Sign in to use this feature.

Years

Between: -

Subjects

remove_circle_outline
remove_circle_outline
remove_circle_outline
remove_circle_outline
remove_circle_outline
remove_circle_outline
remove_circle_outline
remove_circle_outline
remove_circle_outline

Journals

remove_circle_outline
remove_circle_outline
remove_circle_outline
remove_circle_outline
remove_circle_outline
remove_circle_outline
remove_circle_outline
remove_circle_outline
remove_circle_outline
remove_circle_outline
remove_circle_outline

Article Types

Countries / Regions

remove_circle_outline
remove_circle_outline
remove_circle_outline
remove_circle_outline
remove_circle_outline
remove_circle_outline

Search Results (771)

Search Parameters:
Keywords = Epstein Barr virus (EBV)

Order results
Result details
Results per page
Select all
Export citation of selected articles as:
24 pages, 655 KB  
Review
Recognizing Lymphoma Risk in EBV- and HIV-Positive Patients: The Otorhinolaryngologist’s Perspective
by Stefano Ramirez-Gil, Jose de Jesus Ley-Tomas and Cecilia Belen Espinosa-Arce
Lymphatics 2026, 4(1), 6; https://doi.org/10.3390/lymphatics4010006 (registering DOI) - 23 Jan 2026
Abstract
Epstein–Barr virus (EBV) is a key oncogenic pathogen implicated in the development of lymphomas, particularly among HIV-positive and immunocompromised individuals. While the association between EBV and lymphoma is well established, the mechanisms underlying progression from infection to malignancy—especially in the head and neck [...] Read more.
Epstein–Barr virus (EBV) is a key oncogenic pathogen implicated in the development of lymphomas, particularly among HIV-positive and immunocompromised individuals. While the association between EBV and lymphoma is well established, the mechanisms underlying progression from infection to malignancy—especially in the head and neck region—remain incompletely understood. This review offers a comprehensive analysis of the pathophysiological pathways by which EBV and HIV contribute to lymphomagenesis, with an emphasis on latency patterns, immune evasion, and epigenetic “hit and run” oncogenesis. Notably, it integrates novel findings on the diagnostic implications of EBV latency proteins, explores HIV-mediated B-cell dysregulation, and evaluates the emerging landscape of targeted therapies, including monoclonal antibodies and lytic cycle inducers. By focusing specifically on head and neck lymphomas, this review underscores a clinically underrepresented domain and offers insights that may guide future diagnostics, surveillance, and treatment strategies in vulnerable patient populations. This review also highlights the pressing need for improved animal models and continued research into EBV-specific therapeutic targets. Full article
(This article belongs to the Collection Lymphomas)
Show Figures

Figure 1

11 pages, 3491 KB  
Case Report
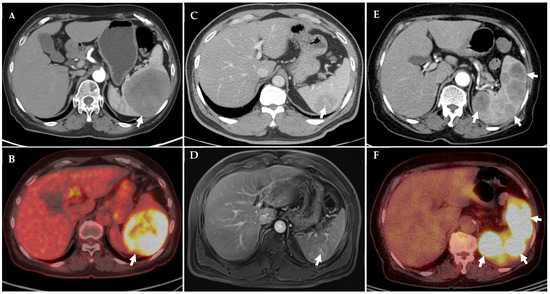
Clinicopathological Spectrum of EBV-Related Primary Splenic Tumors Identified by Splenectomy: A Case Series
by Minju Kim, Byeong Gwan Noh, Myunghee Yoon, Hyung Il Seo, Myeong Hun Oh, Young Mok Park, Suk Kim, Seung Baek Hong and Kyung Un Choi
Diagnostics 2026, 16(2), 333; https://doi.org/10.3390/diagnostics16020333 - 20 Jan 2026
Viewed by 148
Abstract
Background: Epstein–Barr virus (EBV)-related primary splenic tumors are exceptionally rare and encompass a heterogeneous group of entities, including inflammatory pseudotumor (IPT), IPT-like follicular dendritic cell (FDC) tumors or sarcomas, and EBV-positive diffuse large B-cell lymphoma (DLBCL). Because clinical presentation and imaging findings are [...] Read more.
Background: Epstein–Barr virus (EBV)-related primary splenic tumors are exceptionally rare and encompass a heterogeneous group of entities, including inflammatory pseudotumor (IPT), IPT-like follicular dendritic cell (FDC) tumors or sarcomas, and EBV-positive diffuse large B-cell lymphoma (DLBCL). Because clinical presentation and imaging findings are often nonspecific, establishing a definitive diagnosis remains challenging and frequently necessitates splenectomy for histopathologic confirmation. Methods: We retrospectively reviewed patients who underwent laparoscopic splenectomy for suspected primary splenic lesions at a single tertiary institution between June 2014 and August 2025. Among 67 patients, five consecutive patients were pathologically confirmed as EBV-related primary splenic tumors. Clinical characteristics, imaging features, histopathologic and immunophenotypic findings, EBV in situ hybridization results, treatment, and follow-up outcomes were analyzed. Results: This case series comprised four spindle cell–predominant EBV-related tumors (IPT or IPT-like FDC tumors/sarcomas) and one EBV-positive DLBCL. All patients presented with splenic masses that could not be definitively characterized by preoperative imaging alone and therefore required splenectomy. EBV in situ hybridization was positive in tumor cells in all cases. Patients with non-lymphomatous tumors achieved durable disease control following splenectomy alone, with disease-free survival of up to five years. In contrast, the patient with EBV-positive DLBCL required postoperative systemic immunochemotherapy. Conclusions: EBV-related primary splenic tumors represent a diagnostically challenging and clinically diverse disease spectrum. This case series highlights the pivotal role of splenectomy in establishing definitive diagnosis and guiding subsequent management, particularly for isolated splenic lesions with indeterminate imaging findings. Full article
(This article belongs to the Special Issue Diagnosis and Prognosis of Abdominal Diseases)
Show Figures

Figure 1

14 pages, 1257 KB  
Article
Proteome-Wide Serological Profiling Reveals Broad Elevation of EBV Immunity in Idiopathic Pulmonary Fibrosis
by Yomani D. Sarathkumara, Kiara M. Knuckey, Viviana P. Lutzky, Penny L. Groves, Maxine E. Tan, Daniel C. Chambers, Carla Proietti, Denise L. Doolan and Simon H. Apte
Int. J. Mol. Sci. 2026, 27(2), 783; https://doi.org/10.3390/ijms27020783 - 13 Jan 2026
Viewed by 161
Abstract
Idiopathic pulmonary fibrosis (IPF) is a progressive interstitial lung disease with uncertain etiology. Chronic viral infection, including Epstein–Barr virus (EBV), has been implicated as a potential driver of repetitive epithelial injury and dysregulated repair. We sought to evaluate and define the breadth versus [...] Read more.
Idiopathic pulmonary fibrosis (IPF) is a progressive interstitial lung disease with uncertain etiology. Chronic viral infection, including Epstein–Barr virus (EBV), has been implicated as a potential driver of repetitive epithelial injury and dysregulated repair. We sought to evaluate and define the breadth versus specificity of EBV-directed humoral immunity in IPF. We performed proteome-scale serological profiling using an EBV protein microarray (202 proteins) representing all proteins expressed by the EBV proteome (type I and II) on plasma samples from 32 patients with confirmed IPF (87.5% male; mean age 60.9 years) and 15 healthy disease-free controls (40% male; mean age 57.9 years). Per-sample global EBV IgG means were higher in IPF than controls (Welch p = 0.005), and the difference persisted after sex adjustment (p = 0.012). Although no single antigen met a stringent FDR significance threshold, 10 EBV antigen-specific antibody responses showed nominal elevation in IPF, with 2 remaining nominally significant after sex adjustment and 5 additional antibody responses reaching significance only in linear regression models. Overall, these results support the concept that IPF is associated with a diffuse elevation of EBV-directed humoral responses rather than antigen-specific dominance, consistent with ongoing, low-level viral reactivation. The presence of an EBV-negative subgroup within the IPF cohort underscores etiological heterogeneity within IPF. Full article
(This article belongs to the Special Issue Pulmonary Fibrosis: Molecular Mechanisms and Therapeutic Strategies)
Show Figures

Graphical abstract

11 pages, 352 KB  
Article
The Use of CSF Multiplex PCR Panel in Patients with Viral Uveitis
by Young Hwan Jeong, Su Hwan Park, Seung Min Lee, Iksoo Byon, Jongyoun Yi and Sung-Who Park
Diagnostics 2026, 16(1), 143; https://doi.org/10.3390/diagnostics16010143 - 1 Jan 2026
Viewed by 372
Abstract
Background/Objectives: Polymerase chain reaction (PCR) testing of ocular fluids is an essential diagnostic method for identifying infectious causes of uveitis. However, multiplex PCR kits specifically developed for ophthalmic use are not commercially available in many regions, including Korea. Given the biochemical similarity [...] Read more.
Background/Objectives: Polymerase chain reaction (PCR) testing of ocular fluids is an essential diagnostic method for identifying infectious causes of uveitis. However, multiplex PCR kits specifically developed for ophthalmic use are not commercially available in many regions, including Korea. Given the biochemical similarity between cerebrospinal fluid (CSF) and aqueous humor, this study evaluated the diagnostic utility of a commercially available CSF multiplex PCR panel for detecting herpesviruses in patients with suspected viral uveitis. Methods: We retrospectively reviewed the medical records of patients whose aqueous humor samples were analyzed using a multiplex PCR assay originally designed for CSF testing (Seeplex Meningitis-V1 ACE Detection kit, Seegene, Seoul, Republic of Korea). The samples were obtained between May 2019 and June 2023 at two tertiary referral hospitals. The assay targeted herpes simplex virus types 1 and 2 (HSV-1, HSV-2), varicella-zoster virus (VZV), cytomegalovirus (CMV), Epstein–Barr virus (EBV), and human herpesvirus 6 (HHV-6). Patients were classified into three groups: (I) anterior uveitis with suspected herpesviral infection, (II) acute retinal necrosis (ARN), and (III) CMV retinitis. Baseline characteristics, PCR positivity rates, and virus prevalence were compared among the groups. Results: Among 149 eyes tested, 86 were included in the final analysis. The overall positivity rate was 38.4%. PCR positivity was 19.7% (12/61) in Group I, 93.8% (15/16) in Group II, and 66.7% (6/9) in Group III. CMV was the most common pathogen in Groups I (66.7%) and III (100%), while VZV was predominant in Group II (80%). No HHV-6 infection was detected. Conclusions: The positivity rate in anterior uveitis (Group I) was lower than previously reported, likely due to the limited sample volume relative to the assay’s requirement. Nevertheless, the assay demonstrated diagnostic reliability comparable to previous reports for ARN and CMV retinitis. Therefore, the CSF-based multiplex PCR panel serves as a feasible and cost-effective diagnostic option for sight-threatening posterior segment infections, facilitating prompt diagnosis and treatment, although further optimization is warranted for anterior uveitis. Full article
(This article belongs to the Special Issue Innovative Diagnostic Approaches in Retinal Diseases)
Show Figures

Figure 1

26 pages, 2679 KB  
Article
EBV Early Lytic Antigens, EBNA2 and PDL-1, in Progressive Multiple Sclerosis Brain: A Coordinated Contribution to Viral Immune Evasion
by Lucia Benincasa, Barbara Rosicarelli, Chiara Meloni and Barbara Serafini
Int. J. Mol. Sci. 2026, 27(1), 437; https://doi.org/10.3390/ijms27010437 - 31 Dec 2025
Viewed by 642
Abstract
Epstein-Barr virus (EBV) infection shows the strongest causative association with multiple sclerosis (MS), but its contribution to disease progression and the mechanisms allowing for viral persistence in the MS brain are still elusive. Studies in post-mortem MS brain tissue indicate an ongoing yet [...] Read more.
Epstein-Barr virus (EBV) infection shows the strongest causative association with multiple sclerosis (MS), but its contribution to disease progression and the mechanisms allowing for viral persistence in the MS brain are still elusive. Studies in post-mortem MS brain tissue indicate an ongoing yet ineffective antiviral immune reaction in advanced stages of the disease. EBV has evolved strategies to evade immune recognition and clearance by the host immune system during both the latency and lytic phase of its life cycle. Recent evidence demonstrates that cells expressing EBV latent membrane protein (LMP) 2A exploit the PD-1/PDL1 inhibitory immune checkpoint to escape immune surveillance and maintain a persistent latent infection in the MS brain. This study investigated whether the virus also utilizes this inhibitory mechanism during other phases of the viral life cycle. By using multiple immunostainings on highly inflamed MS brain tissues containing meningeal tertiary lymphoid structures (TLSs), we analyzed PD-L1 expression on EBV-infected cells expressing EBNA2, five EBV lytic gene products, BZLF1, BHRF1, BMRF1, BALF2, and gp350/220, as well as on follicular dendritic cells within the TLSs. This is the first study describing in secondary progressive MS brain tissue the expression and the cellular and tissue distribution of PD-L1 on EBV-infected cells being in different stages of the viral life cycle, and confirms the meningeal TLSs as immune-permissive habitats favoring the maintenance of an intracerebral EBV reservoir. Full article
(This article belongs to the Special Issue Insights in Multiple Sclerosis (MS) and Neuroimmunology: 2nd Edition)
Show Figures

Graphical abstract

8 pages, 2658 KB  
Case Report
Fibrin-Associated Large B-Cell Lymphoma of Prosthetic Aortic Valve and Aortic Root Graft
by Ashish Rajput, Abdulrahim Alabdulsalam, Claribeth Ruano, Sabin J. Bozso, Anthea Peters, Michael C. Moon and Jean Deschênes
Hematol. Rep. 2026, 18(1), 1; https://doi.org/10.3390/hematolrep18010001 - 22 Dec 2025
Viewed by 180
Abstract
Background and clinical significance: Primary cardiac diffuse large B-cell lymphoma (DLBCL) arising in bioprosthetic valves is exceedingly rare. Most patients present with localized disease often masquerading as suspected thrombi or vegetations. Imaging studies are inconclusive and due to the rarity of the disease, [...] Read more.
Background and clinical significance: Primary cardiac diffuse large B-cell lymphoma (DLBCL) arising in bioprosthetic valves is exceedingly rare. Most patients present with localized disease often masquerading as suspected thrombi or vegetations. Imaging studies are inconclusive and due to the rarity of the disease, treatment and follow-up data are very limited. Case presentation: We present one such case developing 9 years after aortic valve replacement in an otherwise immunocompetent patient, who presented with minor symptoms despite significant disease burden. This tumor contained Epstein–Barr virus (EBV), was confined to the site of origin, and has behaved non-aggressively after excision with a follow-up of 59 months. Conclusions: This unique disease is classified as Fibrin-associated large B-cell lymphoma (FA-LBCL) in view of its distinct clinical-pathological features. This report also addresses the unique features of this type of lymphoma. Full article
Show Figures

Figure 1

20 pages, 721 KB  
Review
Does Myalgic Encephalomyelitis/Chronic Fatigue Syndrome (ME/CFS) Represent a Poly-Herpesvirus Post-Virus Infectious Disease?
by Maria Eugenia Ariza, Irene Mena Palomo and Marshall V. Williams
Viruses 2025, 17(12), 1624; https://doi.org/10.3390/v17121624 - 16 Dec 2025
Viewed by 1924
Abstract
Myalgic encephalomyelitis/chronic fatigue syndrome (ME/CFS) is a debilitating multisystem illness with unknown etiology. An estimated 17–24 million people representing approximately 1% of the population are afflicted worldwide. In over half of cases, ME/CFS onset is associated with acute “flu-like” symptoms, suggesting a role [...] Read more.
Myalgic encephalomyelitis/chronic fatigue syndrome (ME/CFS) is a debilitating multisystem illness with unknown etiology. An estimated 17–24 million people representing approximately 1% of the population are afflicted worldwide. In over half of cases, ME/CFS onset is associated with acute “flu-like” symptoms, suggesting a role for viruses. However, no single virus has been identified as the only etiological agent. This may reflect the approach employed or more strongly the central dogma associated with herpesviruses replication, which states that a herpesvirus exists in two states, either lytic or latent. The purpose of this review is to address the role that abortive lytic replication may have in the pathogenesis of ME/CFS and other post-acute viral infections and also to raise awareness that these syndromes might be poly-herpesviruses mediated diseases. Full article
(This article belongs to the Section Human Virology and Viral Diseases)
Show Figures

Figure 1

15 pages, 914 KB  
Article
Prognostic Value of Histological Subtypes and Clinical Factors in Non-Endemic Nasopharyngeal Carcinoma: A Retrospective Cohort Study
by Seda Sali, Candan Demiröz Abakay, Mürsel Sali, Hakan Güdücü, Fahri Güven Çakır, Birol Ocak, Ahmet Bilgehan Şahin, Alper Coşkun, Sibel Oyucu Orhan, Arife Ulaş, Adem Deligönül, Türkkan Evrensel and Erdem Çubukçu
Medicina 2025, 61(12), 2207; https://doi.org/10.3390/medicina61122207 - 13 Dec 2025
Viewed by 463
Abstract
Background and Objectives: Nasopharyngeal carcinoma (NPC) displays marked geographic and histopathological heterogeneity, and prognostic determinants in non-endemic regions remain incompletely defined. This study aimed to evaluate the impact of clinicopathological characteristics and treatment modalities on survival outcomes among patients with stage II–IVA [...] Read more.
Background and Objectives: Nasopharyngeal carcinoma (NPC) displays marked geographic and histopathological heterogeneity, and prognostic determinants in non-endemic regions remain incompletely defined. This study aimed to evaluate the impact of clinicopathological characteristics and treatment modalities on survival outcomes among patients with stage II–IVA NPC treated with curative intent at a single tertiary cancer center. Materials and Methods: A retrospective analysis was conducted on 81 consecutive patients with histologically confirmed NPC treated between 2000 and 2022. Demographic, clinical, and treatment parameters were extracted from institutional records. Survival outcomes—including disease-free survival (DFS), locoregional recurrence-free survival (LRFS), distant metastasis-free survival (DMFS), cancer-specific survival (CSS), and overall survival (OS)—were estimated using the Kaplan–Meier method and compared using the log-rank test. Prognostic variables identified in univariate analysis were further assessed by multivariable Cox proportional hazards regression (Cox’s model). Results: The cohort included 59 men (72.8%) and 22 women (27.2%), with a median age of 50.8 years (range, 19–78). Most patients presented with locally advanced disease (T3–T4, 53.1%; N2, 60.5%; stage III–IVA, 87.7%). Non-keratinizing undifferentiated carcinoma (World Health Organization [WHO] type III) was the predominant histology (71.6%), followed by the non-keratinizing differentiated subtype (17.3%). Median DFS and OS were 94.6 and 139.4 months, respectively. According to the univariate analysis, histological subtypes and a family history of cancer were significantly associated with DFS, whereas comorbid systemic disease showed an unexpected association with longer DMFS. The multivariable Cox model identified the histological subtype as an independent predictor of disease recurrence (HR = 2.23, 95% CI: 1.00–4.94; p = 0.049). For OS, both histological subtype (HR = 2.40, 95% CI: 1.10–5.25; p = 0.029) and age at diagnosis (HR = 1.05, 95% CI: 1.02–1.09; p = 0.005) were independent adverse prognostic factors. Conclusions: In this long-term, single-center study from a non-endemic region, histological subtype emerged as the most powerful determinant of prognosis, significantly influencing both DFS and OS. Patients with non-keratinizing undifferentiated (WHO type III) carcinoma demonstrated superior outcomes compared with those with differentiated histology. Additionally, increasing age at diagnosis was independently associated with poorer OS. In contrast, inflammatory and nutritional biomarkers, the Pan-Immune–Inflammation Value (PIV) and the Prognostic Nutritional Index (PNI), showed no prognostic significance. These findings underscore the continued prognostic relevance of histopathologic classification and age and highlight the need for large-scale, standardized studies integrating Epstein–Barr virus (EBV) status and host-related factors in non-endemic NPC populations. Full article
(This article belongs to the Special Issue Advances in Head and Neck Cancer Management)
Show Figures

Figure 1

19 pages, 5804 KB  
Article
Epstein–Barr Virus Promotes Gastric Cancer Progression by Modulating m6A-Dependent YTHDF1–TSC22D1 Axis
by Yea Rim An, Jaehun Jung, Kyeong Min Kwon, Jun Yeob Kim, Min-Hyeok Lee, Ju Yeon Lee, Minho Lee and Suk Kyeong Lee
Microorganisms 2025, 13(12), 2820; https://doi.org/10.3390/microorganisms13122820 - 11 Dec 2025
Viewed by 516
Abstract
Epstein–Barr virus (EBV) infection is closely associated with gastric cancer, yet its role in m6A-dependent gene regulation remains poorly understood. In this study, we investigated how EBV infection alters the m6A methylation pattern in gastric cancer cells and examined its impact on TSC22D1 [...] Read more.
Epstein–Barr virus (EBV) infection is closely associated with gastric cancer, yet its role in m6A-dependent gene regulation remains poorly understood. In this study, we investigated how EBV infection alters the m6A methylation pattern in gastric cancer cells and examined its impact on TSC22D1 mRNA stability through interaction with the m6A reader protein YTHDF1. m6A RNA immunoprecipitation sequencing (MeRIP-seq) revealed a significant reduction in m6A methylation of TSC22D1 in EBV-infected gastric cancer cells (AGS-EBV) compared with EBV-negative cells (AGS). Moreover, YTHDF1 knockdown increased both the stability and expression of TSC22D1. These findings demonstrate that YTHDF1 binds to TSC22D1 mRNA and promotes its m6A-dependent degradation. Collectively, our results suggest that EBV infection modulates m6A modification to regulate gene stability and identify the YTHDF1–TSC22D1 axis as a potential therapeutic target in EBV-associated gastric cancer. Full article
(This article belongs to the Section Virology)
Show Figures

Figure 1

13 pages, 784 KB  
Case Report
The Many Faces of Primary EBV Infection: A Case Series of Its Diverse Presentations
by Sylvia Lörcher, Christian Abegg, Alexander Wepf, Urs Karrer and Michael Osthoff
J. Clin. Med. 2025, 14(24), 8747; https://doi.org/10.3390/jcm14248747 - 10 Dec 2025
Viewed by 788
Abstract
Epstein–Barr virus (EBV) is distributed worldwide and shows a seroprevalence of over 90% in adults, while seroprevalence in children varies depending on geographic and socioeconomic factors. Although primary EBV infection (pEBV) is often asymptomatic in early childhood, infection later in life may present [...] Read more.
Epstein–Barr virus (EBV) is distributed worldwide and shows a seroprevalence of over 90% in adults, while seroprevalence in children varies depending on geographic and socioeconomic factors. Although primary EBV infection (pEBV) is often asymptomatic in early childhood, infection later in life may present with a variety of symptoms, most commonly as infectious mononucleosis, though many other clinical manifestations may occur. We present four clinical cases to illustrate the diverse and uncommon manifestations of pEBV and to support diagnostic reasoning. The first case demonstrates a diagnostic challenge of pEBV in a patient with severe cholestatic hepatitis in the setting of a recent travel. The second case highlights bilateral eyelid swelling (Hoagland sign) as a potentially isolated early symptom of pEBV, which clinicians should consider within its broad differential diagnosis. In the third case, we emphasize the importance of clinical judgment in contrast to premature closure in the face of repeatedly negative EBV serologies and advocate for further diagnostic evaluation, such as PCR testing, when pEBV is strongly suspected. The fourth case describes a fatal outcome of pEBV late in life, complicated by hemophagocytic lymphohistiocytosis. Unusual presentations of pEBV may complicate the diagnostic process and may lead to unnecessary testing. Our case series underscores the broad clinical spectrum of pEBV and highlights key features that aid in distinguishing it from important differential diagnoses. Awareness of characteristic laboratory findings, including reactive lymphocytosis, elevated large unstained cells, persistent fever, and lymphadenopathy, splenomegaly, as well as mild-to-moderate hepatitis is essential for guiding a targeted diagnostic approach for pEBV. Full article
(This article belongs to the Section Infectious Diseases)
Show Figures

Figure 1

15 pages, 1910 KB  
Systematic Review
Global Prevalence and Cancer Risk of Epstein–Barr Virus and Human Papillomavirus Coinfection in Breast Cancer: A Systematic Review and Meta-Analysis
by Abdelrahman A. Karen, Albara S. Elkhalaf, Omar Tluli, Omar Sorour, Abdulnaser Fakhrou, Mohammed Imad Malki and Karim Nagi
Viruses 2025, 17(12), 1592; https://doi.org/10.3390/v17121592 - 8 Dec 2025
Viewed by 615
Abstract
Background: Breast cancer (BC) is the most frequently diagnosed malignancy and a dominant cause of cancer mortality among women worldwide. Alongside established risk factors, recent studies highlight oncoviruses like Epstein–Barr virus (EBV) and human papillomavirus (HPV) as potential contributors. However, their role and [...] Read more.
Background: Breast cancer (BC) is the most frequently diagnosed malignancy and a dominant cause of cancer mortality among women worldwide. Alongside established risk factors, recent studies highlight oncoviruses like Epstein–Barr virus (EBV) and human papillomavirus (HPV) as potential contributors. However, their role and association with BC development is still debatable. Study design and Methods: This systematic review and meta-analysis involved two distinct approaches: one assessing the worldwide prevalence of EBV and HPV coinfection in BC patients and another investigating the association between such coinfection and BC risk. A systematic search across PubMed, Scopus, Web of Science, and Embase was conducted up to 5 May 2025. Studies using PCR to detect both viruses in breast tissue samples were included. Random-effects models were used to estimate pooled prevalence and odds ratios with 95% confidence intervals. Results: Out of 307 non-duplicate records, 16 studies were found to be eligible for quantitative analysis. The pooled prevalence of EBV/HPV coinfection among BC patients was 14% (95% CI: 12–16%; I2 = 91.0%). Prevalence varied by region, ranging from 6% in South America to 22% in the Middle East. In addition, a general trend towards increasing EBV/HPV coinfection prevalence among women with BC over time was detected. Moreover, analyzing case–control studies to investigate the relationship between EBV/HPV coinfection and the risk of BC, the pooled odds ratio was 5.87 (95% CI: 2.31–14.93; I2 = 0%, p = 0.91). Conclusion: Our analysis shows that EBV and HPV coinfection prevalence varies by region and appears to be rising over time among women with breast cancer. Additionally, the strong statistical association between coinfection and breast cancer risk suggests a potential role for these oncoviruses in disease development, highlighting the possible preventive value of EBV and HPV vaccination. Full article
Show Figures

Graphical abstract

10 pages, 489 KB  
Article
Cytokine Signatures Induced by Epstein-Barr Virus Antigens in Multiple Sclerosis: Elucidating the Role of B-Cell and T-Cell Hyperactivation in Disease Relapse
by Alessandro Perrella, Pasquale Bellopede, Anna D’Antonio, Antimo Di Spirito, Costanza Sbreglia, Pietro Biagio Carrieri and Oreste Perrella
Appl. Sci. 2025, 15(23), 12835; https://doi.org/10.3390/app152312835 - 4 Dec 2025
Viewed by 460
Abstract
Objectives: To investigate the profile of Th1- and Th2-type cytokines in response to Epstein–Barr virus (EBV) antigens and to correlate this immune signature with clinical relapses in Multiple Sclerosis (MS). Specifically, we aimed to evaluate the cellular and humoral immune response following stimulation [...] Read more.
Objectives: To investigate the profile of Th1- and Th2-type cytokines in response to Epstein–Barr virus (EBV) antigens and to correlate this immune signature with clinical relapses in Multiple Sclerosis (MS). Specifically, we aimed to evaluate the cellular and humoral immune response following stimulation with a pool of lytic and latent EBV proteins. Methods: We employed ELISpot and ELISA to quantify Interferon-gamma (IFN-γ), Interleukin-18 (IL-18), Interleukin-10 (IL-10), and the B-cell activation marker soluble CD23 (sCD23). Measurements were performed on peripheral blood mononuclear cells (PBMCs) from MS patients and controls following stimulation with EBV peptide antigens. Results: MS patients exhibited significantly higher levels of all tested cytokines compared to controls. A statistically significant positive correlation was noted between IL-10 and sCD23 levels (p < 0.03), with significant correlations also found between IL-10 and IFN-γ (r = −0.56) and between IFN-γ and IL-18 (p < 0.02), a finding that warrants cautious interpretation. Crucially, both IL-10 and sCD23 levels strongly correlated with the Expanded Disability Status Scale (EDSS) score (p = 0.0003 and p = 0.0001, respectively). Conclusions: Our findings suggest a chronic, dysregulated immune response to EBV antigens in MS patients, characterized by the co-activation of inflammatory Th1 pathways and robust B-cell activation. These results support a pathogenetic model where the EBV-specific immune response, perpetuated by infected B-cells, may directly contribute to the immunopathological processes driving central nervous system (CNS) damage and clinical relapses. Full article
Show Figures

Figure 1

8 pages, 5026 KB  
Case Report
Intraocular Coinfection by Toxoplasma gondii and EBV Possibly Transmitted Through Unpasteurized Goat Milk in an Immunocompetent Patient: A Case Report
by Juanita Cardona-López, Francisco J. Rodríguez, Ricardo Igua and Alejandra de-la-Torre
Pathogens 2025, 14(12), 1222; https://doi.org/10.3390/pathogens14121222 - 30 Nov 2025
Viewed by 539
Abstract
Toxoplasma gondii is the most common infectious cause of posterior uveitis in immunocompetent adults. While the parasite is typically acquired through ingestion of undercooked meat or contaminated food and water, unpasteurized goat milk has been identified as a less frequent but plausible source [...] Read more.
Toxoplasma gondii is the most common infectious cause of posterior uveitis in immunocompetent adults. While the parasite is typically acquired through ingestion of undercooked meat or contaminated food and water, unpasteurized goat milk has been identified as a less frequent but plausible source of infection. Coinfections in ocular toxoplasmosis are rare, and the role of Epstein–Barr virus (EBV) in these coinfections remains poorly understood. We report the case of a 70-year-old immunocompetent male presenting with severe, refractory panuveitis in the left eye. Initial serologic testing confirmed acquired Toxoplasma gondii infection, and treatment was initiated with systemic antimicrobials and corticosteroids. Intraocular inflammation persisted despite sequential therapy with trimethoprim–sulfamethoxazole, clindamycin, and azithromycin, eventually requiring pars plana vitrectomy with intravitreal clindamycin and dexamethasone due to non-clearing vitreous hemorrhage. Vitreous PCR testing revealed intraocular concurrent detection of EBV DNA, prompting combined antimicrobial and antiviral therapy. Epidemiological history revealed recent consumption of unpasteurized goat milk, suggesting a potential oral transmission route for Toxoplasma gondii. Although visual acuity improved following surgical intervention and targeted therapy, it remained markedly compromised due to the severity of the disease. This case illustrates the diagnostic value of multiplex PCR in refractory uveitis, enabling the detection of Toxoplasma gondii and the concurrent detection of EBV DNA in an immunocompetent patient. It highlights the importance of early molecular testing and detailed epidemiological assessment, including atypical transmission routes such as unpasteurized goat milk. Full article
(This article belongs to the Special Issue Toxoplasmosis in Humans and Animals)
Show Figures

Figure 1

18 pages, 2934 KB  
Review
Indolent T- and Natural Killer-Cell Lymphomas and Lymphoproliferative Diseases—Entities in Evolution
by Chi Sing Ng
Lymphatics 2025, 3(4), 41; https://doi.org/10.3390/lymphatics3040041 - 29 Nov 2025
Viewed by 426
Abstract
Indolent lymphoproliferative diseases or disorders (LPDs) derived from T cells or Natural Killer (NK) cells may be neoplastic or non-neoplastic, which are often difficult to distinguish from each other and from their aggressive counterparts. The etiology and pathogenesis are mostly nebulous and may [...] Read more.
Indolent lymphoproliferative diseases or disorders (LPDs) derived from T cells or Natural Killer (NK) cells may be neoplastic or non-neoplastic, which are often difficult to distinguish from each other and from their aggressive counterparts. The etiology and pathogenesis are mostly nebulous and may be related to infections or immune dysfunction. Indolent lymphomas differ from the high-grade aggressive counterparts by a prolonged clinical course of persistent or relapsing disease, histology, immunophenotype, and genetics. In recent decades, indolent lymphomas or LPD of T or NK cell derivation have been increasingly recognized, causing diagnostic and nosologic confusion. The issue is particularly challenging in the arena of indolent intestinal lymphomas and LPD, as evidenced by the myriad of names given to the indolent intestinal T- and NK-cell lymphomas and LPD. Confounding the picture are also reports of Epstein–Barr virus (EBV) positivity in various indolent non-intestinal LPD and, rarely, even in indolent intestinal T-cell lymphoma, which have been widely accepted to be typically EBV-negative. This review aims to curate current information and understanding of these diseases with the goal of resolving these issues. The recently described indolent T-lymphoblastic proliferation (iTLBP) and the re-classified indolent primary cutaneous CD4-positive small or medium T-cell LPDs and primary cutaneous acral CD8-positive T-cell LPDs also require greater awareness and recognition. It is important to diagnose these indolent entities in order to avoid over-treatment and unnecessary therapeutic intervention and to provide for accurate prognostic prediction and appropriate follow-up. Full article
(This article belongs to the Special Issue Indolent Lymphomas and Lymphoreticular Proliferative Diseases)
Show Figures

Graphical abstract

15 pages, 3410 KB  
Case Report
Hodgkin Lymphoma Associated with Common Variable Immunodeficiency: The Role of Early Diagnosis and Multidisciplinary Management
by Dávid Tóthfalusi, Anita Gulyás, Anna Koncz, Éva Zöld, Árpád Illés and Zsófia Miltényi
Hematol. Rep. 2025, 17(6), 65; https://doi.org/10.3390/hematolrep17060065 - 27 Nov 2025
Viewed by 583
Abstract
Background/Objectives: Hodgkin lymphoma (HL) represents a rare but clinically significant complication in patients with Common Variable Immunodeficiency (CVID). Immune dysregulation, impaired viral control, and Epstein–Barr virus (EBV) infection may contribute to pathogenesis and adversely affect treatment tolerance. This case-based review aims to [...] Read more.
Background/Objectives: Hodgkin lymphoma (HL) represents a rare but clinically significant complication in patients with Common Variable Immunodeficiency (CVID). Immune dysregulation, impaired viral control, and Epstein–Barr virus (EBV) infection may contribute to pathogenesis and adversely affect treatment tolerance. This case-based review aims to highlight the impact of early CVID recognition and multidisciplinary management on outcomes in CVID-associated HL. Methods: A retrospective screening of 224 patients with HL treated at our institution between 2010 and 2023 identified two individuals with CVID and EBV-positive HL. These cases are presented in detail and contextualized within a structured review of the published literature. Results: The first patient, diagnosed with CVID prior to HL onset, received immunoglobulin replacement and a modified chemotherapy regimen substituting bleomycin with brentuximab vedotin, resulting in sustained complete remission. The second patient, in whom CVID was recognized only after HL relapse, experienced recurrent infections, intolerance to therapy, and fatal disease progression despite treatment with brentuximab vedotin, checkpoint inhibition, and rituximab. The literature review revealed only eight comparable cases, underscoring the rarity and complexity of this association. Conclusions: Early identification of CVID facilitates infection control and enhances tolerance to HL therapy, thereby improving clinical outcomes. Multidisciplinary, individualized management and incorporation of targeted agents are pivotal in optimizing care for this vulnerable population. Full article
Show Figures

Figure 1

Back to TopTop