Sign in to use this feature.

Years

Between: -

Subjects

remove_circle_outline
remove_circle_outline
remove_circle_outline
remove_circle_outline
remove_circle_outline

Journals

Article Types

Countries / Regions

Search Results (20)

Search Parameters:
Keywords = PHB-associated proteins

Order results
Result details
Results per page
Select all
Export citation of selected articles as:
13 pages, 3032 KB  
Article
SLP2/PHB Aggregates in ALS Mouse Models and Patients: Implications Beyond CHCHD10-Associated Motor Neuron Disease
by Emmanuelle C. Genin, Françoise Lespinasse, Alessandra Mauri-Crouzet, Luc Dupuis and Véronique Paquis-Flucklinger
Int. J. Mol. Sci. 2025, 26(22), 10852; https://doi.org/10.3390/ijms262210852 - 8 Nov 2025
Viewed by 493
Abstract
Amyotrophic Lateral Sclerosis (ALS) is a fatal neurodegenerative disorder characterized by motor neuron (MN) degeneration, frequently overlapping with frontotemporal dementia (FTD). Protein aggregation is a hallmark of these disorders, yet the role of aggregates in ALS pathogenesis remains unclear. Previously, stomatin-like protein 2 [...] Read more.
Amyotrophic Lateral Sclerosis (ALS) is a fatal neurodegenerative disorder characterized by motor neuron (MN) degeneration, frequently overlapping with frontotemporal dementia (FTD). Protein aggregation is a hallmark of these disorders, yet the role of aggregates in ALS pathogenesis remains unclear. Previously, stomatin-like protein 2 (SLP2) and prohibitin (PHB) aggregates were identified in a model of CHCHD10-related ALS (Chchd10S59L/+ mice). This study raises the question of the presence and possible involvement of these aggregates in ALS beyond CHCHD10-associated motor neuron disease (MND). Using immunohistofluorescence, we analyzed SLP2/PHB expression in the spinal MNs and hippocampus of two ALS mouse models: FusΔNLS and Sod1G86R. Additionally, post-mortem spinal cord tissues from 27 ALS and ALS-FTD patients were analyzed. SLP2/PHB aggregates were identified in spinal MNs and the hippocampus of FusΔNLS mice but not in Sod1G86R mice. In ALS patients, SLP2/PHB aggregation was observed in four cases, including two with C9ORF72 mutations. Interestingly, aggregates were absent in SOD1-associated ALS patients. These findings suggest that SLP2/PHB aggregation is not specific to CHCHD10 variants but may contribute to the pathogenesis of ALS from different origins. The age-related accumulation of these aggregates highlights their potential role in disease progression and as therapeutic targets. Future studies should investigate their mechanistic contributions across different ALS subtypes. Full article
(This article belongs to the Special Issue Molecular Insights in Neurodegeneration)
Show Figures

Graphical abstract

22 pages, 2629 KB  
Article
Intermittent Cold Exposure Induces Distinct Proteomic Signatures in White Adipose Tissue of Mice
by Elena Elsukova, Tatiana Zamay, Anna Kichkailo, Andrey Yakunenkov, Dmitry V. Veprintsev, Zoran Minic, Maxim V. Berezovski and Yury Glazyrin
Int. J. Mol. Sci. 2025, 26(16), 7898; https://doi.org/10.3390/ijms26167898 - 15 Aug 2025
Cited by 2 | Viewed by 1799
Abstract
Adipose tissue exhibits dynamic metabolic and structural changes in response to environmental stimuli, including temperature fluctuations. While continuous cold exposure has been extensively studied, the molecular effects of prolonged intermittent cold exposure (ICE) remain poorly characterized. Here, we present a proteomic analysis of [...] Read more.
Adipose tissue exhibits dynamic metabolic and structural changes in response to environmental stimuli, including temperature fluctuations. While continuous cold exposure has been extensively studied, the molecular effects of prolonged intermittent cold exposure (ICE) remain poorly characterized. Here, we present a proteomic analysis of inguinal white adipose tissue (IWAT) from mice subjected to a 16-week regimen of short-term daily ICE (6 °C for 6 h, 5 days per week) without compensatory caloric intake. Mass spectrometry identified 1108 proteins, with 140 differentially expressed between experimental and control groups. ICE significantly upregulated mitochondrial proteins associated with lipid and carbohydrate catabolism, the tricarboxylic acid (TCA) cycle, oxidative phosphorylation, and lipogenesis, including LETM1, AIFM1, PHB, PHB2, ACOT2, NDUA9, and ATP5J. These changes reflect enhanced metabolic activity and mitochondrial remodeling. In contrast, proteins linked to oxidative stress, insulin resistance, inflammation, and extracellular matrix remodeling were downregulated, such as HMGB1, FETUA, SERPH1, RPN1, and AOC3. Notably, gamma-synuclein (SYUG), which inhibits lipolysis, was undetectable in ICE-treated samples. Our findings support the hypothesis that ICE promotes thermogenic reprogramming and metabolic rejuvenation in subcutaneous fat through activation of futile cycles and mitochondrial restructuring. This study offers molecular insights into adaptive thermogenesis and presents intermittent cold exposure as a potential strategy to mitigate adipose tissue aging. Full article
(This article belongs to the Special Issue Molecular Associations Between Adipose Tissue and Diseases)
Show Figures

Graphical abstract

32 pages, 1285 KB  
Review
Metabolic Engineering Strategies for Enhanced Polyhydroxyalkanoate (PHA) Production in Cupriavidus necator
by Wim Hectors, Tom Delmulle and Wim K. Soetaert
Polymers 2025, 17(15), 2104; https://doi.org/10.3390/polym17152104 - 31 Jul 2025
Viewed by 5908
Abstract
The environmental burden of conventional plastics has sparked interest in sustainable alternatives such as polyhydroxyalkanoates (PHAs). However, despite ample research in bioprocess development and the use of inexpensive waste streams, production costs remain a barrier to widespread commercialization. Complementary to this, genetic engineering [...] Read more.
The environmental burden of conventional plastics has sparked interest in sustainable alternatives such as polyhydroxyalkanoates (PHAs). However, despite ample research in bioprocess development and the use of inexpensive waste streams, production costs remain a barrier to widespread commercialization. Complementary to this, genetic engineering offers another avenue for improved productivity. Cupriavidus necator stands out as a model host for PHA production due to its substrate flexibility, high intracellular polymer accumulation, and tractability to genetic modification. This review delves into metabolic engineering strategies that have been developed to enhance the production of poly(3-hydroxybutyrate) (PHB) and related copolymers in C. necator. Strategies include the optimization of central carbon flux, redox and cofactor balancing, adaptation to oxygen-limiting conditions, and fine-tuning of granule-associated protein expression and the regulatory network. This is followed by outlining engineered pathways improving the synthesis of PHB copolymers, PHBV, PHBHHx, and other emerging variants, emphasizing genetic modifications enabling biosynthesis based on unrelated single-carbon sources. Among these, enzyme engineering strategies and the establishment of novel artificial pathways are widely discussed. In particular, this review offers a comprehensive overview of promising engineering strategies, serving as a resource for future strain development and positioning C. necator as a valuable microbial chassis for biopolymer production at an industrial scale. Full article
Show Figures

Figure 1

11 pages, 3366 KB  
Article
Isolation and Characterization of Carbonosomes from Pseudomonas sp. phDV1 Grown Using Phenol as Carbon Source
by Ermis Dionysios Geladas, Alexandros Lyratzakis, Athina Drakonaki, Georgios Gkikas and Georgios Tsiotis
Microorganisms 2025, 13(2), 369; https://doi.org/10.3390/microorganisms13020369 - 8 Feb 2025
Viewed by 1229
Abstract
The Pseudomonas sp. strain phDV1 was found to utilize monocyclic aromatic compounds as a sole carbon source and has a variety of potential applications in the bioremediation and biosynthesis of biodegradable plastics. It was possible to produce polyhydroxybutyrate when cultivated in the presence [...] Read more.
The Pseudomonas sp. strain phDV1 was found to utilize monocyclic aromatic compounds as a sole carbon source and has a variety of potential applications in the bioremediation and biosynthesis of biodegradable plastics. It was possible to produce polyhydroxybutyrate when cultivated in the presence of monocyclic aromatic compounds as the sole carbon source. This study provides the small-scale optimization for phenol bioremediation and polyhydroxybutyrate production. The bacterium was cultivated in minimal medium supplemented with different concentrations of phenol. The formation and localization of the polyhydroxybutyrate granules (carbonosomes) in the cell were determined after 72 h of cultivation using Nile Red stain in combination with fluorescence microscopy. Analytical HPLC was also used to quantify the PHB content in the cells and to optimize the production. Finally, comparative proteomic analysis of isolated carbonosomes was used to characterize of their protein composition. Full article
Show Figures

Figure 1

32 pages, 4179 KB  
Article
Analysis of Sigma-1 Receptor Antagonist BD1047 Effect on Upregulating Proteins in HIV-1-Infected Macrophages Exposed to Cocaine Using Quantitative Proteomics
by Omar Vélez-López, Kelvin Carrasquillo-Carrión, Yadira M. Cantres-Rosario, Eraysy Machín-Martínez, Manuel E. Álvarez-Ríos, Abiel Roche-Lima, Eduardo L. Tosado-Rodríguez and Loyda M. Meléndez
Biomedicines 2024, 12(9), 1934; https://doi.org/10.3390/biomedicines12091934 - 23 Aug 2024
Cited by 1 | Viewed by 2992
Abstract
HIV-1 infects monocyte-derived macrophages (MDM) that migrate into the brain and secrete virus and neurotoxic molecules, including cathepsin B (CATB), causing cognitive dysfunction. Cocaine potentiates CATB secretion and neurotoxicity in HIV-infected MDM. Pretreatment with BD1047, a sigma-1 receptor antagonist, before cocaine exposure reduces [...] Read more.
HIV-1 infects monocyte-derived macrophages (MDM) that migrate into the brain and secrete virus and neurotoxic molecules, including cathepsin B (CATB), causing cognitive dysfunction. Cocaine potentiates CATB secretion and neurotoxicity in HIV-infected MDM. Pretreatment with BD1047, a sigma-1 receptor antagonist, before cocaine exposure reduces HIV-1, CATB secretion, and neuronal apoptosis. We aimed to elucidate the intracellular pathways modulated by BD1047 in HIV-infected MDM exposed to cocaine. We hypothesized that the Sig1R antagonist BD1047, prior to cocaine, significantly deregulates proteins and pathways involved in HIV-1 replication and CATB secretion that lead to neurotoxicity. MDM culture lysates from HIV-1-infected women treated with BD1047 before cocaine were compared with untreated controls using TMT quantitative proteomics, bioinformatics, Lima statistics, and pathway analyses. Results demonstrate that pretreatment with BD1047 before cocaine dysregulated eighty (80) proteins when compared with the infected cocaine group. We found fifteen (15) proteins related to HIV-1 infection, CATB, and mitochondrial function. Upregulated proteins were related to oxidative phosphorylation (SLC25A-31), mitochondria (ATP5PD), ion transport (VDAC2–3), endoplasmic reticulum transport (PHB, TMED10, CANX), and cytoskeleton remodeling (TUB1A-C, ANXA1). BD1047 treatment protects HIV-1-infected MDM exposed to cocaine by upregulating proteins that reduce mitochondrial damage, ER transport, and exocytosis associated with CATB-induced neurotoxicity. Full article
(This article belongs to the Special Issue Sigma-1 Receptor in Health and Disease)
Show Figures

Figure 1

16 pages, 1818 KB  
Article
Unravelling the Genetic Architecture of Serum Biochemical Indicators in Sheep
by Mehmet Kizilaslan, Yunus Arzik, Sedat Behrem, Esra Yavuz, Stephen N. White and Mehmet Ulas Cinar
Genes 2024, 15(8), 990; https://doi.org/10.3390/genes15080990 - 27 Jul 2024
Cited by 3 | Viewed by 2374
Abstract
Serum biochemical indicators serve as vital proxies that reflect the physiological state and functions of different organs. The genetic parameters and molecular mechanisms underlying serum biochemical indicators of sheep (Ovis aries) have not been well understood. Therefore, the aim of the [...] Read more.
Serum biochemical indicators serve as vital proxies that reflect the physiological state and functions of different organs. The genetic parameters and molecular mechanisms underlying serum biochemical indicators of sheep (Ovis aries) have not been well understood. Therefore, the aim of the present study was to identify the genetic architecture and genomic loci underlying ten serum biochemical indicators in sheep, including alanine transaminase, aspartate transferase, lactate dehydrogenase, cholesterol, glucose, phosphorus, calcium, creatinine, urea and total protein levels. We implemented genetic parameter estimations and GWASs for each trait in 422 Akkaraman lambs. Overall, low to moderate heritability estimates were found in the range of 0.14–0.55. Additionally, low to high genetic correlations were observed among traits. In total, 23 SNP loci were associated with serum biochemical indicators leading to 19 genes. These were SPTA1, MGST2, CACUL1, IGFBP7, PARD3, PHB1, SLC15A5, TRIM35, RGS6, NUP93, CNTNAP2, SLC7A11, B3GALT5, DPP10, HST2ST1, NRP1, LRP1B, MAP3K9 and ENSOARG00020040484.1, as well as LOC101103187, LOC101117162, LOC105611309 and LOC101118029. To our knowledge, these data provide the first associations between SPTA1 and serum cholesterol and between ENSOARG00020040484.1 and serum glucose. The current findings provide a comprehensive inventory of the relationships between serum biochemical parameters, genetic variants and disease-relevant characteristics. This information may facilitate the identification of therapeutic targets and fluid biomarkers and establish a strong framework for comprehending the pathobiology of complex diseases as well as providing targets for sheep genetic improvement programs. Full article
(This article belongs to the Section Animal Genetics and Genomics)
Show Figures

Figure 1

16 pages, 8262 KB  
Article
Computational Analysis of the Tripartite Interaction of Phasins (PhaP4 and 5)-Sigma Factor (σ24)-DNA of Azospirillum brasilense Sp7
by Yovani Aguilar-Carrillo, Lucía Soto-Urzúa, María De Los Ángeles Martínez-Martínez, Mirian Becerril-Ramírez and Luis Javier Martínez-Morales
Polymers 2024, 16(5), 611; https://doi.org/10.3390/polym16050611 - 23 Feb 2024
Cited by 2 | Viewed by 1805
Abstract
Azospirillum brasilense Sp7 produces PHB, which is covered by granule-associated proteins (GAPs). Phasins are the main GAPs. Previous studies have shown phasins can regulate PHB synthesis. When A. brasilense grows under stress conditions, it uses sigma factors to transcribe genes for survival. One [...] Read more.
Azospirillum brasilense Sp7 produces PHB, which is covered by granule-associated proteins (GAPs). Phasins are the main GAPs. Previous studies have shown phasins can regulate PHB synthesis. When A. brasilense grows under stress conditions, it uses sigma factors to transcribe genes for survival. One of these factors is the σ24 factor. This study determined the possible interaction between phasins and the σ24 factor or phasin-σ24 factor complex and DNA. Three-dimensional structures of phasins and σ24 factor structures were predicted using the I-TASSER and SWISS-Model servers, respectively. Subsequently, a molecular docking between phasins and the σ24 factor was performed using the ClusPro 2.0 server, followed by molecular docking between protein complexes and DNA using the HDOCK server. Evaluation of the types of ligand–receptor interactions was performed using the BIOVIA Discovery Visualizer for three-dimensional diagrams, as well as the LigPlot server to obtain bi-dimensional diagrams. The results showed the phasins (Pha4Abs7 or Pha5Abs7)-σ24 factor complex was bound near the −35 box of the promoter region of the phaC gene. However, in the individual interaction of PhaP5Abs7 and the σ24 factor, with DNA, both proteins were bound to the −35 box. This did not occur with PhaP4Abs7, which was bound to the −10 box. This change could affect the transcription level of the phaC gene and possibly affect PHB synthesis. Full article
Show Figures

Figure 1

13 pages, 6055 KB  
Article
Production of Polyhydroxybutyrate by Genetically Modified Pseudomonas sp. phDV1: A Comparative Study of Utilizing Wine Industry Waste as a Carbon Source
by Athina Drakonaki, Eirini Mathioudaki, Ermis Dionysios Geladas, Eleni Konsolaki, Nikolaos Vitsaxakis, Nikos Chaniotakis, Hao Xie and Georgios Tsiotis
Microorganisms 2023, 11(6), 1592; https://doi.org/10.3390/microorganisms11061592 - 15 Jun 2023
Cited by 15 | Viewed by 4228
Abstract
Pseudomonas sp. phDV1 is a polyhydroxyalkanoate (PHA) producer. The presence of the endogenous PHA depolymerase (phaZ) responsible for the degradation of the intracellular PHA is one of the main shortages in the bacterial production of PHA. Further, the production of PHA can be [...] Read more.
Pseudomonas sp. phDV1 is a polyhydroxyalkanoate (PHA) producer. The presence of the endogenous PHA depolymerase (phaZ) responsible for the degradation of the intracellular PHA is one of the main shortages in the bacterial production of PHA. Further, the production of PHA can be affected by the regulatory protein phaR, which is important in accumulating different PHA-associated proteins. PHA depolymerase phaZ and phaR knockout mutants of Pseudomonas sp. phDV1 were successfully constructed. We investigate the PHA production from 4.25 mM phenol and grape pomace of the mutants and the wild type. The production was screened by fluorescence microscopy, and the PHA production was quantified by HPLC chromatography. The PHA is composed of Polydroxybutyrate (PHB), as confirmed by 1H-nuclear magnetic resonance analysis. The wildtype strain produces approximately 280 μg PHB after 48 h in grape pomace, while the phaZ knockout mutant produces 310 μg PHB after 72 h in the presence of phenol per gram of cells, respectively. The ability of the phaZ mutant to synthesize high levels of PHB in the presence of monocyclic aromatic compounds may open the possibility of reducing the costs of industrial PHB production. Full article
(This article belongs to the Section Microbial Biotechnology)
Show Figures

Figure 1

16 pages, 1231 KB  
Article
Inhibition of Prolyl Oligopeptidase Restores Prohibitin 2 Levels in Psychosis Models: Relationship to Cognitive Deficits in Schizophrenia
by Èlia Vila, Raquel Pinacho, Roger Prades, Teresa Tarragó, Elena Castro, Eva Munarriz-Cuezva, J. Javier Meana, Ania Eugui-Anta, Mònica Roldan, América Vera-Montecinos and Belén Ramos
Int. J. Mol. Sci. 2023, 24(7), 6016; https://doi.org/10.3390/ijms24076016 - 23 Mar 2023
Cited by 3 | Viewed by 3263
Abstract
Cognitive impairment represents one of the core features of schizophrenia. Prolyl Oligopeptidase (POP) inhibition is an emerging strategy for compensating cognitive deficits in hypoglutamatergic states such as schizophrenia, although little is known about how POP inhibitors exert their pharmacological activity. The mitochondrial and [...] Read more.
Cognitive impairment represents one of the core features of schizophrenia. Prolyl Oligopeptidase (POP) inhibition is an emerging strategy for compensating cognitive deficits in hypoglutamatergic states such as schizophrenia, although little is known about how POP inhibitors exert their pharmacological activity. The mitochondrial and nuclear protein Prohibitin 2 (PHB2) could be dysregulated in schizophrenia. However, altered PHB2 levels in schizophrenia linked to N-methyl-D-aspartate receptor (NMDAR) activity and cognitive deficits are still unknown. To shed light on this, we measured the PHB2 levels by immunoblot in a postmortem dorsolateral prefrontal cortex (DLPFC) of schizophrenia subjects, in the frontal pole of mice treated with the NMDAR antagonists phencyclidine and dizocilpine, and in rat cortical astrocytes and neurons treated with dizocilpine. Mice and cells were treated in combination with the POP inhibitor IPR19. The PHB2 levels were also analyzed by immunocytochemistry in rat neurons. The PHB2 levels increased in DLPFC in cases of chronic schizophrenia and were associated with cognitive impairments. NMDAR antagonists increased PHB2 levels in the frontal pole of mice and in rat astrocytes and neurons. High levels of PHB2 were found in the nucleus and cytoplasm of neurons upon NMDAR inhibition. IPR19 restored PHB2 levels in the acute NMDAR inhibition. These results show that IPR19 restores the upregulation of PHB2 in an acute NMDAR hypoactivity stage suggesting that the modulation of PHB2 could compensate NMDAR-dependent cognitive impairments in schizophrenia. Full article
(This article belongs to the Special Issue Molecular Mechanisms of Schizophrenia and Novel Targets 2.0)
Show Figures

Figure 1

21 pages, 3107 KB  
Article
COVID-19 Salivary Protein Profile: Unravelling Molecular Aspects of SARS-CoV-2 Infection
by Eduardo Esteves, Vera M. Mendes, Bruno Manadas, Rafaela Lopes, Liliana Bernardino, Maria José Correia, Marlene Barros, Ana Cristina Esteves and Nuno Rosa
J. Clin. Med. 2022, 11(19), 5571; https://doi.org/10.3390/jcm11195571 - 22 Sep 2022
Cited by 10 | Viewed by 3953
Abstract
COVID-19 is the most impacting global pandemic of all time, with over 600 million infected and 6.5 million deaths worldwide, in addition to an unprecedented economic impact. Despite the many advances in scientific knowledge about the disease, much remains to be clarified about [...] Read more.
COVID-19 is the most impacting global pandemic of all time, with over 600 million infected and 6.5 million deaths worldwide, in addition to an unprecedented economic impact. Despite the many advances in scientific knowledge about the disease, much remains to be clarified about the molecular alterations induced by SARS-CoV-2 infection. In this work, we present a hybrid proteomics and in silico interactomics strategy to establish a COVID-19 salivary protein profile. Data are available via ProteomeXchange with identifier PXD036571. The differential proteome was narrowed down by the Partial Least-Squares Discriminant Analysis and enrichment analysis was performed with FunRich. In parallel, OralInt was used to determine interspecies Protein-Protein Interactions between humans and SARS-CoV-2. Five dysregulated biological processes were identified in the COVID-19 proteome profile: Apoptosis, Energy Pathways, Immune Response, Protein Metabolism and Transport. We identified 10 proteins (KLK 11, IMPA2, ANXA7, PLP2, IGLV2-11, IGHV3-43D, IGKV2-24, TMEM165, VSIG10 and PHB2) that had never been associated with SARS-CoV-2 infection, representing new evidence of the impact of COVID-19. Interactomics analysis showed viral influence on the host immune response, mainly through interaction with the degranulation of neutrophils. The virus alters the host’s energy metabolism and interferes with apoptosis mechanisms. Full article
(This article belongs to the Special Issue Clinical Trends and Therapies of the COVID-19 Pandemic)
Show Figures

Figure 1

16 pages, 6906 KB  
Article
Characterization of Mitochondrial Prohibitin in Opsariichthys bidens and Its Potential Functions in Spermatogenesis
by Li Wang, Jingqian Wang, Xinming Gao, Chen Du, Congcong Hou, Chundan Zhang, Junquan Zhu and Daojun Tang
Int. J. Mol. Sci. 2022, 23(13), 7295; https://doi.org/10.3390/ijms23137295 - 30 Jun 2022
Cited by 4 | Viewed by 2392
Abstract
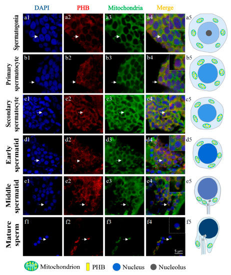
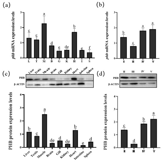
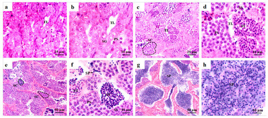
Spermatogenesis is the intricate and coordinated process by which spermatogonia develop into haploid differentiated spermatozoa. Mitochondria are essential for spermatogenesis, and prohibitin (PHB) is closely associated with mitochondrial structure and function during spermatogenesis. Although PHB has been implicated in spermatogenesis in some taxa, [...] Read more.
Spermatogenesis is the intricate and coordinated process by which spermatogonia develop into haploid differentiated spermatozoa. Mitochondria are essential for spermatogenesis, and prohibitin (PHB) is closely associated with mitochondrial structure and function during spermatogenesis. Although PHB has been implicated in spermatogenesis in some taxa, its roles in Opsariichthys bidens have not been determined. In this study, the expression patterns and potential functions of PHB in spermatogenesis in O. bidens were characterized using histological microscopic observations, PCR cloning, real-time quantitative PCR (qPCR), Western blotting (WB) and immunofluorescence (IF). The full-length cDNA of Ob-phb was 1500 bp encoding 271 amino acids. A sequence alignment demonstrated that the PHB protein is conserved among different animals. qPCR revealed that phb mRNA is widely distributed in O. bidens and highly expressed in the testes at stages IV and V. WB revealed that Ob-PHB is located in the mitochondria of testes. IF revealed the colocalization of PHB signals and mitochondria. Signals were detected around nuclei in spermatogonia and spermatocytes, gradually moving to the tail region during spermiogenesis, and finally aggregating in the midpiece. These results indicate that Ob-PHB was expressed in the mitochondria during spermatogenesis. In addition, this study proposed Ob-PHB may participate in the degradation of mitochondria and cell differentiation during spermatogenesis. Full article
(This article belongs to the Section Molecular Biology)
Show Figures

Figure 1

20 pages, 3398 KB  
Article
Structural Requirements for the Binding of a Peptide to Prohibitins on the Cell Surface of Monocytes/Macrophages
by Qindong Zhang, Anniken Olberg and Mouldy Sioud
Int. J. Mol. Sci. 2022, 23(8), 4282; https://doi.org/10.3390/ijms23084282 - 13 Apr 2022
Cited by 6 | Viewed by 3847
Abstract
The screening of phage peptide libraries resulted in the identification of a sequence (named NW peptide, NWYLPWLGTNDW) that specifically binds to human monocytes and macrophages. Although the NW peptide can be used for the targeted delivery of therapeutics without knowledge of its receptor(s), [...] Read more.
The screening of phage peptide libraries resulted in the identification of a sequence (named NW peptide, NWYLPWLGTNDW) that specifically binds to human monocytes and macrophages. Although the NW peptide can be used for the targeted delivery of therapeutics without knowledge of its receptor(s), the identification of-its binding partners will support future clinical applications-Here, we used the biotinylated NW peptide for cross-linking cell surface receptor(s) on live cells or as bait in pull-down assays with membrane proteins isolated from monocytes or human THP-1 cells differentiated into macrophages. Proteomic analysis of the captured proteins identified cell surface prohibitins (PHB1 and PHB2) and modified albumin as binding partners. Using flow cytometry and pull-down methods, we demonstrated that PHB1 and PHB2 interact directly with the NW peptide. Confocal imaging showed co-localization of the peptide with PHB1 on the surface of monocytes. Single replacement of either tryptophan or leucine with alanine completely inhibited binding, whereas the replacement of asparagine at position 1 or 10 and aspartic acid at position 11 with alanine did not affect the binding of the peptide variants. Neutral amino acid replacement of tryptophan at positions 2, 6, and 12 with tyrosine or phenylalanine also abolished the binding, implying that the indole ring of tryptophan is indispensable for the NW peptide to bind. Overall, the data suggest that membrane-associated prohibitins might be a useful target for the delivery of therapeutics to monocytes/macrophages and that tryptophan and leucine are key residues for peptide binding. Full article
(This article belongs to the Special Issue Bioactive Peptides in Human Health and Disease)
Show Figures

Figure 1

17 pages, 1307 KB  
Review
Role of ERLINs in the Control of Cell Fate through Lipid Rafts
by Valeria Manganelli, Agostina Longo, Vincenzo Mattei, Serena Recalchi, Gloria Riitano, Daniela Caissutti, Antonella Capozzi, Maurizio Sorice, Roberta Misasi and Tina Garofalo
Cells 2021, 10(9), 2408; https://doi.org/10.3390/cells10092408 - 13 Sep 2021
Cited by 27 | Viewed by 6405
Abstract
ER lipid raft-associated protein 1 (ERLIN1) and 2 (ERLIN2) are 40 kDa transmembrane glycoproteins belonging to the family of prohibitins, containing a PHB domain. They are generally localized in the endoplasmic reticulum (ER), where ERLIN1 forms a heteroligomeric complex with its closely related [...] Read more.
ER lipid raft-associated protein 1 (ERLIN1) and 2 (ERLIN2) are 40 kDa transmembrane glycoproteins belonging to the family of prohibitins, containing a PHB domain. They are generally localized in the endoplasmic reticulum (ER), where ERLIN1 forms a heteroligomeric complex with its closely related ERLIN2. Well-defined functions of ERLINS are promotion of ER-associated protein degradation, mediation of inositol 1,4,5-trisphosphate (IP3) receptors, processing and regulation of lipid metabolism. Until now, ERLINs have been exclusively considered protein markers of ER lipid raft-like microdomains. However, under pathophysiological conditions, they have been described within mitochondria-associated endoplasmic reticulum membranes (MAMs), tethering sites between ER and mitochondria, characterized by the presence of specialized raft-like subdomains enriched in cholesterol and gangliosides, which play a key role in the membrane scrambling and function. In this context, it is emerging that ER lipid raft-like microdomains proteins, i.e., ERLINs, may drive mitochondria-ER crosstalk under both physiological and pathological conditions by association with MAMs, regulating the two main processes underlined, survival and death. In this review, we describe the role of ERLINs in determining cell fate by controlling the “interchange” between apoptosis and autophagy pathways, considering that their alteration has a significant impact on the pathogenesis of several human diseases. Full article
(This article belongs to the Special Issue Crosstalk of Autophagy and Apoptosis)
Show Figures

Figure 1

25 pages, 7720 KB  
Article
Peptidylarginine Deiminase Inhibitor Application, Using Cl-Amidine, PAD2, PAD3 and PAD4 Isozyme-Specific Inhibitors in Pancreatic Cancer Cells, Reveals Roles for PAD2 and PAD3 in Cancer Invasion and Modulation of Extracellular Vesicle Signatures
by Pinar Uysal-Onganer, Stefania D’Alessio, Maria Mortoglou, Igor Kraev and Sigrun Lange
Int. J. Mol. Sci. 2021, 22(3), 1396; https://doi.org/10.3390/ijms22031396 - 30 Jan 2021
Cited by 38 | Viewed by 7072
Abstract
Pancreatic ductal adenocarcinoma (PDAC) is one of the most aggressive malignancies with limited survival rate. Roles for peptidylarginine deiminases (PADs) have been studied in relation to a range of cancers with roles in epigenetic regulation (including histone modification and microRNA regulation), cancer invasion, [...] Read more.
Pancreatic ductal adenocarcinoma (PDAC) is one of the most aggressive malignancies with limited survival rate. Roles for peptidylarginine deiminases (PADs) have been studied in relation to a range of cancers with roles in epigenetic regulation (including histone modification and microRNA regulation), cancer invasion, and extracellular vesicle (EV) release. Hitherto though, knowledge on PADs in PDAC is limited. In the current study, two PDAC cell lines (Panc-1 and MiaPaCa-2) were treated with pan-PAD inhibitor Cl-amidine as well as PAD2, PAD3, and PAD4 isozyme-specific inhibitors. Effects were assessed on changes in EV signatures, including EV microRNA cargo (miR-21, miR-126, and miR-221), on changes in cellular protein expression relevant for pancreatic cancer progression and invasion (moesin), for mitochondrial housekeeping (prohibitin, PHB), and gene regulation (deiminated histone H3, citH3). The two pancreatic cancer cell lines were found to predominantly express PAD2 and PAD3, which were furthermore expressed at higher levels in Panc-1, compared with MiaPaCa-2 cells. PAD2 isozyme-specific inhibitor had the strongest effects on reducing Panc-1 cell invasion capability, which was accompanied by an increase in moesin expression, which in pancreatic cancer is found to be reduced and associated with pancreatic cancer aggressiveness. Some reduction, but not significant, was also found on PHB levels while effects on histone H3 deimination were variable. EV signatures were modulated in response to PAD inhibitor treatment, with the strongest effects observed for PAD2 inhibitor, followed by PAD3 inhibitor, showing significant reduction in pro-oncogenic EV microRNA cargo (miR-21, miR-221) and increase in anti-oncogenic microRNA cargo (miR-126). While PAD2 inhibitor, followed by PAD3 inhibitor, had most effects on reducing cancer cell invasion, elevating moesin expression, and modulating EV signatures, PAD4 inhibitor had negligible effects and pan-PAD inhibitor Cl-amidine was also less effective. Compared with MiaPaCa-2 cells, stronger modulatory effects for the PAD inhibitors were observed in Panc-1 cells, which importantly also showed strong response to PAD3 inhibitor, correlating with previous observations that Panc-1 cells display neuronal/stem-like properties. Our findings report novel PAD isozyme regulatory roles in PDAC, highlighting roles for PAD isozyme-specific treatment, depending on cancer type and cancer subtypes, including in PDAC. Full article
Show Figures

Figure 1

11 pages, 1865 KB  
Article
PBMC of Multiple Sclerosis Patients Show Deregulation of OPA1 Processing Associated with Increased ROS and PHB2 Protein Levels
by Domenico De Rasmo, Anna Ferretta, Silvia Russo, Maddalena Ruggieri, Piergiorgio Lasorella, Damiano Paolicelli, Maria Trojano and Anna Signorile
Biomedicines 2020, 8(4), 85; https://doi.org/10.3390/biomedicines8040085 - 11 Apr 2020
Cited by 28 | Viewed by 4557
Abstract
Multiple sclerosis (MS) is an autoimmune disease in which activated lymphocytes affect the central nervous system. Increase of reactive oxygen species (ROS), impairment of mitochondria-mediated apoptosis and mitochondrial alterations have been reported in peripheral lymphocytes of MS patients. Mitochondria-mediated apoptosis is regulated by [...] Read more.
Multiple sclerosis (MS) is an autoimmune disease in which activated lymphocytes affect the central nervous system. Increase of reactive oxygen species (ROS), impairment of mitochondria-mediated apoptosis and mitochondrial alterations have been reported in peripheral lymphocytes of MS patients. Mitochondria-mediated apoptosis is regulated by several mechanisms and proteins. Among others, optic atrophy 1 (OPA1) protein plays a key role in the regulating mitochondrial dynamics, cristae architecture and release of pro-apoptotic factors. Very interesting, mutations in OPA1 gene, have been associated with multiple sclerosis-like disorder. We have analyzed OPA1 and some factors involved in its regulation. Fifteen patients with MS and fifteen healthy control subjects (HC) were enrolled into the study and peripheral blood mononuclear cells (PBMCs) were isolated. H2O2 level was measured spectrofluorimetrically, OPA1, PHB2, SIRT3, and OMA1 were analyzed by western blotting. Statistical analysis was performed using Student’s t-test. The results showed that PBMC of MS patients were characterized by a deregulation of OPA1 processing associated with increased H2O2 production, inactivation of OMA1 and increase of PHB2 protein level. The presented data suggest that the alteration of PHB2, OMA1, and OPA1 processing could be involved in resistance towards apoptosis. These molecular parameters could also be useful to assess disease activity. Full article
(This article belongs to the Special Issue Multiple Sclerosis: Diagnosis and Treatment II)
Show Figures

Figure 1

Back to TopTop