Comparison of Targeted Biopsy and Combined Biopsy to Avoid Unnecessary Systematic Biopsy in Patients with PI-RADS 5 Lesions
Abstract
:1. Introduction
2. Materials and Methods
2.1. Study Population
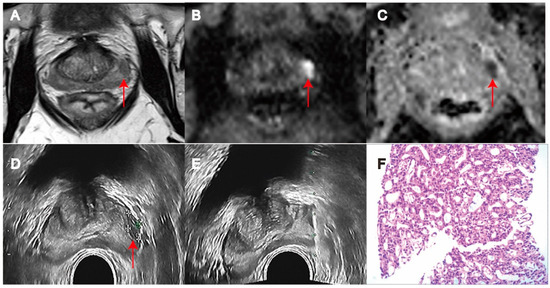
2.2. MRI Examination
2.3. Prostate Biopsy
2.4. Statistical Analysis
3. Results
4. Discussion
5. Conclusions
Author Contributions
Funding
Institutional Review Board Statement
Informed Consent Statement
Data Availability Statement
Conflicts of Interest
References
- Siegel, R.L.; Miller, K.D.; Jemal, A. Cancer statistics, 2020. CA Cancer J. Clin. 2020, 70, 7–30. [Google Scholar] [CrossRef] [PubMed]
 - Weinreb, J.C.; Barentsz, J.O.; Choyke, P.L.; Cornud, F.; Haider, M.A.; Macura, K.J.; Margolis, D.; Schnall, M.D.; Shtern, F.; Tempany, C.M.; et al. PI-RADS Prostate Imaging—Reporting and Data System: 2015, Version 2. Eur. Urol. 2016, 69, 16–40. [Google Scholar] [CrossRef]
 - Ahmed, H.U.; El-Shater Bosaily, A.; Brown, L.C.; Gabe, R.; Kaplan, R.; Parmar, M.K.; Collaco-Moraes, Y.; Ward, K.; Hindley, R.G.; Freeman, A.; et al. Diagnostic accuracy of multi-parametric MRI and TRUS biopsy in prostate cancer (PROMIS): A paired validating confirmatory study. Lancet 2017, 389, 815–822. [Google Scholar] [CrossRef]
 - Siddiqui, M.M.; Rais-Bahrami, S.; Turkbey, B.; George, A.K.; Rothwax, J.; Shakir, N.; Okoro, C.; Raskolnikov, D.; Parnes, H.L.; Linehan, W.M.; et al. Comparison of MR/ultrasound fusion-guided biopsy with ultrasound-guided biopsy for the diagnosis of prostate cancer. JAMA 2015, 313, 390–397. [Google Scholar] [CrossRef] [PubMed]
 - Epstein, J.I.; Walsh, P.C.; Carmichael, M.; Brendler, C.B. Pathologic and clinical findings to predict tumor extent of nonpalpable (stage T1c) prostate cancer. JAMA 1994, 271, 368–374. [Google Scholar] [CrossRef] [PubMed]
 - Miller, K.D.; Nogueira, L.; Devasia, T.; Mariotto, A.B.; Yabroff, K.R.; Jemal, A.; Kramer, J.; Siegel, R.L. Cancer treatment and survivorship statistics, 2022. CA Cancer J. Clin. 2022, 72, 409–436. [Google Scholar] [CrossRef] [PubMed]
 - Ghafoor, S.; Steinebrunner, F.; Stocker, D.; Hötker, A.M.; Schmid, F.A.; Eberli, D.; Donati, O.F. Index lesion contouring on prostate MRI for targeted MRI/US fusion biopsy—Evaluation of mismatch between radiologists and urologists. Eur. J. Radiol. 2023, 162, 110763. [Google Scholar] [CrossRef]
 - Tafuri, A.; Iwata, A.; Shakir, A.; Iwata, T.; Gupta, C.; Sali, A.; Sugano, D.; Mahdi, A.S.; Cacciamani, G.E.; Kaneko, M. Systematic Biopsy of the Prostate can Be Omitted in Men with PI-RADS™ 5 and Prostate Specific Antigen Density Greater than 15. J. Urol. 2021, 206, 289–297. [Google Scholar] [CrossRef] [PubMed]
 - Elkhoury, F.F.; Felker, E.R.; Kwan, L.; Sisk, A.E.; Delfin, M.; Natarajan, S.; Marks, L.S. Comparison of Targeted vs Systematic Prostate Biopsy in Men Who Are Biopsy Naive: The Prospective Assessment of Image Registration in the Diagnosis of Prostate Cancer (PAIREDCAP) Study. JAMA Surg. 2019, 154, 811–818. [Google Scholar] [CrossRef] [PubMed]
 - Drobish, J.N.; Bevill, M.D.; Tracy, C.R.; Sexton, S.M.; Rajput, M.; Metz, C.M.; Gellhaus, P.T. Do patients with a PI-RADS 5 lesion identified on magnetic resonance imaging require systematic biopsy in addition to targeted biopsy? Urol. Oncol. 2021, 39, 235.e1–235.e4. [Google Scholar] [CrossRef]
 - Neale, A.; Stroman, L.; Kum, F.; Jabarkhyl, D.; Di Benedetto, A.; Mehan, N.; Rusere, J.; Chandra, A.; Challacombe, B.; Cathcart, P.; et al. Targeted and systematic cognitive freehand-guided transperineal biopsy: Is there still a role for systematic biopsy? BJU Int. 2020, 126, 280–285. [Google Scholar] [CrossRef] [PubMed]
 - Arabi, A.; Deebajah, M.; Yaguchi, G.; Pantelic, M.; Williamson, S.; Gupta, N.; Park, H.; Peabody, J.; Menon, M.; Dabaja, A.; et al. Systematic Biopsy Does Not Contribute to Disease Upgrading in Patients Undergoing Targeted Biopsy for PI-RADS 5 Lesions Identified on Magnetic Resonance Imaging in the Course of Active Surveillance for Prostate Cancer. Urology 2019, 134, 168–172. [Google Scholar] [CrossRef] [PubMed]
 - Ahdoot, M.; Wilbur, A.R.; Reese, S.E.; Lebastchi, A.H.; Mehralivand, S.; Gomella, P.T.; Bloom, J.; Gurram, S.; Siddiqui, M.; Pinsky, P.; et al. MRI-Targeted, Systematic, and Combined Biopsy for Prostate Cancer Diagnosis. N. Engl. J. Med. 2020, 382, 917–928. [Google Scholar] [CrossRef] [PubMed]
 - Borghesi, M.; Ahmed, H.; Nam, R.; Schaeffer, E.; Schiavina, R.; Taneja, S.; Weidner, W.; Loeb, S. Complications After Systematic, Random, and Image-guided Prostate Biopsy. Eur. Urol. 2017, 71, 353–365. [Google Scholar] [CrossRef] [PubMed]
 - Namekawa, T.; Fukasawa, S.; Komaru, A.; Kobayashi, M.; Imamura, Y.; Ohzeki, T.; Takagi, K.; Sato, Y.; Akakura, K.; Ichikawa, T.; et al. Prospective evaluation of the safety of transrectal ultrasound-guided transperineal prostate biopsy based on adverse events. Int. J. Clin. Oncol. 2015, 20, 1185–1191. [Google Scholar] [CrossRef] [PubMed]
 


| PI-RADS 5 | N = 585 | T2 (233) | T3/4 (352) | p-Value | 
|---|---|---|---|---|
| Age, yr | 70.00 (64.00,76.00) | 69.00 (64.00, 75.00) | 70.00 (65.00, 76.75) | 0.021 | 
| tPSA | 25.42 (13.09, 73.65) | 15.84 (10.31, 25.00) | 45.82 (19.24, 130.50) | 0.000 | 
| PV | 49.00 (36.00, 69.75) | 41.00 (30.05, 54.80) | 57.00 (40.66, 77.00) | 0.000 | 
| PSAD | 0.57 (0.30, 1.30) | 0.39 (0.23, 0.65) | 0.89 (0.38, 2.10) | 0.000 | 
| Maximum diameter | 2.60 (1.90, 3.55) | 2.00(1.60, 2.40) | 3.00 (2.43, 4.10) | 0.000 | 
| lesions | ||||
| Multiple | 422 (72.14%) | 135 | 287 | 0.000 | 
| Single | 163 (27.86%) | 98 | 65 | |
| PCa. % | 95.73 | 93.13 | 97.44 | 0.012 | 
| csPCa. % | 93.85 | 89.27 | 96.87 | 0.000 | 
| PI-RADS 5 | N = 352 | T3 (214) | T4 (138) | p-Value | 
|---|---|---|---|---|
| Age, yr | 70.00 (65.00, 76.75) | 71.00 (64.75, 77.00) | 70.00 (65.00–76.00) | 0.852 | 
| tPSA | 45.82 (19.24, 130.50) | 35.52 (15.45, 80.52) | 88.80 (31.68, 199.48) | 0.000 | 
| PV | 57.00 (40.66, 77.00) | 47.32 (36.00, 65.00) | 70.00 (55.00–95.03) | 0.000 | 
| PSAD | 0.89 (0.38, 2.10) | 0.74 (0.36, 1.52) | 1.20 (0.46, 3.16) | 0.006 | 
| Maximum diameter | 3.00 (2.43, 4.10) | 2.80 (2.00, 3.50) | 4.00 (3.00, 4.90) | 0.000 | 
| lesions | 0.000 | |||
| Multiple | 287 (81.53%) | 159 | 128 | |
| Single | 65 (18.47%) | 55 | 10 | |
| PCa. % | 97.44% | 96.73 | 98.55 | 0.491 | 
| csPCa. % | 96.87% | 96.26 | 97.83 | 0.538 | 
| PI-RADS 5 | CB (Gold Standard) | TB | TB Positive Coincidence Rate | 95%CI | SB Added Value  | TB | SB | McNemar p-Value | 
|---|---|---|---|---|---|---|---|---|
| PCa | ||||||||
| T2/3/4 | 95.73 | 94.02 | 98.21 | 97.14–99.29 | 1.71 | 94.02 | 95.38 | 0.832 | 
| T3/4 | 97.44 | 96.21 | 98.83 | 97.71–99.96 | 1.14 | 96.21 | 96.88 | 0.688 | 
| T2 | 93.13 | 90.56 | 97.24 | 95.13–99.34 | 2.58 | 90.56 | 88.84 | 0.453 | 
| CSPCa | ||||||||
| T2/3/4 | 93.85 | 92.48 | 98.54 | 97.57–99.51 | 1.37 | 92.48 | 92.14 | 0.815 | 
| T3/4 | 96.87 | 95.74 | 98.83 | 97.70–99.95 | 1.13 | 95.74 | 96.59 | 0.375 | 
| T2 | 89.27 | 87.55 | 98.08 | 96.31–99.84 | 1.71 | 87.55 | 85.41 | 0.267 | 
| PI-RADS 5 | CB | TB | SB | p-Value | 
|---|---|---|---|---|
| number of biopsy cores | 10.03 ± 3.63 | 2.14 ± 0.77 | 8.73 ± 3.05 | 0.000 | 
| number of positive cores | 6.90 ± 3.09 | 1.92 ± 0.83 | 4.98 ± 2.84 | 0.000 | 
| Positive rate | 0.77 ± 0.40 | 0.90 ± 0.26 | 0.61 ± 0.32 | 0.000 | 
Disclaimer/Publisher’s Note: The statements, opinions and data contained in all publications are solely those of the individual author(s) and contributor(s) and not of MDPI and/or the editor(s). MDPI and/or the editor(s) disclaim responsibility for any injury to people or property resulting from any ideas, methods, instructions or products referred to in the content.  | 
© 2023 by the authors. Licensee MDPI, Basel, Switzerland. This article is an open access article distributed under the terms and conditions of the Creative Commons Attribution (CC BY) license (https://creativecommons.org/licenses/by/4.0/).
Share and Cite
Yuan, C.; Li, D.; Wu, J.; Shen, Q.; Wang, X.; Xiao, J.; He, Z.; Zhou, L.; Li, X.; Liu, Y.; et al. Comparison of Targeted Biopsy and Combined Biopsy to Avoid Unnecessary Systematic Biopsy in Patients with PI-RADS 5 Lesions. Biomedicines 2023, 11, 3163. https://doi.org/10.3390/biomedicines11123163
Yuan C, Li D, Wu J, Shen Q, Wang X, Xiao J, He Z, Zhou L, Li X, Liu Y, et al. Comparison of Targeted Biopsy and Combined Biopsy to Avoid Unnecessary Systematic Biopsy in Patients with PI-RADS 5 Lesions. Biomedicines. 2023; 11(12):3163. https://doi.org/10.3390/biomedicines11123163
Chicago/Turabian StyleYuan, Changwei, Derun Li, Jingyun Wu, Qi Shen, Xiaoying Wang, Jiangxi Xiao, Zhisong He, Liqun Zhou, Xuesong Li, Yi Liu, and et al. 2023. "Comparison of Targeted Biopsy and Combined Biopsy to Avoid Unnecessary Systematic Biopsy in Patients with PI-RADS 5 Lesions" Biomedicines 11, no. 12: 3163. https://doi.org/10.3390/biomedicines11123163
APA StyleYuan, C., Li, D., Wu, J., Shen, Q., Wang, X., Xiao, J., He, Z., Zhou, L., Li, X., Liu, Y., & Zhao, Z. (2023). Comparison of Targeted Biopsy and Combined Biopsy to Avoid Unnecessary Systematic Biopsy in Patients with PI-RADS 5 Lesions. Biomedicines, 11(12), 3163. https://doi.org/10.3390/biomedicines11123163
        
                                                