Sign in to use this feature.

Years

Between: -

Subjects

remove_circle_outline
remove_circle_outline
remove_circle_outline
remove_circle_outline
remove_circle_outline
remove_circle_outline
remove_circle_outline
remove_circle_outline
remove_circle_outline

Journals

remove_circle_outline
remove_circle_outline
remove_circle_outline
remove_circle_outline
remove_circle_outline
remove_circle_outline
remove_circle_outline
remove_circle_outline
remove_circle_outline
remove_circle_outline
remove_circle_outline
remove_circle_outline
remove_circle_outline

Article Types

Countries / Regions

remove_circle_outline
remove_circle_outline
remove_circle_outline
remove_circle_outline
remove_circle_outline
remove_circle_outline

Search Results (1,731)

Search Parameters:
Keywords = C2C12 cell migration

Order results
Result details
Results per page
Select all
Export citation of selected articles as:
14 pages, 19838 KB  
Article
Glycyrrhiza glabra L. Extracts with Potential Antiproliferative and Anti-Migration Activities Against Breast and Gynecological Cancer Cell Lines
by Maria Rosaria Perri, Carmine Lupia, Máté Vágvölgyi, Attila Hunyadi, Sándor Bartha, Renáta Minorics, István Zupkó, Mariangela Marrelli, Filomena Conforti and Giancarlo Statti
Plants 2026, 15(3), 475; https://doi.org/10.3390/plants15030475 - 3 Feb 2026
Abstract
Glycyrrhiza glabra L. (Fabaceae) is a plant species with already demonstrated countless biological properties and many more still to be discovered. Here, root sample extracts from different geographical areas were compared based on their phytochemical profiles and biological activities. Both raw and hydrolysate [...] Read more.
Glycyrrhiza glabra L. (Fabaceae) is a plant species with already demonstrated countless biological properties and many more still to be discovered. Here, root sample extracts from different geographical areas were compared based on their phytochemical profiles and biological activities. Both raw and hydrolysate extracts, as well as 18β-glycyrrhetinic acid, glycyrrhizin, and isoliquiritigenin, considered as the main licorice secondary metabolites, were screened for antiproliferative and anti-migration properties in MCF-7, MDA-MB-231, A2780, HeLa, SiHa, and C33A breast and gynecological cancer cell lines. Hydrolysate extracts showed higher cytotoxicity than the raw extracts at the same final concentrations, 30 and 60 µg/mL, respectively. Among the standards, isoliquiritigenin showed the most pronounced cytotoxic activity, with inhibitory percentages exceeding 70% in each of the investigated cell lines at the lowest tested dose of 30 µg/mL. Then, the most effective extracts in the MTT assay, LIT2-H and LMO-H, were screened in a wound-healing test, demonstrating efficacy against ovarian (A2780) and cervical (C33A) cancer cell lines after 24 and 48 h of exposure. Full article
(This article belongs to the Special Issue Efficacy, Safety and Phytochemistry of Medicinal Plants)
Show Figures

Figure 1

19 pages, 4511 KB  
Article
SATB2 Induces Malignant Transformation and Cancer Stem Cell Characteristics, and Inhibition of Its Expression Reverses Drug Resistance in Mesothelioma
by Cynthia Brown, Shivam Srivastava, Rohit Srivastava, Rashmi Srivastava, Jason Morvant, Anju Shrivastava and Rakesh K. Srivastava
Cells 2026, 15(3), 283; https://doi.org/10.3390/cells15030283 - 2 Feb 2026
Abstract
SATB2 (special AT-rich binding protein 2) functions as a chromatin-associated epigenetic regulator that modulates gene expression, in part by serving as a transcriptional cofactor. This study assessed whether SATB2 overexpression is sufficient to promote in vitro transformation of human mesothelial cells and whether [...] Read more.
SATB2 (special AT-rich binding protein 2) functions as a chromatin-associated epigenetic regulator that modulates gene expression, in part by serving as a transcriptional cofactor. This study assessed whether SATB2 overexpression is sufficient to promote in vitro transformation of human mesothelial cells and whether SATB2 suppression in mesothelioma cancer stem cell (CSC)–enriched populations is associated with altered chemoresistance. SATB2 expression was high in human malignant pleural mesothelioma (MPM) cell lines but absent in Met5A mesothelial cells. Ectopic SATB2 expression in Met5A cells was associated with acquisition of malignant and stem cell–like phenotypes, including increased expression of stem cell markers and pluripotency-associated factors, as well as anchorage-independent growth in soft agar and spheroid formation in suspension culture. In contrast, Met5A cells transduced with an empty vector did not form colonies or mesospheres. SATB2 overexpression in Met5A cells was also associated with increased motility, migration, and invasion, accompanied by induction of epithelial–mesenchymal transition (EMT)–related transcription factors relative to empty vector controls. Conversely, shRNA-mediated SATB2 knockdown in an MPM cell line attenuated proliferation, EMT-associated features, and CSC-like characteristics. Chromatin immunoprecipitation assays identified SATB2 occupancy at promoter regions of Bcl2, XIAP, KLF4, c-Myc, NANOG, and SOX2, consistent with a role in transcriptional regulation of genes linked to transformation, pluripotency, cell survival, proliferation, and EMT. In CSC-enriched cells, SATB2 inhibition was associated with increased sensitivity to cisplatin and pemetrexed, concomitant with reduced OCT4 and SOX2 expression. Collectively, these findings support SATB2 as a candidate therapeutic target in MPM and suggest that SATB2 suppression may enhance chemotherapy response when combined with standard agents. Full article
(This article belongs to the Special Issue The Function of Stem Cells in the Biomedical Applications)
Show Figures

Figure 1

20 pages, 28708 KB  
Article
Nervous System-on-Chip: Innovative Microfluidic Platform to Compartmentalize hiPSC-Derived Neural Networks
by Rahman Sabahi-Kaviani, Antigoni Gogolou, Celine Souilhol, Mark van der Kroeg, Steven A. Kushner, Femke M. S. de Vrij, Anestis Tsakiridis and Regina Luttge
Micromachines 2026, 17(2), 199; https://doi.org/10.3390/mi17020199 - 1 Feb 2026
Viewed by 64
Abstract
This study presents the development of a Nervous System-on-Chip (NoC) using microfabrication techniques, focusing on the integration of human induced pluripotent stem cell (hiPSC)-derived neurons. We designed and fabricated NoCs based on microtunnel devices (MDs) with radial and linear configurations to facilitate the [...] Read more.
This study presents the development of a Nervous System-on-Chip (NoC) using microfabrication techniques, focusing on the integration of human induced pluripotent stem cell (hiPSC)-derived neurons. We designed and fabricated NoCs based on microtunnel devices (MDs) with radial and linear configurations to facilitate the compartmentalized culture of cortical and enteric neural networks. Our findings demonstrate that these MDs allow axonal growth while restricting migration of somas and dendrites between compartments, thereby promoting the formation of organized neural networks. This creates a microfluidic platform capable of supporting the growth of different culture systems, which could potentially be combined to study interactions between the central and enteric nervous systems. The resulting neuronal networks exhibited viability, expression of key lineage markers, and synapse formation, highlighting the platform’s potential for advanced nervous system modeling. MD-based NoC models provide an innovative microfluidic platform for studying the biology of human neural networks, with implications for the investigation of neurodegenerative diseases such as Parkinson’s Disease and applications in pre-clinical research. Full article
(This article belongs to the Special Issue Microfluidics in Biomedical Research)
Show Figures

Figure 1

18 pages, 5447 KB  
Article
Discovery of Novel Derivatives of Catechin Gallate with Antimycobacterial Activity from Kirkia wilmsii Engl. Extracts
by Nenekazi Masikantsi, Rendani Mbau, Nuhu Tukur, Peter Masoko and Gabriel Mashabela
Antibiotics 2026, 15(2), 141; https://doi.org/10.3390/antibiotics15020141 - 1 Feb 2026
Viewed by 128
Abstract
Background/Objectives: The increase in incidences of multidrug resistance exacerbates tuberculosis-related global health challenges and underscores a call for more efforts for development of new antitubercular drugs, including the use of medicinal plants, especially those that have been used for generations by traditional healers. [...] Read more.
Background/Objectives: The increase in incidences of multidrug resistance exacerbates tuberculosis-related global health challenges and underscores a call for more efforts for development of new antitubercular drugs, including the use of medicinal plants, especially those that have been used for generations by traditional healers. Despite reports of antimicrobial activity and chemical profiling of Kirkia wilmsii (K. wilmsii) extracts, chemical structures of the bioactive agents have not been elucidated. Here, we used a combination of bioactivity-guided fractionation, mass spectrometry, and nuclear magnetic resonance to purify and elucidate the chemical structure of antimycobacterial agents contained in leaf and twig extracts for K. wilmsii. Results: After overnight extraction with acetone and 90 g of dry twigs and leaves produced 5.38 g (6%) and 4.56 g (5%) of product, which displayed moderate antimycobacterial activity of 0.5 and 1 mg/mL, respectively. The antimycobacterial activity was increased six- and three-fold, respectively, after the crude extracts were subjected to solvent–solvent partitioning. Due to many bioactive fractions being obtained after silica gel chromatography purification, fraction 5 of twig extract was prioritized for further purification due to its low minimum inhibitory concentration (MIC) (0.25 mg/mL) and cytotoxicity (20%, in THP-1 cells). Sequential purification of the fraction 5 (twig extract) extracts through the C18 cartridge and high-performance liquid chromatography (HPLC) produced four fractions, which were subjected to structural elucidation. The high-resolution mass spectrometric analyses revealed that the first two eluting peaks had the same mass ion of 441.0822 m/z (M − H), which corresponded to catechin monogallate, and so were the last two eluting peaks, which had a mass ion of 539.0932 m/z (M − H), corresponding to catechin digallate. Further analyses by 1H, 13C, and 2D NMR confirmed the chemical structures of compounds eluting in the first two peaks on HPLC as structural isomers of catechin 3′-monogallate and catechin 4′-monogallate (MIC not determined). Similarly, compounds eluting in the last two peaks were identified as structural isomers catechin 3′-digallate and catechin 4′-digallate, with an MIC of 250 µg/mL against Mycobacterium smegmatis and Mycobacterium tuberculosis H37Rv and an MBC of 500 μg/mL against M. smegmatis. Conclusions: To the best of our knowledge, this study is the first to report the structure of catechin 3′- and 4′-digallate, their antimycobacterial activity, and the existence of acyl migration involving galloyl 3′ and 4′-hydroxyl groups of catechin ring B. Full article
Show Figures

Figure 1

27 pages, 4781 KB  
Article
Bioactivity-Guided Fractionation, Characterization, and Mechanistic Insights of Anticancer Agents from Simarouba glauca DC. Leaves
by Sushma Rudraswamy, Yashaswini Devi G. V., Sreeshyla H. Sheshanna, Nagabhushana Doggalli and SubbaRao V. Madhunapantula
Molecules 2026, 31(3), 497; https://doi.org/10.3390/molecules31030497 - 31 Jan 2026
Viewed by 100
Abstract
Although Simarouba glauca DC. has been recognized for its therapeutic properties, its anticancer effects against oral cancer have not been adequately investigated. The present study aimed to evaluate the activity of S. glauca leaf extracts against oral squamous cell carcinoma (OSCC). S. glauca [...] Read more.
Although Simarouba glauca DC. has been recognized for its therapeutic properties, its anticancer effects against oral cancer have not been adequately investigated. The present study aimed to evaluate the activity of S. glauca leaf extracts against oral squamous cell carcinoma (OSCC). S. glauca leaves were extracted using solvents of increasing polarity, and the resulting fractions were evaluated for their phytochemical composition, antioxidant activity, and cytotoxic effects. Among all extracts, the S. glauca hexane extract (SGHE) exhibited the most potent anticancer activity against cell lines representing OSCC (CAL-27), cervical cancer (HeLa), and mouse mammary tumors (4T1). Bioactivity-guided fractionation identified D-erythro-Sphinganine as a major constituent present in hexane extract, possibly contributing to anticancer activity. But since the anticancer activity of crude hexane extract is superior compared to isolated D-erythro-Sphinganine, we predict a synergistic interaction among the multiple bioactive compounds present in the crude hexane extract. Hence, further studies were carried out with crude hexane extract. Mechanistic studies have shown that the anticancer activity of hexane extract is due to its ability to (a) alter cell cycle progression, (b) trigger apoptosis, and (c) inhibit cell migration in CAL-27 cells. Overall, these findings indicate that the hexane extract of S. glauca leaf possesses multi-target anticancer potential and warrants further mechanistic and in vivo investigations. Full article
24 pages, 4295 KB  
Article
Construction of a Prognostic Model for Lung Adenocarcinoma Based on Necrosis by Sodium Overload-Related Genes and Identification of DENND1C as a New Prognostic Marker
by Huijun Tan, Yang Zhang, Maoting Tan and Depeng Jiang
Curr. Issues Mol. Biol. 2026, 48(2), 146; https://doi.org/10.3390/cimb48020146 - 28 Jan 2026
Viewed by 116
Abstract
Background: Lung adenocarcinoma (LUAD) remains a leading cause of cancer-related mortality. The prognostic significance and functional role of sodium overload-induced necrosis (a novel form of regulated cell death driven by disrupted sodium homeostasis, hereafter abbreviated as NECSO) in LUAD are largely unexplored. Methods: [...] Read more.
Background: Lung adenocarcinoma (LUAD) remains a leading cause of cancer-related mortality. The prognostic significance and functional role of sodium overload-induced necrosis (a novel form of regulated cell death driven by disrupted sodium homeostasis, hereafter abbreviated as NECSO) in LUAD are largely unexplored. Methods: A prognostic model was constructed utilizing the NECSO key gene TRPM4 and analyzed through Cox, LASSO, and multivariate Cox regression analyses. LUAD patients were stratified into high- and low-risk groups. The model’s predictive performance was evaluated using time-dependent ROC curves and nomograms. Functional enrichment analysis elucidated underlying biological disparities. The tumor immune microenvironment was characterized using ESTIMATE, ssGSEA, CIBERSORTx, and TIDE algorithms, with results corrected for multiple testing. Drug sensitivity to chemotherapeutic and targeted agents was predicted. The functional role of a key gene, DENND1C, was validated in vitro. Its association with immunotherapy survival outcomes was assessed in a real-world cohort. Results: The NECSO-based prognostic signature demonstrated robust performance in risk stratification across training and independent validation cohorts. Patients in the high-risk group exhibited significantly shorter overall survival. Functional enrichment revealed associations with processes related to plasma membrane integrity, cell death, metabolism, and immune response. Multi-algorithm immunogenomic analyses consistently identified an immunosuppressive microenvironment in high-risk patients. The risk score was predictive of differential sensitivity to therapeutics, including taxanes and EGFR inhibitors. In vitro experiments confirmed DENND1C as a tumor suppressor, inhibiting LUAD cell proliferation, invasion, and migration. Furthermore, high DENND1C expression was associated with improved survival in patients receiving immunotherapy. Conclusions: This study establishes and validates a novel NECSO-based prognostic model for LUAD. DENND1C is identified as a key tumor suppressor and a potential biomarker for immunotherapy, offering insights for personalized treatment strategies in LUAD. Full article
Show Figures

Figure 1

19 pages, 2245 KB  
Review
The Anti-Metastatic Role of Aspirin in Cancer: A Systematic Review
by Rimsha Kanwal, Bilal Jawed, Syed Khuram Zakir, Francesco Gaudio, Riccardo Martinotti, Matteo Botteghi, Stefano Martinotti and Elena Toniato
Int. J. Mol. Sci. 2026, 27(3), 1288; https://doi.org/10.3390/ijms27031288 - 28 Jan 2026
Viewed by 152
Abstract
Metastasis is the leading cause of cancer-related mortality. Although aspirin has been associated with reduced metastatic risk, existing evidence is fragmented across experimental systems, and a comprehensive mechanistic synthesis remains lacking. In particular, the relative contributions of platelet aggregation, thromboxane A2 (TXA [...] Read more.
Metastasis is the leading cause of cancer-related mortality. Although aspirin has been associated with reduced metastatic risk, existing evidence is fragmented across experimental systems, and a comprehensive mechanistic synthesis remains lacking. In particular, the relative contributions of platelet aggregation, thromboxane A2 (TXA2) signaling, and epithelial–mesenchymal transition (EMT) to aspirin’s antimetastatic effects have not been systematically integrated across preclinical and clinical studies. This systematic review was conducted in accordance with PRISMA 2020 guidelines, with the protocol registered in PROSPERO (CRD420251231581). PubMed, Scopus, and Web of Science were searched for studies published between January 2015 and December 2025, alongside ClinicalTrials.gov for completed mechanistic clinical trials. Eligible studies included in vitro, in vivo, and clinical investigations evaluating aspirin or its active metabolite in cancer-related settings and reporting mechanistic outcomes related to metastasis. Clinical studies reporting only survival or incidence outcomes without mechanistic analysis were excluded. The included studies demonstrated that aspirin suppresses metastatic dissemination across multiple cancer types through coordinated platelet-dependent and tumor-intrinsic mechanisms. Aspirin consistently inhibited platelet aggregation and COX-1-dependent TXA2 production, disrupting platelet–tumor cell interactions, intravascular metastatic niche formation, and platelet-mediated immune suppression. Clinical mechanistic studies confirmed inhibition of thromboxane biosynthesis and reductions in circulating tumor cells. Beyond platelet effects, aspirin suppressed EMT, migration, and invasion through modulation of EMT transcriptional regulators and inflammatory signaling pathways. Additional mechanisms included activation of AMPK, inhibition of c-MYC signaling, regulation of redox-responsive pathways and impairment of anoikis resistance. This review provides the first integrated mechanistic synthesis of aspirin’s antimetastatic actions across preclinical and clinical evidence, addressing a critical gap in understanding how platelet biology, TXA2 signaling, EMT, and tumor-intrinsic survival pathways converge in metastatic suppression. By focusing exclusively on mechanistically informative studies, this work clarifies the biological basis of aspirin’s antimetastatic effects and highlights unresolved questions regarding pathway hierarchy, cancer-type specificity, and translational biomarkers, thereby informing future mechanistic and clinical investigations. Full article
Show Figures

Figure 1

17 pages, 5360 KB  
Article
Recombinant Human IgG1-Hexamer Reduces Pathogenic Autoantibodies in the K/BxN Mouse Model of Arthritis Independent of FcRn
by Bonnie J. B. Lewis, Ruqayyah J. Almizraq, Selena Cen, Beth Binnington, Kayluz Frias Boligan, Rolf Spirig, Fabian Käsermann, Shannon E. Dunn and Donald R. Branch
Int. J. Mol. Sci. 2026, 27(3), 1277; https://doi.org/10.3390/ijms27031277 - 27 Jan 2026
Viewed by 128
Abstract
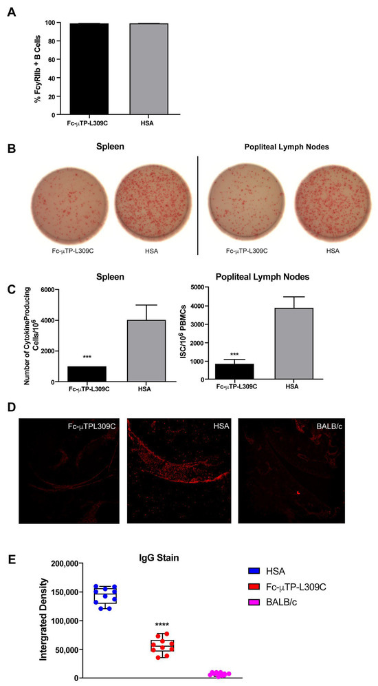
Arthritis in K/BxN mice is provoked by pathogenic autoantibodies to glucose-6-phosphate isomerase (G6PI), which is a ubiquitously expressed enzyme that is present in cells, in the circulation and on articular cartilage. When G6PI autoantibodies (auto-Abs) deposit on the articular cartilage of K/BxN mice, [...] Read more.
Arthritis in K/BxN mice is provoked by pathogenic autoantibodies to glucose-6-phosphate isomerase (G6PI), which is a ubiquitously expressed enzyme that is present in cells, in the circulation and on articular cartilage. When G6PI autoantibodies (auto-Abs) deposit on the articular cartilage of K/BxN mice, arthritis ensues due to the activation of various components of the innate immune system. Recent studies have investigated the in vivo efficacy of recombinant fragment-crystallizable (Fc) protein-based therapeutics. Many recombinant Fc proteins evaluated provide protection against inflammation in mouse models of arthritis, such as the K/BxN serum-transfer model. More recently, rFc-µTP-L309C, a recombinant human IgG1-Fc with an additional point mutation at position L309C fused to the human IgM tailpiece to form a hexamer, has been shown to ameliorate the arthritis in K/BxN mice. Additional studies have shown that rFc-µTP-L309C has multiple effects that work together to ameliorate the arthritis, including inhibition of neutrophil migration into the joint, inhibition of IL-1β production, downregulation of Th1 and Th17 cells, and increases in T regulatory cells and synovial fluid IL-10. In this work, rFc-µTP-L309C was shown to effectively prevent arthritis in the K/BxN serum-transfer model, significantly downregulate inflammatory cytokines/chemokines, and ameliorate the arthritis in the endogenous K/BxN model. This amelioration of the arthritis was associated with a significant decrease in autoantibody levels, which was independent of the neonatal Fc receptor (FcRn). rFc-µTP-L309C was shown to specifically inhibit G6PI autoantibody secretion from B-cells with a concomitant increase in TGFβ and decrease in B-cell activating factor (BAFF). These new findings suggest that rFc-µTP-L309C may provide a therapeutic benefit for other antibody-mediated autoimmune diseases through its effects on B-cells. Full article
(This article belongs to the Special Issue Autoimmune and Inflammatory Diseases: Latest Advances and Prospects)
Show Figures

Figure 1

18 pages, 13244 KB  
Article
Environmental Lead Promotes Breast Cancer Migration and Invasion via the AKR1C3–NF-κB–MMP Axis
by Jiwei Liu, Yanli Ding, Lu Qiao, Ruonan Meng, Shuo Shi, Yingyue Zhang, Yang Liu, Shujun Liu, Ying Liu, Xiaoying He, Libing Ma and Guojun Liu
Biomedicines 2026, 14(2), 286; https://doi.org/10.3390/biomedicines14020286 - 27 Jan 2026
Viewed by 298
Abstract
Background/Objectives: Environmental exposure to heavy metals is an established risk factor for breast cancer development; however, the molecular mechanisms underlying the contribution of lead (Pb) to disease progression remain unclear. This study aimed to investigate the effects of Pb exposure on breast cancer [...] Read more.
Background/Objectives: Environmental exposure to heavy metals is an established risk factor for breast cancer development; however, the molecular mechanisms underlying the contribution of lead (Pb) to disease progression remain unclear. This study aimed to investigate the effects of Pb exposure on breast cancer cells and to delineate the associated mechanisms. Methods: We examined Pb-induced migration and invasion of breast cancer cells using wound-healing and Transwell assays; assessed cell proliferation by flow cytometry and MTT assay; identified potential target genes via RNA sequencing; and further elucidated the underlying mechanisms using integrated molecular biology approaches (including immunofluorescence, Western blotting, and ELISA), functional cellular assays, and bioinformatics analysis. Results: Pb exposure significantly enhanced the migratory and invasive capabilities of breast cancer cells by upregulating aldo-keto reductase family 1 member C3 (AKR1C3), without markedly affecting cell proliferation. Mechanistically, AKR1C3 promoted migration and invasion through activation of NF-κB signaling, leading to upregulated expression of MMP-2 and MMP-9. Conclusions: This study reveals a novel molecular axis—Pb exposure promotes breast cancer cell migration and invasion via the AKR1C3–NF-κB–MMP-2/MMP-9 pathway—and identifies AKR1C3 as a potential therapeutic target for breast cancer associated with environmental heavy metal exposure. Full article
(This article belongs to the Special Issue Advanced Research in Anticancer Inhibitors and Targeted Therapy)
Show Figures

Figure 1

19 pages, 8291 KB  
Article
Thermosensitive Hydrogel for Controlled Delivery of PAD4 Inhibitor YJ-2 in Diabetic Wound Healing
by Kai Wang, Ayijiang Taledaohan, Liujia Chan, Yu Lu, Yijiang Jia and Yuji Wang
Pharmaceutics 2026, 18(1), 135; https://doi.org/10.3390/pharmaceutics18010135 - 22 Jan 2026
Viewed by 162
Abstract
Background: Diabetic wound healing is hampered by persistent inflammation and excessive neutrophil extracellular traps (NET) formation. Peptidylarginine deiminase 4 (PAD4) is a key enzyme driving this pathology. This study developed a thermosensitive chitosan/β-glycerophosphate hydrogel for the local delivery of a novel PAD4 [...] Read more.
Background: Diabetic wound healing is hampered by persistent inflammation and excessive neutrophil extracellular traps (NET) formation. Peptidylarginine deiminase 4 (PAD4) is a key enzyme driving this pathology. This study developed a thermosensitive chitosan/β-glycerophosphate hydrogel for the local delivery of a novel PAD4 inhibitor, YJ-2, to promote diabetic wound repair. Methods: A YJ-2-loaded hydrogel (CGY) was synthesized and characterized. In vitro studies used HaCaT cells and macrophages to assess proliferation, migration, NETs (via H3cit), and polarization. Efficacy was evaluated in diabetic C57 mouse wound models. Results: CGY exhibited temperature-sensitive gelation and sustained YJ-2 release. In vitro, YJ-2 inhibited NETs formation, reduced pro-inflammatory markers, promoted HaCaT migration, and induced M2 macrophage polarization. In vivo, CGY treatment significantly accelerated wound closure. Conclusions: Local hydrogel delivery of the PAD4 inhibitor YJ-2 effectively mitigates inflammation and NETs, promoting healing in diabetic wounds. This strategy represents a promising targeted therapy for diabetic wounds. Full article
(This article belongs to the Section Drug Delivery and Controlled Release)
Show Figures

Figure 1

12 pages, 2655 KB  
Article
Microstructural, Electrical, and Magnetic Characterization of Degraded Photovoltaic Cells from Desert Environments: A Preliminary Study
by Fahima Djefaflia, Farida Khammar, Nadir Hachemi, Elfahem Sakher, Nozha El Ahlem Doghmane, Mounir Sakmeche, Houssem Eddine Doghmane, Leila Belgacem, Lala Gahramanli, Talia Tene and Cristian Vacacela Gomez
Sci 2026, 8(1), 22; https://doi.org/10.3390/sci8010022 - 21 Jan 2026
Viewed by 161
Abstract
This study examines the functional degradation of crystalline silicon photovoltaic cells after 17 years of field exposure in the Adrar Desert, Algeria. Harsh thermal, radiative, and mechanical conditions accelerate aging, affecting electrical performance and structural stability. Monocrystalline silicon cells were extracted and analyzed [...] Read more.
This study examines the functional degradation of crystalline silicon photovoltaic cells after 17 years of field exposure in the Adrar Desert, Algeria. Harsh thermal, radiative, and mechanical conditions accelerate aging, affecting electrical performance and structural stability. Monocrystalline silicon cells were extracted and analyzed by scanning electron microscopy (SEM), energy-dispersive X-ray spectroscopy (EDS), Raman spectroscopy, electrical resistivity measurements, and vibrating sample magnetometry (VSM). SEM revealed microcracks, delamination, and corrosion products. EDS showed Ag, Si, O, and C signals, while Raman indicated silicon features and signatures consistent with encapsulant (EVA) degradation. The temperature-dependent resistivity displayed a dual behavior with a minimum near ~72 °C, above which resistivity increased, consistent with a transition in the dominant transport mechanisms. VSM measurements showed an overall diamagnetic response with a weak hysteresis loop suggestive of defect-related contributions. The observed aging is primarily associated with oxidation, metal migration, and encapsulant degradation. These findings motivate more robust materials and interfaces for desert climates, alongside improved thermal management and active monitoring. Full article
Show Figures

Figure 1

17 pages, 10591 KB  
Article
Contacting Layer Affects Properties of Piezoelectric Poly-L-Lactide Biomaterial
by Marija Vukomanovic, Martina Žabčić, Lea Gazvoda, Marija M. Babić Radić and Simonida Lj. Tomić
Polymers 2026, 18(2), 257; https://doi.org/10.3390/polym18020257 - 17 Jan 2026
Viewed by 273
Abstract
The main limitations of using a high-temperature drawing approach to tailor poly-l-lactide (PLLA) crystallization and molecular orientation for ultrasound-active piezoelectric structures stem from the intrinsic properties of the processed polymer, including low melting/softening elasticity and slow crystallization kinetics. Here, we found that applying [...] Read more.
The main limitations of using a high-temperature drawing approach to tailor poly-l-lactide (PLLA) crystallization and molecular orientation for ultrasound-active piezoelectric structures stem from the intrinsic properties of the processed polymer, including low melting/softening elasticity and slow crystallization kinetics. Here, we found that applying different contacting layers, including polytetrafluoroethylene (PTFE) (as Teflon and Teflon S), cellulose (Paper) or polyimide (Kapton) deposited at the surface of PLLA, significantly affects the drawing process and tailors its oriented crystallization and molecular chain orientation. Consequently, the contacting layers contribute to the piezoelectric properties of PLLA (alone or with added morphologically anisotropic hydroxyapatite (HAp) filler), affecting its activation via ultrasound and generated electro-signal. Human keratinocytes (HaCaT cells) stimulated on these surfaces are shown to receive and respond to the transferred stimuli via the activation of the cytoskeleton and directional migration. The high-temperature (250 °C) drawing approach with contacting layers is a simple, solvent-free and economically viable way of broadening the applications of classical high-temperature drawing, opening new possibilities for further tailoring the piezoelectricity of organic piezoelectrics. Full article
Show Figures

Graphical abstract

14 pages, 3478 KB  
Article
Recombinant Macrophage Migration Inhibitory Factor Derived from Trichinella spiralis Suppresses Obesity by Reducing Body Fat and Inflammation
by Seo Yeong Choi, Mi-Kyung Park, Yu Jin Jeong, Dong Gyu Han, Chaeeun Jin, Chang Woo Han, Se Bok Jang, Shin Ae Kang and Hak Sun Yu
Int. J. Mol. Sci. 2026, 27(2), 887; https://doi.org/10.3390/ijms27020887 - 15 Jan 2026
Viewed by 229
Abstract
Obesity, an escalating global health crisis, is characterized by adipose tissue hypertrophy and chronic low-grade inflammation. Although anti-obesity drugs can induce weight loss, their use is limited by adverse effects, underscoring the need for safer therapeutic strategies. In this study, we generated a [...] Read more.
Obesity, an escalating global health crisis, is characterized by adipose tissue hypertrophy and chronic low-grade inflammation. Although anti-obesity drugs can induce weight loss, their use is limited by adverse effects, underscoring the need for safer therapeutic strategies. In this study, we generated a recombinant form of Trichinella spiralis-derived macrophage migration inhibitory factor (rTs-MIF) and investigated its anti-inflammatory and anti-obesity effects via immunometabolic regulation. Male C57BL/6 mice fed a 45% high-fat diet were orally administered rTs-MIF, and its effects were evaluated by measuring fat mass, glucose metabolism, serum cytokines, liver histology, and adipose tissue parameters. In 3T3-L1 cells, we examined the effects of rTs-MIF on adipocyte differentiation, obesity-related gene expression, and intracellular signaling pathways. Oral rTs-MIF suppressed body weight gain, reduced fat mass, improved glucose levels, and decreased the food efficiency ratio. It also lowered pro-inflammatory cytokines and increased markers associated with M2 macrophages. In 3T3-L1 cells, rTs-MIF inhibited adipocyte differentiation and reduced the expression of lipogenic transcription factors and mouse Mif while modulating AKT and p44/42 MAPK signaling. These findings identify rTs-MIF as a potential bioactive candidate that ameliorates obesity by regulating the immune–metabolic axis. Full article
(This article belongs to the Special Issue Molecular Mechanisms of Obesity and Metabolic Diseases)
Show Figures

Figure 1

33 pages, 4569 KB  
Article
Heterotypic 3D Model of Breast Cancer Based on Tumor, Stromal and Endothelial Cells: Cytokines Interaction in the Tumor Microenvironment
by Anastasia Leonteva, Alina Kazakova, Ekaterina Berezutskaya, Anna Ilyina, David Sergeevichev, Sergey Vladimirov, Maria Bogachek, Igor Vakhrushev, Pavel Makarevich, Vladimir Richter and Anna Nushtaeva
Cells 2026, 15(2), 145; https://doi.org/10.3390/cells15020145 - 14 Jan 2026
Viewed by 284
Abstract
The recreation of the tumor microenvironment remains a significant challenge in the development of experimental cancer models. The present study constitutes an investigation into the interconnection between tumor, endothelial and stromal cells in heterotypic breast cancer spheroids. The generation of models was achieved [...] Read more.
The recreation of the tumor microenvironment remains a significant challenge in the development of experimental cancer models. The present study constitutes an investigation into the interconnection between tumor, endothelial and stromal cells in heterotypic breast cancer spheroids. The generation of models was achieved through the utilization of MCF7, MDA-MB-231, and SK-BR-3 tumor cell lines, in conjunction with endothelial TIME-RFP cells and either cancer-associated (BrC4f) or normal (BN120f) fibroblasts, within ultra-low attachment plates. It was established that stromal cells, most notably fibroblasts, were conducive to the aggregation of tumor cells into spheroids and the formation of pseudovessels in close proximity to fibroblast bands. In contrast to the more aggressive tumor models MDA-MB-231 and SK-BR-3, microenvironment cells do not influence the migration ability of MCF7 tumor cells. Heterotypic spheroids incorporating CAFs demonstrated a more aggressive and immunosuppressive phenotype. Multiplex immunoassay analysis of cytokines, followed by STRING cluster analysis, was used to identify key processes including angiogenesis, invasion, stem cell maintenance, and immunosuppression. Furthermore, a cluster of cytokines (LIF, SDF-1, HGF, SCGFb) was identified as potentially involved in the regulation of PD-L1 expression by tumor cells. This finding reveals a potential mechanism of immune evasion and suggests new avenues for therapeutic investigation. Full article
(This article belongs to the Special Issue Cell-to-Cell Crosstalk as a Target of Therapies)
Show Figures

Graphical abstract

22 pages, 3741 KB  
Article
Design, Synthesis, and Anti-Hepatic Fibrosis Evaluation of Cordycepin Derivatives
by Wenfang Pan, Siqi Liu, Yuanchen Zhong, Bixi Tang, Yi Zang and Yuanchao Xie
Molecules 2026, 31(2), 264; https://doi.org/10.3390/molecules31020264 - 12 Jan 2026
Viewed by 220
Abstract
Activation of hepatic stellate cells (HSCs) featuring upregulated expression of α-smooth muscle actin (α-SMA) is recognized as a key driver for hepatic fibrosis, which provides a promising strategy for seeking anti-liver fibrogenic agents via suppressing the activation event. In this study, we designed [...] Read more.
Activation of hepatic stellate cells (HSCs) featuring upregulated expression of α-smooth muscle actin (α-SMA) is recognized as a key driver for hepatic fibrosis, which provides a promising strategy for seeking anti-liver fibrogenic agents via suppressing the activation event. In this study, we designed and synthesized twenty-eight cordycepin derivatives through structural modifications at the C2 position and the C6-NH2 group of the purine moiety. These compounds were screened for their inhibitory effects on HSC activation by detecting the mRNA expression of α-SMA using quantitative real-time polymerase chain reaction (qPCR) in the LX-2 cell model. Most compounds displayed inhibitory activity comparable to cordycepin, with compound 3a bearing a C2-chloro and a N6-methyl-N6-(2-chlorobenzyl) substituent, demonstrating enhanced in vitro anti-fibrotic effect. This compound was able to dose-dependently downregulate α-SMA and collagen-I at both mRNA and protein levels, inhibited LX-2 cell migration, and exhibited improved metabolic stability in liver microsomes. The Western blotting result also indicated that 3a could activate the AMPK signaling pathway. Overall, these results suggest 3a may serve as a lead compound for further investigation. Full article
Show Figures

Graphical abstract

Back to TopTop