Sign in to use this feature.

Years

Between: -

Subjects

remove_circle_outline
remove_circle_outline
remove_circle_outline
remove_circle_outline
remove_circle_outline
remove_circle_outline
remove_circle_outline
remove_circle_outline
remove_circle_outline

Journals

Article Types

Countries / Regions

Search Results (55)

Search Parameters:
Keywords = beetroot (Beta vulgaris L.)

Order results
Result details
Results per page
Select all
Export citation of selected articles as:
20 pages, 1316 KB  
Article
The Effect of Osmotic Dehydration Conditions on the Magnesium Content in Beetroot (Beta vulgaris L.)
by Bartosz Kulczyński, Joanna Suliburska, Anna Gramza-Michałowska, Andrzej Sidor, Przemysław Łukasz Kowalczewski and Anna Brzozowska
Molecules 2025, 30(14), 3051; https://doi.org/10.3390/molecules30143051 - 21 Jul 2025
Viewed by 997
Abstract
Osmotic dehydration is a process involving a two-way mass transfer, during which water and substances dissolved in it are removed from the product and, at the same time, substances dissolved in a hypertonic solution penetrate into the tissues. This process has a significant [...] Read more.
Osmotic dehydration is a process involving a two-way mass transfer, during which water and substances dissolved in it are removed from the product and, at the same time, substances dissolved in a hypertonic solution penetrate into the tissues. This process has a significant effect on, among other things, the nutritional and sensory parameters, as well as the texture and shelf life of the dehydrated product. This study analyzed the effect of osmotic dehydration of beet on magnesium content following the addition of various chemical forms of magnesium (magnesium oxide, magnesium citrate, magnesium chloride) to a hypertonic solution. Magnesium was added in concentrations of 2.5 or 5.0% relative to the mass of the solution. The following compounds were used to prepare hypertonic solutions (25 and 50%): inulin, xylitol, erythritol, and sucrose. The control sample was water. A significant increase in magnesium content in the dehydrated material was confirmed. This effect was determined by many factors, among which the most important were the chemical form of magnesium, the type of osmotically active substance, magnesium concentration, and process time. The highest magnesium content was found in samples dehydrated in a 50% inulin solution with a 5.0% addition of magnesium chloride under the following conditions: 120 min/30 °C. It was also demonstrated that osmotically dehydrated samples exhibited approximately 3–5 times lower antioxidant activity in DPPH, ABTS, and ORAC tests. Full article
Show Figures

Figure 1

19 pages, 1032 KB  
Article
Red Beetroot Skin Powder Addition as a Multifunctional Ingredient in Nougat
by Oana Emilia Constantin, Silvia Lazăr (Mistrianu), Florina Stoica, Roxana Nicoleta Rațu, Doina Georgeta Andronoiu, Nicoleta Stănciuc, Marija Banožić, Nada Ćujić Nikolić, Zorana Mutavski and Gabriela Râpeanu
Antioxidants 2025, 14(6), 676; https://doi.org/10.3390/antiox14060676 - 1 Jun 2025
Cited by 1 | Viewed by 1518
Abstract
Beetroot (Beta vulgaris L.) is a plant grown for its roots, which are used to obtain sugar, feed animals, and for human use. Beetroot skin, a by-product of food processing, is a significant source of bioactive compounds, including dietary fiber and antioxidants. [...] Read more.
Beetroot (Beta vulgaris L.) is a plant grown for its roots, which are used to obtain sugar, feed animals, and for human use. Beetroot skin, a by-product of food processing, is a significant source of bioactive compounds, including dietary fiber and antioxidants. The primary objective of this work was to utilize beetroot skin powder to produce value-added nougat. Analytical methods, like antioxidant activity tests, proximate analysis, and sensory assessments, are used to determine the impact of beetroot skin powder on the final product. The beetroot skin powder extract had a remarkable content of phytochemicals and antioxidant activity. The inhibitory effect of the extract was tested on enzymes linked to metabolic syndrome, oxidative stress, and inflammation. The beetroot skin powder extract inhibited α-glucosidase, α-amylase, lipase, and lipoxygenase enzymes. The characterization of value-added nougat illustrates the multifunctionality of beetroot peel powder within its composition, serving as a significant source of natural compounds with antioxidant, coloring, and flavoring properties. This enhances sensory attributes, including color, aroma, and texture, augmenting product diversity and consumer appeal. This is evidenced by the increase in the total content of betalains (3.77 ± 0.09 mg/g DW.) and polyphenols (69.48 ± 2.88 mg GAE/100 g DW.), which lead to high antioxidant activity (73.89 ± 3.65 mM Trolox/100 g DW.) for the nougat sample with 6% added beetroot powder. Thus, beetroot skin powder replaced chemically synthesized additives with antioxidants and natural pigments, improving life quality and implicitly capitalizing on beetroot processing by-products, supporting circular economy principles at the global level. Full article
(This article belongs to the Special Issue Valorization of the Antioxidant Power of Natural Compounds)
Show Figures

Figure 1

34 pages, 2775 KB  
Article
Production of Red Beetroot (Beta vulgaris L.) Pestil as an Alternative Healthy Snack: Effects of Traditional, Thermosonication, and Microwave Pretreatments on Physicochemical, Sensorial, Nutritional, and Chemometric Profiles
by Neslihan Ersoyak, Busra Acoglu Celik, Elif Koc Alibasoglu, Erturk Bekar, Taha Turgut Unal, Ersin Yetan, Senem Kamiloglu, Arzu Akpinar Bayizit, Omer Utku Copur, Irmak Aral Baskaya and Perihan Yolci Omeroglu
Foods 2025, 14(10), 1784; https://doi.org/10.3390/foods14101784 - 17 May 2025
Cited by 1 | Viewed by 1021
Abstract
Red beetroot (Beta vulgaris L.) is a nutritionally rich root vegetable. It is a potential alternative raw material for pestil, a traditional fruit-based snack. This study aimed to develop a healthy beetroot-based pestil using traditional boiling (95 °C) and novel pretreatment methods, [...] Read more.
Red beetroot (Beta vulgaris L.) is a nutritionally rich root vegetable. It is a potential alternative raw material for pestil, a traditional fruit-based snack. This study aimed to develop a healthy beetroot-based pestil using traditional boiling (95 °C) and novel pretreatment methods, including thermosonication and microwave processing, with and without additional concentration steps. The effects of these methods on heat treatment period, hydroxymethylfurfural (HMF) formation, and the physicochemical, sensorial, nutritional, and chemometric profiles of pestils were evaluated. The beetroot-based snack formulated in this study was hedonically acceptable (≥5/9) and rich in essential minerals (Ca, K, Na, P, Mg) and trace elements (Zn, Fe, Mn), as determined by inductively coupled plasma–mass spectrometry. Total antioxidant capacity (CUPRAC) ranged from 113.11 to 870.78 mg Trolox® equivalent/100 g dry matter (DM). Total phenolic, flavonoid, and betalain contents varied between 220.6–313.8 mg gallic acid equivalent/100 g DM, 365.08–517.46 mg rutin equivalent/100 g DM, and 314.40–488.66 mg/kg, respectively. Major flavonoids identified and quantified included epicatechin, rutin, isoquercitrin, taxifolin, and quercetin, while major phenolic acids identified were chlorogenic acid, ferulic acid, caffeic acid, o-salicylic acid, p-coumaric acid, and vanillin, using liquid chromatography–electrospray tandem mass spectrometry. Reducing the soluble solids content of the pestil pulp from 40 to 20 Brix degrees, in combination with thermosonication and microwave treatments, significantly shortened the processing time by 10–67%. This approach also reduced the HMF content to the limit of quantification (LOQ). Pretreatment methods significantly (p < 0.05) affected the levels of minerals and bioactive compounds in the pestils. These findings highlight the importance of process optimization to improve overall safety and the nutritional quality of the pestil. Full article
(This article belongs to the Section Food Nutrition)
Show Figures

Figure 1

17 pages, 1280 KB  
Article
Effects of Polysaccharide-Based Edible Coatings on the Quality of Fresh-Cut Beetroot (Beta vulgaris L.) During Cold Storage
by Sabina Galus, Hanna Kowalska, Anna Ignaczak, Jolanta Kowalska, Magdalena Karwacka, Agnieszka Ciurzyńska and Monika Janowicz
Coatings 2025, 15(5), 583; https://doi.org/10.3390/coatings15050583 - 14 May 2025
Cited by 2 | Viewed by 696
Abstract
This study evaluated the effects of selected polysaccharide edible coatings (apple pectin and sodium alginate) on the quality characteristics of fresh-cut beetroot. The changes in texture (hardness), optical parameters such as colour and Hue angle, polyphenols, flavonoids, and red and yellow colourants during [...] Read more.
This study evaluated the effects of selected polysaccharide edible coatings (apple pectin and sodium alginate) on the quality characteristics of fresh-cut beetroot. The changes in texture (hardness), optical parameters such as colour and Hue angle, polyphenols, flavonoids, and red and yellow colourants during 4 weeks of refrigerated storage, as well as changes in microstructure, were examined. Self-standing coatings have also been prepared and characterised by continuous structure without pores, cracks, and high lightness. The obtained results for hardness showed reduced values during storage. Colour parameters (L*, a*, and b*) and Hue angle remained mostly consistent, indicating the preservation of the desired colour, though slight changes were noted during storage. Lightness (parameter L*) increased over time, suggesting changes in the beetroot surface. However, these changes were less pronounced in samples covered with coatings. The use of polysaccharide coatings and storage time positively impacted flavonoids in fresh-cut beetroots, except after 28 days when the lowest values for both parameters were observed. It can also be noted that the polyphenol content in coated samples decreased at a slower rate. Moreover, there was a significant decrease in the content of red and yellow colourants for both control and coated samples. However, greater changes were noted for samples treated with coatings. Scanning electron microscopy used at 0 and 28 days showed lower pores in beetroot tissue as a result of applied polysaccharide coatings, and refrigerated storage negatively affected the minimally processed beetroot surface. Nevertheless, minimally processed beetroots obtained with the treatment of polysaccharide coatings as mild technology showed modifications to the quality characteristics, which can find practical use in reducing the waste of fresh-cut vegetables during storage. Full article
(This article belongs to the Special Issue Biodegradable Films and Composite Coatings: Current and Future Trends)
Show Figures

Figure 1

20 pages, 1430 KB  
Article
Betaine and Total Dietary Fiber Recovery from Red Beetroot Peels by Means of Ultrasound and Pulsed Electric Fields
by Iva Sabljak, Mirela Grubelić, Dora Vlahović, Josipa Dukić, Aleksandra Samardžija and Anet Režek Jambrak
Clean Technol. 2025, 7(2), 37; https://doi.org/10.3390/cleantechnol7020037 - 6 May 2025
Viewed by 1239
Abstract
Ultrasound-assisted extraction (UAE) using water as a green solvent is a promising non-thermal technique for the extraction of total dietary fiber (TDF) and betaine from red beetroot (Beta vulgaris L.) peel. Compared to conventional thermal extraction (CE), UAE has proven to be [...] Read more.
Ultrasound-assisted extraction (UAE) using water as a green solvent is a promising non-thermal technique for the extraction of total dietary fiber (TDF) and betaine from red beetroot (Beta vulgaris L.) peel. Compared to conventional thermal extraction (CE), UAE has proven to be a more efficient alternative method for the extraction of TDF and betaine. The pretreatment of beet was carried out using pulsed electric field (PEF) technology, with the specific energy of the PEF treatment set at 1.6 kJ/kg. To achieve the maximum betaine concentration of 24.80 µg/mL, the optimum UAE parameters were 50% amplitude with an extraction time of 3 min using distilled water as extraction solvent. The optimum TDF yield of 44.07% was achieved at 75% amplitude, 6 min treatment time and 50% ethanol solution as extraction solvent. These conditions can effectively supplement UAE, especially in the extraction of bioactive compounds from red beetroot peel. However, the TDF obtained in the residue must be evaporated for further use, which increases energy consumption. Ethanol concentration had no statistically significant effect (p > 0.05) on the TDF results, suggesting that distilled water could replace ethanol as a solvent in UAE. This substitution offers environmental and economic advantages, as water is more environmentally friendly and less expensive than ethanol. In addition, the use of distilled water eliminates the need to evaporate ethanol, which is particularly advantageous when the extracted material is intended for fortification or improvement of the technological and functional properties of food products. Full article
(This article belongs to the Special Issue Recovery of Bioactive Compounds from Waste and By-Products)
Show Figures

Graphical abstract

37 pages, 2184 KB  
Article
Exploring the Biochemical Profile of Beta vulgaris L.: A Comparative Study of Beetroots and Swiss Chard
by Daiana Almeida, Spyridon A. Petropoulos, Tayse F. F. da Silveira, Tânia C. S. P. Pires, Isabel C. F. R. Ferreira, Ângela Fernandes and Lillian Barros
Plants 2025, 14(4), 591; https://doi.org/10.3390/plants14040591 - 14 Feb 2025
Cited by 1 | Viewed by 2399
Abstract
In this study, leaves and roots from three beetroot cultivars (cv. Albina Vereduna (white roots), cv. Burpee’s Golden (golden roots), and cv. Pablo F1 (red roots)), as well as Swiss chard leaves (also known as “rhubarb chard”, or Beta vulgaris subsp. cicla var. [...] Read more.
In this study, leaves and roots from three beetroot cultivars (cv. Albina Vereduna (white roots), cv. Burpee’s Golden (golden roots), and cv. Pablo F1 (red roots)), as well as Swiss chard leaves (also known as “rhubarb chard”, or Beta vulgaris subsp. cicla var. flavescens) were evaluated in terms of their chemical profile and bioactive properties. Roots were characterized by high carbohydrate content, which also contributed to greater energy values. In contrast, fibers were the predominant macronutrient in leaves, followed by carbohydrates. In both leaves and roots, the most abundant organic acids were quinic and oxalic, while the major free sugar was sucrose. The profile of fatty acid varied between the studied plant parts, with saturated fatty acids prevailing in root samples, while leaves exhibited higher levels of polyunsaturated fatty acids. Regarding phenolic composition, a total of 19 compounds were tentatively identified in leaves (including derivatives of vitexin, isorhamnetin, quercetin, and ferulic, sinapic, and p-coumaric acids), while the roots exhibited a less diverse composition, with a total of eight compounds identified (e.g., derivatives of ferulic, sinapic, p-coumaric and caffeic acids). A total of eight betalains were also identified, out of which seven were classified as betacyanins and one as betaxanthin. The leaves of Swiss chard presented compounds from both classes, while the roots and leaves of cv. Pablo F1 were characterized only by the presence of betacyanins, and those of cv. Burpee’s Golden only by betaxanthin. All samples exhibited relevant activity against Y. enterocolitica, L. monocytogenes, and S. aureus, although leaf samples demonstrated better antioxidant capacity. In conclusion, beetroot leaves outperformed their corresponding roots in terms of chemical composition, antioxidant, and antimicrobial activity, suggesting their high potential as nutrient-rich and functional ingredients in a diverse and well-balanced diet. Full article
(This article belongs to the Section Phytochemistry)
Show Figures

Figure 1

19 pages, 1531 KB  
Article
A Sustainable Approach: Repurposing Red Beetroot Peels for Innovative Meringue Products
by Oana Emilia Constantin, Florina Stoica, Silvia Lazăr (Mistrianu), Doina Georgeta Andronoiu, Mihaela Turturică, Nicoleta Stănciuc, Roxana Nicoleta Rațu, Constantin Croitoru and Gabriela Râpeanu
Foods 2025, 14(2), 317; https://doi.org/10.3390/foods14020317 - 18 Jan 2025
Cited by 3 | Viewed by 2296
Abstract
With the increasing global demand for sustainable and eco-friendly food items, it is imperative to investigate alternate sources of natural pigments. The red beetroot (Beta vulgaris L.) is a traditional food in many countries and a rich bioactive compound known for its [...] Read more.
With the increasing global demand for sustainable and eco-friendly food items, it is imperative to investigate alternate sources of natural pigments. The red beetroot (Beta vulgaris L.) is a traditional food in many countries and a rich bioactive compound known for its beneficial properties. Beetroot peel, a by-product of beetroot food processing, is often discarded, contributing to environmental damage. This research explores the potential of beetroot peel (BP) powder as a natural pigment in food products and its functional benefits. The study focuses on incorporating BP powder into meringues, aiming to create a value-added product with enhanced properties, particularly antioxidant activity. Various amounts of BP powder (4–10%) were added to meringue formulations, and the effects on the resulting meringues’ physicochemical properties, sensory qualities, and phytochemical profiles were assessed during 21 days of storage. The research revealed that BP powder, besides its function as a natural colorant and the pleasing pink hue it imparts to meringues, also enhances antioxidant activity due to its high phenolic concentration. BP powder was also incorporated to enhance the meringues’ overall sensory characteristics, improving their flavor and texture. The research findings indicate that BP has the potential to be used as a natural food ingredient to promote human health, resource-use efficiency, and a circular economy. Full article
(This article belongs to the Special Issue Comprehensive Utilization of By-Products in Food Industry)
Show Figures

Figure 1

20 pages, 352 KB  
Article
The Effect of Osmotic Dehydration Conditions on the Potassium Content in Beetroot (Beta vulgaris L.)
by Bartosz Kulczyński, Joanna Suliburska, Anna Gramza-Michałowska, Andrzej Sidor, Przemysław Łukasz Kowalczewski and Anna Brzozowska
Molecules 2024, 29(23), 5509; https://doi.org/10.3390/molecules29235509 - 21 Nov 2024
Cited by 1 | Viewed by 1527
Abstract
Osmotic dehydration as a process of removing water from food by immersing the raw material in a hypertonic solution is used primarily to extend the shelf life of products and as a pretreatment before further processing steps, such as drying and freezing. However, [...] Read more.
Osmotic dehydration as a process of removing water from food by immersing the raw material in a hypertonic solution is used primarily to extend the shelf life of products and as a pretreatment before further processing steps, such as drying and freezing. However, due to the bi-directional mass transfer that occurs during osmotic dehydration, the process can also be used to shape sensory properties and enrich the plant matrix with nutrients. The purpose of this study was to evaluate the effect of osmotic dehydration on the absorption of potassium by beet pulp immersed in various hypertonic solutions (sucrose, inulin, erythritol, xylitol solutions) with the addition of three chemical forms of potassium (gluconate, citrate, chloride) using variable process conditions. The study proved that osmotic dehydration is an effective way to enrich food. The highest potassium content (5779.03 mg/100 g) was found in a sample osmotically dehydrated in a 50% erythritol solution with 5.0% potassium chloride addition with a process that lasted 180 min and took place at 30 °C. The results obtained indicate the high potential of osmotic dehydration in improving the health values of food products. In addition, the antioxidant activity and proximate composition of osmotically dehydrated samples were also characterized in this study. Full article
(This article belongs to the Special Issue Molecular Level Changes in Food Processing: Invisible Treasures)
18 pages, 3851 KB  
Article
Enterotype-Specific Effects of Red Beetroot (Beta vulgaris L.) Powder and Betanin on Human Gut Microbiota: A Preliminary Study Based on In Vitro Fecal Fermentation Model
by Gwang-Pyo Ko, Hyejun Jo, Jungman Kim, Jeong Seon Kim, Kyung-Hwan Boo and Chang Sook Kim
Life 2024, 14(11), 1391; https://doi.org/10.3390/life14111391 - 29 Oct 2024
Cited by 1 | Viewed by 1916
Abstract
Red beetroots, rich in betanin, may act as prebiotics and impact gut microbiota. Because the human gut microbiota is unique to each person, the effectiveness of prebiotics varies with the enterotype. In this study, we hypothesized that the effects of red beetroot powder [...] Read more.
Red beetroots, rich in betanin, may act as prebiotics and impact gut microbiota. Because the human gut microbiota is unique to each person, the effectiveness of prebiotics varies with the enterotype. In this study, we hypothesized that the effects of red beetroot powder (RP) and betanin pigment (BP) would differ depending on the enterotype. Fecal samples from 30 subjects were analyzed and categorized into three enterotypes: Phocaeicola, Prevotella, and Bifidobacterium. Feces were collected from one representative subject from each enterotype cluster for fermentation. Results showed that RP and BP affected microbiota composition and short-chain fatty acid (SCFA) production differently across enterotypes. The Bifidobacterium cluster showed significantly reduced alpha diversity, with the direction of change in the gut microbiota composition being different from that of other subjects. Additionally, SCFAs significantly increased, with the highest increase in the Bifidobacterium cluster. In this cluster, metabolic pathways related to SCFAs (i.e., starch and sucrose metabolism and glycolysis/gluconeogenesis) were altered. Conversely, Prevotella-dominant feces exhibited fewer changes in SCFAs and a lower increase in Bifidobacterium abundance than the others. These findings highlight that RP and BP elicit enterotype-specific responses in the gut microbiota composition and SCFA production, emphasizing the importance of enterotypes in personalized nutrition. Full article
(This article belongs to the Special Issue Microbiota in Health and Disease)
Show Figures

Figure 1

19 pages, 2272 KB  
Article
Studying the Influence of Salt Concentrations on Betalain and Selected Physical and Chemical Properties in the Lactic Acid Fermentation Process of Red Beetroot
by Emilia Janiszewska-Turak, Anna Wierzbicka, Katarzyna Rybak, Katarzyna Pobiega, Alicja Synowiec, Łukasz Woźniak, Urszula Trych, Andrzej Krzykowski and Anna Gramza-Michałowska
Molecules 2024, 29(20), 4803; https://doi.org/10.3390/molecules29204803 - 11 Oct 2024
Cited by 4 | Viewed by 3347
Abstract
This study emphasizes the significance of optimizing salt content during the fermentation of red beetroot to produce healthier and high-quality fermented products. It investigates the impact of different salt levels on fermentation, analyzing various parameters such as pH levels, dry matter content, total [...] Read more.
This study emphasizes the significance of optimizing salt content during the fermentation of red beetroot to produce healthier and high-quality fermented products. It investigates the impact of different salt levels on fermentation, analyzing various parameters such as pH levels, dry matter content, total acidity, salt content, color changes, pigment content, and lactic acid bacteria count. This study identifies the most favorable salt concentration for bacterial growth during fermentation and storage as 2–3%. It was evaluated that salt levels fluctuated significantly during fermentation, with nearly 50% of the added salt absorbed by the beetroot tissues, mainly when lower salt concentrations were used. The fermentation process had a negative effect on the content of betalain pigments, as well as yellow pigments, including vulgaxanthin-I. It was also found that fermentation and storage affected the proportions of red pigments, with betacyanins proving to be more stable than betaxanthins, and that salt addition affected negatively pH and total acidity while causing an increase in yellow color. The pH was negatively correlated with the duration of the process, the amount of red pigment, and bacterial count. The results indicate that lower salt levels can lead to favorable physicochemical and microbiological parameters, allowing for the production of fermented red beetroot with reduced salt content without compromising quality. Full article
Show Figures

Figure 1

14 pages, 1738 KB  
Article
Empirical Modeling of the Drying Kinetics of Red Beetroot (Beta vulgaris L.; Chenopodiaceae) with Peel, and Flour Stability in Laminated and Plastic Flexible Packaging
by Elisabete Piancó de Sousa, Emanuel Neto Alves de Oliveira, Thamirys Lorranne Santos Lima, Rafael Fernandes Almeida, Jefferson Henrique Tiago Barros, Clara Mariana Gonçalves Lima, Angelo Maria Giuffrè, Jolanta Wawrzyniak, Sławomir Wybraniec, Henrique Douglas Melo Coutinho and Bruno Fonsêca Feitosa
Foods 2024, 13(17), 2784; https://doi.org/10.3390/foods13172784 - 1 Sep 2024
Cited by 8 | Viewed by 3303
Abstract
Despite the high global production of beetroot (Beta vulgaris L.), its peel is often discarded. Transforming beetroot into flour can reduce waste, improve food security, and decrease environmental pollution. However, large-scale feasibility depends on understanding drying kinetics and optimal storage conditions. This [...] Read more.
Despite the high global production of beetroot (Beta vulgaris L.), its peel is often discarded. Transforming beetroot into flour can reduce waste, improve food security, and decrease environmental pollution. However, large-scale feasibility depends on understanding drying kinetics and optimal storage conditions. This study aimed to investigate the effects of different temperatures in the convective drying of whole beetroot and evaluate the influence of laminated flexible and plastic packaging on flour stability over two months. Drying kinetics were analyzed using five models, with the Page and Logarithm models showing the best fit (R2 > 0.99). Def values (1.27 × 10−9 to 2.04 × 10−9 m2 s−1) increased with rising temperatures while drying time was reduced (from 820 to 400 min), indicating efficient diffusion. The activation energy was 29.34 KJ mol−1, comparable to other plant matrices. Drying reduced moisture and increased ash concentration in the flour. The flour showed a good water adsorption capacity and low cohesiveness, making it marketable. Laminated packaging was more effective in controlling physicochemical parameters, reducing hygroscopicity, and maintaining quality over 60 days. In summary, the Page model can predict beetroot drying kinetics effectively, and laminated packaging can control flour stability. Full article
(This article belongs to the Special Issue Drying Technology Used in Food Processing and Preservation)
Show Figures

Figure 1

20 pages, 1292 KB  
Article
Evaluating Biocompounds in Discarded Beetroot (Beta vulgaris) Leaves and Stems for Sustainable Food Processing Solutions
by Carolina Mella, Natalia Rojas, Hector Calderon-Bravo and Loreto A. Muñoz
Foods 2024, 13(16), 2603; https://doi.org/10.3390/foods13162603 - 20 Aug 2024
Cited by 6 | Viewed by 2930
Abstract
The current trend focuses on reducing food waste, with scientific studies exploring the nutritional value of discarded food components to identify potential health benefits. Beetroot (Beta vulgaris L.) is highly consumed, but its stems and leaves are often discarded. This work aims [...] Read more.
The current trend focuses on reducing food waste, with scientific studies exploring the nutritional value of discarded food components to identify potential health benefits. Beetroot (Beta vulgaris L.) is highly consumed, but its stems and leaves are often discarded. This work aims to characterize the chemical properties and bioactive compounds in beet stems and leaves and assess their applicability in food products. The stems and leaves were subjected to different drying temperatures (50 to 70 °C) to determine the optimal temperature for preserving their bioactive compounds. They are then nutritionally and physiochemically characterized and incorporated into a food matrix. The optimal drying temperature was 60 °C. The leaves and stems contain approximately 30 and 15 g/100 g of protein, 30 and 32 g/100 g of dietary fiber, 4 and 0.45 g/100 g of lipids, and 24 and 25 g/100 g of ash, respectively. Both provide approximately 50% of the amino acid requirements established by the WHO/FAO/UNU and are rich in iron and potassium. The stems presented 53% more betalainic compounds (0.58 mg/g) and a higher nitrate content (359 mg/kg) than did the leaves, which presented a higher polyphenol content. The incorporation of flour from beet stems and leaves into food products is economical, reduces food waste, and enhances nutrition and health. Full article
(This article belongs to the Section Nutraceuticals, Functional Foods, and Novel Foods)
Show Figures

Figure 1

14 pages, 2840 KB  
Article
Comprehensive Genome-Wide Identification and Characterization of the AP2 Subfamily in Beta vulgaris L. in Response to Exogenous Abscisic Acid
by Yan Zhai, Yuanrong Ni, Hao Wang, Yuanhang Zhou and Wang Xing
Agriculture 2024, 14(8), 1273; https://doi.org/10.3390/agriculture14081273 - 2 Aug 2024
Viewed by 1245
Abstract
APETALA2 (AP2) belongs to transcription factor (TF) families, with crucial roles in regulating plant growth, development, and stress responses. In order to explore the characteristics of sugar beet (Beta vulgaris L.) AP2s (BvAP2s) in response to drought stress hormone abscisic [...] Read more.
APETALA2 (AP2) belongs to transcription factor (TF) families, with crucial roles in regulating plant growth, development, and stress responses. In order to explore the characteristics of sugar beet (Beta vulgaris L.) AP2s (BvAP2s) in response to drought stress hormone abscisic acid (ABA), genome-wide identification, and the phylogeny, gene structure and promoter precursor analysis of the BvAP2s were employed to predict their potential functions. It is shown that there are a total of 13 BvAP2 genes in the Beta vulgaris. Based on the primary amino acid sequence, the BvAP2s can be further subdivided into euAP2, euANT and basalANT. In addition, cis-acting element analysis showed that BvAP2s contained several abiotic stress-related elements, including those associated with ABA and drought stress. Roots are the first to perceive stress signals, and ABA-treated beetroot transcriptome and downstream gene prediction of BvAP2s revealed that BVRB_4g074790, BVRB_6g128480 and BVRB_7g179610 may play an important role involved in ABA signaling pathways during the stress response by regulating downstream GRAM genes, LEAs and U-boxes. Additionally, quantitative real-time polymerase chain reaction (qRT-PCR) further confirmed the downregulation of these three BvAP2s in response to ABA induction in sugar beet roots. These findings provide a basis for future utilization of BvAP2s in developing drought-tolerant Beta vulgaris varieties. Full article
(This article belongs to the Special Issue Genetic Diversity Assessment and Phenotypic Characterization of Crops)
Show Figures

Figure 1

27 pages, 2892 KB  
Article
Valorization of Red Beetroot (Beta vulgaris L.) Pomace Combined with Golden Linseed (Lini semen) for the Development of Vegetable Crispbreads as Gluten-Free Snacks Rich in Bioactive Compounds
by Julia Niemira and Sabina Galus
Molecules 2024, 29(9), 2105; https://doi.org/10.3390/molecules29092105 - 2 May 2024
Cited by 7 | Viewed by 2160
Abstract
This work aimed to develop gluten-free snacks such as crispbread based on beetroot pomace (Beta vulgaris L.) and golden linseed (Lini semen). Beetroot is attracting more and more consumer attention because of its nutritional and health properties. The use of [...] Read more.
This work aimed to develop gluten-free snacks such as crispbread based on beetroot pomace (Beta vulgaris L.) and golden linseed (Lini semen). Beetroot is attracting more and more consumer attention because of its nutritional and health properties. The use of beet pomace contributes to waste management. Linseed, known as a superfood with many health-promoting properties, was used to produce crispbreads as an alternative to cereals, which are allergens. Beetroot pomace and whole or ground linseed were used in different proportions to produce crispbread snacks. Chemical and physical analyses were performed including water activity, dry matter, betalains, and polyphenols content, as well as Fourier transform infrared spectroscopy (FTIR). A sensory evaluation and microstructure observations were also performed. The obtained snacks were characterized by low water activity (0.290–0.395) and a high dry matter content (93.43–97.53%), which ensures their microbiological stability and enables longer storage. Beetroot pomace provided betalains—red (14.59–51.44 mg betanin/100 g d.m.) and yellow dyes (50.02–171.12 mg betanin/100 g d.m.)—while using linseed enriched the product with polyphenols (730–948 mg chlorogenic acid/100 g d.m.). FTIR analysis showed the presence of functional groups such as the following: -OH, -C-O, -COOH, and -NH. The most desired overall consumer acceptability was achieved for snacks containing 50% beetroot pomace and 50% linseed seeds. The obtained results confirmed that beetroot pomace combined with linseed can be used in the production of vegetable crispbread snacks. Full article
(This article belongs to the Special Issue Functional Foods and Dietary Bioactives in Human Health)
Show Figures

Figure 1

14 pages, 3487 KB  
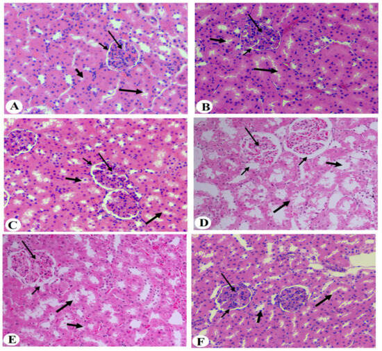
Article
Nephroprotective and Anti-Diabetic Potential of Beta vulgaris L. Root (Beetroot) Methanolic Extract in a Rat Model of Type 2 Diabetes Mellitus
by Laila Naif Al-Harbi, Ghedeir M. Alshammari, Ghalia Shamlan, Manal Abdulaziz Binobead, Sahar Abdulaziz AlSedairy, Doha M. Al-Nouri, Shaista Arzoo and Mohammed Abdo Yahya
Medicina 2024, 60(3), 394; https://doi.org/10.3390/medicina60030394 - 26 Feb 2024
Cited by 2 | Viewed by 3058
Abstract
Background and Objectives: Diabetes mellitus is a chronic metabolic disease associated with several complications, including that of kidney disease. Plant-based dietary products have shown promise in mitigating these effects to improve kidney function and prevent tissue damage. This study assessed the possible [...] Read more.
Background and Objectives: Diabetes mellitus is a chronic metabolic disease associated with several complications, including that of kidney disease. Plant-based dietary products have shown promise in mitigating these effects to improve kidney function and prevent tissue damage. This study assessed the possible favorable effects of beetroot extract (BE) in improving kidney function and preventing tissue damage in diabetic rats. Materials and Methods: Type 2 diabetes mellitus (T2DM) was induced using a low dose of streptozotocin (STZ). Both control and rats with pre-established T2DM were divided into six groups (each consisting of eight rats). All treatments were given by gavage and continued for 12 weeks. Fasting blood glucose levels, serum fasting insulin levels, Homeostatic Model Assessment for Insulin Resistance (HOMA-IR), serum triglycerides, cholesterol, low-density lipoprotein-cholesterol, serum and urinary albumin, and creatinine and urea levels were measured. Apart from this, glutathione, malondialdehyde, superoxide dismutase, tumor necrosis factor-α, and interleukine-6 in the kidney homogenates of all groups of rats were measured, and the histopathological evaluation of the kidney was also performed. Results: It was observed that treatment with BE increased body weight significantly (p ≤ 0.05) to be similar to that of control groups. Fasting glucose, insulin, HOMA-IR levels, and lipid profile in the plasma of the pre-established T2DM rats groups decreased to p ≤ 0.05 in the BE-treated rats as the BE concentration increased. Treatment with BE also improved the renal levels of oxidative stress and inflammatory markers, urinary albumin, and serum creatinine and urea levels. Unlike all other groups, only the kidney tissues of the T2DM + BE (500 mg/kg) rats group showed normal kidney tissue structure, which appears to be similar to those found in the kidney tissues of the control rats groups. Conclusion: we found that streptozotocin administration disturbed markers of kidney dysfunction. However, Beta vulgaris L. root extract reversed these changes through antioxidant, anti-inflammatory, and antiapoptotic mechanisms. Full article
Show Figures

Figure 1

Back to TopTop