Next Article in Journal
Analysis of Quality and Sensory Characteristics of Functional Fermented Products
Previous Article in Journal
The Nutritional Profile of Root Vegetables Through Spontaneous Fermentation with Apples: Amino Acid Composition and Microbial Dynamics
 
 
Font Type:
Arial Georgia Verdana
Font Size:
Aa Aa Aa
Line Spacing:
Column Width:
Background:
Article

Fermented Corn Straw Increases Cellulase Activity, Improves Rumen Fermentation, and Increases Nutrient Digestibility in Yichang White Goats

1
National Key Laboratory of Agricultural Microbiology, College of Life Science and Technology, Huazhong Agricultural University, Wuhan 430070, China
2
Cooperative Innovation Center of Industrial Fermentation (Ministry of Education & Hubei Province), Hubei University of Technology, Wuhan 430068, China
*
Authors to whom correspondence should be addressed.
These authors contributed equally to this work.
Fermentation 2025, 11(3), 111; https://doi.org/10.3390/fermentation11030111
Submission received: 14 January 2025 / Revised: 8 February 2025 / Accepted: 14 February 2025 / Published: 25 February 2025
(This article belongs to the Section Industrial Fermentation)

Abstract

Corn, as a raw material supplying energy, plays an important role in animal husbandry. But in recent years, problems related to insufficient energy supply from corn have attracted increasing attention. Therefore, it is highly important to develop new energy-supplying materials to replace corn in animal diets. To study the feasibility of replacing corn with fermented corn straw in ruminants, 16 Yichang white goats were divided into two groups: those kept on a grain-based diet with dry corn straw (DS) and those fed a grain-based diet with fermented corn straw (FS). Corn in the FS group was replaced with fermented corn straw at a ratio of 1.3:1. By increasing the surface area (p = 0.035) and width (p = 0.024) of the rumen epithelial papillae of Yichang white goats, the absolute enzyme activity of carboxymethyl cellulase and the relative enzyme activity of microcrystalline cellulase in the rumen contents increased with fermented corn straw, and the rumen digestibility of cellulose and the whole intestinal apparent digestibility of CP, CF, NDF, ADF, cellulose and hemicellulose increased. The timely removal of excess calcium through feces and urine prevented liver and kidney damage, improved the heart index and liver index, and sustained goat health. Due to an increase in the abundance of beneficial bacteria such as f-Lachnospiraceae and c_Bacilli in the rumen fluid and colon contents, the abundance of potentially harmful bacteria such as s_Turicibacter decreased. Through the rumen pentose phosphate pathway, carbon metabolism, the AMPK signaling pathway, pathways of neurodegeneration, multiple diseases pathways, vitamin b6 metabolism in the colon, the biosynthesis of nucleotide sugars, and the cysteine and methionine metabolism pathways, rumen fermentation and metabolism are regulated in the goat body, promoting animal health. In this study, we systematically evaluated the effects of replacing corn with fermented corn straw on the carcass index, organ index, calcium and phosphorus contents in tissues, serum biochemical parameters, nutrient digestibility, rumen epithelium and intestinal development, rumen fermentation, and microbial enzyme activity of the rumen contents of Yichang white goats. By combining these approaches with microbial 16S amplicon analysis of rumen fluid and colon contents, along with nontargeted metabolome analysis, we demonstrated the feasibility of substituting corn with fermented corn straw in ruminant feed, providing a new approach for the substitution of energy-supplying feed materials.

1. Implications

The issue of insufficient corn supply in animal husbandry has aroused public attention. Developing new energy raw materials to replace corn is of great significance. In this study, it was found that replacing corn with fermented corn straw at a ratio of 1.3:1 promoted rumen epithelial development, increased cellulase activity, and improved digestibility of Yichang white goats. Rumen fermentation and metabolism were regulated by changing the microbial composition of rumen fluid and colon contents, and the carcass index was significantly improved. The feasibility of substituting fermented corn straw for corn in ruminants was illustrated.

2. Introduction

China is the world’s largest producer of traditional agricultural products, producing more than 800 million tons of plant straws annually, which account for nearly one-third of the global output, including up to 280 million tons of corn straws [1]. Straw can meet the energy requirements of ruminants reared, but effective strategies are needed to improve straw utilization in the bodies of animals. Corn straws are rich in carbohydrates such as cellulose and hemicellulose, which are good sources of energy for ruminants. Many studies have reported on how straw fermentation can lead to the degradation of lignin, promote rumen digestion, improve microbial nitrogen synthesis efficiency, and reduce methane emissions [2,3,4].
Corn can be processed into a variety of foods, providing us with energy and nutrition. In the livestock industry, corn is a high-quality energy feed, and appropriately reducing its dosage is very important to reduce livestock costs. Therefore, it is necessary to reduce the corn content in ruminant diets without affecting feed intake or energy content. In recent years, an increasing number of researchers have evaluated the effects of replacing corn with different raw materials in animal feed. In one study, when the percentage of cassava residue that replaced corn meal was 25% or less, there was no negative effect on the rumen fermentation characteristics of cows in vitro during mid-lactation [5]. In another study, the replacement of corn with beet meal decreased starch intake, increased the rumen pH 4 h after feeding, and increased the feed conversion efficiency of milk, thus increasing milk yield [6]. Dried citrus pulp can replace extruded corn and improve rumen fermentation efficiency [7]. In a total mixed diet (TMR), using rice as a substitute for corn has no negative effect on rumen fermentation characteristics in vitro, and rice can be used as a suitable alternative energy source for beef cattle in the early fattening period [8]. Replacing corn with jujube kernels can change the fermentation characteristics of SCFAs and produce more C3 and less C2 compounds, and replacing corn with 50% jujube kernels in ruminants can stabilize the rumen pH, thus preventing further deficiency of the rumen buffering ability caused by high-fermented grain diets [9].
Fermented corn straw has a high fiber content. It can be used as roughage for ruminants and provide energy for ruminants after digestion and absorption in the rumen. The commonly used pretreatment method for lignocellulose is alkali treatment, but the palatability of alkali-treated corn straws is bad [10,11]. Other pretreatment methods generally produce by-products that are harmful to animals [12], so it is necessary to find a simple and convenient pretreatment method suitable for feed utilization. Probiotic fermentation of alkali-treated corn straws may be a solution to the problem. We hypothesized that substituting fermented corn straws for corn would impact animal growth and metabolism. Therefore, in this study, we systematically evaluated the effects of replacing corn with fermented corn straw on the carcass index, organ index, calcium and phosphorus contents in each tissue, serum biochemical parameters, nutrient digestibility, rumen epithelium, and intestinal development, rumen fermentation, and microbial enzyme activity of the rumen contents of Yichang white goats. Based on microbial 16S amplicon analysis of the rumen fluid and colon contents and nontargeted metabolome analysis, the feasibility of replacing corn with fermented corn straw in ruminant feed was evaluated with the aim of providing a basis for replacing corn with fermented corn straw as an unconventional feed for ruminants.

3. Materials and Methods

3.1. Analysis of Organic Acids and Enzymatically Hydrolyzed Sugars in Fermented Straw and Dry Straw

A total of 0.5 g of dried straw sample was added to 50 mL of enzyme buffer and enzymolyzed for 72 h. A blank group without straw was set for each enzymolysis to eliminate the influence of sugar brought by cellulase. The enzymolysis sugar content was detected by HPLC. The preparation method of the enzyme buffer was as follows: 4 mL of β-glucanase (12311103, SUNSON, Cangzhou, China) and 4 mL of xylanase (12312037, SUNSON, Cangzhou, China) were added to 25 mL of 2M acetic acid–sodium acetate buffer (A875409 and S817983, Macklin, Shanghai, China). The pH of the buffer was 4.8. Moreover, 0.1 g of ampicillin sodium (A800429, Macklin, Shanghai, China) was added. After mixing well, the volume was adjusted to 1 L with distilled water.

3.2. Animals, Diets, and Experimental Design

All animal operations were performed in accordance with the Guide for the Care and Use of Laboratory Animals of Huazhong Agricultural University, and the animal experimental protocol was approved by the Science Ethics Committee of Huazhong Agricultural University (HAZUGO-2024-0005, Wuhan, China). A total of 16 Yichang white male goats, each with an initial body weight (BW) of 21.07 ± 0.87 kg (mean ± SD) and 5 months of age, were randomly assigned to one of two dietary treatments (n = 8 per group), that is, (1) a grain-based diet with dry corn straw (DS) or (2) fermented corn straw (FS). The ingredient compositions and nutritive values of experimental feeds are shown in Table 1. All the goats were gradually adapted to the experimental diets for 21 d by replacing 100 g/kg of their previous diet every 3 d. After that, the experimental diet was fed for 125 d using restricted feeding. Residual feed was collected daily throughout the experiment to calculate dry matter intake, and goats’ body weights were recorded once a week. The animals had access to clean fresh water ad libitum throughout the day. The dried straw and fermented straw were produced by Sichuan Runge Biotechnology Co., Ltd. (Sichuan, China) according to the predetermined pretreatment and fermentation processes. The fermented corn straw was pretreated with calcium hydroxide and then solid-state fermented was pretreated with corn flour and lactic acid bacteria.

3.3. Feed Analysis and Feed Digestibility

The daily feed amount and amount of feed remaining were recorded. The rumen digesta and stool were collected on days 90–95 of the trial for the digestion tests. Acid insoluble ash (AIA) was used as the internal standard for the determination of feed digestibility. The total intestinal apparent digestibility was calculated as follows: nutrient digestibility =100 – 100 × (AIA in feed × nutrient content in stool)/(AIA in stool × nutrient content in feed). Rumen digestibility was calculated as follows: nutrient digestibility = 100 – 100 × (AIA in feed × nutrient content in rumen)/(AIA in rumen content × nutrient content in feed) [13]. Approximately 100 g (as is) of feed was collected per week, mixed well, and stored at −20 °C. The feed samples were dried in a 55 °C oven (Thermo Scientific Heratherm Advanced Protocol Ovens model 51028115, Fisher Scientific, Waltham, MA, USA) for 24 h and then ground. The ash content was determined by burning at 500 °C at Sybron Thermolyne FA1730, Fisher Scientific, Waltham, MA, for 12 h. The dry matter (DM), organic matter (OM), crude protein (CP), and AIA contents were analyzed according to the AOAC [13]. Neutral detergent fiber (NDF) and acid detergent fiber (ADF) contents were determined via an ANKOM200i fiber analyzer (ANKOM Technologies, Inc., Fairport, NY, USA) via an ANKOM filter bag technology. ADF analysis of the residues was performed in the 2 L beaker; 72% sulfuric acid was added, and the mixture was stirred on a shaking platform (Flask Dancer Boekel Scientific, Feasterville-Trevose, PA, USA) for 3 h to obtain the acidic washing lignin concentration. Cellulose = ADF-ADL, hemicellulose = NDF-ADF. The Ca content was determined via a flame atomic absorption analyzer, and the total P content was determined via the molybdenum yellow method.

3.4. Slaughter and Sampling

The rumen digesta was collected at the end of the feeding trial (i.e., after 130 d) and after 6 h, 12 h, 24 h, 48 h of fasting. After the goats were fasted for 12 h, blood was collected from the jugular vein of all the animals, and the blood was placed on the inclined plane for 30 min. The samples were subsequently centrifuged at 4 °C at 1500× g for 10 min, and the serum was separated and frozen at −80 °C. Goat live weight before slaughter was recorded and 4 goats whose body weight was close to the average were selected from each group. In accordance with the experimental animal care and use guidelines of Huazhong Agricultural University, the goats were euthanized via intravenous injection of barbiturates. After the goats lost their toe and leg retraction reflexes, they were killed by bloodletting. The fur, gut, head, and hooves were removed, the carcass was weighed, and the carcass index was calculated. The heart, liver, spleen, and kidney were weighed and recorded, while the organ weight index was calculated based on the ratio of the organ weight to its body weight. Samples of the rumen ventral capsule, jejunum, and colon, each approximately 2 cm long, were collected, immediately washed with precooled normal saline, fixed with 4% paraformaldehyde, and stored in a refrigerator at 4 °C for H&E staining. Samples of rumen chyme, colonic chyme, and colonic mucosa were collected and stored at −80 °C until analysis.

3.5. Morphometry of the Ruminal Papillae, Jejunum, and Colon

Four goats whose body weights were close to the mean value were collected from each group. After slaughter, three 1 × 1 cm rumen abdominal sac samples were collected to determine rumen papillae density. Fifteen rumen papillae were randomly selected from each epithelial tissue sample, and the length and width of the papillae were measured via Vernier calipers [14]. Papillae length is defined as the distance from the papillae tip to the papillae base, and papillae width is defined as the average width of the papillae base, middle, and tip. The papillae density (1 cm × 1 cm) was measured with a magnifying glass (MG3B-1A, Shanghai, China). The total papilla surface area per unit area (mm2/cm2) = length × width × 2 × papilla density (number of papillae/cm2).
Immediately after slaughter and removal of the abdominal organs, tissue samples (2–3 cm2) were collected from the rumen ventral sac, jejunum, and colon, and fixed in 4% paraformaldehyde. Tissue samples fixed with paraformaldehyde were dehydrated in a series of ethanol solutions ranging from 50% to 100% and removed with xylene. The samples were embedded in paraffin, sliced with an automatic microtome at a thickness of 5 µm, and stained with hematoxylin–eosin. After H&E staining, the rumen epithelia were placed under a white light microscope for scanning (GDP2201, Servicebio, Wuhan, China), and CaseViewer was used for image scaling and clippings. Image Pro Plus 6.0 was used to measure the average optical density and calculate the thickness of the corneum, granular layer, spinous layer, and basal layer of the rumen papillae.

3.6. Determination of Serum Biochemical Indicators

After the serum rested on an inclined plane for 30 min, it was separated via centrifugation at 4 °C at 1500× g for 10 min, and the serum was separated via an automatic biochemical analyzer (BX-4000, Sysmex, Shanghai, China). Glucose, ALT, AST, TG, TC, TP, ALB, UREA, and calcium contents were measured.

3.7. Determination of Microbial Protein Content and Microbial Enzyme Activity

The rumen contents were freeze-dried and ground using Labconco FreeZone, Beckman, America. A 0.1 g freeze-dried sample was added to 1 mL of precooled sterile PBS buffer (pH = 7), mixed by stirring, and centrifuged at 4 °C and 408× g for 5 min, after which the supernatant was collected. The supernatant (0.5 mL) was removed and centrifuged at 4 °C and 25,000× g for 40 min. The supernatant was discarded, and the cells were collected. Then, 1.5 mL of 0.25 M NaOH was added, the mixture was mixed thoroughly, and the mixture was boiled in water for 10 min. The purpose of this step was to caustically lyse the cells. The mixture was centrifuged at 4 °C and 25,000× g for 60 min, the supernatant was considered the microbial protein mixture, and the protein content was quantified with a BCA protein quantification kit (PA115, TIANGEN, Beijing, China).
The 0.5 g samples of freeze-dried rumen contents were added to 5 mL of precooled sterile PBS buffer (pH = 7) and thoroughly mixed. The samples were crushed on ice with an ultrasonic cell mill (Scientz-IID, SCIENTZ, Ningbo, China) at 30% strength for 3 s at intervals of 5 s for 5 min. The samples were then centrifuged at 12,000× g for 10 min, and the supernatant was taken as the crude enzyme mixture and stored at 4 °C for subsequent determination of microbial enzyme activity. To determine the activities of carboxymethyl cellulase, microcrystalline cellulase, xylanase, and pectinase in the rumen contents, 0.2 mL of substrate (sodium carboxymethyl cellulose/microcrystalline cellulose/xylanase and pectin solution, respectively), 0.6 mL of PBS buffer (pH = 7) and 0.2 mL of crude enzyme solution were successively added to a 2 mL centrifuge tube. The mixture was incubated in a water bath at 39 °C for 30 min, 0.4 mL of DNS solution was added, the mixture was boiled in a water bath for 5 min, and the absorbance at 540 nm was determined. D-glucose, D-xylose, and D-galacturonic acid were used to calculate the activity of the corresponding microbial enzymes according to the amount of reducing sugars released in the system.

3.8. Determination of SCFA Levels

The concentration of SCFAs was determined via gas chromatography (7890A, Agilent, Santa Clara, CA, USA) [15]. The rumen contents were freeze-dried using Labconco FreeZone (Beckman, Brea, CA, USA). A 0.1 g freeze-dried sample was mixed with 1.5 mL of aseptic deionized water and shaken at 16 °C for 30 min at 200 r/min. The supernatant was centrifuged at 7000× g for 10 min. A total of 0.9 mL of the centrifuged supernatant was removed, and 0.1 mL of 10% HCl was added, mixed, and incubated for 2 h at 4 °C and 13,000 r/min, after which it was centrifuged at 4 °C for 10 min. The supernatant was filtered through a 0.22 µm filter membrane, and the contents of short-chain fatty acids were determined via gas chromatography. A J&WDB-FFAP gas chromatography column (122-3232, Agilent, Beijing, China) was used with 1 µL samples without diversion, and the inlet heater temperature was 250 °C. Column temperature box conditions were 100 °C for 0 min, increased to 150 °C at a rate of 8 °C/min, maintained at 150 °C for 2 min, and then 210 °C for 4 min.

3.9. 16S rDNA Amplicon Sequencing and Untargeted Metabolomics of Rumen Fluid and Colon Contents

The genomic DNA of the samples was extracted via CTAB, and bacterial diversity was determined via 16SV4 primers (515F and 806R). After the PCR products were mixed and purified, a library was constructed and computer-sequenced. Using a noise reduction method, ASVs were obtained, the ASVs that were common or unique among different samples (groups) were analyzed, and a Venn graph was constructed. The 10 species with the greatest abundance in each sample or group at each classification level (phylum, class, order) were selected to generate a histogram of the relative abundance of the species. NMDS (non-metric multidimensional scaling) is a nonlinear model based on Bray–Curtis distance analysis; the information is visualized via points on a two-dimensional plane according to the species information contained in the sample. ANOSIM analysis was performed via the R vegan ANOSIM function, and we tested the significance of differences across groups based on the ranks of Bray–Curtis distance values.
Metabolite content data were analyzed via unit variance (UV) scaling standardized processing via the R software Complex Heatmap package to draw heat diagrams and determine metabolites among different samples via hierarchical cluster analysis (HCA). When OPLS-DA is used, the X matrix information is decomposed into two types of information (related to Y and not related to Y); the variable information related to Y is the predictive principal component, and the variable information unrelated to Y is the orthogonal principal component. Metabolome data were analyzed according to the OPLS-DA model, and score charts for each group were constructed to further show the differences among the groups [16]. Differentially abundant metabolites with VIP > 1 and p-value < 0.05 (Student’s test) were screened out. After qualitative and quantitative analysis of the detected metabolites, differences in the quantitative results of the metabolites in different groups were calculated. Among the differentially abundant metabolites identified on the basis of screening criteria, the top 10 metabolites with the largest absolute values of log2FC were selected for radar mapping. The KEGG annotation information of differentially abundant metabolites identified according to the screening criteria was used to select 5 significantly enriched KEGG metabolic pathways, and cluster analysis was performed on all the differentially abundant metabolites in these pathways to better study the trends in substance content in different groups of potentially important metabolic pathways. If there were fewer than 5 differentially abundant metabolites in a pathway, the path was not displayed. According to the results of the analysis of differentially abundant metabolites, KEGG pathway enrichment analysis was performed, in which the Rich factor was the ratio of the number of differentially abundant metabolites in the corresponding pathway to the total number of metabolites annotated by the pathway; the greater the value, the greater the degree of enrichment. Using the KEGG annotation information of the differentially abundant metabolites identified according to the screening criteria, 3–4 significantly enriched KEGG metabolic pathways were selected for cluster analysis of all the differentially abundant metabolites in these pathways to better study the changes in substance content in different groups of potentially important metabolic pathways.

3.10. Statistical Analysis

GraphPad Prism 9 was used to organize the plots, and IBM SPSS Statistics (v.22.0) was used to analyze the significance of the data. Univariate analysis of variance and Duncan’s multiple range test were used, p < 0.05 was considered to indicate a significant difference, p < 0.01 was considered to indicate an extremely significant difference, and the results are expressed as the means, with standard errors of means (SEMs).

4. Results

4.1. Characterization of Components and Organic Acid Content of Straw Before and After Fermentation

The contents of organic acid and enzymatically hydrolyzed sugar in fermented straw were significantly higher than in dry straw (Table 2). During fermentation, a small amount of yeast was added to increase the flavor and produce ethanol. The lactic acid produced in the early stage of straw fermentation was almost converted into butyric acid (Table 2).
To gain insight into what changes occurred in the composition of fermented corn straw, we determined the chemical compositions of dry straw and fermented straw. As can be seen from Table 3, both pretreatment and fermentation had significant effects on the chemical composition of corn straw (p < 0.05). Compared with DS, the fiber components and protein contents of FS decreased to varying degrees, while the SDF content increased significantly by 2.7 times. This indicates that the treatment of corn straws breaks the stable structure of the fiber and generates more SDF (p < 0.001).

4.2. Fermented Corn Straw Increased the Carcass Index and Organ Index of Yichang White Goats

The average daily gain of sheep in the FS group was lower than that in the DS group, and there were no significant differences in live weight and live weight before slaughter between the DS and FS groups, but the carcass index increased significantly (Table 4). Combined with the slaughter rate data, a higher carcass index may be caused by more digestive tract contents in the DS group (water, etc.), resulting in higher final weight and daily weight gain. The growth performance difference between the two groups was not large. The heart weight index and liver weight index increased significantly in the FS group (Table 4), while there were no differences in the thymic index and kidney index.

4.3. Fermented Straw Significantly Increased the Rumen Digestibility of Cellulose

Fermented straw significantly increased the rumen digestibility of cellulose, and increased the total apparent intestinal digestibility of CP, CF, NDF, ADF, cellulose, and hemicellulose (Table 5).

4.4. Effects of Fermented Straw on Rumen Epithelium and Intestinal Morphology

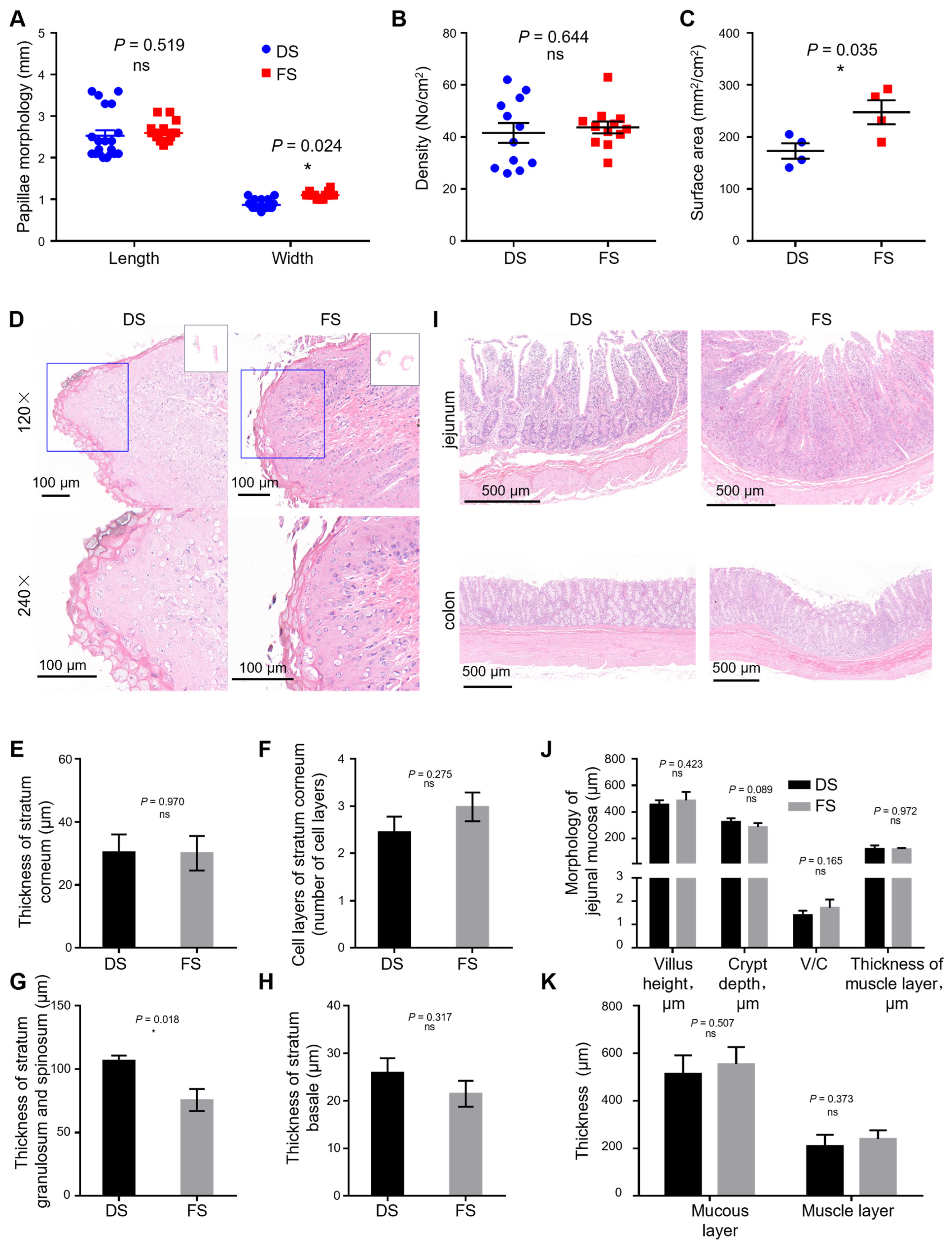
Relevant indicators of rumen epithelial papillae growth and tissue status were determined during the experiment. Fermented corn straw significantly increased the surface area (p = 0.035) and width (p = 0.024) of the rumen epithelial papillae (Figure 1A–C). Rumen epithelial papillae length (p = 0.519) and density were not affected (p = 0.644). H&E-stained sections of the rumen papillae revealed that fermented straw significantly reduced the thickness of the rumen epithelial granular layer and spinous layer (p = 0.018) but had no effect on the thickness of the corneum layer, the basal layer thickness, or the number of stratum corneum cell layers (p > 0.05). Fermented straw had no effect on the villus height, crypt depth, V/C, or muscle thickness of the jejunum mucosa (Figure 1I,J) and had no effect on the mucous layer or muscle thickness of the colon mucosa (Figure 1I,K).

4.5. Effect of Fermented Straw on the Rumen Fermentation Parameters of Yichang White Goats

Fermented straw increased the pH of the rumen fluid (Figure 2A), and there was no significant difference in the ammonia nitrogen concentration in the rumen fluid between the two groups of goats (Figure 2B). The acetic acid content, butyric acid content, butyric acid percentage, and acetic acid/propionic acid ratio in the rumen contents of the FS group were significantly lower than those of the DS group, and the propionic acid percentage was significantly greater than that of the DS group (Figure 2C,D).
In terms of SCFA composition and proportion in the rumen fluid, there was no significant difference in the total SCFA content in the rumen fluid during the first 12 h between the two groups (Figure 2E), but the content and proportion of acetic acid in the 6 h rumen fluid in the DS group were significantly greater than those in the FS group (Figure 2F), and the content and proportion of isobutyric acid in the DS group were significantly lower than those in the FS group (Figure 2I). There was no significant difference in the content or proportion of other short-chain fatty acids after fasting for 6 h (Figure 2F–J). Fermented straw decreased the total SCFA content at 24 h and 48 h after fasting (Figure 2E).

4.6. Effect of Fermented Straw on Microbial Enzyme Activity in the Rumen Contents of Yichang White Goats

Fermented straw significantly increased the microbial protein content in the rumen contents (Figure 3C), the absolute enzyme activity of carboxymethyl cellulase (Figure 3A), and the relative enzyme activity of microcrystalline cellulase (Figure 3B) in the rumen contents, but had no significant effect on the activities of pectinase or xylanase.

4.7. The Excess Calcium Contained in Fermented Corn Straws Can Be Excreted in a Timely Manner

Since the dietary calcium content in the FS group was 102.6% greater than that in the DS group, the calcium and phosphorus contents in various tissues, serum parameters, and routine urine indices were measured to assess whether excess calcium would remain in the body. The results revealed that fermented straw significantly increased the contents of calcium and phosphorus in the rumen contents and feces and decreased the content of phosphorus in the feces. Moreover, fermented straw significantly increased the ratio of calcium to phosphorus in the rumen contents and feces. There was no change in the calcium or phosphorus content or the ratio of calcium to phosphorus in the liver or kidney (Figure 4A,C,E). Although the serum calcium content of the FS group increased at 6 h, it recovered to the same level as that of the control group at 12 h, and the serum phosphorus content of the two groups was not significantly different at 6 h and 12 h. The urine calcium content and calcium–phosphorus ratio in the FS group were significantly greater than those in the DS group, and there was no significant difference in the urine phosphorus content between the two groups (Figure 4B,D,F).
The alanine aminotransferase, aspartate aminotransferase, triglyceride, and total cholesterol contents in the serum of the fermented straw group were significantly lower than those in the control group at both 6 h and 12 h (Figure 5A). There was no significant difference in the albumin or total protein content between the two groups, and the urea content in the FS group at 12 h was significantly lower than that in the DS group (Figure 5B). The blood glucose concentration in the FS group was significantly greater than that in the DS group at 6 h (p = 0.010), and there was no significant difference between the two groups at 12 h (Figure 5C). There was no significant difference in routine urine indices between the two groups (Table 6).

4.8. Microbial 16S Amplicon Analysis of Rumen Fluid and Colonic Contents

ASV-based Venn diagrams of the rumen fluid and colon contents (Figure 6A,B) revealed significant differences in microbial composition both within the same site across groups and at different sites within groups. The differences in microbial composition in different parts of the group were greater than within the same parts across groups; the differences in microbial composition in the rumen across groups were greater than those in the colon across groups; the differences in microbial composition in different parts of the DS group were greater than those in the FS group (Table 7).
Fermented straw increased the relative abundances of p_Firmicutes, c_Clostridia, and o_Lachnospirales in the rumen fluid and p_Bacteroidota, c_Bacteroidia, and o_Bacteroidales in the colon contents (Figure 6C–E). Through sample complexity analysis, we found that the microbial communities in the colon contents presented more ASVs, more species, greater community diversity, and more uniform species distributions than those in the rumen liquid phase (Figure 6F). NMDS analysis revealed that the differences across groups were significantly greater than the differences within groups, and the distances between samples within groups were relatively close, indicating that the biological duplication of samples was relatively good. Moreover, the differences between the rumen fluid and colon contents were greater than those between the treatment groups (Figure 7A).
UPGMA cluster analysis and ANOSIM intergroup difference analysis also revealed significant differences in community structure between DS_Ru and FS_Ru; DS_Co and FS_Co; DS_Ru and DS_Co; and FS_Ru and FS_Co (Supplementary Figure S1A–C, Figure 7B). The abundances of f_Lachnospiraceae, f_Spirochaetaceae, o_unidentified_Clostridia, and c_Bacilli in the rumen fluid of the FS group were significantly greater than those in the DS group, and the abundance of g_Prevotella was significantly lower than that in the DS group (Figure 7C). Based on the microbial community analysis of the colon contents, it was found that the abundances of s_iron_reducing_bacterium_enrichment_culture_clone_HN_HFO10, g_unidentified_Rhodospirillales, f_Ruminococcaceae, f_Marinifilaceae, and f_Prevotellaceae in the FS groups were significantly greater than those in the DS group. The abundances of s_Clostridiales_bacterium_enrichment_culture_clone_06_1235251_76, s_Turicibacter_sp_H121, and f_Bacteroidaceae were significantly lower than those in the DS group (Figure 7D).
The above results were also analyzed via a LEfSe (LDA effect size) statistical graph (Figure 8A,B). In the FS group, there was an increase in the abundance of aging-related microorganisms in the rumen fluid. However, the abundance of bacteria related to the metabolism of cofactors and vitamins, transcription, the biosynthesis of other secondary metabolites, and infectious diseases decreased. In the colon contents of the FS group, the abundance of microorganisms associated with environmental adaptation, cell growth and death, and replication and repair increased. The abundance of biosynthesis of other secondary metabolite-related microbes was lower (Figure 8C,D).

4.9. Metabolomic Analysis of the Rumen Fluid and Colonic Contents

The principal component analysis of samples (including quality control samples) revealed that the overall metabolic differences among samples in each group were greater than the variability among samples within the group. The PCA results revealed a trend in metabolome separation among the groups (Figure 9A), and the cluster analysis results of the metabolites and samples also supported the above conclusion (Supplementary Figure S2A). According to OPLS-DA model analysis, metabolites in the rumen fluid and colon contents were significantly different between the DS and FS groups, and p < 0.05 (Figure 9B,C).
A differentially abundant metabolite radar map revealed that the contents of buspirone hydrochloride, capmatinib, zanubrutinib, N-Acetyl-Leu-Leu-Tyr, Lys-Leu-Val, Leu-Tyr-Arg-Ile-Thr, and Asp-Asp-Trp in the rumen fluid of the FS group were significantly greater than those in the DS group; the contents of byssochlamic acid, estrogens, conjugated, EINECS 234-275-5, Arg-Asn-His-Glu, and Val-Met-Lys in the colon contents of the FS group were significantly greater than those in the DS group. The levels of Oroxin A, citicoline, and vitexin in rumen fluid and alpha-L-Fucp-(1->3)-[beta-D-Galp-(1->4)]-D-GlcpNAc, cis-caffeic acid, 9,10-dihydrokadsurenone, xanthotoxol, and 2-methylpropanoyl-8,8-dimethyl-2-oxo-4-phenyl-2H,8H-pyrano[2,3-f]chromen-5-yl]oxy}oxane-2-carboxylic acid in the colon contents in the FS group were significantly lower than those in the DS group (Figure 9D). The differentially abundant metabolites in the rumen fluid were enriched mainly in the pentose phosphate pathway (Ko00030), carbon metabolism (Ko01200), the AMPK signaling pathway (Ko04152), and pathways associated with neurodegeneration and multiple diseases (Ko05022), whereas the differentially abundant metabolites in the colon contents were enriched mainly in vitamin B6 metabolism (Ko00750), biosynthesis of nucleotide sugars (Ko01250), and cysteine and methionine metabolism (Ko00270) (Figure 9E).
The changes in the differentially abundant metabolites involved in the above metabolic pathways in the different groups are shown in Supplementary Figure S2B–H. In the FS group, the levels of carboxylic acids and their derivatives, carbohydrates and their metabolites, organic acids and their derivatives involved in the pentose phosphate pathway, derivatives and GP metabolites, nucleotides and their metabolites, organic acid and their derivatives involved in pathways associated with neurodegeneration and multiple diseases, and nucleotides and their metabolites involved in the AMPK signaling pathway significantly decreased (Supplementary Figure S2B–E).
In contrast, in the FS group, the levels of heterocyclic compounds, organic acids and their derivatives, carbohydrates and their derivatives involved in the biosynthesis of nucleotide sugars, amino acids and their metabolites, and heterocyclic compounds involved in vitamin B6 metabolism in the metabolites of colonic contents significantly increased (Figure S2G,H).

4.10. Multiomics Analysis of the Metabolome and Microbiome of Rumen Fluid and Colonic Contents

Mantel test analysis of different microorganisms and individual metabolites revealed that MW0157590, MW0144208, MW0146999, MW0009705, MW0160187, MEDL02231, and MW0152691 were significantly correlated with the abundance of different species in the FS_Ru_vs_DS_Ru group, and the most significant of these metabolites were amino acids and their metabolites, coenzymes, and vitamins. MW0155128, MW0138965, MW0061674, MW0107973, FDATN01038, MW0011780, and MW0119625 were significantly correlated with the abundance of different species in the FS_Co_vs_DS_Co group, and the most significant metabolites were amino acids and their metabolites, heterocyclic compounds and terpenoids (Figure 9F). Co-inertia analysis (CIA) revealed that for both FS_Ru_vs_DS_Ru and FS_Co_vs_DS_Co, the differences between different microorganisms and different metabolites were small, indicating a synergistic trend (Figure 9G) and that the metabolic environments in the rumen fluid and colon were significantly affected by microorganisms.

5. Discussion

The purpose of our study was to replace feed grain with fermented straw. To determine the potential of fermented straw, we conducted an anaerobic fermentation experiment to produce biogas. The results showed that the glucose equivalent of the digestible energy of pretreated straw increased from about 30% to nearly 50%, which is equivalent to saving 0.2 kg of corn by feeding 1 kg of fermented straw compared to dry straw. As eating more roughage will limit feed intake, we designed a feed intake experiment and found that the ratio of the experimental group to the control group was 1.1:1, and 1.3 kg of fermented straw could replace 1.0 kg of straw plus 0.3 kg of corn. The in vitro biogas production of pretreated straw reached 80%, and our process destroyed the firm structure of straw fiber and improved the utilization rate of fiber. In our study, fermented straw occupied a large proportion of the feed formula; meanwhile, the probiotics and prebiotics produced by the high bacterial count during straw fermentation were also helpful for nutrient digestion and absorption and the health of the animal organism. The above-mentioned reasons caused the higher apparent digestibility rates in the FS group. The increase in the digestion rate of fermented straw means a shorter residence time in the rumen; it was found that ruminants ate fermented straw faster than dry straw. The dry matter concentration of fermented straw in the rumen could be higher. Feeding fermented straw could increase the crude-to-concentrate ratio of the diet; more fermented straw can be added to the diet to save more feed grain compared with dry straw.
The liver is the most metabolically active organ in the body and plays an important role in maintaining the homeostasis of energy metabolism [17]. The heart is a very important organ in the body, and its main role is to promote blood circulation [18]. Although fermented corn straw increased the heart and liver weight indexes of the FS group, they were all within the normal range. It can be inferred that adding fermented corn straw to the diet has no adverse effect on the development of the internal organs of Yichang white goats. Fermented straw significantly increased the rumen calcium content, fecal calcium content, and rumen phosphorus content, and significantly increased the rumen content, urine calcium–phosphorus ratio, and fecal calcium–phosphorus ratio, indicating that more calcium was consumed and excreted. The fecal phosphorus content in the FS group decreased, whereas the urine phosphorus content was not affected, indicating that excess calcium may promote phosphorus absorption. The fermented straw did not affect the calcium or phosphorus content in the liver or kidneys, indicating that excess calcium did not cause damage to the liver or kidneys. Although the serum calcium content increased at 6 h, it recovered to the same level as that in the control group after 12 h, indicating that excessive calcium consumption would increase the serum calcium content; however, as the calcium in the body was removed through feces and urine, the serum calcium content gradually recovered to the same level as that in the control group. According to routine urinary indicators, excess calcium did not have harmful effects on goat body health.
Transaminase is an enzyme in the liver that is released into the blood when liver cells are damaged, increasing the level of transaminase in the blood. Therefore, we can determine the degree of liver damage on the basis of the contents of alanine transaminase and glutamic oxaloacetic transaminase [19]. The alanine transaminase, aspartate transaminase, triglyceride, and total cholesterol contents in the serum of the fermented straw group were significantly lower than those in the control group at both 6 h and 12 h, indicating that fermented straw can improve the liver health of goats. The contents of albumin, total protein, and urea can reflect the level of protein absorption and metabolism. The results revealed that there was no significant difference in the contents of albumin or total protein between the two groups, indicating that fermented straw did not affect the absorption or metabolism of protein. The urea content of the experimental group at 12 h was significantly lower than that of the control group, possibly because the protein content of corn was higher than that of fermented straw, and the replacement of corn with straw resulted in lower protein content in the whole diet, which ultimately led to a reduction in the serum urea content. The blood glucose concentration in the FS group was significantly greater than that in the DS group at 6 h (p = 0.010), and there was no significant difference between the two groups at 12 h. This may have occurred as the digestion rate of straw is slower than corn; for the goats in the control group, the available nutrients were almost completely absorbed at 6 h after fasting, whereas in the bodies of the goats in the FS group, some straw remained and provided nutrients.
The width and surface areas of the rumen epithelial papillae increased in the FS group, whereas the length (p = 0.519) and density of the rumen epithelial papillae were not different, indicating that fermented corn straw increased the surface area of the rumen epithelial papillae by increasing the width of the rumen epithelial papillae. Studies have shown that the enlargement of rumen epithelial papillae can promote the absorption of SCFAs [20]. Moreover, the ability of SCFA absorption and transport in ruminants at high altitudes is significantly correlated with an increase in the width of the rumen papillae [21,22]. In this study, the increase in the width of the rumen papillae suggested that fermented straw might improve the ability of Yichang white goats to absorb SCFAs.
The differences in the SCFA content and molar proportions in the rumen contents of goats in the DS group and FS group indicated that the different feed ratios altered the SCFA composition. The contents of acetic acid and butyric acid produced by fermented straw in the rumen contents were significantly lower than those produced by corn, and the total SCFA content in the rumen fluid in the first 12 h was not significantly different between the two groups, indicating that the total energy provided by the FS group was lower than that provided by the DS group. However, from the point of view of the total SCFA content after fasting for 12 h, it was found that the energy needs of the animal body were met. According to the literature, we inferred that the main reason for the different ratios of acetic acid, propionic acid, and butyrate in the rumen fluid was the catabolic metabolism of different bacteria. The composition of SCFAs in the rumen fluid differed significantly between the two groups, indicating that fermented straw changed the microbial composition of the rumen of Yichang white goats, and the results of microbial 16S diversity analysis also supported the above conclusions.
The feed of herbivorous mammals contains complex structural carbohydrates (such as cellulose and hemicellulose), pectin, starch, monosaccharides, lipids, proteins, lignin, minerals, and other nutrients. The mammals cannot synthesize the enzymes required to degrade these nutrients in their bodies. Instead, the animals rely on the microorganisms (such as bacteria, protozoa, and fungi) living in their digestive tracts to ferment structural carbohydrates such as cellulose, hemicellulose, and pectin to generate nutrients, such as volatile fatty acids (such as acetic acid, propionic acid, and butyrate), to provide energy for the animal bodies [23,24,25]. Therefore, we determined the pH, short-chain fatty acid content, and activity of fiber-degrading enzymes (carboxymethyl cellulase, microcrystalline cellulase, xylanase, and pectinase) in the rumen contents of the goats to clarify the effects of fermented straw on the degradation of structural carbohydrates in the animal body. The increase in the microbial protein content in the rumen contents of the FS group indicated that fermented straw may help increase the amount of bacterial flora that degrades structural carbohydrates, thus increasing the microbial protein levels in the rumen contents.
The differences in microbial composition between different parts of the group were greater than those between the same parts of the groups, indicating that the differences in microbial composition between the rumen fluid and colon contents were greater than the effect of FS on the gastrointestinal microbial composition. The differences in the microbial composition of the rumen fluid between the groups were greater than those of the colon contents, indicating that fermented straw had a greater effect on the microbial composition of the rumen fluid than on the intestinal contents. The differences in microbial composition in different parts of the DS group were greater than those in the FS group, indicating that fermented straw reduced the differences in microbial composition in the rumen fluid and colon contents. In a previous study, the addition of allicin-free garlic (AFG) to the diet reversed the intestinal microbiome confusion caused by the high-fat diet and reduced the number of f-Lachnospiraceae in the feces of mice [26]. Lactobacillus paracasei (JS-3) restored microbial diversity and function in quails with hyperuricemia through the enrichment of SCFA-producing bacteria such as f-Lachnospiraceae [27]. Enteromorpha prolifera polysaccharide (EPP) alleviates hyperglycemia and aging symptoms of senescence-associated diabetes by increasing the abundance of beneficial bacteria such as c_Bacilli in the gut of aging diabetic mice [28]. Oral magnetic natural lipid nanoparticles regulate microbial metabolism by increasing the abundance of beneficial bacteria such as c_Bacilli in the treatment of colorectal cancer [29]. The increase in the abundance of beneficial bacteria such as Lachnospiraceae and c_Bacilli in the FS group indicated that fermented straw could regulate the homeostasis of the gastrointestinal flora. The addition of sulfidated nanoscale zero-valent iron (S-nZVI) to the anaerobic system enriched species such as Prevotella, which are associated with biological hydrogen production [30]. g_Prevotella, which has a high acidogenesis capability, plays an important role in the acidogenic fermentation of organic solid waste and contributes significantly to the production of volatile fatty acids (VFAs) [31]. Prevotella, a bacterium associated with acid production, was found to be less abundant in the rumen fluid and more abundant in the colon contents in the FS group. Kudingcha (KDC) alleviates DSS-induced colitis in mice by reducing the abundance of potentially harmful bacteria such as s_Turicibacter [32].

6. Conclusions

Fermented straw replaced corn at a ratio of 1.3:1, which increased the area of rumen papillae, increased the activity of carboxymethyl cellulase and microcrystalline cellulase in rumen contents, and improved the rumen digestibility of cellulose and the total intestinal apparent digestibility of CP, CF, NDF, ADF, cellulose, and hemicellulose. Timely excretion of excess calcium through feces and urine could prevent liver and kidney damage. Rumen fermentation and metabolism were regulated by changes in the microbial composition of the rumen fluid and colon contents, and the carcass index significantly improved. Due to an increase in the abundance of beneficial bacteria such as f-Lachnospiraceae and c_Bacilli in the rumen fluid and colon contents, the abundance of potentially harmful bacteria such as s_Turicibacter decreased. Various pathways regulated rumen fermentation and metabolism in the goat body and promoted animal health. In summary, fermented straw can replace corn straw and raw grain in Yichang white goats, which can reduce costs by improving the digestibility of nutrients without affecting growth performance.

Supplementary Materials

The following supporting information can be downloaded at https://www.mdpi.com/article/10.3390/fermentation11030111/s1: Figure S1: UPGMA cluster tree based on ASV and ANOSIM group difference analysis. Figure S2: Total sample clustering diagram and differential metabolite clustering heat map of the KEGG pathway.

Author Contributions

Conceptualization, Y.D., Y.M. and Y.L. (Yunxiang Liang); Methodology, X.J., Y.D., Y.L. (Yingjun Li) and Y.L. (Yunxiang Liang); Validation, X.J.; Formal analysis, X.J. and Y.D.; Investigation, X.J., Y.D. and M.Z.; Resources, Y.M. and Y.L. (Yunxiang Liang); Writing—original draft, X.J.; Writing—review & editing, X.J. and Y.D.; Visualization, X.J.; Supervision, Y.L. (Yingjun Li) and Y.L. (Yunxiang Liang); Project administration, Y.L. (Yingjun Li) and Y.L. (Yunxiang Liang); Funding acquisition, Y.L. (Yingjun Li) and Y.L. (Yunxiang Liang). All authors have read and agreed to the published version of the manuscript.

Funding

This study was supported by the Hubei Province Science and Technology Talent Service Enterprise Project (2023DJC127), Fundamental Research Funds for the Central Universities (2662022SKPY001), Natural Science Foundation of Hubei Province, China (no. 2024AFB698), Key Research and Development Program of Hubei Province, China (grant no. 2023BBB131), Program of Scientific and Technological Talents Service to Business of Hubei Province (Grant No. 2023DJC096), and funding from the Cooperative Innovation Center of Industrial Fermentation (Ministry of Education & Hubei Province).

Institutional Review Board Statement

The protocol of the animal experiments was reviewed and approved by the Science Ethics Committee of Huazhong Agricultural University (HAZUGO-2024-0005, Wuhan, China).

Informed Consent Statement

Not applicable.

Data Availability Statement

None of the data were deposited in an official repository. The datasets analyzed in the current study are available from the corresponding author upon request.

Acknowledgments

The authors thank the support and assistance of the staff members at the Department of Life Science and Technology, Huazhong Agricultural University, and Cooperative Innovation Center of Industrial Fermentation (Ministry of Education & Hubei Province), Hubei University of Technology.

Conflicts of Interest

The authors declare that they have no conflicts of interest.

References

  1. Chen, Y.; Dong, L.; Miao, J.; Wang, J.; Zhu, C.; Xu, Y.; Chen, G.; Liu, J. Hydrothermal liquefaction of corn straw with mixed catalysts for the production of bio-oil and aromatic compounds. Bioresour. Technol. 2019, 294, 122148. [Google Scholar] [CrossRef]
  2. Khonkhaeng, B.; Cherdthong, A. Pleurotus Ostreatus and Volvariella Volvacea Can Enhance the Quality of Purple Field Corn Stover and Modulate Ruminal Fermentation and Feed Utilization in Tropical Beef Cattle. Animals 2019, 9, 1084. [Google Scholar] [CrossRef] [PubMed]
  3. Zhao, J.; Dong, Z.; Li, J.; Chen, L.; Bai, Y.; Jia, Y.; Shao, T. Evaluation of Lactobacillus plantarum MTD1 and waste molasses as fermentation modifier to increase silage quality and reduce ruminal greenhouse gas emissions of rice straw. Sci. Total Env. 2019, 688, 143–152. [Google Scholar] [CrossRef]
  4. Zhao, X.; Wang, F.; Fang, Y.; Zhou, D.; Wang, S.; Wu, D.; Wang, L.; Zhong, R. High-potency white-rot fungal strains and duration of fermentation to optimize corn straw as ruminant feed. Bioresour. Technol. 2020, 312, 123512. [Google Scholar] [CrossRef]
  5. Zheng, Y.; Xue, S.; Zhao, Y.; Li, S. Effect of Cassava Residue Substituting for Crushed Maize on In Vitro Ruminal Fermentation Characteristics of Dairy Cows at Mid-Lactation. Animals 2020, 10, 893. [Google Scholar] [CrossRef] [PubMed]
  6. Nemati, M.; Hashemzadeh, F.; Ghorbani, G.R.; Ghasemi, E.; Khorvash, M.; Ghaffari, M.H.; Nasrollahi, S.M. Effects of substitution of beet pulp for barley or corn in the diet of high-producing dairy cows on feeding behavior, performance, and ruminal fermentation. J. Dairy Sci. 2020, 103, 8829–8840. [Google Scholar] [CrossRef]
  7. García-Rodríguez, J.; Saro, C.; Mateos, I.; González, J.S.; Carro, M.D.; Ranilla, M.J. Effects of Replacing Extruded Maize by Dried Citrus Pulp in a Mixed Diet on Ruminal Fermentation, Methane Production, and Microbial Populations in Rusitec Fermenters. Animals 2020, 10, 1316. [Google Scholar] [CrossRef] [PubMed]
  8. Yoo, D.; Hamid, M.M.A.; Kim, H.; Moon, J.; Song, J.; Lee, S.; Seo, J. Substitution effects of rice for corn grain in total mixed ration on rumen fermentation characteristics and microbial community in vitro. J. Anim. Sci. Technol. 2020, 62, 638–647. [Google Scholar] [CrossRef]
  9. Sabry, M.; Nasser, M.E.A.; Kamel, H.E.M.; Abaza, M.A.; Soltan, Y.A. Effect of replacing corn grains with date palm kernels on ruminal fermentation, feed degradability, and methane production under different initial in vitro pH conditions. Anim. Biotechnol. 2022, 33, 1268–1279. [Google Scholar] [CrossRef] [PubMed]
  10. Guo, H.; Chang, J.; Yin, Q.; Wang, P.; Lu, M.; Wang, X.; Dang, X. Effect of the combined physical and chemical treatments with microbial fermentation on corn straw degradation. Bioresour. Technol. 2013, 148, 361–365. [Google Scholar] [CrossRef]
  11. Jingjing, L.; Xiaoping, L.; Jianfang, S.; Xiaofen, W.; Xufeng, Y.; Zongjun, C. Improving digestibility and palatability of straw feed by high temperature decomposition and lactic acid bacteria fermentation. Trans. Chin. Soc. Agric. Eng. 2014, 30, 290–299. [Google Scholar]
  12. Chen, X.; He, H.; Zhu, N.; Jia, P.; Tian, J.; Song, W.; Cui, Z.; Yuan, X. Food waste impact on dry anaerobic digestion of straw in a novel reactor: Biogas yield, stability, and hydrolysis-methanogenesis processes. Bioresour. Technol. 2024, 406, 131023. [Google Scholar] [CrossRef] [PubMed]
  13. AOAC. Official Methods of Analysis. In Official Methods of Analysis; The Association of Official Analytical Chemists: Gaithersburg, MD, USA, 2000; Volume 17, pp. 925.910, 965.917, 974.924, 992.916. [Google Scholar]
  14. Zhuang, Y.; Lv, X.; Cui, K.; Chai, J.; Zhang, N. Early Solid Diet Supplementation Influences the Proteomics of Rumen Epithelium in Goat Kids. Biology 2023, 12, 684. [Google Scholar] [CrossRef] [PubMed]
  15. Ding, H.; Zhao, X.; Azad, M.A.K.; Ma, C.; Gao, Q.; He, J.; Kong, X. Dietary supplementation with Bacillus subtilis and xylo-oligosaccharides improves growth performance and intestinal morphology and alters intestinal microbiota and metabolites in weaned piglets. Food Funct. 2021, 12, 5837–5849. [Google Scholar] [CrossRef]
  16. Thévenot, E.A.; Roux, A.; Xu, Y.; Ezan, E.; Junot, C. Analysis of the Human Adult Urinary Metabolome Variations with Age, Body Mass Index, and Gender by Implementing a Comprehensive Workflow for Univariate and OPLS Statistical Analyses. J. Proteome Res. 2015, 14, 3322–3335. [Google Scholar] [CrossRef] [PubMed]
  17. Zhang, Q.; Shang, M.-M.; Ling, Q.-F.; Wu, X.-P.; Liu, C.-Y. Hepatoprotective effects of loach (Misgurnus anguillicaudatus) lyophilized powder on dimethylnitrosamine-induced liver fibrosis in rats. Arch. Pharm. Res. 2021, 44, 1–12. [Google Scholar] [CrossRef] [PubMed]
  18. Hiroshima, Y.; Manabe, O.; Naya, M.; Tomiyama, Y.; Magota, K.; Obara, M.; Aikawa, T.; Oyama-Manabe, N.; Yoshinaga, K.; Hirata, K.; et al. Quantification of myocardial blood flow with 11C-hydroxyephedrine dynamic PET: Comparison with 15O-H2O PET. J. Nucl. Cardiol. 2020, 27, 1118–1125. [Google Scholar] [CrossRef] [PubMed]
  19. Nasr, S.S.; Nasra, M.M.A.; Hazzah, H.A.; Abdallah, O.Y. Mesoporous silica nanoparticles, a safe option for silymarin delivery: Preparation, characterization, and in vivo evaluation. Drug Deliv. Transl. Res. 2019, 9, 968–979. [Google Scholar] [CrossRef]
  20. Dieho, K.; Bannink, A.; Geurts, I.A.L.; Schonewille, J.T.; Gort, G.; Dijkstra, J. Morphological adaptation of rumen papillae during the dry period and early lactation as affected by rate of increase of concentrate allowance. J. Dairy Sci. 2016, 99, 2339–2352. [Google Scholar] [CrossRef] [PubMed]
  21. Zhang, Z.; Xu, D.; Wang, L.; Hao, J.; Wang, J.; Zhou, X.; Wang, W.; Qiu, Q.; Huang, X.; Zhou, J.; et al. Convergent Evolution of Rumen Microbiomes in High-Altitude Mammals. Curr. Biol. 2016, 26, 1873–1879. [Google Scholar] [CrossRef] [PubMed]
  22. Liu, X.; Sha, Y.; Lv, W.; Cao, G.; Guo, X.; Pu, X.; Wang, J.; Li, S.; Hu, J.; Luo, Y. Multi-Omics Reveals That the Rumen Transcriptome, Microbiome, and Its Metabolome Co-regulate Cold Season Adaptability of Tibetan Sheep. Front. Microbiol. 2022, 13, 859601. [Google Scholar] [CrossRef]
  23. Cao, J.-W.; Deng, Q.; Gao, D.-Y.; He, B.; Yin, S.-J.; Qian, L.-C.; Wang, J.-K.; Wang, Q. A novel bifunctional glucanase exhibiting high production of glucose and cellobiose from rumen bacterium. Int. J. Biol. Macromol. 2021, 173, 136–145. [Google Scholar] [CrossRef] [PubMed]
  24. Peng, X.; Wilken, S.E.; Lankiewicz, T.S.; Gilmore, S.P.; Brown, J.L.; Henske, J.K.; Swift, C.L.; Salamov, A.; Barry, K.; Grigoriev, I.V.; et al. Genomic and functional analyses of fungal and bacterial consortia that enable lignocellulose breakdown in goat gut microbiomes. Nat. Microbiol. 2021, 6, 499–511. [Google Scholar] [CrossRef]
  25. Froidurot, A.; Julliand, V. Cellulolytic bacteria in the large intestine of mammals. Gut Microbes 2022, 14, 2031694. [Google Scholar] [CrossRef] [PubMed]
  26. Chen, K.; Nakasone, Y.; Xie, K.; Sakao, K.; Hou, D.-X. Modulation of Allicin-Free Garlic on Gut Microbiome. Molecules 2020, 25, 682. [Google Scholar] [CrossRef] [PubMed]
  27. Wu, J.; Aga, L.; Tang, L.; Li, H.; Wang, N.; Yang, L.; Zhang, N.; Wang, X.; Wang, X. Lacticaseibacillus paracasei JS-3 Isolated from “Jiangshui” Ameliorates Hyperuricemia by Regulating Gut Microbiota and iTS Metabolism. Foods 2024, 13, 1371. [Google Scholar] [CrossRef]
  28. Zhu, R.; Ouyang, Y.; Chen, Y.; Zhang, L.; Nie, J.; Farag, M.A.; Capanoglu, E.; Zhao, C. The therapeutic potential for senescence-associated diabetes of green alga Enteromorpha prolifera polysaccharide. Int. J. Biol. Macromol. 2023, 232, 123465. [Google Scholar] [CrossRef]
  29. Li, B.; Zu, M.; Jiang, A.; Cao, Y.; Wu, J.; Shahbazi, M.-A.; Shi, X.; Reis, R.L.; Kundu, S.C.; Xiao, B. Magnetic natural lipid nanoparticles for oral treatment of colorectal cancer through potentiated antitumor immunity and microbiota metabolite regulation. Biomaterials 2024, 307, 122530. [Google Scholar] [CrossRef] [PubMed]
  30. Zhang, D.; Wei, Y.; Wu, S.; Zhou, L. Consolidation of hydrogenotrophic methanogenesis by sulfidated nanoscale zero-valent iron in the anaerobic digestion of food waste upon ammonia stress. Sci. Total Environ. 2022, 822, 153531. [Google Scholar] [CrossRef]
  31. Inaba, T.; Su, T.; Aoyagi, T.; Aizawa, H.; Sato, Y.; Suh, C.; Lee, J.H.; Hori, T.; Ogata, A.; Habe, H. Microbial community in an anaerobic membrane bioreactor and its performance in treating organic solid waste under controlled and deteriorated conditions. J. Env. Manag. 2020, 269, 110786. [Google Scholar] [CrossRef] [PubMed]
  32. Wan, P.; Peng, Y.; Chen, G.; Xie, M.; Dai, Z.; Huang, K.; Dong, W.; Zeng, X.; Sun, Y. Modulation of gut microbiota by Ilex kudingcha improves dextran sulfate sodium-induced colitis. Food Res. Int. 2019, 126, 108595. [Google Scholar] [CrossRef] [PubMed]
Figure 1. Effect of fermented straw on the morphology of rumen and small intestine. (AC) Rumen papillary morphology. (D) H&E staining of rumen epithelial. Bar = 100 μm. (EH) Rumen epithelial tissue structure. (I) H&E staining of jejunum and colon. Bar = 500 μm. (J) Jejunum mucosal morphometry. (K) Colon mucosal morphometry. Values are means, with standard errors represented by vertical bars (n = 4). Asterisks signify significant differences using Student’s t-test (* p < 0.05). ns, non-significant.
Figure 1. Effect of fermented straw on the morphology of rumen and small intestine. (AC) Rumen papillary morphology. (D) H&E staining of rumen epithelial. Bar = 100 μm. (EH) Rumen epithelial tissue structure. (I) H&E staining of jejunum and colon. Bar = 500 μm. (J) Jejunum mucosal morphometry. (K) Colon mucosal morphometry. Values are means, with standard errors represented by vertical bars (n = 4). Asterisks signify significant differences using Student’s t-test (* p < 0.05). ns, non-significant.
Fermentation 11 00111 g001
Figure 2. Effect of fermented straw on rumen fermentation parameters of Yichang white goat. (A,B) The pH (A) and concentration of ammonia nitrogen (B) in rumen fluid. (C,D) SCFA content (C) and its molar proportion (D) in rumen contents. (E) The variation trend of SCFA content in rumen fluid with time. (FJ) The changing trends in the acetic acid (F), propionic acid (G), butyric acid (H), isobutyric acid (I), and isovaleric acid (J) contents and their molar proportions in rumen fluid over time. Values are means, with standard errors represented by vertical bars (n = 4). Asterisks signify significant differences using Student’s t-test (* p < 0.05, ** p < 0.01, *** p < 0.001). ns, non-significant.
Figure 2. Effect of fermented straw on rumen fermentation parameters of Yichang white goat. (A,B) The pH (A) and concentration of ammonia nitrogen (B) in rumen fluid. (C,D) SCFA content (C) and its molar proportion (D) in rumen contents. (E) The variation trend of SCFA content in rumen fluid with time. (FJ) The changing trends in the acetic acid (F), propionic acid (G), butyric acid (H), isobutyric acid (I), and isovaleric acid (J) contents and their molar proportions in rumen fluid over time. Values are means, with standard errors represented by vertical bars (n = 4). Asterisks signify significant differences using Student’s t-test (* p < 0.05, ** p < 0.01, *** p < 0.001). ns, non-significant.
Fermentation 11 00111 g002
Figure 3. Effect of fermented straw on analysis of microbial enzyme activity in rumen contents of Yichang white goat. (A) Absolute enzyme activity analysis of microbial proteins in rumen contents. (B) Specific enzyme activity analysis of microbial proteins in rumen contents. (C) Microbial protein content of rumen contents. Values are means, with standard errors represented by vertical bars (n = 4). Asterisks signify significant differences using Student’s t-test (* p < 0.05). ns, non-significant.
Figure 3. Effect of fermented straw on analysis of microbial enzyme activity in rumen contents of Yichang white goat. (A) Absolute enzyme activity analysis of microbial proteins in rumen contents. (B) Specific enzyme activity analysis of microbial proteins in rumen contents. (C) Microbial protein content of rumen contents. Values are means, with standard errors represented by vertical bars (n = 4). Asterisks signify significant differences using Student’s t-test (* p < 0.05). ns, non-significant.
Fermentation 11 00111 g003
Figure 4. Calcium and phosphorus contents and the ratio of calcium and phosphorus in different tissues. (A) Calcium content in different tissues. (B) Calcium content in serum and urine. (C) Phosphorus content in different tissues. (D) Phosphorus levels in serum and urine. (E) Calcium–phosphorus ratios in different tissues. (F) Calcium to phosphorus ratio in serum and urine. Serum-6 h represents blood collection after fasting for 6 h. Serum-12 h represents blood collection after fasting for 12 h. Values are means, with standard errors represented by vertical bars (n = 4). Asterisks signify significant differences using Student’s t-test (* p < 0.05, ** p < 0.01, *** p < 0.001). ns, non-significant.
Figure 4. Calcium and phosphorus contents and the ratio of calcium and phosphorus in different tissues. (A) Calcium content in different tissues. (B) Calcium content in serum and urine. (C) Phosphorus content in different tissues. (D) Phosphorus levels in serum and urine. (E) Calcium–phosphorus ratios in different tissues. (F) Calcium to phosphorus ratio in serum and urine. Serum-6 h represents blood collection after fasting for 6 h. Serum-12 h represents blood collection after fasting for 12 h. Values are means, with standard errors represented by vertical bars (n = 4). Asterisks signify significant differences using Student’s t-test (* p < 0.05, ** p < 0.01, *** p < 0.001). ns, non-significant.
Fermentation 11 00111 g004
Figure 5. Serum biochemical indexes. (A) The cotent of ALT, AST, TG and TC. (B) The cotent of ALB, TP and UREA. (C) The glucose content in serum. 6 h represents blood collection after fasting for 6 h, and 12 h represents blood collection after fasting for 12 h. ALT, alanine aminotransferase. AST, aspartate aminotransferase. TG, glyceryl tridodecanoate. TC, total cholesterol. ALB, albumin. TP, total protein. Values are means, with standard errors represented by vertical bars (n = 4). Asterisks signify significant differences using Student’s t-test (* p < 0.05, ** p < 0.01, *** p < 0.001). ns, non-significant.
Figure 5. Serum biochemical indexes. (A) The cotent of ALT, AST, TG and TC. (B) The cotent of ALB, TP and UREA. (C) The glucose content in serum. 6 h represents blood collection after fasting for 6 h, and 12 h represents blood collection after fasting for 12 h. ALT, alanine aminotransferase. AST, aspartate aminotransferase. TG, glyceryl tridodecanoate. TC, total cholesterol. ALB, albumin. TP, total protein. Values are means, with standard errors represented by vertical bars (n = 4). Asterisks signify significant differences using Student’s t-test (* p < 0.05, ** p < 0.01, *** p < 0.001). ns, non-significant.
Fermentation 11 00111 g005
Figure 6. Microbial diversity analysis of rumen fluid and colon contents. (A) ASV-based Venn chart of rumen fluid and colon contents. (B) ASV-based Venn chart between different treatment groups of the same site or between different sites of the same treatment group. (CE) Stacked bar charts of relative abundances of different samples (above) and species in different groups (below) at the level of phylum (C), class (D), and order (E) based on ASV. (F) Alpha diversity analysis index of different samples. DS_Ru, rumen fluid in DS group. Rumen fluid of FS_Ru, FS group. DS_Co, colon contents of DS group. Colon contents of FS_Co, FS group. Asterisks signify significant differences using Student’s t-test (* p < 0.05, *** p < 0.001). ns, non-significant. Different letters (a, b, c) denote statistically significant differences at p < 0.05.
Figure 6. Microbial diversity analysis of rumen fluid and colon contents. (A) ASV-based Venn chart of rumen fluid and colon contents. (B) ASV-based Venn chart between different treatment groups of the same site or between different sites of the same treatment group. (CE) Stacked bar charts of relative abundances of different samples (above) and species in different groups (below) at the level of phylum (C), class (D), and order (E) based on ASV. (F) Alpha diversity analysis index of different samples. DS_Ru, rumen fluid in DS group. Rumen fluid of FS_Ru, FS group. DS_Co, colon contents of DS group. Colon contents of FS_Co, FS group. Asterisks signify significant differences using Student’s t-test (* p < 0.05, *** p < 0.001). ns, non-significant. Different letters (a, b, c) denote statistically significant differences at p < 0.05.
Fermentation 11 00111 g006
Figure 7. Analysis of intergroup differences in the microorganisms of rumen fluid and colon contents. (A) ASV-based NMDS analysis. NMDS, non-metric multidimensional scaling. (B) ASV-based analysis of ANOSIM differences across groups. p-value: p < 0.05 indicates statistical significance. (C) ASV-based T-test analysis of species differences between DS_Ru and FS_Ru groups. The figure on the left shows the abundance of different species across groups. At the far right end of the results, the p-values from the inter-group significance test for the different species are presented. (D) ASV-based T-test analysis of species differences between DS_Co and FS_Co groups.
Figure 7. Analysis of intergroup differences in the microorganisms of rumen fluid and colon contents. (A) ASV-based NMDS analysis. NMDS, non-metric multidimensional scaling. (B) ASV-based analysis of ANOSIM differences across groups. p-value: p < 0.05 indicates statistical significance. (C) ASV-based T-test analysis of species differences between DS_Ru and FS_Ru groups. The figure on the left shows the abundance of different species across groups. At the far right end of the results, the p-values from the inter-group significance test for the different species are presented. (D) ASV-based T-test analysis of species differences between DS_Co and FS_Co groups.
Fermentation 11 00111 g007
Figure 8. Microbiological analysis and functional annotation analysis of rumen fluid and colon contents. (A) Evolutionary branching diagram based on ASV after LEfSe (LDA effect size) statistics of DS_Ru and FS_Ru groups. (B) Evolution branching diagram based on ASV after LEfSe (LDA effect size) statistics of DS_Co and FS_Co groups. (C) Level 2 clustering heat map based on the Tax4Fun2 function annotation of ASV. (D) Level 2 T-test difference analysis diagram based on the Tax4Fun2 functional annotation of ASV.
Figure 8. Microbiological analysis and functional annotation analysis of rumen fluid and colon contents. (A) Evolutionary branching diagram based on ASV after LEfSe (LDA effect size) statistics of DS_Ru and FS_Ru groups. (B) Evolution branching diagram based on ASV after LEfSe (LDA effect size) statistics of DS_Co and FS_Co groups. (C) Level 2 clustering heat map based on the Tax4Fun2 function annotation of ASV. (D) Level 2 T-test difference analysis diagram based on the Tax4Fun2 functional annotation of ASV.
Fermentation 11 00111 g008
Figure 9. Metabolome analysis of rumen fluid and colon contents; combined analysis of microbiome and metabolome. (A) PCA score chart of quality spectrum data of samples and quality control samples in each group. (B) OPLS-DA score chart (top) and verification chart (bottom) for DS_Ru and FS_Ru groups. (C) OPLS-DA score chart (top) and verification chart (bottom) for DS_Co and FS_Co groups. (D) Radar maps of differential metabolites between DS_Ru and FS_Ru group (top) and DS_Co and FS_Co group (bottom). (E) DS_Ru and FS_Ru groups (above) and DS_Co and FS_Co groups (below) have different metabolite KEGG enrichment diagrams. (F) Mantel test analysis of species-level differences between microorganisms and individual metabolites. The figure above shows the Mantel analysis of different microorganisms in the species basis and metabolites between FS-Ru_vs_DS-Ru group. The figure below shows the Mantel analysis of different microorganisms in the ASV basis and metabolites between FS-Co_vs_DS-Co group. Significance test p-values: * indicate p-value < 0.05; no marks are added if they are not significant. (G) CIA analysis of species-level differential microorganisms and differential metabolites. The left image shows FS_Ru_vs_DS_Ru and the right image shows FS_Co_vs_DS_Co.
Figure 9. Metabolome analysis of rumen fluid and colon contents; combined analysis of microbiome and metabolome. (A) PCA score chart of quality spectrum data of samples and quality control samples in each group. (B) OPLS-DA score chart (top) and verification chart (bottom) for DS_Ru and FS_Ru groups. (C) OPLS-DA score chart (top) and verification chart (bottom) for DS_Co and FS_Co groups. (D) Radar maps of differential metabolites between DS_Ru and FS_Ru group (top) and DS_Co and FS_Co group (bottom). (E) DS_Ru and FS_Ru groups (above) and DS_Co and FS_Co groups (below) have different metabolite KEGG enrichment diagrams. (F) Mantel test analysis of species-level differences between microorganisms and individual metabolites. The figure above shows the Mantel analysis of different microorganisms in the species basis and metabolites between FS-Ru_vs_DS-Ru group. The figure below shows the Mantel analysis of different microorganisms in the ASV basis and metabolites between FS-Co_vs_DS-Co group. Significance test p-values: * indicate p-value < 0.05; no marks are added if they are not significant. (G) CIA analysis of species-level differential microorganisms and differential metabolites. The left image shows FS_Ru_vs_DS_Ru and the right image shows FS_Co_vs_DS_Co.
Fermentation 11 00111 g009
Table 1. Ingredient compositions and nutritive values of experimental feeds (%, air-dry basis).
Table 1. Ingredient compositions and nutritive values of experimental feeds (%, air-dry basis).
ItemsDSFS
Ingredient, %
Corn31.1116.34
Soybean meal11.119.9
Straw55.5664.35
Yeast culture1.331.19
Vitamin and mineral premix 10.890.79
Calcium hydroxide07.43
Nutritive values, %
CP 310.138.83
OM 284.4377.8
CF 32020.97
NDF 343.6344.86
ADF 326.3327.62
ADL 33.463.6
Cellulose 222.8724
Hemicellulose 217.317.24
Calcium 30.390.79
Phosphorus 30.30.26
Abbreviations: DS = dry straw; FS = fermented straw; CP = crude protein; OM = organic matter; CF = crude fiber; NDF = neutral detergent fiber; ADF = acid detergent fiber; ADL = acid detergent lignin. 1 The premix provided the following per kg of diets: The premix provided the following per kg of diets: Fe 430 mg, Zn 950 mg, Cu 650 mg, I 45 mg, Mn 600 mg, Se 30 mg, Co 20 mg, VA 120,000 IU, VE 8000 IU, VD 40,000 IU, and 2300 IU of VK. 2 Nutrient levels were calculated. 3 Nutrient levels were the actual measured values.
Table 2. Analysis of organic acid and enzymatic sugar contents in dry straw and fermented straw.
Table 2. Analysis of organic acid and enzymatic sugar contents in dry straw and fermented straw.
Items (mg/g)Straw Typep-Value
DSFS
Lactic acid0.04 ± 0.020.77 ± 0.12<0.001
Acetic acid0.95 ± 0.4055.73 ± 6.66<0.001
Propionic acid0.92 ± 0.2810.52 ± 1.90<0.001
Ethanol1.05 ± 0.2013.97 ± 3.84<0.001
Butyric acid1.02 ± 0.3465.04 ± 9.63<0.001
Total acids + alcohols3.98 ± 0.57146.03 ± 19.82<0.001
Enzymatic sugar110.00 ± 5.29248.25 ± 14.52<0.001
Abbreviations: DS = dry straw; FS = fermented straw.
Table 3. Analysis of nutritional components of dry straw and fermented straw.
Table 3. Analysis of nutritional components of dry straw and fermented straw.
ItemsStraw Typep-Value
DSFS
DM (%, Air-dry basis)91.7 ± 0.3191.85 ± 0.020.879
CF (%, DM basis)36.2 ± 0.5233.2 ± 0.26<0.001
NDF (%, DM basis)76.3 ± 1.2770.0 ± 0.31<0.001
ADF (%, DM basis)48.5 ± 0.5144.5 ± 0.42<0.001
ADL (%, DM basis)5.76 ± 0.105.87 ± 0.320.044
CP (%, DM basis)5.55 ± 0.375.02 ± 0.050.468
Ash (%, DM basis)8.0 ± 0.3217.8 ± 0.33<0.001
Cellulose (%, DM basis)41.5 ± 0.6538.5 ± 0.710.002
Hemicellulose (%, DM basis)28.7 ± 0.7226.1 ± 0.63<0.001
Ca (%, DM basis)0.51 ± 0.005.12 ± 0.04<0.001
P (%, DM basis)0.07 ± 0.000.10 ± 0.000.001
SDF (%, DM basis)1.31 ± 0.004.85 ± 0.01<0.001
Abbreviations: DS = dry straw; FS = fermented straw; CP = crude protein; DM = dry matter; CF = crude fiber; NDF = neutral detergent fiber; ADF = acid detergent fiber; ADL = acid detergent lignin. Nutrient levels were the actual measured values.
Table 4. Effect of fermented corn straw on growth performance, slaughter performance, and organ index of goats.
Table 4. Effect of fermented corn straw on growth performance, slaughter performance, and organ index of goats.
ItemsDSFSp-Value
Growth performance
Initial live weight (kg)21.89 ± 0.7920.94 ± 0.550.032
Final live weight (kg)26.41 ± 1.2824.53 ± 0.610.007
Average daily gain (g)37.74 ± 8.7729.93 ± 5.690.089
ADI—total (g)746.14 ± 24.88790.33 ± 37.10.027
Feed conversion ratio—total (g/g)20.63 ± 4.2827.07 ± 4.570.024
ADI—concentrate (g)353.23 ± 27.27229.05 ± 35.55<0.001
Feed conversion ratio—concentrate (g/g)9.74 ± 2.127.87 ± 2.000.130
Slaughter performance
Live weight before slaughter (kg)28.10 ± 1.0926.68 ± 0.700.314
Warm carcass weight (kg)11.13 ± 0.3611.03 ± 0.260.830
Carcass index (%)39.55 ± 0.4841.28 ± 0.310.023
Organ index
Heart weight index (%)0.31 ± 0.010.36 ± 0.010.003
Liver weight index (%)1.60 ± 0.041.75 ± 0.020.011
Spleen weight index (%)0.09 ± 0.000.10 ± 0.000.168
kidney weight index (%)0.25 ± 0.010.26 ± 0.010.693
Abbreviations: DS = dry straw; FS = fermented straw; ADI = average daily intake. Values are means ± SEM (n = 8).
Table 5. The effects of fermented straw on rumen digestibility and total intestinal apparent digestibility of Yichang white goats (n = 4 goats/group).
Table 5. The effects of fermented straw on rumen digestibility and total intestinal apparent digestibility of Yichang white goats (n = 4 goats/group).
ItemsDSFSp-Value
Rumen digestibility (%, air-dry basis)
OM50.96 ± 2.1452.81 ± 6.020.782
CP61.73 ± 1.8039.76 ± 9.270.059
CF12.40 ± 3.4914.28 ± 7.830.833
NDF15.12 ± 3.9336.77 ± 8.460.059
ADF11.87 ± 3.5222.35 ± 9.650.347
Cellulose37.29 ± 2.7257.32 ± 4.18 0.007
Hemicellulose50.12 ± 2.2844.77 ± 9.190.593
Total intestinal apparent digestibility (%, air-dry basis)
OM74.37 ± 1.2771.66 ± 0.690.111
CP78.43 ± 1.9188.38 ± 0.870.003
CF62.64 ± 2.2583.34 ± 0.77<0.001
NDF60.86 ± 2.0389.34 ± 0.47<0.001
ADF60.64 ± 2.1087.67 ± 0.26<0.001
Cellulose72.51 ± 1.2692.86 ± 0.17<0.001
Hemicellulose75.45 ± 1.2989.02 ± 1.17<0.001
Abbreviations: DS = dry straw; FS = fermented straw; CP = crude protein; OM = organic matter; CF = crude fiber; NDF = neutral detergent fiber; ADF = acid detergent fiber. Values are means ± SEM (n = 4).
Table 6. Results of routine urine examinations for Yichang white goats.
Table 6. Results of routine urine examinations for Yichang white goats.
ItemsDSFSp-Value
ColorPale yellowPale yellow
H ion concentration (nmoL/L)11.00 ± 2.64691.25 ± 51.200.243
SG1.018 ± 0.0021.025 ± 0.0030.180
URO--
GLU--
KET--
BIL--
PRO--
NIT--
BLD--
LEU--
VC--
Abbreviations: DS = dry straw; FS = fermented straw; SG = specific gravity; URO = urobilinogen; GLU = glucose; KET = ketone bodies; BIL = bilirubin; PRO = protein; NIT = nitrite; BLD = urine occult blood; LEU = leukocyte; VC = vitamin C. “-” stands for no value detected. Values are means ± SEM (n = 4).
Table 7. The percentage of ASV samples shared across groups.
Table 7. The percentage of ASV samples shared across groups.
ItemsDS_RuFS_RuDS_CoFS_Co
DS_Ru_vs_FS_Ru30.7237.86--
DS_Co_vs_FS_Co--49.1645.13
FS_Ru_vs_FS_Co-10.82-5.12
DS_Ru_vs_DS_Co6.6-3.98-
Abbreviations: DS_Ru = rumen fluid samples from DS group; FS_Ru = rumen fluid samples from FS group. DS_Co = samples of colon contents from the DS group. FS_Co = samples of colon contents from the FS group. _vs_ represents the proportion of ASVs common in the two groups to all ASVs in the group. “-” means there are no numbers here.
Disclaimer/Publisher’s Note: The statements, opinions and data contained in all publications are solely those of the individual author(s) and contributor(s) and not of MDPI and/or the editor(s). MDPI and/or the editor(s) disclaim responsibility for any injury to people or property resulting from any ideas, methods, instructions or products referred to in the content.

Share and Cite

MDPI and ACS Style

Jia, X.; Dun, Y.; Zhang, M.; Mei, Y.; Li, Y.; Liang, Y. Fermented Corn Straw Increases Cellulase Activity, Improves Rumen Fermentation, and Increases Nutrient Digestibility in Yichang White Goats. Fermentation 2025, 11, 111. https://doi.org/10.3390/fermentation11030111

AMA Style

Jia X, Dun Y, Zhang M, Mei Y, Li Y, Liang Y. Fermented Corn Straw Increases Cellulase Activity, Improves Rumen Fermentation, and Increases Nutrient Digestibility in Yichang White Goats. Fermentation. 2025; 11(3):111. https://doi.org/10.3390/fermentation11030111

Chicago/Turabian Style

Jia, Xuying, Yaohao Dun, Min Zhang, Yuxia Mei, Yingjun Li, and Yunxiang Liang. 2025. "Fermented Corn Straw Increases Cellulase Activity, Improves Rumen Fermentation, and Increases Nutrient Digestibility in Yichang White Goats" Fermentation 11, no. 3: 111. https://doi.org/10.3390/fermentation11030111

APA Style

Jia, X., Dun, Y., Zhang, M., Mei, Y., Li, Y., & Liang, Y. (2025). Fermented Corn Straw Increases Cellulase Activity, Improves Rumen Fermentation, and Increases Nutrient Digestibility in Yichang White Goats. Fermentation, 11(3), 111. https://doi.org/10.3390/fermentation11030111

Note that from the first issue of 2016, this journal uses article numbers instead of page numbers. See further details here.

Article Metrics

Back to TopTop