Next Article in Journal
SEM Evaluation of Internal Adaptation of Bases and Liners under Composite Restorations
Previous Article in Journal
Improving Oral Health Status of Children in Tabuk, Saudi Arabia
 
 
Font Type:
Arial Georgia Verdana
Font Size:
Aa Aa Aa
Line Spacing:
Column Width:
Background:
Article

Comprehensive Implementation of the International Caries Detection and Assessment System (ICDAS) in a Dental School and University Oral Health Centre: A Stepwise Framework

School of Dentistry, International Medical University, Bukit Jalil, 57000 Kuala Lumpur, Malaysia
*
Author to whom correspondence should be addressed.
Dent. J. 2014, 2(1), 41-51; https://doi.org/10.3390/dj2010041
Submission received: 17 January 2014 / Revised: 12 February 2014 / Accepted: 14 February 2014 / Published: 19 February 2014

Abstract

:
ICDAS (the International Caries Detection and Assessment System) is a new approach to the detection and classification of dental caries, starting with the stage showing the earliest visual changes. Methodology: This article describes the implementation of the ICDAS at the School of Dentistry, International Medical University, and Kuala Lumpur, Malaysia in a step-by-step systematically planned process. Beginning with the setting up of a Task Force in 2011 for the evaluation and preparation of the training resources and the running of exploratory training exercises, it finally culminated in carrying out training workshops for the entire staff and students. After the internal processes had been completed, an international expert (KE) was invited to evaluate the process and conduct another workshop using the resources developed within the University, including a reference set of carious teeth. The overall time taken was one and a half years. Conclusions: The implementation of the ICDAS has been comprehensively set into motion within the context of our local curriculum and oral healthcare delivery arrangements. However, this will be an ongoing process with further quality assurance measures being required clinically together with the continuing training of new staff. Sharing this ‘framework’ of the ICDAS implementation process should considerably ease the path and reduce the time period of future implementations by other dental teaching institutions.

1. Introduction

This article describes the implementation of the ICDAS system at a Malaysian dental teaching institution in a step-by-step systematically planned process. The actual process took about one and a half years.
There is a universal need in dental schools to embrace the concept of the early detection of caries resulting in more prevention and minimal intervention, and thereby improving the ability of dental students to cope with the complexity of the caries lesion and apply the constantly changing evidence regarding the management of such lesions in dentistry [1,2,3].
To support this approach it is pointed out that the traditional classifications of dental caries, (for example, that of G. V. Black), which identify sites of the teeth that are decayed through the presence of cavitation are inadequate as they do not chart the stage of the early development of caries [4].
The ICDAS (International Caries Detection and Assessment System) is the second version of a widely accepted system for coding and recording the severity of carious lesions. It presents a new paradigm shift in the detection and classification/coding of dental caries and measures the stage of the carious process with a protocol of detection that has been found to be reliable and valid. The system is peer-reviewed, evidenced-based and has a wide range of applications, including oral healthcare delivery, epidemiology and dental research. It has been accepted by the International Dental Federation as being applicable to clinical practice [5,6,7].

2. Methodology

2.1. Step by Step Process of Implementation of ICDAS

A Task Force was set up in 2011 to undertake a background investigation into the potential of various systems of caries classifications for the implementation of the dental curriculum of IMU. The ICDAS was finally selected. Figure 1 shows the outline framework, charting all the stages in the overall implementation process.
Once the decision was made to implement the ICDAS, an IMU-ICDAS Task Force was formed which established the framework of the implementation process.
An initial search of the literature identified the training resources which already existed and could be used in the training of faculty staff and students of IMU.
The most useful of these was a 90-min free E-learning program which had been developed by the ICDAS foundation to support training. This initial E-learning programme was designed to be a general introduction to the criteria and codes and explained the ICDAS examination protocol and reviewed the coding system. The committee evaluated it for its use in future training [8,9].
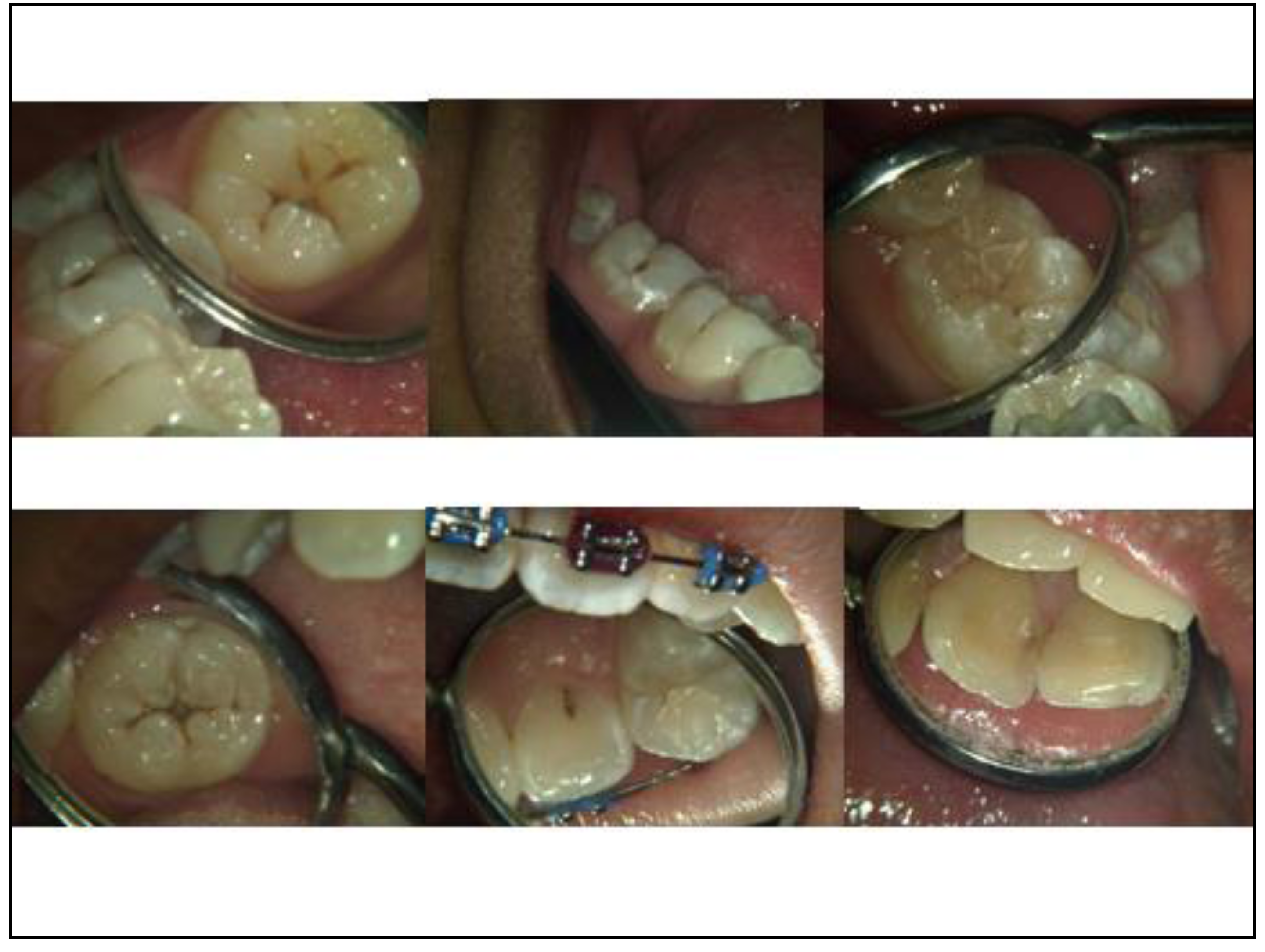
The next step was to start selecting and collecting appropriate extracted teeth with various stages of caries lesions. They were cleaned and their digital images taken with the Camsight digital surgical scope camera (Figure 2). Photographs were also taken of carious teeth seen clinically in patients’ mouths (Figure 3). That began the creation of a collection of training resources and tools at IMU.
Figure 1. International Caries Detection and Assessment System (ICDAS) Implementation Framework at School of Dentistry, International Medical University (IMU).
Figure 1. International Caries Detection and Assessment System (ICDAS) Implementation Framework at School of Dentistry, International Medical University (IMU).
Dentistry 02 00041 g001
Figure 2. Camsight digital images of extracted teeth depicting different ICDAS codes with some radiographs.
Figure 2. Camsight digital images of extracted teeth depicting different ICDAS codes with some radiographs.
Dentistry 02 00041 g002
Figure 3. Camsight digital images of patients’ teeth depicting different ICDAS codes.
Figure 3. Camsight digital images of patients’ teeth depicting different ICDAS codes.
Dentistry 02 00041 g003
At the same time, a ‘Reference Set’ of carious extracted teeth exhibiting an adequate number of surfaces with the different ICDAS codes was gradually and carefully examined, graded and collected over a period of several months (Figure 4). Radiographs were taken of each tooth to eliminate or confirm the presence of deeper carious lesions (Figure 2). Numerous discussion meetings took place so that the committee could come to an agreement on the ICDAS code given for each of the caries lesions on the surfaces of these teeth.
Figure 4. The IMU Reference Set of extracted teeth.
Figure 4. The IMU Reference Set of extracted teeth.
Dentistry 02 00041 g004
For the next few months, the ICDAS Task Force carried out evaluation exercises amongst themselves using the Reference Set and the Camsight digital images in order to establish which were suitable for calibration. In the event, it was found that not enough information is present in digital images to enable the observers to accurately grade lesions as compared with the actual teeth. However, the images have some use in preliminary discussions in training.
Finally, the Reference Set of teeth was used by the Task Force to train and calibrate its members so as to reach high levels of intra-examiner and inter-examiner agreement.
An exploratory training exercise using the ‘Reference Set’ of extracted teeth for calibrationand digital images for discussion was also carried out with the final year students during this time. It showed they gained a high level of understanding and good acceptance of this classification system.
During this time the tools, including support materials for the stations at which the Reference Set would be distributed, were decided upon. Finally, assessment forms were printed and the date and venue for the first IMU Faculty Staff training workshop was decided upon (Figure 5a).
Two intensive four-hour half day ICDAS workshops were conducted for all the academic staff with 100% attendance in two groups using a dental simulation laboratory (DSL) as the venue. It was ideal for the purpose as it came equipped with individual light lamps, three way-air spray syringes and computer screen monitors for each staff member (Figure 5c). These doubled up as seating places for staff during the lecture/discussion components, and as stations, each with a tooth, during the calibration exercises. The staff were tasked with going through the 90-min E-learning program a few days before coming for the workshop [8].
Figure 5. Different colored cards depicting the ICDAS codes used for photograph discussion exercise by the trainees (a). Form used by the ICDAS trainees in the extracted teeth exercise (b). Venue set-up for the ICDAS workshop (c).
Figure 5. Different colored cards depicting the ICDAS codes used for photograph discussion exercise by the trainees (a). Form used by the ICDAS trainees in the extracted teeth exercise (b). Venue set-up for the ICDAS workshop (c).
Dentistry 02 00041 g005
The workshop consisted of a presentation on ICDAS, its background, coding criteria and its application in management using preventive and minimal invervention by the ICDAS Task Force members. This was followed by a discussion and asessment exercise using Camsight digital images of different ICDAS coded caries lesions (Figure 5a). Thereafter, a discussion and assessment exercise on selected surfaces of extracted teeth from the Reference Set depicting the ICDAS codes was carried out. The teeth were pre-soaked in water for 12 h and the staff were required to use the 3-way air spray syringe to dry the teeth before coding them [11]. Periodontal probes were provided to each participant as adjuncts in the assessment exercise, together with admonitions never to cause surface damage with them (Figure 5c).
Figure 6. Student Training Workshop: Photo discussion session.
Figure 6. Student Training Workshop: Photo discussion session.
Dentistry 02 00041 g006
Two more identical workshops were carried out subsequently in October 2012 for BDS Year One students and more recently for the new batch of students in November 2013 (Figure 6).
From November to January, all relevant teaching materials including handouts for students and evaluation criteria of caries-related and cavity preparation projects were identified, monitored and modified to accommodate the ICDAS concept. Additionally, documents specifying the methods of evaluation for grading carious lesions and the use of such grades to inform choice of types of management were replaced with ones using the ICDAS system. Finally, simultaneously with those changes the modification of the existing electronic system of clinical charting in patient clinics to allow insertion of ICDAS coding was completed (Figure 7). The red arrows in this figure show the progression of steps when charting the tooth with its respective ICDAS code. All the ICDAS code criteria have been previously inserted into this charting system during its modification and automatically pops up once the tooth is coded.
Figure 7. Modification of electronic system of clinical charting.
Figure 7. Modification of electronic system of clinical charting.
Dentistry 02 00041 g007
After these changes had been accomplished it was evident that the ICDAS system had achieved a satisfactory level of penetration into the clinical and academic usage of all staff and students. It was noted that the level of calibration was not at a level required for clinical trial, but it was serving the purpose of encouraging early detection and preventive management of initial non-cavitated lesions and eliminating overtreatment of more advanced lesions.
Nevertheless, it was the intention of the Task Force to begin a rolling programme of high level calibration of all staff and students. To initiate that work, an expert (KE) with several years of experience in the system was invited in May 2013 to evaluate the progress of implementation at IMU and begin the high level calibration process.
The calibration process was done at a further half day ICDAS training workshop for staff. That began as previously with a discussion of Camsight digital images followed by scoring the extracted teeth from the IMU Reference set led by the expert.
All staff together with the expert then moved through a series of stations each with an extracted tooth from the IMU Reference Set chosen by the expert. A clearly indicated surface on each tooth was graded by each of those present and the data collected centrally. Following a further discussion, the grading process was repeated in exactly the same way but without those scoring having access to their original scores.
In more detail, 12 members of academic staff and one external ICDAS expert twice graded the surfaces of 30 extracted teeth which had been mounted and stored as described above. The intra-examiner weighted kappa statistics were calculated and are presented with their confidence limits in Table 1.
Table 1. The intra-examiner weighted kappa statistics.
Table 1. The intra-examiner weighted kappa statistics.
Intra-trainee agreement before and after
the training
Weighted Kappa aStandard error95% CI
Trainee 10.8970.0390.820 to 0.974
Trainee 20.7610.0780.608 to 0.913
Trainee 30.8200.0600.702 to 0.937
Trainee 40.8030.0430.719 to 0.886
Trainee 50.8060.0500.708 to 0.904
Trainee 60.8170.0420.734 to 0.899
Trainee 70.4810.0990.288 to 0.675
Trainee 80.8780.0480.785 to 0.971
Trainee 90.8290.0600.712 to 0.946
Trainee 100.8000.0540.693 to 0.906
Trainee 110.7050.0820.545 to 0.865
Trainee 120.7340.0880.562 to 0.905
The data obtained by each staff member at the second examination was then analyzed against the same data from the expert using weighted kappa statistics to provide measures on inter-examiner variability. Those values together with their confidence limits are presented in Table 2.
Table 2. The inter-examiner weighted kappa statistics (expert versus trainee/staff member).
Table 2. The inter-examiner weighted kappa statistics (expert versus trainee/staff member).
Agreement between trainer and trainee after the trainingWeighted Kappa aStandard error95% CI
Trainer vs. Trainee 10.8050.0480.710 to 0.900
Trainer vs. Trainee 20.7950.0640.670 to 0.920
Trainer vs. Trainee 30.6880.0760.540 to 0.836
Trainer vs. Trainee 40.7540.0500.656 to 0.852
Trainer vs. Trainee 50.7820.0580.668 to 0.896
Trainer vs. Trainee 60.8940.0300.835 to 0.953
Trainer vs. Trainee 70.7470.0550.639 to 0.855
Trainer vs. Trainee 80.7070.0620.586 to 0.828
Trainer vs. Trainee 90.8180.0500.720 to 0.915
Trainer vs. Trainee 100.7460.0630.623 to 0.869
Trainer vs. Trainee 110.6360.0910.458 to 0.814
Trainer vs. Trainee 120.5700.0810.411 to 0.729

3. Results

The data from the first and second exercise from each staff member and the expert were analysed to produce a weighted kappa statistic as an indicator of intra-examiner variability. The analysis was done using the weighted kappa statistic routine of the Medcalc Statistical Package Version 12, (Copyright 1993 2013 MedCalc Software).
As is shown in the Results Section the expert gained a very favourable statistic for intra-examiner variability giving strong support to the decision to use him as a standard. Thus, a further set of kappa statistics were produced in which the second set of scores produced by each member of staff was compared with the second set of scores of the expert.
These final kappa statistics, which were a measure of inter-examiner variability between expert and each staff member, were all greater than 0.55 with three being above 0.80 and one at 0.795.
These results are presented in support of the assertion that the implementation of the ICDAS has been comprehensively started within the context of the local curriculum and oral healthcare delivery arrangements of the Dental School of International Medical University.

4. Discussion

With newer diagnostic tools, remineralizing agents, and a new understanding of caries risk assessment, it is time for more educational institutions to embrace the philosophy of early detection and prevention of caries [9]. ICDAS was peer-reviewed and evidence-based and it was seen to embrace the current concepts of early caries detection. In addition, it classified the caries lesion rather than the cavity design [5].
The IMU School of Dentistry subscribes to the Minimal Intervention dentistry philosophy in its clinical training of dental students and provision of dental care in the IMU Oral Health Centre. A particular emphasis is given to Maximum Interception and Minimum Invasion (MIMI) and it has been found that the comprehensive introduction of ICDAS has given impetus to that concept [4].
To our best of our knowledge, this may be the first time that ICDAS has been fully implemented across all applications at an institution in Malaysia, South East Asia and possibly even more widely. The positive results of the calibration exercise on the faculty staff, which was diverse in terms of culture and specialty, also reinforces confidence in the methodology and delivery of our training workshop.
Implementing a new system had its share of challenges, so it was reassuring to find during the exploratory exercise carried out on the final year students that they quickly understood and applied the details of the ICDAS. It indicated that this was a practical, usable and understandable system, thus giving us confidence to proceed.
With regards to the staff, they were from different countries and primarily of traditional backgrounds where Black’s cavity classification had been the basis of caries detection and recording. It was crucial to open their mindset, not only regarding making a crossover to a different method of classifying caries but also to the concept of early detection of caries and prevention.
Another challenge was that IMU had a polyclinic and integrated style of teaching in clinics and that meant having to train staff from multiple specialties, i.e., both restorative and non-restorative staff.
Thirdly, incorporating the ICDAS charting to make it compatible with the electronic clinical charting system already in place at IMU proved to be challenging. Thus, it was carried out within the limitations of the already existing system and that has proven to be quite adequate for the purpose, although not entirely in accordance with the recommendations given by the ICDAS foundation.
By using existing staff as trainers and other readily available materials it was found that the budget required was minimal, mainly being for the purchase of ball ended periodontal probes. The logistics of conducting the training workshops are demanding and there is a need for ongoing workshops to be held for new staff.
Further, in a country like Malaysia, in order for the implementation of ICDAS to be fully effective it would need to be implemented in all dental teaching institutions, the Defense Services and most importantly, the Ministry of Health and the Government Dental Service which is its responsibility.
The careful preservation of the Reference Set of extracted teeth is now a priority for the project. It is unlikely that this set will be used for future ICDAS trainings. Instead, it will be used with those who gained high inter-examiner scores to produce Secondary Reference Sets of extracted teeth for general training use and experimentation. The Primary Reference Set and any Secondary Reference Sets are stored soaked in chloramine and are under the responsibility of one person, whose duty is to prevent damage to, or loss of a tooth.

5. Conclusions

The implementation of the ICDAS has been comprehensively set into motion within the context of our local curriculum and oral healthcare delivery arrangements. However, this will be an ongoing process with further quality assurance measures being required clinically together with the continuous training of new staff. Sharing this ‘framework’ of the ICDAS implementation process should considerably ease the path and reduce the time period of future implementations by other dental teaching institutions.

Acknowledgments

The authors acknowledge the support and enthusiasm of Professor Kim Ekstrand (KE) which were most important factors in the success of this project.

Conflicts of Interest

The authors declare no conflict of interest

References and Notes

  1. Tyas, M.J.; Anusavice, K.J.; Frencken, J.E.; Mount, G.J. Minimal intervention dentistry—A review. FDI Commission Project 1-97. Int. Dent. J. 2000, 50, 1–12. [Google Scholar] [CrossRef]
  2. Selwitz, R.H.; Ismail, A.; Pitts, N.B. Dental caries. Lancet 2007, 369, 51–59. [Google Scholar] [CrossRef]
  3. Schulte, A.G.; Pitts, N.B.; Huysman, M.C. European core curriculum in cariology for undergraduate dental student. Eur. J. Dent. Educ. 2011, 15, 9–17. [Google Scholar] [CrossRef]
  4. Murdoc-Kinch, C.A.; Mclean, M.E. Minimally invasive dentistry. JADA 2003, 134, 87–95. [Google Scholar]
  5. Fisher, J.; Glick, M. A new model for caries classification and management: The FDI World Dental Federation Caries Matrix. JADA 2012, 143, 546–551. [Google Scholar]
  6. Pitts, N.B.; Ekstrand, K.R. International Caries Detection and Assessment system (ICDAS) and its international caries classification and management system (ICCMS)- methods for staging of the caries process and enabling dentists to manage caries. Community Dent. Oral Epidemil. 2013, 41, e41–e52. [Google Scholar] [CrossRef]
  7. Diniz, M.B.; Rodrigues, J.A.; Hug, I.; Cordeiro, R.C.L.; Lussi, A. Reproducibility and accuracy of the ICDAS-II for occlusal caries detection. Community Dent. Oral Epidemiol. 2009, 37, 399–404. [Google Scholar] [CrossRef]
  8. Available online: https://www.icdas.org/icdas-e-learning-course (accessed on 20 December 2013).
  9. Diniz, M.; Lima, L.M.; Pinto, L.S. Influence of the ICDAS e-learning program for occlusal caries detection on dental students. J. Dent. Educ. 2010, 74, 862–868. [Google Scholar]
  10. Pitts, N.B. Modern concepts of caries measurement. Centre for clinical innovations and dental health services research unit, University of Dundee. J. Dent. Res 2004, 83, C43–C47. [Google Scholar] [CrossRef]
  11. Jablonski, A.; Stachniss, V.; Ricketts, D.N. Reproducibility and accuracy of the ICDAS-II for detection of occlusal caries in vitro. Caries Res. 2008, 42, 79–87. [Google Scholar] [CrossRef]
  12. ICDAS Committee. Criteria Manual: International Caries Detection and Assessment System II (ICDAS II).

Share and Cite

MDPI and ACS Style

Ahlawat, P.; Parolia, A.; Hasan, Z.; Smales, F.C.; Pau, A.; Toh, C.G. Comprehensive Implementation of the International Caries Detection and Assessment System (ICDAS) in a Dental School and University Oral Health Centre: A Stepwise Framework. Dent. J. 2014, 2, 41-51. https://doi.org/10.3390/dj2010041

AMA Style

Ahlawat P, Parolia A, Hasan Z, Smales FC, Pau A, Toh CG. Comprehensive Implementation of the International Caries Detection and Assessment System (ICDAS) in a Dental School and University Oral Health Centre: A Stepwise Framework. Dentistry Journal. 2014; 2(1):41-51. https://doi.org/10.3390/dj2010041

Chicago/Turabian Style

Ahlawat, Priya, Abhishek Parolia, Zeinab Hasan, Frederick C. Smales, Allan Pau, and Chooigait G. Toh. 2014. "Comprehensive Implementation of the International Caries Detection and Assessment System (ICDAS) in a Dental School and University Oral Health Centre: A Stepwise Framework" Dentistry Journal 2, no. 1: 41-51. https://doi.org/10.3390/dj2010041

APA Style

Ahlawat, P., Parolia, A., Hasan, Z., Smales, F. C., Pau, A., & Toh, C. G. (2014). Comprehensive Implementation of the International Caries Detection and Assessment System (ICDAS) in a Dental School and University Oral Health Centre: A Stepwise Framework. Dentistry Journal, 2(1), 41-51. https://doi.org/10.3390/dj2010041

Article Metrics

Back to TopTop