Sign in to use this feature.

Years

Between: -

Subjects

remove_circle_outline
remove_circle_outline
remove_circle_outline
remove_circle_outline
remove_circle_outline
remove_circle_outline

Journals

Article Types

Countries / Regions

Search Results (23)

Search Parameters:
Keywords = Border Collie

Order results
Result details
Results per page
Select all
Export citation of selected articles as:
9 pages, 3651 KB  
Case Report
Alveolar Echinococcosis in 11-Month-Old Dog—Clinical Case
by Zuzana Šufliarska, Štefan Tóth, Michaela Gentil and Filip Humeník
Pathogens 2025, 14(5), 450; https://doi.org/10.3390/pathogens14050450 - 2 May 2025
Viewed by 1607
Abstract
In the present work, we describe the clinical–pathological case of an 11-month-old Border Collie dog, which was presented by its owner to a private veterinary clinic for the purpose of determining the diagnosis and subsequent therapy. The owner reports anamnestic data of abdominal [...] Read more.
In the present work, we describe the clinical–pathological case of an 11-month-old Border Collie dog, which was presented by its owner to a private veterinary clinic for the purpose of determining the diagnosis and subsequent therapy. The owner reports anamnestic data of abdominal enlargement, persistent apathy, fatigue, and vomiting. A complete examination of the patient was performed, consisting of clinical, hematological, and biochemical blood tests, X-ray, and USG examinations. Based on the findings, a probatory laparotomy was indicated, during which a large multi-lobular cystic irregular mass was detected, affecting the entire liver parenchyma, including macroscopic metastatic foci of the omentum and diaphragm. Due to the inoperable finding, the patient was humanely euthanized during the surgical procedure. Subsequently, an autopsy was performed with the collection of samples for histopathological and PCR examination of the tissue. Serological examination was also performed. The results confirmed a rare generalized form of alveococcosis (Echinococcus multilocularis) in the dog as an intermediate host. Full article
(This article belongs to the Special Issue Parasites and Zoonotic Diseases)
Show Figures

Figure 1

13 pages, 1289 KB  
Article
Analysis of Selected Eye Disorders in a Group of Predisposed Breeds of Dogs: Molecular Diagnostics of Collie Eye Anomaly and Progressive Retinal Atrophy
by Jaroslav Bučan, Beáta Holečková, Martina Galdíková, Jana Halušková and Viera Schwarzbacherová
Genes 2025, 16(5), 474; https://doi.org/10.3390/genes16050474 - 23 Apr 2025
Viewed by 1439
Abstract
Background: Two hereditary eye disorders that are frequently observed in Collies and related breeds are Collie Eye Anomaly (CEA) and Progressive Retinal Atrophy (PRA). The main symptom of CEA is choroidal hypoplasia. It is associated with a 7.8 kb deletion in intron 4 [...] Read more.
Background: Two hereditary eye disorders that are frequently observed in Collies and related breeds are Collie Eye Anomaly (CEA) and Progressive Retinal Atrophy (PRA). The main symptom of CEA is choroidal hypoplasia. It is associated with a 7.8 kb deletion in intron 4 of the NHEJ1 gene located on chromosome CFA7. Rod–cone dysplasia 3 (RCD3), an early-onset form of PRA, is associated with mutations in the PDE6A gene. Methods: Molecular diagnostic techniques were used in this study to identify genetic mutations linked to CEA and RCD3-type PRA in a subset of dog breeds. Australian Shepherds (n = 29), Border Collies (n = 9), Longhaired Collies (n = 27), and Shetland Sheepdogs (n = 10) provided a total of 75 DNA samples. Samples were collected by buccal swab or blood draw, and PCR and real-time PCR methods were used for processing. Results: Of the dogs in the studied breeds, 31 had the NHEJ1 gene mutation linked to CEA. Among these, 15 were homozygous recessive (affected), while 16 were heterozygous (carriers). None of the samples had any mutations in the PDE6A gene associated with RCD3-type PRA. Conclusions: Effective identification of carriers and affected individuals for CEA was made possible by PCR-based genetic testing, confirming its value in early diagnosis and breed control. Although the RCD3 form of PRA has not been previously reported in Collies or Australian Shepherds, it was included in our analysis due to the genetic relatedness among herding breeds and the potential presence of undetected carriers resulting from historical crossbreeding. Full article
(This article belongs to the Special Issue Genetics in Retinal Diseases—2nd Edition)
Show Figures

Figure 1

18 pages, 1012 KB  
Article
Differential Gene Expression Analysis of Whole Blood Transcriptome Between Young and Old Border Collie Dogs
by Dávid Jónás, Kitti Tátrai, Zsófia Rékasi, Balázs Egyed and Eniko Kubinyi
Vet. Sci. 2025, 12(2), 86; https://doi.org/10.3390/vetsci12020086 - 23 Jan 2025
Cited by 2 | Viewed by 3036
Abstract
Aging is the most significant risk factor for many diseases and increased mortality, and it is influenced by both genetic and environmental factors. In this study, our primary goal was to investigate age-related gene expression changes in whole blood samples collected from dogs [...] Read more.
Aging is the most significant risk factor for many diseases and increased mortality, and it is influenced by both genetic and environmental factors. In this study, our primary goal was to investigate age-related gene expression changes in whole blood samples collected from dogs and identify potential biomarkers of healthy aging. We sequenced the mRNA fraction of whole blood samples from five young and five old border collie dogs and performed differential gene expression and differential transcript usage analyses. The raw sequencing data exhibited high quality. Multidimensional scaling analysis failed to differentiate age clusters. Moreover, we identified only a limited number of differentially expressed genes (n = 61) and 30 genes with differential transcript usage between the blood transcriptomes of young and old dogs. Our results align with publicly available data on dogs. However, studies on other species, such as wolves, have identified more significant age-related genes. In conclusion, while some of our findings are promising, further research is needed to standardize environmental factors affecting blood gene expression levels in dogs. Additionally, we recommend implementing pre-sequencing hemoglobin depletion to improve the analysis of whole blood in future studies. Full article
Show Figures

Figure 1

25 pages, 646 KB  
Article
Improved Projection Pursuit Model to Evaluate the Maturity of Healthy Building Technology in China
by Peng Zhou, Chenyang Peng, Bin Gan, Zhou Wang and Xueren Liu
Buildings 2024, 14(10), 3067; https://doi.org/10.3390/buildings14103067 - 25 Sep 2024
Cited by 3 | Viewed by 1055
Abstract
The development of healthy building technology has become a major trend in the global construction industry, especially in China, owing to accelerating urbanization and increasing health awareness among residents. However, an effective evaluation framework to quantify and evaluate the maturity of healthy building [...] Read more.
The development of healthy building technology has become a major trend in the global construction industry, especially in China, owing to accelerating urbanization and increasing health awareness among residents. However, an effective evaluation framework to quantify and evaluate the maturity of healthy building technology is lacking. This paper proposes a novel maturity evaluation model for healthy building technology. After analyzing the Driver–Pressure–State–Impact–Response (DPSIR) framework for asserting the maturity of healthy building in China, it constructs an evaluation indicator system, comprising five and twenty-seven first- and second-class indicators, respectively. Subsequently, this paper constructs an improved projection pursuit model based on border collie optimization. The model obtains evaluation results by mining evaluation data, thus overcoming the limitations of traditional evaluation models in dealing with complex data. The empirical research results demonstrate that China is in the optimization stage in terms of the level of maturity of healthy building technology. The weight of impact is as high as 0.2743, which is the most important first-level indicator. Strict green energy utilization policy requirements are the most important secondary indicator, with a weight of 0.0513. Notably, the model is more advanced than other algorithms. In addition, this paper offers some countermeasures and suggestions to promote healthy building in China. Developing and applying this model can promote and popularize healthy building technology in China and even the globe and contribute to a healthier and more sustainable living environment. Full article
Show Figures

Figure 1

15 pages, 1069 KB  
Article
Risk Factors for Injury in Border Collies Competing in Agility Competitions
by Arielle Pechette Markley, Abigail B. Shoben and Nina R. Kieves
Animals 2024, 14(14), 2081; https://doi.org/10.3390/ani14142081 - 16 Jul 2024
Cited by 2 | Viewed by 8372
Abstract
Border Collies are the most common breed in agility and their reported injury rate is much higher than that of other breeds. We aimed to identify demographic, training, and competition variables associated with the injury risk for this breed. We hypothesized that higher [...] Read more.
Border Collies are the most common breed in agility and their reported injury rate is much higher than that of other breeds. We aimed to identify demographic, training, and competition variables associated with the injury risk for this breed. We hypothesized that higher jump heights and competition at national/international levels would increase the injury risk. Data were collected from an internet-based survey. A logistic regression model was built using backward selection. There were 934 Border Collies in the sample, with 488 reporting an injury. The jump height relative to the shoulder height was associated with injury, with dogs jumping noticeably above or below shoulder height more likely to report a history of injury. Other identified risk factors included the number of weekends spent competing/year, the number of competitions at the national level, the age when starting elbow height jumps and backside jumps, the acquisition of the dog from a breeder, and the age of the handler. Factors associated with prolonged injury (>3-month duration) were the age when starting elbow height jumps and having a veterinary assistant as a handler. Border Collies jumping above shoulder height had an increased risk of injury. However, those jumping below shoulder height were also at a higher risk, which could have been due to reverse causality. Similarly, the observed associations regarding differences based on the number of trial weekends/year may have been impacted by reverse causality as well. The increased risk of injury with elbow height jump training at <10 months of age may indicate that the repetitive impact of jump training prior to skeletal maturity negatively influences musculoskeletal development. These data provide valuable information for further prospective studies. Full article
(This article belongs to the Special Issue Sports Medicine and Rehabilitation in Companion Animals)
Show Figures

Figure 1

20 pages, 539 KB  
Article
Injuries and Associated Factors in Swedish Sporting and Utility Trial Dogs—A Cross-Sectional Study
by Ann Essner, Catarina Kjellerstedt, Amie L. Hesbach and Helena Igelström
Animals 2024, 14(3), 398; https://doi.org/10.3390/ani14030398 - 26 Jan 2024
Cited by 3 | Viewed by 4452
Abstract
Canine sporting competitions, e.g., agility, obedience, rally obedience, and utility trials, e.g., protection, tracking, search, and messenger, are physically and mentally demanding disciplines. This study aimed to describe the types and frequencies of injuries experienced amongst Swedish sporting and utility trial dogs and [...] Read more.
Canine sporting competitions, e.g., agility, obedience, rally obedience, and utility trials, e.g., protection, tracking, search, and messenger, are physically and mentally demanding disciplines. This study aimed to describe the types and frequencies of injuries experienced amongst Swedish sporting and utility trial dogs and to explore associations between discipline, breed, sex, neuter status, age, and injury history. Dog handlers provided information on competition-level dogs (n = 1582) through a cross-sectional survey. The overall proportion of dogs sustaining any injury during their lifetime, whether it was during competition, training, or outside of sport, was 58.7% (n = 928). Muscular, joint, and dermatologic injuries were most commonly reported and the most common injury locations were the thoracic, lumbar and lumbosacral spine, paw, head, shoulder, and stifle. According to multivariate analysis, Border Collie (adjusted OR 1.93), Belgian Malinois (adjusted OR 2.51) and higher age at the time of report (adjusted OR 1.81–9.67) increased the odds of injury history. Our results provide more understanding of injuries in sporting and utility dogs and contribute to injury prevention strategies that potentially enhance canine welfare. Full article
(This article belongs to the Special Issue Sports Medicine and Rehabilitation in Companion Animals)
Show Figures

Figure 1

24 pages, 4932 KB  
Article
Effects of Increasing Levels of Purified Beta-1,3/1,6-Glucans on the Fecal Microbiome, Digestibility, and Immunity Variables of Healthy Adult Dogs
by Pedro Henrique Marchi, Thiago Henrique Annibale Vendramini, Rafael Vessecchi Amorim Zafalon, Leonardo de Andrade Príncipe, Cinthia Gonçalves Lenz Cesar, Mariana Pamplona Perini, Thaila Cristina Putarov, Cristina Oliveira Massoco Salles Gomes, Júlio Cesar de Carvalho Balieiro and Marcio Antonio Brunetto
Microorganisms 2024, 12(1), 113; https://doi.org/10.3390/microorganisms12010113 - 5 Jan 2024
Cited by 9 | Viewed by 6631
Abstract
Yeast-purified beta-1,3/1,6-glucans (BG) can modulate dogs’ immune systems and microbiome, but the optimal inclusion dose remains unknown. The aim of the study was to evaluate the effects of 0.0, 0.07, 0.14, and 0.28% inclusion of BG in a dry extruded diet on the [...] Read more.
Yeast-purified beta-1,3/1,6-glucans (BG) can modulate dogs’ immune systems and microbiome, but the optimal inclusion dose remains unknown. The aim of the study was to evaluate the effects of 0.0, 0.07, 0.14, and 0.28% inclusion of BG in a dry extruded diet on the digestibility, immunity, and fecal microbiota of healthy adult dogs. Eight male and female border collies [n = 4; body condition score (BCS) = 5] and English cocker spaniels (n = 4; BCS = 5), aged 3.5 ± 0.5 years, were randomly distributed into two 4 × 4 balanced Latin squares. Fecal microbiota (using 16S rRNA sequencing, Illumina®), apparent digestibility coefficients (ADC) of nutrients, fecal concentrations of short-chain fatty acids (SCFA) and branched-chain fatty acids (BCFA), ammoniacal nitrogen, lactic acid, IgA and pH, lymphocyte immunophenotyping, intensity and percentage of phagocytosis and oxidative burst were determined. No differences were observed in Faith (p = 0.1414) and Pielou-evenness (p = 0.1151) between treatments, but beta diversity was different between 0.0% and 0.14% BG groups (p = 0.047). Moreover, the Firmicutes phylum was the most abundant in all groups and exhibited the highest relative abundance after the consumption of 0.14% BG, a finding considered beneficial for the canine microbiome. The Erysipelotrichaceae and Ruminococcaceae families, along with the Faecalibacterium and Prevotella genera, considered favorable for their involvement in butyrate production and other metabolites, showed increased abundance after the consumption of 0.14% BG. The potentially pathogenic Proteobacteria phylum displayed lower abundance after the consumption of 0.14% BG. Fecal concentrations of the evaluated compounds and pH did not differ after consumption of the BG at all percentages. Higher crude protein ADC was found after 0.14 and 0.28% BG consumption (p < 0.0001), but no differences were found for other nutrients. Phagocytosis, oxidative burst, and lymphocyte populations were not modulated by any of the treatments; however, 0.14% BG modulated the lymphocyte T CD4+:CD8+ ratio (p = 0.0368), an important marker of immune system efficiency. The inclusion of 0.14% BG resulted in the best responses and was the best dose evaluated. Full article
Show Figures

Figure 1

32 pages, 9199 KB  
Article
Lymphoma in Border Collies: Genome-Wide Association and Pedigree Analysis
by Pamela Xing Yi Soh, Mehar Singh Khatkar and Peter Williamson
Vet. Sci. 2023, 10(9), 581; https://doi.org/10.3390/vetsci10090581 - 19 Sep 2023
Cited by 4 | Viewed by 5400
Abstract
There has been considerable interest in studying cancer in dogs and its potential as a model system for humans. One area of research has been the search for genetic risk variants in canine lymphoma, which is amongst the most common canine cancers. Previous [...] Read more.
There has been considerable interest in studying cancer in dogs and its potential as a model system for humans. One area of research has been the search for genetic risk variants in canine lymphoma, which is amongst the most common canine cancers. Previous studies have focused on a limited number of breeds, but none have included Border Collies. The aims of this study were to identify relationships between Border Collie lymphoma cases through an extensive pedigree investigation and to utilise relationship information to conduct genome-wide association study (GWAS) analyses to identify risk regions associated with lymphoma. The expanded pedigree analysis included 83,000 Border Collies, with 71 identified lymphoma cases. The analysis identified affected close relatives, and a common ancestor was identified for 54 cases. For the genomic study, a GWAS was designed to incorporate lymphoma cases, putative “carriers”, and controls. A case-control GWAS was also conducted as a comparison. Both analyses showed significant SNPs in regions on chromosomes 18 and 27. Putative top candidate genes from these regions included DLA-79, WNT10B, LMBR1L, KMT2D, and CCNT1. Full article
(This article belongs to the Special Issue Advances in Canine and Feline Lymphoma)
Show Figures

Figure 1

13 pages, 3147 KB  
Article
Effects of Oligosaccharide Fermentation on Canine Gut Microbiota and Fermentation Metabolites in an In Vitro Fecal Fermentation Model
by Yu Zhang, Zhuang Ding, Xiaoyu Chen, Min Wen, Qingpeng Wang and Zhengping Wang
Fermentation 2023, 9(8), 722; https://doi.org/10.3390/fermentation9080722 - 1 Aug 2023
Cited by 6 | Viewed by 4532
Abstract
Owing to the well-established application of prebiotics in human food products, there is a growing interest in their potential as dietary supplements for gut microbiota composition and improvement of the digestive health of dogs. However, targeted studies with dogs as research subjects are [...] Read more.
Owing to the well-established application of prebiotics in human food products, there is a growing interest in their potential as dietary supplements for gut microbiota composition and improvement of the digestive health of dogs. However, targeted studies with dogs as research subjects are still limited. In the present study, an in vitro simulated gut microbiota fermentation system using canine feces from a healthy Border Collie breed was used to investigate the prebiotic effects of five different oligosaccharides and compare their regulatory effects on the gut microbiota structure and the resultant metabolites. Due to the addition of oligosaccharides, the fermented samples had lower pH and higher bacterial proliferation. The oligosaccharide-fermentation selectively boosted Lactobacillus spp., Streptococcus spp., Enterococcus spp., Bacteroides spp., and hindered Escherichia-Shigella spp., Paeniclostridium, spp., and Bacteroides spp. Each oligosaccharide showed distinct characteristics and preferences for regulating gut microbiota structure and abundance. Furthermore, the addition of oligosaccharides increased the production of short-chain fatty acids, particularly butyric acid. This study provides a preliminary basis for the rapid and rational selection of prebiotic oligosaccharides as canine dietary supplements and further explores the function of oligosaccharides and their combinations in canine health. Full article
(This article belongs to the Special Issue In Vitro Fermentation, 3rd Edition)
Show Figures

Figure 1

14 pages, 2438 KB  
Article
Molecular Investigations of Two First Brucella suis Biovar 2 Infections Cases in French Dogs
by Guillaume Girault, Vitomir Djokic, Fathia Petot-Bottin, Ludivine Perrot, Bourgoin Thibaut, Hoffmann Sébastien, Acacia Ferreira Vicente, Claire Ponsart and Luca Freddi
Pathogens 2023, 12(6), 792; https://doi.org/10.3390/pathogens12060792 - 1 Jun 2023
Cited by 11 | Viewed by 4334
Abstract
Despite Brucella suis biovar 2’s (BSB2) active circulation in wildlife, no canine infections have been reported. The present paper is the first to describe two cases of BSB2 infections in French dogs. The first case occurred in 2020 and concerned a 13-year-old male [...] Read more.
Despite Brucella suis biovar 2’s (BSB2) active circulation in wildlife, no canine infections have been reported. The present paper is the first to describe two cases of BSB2 infections in French dogs. The first case occurred in 2020 and concerned a 13-year-old male neutered Border Collie with clinical signs of prostatitis. The urine culture revealed the excretion of significant levels of Brucella in the sample. The second case concerned a German Shepherd with bilateral orchitis, in which it was possible to detect Brucella colonies following neutering. HRM-PCR and classical biotyping methods classified both isolated strains as BSB2, in contrast to expected B. canis, which is usually the etiological agent of canine brucellosis in Europe. The wgSNP and MLVA analyses highlighted the genetic proximity of two isolates to BSB2 strains originating from wildlife. No pig farms were present in the proximity of either dog’s residence, ruling out potential spill over from infected pigs. Nevertheless, the dogs used to take walks in the surrounding forests, where contact with wildlife (i.e., wild boars or hares, or their excrements) was possible. These cases highlight the importance of adopting a One Health approach to control the presence of zoonotic bacteria in wild animals and avoid spillovers into domestic animals and, potentially, humans. Full article
(This article belongs to the Special Issue Molecular Epidemiology of Zoonotic Bacterial Pathogens)
Show Figures

Figure 1

9 pages, 211 KB  
Article
Internet-Based Survey on Physical Activity and Incidence of Injury in Active Working Dogs
by Giuseppe Spinella, Simona Valentini and Mirella Lopedote
Animals 2023, 13(10), 1647; https://doi.org/10.3390/ani13101647 - 16 May 2023
Cited by 4 | Viewed by 3017
Abstract
A survey with 100 multiple choice and open-ended questions was proposed by free access to working dogs’ handlers. One hundred and nine respondents were recorded and their dates processed. The most represented breeds were: Belgian Malinois, Labrador, Border Collie and German Shepherds. Of [...] Read more.
A survey with 100 multiple choice and open-ended questions was proposed by free access to working dogs’ handlers. One hundred and nine respondents were recorded and their dates processed. The most represented breeds were: Belgian Malinois, Labrador, Border Collie and German Shepherds. Of these, 71.6% were intact dogs and 28.4% were spayed or neutered, with a median age range of 3–4 years. Furthermore, 55.5% had undergone early radiographic examinations for hip or elbow dysplasia diagnosis. The dogs performed the following activities: search and rescue on surface (59%), search and rescue on rubble (37%), Internationale Gebrauchshund Pruefung (IGP) (9%), man trailing (5%), sled dog (5%), search on avalanche (4%), dog towing (3%), canine shows (3%), hunting (2%), water rescue (1%), pet therapy (1%), wildlife conservation dog (1%), Mondioring (1%). Only 36.4% of respondents submitted their dogs to a specific sports medical examination and 55.5% to an orthopaedic examination. An injury incidence of 45.5% was recorded, generally related to mild musculoskeletal trauma. A limited number of handlers routinely performed warm-up and/or cool-down activities. A positive assessment emerged of the need for many respondents to attend and request education courses and updates on the proper health management of their dogs. Full article
29 pages, 5204 KB  
Article
A Framework for Data Privacy Preserving in Supply Chain Management Using Hybrid Meta-Heuristic Algorithm with Ethereum Blockchain Technology
by Yedida Venkata Rama Subramanya Viswanadham and Kayalvizhi Jayavel
Electronics 2023, 12(6), 1404; https://doi.org/10.3390/electronics12061404 - 15 Mar 2023
Cited by 20 | Viewed by 5519
Abstract
Blockchain is a recently developed advanced technology. It has been assisted by a lot of interest in a decentralized and distributed public ledger system integrated as a peer-to-peer network. A tamper-proof digital framework is created for sharing and storing data, where the linked [...] Read more.
Blockchain is a recently developed advanced technology. It has been assisted by a lot of interest in a decentralized and distributed public ledger system integrated as a peer-to-peer network. A tamper-proof digital framework is created for sharing and storing data, where the linked block structure is utilized to verify and store the data. A trusted consensus method has been adopted to synchronize the changes in the original data. However, it is challenging for Ethereum to maintain security at all blockchain levels. As such, “public–private key cryptography” can be utilized to provide privacy over Ethereum networks. Several privacy issues make it difficult to use blockchain approaches over various applications. Another issue is that the existing blockchain systems operate poorly over large-scale data. Owing to these issues, a novel blockchain framework in the Ethereum network with soft computing is proposed. The major intent of the proposed technology is to preserve the data for transmission purposes. This new model is enhanced with the help of a new hybrid algorithm: Adaptive Border Collie Rain Optimization Algorithm (ABC-ROA). This hybrid algorithm generates the optimal key for data restoration and sanitization. Optimal key generation is followed by deriving the multi objective constraints. Here, some of the noteworthy objectives, such as information preservation (IP) rate, degree of modification (DM), false rule (FR) generation, and hiding failure (HF) rate are considered. Finally, the proposed method is successfully implemented, and its results are validated through various measures. The recommended module ensures a higher security level for data sharing. Full article
(This article belongs to the Special Issue Blockchain for Information Systems Management and Security)
Show Figures

Figure 1

14 pages, 1786 KB  
Article
Dog Owners’ Attitude toward Veterinary Antibiotic Use and Antibiotic Resistance with a Focus on Canine Diarrhea Management
by Alessia Candellone, Paola Badino, Flavia Girolami, Ugo Ala, Floriana Mina and Rosangela Odore
Animals 2023, 13(6), 1061; https://doi.org/10.3390/ani13061061 - 15 Mar 2023
Cited by 12 | Viewed by 4807
Abstract
An ad hoc questionnaire was designed in order to investigate AMR knowledge amongst Italian dog owners, owner expectations concerning pharmacological treatment of canine AD, and client attitudes towards and compliance with alternative strategies to antimicrobial administration. A total of 250 questionnaires were returned. [...] Read more.
An ad hoc questionnaire was designed in order to investigate AMR knowledge amongst Italian dog owners, owner expectations concerning pharmacological treatment of canine AD, and client attitudes towards and compliance with alternative strategies to antimicrobial administration. A total of 250 questionnaires were returned. Most of respondents were female, aged 36–70 and workers. More than a half of participants owned one dog with mixed breed, with Labrador retriever, golden retriever, dachshund, and border collie being the most represented breeds. On average, each dog was treated with an oral antibiotic 1.044 times per year. Intestinal diseases were among the main reasons (19%) for antibiotic prescription. Oral antibiotic courses without veterinary consultation (21%) and anticipated termination of the therapy (17.1%) were less common than reported elsewhere. The majority of respondents knew the meaning of AMR with a significant inverse association between the level of education and the tendency to administer antimicrobials without consulting a clinician (p = 0.004). Most of the owners expected a rapid recovery of clinical signs after a first episode of AD and accepted natural dietary supplementation for treating the condition. Ninety-five percent of the respondents believed that public funding should be spent to study AMR. Even though an acceptable degree of AMR awareness emerged, we feel that further efforts should be made to increase public AMR knowledge and to stimulate proactive measures to fight the phenomenon. On the other hand, the development of guidelines for the treatment of uncomplicated canine AD would help clinicians to rationalize antimicrobial use. Full article
(This article belongs to the Section Companion Animals)
Show Figures

Figure 1

10 pages, 11415 KB  
Case Report
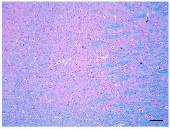
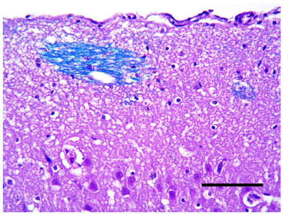
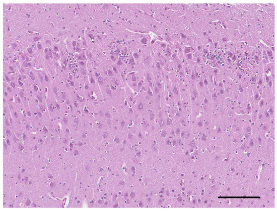
Malformation of the Cortical Development Associated with Severe Clusters of Epileptic Seizures
by Aurora Cocchetto, Antonella Gallucci, Federica Biggio and Carlo Cantile
Vet. Sci. 2023, 10(1), 7; https://doi.org/10.3390/vetsci10010007 - 23 Dec 2022
Cited by 2 | Viewed by 3060
Abstract
Three cases of the malformation of the cortical development are described: a mixed breed dog and a Border Collie pup with a focal and diffuse cortical dysplasia, respectively, and a kitten with lissencephaly. All cases presented with intractable epilepsy and were euthanized, due [...] Read more.
Three cases of the malformation of the cortical development are described: a mixed breed dog and a Border Collie pup with a focal and diffuse cortical dysplasia, respectively, and a kitten with lissencephaly. All cases presented with intractable epilepsy and were euthanized, due to the cluster of epileptic seizures. The gross examination at necropsy revealed the morphologic alteration of the telencephalic region in two cases. Histopathologically, a disorganization of the cortical lamination with the presence of megalic neurons, was found in the focal cortical dysplasia case. An altered organization of the white and gray matter, with a loss of the normal neuronal distribution and altered neurons, characterized the diffuse cortical dysplasia case. In the lissencephalic cat, there was no recognizable organization of the brain with areas of neuroglial tissue forming nodules in the leptomeningeal space. We strongly support the hypothesis that, as in humans, as well as in the veterinary patients, malformations of the cortical development could be the cause of refractory epilepsy. Full article
Show Figures

Figure 1

8 pages, 18152 KB  
Case Report
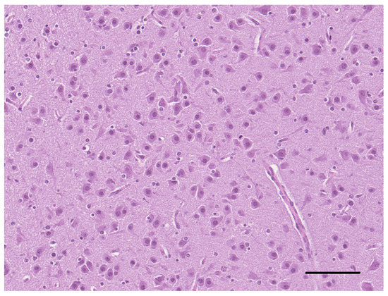
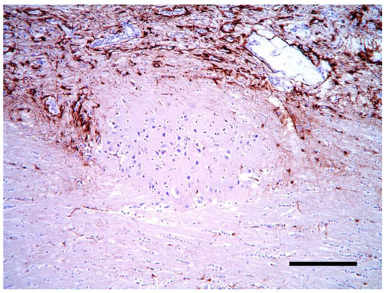
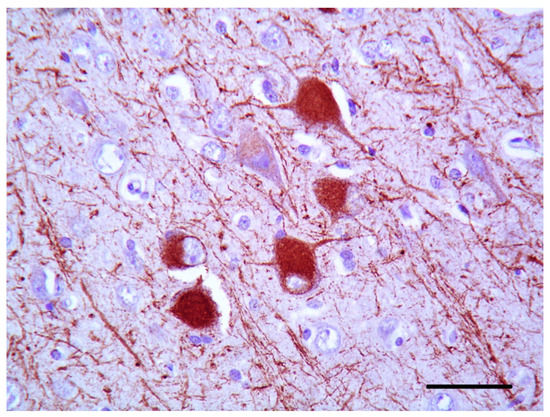
First Case of a Cerebrocortical Ganglioglioma in a Dog
by Laura Martín, Martí Pumarola, Raúl Altuzarra, Javier Espinosa and María Ortega
Vet. Sci. 2022, 9(10), 514; https://doi.org/10.3390/vetsci9100514 - 21 Sep 2022
Cited by 1 | Viewed by 3359
Abstract
Gangliogliomas are extremely rare tumors of the nervous system composed of neoplastic glial and neuronal cells. The aim of the present paper is to describe the clinical presentation, magnetic resonance imaging (MRI) findings and histopathological and immunophenotypical characteristics of a cerebral cortex ganglioglioma [...] Read more.
Gangliogliomas are extremely rare tumors of the nervous system composed of neoplastic glial and neuronal cells. The aim of the present paper is to describe the clinical presentation, magnetic resonance imaging (MRI) findings and histopathological and immunophenotypical characteristics of a cerebral cortex ganglioglioma in a 7-year-old Border Collie. The dog presented an acute onset of tonic-clonic epileptic seizures. MRI revealed a well-defined large intra-axial mass located on the left forebrain, mainly affecting the frontal cortex. Following humane euthanasia, the histopathological examination of the mass revealed a diffuse proliferation of neoplastic glial cells mixed with anomalous neuronal bodies. Immunohistochemical analyses confirmed the presence of two different populations of neoplastic cells. Most neoplastic glial cells were immunoreactive to glial fibrillary acidic protein (GFAP) and the other subset of neoplastic cells were positive to neuronal markers such as PGP 9.5, synaptophysin (SYN) and neuron-specific enolase (NSE), suggestive of neuronal cells. These findings confirmed the diagnosis of a cerebrocortical ganglioglioma. To the authors knowledge, this is the first description of a ganglioglioma of the cerebral cortex in a dog. Full article
Show Figures

Figure 1

Back to TopTop