Sign in to use this feature.

Years

Between: -

Subjects

remove_circle_outline
remove_circle_outline
remove_circle_outline
remove_circle_outline
remove_circle_outline
remove_circle_outline
remove_circle_outline
remove_circle_outline
remove_circle_outline

Journals

remove_circle_outline
remove_circle_outline

Article Types

Countries / Regions

remove_circle_outline
remove_circle_outline
remove_circle_outline

Search Results (224)

Search Parameters:
Keywords = DNB

Order results
Result details
Results per page
Select all
Export citation of selected articles as:
20 pages, 8035 KB  
Article
A Combined Glutaraldehyde and Denitrifying Bacteria Strategy for Enhanced Control of SRB-Induced Corrosion in Shale Gas Infrastructure
by Yu Guo, Chongrong Wen, Ming Duan and Guihong Lan
Processes 2026, 14(2), 334; https://doi.org/10.3390/pr14020334 - 17 Jan 2026
Viewed by 108
Abstract
Microbiologically influenced corrosion induced by sulfate-reducing bacteria (SRB) poses a significant threat to shale gas pipeline integrity. This study investigates an integrated control strategy combining the biocide glutaraldehyde with denitrifying bacteria (DNB) to synergistically inhibit SRB activity and corrosion. The efficacy and mechanisms [...] Read more.
Microbiologically influenced corrosion induced by sulfate-reducing bacteria (SRB) poses a significant threat to shale gas pipeline integrity. This study investigates an integrated control strategy combining the biocide glutaraldehyde with denitrifying bacteria (DNB) to synergistically inhibit SRB activity and corrosion. The efficacy and mechanisms were systematically evaluated using electrochemical measurements (EIS, LPR), weight-loss analysis, surface characterization (SEM, maximum pit depth), and microbial community profiling (16S rDNA sequencing). Compared to the SRB-inoculated system, the combined treatment reduced the average corrosion rate of L245 steel by 44.2% (to 0.01608 mm/a) and the maximum pit depth by 84.3% (to 1.53 μm). EIS results further confirmed the superior inhibition effect, showing the largest capacitive arc diameter and the highest polarization resistance in the combined system. Microbial community analysis indicated a substantial decline in SRB abundance from 62.7% (day 1) to 11.9% (day 14). This synergistic strategy presents an effective and more sustainable approach by reducing chemical dosage and leveraging the bio-competitive exclusion by DNB. Full article
(This article belongs to the Section Process Control and Monitoring)
Show Figures

Graphical abstract

16 pages, 4121 KB  
Article
Uncovering Fishing Area Patterns Using Convolutional Autoencoder and Gaussian Mixture Model on VIIRS Nighttime Imagery
by Jeong Chang Seong, Jina Jang, Jiwon Yang, Seung Hee Choi and Chul Sue Hwang
ISPRS Int. J. Geo-Inf. 2026, 15(1), 25; https://doi.org/10.3390/ijgi15010025 - 5 Jan 2026
Viewed by 300
Abstract
The availability of nighttime satellite imagery provides unique opportunities for monitoring fishing activity in data-sparse ocean regions. This study leverages Visible Infrared Imaging Radiometer Suite (VIIRS) Day/Night Band monthly composite imagery to identify and classify recurring spatial patterns of fishing activity in the [...] Read more.
The availability of nighttime satellite imagery provides unique opportunities for monitoring fishing activity in data-sparse ocean regions. This study leverages Visible Infrared Imaging Radiometer Suite (VIIRS) Day/Night Band monthly composite imagery to identify and classify recurring spatial patterns of fishing activity in the Korean Exclusive Economic Zone from 2014 to 2024. While prior research has primarily produced static hotspot maps, our approach advances geospatial fishing activity identification by employing machine learning techniques to group similar spatiotemporal configurations, thereby capturing recurring fishing patterns and their temporal variability. A convolutional autoencoder and a Gaussian Mixture Model (GMM) were used to cluster the VIIRS imagery. Results revealed seven major nighttime light hotspots. Results also identified four cluster patterns: Cluster 0 dominated in December, January, and February, Cluster 1 in March, April, and May, Cluster 2 in July, August, and September, and Cluster 3 in October and November. Interannual variability was also identified. In particular, Clusters 0 and 3 expanded into later months in recent years (2022–2024), whereas Cluster 1 contracted. These findings align with environmental changes in the region, including ocean temperature rise and declining primary productivity. By integrating autoencoders with probabilistic clustering, this research demonstrates a framework for uncovering recurrent fishing activity patterns and highlights the utility of satellite imagery with GeoAI in advancing marine fisheries monitoring. Full article
(This article belongs to the Special Issue Spatial Data Science and Knowledge Discovery)
Show Figures

Figure 1

16 pages, 8662 KB  
Article
Dihydroartemisinin Promotes N1 Polarization of Tumor-Associated Neutrophils and Enhances Their Anti-Tumor Activity via Hub Gene Modulation
by Wenjia Guo, Yu’e Liu, Wencong Ma, Jinghan Wang, Bingdi Chen and Lieying Fan
Pharmaceuticals 2026, 19(1), 88; https://doi.org/10.3390/ph19010088 - 1 Jan 2026
Viewed by 289
Abstract
Background: Tumor-associated neutrophils (TANs) exhibit remarkable functional plasticity within tumor microenvironment (TME), with N1-like subtypes promoting anti-tumor immunity and N2-like subtypes facilitating tumor progression. Despite their critical role in cancer immunology, strategies to selectively modulate TAN polarization remain limited. Methods: We [...] Read more.
Background: Tumor-associated neutrophils (TANs) exhibit remarkable functional plasticity within tumor microenvironment (TME), with N1-like subtypes promoting anti-tumor immunity and N2-like subtypes facilitating tumor progression. Despite their critical role in cancer immunology, strategies to selectively modulate TAN polarization remain limited. Methods: We integrated transcriptomic analyses of TAN subtypes to identify potential hub molecules. Molecular docking and experimental assays were used to evaluate DHA’s effect on neutrophil-like cell polarization. Results: Hub genes (TNF, IL1B, PTGS2, BCL2A1, MSR1, ACOD1, CXCL16, CLEC10A, and SOCS3) were identified, with TNF serving as a potential core regulator. Molecular docking indicated that DHA forms stable interactions hub proteins. Experimentally, DHA treatment of neutrophil-like dNB4 cells promoted N1 polarization, evidenced by upregulation of TNF, IL1B, PTGS2, BCL2A1, MSR1, ACOD1, CXCL16, and N1 markers PD-L1 and NOX2, and downregulation of N2 marker CEACAM8 and hub genes CLEC10A and SOCS3. Functional assays demonstrated that DHA-treated cells exhibited increased secretion of TNF, IL1β, ROS, and PD-L1, accompanied by enhanced cytotoxic activity against hepatocellular carcinoma cells in a co-culture system. Conclusions: These findings reveal the molecular mechanisms underlying TAN polarization, and establish DHA as a potent immunomodulatory agent capable of reshaping TANs toward an anti-tumor phenotype. Full article
Show Figures

Graphical abstract

25 pages, 19784 KB  
Article
Spatiotemporal Dynamics of Anthropogenic Night Light in China
by Christopher Small
Lights 2025, 1(1), 4; https://doi.org/10.3390/lights1010004 - 21 Nov 2025
Viewed by 393
Abstract
Anthropogenic night light (ANL) provides a unique observable for the spatially explicit mapping of human-modified landscapes in the form of lighted infrastructure. Since 2013, the Visible Infrared Imaging Radiometer Suite (VIIRS) Day Night Band (DNB) on the Suomi NPP satellite has provided more [...] Read more.
Anthropogenic night light (ANL) provides a unique observable for the spatially explicit mapping of human-modified landscapes in the form of lighted infrastructure. Since 2013, the Visible Infrared Imaging Radiometer Suite (VIIRS) Day Night Band (DNB) on the Suomi NPP satellite has provided more than a decade of near-daily observations of anthropogenic night light. The objective of this study is to quantify changes in ANL in developed eastern China post-2013 using VIIRS DNB monthly mean brightness composites. Specifically, to constrain sub-annual and interannual changes in night light brightness to distinguish between apparent and actual change of ANL sources, and then conduct a spatiotemporal analysis of observed changes to identify areas of human activity, urban development and rural electrification. This analysis is based on a combination of time-sequential bitemporal brightness distributions and quantification of the spatiotemporal evolution of night light using Empirical Orthogonal Function (EOF) analysis. Bitemporal brightness distributions show that bright (>~1 nW/cm2/sr) ANL is heteroskedastic, with temporal variability diminishing with increasing brightness. Hence, brighter lights are more temporally stable. In contrast, dimmer (<~1 nW/cm2/sr) ANL is much more variable on monthly time scales. The same patterns of heteroskedasticity and variability of the lower tail of the brightness distribution are observed in year-to-year distributions. However, year-to-year brightness increases vary somewhat among different years. While bivariate distributions quantify aggregate changes on both subannual and interannual time scales, spatiotemporal analysis quantifies spatial variations in the year-to-year temporal evolution of ANL. The spatial distribution of brightening (and, much less commonly, dimming) revealed by the EOF analysis indicates that most of the brightening since 2013 has occurred at the peripheries of large cities and throughout the networks of smaller settlements on the North China Plain, the Yangtze River Valley, and the Sichuan Basin. A particularly unusual pattern of sequential brightening and dimming is observed on the Loess Plateau north of Xi’an, where extensive terrace construction has occurred. All aspects of this analysis highlight the difference between apparent and actual changes in night light sources. This is important because many users of VIIRS night light attribute all observed changes in imaged night light to actual changes in anthropogenic light sources—without consideration of low luminance variability related to the imaging process itself. Full article
Show Figures

Figure 1

23 pages, 1204 KB  
Article
Elucidating the Nutritional Profile and Biochemical Characterization of High-Energy Nutritional Bar Formulated with Sukkari Date Paste and Mixed Nuts
by Hassan Barakat, Hani A. Alfheeaid, Thamer Aljutaily, Raed Alayouni, Hend F. Alharbi and Woroud A. Alsanei
Foods 2025, 14(21), 3661; https://doi.org/10.3390/foods14213661 - 27 Oct 2025
Viewed by 1137
Abstract
Growing health consciousness drives demand for convenient, nutrient-dense snacks. This study evaluates five Sukkari date-mixed-nut bar formulations (DNB1–DNB5; date/nut ratios 40:60–80:20) through comprehensive biochemical and nutritional analyses. Macronutrient profiling showed that higher date ratios increased moisture and carbohydrates, whereas higher nut ratios enhanced [...] Read more.
Growing health consciousness drives demand for convenient, nutrient-dense snacks. This study evaluates five Sukkari date-mixed-nut bar formulations (DNB1–DNB5; date/nut ratios 40:60–80:20) through comprehensive biochemical and nutritional analyses. Macronutrient profiling showed that higher date ratios increased moisture and carbohydrates, whereas higher nut ratios enhanced protein, fat, and caloric density. Mineral assays revealed progressive increases in calcium, phosphorus, magnesium, and trace elements as date content decreased. The assessment of phytochemicals and antioxidants demonstrated that total phenolics, flavonoids, and radical-scavenging activities peaked in nut-rich bars, declining by ~50% in date-rich bars, underscoring nuts’ dominant antioxidant role. HPLC profiling identified catechol and vanillic acid as the major phenolics, with optimal release and retention at the 60:40 ratio (DNB3). Amino acid (AA) analysis confirmed positive correlations between nut content and total/essential AAs; DNB1–DNB2 achieved favorable essential-to-nonessential AA ratios (0.56–0.59) and higher protein quality indices. Fatty acid (FA) composition analysis revealed that oleic acid was identified as the major constituent across all formulations, coupled with optimal omega-6/omega-3 ratios. GC-MS analysis identified a total of 31 volatiles, mainly benzene derivatives and FA methyl esters. Results also revealed that notable variations attributed to different date/nut ratios significantly alter aroma profiles, with DNB3 yielding the most remarkable diversity of health-associated volatiles. Results from PCA and hierarchical clustering suggest that a single dominant dimension (PC1, 94.47% variance) governs compositional differences among the five date bar formulations, reflecting deliberate variation in ingredient proportions. The evidence suggests that DNB3’s (60:40 Sukkari date to mixed nut ratio) delivers balanced macro-nutrients, robust antioxidants, and diverse bioactives, positioning it as a health-promoting functional snack, aligning with its suitability for athletes, clinical nutrition applications, and health-conscious populations. These findings support the commercial development of optimized date-nut bars as nutrient-dense functional snacks, and future work should focus on scale-up production, shelf-life stability, and assessing in vivo bioavailability. Full article
Show Figures

Figure 1

19 pages, 3709 KB  
Article
Evaluating the Influence of Aerosol Optical Depth on Satellite-Derived Nighttime Light Radiance in Asian Megacities
by Hyeryeong Park, Jaemin Kim and Yun Gon Lee
Remote Sens. 2025, 17(20), 3492; https://doi.org/10.3390/rs17203492 - 21 Oct 2025
Cited by 1 | Viewed by 646
Abstract
The Visible Infrared Imaging Radiometer Suite (VIIRS) Day/Night Band (DNB) provides invaluable nighttime light (NTL) radiance data, widely employed for diverse applications including urban and socioeconomic studies. However, the inherent reliability of NTL data as a proxy for socioeconomic activities is significantly compromised [...] Read more.
The Visible Infrared Imaging Radiometer Suite (VIIRS) Day/Night Band (DNB) provides invaluable nighttime light (NTL) radiance data, widely employed for diverse applications including urban and socioeconomic studies. However, the inherent reliability of NTL data as a proxy for socioeconomic activities is significantly compromised by atmospheric conditions, particularly aerosols. This study analyzed the long-term spatiotemporal variations in NTL radiance with respect to atmospheric aerosol optical depth (AOD) in nine major Asian cities from January 2012 to May 2021. Our findings reveal a complex and heterogeneous interplay between NTL radiance and AOD, fundamentally influenced by a region’s unique atmospheric characteristics and developmental stages. While major East Asian cities (e.g., Beijing, Tokyo, Seoul) exhibited a statistically significant inverse correlation, indicating aerosol-induced NTL suppression, other regions showed different patterns. For instance, the rapidly urbanizing city of Dhaka displayed a statistically significant positive correlation, suggesting a concurrent increase in NTL and AOD due to intensified urban activities. This highlights that the NTL-AOD relationship is not solely a physical phenomenon but is also shaped by independent socioeconomic processes. These results underscore the critical importance of comprehensively understanding these regional discrepancies for the reliable interpretation and effective reconstruction of NTL radiance data. By providing nuanced insights into how atmospheric aerosols influence NTL measurements in diverse urban settings, this research aims to enhance the utility and robustness of satellite-derived NTL data for effective socioeconomic analyses. Full article
Show Figures

Figure 1

25 pages, 3535 KB  
Article
Decentralized Cycle-Free Game-Theoretic Adaptive Traffic Signal Control: Model Enhancement and Testing on Isolated Signalized Intersections
by Amr K. Shafik and Hesham A. Rakha
Sensors 2025, 25(20), 6339; https://doi.org/10.3390/s25206339 - 14 Oct 2025
Viewed by 708
Abstract
This research enhances and evaluates the performance of a Decentralized Nash Bargaining (DNB) adaptive traffic signal controller that operates a flexible National Electrical Manufacturers Association (NEMA) phasing and timing scheme responding dynamically to fluctuating traffic demands. The DNB controller is enhanced to (1) [...] Read more.
This research enhances and evaluates the performance of a Decentralized Nash Bargaining (DNB) adaptive traffic signal controller that operates a flexible National Electrical Manufacturers Association (NEMA) phasing and timing scheme responding dynamically to fluctuating traffic demands. The DNB controller is enhanced to (1) use traffic density estimates instead of queues to optimize signal timings; (2) to consider the eight-phase two-ring NEMA controller configuration within the game-theoretic approach; and (3) to consider dynamically adaptable control time steps. The enhanced DNB controller is benchmarked against (1) a fixed-time traffic signal control using the state-of-practice Webster’s method and an emerging Laguna-Du-Rakha (LDR) method for computing the optimum cycle length; (2) a state-of-the-practice actuated traffic signal control; and (3) a state-of-the-art reinforcement learning (RL) traffic signal controller presented in the literature. The controller is tested on two isolated signalized intersections, demonstrating enhanced overall intersection performance compared to the baseline pretimed and actuated controllers at various demand levels, and offers better performance than a previously developed RL controller. Specifically, the DNB controller results in a decrease in the average vehicle delay and queue size by up to 54% and 63%, respectively, compared to Webster’s state-of-the-practice pretimed control. Unlike the RL controller, the DNB controller requires no pre-training while adapting to fluctuating traffic conditions, thereby providing a flexible framework for reducing traffic congestion at signalized intersections. As such, this research contributes to the development of smarter and more responsive urban traffic control systems. Full article
(This article belongs to the Special Issue Feature Papers in Smart Sensing and Intelligent Sensors 2025)
Show Figures

Figure 1

21 pages, 3716 KB  
Article
A Synergistic Approach with Doxycycline and Spirulina Extracts in DNBS-Induced Colitis: Enhancing Remission and Controlling Relapse
by Meriem Aziez, Mohamed Malik Mahdjoub, Tahar Benayad, Ferroudja Abbas, Sarah Hamid, Hamza Moussa, Ibrahima Mamadou Sall, Hichem Tahraoui, Abdeltif Amrane and Noureddine Bribi
J. Xenobiot. 2025, 15(5), 160; https://doi.org/10.3390/jox15050160 - 3 Oct 2025
Viewed by 1276
Abstract
Background: Chronic relapsing colitis involves immune dysregulation and oxidative stress, making monotherapies often insufficient. This study investigates a therapeutic strategy combining doxycycline (Dox), an immunomodulatory antibiotic, with Arthrospira platensis extracts to enhance anti-inflammatory and antioxidant effects, improving remission and controlling relapse. Methods: Ethanolic [...] Read more.
Background: Chronic relapsing colitis involves immune dysregulation and oxidative stress, making monotherapies often insufficient. This study investigates a therapeutic strategy combining doxycycline (Dox), an immunomodulatory antibiotic, with Arthrospira platensis extracts to enhance anti-inflammatory and antioxidant effects, improving remission and controlling relapse. Methods: Ethanolic (ES) and aqueous (AS) extracts of A. platensis were chemically characterized by GC-MS after derivatization. Colitis was induced in mice using two intrarectal DNBS administrations spaced 7 days apart, with oral treatments (Dox, ES, AS, or combinations) given daily between doses. Disease progression was evaluated through clinical monitoring, histological scoring, and biochemical analysis, including MPO and CAT activities, as well as NO, MDA, and GSH levels. Results: GC-MS identified 16 bioactive compounds in each extract. ES contained mainly fatty acids and amino acids, whereas AS was rich in polysaccharides and phytol. Combined doxycycline and A. platensis extracts significantly enhanced recovery in reactivated DNBS colitis compared to monotherapies. Each treatment alone reduced disease severity, but their combination showed synergistic effects, significantly reducing disease activity index (p < 0.001), restoring mucosal integrity, and modulating inflammatory and oxidative markers (p < 0.001). Conclusion: Doxycycline potentiates the anti-colitic effects of A. platensis extracts via complementary mechanisms, offering a promising combination for managing relapsing colitis. Full article
Show Figures

Graphical abstract

18 pages, 2374 KB  
Article
Fluorescent Dihomooxacalix[4]arenes for the Detection of Nitroaromatic Compounds in Solution and in the Vapour Phase: Structural and Supramolecular Insights
by Beatriz V. Gil, Alexandre S. Miranda, Paula M. Marcos, José R. Ascenso, Tiago Palmeira, Mário N. Berberan-Santos, Rachel Schurhammer, Neal Hickey, Siddharth Joshi and Silvano Geremia
Molecules 2025, 30(19), 3901; https://doi.org/10.3390/molecules30193901 - 27 Sep 2025
Viewed by 686
Abstract
Two fluorescent ureido-dihomooxacalix[4]arene derivatives containing naphthyl residues at the lower rim (1 and 2) were studied for the detection of nitroaromatic compounds (NACs) in solution and in vapour phases. Their affinity in solution was determined by UV-Vis absorption, fluorescence and NMR [...] Read more.
Two fluorescent ureido-dihomooxacalix[4]arene derivatives containing naphthyl residues at the lower rim (1 and 2) were studied for the detection of nitroaromatic compounds (NACs) in solution and in vapour phases. Their affinity in solution was determined by UV-Vis absorption, fluorescence and NMR spectroscopy. For NAC vapour sensing, calixarenes were dispersed in a polytetrafluoroethylene (PTFE) matrix. Four new solvated crystals of dihomooxacalix[4]arene 2 were obtained and the solvent’s influence on its structural characteristics was investigated. The solvent-dependent structural variations observed in the crystal structures highlight the intrinsic flexibility of the calixarene framework. Such conformational adaptability, evident in the disruption and reorganization of hydrogen bonding and π–π interactions, is directly relevant to nitroaromatic sensing, where a rapid and reversible host response is crucial for effective detection. Theoretical calculations were also performed to provide further insights on the binding process. The corrected Stern–Volmer constants (KSV) obtained showed that both receptors present selectivity for TNP and follow the same quenching order (TNP > NT > NB > DNT > TNT > DNB). Factors other than electron density distribution should dominate the quenching extent and therefore the values of the SV constants, which will be greatly overestimated if no correction to the inner filter effect is applied. Detection of NB and NT and vapours by both calixarenes produced a complete, very fast (2 to 5 s), and reversible quenching, indicating the potential use of this porous PTFE–calixarene matrix for the sensing of volatile NACs. Full article
(This article belongs to the Section Organic Chemistry)
Show Figures

Figure 1

22 pages, 4173 KB  
Article
A Novel Nighttime Sea Fog Detection Method Based on Generative Adversarial Networks
by Wuyi Qiu, Xiaoqun Cao and Shuo Ma
Remote Sens. 2025, 17(19), 3285; https://doi.org/10.3390/rs17193285 - 24 Sep 2025
Viewed by 879
Abstract
Nighttime sea fog exhibits high frequency and prolonged duration, posing significant risks to maritime navigation safety. Current detection methods primarily rely on the dual-infrared channel brightness temperature difference technique, which faces challenges such as threshold selection difficulties and a tendency toward overestimation. In [...] Read more.
Nighttime sea fog exhibits high frequency and prolonged duration, posing significant risks to maritime navigation safety. Current detection methods primarily rely on the dual-infrared channel brightness temperature difference technique, which faces challenges such as threshold selection difficulties and a tendency toward overestimation. In contrast, the VIIRS Day/Night Band (DNB) offers exceptional nighttime visible-like cloud imaging capabilities, offering a new solution to alleviate the overestimation issues inherent in infrared detection algorithms. Recent advances in artificial intelligence have further addressed the threshold selection problem in traditional detection methods. Leveraging these developments, this study proposes a novel generative adversarial network model incorporating attention mechanisms (SEGAN) to achieve accurate nighttime sea fog detection using DNB data. Experimental results demonstrate that SEGAN achieves satisfactory performance, with probability of detection, false alarm rate, and critical success index reaching 0.8708, 0.0266, and 0.7395, respectively. Compared with the operational infrared detection algorithm, these metrics show improvements of 0.0632, 0.0287, and 0.1587. Notably, SEGAN excels at detecting sea fog obscured by thin cloud cover, a scenario where conventional infrared detection algorithms typically fail. SEGAN emphasizes semantic consistency in its output, endowing it with enhanced robustness across varying sea fog concentrations. Full article
Show Figures

Figure 1

17 pages, 2877 KB  
Article
Pharmacological Potential of Arthrospira platensis in Mitigating Sub-Chronic Colitis: Redox Homeostasis and Gut Microbiota Modulation
by Meriem Aziez, Betitera Yanat, Cristina Rodriguez-Diaz, Ramona Suharoschi, Romana Vulturar, Simona-Codruta Heghes, Nawel Guenaoui, Awadh M. Ali, Eduardo Garcia-Fuentes and Noureddine Bribi
Curr. Issues Mol. Biol. 2025, 47(9), 778; https://doi.org/10.3390/cimb47090778 - 19 Sep 2025
Viewed by 912
Abstract
Inflammatory bowel diseases (IBDs) are complex disorders involving interconnected immune, oxidative, and microbial dysregulations. Arthrospira platensis (Spirulina) is a rich source of bioactive compounds with antioxidant, anti-inflammatory, and immunomodulatory properties. This study investigates the pharmacological efficacy of its aqueous extract (APA) in mitigating [...] Read more.
Inflammatory bowel diseases (IBDs) are complex disorders involving interconnected immune, oxidative, and microbial dysregulations. Arthrospira platensis (Spirulina) is a rich source of bioactive compounds with antioxidant, anti-inflammatory, and immunomodulatory properties. This study investigates the pharmacological efficacy of its aqueous extract (APA) in mitigating 2,4-Dinitrobenzene Sulfonic Acid (DNBS)-induced sub-chronic colitis with a focus on restoring redox balance and modulating gut microbiota composition. APA’s antioxidant capacity was assessed in vitro by 2,2-diphenyl-1-picrylhydrazyl (DPPH), 2,2′-azino-bis (3-ethylbenzthiazoline-6-sulphonic) acid (ABTS) radical scavenging, and metal chelation assays. In vivo, BALB/c mice received two DNBS inductions to establish sub-chronic colitis and were treated with APA (50, 100, and 200 mg/kg). Therapeutic efficacy was assessed through clinical scoring, histopathological assessment, biochemical analysis, and gut microbiota profiling based on 16S rRNA gene sequencing. APA exhibited strong antioxidant activity and significantly attenuated colitis severity, as evidenced by reduced Disease Activity Index (DAI) scores, decreased colon inflammation, suppression of Myeloperoxidase (MPO)-mediated neutrophil infiltration, and modulation of redox biomarkers. Moreover, metagenomic profiling revealed APA-induced modulation of the gut microbiota, mainly through a decreased abundance of pathogenic genera such as Staphylococcus and Enterobacteriaceae. APA demonstrates potent antioxidant, anti-inflammatory, and microbiota-modulating activities, supporting its potential as a complementary therapy for IBDs and encouraging further clinical studies. Full article
Show Figures

Figure 1

25 pages, 3491 KB  
Article
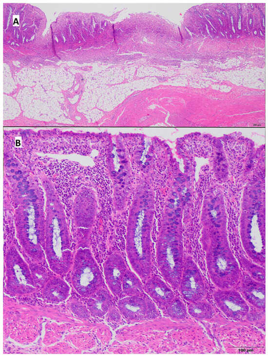
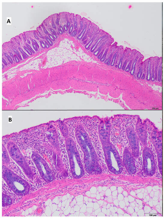
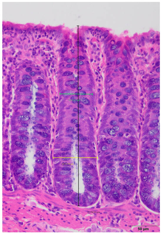
Efficacy of 2,4-Dinitrobenzenesulfonic Acid (DNBS) in the Maintenance of a Model of Inflammatory Bowel Disease in Pigs (Sus scrofa domestica)
by Dominika Szkopek, Jarosław Woliński, Łukasz Kopiasz, Katarzyna Dziendzikowska, Kamil Zaworski, Rafał Sapierzyński and Joanna Gromadzka-Ostrowska
Int. J. Mol. Sci. 2025, 26(18), 9115; https://doi.org/10.3390/ijms26189115 - 18 Sep 2025
Viewed by 1025
Abstract
Inflammatory bowel diseases (IBD), such as Crohn’s disease (CD) and ulcerative colitis (UC), are chronic, progressive conditions with increasing prevalence worldwide. The aim of this study was to evaluate the usefulness of a porcine model of colitis induced by 2,4-dinitrobenzenesulfonic acid (DNBS) as [...] Read more.
Inflammatory bowel diseases (IBD), such as Crohn’s disease (CD) and ulcerative colitis (UC), are chronic, progressive conditions with increasing prevalence worldwide. The aim of this study was to evaluate the usefulness of a porcine model of colitis induced by 2,4-dinitrobenzenesulfonic acid (DNBS) as a translational model of IBD. Sixteen Polish White pigs were divided into a control group and colitis group. Colitis was induced by rectal administration of DNBS (80 mg/kg in 50% ethanol). Clinical status, hematological and biochemical parameters, fecal calprotectin levels, cytokine plasma concentrations, and histopathological changes in the gastrointestinal tract were evaluated. DNBS administration resulted in persistent diarrhea and mild abdominal pain without general deterioration of health. Significant increases in fecal calprotectin levels and aspartate aminotransferase (AST) activity were observed. Histopathological changes in the colon were limited to the mucosa, which is similar to human UC, while the mild changes observed in the ileum indicate similarity to CD. This model is characterized by moderate inflammation, high reproducibility, and low mortality, making it valuable model in translational research on IBD. Full article
(This article belongs to the Special Issue Using Model Organisms to Study Complex Human Diseases)
Show Figures

Figure 1

19 pages, 1875 KB  
Article
Boosting Working Memory in ADHD: Adaptive Dual N-Back Training Enhances WAIS-IV Performance, but Yields Mixed Corsi Outcomes
by Alessandra Lintas, Michel Bader and Alessandro E. P. Villa
Brain Sci. 2025, 15(9), 998; https://doi.org/10.3390/brainsci15090998 - 16 Sep 2025
Viewed by 12860
Abstract
Background/Objectives: This study investigates the efficacy of working memory training (WMT) using the dual N-back (DNB) task on cognitive performance in young adults with Attention-Deficit/Hyperactivity Disorder (ADHD). Methods: Over the course of at least 18 daily sessions conducted within one month, 106 participants [...] Read more.
Background/Objectives: This study investigates the efficacy of working memory training (WMT) using the dual N-back (DNB) task on cognitive performance in young adults with Attention-Deficit/Hyperactivity Disorder (ADHD). Methods: Over the course of at least 18 daily sessions conducted within one month, 106 participants (33 non-medicated ADHD, 42 medicated ADHD, and 45 controls) were randomly assigned to either a fixed dual 1-back (FD1B) training condition or an adaptive DNB condition, wherein the N-back level increased following successful completion of each trial block. Cognitive performance was assessed pre- and post-intervention using the Wechsler Adult Intelligence Scale–Fourth Edition (WAIS-IV) Working Memory Index (WMI) and the Corsi Block-Tapping Task. Results: A mixed-design ANOVA revealed significant improvements in DNB performance across all groups, with the adaptive training condition producing larger gains (e.g., a 204.6% improvement in controls, Cohen’s d=1.85). WAIS-IV WMI scores—particularly the Digit Span Backward subtest—also improved significantly post-training, with greater effect sizes in the adaptive condition (d=0.46) than in FD1B (d=0.27). Corsi performance showed very modest gains, showing a surprising tendency to be more associated with the FD1B condition than the adaptive condition. Control participants outperformed the medicated ADHD group on WAIS-IV subtests, although no significant differences emerged between medicated and non-medicated ADHD participants. Correlational analyses indicated task-specific training effects, with adaptive training enhancing associations between DNB and Corsi performance in both controls (r=0.60) and medicated ADHD participants (r=0.51). Conclusions: This study demonstrates that dual N-back training improves verbal working memory in young adults with ADHD, specifically in a sample without psychiatric comorbidities. Transfer benefit to visuospatial domains appears limited and may not generalize to adolescents, older adults, or individuals with complex clinical profiles. The results underscore the importance of tailoring training protocols to maximize cognitive outcomes across different domains. Full article
(This article belongs to the Section Neurorehabilitation)
Show Figures

Figure 1

21 pages, 354 KB  
Article
Adaptive Broadcast Scheme with Fuzzy Logic and Reinforcement Learning Dynamic Membership Functions in Mobile Ad Hoc Networks
by Akobir Ismatov, BeomKyu Suh, Jian Kim, YongBeom Park and Ki-Il Kim
Mathematics 2025, 13(15), 2367; https://doi.org/10.3390/math13152367 - 23 Jul 2025
Viewed by 972
Abstract
Broadcasting in Mobile Ad Hoc Networks (MANETs) is significantly challenged by dynamic network topologies. Traditional fuzzy logic-based schemes that often rely on static fuzzy tables and fixed membership functions are limiting their ability to adapt to evolving network conditions. To address these limitations, [...] Read more.
Broadcasting in Mobile Ad Hoc Networks (MANETs) is significantly challenged by dynamic network topologies. Traditional fuzzy logic-based schemes that often rely on static fuzzy tables and fixed membership functions are limiting their ability to adapt to evolving network conditions. To address these limitations, in this paper, we conduct a comparative study of two innovative broadcasting schemes that enhance adaptability through dynamic fuzzy logic membership functions for the broadcasting problem. The first approach (Model A) dynamically adjusts membership functions based on changing network parameters and fine-tunes the broadcast (BC) versus do-not-broadcast (DNB) ratio. Model B, on the other hand, introduces a multi-profile switching mechanism that selects among distinct fuzzy parameter sets optimized for various macro-level scenarios, such as energy constraints or node density, without altering the broadcasting ratio. Reinforcement learning (RL) is employed in both models: in Model A for BC/DNB ratio optimization, and in Model B for action decisions within selected profiles. Unlike prior fuzzy logic or reinforcement learning approaches that rely on fixed profiles or static parameter sets, our work introduces adaptability at both the membership function and profile selection levels, significantly improving broadcasting efficiency and flexibility across diverse MANET conditions. Comprehensive simulations demonstrate that both proposed schemes significantly reduce redundant broadcasts and collisions, leading to lower network overhead and improved message delivery reliability compared to traditional static methods. Specifically, our models achieve consistent packet delivery ratios (PDRs), reduce end-to-end Delay by approximately 23–27%, and lower Redundancy and Overhead by 40–60% and 40–50%, respectively, in high-density and high-mobility scenarios. Furthermore, this comparative analysis highlights the strengths and trade-offs between reinforcement learning-driven broadcasting ratio optimization (Model A) and parameter-based dynamic membership function adaptation (Model B), providing valuable insights for optimizing broadcasting strategies. Full article
Show Figures

Figure 1

16 pages, 2412 KB  
Article
Dynamic Network Driver Analysis Identifies Master Factors Associated with Progression of Solar Lentigines
by Deyu Cai, Hong Zhang, Chengming Zhang, Xue Xiao, Xiao Cui, Xuelan Gu and Luonan Chen
Biology 2025, 14(7), 876; https://doi.org/10.3390/biology14070876 - 17 Jul 2025
Viewed by 1013
Abstract
Solar lentigines, commonly caused by prolonged ultraviolet exposure, raise the risk of skin disorders and remain challenging to manage due to their complex mechanisms. Understanding the molecular mechanisms driving the progression of solar lentigines is crucial for developing effective protective strategies. In this [...] Read more.
Solar lentigines, commonly caused by prolonged ultraviolet exposure, raise the risk of skin disorders and remain challenging to manage due to their complex mechanisms. Understanding the molecular mechanisms driving the progression of solar lentigines is crucial for developing effective protective strategies. In this study, we introduced a novel method, Dynamic Network Driver (DND), which identifies upstream regulators that drive disease progression by integrating the Dynamic Network Biomarker (DNB) approach with network control theory. By applying DND to multi-omics data from solar lentigines subjects, we (1) identified the key drivers associated with solar lentigo progression, with their functions involved in differentiation and dermal–epidermal junction; and (2) highlighted ARNT2 and TBX2 as significant master factors supported by in vitro validation in melanocytes and pigmented 3D living skin equivalent models. These results demonstrate the potency of DND for uncovering the molecular mechanisms behind solar lentigines and informing therapeutic strategies. In summary, the DND approach identified novel drivers of solar lentigo progression, acting as new markers for spot mitigation in 3D spot mimic models. Full article
(This article belongs to the Special Issue Physiology and Pathophysiology of Skin)
Show Figures

Figure 1

Back to TopTop