Sign in to use this feature.

Years

Between: -

Subjects

remove_circle_outline
remove_circle_outline
remove_circle_outline
remove_circle_outline
remove_circle_outline
remove_circle_outline
remove_circle_outline
remove_circle_outline
remove_circle_outline

Journals

remove_circle_outline
remove_circle_outline
remove_circle_outline
remove_circle_outline
remove_circle_outline
remove_circle_outline
remove_circle_outline
remove_circle_outline
remove_circle_outline
remove_circle_outline
remove_circle_outline
remove_circle_outline
remove_circle_outline
remove_circle_outline

Article Types

Countries / Regions

remove_circle_outline
remove_circle_outline
remove_circle_outline
remove_circle_outline
remove_circle_outline

Search Results (1,052)

Search Parameters:
Keywords = UFA

Order results
Result details
Results per page
Select all
Export citation of selected articles as:
23 pages, 3620 KB  
Article
Comparative Analysis of Meat Quality Characteristics of the Longissimus dorsi in Suffolk × Hu F1 Crossbreds and Their Parental Breeds
by Zhenghan Chen, Rui Zhang, Liwa Zhang, Zhenfei Xu, Xuejiao An, Chune Niu, Zhiguang Geng, Haina Shi, Jinxia Zhang, Lei Qu, Shuwei Dong and Yaojing Yue
Animals 2026, 16(7), 1027; https://doi.org/10.3390/ani16071027 - 27 Mar 2026
Abstract
With the increasing consumer demand for high-quality lamb, crossbreeding has become a key technology for improving the production performance and meat quality of sheep. To evaluate the meat quality advantages and characteristics of Suffolk (SFK) and Hu sheep (HH) and their F1 [...] Read more.
With the increasing consumer demand for high-quality lamb, crossbreeding has become a key technology for improving the production performance and meat quality of sheep. To evaluate the meat quality advantages and characteristics of Suffolk (SFK) and Hu sheep (HH) and their F1 crossbreds (SH), thirty-six 3-month-old male lambs of SFK (n = 12), HH (n = 12), and SH (n = 12) were selected and raised in individual pens under the same nutritional and management conditions. After standardized feeding until 6 months of age, the Longissimus dorsi muscle was collected to determine meat quality traits, amino acid and fatty acid profiles, and volatile flavor compounds. The results indicated that the L*, a* and b* values of the SH group were significantly lower than those of the parental breeds (p < 0.05), with tenderness being intermediate between the two parent breeds. Notably, drip loss and cooking loss were significantly lower in the SH group (p < 0.05), indicating superior water-holding capacity. In terms of amino acid profiles, the contents of non-essential amino acids (NEAAs) and sweet-tasting amino acids in the SH group were significantly higher than those of the parent breeds (p < 0.05), with the overall profile meeting the FAO/WHO ideal protein pattern. Analysis of fatty acid profiles revealed that the SH group had significantly lower total saturated fatty acids (SFAs) (p < 0.05) and significantly higher levels of functional fatty acids (such as CLA), resulting in a significantly higher UFAs (unsaturated fatty acids)/SFAs (saturated fatty acids) ratio (p < 0.05) and superior nutritional value of fat. Furthermore, 32 volatile flavor compounds were detected in the SH group; among them, key aroma-active compounds such as isoamyl formate, 3-methyl-1-butanol, and acetoin were significantly higher than in the parental breeds (p < 0.05), contributing to a unique flavor profile. Consequently, this study systematically reveals the advantages of Suffolk × Hu F1 crossbreds in terms of meat quality, nutritional value, and flavor characteristics, providing fundamental data for the optimization of crossbreeding systems, breeding selection, and the quality improvement of sheep meat products. Full article
(This article belongs to the Section Animal Products)
Show Figures

Figure 1

19 pages, 4719 KB  
Article
Genetic Differentiation of Pine Plantations in Armenia of Uncertain Origin
by Bernd Degen, Yulai Yanbaev, Areg Karapetyan, Anush Stepanyan and Ana Paula Leite Montalvão
Forests 2026, 17(4), 417; https://doi.org/10.3390/f17040417 - 27 Mar 2026
Viewed by 70
Abstract
Scots pine (Pinus sylvestris L.) spans most of Eurasia, yet southern and mountainous populations may retain distinctive genetic components shaped by long-term isolation and complex postglacial dynamics. We genotyped 186 trees from four Scots pine stands in Armenia (AM1-AM4) and reference stands [...] Read more.
Scots pine (Pinus sylvestris L.) spans most of Eurasia, yet southern and mountainous populations may retain distinctive genetic components shaped by long-term isolation and complex postglacial dynamics. We genotyped 186 trees from four Scots pine stands in Armenia (AM1-AM4) and reference stands from Germany, Russia and Montenegro with the PiSy50k SNP array and integrated these data with published European array datasets from Finland, Poland and the Baltic region. After quality checks and conservative SNP filtering, 627 individuals from 47 populations and 3659 SNP loci were retained. Within-population diversity was generally high; Armenian stands AM2–AM4 were among the most diverse, whereas AM1 showed reduced diversity and the highest differentiation relative to the remainder of the dataset (FST vs. rest = 0.0047). Direct pairwise FST and hierarchical AMOVA confirmed pronounced heterogeneity among Armenian stands, with AM1 the most differentiated stand, AM2 and AM4 closest to the broader Eurasian background, and AM3 intermediate. Principal component analysis (PC1 = 1.42%, PC2 = 0.76%) again separated AM1 strongly from all non-Armenian samples, while AM2 overlapped with the central/eastern European cluster and AM3 and AM4 combined continental-like and AM1-like individuals. Structure-like inference with LEA/sNMF showed a broad cross-entropy plateau from approximately K = 4 to K = 6; we therefore use K = 5 as a practical summary, which highlighted a dominant AM1-associated ancestry component and variable continental admixture in AM2–AM4. KING kinship estimates provided little evidence for within-stand family clustering in Armenian stands; no second-degree-or-closer pairs were observed in AM1–AM4. Together, the results reveal pronounced heterogeneity among Armenian Scots pine stands and identify AM1 as a highly differentiated but unresolved genomic component, providing a genomic baseline to support conservation planning, provenance evaluation and the management of forest reproductive material in the Lesser Caucasus. Full article
(This article belongs to the Section Genetics and Molecular Biology)
Show Figures

Figure 1

20 pages, 3342 KB  
Article
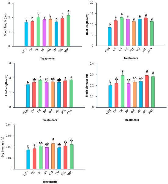
Strain-Specific Microalgal and Cyanobacterial Suspensions Modulate Germination Kinetics and Early Seedling Vigor in Cucumber
by Prabhaharan Renganathan, Alsu Yakupova, Artyom Filippov, Irina Larionova, Rezeda Sushchenko, Alfia Mufazalova, Liliia Khilazhetdinova, Kamilla Gaysina and Lira A. Gaysina
Horticulturae 2026, 12(4), 414; https://doi.org/10.3390/horticulturae12040414 - 27 Mar 2026
Viewed by 81
Abstract
Microalgal and cyanobacterial biostimulants are increasingly recognized as sustainable tools for enhancing crop establishment and reducing dependence on synthetic agrochemicals. However, the strain-specific effects of many taxa on seed germination and early seedling development remain insufficiently characterized. This study evaluated the effects of [...] Read more.
Microalgal and cyanobacterial biostimulants are increasingly recognized as sustainable tools for enhancing crop establishment and reducing dependence on synthetic agrochemicals. However, the strain-specific effects of many taxa on seed germination and early seedling development remain insufficiently characterized. This study evaluated the effects of seven microalgal and cyanobacterial suspensions on the germination kinetics and early seedling vigor of cucumber (Cucumis sativus L.). Several strains significantly accelerated germination and enhanced seedling performance relative to the control. Treatment with Coelastrella rubescens BCAC 301 S39, Scotinosphaera lemnae BCAC 113, Vischeria magna UTEX 2351, and Anabaena sp. IT4 significantly reduced mean germination time from 4.50 d to 2.23–2.29 d and advanced the time to 50% germination (T50) from 4.0 to 2.0–2.1 d. These treatments also increased the germination index from 48.32 to 78.17–100.67 and enhanced seedling traits, including root length (32–53%), shoot length (≈29%), leaf length (17–21%), and fresh (30–43%) and dry biomasses (12–22%). Correlation analysis revealed strong positive associations between germination indices and seedling vigor parameters, indicating the faster germination promotes early growth. In conclusion, the results demonstrate that specific microalgal strains can function as effective seed-phase biostimulants, offering a sustainable strategy to enhance germination uniformity, early seedling establishment, and crop productivity. Full article
(This article belongs to the Topic Applications of Biotechnology in Food and Agriculture)
Show Figures

Figure 1

17 pages, 4028 KB  
Article
Mechanical Properties of High-Entropy Coatings of the (TiZrVCrAl)N System of Different Architectures Deposited by the Arc-PVD Method on the Surface of Ti-6Al-4V Alloy
by Yana N. Savina, Roman R. Valiev, Stanislav V. Ovchinnikov, Almaz Yu. Nazarov, Iuliia M. Modina, Aleksey A. Nikolaev, Kamil’ N. Ramazanov, Vitaly V. Sanin, Liliya Yu. Mezhevaia, Elina R. Kasimova, Arnaud Caron and Ruslan Z. Valiev
Metals 2026, 16(3), 350; https://doi.org/10.3390/met16030350 - 20 Mar 2026
Viewed by 173
Abstract
In this work, for the first time, we applied and determined the mechanical characteristics of protective coatings made of high-entropy alloy (TiZrVCrAl)N with different architectures onto the surface of Ti-6Al-4V alloy with the initial coarse-grained and ultrafine-grained structure using arc physical vapor deposition. [...] Read more.
In this work, for the first time, we applied and determined the mechanical characteristics of protective coatings made of high-entropy alloy (TiZrVCrAl)N with different architectures onto the surface of Ti-6Al-4V alloy with the initial coarse-grained and ultrafine-grained structure using arc physical vapor deposition. We designed and prepared three coating architectures: a monolayer nitride coating (TiZrVCrAl)N, a multilayer coating consisting of nine alternating layers of TiZrVCrAl and (TiZrVCrAl)N, and a multilayer coating consisting of 720 alternating layers of (TiZrVCrAl)N and TiN, with a total thickness not exceeding 2 microns. We evaluated their protective performances by nanoindentation and scratch tests. Importantly, the effect of the substrate microstructure on the coatings’ performance is investigated by comparing their mechanical behavior on coarse-grained and ultrafine-grained Ti-6Al-4V. Our experimental results show that the coating performance improves with increasing number of layers in the coating, and this effect is even more pronounced for the multilayer coating deposited on the ultrafine-grained titanium alloy substrate. We also find that the (TiZrVCrAl)N/TiN (720 layers) multilayer coating deposited on the UFG Ti-6Al-4V alloy substrate exhibits the highest H/E- and H3/E2-values, indicating the coating’s high innovative potential for performance in extreme conditions. The origins of this phenomenon are analyzed and discussed. Full article
(This article belongs to the Special Issue Recent Advances in Surface Modification of Metallic Materials)
Show Figures

Figure 1

10 pages, 804 KB  
Proceeding Paper
Application of a New Heliomycin Derivative Against Breast Cancer Under Normoxia and Hypoxia
by Diana I. Salnikova, Alexander S. Tikhomirov, Alexandra L. Mikhaylova, Alvina I. Khamidullina, Andrey E. Shchekotikhin and Alexander M. Scherbakov
Eng. Proc. 2026, 124(1), 70; https://doi.org/10.3390/engproc2026124070 - 11 Mar 2026
Viewed by 197
Abstract
This study investigates the effects of heliomycin and its derivative LCTA-2614 on both hormone-dependent and hormone-independent breast cancer cell lines. Biological activity was assessed using the MTT assay, flow cytometry, and immunoblotting. Heliomycin exhibited potent antiproliferative activity across breast cancer cell lines of [...] Read more.
This study investigates the effects of heliomycin and its derivative LCTA-2614 on both hormone-dependent and hormone-independent breast cancer cell lines. Biological activity was assessed using the MTT assay, flow cytometry, and immunoblotting. Heliomycin exhibited potent antiproliferative activity across breast cancer cell lines of various molecular subtypes, with half-maximal inhibitory concentrations (IC50) of 0.65 μM in MCF7, 0.95 μM in MDA-MB-231, and 0.79 μM in HCC1954 cells. The water-soluble derivative LCTA-2614 showed comparable activity, with IC50 values of 0.86 μM in MCF7, 0.68 μM in MDA-MB-231, and 0.60 μM in HCC1954 cells. The compound LCTA-2614 demonstrated a more selective effect on tumor cells compared to heliomycin. Importantly, both compounds maintained their antiproliferative potency under hypoxic conditions, a known driver of chemoresistance. Additionally, compound LCTA-2614 induced apoptosis in hormone-dependent MCF7 cells through a p53-associated pathways. These findings highlight heliomycin as promising molecular scaffolds for the development of new chemotherapeutic agents. Their retained activity under hypoxia suggests particular potential for the treatment of solid tumors with extensive hypoxic regions. Full article
(This article belongs to the Proceedings of The 6th International Electronic Conference on Applied Sciences)
Show Figures

Figure 1

21 pages, 6044 KB  
Article
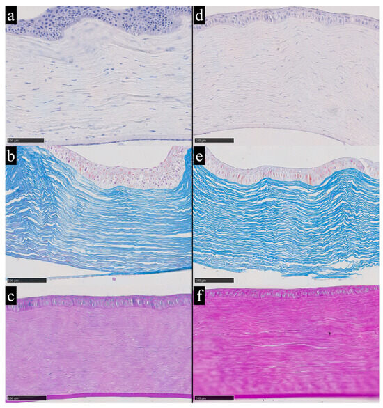
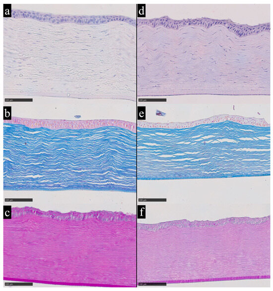
An Initial Assessment of Rabbit Cornea as a Biomarker of Trace-Element Load in Commercial Animal Production
by Nikita Filatov, Marina Kravchik, Airat Bilyalov, Ivan Novikov, Angelina Titova, Stepan Perepechenov, Olga Pak, Anastasia Novikova, Khusam Khraistin, Alexandra Karunas and Oleg Gusev
Metabolites 2026, 16(3), 177; https://doi.org/10.3390/metabo16030177 - 7 Mar 2026
Viewed by 308
Abstract
Background/Objectives: Assessing trace-element status is fundamental for maintaining health across species. However, serum primarily reflects acute physiological variability rather than chronic exposure. Thus, we investigate the cornea as a possible stable, practical alternative for assessing chronic copper and iron accumulation in rabbit’s cornea. [...] Read more.
Background/Objectives: Assessing trace-element status is fundamental for maintaining health across species. However, serum primarily reflects acute physiological variability rather than chronic exposure. Thus, we investigate the cornea as a possible stable, practical alternative for assessing chronic copper and iron accumulation in rabbit’s cornea. Methods: A group of laboratory rabbits was housed under standardized husbandry conditions with comparable environmental and dietary backgrounds for trace-element intake. After completion of the experimental phase, corneal tissues were collected and subjected to quantitative elemental analysis using validated spectrometric procedures. In parallel, the structural integrity of the cornea was evaluated with standard histological techniques to determine whether elevated trace-element levels were associated with detectable morphological alterations. Results: Copper and iron concentrations showed approximately normal distributions, with mean values of 0.93 ± 0.46 μg/g and 0.78 ± 0.32 μg/g. All elemental concentrations were calculated relative to the original (native) wet tissue weight. Several samples exhibited elevated levels of both elements. Importantly, even in the samples with the highest copper and iron concentrations, no histological abnormalities were observed. Epithelial layers were intact, stromal collagen was well organized, and no inflammation or edema was observed. Conclusions: Overall, the cornea contained measurable copper and iron levels, and higher concentrations were not associated with morphological disruption under the trace-element conditions studied. Because ocular tissues are not used in food processing and can be collected in a standardized way during slaughter, the cornea offers a practical matrix for post-mortem monitoring of trace-element load in commercial animal production. Full article
(This article belongs to the Special Issue Metabolic Research in Animal Nutrition and Production, 2nd Edition)
Show Figures

Figure 1

17 pages, 4760 KB  
Article
MD + QC Methodology for Studying the Interaction of Bioactive Molecules with Amino Acids: The Case of Arbidol Interaction with Aromatic Amino Acids and Its Spectral-Luminescent Validation
by Sophia S. Borisevich, Edward M. Khamitov, Gulshat A. Masyagutova, Olga I. Yarovaya and Sergey L. Khursan
Sci. Pharm. 2026, 94(1), 20; https://doi.org/10.3390/scipharm94010020 - 4 Mar 2026
Viewed by 317
Abstract
A comprehensive MD + QC methodology was developed and applied to evaluate various aspects of Arbidol interactions with functional amino acids of surface proteins of influenza virus and SARS-CoV-2. The spatial structure, solvation features, conformational behavior of Arb AA (AA–Trp, Tyr, Phe, and [...] Read more.
A comprehensive MD + QC methodology was developed and applied to evaluate various aspects of Arbidol interactions with functional amino acids of surface proteins of influenza virus and SARS-CoV-2. The spatial structure, solvation features, conformational behavior of Arb AA (AA–Trp, Tyr, Phe, and Val) complexes were established, and the statistics of intermolecular interactions in the complex were described. It was found that Arb can participate in strong and long-lived π-π stacking interactions with aromatic amino acids. The binding energy (BE) of Arbidol and amino acids in aqueous solution was estimated using an explicit solvation model, QTAIM analysis and correlation of BE vs. total electron density at the bond critical points of the complex. Theoretical calculations were validated by experimental studies of fluorescence (FL) quenching of aromatic AA by Arbidol. Spectral-fluorescent properties of Arbidol hydrochloride in aqueous solutions were studied, and the luminescence quantum yield for the electronically excited state of Arb was determined. Full article
(This article belongs to the Special Issue Computer-Aided Drug Design and Molecular Synthesis)
Show Figures

Graphical abstract

27 pages, 3649 KB  
Article
Wheat miR408 and miR159 Weaken the Virulence of Parastagonospora nodorum (Berk.) and Induce the Defense Response in Plants (Triticum aestivum L.) Against Pathogens
by Svetlana Veselova, Tatyana Nuzhnaya, Guzel Burkhanova, Sergey Rumyantsev and Igor Maksimov
Plants 2026, 15(5), 789; https://doi.org/10.3390/plants15050789 - 4 Mar 2026
Viewed by 287
Abstract
The discovery of bidirectional microRNA transfer between two organisms during plant–microbe interactions and the ability of some fungal pathogens to absorb double-stranded RNA (dsRNA) or short interfering RNA (siRNA) from the environment provided an impetus for exploiting this mechanism in plant defense against [...] Read more.
The discovery of bidirectional microRNA transfer between two organisms during plant–microbe interactions and the ability of some fungal pathogens to absorb double-stranded RNA (dsRNA) or short interfering RNA (siRNA) from the environment provided an impetus for exploiting this mechanism in plant defense against pathogens. In this study, we investigated the role of conserved wheat microRNAs (miRNAs), miRNA408 and miRNA159, in inducing plant defense responses and suppressing the virulence of the phytopathogenic ascomycete fungus Parastagonospora nodorum, mediated by necrotrophic effectors (NEs) encoded by SnTox genes regulated by fungal transcription factors (TFs). The foliar spraying with in vitro synthesized siRNA408 and siRNA159 duplexes before inoculation with SnTox3-producing P. nodorum isolate increased wheat plant resistance to the SnB isolate and suppressed the pathogen growth and development. Most likely, silencing of the miRNA408 target genes TaCAT-2A, TaCAT-2B, and TaCLP1, and the miRNA159 target gene TaMYB65, led to the induction of a defense response of wheat plants against P. nodorum. This defense response was characterized by a decrease in the catalase activity, accumulation of hydrogen peroxide, activation of the expression of salicylic acid signaling pathway genes (TaWRKY13, TaPR1), and suppression of the expression of ethylene signaling pathway genes (TaEIN3, TaPR3). We demonstrated for the first time the ability of siRNA159 and siRNA408 to penetrate the mycelium of the pathogen P. nodorum and be involved in the cross-kingdom regulation of fungal genes to suppress the expression of some genes of NE (SnToxA, SnTox3) and fungal TFs (SnStuA). We predicted potential targets for wheat miRNA408 and miRNA159 in the P. nodorum transcriptome, making spray-induced gene silencing (SIGS) promising for use against this pathogen. These results provide valuable insights for studying the cross-kingdom transfer of plant miRNAs. Full article
(This article belongs to the Special Issue Plant Immunity and Disease Resistance Mechanisms)
Show Figures

Figure 1

17 pages, 917 KB  
Article
Two Years of Expanded Newborn Screening in Russia: High-Throughput Detection of Inherited Metabolic Disorders by Tandem Mass Spectrometry with Next-Generation Sequencing Confirmation
by Ekaterina Y. Zakharova, Galina V. Baydakova, Polina V. Baranova, Darya Y. Aleksandrova, Olga A. Shchagina, Yulia S. Itkis, Natalya V. Milovanova, Tatyana S. Nagornova, Olga N. Ivanova, Yana D. Nazarenko, Sergey V. Voronin, Alena L. Chukhrova, Varvara A. Kadnikova, Ekaterina E. Lotnik, Nina V. Ryadninskaya, Aleksander V. Polyakov, Kirill V. Savostyanov, Fanil S. Bilalov, Alexander L. Koroteev, Dmitry Y. Trofimov, Tatyana A. Bairova, Gulnara N. Seitova, Sergei V. Mordanov, Svetlana A. Matulevich, Elena B. Nikolaeva and Sergey I. Kutsevadd Show full author list remove Hide full author list
Int. J. Neonatal Screen. 2026, 12(1), 13; https://doi.org/10.3390/ijns12010013 - 2 Mar 2026
Viewed by 365
Abstract
In 2023, the Russian Federation expanded its national newborn screening (NBS) program from 5 to 36 conditions, 29 of which are inherited metabolic diseases (IMDs). This study presents the first nationwide results and outcomes of the expanded NBS program. Between January 2023 and [...] Read more.
In 2023, the Russian Federation expanded its national newborn screening (NBS) program from 5 to 36 conditions, 29 of which are inherited metabolic diseases (IMDs). This study presents the first nationwide results and outcomes of the expanded NBS program. Between January 2023 and December 2024, dried blood spots from 2,466,615 newborns (98.53% of the birth cohort) were analyzed for IMDs using MS/MS. Screen-positive cases were referred to the national reference center for confirmatory testing, which included biochemical (MS/MS and GC-MS) and genetic analyses (NGS). A total of 41,728 neonates (1.69%) screened positive, of whom 37,733 underwent confirmatory testing. It resulted in 834 confirmed diagnoses of IMDs (1 in 2900 live births). Phenylketonuria was the most prevalent IMD (n = 538; 1 in 4600), followed by MCADD (n = 99; 1 in 25,000). Distinct regional and ethnic variations were observed, including a high prevalence of tyrosinemia type 1 in the Chechen Republic and MCADD in North Ossetia. The integration of NGS was essential for resolving complex cases, such as identifying heterozygous carriers and dual diagnoses. These findings underscore the program’s clinical utility, highlight unique epidemiological patterns, and identify challenges such as false positives and diagnostic complexities, which will guide future refinements. Full article
Show Figures

Figure 1

19 pages, 320 KB  
Article
Inclusion of Polyphenol-Rich Olive Cake in Beef Cattle Diets: Effects on Meat Quality and Nutritional Traits
by Marianna Oteri, Daniela Beghelli, Vincenzo Lopreiato, Biagio Tuvè, Luigi Liotta, Gianni Dipasquale, Maria Elena Furfaro, Fabiana Antognoni, Mariacaterina Lianza and Vincenzo Chiofalo
Animals 2026, 16(5), 729; https://doi.org/10.3390/ani16050729 - 26 Feb 2026
Viewed by 264
Abstract
This study involved 45 finishing Limousin young bulls (initial BW 350 ± 15 kg; aged 250 ± 20 days) reared under commercial conditions and randomly assigned for 250 days to three dietary treatments: a control diet without olive cake (CTR), and diets including [...] Read more.
This study involved 45 finishing Limousin young bulls (initial BW 350 ± 15 kg; aged 250 ± 20 days) reared under commercial conditions and randomly assigned for 250 days to three dietary treatments: a control diet without olive cake (CTR), and diets including partially destoned dried olive cake at 10% (OC10) or 15% (OC15) of dry matter. The effects of the dietary inclusion of partially destoned dried olive cake (DOC) on the physicochemical properties, intramuscular fatty acid composition, nutritional lipid indices, and antioxidant profile of the Longissimus dorsi muscle were evaluated. Meat pH was measured at 45 min, 24 h, and 7 days of aging. Instrumental color, proximate composition, fatty acid profile, lipid nutritional indices, total phenolic content (TPC), individual polyphenols, and antioxidant capacity were determined. Data were analyzed by ANOVA using PROC GLIMMIX in SAS, with orthogonal contrasts to evaluate linear and quadratic responses to olive cake inclusion. Treatments did not affect post mortem pH, and color differences observed at 24 h were not present after 7 days of aging. Crude protein content was lower in OC-fed groups, while total lipid content tended to increase; sodium chloride concentration was higher in OC15 meat. Olive cake supplementation reduced hypercholesterolemic saturated fatty acids and increased stearic, oleic, and polyunsaturated fatty acids, including α-linolenic acid, EPA, and DPA, improving PUFA/SFA and UFA/SFA ratios and reducing atherogenic and thrombogenic indices. Despite a higher peroxidability index, OC groups showed greater muscle TPC and antioxidant capacity, the presence of detectable hydroxytyrosol and tyrosol suggests a possible contribution of dietary olive phenolics or their metabolites, although the exact mechanisms underlying their appearance in muscle tissue remain to be fully elucidated. Overall, partially destoned DOC can be included up to 15% of the finishing diet to improve beef nutritional and functional quality within sustainable circular systems. Full article
13 pages, 664 KB  
Article
The Influence of Plant Growth-Promoting Bacteria and Humic Substances on the Rooting of Black Poplar (Populus nigra L.) Cuttings
by Ruslan Ivanov, Maxim Timergalin, Gleb Zaitsev, Tatyana Nuzhnaya, Sergey Chetverikov, Arina Feoktistova, Sergey Starikov, Ruslan Urazgildin, Aleksey Nazarov and Guzel Kudoyarova
Plants 2026, 15(5), 680; https://doi.org/10.3390/plants15050680 - 25 Feb 2026
Viewed by 348
Abstract
Plants of the genus Populus are among the most economically important woody plants and are an experimental model system used to study woody species. We studied the ability of plant growth-promoting bacteria (PGPR) and humic substances (HSs) to influence the rooting of cuttings, [...] Read more.
Plants of the genus Populus are among the most economically important woody plants and are an experimental model system used to study woody species. We studied the ability of plant growth-promoting bacteria (PGPR) and humic substances (HSs) to influence the rooting of cuttings, a process that plays an important role in vegetative propagation. We used strains of bacteria from the collection of microorganisms of the Ufa Institute of Biology: Pseudomonas protegens DA1.2 and Enterobacter ludwigii BLK. For the experiment, cuttings of black poplar (Pópulus nigra L.) were used. They were placed in aqueous solution with either the addition of bacteria, HSs, or their combination. After 15 days, the number and length of adventitious roots were measured, and they were sampled for hormone immunoassay analysis and the determination of gene expression. The contents of the auxin indole-3-acetic acid (IAA) and abscisic acid (ABA) were measured, since both substances have an antagonistic effect on rooting. It was shown that the activation of root formation was due, on the one hand, to increased auxin levels under the influence of IAA-producing bacteria, resulting in increased expression of the PnRGF9 gene that encodes the root meristem growth factor. On the other hand, the activation of rooting was due to a decrease in ABA content resulting from its breakdown by bacteria of the DA1.2 strain, which catabolize this hormone. HSs, which can inhibit ABA synthesis, also played a role. As a result, the preparation for the rooting of black poplar cuttings with the greatest effectiveness was observed in the combined use of DA1.2 bacteria and HSs. Full article
(This article belongs to the Special Issue Plant–Microbe Interaction)
Show Figures

Figure 1

22 pages, 2618 KB  
Article
Effects of Salinization, Oil Contamination, and Heavy Metals on Soil Biological Activity and Phytoremediants
by Gulnas Rafikova, Svetlana Mukhamatdyarova, Elena Kuzina, Liliya Kulbaeva, Milyausha Iskuzhina and Tatyana Korshunova
Toxics 2026, 14(2), 186; https://doi.org/10.3390/toxics14020186 - 23 Feb 2026
Viewed by 551
Abstract
Using plants to restore soils subjected to salinization and polychemic pollution can be an effective way to return agricultural land to circulation and obtain safe products. In this study, experiments were conducted with oats and lupine to evaluate their ability to purify soils [...] Read more.
Using plants to restore soils subjected to salinization and polychemic pollution can be an effective way to return agricultural land to circulation and obtain safe products. In this study, experiments were conducted with oats and lupine to evaluate their ability to purify soils contaminated with copper (II) and nickel (II) ions, carbonate and sulfate anions and oil and their combinations. The biological activity of the soil, phytotoxicity, and hydrocarbon content, as well as plant growth and biochemical parameters in polluted soil, were studied. The enzymes most sensitive to soil contamination were catalase, urease, and phosphatase. Copper ions inhibited oat root growth by 45.7% and lupine by 46.6%. Oil and its mixtures with other pollutants inhibited shoot growth by up to 50.3% in oats and up to 28.6% in lupine. The content of malonic dialdehyde increased in oats when exposed to copper, while in lupines, it increased 2.9-fold when exposed to oil. Flavonoids in oats increased with metal contamination (by 9–16.7%), while in lupines with oil (by 8.6%). Chlorophyll fluctuations were less pronounced in oats than in lupine. Despite the stress experienced by plants due to soil pollution, the degradation rate of petroleum hydrocarbons under oat and lupine crops was 33–46%. In general, oats and lupine are promising for the phytoremediation of complexly polluted and saline soils. Full article
Show Figures

Graphical abstract

18 pages, 565 KB  
Article
Size-Related Quality Characteristics of Cage-Reared Butter Catfish (Ompok bimaculatus) in a River Basin
by Chatchai Sangpud, Thirarat Kaewchamnong, Sujaree Kaewkong, Manorot Borirak-arawin, Chawanrat Srinounpan, Manat Chaijan, Ari Wibowo and Worawan Panpipat
Animals 2026, 16(4), 663; https://doi.org/10.3390/ani16040663 - 19 Feb 2026
Viewed by 326
Abstract
This study evaluated whether body size could serve as a quality and traceability marker for cage-reared butter catfish (Ompok bimaculatus) from the Pak Phanang Basin, Nakhon Si Thammarat, Thailand, in support of Geographical Indication (GI) certification. Fish were classified into three [...] Read more.
This study evaluated whether body size could serve as a quality and traceability marker for cage-reared butter catfish (Ompok bimaculatus) from the Pak Phanang Basin, Nakhon Si Thammarat, Thailand, in support of Geographical Indication (GI) certification. Fish were classified into three commercial size grades—small (12–15 fish/kg), medium (6–10 fish/kg), and large (3–5 fish/kg)—corresponding to fish harvested after 6, 8, and 12 months of rearing, respectively, with mean body weight and total length of 75 ± 7 g and 19.8 ± 1.1 cm (small), 120 ± 9 g and 25.8 ± 2.1 cm (medium), and 260 ± 10 g and 32.2 ± 2.8 cm (large). Dorsal muscle samples were comparatively analyzed to assess size-related differences in physicochemical properties, nutritional composition, and microbiological quality. Proximate analysis showed that moisture, lipid, ash, and total energy contents increased significantly with fish size (p < 0.05), whereas protein and carbohydrate contents did not differ significantly among size groups (p > 0.05). Small fish exhibited slightly higher muscle pH (7.02 ± 0.18) than medium and large fish (6.65 ± 0.11 to 6.66 ± 0.25) (p < 0.05). Flesh color was characterized by a pale whitish to slightly yellow appearance with high lightness (L*; p < 0.05), while redness (a*) and yellowness (b*) did not differ significantly among size groups (p > 0.05). Mineral composition varied with size, with large fish containing significantly higher levels of calcium and magnesium (p < 0.05). Amino acid profiling identified 17 amino acids, including eight essential amino acids (EAA) and nine non-essential amino acids (NEAA), with EAA being more abundant in large fish—particularly leucine and lysine—indicating improved protein quality, while NEAA were dominated by glutamic and aspartic acids across all size groups. Fatty acid analysis revealed higher proportions of polyunsaturated fatty acids (PUFA) and greater unsaturated fatty acid/saturated fatty acid (UFA/SFA) ratios (1.7–1.8) in medium and large fish. Microbiological assessment showed a decrease in total viable counts with increasing fish size, while Escherichia coli, Staphylococcus aureus, and Salmonella spp. were not detected in any size group, as these microorganisms are commonly used as key hygiene and food-safety indicators in fish products (E. coli for fecal/handling hygiene, S. aureus for human-handling contamination, and Salmonella spp. as a major foodborne pathogen). Overall, body size was associated with consistent variations in physicochemical characteristics, nutritional composition, and microbial quality of Pak Phanang Basin butter catfish. These findings provide baseline compositional and safety markers that can support product specification development and GI documentation. Full article
Show Figures

Figure 1

27 pages, 6347 KB  
Article
Experimental Confirmation of Increasing Oil Displacement Efficiency Using a Slug of Aqueous Suspension of Surfactants and Nanoparticles Followed by Flooding
by Farit Safarov, Aleksander Voloshin, Aleksey Telin, Andrey Fetisov, Lyubov Lenchenkova, Vladimir Dokichev, Ravil Yakubov, Rida Gallyamova, Artem Ratner, Natalia Sergeeva, Ekaterina Gusarova, Artem Pavlik and Anatoly Politov
Energies 2026, 19(4), 1059; https://doi.org/10.3390/en19041059 - 18 Feb 2026
Viewed by 260
Abstract
To improve the efficiency of injecting intensifying chemical slugs into injection wells, new formulations have been proposed. These compositions are based on high-tonnage surfactants combined with industrially produced nanoparticles. Experiments show that adding silica- or carbon-based nanoparticles to surfactant compositions doubles the oil [...] Read more.
To improve the efficiency of injecting intensifying chemical slugs into injection wells, new formulations have been proposed. These compositions are based on high-tonnage surfactants combined with industrially produced nanoparticles. Experiments show that adding silica- or carbon-based nanoparticles to surfactant compositions doubles the oil displacement coefficient from Pashian sandstones. Carbon nanoparticles derived from shungite mineral were also tested. It was found that during the filtration of the surfactant solution, the increase in the oil displacement coefficient is always lower than during the filtration of the same solution in the presence of nanoparticles. This composition contains anionic and nonionic surfactants in a 1:2 ratio at a 1% concentration in fresh water, with a 1% nanoparticle additive. It increases the oil displacement coefficient by 19.0–23.2% after waterflooding. It has been established that in the proposed technology for near-wellbore formation treatment, the role of nanoparticles lies in a transport function due to the formation of nanoparticle aggregates with surfactant micelles, representing dynamic structures sized 25–75 μm. These aggregates break apart when passing through narrow pore throats. This delivers surfactants directly to the oil–rock interface, mobilizing residual oil and improving displacement. Nanoparticles of silica with different wettability, during filtration, are deposited in pore channels, leading to intra-pore flow redistribution. Together with the increased microscopic sweep efficiency from surfactants, it results in lower residual oil saturation. Full article
Show Figures

Figure 1

31 pages, 1919 KB  
Article
Synthesis and Antitumor Potency of 2E,21E-bis-(2-Pyridinylidene)-hollongdione in NCI-60 Panel and Zebrafish Model
by Irina Smirnova, Zarema Galimova, Alexander Lobov, Anastasiia Mikheenko, Irina Khan, Gulalek Babayeva, Vadim S. Pokrovsky and Oxana Kazakova
Int. J. Mol. Sci. 2026, 27(4), 1813; https://doi.org/10.3390/ijms27041813 - 13 Feb 2026
Viewed by 525
Abstract
Michael acceptors, such as chalcones and benzylidenes, are privileged scaffolds for the development of anticancer agents. Taking this into account, we developed a selective Claisen–Schmidt condensation of the dammarane-type triterpenoid hollongdione with pyridine-2-carbaldehyde, enabling controlled synthesis of mono- and bis-substituted triterpenes depending on [...] Read more.
Michael acceptors, such as chalcones and benzylidenes, are privileged scaffolds for the development of anticancer agents. Taking this into account, we developed a selective Claisen–Schmidt condensation of the dammarane-type triterpenoid hollongdione with pyridine-2-carbaldehyde, enabling controlled synthesis of mono- and bis-substituted triterpenes depending on the reaction conditions. The reaction demonstrated high temperature-dependent regioselectivity, providing C2-mono- 2 or 2,21-bis-substituted 3 triterpenes with yields up to 96% and 95%, respectively. The structures of the newly synthesized triterpene chalcones were elucidated by 1D and 2D NMR spectroscopy and unambiguously confirmed by a single-crystal X-ray diffraction, which established the E configuration of the exocyclic double bond. In biological studies, the bis-2-pyridylidene derivative 3 exhibited a pronounced and broad-spectrum antitumor activity in the NCI-60 panel, inducing cell death in 58 of 59 cancer cell lines. High selectivity toward melanoma, renal, and prostate cancer cell lines was observed, with selectivity indices (SI) of up to 18.82 for melanoma LOX IMVI. In MTT assays, compound 3 displayed a submicromolar cytotoxicity, particularly against the KRAS-mutant PANC-1 cell line (IC50 = 0.22 µM). Anticancer activity was further confirmed in a zebrafish (Danio rerio) xenograft model of human HCT116 colon cancer, where tumor growth inhibition reached 72% without pronounced embryotoxicity (LC50 = 1.4 µM). We have developed an efficient approach for the site-selective modification of hollongdione, providing access to potent anticancer dammarane-type chalcones. The bis-2-pyridylidene derivative 3 emerged as a promising lead compound, demonstrating submicromolar potency, high selectivity towards melanoma, and significant in vivo efficacy in a zebrafish xenograft model. Full article
(This article belongs to the Special Issue Design, Synthesis and Biological Activity of Heterocyclic Compounds)
Show Figures

Figure 1

Back to TopTop