Sign in to use this feature.

Years

Between: -

Subjects

remove_circle_outline
remove_circle_outline
remove_circle_outline
remove_circle_outline
remove_circle_outline
remove_circle_outline
remove_circle_outline
remove_circle_outline
remove_circle_outline

Journals

remove_circle_outline
remove_circle_outline
remove_circle_outline
remove_circle_outline
remove_circle_outline
remove_circle_outline

Article Types

Countries / Regions

remove_circle_outline
remove_circle_outline
remove_circle_outline

Search Results (291)

Search Parameters:
Keywords = capillary morphology

Order results
Result details
Results per page
Select all
Export citation of selected articles as:
14 pages, 3625 KB  
Article
Research on Electrical Properties of the Cutting Zone in Cutting Metal/Insulation Materials
by Bohua Feng, Chen Yang, Qianying Zhou, Xiaomei Guo, Qurbonalizoda Saidabdullo Shamsullo, Gaoan Zheng, Zeqi Tong and Xuefeng Xu
Processes 2025, 13(11), 3587; https://doi.org/10.3390/pr13113587 - 6 Nov 2025
Viewed by 190
Abstract
The cutting process is accompanied by complex electrical phenomena, which are particularly evident in narrow cutting clearances. To further explore the laws of electrical phenomena in the capillary of the cutting zone, this paper uses a Faraday collector with an external bias electric [...] Read more.
The cutting process is accompanied by complex electrical phenomena, which are particularly evident in narrow cutting clearances. To further explore the laws of electrical phenomena in the capillary of the cutting zone, this paper uses a Faraday collector with an external bias electric field to investigate the electrical phenomena in the narrow slit of the cutting zone under different cutting parameters and when different tool and workpiece materials are combined. The results show that there is a stable and continuous electrical phenomenon in the cutting contact area, and the emission intensity of charged particles when cutting insulating materials is significantly higher than that of metals. The emission intensity of negative ions is higher than that of positive ions. The electrical and mechanical properties of materials have a significant impact on the electrical phenomena in the cutting zone. In addition, it was found that there is a linear relationship between the electrical phenomena in the cutting zone and the cutting parameters. Finally, based on the morphology of the capillaries in the cutting zone, the self-excited electric field intensity generated in it during the cutting process was estimated. Full article
(This article belongs to the Section Materials Processes)
Show Figures

Figure 1

17 pages, 10249 KB  
Article
Mater-Bi-Based Biocomposites Reinforced with Lemongrass: A Comparison Between Leaf- and Culm-Derived Particles
by Manuela Ceraulo, Luigi Botta, Carmelo Sanfilippo, Sanjay Mavinkere Rangappa, Suchart Siengchin and Vincenzo Fiore
Polymers 2025, 17(21), 2909; https://doi.org/10.3390/polym17212909 - 30 Oct 2025
Viewed by 324
Abstract
In this study, aiming to develop novel biocomposites that offer competitive properties while retaining their renewable and biodegradable characteristics, a biodegradable polymer matrix (Mater-Bi® HF51L2) was reinforced with natural particles extracted from the culm and leaf of Cymbopogon flexuosus (lemongrass). Particles (<500 [...] Read more.
In this study, aiming to develop novel biocomposites that offer competitive properties while retaining their renewable and biodegradable characteristics, a biodegradable polymer matrix (Mater-Bi® HF51L2) was reinforced with natural particles extracted from the culm and leaf of Cymbopogon flexuosus (lemongrass). Particles (<500 µm) were incorporated at 10 and 20 wt.% via twin-screw extrusion followed by compression moulding. Morphological analysis via SEM revealed distinct structural differences between culm- and leaf-derived particles, with the latter exhibiting smoother surfaces, higher density, and better dispersion in the matrix, resulting in lower void content. Quasi-static mechanical tests showed increased stiffness with filler content, particularly for leaf-based composites. This material, at 20 wt.% filler loadings, enhanced the tensile and flexural moduli of the neat Mater-Bi approximately three and two times, respectively, a result attributed to enhanced interfacial adhesion. Rheological measurements (rotational and capillary) indicated significant increases in complex viscosity, particularly for leaf-filled systems, confirming restricted polymer chain mobility and good matrix–filler interaction. Dynamic mechanical thermal tests (DMTA) results showed an increased storage modulus and a shift in glass transition temperature (Tg) for all biocomposites in comparison to Mater-Bi matrix. Specifically, the neat matrix had a Tg of −28 °C, which increased to −24 °C and −18 °C for the 20 wt.% culm-reinforced and leaf-reinforced biocomposites, respectively. Overall, the leaf-derived particles demonstrated superior reinforcing potential, effectively improving the mechanical, rheological, and thermal properties of Mater-Bi-based biocomposites. Full article
(This article belongs to the Section Polymer Composites and Nanocomposites)
Show Figures

Figure 1

13 pages, 2606 KB  
Article
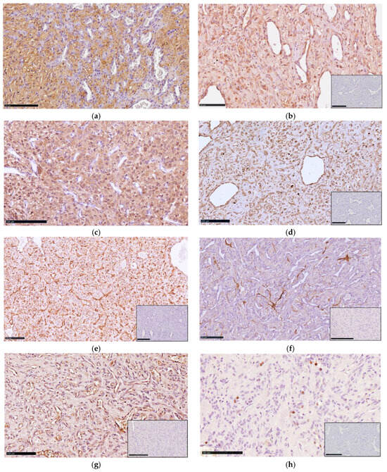
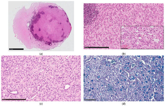
Canine Hemangioblastoma: Case Series and Literature Review
by Çağla Aytaş, Alberto Cauduro, Cristian Falzone, Stefania Gianni, Anna Tomba and Carlo Cantile
Animals 2025, 15(20), 3010; https://doi.org/10.3390/ani15203010 - 16 Oct 2025
Viewed by 355
Abstract
Human hemangioblastoma is a benign, slow-growing, highly vascular neoplasm. The tumor most commonly arises in the cerebral hemispheres and cerebellum, where it is more frequently observed in patients with von Hippel–Lindau disease. In veterinary medicine, hemangioblastoma has only been described in the central [...] Read more.
Human hemangioblastoma is a benign, slow-growing, highly vascular neoplasm. The tumor most commonly arises in the cerebral hemispheres and cerebellum, where it is more frequently observed in patients with von Hippel–Lindau disease. In veterinary medicine, hemangioblastoma has only been described in the central nervous system of dogs and in the skin of lambs. Our study aimed to characterize the clinical and neuropathological features of five cases of canine spinal cord hemangioblastoma and one case of sciatic nerve localization, and to compare these results with those reported in the veterinary literature. Diagnoses were achieved by neurological examination, neuroimaging, surgery or post-mortem examination, histopathology, and immunohistochemistry. All tumors were composed of numerous, haphazardly arranged capillaries lined by plump endothelium and interstitial fusiform to stellate stromal cells. Immunohistochemically, the stromal cells were strongly immunolabeled with NSE and carbonic anhydrase IX and were negative for von Willebrand factor VIII and inhibin-α. Canine hemangioblastoma exhibits morphological and immunohistochemical features comparable to the human counterpart, although the latter is mostly positive for inhibin-α. Surgery may be effective in cases of intradural-extramedullary and peripheral nerve locations, as in humans. This is the first report of peripheral nerve hemangioblastoma in animals. Full article
(This article belongs to the Section Veterinary Clinical Studies)
Show Figures

Figure 1

24 pages, 10157 KB  
Article
Effect of Low- and High-Si/Al Synthetic Zeolites on the Performance of Renovation Plasters
by Joanna Styczeń and Jacek Majewski
Materials 2025, 18(20), 4710; https://doi.org/10.3390/ma18204710 - 14 Oct 2025
Viewed by 391
Abstract
The appropriate selection of renovation plaster properties is essential for ensuring the durability and effectiveness of conservation works. This study focused on the design and characterization of cement-based renovation mortars modified with synthetic zeolites with different Si/Al ratios. It was assumed that high-silica [...] Read more.
The appropriate selection of renovation plaster properties is essential for ensuring the durability and effectiveness of conservation works. This study focused on the design and characterization of cement-based renovation mortars modified with synthetic zeolites with different Si/Al ratios. It was assumed that high-silica zeolites would provide more favorable mechanical and hygric performance than low-silica types. Owing to their porous structure and pozzolanic reactivity, zeolites proved to be effective additives, enhancing both the microstructure and functionality of the mortars. The modified mixtures exhibited increased total porosity, higher capillary absorption, and improved moisture transport compared with the reference mortar based on CEM I 52.5R. Dynamic vapor sorption tests confirmed that the zeolite-containing mortars achieved Moisture Buffer Values (MBV) above 2.0 g/m2, which corresponds to the “excellent” moisture buffering class. Electrical resistivity measurements further demonstrated the relationship between denser microstructure and enhanced durability. At the frequency of 10 kHz, the electrical resistivity of the reference mortar reached 43,858 Ω·m, while mortars with 15% ZSM-5 and 15% Na-A achieved 62,110 Ω·m and 21,737 Ω·m. These results show that the addition of high-silica zeolite promotes the formation of a denser and more insulating matrix, highlighting the potential of this method for non-destructive quality assessment. The best overall performance was observed in mortars containing the high-silica zeolite ZSM-5. A 35% replacement of cement with ZSM-5 increased compressive strength by 10.5% compared with the reference mortar R (4.3 MPa). Frost resistance tests showed minimal mass loss (0.03% at 15% and 1.79% at 35% replacement), and ZSM-5 mortars also maintained integrity under salt crystallization. These improvements were attributed to the reaction of reactive SiO2 and Al2O3 from the zeolites with Ca(OH)2, leading to the formation of additional C-S-H. A higher Si/Al ratio promoted a denser, fibrous C-S-H morphology, as confirmed by SEM, which explains the improved strength and durability of mortars modified with ZSM-5. Full article
Show Figures

Graphical abstract

15 pages, 2254 KB  
Article
Metformin Induces Changes in Sphingosine-1-Phosphate-Related Signaling in Diabetic Mice Brain
by Przemysław Leonard Wencel, Kinga Czubowicz, Magdalena Gewartowska, Małgorzata Frontczak-Baniewicz and Robert Piotr Strosznajder
Int. J. Mol. Sci. 2025, 26(19), 9832; https://doi.org/10.3390/ijms26199832 - 9 Oct 2025
Viewed by 606
Abstract
Type 2 diabetes mellitus (T2DM) is a chronic disease that has become a serious health problem worldwide. Moreover, increased systemic and cerebrovascular inflammation is one of the major pathophysiological features of T2DM, and a growing body of evidence emphasizes T2DM with memory and [...] Read more.
Type 2 diabetes mellitus (T2DM) is a chronic disease that has become a serious health problem worldwide. Moreover, increased systemic and cerebrovascular inflammation is one of the major pathophysiological features of T2DM, and a growing body of evidence emphasizes T2DM with memory and executive function decline. Bioactive sphingolipids regulate a cell’s survival, inflammatory response, as well as glucose and insulin signaling/metabolism. Moreover, current research on the role of sphingosine kinases (SPHKs) and sphingosine-1-phosphate receptors (S1PRs) in T2DM is not fully understood, and the results obtained often differ. The aim of the present study was to evaluate the effect of metformin (anti-diabetic agent, MET) on the brain’s sphingosine-1-phosphate-related signaling and ultrastructure in diabetic mice. Our results revealed elevated mRNA levels of genes encoding sphingosine kinase 2 (SPHK2) and sphingosine-1-phosphate receptor 3 (S1PR3), which was accompanied by downregulation of sphingosine-1-phosphate receptor 1 (S1PR1) in the hippocampus of diabetic mice. Simultaneously, upregulation of genes encoding pro-inflammatory cytokines interleukin 6 (IL-6) and tumor necrosis factor α (TNF-α) was observed. Administration of MET significantly reversed changes in mRNA levels in the hippocampus and reduced Sphk2, Il6, and Tnf, with concomitant upregulation of S1pr1 gene expression. Ultrastructural analysis of diabetic mice hippocampus revealed morphological alterations in neurons, neuropil, and capillaries that were manifested as mitochondria swelling, blurred synaptic structure, and thickened basal membrane of capillaries. The use of MET partially reversed those changes. Our research emphasizes the important role of insulin sensitivity modulation by metformin in the regulation of SPHKs and S1PRs and inflammatory gene expression in a murine model of T2DM. Full article
(This article belongs to the Special Issue Sphingolipid Metabolism and Signaling in Health and Diseases)
Show Figures

Figure 1

12 pages, 1571 KB  
Article
Retinal Vascular Density and Vessel Diameter in Sturge–Weber Syndrome Assessed by OCT-Angiography
by Rosa Longo, Elena Gusson, Erika Lorenzetto, Luca Polinelli, Mariaelena Malvasi, Giacomo Panozzo and Giorgio Marchini
J. Clin. Med. 2025, 14(19), 7061; https://doi.org/10.3390/jcm14197061 - 6 Oct 2025
Viewed by 567
Abstract
Background: Sturge–Weber syndrome (SWS) typically presents with a port-wine stain on the face, accompanied by leptomeningeal capillary malformations and ocular vascular anomalies. The aim of our study was to evaluate retinal vascular density and vessel diameter to better characterize the presence of vascular [...] Read more.
Background: Sturge–Weber syndrome (SWS) typically presents with a port-wine stain on the face, accompanied by leptomeningeal capillary malformations and ocular vascular anomalies. The aim of our study was to evaluate retinal vascular density and vessel diameter to better characterize the presence of vascular alterations. Methods: 15 patients diagnosed with Sturge–Weber syndrome and 15 healthy controls underwent comprehensive ophthalmologic evaluation, Optical Coherence Tomography (OCT) and Optical Coherence Tomography Angiography (OCTA), to evaluate the microvascular architecture of the retina and choroid. Results: Analysis of the processed images revealed a significant increase (p < 0.05 *) in the density of the deep capillary plexus in patients with SWS compared to healthy controls. Vascular diameter was found to be increased overall in several retinal vascular plexuses in SWS patients compared to controls, reaching statistical significance (p < 0.05 *) in the deep vascular complex. Conclusions: The findings from our analysis highlight the potential role of OCTA in predicting the progression or worsening of ocular diseases over time. The introduction of new assessment parameters offers additional perspectives in evaluating ocular health. Since this examination allows for the detection of changes in the morphology and density of blood vessels as revealed by OCTA, these changes can be correlated with disease progression and the effectiveness of therapies. Full article
(This article belongs to the Special Issue Advances in the Diagnosis and Treatment of Glaucoma)
Show Figures

Figure 1

16 pages, 2677 KB  
Article
Consolidation Efficacy of Nano-Barium Hydroxide on Neogene Sandstone
by Yujia Wang, Ruitao Gao, Yingbo Wu, Xuwei Yang, Guirong Wei and Jianwen Chen
Appl. Sci. 2025, 15(19), 10617; https://doi.org/10.3390/app151910617 - 30 Sep 2025
Viewed by 336
Abstract
This study focuses on the sandstone of the Kizil Grottoes as the research object. Sandstone samples reinforced with barium hydroxide nanoparticle (Ba(OH)2) solutions at different concentrations were subjected to mass and deformation monitoring, wave velocity tests, triaxial shear tests, and conventional [...] Read more.
This study focuses on the sandstone of the Kizil Grottoes as the research object. Sandstone samples reinforced with barium hydroxide nanoparticle (Ba(OH)2) solutions at different concentrations were subjected to mass and deformation monitoring, wave velocity tests, triaxial shear tests, and conventional mercury intrusion porosimetry (MIP) to investigate the reinforcement mechanism and effectiveness of nano-Ba(OH)2 on Kizil sandstone. The results indicate that after treatment with nano-Ba(OH)2, the strength and wave velocity of the sandstone samples significantly increased, with the 15% concentration showing the optimal reinforcement effect. Nano-Ba(OH)2 enhances the cementation between sandstone particles, alters pore morphology and size distribution, reduces capillary water rise height, and inhibits sulfate ion crystallization and recrystallization, thereby achieving the dual effects of strength reinforcement and deterioration prevention. Full article
(This article belongs to the Special Issue Geological Disasters: Mechanisms, Detection, and Prevention)
Show Figures

Figure 1

16 pages, 3803 KB  
Article
Evaluation of Biocompatible and Biodegradable PES/PCL Membranes for Potential Use in Biomedical Devices: From Fouling Resistance to Environmental Safety
by Cezary Wojciechowski, Monika Wasyłeczko, Dorota Lewińska and Andrzej Chwojnowski
Molecules 2025, 30(19), 3887; https://doi.org/10.3390/molecules30193887 - 25 Sep 2025
Viewed by 443
Abstract
The paper presents a method for obtaining partially degradable capillary membranes from a polyethersulfone/polycaprolactone (PES/PCL) mixture. PES/PCL membranes were obtained by the phase inversion technique with dry/wet spinning and then subjected to controlled degradation in an alkaline environment (1 M NaOH) and simulated [...] Read more.
The paper presents a method for obtaining partially degradable capillary membranes from a polyethersulfone/polycaprolactone (PES/PCL) mixture. PES/PCL membranes were obtained by the phase inversion technique with dry/wet spinning and then subjected to controlled degradation in an alkaline environment (1 M NaOH) and simulated body fluid (SBF with pH 7.4) using the flow method. The aim of the work was to select and apply a degradable, non-toxic, simple polymer as a removable component of the membrane structure. The degradable component of the membranes was PCL, the gradual hydrolysis of which was aimed at increasing the porosity and improving the transport properties of the membranes during operation. The membrane properties, such as hydraulic permeability coefficient (UFC), retention coefficient, and structural morphology, were assessed using scanning electron microscopy (SEM) before and after degradation. Analysis of SEM images performed with MeMoExplorerTM software showed an increase in the proportion of large pores (above 300 µm2) and total porosity of the membranes after degradation in NaOH and SBF. Low instability factor (<0.25) for all samples, both before and after degradation, confirms the good repeatability of the membrane structure. An increase in the UFC was observed, while the retention coefficients did not change significantly in the case of membranes after the etching process. The degradation of the PCL component in the membrane was assessed using the weight method. Measurements of the membrane mass loss before and after degradation confirmed the removal of over 50 wt.% of the PCL component in SBF and 70 wt.% in NaOH from the tested membranes, which resulted in an increase in permeability due to increased membrane porosity. The results indicate the possibility of using such structures as functional, partially self-regulating membranes, potentially useful in biomedical and environmental applications. Full article
Show Figures

Graphical abstract

22 pages, 3810 KB  
Article
Nanofibrous Polymer Filters for Removal of Metal Oxide Nanoparticles from Industrial Processes
by Andrzej Krupa, Arkadiusz Tomasz Sobczyk and Anatol Jaworek
Membranes 2025, 15(10), 291; https://doi.org/10.3390/membranes15100291 - 25 Sep 2025
Viewed by 817
Abstract
Filtration of submicron particles and nanoparticles is an important problem in nano-industry and in air conditioning and ventilation systems. The presence of submicron particles comprising fungal spores, bacteria, viruses, microplastic, and tobacco-smoke tar in ambient air is a severe problem in air conditioning [...] Read more.
Filtration of submicron particles and nanoparticles is an important problem in nano-industry and in air conditioning and ventilation systems. The presence of submicron particles comprising fungal spores, bacteria, viruses, microplastic, and tobacco-smoke tar in ambient air is a severe problem in air conditioning systems. Many nanotechnology material processes used for catalyst, solar cells, gas sensors, energy storage devices, anti-corrosion and hydrophobic surface coating, optical glasses, ceramics, nanocomposite membranes, textiles, and cosmetics production also generate various types of nanoparticles, which can retain in a conveying gas released into the atmosphere. Particles in this size range are particularly difficult to remove from the air by conventional methods, e.g., electrostatic precipitators, conventional filters, or cyclones. For these reasons, nanofibrous filters produced by electrospinning were developed to remove fine particles from the post-processing gases. The physical basis of electrospinning used for nanofilters production is an employment of electrical forces to create a tangential stress on the surface of a viscous liquid jet, usually a polymer solution, flowing out from a capillary nozzle. The paper presents results for investigation of the filtration process of metal oxide nanoparticles: TiO2, MgO, and Al2O3 by electrospun nanofibrous filter. The filter was produced from polyvinylidene fluoride (PVDF). The concentration of polymer dissolved in dimethylacetamide (DMAC) and acetone mixture was 15 wt.%. The flow rate of polymer solution was 1 mL/h. The nanoparticle aerosol was produced by the atomization of a suspension of these nanoparticles in a solvent (methanol) using an aerosol generator. The experimental results presented in this paper show that nanofilters made of PVDF with surface density of 13 g/m2 have a high filtration efficiency for nano- and microparticles, larger than 90%. The gas flow rate through the channel was set to 960 and 670 l/min. The novelty of this paper was the investigation of air filtration from various types of nanoparticles produced by different nanotechnology processes by nanofibrous filters and studies of the morphology of nanoparticle deposited onto the nanofibers. Full article
Show Figures

Figure 1

21 pages, 1664 KB  
Review
Clinical Applications of Optical Coherence Tomography and Optical Coherence Tomography Angiography in Uveal Melanoma: A Narrative Review
by Mario Troisi, Livio Vitiello, Filippo Lixi, Mihaela Madalina Timofte Zorila, Giulia Abbinante, Alfonso Pellegrino, Assem Namazbayeva, Ginevra Giovanna Adamo, Giulia Coco, Alberto Cuccu and Giuseppe Giannaccare
Diagnostics 2025, 15(19), 2421; https://doi.org/10.3390/diagnostics15192421 - 23 Sep 2025
Viewed by 834
Abstract
Uveal melanoma is the most common primary intraocular malignancy in adults, most frequently arising from the choroid, followed by the ciliary body and iris. Its diagnosis and management require precise characterization of tumor morphology, localization, and associated complications to optimize visual and systemic [...] Read more.
Uveal melanoma is the most common primary intraocular malignancy in adults, most frequently arising from the choroid, followed by the ciliary body and iris. Its diagnosis and management require precise characterization of tumor morphology, localization, and associated complications to optimize visual and systemic outcomes. Recent advances in optical coherence tomography (OCT), anterior segment OCT (AS-OCT), and OCT angiography (OCTA) have expanded the ophthalmologist’s ability to non-invasively visualize structural and vascular changes associated with this disease. In fact, enhanced depth imaging (EDI) and swept-source (SS) OCT can provide detailed views of deep ocular structures, enabling early detection of hallmark features such as subretinal fluid, retinal pigment epithelium disruption, and dome- or mushroom-shaped choroidal elevations; AS-OCT improves evaluation of lesions of the anterior segment, revealing iris architecture distortion and angle involvement; OCTA facilitates the visualization of abnormal tumor vasculature and detection of radiation-induced microvascular changes, including capillary dropout and foveal avascular zone enlargement. Moreover, these imaging modalities have demonstrated utility in differentiating uveal melanoma from pseudomelanomas, such as choroidal nevi, hemangiomas, and metastases. The present review aims at objectively assessing the use of OCT and OCTA in the diagnosis, treatment, and follow up of ocular melanoma, emphasizing their crucial role in identifying pathologic biomarkers of this potentially fatal ocular disease. Full article
(This article belongs to the Special Issue Advances in Eye Imaging)
Show Figures

Figure 1

16 pages, 3378 KB  
Article
Influence of Wood Fiber on Mechanical and Thermal Insulation Properties of Lightweight Mortar
by Mo Zhou, Guimeng Ban, Yuanming Luo, Qin Hu, Jintuan Zhang, Ke Yu, Xue Hong and Huixin Zhong
Coatings 2025, 15(9), 1094; https://doi.org/10.3390/coatings15091094 - 18 Sep 2025
Viewed by 459
Abstract
To advance the development of green building materials and achieve high-value utilization of waste resources, this study investigates the mechanistic influence of incorporating waste wood fibers on the mechanical and thermal insulation properties of lightweight mortar. Five fiber contents were designed—0%, 0.4%, 0.8%, [...] Read more.
To advance the development of green building materials and achieve high-value utilization of waste resources, this study investigates the mechanistic influence of incorporating waste wood fibers on the mechanical and thermal insulation properties of lightweight mortar. Five fiber contents were designed—0%, 0.4%, 0.8%, 1.2%, and 1.6%—to systematically evaluate their effects on compressive strength, flexural strength, and tensile bond strength, as well as thermal conductivity, pore structure, and microstructural interfaces. The results demonstrate that at low fiber dosages (particularly 0.4% and 0.8%), wood fibers can significantly enhance both the mechanical strength and thermal insulation performance of mortar. Specifically, at a fiber content of 0.8%, the 28-day compressive strength increased by 10.62%, and the flexural strength by 23.8%; the tensile bond strength reached its peak at 0.4%, with a 14.8% improvement. The lowest thermal conductivity recorded was 0.16 W/(m·K), accompanied by a remarkable 61.9% reduction in porosity compared to the control group. Low-field nuclear magnetic resonance (LF-NMR) analysis revealed that wood fiber incorporation markedly increased the proportion of capillary pores, reduced total porosity, and enhanced mortar compactness; scanning electron microscopy (SEM) observations further indicated that the honeycomb-like morphology and surface roughness of wood fibers substantially improved interfacial bonding performance and microcrack-bridging capacity. The findings suggest that an optimal fiber content—recommended to not exceed 0.8%—can synergistically improve the mechanical and thermal insulation properties of lightweight mortar, providing both theoretical support and practical guidance for its application in green building wall materials. Full article
Show Figures

Figure 1

24 pages, 4924 KB  
Article
Performance and Durability of Chalcedonite Reactive Powder Concrete
by Joanna Julia Sokołowska, Piotr Woyciechowski and Szymon Żerek
Materials 2025, 18(18), 4258; https://doi.org/10.3390/ma18184258 - 11 Sep 2025
Viewed by 616
Abstract
The objective of this study was to evaluate the technical properties and assess the durability of a novel high-performance concrete with aggregates composed entirely of reactive powders derived from chalcedonite—a mineral previously not utilized in HPC technology. Since there is insufficient information on [...] Read more.
The objective of this study was to evaluate the technical properties and assess the durability of a novel high-performance concrete with aggregates composed entirely of reactive powders derived from chalcedonite—a mineral previously not utilized in HPC technology. Since there is insufficient information on chalcedonite-based concretes in the scientific literature, the presented research aims to address these knowledge gaps. The characterization of the chalcedonite powder involved the determination of specific gravity, particle size distribution, specific surface area, and particle morphology through microscopic analysis. The hardened chalcedonite-based and reference quartz-based high-performance concretes were subjected to a comprehensive suite of tests to determine their physical properties (bulk density, water absorption, and capillary absorption) and mechanical properties (flexural and compressive strength). Durability was further assessed based on compressive strength criteria, including frost resistance and carbonation resistance. To simulate long-term performance and better evaluate the durability of the high-performance concretes, specimens were tested following standard water curing and after additional maturation processes, including thermal treatment, which in the extreme case resulted in a seven-day compressive strength of 176.9 MPa, a value higher by 56.7 MPa (corresponding to an increase of 47.1%) compared to the strength of the identical concrete not subjected to thermal treatment. To explore the potential for architectural applications, particularly in outdoor environments, capillary absorption testing was of particular importance, as it provided insight into the material’s resistance to eventual pigment leaching from the mineral matrix. Full article
(This article belongs to the Special Issue Characterization and Optimization of Cement-Based Materials)
Show Figures

Figure 1

19 pages, 5541 KB  
Article
Study on the Competition Mechanism Between Capillary Effect and Insulation Effect of Porous Media Substrate on Fuel Combustion
by Keyu Lin, Xinsheng Jiang, Shijie Zhu, Peili Zhang, Jimiao Duan, Yuxiang Zhou, Run Li and Sai Wang
Fire 2025, 8(9), 355; https://doi.org/10.3390/fire8090355 - 5 Sep 2025
Viewed by 919
Abstract
The combustion of liquid fuels that have leaked into inert porous media, such as sand, is a critical issue for industrial safety and fire risk assessment. Despite its importance, the complex influence of porous media on the combustion process, particularly the governing mechanisms [...] Read more.
The combustion of liquid fuels that have leaked into inert porous media, such as sand, is a critical issue for industrial safety and fire risk assessment. Despite its importance, the complex influence of porous media on the combustion process, particularly the governing mechanisms of flame morphology and heat release, remains poorly understood, hindering accurate hazard prediction. This study addresses this gap by systematically investigating the combustion characteristics of 92# gasoline on quartz sand substrates with thicknesses ranging from 0 to 4 cm. Through a series of controlled laboratory experiments, key parameters including mass loss rate, heat release rate (HRR), and flame morphology were quantified. The findings reveal that, unlike the classical three-stage combustion of pool fires, the presence of porous media introduces a “slow burning period,” resulting in a unique four-stage combustion mode. The sand layer significantly suppresses combustion intensity, with the dimensionless heat release rate (Q*) being proportional to the dimensionless layer thickness (d*) raised to the power of −2.54. Crucially, flame height was found to be governed not by the HRR, but by a competition between the capillary effect (driving upward fuel transport) and the thermal effect (insulation and heat absorption). Based on this mechanism, a novel flame height prediction model was developed, which showed excellent agreement with 23 experimental datasets (R2 = 0.92, average relative error 1.72%). This study elucidates the core physical mechanisms governing liquid fuel combustion in porous media. The proposed model provides a robust theoretical foundation for predicting fire development and assessing the risks associated with leaked fuel fires, offering a valuable tool for safety engineering and emergency response. Full article
Show Figures

Figure 1

13 pages, 1771 KB  
Article
Evaluation of Nailfold Capillaroscopic Findings in Pediatric Patients with Celiac Disease: A Cross-Sectional and Comparative Study
by Gül Çirkin and Raziye Burcu Taskin
Diagnostics 2025, 15(16), 2102; https://doi.org/10.3390/diagnostics15162102 - 21 Aug 2025
Viewed by 600
Abstract
Background/Objectives: Celiac disease (CD) is a chronic autoimmune enteropathy with increasing recognition of systemic involvement, including potential microvascular alterations. While nailfold videocapillaroscopy (NVC) is an established tool in rheumatology for assessing microcirculation, its application in pediatric CD remains unexplored. Our aim was to [...] Read more.
Background/Objectives: Celiac disease (CD) is a chronic autoimmune enteropathy with increasing recognition of systemic involvement, including potential microvascular alterations. While nailfold videocapillaroscopy (NVC) is an established tool in rheumatology for assessing microcirculation, its application in pediatric CD remains unexplored. Our aim was to investigate capillaroscopic abnormalities in children with CD and assess their associations with clinical and laboratory parameters, including dietary adherence. Methods: This cross-sectional study included 76 pediatric CD patients and 76 age- and sex-matched healthy controls. All participants underwent standardized NVC evaluation, assessing capillary density, dilatation, morphology, and microhemorrhages. Clinical data, laboratory values, and dietary adherence (based on clinical symptoms and tissue transglutaminase-IgA levels) were recorded. Results: Compared to controls, CD patients exhibited significantly lower capillary density and increased frequencies of dilated capillaries, microhemorrhages, and abnormal morphologies (p < 0.001). A nonspecific NVC pattern predominated among CD patients. Capillary abnormalities were more pronounced in patients without tTG-IgA normalization (>10 U/mL) and with symptoms suggestive of gluten exposure. Additionally, the number of dilated capillaries positively correlated with age and disease duration. No significant differences were found based on ANA status. Conclusions: This is the first study to demonstrate NVC-detectable microvascular alterations in pediatric CD. Findings suggest subclinical microvascular involvement, which may be potentially modifiable through dietary adherence. NVC may serve as a non-invasive tool to detect early vascular changes and monitor systemic manifestations in pediatric CD. Longitudinal studies are warranted to clarify the reversibility and prognostic implications of these abnormalities. Full article
(This article belongs to the Special Issue Advances in the Diagnosis and Management of Pediatric Diseases)
Show Figures

Graphical abstract

14 pages, 5271 KB  
Article
Influence of Preparation Methods on the Physicochemical and Functional Properties of NiO-CeO2/Al2O3 Catalysts
by Laura Myltykbayeva, Manshuk Mambetova, Moldir Anissova, Nursaya Makayeva, Kusman Dossumov and Gaukhar Yergaziyeva
J. Compos. Sci. 2025, 9(8), 446; https://doi.org/10.3390/jcs9080446 - 18 Aug 2025
Viewed by 767
Abstract
This study presents a comparative investigation of 3Ni2Ce/Al catalysts synthesized via different methods dry impregnation (DI), capillary impregnation (CI), and solution combustion synthesis (SC) for the complete oxidation of methane. The aim was to elucidate the influence of the preparation method on the [...] Read more.
This study presents a comparative investigation of 3Ni2Ce/Al catalysts synthesized via different methods dry impregnation (DI), capillary impregnation (CI), and solution combustion synthesis (SC) for the complete oxidation of methane. The aim was to elucidate the influence of the preparation method on the catalytic activity and reduction behavior of the catalysts. Among the samples tested, the catalyst prepared by the solution combustion method exhibited the highest activity: at 500 °C, the methane conversion reached 82%, compared to 43% and 41% for the 3Ni2Ce/Al (CI) and 3Ni2Ce/Al (DI) prepared catalysts, respectively. At 550 °C, the 3Ni2Ce/Al (SC) catalyst achieved 99% conversion, surpassing the 3Ni2Ce/Al (CI) (72.5%) and 3Ni2Ce/Al (DI) (95%) analogs. Hydrogen temperature-programmed reduction (H2-TPR) analysis revealed that the 3Ni2Ce/Al (SC) catalyst exhibited enhanced hydrogen uptake in the range of 450–850 °C, indicating the presence of more easily reducible NiO species interacting with CeO2 and the alumina support. Scanning electron microscopy (SEM) further confirmed a more uniform distribution of the active phase on the surface of the 3Ni2Ce/Al (SC) catalyst in comparison to the impregnated samples. Overall, the findings demonstrate that the preparation method has a significant impact on the development of a redox-active catalyst structure. The superior performance of the SC-derived catalyst in methane oxidation is attributed to its improved reducibility and homogenous morphology, making it a promising candidate for high-temperature catalytic applications. Full article
(This article belongs to the Section Composites Manufacturing and Processing)
Show Figures

Graphical abstract

Back to TopTop