Luteolin Alleviates Inflammation Induced by Staphylococcus aureus in Bovine Mammary Epithelial Cells by Attenuating NF-κB and MAPK Activation
Simple Summary
Abstract
1. Introduction
2. Materials and Methods
2.1. Chemicals and Reagents
2.2. Bioinformatics Analysis
2.3. High-Pressure Liquid Chromatography (HPLC) Analysis
2.4. Cell Counting Kit-8 (CCK-8)
2.5. Cell Culturing and Treatment Groups
- (1)
- Control group (C.G.): without any treament;
- (2)
- S. aureus group (S.A.G.): only added S. aureus for 12 h;
- (3)
- S. aureus + Lut group (2.5 μg/mL): added S. aureus for 2 h and then added Lut (2.5 μg/mL) for a total of 12 h;
- (4)
- S. aureus + Lut group (5 μg/mL): added S. aureus for 2 h and then added Lut (5 μg/mL) for a total of 12 h;
- (5)
- S. aureus + Lut group (7.5 μg/mL): added S. aureus for 2 h and then added Lut (7.5 μg/mL) for a total of 12 h;
- (6)
- S. aureus + DEX group (DEX) (5 μg/mL): added S. aureus for 2 h and then added DEX (5 μg/mL) for a total of 12 h.
2.6. Enzyme-Linked Immunosorbent Assay (ELISA) Assay
2.7. Real-Time Quantitative Polymerase Chain Reaction (RT-qPCR)
2.8. Western Blotting
2.9. Data Analysis
3. Results
3.1. DEG Study of Inflammation Caused by S. aureus from the GEO Database
3.2. Network Pharmacology of Lut
3.3. HPLC and CCK 8 Analysis
3.4. Lut Reduced Pro-Inflammatory Cytokine Secretion from MAC-T Cells During S. aureus Infection
3.5. Lut Reduced TLR2 Expression in S. aureus-Infected MAC-T Cells
3.6. Lut Inhibited the Activation of NF-κB Pathway in S. aureus-Infected MAC-T Cells
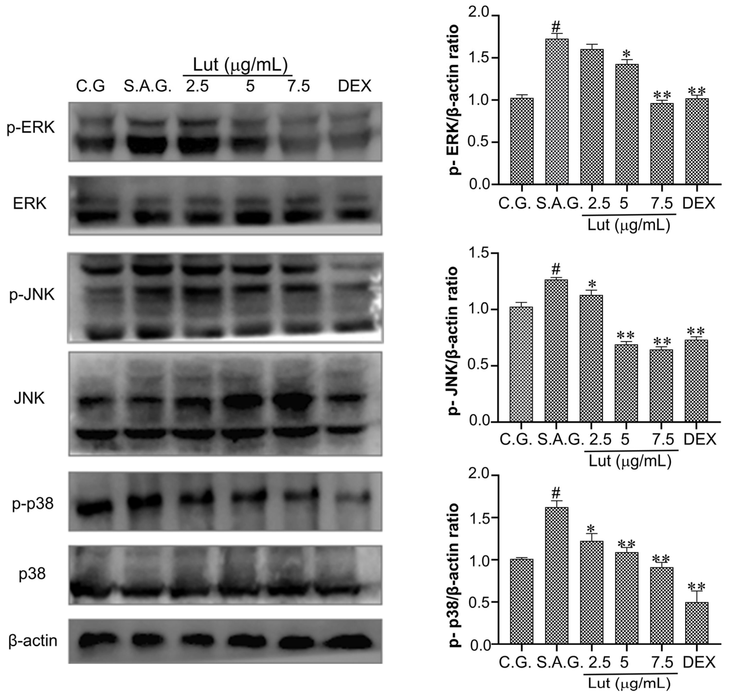
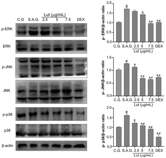
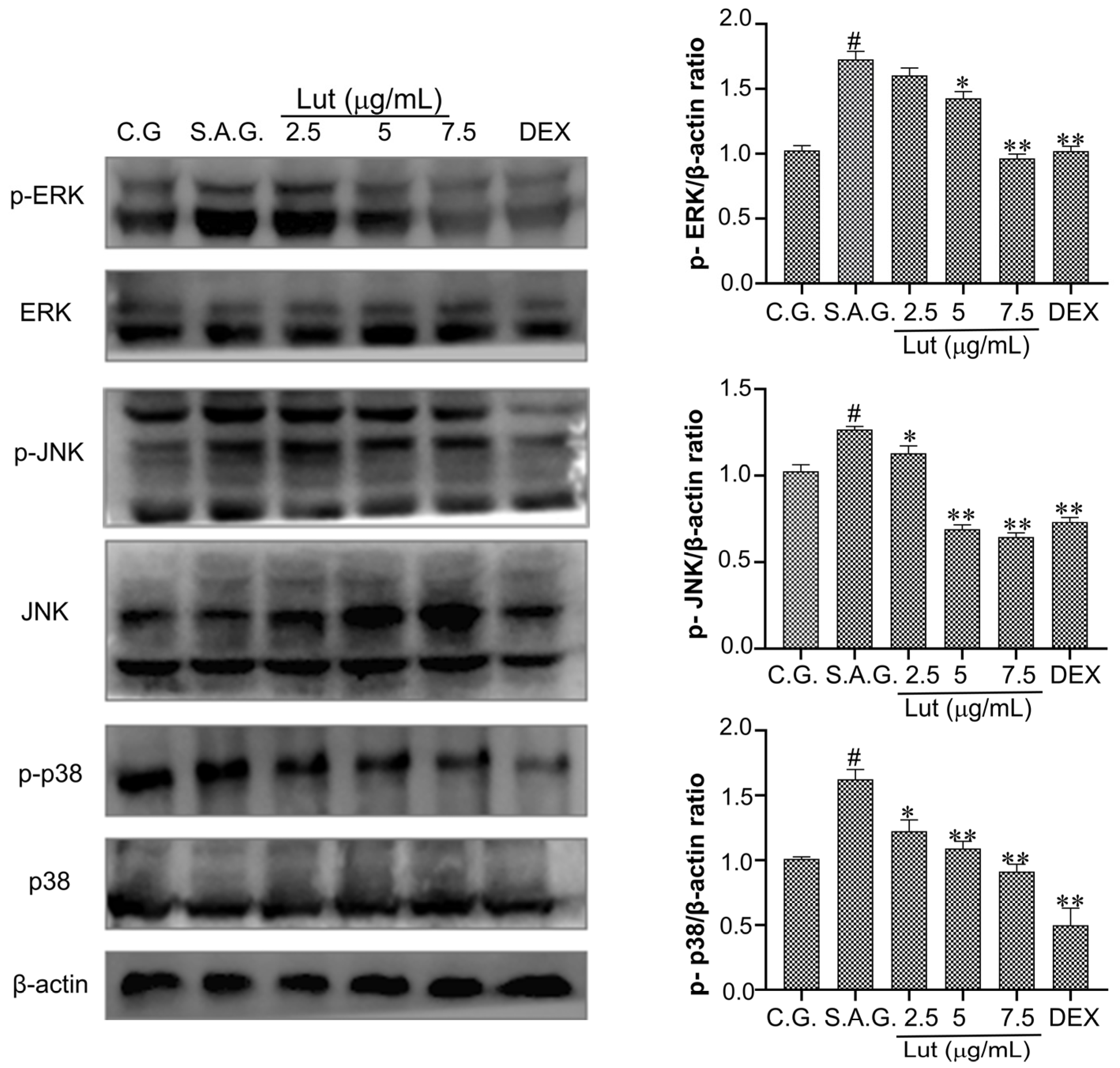
3.7. Lut Inhibited the Activation of MAPK Pathway in S. aureus-Infected MAC-T Cells
4. Discussion
5. Conclusions
Supplementary Materials
Author Contributions
Funding
Institutional Review Board Statement
Informed Consent Statement
Data Availability Statement
Conflicts of Interest
References
- Narayana, S.G.; Schenkel, F.; Miglior, F.; Chud, T.; Abdalla, E.A.; Naqvi, S.A.; Malchiodi, F.; Barkema, H.W. Genetic analysis of pathogen-specific intramammary infections in dairy cows. J. Dairy Sci. 2021, 104, 1982–1992. [Google Scholar] [CrossRef]
- She, Y.; Liu, J.; Su, M.; Li, Y.; Guo, Y.; Liu, G.; Deng, M.; Qin, H.; Sun, B.; Guo, J.; et al. A Study on Differential Biomarkers in the Milk of Holstein Cows with Different Somatic Cells Count Levels. Animals 2023, 13, 2446. [Google Scholar] [CrossRef] [PubMed]
- Akhtar, M.; Shaukat, A.; Zahoor, A.; Chen, Y.; Wang, Y.; Yang, M.; Umar, T.; Guo, M.; Deng, G. Hederacoside-C Inhibition of Staphylococcus aureus-Induced Mastitis via TLR2 & TLR4 and Their Downstream Signaling NF-κB and MAPKs Pathways In Vivo and In Vitro. Inflammation 2020, 43, 579–594. [Google Scholar] [CrossRef]
- Zhang, L.; Gu, J.; Wang, X.; Zhang, R.; Tuo, X.; Guo, A.; Qiu, L. Fate of antibiotic resistance genes and mobile genetic elements during anaerobic co-digestion of Chinese medicinal herbal residues and swine manure. Bioresour. Technol. 2018, 250, 799–805. [Google Scholar] [CrossRef]
- Günther, J.; Esch, K.; Poschadel, N.; Petzl, W.; Zerbe, H.; Mitterhuemer, S.; Blum, H.; Seyfert, H.M. Comparative kinetics of Escherichia coli- and Staphylococcus aureus-specific activation of key immune pathways in mammary epithelial cells demonstrates that S. aureus elicits a delayed response dominated by interleukin-6 (IL-6) but not by IL-1A or tumor necrosis factor alpha. Infect. Immun. 2011, 79, 695–707. [Google Scholar] [CrossRef]
- Chen, Q.; He, G.; Zhang, W.; Xu, T.; Qi, H.; Li, J.; Zhang, Y.; Gao, M.Q. Stromal fibroblasts derived from mammary gland of bovine with mastitis display inflammation-specific changes. Sci. Rep. Cetacean Res. 2016, 6, 27462. [Google Scholar] [CrossRef]
- Kornilov, F.D.; Shabalkina, A.V.; Lin, C.; Volynsky, P.E.; Kot, E.F.; Kayushin, A.L.; Lushpa, V.A.; Goncharuk, M.V.; Arseniev, A.S.; Goncharuk, S.A.; et al. The architecture of transmembrane and cytoplasmic juxtamembrane regions of Toll-like receptors. Nat. Commun. 2023, 14, 1503. [Google Scholar] [CrossRef]
- Jiang, X.; Yu, G.; Zhu, L.; Siddique, A.; Zhan, D.; Zhou, L.; Yue, M. Flanking N- and C-terminal domains of PrsA in Streptococcus suis type 2 are crucial for inducing cell death independent of TLR2 recognition. Virulence 2023, 14, 2249779. [Google Scholar] [CrossRef]
- Jiang, G.; Gong, M.; Song, H.; Sun, W.; Zhao, W.; Wang, L. Tob2 Inhibits TLR-Induced Inflammatory Responses by Association with TRAF6 and MyD88. J. Immunol. 2020, 205, 981–986. [Google Scholar] [CrossRef] [PubMed]
- Liu, B.; Li, Q.; Gong, Z.; Zhao, J.; Gu, B.; Feng, S. Staphylococcus aureus lipoproteins play crucial roles in inducing inflammatory responses and bacterial internalization into bovine mammary epithelial cells. Microb Pathog. 2022, 162, 105364. [Google Scholar] [CrossRef]
- Zhang, D.; Jin, G.; Liu, W.; Dou, M.; Wang, X.; Shi, W.; Bao, Y. Salvia miltiorrhiza polysaccharides ameliorates Staphylococcus aureus-induced mastitis in rats by inhibiting activation of the NF-κB and MAPK signaling pathways. BMC Vet. Res. 2022, 18, 201. [Google Scholar] [CrossRef]
- Li, H.M.; Kouye, O.; Yang, D.S.; Zhang, Y.Q.; Ruan, J.Y.; Han, L.F.; Zhang, Y.; Wang, T. Polyphenols from the Peels of Punica granatum L. and Their Bioactivity of Suppressing Lipopolysaccharide-Stimulated Inflammatory Cytokines and Mediators in RAW 264.7 Cells via Activating p38 MAPK and NF-κB Signaling Pathways. Molecules 2022, 27, 4622. [Google Scholar] [CrossRef]
- Prasher, P.; Sharma, M.; Singh, S.K.; Gulati, M.; Chellappan, D.K.; Zacconi, F.; De Rubis, G.; Gupta, G.; Sharifi-Rad, J.; Cho, W.C.; et al. Luteolin: A flavonoid with a multifaceted anticancer potential. Cancer Cell Int. 2022, 22, 386. [Google Scholar] [CrossRef] [PubMed]
- Li, Z.; Zhou, Y.; Zhang, N.; Tang, N.; Liu, B. Evaluation of the anti-inflammatory activity of luteolin in experimental animal models. Planta Med. 2007, 73, 221–226. [Google Scholar] [CrossRef]
- Azab, A.; Nassar, A.; Azab, A.N. Anti-Inflammatory Activity of Natural Products. Molecules 2016, 21, 1321. [Google Scholar] [CrossRef]
- Gao, S.; Gao, Y.; Cai, L.; Qin, R. Luteolin attenuates Staphylococcus aureus-induced endometritis through inhibiting ferroptosis and inflammation via activating the Nrf2/GPX4 signaling pathway. Microbiol. Spectr. 2024, 12, e0327923. [Google Scholar] [CrossRef]
- Huang, W.C.; Liou, C.J.; Shen, S.C.; Hu, S.; Hsiao, C.Y.; Wu, S.J. Luteolin Attenuates IL-1β-Induced THP-1 Adhesion to ARPE-19 Cells via Suppression of NF-κB and MAPK Pathways. Mediators Inflamm. 2020, 2020, 9421340. [Google Scholar] [CrossRef]
- Li, X.; He, X.; Chen, S.; Le, Y.; Bryant, M.S.; Guo, L.; Witt, K.L.; Mei, N. The genotoxicity potential of luteolin is enhanced by CYP1A1 and CYP1A2 in human lymphoblastoid TK6 cells. Toxicol. Lett. 2021, 344, 58–68. [Google Scholar] [CrossRef] [PubMed]
- Liu, C.W.; Lin, H.W.; Yang, D.J.; Chen, S.Y.; Tseng, J.K.; Chang, T.J.; Chang, Y.Y. Luteolin inhibits viral-induced inflammatory response in RAW264.7 cells via suppression of STAT1/3 dependent NF-κB and activation of HO-1. Free Radical. Biol. Med. 2016, 95, 180–189. [Google Scholar] [CrossRef] [PubMed]
- Luoreng, Z.M.; Yang, J.; Wang, X.P.; Wei, D.W.; Zan, L.S. Expression Profiling of microRNA From Peripheral Blood of Dairy Cows in Response to Staphylococcus aureus-Infected Mastitis. Front. Vet. Sci. 2021, 8, 691196. [Google Scholar] [CrossRef] [PubMed]
- Conti, P.; Caraffa, A.; Gallenga, C.E.; Ross, R.; Kritas, S.K.; Frydas, I.; Younes, A.; Di Emidio, P.; Ronconi, G.; Pandolfi, F. Powerful anti-inflammatory action of luteolin: Potential increase with IL-38. BioFactors 2021, 47, 165–169. [Google Scholar] [CrossRef]
- Ak, S.; Gürses, S.A.; Eser, B.E. [Effect of cigarette smoke extract on phagocytosis of Staphylococcus aureus by macrophages]. Mikrobiyol. Bul. 2016, 50, 205–214. [Google Scholar] [CrossRef] [PubMed]
- Shaukat, A.; Shaukat, I.; Rajput, S.A.; Shukat, R.; Hanif, S.; Shaukat, I.; Zhang, X.; Chen, C.; Sun, X.; Ye, T.; et al. Ginsenoside Rb1 Mitigates Escherichia coli Lipopolysaccharide-Induced Endometritis through TLR4-Mediated NF-κB Pathway. Molecules 2021, 26, 7089. [Google Scholar] [CrossRef]
- Islam, M.A.; Takagi, M.; Fukuyama, K.; Komatsu, R.; Albarracin, L.; Nochi, T.; Suda, Y.; Ikeda-Ohtsubo, W.; Rutten, V.; Eden, W.V.; et al. Transcriptome Analysis of The Inflammatory Responses of Bovine Mammary Epithelial Cells: Exploring Immunomodulatory Target Genes for Bovine Mastitis. Pathogens 2020, 9, 200. [Google Scholar] [CrossRef]
- Barrett, T.; Wilhite, S.E.; Ledoux, P.; Evangelista, C.; Kim, I.F.; Tomashevsky, M.; Marshall, K.A.; Phillippy, K.H.; Sherman, P.M.; Holko, M.; et al. NCBI GEO: Archive for functional genomics data sets--update. Nucleic Acids Res. 2013, 41, D991–D995. [Google Scholar] [CrossRef]
- Gong, Z.; Zhang, J.; Zhang, S.; Cao, J.; Fu, Y.; Hu, X.; Zhao, J.; Gu, B.; Li, Q.; Zhang, K.; et al. TLR2, TLR4, and NLRP3 mediated the balance between host immune-driven resistance and tolerance in Staphylococcus aureus-infected mice. Microb. Pathog. 2022, 169, 105671. [Google Scholar] [CrossRef]
- Chen, Y.; Jing, H.; Chen, M.; Liang, W.; Yang, J.; Deng, G.; Guo, M. Transcriptional Profiling of Exosomes Derived from Staphylococcus aureus-Infected Bovine Mammary Epithelial Cell Line MAC-T by RNA-Seq Analysis. Oxid. Med. Cell. Longev. 2021, 2021, 8460355. [Google Scholar] [CrossRef] [PubMed]
- Lai, J.L.; Liu, Y.H.; Liu, C.; Qi, M.P.; Liu, R.N.; Zhu, X.F.; Zhou, Q.G.; Chen, Y.Y.; Guo, A.Z.; Hu, C.M. Indirubin Inhibits LPS-Induced Inflammation via TLR4 Abrogation Mediated by the NF-kB and MAPK Signaling Pathways. Inflammation 2017, 40, 1–12. [Google Scholar] [CrossRef] [PubMed]
- Sharma, N.; Maiti, S.K.; Sharma, K.K. Prevalence, Etiology and Antibiogram of Microorganisms Associated with Sub-clinical Mastitis in Buffaloes in Durg. CSIDC 2007, 2, 145–151. [Google Scholar] [CrossRef][Green Version]
- Pratheeshkumar, P.; Son, Y.O.; Divya, S.P.; Roy, R.V.; Hitron, J.A.; Wang, L.; Kim, D.; Dai, J.; Asha, P.; Zhang, Z.; et al. Luteolin inhibits Cr(VI)-induced malignant cell transformation of human lung epithelial cells by targeting ROS mediated multiple cell signaling pathways. Toxicol. Appl. Pharmacol. 2014, 281, 230–241. [Google Scholar] [CrossRef] [PubMed]
- Wang, X.; Yan, C.; Wang, T.; Li, Y.; Zheng, Z. Mechanisms of Luteolin Against Gastro-Esophageal Reflux Disease Based on Network Pharmacology, Molecular Docking, and Molecular Dynamics Simulation. Cell Biochem. Biophys. 2024, 8, 24. [Google Scholar] [CrossRef] [PubMed]
- Tang, L.; Gao, J.; Li, X.; Cao, X.; Zhou, B. Molecular Mechanisms of Luteolin Against Atopic Dermatitis Based on Network Pharmacology and in vivo Experimental Validation. Drug Des. Devel. Ther. 2022, 16, 4205–4221. [Google Scholar] [CrossRef] [PubMed]
- Agrawal, T.; Bhengraj, A.R.; Vats, V.; Salhan, S.; Mittal, A. Expression of TLR 2, TLR 4 and iNOS in cervical monocytes of Chlamydia trachomatis-infected women and their role in host immune response. Am. J. Reprod. Immunol. Microbiol. 2011, 66, 534–543. [Google Scholar] [CrossRef]
- Shaukat, A.; Guo, Y.F.; Jiang, K.; Zhao, G.; Wu, H.; Zhang, T.; Yang, Y.; Guo, S.; Yang, C.; Zahoor, A.; et al. Ginsenoside Rb1 ameliorates Staphylococcus aureus-induced Acute Lung Injury through attenuating NF-κB and MAPK activation. Microb. Pathog. 2019, 132, 302–312. [Google Scholar] [CrossRef] [PubMed]
- Zahoor, A.; Yang, Y.; Yang, C.; Akhtar, M.; Guo, Y.; Shaukat, A.; Guo, M.Y.; Deng, G. Gas6 negatively regulates the Staphylococcus aureus-induced inflammatory response via TLR signaling in the mouse mammary gland. J. Cell. Physiol. 2020, 235, 7081–7093. [Google Scholar] [CrossRef] [PubMed]
- He, S.; Wang, X.; Liu, Z.; Zhang, W.; Fang, J.; Xue, J.; Bao, H. Hydroxysafflor Yellow A Inhibits Staphylococcus aureus-Induced Mouse Endometrial Inflammation via TLR2-Mediated NF-kB and MAPK Pathway. Inflammation 2021, 44, 835–845. [Google Scholar] [CrossRef]
- Muñoz-Wolf, N.; Lavelle, E.C. A Guide to IL-1 family cytokines in adjuvanticity. FEBS J. 2018, 285, 2377–2401. [Google Scholar] [CrossRef]
- Bochniarz, M.; Zdzisińska, B.; Wawron, W.; Szczubiał, M.; Dąbrowski, R. Milk and serum IL-4, IL-6, IL-10, and amyloid A concentrations in cows with subclinical mastitis caused by coagulase-negative staphylococci. J. Dairy Sci. 2017, 100, 9674–9680. [Google Scholar] [CrossRef] [PubMed]
- Pang, Y.; Wu, L.; Tang, C.; Wang, H.; Wei, Y. Autophagy-Inflammation Interplay During Infection: Balancing Pathogen Clearance and Host Inflammation. Front. Pharmacol. 2022, 13, 832750. [Google Scholar] [CrossRef] [PubMed]
- Mcloughlin, R.M.; Lee, J.C.; Kasper, D.L.; Tzianabos, A.O. IFN-gamma regulated chemokine production determines the outcome of Staphylococcus aureus infection. J. Immunol. 2008, 181, 1323–1332. [Google Scholar] [CrossRef]
- Ge, B.J.; Zhao, P.; Li, H.T.; Sang, R.; Wang, M.; Zhou, H.Y.; Zhang, X.M. Taraxacum mongolicum protects against Staphylococcus aureus-infected mastitis by exerting anti-inflammatory role via TLR2-NF-κB/MAPKs pathways in mice. J. Ethnopharmacol. 2021, 268, 113595. [Google Scholar] [CrossRef]
- Yokosawa, T.; Miyagawa, S.; Suzuki, W.; Nada, Y.; Hirata, Y.; Noguchi, T.; Matsuzawa, A. The E3 Ubiquitin Protein Ligase LINCR Amplifies the TLR-Mediated Signals through Direct Degradation of MKP1. Cells 2024, 13, 687. [Google Scholar] [CrossRef]
- Guo, S.; Jiang, K.; Wu, H.; Yang, C.; Yang, Y.; Yang, J.; Zhao, G.; Deng, G. Magnoflorine Ameliorates Lipopolysaccharide-Induced Acute Lung Injury via Suppressing NF-κB and MAPK Activation. Front. Pharmacol. 2018, 9, 982. [Google Scholar] [CrossRef] [PubMed]
- Alva-Murillo, N.; Ochoa-Zarzosa, A.; López-Meza, J.E. Sodium Octanoate Modulates the Innate Immune Response of Bovine Mammary Epithelial Cells through the TLR2/P38/JNK/ERK1/2 Pathway: Implications during Staphylococcus aureus Internalization. Front. Cell. Infect. Microbiol. 2017, 7, 78. [Google Scholar] [CrossRef]
- Daneshi, M.; Caton, J.S.; Caixeta, L.S.; Eftekhari, Z.; Ward, A.K. Expression, Regulation, and Function of β-Defensins in the Bovine Mammary Glands: Current Knowledge and Future Perspectives. Animals 2023, 13, 3372. [Google Scholar] [CrossRef]







| Species | Gene Name | Primer Sequence (5′-3′) | GenBank Accession Number | 
|---|---|---|---|
| Bos taurus | IL-1β | Sense: GGCAACCGTACCTGAACCCA | NM_174093.1 | 
| Antisense: CCACGATGACCGACACCACC | |||
| IL-6 | Sense: ATGCTTCCAATCTGGGTTCA | NM_173923.2 | |
| Antisense: GAGGATAATCTTTGCGTTCTTT | |||
| TNF-α | Sense: ACGGGCTTTACCTCATCTACTCA | NM_173966.3 | |
| Antisense: GGCTCTTGATGGCAGACAGG | |||
| MyD88 | Sense: AGCAGCATAACTCGGATAA | NM_001014382.2 | |
| Antisense: CAGACACGCACAACTTCA | |||
| IRAK4 | Sense: TGGCAAAGACAGGACATCTG | NM_001075998.1 | |
| Antisense: CACAACTCCCAAACCCTCCTT | |||
| IRAK1 | Sense: GAGTTCCAACGTCCTTCTGG | NM_001040555.1 | |
| Antisense: CTCCCGGTCTTCACGTACTG | |||
| TRAF6 | Sense: CGGTGACTCTCTCCAGGTGT | NM_001034661.2 | |
| Antisense: TGGACATTTGTGACCTGCAT | |||
| GAPDH | Sense: TGCTGGTGCTGAGTATGTGGTG | NM_001034034.2 | |
| Antisense: CAGTCTTCTGGGTGGCAGTGAT | 
| Disclaimer/Publisher’s Note: The statements, opinions and data contained in all publications are solely those of the individual author(s) and contributor(s) and not of MDPI and/or the editor(s). MDPI and/or the editor(s) disclaim responsibility for any injury to people or property resulting from any ideas, methods, instructions or products referred to in the content. | 
© 2025 by the authors. Licensee MDPI, Basel, Switzerland. This article is an open access article distributed under the terms and conditions of the Creative Commons Attribution (CC BY) license (https://creativecommons.org/licenses/by/4.0/).
Share and Cite
Guo, Y.; Zhang, J.; Yuan, T.; Yang, C.; Zhou, Q.; Shaukat, A.; Deng, G.; Wang, X. Luteolin Alleviates Inflammation Induced by Staphylococcus aureus in Bovine Mammary Epithelial Cells by Attenuating NF-κB and MAPK Activation. Vet. Sci. 2025, 12, 96. https://doi.org/10.3390/vetsci12020096
Guo Y, Zhang J, Yuan T, Yang C, Zhou Q, Shaukat A, Deng G, Wang X. Luteolin Alleviates Inflammation Induced by Staphylococcus aureus in Bovine Mammary Epithelial Cells by Attenuating NF-κB and MAPK Activation. Veterinary Sciences. 2025; 12(2):96. https://doi.org/10.3390/vetsci12020096
Chicago/Turabian StyleGuo, Yingfang, Jinxin Zhang, Ting Yuan, Cheng Yang, Qingqing Zhou, Aftab Shaukat, Ganzhen Deng, and Xiaoyan Wang. 2025. "Luteolin Alleviates Inflammation Induced by Staphylococcus aureus in Bovine Mammary Epithelial Cells by Attenuating NF-κB and MAPK Activation" Veterinary Sciences 12, no. 2: 96. https://doi.org/10.3390/vetsci12020096
APA StyleGuo, Y., Zhang, J., Yuan, T., Yang, C., Zhou, Q., Shaukat, A., Deng, G., & Wang, X. (2025). Luteolin Alleviates Inflammation Induced by Staphylococcus aureus in Bovine Mammary Epithelial Cells by Attenuating NF-κB and MAPK Activation. Veterinary Sciences, 12(2), 96. https://doi.org/10.3390/vetsci12020096
 
        

 
       