Sign in to use this feature.

Years

Between: -

Subjects

remove_circle_outline
remove_circle_outline
remove_circle_outline
remove_circle_outline
remove_circle_outline
remove_circle_outline
remove_circle_outline
remove_circle_outline
remove_circle_outline

Journals

remove_circle_outline
remove_circle_outline
remove_circle_outline
remove_circle_outline
remove_circle_outline
remove_circle_outline
remove_circle_outline
remove_circle_outline
remove_circle_outline
remove_circle_outline
remove_circle_outline
remove_circle_outline
remove_circle_outline
remove_circle_outline
remove_circle_outline
remove_circle_outline

Article Types

Countries / Regions

remove_circle_outline
remove_circle_outline
remove_circle_outline
remove_circle_outline
remove_circle_outline
remove_circle_outline

Search Results (1,060)

Search Parameters:
Keywords = anterior approach

Order results
Result details
Results per page
Select all
Export citation of selected articles as:
15 pages, 3761 KB  
Case Report
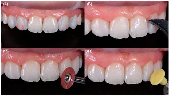
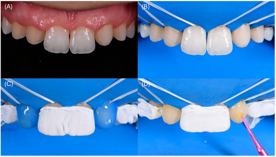
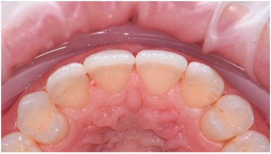
Injection Molding and Palatal Silicone Key Combination: A Hybrid Approach for Complex Anterior Cases
by Maria Fostiropoulou, Eftychia Pappa, Konstantinos Tzimas and Efstratios Papazoglou
Oral 2026, 6(1), 14; https://doi.org/10.3390/oral6010014 - 26 Jan 2026
Abstract
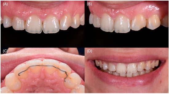
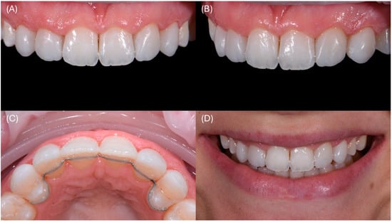
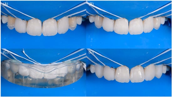
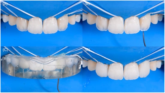
Background/Objectives: This article presents a novel approach that combines the Palatal Silicone Key and Injection Molding techniques as a viable alternative for complex anterior cases with high esthetic demands, where layering multiple shades is essential to achieve a natural appearance, rather than using [...] Read more.
Background/Objectives: This article presents a novel approach that combines the Palatal Silicone Key and Injection Molding techniques as a viable alternative for complex anterior cases with high esthetic demands, where layering multiple shades is essential to achieve a natural appearance, rather than using a single monochromatic composite. Methods: The Palatal Silicone Key technique utilizes a silicone index to transfer palatal and incisal anatomy from a diagnostic wax-up, allowing freehand layering of proximal and buccal surfaces with multiple composite shades. The Injection Molding technique provides a simpler and more predictable workflow by using a transparent silicone index to replicate the wax-up. However, the original injection technique relies on a single-shade composite, limiting the esthetic outcomes. In the presented case canines and first premolars were reshaped to replace congenitally missing lateral incisors. Palatal surfaces were built with medium-viscosity enamel shade composite using the silicone key, and dentin anatomy was sculpted freehand with dentin shade composite. Buccal anatomy was restored by injecting enamel shade flowable composite into the transparent index. Results: This combined protocol facilitated the precise transfer of the wax-up, minimizing adjustments, while the use of multiple composite shades reproduced the natural translucency of adjacent teeth, resulting in highly esthetic restorations. Conclusions: Handling traditional composites in complex anterior cases can be time-consuming and technique-sensitive. The presented combination of techniques, while requiring a high level of skill and precision, integrates the strengths of both approaches, enabling a minimally invasive, additive workflow with reduced clinical time and more predictable esthetic outcomes. Full article
(This article belongs to the Special Issue Artificial Intelligence in Oral Medicine: Advancements and Challenges)
Show Figures

Graphical abstract

8 pages, 496 KB  
Review
Genicular Nerve Block in ACL Reconstruction: A Mini Review
by Stefan Stanciugelu, Jenel Marian Patrascu, Diana Nitusca, Sorin Florescu and Jenel Marian Patrascu
Surgeries 2026, 7(1), 17; https://doi.org/10.3390/surgeries7010017 - 26 Jan 2026
Abstract
Background and objectives: Anterior cruciate ligament reconstruction (ACLR) is often associated with significant postoperative pain. Effective pain control is vital for early mobilization and reducing opioid use. While femoral nerve block (FNB) and adductor canal block (ACB) are common, they can cause motor [...] Read more.
Background and objectives: Anterior cruciate ligament reconstruction (ACLR) is often associated with significant postoperative pain. Effective pain control is vital for early mobilization and reducing opioid use. While femoral nerve block (FNB) and adductor canal block (ACB) are common, they can cause motor weakness and incomplete analgesia. The genicular nerve block (GNB), typically used for chronic knee pain and arthroplasty, may offer a motor-sparing alternative for ACLR pain management. This review evaluates the evidence on GNB’s effectiveness for pain control, opioid reduction, and recovery after ACLR. Materials and Methods: A literature search (January 2014–May 2025) identified five studies involving adult ACLR patients receiving GNB. Data on demographics, techniques, pain scores, opioid use, and complications were analyzed. Results: Among 115 patients, GNB provided effective analgesia and reduced opioid needs. Randomized trials showed GNB was comparable to ACB and more effective when combined. Ultrasound, especially with Doppler, enhances precision and safety. No major motor deficits or adverse events were noted. Landmark-based approaches also showed utility in low-resource settings. Conclusions: GNB is a promising, motor-sparing option for postoperative pain in ACLR. Further high-quality trials are needed to confirm the benefits and standardize its use. The findings should be interpreted with caution, as the current evidence is of limited quality and lacks generalizability. Full article
Show Figures

Figure 1

9 pages, 1748 KB  
Article
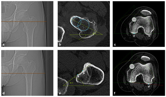
A Novel Potential Landmark for Intraoperative Estimation of Femoral Stem Anteversion: An Analysis of Computed Tomography Measurements
by Ho Hyun Yun, Woo Seung Lee, Young Bae Kim and Jun Woo Park
J. Clin. Med. 2026, 15(3), 945; https://doi.org/10.3390/jcm15030945 (registering DOI) - 24 Jan 2026
Viewed by 79
Abstract
Background/Objectives: Femoral anteversion (FA) is the angle between the femoral neck axis (FNA) and the posterior condylar axis (PCA). Surgeons generally estimate intraoperative femoral stem anteversion visually relative to the PCA, but this method can be challenging even for experienced surgeons. This study [...] Read more.
Background/Objectives: Femoral anteversion (FA) is the angle between the femoral neck axis (FNA) and the posterior condylar axis (PCA). Surgeons generally estimate intraoperative femoral stem anteversion visually relative to the PCA, but this method can be challenging even for experienced surgeons. This study aimed to find an anatomical proximal landmark within a CT coordinate system for intraoperative estimation of femoral stem anteversion. Methods: Seventy patients were included. The anterior lesser trochanter line (ALTL) was defined as the line passing through two tangent points: one between the rounded part of the lesser trochanter and the medial edge of the anterior lesser trochanter cortex, and the other between the anterior cortex of the femur and the lateral edge of the anterior lesser trochanter cortex at the level of the lesser trochanter tip. The following angles were measured and analyzed: Angle 1 (angle between the FNA and the ALTL), Angle 2 (angle between the ALTL and the PCA), and Angle 3 (angle between the FNA and the PCA [FA]). Results: In all measurements, the inter-observer and intra-observer intraclass correlation coefficients exceeded 0.81. Angle 1 negatively correlated with Angle 2 (r = −0.79, p < 0.01), whereas Angle 1 positively correlated with Angle 3 (r = 0.70, p < 0.01). Conclusions: We found a consistent relationship between the ALTL and FA, and the ALTL may serve as a proximal landmark for intraoperative estimation of femoral stem anteversion during anterior or anterolateral approaches. Full article
(This article belongs to the Special Issue New Advances in Hip and Knee Arthroplasty)
Show Figures

Figure 1

24 pages, 2811 KB  
Article
Autochthonous and Allochthonous Gut Microbes May Work Together: Functional Insights from Farmed Gilthead Sea Bream (Sparus aurata)
by Alvaro Belenguer, Federico Moroni, Fernando Naya-Català, Paul George Holhorea, Ricardo Domingo-Bretón, Josep Àlvar Calduch-Giner and Jaume Pérez-Sánchez
Animals 2026, 16(3), 360; https://doi.org/10.3390/ani16030360 - 23 Jan 2026
Viewed by 48
Abstract
In fish gut microbiome studies, there are no standardized protocols regarding sampling region or post-feeding time, nor clear consensus on whether analyses should target resident (autochthonous) or transient (allochthonous) bacteria. This study examined the dynamics and interactions of both microbial communities in the [...] Read more.
In fish gut microbiome studies, there are no standardized protocols regarding sampling region or post-feeding time, nor clear consensus on whether analyses should target resident (autochthonous) or transient (allochthonous) bacteria. This study examined the dynamics and interactions of both microbial communities in the anterior and posterior intestine of farmed gilthead sea bream and evaluated the resident microbiome at 24 and 48 h post-feeding. Microbial DNA was sequenced using the Oxford Nanopore Technology platform. Data were analyzed through statistical and discriminant approaches, as well as a Bayesian network framework to assess bacterial interactions. Transient communities showed higher richness and diversity, regardless of intestinal section, suggesting a more specialized and stable microbial environment in the mucus layer. The two communities differed markedly in structure and composition. Variations associated with intestinal region were less pronounced, particularly for autochthonous bacteria, and post-feeding fluctuations in the resident microbiome were minimal. Functionally, results indicated relevant synergies between communities. Protein metabolism pathways were enriched in autochthonous bacteria, whereas allochthonous microorganisms contributed mainly to bile acid and carbohydrate metabolism. Overall, resident and transient bacteria constitute distinct communities in the gut of gilthead sea bream, with numerous genera present in both but most being differentially represented and interconnected. Full article
17 pages, 3595 KB  
Article
Calcium Ions as Conjugation-Specific Regulators in Paramecium caudatum
by Nobuyuki Haga
Microorganisms 2026, 14(2), 263; https://doi.org/10.3390/microorganisms14020263 - 23 Jan 2026
Viewed by 80
Abstract
The unicellular ciliate Paramecium caudatum undergoes a developmental transition from asexual binary fission to sexual reproduction during its mature stage. This transition is triggered by mating interactions between cells of complementary mating types, leading to aggregate formation, mating pairs, and the meiotic division [...] Read more.
The unicellular ciliate Paramecium caudatum undergoes a developmental transition from asexual binary fission to sexual reproduction during its mature stage. This transition is triggered by mating interactions between cells of complementary mating types, leading to aggregate formation, mating pairs, and the meiotic division of micronuclei. Although calcium-driven EF-hand kinases have been implicated as mating type proteins, the spatiotemporal dynamics of calcium signaling during conjugation have not been comprehensively characterized. In this study, we established a behavioral assay to isolate committed cells from aggregates immediately after mating onset, and developed an experimental system to monitor intracellular calcium fluctuations specifically expressed in these cells. By combining Ca2+/EGTA buffering and microinjection approaches, we manipulated extracellular and intracellular calcium levels and confirmed the continuous requirement of calcium ions for conjugation-specific functions. Two significant findings emerged. First, we identified, for the first time, a calcium atlas covering the entire cell, with ascending centers localized in the anterior, oral apparatus, and posterior regions. The calcium/Indo-1-AM fluorescence peaked at 6 h after mating initiation and declined gradually, but persisted until conjugation was completed at ~48 h. Second, we demonstrated that distinct intracellular calcium thresholds are required for each stage of mating, including maintenance of mating activity, commitment of micronuclei to meiosis, and two-stepwise formation of mating pairs. These thresholds function as regulatory checkpoints that coordinate subcellular localization and stage synchronization. Collectively, our findings highlight calcium ions as pivotal regulators of conjugation in Paramecium and propose a novel framework, the Paramecium calcium atlas, for understanding the cellular and molecular mechanisms underlying sexual reproduction in ciliates. Full article
Show Figures

Figure 1

12 pages, 1839 KB  
Article
Quantitative Ultrasound Assessment of Skeletal Muscle Microvascularity in Relation to Serum 25-Hydroxyvitamin D Concentrations
by Nusret Seher, Lütfiye Parlak, Halil Özer, Esra Öz, Mehmet Sedat Durmaz and Mustafa Koplay
Diagnostics 2026, 16(3), 369; https://doi.org/10.3390/diagnostics16030369 - 23 Jan 2026
Viewed by 152
Abstract
Background/Objective: Vitamin D plays an important role in musculoskeletal health; however, its association with skeletal muscle microvascular perfusion has not been clearly defined using quantitative imaging techniques. To investigate the relationship between serum 25-hydroxyvitamin D [25(OH)D] levels and skeletal muscle microvascularity using an [...] Read more.
Background/Objective: Vitamin D plays an important role in musculoskeletal health; however, its association with skeletal muscle microvascular perfusion has not been clearly defined using quantitative imaging techniques. To investigate the relationship between serum 25-hydroxyvitamin D [25(OH)D] levels and skeletal muscle microvascularity using an advanced ultrasound-based microvascular imaging method. Methods: In this cross-sectional study a total of 141 healthy adults were stratified into two groups according to serum 25(OH)D concentration (<20 ng/mL, n = 71; ≥20 ng/mL, n = 70). Ultra-Micro-Angiography was used to quantitatively assess the vascular index (VI), while cross-sectional area (CSA) measurements were obtained for the flexor carpi radialis, biceps brachii, and tibialis anterior muscles. Group comparisons and receiver operating characteristic (ROC) analyses were performed to evaluate the discriminative performance of microvascular parameters. Results: CSA values did not differ significantly between the groups. In contrast, VI values were significantly higher in participants with higher serum 25(OH)D levels across all examined muscles (p < 0.001). Among the evaluated parameters, the biceps brachii VI demonstrated excellent diagnostic performance in distinguishing between groups (AUC = 0.992; optimal cut-off = 1.25). Conclusions: Serum 25(OH)D levels are strongly associated with skeletal muscle microvascularity independent of muscle size. These findings demonstrate a strong association between serum 25-hydroxyvitamin D concentration and skeletal muscle microvascularity and highlight the potential of ultra-micro-angiography as a non-invasive imaging approach for detecting microvascular differences related to vitamin D status. Full article
(This article belongs to the Section Medical Imaging and Theranostics)
Show Figures

Figure 1

87 pages, 2463 KB  
Review
Through Massage to the Brain—Neuronal and Neuroplastic Mechanisms of Massage Based on Various Neuroimaging Techniques (EEG, fMRI, and fNIRS)
by James Chmiel and Donata Kurpas
J. Clin. Med. 2026, 15(2), 909; https://doi.org/10.3390/jcm15020909 (registering DOI) - 22 Jan 2026
Viewed by 89
Abstract
Introduction: Massage therapy delivers structured mechanosensory input that can influence brain function, yet the central mechanisms and potential for neuroplastic change have not been synthesized across neuroimaging modalities. This mechanistic review integrates evidence from electroencephalography (EEG), functional MRI (fMRI), and functional near-infrared [...] Read more.
Introduction: Massage therapy delivers structured mechanosensory input that can influence brain function, yet the central mechanisms and potential for neuroplastic change have not been synthesized across neuroimaging modalities. This mechanistic review integrates evidence from electroencephalography (EEG), functional MRI (fMRI), and functional near-infrared spectroscopy (fNIRS) to map how massage alters human brain activity acutely and over time and to identify signals of longitudinal adaptation. Materials and Methods: We conducted a scoping, mechanistic review informed by PRISMA/PRISMA-ScR principles. PubMed/MEDLINE, Cochrane Library, Google Scholar, and ResearchGate were queried for English-language human trials (January 1990–July 2025) that (1) delivered a practitioner-applied manual massage (e.g., Swedish, Thai, shiatsu, tuina, reflexology, myofascial techniques) and (2) measured brain activity with EEG, fMRI, or fNIRS pre/post or between groups. Non-manual stimulation, structural-only imaging, protocols, and non-English reports were excluded. Two reviewers independently screened and extracted study, intervention, and neuroimaging details; heterogeneity precluded meta-analysis, so results were narratively synthesized by modality and linked to putative mechanisms and longitudinal effects. Results: Forty-seven studies met the criteria: 30 EEG, 12 fMRI, and 5 fNIRS. Results: Regarding EEG, massage commonly increased alpha across single sessions with reductions in beta/gamma, alongside pressure-dependent autonomic shifts; moderate pressure favored a parasympathetic/relaxation profile. Connectivity effects were state- and modality-specific (e.g., reduced inter-occipital alpha coherence after facial massage, preserved or reorganized coupling with hands-on vs. mechanical delivery). Frontal alpha asymmetry frequently shifted leftward (approach/positive affect). Pain cohorts showed decreased cortical entropy and a shift toward slower rhythms, which tracked analgesia. Somatotopy emerged during unilateral treatments (contralateral central beta suppression). Adjuncts (e.g., binaural beats) enhanced anti-fatigue indices. Longitudinally, repeated programs showed attenuation of acute EEG/cortisol responses yet improvements in stress and performance; in one program, BDNF increased across weeks. In preterm infants, twice-daily massage accelerated EEG maturation (higher alpha/beta, lower delta) in a dose-responsive fashion; the EEG background was more continuous. In fMRI studies, in-scanner touch and reflexology engaged the insula, anterior cingulate, striatum, and periaqueductal gray; somatotopic specificity was observed for mapped foot areas. Resting-state studies in chronic pain reported normalization of regional homogeneity and/or connectivity within default-mode and salience/interoceptive networks after multi-session tuina or osteopathic interventions, paralleling symptom improvement; some task-based effects persisted at delayed follow-up. fNIRS studies generally showed increased prefrontal oxygenation during/after massage; in motor-impaired cohorts, acupressure/massage enhanced lateralized sensorimotor activation, consistent with use-dependent plasticity. Some reports paired hemodynamic changes with oxytocin and autonomic markers. Conclusions: Across modalities, massage reliably modulates central activity acutely and shows convergent signals of neuroplastic adaptation with repeated dosing and in developmental windows. Evidence supports (i) rapid induction of relaxed/analgesic states (alpha increases, network rebalancing) and (ii) longer-horizon changes—network normalization in chronic pain, EEG maturation in preterm infants, and neurotrophic up-shifts—consistent with trait-level recalibration of stress, interoception, and pain circuits. These findings justify integrating massage into rehabilitation, pain management, mental health, and neonatal care and motivate larger, standardized, multimodal longitudinal trials to define dose–response relationships, durability, and mechanistic mediators (e.g., connectivity targets, neuropeptides). Full article
(This article belongs to the Special Issue Physical Therapy in Neurorehabilitation)
Show Figures

Figure 1

20 pages, 2476 KB  
Case Report
Improving Lexicosemantic Impairments in Post-Stroke Aphasia Using rTMS Targeting the Right Anterior Temporal Lobe
by Sophie Arheix-Parras, Sophia R. Moore and Rutvik H. Desai
Brain Sci. 2026, 16(1), 117; https://doi.org/10.3390/brainsci16010117 - 22 Jan 2026
Viewed by 45
Abstract
Background/Objectives: Repetitive Transcranial Magnetic Stimulation (rTMS) can enhance post-stroke aphasia recovery. The right Inferior Frontal Gyrus is the most common target in rTMS studies for inhibitory stimulation. However, lexicosemantic processes involve a large brain network including the Anterior Temporal Lobe (ATL). We [...] Read more.
Background/Objectives: Repetitive Transcranial Magnetic Stimulation (rTMS) can enhance post-stroke aphasia recovery. The right Inferior Frontal Gyrus is the most common target in rTMS studies for inhibitory stimulation. However, lexicosemantic processes involve a large brain network including the Anterior Temporal Lobe (ATL). We hypothesize that rTMS targeting the ATL will improve lexicosemantic impairments in people with post-stroke aphasia. Methods: In a Single-Case Experimental Design, three people with post-stroke aphasia with lexicosemantic impairments performed Picture and Auditory Naming and Semantic Decision tasks five times a week for one or two weeks to establish baseline scores. Then, each participant received continuous inhibitory Theta Burst Stimulation targeting the right ATL, five times a week for two weeks. After each rTMS session, participants performed all linguistic tasks. A follow-up measurement was performed one month after the end of the study. Results: All participants showed significant improvement in the Picture Naming task, while only P1 improved in Auditory Naming accuracy. In the Semantic Decision task, only P2 showed improvement in both accuracy and RT, while P1 showed improvement in RT alone and P3 showed no improvement. Conclusions: The results suggest that ATL could be a potential target for future brain stimulation studies in aphasia involving lexicosemantic impairments. RTMS targeting the ATL may modulate the connected ventral semantic stream, leading to improvements in lexical access. This preliminary study highlights the possibility of selecting the cortical target for rTMS based on the clinical profile of the participant, an approach that will need further investigation in larger sham-controlled studies. Full article
(This article belongs to the Special Issue Diagnosis and Treatment of Post-Stroke and Progressive Aphasias)
Show Figures

Figure 1

12 pages, 1368 KB  
Article
The Efficacy of Prone Single-Position Lateral Lumbar Interbody Fusion for Symptomatic Cranial Adjacent Segment Degeneration
by Dong Hun Kim, Sang Don Kim, Jung-Woo Hur, Jin Young Kim and Jae Taek Hong
J. Clin. Med. 2026, 15(2), 895; https://doi.org/10.3390/jcm15020895 (registering DOI) - 22 Jan 2026
Viewed by 33
Abstract
Background/Objectives: Following lumbar fusion procedures, adjacent segment degeneration (ASD) at cranial levels presents as a well-documented long-term complication, manifesting through recurrent pain, neurological deficits, and progressive functional decline. The prone single-position technique for lateral lumbar interbody fusion (PSP-LLIF) streamlines surgical workflow by [...] Read more.
Background/Objectives: Following lumbar fusion procedures, adjacent segment degeneration (ASD) at cranial levels presents as a well-documented long-term complication, manifesting through recurrent pain, neurological deficits, and progressive functional decline. The prone single-position technique for lateral lumbar interbody fusion (PSP-LLIF) streamlines surgical workflow by eliminating the need for intraoperative patient repositioning; however, comprehensive evidence supporting its clinical and radiological effectiveness in managing cranial ASD remains insufficient. Material and Methods: This retrospective cohort study examined 30 consecutive patients presenting with symptomatic cranial adjacent segment disease who were treated with PSP-LLIF at a single institution. Patient-reported outcome measures included visual analog scale (VAS) assessments for axial and radicular pain, alongside the Oswestry Disability Index (ODI) for functional status evaluation. Radiological parameters included overall and segmental lumbar lordotic measurements, anterior and posterior disk height, fusion status, and instrumentation-related complications. Results: At 12-month postoperative evaluation, substantial clinical improvements were demonstrated. Mean VAS reductions measured 4.7 points for axial pain and 6.5 points for radicular pain, while ODI decreased by 28.5 points (p < 0.05). Radiological assessment demonstrated mean increases of 6.3° in lumbar lordosis and 5.1° in segmental lordosis, along with significant gains in both anterior and posterior disk height (p < 0.05). Solid fusion was radiographically confirmed at all instrumented levels. Temporary postoperative neurological symptoms developed in several patients but resolved spontaneously without requiring revision surgery. Conclusions: PSP-LLIF yields substantial clinical benefit and reliable radiological correction in patients with symptomatic cranial ASD. Optimal outcomes necessitate rigorous adherence to position-specific technical modifications, particularly maintenance of perpendicular fluoroscopic trajectories and implementation of continuous neural monitoring to account for prone-induced anatomical shifts. This approach represents a viable treatment strategy for patients with symptomatic cranial ASD. Full article
Show Figures

Graphical abstract

20 pages, 1260 KB  
Review
Neuroimaging-Guided Insights into the Molecular and Network Mechanisms of Chronic Pain and Neuromodulation
by Chiahui Yen and Ming-Chang Chiang
Int. J. Mol. Sci. 2026, 27(2), 1080; https://doi.org/10.3390/ijms27021080 - 21 Jan 2026
Viewed by 107
Abstract
Chronic pain is a pervasive and debilitating condition that affects millions of individuals worldwide. Unlike acute pain, which serves a protective physiological role, chronic pain persists beyond routine tissue healing and often arises without a discernible peripheral cause. Accumulating evidence indicates that chronic [...] Read more.
Chronic pain is a pervasive and debilitating condition that affects millions of individuals worldwide. Unlike acute pain, which serves a protective physiological role, chronic pain persists beyond routine tissue healing and often arises without a discernible peripheral cause. Accumulating evidence indicates that chronic pain is not merely a symptom but a disorder of the central nervous system, underpinned by interacting molecular, neurochemical, and network-level alterations. Molecular neuroimaging using PET and MR spectroscopy has revealed dysregulated excitatory–inhibitory balance (glutamate/GABA), altered monoaminergic and opioidergic signaling, and neuroimmune activation (e.g., TSPO-indexed glial activation) in key pain-related regions such as the insula, anterior cingulate cortex, thalamus, and prefrontal cortex. Converging multimodal imaging—including functional MRI, diffusion MRI, and EEG/MEG—demonstrates aberrant activity and connectivity across the default mode, salience, and sensorimotor networks, alongside structural remodeling in cortical and subcortical circuits. Parallel advances in neuromodulation, including transcranial magnetic stimulation (TMS), transcranial electrical stimulation (tES), deep brain stimulation (DBS), and emerging biomarker-guided closed-loop approaches, provide tools to perturb these maladaptive circuits and to test mechanistic hypotheses in vivo. This review integrates neuroimaging findings with molecular and systems-level mechanistic insights into chronic pain and its modulation, highlighting how imaging markers can link biochemical signatures to neural dynamics and guide precision pain management and individualized therapeutic strategies. Full article
Show Figures

Figure 1

10 pages, 246 KB  
Article
Transition from Transrectal Systematic to Transperineal Lesion-Focused Prostate Biopsy: A Real-World Comparative Analysis
by Thibaut Long Depaquit, Federica Sordelli, Christopher Agüero, Arthur Peyrottes, Alessandro Uleri, Laurent Daniel, David Chemouni, Cyrille Bastide and Michael Baboudjian
Cancers 2026, 18(2), 332; https://doi.org/10.3390/cancers18020332 - 21 Jan 2026
Viewed by 76
Abstract
Background/Objectives: The transperineal (TP) approach has progressively replaced the transrectal (TR) approach for prostate biopsy because of its improved safety profile. However, its impact on the detection of clinically significant prostate cancer (csPCa), particularly within modern lesion-focused biopsy strategies that combine targeted and [...] Read more.
Background/Objectives: The transperineal (TP) approach has progressively replaced the transrectal (TR) approach for prostate biopsy because of its improved safety profile. However, its impact on the detection of clinically significant prostate cancer (csPCa), particularly within modern lesion-focused biopsy strategies that combine targeted and perilesional sampling, remains uncertain. We aimed to evaluate the real-world diagnostic impact of transitioning from a TR systematic-based biopsy strategy to a TP lesion-focused approach. Methods: We conducted a retrospective single-centre study including consecutive men who underwent image-guided prostate biopsy between 2018 and 2025. Only patients with a single MRI-visible lesion (PI-RADS ≥ 3) were included. Two biopsy strategies were compared: TR systematic biopsy (TR–SBx), combining targeted and systematic cores, and TP lesion-focused biopsy (TP–LFx), combining targeted and perilesional cores. The primary outcome was the detection of csPCa (Gleason Grade Group ≥ 2). Secondary outcomes included detection of Gleason Grade Group 1 cancer and negative biopsies. Inverse probability of treatment weighting (IPTW) based on a propensity score was applied to adjust for baseline differences. Doubly robust weighted logistic regression models were used, with predefined subgroup and sensitivity analyses. Results: Among 1032 included patients, 931 underwent TR–SBx and 101 TP–LFx. After restriction to the region of common support, 528 patients were retained for IPTW analyses. In the IPTW-adjusted analysis, TP–LFx was associated with higher csPCa detection compared with TR–SBx (adjusted odds ratio [OR] 2.52, 95% confidence interval [CI] 1.40–4.52; p = 0.002) and with lower detection of Gleason Grade Group 1 cancer (OR 0.50, 95% CI 0.27–0.92; p = 0.03). Subgroup analyses suggested a stronger association in patients with prior negative biopsy and in anterior or apical lesions. Conclusions: In routine clinical practice, transitioning from a transrectal systematic-based biopsy strategy to a transperineal lesion-focused approach was associated with improved detection of csPCa and reduced overdiagnosis. These findings support the consideration of transperineal, lesion-focused MRI-guided biopsy strategies in contemporary prostate cancer diagnostics. Full article
18 pages, 2182 KB  
Article
Neuromuscular Evaluation in Orthodontic–Surgical Treatment: A Comparison Between Monomaxillary and Bimaxillary Surgery
by Lucia Giannini, Luisa Gigante, Giada Di Iasio, Giovanni Cattaneo and Cinzia Maspero
Bioengineering 2026, 13(1), 123; https://doi.org/10.3390/bioengineering13010123 - 21 Jan 2026
Viewed by 178
Abstract
Purpose: Orthognathic surgery is a cornerstone therapeutic approach for correcting dentofacial deformities; however, its Impact on neuromuscular adaptation remains incompletely understood, particularly regarding different surgical strategies. The aim of this study was to evaluate and compare neuromuscular changes in patients undergoing monomaxillary or [...] Read more.
Purpose: Orthognathic surgery is a cornerstone therapeutic approach for correcting dentofacial deformities; however, its Impact on neuromuscular adaptation remains incompletely understood, particularly regarding different surgical strategies. The aim of this study was to evaluate and compare neuromuscular changes in patients undergoing monomaxillary or bimaxillary orthognathic surgery. Methods: Eighty adult patients treated with combined orthodontic–surgical therapy were included (37 monomaxillary; 43 bimaxillary). A control group of 20 healthy adult subjects with physiological occlusion and no history of orthodontic or orthognathic treatment was included. Surface electromyography (sEMG) of the masseter and anterior temporalis muscles and mandibular kinesiography were performed using standardized protocols at five treatment phases. Electromyographic symmetry indices (Percent Overlapping Coefficient—POC), muscle activity (µV), IMPACT values, and mandibular movement parameters were analyzed. Results: During the presurgical orthodontic phase, both groups showed comparable reductions in neuromuscular activity. Postoperatively, monomaxillary patients exhibited earlier stabilization of sEMG symmetry and a faster increase in IMPACT values, approaching physiological reference ranges at the final follow-up. In contrast, bimaxillary patients showed greater variability and slower functional recovery. Mandibular opening and lateral movements improved in all patients, with more stable kinesiographic patterns observed in the monomaxillary group. Conclusions: Within the limitations of this study, neuromuscular adaptation following orthodontic–surgical treatment appears to be associated with the surgical approach adopted, rather than representing a direct effect of surgical extent. These findings support the role of functional assessment as a complementary component in the management of orthognathic patients. Full article
(This article belongs to the Section Biomedical Engineering and Biomaterials)
Show Figures

Figure 1

14 pages, 1230 KB  
Article
Guiding Esthetic Crown Lengthening: A CBCT-Based Modified Classification of Altered Passive Eruption
by Kitichai Janaphan and Thanasak Rakmanee
Dent. J. 2026, 14(1), 67; https://doi.org/10.3390/dj14010067 - 20 Jan 2026
Viewed by 85
Abstract
Background: Altered passive eruption (APE) is one of the etiological factors associated with excessive gingival display and is commonly treated with esthetic crown lengthening (ECL). However, existing classification systems provide limited guidance for selecting appropriate treatment approaches. Objectives: The aim of this study [...] Read more.
Background: Altered passive eruption (APE) is one of the etiological factors associated with excessive gingival display and is commonly treated with esthetic crown lengthening (ECL). However, existing classification systems provide limited guidance for selecting appropriate treatment approaches. Objectives: The aim of this study was to evaluate (1) the expected outcome of ECL in eliminating unattractive excessive gingival display (4 mm) based on digital smile assessment and (2) the distribution of teeth and patients according to the modified APE classification. Methods: Forty-two Thai patients with APE underwent clinical examination, digital smile assessment, intraoral scanning, and CBCT. Predicted gingival display (PGD) was calculated to assess the expected outcomes of ECL. The modified APE classification, incorporating CEJ–BC distance and buccal bone thickness, was analyzed at both the tooth and patient levels. Results: A total of 252 maxillary anterior teeth were assessed. Most patients (78.57%) presented with APE and hyperactive upper lip. The mean gingival display (GD) was 6.04 ± 1.76 mm, with GD ≥ 4 mm observed in 92.86% of patients. The mean PGD was 3.56 ± 1.71 mm, and ECL was predicted to reduce GD to < 4 mm in 66.67% of patients. Teeth were classified as Class I (28.97%), II (15.48%), III (41.27%), and IV (14.28%); only Types II (11.9%) and III (88.1%) occurred at the patient level. Conclusions: ECL performed at the CEJ level is predicted to eliminate excessive gingival display in approximately two-thirds of APE patients. The modified APE classification offers guidance for selecting surgical approaches, highlighting the necessity of open-flap procedures and the limited applicability of flapless approaches. Full article
(This article belongs to the Special Issue New Perspectives in Periodontology and Implant Dentistry)
Show Figures

Figure 1

16 pages, 2780 KB  
Article
Multi-Class Malocclusion Detection on Standardized Intraoral Photographs Using YOLOv11
by Ani Nebiaj, Markus Mühling, Bernd Freisleben and Babak Sayahpour
Dent. J. 2026, 14(1), 60; https://doi.org/10.3390/dj14010060 - 16 Jan 2026
Viewed by 146
Abstract
Background/Objectives: Accurate identification of dental malocclusions from routine clinical photographs can be time-consuming and subject to interobserver variability. A YOLOv11-based deep learning approach is presented and evaluated for automatic malocclusion detection on routine intraoral photographs, testing the hypothesis that training on a structured [...] Read more.
Background/Objectives: Accurate identification of dental malocclusions from routine clinical photographs can be time-consuming and subject to interobserver variability. A YOLOv11-based deep learning approach is presented and evaluated for automatic malocclusion detection on routine intraoral photographs, testing the hypothesis that training on a structured annotation protocol enables reliable detection of multiple clinically relevant malocclusions. Methods: An anonymized dataset of 5854 intraoral photographs (frontal occlusion; right/left buccal; maxillary/mandibular occlusal) was labeled according to standardized instructions derived from the Index of Orthodontic Treatment Need (IOTN) A total of 17 clinically relevant classes were annotated with bounding boxes. Due to an insufficient number of examples, two malocclusions (transposition and non-occlusion) were excluded from our quantitative analysis. A YOLOv11 model was trained with augmented data and evaluated on a held-out test set using mean average precision at IoU 0.5 (mAP50), macro precision (macro-P), and macro recall (macro-R). Results: Across 15 analyzed classes, the model achieved 87.8% mAP50, 76.9% macro-P, and 86.1% macro-R. The highest per-class AP50 was observed for Deep bite (98.8%), Diastema (97.9%), Angle Class II canine (97.5%), Anterior open bite (92.8%), Midline shift (91.8%), Angle Class II molar (91.1%), Spacing (91%), and Crowding (90.1%). Moderate performance included Anterior crossbite (88.3%), Angle Class III molar (87.4%), Head bite (82.7%), and Posterior open bite (80.2%). Lower values were seen for Angle Class III canine (76%), Posterior crossbite (75.6%), and Big overjet (75.3%). Precision–recall trends indicate earlier precision drop-off for posterior/transverse classes and comparatively more missed detections in Posterior crossbite, whereas Big overjet exhibited more false positives at the chosen threshold. Conclusion: A YOLOv11-based deep learning system can accurately detect several clinically salient malocclusions on routine intraoral photographs, supporting efficient screening and standardized documentation. Performance gaps align with limited examples and visualization constraints in posterior regions. Larger, multi-center datasets, protocol standardization, quantitative metrics, and multimodal inputs may further improve robustness. Full article
(This article belongs to the Special Issue Artificial Intelligence in Oral Rehabilitation)
Show Figures

Graphical abstract

16 pages, 3840 KB  
Article
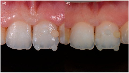
Resin Infiltration for Anterior Teeth Affected by Molar Incisor Hypomineralization in Children and Adolescents: A Clinical Study of Color Masking, Sensitivity, and Aesthetic Perception: A Prospective Single-Arm Interventional Clinical Study
by María Dolores Casaña-Ruiz, Mª Ángeles Vello-Ribes and Montserrat Catalá-Pizarro
Children 2026, 13(1), 131; https://doi.org/10.3390/children13010131 - 15 Jan 2026
Viewed by 178
Abstract
Background/objective: To evaluate the effectiveness of resin infiltration in managing anterior molar incisor hypomineralization (MIH) defects, focusing on color improvement, lesion size reduction, sensitivity outcomes and patient aesthetic perception. Enamel defects in MIH result from a combination of environmental, systemic, and genetic factors, [...] Read more.
Background/objective: To evaluate the effectiveness of resin infiltration in managing anterior molar incisor hypomineralization (MIH) defects, focusing on color improvement, lesion size reduction, sensitivity outcomes and patient aesthetic perception. Enamel defects in MIH result from a combination of environmental, systemic, and genetic factors, indicating a multifactorial etiology. These defects, particularly in anterior teeth, pose significant aesthetic and emotional challenges due to their high visibility. This study provides one of the few prospective clinical evaluations of resin infiltration for anterior MIH lesions, assessing not only objective clinical outcomes but also patients’ aesthetic perception. It further introduces a patient-centered approach by comparing aesthetic evaluations made by children and dental professionals over time. Methods: A total of 109 MIH-affected anterior teeth were treated using Icon® resin infiltration (DMG, Hamburg, Germany) in this registered prospective clinical study (ClinicalTrials.gov: NCT05597956). Participants were classified as children (6–12 years) and adolescents (13–17 years) according to standard pediatric age definitions. Of these, 101 teeth were available for evaluation at the 6-month follow-up due to patient loss to follow-up. The evaluation included photographic follow-up, measurement of lesion size and color, and assessment of sensitivity. During follow-up visits, patients rated the appearance of their lesions using the FDI scale. Results: Before treatment, spectrophotometric analysis showed that lesions exhibited a reddish hue (mean a* = 2.12), were distinctly yellowish (mean b* = 23.20), and clearly differed from surrounding enamel (ΔE = 8.62). The brightness level (L* = 69.81) indicated medium-high luminosity. Lesion size was reduced by an average of 4.5 percentage points. Significant increases in L values and reductions in a* and b* components were observed, with clinically perceptible ΔE changes. Sensitivity improved in 36.6% of patients, who reported a 1–2 point decrease on the SCASS. Moreover, patients’ aesthetic perception significantly improved after Icon® infiltration resin. Conclusions: Resin infiltration produced noticeable improvements in color, reduced lesion size and sensitivity, and enhanced aesthetic perception, making it a valuable treatment option for managing MIH-affected anterior teeth in children. Full article
(This article belongs to the Section Pediatric Dentistry & Oral Medicine)
Show Figures

Figure 1

Back to TopTop