Sign in to use this feature.

Years

Between: -

Subjects

remove_circle_outline
remove_circle_outline
remove_circle_outline
remove_circle_outline
remove_circle_outline
remove_circle_outline
remove_circle_outline
remove_circle_outline
remove_circle_outline

Journals

remove_circle_outline
remove_circle_outline
remove_circle_outline
remove_circle_outline
remove_circle_outline
remove_circle_outline
remove_circle_outline
remove_circle_outline
remove_circle_outline
remove_circle_outline
remove_circle_outline
remove_circle_outline
remove_circle_outline
remove_circle_outline
remove_circle_outline
remove_circle_outline

Article Types

Countries / Regions

remove_circle_outline
remove_circle_outline
remove_circle_outline
remove_circle_outline
remove_circle_outline
remove_circle_outline

Search Results (877)

Search Parameters:
Keywords = cardiovascular devices

Order results
Result details
Results per page
Select all
Export citation of selected articles as:
14 pages, 1015 KB  
Article
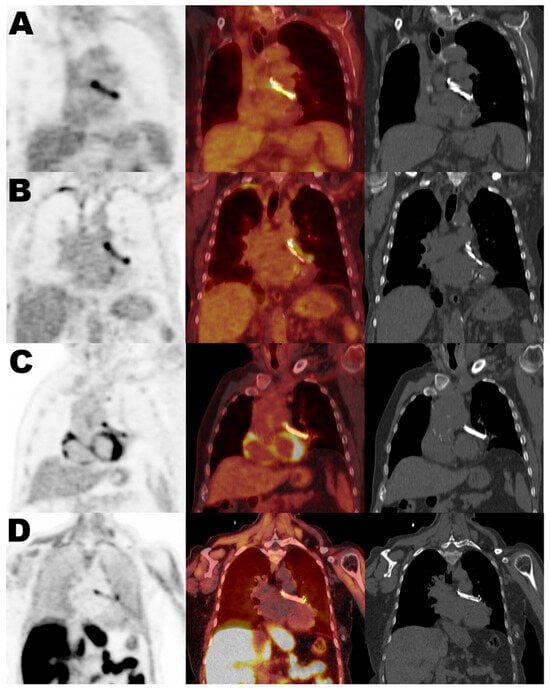
False-Positive PET Uptake in Left Atrial Appendage Closure Devices Due to Postoperative Inflammatory Response
by Marta Hernández-Meneses, Guillermo Cuervo, Marta Tormo-Ratera, Manuel Castellà, Marta Maristany, José María Tolosana, Eduard Quintana, Carlos Falces, Barbara Vidal, Cristina Garcia-de-la-Mària, María-Alexandra Cañas, Jaime Llopis, Asunción Moreno, José María Miró, Andrés Perissinotti, on behalf of the Hospital Clinic Endocarditis Study Group  and Clínic Barcelona Nuclear Medicine Group
Diagnostics 2026, 16(2), 200; https://doi.org/10.3390/diagnostics16020200 - 8 Jan 2026
Abstract
Background: Positron emission tomography (PET) is a valuable tool in the diagnosis of cardiovascular infections. However, increased radiotracer uptake can also be observed in non-infectious inflammatory processes, leading to potential false positives. This study analyzed the uptake related to left atrial appendage closure [...] Read more.
Background: Positron emission tomography (PET) is a valuable tool in the diagnosis of cardiovascular infections. However, increased radiotracer uptake can also be observed in non-infectious inflammatory processes, leading to potential false positives. This study analyzed the uptake related to left atrial appendage closure devices (LAACD—AtriClip®) to determine its association with infectious or inflammatory processes. Methods: We retrospectively analyzed 28 PET/CT scans from 20 patients with implanted LAACDs: 24 using 18F-fluorodeoxyglucose (FDG) and 4 using 18F-Choline (CHO). Clinical, laboratory, and imaging data were reviewed, and PET uptake was measured semi-quantitatively. All patients had at least 12 months of follow-up after PET imaging to assess for evidence of device-related infection. Results: Homogeneous PET uptake in the LAACD was observed in 93% (26/28) of the PET studies, regardless of the radiotracer used, clinical indication, or time since implantation. Clinical follow-up and laboratory findings revealed no signs of infection related to the LAACD in any case. SUV ratios did not differ significantly between the three PET indication groups (infection, neoplasia, or other; p = 0.46), nor between scans performed in patients with and without other confirmed infections unrelated to the LAACD (p = 0.37). Conclusions: FDG and CHO uptake in LAACDs appears to be a consistent and reproducible finding, most likely reflecting a sterile inflammatory response postoperative inflammatory uptake rather than true infection. Clear recognition of this uptake pattern is important to prevent misinterpretation and reduce the risk of false-positive PET/CT results in patients evaluated for suspected cardiovascular infections. Full article
(This article belongs to the Special Issue Infective Endocarditis in Cardiac Prosthesis and Devices)
Show Figures

Figure 1

18 pages, 2644 KB  
Article
Microfluidic Chamber Design for Organ-on-a-Chip: A Computational Fluid Dynamics Study of Pillar Geometry and Pulsatile Perfusion
by Andi Liao, Jiwen Xiong, Zhirong Tong, Lin Zhou and Jinlong Liu
Biosensors 2026, 16(1), 49; https://doi.org/10.3390/bios16010049 - 8 Jan 2026
Abstract
Organ-on-a-Chip (OOC) platforms are microfluidic systems that recreate key features of human organ physiology in vitro via controlled perfusion. Fluid mechanical stimuli strongly influence cell morphology and function, making this important for cardiovascular OOC applications exposed to pulsatile blood flow. However, many existing [...] Read more.
Organ-on-a-Chip (OOC) platforms are microfluidic systems that recreate key features of human organ physiology in vitro via controlled perfusion. Fluid mechanical stimuli strongly influence cell morphology and function, making this important for cardiovascular OOC applications exposed to pulsatile blood flow. However, many existing OOC devices employ relatively simple chamber geometries and steady inflow assumptions, which may cause non-uniform shear exposure to cells, create stagnant regions with prolonged residence time, and overlook the specific effects of pulsatile perfusion. Here, we used computational fluid dynamics (CFD) to investigate how chamber geometry and inflow conditions shape the near-wall flow environment on a cell culture surface at a matched cycle-averaged volumetric flow rate. Numerical results demonstrated that pillarized chambers markedly reduced relative residence time (RRT) versus the flat chamber, and the small pillar configuration produced the most uniform time-averaged wall shear stress (TAWSS) distribution among the tested designs. Phase-resolved analysis further showed that wall shear stress varies with waveform phase, indicating that steady inflow may not capture features of pulsatile perfusion. These findings provide practical guidance for pillar geometries and perfusion conditions to create more controlled and physiologically relevant microenvironments in OOC platforms, thus improving the reliability of cell experimental readouts. Full article
(This article belongs to the Special Issue Microfluidics for Biomedical Applications (3rd Edition))
Show Figures

Figure 1

19 pages, 1753 KB  
Article
Multimodal Physiological Monitoring Using Novel Wearable Sensors: A Pilot Study on Nocturnal Glucose Dynamics and Meal-Related Cardiovascular Responses
by Emi Yuda, Yutaka Yoshida, Hiroyuki Edamatsu and Junichiro Hayano
Bioengineering 2026, 13(1), 69; https://doi.org/10.3390/bioengineering13010069 - 8 Jan 2026
Abstract
This pilot study investigated multimodal physiological monitoring using minimally invasive and wearable sensors across two experimental settings. Experiment 1 involved five healthy adults (1 female) who simultaneously wore an interstitial fluid glucose (ISFG) sensor and a ring-type wearable device during sleep (00:00–06:00). Time-series [...] Read more.
This pilot study investigated multimodal physiological monitoring using minimally invasive and wearable sensors across two experimental settings. Experiment 1 involved five healthy adults (1 female) who simultaneously wore an interstitial fluid glucose (ISFG) sensor and a ring-type wearable device during sleep (00:00–06:00). Time-series analyses revealed that ISFG levels decreased during sleep in four of the five participants. ISFG values were significantly lower in the latter half of the sleep period compared with the first half (0–3 h vs. 3–6 h, p = 0.01, d = 2.056). Four participants also exhibited a mild reduction in SpO2 between 03:00–04:00. These results suggest that nocturnal ISFG decline may be associated with subtle oxygen-saturation dynamics. Experiment 2 examined whether wearable sensors can detect physiological changes across meal-related phases. Nine male participants were monitored for heart rate (HR) and skin temperature during three periods: pre-meal (Phase 1: 09:00–09:30), during meal consumption (Phase 2: 12:30–13:00), and post-meal (Phase 3: 13:00–13:30). A paired comparison demonstrated a significant difference in median HR between Phase 1 and Phase 2 (p = 0.029, d = 0.812), indicating a large effect size. In contrast, HR–temperature correlation was weak and not statistically significant (Pearson r = 0.067, p = 0.298). Together, these findings demonstrate that multimodal wearable sensing can capture both nocturnal glucose fluctuations and meal-induced cardiovascular changes. This integrative approach may support real-time physiological risk assessment and future development of remote healthcare applications. Full article
Show Figures

Figure 1

14 pages, 682 KB  
Article
New Indices of Arterial Stiffness Measured with an Upper-Arm Oscillometric Device in Long-Term Japanese Shigin Practitioners: A Cross-Sectional Exploratory Study
by Ryota Kobayashi, Shotaro Seki, Kun Niu and Hideyuki Negoro
Physiologia 2026, 6(1), 3; https://doi.org/10.3390/physiologia6010003 - 4 Jan 2026
Viewed by 112
Abstract
Background/Objectives: Arterial stiffness is an independent cardiovascular risk factor, and arterial velocity pulse index (AVI) and arterial pressure–volume index (API) are practical oscillometric markers. Shigin, a traditional Japanese vocal recitation practice characterised by abdominal breathing, has limited physiological evidence. This cross-sectional exploratory study [...] Read more.
Background/Objectives: Arterial stiffness is an independent cardiovascular risk factor, and arterial velocity pulse index (AVI) and arterial pressure–volume index (API) are practical oscillometric markers. Shigin, a traditional Japanese vocal recitation practice characterised by abdominal breathing, has limited physiological evidence. This cross-sectional exploratory study examined the association between long-term shigin practice and arterial stiffness in older adults. Methods: Community-dwelling adults aged ≥60 years were classified into shigin practitioners (≥10 years), physically active non-practitioners, and inactive non-practitioners. AVI and API were measured using an upper-arm oscillometric device. Blood pressure, heart rate, salivary α-amylase (morning, standardised conditions), and peak expiratory flow were assessed. Results: Both shigin practitioners and active non-practitioners showed lower AVI and API, lower blood pressure, higher peak expiratory flow, and lower salivary α-amylase than inactive non-practitioners (p < 0.01). These associations remained significant after adjustment for blood pressure, heart rate, and sex. Conclusions: Long-term shigin practice was associated with arterial stiffness indices comparable to those of physically active older adults, without implying causality. Full article
Show Figures

Figure 1

8 pages, 567 KB  
Brief Report
Utilization of AI to Diagnose Aortic Stenosis in Patients Undergoing Hemodialysis
by Asuka Ito, Yoshihiro Morishita, Atushi Morizane, Masaki Okazaki, Akihiro Kindaichi, Kouki Gatto, Yoshiteru Tanaka, Kenji Shiino and Kenji Ina
Kidney Dial. 2026, 6(1), 4; https://doi.org/10.3390/kidneydial6010004 - 4 Jan 2026
Viewed by 97
Abstract
Background: Patients undergoing maintenance hemodialysis (HD) have a high risk of developing cardiovascular diseases due to calcification of the heart valves and coronary arteries, which results in a high mortality rate. In particular, aortic stenosis (AS) is an independent risk factor for heart [...] Read more.
Background: Patients undergoing maintenance hemodialysis (HD) have a high risk of developing cardiovascular diseases due to calcification of the heart valves and coronary arteries, which results in a high mortality rate. In particular, aortic stenosis (AS) is an independent risk factor for heart failure-related mortality in patients undergoing HD. Recently, the analysis of digitized heart sounds using artificial intelligence (AI) has promoted the automation of cardiac disease detection and technological advances in diagnostic algorithms. Methods: We retrospectively investigated the 203 consecutive patients receiving HD who had undergone visualized phonocardiography using a regulatory-approved medical device (Japan) between January and May 2025 to detect AS. The usefulness of this phonocardiogram device, which utilizes acoustic analysis and an AI-based automatic diagnostic algorithm named the “Super Stethoscope”, was evaluated for the screening of AS in patients undergoing HD based on comparisons with findings obtained from echocardiography. Results: The results showed a significant correlation between the severity of systolic murmurs determined by the AI-based approach and the peak aortic jet velocity measured in 19 patients diagnosed with AS using transthoracic echocardiography (r = 0.578, p < 0.05). Additionally, for the AI-based diagnosis of AS based on systolic murmurs, the sensitivity and specificity in detecting moderate or severe AS were 0.90 and 0.70, respectively, among the patients undergoing HD. Conclusions: The AI-based diagnostic approach using the ECG-gated phonocardiogram “Super Stethoscope” could be a promising tool for AS screening. Transthoracic echocardiography is recommended in cases classified as grade B or higher by AI-based assessment. Full article
Show Figures

Figure 1

11 pages, 689 KB  
Perspective
Revisiting the Windkessel Function: Toward Accessible Assessment of Central Arterial Health
by Jun Sugawara
J. Clin. Med. 2026, 15(1), 342; https://doi.org/10.3390/jcm15010342 - 2 Jan 2026
Viewed by 235
Abstract
Cardiovascular disease (CVD) remains the leading cause of death worldwide, accounting for nearly one-third of global mortality. Arterial stiffening, particularly in the central elastic arteries, impairs the Windkessel (cushioning and pumping) function and contributes to cardiovascular risk beyond traditional factors. Carotid–femoral pulse wave [...] Read more.
Cardiovascular disease (CVD) remains the leading cause of death worldwide, accounting for nearly one-third of global mortality. Arterial stiffening, particularly in the central elastic arteries, impairs the Windkessel (cushioning and pumping) function and contributes to cardiovascular risk beyond traditional factors. Carotid–femoral pulse wave velocity (cfPWV) is established as the gold standard for assessing aortic stiffness and predicting cardiovascular and all-cause mortality; however, its technical complexity and requirement for trained personnel limit its use in routine clinical and community settings. These challenges have driven the development of simplified techniques for population screening, such as brachial–ankle PWV (baPWV). More recently, single-cuff oscillometric devices have emerged as practical alternatives. These methods are simple enough to be implemented in daily healthcare at home, thereby greatly enhancing accessibility, although their accuracy depends on model assumptions and calibration. In this perspective article, we highlight the pathophysiological significance of preserving the central arterial Windkessel function and emphasize the need for its practical assessment. Recent innovations mark a paradigm shift from complex laboratory-based measurements toward simplified, data-driven, and socially feasible screening tools for the early detection and prevention of CVD. Full article
(This article belongs to the Section Cardiovascular Medicine)
Show Figures

Figure 1

21 pages, 1183 KB  
Article
LLM-Assisted Explainable Daily Stress Recognition: Physiologically Grounded Threshold Rules from PPG Features
by Yekta Said Can
Electronics 2026, 15(1), 201; https://doi.org/10.3390/electronics15010201 - 1 Jan 2026
Viewed by 170
Abstract
Stress has become one of the most pervasive health challenges in modern societies, contributing to cardiovascular, cognitive, and emotional disorders that degrade overall well-being and productivity. Continuous monitoring of stress in everyday settings is thus critical for preventive healthcare. Recent advances in wearable [...] Read more.
Stress has become one of the most pervasive health challenges in modern societies, contributing to cardiovascular, cognitive, and emotional disorders that degrade overall well-being and productivity. Continuous monitoring of stress in everyday settings is thus critical for preventive healthcare. Recent advances in wearable sensing technologies, particularly photoplethysmography (PPG)-based devices, have enabled unobtrusive measurement of physiological signals linked to stress. However, the analysis of such data increasingly relies on deep learning models whose complex and non-transparent decision mechanisms limit clinical interpretability and user trust. To address this gap, this study introduces a novel LLM-assisted explainable framework that combines data-driven analysis of photoplethysmography (PPG) features with physiological reasoning. First, handcrafted cardiac variability features such as Root Mean Square of Successive Differences (RMSSD), high-frequency (HF) power, and the percentage of successive NN intervals differing by more than 50 ms (pNN50) are extracted from wearable PPG signals collected in daily conditions. After algorithmic threshold selection via ROC–Youden analysis, an LLM is used solely for physiological interpretation and literature-based justification of the resulting rules. The resulting transparent rule set achieves approximately 75% binary accuracy, rivaling CNN, LSTM, Transformer, and traditional ML baselines, while maintaining full interpretability and physiological validity. This work demonstrates that LLMs can function as scientific reasoning companions, bridging raw biosignal analytics with explainable, evidence-based models—marking a new step toward trustworthy affective computing. Full article
Show Figures

Figure 1

27 pages, 1098 KB  
Review
Organ-on-a-Chip and Lab-on-a-Chip Technologies in Cardiac Tissue Engineering
by Daniele Marazzi, Federica Trovalusci, Paolo Di Nardo and Felicia Carotenuto
Biomimetics 2026, 11(1), 18; https://doi.org/10.3390/biomimetics11010018 - 30 Dec 2025
Viewed by 387
Abstract
Microfluidic technologies have ushered in a new era in cardiac tissue engineering, providing more predictive in vitro models compared to two-dimensional culture studies. This review examines Organ-on-a-Chip (OoC) and Lab-on-a-Chip (LoC) platforms, with a specific focus on cardiovascular applications. OoCs, and particularly Heart-on-a-Chip [...] Read more.
Microfluidic technologies have ushered in a new era in cardiac tissue engineering, providing more predictive in vitro models compared to two-dimensional culture studies. This review examines Organ-on-a-Chip (OoC) and Lab-on-a-Chip (LoC) platforms, with a specific focus on cardiovascular applications. OoCs, and particularly Heart-on-a-Chip systems, have advanced biomimicry to a higher level by recreating complex 3D cardiac microenvironments in vitro and dynamic fluid flow. These platforms employ induced pluripotent stem cell-derived cardiomyocytes (iPSC-CMs), engineered extracellular matrices, and dynamic mechanical and electrical stimulation to reproduce the structural and functional features of myocardial tissue. LoCs have introduced miniaturization and integration of analytical functions into compact devices, enabling high-throughput screening, advanced diagnostics, and efficient pharmacological testing. They enable the investigation of pathophysiological mechanisms, the assessment of cardiotoxicity, and the development of precision medicine approaches. Furthermore, progress in multi-organ systems expands the potential of microfluidic technologies to simulate heart–liver, heart–kidney, and heart–tumor interactions, providing more comprehensive predictive models. However, challenges remain, including the immaturity of iPSC-derived cells, the lack of standardization, and scalability issues. In general, microfluidic platforms represent strategic tools for advancing cardiovascular research in translation and accelerating therapeutic innovation within precision medicine. Full article
Show Figures

Graphical abstract

12 pages, 1683 KB  
Article
Subclinical Atrial Fibrillation Prediction in Patients with CIED by a Novel Deep Learning Framework
by Yongying Lan, Chengze Lin, Ning Zhang, Qing Cao, Qi Jin, Qingzhi Luo, Yue Wei, Yangyang Bao, Changjian Lin, Wenqi Pan, Kang Chen, Liqun Wu and Yun Xie
J. Cardiovasc. Dev. Dis. 2026, 13(1), 18; https://doi.org/10.3390/jcdd13010018 - 30 Dec 2025
Viewed by 176
Abstract
Background: Subclinical atrial fibrillation (SCAF), a key risk factor for cryptogenic stroke, is difficult to predict with current tools. This study aimed to develop a novel deep learning framework, ResKAN-Attention, using only routine clinical data to predict SCAF in patients with cardiac implantable [...] Read more.
Background: Subclinical atrial fibrillation (SCAF), a key risk factor for cryptogenic stroke, is difficult to predict with current tools. This study aimed to develop a novel deep learning framework, ResKAN-Attention, using only routine clinical data to predict SCAF in patients with cardiac implantable electronic device (CIED). Methods: In this retrospective study, the ResKAN-Attention model was developed using 27 routine parameters from 124 CIED patients without prior AF. This framework features a dual-path architecture combining a Kolmogorov–Arnold Network (KAN) with a traditional multilayer perceptron, fused via a cross-attention mechanism. The model’s performance was evaluated against common baselines using five-fold cross-validation, while its decision-making process was assessed through interpretability analysis. A clinically applicable risk scoring system was subsequently derived via knowledge distillation. Results: Over a 12-month follow-up period, SCAF occurred in 31.5% of patients (39/124). The ResKAN-Attention model significantly outperformed all baseline models, achieving a mean AUC of 0.837 in cross-validation and 0.788 in external validation. Interpretability analysis identified left atrial diameter (LAD), gender, lactate dehydrogenase, BMI, and hypertension as top predictors. The simplified risk score exhibited excellent predictive power (AUC 0.882), retaining 99.1% of the complex model’s performance on the fifth fold validation set. Conclusions: The ResKAN-Attention model demonstrated promising preliminary results for SCAF prediction with enhanced interpretability. The distilled risk score provided a potential method for early risk stratification in clinical settings, demonstrating that advanced artificial intelligence (AI) can effectively predict complex cardiovascular events using readily available data. Full article
(This article belongs to the Section Cardiovascular Clinical Research)
Show Figures

Graphical abstract

22 pages, 1835 KB  
Article
Impact of Pressure Variability and Comorbidities on PAP Therapy Compliance and Adherence in Obstructive Sleep Apnea
by Ioana Munteanu, George Alexandru Diaconu, Constantin Gheorghevici, Nicolae Feraru, Beatrice Burdusel, Catalin Constantin Coca, Florin Dumitru Mihaltan, Beatrice Mahler, Sergiu Ioachim Chirila and Valeria Herdea
Life 2026, 16(1), 48; https://doi.org/10.3390/life16010048 - 27 Dec 2025
Viewed by 209
Abstract
Obstructive sleep apnea syndrome (OSAS) is a common disorder with established cardiovascular and metabolic risks. Positive airway pressure (PAP) therapy remains the standard of care; however, its long-term effectiveness is often limited by poor compliance and adherence. This study sought to explore clinical [...] Read more.
Obstructive sleep apnea syndrome (OSAS) is a common disorder with established cardiovascular and metabolic risks. Positive airway pressure (PAP) therapy remains the standard of care; however, its long-term effectiveness is often limited by poor compliance and adherence. This study sought to explore clinical and device-related factors influencing PAP use, with emphasis on pressure variability in Auto-PAP users and comorbidities such as COPD. We performed a retrospective analysis of 359 patients with OSAS who were treated with CPAP, Auto-PAP, or BiPAP devices at the Marius Nasta Institute of Pneumology between January 2022 and July 2024. Compliance was measured as the proportion of days the device was used, whereas adherence was estimated through average nightly hours of use. Patient data were stratified by demographic, clinical, and device-related characteristics. Statistical testing included Chi-square, Wilcoxon rank-sum, and correlation analyses. Demographics did not significantly differ between compliant and non-compliant groups. Notably, Auto-PAP users with greater pressure variability (>10 cm H2O) had significantly lower compliance (p = 0.001). Nasal mask preference was also associated with poorer compliance (p = 0.030). Multivariate models further revealed that atrial fibrillation reduced the likelihood of good adherence (OR = 0.319, 95% CI 0.137–0.746). These results highlight the importance of monitoring pressure variability, device type, and comorbidities to personalize PAP therapy and improve long-term outcomes. Full article
(This article belongs to the Special Issue Sleep and Sleep Apnea: Impacts, Mechanisms, and Interventions)
Show Figures

Figure 1

19 pages, 1038 KB  
Review
The Current State of Mock Circulatory Loop Applications in Aortic and Cardiovascular Research: A Scoping Review
by Felix E. N. Osinga, Nesar A. Hasami, Jasper F. de Kort, Emma-Lena Maris, Maurizio Domanin, Martina Schembri, Alessandro Caimi, Michele Conti, Constantijn E. V. B. Hazenberg, Ferdinando Auricchio, Jorg L. de Bruin, Joost A. van Herwaarden and Santi Trimarchi
Biomedicines 2026, 14(1), 28; https://doi.org/10.3390/biomedicines14010028 - 22 Dec 2025
Viewed by 446
Abstract
Background: Mock circulatory loops (MCLs) are benchtop experimental platforms that reproduce key features of the human cardiovascular system, providing a safe, controlled, and reproducible environment for haemodynamic investigation. This scoping review aims to systematically map the current landscape of MCLs used for [...] Read more.
Background: Mock circulatory loops (MCLs) are benchtop experimental platforms that reproduce key features of the human cardiovascular system, providing a safe, controlled, and reproducible environment for haemodynamic investigation. This scoping review aims to systematically map the current landscape of MCLs used for aortic simulation and identify major areas of application. Methods: A systematic search of PubMed, Scopus, and Web of Science identified original studies employing MCLs for aortic simulation. Eligible studies were categorized into predefined themes: (I) (bio)mechanical aortic characterization, (II) hemodynamics, (III) device testing, (IV) diagnostics, and (V) training. Data on MCL configurations, aortic models, and study objectives were synthesized narratively. Results: Eighty-four studies met the inclusion criteria. Twenty-five investigated aortic biomechanics, 23 hemodynamics, 22 device or product testing, 13 validated diagnostic imaging techniques, and one training application. Models included porcine (n = 22), human cadaveric (n = 7), canine (n = 1), ovine (n = 1), bovine (n = 1), and 3D-printed or molded aortic phantoms (n = 55). MCLs were employed to study parameters such as aortic stiffness, flow dynamics, dissection propagation, endoleaks, imaging accuracy, and device performance. Conclusions: This review provides a comprehensive overview of MCL applications in aortic research. MCLs represent a versatile pre-clinical platform for studying aortic pathophysiology and testing endovascular therapies under controlled conditions. Standardized reporting frameworks are now required to improve reproducibility and accelerate translation to patient-specific planning. Full article
Show Figures

Figure 1

42 pages, 2902 KB  
Review
Cardiogenic Shock Management in the Modern Era: A Narrative Review of Percutaneous Mechanical Circulatory Support Devices
by Srijit Jana, Makayla Wijesinghe, Michael V. DiCaro, KaChon Lei, Nazanin Houshmand and Chowdhury Ahsan
J. Cardiovasc. Dev. Dis. 2026, 13(1), 9; https://doi.org/10.3390/jcdd13010009 - 22 Dec 2025
Viewed by 1827
Abstract
Cardiogenic shock (CS) remains a significant clinical challenge with persistently high mortality rates. Defined by impaired cardiac output resulting in end-organ hypoperfusion, CS commonly arises from acute myocardial infarction (AMI-CS) or acute exacerbations of heart failure (HF-CS). The severity of CS is classified [...] Read more.
Cardiogenic shock (CS) remains a significant clinical challenge with persistently high mortality rates. Defined by impaired cardiac output resulting in end-organ hypoperfusion, CS commonly arises from acute myocardial infarction (AMI-CS) or acute exacerbations of heart failure (HF-CS). The severity of CS is classified by the Society for Cardiovascular Angiography and Interventions (SCAI) into stages A (at risk) through E (extremis), which informs treatment strategies, including pharmacotherapy and mechanical circulatory support (MCS). Recent advancements in percutaneous mechanical circulatory support devices, including intra-aortic balloon pumps (IABPs), Impella devices, TandemHeart, Protek-Duo, and veno-arterial extracorporeal membrane oxygenation (VA-ECMO), have transformed management paradigms by offering targeted hemodynamic support. While DanGer-SHOCK, a pivotal randomized trial, demonstrated improved outcomes with early Impella use in anterior STEMI-associated CS, the trial’s focus population and center expertise suggest that its findings should be interpreted in the context of broader AMI-CS and HF-CS presentations. Device selection is guided by shock severity, anatomical considerations, comorbidities, and institutional capabilities. This review synthesizes current evidence, evaluates the clinical utility and efficacy of existing and emerging percutaneous MCS technologies, and highlights ongoing clinical trials and future directions in optimizing CS management. Emphasis is placed on individualized patient selection, evidence-based deployment of MCS devices, and multidisciplinary team collaboration, which collectively represent a critical transition towards improving clinical outcomes in CS. Full article
Show Figures

Figure 1

14 pages, 577 KB  
Article
Serum Trimethylamine N-Oxide Levels Are Associated with Peripheral Artery Disease in Patients with Type 2 Diabetes Mellitus
by Cing-Yu Liang, Jer-Chuan Li, Chin-Hung Liu, Du-An Wu and Bang-Gee Hsu
Medicina 2025, 61(12), 2243; https://doi.org/10.3390/medicina61122243 - 18 Dec 2025
Viewed by 309
Abstract
Background and Objectives: Peripheral arterial disease (PAD), frequently observed in individuals with type 2 diabetes mellitus (T2DM), is associated with diminished life quality, increased cardiovascular risk, and higher mortality rates. Similarly, trimethylamine N-oxide (TMAO), a uremic toxin produced by gut microbiota, has [...] Read more.
Background and Objectives: Peripheral arterial disease (PAD), frequently observed in individuals with type 2 diabetes mellitus (T2DM), is associated with diminished life quality, increased cardiovascular risk, and higher mortality rates. Similarly, trimethylamine N-oxide (TMAO), a uremic toxin produced by gut microbiota, has been linked to hypertension, cardiovascular disease, and increased overall mortality. In this study, we aimed to investigate whether serum TMAO levels are related to PAD in T2DM cases. Materials and Methods: In this cross-sectional investigation performed at one medical center, 120 patients with type 2 diabetes mellitus (T2DM) were included. High-performance liquid chromatography–mass spectrometry and an automated oscillometric device were used to measure serum TMAO levels and ankle–brachial index (ABI) values, respectively. Individuals exhibiting an ABI of less than 0.9 were classified as belonging to the low-ABI group. Results: Of the 120 participants, 23 (19.2%) had low ABI. Compared with the normal-ABI group, the low-ABI group was older (p = 0.017) and exhibited higher levels of urine albumin-to-creatinine ratio (UACR, p < 0.001), C-reactive protein (CRP, p < 0.001), and TMAO (p < 0.001). After adjusting for age, UACR, and CRP, multivariable logistic regression analysis identified serum TMAO concentration as an independent predictor of PAD in T2DM patients (odds ratio [OR]: 1.051; 95% confidence interval [CI]: 1.017–1.086; p = 0.003). In Spearman’s rank correlation analyses, log-transformed left ABI (log-left ABI, p = 0.017) and log-right ABI (p = 0.001) negatively correlated with log-TMAO. In patients with T2DM, the predictive performance of serum TMAO levels for PAD yielded an area under the receiver operating characteristic (ROC) curve of 0.812 (95% CI: 0.701–0.923; p < 0.001). Conclusions: Among individuals with T2DM, higher serum TMAO levels were associated with lower left and right ABI values and an increased likelihood of PAD. Full article
Show Figures

Figure 1

17 pages, 637 KB  
Article
Feasibility and Safety of an Outdoor-Simulated Interactive Indoor Cycling Device for Cardiac Rehabilitation: A Pilot Validation Study
by Jin Taek Lee, Bo Ryun Kim, Sung Bom Pyun, Young Mo Kim, Ho Sung Son, Jae Seung Jung and Hee Jung Kim
J. Clin. Med. 2025, 14(24), 8947; https://doi.org/10.3390/jcm14248947 - 18 Dec 2025
Viewed by 259
Abstract
Background/Objectives: To examine the safety and clinical applicability of a newly developed outdoor-simulated interactive indoor cycling device as a potential exercise modality for cardiac rehabilitation (CR) in patients with cardiovascular disease (CVD). Methods: Twenty patients with CVD with low-to-moderate cardiovascular exercise [...] Read more.
Background/Objectives: To examine the safety and clinical applicability of a newly developed outdoor-simulated interactive indoor cycling device as a potential exercise modality for cardiac rehabilitation (CR) in patients with cardiovascular disease (CVD). Methods: Twenty patients with CVD with low-to-moderate cardiovascular exercise risk performed a symptom-limited cardiopulmonary exercise stress test (CPET) using a modified Bruce protocol to obtain peak cardiopulmonary responses. After a 30–60 min rest, they rode the outdoor-simulated interactive indoor cycling device for 10 min with continuous gas exchange and electrocardiography monitoring. The treadmill-based CPET results were compared with those from the cycling device, focusing on key cardiopulmonary variables, such as VO2, HR, METs, and Rating of Perceived Exertion (RPE). Results: The 20 male participants had a mean age of 56.1 years. When treadmill peak values were used as reference, the cycling device elicited responses corresponding to moderate-to-vigorous intensity. In subgroup analysis, treadmill-derived peak VO2, peak HR, and peak MET values were significantly lower in patients aged ≥60 years compared with those aged <60 years. However, no significant differences were observed in cycling-derived values between the two groups, suggesting that cycling may represent a relatively higher-intensity exercise compared with treadmill in older patients. No significant adverse cardiac events were observed during cycling. Conclusions: The outdoor-simulated interactive indoor cycling device delivered exercise intensity within the therapeutic range recommended for CR in patients with CVD. Furthermore, it appeared to elicit relatively higher exercise intensity in older patients, supporting its potential as a safe and effective alternative exercise modality for CR. Full article
Show Figures

Figure 1

22 pages, 4171 KB  
Article
Evaluation of Subcutaneous and Intermuscular Adipose Tissues by Application of Pattern Recognition and Neural Networks to Ultrasonic Data: A Model Study
by Alexey Tatarinov, Aleksandrs Sisojevs, Vladislavs Agarkovs and Jegors Lukjanovs
Bioengineering 2025, 12(12), 1373; https://doi.org/10.3390/bioengineering12121373 - 17 Dec 2025
Viewed by 371
Abstract
Distinguishing subcutaneous adipose tissue (SAT) from intermuscular adipose tissue (IMAT) is clinically important because IMAT infiltration is strongly associated with age-related functional decline, sarcopenia, diabetes, cardiovascular disease, and obesity. Current assessments rely on MRI or CT, which are stationary, costly, and labor-intensive. Portable [...] Read more.
Distinguishing subcutaneous adipose tissue (SAT) from intermuscular adipose tissue (IMAT) is clinically important because IMAT infiltration is strongly associated with age-related functional decline, sarcopenia, diabetes, cardiovascular disease, and obesity. Current assessments rely on MRI or CT, which are stationary, costly, and labor-intensive. Portable ultrasound-based solutions could enable broader, proactive screening. This model study investigated the feasibility of differentially assessing SAT and IMAT using features extracted from propagating ultrasound signals. Twenty-five phantoms were constructed using gelatin as a muscle-mimicking matrix and oil as the SAT and IMAT compartments, arranged to provide gradual variations in fat fractions ranging from 0% to 50%. Ultrasound measurements were collected at 0.8 MHz and 2.2 MHz, and multiple evaluation criteria were computed, including ultrasound velocity and parameters derived from the signal intensity. Classification domains were then generated from intersecting decision rules associated with these criteria. In parallel, artificial neural networks (ANN/LSTM) were trained and tested on identical phantom subsets to evaluate data-driven classification performance. Both the rule-based and ANN/LSTM approaches achieved diagnostically meaningful separation of SAT and IMAT. The aim of this work was to perform an experimental proof-of-concept study on idealized tissue models to demonstrate that ultrasound measurements can reliably differentiate SAT and IMAT, supporting the development of future screening devices. Full article
(This article belongs to the Special Issue AI and Data Science in Bioengineering: Innovations and Applications)
Show Figures

Graphical abstract

Back to TopTop