Heat Treatment of Hazelnut Allergens Monitored by Polyclonal Sera and Epitope Fingerprinting
Abstract
1. Introduction
2. Materials and Methods
2.1. Hazelnut
2.2. Animal Sera
2.3. Patient Sera
2.4. Peptide Phage Display Experiments
Identification of Epitopes by Motifs
2.5. IgG-Binding Measurements Using Peptide Microarrays
2.5.1. Selection of Peptide Epitopes/Mimotopes for Spotting on Microarray Slides
2.5.2. Peptide Microarrays
2.5.3. Determination of Spot Intensities
2.6. SDS-PAGE and Western Blot
2.6.1. Sample Extraction and SDS-PAGE
2.6.2. Sample Transfer and Blotting
2.7. Protein Structure Comparison
3. Results
3.1. Epitope Fingerprinting (In Vitro)
3.2. Results from Array Measurements
3.3. Changing the Thermal Processing to Roasting
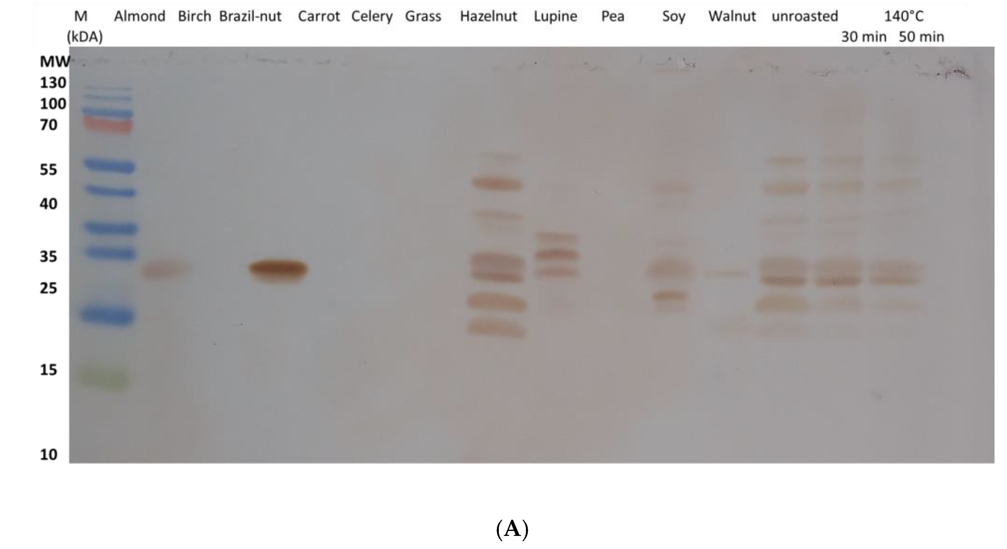
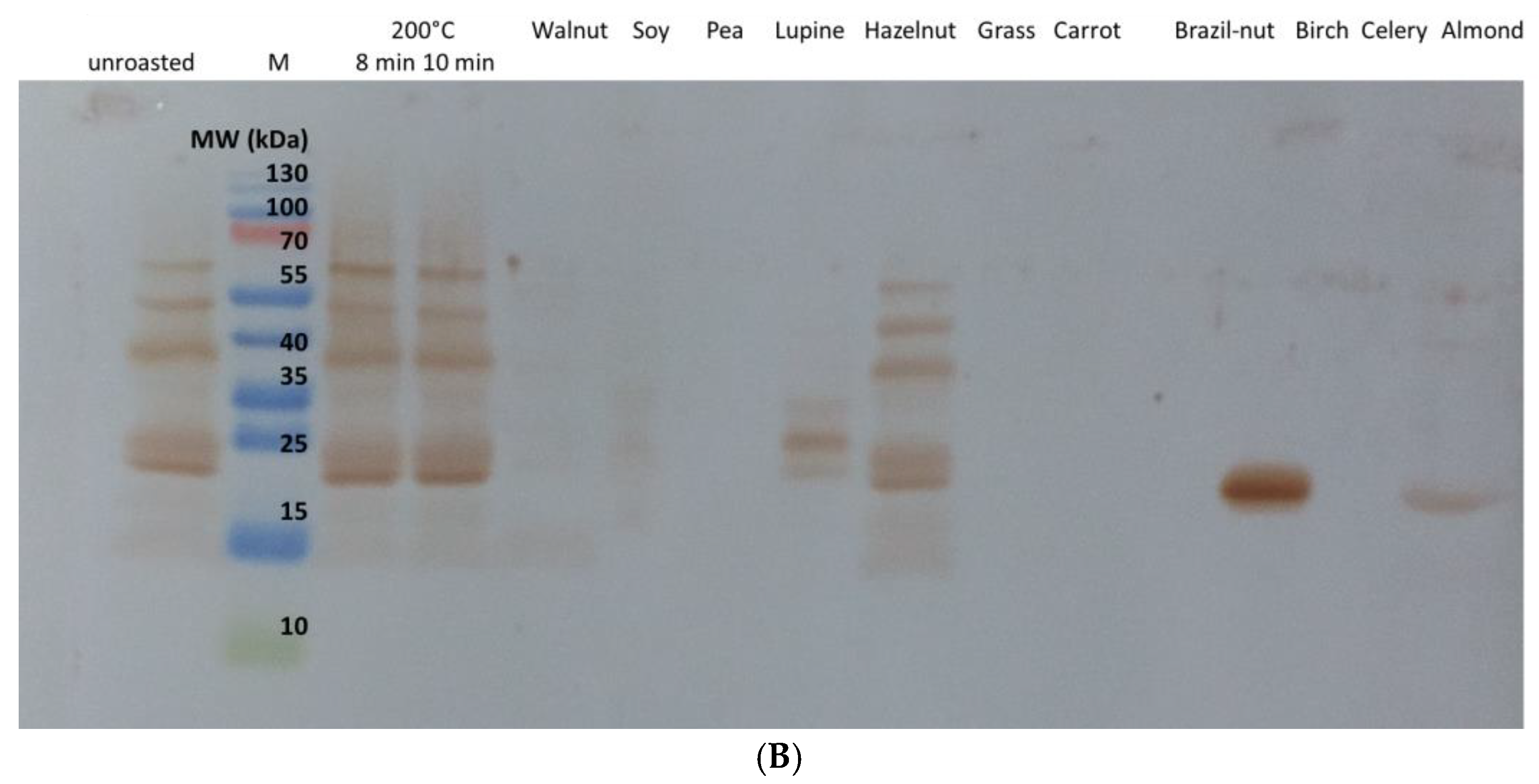
3.4. Cross-Reactivity with Different Plant Extracts
4. Discussion
5. Conclusions
Supplementary Materials
Author Contributions
Funding
Institutional Review Board Statement
Informed Consent Statement
Data Availability Statement
Acknowledgments
Conflicts of Interest
References
- Verhoeckx, K.C.; Vissers, Y.M.; Baumert, J.L.; Faludi, R.; Feys, M.; Flanagan, S.; Herouet-Guicheney, C.; Holzhauser, T.; Shimojo, R.; van der Bolt, N.; et al. Food processing and allergenicity. Food Chem. Toxicol. 2015, 80, 223–240. [Google Scholar] [CrossRef] [PubMed]
- Liu, X.; Li, Y.; Guasch-Ferré, M.; Willett, W.C.; Drouin-Chartier, J.-P.; Bhupathiraju, S.N.; Tobias, D.K. Changes in nut consumption influence long-term weight change in US men and women. BMJ Nutr. Prev. Health 2019, 2, 90–99. [Google Scholar] [CrossRef] [PubMed]
- Kendall, C.W.C.; Josse, A.R.; Esfahani, A.; Jenkins, D.J.A. Nuts, metabolic syndrome and Diabetes. Br. J. Nutr. 2010, 104, 465–473. [Google Scholar] [CrossRef] [PubMed]
- Spolidoro, G.C.I.; Lisik, D.; Nyassi, S.; Ioannidou, A.; Ali, M.M.; Amera, Y.T.; Rovner, G.; Khaleva, E.; Venter, C.; van Ree, R.; et al. Prevalence of tree nut allergy in Europe: A systematic review and meta-analysis. Allergy 2024, 79, 302–323. [Google Scholar] [CrossRef]
- Lyons, S.A.; Clausen, M.; Knulst, A.C.; Ballmer-Weber, B.K.; Fernandez-Rivas, M.; Barreales, L.; Bieli, C.; Dubakiene, R.; Fernandez-Perez, C.; Jedrzejczak-Czechowicz, M.; et al. Prevalence of Food Sensitization and Food Allergy in Children Across Europe. J. Allergy Clin. Immunol. Pract. 2020, 8, 2736–2746.e9. [Google Scholar] [CrossRef]
- Dölle-Bierke, S.; Höfer, V.; Francuzik, W.; Näher, A.-F.; Bilo, M.B.; Cichocka-Jarosz, E.; de Oliveira, L.C.L.; Fernandez-Rivas, M.; García, B.E.; Hartmann, K.; et al. Food-Induced Anaphylaxis: Data From the European Anaphylaxis Registry. J. Allergy Clin. Immunology. Pract. 2023, 11, 2069–2079.e7. [Google Scholar] [CrossRef]
- Costa, J.; Mafra, I.; Carrapatoso, I.; Oliveira, M.B.P.P. Hazelnut Allergens: Molecular Characterization, Detection, and Clinical Relevance. Crit. Rev. Food Sci. Nutr. 2016, 56, 2579–2605. [Google Scholar] [CrossRef]
- Geroldinger-Simic, M.; Zelniker, T.; Aberer, W.; Ebner, C.; Egger, C.; Greiderer, A.; Nicole, P.; Lidholm, J.; Ballmer-Weber, B.K.; Vieths, S.; et al. Birch pollen-related food allergy: Clinical aspects and the role of allergen-specific IgE and IgG4 Antibodies. J. Allergy Clin. Immunol. 2011, 127, 616–622.e1. [Google Scholar] [CrossRef]
- Cabanillas, B.; Novak, N. Effects of daily food processing on allergenicity. Crit. Rev. Food Sci. Nutr. 2019, 59, 31–42. [Google Scholar] [CrossRef]
- Demir, A.D.; Celayeta, J.M.F.; Cronin, K.; Abodayeh, K. Modelling of the kinetics of colour change in hazelnuts during air roasting. J. Food Eng. 2002, 55, 283–292. [Google Scholar] [CrossRef]
- Sruthi, N.; Premjit, Y.; Pandiselvam, R.; Kothakota, A.; Ramesh, S. An overview of conventional and emerging techniques of roasting: Effect on food bioactive Signatures. Food Chem. 2021, 348, 129088. [Google Scholar] [CrossRef] [PubMed]
- Masthoff, L.J.; Hoff, R.; Verhoeckx, K.C.M.; van Os-Medendorp, H.; Michelsen-Huisman, A.; Baumert, J.L.; Pasmans, S.G.; Meijer, Y.; Knulst, A.C. A systematic review of the effect of thermal processing on the allergenicity of tree nuts. Allergy 2013, 68, 983–993. [Google Scholar] [CrossRef] [PubMed]
- Cuadrado, C.; Sanchiz, A.; Vicente, F.; Ballesteros, I.; Linacero, R. Changes Induced by Pressure Processing on Immunoreactive Proteins of Tree Nut. Molecules 2020, 25, 954. [Google Scholar] [CrossRef] [PubMed]
- Hansen, K.S.; Ballmer-Weber, B.K.; Lüttkopf, D.; Skov, P.S.; Wüthrich, B.; Bindslev-Jensen, C.; Vieths, S.; Poulsen, L.K. Roasted hazelnuts—Allergenic activity evaluated by double-blind, placebo-controlled food challenge. Allergy 2003, 58, 132–138. [Google Scholar] [CrossRef]
- Mondoulet, L.; Paty, E.; Drumare, M.F.; Ah-Leung, S.; Scheinmann, P.; Willemot, R.M.; Wal, J.M.; Bernard, H. Influence of thermal processing on the allergenicity of peanut Proteins. J. Agric. Food Chem. 2005, 53, 4547–4553. [Google Scholar] [CrossRef]
- Worm, M.; Hompes, S.; Fiedler, E.; Illner, A.; Zuberbier, T.; Vieths, S. Impact of native, heat-processed and encapsulated hazelnuts on the allergic response in hazelnut-allergic Patients. Clin. Exp. Allergy 2009, 39, 159–166. [Google Scholar] [CrossRef]
- Mattison, C.P.; Bren-Mattison, Y.; Vant-Hull, B.; Vargas, A.M.; Wasserman, R.L.; Grimm, C.C. Heat-induced alterations in cashew allergen solubility and IgE binding. Toxicol. Rep. 2016, 3, 244–251. [Google Scholar] [CrossRef] [PubMed]
- Noble, K.A.; Liu, C.; Sathe, S.K.; Roux, K.H. A Cherry Seed-Derived Spice, Mahleb, is Recognized by Anti-Almond Antibodies Including Almond-Allergic Patient IgE. J. Food Sci. 2017, 82, 1786–1791. [Google Scholar] [CrossRef]
- Hofer, H.; Asam, C.; Hauser, M.; Nagl, B.; Laimer, J.; Himly, M.; Briza, P.; Ebner, C.; Lang, R.; Hawranek, T.; et al. Tackling Bet v 1 and associated food allergies with a single hybrid protein. J. Allergy Clin. Immunol. 2017, 140, 525–533.e10. [Google Scholar] [CrossRef]
- Matsuo, H.; Yokooji, T.; Taogoshi, T. Common food allergens and their IgE-binding epitopes. Allergol. Int. 2015, 64, 332–343. [Google Scholar] [CrossRef]
- Hensen, S.M.M.; Derksen, M.; Pruijn, G.J.M. Multiplex peptide-based B cell epitope mapping. Methods Mol. Biol. 2014, 1184, 295–308. [Google Scholar] [CrossRef] [PubMed]
- Frank, R. The SPOT-synthesis technique. Synthetic peptide arrays on membrane supports—Principles and applications. J. Immunol. Methods 2002, 267, 13–26. [Google Scholar] [CrossRef] [PubMed]
- Matsuo, H.; Morita, E.; Tatham, A.S.; Morimoto, K.; Horikawa, T.; Osuna, H.; Ikezawa, Z.; Kaneko, S.; Kohno, K.; Dekio, S. Identification of the IgE-binding epitope in omega-5 gliadin, a major allergen in wheat-dependent exercise-induced anaphylaxis. J. Biol. Chem. 2004, 279, 12135–12140. [Google Scholar] [CrossRef]
- Chatchatee, P.; Järvinen, K.M.; Bardina, L.; Vila, L.; Beyer, K.; Sampson, H.A. Identification of IgE and IgG binding epitopes on beta- and kappa-casein in cow’s milk allergic patients. Clin. Exp. Allergy 2001, 31, 1256–1262. [Google Scholar] [CrossRef]
- Li, Y.; Gao, Y.; Wang, Y.; Duan, Y.; Fu, Y.; Yang, H.; Xi, J. Localization of an IgE epitope of glycinin A2 peptide chain. J. Sci. Food Agric. 2024, 104, 3697–3704. [Google Scholar] [CrossRef]
- Perez-Gordo, M.; Lin, J.; Bardina, L.; Pastor-Vargas, C.; Cases, B.; Vivanco, F.; Cuesta-Herranz, J.; Sampson, H.A. Epitope mapping of Atlantic salmon major allergen by peptide microarray immunoassay. Int. Arch. Allergy Immunol. 2012, 157, 31–40. [Google Scholar] [CrossRef]
- Desmet, C.; Coelho-Cruz, B.; Mehn, D.; Colpo, P.; Ruiz-Moreno, A. ASFV epitope mapping by high density peptides microarrays. Virus Res. 2024, 339, 199287. [Google Scholar] [CrossRef] [PubMed]
- Havenith, H.; Kern, K.; Rautenberger, P.; Spiegel, H.; Szardenings, M.; Ueberham, E.; Lehmann, J.; Buntru, M.; Vogel, S.; Treudler, R.; et al. Combination of two epitope identification techniques enables the rational design of soy allergen Gly m 4 mutants. Biotechnol. J. 2017, 12. [Google Scholar] [CrossRef]
- Heidarinia, H.; Tajbakhsh, E.; Rostamian, M.; Momtaz, H. Epitope mapping of Acinetobacter baumannii outer membrane protein W (OmpW) and laboratory study of an OmpW-derivative peptide. Heliyon 2023, 9, e18614. [Google Scholar] [CrossRef]
- Pomés, A. Relevant B cell epitopes in allergic disease. Int. Arch. Allergy Immunol. 2010, 152, 1–11. [Google Scholar] [CrossRef]
- Sharma, P.; Gaur, S.N.; Arora, N. In silico identification of IgE-binding epitopes of osmotin protein. PLoS ONE 2013, 8, e54755. [Google Scholar] [CrossRef] [PubMed]
- Szardenings, M.; Delaroque, N.; Kern, K.; Ramirez-Caballero, L.; Puder, M.; Ehrentreich-Förster, E.; Beige, J.; Zürner, S.; Popp, G.; Wolf, J.; et al. Detection of Antibodies against Endemic and SARS-CoV-2 Coronaviruses with Short Peptide Epitopes. Vaccines 2023, 11, 1403. [Google Scholar] [CrossRef] [PubMed]
- Kern, K.; Havenith, H.; Delaroque, N.; Rautenberger, P.; Lehmann, J.; Fischer, M.; Spiegel, H.; Schillberg, S.; Ehrentreich-Foerster, E.; Aurich, S.; et al. The immunome of soy bean allergy: Comprehensive identification and characterization of epitope. Clin. Exp. Allergy. 2019, 49, 239–251. [Google Scholar] [CrossRef]
- Cariccio, V.L.; Domina, M.; Benfatto, S.; Venza, M.; Venza, I.; Faleri, A.; Bruttini, M.; Bartolini, E.; Giuliani, M.M.; Santini, L.; et al. Phage display revisited: Epitope mapping of a monoclonal antibody directed against Neisseria meningitidis adhesin A using the PROFILER technology. mAbs 2016, 8, 741–750. [Google Scholar] [CrossRef]
- Comeau, A.M.; Douglas, G.M.; Langille, M.G.I. Microbiome Helper: A Custom and Streamlined Workflow for Microbiome Research. mSystems 2017, 2. [Google Scholar] [CrossRef] [PubMed]
- Bolger, A.M.; Lohse, M.; Usadel, B. Trimmomatic: A flexible trimmer for Illumina sequence data. Bioinformatics 2014, 30, 2114–2120. [Google Scholar] [CrossRef]
- Kern, K.; Delaroque, N.; Boysen, A.; Puder, M.; Wendt, R.; Kölsch, A.; Ehrentreich-Förster, E.; Stærk, K.; Andersen, T.E.; Andersen, K.; et al. Glycosylation of bacterial antigens changes epitope pattern. Front. Immunol. 2023, 14, 1258136. [Google Scholar] [CrossRef]
- Dooper, M.M.; Plassen, C.; Holden, L.; Moen, L.H.; Namork, E.; Egaas, E. Antibody binding to hazelnut (Corylus avellana) proteins: The effects of extraction procedure and hazelnut source. Food Agric. Immunol. 2008, 19, 229–240. [Google Scholar] [CrossRef]
- Schägger, H. Tricine–SDS-PAGE. Nat. Protoc. 2006, 1, 16–22. [Google Scholar] [CrossRef]
- Towbin, H.; Staehelin, T.; Gordon, J. Electrophoretic transfer of proteins from polyacrylamide gels to nitrocellulose sheets: Procedure and some applications. Proc. Natl. Acad. Sci. USA 1979, 76, 4350–4354. [Google Scholar] [CrossRef]
- Pastorello, E.A.; Vieths, S.; Pravettoni, V.; Farioli, L.; Trambaioli, C.; Fortunato, D.; Lüttkopf, D.; Calamari, M.; Ansaloni, R.; Scibilia, J.; et al. Identification of hazelnut major allergens in sensitive patients with positive double-blind, placebo-controlled food challenge Results. J. Allergy Clin. Immunol. 2002, 109, 563–570. [Google Scholar] [CrossRef] [PubMed]
- Wigotzki, M.; Steinhart, H.; Paschke, A. Influence of Varieties, Storage and Heat Treatment on IgE-Binding Proteins in Hazelnuts (Corylus avellana). Food Agric. Immunol. 2000, 12, 217–229. [Google Scholar] [CrossRef]
- Lamberti, C.; Nebbia, S.; Antoniazzi, S.; Cirrincione, S.; Marengo, E.; Manfredi, M.; Smorgon, D.; Monti, G.; Faccio, A.; Giuffrida, M.G.; et al. Effect of hot air and infrared roasting on hazelnut allergenicity. Food Chem. 2021, 342, 128174. [Google Scholar] [CrossRef] [PubMed]
- López, E.; Cuadrado, C.; Burbano, C.; Jiménez, M.A.; Rodríguez, J.; Crespo, J.F. Effects of autoclaving and high pressure on allergenicity of hazelnut Proteins. J. Clin. Bioinform. 2012, 2, 12. [Google Scholar] [CrossRef]
- Fu, L.; He, Z.; Zeng, M.; Qin, F.; Chen, J. Effects of preheat treatments on the composition, rheological properties, and physical stability of soybean oil Bodies. J. Food Sci. 2020, 85, 3150–3159. [Google Scholar] [CrossRef]
- Barazorda-Ccahuana, H.L.; Theiss-De-Rosso, V.; Valencia, D.E.; Gómez, B. Heat-Stable. Hazelnut Profilin: Molecular Dynamics Simulations and Immunoinformatics Analysis. Polymers 2020, 12, 1742. [Google Scholar] [CrossRef]
- Müller, U.; Lüttkopf, D.; Hoffmann, A.; Petersen, A.; Becker, W.M.; Schocker, F.; Niggemann, B.; Altmann, F.; Kolarich, D.; Haustein, D.; et al. Allergens in raw and roasted hazelnuts (Corylus avellana) and their cross-reactivity to pollen. Eur. Food Res. Technol. 2000, 212, 2–12. [Google Scholar] [CrossRef]
- Tandang-Silvas, M.R.G.; Fukuda, T.; Fukuda, C.; Prak, K.; Cabanos, C.; Kimura, A.; Itoh, T.; Mikami, B.; Utsumi, S.; Maruyama, N. Conservation and divergence on plant seed 11S globulins based on crystal structures. Biochim. Biophys. Acta 2010, 1804, 1432–1442. [Google Scholar] [CrossRef]
- Gaur, V.; Salunke, D.M. 3EHK: Crystal Structure of Pru du Amandin, an Allergenic Protein from Prunus Dulcis. 2009. Available online: www.rcsb.org (accessed on 27 November 2024).
- Jin, T.; Guo, F.; Chen, Y.-W.; Howard, A.; Zhang, Y.-Z. Crystal structure of Ara h 3, a major allergen in peanut. Mol. Immunol. 2009, 46, 1796–1804. [Google Scholar] [CrossRef]
- Zhang, Y.Z.; Guo, F. 6B4S: Crystal Structure of Brazil nut (Bertholletia excelsa) Allergen Ber e 2. 2018. Available online: www.rcsb.org (accessed on 27 November 2024).
- Fernández-Lozano, C.; Rita, C.G.; Barra-Castro, A.; Caballer, L.H.; Roldán, E.; López, C.P.; Martinez-Botas, J.; Berges-Gimeno, M.P. Specific IgE and Basophil Activation Test by Microarray: A Promising Tool for Diagnosis of Platinum Compound Hypersensitivity Reaction. Int. J. Mol. Sci. 2024, 25, 3890. [Google Scholar] [CrossRef]
- Briceno Noriega, D.; Teodorowicz, M.; Savelkoul, H.; Ruinemans-Koerts, J. The Basophil Activation Test for Clinical Management of Food Allergies: Recent Advances and Future Directions. J. Asthma Allergy 2021, 14, 1335–1348. [Google Scholar] [CrossRef] [PubMed]
- Santos, A.F.; Alpan, O.; Hoffmann, H. Basophil activation test: Mechanisms and considerations for use in clinical trials and clinical practice. Allergy 2021, 76, 2420–2432. [Google Scholar] [CrossRef] [PubMed]
- García Arteaga, V.; Demand, V.; Kern, K.; Strube, A.; Szardenings, M.; Muranyi, I.; Eisner, P.; Schweiggert-Weisz, U. Enzymatic Hydrolysis and Fermentation of Pea Protein Isolate and Its Effects on Antigenic Proteins, Functional Properties, and Sensory Profile. Foods 2022, 11, 118. [Google Scholar] [CrossRef]
- Ma, X.; Li, H.; Zhang, J.; Ge, Y.; He, L.; Kang, W.; Huang, W.; Sun, J.-L.; Chen, Y. Effect of Roasting on the Conformational Structure and IgE Binding of Sesame Allergens. J. Agric. Food Chem. 2022, 70, 9442–9450. [Google Scholar] [CrossRef]
- Cuadrado, C.; Arribas, C.; Sanchiz, A.; Pedrosa, M.M.; Gamboa, P.; Betancor, D.; Blanco, C.; Cabanillas, B.; Linacero, R. Effects of enzymatic hydrolysis combined with pressured heating on tree nut allergenicity. Food Chem. 2024, 451, 139433. [Google Scholar] [CrossRef] [PubMed]
- Moreno, F.J.; Clemente, A. 2S Albumin Storage Proteins: What Makes them Food Allergens? Open Biochem. J. 2008, 2, 16–28. [Google Scholar] [CrossRef]
- Clemente, A.; Chambers, S.J.; Lodi, F.; Nicoletti, C.; Brett, G.M. Use of the indirect competitive ELISA for the detection of Brazil nut in food products. Food Control 2004, 15, 65–69. [Google Scholar] [CrossRef]
- Starkl, P.; Krishnamurthy, D.; Szalai, K.; Felix, F.; Lukschal, A.; Oberthuer, D.; Sampson, H.A.; Swoboda, I.; Betzel, C.; Untersmayr, E.; et al. Heating Affects Structure, Enterocyte Adsorption and Signalling, As Well as Immunogenicity of the Peanut Allergen Ara h 2. Open Allergy J. 2011, 4, 24–34. [Google Scholar] [CrossRef]
- Chihi, M.-L.; Mession, J.-L.; Sok, N.; Saurel, R. Heat-Induced Soluble Protein Aggregates from Mixed Pea Globulins and β-Lactoglobulin. J. Agric. Food Chem. 2016, 64, 2780–2791. [Google Scholar] [CrossRef]






| WB | NGS | Patient | |||||||
|---|---|---|---|---|---|---|---|---|---|
| Protein | Mass (Da) | R1 (UR) | R2 (UR) | R1 | R2 | Epitope-Rabbits | IgE | IgG | IgE and IgG |
| Cor a 1 | 17.5 | x | x | x | x | 3-vfnYEVETps | |||
| x | x | 32-pkVAPQa | 39/230 | 62/235 | 27/229 | ||||
| x | x | 59-fgEGSRyky | |||||||
| x | x | 94-dklEKVCSelk | |||||||
| x | x | 124-kgdHEINaee | 111/333 | 110/340 | 63/331 | ||||
| x | 9-eTPSVIsa | ||||||||
| x | 67-yvkERVDe | ||||||||
| x | 10-etPSVISa | ||||||||
| x | 143-llraVETYll | 8/230 | 30/235 | 3/229 | |||||
| x | 141-aEKLLRav | 43/329 | 39/336 | 13/327 | |||||
| 13-VIPPARLF | 32/333 | 61/340 | 16/331 | ||||||
| 38-aiTSVenvgg | 25/285 | 54/294 | 12/284 | ||||||
| Cor a 2 | 14.2 | x | x | x | x | 30-hdGSVWaqsssf | 114/333 | 117/340 | 69/331 |
| x | x | 11-lmcdiDGQGQq | |||||||
| x | x | 1-swqaYVDEhl | |||||||
| x | x | 104-giyeEPVTPgqc | |||||||
| x | 25-aSAIVGhd | ||||||||
| 45-kPEEItg | |||||||||
| 51-IKDFDEPGSLA | 72/329 | 104/340 | 48/331 | ||||||
| 58-epGHLAPtg | |||||||||
| Cor a 6 | 34.2 | x | x | 19-fivEASLkag | |||||
| x | x | 238-lekiHLTEEKl | |||||||
| x | x | 298-tvEEYLqqf | |||||||
| x | 248-ilKDIQEspi | ||||||||
| x | 281-eESFGVe | ||||||||
| x | 290-qLYPDVky | ||||||||
| x | 39-tVSDPvk | ||||||||
| x | 63-dlyDHGSlv | ||||||||
| x | 119-drVHAVEp | ||||||||
| x | 131-atKVEIRrk | ||||||||
| x | 141-EAEGIPYTY | ||||||||
| x | 202-vDDPRtl | ||||||||
| x | 72-lvkaIKHVDVv | ||||||||
| Cor a 8 | 9 | x | x | 73-nCLKDtak | |||||
| x | 24-slTCPQik | 80/333 | 109/340 | 59/284 | |||||
| x | 33-nlTPCVLy | ||||||||
| x | 104-kispsTNCNnv | 46/329 | 75/336 | 22/327 | |||||
| 5-kLVCAvllc | 7/329 | 8/173 | 6/169 | ||||||
| 49-PSCCKGVRA | 68/333 | 74/340 | 36/331 | ||||||
| Cor a 9 | 58.8 | x | x | 63-dhnDQQFqc | |||||
| basic subunits | 22 | x | x | x | x | 289-rqewERQErqere | |||
| acidic subunit | 40 | x | x | x | x | 106-itgVLFPgcp | 75/285 | 108/294 | 60/284 |
| x | x | 119-EDPQQQs | |||||||
| x | x | 160-agVAHWCyndg | |||||||
| x | 59-ieSWDHn | ||||||||
| x | 262-rlQSNQdk | 66/333 | 90/340 | 49/331 | |||||
| x | 302-seQERERqrrQGGRg | 39/167 | 62/340 | 25/331 | |||||
| x | 131-qGQGQSq | ||||||||
| x | 141-QDRHQk | 25/285 | 34/294 | 10/284 | |||||
| x | 185-YANQLDe | ||||||||
| x | 201-npddEHQrQGQQQFgqr | ||||||||
| x | 237-nVFSGfd_ef | ||||||||
| x | 277-egRLQVVRPer | ||||||||
| x | 340-r_diYTEQVgr | ||||||||
| x | 411-VFDDelr | 71/171 | 90/336 | 35/327 | |||||
| 354-vnsnTLPVLrwlql | 23/171 | 35/173 | 13/169 | ||||||
| Cor a 10 | 73.5 | x | x | x | 16-ilFGCLfai | ||||
| x | x | 55-ngHVELia | |||||||
| x | x | 111-edKEVQkd | |||||||
| x | x | 236-tfDVSILTIDNgvf | |||||||
| x | x | 296-rREAEra | |||||||
| x | x | 305-iSSQHQVRvries | |||||||
| x | x | 361-nQIDEIvLVGGs | |||||||
| x | x | 382-iKDYFdgk | |||||||
| x | x | 460-ftTYQDQqtv | |||||||
| x | x | 468-tvSIQVFege | |||||||
| x | 70-sWVGFtdg | ||||||||
| x | 205-iiNEPTaa | ||||||||
| 257-dtHLGGedf | |||||||||
| x | 322-GVDFSepltr | ||||||||
| x | 397-pdEAVAYgaa | ||||||||
| x | 433-lGIETvgg | ||||||||
| 615-dDNQSAeke | |||||||||
| 629-lkEVEAVCnp | |||||||||
| Cor a 11 | 48 | x | x | x | x | 421-fkNQDQAff | |||
| x | 46-gnSSEESyg | 71/333 | 87/336 | 37/327 | |||||
| x | 74-kteeGRVQVLENftk | ||||||||
| x | 139-kreSFNVEhgd | ||||||||
| x | 192-gGEDPeSfY | ||||||||
| x | 338-ssSGSYQki | ||||||||
| 14-kcRDERQf | 50/333 | 33/340 | 17/331 | ||||||
| 40-ERQQEE | |||||||||
| 56-eqeeNPYVF | 47/333 | 84/340 | 31/331 | ||||||
| Cor a 12 | 17 | x | x | x | 149-iqSRAQegr | ||||
| 7-QLQVHPQRGHG | 94/333 | 109/340 | 64/331 | ||||||
| 121-EMKDRAEQFGQQHV | 64/333 | 73/340 | 27/331 | ||||||
| Cor a 13 | 14–16 | x | 14-qpRSHQvvka | ||||||
| Cor a 14 | 12 | x | x | x | x | 30-vdvDEDivn | |||
| x | x | 45-eSCREQAQRQqnl | 19/285 | 52/294 | 9/284 | ||||
| x | x | 55-qnlNQCQry | |||||||
| 134-rlspQRCEirsARf | 91/333 | 86/340 | 13/331 | ||||||
| 38-NQQGRR | 49/333 | 69/336 | 27/327 | ||||||
| Protein | Characteristic | Protein Class | Western Blot |
|---|---|---|---|
| Cor a 1 | Heat-labile [41] | Heat-labile | |
| Cor a 10 | Heat-stable [42] | Heat-stable | |
| Cor a 11 | Heat-stable [43]; heat-labile [44] | Heat-stable (R1); heat-labile (R2) | |
| Cor a 12 | Heat-stable | Oleosin [45] | |
| Cor a 13 | Heat-stable | Oleosin [45] | |
| Cor a 14 | Heat-stable [43] | Heat-stable (R2); heat-labile (R1) | |
| Cor a 15 | Heat-stable | Oleosin [45] | |
| Cor a 2 | Heat-stable [46]; heat-labile [47] | ||
| Cor a 6 | n.d. | Isoflavone Reductase | |
| Cor a 8 | Heat-stable [41]; heat-labile [43,44] | ||
| Cor a 9 | Heat-stable [43]; heat-labile [44] | Heat-stable (R1, R2) |
| 2D5H | 3C3V | 3EHK | 3KSC | 6B4S | |
|---|---|---|---|---|---|
| 2D5H | 1386 | 1309 | 1397 | 1283 | |
| 3C3V | 1386 | 1623 | 1627 | ||
| 3EHK | 1309 | 1623 | |||
| 3KSC | 1397 | 1627 | |||
| 6B4S | 1283 |
Disclaimer/Publisher’s Note: The statements, opinions and data contained in all publications are solely those of the individual author(s) and contributor(s) and not of MDPI and/or the editor(s). MDPI and/or the editor(s) disclaim responsibility for any injury to people or property resulting from any ideas, methods, instructions or products referred to in the content. |
© 2024 by the authors. Licensee MDPI, Basel, Switzerland. This article is an open access article distributed under the terms and conditions of the Creative Commons Attribution (CC BY) license (https://creativecommons.org/licenses/by/4.0/).
Share and Cite
Kern, K.; Santa-Ardharnpreecha, S.; Delaroque, N.; Dölle-Bierke, S.; Treudler, R.; Ehrentreich-Förster, E.; Rothkopf, I.; Worm, M.; Szardenings, M. Heat Treatment of Hazelnut Allergens Monitored by Polyclonal Sera and Epitope Fingerprinting. Foods 2024, 13, 3932. https://doi.org/10.3390/foods13233932
Kern K, Santa-Ardharnpreecha S, Delaroque N, Dölle-Bierke S, Treudler R, Ehrentreich-Förster E, Rothkopf I, Worm M, Szardenings M. Heat Treatment of Hazelnut Allergens Monitored by Polyclonal Sera and Epitope Fingerprinting. Foods. 2024; 13(23):3932. https://doi.org/10.3390/foods13233932
Chicago/Turabian StyleKern, Karolin, Suttinee Santa-Ardharnpreecha, Nicolas Delaroque, Sabine Dölle-Bierke, Regina Treudler, Eva Ehrentreich-Förster, Isabell Rothkopf, Margitta Worm, and Michael Szardenings. 2024. "Heat Treatment of Hazelnut Allergens Monitored by Polyclonal Sera and Epitope Fingerprinting" Foods 13, no. 23: 3932. https://doi.org/10.3390/foods13233932
APA StyleKern, K., Santa-Ardharnpreecha, S., Delaroque, N., Dölle-Bierke, S., Treudler, R., Ehrentreich-Förster, E., Rothkopf, I., Worm, M., & Szardenings, M. (2024). Heat Treatment of Hazelnut Allergens Monitored by Polyclonal Sera and Epitope Fingerprinting. Foods, 13(23), 3932. https://doi.org/10.3390/foods13233932

