-
Health-Related Quality-of-Life Outcomes in Patients with Recessive and Dominant LGMD: A Comparative Cross-Sectional Study -
Examination of the Relationship Between Pain Intensity, Pain Perceptions, and Kinesiophobia in Patients with Non-Specific Chronic Musculoskeletal Pain -
The Role of Skeletal Muscle in Amyotrophic Lateral Sclerosis: State of the Art 2025
Journal Description
Muscles
Muscles
is an international, peer-reviewed, open access journal on muscle biology and physiology published quarterly online by MDPI. The Korean Society of Physical Medicine (KSPM) is affiliated with Muscles and its members receive discounts on the article processing charges.
- Open Access— free for readers, with article processing charges (APC) paid by authors or their institutions.
- High Visibility: indexed within ESCI (Web of Science), Scopus and other databases.
- Rapid Publication: manuscripts are peer-reviewed and a first decision is provided to authors approximately 20.9 days after submission; acceptance to publication is undertaken in 3.7 days (median values for papers published in this journal in the first half of 2025).
- Recognition of Reviewers: APC discount vouchers, optional signed peer review, and reviewer names published annually in the journal.
Latest Articles
Association of Skeletal Muscle Radiodensity and Skeletal Muscle Index with Immunotherapy Response in Metastatic Non-Small Cell Lung Cancer
Muscles 2025, 4(4), 51; https://doi.org/10.3390/muscles4040051 - 5 Nov 2025
Abstract
►
Show Figures
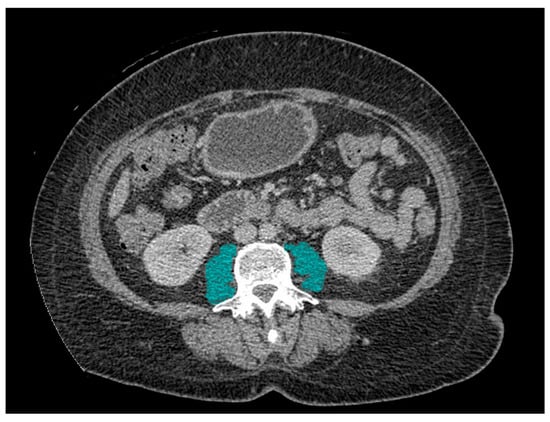
Sarcopenia and reduced skeletal muscle radiodensity have been proposed as potential biomarkers influencing the outcomes of immunotherapy in cancer patients. This retrospective study aimed to evaluate the prognostic significance of skeletal muscle index (SMI) and skeletal muscle radiodensity (SMD), assessed by means of
[...] Read more.
Sarcopenia and reduced skeletal muscle radiodensity have been proposed as potential biomarkers influencing the outcomes of immunotherapy in cancer patients. This retrospective study aimed to evaluate the prognostic significance of skeletal muscle index (SMI) and skeletal muscle radiodensity (SMD), assessed by means of computed tomography imaging at the L3 level, in 76 male patients with metastatic non-small cell lung cancer treated with PD-1/PD-L1 inhibitors. Patients were categorized into high and low SMI/SMD groups based on body mass index-adjusted cut-off values. Clinical outcomes included treatment response, overall survival, and immune-related adverse events. While no statistically significant differences in overall survival were observed between groups stratified by SMI or SMD, patients with higher SMD demonstrated a significantly greater disease control rate (56.22 ± 8.04 vs. 48.36 ± 10.34 HU; p = 0.031). Additionally, a statistically significant interaction was observed between PD-L1 expression and SMI (p = 0.027), indicating that muscle mass may influence the prognostic value of PD-L1. Neither SMI nor SMD were associated with immune-related adverse event incidence. Multivariate analysis identified PD-L1 expression ≥ 50% as the only independent predictor of longer overall survival (Hazard Ratio = 0.29; p = 0.001). In conclusion, while neither SMI nor SMD independently predicted overall survival, SMD was associated with treatment response. Notably, SMI modified the prognostic relevance of PD-L1 expression, suggesting a potential role for muscle mass in refining immunotherapy stratification.
Full article
Open AccessArticle
Hamstring Strain Injury Risk in Soccer: An Exploratory, Hypothesis-Generating Prediction Model
by
Afxentios Kekelekis, Rabiu Muazu Musa, Pantelis T. Nikolaidis, Filipe Manuel Clemente and Eleftherios Kellis
Muscles 2025, 4(4), 50; https://doi.org/10.3390/muscles4040050 - 4 Nov 2025
Abstract
Hamstring strain injuries (HSI) are common in soccer and remain challenging to predict, as traditional risk factors often fail to capture the multifactorial nature of injury susceptibility. This prospective cohort study aimed to develop and internally validate a machine learning-assisted logistic regression model
[...] Read more.
Hamstring strain injuries (HSI) are common in soccer and remain challenging to predict, as traditional risk factors often fail to capture the multifactorial nature of injury susceptibility. This prospective cohort study aimed to develop and internally validate a machine learning-assisted logistic regression model for predicting hamstring injuries in amateur soccer players using preseason clinical and strength-related variables. A total of 120 male players were followed for one competitive season (30 weeks). Baseline predictors included age, body mass index, previous injury, and bilateral isometric hip and knee strength measured via handheld dynamometry. Twenty initial predictors were reduced to ten through symmetrical uncertainty feature ranking before training a logistic regression model with elastic-net regularization (training set: n = 83; test set: n = 37) using nested four-fold cross-validation. Model performance was evaluated using the area under the receiver operating characteristic curve (AUC), calibration metrics, and confusion matrices. During follow-up, 21 players sustained at least one HSI (32 events; 28% reinjuries), yielding an events-per-variable ratio of 2.1, below ideal thresholds and suggesting possible overfitting. On the independent test set, the model achieved an accuracy of 64.9%, AUC of 0.68 (95% CI 0.52–0.84), calibration slope of 0.85, and intercept of −0.12, with a sensitivity of 60% and specificity of 65.6%. Dominant-leg hip abduction strength was the only statistically significant predictor (OR = 0.82, 95% CI 0.70–0.96), while permutation importance analyses identified previous hamstring injury as the most stable contributor to model performance. Neither age nor hamstring isometric strength demonstrated predictive value. Although model discrimination was moderate and calibration indicated mild overfitting, findings reinforce the prognostic relevance of prior injury and suggest that reduced hip abduction strength may serve as an emerging candidate marker. This study, classified as a TRIPOD Category 2 model (development without external validation), provides preliminary, hypothesis-generating evidence supporting the use of multivariate strength and history-based predictors in future, larger-scale injury prediction research.
Full article
(This article belongs to the Special Issue Muscle Function and Neuromuscular Disorders: AI and Biomechanics in Diagnosis and Rehabilitation)
►▼
Show Figures

Figure 1
Open AccessSystematic Review
The Effect of Neck-Specific Exercise with or Without a Behavioral Approach in Chronic Whiplash-Associated Disorders: A Systematic Review and Meta-Analysis
by
Luís Correia, Paulo Carvalho, Luísa Amaral, Mário Esteves, Rui Vilarinho and Mariana Cervaens
Muscles 2025, 4(4), 49; https://doi.org/10.3390/muscles4040049 - 27 Oct 2025
Abstract
►▼
Show Figures
Chronic whiplash-associated disorders describe a cluster of symptoms that result from a sudden neck acceleration/deceleration movement, including pain, musculoskeletal and neurological signs, inducing functional disability. The aim of this study was to compare the effects of physiotherapy treatment based on neck-specific exercises, with
[...] Read more.
Chronic whiplash-associated disorders describe a cluster of symptoms that result from a sudden neck acceleration/deceleration movement, including pain, musculoskeletal and neurological signs, inducing functional disability. The aim of this study was to compare the effects of physiotherapy treatment based on neck-specific exercises, with or without a behavioral approach, in individuals with whiplash-associated disorders. Computerized research was performed in PubMed, PEDro, National Institute for Health and Care Excellence, and ScienceDirect to identify randomized controlled trials that evaluated the effectiveness of neck-specific exercises, with or without a behavioral approach, for chronic whiplash. For the meta-analysis, the outcomes of pain and disability were assessed. Thirteen studies were included in the systematic review, with a total of 2427 participants of both sexes, with ages between 18 and 63 years. Although interventions with a behavioral approach decreased pain and disability more significantly in 4 and 6 studies when compared to neck-specific exercises without such an approach, respectively, the meta-analysis revealed no differences between them. Although interventions for chronic whiplash-associated disorders based on neck-specific exercises with a behavioral approach seem to be more effective in reducing pain and disability, there is no quantitative difference favoring one over the other.
Full article

Figure 1
Open AccessArticle
Pretreatment of Mice with 830 nm Light Enhances Endurance During Acute Exercise
by
Nashwa Cheema, Namrata Ghag, Linh Pham, Emma Wise, Christiane Fuchs, Rox Anderson and Joshua Tam
Muscles 2025, 4(4), 48; https://doi.org/10.3390/muscles4040048 - 23 Oct 2025
Abstract
►▼
Show Figures
Light therapy has been shown to produce several beneficial physiological effects in a wide range of tissues. The musculoskeletal system can be irradiated with deeply penetrating wavelengths in near infrared (NIR) regions. Photobiomodulation therapy (PBMT) reduces pain and inflammation and enhances physical performance.
[...] Read more.
Light therapy has been shown to produce several beneficial physiological effects in a wide range of tissues. The musculoskeletal system can be irradiated with deeply penetrating wavelengths in near infrared (NIR) regions. Photobiomodulation therapy (PBMT) reduces pain and inflammation and enhances physical performance. However, the mechanism(s) of cellular responses to PBMT in muscle is not clearly understood. Therefore, the goal of this study is to improve our understanding of the mechanism(s) of action of PBMT effects in exercised and sedentary muscle. In sedentary mice, PBMT using a wavelength of 830 nm increased the gene expression for muscle tissue development, including cFos, which is critical for activating interstitial and satellite cells that repair muscle. Immunostaining for cFOS expression confirmed an increase in the number of activated cells in PBMT-treated muscle. We observed that PBMT-treated mice showed increased performance on the treadmill, reduced muscle fiber damage, and altered mitochondrial structure. RNA sequencing from fatigued TA tissue suggested that PBMT treatment increased the gene expression of tissue regeneration and remodeling, suggesting tissue adaptation and muscle repair after exercise with PBMT. In conclusion, our study suggests that the 830 nm wavelength may have altered the muscle by activating regenerative genes that protect the tissue from exercise-induced cellular stress.
Full article

Figure 1
Open AccessArticle
Maximal Respiratory Muscle Strength in Singaporean Adults: Normative Reference Values and Predictive Models from a Cross-Sectional Study
by
Katherin S. Huang, Filzah Diana Binte Roslan, Hong Hin Cheong, Jeremy J. Woo, Kian Wee Tan, Kim Swee, Shu-Ying Liang, Wei Xi Lau and Meredith T. Yeung
Muscles 2025, 4(4), 47; https://doi.org/10.3390/muscles4040047 - 20 Oct 2025
Abstract
►▼
Show Figures
Maximal inspiratory pressure (MIP) and maximal expiratory pressure (MEP) are commonly used proxies to measure respiratory muscle strength. Current literature lacks recent large-scale normative reference values (NRV) for these pressures in healthy Singaporean adults. Moreover, no consensus exists on the variables that could
[...] Read more.
Maximal inspiratory pressure (MIP) and maximal expiratory pressure (MEP) are commonly used proxies to measure respiratory muscle strength. Current literature lacks recent large-scale normative reference values (NRV) for these pressures in healthy Singaporean adults. Moreover, no consensus exists on the variables that could influence MIP and MEP. This cross-sectional study aims to: (1) establish the NRV of MIP and MEP; (2) determine the correlations of variables that could influence these pressures; and (3) develop regression equations using non-spirometry variables to estimate reference values for MIP and MEP in the healthy Singaporean population aged 21 to 80 years. MIP and MEP were measured alongside demographic and anthropometric data collected from 391 participants (202 females, 189 males) recruited via convenience sampling. Median MIP and MEP values were significantly higher in males (112 and 85 cmH2O) than in females (83 and 64 cmH2O). Spearman correlations revealed significant associations between MIP/MEP and gender, height, weight, body mass index (BMI), waist–hip ratio, and spirometric variables. Regression models using age, gender, height, and weight explained 27.5% and 32.1% of the variance in MIP and MEP, respectively. This study updated the NRV of MIP and MEP and provided practical predictive equations for assessing respiratory muscle strength in Singapore.
Full article

Figure 1
Open AccessEditorial
2025: A Year of Great Success for Muscles
by
Guglielmo Duranti
Muscles 2025, 4(4), 46; https://doi.org/10.3390/muscles4040046 - 17 Oct 2025
Abstract
►▼
Show Figures
MDPI’s Muscles is celebrating a highly positive 2025 [...]
Full article

Figure 1
Open AccessArticle
An Exploratory Study of Biceps Brachii Electromyographic Activity During Traditional Dumbbell Versus Bayesian Cable Curls
by
Koulla Parpa, Antreas Vasiliou, Marcos Michaelides, Karuppasamy Govindasamy, Anton Chernov and Konstantina Intziegianni
Muscles 2025, 4(4), 45; https://doi.org/10.3390/muscles4040045 - 13 Oct 2025
Abstract
►▼
Show Figures
Although previous studies have examined various factors that influence biceps brachii activation, such as grip position, load, and exercise variation, to our knowledge, no prior studies have compared muscle activation during a traditional biceps curl and a Bayesian cable curl. Therefore, this study
[...] Read more.
Although previous studies have examined various factors that influence biceps brachii activation, such as grip position, load, and exercise variation, to our knowledge, no prior studies have compared muscle activation during a traditional biceps curl and a Bayesian cable curl. Therefore, this study aimed to examine the differences in biceps brachii muscle activation between these two training modalities. Data from eleven volunteers (age: 25 ± 6 y; weight: 86 ± 13 kg; height: 177 ± 8 cm) were included in the analysis. Muscle activity was assessed using the normalized root mean square (RMS) values obtained from surface electromyography (sEMG). A within-subjects, counterbalanced design was utilized where all participants completed both testing conditions in a randomized order to control for potential order effects. Participants visited the laboratory and fitness center on two occasions. On the first day, anthropometric measurements were obtained, along with one repetition maximum (1-RM) for both the dumbbell biceps curl and the Bayesian curl. On the second day, participants performed an isometric maximal voluntary contraction (MVC), followed by electromyographic assessment of muscle activity during the dumbbell biceps curl and the Bayesian curl, each performed at 80% of their respective 1-RM. When the normal distribution was confirmed via the Shapiro–Wilk test (p > 0.05), a paired t-test was used for statistical analysis. On the other hand, when normality was not confirmed, the Wilcoxon test was utilized. Statistically significant differences (p = 0.003) were observed in the EMG amplitude (%) between the biceps curl (111.46 ± 26.80) and the Bayesian curl (93.39 ± 15.65) with a large effect size (d = 0.82). Based on the EMG analysis, the dumbbell biceps curl elicited significantly greater muscle activation compared to the Bayesian curl, suggesting that the conventional movement places a higher mechanical and neuromuscular demand on the biceps brachii.
Full article

Figure 1
Open AccessArticle
Hamstring Strength and Architectural Properties Are Associated with Running Biomechanics
by
Nicholas Ripley, Christopher Bramah, Paul Comfort and John McMahon
Muscles 2025, 4(4), 44; https://doi.org/10.3390/muscles4040044 - 13 Oct 2025
Abstract
Applied muscular strain and hamstring strain capacity have a joint interaction on hamstring strain injury (HSI) with modifiable risk factors frequently assessed. However, to date there is limited observations on the interaction between these factors. The purpose of the present study was to
[...] Read more.
Applied muscular strain and hamstring strain capacity have a joint interaction on hamstring strain injury (HSI) with modifiable risk factors frequently assessed. However, to date there is limited observations on the interaction between these factors. The purpose of the present study was to observe if spatiotemporal characteristics, running kinematics and muscle activation were related to modifiable risk factors of HSI. Twenty-two competitive team sport athletes (24.7 ± 4.3 years, 1.82 ± 0.07 m, 84.9 ± 8.5 kg) participated whereby the Bicep femoris long head (BFLH) fascicle length assessed via ultrasound and isokinetic eccentric hamstring strength was assessed. With running assessment performed at 18 km/h, capturing running kinematics and muscle activation. Multiple linear regressions were used to examine the relationship of running kinematics and muscle activation on the modifiable risk factors of HSI on. The overall model (F2,19) was statistically significant for both relative eccentric hamstring strength (F = 23.58, p < 0.001) and BFLH fascicle length (F = 18.87, p < 0.001) highlighting spatiotemporal characteristics, running kinematics and hamstring activation were found to be significantly related to the modifiable risk factors. There is a complex interrelationship between running mechanics and hamstring muscle properties, with the potential of either cause or consequence association.
Full article
Open AccessArticle
AppER: Design and Validation of a Mobile Application for Caregivers of Patients with Duchenne Muscular Dystrophy and Their Families in Spain and Latin America
by
Jaume Barrera, Imanol Amayra, David Contreras, Alicia Aurora Rodríguez, Nicole Passi, Javiera Ortega and Óscar Martínez
Muscles 2025, 4(4), 43; https://doi.org/10.3390/muscles4040043 - 10 Oct 2025
Abstract
►▼
Show Figures
Aim: The study developed and validated AppER, an mHealth tool for informal caregivers of children with Duchenne Muscular Dystrophy, and examined differences between app users and non-users. Methods: Four phases were followed: (1) focus groups with experts and caregivers to identify care-related domains;
[...] Read more.
Aim: The study developed and validated AppER, an mHealth tool for informal caregivers of children with Duchenne Muscular Dystrophy, and examined differences between app users and non-users. Methods: Four phases were followed: (1) focus groups with experts and caregivers to identify care-related domains; (2) prototype development and validity testing (CVR, I-CVI, I-FVI) using the MARS scale; (3) implementation of the final app; and (4) psychosocial profiling of 88 caregivers (42 users and 46 non-users) measuring quality of life, dependency, somatic symptoms, and coping strategies. Results: AppER showed high content and face validity, surpassing reference thresholds. In the psychosocial analysis, users reported lower perceived quality of life than non-users, despite no significant differences in dependency, somatic symptoms, or coping strategies. Conclusions: Employment patterns differed: more users were dedicated to household tasks, while more non-users were self-employed, suggesting economic factors may affect app uptake and quality of life perceptions. Findings indicate AppER is a valid, well-rated support tool, and that caregivers with lower perceived quality of life may be more inclined to adopt digital health solutions, potentially to address complex care demands. Designing targeted digital interventions may be particularly valuable for those in less favorable socioeconomic contexts. Because of the small sample and between-group imbalances, results are exploratory and warrant confirmation in larger, balanced samples.
Full article

Figure 1
Open AccessArticle
Guidelines for Sport Compressive Garments Design: Finite Element Simulations Approach
by
Alessandro Cudicio, Marta Cogliati and Gianluca Rizzi
Muscles 2025, 4(4), 42; https://doi.org/10.3390/muscles4040042 - 9 Oct 2025
Abstract
►▼
Show Figures
Purpose: Despite significant attention being paid to compression garments (CG) in the sports field, there remains ongoing debate regarding their actual effectiveness in enhancing athletic performance and expediting post-exercise recovery. This article examines their various aspects, with a focus on CG design and
[...] Read more.
Purpose: Despite significant attention being paid to compression garments (CG) in the sports field, there remains ongoing debate regarding their actual effectiveness in enhancing athletic performance and expediting post-exercise recovery. This article examines their various aspects, with a focus on CG design and the materials they are made of, aiming to analyze the importance of personalized compression strategies based on individual anthropometric measurements and non-linear compression designs. Methods: Using anthropometric analysis of 40 healthy participants, this study examines the morphological characteristics of the lower limb and their implications for CG design. Results: Measurements of limb length and circumferences revealed complex interactions among anatomical variables, emphasizing the need for customized and adaptable device design. Finite element simulations clarified the challenges in achieving uniform pressure gradients along the lower limb, highlighting the limitations of one-piece devices and suggesting tailored segmented designs for individual limb segments. Conclusion: The results demonstrate that one-piece devices often fail to provide optimal compression due to non-linear variations in limb dimensions. Conversely, segmented devices, particularly those with bilinear progression, exhibited superior performance in applying targeted compression across different limb segments. This more detailed approach to customization could significantly contribute to optimizing outcomes and user comfort.
Full article

Figure 1
Open AccessArticle
Psoas Muscle Index Predicts Perioperative Mortality in Patients Undergoing LVAD Implantation
by
Steven Hopkins, Paulomi Gohel, Sakshi Gandhi, Moiz Nasir, William Stallings and Eman Hamad
Muscles 2025, 4(3), 41; https://doi.org/10.3390/muscles4030041 - 22 Sep 2025
Abstract
►▼
Show Figures
Background: Sarcopenia is associated with adverse surgical outcomes across multiple specialties. The psoas muscle index (PMI), a radiologic marker of sarcopenia, may offer prognostic value in patients undergoing left ventricular assist device (LVAD) implantation, a population frequently characterized by frailty and high perioperative
[...] Read more.
Background: Sarcopenia is associated with adverse surgical outcomes across multiple specialties. The psoas muscle index (PMI), a radiologic marker of sarcopenia, may offer prognostic value in patients undergoing left ventricular assist device (LVAD) implantation, a population frequently characterized by frailty and high perioperative risk. Methods: We conducted a single-center retrospective study of 32 patients who underwent LVAD implantation between 2017 and 2022 and had preoperative CT imaging within 45 days. PMI was calculated from bilateral psoas muscle area at the L3 vertebral level, normalized to height. Sarcopenia was defined as the lowest sex-specific quartile of PMI. Primary outcomes were overall survival (OS), 90-day mortality, and postoperative length of stay (LOS). Results: Eight patients (25%) met criteria for sarcopenia. Sarcopenic and non-sarcopenic groups had similar demographics, comorbidities, and nutritional status. While there were no significant differences in overall, 90-day, or 1-year mortality between groups, among those who died post-implantation, the sarcopenic group had significantly shorter OS (median 38 vs. 597 days, p = 0.006). All sarcopenic deaths occurred within 90 days post-implant. LOS did not differ significantly between groups. Conclusions: PMI-defined sarcopenia was associated with early postoperative mortality among LVAD recipients, though not with overall or long-term mortality.
Full article

Figure 1
Open AccessArticle
Neck Pain in Dental Education: A Cross-Sectional Analysis of Neck Strength Differences
by
Manuel B. Almeida, Marion Moreira, Paula Moleirinho-Alves and Raúl Oliveira
Muscles 2025, 4(3), 40; https://doi.org/10.3390/muscles4030040 - 17 Sep 2025
Abstract
►▼
Show Figures
This study aimed to investigate if there are differences in neck strength between dental students in their fourth and fifth years, with and without neck pain. Neck muscle strength was assessed in flexion, extension, and lateral flexion to both sides using a handheld
[...] Read more.
This study aimed to investigate if there are differences in neck strength between dental students in their fourth and fifth years, with and without neck pain. Neck muscle strength was assessed in flexion, extension, and lateral flexion to both sides using a handheld dynamometer while participants performed maximum voluntary isometric contractions with a make test procedure. Differences between groups were evaluated through a one-way analysis of variance followed by Tukey’s post hoc comparison. Forty-three students (twenty-one fourth-year and twenty-two fifth-year students) participated in the study. Fifth-year students with neck pain (P5) (n = 14) showed less strength (p = 0.018) compared to the no-pain group (NP) (n = 15) in neck flexion and lateral flexion for both sides (p < 0.001). The fourth-year symptomatic students (P4) (n = 14) showed reduced right lateral flexion strength compared to the NP group (p = 0.035). No significant differences were observed in neck extension across all groups (p = 0.085). Our research indicates a progressive decline in neck muscle strength in flexion and lateral flexion among students with neck pain over their training years. Our findings suggest that this may be linked to the increasing mechanical demands of clinical practice during training, potentially affecting muscle balance and cervical function. This pain could be associated with changes in motor behavior and reduced cervical muscle strength.
Full article

Figure 1
Open AccessArticle
Annular Ligament Instability in Lateral Elbow Pathology: Objective Confirmation Through a Cadaveric Study
by
Daniel Berlanga de Mingo, Guillem Paz Ramírez, Arnau Moreno Garcia, Maria Tibau Alberdi, Diana Noriego Muñoz, Miguel Pérez Abad, Giacomo Rossettini, Jorge Hugo Villafañe, César Abellán Miralles, Montserrat del Valle Jou, Àngel Ferreres Claramunt and Alfonso Rodríguez Baeza
Muscles 2025, 4(3), 39; https://doi.org/10.3390/muscles4030039 - 15 Sep 2025
Abstract
►▼
Show Figures
Background: The annular ligament is a key secondary stabilizer of the elbow, but its biomechanical behavior during forearm rotation has not been objectively quantified. This study aimed to assess interindividual variability in annular ligament tension, validate prior arthroscopic observations, and explore associations with
[...] Read more.
Background: The annular ligament is a key secondary stabilizer of the elbow, but its biomechanical behavior during forearm rotation has not been objectively quantified. This study aimed to assess interindividual variability in annular ligament tension, validate prior arthroscopic observations, and explore associations with chondral lesions in the lateral elbow compartment. Methods: In this cross-sectional anatomical study, 25 cadaveric upper limbs were analyzed following standardized dissection, preserving ligamentous and muscular integrity. Ligament displacement was measured using a custom mechanical apparatus and high-precision digital micrometer in neutral, 60° pronation, and 60° supination positions under axial tractions of 1, 2, and 3 kg. Ulnar length and presence of chondral lesions were also recorded. Results: Maximal ligament displacement occurred in supination in 80% of specimens (mean: 1.23 mm at 3 kg; range: 0.30–2.87 mm), indicating considerable interindividual variation. Significant displacement differences were observed between all forearm positions across load levels (p < 0.001). Chondral lesions were identified in three specimens with marked ligament laxity and reduced radial head coverage. Conclusions: This study provides the first objective evidence of annular ligament tension variability during forearm rotation. Ligament laxity may contribute to lateral elbow instability and cartilage degeneration, supporting the ligament’s role as a secondary stabilizer.
Full article

Figure 1
Open AccessArticle
Beyond Sex Differences: Body Composition and Dietary Behaviors
by
Cassandra Evans, Jaime Tartar, Jonathan Banks, Jennifer Austin and Jose Antonio
Muscles 2025, 4(3), 38; https://doi.org/10.3390/muscles4030038 - 3 Sep 2025
Abstract
Dietary behaviors influence nutrient intake and body composition, both of which are important determinants of an individual’s overall health. This study investigated sex differences in the associations between dietary behaviors and body composition. Using a cross-sectional design, adults completed the three-factor eating questionnaire
[...] Read more.
Dietary behaviors influence nutrient intake and body composition, both of which are important determinants of an individual’s overall health. This study investigated sex differences in the associations between dietary behaviors and body composition. Using a cross-sectional design, adults completed the three-factor eating questionnaire (TFEQ-R18) and food cravings (FCI) to assess dietary behaviors. Body composition was assessed using bioelectrical impedance analysis. Relative to males, there were significantly higher levels of cognitive restraint and emotional eating in females. Males exhibited greater cravings for fatty foods and a higher frequency of acting on those cravings. Body fat percentage was positively correlated with emotional eating and cognitive restraint in both sexes. These results suggest that gender and body fat are key factors related to dietary behaviors.
Full article
Open AccessArticle
Muscular Performance Is Not Significantly Altered Throughout Phases of the Menstrual Cycle or a Hormonal Contraceptive Cycle in Collegiate Softball Players
by
Shelby L. Houchlei, Sarah N. Wood, Sarah E. Peters, Shane K. Miller, Taylor K. Dinyer-McNeely and Ryan A. Gordon
Muscles 2025, 4(3), 37; https://doi.org/10.3390/muscles4030037 - 2 Sep 2025
Abstract
►▼
Show Figures
Potential variability in neuromuscular function or physiology throughout the menstrual cycle (MC) or a cycle of using hormonal contraceptives may affect muscular performance variables that are relevant to exercise, training, or sport. Collegiate softball players (n = 11) that reported using and not
[...] Read more.
Potential variability in neuromuscular function or physiology throughout the menstrual cycle (MC) or a cycle of using hormonal contraceptives may affect muscular performance variables that are relevant to exercise, training, or sport. Collegiate softball players (n = 11) that reported using and not using hormonal contraceptives completed three testing sessions during their respective early follicular, ovulatory, and mid luteal phases of the MC or early, mid, or late phases of their hormonal contraceptive cycle (HCC). Each testing session included a series of performance tests: countermovement jump on a force plate, 15-yard sprints, velocity assessment of the back squat performed at 70% of one-repetition maximum (1-RM), one-repetition maximum bench press, and 70% 1-RM repetitions to failure testing on the bench press. No significant differences were found for any of the performance tests between the three phases, though performance on most tasks peaked during the mid luteal/late phases of the MC/HCC. It is important to note that this study was underpowered and this could have masked any observed differences. Collectively, muscular performance was not significantly different throughout phases of the MC or HCC in these athletes, indicating that potential hormonal variability throughout the MC or HCC did not seem to have an effect on performance outcomes in this study.
Full article

Figure 1
Open AccessArticle
πForce—Repeatability and Reliability of Peak Force and Rate of Force Development in a Portable Multi-Exercise Device
by
Ricardo Pimenta and Abel Pimenta
Muscles 2025, 4(3), 36; https://doi.org/10.3390/muscles4030036 - 1 Sep 2025
Cited by 1
Abstract
►▼
Show Figures
Isometric strength is widely used to monitor training adaptations, assess neuromuscular fatigue, and play a critical role in the maintenance of muscle health. This study assessed repeatability (intra-session) and reliability (inter-session) of a force production machine in different exercises: Isometric Mid-Thigh Pull (IMTP),
[...] Read more.
Isometric strength is widely used to monitor training adaptations, assess neuromuscular fatigue, and play a critical role in the maintenance of muscle health. This study assessed repeatability (intra-session) and reliability (inter-session) of a force production machine in different exercises: Isometric Mid-Thigh Pull (IMTP), Knee Flexion (KF) at 30°, and Seated Calf Raise (SCR). Parameters measured included Peak Force (PF), RFD at 0–50, 0–100, 0–150, 0–200, 50–100, 100–150 and 150–200 ms. Thirty male individuals (IMTP = 30; KF = 11 and SCR = 30) participated (age: 20.6 ± 3.6 years, mass: 75.3 ± 7.5 kg, height: 1.80 ± 0.64 m). Repeatability and reliability were calculated for bilateral PF and RFD for IMTP and SCR, and unilateral for KF. PF demonstrated good to excellent repeatability in all exercises: IMTP (ICC = 0.93), KF (left: ICC = 0.98; right: ICC = 0.97), SCR (ICC = 0.84). RFD displayed poor to good repeatability in IMTP (ICC = 0.45–0.87) and SCR (ICC = 0.40–0.85), moderate to excellent repeatability in KF (left: ICC = 0.53–0.96; right: ICC = 0.61–0.92). PF reliability was excellent in IMTP (ICC = 0.93) and KF (left: ICC = 0.99; right: ICC = 0.97), and moderate in SCR (ICC = 0.64). RFD reliability was moderate to excellent in IMTP (ICC = 0.58–0.94), poor to good in SCR (ICC = 0.13–0.64), and poor to excellent in KF (left: ICC = 0.33–0.96; right: ICC = −0.19–0.95). This study shows that portable dynamometry can measure maximal and explosive strength in different exercises, demonstrating good reliability for most parameters in IMTP and KF.
Full article

Figure 1
Open AccessArticle
Baicalin Improves Skeletal Muscle Atrophy by Attenuating DRP-1-Mediated Mitochondrial Fission in Aged Mice
by
Hla Myat Mo Mo and Jong Han Lee
Muscles 2025, 4(3), 35; https://doi.org/10.3390/muscles4030035 - 19 Aug 2025
Abstract
►▼
Show Figures
Baicalin is a natural flavonoid that has anti-apoptotic and anti-inflammatory effects. It shows some beneficial effects on muscle atrophy. However, its effects on age-related muscle atrophy are poorly understood. In this paper, we investigated whether baicalin exerts protective effect against skeletal muscle atrophy
[...] Read more.
Baicalin is a natural flavonoid that has anti-apoptotic and anti-inflammatory effects. It shows some beneficial effects on muscle atrophy. However, its effects on age-related muscle atrophy are poorly understood. In this paper, we investigated whether baicalin exerts protective effect against skeletal muscle atrophy and its underlying mechanisms in aged mice using the grip strength test, histological analysis, and Western blots. Baicalin increased total muscle mass and strength in aged mice. Consistently, the cross-sectional area of quadriceps (QD) muscle significantly increased in both baicalin-administrated groups. Moreover, baicalin induced a shift in muscle fiber size distribution toward large fibers in both groups of mice. Expression levels of muscle atrophic factors, such as myostatin (MSTN) and atrogin-1, as well as pro-inflammatory cytokines, including tumor necrosis factor-alpha (TNF-α) and interleukin-6 (IL-6), were elevated in aged mice, but these increases were reduced by baicalin. While mitochondrial fission regulator, dynamin-related protein 1 (DRP-1), and apoptosis-related protein (apoptotic protease activating factor 1 (Apaf-1)) expressions were higher in aged mice than young mice, and their expression were downregulated following baicalin administration. The comprehensive results of this study suggest that baicalin provides beneficial effects on the treatment of sarcopenia not only by suppressing muscle atrophic factor expression and inflammation but also attenuating DRP-1-mediated mitochondrial fission and apoptosis.
Full article

Figure 1
Open AccessArticle
Comparative Effects of Blood Flow Restriction and Traditional Strength Training on Proximal Shoulder Musculature: A Randomized Clinical Trial
by
Lucas Ghionna, Léa Ruppel, Nuno Nogueira, Gabriela Brochado and Alice Carvalhais
Muscles 2025, 4(3), 34; https://doi.org/10.3390/muscles4030034 - 18 Aug 2025
Abstract
►▼
Show Figures
Background: Blood Flow Restriction (BFR) training may be an alternative when traditional heavy-load training is unsuitable. This study compared BFR with light loads to traditional strength training for shoulder muscle development proximal to the occlusion site; Methods: A total of 22 healthy adults
[...] Read more.
Background: Blood Flow Restriction (BFR) training may be an alternative when traditional heavy-load training is unsuitable. This study compared BFR with light loads to traditional strength training for shoulder muscle development proximal to the occlusion site; Methods: A total of 22 healthy adults were randomized into Group A: BFR training (30% 1RM; n = 12) and Group B: Traditional strength training (70% 1RM; n = 10). Four-week protocol (2 sessions/week) included shoulder abduction and lateral rotation, and dumbbell overhead press. Arm circumference, Single Arm Seated Shot-Put Test (SAASPT), vertical lift strength (VLS) and Shoulder Endurance Test were assessed at baseline and at the end of the protocol. Cohen’s d effect size was calculated for significant outcomes; Results: Significant gains occurred in both groups across most parameters. The magnitude of effects was, in Group A, large on Arm circumference and SASSPT (Cohen’s d = 0.870 and 1.158, respectively) and very large in VLS and SET (Cohen’s d = 1.284 and 1.301, respectively). In Group B, the magnitude of effects was large in SASSPT and VLS (Cohen’s d = 0.962 and 0.922, respectively) and very large in SET (Cohen’s d = 1.238); Conclusion: BFR training with light loads effectively improved musculature proximal to the occlusion site, demonstrating comparable strength gains to heavy-load training in healthy individuals.
Full article

Figure 1
Open AccessArticle
Reliability of Standardised High-Intensity Static Stretching on the Hamstrings over Multiple Visits
by
Joseph Bryant, Darren J. Cooper, Derek M. Peters and Matthew D. Cook
Muscles 2025, 4(3), 33; https://doi.org/10.3390/muscles4030033 - 15 Aug 2025
Abstract
►▼
Show Figures
Static stretching (SS) is commonly used in athletic programs, and the intensity of SS has recently been examined for its effects on range of motion (ROM), strength and passive stiffness. However, the reliability of high-intensity SS across multiple testing sessions has not been
[...] Read more.
Static stretching (SS) is commonly used in athletic programs, and the intensity of SS has recently been examined for its effects on range of motion (ROM), strength and passive stiffness. However, the reliability of high-intensity SS across multiple testing sessions has not been investigated. The purpose of this investigation was to examine the reliability of high-intensity SS of the hamstrings across five laboratory visits on ROM, strength, power and passive stiffness. Thirteen physically active males (age: 26 ± 4 years, height: 180 ± 8 cm, body mass: 81 ± 10 Kg) underwent five repeated measures of laboratory SS on an isokinetic dynamometer where point of discomfort (POD) was measured, followed by a 30 s stretch at 120% POD. Across the visits, the pooled intraclass correlation coefficient was good for knee extension ROM (0.82), knee flexion strength (0.81) and passive stiffness (0.81). The ROM achieved to determine the POD before the SS was not different for the five visits (p = 0.370). These findings suggest high-intensity SS to 120% POD on an isokinetic dynamometer is reliable across multiple testing sessions. It is not clear if high-intensity static stretching is also reliable within applied scenarios and warrants further investigation.
Full article

Figure 1
Open AccessSystematic Review
Physiological and Physical Determinants of Flat-Water Kayaking
by
Yi Shin Lee, Amelia Dingley, Danny Lum, Frankie Tan and John F. T. Fernandes
Muscles 2025, 4(3), 32; https://doi.org/10.3390/muscles4030032 - 14 Aug 2025
Abstract
►▼
Show Figures
The main research question of this review involved the identification of the various physiological and physical determinants of flat-water kayaking. A systematic search was conducted using three databases (PubMed, Google Scholar, and Microsoft Academic) between 1991 and December 2022. Quality assessment was performed
[...] Read more.
The main research question of this review involved the identification of the various physiological and physical determinants of flat-water kayaking. A systematic search was conducted using three databases (PubMed, Google Scholar, and Microsoft Academic) between 1991 and December 2022. Quality assessment was performed using a version of the National Heart, Lung and Blood Institute checklist tailored for cross-sectional and observational studies. A total of 169 articles were identified in the initial screening. After duplicate removal and further screening for relevance, a total of 17 articles were included in the review. Altogether, it was found that flat-water kayaking performance was strongly correlated with maximum oxygen uptake (VO2max), aerobic and anaerobic thresholds, peak aerobic and anaerobic capacity measure in lab and on the water, and upper and lower-body strength and power, which were measured using heavy resistance, as well as isometric and isokinetic implements. What is less clear is the association between total lean mass and flat-water kayaking performance. However, this may largely be due to the differences in when the measurements were taken.
Full article

Figure 1
Highly Accessed Articles
Latest Books
E-Mail Alert
News
Topics
Topic in
Biomechanics, Healthcare, IJERPH, Nutrients, Sports, Sensors, Muscles, Foods
Endurance and Ultra-Endurance: Implications of Training, Recovery, Nutrition, and Technology on Performance and Health
Topic Editors: Nicolas Berger, Russ BestDeadline: 31 December 2025
Special Issues
Special Issue in
Muscles
Signaling Dysfunctions During Muscle Repair
Guest Editors: Susan T. Arthur, Joseph MarinoDeadline: 31 December 2025
Special Issue in
Muscles
Muscle Function and Neuromuscular Disorders: AI and Biomechanics in Diagnosis and Rehabilitation
Guest Editors: Ka-Chun (Joseph) Siu, Saiteja MalisettyDeadline: 31 December 2025
Special Issue in
Muscles
Clinical, Genetic and Therapeutic Aspects in Congenital Myasthenic Syndromes
Guest Editors: Wladimir Bocca Vieira De Rezende Pinto, Paulo Victor Sgobbi de SouzaDeadline: 30 April 2026
Topical Collections
Topical Collection in
Muscles
Clinical Advances in Neuromuscular Diseases: Neurometabolic Disorders
Collection Editors: Corrado Angelini, Daniela Tavian

