Sign in to use this feature.

Years

Between: -

Subjects

remove_circle_outline
remove_circle_outline
remove_circle_outline
remove_circle_outline
remove_circle_outline
remove_circle_outline
remove_circle_outline

Journals

remove_circle_outline
remove_circle_outline
remove_circle_outline
remove_circle_outline
remove_circle_outline
remove_circle_outline
remove_circle_outline
remove_circle_outline
remove_circle_outline
remove_circle_outline

Article Types

Countries / Regions

remove_circle_outline
remove_circle_outline
remove_circle_outline
remove_circle_outline

Search Results (814)

Search Parameters:
Keywords = ECM remodelling

Order results
Result details
Results per page
Select all
Export citation of selected articles as:
22 pages, 1395 KB  
Review
Extracellular Matrix Remodeling and Matrix Metalloproteinases in Ovarian Function and Infertility
by Efthalia Moustakli, Athanasios Zikopoulos, Periklis Katopodis, Vasilios Sebastian Paraschos, Ioannis Messinis and Christina Messini
Int. J. Mol. Sci. 2026, 27(8), 3652; https://doi.org/10.3390/ijms27083652 - 19 Apr 2026
Abstract
Ovarian function relies on a network of well-coordinated molecular mechanisms that regulate follicular development, oocyte maturation, ovulation, and corpus luteum function. When these processes are disrupted, infertility can result. Extracellular matrix (ECM) remodeling represents a central regulatory component in these processes and is [...] Read more.
Ovarian function relies on a network of well-coordinated molecular mechanisms that regulate follicular development, oocyte maturation, ovulation, and corpus luteum function. When these processes are disrupted, infertility can result. Extracellular matrix (ECM) remodeling represents a central regulatory component in these processes and is essential for follicle rupture and oocyte release. This mechanism involves metalloproteinases (MMPs), mainly MMP-2 and MMP-9, which degrade the ECM and allow the necessary structural changes. Other ECM-modulating proteases, such as ADAM and ADAMTS families, also contribute to this process. Their activity is tightly regulated by tissue inhibitors of metalloproteinases (TIMPs), ensuring that tissue remodeling occurs in a controlled manner. Disruption of the balance between MMPs and TIMPs increases the risk of infertility-related conditions such as polycystic ovary syndrome (PCOS), endometriosis, luteinizing hormone (LH) deficiency syndrome, and ovarian aging. In addition to the ECM, other factors, including intracellular signaling pathways, oxidative stress (OS), and mitochondrial function, contribute to ovarian physiology and directly affect oocyte quality and viability. This narrative review focuses on the molecular mechanisms governing ovarian function, with particular emphasis on the remodeling of the ECM by MMPs during ovulation, and examines how their disorders contribute to infertility. A deeper understanding of these mechanisms may lead to the identification of new therapeutic targets and the improvement of assisted reproduction outcomes. Full article
(This article belongs to the Special Issue Molecular Pathways to Infertility)
19 pages, 6415 KB  
Article
Smoke Condensate-Induced Vascular Senescence and SASP Are Attenuated by Dual mTORC1/2 Inhibition with Rapalink-1
by Jinliang You, Hongjun Liu, Dilaware Khan, Robert Muhereza, Katharina Faust and Sajjad Muhammad
Int. J. Mol. Sci. 2026, 27(8), 3636; https://doi.org/10.3390/ijms27083636 - 19 Apr 2026
Abstract
Cigarette smoking contributes to vascular aging through oxidative stress, inflammation, and extracellular matrix (ECM) remodeling. Cellular senescence has been recognized as an important mechanism linking tobacco exposure to vascular dysfunction, but effective pharmacological strategies targeting this process remain scarce. In this study, we [...] Read more.
Cigarette smoking contributes to vascular aging through oxidative stress, inflammation, and extracellular matrix (ECM) remodeling. Cellular senescence has been recognized as an important mechanism linking tobacco exposure to vascular dysfunction, but effective pharmacological strategies targeting this process remain scarce. In this study, we examined whether Rapalink-1, a dual inhibitor of mechanistic target of rapamycin complex 1 and complex 2 (mTORC1 and mTORC2), modulates smoke condensate (SC)-induced senescence in vascular cells. Human umbilical vein endothelial cells (HUVECs) and vascular smooth muscle cells (SMCs) were exposed to SC with or without Rapalink-1. SC increased intracellular reactive oxygen species, induced DNA damage, and promoted senescence-associated changes, including increased senescence-associated β-galactosidase (SA-β-gal) activity, reduced Lamin B1, and elevated p21 expression. These effects were accompanied by increased expression of inflammatory and matrix-remodeling genes associated with the senescence-associated secretory phenotype (SASP). Rapalink-1 co-treatment reduced oxidative stress and DNA damage, attenuated senescence markers, and partially normalized SASP-related and ECM-associated gene expression. Mechanistically, SC activated nuclear factor kappa B (NF-κB) and mitogen-activated protein kinase (MAPK) signaling and increased downstream mTOR pathway activity, whereas Rapalink-1 dampened these signaling responses. Together, these findings indicate that dual mTORC1/2 inhibition by Rapalink-1 mitigates smoke condensate-induced senescence and inflammatory responses in vascular cells. Full article
(This article belongs to the Special Issue Molecular Research on Aging: How Can We Live Beyond 100 Years?)
19 pages, 1487 KB  
Review
HIF-1α Signaling in Uterine Fibroids: A Central Integrator of Hypoxic, Hormonal, and Fibrotic Pathways
by Sruthi Tatavarthi, Valentina Vanos, Abigail Lepsch Combs, Alvina Pan, Mahita Saini and Mostafa A. Borahay
Oxygen 2026, 6(2), 9; https://doi.org/10.3390/oxygen6020009 - 17 Apr 2026
Viewed by 79
Abstract
Uterine fibroids (leiomyomas) are common benign smooth muscle tumors that impose substantial symptom burden and healthcare costs worldwide. Although uterine fibroid (leiomyoma) pathogenesis is multifactorial, hypoxia has emerged as a key feature of the uterine fibroid (leiomyoma) microenvironment, particularly within poorly perfused tumor [...] Read more.
Uterine fibroids (leiomyomas) are common benign smooth muscle tumors that impose substantial symptom burden and healthcare costs worldwide. Although uterine fibroid (leiomyoma) pathogenesis is multifactorial, hypoxia has emerged as a key feature of the uterine fibroid (leiomyoma) microenvironment, particularly within poorly perfused tumor cores. Hypoxia-inducible factor-1α (HIF-1α) is a central transcriptional regulator of cellular adaptation to low oxygen and coordinates downstream programs that support angiogenesis, metabolic reprogramming, cell survival, and extracellular matrix (ECM) remodeling. In uterine fibroids (leiomyomas), these HIF-1α–dependent processes intersect with steroid hormone signaling, growth factor pathways, inflammatory mediators, and redox imbalance, together promoting tumor persistence and progressive fibrosis. This review synthesizes the molecular regulation of HIF-1α, highlights major HIF-linked effector pathways relevant to uterine fibroid (leiomyoma) biology, and emphasizes mechanistic crosstalk with estrogen- and progesterone-responsive signaling, TGF-β/SMAD-driven fibrosis, NF-κB-mediated inflammation, and metabolic checkpoint pathways including mTOR and AMPK. Finally, we evaluate emerging therapeutic strategies that target HIF-1α directly or indirectly through upstream regulators. Full article
Show Figures

Figure 1

15 pages, 10298 KB  
Article
Administration of Topical NorLeu3Angiotensin(1-7) Minimizes Fibrotic Corneal Healing in Stellate Wound: A 28-Day Study
by Catherine Chester, Edgar Alejandro Moreno-Diaz, Weiyuan Hu, Brianna Chen, Maram Alshammari, Mark S. Humayun, Juan Carlos Martinez Camarillo and Stan G. Louie
Int. J. Mol. Sci. 2026, 27(8), 3565; https://doi.org/10.3390/ijms27083565 - 16 Apr 2026
Viewed by 250
Abstract
Severe full-thickness corneal lacerations disrupt the tight cellular and extracellular matrix (ECM) organization required for corneal transparency. Following injury, an influx of transforming growth factor beta (TGFβ) into the corneal stroma signals the formation of haze-inducing myofibroblasts, resulting in excessive stromal remodeling and [...] Read more.
Severe full-thickness corneal lacerations disrupt the tight cellular and extracellular matrix (ECM) organization required for corneal transparency. Following injury, an influx of transforming growth factor beta (TGFβ) into the corneal stroma signals the formation of haze-inducing myofibroblasts, resulting in excessive stromal remodeling and corneal haze. We hypothesized that MasR activation using NorLeu3Angiotensin (1-7) (NLE) engages the pro-resolving arm of the renin–angiotensin system (RAS) to minimize fibrotic corneal repair. In this study, 6 mm stellate-shaped, full-thickness corneal lacerations were induced in New Zealand Black (NZB) rabbits and treated with topical vehicle, or 0.1%, 0.3%, or 0.45% NLE. Corneal healing was evaluated using noninvasive corneal imaging, histology, and the gene expression of RAS- and fibrosis-related targets (MasR, AT1R, TGFβR1). Corneal imaging revealed significantly decreased corneal haze (p < 0.05) and increased keratocyte density with 0.1% NLE treatment (p < 0.05). Immunofluorescence showed significantly reduced α-smooth muscle actin (αSMA), indicating decreased myofibroblast formation (p < 0.05). Additionally, 0.1% NLE reduced stromal TGFβR1, suggesting that NLE mediates its activity by disrupting the TGFβ/TGFβR axis. MasR and AT1R gene expression were downregulated, which contributes to a reduction in fibrosis. Collectively, these findings suggest that the NLE activation of MasR modulates RAS and TGFβ/TGFβR signaling to reduce myofibroblast activity and fibrosis following severe corneal trauma. Full article
(This article belongs to the Section Molecular Neurobiology)
Show Figures

Figure 1

22 pages, 2241 KB  
Article
The TLR10–Vitamin D Axis Facilitates Osteogenic Differentiation of Mesenchymal Stem Cells In Vitro
by Anna Stierschneider, Benjamin Neuditschko, Isabella Fischer, Esther Hellmann, Daniel Zimmermann, Katerina Prohaska, Lisa Milchram, Franz Herzog and Christoph Wiesner
Cells 2026, 15(8), 697; https://doi.org/10.3390/cells15080697 - 15 Apr 2026
Viewed by 229
Abstract
Bone regeneration requires tight coordination between mesenchymal stem cells (MSCs), immune signaling, and extracellular matrix remodeling. Yet, how atypical immune receptors contribute to this process remains unclear. Here, we identify Toll-like receptor 10 (TLR10) as a key regulator of osteogenic differentiation in human [...] Read more.
Bone regeneration requires tight coordination between mesenchymal stem cells (MSCs), immune signaling, and extracellular matrix remodeling. Yet, how atypical immune receptors contribute to this process remains unclear. Here, we identify Toll-like receptor 10 (TLR10) as a key regulator of osteogenic differentiation in human adipose-derived MSCs. Herein, ASC/TERT1 MSCs were engineered to overexpress or silence TLR10 using lentiviral vectors, and osteogenic differentiation (0–14 days) was assessed by metabolic assays—RT-qPCR of COL1A2, ALPL and BGLAP—Alizarin Red S staining, and quantitative mass spectrometry. Enhancing TLR10 expression promoted osteogenic gene programs, extracellular matrix organization, metabolic adaptation, and robust matrix mineralization, whereas TLR10 suppression maintained proliferative states and impaired osteoblast maturation. Proteomic analyses revealed that TLR10 selectively activates osteogenic, ECM-remodeling, and vitamin D-responsive pathways, while restraining programs antagonistic to differentiation. Notably, active vitamin D induced TLR10 expression and partially restored osteogenesis in TLR10-deficient cells, indicating that TLR10 is associated with vitamin D-driven bone formation. Together, beyond its established role in innate immunity, TLR10 emerges as a vitamin D-responsive regulator of mesenchymal stem cell osteogenesis, highlighting a potential therapeutic axis to enhance bone regeneration and osteogenic outcomes. Full article
(This article belongs to the Section Stem Cells)
Show Figures

Figure 1

22 pages, 888 KB  
Review
Epithelial Integrins Coordinate Cellular Crosstalk Through the Regulation of Cytokines During Tissue Remodeling
by Jacob Snyder, Sanjana Dhulipalla and Whitney M. Longmate
Int. J. Mol. Sci. 2026, 27(8), 3497; https://doi.org/10.3390/ijms27083497 - 14 Apr 2026
Viewed by 357
Abstract
Integrins are obligate αβ heterodimeric receptors that mediate cell–extracellular matrix interactions and exhibit bidirectional signal transduction across the plasma membrane. This integrin-mediated signal transduction regulates the expression of genes, a subset of which encode cytokines—small, secreted proteins that exhibit cell–cell communication in an [...] Read more.
Integrins are obligate αβ heterodimeric receptors that mediate cell–extracellular matrix interactions and exhibit bidirectional signal transduction across the plasma membrane. This integrin-mediated signal transduction regulates the expression of genes, a subset of which encode cytokines—small, secreted proteins that exhibit cell–cell communication in an autocrine or paracrine manner to regulate cell survival, proliferation, migration, ECM remodeling, and the immune response. This review examines epithelial integrins in the regulation of paracrine-acting cytokines that crosstalk to immune and stromal cells to coordinate normal and pathological tissue remodeling. Contexts explored include wound repair, fibrosis, and cancer. Full article
(This article belongs to the Special Issue Role of Integrins in Cytokine Signaling)
Show Figures

Figure 1

36 pages, 1220 KB  
Review
Uncovering the Intricate and Heterogeneous Cellular Microenvironment of Cutaneous Melanoma
by Dana Antonia Țăpoi, Ioana Maria Lambrescu, Catalin Gabriel Manole, Gisela Gaina and Laura Cristina Ceafalan
Medicina 2026, 62(4), 739; https://doi.org/10.3390/medicina62040739 - 13 Apr 2026
Viewed by 474
Abstract
Background and Objectives: Cutaneous melanoma (CM) is one of the most aggressive skin malignancies due to its rapid progression and high therapeutic resistance. Growing evidence demonstrates that the tumor microenvironment (TME)—comprising diverse immune, stromal, vascular, and epidermal cell populations alongside various cytokines [...] Read more.
Background and Objectives: Cutaneous melanoma (CM) is one of the most aggressive skin malignancies due to its rapid progression and high therapeutic resistance. Growing evidence demonstrates that the tumor microenvironment (TME)—comprising diverse immune, stromal, vascular, and epidermal cell populations alongside various cytokines and growth factors, as well as extracellular matrix (ECM) components—plays a crucial role in tumor heterogeneity, metastatic potential, and response to therapy. This review aims to synthesise current knowledge on the cellular and non-cellular constituents of the CM microenvironment and clarify their contributions to tumor progression, immune evasion, and treatment resistance. Materials and Methods: We conducted a narrative review of recent experimental, clinical, and translational studies investigating melanoma–microenvironment interactions, integrating evidence from in vitro, in vivo, and human tissue analyses. Results: Melanoma exhibits marked intra-tumoral heterogeneity driven by genetic, epigenetic, and microenvironmental influences. Cancer-associated fibroblasts, adipocytes, endothelial cells, and keratinocytes are reprogrammed by melanoma cells to promote invasion, angiogenesis, and metastasis. Immune subsets play divergent roles: neutrophils, M2 macrophages, myeloid-derived suppressor cells, and tolerogenic dendritic cells foster immune suppression, while lymphocytes—particularly CD8+ T cells, TFH cells, and B cells —are associated with improved outcomes but often become dysfunctional. ECM remodeling, including collagen deposition, integrin signaling, and increased matrix stiffness, actively remodels the tissue to support tumor growth and immune evasion. Hypoxia-inducible factor (HIF)-mediated signaling drives cell dedifferentiation, angiogenesis, and metabolic changes that contribute to treatment resistance. Consequently, emerging therapeutic strategies are moving beyond targeting tumor cells alone to focus on modulating TME components, counteracting immunosuppression, hypoxia, metabolic reprogramming, and extracellular vesicle signaling. Conclusions: The TME profoundly modulates tumor behavior and therapeutic response. A deeper understanding of the reciprocal interactions between melanoma cells and their microenvironmental components may enable the development of more effective strategies for early detection, prognosis, and personalized therapies. Full article
(This article belongs to the Special Issue Cutaneous Melanoma: Updating from Pathogenesis to Therapy)
Show Figures

Figure 1

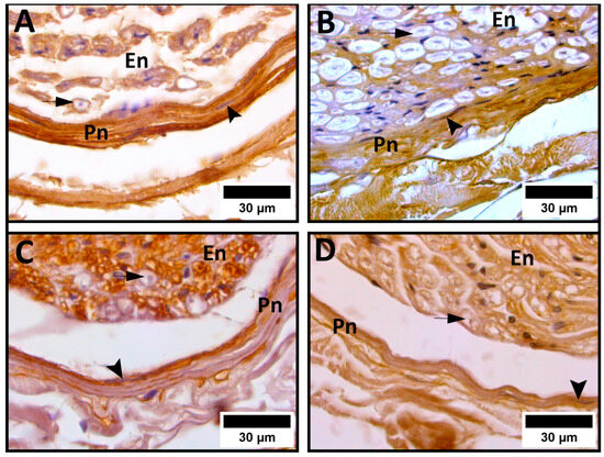
13 pages, 17940 KB  
Article
Extracellular Matrix Remodelling in the Human Sural Nerve in Peripheral Vascular Disease
by Braca Kundalić, Vladimir Petrović, Aleksandra Antović, Ivana Graovac and Slađana Ugrenović
Medicina 2026, 62(4), 737; https://doi.org/10.3390/medicina62040737 - 12 Apr 2026
Viewed by 269
Abstract
Background and Objectives: Peripheral nerve adaptation to different pathological conditions is accompanied by the remodelling of the nerve’s extracellular matrix (ECM). Ischemic conditions caused by peripheral vascular disease are known to affect the function of peripheral nerves; however, the morphological changes to [...] Read more.
Background and Objectives: Peripheral nerve adaptation to different pathological conditions is accompanied by the remodelling of the nerve’s extracellular matrix (ECM). Ischemic conditions caused by peripheral vascular disease are known to affect the function of peripheral nerves; however, the morphological changes to their ECM remain insufficiently examined and understood. Bearing in mind that alterations in collagen I, collagen IV, and laminin content may compromise peri- and endoneurial integrity, the aim of our study was to analyse whether peripheral vascular disease (PVD) induces distinct ECM alterations in the human sural nerve compared with the adaptive remodelling observed in ageing. Materials and Methods: The study aimed to determine the amount of type I and IV collagen and laminin in the perineurium and endoneurium of human peripheral nerves from patients with PVD and to compare the results with those of the age-matched controls. Twenty human sural nerves were harvested from cadavers and amputated limbs—10 from each—and were further distributed into two age groups: below and over 75 years of age. The sural nerve tissue samples were stained immunohistochemically for collagen I, collagen IV, and laminin. We measured the percentage content of these ECM components in the perineurium and endoneurium. For morphometric analysis, we used ImageJ software v1.54d. Results: Perineurial collagen type I and laminin were decreased in the older PVD group, relative to both the younger PVD and the older age group. Within the endoneurium, the expression of collagen type IV was higher in older PVD patients, while both collagen type I and laminin were deposited in lower amounts in the same group compared with the younger PVD group. Conclusions: These findings suggest that age-related ECM remodelling in the peripheral nerve may be impaired under ischemic conditions in older adults, with implications for surgical grafting strategies or neural conduit therapies aimed at promoting functional regeneration. Full article
(This article belongs to the Section Neurology)
Show Figures

Figure 1

29 pages, 2299 KB  
Review
Spatiotemporal Control of Intercellular Crosstalk: A New Therapeutic Paradigm for Halting Acute Kidney Injury to Chronic Kidney Disease Transition
by Hua Su and Kaixin Song
Biomolecules 2026, 16(4), 559; https://doi.org/10.3390/biom16040559 - 9 Apr 2026
Viewed by 273
Abstract
The transition from acute kidney injury (AKI) to chronic kidney disease (CKD) represents a dynamic and multistage pathological process driven by maladaptive intercellular communication. Rather than resulting from isolated cellular injury, AKI-CKD progression unfolds through a spatially and temporally coordinated dysregulation of cellular [...] Read more.
The transition from acute kidney injury (AKI) to chronic kidney disease (CKD) represents a dynamic and multistage pathological process driven by maladaptive intercellular communication. Rather than resulting from isolated cellular injury, AKI-CKD progression unfolds through a spatially and temporally coordinated dysregulation of cellular networks. In the acute phase, damaged tubular epithelial cells act as instigators, releasing damage-associated molecular patterns (DAMPs) and activating a storm of inflammatory crosstalk among immune cells, endothelium, and fibroblasts. During the subacute repair phase, imbalance in macrophage polarization (M1 persistence/M2 dysfunction) and the emergence of senescent tubular cells with a senescence-associated secretory phenotype (SASP) together create a pro-fibrotic microenvironment. In the chronic phase, activated myofibroblasts—derived from multiple sources—establish self-sustaining feedback loops via autocrine signaling, mechanical memory from the stiffened extracellular matrix (ECM), and ongoing dialogue with immune and resident cells, ultimately leading to irreversible fibrosis. Current therapeutic strategies focused on single molecular targets often fail to disrupt this resilient network homeostasis. Therefore, we propose a paradigm shift toward spatiotemporally precise network-remodeling therapies, which require integrated use of liquid biopsy-based staging, smart nanocarriers for cell-specific delivery, and AI-powered multi-omics modeling. This review systematically delineates the evolving cell-to-cell communication networks across AKI-CKD continuum and highlights innovative strategies to intercept disease progression by targeting the pathophysiology of cellular crosstalk. Full article
(This article belongs to the Special Issue Mechanisms of Kidney Injury and Treatment Modalities)
Show Figures

Figure 1

24 pages, 634 KB  
Perspective
Extracellular Matrix-Derived Matrikines: Circulating Peptides as Candidate Mediators of Lung-to-Brain Signaling
by Andis Klegeris
Int. J. Mol. Sci. 2026, 27(7), 3339; https://doi.org/10.3390/ijms27073339 - 7 Apr 2026
Viewed by 568
Abstract
Recent studies support the concept of a bidirectional lung–brain axis. While neural, immune, and microbial pathways are increasingly recognized in lung-to-brain communication, the role of matrikines—bioactive peptides generated by extracellular matrix (ECM) proteolysis during remodeling—in this inter-organ communication remains underexplored. This review highlights [...] Read more.
Recent studies support the concept of a bidirectional lung–brain axis. While neural, immune, and microbial pathways are increasingly recognized in lung-to-brain communication, the role of matrikines—bioactive peptides generated by extracellular matrix (ECM) proteolysis during remodeling—in this inter-organ communication remains underexplored. This review highlights matrikines originating from the lung, particularly the collagen-derived tripeptide Pro-Gly-Pro (PGP) and the elastin-derived hexapeptide Val-Gly-Val-Ala-Pro-Gly (VGVAPG), as potential mediators linking pulmonary pathology with neurological outcomes. The lung is rich in ECM proteins, and inflammatory conditions such as chronic obstructive pulmonary disease (COPD) and emphysema trigger proteolytic activity by matrix metalloproteinases (MMPs) and neutrophil elastase, releasing matrikines into circulation. Under conditions of blood–brain barrier (BBB) dysfunction, they may access the central nervous system (CNS), where they influence neurons, microglia, and astrocytes, modulating neuroinflammation, autophagy, and synaptic integrity. While PGP can exhibit context-dependent neuroprotective effects, its acetylated form and VGVAPG are associated with neurotoxicity, Tau hyperphosphorylation, and microglial activation. Additional matrikines, including Gly-His-Lys (GHK) and endorepellin, may further modulate CNS homeostasis. Collectively, these findings support lung-derived matrikines as circulating mediators of lung-to-brain signaling, providing a novel mechanistic framework linking chronic pulmonary inflammation to neuropathologies, such as stroke and neurodegenerative disorders, and highlighting potential targets for therapeutic intervention. Full article
(This article belongs to the Section Macromolecules)
Show Figures

Figure 1

21 pages, 6168 KB  
Article
3D-Bioprinted Gelatin Hydrogels with Human Umbilical Cord Mesenchymal Stem Cell-Derived Small Extracellular Vesicles Promote Cutaneous Wound Healing In Vivo
by Manal Hussein Taghdi, Ibrahim N. Amirrah, Nurul Izzati Uda Zahli, Kavita Chirara, Mh Busra Fauzi, Jia Xian Law and Yogeswaran Lokanathan
Polymers 2026, 18(7), 882; https://doi.org/10.3390/polym18070882 - 3 Apr 2026
Viewed by 405
Abstract
Small extracellular vesicles (sEVs) derived from mesenchymal stem cells (MSCs) are emerging as potent acellular therapeutics; however, their rapid clearance hinders their clinical translation. To address this issue, 3D-bioprinted genipin-crosslinked gelatin (GECL) was engineered for human health. GECL hydrogels were functionalised with human [...] Read more.
Small extracellular vesicles (sEVs) derived from mesenchymal stem cells (MSCs) are emerging as potent acellular therapeutics; however, their rapid clearance hinders their clinical translation. To address this issue, 3D-bioprinted genipin-crosslinked gelatin (GECL) was engineered for human health. GECL hydrogels were functionalised with human umbilical cord MSC-derived sEVs (hUCMSC-sEVs) to create a bioactive wound-healing platform. These hydrogels demonstrated favourable physicochemical, mechanical, and biodegradable properties while providing an extracellular matrix (ECM)-mimetic environment conducive to tissue regeneration. MSCs were isolated from the umbilical cords, and their small extracellular vesicles (sEVs) were extracted and incorporated into gelatin-based hydrogels via 3D bioprinting. These sEV-loaded scaffolds were embedded in full-thickness wounds in mice, and healing was evaluated through macroscopic observation, histological analysis, collagen deposition, and angiogenesis assessment. Compared with the untreated controls, both the hydrogel-only (B) and sEV-loaded hydrogel (BE) groups significantly accelerated in vivo wound healing. Notably, the BE group achieved complete wound closure within 14 days, restoring the skin architecture, which closely resembled the native tissue with well-organised epidermal and dermal layers, optimal thickness, and skin appendages. Histological and ultrastructural assessments revealed an increased collagen type I deposition, a reduced α-smooth muscle actin (α-SMA) expression, and a robust neovascularisation. The TEM revealed tight junctions and active cellular infiltration, indicating scaffold integration and functional remodelling. Immunohistochemistry further revealed an upregulated CD31 expression with a balanced α-smooth muscle actin (α-SMA) expression, reflecting coordinated angiogenesis and myofibroblast regulation. These results highlight sEV-functionalised GECL hydrogels as robust and clinically translatable acellular therapeutic green products for accelerated wound closure and functional skin regeneration, advancing the fields of regenerative medicine and life expectancy. Full article
(This article belongs to the Special Issue Polymeric Materials for Wound Dressing)
Show Figures

Figure 1

18 pages, 2693 KB  
Article
Rubus fruticosus Fruit Extract Enhances the Pro-Adipogenic Program During Adipocyte Differentiation
by Emilio Rubio, Silvia Benito-Martínez, Manuel Reina, Claudia Müller-Sánchez, Jordi Bosch, David Manzano and Miguel Perez-Aso
Cosmetics 2026, 13(2), 82; https://doi.org/10.3390/cosmetics13020082 - 1 Apr 2026
Viewed by 414
Abstract
Although blackberries are associated with health benefits, their impact on adipocyte biology remains poorly understood. Here, we investigated the effect of a blackberry extract (Rubus fruticosus fruit extract, RFE) on adipogenesis and lipolysis in the 3T3-L1 cell model and characterized its transcriptomic [...] Read more.
Although blackberries are associated with health benefits, their impact on adipocyte biology remains poorly understood. Here, we investigated the effect of a blackberry extract (Rubus fruticosus fruit extract, RFE) on adipogenesis and lipolysis in the 3T3-L1 cell model and characterized its transcriptomic response. Adipogenesis and lipolysis were assessed by Oil Red O and AdipoRed™ staining and glycerol release, respectively. RNA-Seq analysis was processed with the PIGx pipeline, and differential gene expression was evaluated with edgeR. RFE strongly promoted adipogenesis, increasing Oil Red O staining by 29% (n = 3, p < 0.01), and showed anti-lipolytic activity, reducing glycerol release by 51% (n = 3, p < 0.05). Whole-transcriptome analysis revealed that RFE significantly regulated 4904 genes, enhancing the adipogenic program. Functional profiling identified metabolic pathways influenced by RFE, including those related to lipid biosynthesis. Notably, RFE also modulated extracellular matrix (ECM) pathways, suggesting a shift toward a less fibrotic microenvironment. These findings indicate that RFE promotes subcutaneous adipose tissue expansion while supporting ECM remodeling, favoring healthy adipose growth and reduced fibrosis. To our knowledge, this is the first evidence that RFE simultaneously stimulates adipocyte differentiation and ECM remodeling. Overall, RFE emerges as a promising active ingredient for lipofilling cosmetic applications aimed at improving adipose tissue volume and quality. Full article
Show Figures

Figure 1

34 pages, 2960 KB  
Review
Therapy-Induced Senescence Shapes Extracellular Matrix Niches and Fibroblast Function in Head and Neck Squamous Cell Carcinoma
by Jetsy Montero-Vergara, Piotr W. Darski, Amy L. Harding and Keith D. Hunter
Cancers 2026, 18(7), 1126; https://doi.org/10.3390/cancers18071126 - 31 Mar 2026
Viewed by 518
Abstract
Cellular senescence is a stress-induced state characterised by durable proliferative arrest and extensive transcriptional and secretory reprogramming. In cancer, senescence can suppress early tumour outgrowth, yet persistence of senescent cells and their senescence-associated secretory phenotype (SASP) may drive maladaptive inflammation, immune dysfunction, vascular [...] Read more.
Cellular senescence is a stress-induced state characterised by durable proliferative arrest and extensive transcriptional and secretory reprogramming. In cancer, senescence can suppress early tumour outgrowth, yet persistence of senescent cells and their senescence-associated secretory phenotype (SASP) may drive maladaptive inflammation, immune dysfunction, vascular perturbation and extracellular matrix (ECM) remodelling. Head and neck squamous cell carcinoma (HNSCC) provides a clinically informative context because tumours arise in injury-prone mucosa and standard therapies (radiotherapy and platinum-based chemotherapy) can induce long-lived senescent phenotypes across stromal and vascular compartments. Here, we synthesise the evidence through a signal → matrix → function framework, in which the therapy-induced SASP modules reshape collagen density, alignment, confinement and crosslinking, thereby influencing invasion, immune access, perfusion and post-treatment fibrosis. We emphasise that senescence detection in head and neck tissues is highly context-dependent and readily confounded by inflammageing, chronic mucosal injury and HPV-associated biology, necessitating a cell-type-resolved, spatially anchored, multi-axis definition that integrates growth-arrest context, nuclear/DNA damage response hallmarks and functional outputs. We highlight oral submucous fibrosis (OSF) as a matrix-primed precursor state that exemplifies convergence between chronic injury, fibrosis and senescence-adjacent programmes. Finally, we propose an integrated translational roadmap combining multiplex spatial pathology with quantitative collagen imaging to map therapy-induced senescence–ECM niches and support biomarker-guided testing of senomorphic, senolytic and matrix-normalising strategies in HNSCC. Full article
Show Figures

Figure 1

20 pages, 1493 KB  
Review
Structure–Property–Function Relationships in Stimuli-Responsive Hydrogels for Brain Organoid Vascularization
by Minju Kim, Hoon Choi, Woo Sub Yang and Hyun Jung Koh
Gels 2026, 12(4), 287; https://doi.org/10.3390/gels12040287 - 29 Mar 2026
Viewed by 432
Abstract
Human induced pluripotent stem cell (iPSC)-derived brain organoids have emerged as powerful three-dimensional (3D) platforms for modeling human neurodevelopment and neurological disorders. However, the absence of a functional vascular network remains a critical limitation, restricting oxygen and nutrient delivery, impairing metabolic stability, and [...] Read more.
Human induced pluripotent stem cell (iPSC)-derived brain organoids have emerged as powerful three-dimensional (3D) platforms for modeling human neurodevelopment and neurological disorders. However, the absence of a functional vascular network remains a critical limitation, restricting oxygen and nutrient delivery, impairing metabolic stability, and constraining long-term maturation. Conventional extracellular matrix (ECM) mimetics, such as Matrigel and other static synthetic hydrogels, provide biochemical support but fail to recapitulate the dynamic remodeling that characterizes the developing neurovascular niche. Recent advances in stimuli-responsive hydrogels offer spatiotemporal control over matrix stiffness, degradability, viscoelasticity, and biochemical cue presentation. In this review, we discuss dynamic hydrogel systems within a structure–property–function framework, highlighting how network chemistry and architecture may regulate endothelial sprouting, lumen formation, vascular stabilization, and neurovascular unit maturation in vascularized brain organoid models, based on evidence from both organoid studies and related biomaterial or vascular systems. Photoresponsive, enzyme-cleavable, thermo-responsive, supramolecular, bio-orthogonal click-based, and bioprinted platforms are discussed with emphasis on mechanotransduction, angiocrine signaling, and barrier specialization. Functional outcomes, including trans-endothelial electrical resistance, selective permeability, transporter expression, electrophysiological integration, and sustained perfusion, are discussed alongside translational challenges such as cytocompatibility, oxidative stress, scalability, and regulatory feasibility. Collectively, dynamic hydrogels provide a versatile biomaterial strategy for improving vascularization and aspects of functional maturation in brain organoid models with enhanced physiological relevance. Ultimately, stimuli-responsive hydrogel systems may serve as enabling platforms for engineering vascularized brain organoids and advancing human-relevant neurovascular disease modeling. Full article
(This article belongs to the Special Issue Advanced Functional Gels: Design, Properties, and Applications)
Show Figures

Graphical abstract

26 pages, 9587 KB  
Article
Dermal Fibroblasts Modulate Migration and Phenotype of Infiltrating Monocytes in Skin-Derived Extracellular Matrix Hydrogels
by Xue Zhang, Meng Zhang, Linda A. Brouwer and Martin C. Harmsen
Gels 2026, 12(4), 269; https://doi.org/10.3390/gels12040269 - 24 Mar 2026
Viewed by 292
Abstract
Modeling immune cell recruitment within a wound-relevant microenvironment remains challenging. Here, we developed a novel skin-derived extracellular matrix (ECM) hydrogel model to study monocyte (THP-1) entry and phenotypic changes within a dermal fibroblast-populated (NHDF) matrix. The main novelty of this study is that [...] Read more.
Modeling immune cell recruitment within a wound-relevant microenvironment remains challenging. Here, we developed a novel skin-derived extracellular matrix (ECM) hydrogel model to study monocyte (THP-1) entry and phenotypic changes within a dermal fibroblast-populated (NHDF) matrix. The main novelty of this study is that it compares the effects of fibroblast-derived soluble signals and active monocyte infiltration in a 3D biomimetic model. Signaling by fibroblast-secreted soluble factors enhanced a pro-angiogenic secretome (e.g., >3-fold upregulation of VEGFA at day 1) and promoted endothelial tube formation (increasing network junctions to 1.16 ± 0.16 vs. 0.93 ± 0.23 in monoculture). In contrast, this paracrine signaling did not induce the matrix-driven pro-fibrotic response in hydrogels. Crucially, physical immune infiltration restricted monocyte penetration (mean depth of 8.92 ± 2.27 μm vs. 121.1 ± 15.9 μm in monoculture at day 5), reduced hydrogel-induced myofibroblast activation (decreasing α-SMA+ cells from 79.1% to 54.3% upon initial contact), and was associated with slower collagen loss during the early phase. (retaining a high-density collagen ratio of 3.46 ± 0.33 vs. 2.02 ± 0.29 in monoculture at day 1). These observations were accompanied by a shift toward a matrix-stabilizing profile, including increased TIMP expression and reduced pro-fibrotic markers. (ACTA2 and COL1A1). By including active immune infiltration (which was absent in previous tSVF models), we capture the transition from inflammation to the proliferation stage. Although the later stages of extensive ECM remodeling appear suppressed here, they may occur as repair progresses. Overall, our findings highlight that the immune cell is a key regulatory component for coordinating matrix preservation and vascular support. Importantly, this model replicates the early phases of wound healing, a stage where the monocyte–fibroblast secretome supports endothelial network formation. We established this innovative 3D ECM hydrogel system as a practical and physiologically relevant platform to investigate immune–matrix–stromal crosstalk. Full article
(This article belongs to the Special Issue Hydrogels for Tissue Repair: Innovations and Applications)
Show Figures

Figure 1

Back to TopTop