter rapeseed and transgenic proBrAFP1 Arabidopsis, respectively. The mRNA levels of cold-induced genes, along with cell membrane stability, antioxidant enzyme activities, and hormone levels were assessed under cold stresses of 4 °C and −4 °C. The results showed that low temperature significantly activated the proBrAFP1 promoter activity and increased the mRNA levels of core cold signaling pathway genes, such as C-REPEAT BINDING FACTORS (CBFs), Cyclic Nucleotide-Gated Channel (CNGC), OPEN STOMATA 1 (OST1) and Inducer of CBF EXPRESSION 1 (ICE1). Notably, under low-temperature stress, exogenous application of the microtubule stabilizer Tax markedly suppressed proBrAFP1-driven reporter activity in transgenic Arabidopsis, with consistent inhibition observed across both stem and leaf tissues; meanwhile, the Tax application alleviated reactive oxygen species (ROS) accumulation and mitigated membrane damage. In contrast, under the same low-temperature stress, the Col treatment exacerbated oxidative stress, enhanced lipid peroxidation, and elevated membrane damage. Collectively, these findings establish that microtubule regulators play indispensable roles in the cold stress response of winter rapeseed. It provides new insights into the mechanism by which plant microtubule cytoskeleton regulators mediate the cold response. Full article
Show Figures

Figure 1

21 pages, 1752 KB  
Article
From Fruit Development to Harvest: Impact of Exogenous Sorbitol on Physico-Chemical Traits and Yield of Pomegranate Fruit
by Ander Solana-Guilabert, Alberto Guirao, María Emma García-Pastor, Huertas María Díaz-Mula, María Serrano, Juan Miguel Valverde and Domingo Martínez-Romero
Horticulturae 2026, 12(4), 406; https://doi.org/10.3390/horticulturae12040406 - 25 Mar 2026
Viewed by 325
Abstract
The ‘Mollar de Elche’ pomegranate cultivar is highly valued for its organoleptic properties, yet it often suffers from inadequate fruit pigmentation, reducing its commercial competitiveness. This study, carried out in a mature commercial orchard located in Spain (Alicante), evaluated the impact of preharvest [...] Read more.
The ‘Mollar de Elche’ pomegranate cultivar is highly valued for its organoleptic properties, yet it often suffers from inadequate fruit pigmentation, reducing its commercial competitiveness. This study, carried out in a mature commercial orchard located in Spain (Alicante), evaluated the impact of preharvest applications of sorbitol at different concentrations (0, 0.1, 0.5, and 1% in 2023, and 2.5 and 5% in 2024) and three application periods: S1 (nine applications from fruit set), S2 (six applications from seed hardening), and S3 (three applications at the onset of colour change) over two consecutive growing seasons (2023 and 2024). Treatments were applied via foliar spraying from the time of fruit set until the onset of external colour change. The results showed that sorbitol acted as an effective metabolic ‘vector’, significantly increasing fruit weight and total yield, particularly at concentrations of 1 and 5%. Furthermore, sorbitol treatments enhanced fruit firmness by stabilizing cell wall structures and significantly improved exocarp red pigmentation by reducing the hue angle. While the highest doses (1, 2.5, and 5%) enhanced biomass accumulation, they also triggered a potential negative feedback loop in sugar sensing that could interfere with secondary metabolism at excessive thresholds. These findings suggest that preharvest sorbitol applications, particularly at concentrations between 1 and 5% starting from early application period (S1), serve as an effective strategy for improving yield and external pigmentation in ‘Mollar de Elche’ pomegranate fruit. Full article
(This article belongs to the Special Issue From Farm to Table in the Era of a New Horticulture in Spain)
Show Figures

Graphical abstract

18 pages, 2574 KB  
Article
Inhalation Exposure to 2,4-Dichlorophenoxyacetic Acid Causes Tracheal Damage—A Study in Rats
by Anna Carolina Ferretti Wisenfad, Isabela Vieira Duran, Luciana Shiraichi Barga and Gisele Alborghetti Nai
Toxics 2026, 14(4), 271; https://doi.org/10.3390/toxics14040271 - 24 Mar 2026
Viewed by 461
Abstract
Exposure to 2,4-dichlorophenoxyacetic acid (2,4-D) occurs mainly by inhalation. Studies indicate that respiratory allergic reactions are induced by this pesticide. This study analyzed the effects of chronic inhalation exposure to 2,4-D in the trachea of rats. We exposed the animals during six months [...] Read more.
Exposure to 2,4-dichlorophenoxyacetic acid (2,4-D) occurs mainly by inhalation. Studies indicate that respiratory allergic reactions are induced by this pesticide. This study analyzed the effects of chronic inhalation exposure to 2,4-D in the trachea of rats. We exposed the animals during six months to three different concentrations of 2,4-D used for crop spraying. Animals exposed to low concentrations had an increase in the mast cells count, showing that this herbicide can cause allergic reactions in the airways. The tracheal epithelium thickness, the nuclear area and number of nucleolar organizing regions increased proportionally to the exposure concentration and in correlation with each other. These histological tissue changes correspond to epithelial hypertrophy and increased cell activity and multiplication, and show an adaptation to tissue damage caused by 2,4-D. There was a tendency for inversion in the mucus pattern to acid and a decrease in goblet cells in the groups exposed to 2,4-D, which alters the protective mechanisms of the respiratory tract. The 2,4-D induced adaptations in the tracheal epithelium associated with an increase in herbicide concentrations, which may compromise mucociliary function and predispose the epithelium to additional lesions over time. Therefore, it should be used with appropriate respiratory protection equipment to avoid injury. Full article
(This article belongs to the Section Agrochemicals and Food Toxicology)
Show Figures

Graphical abstract

37 pages, 6077 KB  
Article
Sequential Supercritical CO2 and Subcritical Water Extraction for the Valorisation of Pomegranate (Punica granatum L.) By-Products: A Response Surface Methodology Approach
by Miriana Durante, Riccardo Tornese, Rocco Placì, Anna Montefusco, Fabrizio Barozzi, Anna Eleonora Caprifico, Gian-Pietro Di Sansebastiano, Monica De Caroli and Marcello Salvatore Lenucci
Plants 2026, 15(6), 951; https://doi.org/10.3390/plants15060951 - 19 Mar 2026
Viewed by 413
Abstract
Pomegranate marc is a major, underutilized juice industry by-product rich in lipophilic polyunsaturated fatty acids—notably conjugated α-linolenic acids (CLnAs)—and hydrophilic polyphenols with potent antioxidant and anti-inflammatory properties. Despite its potential for nutraceutical, cosmetic, and pharmaceutical applications, this matrix remains largely unexploited. This study [...] Read more.
Pomegranate marc is a major, underutilized juice industry by-product rich in lipophilic polyunsaturated fatty acids—notably conjugated α-linolenic acids (CLnAs)—and hydrophilic polyphenols with potent antioxidant and anti-inflammatory properties. Despite its potential for nutraceutical, cosmetic, and pharmaceutical applications, this matrix remains largely unexploited. This study presents a novel, sequential in-line extraction strategy combining supercritical CO2 (ScCO2) and subcritical water (scW) to recover complementary bioactive fractions. Both extraction steps were optimized via Response Surface Methodology (RSM). Box–Behnken optimization of ScCO2 (43 MPa, 76 °C, 6.4 L min−1, 124 min) yielded 30 g kg−1 dry weight (dw) of oleoresin, achieving a 68% recovery of total oil. Subsequent scW extraction was optimized at 149 °C, with a 40 L kg−1 water-to-solute ratio and 73 min extraction time, yielding 47 g kg−1 dw of total phenolics (58% recovery). Strong agreement between experimental and predicted values confirmed the robustness of the models. Comprehensive profiling revealed a diverse phytocomplex including fatty acids, tocopherols, flavonoids, soluble sugars, and polysaccharides. Antioxidant assays confirmed that both γ-tocopherol and polyphenols significantly contribute to the extracts’ bioactivity. To improve physical handling, the aqueous fractions were converted into solid dispersions via spray drying with maltodextrin. Preliminary in vitro biological assessments on HEK-293 (human embryonic kidney) and MCF-7 (Michigan Cancer Foundation-7) cell lines suggested that the maltodextrin-based formulations may modulate the cytotoxic profile compared to the free extract, with exploratory results showing dosage-dependent variations in cell viability across the two lines. This work suggests a potentially scalable and sustainable biorefinery approach for the integral valorisation of pomegranate marc, offering a basis for a pathway to produce solvent-free bioactives. Full article
(This article belongs to the Section Phytochemistry)
Show Figures

Figure 1

14 pages, 6088 KB  
Article
Facile Synthesis of Salt-Assisted Multiroom Carbon/Vanadium Sulfide Microspheres for Fast and Durable Potassium-Ion Storage
by Jaewoo Lee, Hong Geun Oh and Seung-Keun Park
Batteries 2026, 12(3), 96; https://doi.org/10.3390/batteries12030096 - 10 Mar 2026
Viewed by 401
Abstract
Potassium-ion batteries hold great promise for large-scale energy storage, but their commercialization is hindered by the large ionic radius of potassium, which causes sluggish kinetics and severe volume expansion in anode materials. To address this, we present a scalable spray-drying strategy coupled with [...] Read more.
Potassium-ion batteries hold great promise for large-scale energy storage, but their commercialization is hindered by the large ionic radius of potassium, which causes sluggish kinetics and severe volume expansion in anode materials. To address this, we present a scalable spray-drying strategy coupled with NaCl salt-templating to synthesize hierarchical porous carbon/vanadium sulfide microspheres (p-V3S4/C MS). In this structure, V3S4 nanoparticles are uniformly encapsulated within a dextrin-derived amorphous carbon matrix, and pores are formed via selective NaCl etching. This unique architecture accommodates volume fluctuations while providing rapid ion diffusion pathways. As a result, the p-V3S4/C MS anode exhibits outstanding electrochemical performance, maintaining a reversible capacity of 107 mA h g−1 after 2000 cycles at 2.0 A g−1, and achieves a high pseudocapacitive contribution of 93% at 2.0 mV s−1. Furthermore, a full cell paired with a Prussian blue (PB) cathode demonstrates practical viability and robust reversibility. Our findings demonstrate that this structural engineering effectively mitigates internal resistance and structural degradation, offering a cost-effective route for mass-producing high-performance anodes for next-generation energy storage. Full article
Show Figures

Graphical abstract

15 pages, 2217 KB  
Article
Early Phase Gingival Wound Healing Following Low-Level Er:YAG Laser Irradiation: In Vitro and In Vivo Studies
by Lu Chen, Koji Mizutani, Natsumi Saito, Bruna Akinaga Moreira, Daisuke Kido, Takanori Iwata and Akira Aoki
Dent. J. 2026, 14(3), 138; https://doi.org/10.3390/dj14030138 - 2 Mar 2026
Viewed by 396
Abstract
Background: Low-level laser irradiation (LLLI) can promote wound healing. However, the biological effects of the erbium-doped yttrium aluminum garnet (Er:YAG) laser on gingival wound healing remain unclear. Objectives: To assess the effects of low-level Er:YAG laser irradiation on endothelial cell activity in vitro [...] Read more.
Background: Low-level laser irradiation (LLLI) can promote wound healing. However, the biological effects of the erbium-doped yttrium aluminum garnet (Er:YAG) laser on gingival wound healing remain unclear. Objectives: To assess the effects of low-level Er:YAG laser irradiation on endothelial cell activity in vitro and on early phase gingival wound healing in vivo. Methods: In vitro, human umbilical vein endothelial cells were irradiated with a low-level Er:YAG laser (30 mJ/pulse, 10 Hz, 20 and 30 s, defocused, no water spray) and assessed for viability, cytotoxicity, and migration. Standardized bilateral wounds (4 × 1 mm) were created in the palatal gingiva of 14 male mice using a scalpel and curette. The wounds were irradiated for 20 s under the same irradiation settings, using a contact tip (diameter 800 μm) to induce superficial blood surface coagulation, while contralateral sites were assigned to controls in a split-mouth design. Postoperative wound area and mRNA expression of IL-6, TNF-α, VEGF, FGF-2, and TGF-β1 were analyzed after 48 h. Results: In vitro, LLLI significantly enhanced cell proliferation with/without increasing cytotoxicity. In the wound healing assay, the LLLI significantly promoted cell migration compared with the control. In vivo, the reduction in residual wound area in the laser group was comparable to that in the control group. IL-6 and TNF-α expressions were significantly downregulated, whereas VEGF was significantly upregulated in the laser group. Conclusions: Low-level Er:YAG laser irradiation enhances anti-inflammatory and pro-angiogenic effects, suggesting its potential in promoting gingival wound healing. Full article
(This article belongs to the Special Issue Laser Dentistry: The Current Status and Developments)
Show Figures

Graphical abstract

16 pages, 1610 KB  
Article
Integrated Membrane Filtration for the Recovery of Antioxidants from Lavender Spent Plant Material
by Yoana Stoyanova, Nevena Lazarova-Zdravkova, Swantje Pietsch-Braune, Stoyko Petrin, Anna Stefanova, Stefan Heinrich and Dimitar Peshev
Membranes 2026, 16(2), 76; https://doi.org/10.3390/membranes16020076 - 23 Feb 2026
Viewed by 676
Abstract
The present study explores the possibility of combining membrane concentration, spray drying, and low-temperature precipitation into a single process for the valorization of spent lavender biomass as a source of ingredients rich in antioxidants. Lavender spent plant material was subjected to solid–liquid extraction, [...] Read more.
The present study explores the possibility of combining membrane concentration, spray drying, and low-temperature precipitation into a single process for the valorization of spent lavender biomass as a source of ingredients rich in antioxidants. Lavender spent plant material was subjected to solid–liquid extraction, and the obtained hydroalcoholic extracts were further concentrated using a dead-end membrane filtration cell (METcell) with a polyamide–urea thin-film composite X201 membrane. The feed and the obtained retentate were subsequently spray dried using a Nano Spray Dryer B-90 (BÜCHI) under different temperature conditions (120 °C and 85 °C). Low-temperature precipitation was further applied for the retentate. An eight-fold concentration of the extracts was achieved, with membrane rejection coefficients of 100% for antioxidant activity and 98.5% for dry solids content. The permeate flux ranged from 2.25 to 0.201 L·m−2·h−1. Spray drying at a lower inlet temperature resulted in minimal losses for antioxidant activity (below 6%). The low-temperature storage of the membrane concentrate led to clear phase separation, allowing for the recovery of a precipitated fraction. The obtained results demonstrate that the integrated approach may support the sustainable and scalable valorization of lavender by-products. Full article
Show Figures

Graphical abstract

14 pages, 2266 KB  
Article
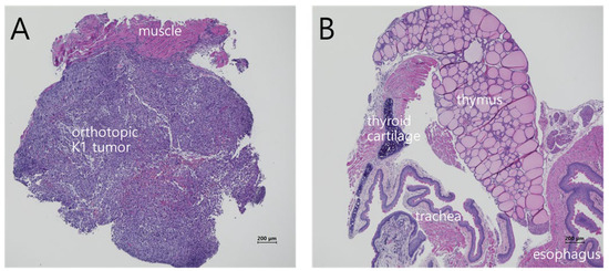
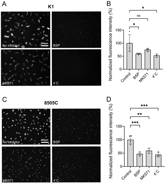
A pH-Sensitive Sprayable Fluorescent Probe Enables Accurate Visualization of Thyroid Cancer Margins for Fluorescence-Guided Surgery in Orthotopic Mouse Models
by Hyungju Kwon, Javier Bravo, Ting-Chun Kuo, Blackberrie Eddins, Siamak Amirfakhri, Jasmin Zaker, Keita Kobayashi, Shinya Yokomizo, Homan Kang, Grace Lin, Md Shamim, Hak Soo Choi, Robert M. Hoffman, Satoshi Kashiwagi, Maged Henary and Michael Bouvet
Cancers 2026, 18(4), 632; https://doi.org/10.3390/cancers18040632 - 15 Feb 2026
Viewed by 778
Abstract
Positive surgical margins (PSMs) are a major predictor of recurrence in thyroid cancer; however, their intraoperative detection remains challenging, particularly for microscopic PSMs. This study aimed to demonstrate that a sprayable pH-sensitive near-infrared fluorescent probe (PH10) could specifically and robustly label thyroid tumors [...] Read more.
Positive surgical margins (PSMs) are a major predictor of recurrence in thyroid cancer; however, their intraoperative detection remains challenging, particularly for microscopic PSMs. This study aimed to demonstrate that a sprayable pH-sensitive near-infrared fluorescent probe (PH10) could specifically and robustly label thyroid tumors in orthotopic mouse models. The pH sensitivity, cytotoxicity, and cellular uptake mechanisms of PH10 were evaluated in papillary thyroid carcinoma (K1) and anaplastic thyroid carcinoma (8505C) cell lines in vitro. Orthotopic thyroid cancer mouse models were then established using both K1 and 8505C cells. In vivo fluorescence following topical spraying of PH10 was quantified after sequential washes to assess tumor-to-background ratios. Fluorescence-guided surgery (FGS) was performed to determine whether PH10 could facilitate complete resection of orthotopically grown thyroid tumors. Complete resection was validated by hematoxylin and eosin histology. PH10 demonstrated low cytotoxicity at clinically relevant concentrations in vitro and showed selective uptake into thyroid cancer cells, predominantly via organic anion transporting polypeptide-mediated transport. Topical spraying of PH10 in orthotopic thyroid cancer mouse models established from K1 and 8505C cell lines generated strong tumor-specific fluorescence. Tumor-to-background ratios were significantly higher than background and remained distinguishable after multiple washes. In both models, PH10 enabled visualization of macroscopic residual tumors and detection of microscopic PSMs, with fluorescence patterns closely corresponding to histologic findings. FGS enabled complete tumor resection, as confirmed by fluorescence and histology. In conclusion, topical application of PH10 provides rapid, tumor-specific fluorescence suitable for identifying PSMs and facilitating complete tumor resection by FGS in thyroid cancer. Full article
(This article belongs to the Special Issue Advances in Surgery for Endocrine Cancers)
Show Figures

Figure 1

47 pages, 3196 KB  
Review
Pulmonary Drug Delivery for Infectious Diseases: Cutting-Edge Formulations and Manufacturing Technologies
by Brayan J. Anaya, Emanuel Osorio-Vargas, Samir Monterrosa-Moreno, Diego F. Tirado, Elena González-Burgos and Dolores R. Serrano
Pharmaceutics 2026, 18(2), 242; https://doi.org/10.3390/pharmaceutics18020242 - 14 Feb 2026
Viewed by 1348
Abstract
Pulmonary drug delivery has emerged as a powerful strategy for the treatment of respiratory infectious diseases, including bacterial, fungal, and viral infections such as influenza and COVID-19, by enabling high local drug concentrations while minimizing systemic exposure. However, the clinical success of inhaled [...] Read more.
Pulmonary drug delivery has emerged as a powerful strategy for the treatment of respiratory infectious diseases, including bacterial, fungal, and viral infections such as influenza and COVID-19, by enabling high local drug concentrations while minimizing systemic exposure. However, the clinical success of inhaled anti-infective therapies critically depends on the precise engineering of particle properties that govern lung deposition, cellular targeting, and therapeutic efficacy. In this review, we provide a comprehensive and technology-driven overview of cutting-edge formulation and manufacturing strategies for pulmonary drug delivery, with particular emphasis on the key process and formulation parameters required to generate effective inhalable systems for the treatment of infectious diseases. Advanced particle-engineering approaches, including spray drying, spray freeze drying, jet milling, and supercritical fluid technologies are discussed as enabling tools to tightly control aerodynamic particle size, morphology, and solid-state properties. In parallel, emerging platforms such as nanoparticle-based delivery systems are examined for their ability to target specific lung cell populations, including epithelial cells and alveolar macrophages, thereby enhancing antimicrobial efficacy. Finally, innovative manufacturing concepts such as microfluidics and three-dimensional (3D) printing are highlighted as promising strategies to improve particle size uniformity, reproducibility, and formulation customization. By integrating formulation science with advanced manufacturing technologies, this review identifies the critical design and processing parameters that underpin effective pulmonary delivery of anti-infective therapies and outlines future directions for the development of next-generation inhaled treatments. Full article
(This article belongs to the Special Issue Inhaled Advances: Emerging Trends in Pulmonary Drug Delivery)
Show Figures

Figure 1

18 pages, 3603 KB  
Article
Azelaic Acid-Mediated Resistance in Rice Against Infection by Bipolaris oryzae
by Geovane Souza Gudin, Leandro Castro Silva, Bárbara Bezerra Menezes Picanço, Aline Vieira Barros, Verônica Vieira Brás and Fabrício Ávila Rodrigues
Plants 2026, 15(4), 567; https://doi.org/10.3390/plants15040567 - 11 Feb 2026
Viewed by 453
Abstract
Brown spot, caused by the fungus Bipolaris oryzae, has led to significant yield losses in rice production worldwide. This study hypothesized that azelaic acid (AzA) could reduce brown spot symptoms in rice leaves by potentiating biochemical defense reactions. A 2 × 2 [...] Read more.
Brown spot, caused by the fungus Bipolaris oryzae, has led to significant yield losses in rice production worldwide. This study hypothesized that azelaic acid (AzA) could reduce brown spot symptoms in rice leaves by potentiating biochemical defense reactions. A 2 × 2 factorial experiment was arranged in a completely randomized design with five replications per sampling time. The factors studied were plants sprayed with water (control) or AzA (10 mM; 7.5 mL per plant), either non-inoculated or inoculated with B. oryzae. In the in vitro assay, conidia exposed to AzA solutions at rates of 2.5, 5, 7.5, and 10 mM and to the fungicide solution did not form germ tubes compared to those in the control (water) treatment. The area of fungal colonies on oat–agar medium was reduced for the fungicide and AzA (rates increasing from 2.5 to 10 mM) treatments compared to the control (water) treatment. The EC50 value was 3.8 mM AzA. Brown spot severity significantly decreased by 57, 48, 52, and 58% at 36, 60, 84, and 108 h after inoculation (hai) for AzA-sprayed plants compared to water-sprayed ones. The area under brown spot progress curve significantly decreased by 53% for AzA-sprayed plants compared to water-sprayed ones. Greatest activities of defense-related enzymes (chitinase at 108 hai, β-1,3-glucanase at 60 hai, phenylalanine ammonia-lyase at 60 and 108 hai, and lipoxygenase at 84 and 108 hai), a higher concentration of lignin at 84 and 108 hai, and a more robust antioxidative metabolism (higher activities of ascorbate peroxidase at 36 hai, catalase at 84 and 108 hai, and superoxide dismutase at 84 hai) were obtained for AzA-sprayed infected plants. The higher concentration of the superoxide anion radical in AzA-sprayed infected leaves helped to intensify the cell defense reactions against fungal infection and had a fungistatic effect against its hyphae and conidia germination. The findings of this study provide valuable insights into using AzA to potentiate foliar defense reactions in rice plants to hamper the infection by B. oryzae. Full article
(This article belongs to the Section Plant Protection and Biotic Interactions)
Show Figures

Figure 1

Back to TopTop