Identification of Residues in Lassa Virus Glycoprotein Subunit 2 That Are Critical for Protein Function
Abstract
1. Introduction
2. Results
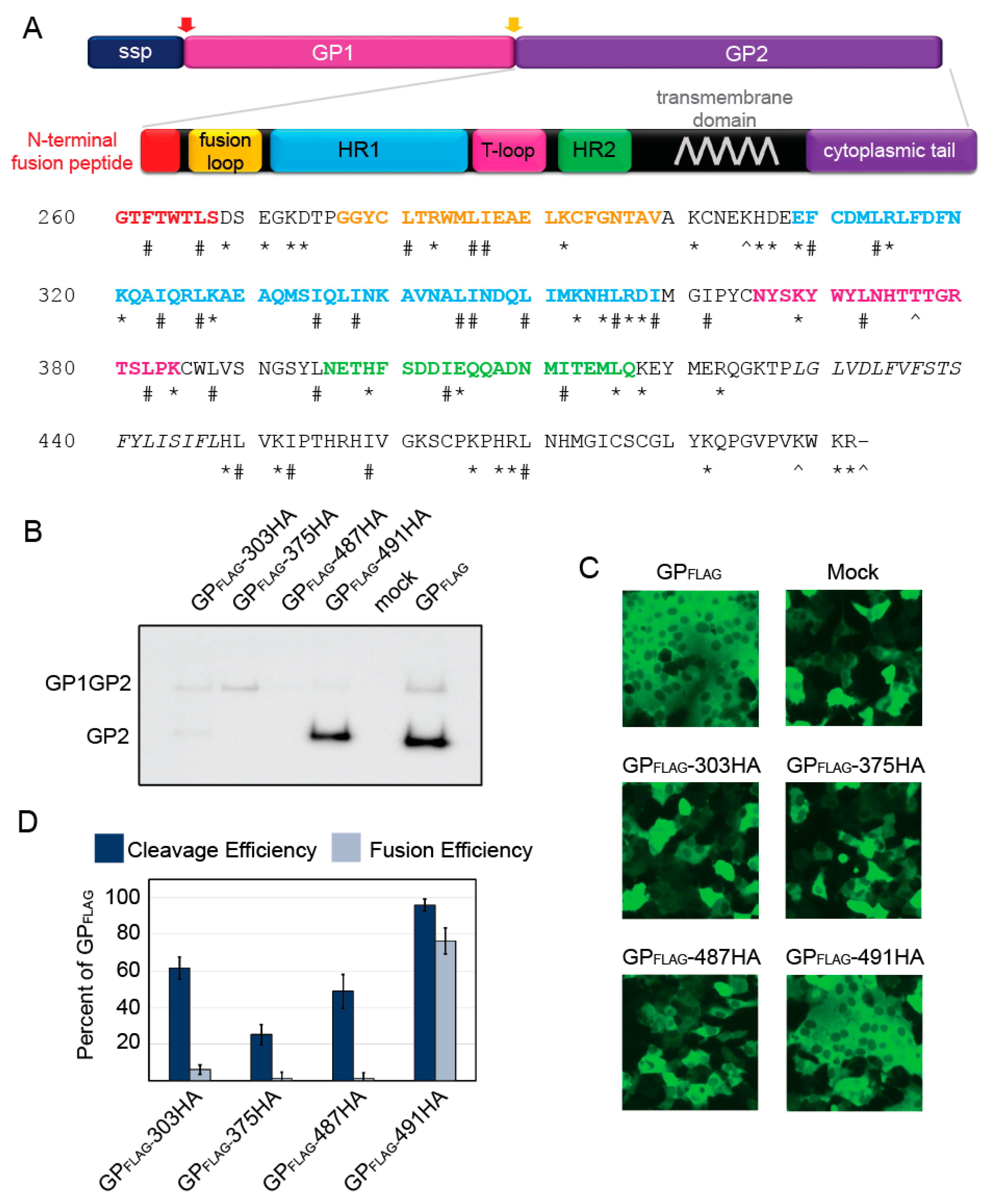
2.1. Insertional Mutagenesis
2.2. Characterization of Charged Constructs
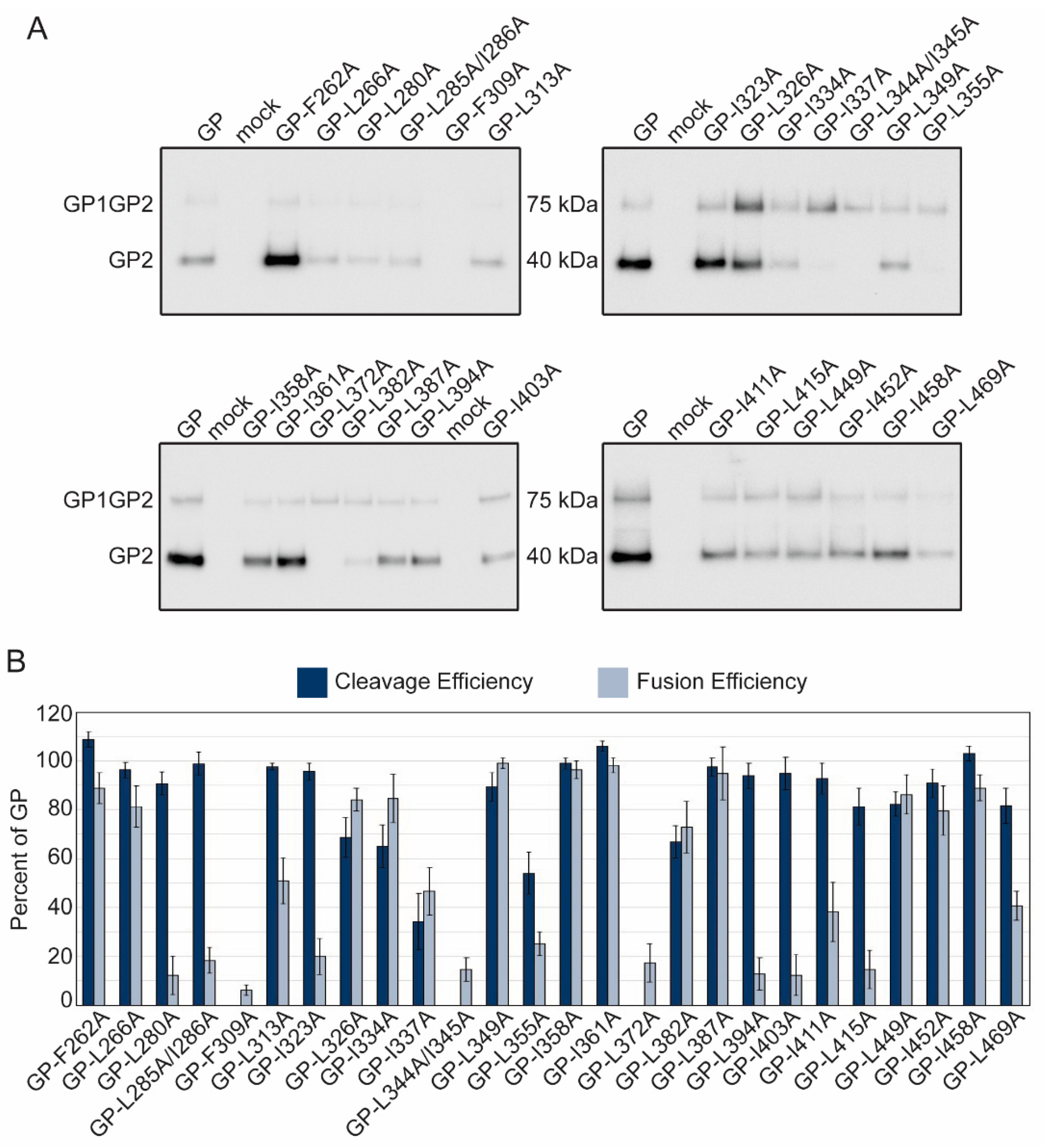
2.3. Characterization of Hydrophobic Residues
2.4. Transduction Efficiencies of Charged and Hydrophobic Mutants
3. Discussion
4. Materials and Methods
Author Contributions
Funding
Acknowledgments
Conflicts of Interest
References
- Maes, P.; Alkhovsky, S.V.; Bao, Y.; Beer, M.; Birkhead, M.; Briese, T.; Buchmeier, M.J.; Calisher, C.H.; Charrel, R.N.; Choi, I.R.; et al. Taxonomy of the family Arenaviridae and the order Bunyavirales: Update 2018. Arch. Virol. 2018, 163, 2295–2310. [Google Scholar] [CrossRef] [PubMed]
- Ogbu, O.; Ajuluchukwu, E.; Uneke, C.J. Lassa fever in West African sub-region: An overview. J. Vector Borne Dis. 2007, 44, 1–11. [Google Scholar] [PubMed]
- Fichet-Calvet, E.; Rogers, D.J. Risk maps of Lassa fever in West Africa. PLoS Negl. Trop. Dis. 2009, 3, e388. [Google Scholar] [CrossRef] [PubMed]
- Lassa Fever—Nigeria. Available online: http://www.who.int/csr/don/20-april-2018-lassa-fever-nigeria/en/ (accessed on 2 July 2018).
- Olayemi, A.; Cadar, D.; Magassouba, N.; Obadare, A.; Kourouma, F.; Oyeyiola, A.; Fasogbon, S.; Igbokwe, J.; Rieger, T.; Bockholt, S.; et al. New Hosts of The Lassa Virus. Sci. Rep. 2016, 6, 25280. [Google Scholar] [CrossRef] [PubMed]
- Monath, T.P.; Newhouse, V.F.; Kemp, G.E.; Setzer, H.W.; Cacciapuoti, A. Lassa virus isolation from Mastomys natalensis rodents during an epidemic in Sierra Leone. Science 1974, 185, 263–265. [Google Scholar] [CrossRef] [PubMed]
- Ajayi, N.A.; Ukwaja, K.N.; Ifebunandu, N.A.; Nnabu, R.; Onwe, F.I.; Asogun, D.A. Lassa fever—Full recovery without ribavarin treatment: A case report. Afr. Health Sci. 2014, 14, 1074–1077. [Google Scholar] [CrossRef]
- Prescott, J.B.; Marzi, A.; Safronetz, D.; Robertson, S.J.; Feldmann, H.; Best, S.M. Immunobiology of Ebola and Lassa virus infections. Nat. Rev. Immunol. 2017, 17, 195–207. [Google Scholar] [CrossRef]
- Yun, N.E.; Walker, D.H. Pathogenesis of Lassa fever. Viruses 2012, 4, 2031–2048. [Google Scholar] [CrossRef]
- Burri, D.J.; Pasqual, G.; Rochat, C.; Seidah, N.G.; Pasquato, A.; Kunz, S. Molecular characterization of the processing of arenavirus envelope glycoprotein precursors by subtilisin kexin isozyme-1/site-1 protease. J. Virol. 2012, 86, 4935–4946. [Google Scholar] [CrossRef]
- Kunz, S.; Edelmann, K.H.; de la Torre, J.C.; Gorney, R.; Oldstone, M.B. Mechanisms for lymphocytic choriomeningitis virus glycoprotein cleavage, transport, and incorporation into virions. Virology 2003, 314, 168–178. [Google Scholar] [CrossRef]
- Lenz, O.; ter Meulen, J.; Klenk, H.D.; Seidah, N.G.; Garten, W. The Lassa virus glycoprotein precursor GP-C is proteolytically processed by subtilase SKI-1/S1P. Proc. Natl. Acad. Sci. USA 2001, 98, 12701–12705. [Google Scholar] [CrossRef] [PubMed]
- Bederka, L.H.; Bonhomme, C.J.; Ling, E.L.; Buchmeier, M.J. Arenavirus stable signal peptide is the keystone subunit for glycoprotein complex organization. MBio 2014, 5, e02063. [Google Scholar] [CrossRef] [PubMed]
- Eichler, R.; Lenz, O.; Strecker, T.; Eickmann, M.; Klenk, H.D.; Garten, W. Identification of Lassa virus glycoprotein signal peptide as a trans-acting maturation factor. EMBO Rep. 2003, 4, 1084–1088. [Google Scholar] [CrossRef] [PubMed]
- Eichler, R.; Lenz, O.; Strecker, T.; Garten, W. Signal peptide of Lassa virus glycoprotein GP-C exhibits an unusual length. FEBS Lett. 2003, 538, 203–206. [Google Scholar] [CrossRef]
- Messina, E.L.; York, J.; Nunberg, J.H. Dissection of the role of the stable signal peptide of the arenavirus envelope glycoprotein in membrane fusion. J. Virol. 2012, 86, 6138–6145. [Google Scholar] [CrossRef] [PubMed]
- Hastie, K.M.; Igonet, S.; Sullivan, B.M.; Legrand, P.; Zandonatti, M.A.; Robinson, J.E.; Garry, R.F.; Rey, F.A.; Oldstone, M.B.; Saphire, E.O. Crystal structure of the prefusion surface glycoprotein of the prototypic arenavirus LCMV. Nat. Struct. Mol. Biol. 2016. [Google Scholar] [CrossRef] [PubMed]
- Jae, L.T.; Raaben, M.; Herbert, A.S.; Kuehne, A.I.; Wirchnianski, A.S.; Soh, T.K.; Stubbs, S.H.; Janssen, H.; Damme, M.; Saftig, P.; et al. Virus entry. Lassa virus entry requires a trigger-induced receptor switch. Science 2014, 344, 1506–1510. [Google Scholar] [CrossRef] [PubMed]
- Igonet, S.; Vaney, M.C.; Vonrhein, C.; Bricogne, G.; Stura, E.A.; Hengartner, H.; Eschli, B.; Rey, F.A. X-ray structure of the arenavirus glycoprotein GP2 in its postfusion hairpin conformation. Proc. Natl. Acad. Sci. USA 2011, 108, 19967–19972. [Google Scholar] [CrossRef] [PubMed]
- Eschli, B.; Quirin, K.; Wepf, A.; Weber, J.; Zinkernagel, R.; Hengartner, H. Identification of an N-terminal trimeric coiled-coil core within arenavirus glycoprotein 2 permits assignment to class I viral fusion proteins. J. Virol. 2006, 80, 5897–5907. [Google Scholar] [CrossRef] [PubMed]
- Cao, W.; Henry, M.D.; Borrow, P.; Yamada, H.; Elder, J.H.; Ravkov, E.V.; Nichol, S.T.; Compans, R.W.; Campbell, K.P.; Oldstone, M.B. Identification of alpha-dystroglycan as a receptor for lymphocytic choriomeningitis virus and Lassa fever virus. Science 1998, 282, 2079–2081. [Google Scholar] [CrossRef]
- Glushakova, S.E.; Lukashevich, I.S.; Baratova, L.A. Prediction of arenavirus fusion peptides on the basis of computer analysis of envelope protein sequences. FEBS Lett. 1990, 269, 145–147. [Google Scholar] [CrossRef]
- Klewitz, C.; Klenk, H.D.; ter Meulen, J. Amino acids from both N-terminal hydrophobic regions of the Lassa virus envelope glycoprotein GP-2 are critical for pH-dependent membrane fusion and infectivity. J. Gen. Virol. 2007, 88, 2320–2328. [Google Scholar] [CrossRef] [PubMed]
- Glushakova, S.E.; Omelyanenko, V.G.; Lukashevitch, I.S.; Bogdanov, A.A., Jr.; Moshnikova, A.B.; Kozytch, A.T.; Torchilin, V.P. The fusion of artificial lipid membranes induced by the synthetic arenavirus −fusion peptide−. Biochim. Biophys. Acta 1992, 1110, 202–208. [Google Scholar] [CrossRef]
- Li, S.; Sun, Z.; Pryce, R.; Parsy, M.L.; Fehling, S.K.; Schlie, K.; Siebert, C.A.; Garten, W.; Bowden, T.A.; Strecker, T.; et al. Acidic pH-Induced Conformations and LAMP1 Binding of the Lassa Virus Glycoprotein Spike. PLoS Pathog. 2016, 12, e1005418. [Google Scholar] [CrossRef] [PubMed]
- Cohen-Dvashi, H.; Israeli, H.; Shani, O.; Katz, A.; Diskin, R. The role of LAMP1 binding and pH sensing by the spike complex of Lassa virus. J. Virol. 2016. [Google Scholar] [CrossRef] [PubMed]
- Hulseberg, C.E.; Feneant, L.; Szymanska, K.M.; White, J.M. Lamp1 Increases the Efficiency of Lassa Virus Infection by Promoting Fusion in Less Acidic Endosomal Compartments. MBio 2018, 9. [Google Scholar] [CrossRef] [PubMed]
- White, J.M.; Delos, S.E.; Brecher, M.; Schornberg, K. Structures and mechanisms of viral membrane fusion proteins: Multiple variations on a common theme. Crit. Rev. Biochem. Mol. Biol. 2008, 43, 189–219. [Google Scholar] [CrossRef] [PubMed]
- Hastie, K.M.; Zandonatti, M.A.; Kleinfelter, L.M.; Heinrich, M.L.; Rowland, M.M.; Chandran, K.; Branco, L.M.; Robinson, J.E.; Garry, R.F.; Saphire, E.O. Structural basis for antibody-mediated neutralization of Lassa virus. Science 2017, 356, 923–928. [Google Scholar] [CrossRef]
- York, J.; Nunberg, J.H. A novel zinc-binding domain is essential for formation of the functional Junin virus envelope glycoprotein complex. J. Virol. 2007, 81, 13385–13391. [Google Scholar] [CrossRef]
- Acciani, M.; Alston, J.T.; Zhao, G.; Reynolds, H.; Ali, A.M.; Xu, B.; Brindley, M.A. Mutational Analysis of Lassa Virus Glycoprotein Highlights Regions Required for Alpha-Dystroglycan Utilization. J. Virol. 2017, 91. [Google Scholar] [CrossRef]
- Aftabuddin, M.; Kundu, S. Hydrophobic, hydrophilic, and charged amino acid networks within protein. Biophys. J. 2007, 93, 225–231. [Google Scholar] [CrossRef] [PubMed]
- Apellaniz, B.; Huarte, N.; Largo, E.; Nieva, J.L. The three lives of viral fusion peptides. Chem. Phys. Lipids 2014, 181, 40–55. [Google Scholar] [CrossRef] [PubMed]
- Mindell, J.A. Lysosomal acidification mechanisms. Annu. Rev. Physiol. 2012, 74, 69–86. [Google Scholar] [CrossRef] [PubMed]
- Van Meer, G. Transport and sorting of membrane lipids. Curr. Opin. Cell Biol. 1993, 5, 661–673. [Google Scholar] [CrossRef]
- Holthuis, J.C.; Menon, A.K. Lipid landscapes and pipelines in membrane homeostasis. Nature 2014, 510, 48–57. [Google Scholar] [CrossRef] [PubMed]
- Jae, L.T.; Raaben, M.; Riemersma, M.; van Beusekom, E.; Blomen, V.A.; Velds, A.; Kerkhoven, R.M.; Carette, J.E.; Topaloglu, H.; Meinecke, P.; et al. Deciphering the glycosylome of dystroglycanopathies using haploid screens for lassa virus entry. Science 2013, 340, 479–483. [Google Scholar] [CrossRef] [PubMed]
- Schoer, J.K.; Gallegos, A.M.; McIntosh, A.L.; Starodub, O.; Kier, A.B.; Billheimer, J.T.; Schroeder, F. Lysosomal membrane cholesterol dynamics. Biochemistry 2000, 39, 7662–7677. [Google Scholar] [CrossRef]
- Zaitseva, E.; Yang, S.T.; Melikov, K.; Pourmal, S.; Chernomordik, L.V. Dengue virus ensures its fusion in late endosomes using compartment-specific lipids. PLoS Pathog. 2010, 6, e1001131. [Google Scholar] [CrossRef]
- Ono, N.; Tatsuo, H.; Hidaka, Y.; Aoki, T.; Minagawa, H.; Yanagi, Y. Measles viruses on throat swabs from measles patients use signaling lymphocytic activation molecule (CDw150) but not CD46 as a cellular receptor. J. Virol. 2001, 75, 4399–4401. [Google Scholar] [CrossRef]
- Brindley, M.A.; Plattet, P.; Plemper, R.K. Efficient replication of a paramyxovirus independent of full zippering of the fusion protein six-helix bundle domain. Proc. Natl. Acad. Sci. USA 2014, 111, E3795–E3804. [Google Scholar] [CrossRef]
- Whitt, M.A. Generation of VSV pseudotypes using recombinant DeltaG-VSV for studies on virus entry, identification of entry inhibitors, and immune responses to vaccines. J. Virol. Methods 2010, 169, 365–374. [Google Scholar] [CrossRef] [PubMed]





| Mutant | GP2 Protein Expression 1 | Cleavage Efficiency 1 | Fusion Activity 1 |
|---|---|---|---|
| 303-HA | 14.3 ± 3.5 | 62.8 ± 6.1 | 6 ± 2.6 |
| 375-HA | 1.1 ± 0.1 | 25.4 ± 5.6 | 0 ± 3.6 |
| 487-HA | 1.6 ± 0.4 | 50.2 ± 9.1 | 0 ± 3.2 |
| 491-HA | 55.0 ± 16.1 | 98.5 ± 3.5 | 76.3 ± 7.1 |
| Mutant 1 | Mutant Type 2 | GP2 Protein Expression 3 | Cleavage Efficiency 3 | Fusion Activity 3 | Transduction Efficiency 3 | |
|---|---|---|---|---|---|---|
| HAP1 | HAP1-ΔDAG | |||||
| F262A | H | 198.3 ± 62.5 | 108.8 ± 3.1 | 88.9 ± 6.4 | 87.2 ± 5.2 | 94.7 ± 9.3 |
| L266A | H | 56.2 ± 6.7 | 96.3 ± 3.2 | 81.1 ± 8.4 | 71.5 ± 8.5 | 67.7 ± 11.4 |
| D268A | C | 118.6 ± 46.2 | 103.4 ± 4.2 | 10.8 ± 5.0 | 94.1 ± 1.8 | 86.0 ± 5.5 |
| E270A | C | 187.4 ± 41 | 104.1 ± 4.2 | 113.3 ±14.8 | 80.7 ± 6.7 | 71.1 ± 8.9 |
| K272A | C | 136.2 ± 17.3 | 97.7 ± 1.5 | 88.5 ± 11.8 | 88.5 ± 6.5 | 87.6 ± 13.2 |
| D273A | C | 101.4 ± 12.8 | 97.7 ± 2 | 77.1 ± 2.7 | 91.5 ± 4.2 | 76.2 ± 15.6 |
| L280A | H | 45 ± 12.2 | 90.7 ± 4.7 | 12.1 ± 7.9 | 6.1 ± 3.3 | 7.6 ± 7.1 |
| R282A | C | 80.7 ± 11.2 | 98.6 ± 0.7 | 10.1 ± 3.6 | 74.2 ± 5 | 53.5 ± 9.6 |
| L285A/I286A | H | 63.7 ± 13.5 | 98.9 ± 4.7 | 18.4 ± 5.4 | 4.2 ± 2.6 | 0.5 ± 0.5 |
| K291A | C | 43.4 ± 15.3 | 90.2 ± 1.8 | 58.5 ± 16.2 | 88.5 ± 6 | 92.8 ± 6.8 |
| K300A | C | 49 ± 16.5 | 88.1 ± 0.6 | 77.6 ± 6.5 | 100.8 ± 4.9 | 86.4 ± 10.6 |
| H305A | C | 95.8 ± 34.7 | 89.6 ± 0.7 | 82.2 ± 1.2 | 53.8 ± 8.8 | 43.2 ± 3.9 |
| D306A | C | 98.5 ± 31.1 | 85.8 ± 8.3 | 96 ± 8.1 | 67.8 ± 9.6 | 73.2 ± 8.9 |
| E308A | C | 0 ± 0 | 3.0 ± 1.0 | 18.2 ± 8.3 | ||
| F309A | H | 0 ± 0 | 0 ± 0 | 6.2 ± 2.1 | ||
| L313A | H | 63.9 ± 10 | 97.6 ± 1.4 | 50.8 ± 9.3 | 49.5 ± 12.8 | 41.5 ± 8.8 |
| R314A | C | 35.7 ± 11.8 | 78.1 ± 5.4 | 56.8 ± 11.2 | ||
| K320A | C | 118.6 ± 27.3 | 104.4 ± 3.5 | 96 ± 9.1 | 90.4 ± 3.4 | 75.3 ± 21 |
| I323A | H | 116.4 ± 26.2 | 95.6 ± 3.5 | 20 ± 7.3 | 0.5 ± 0.3 | 0 ± 0 |
| L326A | H | 57.3 ± 13.3 | 68.6 ± 8.1 | 84.1 ± 4.6 | 82.6 ± 6 | 73.6 ± 9.4 |
| K327A | C | 69.8 ± 12.8 | 93.4 ± 5.6 | 78.3 ± 9 | 95.0 ± 5.5 | 83.1 ± 8.7 |
| I334A | H | 18.8 ± 6.6 | 65 ± 8.8 | 84.7 ± 10 | ||
| I337A | H | 12.2 ± 4.9 | 34.2 ± 11.5 | 46.5 ± 9.6 | ||
| L344A/I345A | H | 0 ± 0 | 0 ± 0 | 14.7 ± 4.8 | ||
| L349A | H | 54.7 ± 15.1 | 89.3 ± 5.8 | 99.1 ± 2.2 | 64.4 ± 12.2 | 76.9 ± 4.6 |
| K352A | C | 32.1 ± 8.2 | 87.3 ± 5.3 | 90.3 ± 10.7 | 56.5 ± 9.5 | 68.5 ± 9.5 |
| H354A | C | 79.9 ± 26 | 90.8 ± 4.3 | 96.9 ± 3.5 | 89.7 ± 4.9 | 92.2 ± 8.7 |
| L355A | H | 14.8 ± 4.1 | 53.9 ± 8.7 | 25.2 ± 4.9 | ||
| K356A | C | 85.7 ± 37.1 | 93.6 ± 3.6 | 83.5 ± 13.3 | 36.8 ± 4.0 | 29.4 ± 5.5 |
| D357A | C | 39.4 ± 13.3 | 97.6 ± 2.2 | 40.6 ± 9.1 | ||
| I358A | H | 68.2 ± 11.7 | 99 ± 2.3 | 96.3 ± 3.7 | 75.1 ± 8.5 | 66.7 ± 9.9 |
| I361A | H | 117.5 ± 28.8 | 106 ± 2.1 | 98.1 ± 3.1 | 21.3 ± 11 | 24.1 ± 7.2 |
| K368A | C | 13.6 ± 2.8 | 54.3 ± 10.7 | 32.5 ± 9.6 | ||
| L372A | H | 0 ± 0 | 0 ± 0 | 17.3 ± 7.8 | ||
| L382A | H | 25.6 ± 8.9 | 66.8 ± 6.5 | 72.9 ± 10.5 | ||
| K384A | C | 24.2 ± 3.3 | 82.3 ± 9.2 | 64.6 ± 1.4 | 70.1 ± 3.3 | 55.1 ± 9.4 |
| L387A | H | 71.4 ± 16.4 | 97.4 ± 3.9 | 94.8 ± 10.8 | 43.3 ± 11.7 | 37.6 ± 5.9 |
| L394A | H | 45.7 ± 4.9 | 93.8 ± 5.3 | 12.8 ± 6.7 | 2 ± 1 | 0 ± 0 |
| H398A | C | 165 ± 93.7 | 98.7 ± 1.8 | 88.3 ± 14.8 | 90.5 ± 2.0 | 79.3 ± 5.6 |
| I403A | H | 57.8 ± 13.7 | 94.9 ± 6.7 | 12.3 ± 8.2 | 12.4 ± 1.4 | 13.8 ± 5.4 |
| E404A | C | 43.5 ± 19.8 | 97 ± 3 | 63.1 ± 4.3 | 96.3 ± 3.3 | 93.9 ± 2.9 |
| I411A | H | 63.7 ± 20.1 | 92.7 ± 6.4 | 38.1 ± 11.9 | ||
| L415A | H | 34.1 ± 10.7 | 81.3 ± 7.5 | 14.6 ± 7.8 | 0.3 ± 0.2 | 0 ± 0 |
| K417A | C | 22.1 ± 12.4 | 87.3 ± 11 | 29.5 ± 18 | ||
| R422A | C | 286.2 ± 138.8 | 97 ± 5.5 | 14.6 ± 10.1 | 23.4 ± 4.1 | 19.2 ± 6.2 |
| H448A | C | 560.5 ± 235.9 | 113 ± 3.7 | 64.9 ± 3.1 | 8.9 ± 5.6 | 9.8 ± 5.5 |
| L449A | H | 41.6 ± 16.9 | 82.2 ± 5 | 86.2 ± 8 | 89.3 ± 4.3 | 88.2 ± 7.4 |
| K451A | C | 225.4 ± 48.5 | 110.9 ± 1.6 | 84.1 ± 11.2 | 94.4 ± 4.9 | 81.3 ± 8.8 |
| I452A | H | 40.1 ± 13.5 | 90.8 ± 5.9 | 79.5 ± 10.1 | ||
| I458A | H | 95.7 ± 26.7 | 103 ± 3.1 | 88.9 ± 5.2 | 90.9 ± 4.2 | 97.9 ± 5.0 |
| K465A | C | 91.6 ± 28.9 | 101.4 ± 6 | 52.7 ± 14.8 | 3.8 ± 1.3 | 11.3 ± 2.1 |
| H467A/R468A | C | 0 ± 0 | 0 ± 0 | 2.4 ± 2.4 | ||
| L469A | H | 19.2 ± 3.1 | 81.7 ± 7.2 | 40.6 ± 5.9 | ||
| K481A | C | 393.2 ± 200.5 | 112.3 ± 3.3 | 74.9 ± 5.2 | 94.9 ± 6.7 | 83.8 ± 11.5 |
| K490A/R491A | C | 223.7 ± 64.1 | 103.6 ± 1.2 | 91.8 ± 7.1 | 102.8 ± 5.1 | 86.8 ± 9.3 |
© 2018 by the authors. Licensee MDPI, Basel, Switzerland. This article is an open access article distributed under the terms and conditions of the Creative Commons Attribution (CC BY) license (http://creativecommons.org/licenses/by/4.0/).
Share and Cite
Willard, K.A.; Alston, J.T.; Acciani, M.; Brindley, M.A. Identification of Residues in Lassa Virus Glycoprotein Subunit 2 That Are Critical for Protein Function. Pathogens 2019, 8, 1. https://doi.org/10.3390/pathogens8010001
Willard KA, Alston JT, Acciani M, Brindley MA. Identification of Residues in Lassa Virus Glycoprotein Subunit 2 That Are Critical for Protein Function. Pathogens. 2019; 8(1):1. https://doi.org/10.3390/pathogens8010001
Chicago/Turabian StyleWillard, Katherine A., Jacob T. Alston, Marissa Acciani, and Melinda A. Brindley. 2019. "Identification of Residues in Lassa Virus Glycoprotein Subunit 2 That Are Critical for Protein Function" Pathogens 8, no. 1: 1. https://doi.org/10.3390/pathogens8010001
APA StyleWillard, K. A., Alston, J. T., Acciani, M., & Brindley, M. A. (2019). Identification of Residues in Lassa Virus Glycoprotein Subunit 2 That Are Critical for Protein Function. Pathogens, 8(1), 1. https://doi.org/10.3390/pathogens8010001

