Sign in to use this feature.

Years

Between: -

Subjects

remove_circle_outline
remove_circle_outline
remove_circle_outline
remove_circle_outline
remove_circle_outline
remove_circle_outline
remove_circle_outline
remove_circle_outline
remove_circle_outline

Journals

Article Types

Countries / Regions

Search Results (117)

Search Parameters:
Keywords = PMI estimation

Order results
Result details
Results per page
Select all
Export citation of selected articles as:
16 pages, 4167 KB  
Article
Deep Learning Approach for Species Identification of Forensically Important Sarcophagid flies (Diptera: Sarcophagidae) in China
by Sen Hou, Jiali Su, Xinyi Yao, Xinglin Li, Jinliang Du, Jianxia Li, Futeng Jiang, Yang Xia, Shuguang Zhang, Wen Cui, Yequan Wang and Lipin Ren
Insects 2026, 17(4), 374; https://doi.org/10.3390/insects17040374 - 1 Apr 2026
Viewed by 253
Abstract
Accurate species identification of necrophagous flies is fundamental to forensic entomology, particularly for postmortem interval (PMI) estimation in decomposed remains. Here, we conducted a targeted carrion-baited survey along the Shandong Peninsula and documented 15 Sarcophaga species, including the first regional records of S. [...] Read more.
Accurate species identification of necrophagous flies is fundamental to forensic entomology, particularly for postmortem interval (PMI) estimation in decomposed remains. Here, we conducted a targeted carrion-baited survey along the Shandong Peninsula and documented 15 Sarcophaga species, including the first regional records of S. cinerea, S. pingi, and S. pterygota. We established an expert-validated image dataset for automated identification. We then developed a parameter-efficient identification framework by fine-tuning a pretrained Vision Transformer with Low-Rank Adaptation (ViT-LoRA) on this custom dataset. Compared with conventional CNN-based models, ViT-LoRA achieved 98.50% species-level accuracy while updating only ~0.16 M trainable parameters, and it converged rapidly and stably within ~10 epochs, demonstrating efficient adaptation under limited training data. This study provides faunistic and distributional data on carrion-associated Sarcophaga species in the coastal Shandong Peninsula, characterizes their regional distribution patterns, and offers a scalable image-based identification approach for forensically important sarcophagid flies. Full article
(This article belongs to the Section Role of Insects in Human Society)
Show Figures

Figure 1

22 pages, 8535 KB  
Article
Endogenous and Exogenous Small RNA Signatures as Novel Tools for Postmortem Interval Determination
by Yafei Wang, Botao Li, Yue Wang, Qinmin Chen, Zhonghua Wang, Guangping Fu, Shujin Li, Chenyu Zhang, Zhen Zhou and Bin Cong
Biomolecules 2026, 16(3), 474; https://doi.org/10.3390/biom16030474 - 22 Mar 2026
Viewed by 364
Abstract
Background: Accurate estimation of the postmortem interval (PMI), the time elapsed between death and body discovery, is a critical challenge in forensic science due to the complex interplay of factors affecting decomposition. Traditional methods based on macroscopic changes often lack precision, especially in [...] Read more.
Background: Accurate estimation of the postmortem interval (PMI), the time elapsed between death and body discovery, is a critical challenge in forensic science due to the complex interplay of factors affecting decomposition. Traditional methods based on macroscopic changes often lack precision, especially in later postmortem stages. Methods: This study aimed to develop a novel PMI estimation framework by integrating the dynamics of endogenous small non-coding RNAs (sncRNAs) and exogenous bacterial-derived small RNAs (sRNAs) using sRNA transcriptomics and machine learning. Results: Cardiac RNA degradation strongly correlated with PMI, with a random forest (RF) model achieving high accuracy (coefficient of determination (R2) = 0.939, mean absolute error (MAE) = 2.987 h). Employing PANDORA-seq, we profiled temporal changes in sncRNAs (miRNAs, tsRNAs and piRNAs) in postmortem cardiac tissue within 30 h in a mouse model, while simultaneously assessing RNA integrity (RIN) across eight organs. PANDORA-seq revealed stable sncRNA landscapes with specific dynamic shifts, leading to the identification of seven novel biomarkers (four tsRNAs, three piRNAs) for PMI prediction (R2 = 0.760, MAE = 158.990 min). Bacterial-derived sRNAs, predominantly from Staphylococcus aureus, were upregulated at 30 h postmortem, suggesting complementary biomarker potential. Bioinformatics analysis indicated that host miRNAs may target bacterial mRNAs, hinting at cross-kingdom interactions. Conclusion: These findings highlight the potential of integrated endogenous and exogenous sRNA analysis in PMI estimation, providing a high-precision, rapid diagnostic tool and revealing complex postmortem molecular processes. Full article
(This article belongs to the Collection Feature Papers in Molecular Biomarkers)
Show Figures

Figure 1

20 pages, 2386 KB  
Article
Comparative Effects of Snake Envenomation on Rabbit Carcass Decomposition and Insect Succession in a Forensic Context
by Abdelwahab Khalil, Eman E. Zaher, Mustafa M. Soliman, Ashraf M. Ahmed, El-Sayed H. Shaurub, Areej A. Al-Khalaf and Mahmoud M. Zidan
Insects 2026, 17(3), 274; https://doi.org/10.3390/insects17030274 - 3 Mar 2026
Viewed by 477
Abstract
Background: Snake envenomation represents a significant health concern in some regions of the world, with fatal cases occasionally requiring forensic investigation to estimate the postmortem interval (PMI). However, the influence of venom on carrion decomposition dynamics and arthropod succession patterns remains poorly understood, [...] Read more.
Background: Snake envenomation represents a significant health concern in some regions of the world, with fatal cases occasionally requiring forensic investigation to estimate the postmortem interval (PMI). However, the influence of venom on carrion decomposition dynamics and arthropod succession patterns remains poorly understood, potentially compromising postmortem interval (PMI) estimations in such cases. Objectives: This study investigated the effects of Naja haje and Cerastes cerastes venoms on decomposition progression and necrophagous arthropod succession. Methods: Fifteen rabbits were allocated into three experimental groups. Two groups received median lethal intravenous doses (LD50) of N. haje or C. cerastes venom, whereas the control group received a saline injection followed by CO2 euthanasia. The carcasses were subsequently placed under natural field conditions and monitored daily for 15 days. Results: The presence of venom significantly altered decomposition dynamics. C. cerastes venom accelerated early decomposition, shortening both the fresh stage (1 ± 0.22 days vs. 2 ± 0.31 days in controls,) and bloating stage (3 ± 0.35 days vs. 5 ± 0.35 days), while extending both the decay stage (6 ± 0.3 days vs. 6 ± 0.17 days) and the dried stage (5.0 ± 0.44 days vs. 2 ± 0.039 days). N. haje venom showed intermediate effects. Overall arthropod abundance peaked on day 5 and declined thereafter. Control carcasses exhibited significantly higher arthropod abundance than carcasses envenomed with C. cerastes or N. haje. Conclusions: Snake envenomation significantly influenced decomposition kinetics and arthropod colonization patterns. Envenomation with C. cerastes venom produced more pronounced alterations than envenomation with N. haje venom. Full article
(This article belongs to the Section Medical and Livestock Entomology)
Show Figures

Figure 1

12 pages, 1231 KB  
Article
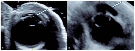
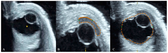
Three-Dimensional Postmortem Ultrasound of the Fetal Corneal Volume to Estimate Postmortem Interval
by Patricia Ibarra Vilar, Dominique A. Badr, Laura De Luca, Teresa Cos Sanchez, Jacques C. Jani and Xin Kang
J. Clin. Med. 2026, 15(5), 1865; https://doi.org/10.3390/jcm15051865 - 28 Feb 2026
Viewed by 276
Abstract
Objectives: To develop and prospectively validate a predictive model to estimate the fetal postmortem interval (PMI) using three-dimensional postmortem ultrasound (3D PM-US) measurements of corneal and ocular volumes. Methods: Single-center study including fetuses ≥ 20 weeks’ gestation with known time of [...] Read more.
Objectives: To develop and prospectively validate a predictive model to estimate the fetal postmortem interval (PMI) using three-dimensional postmortem ultrasound (3D PM-US) measurements of corneal and ocular volumes. Methods: Single-center study including fetuses ≥ 20 weeks’ gestation with known time of death after feticide. A retrospective training cohort (n = 63; November 2022–July 2023) and a prospective validation cohort (n = 28; February–August 2025) were used. Corneal and ocular volumes were measured using the VOCAL™ rotation multiplanar technique; the cornea-to-eyeball volume ratio was calculated for each case. Automated machine learning (AutoML) was used to develop and validate a gradient boosting machine (GBM) model. Model performance was evaluated using the root mean squared error (RMSE), mean absolute error (MAE), and coefficient of determination (R2). Results: Ninety-four fetuses were included; three were excluded (two for extreme death–US intervals of 165 and 166 h; one for open eyelids). Median gestational age was 29.3 weeks (IQR 27.2–32.9); median birthweight was 1325 g (IQR 980–1880). The cornea-to-eyeball volume ratio was an independent predictor of PMI (p < 0.001). The GBM model explained 91% of the variance in the training cohort (R2 = 0.91, RMSE = 11.49 h, MAE = 8.45 h) and 75% in the validation cohort (R2 = 0.75, RMSE = 18.32 h, MAE = 14.49 h), demonstrating strong predictive accuracy and minimal overfitting. Variable importance analysis confirmed the cornea-to-eyeball ratio as the most influential and biologically plausible predictor of PMI. A Shiny web application was developed to facilitate clinical implementation. Conclusions: 3D PM-US measurements of the fetal cornea and eyeball can reliably and quantitatively estimate the PMI with good predictive accuracy using a GBM model. Multicenter studies are required to further refine the model, enable external validation, and determine its clinical and forensic utility. Full article
(This article belongs to the Special Issue Novel Insights for Imaging and Therapy in Maternal and Fetal Medicine)
Show Figures

Figure 1

8 pages, 474 KB  
Article
Selection and Validation of Endogenous Reference microRNAs for Post-Mortem Interval Estimation in Vitreous Humor: A Preliminary Study
by Julia Lazzari, Andrea Scatena, Marco Di Paolo and Anna Rocchi
Int. J. Mol. Sci. 2026, 27(5), 2102; https://doi.org/10.3390/ijms27052102 - 24 Feb 2026
Viewed by 295
Abstract
Estimating the post-mortem interval (PMI) using microRNAs (miRNAs) in vitreous humor (VH) is a promising technique in forensic pathology. However, the reliability of quantitative Real-Time PCR (qPCR) data in this matrix is currently constrained by a critical methodological challenge: the lack of a [...] Read more.
Estimating the post-mortem interval (PMI) using microRNAs (miRNAs) in vitreous humor (VH) is a promising technique in forensic pathology. However, the reliability of quantitative Real-Time PCR (qPCR) data in this matrix is currently constrained by a critical methodological challenge: the lack of a rigorously validated endogenous reference gene (normalizer) capable of correcting for non-biological variations without being influenced by decomposition. This study aimed to identify a robust reference gene for VH analysis by performing a comparative validation of two candidates proposed in the literature: miR-222-3p and miR-96-5p. VH samples were collected from 47 forensic autopsy cases with estimated PMIs ranging from 3 to 24 h. The validation process assessed three key parameters: amplification detectability, expression stability (Coefficient of Variation, CV), and statistical independence from both the PMI and the pre-analytical freezing interval using regression models. MiR-222-3p was rejected as a normalizer due to poor detectability, failing to reach the detection threshold (Cq < 35) in 61.7% of cases (29/47). Conversely, hsa-miR-96-5p was validated as a stable reference gene. It demonstrated high detectability and expression stability (CV = 9.07%) among valid samples. Crucially, linear regression analysis showed no significant correlation between hsa-miR-96-5p levels and either the PMI (p = 0.69) and the pre-freezing time (p = 0.70). This study demonstrates that miR-222-3p is unsuitable for forensic casework in VH due to instability. We identified and validated hsa-miR-96-5p as a robust endogenous reference gene. Its adoption is recommended to standardize future molecular thanatochronology studies and improve the accuracy of PMI estimation models. Full article
(This article belongs to the Section Molecular Biology)
Show Figures

Figure 1

14 pages, 1252 KB  
Article
Assessment of Human DNA and Y-DNA Quantity in Blow Fly Larvae Cultured on Human Blood: Evaluation of Utility for Identification and Forensic Reporting in Sexual Offense Cases
by Dagmara Lisman, Ilona Savochka, Ewelina Tarnawska and Andrzej Ossowski
DNA 2026, 6(1), 10; https://doi.org/10.3390/dna6010010 - 13 Feb 2026
Viewed by 448
Abstract
Background/Objectives: Forensic entomology remains an underutilized discipline within forensic medicine, particularly in Poland, where it is primarily applied to post-mortem interval (PMI) estimation. Recent studies indicate that insect-derived material may also hold value in the identification of human remains. Methods: In this pilot [...] Read more.
Background/Objectives: Forensic entomology remains an underutilized discipline within forensic medicine, particularly in Poland, where it is primarily applied to post-mortem interval (PMI) estimation. Recent studies indicate that insect-derived material may also hold value in the identification of human remains. Methods: In this pilot study, we assess whether blow fly larvae fed on human blood retain amplifiable human DNA, including Y-DNA. Larvae were reared on blood obtained from four volunteers and collected at the third instar stage seven days after oviposition. Human DNA quantification, degradation assessment, and STR/Y-STR profiling were performed. Results: Despite the deliberately small, exploratory sample size, all larval samples yielded complete and concordant STR and, where applicable, Y-STR profiles matching the respective reference donors. Conclusions: These preliminary findings indicate the potential utility of larvae as an alternative biological substrate in forensic contexts, particularly when conventional tissues are unavailable or degraded. However, the results should be interpreted cautiously and require validation in larger, systematically controlled studies before any routine forensic application can be recommended. Full article
Show Figures

Graphical abstract

19 pages, 4153 KB  
Review
Imaging and Artificial Intelligence in Forensic Reconstruction and PMI/PMSI Estimation of Human Remains in Terrestrial and Aquatic Contexts
by Alessia Leggio, Ricardo Ortega-Ruiz and Giulia Iacobellis
Forensic Sci. 2026, 6(1), 13; https://doi.org/10.3390/forensicsci6010013 - 5 Feb 2026
Viewed by 893
Abstract
The application of advanced imaging techniques, particularly computed tomography (CT), photogrammetric scanning, and three-dimensional reconstructions of body surfaces and skeletal remains, is becoming a crucial component of Forensic Anthropology. These tools enable a non-invasive and highly standardized analysis of both intact cadavers and [...] Read more.
The application of advanced imaging techniques, particularly computed tomography (CT), photogrammetric scanning, and three-dimensional reconstructions of body surfaces and skeletal remains, is becoming a crucial component of Forensic Anthropology. These tools enable a non-invasive and highly standardized analysis of both intact cadavers and human remains recovered from terrestrial or aquatic environments, providing reliable support in identification processes, traumatological reconstruction, and the assessment of taphonomic processes. In the context of estimating the Post-Mortem Interval (PMI) and the Post-Mortem Submersion Interval (PMSI), digital imaging allows for the objective and reproducible documentation of morphological changes associated with decomposition, saponification, skeletonization, and taphonomic patterns specific to the recovery environment. Specifically, CT enables the precise assessment of gas accumulation, transformations in residual soft tissues, and structural bone modifications, while photogrammetry and 3D reconstructions facilitate the longitudinal monitoring of transformative processes in both terrestrial and underwater contexts. These observations enhance the reliability of PMI/PMSI estimates through integrated models that combine morphometric, taphonomic, and environmental data. Beyond PMI/PMSI estimation, imaging techniques play a central role in anthropological bioprofiling, facilitating the estimation of age, sex, and stature, the analysis of dental characteristics, and the evaluation of antemortem or perimortem trauma, including damage caused by terrestrial or fauna. Three-dimensional documentation also provides a permanent, shareable archive suitable for comparative analyses, ensuring transparency and reproducibility in investigations. Although not a complete substitute for traditional autopsy or anthropological examination, imaging serves as an essential complement, particularly in cases where the integrity of remains must be preserved or where environmental conditions hinder the direct handling of osteological material. Future directions include the development of AI-based predictive models for PMI/PMSI estimation using automated analysis of post-mortem changes, greater standardization of imaging protocols for aquatic remains, and the use of digital sensors and multimodal techniques to characterize microstructural alterations not detectable by the naked eye. The integration of high-resolution imaging and advanced analytical algorithms promises to further enhance the reconstructive accuracy and interpretative capacity of Forensic Anthropology. Full article
Show Figures

Graphical abstract

12 pages, 657 KB  
Article
Prognostic Value of Treatment-Related Body Composition Changes in Metastatic NSCLC Receiving Nivolumab
by Erkam Kocaaslan, Ali Kaan Güren, Fırat Akagündüz, Ahmet Demirel, Mustafa Alperen Tunç, Burak Paçacı, Yeşim Ağyol, Pınar Erel, Abdüssamed Çelebi, Selver Işık, Ezgi Çoban, Nazım Can Demircan, Salih Özgüven, Zeynep Ceren Balaban Genç, Nargiz Majidova, Nadiye Sever, Murat Sarı, Osman Köstek and İbrahim Vedat Bayoğlu
Medicina 2026, 62(1), 98; https://doi.org/10.3390/medicina62010098 - 2 Jan 2026
Viewed by 631
Abstract
Background and Objectives: This study aimed to evaluate the prognostic impact of baseline body composition measurements and changes in muscle and adipose tissue during treatment on overall survival (OS) in metastatic non-small cell lung cancer (NSCLC) patients treated with nivolumab. Materials and Methods: [...] Read more.
Background and Objectives: This study aimed to evaluate the prognostic impact of baseline body composition measurements and changes in muscle and adipose tissue during treatment on overall survival (OS) in metastatic non-small cell lung cancer (NSCLC) patients treated with nivolumab. Materials and Methods: Eighty-eight metastatic NSCLC patients who were initiated on nivolumab between January 2022 and December 2024 were retrospectively analyzed. Body composition parameters were derived from baseline and 3-month 18F-FDG PET/CT scans at the L3 level, including psoas muscle index (PMI), skeletal muscle index (SMI), intramuscular adipose content (IMAC), and subcutaneous fat density (SFD). Treatment-related changes in body composition were evaluated, and survival analyses were performed using Kaplan–Meier estimates and Cox regression models. Results: Overall, 34.1% (n = 30) of patients were classified as sarcopenic. Median OS was significantly longer in non-sarcopenic patients (19 months vs. 5 months, p < 0.001). In univariate analysis, older age, higher comorbidity burden, liver metastasis, baseline sarcopenia, and adverse treatment-related changes in muscle and nutritional parameters were found to be associated with OS. In multivariate analysis, only unfavorable changes in skeletal muscle (ΔSMI; HR 3.39, p = 0.003) and subcutaneous fat radiodensity (ΔSFD; HR 2.45, p = 0.02) remained independent adverse prognostic factors. Baseline body composition parameters did not maintain their independence in multivariate models. Conclusions: Our study demonstrates that muscle loss or insufficient gain and unfavorable changes in subcutaneous fat radiodensity during nivolumab treatment more strongly predict overall survival compared to baseline measurements. These findings highlight the clinical importance of monitoring dynamic body composition throughout treatment, rather than static assessments, in NSCLC patients receiving immunotherapy. Full article
(This article belongs to the Section Oncology)
Show Figures

Figure 1

16 pages, 10649 KB  
Article
Estimating Postmortem Interval of Buried Pig Carcasses by Integrating Microbial Succession Patterns with Machine Learning Algorithms
by Ting Yang, Xudong Chen, Qihua Xie and Jifeng Cai
Microorganisms 2026, 14(1), 6; https://doi.org/10.3390/microorganisms14010006 - 19 Dec 2025
Viewed by 739
Abstract
Microbial succession serves as a promising tool for estimating the postmortem interval (PMI). However, the patterns of microbial succession in burial scenarios require further exploration. This study established a pig carcass model, including buried and surface (control) groups, to investigate this. Using 16S [...] Read more.
Microbial succession serves as a promising tool for estimating the postmortem interval (PMI). However, the patterns of microbial succession in burial scenarios require further exploration. This study established a pig carcass model, including buried and surface (control) groups, to investigate this. Using 16S ribosomal RNA (16S rRNA) gene sequencing, we analyzed microbial community changes and their differences across various decomposition stages. Results indicated that the decomposition rate of buried carcasses was slower than that of surface carcasses. Following the early decomposition stages, the alpha diversity of skin and underlying soil samples from buried carcasses decreased, a trend similar to that observed in the surface group. A significant shift in bacterial communities occurred in the buried group during abdominal rupture, mirroring the pattern in the surface group. At the phylum level, the relative abundance of Proteobacteria in the skin and soil of the buried group increased during later stages, consistent with the surface group. Furthermore, the buried and surface groups each possessed unique microbial taxa that responded to PMI changes. Using genus-level data, we identified feature taxa and constructed Random Forest models for PMI estimation. In the buried group, the mean absolute error (MAE) was 5.47 days for skin and 4.91 days for soil, while in the surface group, it was 5.59 days for skin and 5.30 days for soil. Although the model’s generalizability is currently limited by the sample size, the results demonstrate the predictability of microbial succession across different environmental contexts, underscoring its potential as a tool for PMI estimation in buried remains. Full article
(This article belongs to the Section Veterinary Microbiology)
Show Figures

Figure 1

25 pages, 919 KB  
Article
A CVaR-Based Black–Litterman Model with Macroeconomic Cycle Views for Optimal Asset Allocation of Pension Funds
by Yungao Wu and Yuqin Sun
Mathematics 2025, 13(24), 4034; https://doi.org/10.3390/math13244034 - 18 Dec 2025
Viewed by 798
Abstract
As a form of long-term asset allocation, pension fund investment necessitates accurate estimation of both asset returns and associated risks over extended time horizons. However, long-term asset returns are significantly influenced by macroeconomic factors, whereas variance-based risk measures cannot account for the directional [...] Read more.
As a form of long-term asset allocation, pension fund investment necessitates accurate estimation of both asset returns and associated risks over extended time horizons. However, long-term asset returns are significantly influenced by macroeconomic factors, whereas variance-based risk measures cannot account for the directional nature of deviations from expected returns. To address these issues, we propose a novel CVaR-based Black–Litterman model incorporating macroeconomic cycle views (CVaR-BL-MCV) for optimal asset allocation of pension funds. This approach integrates macroeconomic cycle dynamics to quantify their impact on asset returns and utilizes Conditional Value-at-Risk (CVaR) as a coherent measure of downside risk. We employ a Markov-switching model to identify and forecast the phases of economic and monetary cycles. By analyzing the economic cycle with PMI and CPI, economic conditions are categorized into three distinct phases: stable, transitional, and overheating. Similarly, by analyzing the monetary cycle with M2 and SHIBOR, monetary conditions are classified into expansionary and contractionary phases. Based on historical asset return data across these cycles, view matrices are constructed for each cycle state. CVaR is used as the risk measure, and the posterior distribution of the Black–Litterman (BL) model is derived via generalized least squares (GLS), thereby extending the traditional BL framework to a CVaR-based approach. The experimental results demonstrate that the proposed CVaR-BL-MCV model outperforms the benchmark models. When the risk aversion coefficient is 1, 1.5, and 3, the Sharpe ratio of pension asset allocation using the CVaR-BL-MCV model is 21.7%, 18.4%, and 20.5% higher than that of the benchmark models, respectively. Moreover, the BL model incorporating CVaR improves the Sharpe ratio of pension asset allocation by an average of 19.7%, while the BL model with MCV achieves an average improvement of 14.4%. Full article
Show Figures

Figure 1

21 pages, 1184 KB  
Perspective
Death as Rising Entropy: A Theory of Everything for Postmortem Interval Estimation
by Matteo Nioi and Ernesto d’Aloja
Forensic Sci. 2025, 5(4), 76; https://doi.org/10.3390/forensicsci5040076 - 11 Dec 2025
Viewed by 1173
Abstract
Determining the postmortem interval remains one of the most persistent and fragmented challenges in forensic science. Conventional approaches—thermal, biochemical, molecular, or entomological—capture only isolated fragments of a single physical reality: the irreversible drift of a once-living system toward equilibrium. This Perspective proposes a [...] Read more.
Determining the postmortem interval remains one of the most persistent and fragmented challenges in forensic science. Conventional approaches—thermal, biochemical, molecular, or entomological—capture only isolated fragments of a single physical reality: the irreversible drift of a once-living system toward equilibrium. This Perspective proposes a unifying paradigm in which death is understood as a progressive rise in entropy, encompassing the loss of biological order across thermal, chemical, structural, and ecological domains. Each measurable postmortem variable—temperature decay, metabolite diffusion, macromolecular breakdown, tissue disorganization, and microbial succession—represents a distinct expression of the same universal law. Within this framework, entropy becomes a dimensionless index of disorder that can be normalized and compared across scales, transforming scattered empirical data into a coherent continuum. A Bayesian formulation further integrates these entropic signals according to their temporal reliability, yielding a probabilistic, multidomain equation for PMI estimation. By merging thermodynamics, information theory, and biology, the concept of death as rising entropy offers a comprehensive physical description of the postmortem process and a theoretical foundation for future computational, imaging, and metabolomic models in forensic time analysis. Full article
Show Figures

Graphical abstract

17 pages, 2470 KB  
Article
Assessing Patterns of Moisture Content in Decomposing, Desiccated, and Mummified Tissue in Western North Carolina
by Christine A. Bailey, Autumn N. Lennartz, Maggie M. Klemm, Cameron A. Matheson, Carter A. Unger and Rebecca L. George
Forensic Sci. 2025, 5(4), 73; https://doi.org/10.3390/forensicsci5040073 - 1 Dec 2025
Viewed by 1009
Abstract
Background: Estimating the postmortem interval (PMI) is complicated by extrinsic environmental and intrinsic individual factors. Methods: Improved accuracy may be achieved through a better understanding of desiccation. This study examines moisture loss and desiccation in human remains in western North Carolina, validating previous [...] Read more.
Background: Estimating the postmortem interval (PMI) is complicated by extrinsic environmental and intrinsic individual factors. Methods: Improved accuracy may be achieved through a better understanding of desiccation. This study examines moisture loss and desiccation in human remains in western North Carolina, validating previous research in central Texas. Ten donated individuals were placed across three seasonal trials at Western Carolina University’s Forensic Osteology Research Station (FOREST). Soft tissue moisture measurements were recorded from 20 locations on the body using a Delmhorst RDM-3TM meter, and environmental data were recorded on-site. Results: Moisture content declined rapidly until ~500 accumulated degree days (ADD), after which patterns became highly variable. Linear mixed-effects models identified temperature as the strongest predictor of moisture loss, particularly in spring and fall, while precipitation was the most influential in summer, coinciding with rapid skeletonization. Compared to central Texas, western North Carolina exhibited less consistent moisture loss patterns and greater environmental variability. Fixed effects explained 36–63% of moisture variation across body regions, with conditional R2 values modestly higher when accounting for individual differences. Conclusions: These findings highlight the importance of region-specific research for PMI estimation. Full article
Show Figures

Figure 1

15 pages, 5170 KB  
Article
Evaluation of RNA Stability and Molecular Biomarkers for Post-Mortem Interval Estimation in Rat Organs
by Minju Jung, Sujin Choi, Mingyoung Jeong, Sohyeong Kim, Dong Geon Lee, Kwangmin Park, Xianglan Xuan, Yujin Park, Heechul Park, Dong Hyeok Kim, Jungho Kim, Min Ho Lee, Yoonjung Cho and Sunghyun Kim
Int. J. Mol. Sci. 2025, 26(22), 11227; https://doi.org/10.3390/ijms262211227 - 20 Nov 2025
Cited by 1 | Viewed by 1206
Abstract
Post-mortem interval (PMI) analysis plays a crucial role in forensic investigations, providing essential insights into the time since death. This study examined histological changes and ribonucleic acid (RNA) quantification across major organs to identify molecular indicators for PMI estimation. Because RNA gradually degrades [...] Read more.
Post-mortem interval (PMI) analysis plays a crucial role in forensic investigations, providing essential insights into the time since death. This study examined histological changes and ribonucleic acid (RNA) quantification across major organs to identify molecular indicators for PMI estimation. Because RNA gradually degrades after death, understanding its stability under different tissue, temperature, and PMI conditions provides valuable forensic insights. We analyzed post-mortem changes in total RNA from the heart, kidney, liver, and lung tissues of Sprague Dawley rats stored at 4 °C and 26 °C. Tissue samples were collected at various PMIs and evaluated histologically for cellular integrity. Total RNA concentration and purity were measured, and complementary DNA (cDNA) was synthesized for molecular analysis. Expression levels of 5S rRNA, B2m, Gapdh, and Sort1 were quantified using reverse transcription quantitative PCR (RT-qPCR). The results showed that PMI and organ type significantly affected total RNA concentration, whereas temperature exerted only a minor effect. Among the four target genes, 5S rRNA exhibited the lowest Ct values, indicating the highest stability. Notably, RNA degradation patterns varied with temperature, particularly in kidney and liver tissues. These findings suggest that RNA-based molecular markers, particularly 5S rRNA, may serve as promising indicators for accurate PMI estimation. Full article
(This article belongs to the Section Molecular Genetics and Genomics)
Show Figures

Figure 1

13 pages, 3429 KB  
Communication
Blow Fly (Diptera: Calliphoridae) Community Composition Across the Georgia Fall Line During Seasonal Transitions
by Edward B. Mondor, Gillian L. Johnson, Summer J. Williams and Evan C. Lampert
Insects 2025, 16(11), 1124; https://doi.org/10.3390/insects16111124 - 3 Nov 2025
Cited by 1 | Viewed by 810
Abstract
Forensic entomologists use insect development, especially in blow flies (Diptera: Calliphoridae), to estimate the minimum postmortem interval (mPMI). Since insect activity is driven mainly by temperature, understanding geographic and seasonal variation in community composition is critical. In the southeastern United States, approximately 10 [...] Read more.
Forensic entomologists use insect development, especially in blow flies (Diptera: Calliphoridae), to estimate the minimum postmortem interval (mPMI). Since insect activity is driven mainly by temperature, understanding geographic and seasonal variation in community composition is critical. In the southeastern United States, approximately 10 blow fly species dominate, generally classified as “summer-active” or “winter-active” flies. We studied their presence and abundance during winter/spring and summer/fall transitions across the Georgia Fall Line (GFL), a major geophysical boundary separating the Piedmont and Coastal Plain. Here we show that community structure was shaped more by regional biogeography and seasonal transitions, than by current temperature. Three species; Calliphora livida, Lucilia coeruleiviridis, and Cochliomyia macellaria accounted for over 70% of seasonal variation. Fly communities differed sharply across the GFL and shifted between seasonal transitions. Recognizing these geographic and temporal patterns can help forensic entomologists produce more accurate mPMI estimates in death investigations. Full article
(This article belongs to the Collection Advances in Diptera Biology)
Show Figures

Figure 1

16 pages, 6750 KB  
Article
A Preliminary Study on Species Identification of Immature Necrophagous Phorid Flies Based on FTIR Spectroscopy
by Wutong Jia, Dianxing Feng and Yanan Tang
Animals 2025, 15(21), 3110; https://doi.org/10.3390/ani15213110 - 26 Oct 2025
Viewed by 686
Abstract
Phorid flies serve as the main colonizers of human remains in both indoor and burial environments. Their developmental patterns can be utilized to estimate the minimum postmortem interval (minPMI). Accurate species identification, particularly for immature stages, is essential before utilizing their developmental data [...] Read more.
Phorid flies serve as the main colonizers of human remains in both indoor and burial environments. Their developmental patterns can be utilized to estimate the minimum postmortem interval (minPMI). Accurate species identification, particularly for immature stages, is essential before utilizing their developmental data to estimate minPMI. This study employed Fourier transform infrared spectroscopy (FTIR) coupled with principal components analysis (PCA) and partial least squares-discriminant analysis (PLS-DA) to investigate species identification of eggs (0 h, 8 h, 16 h), larvae (12 h, 60 h, 84 h), and pupae (1 d, 5 d, 10 d) of three necrophagous Phoridae species, Dohrniphora cornuta, Diplonevra funebris, and Megaselia scalaris at 24 °C. The results showed that the FTIR spectra within the fingerprint region (1800–900 cm−1) differed among the three immature phorid flies. These differences were primarily manifested in absorption peak intensities. The PLS-DA analysis successfully distinguished the three species at the same developmental stage. This study demonstrated the feasibility of utilizing FTIR spectroscopy coupled with chemometric methods to both rapidly identify the species of immature small flies and simultaneously estimate their age. Full article
Show Figures

Figure 1

Back to TopTop