Sign in to use this feature.

Years

Between: -

Subjects

remove_circle_outline
remove_circle_outline
remove_circle_outline
remove_circle_outline
remove_circle_outline
remove_circle_outline
remove_circle_outline
remove_circle_outline
remove_circle_outline

Journals

remove_circle_outline
remove_circle_outline
remove_circle_outline
remove_circle_outline
remove_circle_outline
remove_circle_outline
remove_circle_outline
remove_circle_outline

Article Types

Countries / Regions

remove_circle_outline
remove_circle_outline
remove_circle_outline
remove_circle_outline
remove_circle_outline
remove_circle_outline

Search Results (575)

Search Parameters:
Keywords = cartilage therapy

Order results
Result details
Results per page
Select all
Export citation of selected articles as:
14 pages, 2442 KB  
Article
Clinical Salvage Approaches for Surgical Site Infection After Autologous Microtia Reconstruction
by Kap Sung Oh, Wonseok Cho, Junekyu Kim and Kyu Nam Kim
J. Clin. Med. 2026, 15(3), 1064; https://doi.org/10.3390/jcm15031064 - 29 Jan 2026
Viewed by 94
Abstract
Background/Objectives: Surgical site infection (SSI) after autologous rib cartilage microtia reconstruction is an uncommon but potentially devastating complication, as infection of the avascular cartilage framework can rapidly lead to partial or complete framework loss. Traditional management often favored aggressive debridement or framework [...] Read more.
Background/Objectives: Surgical site infection (SSI) after autologous rib cartilage microtia reconstruction is an uncommon but potentially devastating complication, as infection of the avascular cartilage framework can rapidly lead to partial or complete framework loss. Traditional management often favored aggressive debridement or framework removal, resulting in significant deformity. This study aimed to evaluate salvage-oriented management strategies and to propose a structured treatment algorithm for SSI following microtia reconstruction. Methods: A retrospective case series was conducted of patients who developed SSI after autologous rib cartilage microtia reconstruction between March 2021 and November 2025. SSI was defined by clinical and surveillance criteria requiring intervention beyond routine postoperative care. Nine patients were included. Management strategies were analyzed with respect to infection control, framework preservation, and wound healing outcomes. Results: SSI occurred at variable time points, ranging from early postoperative infection to delayed and late-onset presentations. Identified pathogens included Gram-positive cocci and multidrug-resistant Gram-negative organisms. Negative-pressure wound therapy (NPWT) was applied in all cases with wound dehiscence, persistent drainage, or cartilage exposure. Conservative staged debridement was performed only after clear demarcation of nonviable tissue. Overall auricular framework preservation was achieved in 100% of patients, with no cases requiring complete framework removal, although limited cartilage loss occurred in select cases. These outcomes demonstrate the clinical feasibility and effectiveness of salvage-oriented management across heterogeneous infection scenarios. Conclusions: SSI following autologous microtia reconstruction can be effectively salvaged without routine framework removal through a structured, timing-based algorithm emphasizing early culture-guided antimicrobial therapy, NPWT, and conservative staged intervention. This salvage-oriented approach provides a clinically relevant and reproducible framework for preserving auricular structure while minimizing morbidity, even in infections involving multidrug-resistant organisms. Full article
Show Figures

Figure 1

23 pages, 1644 KB  
Review
Joint Acidosis and GPR68 Signaling in Osteoarthritis: Implications for Cartilage Gene Regulation
by Colette Hyde, Adam Yung, Ryan Taffe, Bhakti Patel and Nazir M. Khan
Genes 2026, 17(1), 109; https://doi.org/10.3390/genes17010109 - 20 Jan 2026
Viewed by 163
Abstract
Joint acidosis is increasingly recognized as an important determinant of cellular behavior in osteoarthritis (OA). Declines in extracellular pH (pHe) occur across cartilage, meniscus, synovium, and subchondral bone, where they influence inflammation, matrix turnover, and pain. Among proton-sensing G protein-coupled receptors, GPR68 responds [...] Read more.
Joint acidosis is increasingly recognized as an important determinant of cellular behavior in osteoarthritis (OA). Declines in extracellular pH (pHe) occur across cartilage, meniscus, synovium, and subchondral bone, where they influence inflammation, matrix turnover, and pain. Among proton-sensing G protein-coupled receptors, GPR68 responds to the acidic pH range characteristic of human OA joints. The receptor is activated between pH 6.8 and 7.0, couples to Gq/PLC-MAPK, cAMP-CREB, G12/13-RhoA-ROCK signaling pathways, and is expressed most prominently in articular cartilage, with additional expression reported in synovium, bone, vasculature, and some neuronal populations. These pathways regulate transcriptional programs relevant to cartilage stress responses, inflammation, and matrix turnover. GPR68 expression is increased in human OA cartilage and aligns with regions of active matrix turnover. We previously reported that pharmacologic activation of GPR68 suppresses IL1β-induced MMP13 expression in human chondrocytes under acidic conditions, indicating that increased GPR68 expression may represent a microenvironment-responsive, potentially adaptive signaling response rather than a driver of cartilage degeneration. Evidence from intestinal, stromal, and vascular models demonstrates that GPR68 integrates pH changes with inflammatory and mechanical cues, providing mechanistic context, although these effects have not been directly established in most joint tissues. Small-molecule modulators, including the positive allosteric agonist Ogerin and the inhibitor Ogremorphin, illustrate the tractability of GPR68 as a drug target, although no GPR68-directed therapies have yet been evaluated in preclinical models of OA. Collectively, current data support GPR68 as a functionally relevant proton sensor within the acidic OA joint microenvironment. Full article
(This article belongs to the Section Human Genomics and Genetic Diseases)
Show Figures

Figure 1

22 pages, 16881 KB  
Article
Venom-Derived Proteins from Lonomia obliqua Modulate Cytoskeletal Regulators and Inflammatory Responses in Human Chondrocytes
by Miryam Paola Alvarez-Flores, Amanda Teixeira de Melo, Renata Nascimento Gomes, Thatiana Corrêa de Melo, Douglas Souza Oliveira, Marcelo Medina de Souza, Carlos DeOcesano-Pereira, Mauricio Barbugiani Goldfeder, Fernanda Faria and Ana Marisa Chudzinski-Tavassi
Int. J. Mol. Sci. 2026, 27(2), 934; https://doi.org/10.3390/ijms27020934 - 17 Jan 2026
Viewed by 136
Abstract
Osteoarthritis (OA) is a degenerative joint disease characterized by progressive cartilage loss, extracellular matrix degradation, chondrocyte apoptosis, and elevated inflammatory mediators. Chondrocytes respond to IL-1β and other inflammatory signals by secreting cytokines and activating transcriptional pathways that perpetuate inflammation. Because current therapies do [...] Read more.
Osteoarthritis (OA) is a degenerative joint disease characterized by progressive cartilage loss, extracellular matrix degradation, chondrocyte apoptosis, and elevated inflammatory mediators. Chondrocytes respond to IL-1β and other inflammatory signals by secreting cytokines and activating transcriptional pathways that perpetuate inflammation. Because current therapies do not prevent OA progression, bioactive compounds with cytoprotective and immunomodulatory activity are of considerable interest. Lonomia obliqua bristle extract (LOCBE) and its recombinant proteins rLOPAP and rLOSAC exhibit cytoprotective, proliferative, and antioxidant effects in mammalian cells, as well as the ability to influence cytoskeletal dynamics. Given the importance of Rac-1, RhoA, Rab9, and β-catenin in chondrocyte function and cartilage homeostasis, we evaluated LOCBE, rLOPAP, and rLOSAC in human chondrocytes stimulated or not with IL-1β. LOCBE and rLOPAP induced IL-6 and IL-8 secretion, although at lower levels than IL-1β. LOCBE exerts a cytoprotective effect in IL-1β-treated chondrocytes and reduces β-catenin, RhoA, and Rab9 expression without affecting NF-κB p65 translocation. rLOPAP increased mitochondrial activity, cytokine secretion, Rab9 expression, and membrane-associated β-catenin, and under inflammatory conditions, enhanced Rac-1 levels. In contrast, rLOSAC did not induce inflammatory cytokines and decreased RhoA and Rac-1 expression while increasing membrane-associated β-catenin. These findings suggest that L. obliqua extract and its derived-proteins rLOPAP and rLOSAC modulate cytoskeletal regulatory pathways and inflammatory responses in chondrocytes, supporting their potential as therapeutic leads for targeting mechanisms relevant to OA progression. Full article
Show Figures

Figure 1

17 pages, 829 KB  
Review
Spatiotemporal Regulation and Lineage Specification in Embryonic Endochondral Ossification
by Sixun Wu, Keita Kondo and Yuki Matsushita
Int. J. Mol. Sci. 2026, 27(2), 926; https://doi.org/10.3390/ijms27020926 - 16 Jan 2026
Viewed by 213
Abstract
Long bone formation in vertebrates proceeds via endochondral ossification, a sequential process that begins with mesenchymal condensation, advances through cartilage anlage formation, and culminates in its replacement by mineralized bone. Recent advances in inducible lineage tracing and single-cell genomics have revealed that, rather [...] Read more.
Long bone formation in vertebrates proceeds via endochondral ossification, a sequential process that begins with mesenchymal condensation, advances through cartilage anlage formation, and culminates in its replacement by mineralized bone. Recent advances in inducible lineage tracing and single-cell genomics have revealed that, rather than being a uniform event, mesenchymal condensation rapidly segregates into progenitor pools with distinct fates. Centrally located Sox9+/Fgfr3+ chondroprogenitors expand into the growth plate and metaphyseal stroma, peripheral Hes1+ boundary cells refine condensation via asymmetric division, and outer-layer Dlx5+ perichondrial cells generate the bone collar and cortical bone. Concurrently, dorsoventral polarity established by Wnt7a–Lmx1b and En1 ensures that dorsal progenitors retain positional identity throughout development. These lineage divergences integrate with signaling networks, including the Ihh–PTHrP, FGF, BMPs, and WNT/β-catenin networks, which impose temporal control over chondrocyte proliferation, hypertrophy, and vascular invasion. Perturbations in these programs, exemplified by mutations in Fgfr3, Sox9, and Dlx5, underlie region-specific skeletal dysplasias, such as achondroplasia, campomelic dysplasia, and split-hand/foot malformation, demonstrating the lasting impacts of embryonic patterning errors. Based on these insights, regenerative strategies are increasingly drawing upon developmental principles, with organoid cultures recapitulating ossification centers, biomimetic hydrogels engineered for spatiotemporal morphogen delivery, and stem cell- or exosome-based therapies harnessing developmental microRNA networks. By bridging developmental biology with biomaterials science, these approaches provide both a roadmap to unravel skeletal disorders and a blueprint for next-generation therapies to reconstruct functional bones with the precision of the embryonic blueprint. Full article
Show Figures

Figure 1

28 pages, 3174 KB  
Review
Advanced Biomaterial-Based In Vitro Osteoarthritis Models: Integrating Sex as a Biological Variable in Hormonal, Subchondral Bone, and Mechanobiological Pathways
by Elisa Capuana, Angela De Luca, Viviana Costa, Lavinia Raimondi, Daniele Bellavia, Valerio Brucato, Gianluca Giavaresi and Vincenzo La Carrubba
J. Funct. Biomater. 2026, 17(1), 35; https://doi.org/10.3390/jfb17010035 - 10 Jan 2026
Viewed by 440
Abstract
Osteoarthritis (OA) is the most common form of arthritis and represents a major clinical and socioeconomic burden. Epidemiological data consistently show that OA affects women more frequently and, in several joints, more severely than men. Nevertheless, current in vitro models rarely consider sex-specific [...] Read more.
Osteoarthritis (OA) is the most common form of arthritis and represents a major clinical and socioeconomic burden. Epidemiological data consistently show that OA affects women more frequently and, in several joints, more severely than men. Nevertheless, current in vitro models rarely consider sex-specific variables, limiting their ability to capture the biological mechanisms that shape the pathogenesis and progression of OA. Increasing evidence indicates that age-related hormonal fluctuations and subchondral bone remodeling strongly influence OA evolution, and that these processes differ between the sexes. For instance, the decline in estrogen levels during menopause has been associated with accelerated cartilage degeneration, increased osteoclastic activity, and a higher susceptibility to subchondral bone alterations, which may contribute to more aggressive clinical manifestations in women. These mechanisms are only partially reproduced in widely used experimental systems, including traditional biomaterial scaffolds and simplified osteochondral constructs, leaving important sex-dependent pathways unresolved. While advanced biomaterials enable precise control of stiffness, porosity, and biochemical cues, most current in vitro OA models still rely on sex-neutral design assumptions, limiting their ability to reproduce the divergent disease trajectories observed in men and women. By integrating material properties with dynamic loading and tunable hormonal conditions, next-generation in vitro systems could improve mechanistic understanding, increase the reliability of drug screening, and better support the development of sex-specific therapies through the combined efforts of bioengineering, materials science, cell biology, and translational medicine. Full article
(This article belongs to the Special Issue Advanced Biomaterials for Bone Tissue Engineering)
Show Figures

Figure 1

15 pages, 1570 KB  
Article
NOTUM Enhances Cartilage Repair via Wnt/β-Catenin Modulation in a Rabbit Osteochondral Defect Model
by María López-Ramos, Gabriel Ciller, Cruz Rodríguez-Bobada, Patricia Quesada, Irene González-Guede, Ulises Gómez-Pinedo, Lydia Abasolo, Fernando Marco and Benjamín Fernández-Gutiérrez
Int. J. Mol. Sci. 2026, 27(2), 647; https://doi.org/10.3390/ijms27020647 - 8 Jan 2026
Viewed by 240
Abstract
Osteoarthritis (OA) is the most common multifactorial joint disease characterized by progressive cartilage degradation and impaired tissue repair. Osteochondral defects represent a major clinical challenge within OA, as damage to cartilage and underlying bone can initiate degenerative changes and contribute to joint deterioration. [...] Read more.
Osteoarthritis (OA) is the most common multifactorial joint disease characterized by progressive cartilage degradation and impaired tissue repair. Osteochondral defects represent a major clinical challenge within OA, as damage to cartilage and underlying bone can initiate degenerative changes and contribute to joint deterioration. The Wnt/β-catenin signaling pathway plays an important role in OA pathogenesis, and its dysregulation contributes to chondrocyte catabolism and cartilage loss. NOTUM, an extracellular Wnt inhibitor, has emerged as a potential therapeutic modulator capable of restoring signaling balance and promoting cartilage homeostasis. This study aimed to evaluate the efficacy of NOTUM compared with hyaluronic acid (HA), human adipose-derived mesenchymal stromal cells (hAd-MSCs), and Colchicine in a rabbit osteochondral defect model relevant to osteoarthritis. Twenty-seven New Zealand White rabbits underwent standardized femoral condyle injury and received single-dose treatments. Serum levels of cartilage biomarkers—Procollagen Type IIA N-terminal Propeptide (PIIANP) and Cartilage Oligomeric Matrix Protein (COMP)—were measured by ELISA at 4, 6, and 8 weeks post-surgery, and histological repair at week 12 was assessed using the modified O’Driscoll scoring system. NOTUM treatment significantly increased PIIANP and decreased COMP levels compared with HA, indicating enhanced cartilage synthesis and reduced degradation. Histological scores confirmed superior surface morphology and tissue composition in NOTUM-treated joints. These findings suggest that NOTUM performs a protective and regenerative effect through Wnt/β-catenin modulation, supporting the conclusion that it enhances osteochondral defect repair and motivating further studies of NOTUM as an OA therapy. Full article
(This article belongs to the Section Molecular Pathology, Diagnostics, and Therapeutics)
Show Figures

Figure 1

30 pages, 1561 KB  
Review
Molecular Mechanisms of Chondrocyte Hypertrophy Mediated by Physical Cues and Therapeutic Strategies in Osteoarthritis
by Guang-Zhen Jin
Int. J. Mol. Sci. 2026, 27(2), 624; https://doi.org/10.3390/ijms27020624 - 8 Jan 2026
Viewed by 529
Abstract
Osteoarthritis (OA) is a multifactorial degenerative joint disease in which aberrant mechanical cues act in concert with metabolic dysregulation and chronic low-grade inflammation, with chondrocyte hypertrophy representing a key pathological event driving cartilage degeneration. Alterations in extracellular matrix (ECM) properties—including mechanical loading, stiffness [...] Read more.
Osteoarthritis (OA) is a multifactorial degenerative joint disease in which aberrant mechanical cues act in concert with metabolic dysregulation and chronic low-grade inflammation, with chondrocyte hypertrophy representing a key pathological event driving cartilage degeneration. Alterations in extracellular matrix (ECM) properties—including mechanical loading, stiffness and viscoelasticity, topological organization, and surface chemistry—regulate hypertrophic differentiation and matrix degradation in a zone-, stage-, and scale-dependent manner. Microscale measurements often reveal localized stiffening in superficial zones during early OA, whereas bulk tissue testing can show softening or heterogeneous changes in deeper zones or advanced stages, highlighting the context-dependent nature of ECM mechanics. These biophysical signals are sensed by integrin-based adhesion complexes, primary cilia, mechanosensitive ion channels (TRP/Piezo), and the actin cytoskeleton–nucleus continuum, and are transduced into intracellular pathways with zone- and stage-specific effects, governing chondrocyte fate under physiological and osteoarthritic conditions. Mechanism-based anti-hypertrophic strategies include biomimetic scaffold design for focal defects, dynamic mechanical stimulation targeting early OA, and multimodal approaches integrating mechanical cues with biochemical factors, gene modulation, drug delivery, or cell-based therapies. Collectively, this review provides an integrated mechanobiological framework for understanding cartilage degeneration and highlights emerging opportunities for disease-modifying interventions targeting chondrocyte hypertrophy. Full article
(This article belongs to the Special Issue Molecular Mechanisms and Therapeutic Approaches to Osteoarthritis)
Show Figures

Figure 1

17 pages, 2302 KB  
Article
Engineered GO-Based Hydrogels for Controlled Hyaluronic Acid Release in Knee Osteoarthritis Treatment
by Roya Binaymotlagh, Damiano Petrilli, Laura Chronopoulou, Giorgio Mandato, Francesca Sciandra, Andrea Brancaccio, Marisa Colone, Annarita Stringaro, Leonardo Giaccari, Francesco Amato, Andrea Giacomo Marrani, Silvia Franco, Roberta Angelini and Cleofe Palocci
Polymers 2026, 18(2), 152; https://doi.org/10.3390/polym18020152 - 6 Jan 2026
Viewed by 401
Abstract
Osteoarthritis (OA) is a prevalent chronic pain syndrome and a leading cause of disability worldwide, characterized by progressive deterioration of articular cartilage. This degradation leads to pain, swelling, inflammation, and eventual stiffness as the cartilage wears down, causing bone-on-bone friction. Current medical treatments [...] Read more.
Osteoarthritis (OA) is a prevalent chronic pain syndrome and a leading cause of disability worldwide, characterized by progressive deterioration of articular cartilage. This degradation leads to pain, swelling, inflammation, and eventual stiffness as the cartilage wears down, causing bone-on-bone friction. Current medical treatments primarily aim at pain relief; however, many interventions, especially invasive or surgical ones, carry risks of adverse outcomes. Consequently, intra-articular (IA) therapy, particularly hyaluronic acid (HA) injections, is widely adopted as a conservative treatment option. HA plays a crucial role in maintaining joint homeostasis by supporting proteoglycan synthesis and scaffolding, restoring optimal HA concentrations in synovial fluid, and providing chondroprotective and anti-inflammatory effects. In recent years, hydrogels composed of natural and synthetic materials have emerged as promising candidates for OA treatment. Our research focuses on the biosynthesis and characterization of novel hydrogel composites combining short peptide hydrogelators with aminated graphene oxide (a-GO) nanosheets functionalized with HA (a-GO-HA@Hgel). These a-GO-HA@Hgel nanocomposites are designed to facilitate the controlled release of HA into the extracellular matrix, aiming to promote cartilage regeneration and mitigate inflammation. The strategy is to exploit the oxygen-containing functional groups of GO nanosheets to enable covalent coupling or physical adsorption of HA molecules through various chemical approaches. The resulting a-GO-HA are incorporated within hydrogel matrices to achieve sustained and controlled HA release. We study the influence of a-GO-HA on the native hydrogel structure and its viscoelastic properties, which are critical for mimicking the mechanical environment of native cartilage tissue. Through this multidisciplinary approach combining advanced materials science and cellular biology, this work aims to develop innovative nanocomposite hydrogels capable of delivering HA in a controlled manner, enhancing cartilage repair and providing a potential therapeutic strategy for OA management. Full article
(This article belongs to the Special Issue Advances in Polymer Hydrogels for Biomedical Applications)
Show Figures

Figure 1

24 pages, 1513 KB  
Article
A Biophysical Framework for High-Intensity Laser Therapy Based on Photoacoustic Pressure Thresholds
by Damiano Fortuna, Fabrizio Margheri, Scott Parker and Francesca Rossi
Appl. Sci. 2026, 16(1), 487; https://doi.org/10.3390/app16010487 - 3 Jan 2026
Viewed by 316
Abstract
High-Intensity Laser Therapy (HILT) represents a mechanistic subset of High-Power Laser Therapy (HPLT), distinguished by the addition of a photoacoustic component to established photochemical and photothermal effects. High-peak (kW), short-pulse emission generates pressure waves exceeding 10 kPa in water (27 °C) and approximately [...] Read more.
High-Intensity Laser Therapy (HILT) represents a mechanistic subset of High-Power Laser Therapy (HPLT), distinguished by the addition of a photoacoustic component to established photochemical and photothermal effects. High-peak (kW), short-pulse emission generates pressure waves exceeding 10 kPa in water (27 °C) and approximately 100 kPa in vivo, levels that are compatible with the activation of mechanotransductive processes relevant to cellular differentiation. These pressure waves propagate several centimeters into biological tissues, extending beyond the optical penetration depth of light. We introduce Pulse Energy Dose (PED), a physically grounded and clinically oriented dose metric, to determine whether a laser system meets the photoacoustic threshold while remaining within the thermoelastic regime. Only systems combining kilowatt-range peak power, microsecond pulses, high pulse energy, and very low duty cycles (<1%) consistently induce pressure waves within the therapeutic thermoelastic regime. PED was validated against the Margheri equation, showing a strong linear correlation with calculated pressure wave amplitude (Pearson r > 0.9, p < 0.0001). Based on these results, we define operational bounds that identify high-power laser systems capable of producing reproducible photoacoustic effects within thermoelastic conditions. This framework shifts classification from average power to mechanism of action, providing guidance for safe parameter selection and supporting a mechanism-based clinical use of high-power lasers, particularly in musculoskeletal disorders, cartilage regeneration, bone healing, and deep-tissue repair. Full article
Show Figures

Figure 1

24 pages, 13529 KB  
Article
Intra-Articular N-Acetylcysteine Reduces Synovitis Without Preventing Cartilage Degeneration in Experimental Osteoarthritis
by Mustafa Dinç, Hünkar Çağdaş Bayrak, Recep Karasu, Bilal Aykaç, Ömer Cevdet Soydemir and Aysun Saricetin
Biomedicines 2026, 14(1), 86; https://doi.org/10.3390/biomedicines14010086 - 31 Dec 2025
Viewed by 569
Abstract
Background/Objectives: Osteoarthritis (OA) is a multifactorial degenerative joint disease characterized by synovial inflammation, oxidative stress, and progressive cartilage degeneration. This study investigated whether intra-articular N-acetylcysteine (NAC) attenuates synovial inflammation and oxidative stress and whether these effects translate into structural cartilage protection. Methods [...] Read more.
Background/Objectives: Osteoarthritis (OA) is a multifactorial degenerative joint disease characterized by synovial inflammation, oxidative stress, and progressive cartilage degeneration. This study investigated whether intra-articular N-acetylcysteine (NAC) attenuates synovial inflammation and oxidative stress and whether these effects translate into structural cartilage protection. Methods: OA was induced in rats by anterior cruciate ligament transection (ACLT). NAC (5 mg/50 µL) was administered intra-articularly once weekly for three weeks post-ACLT. Inflammatory cytokines (IL-1β, IL-6, TNF-α), oxidative stress markers (iNOS, TAS, TOS, OSI), and cartilage degradation markers (MMP-13, COMP, CTX-II) were quantified in synovial fluid and cartilage homogenates using ELISA. Cartilage integrity was evaluated histologically using the modified Mankin scoring system. Results: Compared with controls, NAC significantly reduced synovial IL-1β, IL-6, TNF-α, MMP-13, and iNOS levels and improved the synovial redox profile by increasing TAS and reducing TOS and OSI (all p < 0.05). In contrast, NAC did not significantly alter cartilage homogenate levels of inflammatory cytokines, oxidative stress indices, or degradation markers (COMP, CTX-II, MMP-13). Histological analysis demonstrated persistent cartilage fissuring, hypocellularity, and proteoglycan loss in both groups (p > 0.05). Conclusions: Intra-articular NAC exerts potent anti-inflammatory and antioxidative effects within the synovial compartment but fails to prevent cartilage degeneration in the ACLT model. These findings indicate a compartment-specific therapeutic profile, suggesting that NAC may function as a symptom-modifying agent in synovitis-dominant OA rather than a structure-modifying therapy. Future studies should focus on optimized delivery systems or combination strategies targeting cartilage and subchondral bone to achieve disease modification. Full article
(This article belongs to the Section Cell Biology and Pathology)
Show Figures

Figure 1

23 pages, 12932 KB  
Article
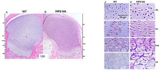
Collagen Type II-Targeting Lentiviral Gene Therapy for Mucopolysaccharidosis IVA
by Betul Celik, Sampurna Saikia, Shaukat Khan, Krishna Sai Musini and Shunji Tomatsu
Curr. Issues Mol. Biol. 2026, 48(1), 42; https://doi.org/10.3390/cimb48010042 - 27 Dec 2025
Viewed by 475
Abstract
Mucopolysaccharidosis (MPS IVA) is caused by pathogenic variations in the GALNS gene, leading to the accumulation of glycosaminoglycans in tissues and causing progressive skeletal lesions. While conventional lentiviral vectors (LVs) provide long-term stable expression, they do not deliver therapeutic levels to bone and [...] Read more.
Mucopolysaccharidosis (MPS IVA) is caused by pathogenic variations in the GALNS gene, leading to the accumulation of glycosaminoglycans in tissues and causing progressive skeletal lesions. While conventional lentiviral vectors (LVs) provide long-term stable expression, they do not deliver therapeutic levels to bone and cartilage. We hypothesized that engineering the LV envelope with a collagen type II-targeting peptide (WYRGRL) increases the binding affinity of the LVs for bone and cartilage. These modified vectors carrying the CBh and COL2A1 promoters delivered the GALNS gene to MPS IVA newborn mice via intravenous (IV) or intraarticular (IA) administration. The peptide-modified LVs exhibited markedly increased uptake in the liver when administered IV, but lower enzyme activity than that of the conventional vector. The modified WYRGRL-LV-COL2A1 vector elevated GALNS activity in other tissues, suggesting systemic benefits. When administered IA, the modified vectors showed potential for local treatment due to the WYRGRL peptide-mediated uptake. Additionally, there was a reduction in keratan sulfate glycosaminoglycan levels in plasma and tissues, indicating that this peptide can be a suitable candidate for disease modification. These findings pave the way for further preclinical and clinical studies, offering new possibilities for the development of targeted therapies for skeletal diseases. Full article
(This article belongs to the Special Issue Feature Papers in Molecular Medicine 2025)
Show Figures

Figure 1

18 pages, 2865 KB  
Article
A Novel Thermosensitive Curcumin-Loaded Hydrogel That Modulates Macrophage M1/M2 Polarization for Osteoarthritis Therapy
by Yuanyuan Zhou, Shengsheng Li, Zitong Huang, Zhongjia Yu, Hang Liu, Wanshan Wu, Qiao Xu, Keyun Chen and Jun Huang
Gels 2026, 12(1), 7; https://doi.org/10.3390/gels12010007 - 21 Dec 2025
Viewed by 496
Abstract
Osteoarthritis (OA) is a degenerative joint disease characterized by cartilage degradation, inflammation, and pain, for which conventional systemic therapies often lack sustained efficacy. Therefore, localized delivery platforms that provide both sustained release and therapeutic activity are urgently needed. We developed a thermosensitive injectable [...] Read more.
Osteoarthritis (OA) is a degenerative joint disease characterized by cartilage degradation, inflammation, and pain, for which conventional systemic therapies often lack sustained efficacy. Therefore, localized delivery platforms that provide both sustained release and therapeutic activity are urgently needed. We developed a thermosensitive injectable hydrogel—hydroxybutyl chitosan (HBC)—that transitions from a sol to a gel at physiological temperature (37 °C). Curcumin, a natural anti-inflammatory compound with poor bioavailability, was loaded to create a composite hydrogel system (Cur@HBC). HBC exhibited excellent injectability, stability, and biocompatibility. Cur@HBC enabled sustained release of curcumin and significantly attenuated OA progression in vivo, as evidenced by reduced cartilage degradation, decreased expression of MMP13 and pro-inflammatory cytokines (IL-1β, IL-6, TNF-α), improved Collagen II retention, and recovery of cartilage function. Mechanistically, curcumin inhibited chondrocyte apoptosis and promoted macrophage polarization toward the M2 phenotype. This study presents a dual-functional hydrogel platform that combines thermosensitive mechanical support with sustained anti-inflammatory drug delivery. The injectable Cur@HBC hydrogel shows great promise as a localized OA therapy, with the potential to improve joint function. Full article
(This article belongs to the Special Issue Hydrogel-Based Scaffolds with a Focus on Medical Use (3rd Edition))
Show Figures

Graphical abstract

28 pages, 2665 KB  
Review
Emerging Insights into the Molecular Basis of Osteoarthritis Pathogenesis and Treatment Strategies
by Luke Fracek, Aarushi Patel, Venu Pandit, Md Tamzid Hossain Tanim and Anja Nohe
Appl. Sci. 2026, 16(1), 50; https://doi.org/10.3390/app16010050 - 20 Dec 2025
Viewed by 526
Abstract
Osteoarthritis (OA) is a common and debilitating degenerative joint disease associated with aging and more common among women. OA is a disease that affects many parts of the joint, including cartilage, subchondral bone, and the synovium. Although the exact cause of OA is [...] Read more.
Osteoarthritis (OA) is a common and debilitating degenerative joint disease associated with aging and more common among women. OA is a disease that affects many parts of the joint, including cartilage, subchondral bone, and the synovium. Although the exact cause of OA is still under investigation, major factors include dysregulation of inflammatory cytokines and loss of function of mesenchymal stem cells (MSCs). Unfortunately, current treatments for OA are limited to symptomatic management, including nonsteroidal anti-inflammatory drugs (NSAIDs), intra-articular injections such as hyaluronic acid (or cortisol), physical therapy, and surgical intervention, none of which can affect disease progression or provide permanent solutions. Currently there is no FDA approved treatment that can address the molecular basis of OA, although some promising candidates include bone marrow-derived MSC injection, adipose-derived MSC injection, pulsed electromagnetic field (PEMF), TissueGene-C, and CK2.1. Full article
(This article belongs to the Special Issue Current Techniques for Bone Regeneration)
Show Figures

Figure 1

14 pages, 408 KB  
Review
Green Tea Catechins in Osteoarthritis and Rheumatoid Arthritis: Narrative Review of the Available Literature in the Context of Pathogenesis and Treatment Prospects
by Oliwia Bochniak, Paulina Plewa and Katarzyna Piotrowska
Appl. Sci. 2025, 15(24), 13176; https://doi.org/10.3390/app152413176 - 16 Dec 2025
Viewed by 827
Abstract
Rheumatoid arthritis (RA) and osteoarthritis (OA) are significant global health challenges, fueling the need for innovative therapeutic strategies. Natural polyphenolic compounds, such as green tea catechins, exhibit promising anti-inflammatory, antioxidant, and immunomodulatory properties, making them potential adjuncts to rheumatic disease therapy. This review [...] Read more.
Rheumatoid arthritis (RA) and osteoarthritis (OA) are significant global health challenges, fueling the need for innovative therapeutic strategies. Natural polyphenolic compounds, such as green tea catechins, exhibit promising anti-inflammatory, antioxidant, and immunomodulatory properties, making them potential adjuncts to rheumatic disease therapy. This review examines the effects of catechins, particularly epigallocatechin-3-gallate (EGCG), on key pathophysiological processes associated with RA and OA, such as pro-inflammatory cytokine production, oxidative stress, cartilage degradation, angiogenesis, and immune cell activation and proliferation. This study contains experimental data contained in full-text articles published in open-access indexed journals published only in English. The most important conclusions drawn from the in vitro and in vivo studies available so far, as well as studies on patients, show that green tea catechins modulate pro-inflammatory pathways, reduce the level of pro-inflammatory cytokines and improve the condition of the intercellular matrix in joint tissues, limiting the destruction of joint tissues in animals and patients and reducing pain. Although these studies suggest potential benefits, such as reduced inflammation and improved clinical parameters, the number and scale of studies are insufficient to confirm the clinical efficacy in a broad patient population. Therefore, claims of adjunctive therapy to conventional therapies should be interpreted with caution, and further well-designed and more powerful clinical trials are needed to verify the translation of the promising molecular mechanisms of green tea catechins into clinical practice. Full article
(This article belongs to the Special Issue The Role of Bioactive Natural Products in Health and Disease)
Show Figures

Figure 1

19 pages, 3262 KB  
Article
Functional Assessment of Genetically Modified Infrapatellar Fat Pad Mesenchymal Stem/Stromal Cell-Derived Extracellular Vesicles (EVs): Potential Implications for Inflammation/Pain Reversal in Osteoarthritis
by Kevin Liebmann, Mario Castillo, Stanislava Jergova, Behnaz Rahimi, Lee D. Kaplan, Thomas M. Best, Jacqueline Sagen and Dimitrios Kouroupis
Cells 2025, 14(24), 1952; https://doi.org/10.3390/cells14241952 - 9 Dec 2025
Viewed by 739
Abstract
Osteoarthritis (OA) is a debilitating joint disease affecting over 500 million people globally, characterized by cartilage degradation, chronic pain, and failed tissue repair. Neurogenic inflammation, driven by neuropeptides including Substance P (SP) and calcitonin gene-related peptide (CGRP), plays a key role in the [...] Read more.
Osteoarthritis (OA) is a debilitating joint disease affecting over 500 million people globally, characterized by cartilage degradation, chronic pain, and failed tissue repair. Neurogenic inflammation, driven by neuropeptides including Substance P (SP) and calcitonin gene-related peptide (CGRP), plays a key role in the pathogenesis of OA. This study explores the therapeutic potential of extracellular vesicles (EVs) derived from infrapatellar fat pad mesenchymal stem/stromal cells (IFP-MSCs) transduced with CGRP antagonist CGRP8-37 (aCGRP IFP-MSC EVs). These EVs are enriched in anti-inflammatory miRNAs and proteins, and they express neprilysin (CD10), enabling SP degradation. Herein, several LncRNAs were identified, which have been known to interact with miRNAs that affect the knee joint homeostasis. Specifically, 11 LncRNAs (ZFAS1, EMX2OS, HOTAIRM1, RPS6KA2-AS1, DANCR, LINC-ROR, GACAT1, GNAS-AS1, HAR1A, OIP5-AS1, TERC) interact with miRNAs that promote cell proliferation, prevent apoptosis, and preserve homeostasis. In vitro, aCGRP IFP-MSC EVs downregulated pro-inflammatory markers (TNF, TLR4, MAPK8) in dorsal root ganglia and promoted chondrocyte gene expression consistent with anabolism and matrix remodeling. In vivo, intra-articular EV delivery attenuated pain behaviors, preserved the cartilage structure, restored PRG4+ stem/progenitor cell localization, and trended toward reduced SP levels. Histological analysis confirmed improved collagen organization and reduced matrix degradation. These findings suggest that aCGRP IFP-MSC EVs exert multimodal effects on neuroinflammation, cartilage regeneration, and joint homeostasis. This cell-free, gene-enhanced EV therapy offers a promising disease-modifying strategy for the treatment of OA, with the potential to address both structural changes and chronic pain associated with this disease. Full article
(This article belongs to the Section Stem Cells)
Show Figures

Figure 1

Back to TopTop