Sign in to use this feature.

Years

Between: -

Subjects

remove_circle_outline
remove_circle_outline
remove_circle_outline
remove_circle_outline
remove_circle_outline
remove_circle_outline
remove_circle_outline
remove_circle_outline
remove_circle_outline

Journals

remove_circle_outline
remove_circle_outline
remove_circle_outline
remove_circle_outline
remove_circle_outline
remove_circle_outline
remove_circle_outline
remove_circle_outline
remove_circle_outline
remove_circle_outline
remove_circle_outline
remove_circle_outline

Article Types

Countries / Regions

remove_circle_outline
remove_circle_outline
remove_circle_outline
remove_circle_outline
remove_circle_outline

Search Results (355)

Search Parameters:
Keywords = APL-101

Order results
Result details
Results per page
Select all
Export citation of selected articles as:
9 pages, 7445 KB  
Case Report
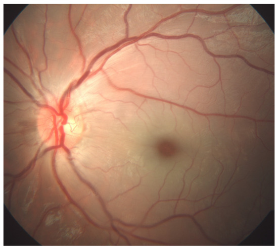
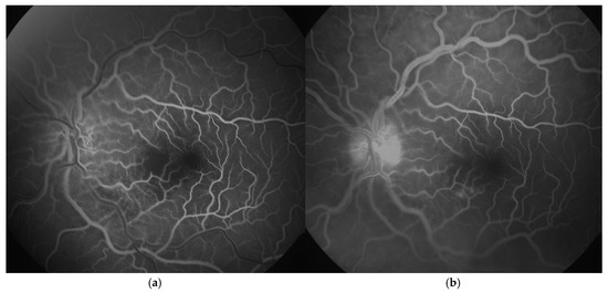
Central Retinal Artery Occlusion in a 6-Year-Old Child with an Acute Chickenpox Infection: A Case Report
by Dunja Bajtl, Tvrtka Benašić, Jelena Petrinović-Dorešić, Nenad Vukojević, Dubravka Biuk, Ivona Barać and Sanja Perić
J. Clin. Med. 2025, 14(24), 8685; https://doi.org/10.3390/jcm14248685 - 8 Dec 2025
Viewed by 211
Abstract
Background: Central retinal artery occlusion (CRAO) is an ophthalmic emergency attributed to a vessel occlusion with an embolus or a thrombus and may occur during the hypercoagulable state, inflammation, or vasculitis. CRAO may occur in children; however its incidence is very rare. Most [...] Read more.
Background: Central retinal artery occlusion (CRAO) is an ophthalmic emergency attributed to a vessel occlusion with an embolus or a thrombus and may occur during the hypercoagulable state, inflammation, or vasculitis. CRAO may occur in children; however its incidence is very rare. Most pediatric cases have detectable etiologies. Case Presentation: We describe the case of an otherwise-healthy six-year-old female, who presented with the sudden and complete vision loss of the left eye lasting over twelve hours after a six-day chickenpox exanthema, followed by a high fever. All the ophthalmological, laboratory, and instrumental investigations led to the diagnosis of a left CRAO. Laboratory testing was unremarkable except for the transient elevation of D dimers (1363 µg/L), IgM anticardiolipin antibodies (238.5 CU), and IgG anti-beta-2 glycoprotein-1 antibodies (76.1 CU) on admission. Thrombolytic treatment was not exerted because of late presentation to the hospital. Treatment with steroids, antiviral medications, antibiotics, and anticoagulants was obtained, but the visual outcome was poor during the hospitalization and at the last follow-up. We could not ascribe features of this case to any etiological condition apart from the documented ongoing chickenpox infection. Conclusions: This is the first case report of CRAO in a child with transient aPL elevation and acute chickenpox infection. Full article
(This article belongs to the Section Ophthalmology)
Show Figures

Figure 1

20 pages, 753 KB  
Review
Predictors of Early Death in Acute Promyelocytic Leukemia
by Joana Brioso Infante
Med. Sci. 2025, 13(4), 300; https://doi.org/10.3390/medsci13040300 - 3 Dec 2025
Viewed by 475
Abstract
Acute promyelocytic leukemia (APL) evolved from the most lethal to the most curable subtype of acute leukemia today, owing to targeted therapy with all-trans retinoic acid (ATRA) and arsenic trioxide. Despite cure rates exceeding 90% and the rarity of relapse or refractoriness, early [...] Read more.
Acute promyelocytic leukemia (APL) evolved from the most lethal to the most curable subtype of acute leukemia today, owing to targeted therapy with all-trans retinoic acid (ATRA) and arsenic trioxide. Despite cure rates exceeding 90% and the rarity of relapse or refractoriness, early death (ED)—occurring within 30 days of diagnosis—remains unacceptably high, reaching up to 30% in population-based studies. ED is the major barrier to universal cure, with fatal hemorrhage as the predominant cause, followed by infection, differentiation syndrome, and thrombosis. Patients who survive the initial month generally achieve excellent long-term outcomes. This review synthesizes data from clinical trials and large real-world cohorts to provide a comprehensive overview of the incidence, causes, and predictors of ED in APL. Higher white blood cell count and older age emerge as the most consistently validated predictors, followed by increased IRB/BICcreatinine, low albumin, thrombocytopenia, and coagulopathy, although their predictive value is not uniform across studies. Risk scores such as the Sanz classification, the Österroos ED model, and dynamic disseminated intravascular coagulation (DIC) assessments represent practical tools for identifying patients at high risk of ED. Importantly, ED rates remain significantly higher in real-world populations than in clinical trials, highlighting the impact of age and comorbidities, delayed diagnosis, and barriers to immediate ATRA initiation and supportive care. Addressing ED in APL requires intensified early supportive strategies, physician awareness and education, and rapid treatment initiation. Refinement and validation of predictive models may guide tailored interventions and inform strategies to finally overcome this persistent unmet need. Full article
Show Figures

Figure 1

13 pages, 924 KB  
Article
Predicting Bleeding in AML-Associated DIC: Limitations of the ISTH Score and a Modified Approach
by Bedrettin Orhan, Fahir Özkalemkaş, Tuba Bayır, Cumali Yalçın, Büşra Güner, Ezel Elgün, Esra Gülderen, Ayşe Bulur, Tuba Ersal, Fazıl Çağrı Hunutlu, Tuba Güllü Koca, Sinem Çubukçu, Şeyma Yavuz and Vildan Özkocaman
Diagnostics 2025, 15(23), 3053; https://doi.org/10.3390/diagnostics15233053 - 29 Nov 2025
Viewed by 505
Abstract
Background and Objectives: Bleeding is a major cause of mortality in cases of acute myeloid leukemia (AML)-associated disseminated intravascular coagulation (DIC). The predictive power of the standard International Society on Thrombosis and Hemostasis (ISTH) score for bleeding in patients diagnosed with AML [...] Read more.
Background and Objectives: Bleeding is a major cause of mortality in cases of acute myeloid leukemia (AML)-associated disseminated intravascular coagulation (DIC). The predictive power of the standard International Society on Thrombosis and Hemostasis (ISTH) score for bleeding in patients diagnosed with AML is limited. This study aimed to evaluate the performance of the standard ISTH score and modified versions in predicting bleeding among acute promyelocytic leukemia (APL, M3) and non-APL AML subgroups. Methods: This single-center, retrospective study included 190 AML patients (61 APL, 129 non-APL). The predictive power of the original ISTH score and eight different modified scores—incorporating parameters such as lactate dehydrogenase (LDH) and genetic positivity—for DIC-related bleeding was assessed using receiver operating characteristic (ROC) analysis. Results: In the APL group, the original ISTH score was statistically significant in predicting DIC-related bleeding (AUC = 0.727), but the modifications did not improve performance. In the non-APL AML group, the original score did not predict bleeding (AUC = 0.632, p = 0.079). However, a modified ISTH score excluding D-dimer and including LDH (≥800 mg/dL) and genetic positivity significantly improved prediction (AUC = 0.710, p = 0.005). This modification increased specificity from 48.2% to 60.7% and sensitivity from 76.5% to 82.4%. Conclusions: A subtype-specific approach is required to predict bleeding risk in AML-associated DIC. Modified ISTH scores remain suboptimal for APL; however, a modified score incorporating LDH and genetic status represents a promising tool to identify non-APL AML patients at risk of bleeding and warrants prospective validation. Full article
(This article belongs to the Special Issue Diagnosis and Prognosis of Hematological Disease)
Show Figures

Figure 1

11 pages, 812 KB  
Review
Acute Promyelocytic Leukemia: Pathophysiology, Diagnosis and Clinical Management
by Meryeme Abddaoui, Youssef Aghlallou, Imane Tlemçani and Moncef Amrani Hassani
Hematol. Rep. 2025, 17(6), 66; https://doi.org/10.3390/hematolrep17060066 - 28 Nov 2025
Viewed by 864
Abstract
Background/Objectives: Acute promyelocytic leukemia (APL) is a distinct subtype of acute myeloid leukemia characterized by the t(15;17)(q24;q21) translocation, generating the PML::RARA fusion gene that blocks myeloid differentiation and drives leukemogenesis. Despite advances in therapy, early mortality remains a major challenge due to [...] Read more.
Background/Objectives: Acute promyelocytic leukemia (APL) is a distinct subtype of acute myeloid leukemia characterized by the t(15;17)(q24;q21) translocation, generating the PML::RARA fusion gene that blocks myeloid differentiation and drives leukemogenesis. Despite advances in therapy, early mortality remains a major challenge due to severe coagulopathy. This review aims to summarize recent insights into APL pathophysiology, diagnostic approaches, and management strategies. Methods: We performed a comprehensive review of the literature addressing the molecular mechanisms of APL, its associated coagulopathy, and current diagnostic and therapeutic standards, with a focus on evidence-based recommendations for clinical practice. Results: The hallmark PML: RARA oncoprotein disrupts nuclear body function and retinoic acid signaling, resulting in differentiation arrest and apoptosis resistance. APL-associated coagulopathy arises from overexpression of tissue factor, release of cancer procoagulant, inflammatory cytokines, and annexin II-mediated hyperfibrinolysis. Diagnosis requires integration of cytomorphology, immunophenotyping, coagulation studies, and molecular confirmation. Immediate initiation of all-trans-retinoic acid (ATRA) upon clinical suspicion, combined with aggressive supportive care, is critical to control bleeding risk. Conclusions: APL is now a highly curable leukemia when recognized early and treated with targeted therapy. Rapid diagnosis, prompt ATRA administration, and meticulous hemostatic support are essential to reduce early mortality. Further refinements in minimal residual disease monitoring are expected to improve patient outcomes. Full article
Show Figures

Graphical abstract

28 pages, 4289 KB  
Article
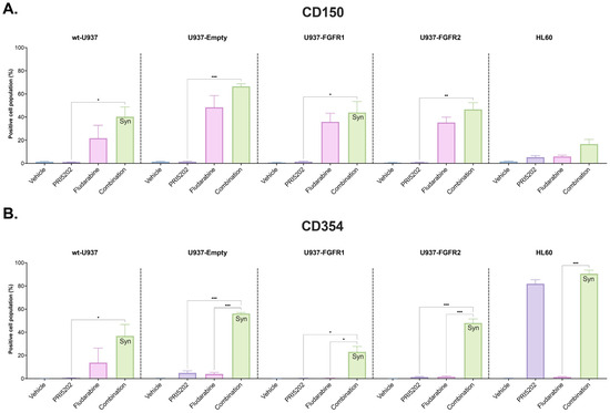
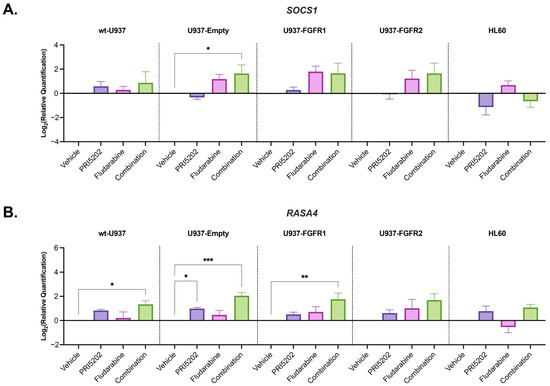
Synergy in Immunostimulatory and Pro-Differentiation Effects of Vitamin D Analog and Fludarabine in Acute Myeloid Leukemias
by Subhradeep Haldar, Artem Petruk, Aleksandra Marchwicka, Andrzej Kutner, Monika Biernat, Dariusz Wołowiec and Ewa Marcinkowska
Cells 2025, 14(23), 1841; https://doi.org/10.3390/cells14231841 - 21 Nov 2025
Viewed by 622
Abstract
Acute myeloid leukemia (AML) is an aggressive and often fatal hematopoietic malignancy, diagnosed predominantly in the elderly. The five-year survival of patients with AML is as low as 30%. Differentiation therapy of a subtype of AML, named acute promyelocytic leukemia (APL), using all- [...] Read more.
Acute myeloid leukemia (AML) is an aggressive and often fatal hematopoietic malignancy, diagnosed predominantly in the elderly. The five-year survival of patients with AML is as low as 30%. Differentiation therapy of a subtype of AML, named acute promyelocytic leukemia (APL), using all-trans retinoic acid (ATRA) was the most successful example of a targeted therapy against AML. Epigenetic-based differentiation therapies for other subtypes of AML are also showing improvements in response and in survival rates. Thus, in this study, we investigated a potential differentiation therapy with a combination of 1,25-dihydroxyvitamin D (1,25D) analog (named PRI5202) and low concentration of Fludarabine. We show that such a combination elicits immunostimulatory and pro-differentiation effects in AML cells, specifically in those with activating mutations in fibroblast growth factor receptor (FGFR) and Janus kinase (JAK) pathways. We show here that both PRI5202 and Fludarabine are potent activators of the transcription of many innate immunity-related genes, and that, in combination, their effects are in many aspects synergistic. We propose that such a low-intensity regimen may be suitable for older patients with AML, who are unfit for intensive chemotherapy. We also present data indicating that PRI5202 induces myeloid differentiation in blasts from patients with myelodysplastic syndrome (MDS), and we propose to further investigate PRI5202 as a differentiation therapy for patients suffering from MDS. Full article
Show Figures

Figure 1

20 pages, 6072 KB  
Article
Reversing the Warburg Effect: YW3-56 Induces Leukemia Differentiation via AKT-Mediated Glucose Metabolic Reprogramming
by Di Zhu, Dan Gao, Yu Lu, Na Chen, Li Zhang, Lan Zhang and Yuji Wang
Pharmaceuticals 2025, 18(11), 1646; https://doi.org/10.3390/ph18111646 - 31 Oct 2025
Viewed by 476
Abstract
Background: Protein arginine deiminase 4 (PAD4) has emerged as a promising therapeutic target for acute promyelocytic leukemia (APL) because of its role in epigenetic regulation and leukemogenesis. All-trans retinoic acid, a standard differentiation agent in APL therapy, has been shown to upregulate [...] Read more.
Background: Protein arginine deiminase 4 (PAD4) has emerged as a promising therapeutic target for acute promyelocytic leukemia (APL) because of its role in epigenetic regulation and leukemogenesis. All-trans retinoic acid, a standard differentiation agent in APL therapy, has been shown to upregulate PAD4 expression during leukemic cell maturation. Interestingly, first-generation PAD4 inhibitors also promote differentiation, but simultaneously trigger compensatory PAD4 overexpression, underscoring the unresolved complexity of PAD4 modulation in leukemia therapy. Methods: In this study, we employed mass cytometry and transcriptomic–proteomic integrated analysis to investigate the underlying mechanisms of YW3-56, a dual-function PAD4 inhibitor against protein expression and enzymatic function, in NB4 leukemia cells. Functional validation was conducted using Western blot and metabolic assays. Results: Mass cytometry analysis revealed that YW3-56 reduced leukemia stemness (CD44/CD133), while enhancing myeloid differentiation (CD11b/CD14) and immunogenic activation (CD80/CD86). Multiomics analysis revealed a YW3-56-induced metabolic shift characterized by downregulation of glycolytic enzymes and upregulation of the tricarboxylic acid cycle and pentose phosphate pathway components, indicating a reversal of the Warburg effect. Mechanistically, this metabolic reprogramming was driven by reduced AKT expression and phosphorylation at Thr308, impaired GLUT1 expression and membrane localization, and decreased glucose uptake, which collectively promoted the differentiation of NB4 cells. Additionally, YW3-56 suppressed the downstream mTOR pathway, inducing caspase-3/PARP-mediated apoptosis and inhibiting cell proliferation. Conclusions: Our study demonstrated that YW3-56 exerts multimodal antileukemic effects in APL by simultaneously targeting PAD4-mediated epigenetic regulation, AKT-driven metabolic reprogramming and cellular differentiation, highlighting PAD4-AKT signaling as a promising target for APL combination therapy. Full article
(This article belongs to the Section Pharmacology)
Show Figures

Graphical abstract

11 pages, 1991 KB  
Article
Epidemiological Insights into Haemonchosis from Necropsy Records of Small Ruminants in Northeast Brazil
by Artefio Martins Oliveira, Erick Platiní Ferreira Souto, Antônia Aniellen Raianne Moisés Aguiar, Victor Hugo Alves Sousa Formiga, Thais Ferreira Feitosa, Antônio Flávio Medeiros Dantas and Vinícius Longo Ribeiro Vilela
Parasitologia 2025, 5(4), 55; https://doi.org/10.3390/parasitologia5040055 - 22 Oct 2025
Viewed by 560
Abstract
The main pathological, epidemiological, and clinical findings of haemonchosis in goats and sheep in a semi-arid region of Northeast Brazil are described. Necropsy records conducted between January 2012 and December 2021 at the Animal Pathology Laboratory (APL) of the UFCG, were reviewed. In [...] Read more.
The main pathological, epidemiological, and clinical findings of haemonchosis in goats and sheep in a semi-arid region of Northeast Brazil are described. Necropsy records conducted between January 2012 and December 2021 at the Animal Pathology Laboratory (APL) of the UFCG, were reviewed. In 2022, a prospective study monitored the necropsies performed on these species. In total, necropsies were conducted on 410 goats and 319 sheep, haemonchosis was observed in 50 (12%) goats and 49 (15%) sheep. For goats, females (45/50, 90%; p ≤ 0.05), the age range of 13–35 months (25/50, 50%; p ≤ 0.05), and crossbred animals (38/50, 76%; p ≤ 0.05) were most affected. Both goat and sheep, respectively, raised in a semi-intensive system were more infected (41/50, 82%; 36/49, 76.5%; p ≤ 0.05). The animals came from the States of Paraíba, Pernambuco, Ceará, and Rio Grande do Norte. The proportion of goats (32/50, 64%) and sheep (30/49, 61.2%) with a normal body condition score was significantly different (p ≤ 0.05). The main pathological alterations (p ≤ 0.05) were the mucosal and carcass paleness, and the presence of H. contortus specimens in the abomasum. Haemonchosis remains a significant parasitic disease affecting small ruminants in the semi-arid region of Northeast Brazil, leading to mortality and decreased production rates, posing substantial economic challenges that adversely impact goat and sheep farming. Full article
Show Figures

Figure 1

17 pages, 1229 KB  
Article
Pro-Apoptotic and Cytotoxic Effects of Melittin on HL-60 Acute Promyelocytic Leukemia Cells: Implications for Retinoid-Independent Therapy
by Maksymilian Stela, Michał Ceremuga, Natalia Cichon, Tomasz Poplawski, Marcin Podogrocki, Leslaw Gorniak and Michał Bijak
Molecules 2025, 30(20), 4093; https://doi.org/10.3390/molecules30204093 - 15 Oct 2025
Viewed by 900
Abstract
Background: Acute promyelocytic leukemia (APL) is a subtype of acute myeloid leukemia driven by the PML/RARα fusion protein. Standard treatment with all-trans retinoic acid (ATRA) combined with chemotherapy is effective, but resistance and adverse effects remain significant challenges. Melittin, the primary peptide component [...] Read more.
Background: Acute promyelocytic leukemia (APL) is a subtype of acute myeloid leukemia driven by the PML/RARα fusion protein. Standard treatment with all-trans retinoic acid (ATRA) combined with chemotherapy is effective, but resistance and adverse effects remain significant challenges. Melittin, the primary peptide component of bee venom, has demonstrated potent anticancer activity across multiple leukemia subtypes through mitochondrial-dependent mechanisms. Building upon this established evidence, we investigated melittin’s therapeutic potential in APL to address the specific clinical challenge of ATRA resistance. Methods: The cytotoxic and pro-apoptotic effects of melittin were studied on the human APL cell line HL-60. Cell viability was assessed using MTT and trypan blue assays. Mitochondrial membrane potential (MMP) was measured with JC-1 staining. Apoptosis was quantified using Annexin V/propidium iodide flow cytometry, caspase-3/7 activity assays, and real-time PCR analysis of apoptosis-related genes (BCL-2, BAX, APAF-1, CASP-3, CASP-8, CASP-9). Results: Melittin reduced HL-60 cell viability in a dose- and time-dependent manner, with significant decreases after 24 and 48 h. MMP analysis revealed mitochondrial depolarization, and Annexin V staining confirmed the induction of apoptosis. Caspase-3/7 activity increased markedly, supporting activation of the intrinsic apoptotic pathway. Gene expression profiling revealed downregulation of the anti-apoptotic BCL-2 and upregulation of the pro-apoptotic BAX, APAF1, and CASP3. At the same time, CASP8 and CASP9 showed no significant changes, suggesting a predominant involvement of the intrinsic pathway. Conclusions: These findings confirm and extend established evidence by demonstrating that melittin’s mitochondrial apoptotic mechanism is consistently active in promyelocytic HL-60 model (PML/RARα-negative). This retinoid-independent mechanism suggests potential therapeutic utility for ATRA-resistant cases or as a complementary strategy in APL treatment. However, selectivity validation in non-cancerous hematopoietic cells represents an important future research priority. Full article
Show Figures

Figure 1

18 pages, 1701 KB  
Article
ISApl4, a New IS1595 Family Insertion Sequence Forming a Novel Pseudo-Compound Transposon That Confers Antimicrobial Multidrug Resistance in Actinobacillus pleuropneumoniae
by Janine T. Bossé, Yanwen Li, Marc Stegger, Liza Miriam Cohen, Øystein Angen, Søren Overballe-Petersen, Dennis Hanke, Stefan Schwarz, Paul R. Langford and Henrike Krüger-Haker
Antibiotics 2025, 14(10), 1021; https://doi.org/10.3390/antibiotics14101021 - 14 Oct 2025
Viewed by 665
Abstract
Background/Objectives: Actinobacillus pleuropneumoniae is an important respiratory tract pathogen of swine worldwide. Insertion sequences (ISs) play a major role in the transfer of antimicrobial resistance (AMR) among various porcine respiratory tract pathogens. In this study, three A. pleuropneumoniae genomes were investigated for the [...] Read more.
Background/Objectives: Actinobacillus pleuropneumoniae is an important respiratory tract pathogen of swine worldwide. Insertion sequences (ISs) play a major role in the transfer of antimicrobial resistance (AMR) among various porcine respiratory tract pathogens. In this study, three A. pleuropneumoniae genomes were investigated for the presence of a novel IS. Methods: Analysis of the draft genomes of three A. pleuropneumoniae serovar 8 isolates (AP_1, AP_120, AP_123) suggested the presence of a novel IS. A closed whole-genome sequence was generated for strain AP_123 by hybrid assembly of Oxford Nanopore MinION long-reads and Illumina MiSeq short-reads, followed by sequence analysis using standard online tools. Transfer was tested by natural transformation. Antimicrobial susceptibility testing was conducted by broth microdilution following Clinical and Laboratory Standards Institute standards. Results: A novel IS, designated ISApl4, was detected in all three genomes. ISApl4 is 712 bp in size and has a transposase gene (tnp) of 654 bp. Moreover, it has perfect terminal 14-bp inverted repeats and produces 8-bp direct repeats at its integration site. This IS was found in 39 copies in the AP_123 genome, two of which formed the 5,765-bp pseudo-compound transposon Tn7560. This transposon carries four AMR genes: sul2 (sulfonamide resistance), strA-strB (streptomycin resistance), and tet(Y) (tetracycline resistance). RT-PCR confirmed tnp gene expression and horizontal transfer of Tn7560 into A. pleuropneumoniae MIDG2331. Conclusions: This study identified the novel ISApl4 in porcine A. pleuropneumoniae and its association with the novel pseudo-compound transposon Tn7560, which proved to be an active element capable of disseminating multidrug resistance amongst A. pleuropneumoniae. Full article
(This article belongs to the Special Issue Antibiotic Therapy in Respiratory Tract Infections (RTIs))
Show Figures

Figure 1

22 pages, 1509 KB  
Review
IgM Antiphospholipid Antibodies in Antiphospholipid Syndrome: Prevalence, Clinical Associations, and Diagnostic Implications—A Scoping Review
by Monika Očková, Ariadna Anunciación-Llunell, Catalina Andrada, Enrique Esteve-Valverde, Francesc Miró-Mur and Jaume Alijotas-Reig
J. Clin. Med. 2025, 14(20), 7164; https://doi.org/10.3390/jcm14207164 - 11 Oct 2025
Viewed by 1321
Abstract
Background: IgM antiphospholipid antibodies (aPL) were de-emphasised in the 2023 ACR/EULAR criteria, yet their precise clinical significance remains uncertain. Methods: A rapid scoping review of PubMed (January 2000–June 2025) identified original human studies reporting IgM aCL, aβ2GPI, or aPS/PT [...] Read more.
Background: IgM antiphospholipid antibodies (aPL) were de-emphasised in the 2023 ACR/EULAR criteria, yet their precise clinical significance remains uncertain. Methods: A rapid scoping review of PubMed (January 2000–June 2025) identified original human studies reporting IgM aCL, aβ2GPI, or aPS/PT prevalence or outcomes; 40 studies met the eligibility criteria. Prevalence and odds ratios (ORs) of clinical associations were extracted. Results: IgM aPL are common across APS phenotypes. Obstetric cohorts showed aCL-IgM prevalences of 3–82%, often equal to or exceeding those of IgG, while aβ2GPI-IgM reached a prevalence of 2–63%. In mixed thrombotic–obstetric cohorts, aPS/PT-IgM was the most frequent isotype (31–79%). Purely thrombotic studies still reported 0–59% aβ2GPI-IgM, with PS/PT-IgM at 55% and 62% in two large series. Significant outcome signals from clinical associations of IgM aPL were inconsistent but noteworthy in (i) pregnancy loss for high-titre aCL, aβ2GPI, and aPS/PT, (ii) thrombosis driven by aPS/PT and (iii) organ-specific arterial events (retinal thrombosis and stroke) in isolated IgM phenotypes. Conclusions: The role of aPL-IgM remains uncertain. The findings advocate for a nuanced approach to IgM interpretation, supporting its reconsideration in specific clinical settings and emphasising the significance of ongoing research into the mechanistic and prognostic utility of IgM aPL. Full article
Show Figures

Figure 1

17 pages, 696 KB  
Review
Regulatory Role of Zinc in Acute Promyelocytic Leukemia: Cellular and Molecular Aspects with Therapeutic Implications
by Norihiro Ikegami, István Szegedi, Csongor Kiss and Miklós Petrás
Int. J. Mol. Sci. 2025, 26(19), 9685; https://doi.org/10.3390/ijms26199685 - 4 Oct 2025
Viewed by 1072
Abstract
Acute promyelocytic leukemia (APL) is a rare subtype of acute myeloid leukemia (AML) characterized by chromosomal translocation forming the fusion protein that blocks the differentiation of myeloid progenitors and increases the self-renewal of leukemia cells. The introduction of all-trans retinoic acid (ATRA) and [...] Read more.
Acute promyelocytic leukemia (APL) is a rare subtype of acute myeloid leukemia (AML) characterized by chromosomal translocation forming the fusion protein that blocks the differentiation of myeloid progenitors and increases the self-renewal of leukemia cells. The introduction of all-trans retinoic acid (ATRA) and arsenic trioxide (ATO) has dramatically improved outcomes in APL, making it a leading example of successful treatment through differentiation of cancer cells. However, life-threatening side effects and treatment resistance may develop; therefore, modulation of the safety and efficacy of these drugs may contribute to further improving treatment results. Recently, zinc, involved in the structure and function of transcription factors, has received special attention for its potential role in the development and treatment response of cancer. Zinc homeostasis is disrupted in APL, with intracellular accumulation stabilizing oncogenic proteins. Zinc depletion promotes degradation of PML–RARA and induces apoptosis, while supplementation enhances genotoxic stress in leukemic cells but protects normal hematopoiesis. Zinc also regulates key transcription factors involved in differentiation and proliferation, including RUNX2, KLF4, GFI1, and CREB. In this review, we examine how zinc may impact zinc-finger (ZnF) and non-ZnF transcription factors and differentiation therapy in APL, thereby identifying potential strategies to enhance treatment efficacy and minimize side effects. Full article
(This article belongs to the Special Issue Molecular Mechanism of Acute Myeloid Leukemia)
Show Figures

Graphical abstract

36 pages, 7835 KB  
Article
FEWheat-YOLO: A Lightweight Improved Algorithm for Wheat Spike Detection
by Hongxin Wu, Weimo Wu, Yufen Huang, Shaohua Liu, Yanlong Liu, Nannan Zhang, Xiao Zhang and Jie Chen
Plants 2025, 14(19), 3058; https://doi.org/10.3390/plants14193058 - 3 Oct 2025
Viewed by 762
Abstract
Accurate detection and counting of wheat spikes are crucial for yield estimation and variety selection in precision agriculture. However, challenges such as complex field environments, morphological variations, and small target sizes hinder the performance of existing models in real-world applications. This study proposes [...] Read more.
Accurate detection and counting of wheat spikes are crucial for yield estimation and variety selection in precision agriculture. However, challenges such as complex field environments, morphological variations, and small target sizes hinder the performance of existing models in real-world applications. This study proposes FEWheat-YOLO, a lightweight and efficient detection framework optimized for deployment on agricultural edge devices. The architecture integrates four key modules: (1) FEMANet, a mixed aggregation feature enhancement network with Efficient Multi-scale Attention (EMA) for improved small-target representation; (2) BiAFA-FPN, a bidirectional asymmetric feature pyramid network for efficient multi-scale feature fusion; (3) ADown, an adaptive downsampling module that preserves structural details during resolution reduction; and (4) GSCDHead, a grouped shared convolution detection head for reduced parameters and computational cost. Evaluated on a hybrid dataset combining GWHD2021 and a self-collected field dataset, FEWheat-YOLO achieved a COCO-style AP of 51.11%, AP@50 of 89.8%, and AP scores of 18.1%, 50.5%, and 61.2% for small, medium, and large targets, respectively, with an average recall (AR) of 58.1%. In wheat spike counting tasks, the model achieved an R2 of 0.941, MAE of 3.46, and RMSE of 6.25, demonstrating high counting accuracy and robustness. The proposed model requires only 0.67 M parameters, 5.3 GFLOPs, and 1.6 MB of storage, while achieving an inference speed of 54 FPS. Compared to YOLOv11n, FEWheat-YOLO improved AP@50, AP_s, AP_m, AP_l, and AR by 0.53%, 0.7%, 0.7%, 0.4%, and 0.3%, respectively, while reducing parameters by 74%, computation by 15.9%, and model size by 69.2%. These results indicate that FEWheat-YOLO provides an effective balance between detection accuracy, counting performance, and model efficiency, offering strong potential for real-time agricultural applications on resource-limited platforms. Full article
(This article belongs to the Special Issue Advances in Artificial Intelligence for Plant Research)
Show Figures

Figure 1

16 pages, 871 KB  
Review
Uncovering the PML::RARA Fusion in Cytogenetically Cryptic and FISH-Negative Acute Promyelocytic Leukemia—A Case Report and Comprehensive Literature Review
by Busra N. Delikkaya, Jaime Eberle-Singh, Arianna B. Morton, Jerald Z. Gong and Jinglan Liu
Genes 2025, 16(10), 1159; https://doi.org/10.3390/genes16101159 - 29 Sep 2025
Viewed by 1099
Abstract
The PML::RARA fusion resulting from t(15;17) is the genetic hallmark of acute promyelocytic leukemia (APL), typically detected by cytogenetics and/or fluorescence in situ hybridization (FISH) studies. Rarely, APL patients present with normal cytogenetics and FISH findings, complicating diagnosis and delaying life-saving therapy. We [...] Read more.
The PML::RARA fusion resulting from t(15;17) is the genetic hallmark of acute promyelocytic leukemia (APL), typically detected by cytogenetics and/or fluorescence in situ hybridization (FISH) studies. Rarely, APL patients present with normal cytogenetics and FISH findings, complicating diagnosis and delaying life-saving therapy. We report a 23-year-old male with clinical, morphologic and immunophenotypic features consistent with APL but negative for FISH studies. Despite prompt initiation of all-trans retinoic acid (ATRA) based on clinical suspicion, the patient succumbed to intracranial hemorrhage. Quantitative reverse transcriptase PCR (qRT-PCR) confirmed a long isoform PML::RARA fusion. A review of 34 published cytogenetics- and FISH-negative cases since 1995 demonstrates that RT-PCR-based methods reliably detect cryptic fusions. While advanced genomic approaches may identify these fusions at higher resolution, their accessibility, complexity, cost, and turnaround time often limit diagnostic utility in the urgent setting of APL. Given the extreme rarity of this subset, cytogenetics and FISH remain the standard frontline tests; however, these cases underscore the critical need to incorporate molecular testing into routine workflows. Early recognition and timely therapy are essential to reducing mortality in cryptic APL, and these cases also provide insight into mechanisms of atypical leukemia biology. Full article
Show Figures

Figure 1

10 pages, 4054 KB  
Article
Prevalence, Morphometric Characteristics of the Accessory Abductor Pollicis Longus Muscle and Clinical Implications: A Cadaveric Study
by Jhonatan Duque-Colorado, Victor Hugo Rodriguez-Torrez, Laura García-Orozco, Rubén Daniel Algieri and Nicolás E. Ottone
Diagnostics 2025, 15(19), 2455; https://doi.org/10.3390/diagnostics15192455 - 25 Sep 2025
Cited by 1 | Viewed by 644
Abstract
Background/Objectives: The abductor pollicis longus (APL) muscle exhibits a high degree of anatomical variation, particularly in the number and configuration of its tendons. Understanding these variants is crucial in surgical contexts, especially for tendon transfer and reconstruction procedures. This study aimed to determine [...] Read more.
Background/Objectives: The abductor pollicis longus (APL) muscle exhibits a high degree of anatomical variation, particularly in the number and configuration of its tendons. Understanding these variants is crucial in surgical contexts, especially for tendon transfer and reconstruction procedures. This study aimed to determine the prevalence and morphometric characteristics of the accessory abductor pollicis longus (AAPL) muscle in a Bolivian cadaveric population. Methods: A descriptive, cross-sectional study was performed on 16 forearms from eight adult cadavers (six males and two females) preserved in 10% formalin. Cadaveric dissection was conducted following the AQUA guidelines, with measurements obtained for the AAPL proximal tendon length (PTL), distal tendon length (DTL), muscle length (ML), and transverse muscle length (TML) using a digital caliper. Statistical analysis was carried out using SPSS v26. Results: The AAPL muscle was present in 50% of forearms. Most were unilateral, with one bilateral case. The muscle exhibited a fusiform shape, with fibers aligned longitudinally. Morphometric analysis revealed a mean PTL of 1.20 ± 0.08 cm, DTL of 3.91 ± 0.52 cm, ML of 5.30 ± 0.45 cm, and TML of 0.55 ± 0.056 cm. One case (6.25%) exhibited a multicaudal APL with an additional tendon measuring 6.23 cm. No significant correlations were found between muscle and tendon measurements. Conclusions: AAPL muscles are relatively common and demonstrate notable morphometric variation. While the proximal tendon may be inadequate for grafting due to its short length, the distal tendon offers a viable alternative for reconstructive procedures. Recognition of such variants is clinically relevant, as they may contribute to pathologies like De Quervain’s tenosynovitis or serve as graft sources in surgical interventions. Full article
(This article belongs to the Special Issue Advances in Anatomy—Third Edition)
Show Figures

Figure 1

43 pages, 16029 KB  
Article
Research on Trajectory Planning for a Limited Number of Logistics Drones (≤3) Based on Double-Layer Fusion GWOP
by Jian Deng, Honghai Zhang, Yuetan Zhang and Yaru Sun
Drones 2025, 9(10), 671; https://doi.org/10.3390/drones9100671 - 24 Sep 2025
Cited by 1 | Viewed by 611
Abstract
Trajectory planning for logistics UAVs in complex environments faces a key challenge: balancing global search breadth with fine constraint accuracy. Traditional algorithms struggle to simultaneously manage large-scale exploration and complex constraints, and lack sufficient modeling capabilities for multi-UAV systems, limiting cluster logistics efficiency. [...] Read more.
Trajectory planning for logistics UAVs in complex environments faces a key challenge: balancing global search breadth with fine constraint accuracy. Traditional algorithms struggle to simultaneously manage large-scale exploration and complex constraints, and lack sufficient modeling capabilities for multi-UAV systems, limiting cluster logistics efficiency. To address these issues, we propose a GWOP algorithm based on dual-layer fusion of GWO and GRPO and incorporate a graph attention network (GAT). First, CEC2017 benchmark functions evaluate GWOP convergence accuracy and balanced exploration in multi-peak, high-dimensional environments. A hierarchical collaborative architecture, “GWO global coarse-grained search + GRPO local fine-tuning”, is used to overcome the limitations of single-algorithm frameworks. The GAT model constructs a dynamic “environment–UAV–task” association network, enabling environmental feature quantification and multi-constraint adaptation. A multi-factor objective function and constraints are integrated with multi-task cascading decoupling optimization to form a closed-loop collaborative optimization framework. Experimental results show that in single UAV scenarios, GWOP reduces flight cost (FV) by over 15.85% on average. In multi-UAV collaborative scenarios, average path length (APL), optimal path length (OPL), and FV are reduced by 4.08%, 14.08%, and 24.73%, respectively. In conclusion, the proposed method outperforms traditional approaches in path length, obstacle avoidance, and trajectory smoothness, offering a more efficient planning solution for smart logistics. Full article
Show Figures

Figure 1

Back to TopTop