Full Mouth Rehabilitation with All-Ceramic Restorations in a Patient with Amelogenesis Imperfecta: A Case Report with 10-Year Follow-Up
Abstract
1. Introduction
- -
- Hypoplastic, where enamel is well mineralized but reduced in quantity;
- -
- Hypomaturated, where the mineralization is abnormal;
- -
- Hypocalcified, where enamel is normally formed but undermineralized;
- -
- Combination of the above-mentioned types.
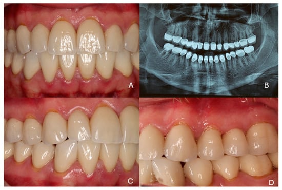
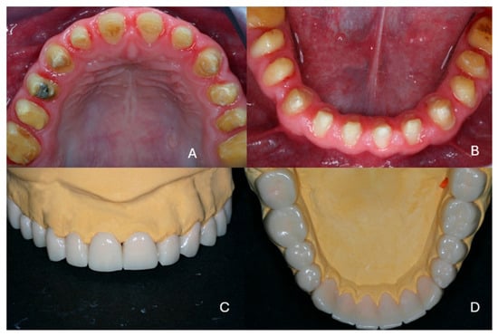
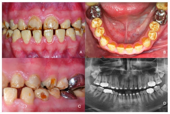
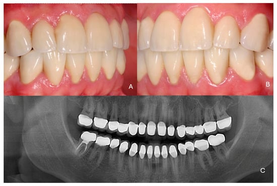
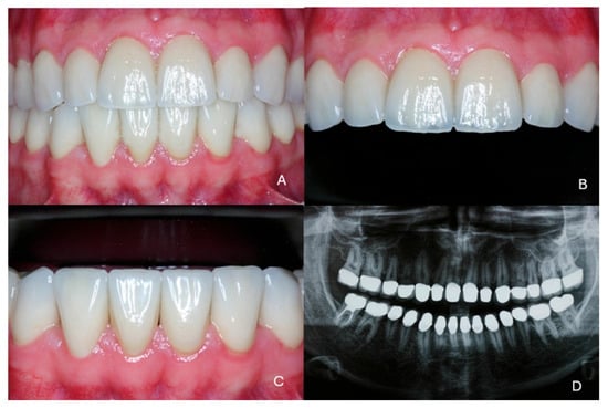
2. Case Presentation
3. Discussion
Funding
Institutional Review Board Statement
Informed Consent Statement
Data Availability Statement
Acknowledgments
Conflicts of Interest
References
- Witkop, C.J., Jr. Amelogenesis imperfecta, dentinogenesis imperfecta and dentin dysplasia revisited: Problems in classification. J. Oral Pathol. Med. 1988, 17, 547–553. [Google Scholar] [CrossRef] [PubMed]
- Cabay, R. An overview of molecular and genetic alterations in selected benign odontogenic disorders. Arch. Pathol. Lab. Med. 2014, 138, 754–758. [Google Scholar] [CrossRef]
- Backman, B.; Holm, A.K. Amelogenesis imperfecta: Prevalence and incidence in a northern Swedish county. Community Dent. Oral Epidemiol. 1986, 14, 43–47. [Google Scholar] [CrossRef]
- Millet, C.; Duprez, J.; Khoury, C.; Morgon, L.; Richard, B. Interdisciplinary care for a patient with amelogenesis imperfecta: A clinical report. J. Prosthodont. 2015, 24, 424–431. [Google Scholar] [CrossRef]
- Kim, J.W.; Simmer, J.P. Hereditary enamel defects. J. Dent. Res. 2007, 86, 392–399. [Google Scholar] [CrossRef]
- Smith, C.E.L.; Poulter, J.A.; Antanaviciute, A.; Kirkham, J.; Brookes, S.J.; Inglehearn, C.F.; Mighell, A.J. Amelogenesis imperfecta; genes, proteins, and pathways. Front. Physiol. 2017, 8, 435. [Google Scholar] [CrossRef]
- Strauch, S.; Hahnel, S. Restorative Treatment in Patients with Amelogenesis Imperfecta: A Review. J. Prosthodont. 2018, 27, 618–623. [Google Scholar] [CrossRef] [PubMed]
- Poulsen, S.; Gjørup, H.; Haubek, D.; Haukali, G.; Hintze, H.; Løvschall, H.; Errboe, M. Amelogenesis imperfecta—A systematic literature review of associated dental and oro-facial abnormalities and their impact on patients. Acta Odontol. Scand. 2008, 66, 193–199. [Google Scholar] [CrossRef] [PubMed]
- Wright, J.T. The molecular etiologies and associated phenotypes of amelogenesis imperfecta. Am. J. Med. Genet. 2006, 140, 2547–2555. [Google Scholar] [CrossRef]
- Seow, W.K. Dental development in amelogenesis imprefecta: A controlled study. Pediatr. Dent. 1995, 17, 26–30. [Google Scholar] [PubMed]
- Aldred, M.J.; Savarirayan, R.; Crawford, P.J. Amelogenesis imperfecta: A classification and catalogue for the 21st century. Oral Dis. 2003, 9, 19–23. [Google Scholar] [CrossRef] [PubMed]
- Crawford, P.J.; Aldred, M.; Bloch-Zupan, A. Amelogenesis imperfecta. Orphanet J. Rare Dis. 2007, 2, 17. [Google Scholar] [CrossRef] [PubMed] [PubMed Central]
- Sabandal, M.M.; Schäfer, E. Amelogenesis imperfecta: Review of diagnostic findings and treatment concepts. Odontology 2016, 104, 245–256. [Google Scholar] [CrossRef] [PubMed]
- Koruyucu, M.; Bayram, M.; Tuna, E.B.; Gencay, K.; Seymen, F. Clinical findings and long-term managements of patients with amelogenesis imperfecta. Eur. J. Dent. 2014, 8, 546–552. [Google Scholar] [CrossRef] [PubMed]
- Gisler, V.; Enkling, N.; Zix, J.; Kim, K.; Kellerhoff, N.M.; Mericske-Stern, R. A multidisciplinary approach to the functional and esthetic rehabilitation of amelogenesis imperfecta and open bite deformity: A case report. J. Esthet. Restor. Dent. 2010, 22, 282–293. [Google Scholar] [CrossRef]
- Parekh, S.; Almehateb, M.; Cunningham, S.J. How do children with amelogenesis imperfecta feel about their teeth? Int. J. Paediatr. Dent. 2014, 24, 326–335. [Google Scholar] [CrossRef]
- Kostoulas, I.; Kourtis, S.; Andritsakis, D.; Doukoudakis, A. Functional and esthetic rehabilitation in amelogenesis imperfecta with all ceramic restorations. A case report. Quintessence Int. 2005, 36, 329–338. [Google Scholar]
- Pousette Lundgren, G.; Morling Vestlund, G.I.; Trulsson, M.; Dahllöf, G. A Randomized controlled trial of crown therapy in young individuals with amelogenesis imperfecta. J. Dent. Res. 2015, 94, 1041–1047. [Google Scholar] [CrossRef] [PubMed]
- Ayna, E.; Celenk, S.; Kadiroglu, E.T. Restoring function and esthetics in 2 patients with amelogenesis imperfecta: Case report. Quintessence Int. 2007, 38, 51–53. [Google Scholar]
- Bouvier, D.; Duprez, J.P.; Pirel, C.; Vincent, B. Amelogenesis imperfecta prosthetic rehabilitation: A clinical report. J. Prosthet. Dent. 1999, 82, 130–131. [Google Scholar] [CrossRef] [PubMed]
- Doruk, C.; Ozturk, F.; Sari, F.; Turgut, M. Restoring function and aesthetics in a class II division 1 patient with Amelogenesis Imperfecta: A clinical report. Eur. J. Dent. 2011, 5, 220–228. [Google Scholar] [CrossRef] [PubMed]
- Gokce, K.; Canpolat, C.; Ozel, E. Restoring function and esthetics in a patient with amelogenesis imperfecta: A case report. J. Contemp. Dent. Pract. 2007, 8, 95–101. [Google Scholar]
- Kar, S.K.; Tripathi, A.; Singh, S.V. Full mouth rehabilitation of hypomaturation type amelogenesis imperfecta: A clinical report. J. Oral Biol. Craniofacial Res. 2012, 2, 213–216. [Google Scholar] [CrossRef]
- Kamble, V.D.; Parkhedkar, R.D. Multidisciplinary approach for restoring function and esthetics in a patient with amelogenesis imperfecta: A clinical report. J. Clin. Diagn. Res. 2013, 7, 3083–3085. [Google Scholar] [CrossRef]
- Kumar, S.; Gupta, S. The restoration of function and esthetics of a patient with amelogenesis imperfecta using a combination of orthodontic and prosthodontic treatment: A case report. J. Contemp. Dent. Pract. 2009, 10, E79–E85. [Google Scholar]
- Sholapurkar, A.A.; Joseph, R.M.; Varghese, J.M.; Neelagiri, K.; Acharya, S.R.; Hegde, V.; Pai, K.M.; Bhat, M. Clinical diagnosis and oral rehabilitation of a patient with amelogenesis imperfecta: A case report. J. Contemp. Dent. Pract. 2008, 9, 92–98. [Google Scholar] [PubMed]
- Mete, J.J.; Dange, S.P.; Khalikar, A.N.; Vaidya, S.P. Functional and esthetic rehabilitation of mutilated dentition associated with amelogenesis imperfecta. J. Indian Prosthodont. Soc. 2012, 12, 94–100. [Google Scholar] [CrossRef]
- Ozturk, N.; Sari, Z.; Ozturk, B. An interdisciplinary approach for restoring function and esthetics in a patient with amelogenesis imperfecta and malocclusion: A clinical report. J. Prosthet. Dent. 2004, 92, 112–115. [Google Scholar] [CrossRef]
- Ergun, G.; Kaya, B.M.; Egilmez, F.; Cekic-Nagas, I. Functional and esthetic rehabilitation of a patient with amelogenesis imperfecta. J. Can. Dent. Assoc. 2013, 79, d38. [Google Scholar] [PubMed]
- Mittal, S.; Tewari, S.; Goel, R. Esthetic and functional rehabilitation of mutilated dentition and loss of vertical dimension due to amelogenesis imperfecta. Indian J. Dent. 2014, 5, 102–106. [Google Scholar] [CrossRef]
- Siadat, H.; Alikhasi, M.; Mirfazaelian, A. Rehabilitation of a patient with amelogenesis imperfecta using all-ceramic crowns: A clinical report. J. Prosthet. Dent. 2007, 98, 85–88. [Google Scholar] [CrossRef]
- Ortiz, L.; Pereira, A.M.; Jahangiri, L.; Choi, M. Management of Amelogenesis Imperfecta in Adolescent Patients: Clinical Report. J. Prosthodont. 2019, 28, 607–612. [Google Scholar] [CrossRef]
- de Souza, J.F.; Fragelli, C.M.; Paschoal, M.A.; Campos, E.A.; Cunha, L.F.; Losso, E.M.; Cordeiro, R.C. Noninvasive and multidisciplinary approach to the functional and esthetic rehabilitation of amelogenesis imperfecta: A pediatric case report. Case Rep. Dent. 2014, 2014, 127175. [Google Scholar] [CrossRef]
- Turkun, L.S. Conservative restoration with resin composites of a case of amelogenesis imperfecta. Int. Dent. J. 2005, 55, 38–41. [Google Scholar] [CrossRef] [PubMed]
- Horowitz, R.A.; Gautam, D.K.; Karol, S.; Kumari, B. Periodontal management and restoration of an amelogenesis imperfecta patient: A case report. Compend. Contin. Educ. Dent. 2014, 35, e6–e11. [Google Scholar]
- Markovic, D.; Petrovic, B.; Peric, T. Case series: Clinical findings and oral rehabilitation of patients with amelogenesis imperfecta. Eur. Arch. Paediatr. Dent. 2010, 11, 201–208. [Google Scholar] [CrossRef] [PubMed]
- Oliveira, I.K.; de Fátima Barbosa Fonseca, J.; do Amaral, F.L.B.; Arias Pecorari, V.G.; Basting, R.T.; Gomes França, F.M. Diagnosis and esthetic functional rehabilitation of a patient with amelogenesis imperfecta. Quintessence Int. 2011, 42, 463–469. [Google Scholar]
- Pousette Lundgren, G.; Dahllöf, G. Outcome of restorative treatment in young patients with amelogenesis imperfecta. A cross-sectional, retrospective study. J. Dent. 2014, 42, 1382–1389, Erratum in J. Dent. 2015, 43, 295. [Google Scholar] [CrossRef] [PubMed]
- Groten, M. Complete esthetic and functional rehabilitation with adhesively luted all-ceramic restorations: A case report over 4.5 years. Quintessence Int. 2007, 38, 723–731. [Google Scholar]
- Saeidi, R.; Edelhoff, D.; Pradntrer, O.; Liebermann, A. Rehabilitation of a patient with amelogenesis imperfecta using porcelain veneers and CAD/CAM polymer restorations: A clinical report. Quintessence Int. 2015, 46, 843–852. [Google Scholar]
- Klink, A.; Groten, M. Complete rehabilitation of compromised full dentitions with adhesively bonded all-ceramic single-tooth restorations: Long-term outcome in patients with and without amelogenesis imperfecta. J. Dent. 2018, 70, 51–58. [Google Scholar] [CrossRef]
- Rhaiem, M.; Chalbi, M.; Bousaid, S.; Zouaoui, W.; Chemli, M.A. Dental treatment approaches of amelogenesis imperfecta in children and young adults: A systematic review of literature. J. Esthet. Restor. Dent. 2024, 36, 881–891. [Google Scholar] [CrossRef]
- Mathews, D.P.; Knight, D.J.; O’Connor, R.V.; Kokich, V.G. Interdisciplinary treatment of a patient with amelogenesis imperfecta: Case report with a 35-year follow-up. J. Esthet. Restor. Dent. 2021, 33, 968–975. [Google Scholar] [CrossRef] [PubMed]
- Schmidlin, P.R. Restorative and reconstructive treatment of amelogenesis imperfecta after 18 years—A published case comes of age. Swiss Dent. J. SSO—Sci. Clin. Top. 2022, 132, 862–863. [Google Scholar] [CrossRef] [PubMed]
- Quandalle, C.; Boillot, A.; Fournier, B.; Garrec, P.; De la Dure-Molla, M.; Kerner, S. Gingival inflammation, enamel defects, and tooth sensitivity in children with amelogenesis imperfecta: A case-control study. J. Appl. Oral Sci. 2020, 28, e20200170. [Google Scholar] [CrossRef] [PubMed] [PubMed Central]
- Yoshioka, H.; Wang, Y.-Y.; Suzuki, A.; Shayegh, M.; Gajera, M.V.; Zhao, Z.; Iwata, J. Overexpression of miR-1306-5p, miR-3195, and miR-3914 Inhibits Ameloblast Differentiation through Suppression of Genes Associated with Human Amelogenesis Imperfecta. Int. J. Mol. Sci. 2021, 22, 2202. [Google Scholar] [CrossRef] [PubMed] [PubMed Central]
- Jaouad, I.C.; El Alloussi, M.; El Alaoui, S.C.; Laarabi, F.Z.; Lyahyai, J.; Sefiani, A. Further evidence for causal FAM20A mutations and first case of amelogenesis imperfecta and gingival hyperplasia syndrome in Morocco: A case report. BMC Oral Health 2015, 15, 14. [Google Scholar] [CrossRef] [PubMed] [PubMed Central]
- Laouina, S.; El Alaoui, S.C.; Amezian, R.; Al Bouzidi, A.; Sefiani, A.; El Alloussi, M. A rare association—Amelogenesis imperfecta, platispondyly and bicytopenia: A case report. J. Med. Case Rep. 2015, 9, 245. [Google Scholar] [CrossRef] [PubMed] [PubMed Central]
- Choi, H.; Lee, K.; Kim, D.; Kim, S.; Lee, J.H. The implication of holocytochrome c synthase mutation in Korean familial hypoplastic amelogenesis imperfecta. Clin. Oral Investig. 2022, 26, 4487–4498. [Google Scholar] [CrossRef] [PubMed] [PubMed Central]
- Roma, M.; Hegde, P.; Nandhini, M.D.; Hegde, S. Management guidelines for amelogenesis imperfecta: A case report and review of the literature. J. Med. Case Rep. 2021, 15, 67. [Google Scholar] [CrossRef] [PubMed] [PubMed Central]
- Cheng, H.-C.; Peng, B.-Y.; Hsieh, H.-Y.; Tam, K.-W. Impact of third molars on mandibular relapse in post-orthodontic patients: A meta-analysis. J. Dent. Sci. 2018, 13, 1–7. [Google Scholar] [CrossRef] [PubMed] [PubMed Central]
- Zawawi, K.H.; Melis, M. The Role of Mandibular Third Molars on Lower Anterior Teeth Crowding and Relapse after Orthodontic Treatment: A Systematic Review. Sci. World J. 2014, 2014, 615429. [Google Scholar] [CrossRef] [PubMed] [PubMed Central]
- Stanaitytė, R.; Trakinienė, G.; Gervickas, A. Do wisdom teeth induce lower anterior teeth crowding? A systematic literature review. Stomatologija 2014, 16, 15–18. [Google Scholar] [PubMed]
- Chen, C.F.; Hu, J.C.; Bresciani, E.; Peters, M.C.; Estrella, M.R. Treatment considerations for patient with Amelogenesis Imperfecta: A review. Braz. Dent. Sci. 2013, 16, 7–18. [Google Scholar] [CrossRef] [PubMed] [PubMed Central]
- Khatri, A.; Nandlal, B. An indirect veneer technique for simple and esthetic treatment of anterior hypoplastic teeth. Contemp. Clin. Dent. 2010, 1, 288–290. [Google Scholar] [CrossRef] [PubMed] [PubMed Central]
- Ohrvik, H.G.; Hjortsjö, C. Retrospective study of patients with amelogenesis imperfecta treated with different bonded restoration techniques. Clin. Exp. Dent. Res. 2020, 6, 16–23. [Google Scholar] [CrossRef] [PubMed] [PubMed Central]
- Nazeer, M.R.; Ghafoor, R.; Zafar, K.; Khan, F.R. Full mouth functional and aesthetic rehabilitation of a patient affected with hypoplastic type of amelogenesis imperfecta. J. Clin. Exp. Dent. 2020, 12, e310–e316. [Google Scholar] [CrossRef] [PubMed] [PubMed Central]












Disclaimer/Publisher’s Note: The statements, opinions and data contained in all publications are solely those of the individual author(s) and contributor(s) and not of MDPI and/or the editor(s). MDPI and/or the editor(s) disclaim responsibility for any injury to people or property resulting from any ideas, methods, instructions or products referred to in the content. |
© 2025 by the author. Licensee MDPI, Basel, Switzerland. This article is an open access article distributed under the terms and conditions of the Creative Commons Attribution (CC BY) license (https://creativecommons.org/licenses/by/4.0/).
Share and Cite
Kourtis, S. Full Mouth Rehabilitation with All-Ceramic Restorations in a Patient with Amelogenesis Imperfecta: A Case Report with 10-Year Follow-Up. Dent. J. 2025, 13, 546. https://doi.org/10.3390/dj13120546
Kourtis S. Full Mouth Rehabilitation with All-Ceramic Restorations in a Patient with Amelogenesis Imperfecta: A Case Report with 10-Year Follow-Up. Dentistry Journal. 2025; 13(12):546. https://doi.org/10.3390/dj13120546
Chicago/Turabian StyleKourtis, Stefanos. 2025. "Full Mouth Rehabilitation with All-Ceramic Restorations in a Patient with Amelogenesis Imperfecta: A Case Report with 10-Year Follow-Up" Dentistry Journal 13, no. 12: 546. https://doi.org/10.3390/dj13120546
APA StyleKourtis, S. (2025). Full Mouth Rehabilitation with All-Ceramic Restorations in a Patient with Amelogenesis Imperfecta: A Case Report with 10-Year Follow-Up. Dentistry Journal, 13(12), 546. https://doi.org/10.3390/dj13120546

