Sign in to use this feature.

Years

Between: -

Subjects

remove_circle_outline
remove_circle_outline
remove_circle_outline
remove_circle_outline
remove_circle_outline
remove_circle_outline
remove_circle_outline

Journals

Article Types

Countries / Regions

Search Results (47)

Search Parameters:
Keywords = Stable latex

Order results
Result details
Results per page
Select all
Export citation of selected articles as:
22 pages, 3235 KB  
Article
Endophytic Bacteria from Alstonia scholaris (L.) R. Br Latex as Novel Biocontrol Agents Against Phytopathogens
by Sabiha Ramadani, Douglas J. H. Shyu, Endrika Widyastuti, Christoper Caesar Yudho Sutopo and Jue-Liang Hsu
Crops 2026, 6(1), 13; https://doi.org/10.3390/crops6010013 - 14 Jan 2026
Viewed by 157
Abstract
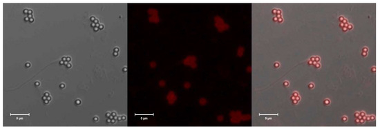
Latex-producing plants harbor unique microbial communities that may play important roles in host defense; however, their diversity and biocontrol potential remain largely unexplored. Characterizing these communities provides opportunities to identify novel microbial-derived antifungal agents for sustainable crop protection. Bacterial strains were isolated from [...] Read more.
Latex-producing plants harbor unique microbial communities that may play important roles in host defense; however, their diversity and biocontrol potential remain largely unexplored. Characterizing these communities provides opportunities to identify novel microbial-derived antifungal agents for sustainable crop protection. Bacterial strains were isolated from the latex of Alstonia scholaris (L.) R. Br. and identified using 16S rRNA gene sequencing. Antifungal activity was evaluated against four phytopathogens: Fusarium graminearum, Colletotrichum musae, Colletotrichum gloeosporioides, and Glomerella cingulata. Bioassay-guided fractionation, size-exclusion chromatography, SDS-PAGE, and LC-MS/MS were used to characterize antifungal proteins. Nine bacterial strains were isolated, including eight Bacillus spp. and one Enterococcus faecalis. Among them, Bacillus sp. AsL-2 exhibited the strongest broad-spectrum antifungal activity, inhibiting fungal growth by up to 80%. The antifungal activity of its crude extract remained stable over a wide temperature range. Further characterization identified a novel endo-β-1,3-1,4-glucanase enzyme (~23 kDa) as the major antifungal protein. This study reveals A. scholaris latex as an underexplored microbial niche and identifies Bacillus sp. AsL-2, affiliated with the B. velezensis–B. amyloliquefaciens species complex, as a promising biocontrol candidate. The identified antifungal enzyme represents a potential natural alternative to synthetic fungicides for sustainable agricultural disease management. Full article
(This article belongs to the Special Issue Molecular Mechanisms and Integrated Control of Pathogen Crops)
Show Figures

Graphical abstract

17 pages, 7175 KB  
Article
Design and Numerical Evaluation of Trailing Edge Deflection Distance-Based Morphing Wing
by Periyasamy Sivanandi, Nathish Sanjay, Senthilkumar Chidambaram and Suresh Varatharaj
Eng 2025, 6(12), 354; https://doi.org/10.3390/eng6120354 - 6 Dec 2025
Viewed by 364
Abstract
This project’s focus is to create a morphing wing with variable geometry that will improve aerodynamic performance. The NACA 0018 airfoil, known for its stable aerodynamic characteristics and symmetrical shape, is chosen as a base airfoil for modification in this approach. To investigate [...] Read more.
This project’s focus is to create a morphing wing with variable geometry that will improve aerodynamic performance. The NACA 0018 airfoil, known for its stable aerodynamic characteristics and symmetrical shape, is chosen as a base airfoil for modification in this approach. To investigate the effects of flexible trailing edge deformation under aerodynamic loading, various new morphing airfoil designs have been designed and analyzed. Both the performance results of a conventional hinged wing design and morphing airfoil designs were compared. Identifying the most effective airfoil design that could produce higher lift-to-drag ratios, less turbulence, and better overall aerodynamic behavior was the main goal. Because of its elasticity and flexibility, natural rubber latex (Hevea brasiliensis) was utilized as the primary skin material. This allows for a seamless, hinge-free morphing wing. To evaluate aerodynamic efficiency, structural integrity, and material behavior under various situations, computational fluid dynamics simulations were carried out. The most promising airfoil design was determined based on performance. By reducing drag, increasing lift, and reducing mechanical complexity, this new approach offers a sustainable and effective substitute for traditional wing designs, advancing the development of adaptive aeronautical structures. Full article
Show Figures

Figure 1

21 pages, 4328 KB  
Article
Design and Optimization of Lightweight Electromagnetic Valves for High-Altitude Latex Balloons
by Xiaoran Li, Donghui Zhang, Qiguang Yang, Zihao Wang and Chen Chen
Machines 2025, 13(10), 934; https://doi.org/10.3390/machines13100934 - 10 Oct 2025
Viewed by 2985
Abstract
To address the altitude control requirements of high-altitude latex balloons, this paper proposes a novel lightweight electromagnetically actuated valve design. The valve employs a permanent magnet–electromagnet–spring composite structure to achieve rapid opening/closing motions through electromagnetic force control, enabling precise regulation of balloon gas [...] Read more.
To address the altitude control requirements of high-altitude latex balloons, this paper proposes a novel lightweight electromagnetically actuated valve design. The valve employs a permanent magnet–electromagnet–spring composite structure to achieve rapid opening/closing motions through electromagnetic force control, enabling precise regulation of balloon gas venting. 3D electromagnetic field simulations were conducted to validate the magnetic flux density distribution, while computational fluid dynamics (CFD) simulations based on the Reynolds-averaged Navier–Stokes equations were employed to evaluate the valve’s aerodynamic characteristics. The CFD results confirmed stable venting performance, with near-linear flow–pressure relationships and localized jet structures that support reliable operation under stratospheric conditions. A multidisciplinary optimization framework was further applied to achieve a lightweight structural design of critical components. Experimental results demonstrate that the optimized valve achieves a total mass of 984.69 g with an actuation force of 15.263 N, maintaining stable performance across a temperature range of −60 °C to 25 °C. This study provides an innovative and systematically validated solution for micro-valve design in lighter-than-air vehicles. Full article
Show Figures

Figure 1

16 pages, 3887 KB  
Article
Development of Latex Microsphere-Based Immunochromatographic Strips for Detecting Key Aflatoxins
by Jie Wang, Wangzhuo Fu, Xuezhen Ma, Lin Chen, Weitao Song, Sumei Ling, Hongyun Qian, Shihua Wang and Zhenhong Zhuang
Toxins 2025, 17(9), 426; https://doi.org/10.3390/toxins17090426 - 22 Aug 2025
Viewed by 1045
Abstract
Due to the severe hazard of aflatoxins (AFs) to humans, it is of great significance to detect the key aflatoxins, aflatoxin B1 (AFB1) and aflatoxin G1 (AFG1), in food and feed in simple, rapid, and semi-quantitative ways. [...] Read more.
Due to the severe hazard of aflatoxins (AFs) to humans, it is of great significance to detect the key aflatoxins, aflatoxin B1 (AFB1) and aflatoxin G1 (AFG1), in food and feed in simple, rapid, and semi-quantitative ways. The hybridoma clone 3A1 was prepared in this study, and anti-AFB1 monoclonal antibody (mAb) with high specificity and affinity (9.38 × 108 L/mol) from 3A1 was purified. The indirect competitive enzyme-linked immunosorbent assay (ic-ELISA) demonstrated that the linear detection range for AFB1 was 0.029–1.526 ng/mL with a limits of determination (LOD) of 0.023 ng/mL. A latex microsphere-based immunochromatographic test strip (LM-ICTS) was constructed based on 3A1, which showed that the strip could detect AFB1 (LOD: lower than 1.79 ng/mL) and AFG1 (LOD: lower than 8.08 ng/mL), and the linear detection ranges for AFB1 and AFG1 are 1.79–48.46 ng/mL and 8.08–107.40 ng/mL, respectively. The average recoveries of intra-assay and inter-assay for peanuts were (98.4 ± 4.7)% and (92.6 ± 7.6)%, and the average coefficient of variation (CVs) were 4.38% and 8.15%, respectively. For sunflower seeds, the intra-assay and inter-assay recoveries were (94.4 ± 7.2)% and (89.2 ± 4.3)%, and the average CVs were 6.6% and 4.9%, respectively. In summary, the developed LM-ICTS exhibited excellent sensitivity and specificity, which provided a rapidly stable on-site detection choice for AFB1 and AFG1 to contaminated agricultural samples, including grain and feed. Full article
(This article belongs to the Special Issue Detection, Biosynthesis and Control of Mycotoxins (4th Edition))
Show Figures

Figure 1

20 pages, 6425 KB  
Article
Optimization Study of a High-Efficiency Preservative for Ammonia-Free Concentrated Natural Rubber Latex
by Liguang Zhao, Peng Xing, Liyang Zhao, Qigui Yang, Yazhong Song, Li Ding, Tao Zhao, Yuekun Wang, Zhenxiang Xin and Hongxing Gui
Polymers 2025, 17(2), 188; https://doi.org/10.3390/polym17020188 - 14 Jan 2025
Cited by 2 | Viewed by 3640
Abstract
Ammonia is commonly used as a preservative in the production of concentrated natural rubber latex (CNRL) and latex products; however, it poses a serious risk to human health and the environment. In this study, we investigated a thioacetamide derivative (TD) as a preservative [...] Read more.
Ammonia is commonly used as a preservative in the production of concentrated natural rubber latex (CNRL) and latex products; however, it poses a serious risk to human health and the environment. In this study, we investigated a thioacetamide derivative (TD) as a preservative of ammonia-free CNRL and the optimization of a stabilization system comprising potassium hydroxide (KOH), lauric acid (LA), and sodium dodecyl sulfate (SDS) to enhance its preservation effect. The results revealed that an optimal amount of TD (0.03%) can effectively maintain the stability of CNRL, inhibit the increase in volatile fatty acid number (VFA number), maintain stable viscosity values, and improve the mechanical stability time (MST). However, increasing the TD dosage results in an increase in both the viscosity and VFA number and a decrease in MST. KOH was used to regulate the pH value of CNRL. It was also found that it can enhance considerably the mechanical properties of CNRL dry films and accelerates the vulcanization of vulcanized film; however, an excessive amount causes latex thickening. LA proved essential for improving the MST and reducing latex viscosity, thereby substantially enhancing the stability and processability of pre-vulcanized latex, but an excessive amount is detrimental to the curing speed and final mechanical strength. SDS can rapidly improve the MST and reduce the viscosity, but it negatively affects the surface molding of dry rubber films. In conclusion, KOH, LA, and SDS at appropriate dosages play a balancing and complementary role in the preparation of ammonia-free CNRL. Upon analyzing diverse performance metrics of CNRL, it has been determined that the optimal TD dosage ranges from 0.02 to 0.03% for maximum efficacy. The KOH dosage should be maintained within 0.1–0.15% to achieve the most favorable outcome, while the LA dosage is advisable to be kept between 0.06 and 0.1%. Full article
(This article belongs to the Special Issue Advances in Functional Rubber and Elastomer Composites)
Show Figures

Figure 1

12 pages, 2307 KB  
Article
Synthesis of Novel Zwitterionic Surfactants: Achieving Enhanced Water Resistance and Adhesion in Emulsion Polymer Adhesives
by Mai Toan, Jaehyouk Choi, Hang Thi Ngo, Jin-Young Bae, Seunghan Shin and Kiok Kwon
Polymers 2024, 16(24), 3504; https://doi.org/10.3390/polym16243504 - 17 Dec 2024
Cited by 2 | Viewed by 2088
Abstract
Recent advancements in polymer materials have enabled the synthesis of bio-based monomers from renewable resources, promoting sustainable alternatives to fossil-based materials. This study presents a novel zwitterionic surfactant, SF, derived from 10-undecenoic acid obtained from castor oil through a four-step reaction, achieving a [...] Read more.
Recent advancements in polymer materials have enabled the synthesis of bio-based monomers from renewable resources, promoting sustainable alternatives to fossil-based materials. This study presents a novel zwitterionic surfactant, SF, derived from 10-undecenoic acid obtained from castor oil through a four-step reaction, achieving a yield of 78%. SF has a critical micelle concentration (CMC) of 1235 mg/L, slightly higher than the commercial anionic surfactant Rhodacal DS-4 (sodium dodecyl benzene sulfonate), and effectively stabilizes monomer droplets, leading to excellent conversion and stable latex formation. The zwitterionic groups in SF enhance adhesion to hydrophilic substrates (glass, stainless steel, and skin). Films produced with SF exhibit outstanding water resistance, with only 18.48% water uptake after 1800 min, compared to 81% for the control using Rhodacal DS-4. Notably, SF maintains low water uptake across various concentrations, minimizing water penetration. Thus, the synthesized SF demonstrates improved adhesive properties and excellent water resistance in emulsion polymerization applications, highlighting its potential as a sustainable, high-performance alternative to petrochemical surfactants. Full article
(This article belongs to the Section Polymer Chemistry)
Show Figures

Figure 1

14 pages, 6655 KB  
Article
Fabrication of Polyurethane–Polyacrylate Hybrid Latexes with High Organosilicon Content via Phase Inversion Emulsion Polymerization
by Junhao Zhou, Furui Luo, Liming Tang and Zhaoxia Guo
Molecules 2024, 29(24), 5870; https://doi.org/10.3390/molecules29245870 (registering DOI) - 12 Dec 2024
Cited by 3 | Viewed by 1833
Abstract
Waterborne polyurethane, with a mechanical strength comparable to solvent-based types, is eco-friendly and safe, using water as a dispersion medium. Polyacrylate excels in film formation and weather resistance but suffers from “hot stickiness and cold brittleness”. Merging polyurethane and polyacrylate creates advanced hybrids, [...] Read more.
Waterborne polyurethane, with a mechanical strength comparable to solvent-based types, is eco-friendly and safe, using water as a dispersion medium. Polyacrylate excels in film formation and weather resistance but suffers from “hot stickiness and cold brittleness”. Merging polyurethane and polyacrylate creates advanced hybrids, while organosilicon enhances properties but is restricted due to hydrolytic crosslinking. In this paper, a series of polyurethane–polyacrylate hybrid latexes with high organosilicon content were prepared using phase inversion emulsion polymerization technology. Even when the monomer content of 3-(methacryloyloxy)propyltrimethoxysilane (MPS) was increased to 10%, the polymerization process was stable, without the formation of a gel precipitate. The resulting latexes could remain stable for at least 6 months without significant changes in the properties of their films. The effects of MPS content on the mechanical and thermal properties of latex films were systematically researched. The study showed that with an increase in MPS dosage, the hardness and elastic modulus of the latex films increased, while the elongation at break and water absorption decreased, together with the increased glass transition temperature and surface hydrophilicity. This work aims to provide new theoretical guidance for the preparation of silicone-modified hybrid latexes, enabling their safe and stable production and storage. Full article
Show Figures

Figure 1

16 pages, 3844 KB  
Article
Identification of the HbZAR1 Gene and Its Potential Role as a Minor Gene in Response to Powdery Mildew and Anthracnose of Hevea brasiliensis
by Qifeng Liu, Anqi Qiao, Shaoyao Zhou, Yiying Lu, Ye Yang, Lifeng Wang, Bi Qin, Meng Wang, Xiaoyu Liang and Yu Zhang
Forests 2024, 15(11), 1891; https://doi.org/10.3390/f15111891 - 26 Oct 2024
Viewed by 1452
Abstract
Powdery mildew and anthracnose are the main diseases of rubber trees. In recent years, there have been large outbreaks in the rubber-planting areas of Asia, seriously affecting the yield and quality of rubber latex. ZAR1 is a conserved and distinctive coiled-coil nucleotide-binding leucine-rich [...] Read more.
Powdery mildew and anthracnose are the main diseases of rubber trees. In recent years, there have been large outbreaks in the rubber-planting areas of Asia, seriously affecting the yield and quality of rubber latex. ZAR1 is a conserved and distinctive coiled-coil nucleotide-binding leucine-rich (CNL) repeat in the plant kingdom, playing a crucial role in disease-resistance processes. To elucidate the function of the HbZAR1 gene in rubber trees (Hevea brasiliensis), three candidate HbZAR1 genes were identified using bioinformatics methods and comprehensively analyzed. The results indicate that the HbZAR1 protein is conserved in different plant species. Examination of cis-regulatory element sequences of HbZAR1genes reveals that the HbZAR1 gene promoter exhibits a remarkable enrichment of stress, light, and hormone elements. An expression analysis shows that the expression levels of the three HbZAR1 genes are highest in the bark and lowest in latex. Three HbZAR1 genes can respond to both rubber tree Erysiphe quercicola and Colletotrichum siamense infection; especially, HbZAR1.1 and HbZAR1.2 show significant upregulation in expression levels during the early stages of infection. These findings suggest that the three HbZAR1 genes may be involved in rubber tree susceptibility to E. quercicola and C. siamense through different immune mechanisms. Subcellular localization results indicate that the HbZAR1 genes are expressed in the nucleus and plasma membrane. This study also shows that the three HbZAR1 genes and activated mutant HbZAR1.1D481V do not induce stable ROS production and cell death, suggesting possible gene degradation, functional redundancy, or acting as minor genes in disease resistance. This research provides valuable insights for further studying the function of HbZAR1 genes in rubber trees and the mechanisms of immune molecules. Full article
Show Figures

Figure 1

14 pages, 4550 KB  
Article
Tunable Acoustic Tweezer System for Precise Three-Dimensional Particle Manipulation
by Jiyun Nan, Hiep Xuan Cao, Jong-Oh Park, Eunpyo Choi and Byungjeon Kang
Micromachines 2024, 15(10), 1240; https://doi.org/10.3390/mi15101240 - 8 Oct 2024
Cited by 2 | Viewed by 2593
Abstract
This study introduces a tunable acoustic tweezer system designed for precise three-dimensional particle trapping and manipulation. The system utilizes a dual-liquid-layer acoustic lens, which enables the dynamic control of the focal length through the adjustable curvature of a latex membrane. This tunability is [...] Read more.
This study introduces a tunable acoustic tweezer system designed for precise three-dimensional particle trapping and manipulation. The system utilizes a dual-liquid-layer acoustic lens, which enables the dynamic control of the focal length through the adjustable curvature of a latex membrane. This tunability is essential for generating the acoustic forces necessary for effective manipulation of particles, particularly along the direction of acoustic wave propagation (z-axis). Experiments conducted with spherical particles as small as 1.5 mm in diameter demonstrated the system’s capability for stable trapping and manipulation. Performance was rigorously evaluated through both z-axis and 3D manipulation tests. In the z-axis experiments, the system achieved a manipulation range of 33.4–53.4 mm, with a root-mean-square error and standard deviation of 0.044 ± 0.045 mm, which highlights its precision. Further, the 3D manipulation experiments showed that particles could be accurately guided along complex paths, including multilayer rectangular and helical trajectories, with minimal deviation. A visual feedback-based particle navigation system significantly enhanced positional accuracy, reducing errors relative to open-loop control. These results confirm that the tunable acoustic tweezer system is a robust tool for applications requiring precise control of particles with diameter of 1.5 mm in three-dimensional environments. Considering its ability to dynamically adjust the focal point and maintain stable trapping, this system is well suited for tasks demanding high precision, such as targeted particle delivery and other applications involving advanced material manipulation. Full article
(This article belongs to the Special Issue Acoustic Transducers and Their Applications, 2nd Edition)
Show Figures

Figure 1

17 pages, 5922 KB  
Article
Integrating Bioinspired Natural Adhesion Mechanisms into Modified Polyacrylate Latex Pressure-Sensitive Adhesives
by Chunyuan Jiang, Xinrui Zhang, Xinyue Zhang, Xingjian Li, Shoufang Xu and Yinwen Li
Polymers 2024, 16(17), 2404; https://doi.org/10.3390/polym16172404 - 24 Aug 2024
Cited by 5 | Viewed by 2704
Abstract
For polyacrylate latex pressure-sensitive adhesives (PSAs), high peel strength is of crucial significance. It is not only a key factor for ensuring the long-lasting and effective adhesive force of polyacrylate latex PSAs but also can significantly expand their application scope in many vital [...] Read more.
For polyacrylate latex pressure-sensitive adhesives (PSAs), high peel strength is of crucial significance. It is not only a key factor for ensuring the long-lasting and effective adhesive force of polyacrylate latex PSAs but also can significantly expand their application scope in many vital fields, such as packaging, electronics, and medical high-performance composite materials. High peel strength can guarantee that the products maintain stable and reliable adhesive performance under complex and variable environmental conditions. However, at present, the peel strength capacity of polyacrylate latex PSAs is conspicuously insufficient, making it difficult to fully meet the urgent market demand for high peel strength, and severely restricting their application in many cutting-edge fields. Therefore, based on previous experimental studies, and deeply inspired by the adhesion mechanism of natural marine mussels, in this study, a traditional polyacrylate latex PSA was ingeniously graft-modified with 3,4-dihydroxybenzaldehyde (DHBA) through the method of monomer-starved seeded semi-continuous emulsion polymerization, successfully synthesizing novel high-peel-strength polyacrylate latex pressure-sensitive adhesives (HPSAs) with outstanding strong adhesion properties, and the influence of DHBA content on the properties of the HPSAs was comprehensively studied. The research results indicated that the properties of the modified HPSAs were comprehensively enhanced. Regarding the water resistance of the adhesive film, the minimum water absorption rate was 4.33%. In terms of the heat resistance of the adhesive tape, it could withstand heat at 90 °C for 1 h without leaving residue upon tape peeling. Notably, the adhesive properties were significantly improved, and when the DHBA content reached 4.0%, the loop tack and 180° peel strength of HPSA4 significantly increased to 5.75 N and 825.4 gf/25 mm, respectively, which were 2.5 times and 2 times those of the unmodified PSA, respectively. Such superior adhesive performance of HPSAs, on the one hand, should be attributed to the introduction of the bonding functional monomer DHBA with a rich polyphenol structure; on the other hand, the acetal structure formed by the grafting reaction of DHBA with the PSA effectively enhanced the spatial network and crosslink density of the HPSAs. In summary, in this study, the natural biological adhesion phenomenon was ingeniously utilized to increase the peel strength of pressure-sensitive adhesives, providing a highly forward-looking and feasible direct strategy for the development of environmentally friendly polyacrylate latex pressure-sensitive adhesives. Full article
(This article belongs to the Section Polymer Applications)
Show Figures

Figure 1

11 pages, 1731 KB  
Article
Highly Stable Flexible Organic Electrochemical Transistors with Natural Rubber Latex Additives
by Miguel Henrique Boratto, Carlos F. O. Graeff and Sanggil Han
Polymers 2024, 16(16), 2287; https://doi.org/10.3390/polym16162287 - 13 Aug 2024
Cited by 3 | Viewed by 2055
Abstract
Organic electrochemical transistors (OECTs) have attracted considerable interest in the context of wearable and implantable biosensors due to their remarkable signal amplification combined with seamless integration into biological systems. These properties underlie OECTs’ potential utility across a range of bioelectronic applications. One of [...] Read more.
Organic electrochemical transistors (OECTs) have attracted considerable interest in the context of wearable and implantable biosensors due to their remarkable signal amplification combined with seamless integration into biological systems. These properties underlie OECTs’ potential utility across a range of bioelectronic applications. One of the main challenges to their practical applications is the mechanical limitation of PEDOT:PSS, the most typical conductive polymer used as a channel layer, when the OECTs are applied to implantable and stretchable bioelectronics. In this work, we address this critical issue by employing natural rubber latex (NRL) as an additive in PEDOT:PSS to improve flexibility and stretchability of the OECT channels. Although the inclusion of NRL leads to a decrease in transconductance, mainly due to a reduced carrier mobility from 0.3 to 0.1 cm2/V·s, the OECTs maintain satisfactory transconductance, exceeding 5 mS. Furthermore, it is demonstrated that the OECTs exhibit excellent mechanical stability while maintaining their performance even after 100 repetitive bending cycles. This work, therefore, suggests that the NRL/PEDOT:PSS composite film can be deployed for wearable/implantable applications, where high mechanical stability is needed. This finding opens up new avenues for practical use of OECTs in more robust and versatile wearable and implantable biosensors. Full article
(This article belongs to the Special Issue Flexible Electronics Applications of Polymer Materials)
Show Figures

Figure 1

21 pages, 10564 KB  
Article
Preparation and Application of CO2-Resistant Latex in Shale Reservoir Cementing
by Chunyuan Jiang, Xuecheng Zheng, Yuanqiang Zhu, Lei Tang, Yuhao Liu, Zhijun Zhao and Hongyu Zhang
Processes 2024, 12(5), 945; https://doi.org/10.3390/pr12050945 - 7 May 2024
Cited by 2 | Viewed by 1621
Abstract
With the application of CO2 fracturing, CO2 huff and puff, CO2 flooding, and other stimulation technologies in shale reservoirs, a large amount of CO2 remained in the formation, which also lead to the serious corrosion problem of CO2 [...] Read more.
With the application of CO2 fracturing, CO2 huff and puff, CO2 flooding, and other stimulation technologies in shale reservoirs, a large amount of CO2 remained in the formation, which also lead to the serious corrosion problem of CO2 in shale reservoirs. In order to solve the harm caused by CO2 corrosion, it is necessary to curb CO2 corrosion from the cementing cement ring to ensure the long-term stable exploitation of shale oil. Therefore, a new latex was created using liquid polybutadiene, styrene, 2-acrylamide-2-methylpropanesulfonic acid, and maleic anhydride to increase the cement ring’s resistance to CO2 corrosion. The latex’s structure and characteristics were then confirmed using infrared, particle size analyzer, thermogravimetric analysis, and transmission electron microscopy. The major size distribution of latex is between 160 and 220 nm, with a solid content of 32.2% and an apparent viscosity of 36.8 mPa·s. And it had good physical properties and stability. Latex can effectively improve the properties of cement slurry and cement composite. When the amount of latex was 8%, the fluidity index of cement slurry was 0.76, the consistency index was 0.5363, the free liquid content was only 0.1%, and the water loss was reduced to 108 mL. At the same time, latex has a certain retarding ability. With 8% latex, the cement slurry has a specific retarding ability, is 0.76 and 0.5363, has a free liquid content of just 0.1%, and reduces water loss to 108 mL. Moreover, latex had certain retarding properties. The compressive strength and flexural strength of the latex cement composite were increased by 13.47% and 33.64% compared with the blank cement composite. A long-term CO2 corrosion experiment also showed that latex significantly increased the cement composite’s resilience to corrosion, lowering the blank cement composite’s growth rate of permeability from 46.88% to 19.41% and its compressive strength drop rate from 27.39% to 11.74%. Through the use of XRD and SEM, the latex’s anti-corrosion mechanism, hydration products, and microstructure were examined. In addition to forming a continuous network structure with the hydrated calcium silicate and other gels, the latex can form a latex film to attach and fill the hydration products. This slows down the rate of CO2 corrosion of the hydration products, enhancing the cement composite’s resistance to corrosion. CO2-resistant toughened latex can effectively solve the CO2 corrosion problem of the cementing cement ring in shale reservoirs. Full article
Show Figures

Figure 1

16 pages, 5067 KB  
Article
Influence of Eu3+ Doping on Physiochemical Properties and Neuroprotective Potential of Polyacrylic Acid Functionalized Cerium Oxide Nanoparticles
by Rugmani Meenambal, Tomasz Kruk, Klaudia Jakubowska, Jacek Gurgul, Krzysztof Szczepanowicz, Marta Szczęch, Lilianna Szyk-Warszyńska, Piotr Warszyński and Danuta Jantas
Int. J. Mol. Sci. 2024, 25(5), 2501; https://doi.org/10.3390/ijms25052501 - 21 Feb 2024
Cited by 1 | Viewed by 2234
Abstract
Cerium oxide nanoparticles (CeONPs) exhibiting antioxidant properties are investigated as potential tools for neurodegenerative diseases. Here, we synthesized polyacrylic acid conjugated cerium oxide (CeO) nanoparticles, and further to enhance their neuroprotective effect, Eu3+ was substituted at different concentrations (5, 10, 15 and [...] Read more.
Cerium oxide nanoparticles (CeONPs) exhibiting antioxidant properties are investigated as potential tools for neurodegenerative diseases. Here, we synthesized polyacrylic acid conjugated cerium oxide (CeO) nanoparticles, and further to enhance their neuroprotective effect, Eu3+ was substituted at different concentrations (5, 10, 15 and 20 mol%) to the CeO, which can also impart fluorescence to the system. CeONPs and Eu-CeONPs in the size range of 15–30 nm were stable at room temperature. The X-ray Photoelectron Spectroscopy (XPS) analysis revealed the chemical state of Eu and Ce components, and we could conclude that all Eu3+ detected on the surface is well integrated into the cerium oxide lattice. The emission spectrum of Eu-CeO arising from the 7F05D1 MD and 7F05D2 transitions indicated the Eu3+ ion acting as a luminescence center. The fluorescence of Eu-CeONPs was visualized by depositing them at the surface of positively charged latex particles. The developed nanoparticles were safe for human neuronal-like cells. Compared with CeONPs, Eu-CeONPs at all concentrations exhibited enhanced neuroprotection against 6-OHDA, while the protection trend of Eu-CeO was similar to that of CeO against H2O2 in SH-SY5Y cells. Hence, the developed Eu-CeONPs could be further investigated as a potential theranostic probe. Full article
(This article belongs to the Section Materials Science)
Show Figures

Graphical abstract

15 pages, 2290 KB  
Article
Unveiling the Potent Fibrino(geno)lytic, Anticoagulant, and Antithrombotic Effects of Papain, a Cysteine Protease from Carica papaya Latex Using κ-Carrageenan Rat Tail Thrombosis Model
by Hye Ryeon Yang, Most Nusrat Zahan, Yewon Yoon, Kyuri Kim, Du Hyeon Hwang, Woo Hyun Kim, Il Rae Rho, Euikyung Kim and Changkeun Kang
Int. J. Mol. Sci. 2023, 24(23), 16770; https://doi.org/10.3390/ijms242316770 - 26 Nov 2023
Cited by 7 | Viewed by 4355
Abstract
While fibrinolytic enzymes and thrombolytic agents offer assistance in treating cardiovascular diseases, the existing options are associated with a range of adverse effects. In our previous research, we successfully identified ficin, a naturally occurring cysteine protease that possesses unique fibrin and fibrinogenolytic enzymes, [...] Read more.
While fibrinolytic enzymes and thrombolytic agents offer assistance in treating cardiovascular diseases, the existing options are associated with a range of adverse effects. In our previous research, we successfully identified ficin, a naturally occurring cysteine protease that possesses unique fibrin and fibrinogenolytic enzymes, making it suitable for both preventing and treating cardiovascular disorders linked to thrombosis. Papain is a prominent cysteine protease derived from the latex of Carica papaya. The potential role of papain in preventing fibrino(geno)lytic, anticoagulant, and antithrombotic activities has not yet been investigated. Therefore, we examined how papain influences fibrinogen and the process of blood coagulation. Papain is highly stable at pH 4–11 and 37–60 °C via azocasein assay. In addition, SDS gel separation electrophoresis, zymography, and fibrin plate assays were used to determine fibrinogen and fibrinolysis activity. Papain has a molecular weight of around 37 kDa, and is highly effective in degrading fibrin, with a molecular weight of over 75 kDa. Furthermore, papain-based hemostatic performance was confirmed in blood coagulation tests, a blood clot lysis assay, and a κ-carrageenan rat tail thrombosis model, highlighting its strong efficacy in blood coagulation. Papain shows dose-dependent blood clot lysis activity, cleaves fibrinogen chains of Aα, Bβ, and γ-bands, and significantly extends prothrombin time (PT) and activated partial thromboplastin time (aPTT). Moreover, the mean length of the infarcted regions in the tails of Sprague–Dawley rats with κ-carrageenan was shorter in rats administered 10 U/kg of papain than in streptokinase-treated rats. Thus, papain, a cysteine protease, has distinct fibrin and fibrinogenolytic properties, suggesting its potential for preventing or treating cardiovascular issues and thrombosis-related diseases. Full article
(This article belongs to the Special Issue The Role of Protease and Protease Inhibitors in Human Diseases)
Show Figures

Graphical abstract

14 pages, 2199 KB  
Article
Combined Effect of High Hydrostatic Pressure and Proteolytic Fraction P1G10 from Vasconcellea cundinamarcensis Latex against Botrytis cinerea in Grape Juice
by María José Torres-Ossandón, Luis Castillo, Elsa Uribe, Cristina Bilbao-Sainz, Kong Shun Ah-Hen and Antonio Vega-Gálvez
Foods 2023, 12(18), 3400; https://doi.org/10.3390/foods12183400 - 12 Sep 2023
Cited by 2 | Viewed by 2043
Abstract
The effect of high hydrostatic pressure (HHP) and the proteolytic fraction P1G10 from papaya latex was studied to find out whether a synergy exists in the growth inhibition of Botrytis cinerea in grape juice, contributing to the improvement of conservation techniques and extending [...] Read more.
The effect of high hydrostatic pressure (HHP) and the proteolytic fraction P1G10 from papaya latex was studied to find out whether a synergy exists in the growth inhibition of Botrytis cinerea in grape juice, contributing to the improvement of conservation techniques and extending the shelf life and quality of food products. Grape juice (GJ) diluted to 16 °Brix with a water activity (aw) of 0.980 was prepared from a concentrated GJ and used in this study. Results indicated a 92% growth inhibition of B. cinerea when exposed to 1 mg/mL of P1G10 and 250 MPa/4 min of pressure treatment. The proximate composition and antioxidant compounds present in the GJ were not significantly affected after the treatments. Eight phenolic compounds and two flavonoids in GJ were identified and quantified, with values fluctuating between 12.77 ± 0.51 and 240.40 ± 20.9 mg/L in the control sample (0.1 MPa). The phenolic compounds showed a significant decrease after the applied treatments, with the HHP sample having a content of 65.4 ± 6.9 mg GAE/100 mL GJ. In conclusion, a synergistic effect at moderate HHP of 250 MPa/4 min with the addition of P1G10 was observed, and the successful development of a stable and acceptable GJ product was possible. Full article
(This article belongs to the Special Issue Novel High Pressure-Based Applications in Food Technology)
Show Figures

Graphical abstract

Back to TopTop