A Histology-Guided Approach to the Management of Patients with Lupus Nephritis: Are We There Yet?
Abstract
1. Introduction
2. Renal Involvement in SLE
2.1. Glomerular Lesions in SLE
2.2. Tubulointerstitial Lesions in SLE
2.3. Vascular Lesions in SLE
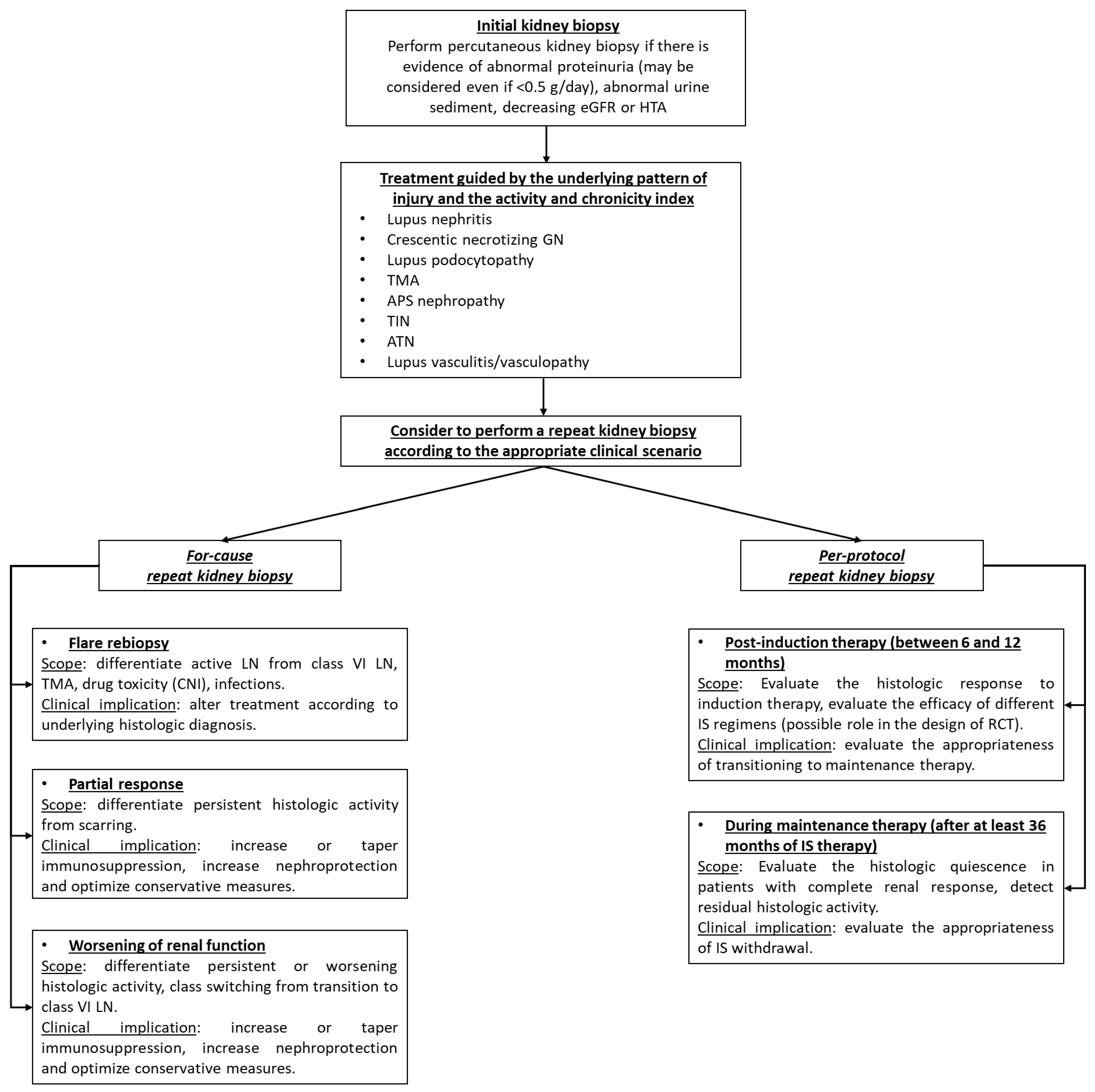
3. The Role of Initial Kidney Biopsy in the Management of Patients with SLE and Renal Involvement—Beyond the ISN/RPN Lupus Nephritis Classification
3.1. When to Perform a Kidney Biopsy in Patients with SLE? Is the Current Biopsy Threshold Adequate?
3.2. Interpretation of the Initial Biopsy Information beyond the Lupus Nephritis Classifications
4. Role of Repeat Kidney Biopsy
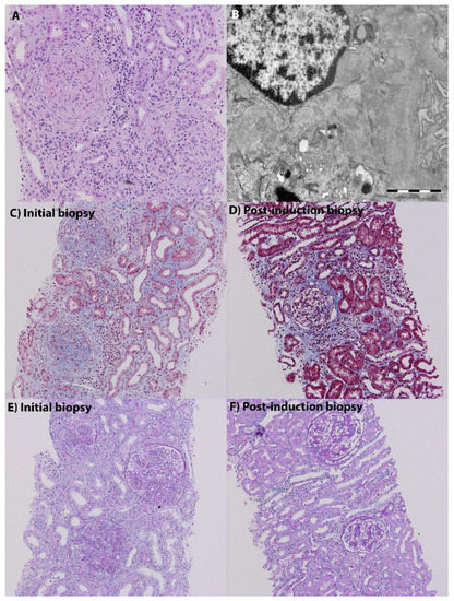
4.1. Post-Induction Therapy Repeat Kidney Biopsy
4.2. During Maintenance Therapy Repeat Kidney Biopsy
5. Potential Biomarkers Reflecting the Activity of Lupus Nephritis
Funding
Institutional Review Board Statement
Data Availability Statement
Conflicts of Interest
References
- Obrișcă, B.; Sorohan, B.; Tuță, L.; Ismail, G. Advances in lupus nephritis pathogenesis: From bench to bedside. Int. J. Mol. Sci. 2021, 22, 3766. [Google Scholar] [CrossRef] [PubMed]
- Parodis, I.; Tamirou, F.; Houssiau, F.A. Treat-to-Target in Lupus Nephritis. What is the Role of the Repeat Kidney Biopsy? Arch. Immunol. Ther. Exp. 2022, 70, 8. [Google Scholar] [CrossRef] [PubMed]
- Obrișcă, B.; Vornicu, A.; Jurubiță, R.; Achim, C.; Bobeică, R.; Andronesi, A.; Sorohan, B.; Herlea, V.; Procop, A.; Dina, C.; et al. Corticosteroids are the major contributors to the risk for serious infections in autoimmune disorders with severe renal involvement. Clin. Rheumatol. 2021, 40, 3285–3297. [Google Scholar] [CrossRef] [PubMed]
- Furie, R.; Rovin, B.H.; Houssiau, F.; Malvar, A.; Teng, Y.K.O.; Contreras, G.; Amoura, A.; Yu, X.; Mok, C.-C.; Santiago, M.B.; et al. Two-Year, Randomized, Controlled Trial of Belimumab in Lupus Nephritis. N. Engl. J. Med. 2020, 383, 1117–1128. [Google Scholar] [CrossRef] [PubMed]
- Rovin, B.H.; Teng, Y.K.O.; Ginzler, E.M.; Arriens, C.; Caster, D.J.; Romero-Diaz, J.; Gibson, K.; Kaplan, J.; Lisk, L.; Navarra, S.; et al. Efficacy and safety of voclosporin versus placebo for lupus nephritis (AURORA 1): A double-blind, randomised, multicentre, placebo-controlled, phase 3 trial. Lancet 2021, 397, 2070–2080. [Google Scholar] [CrossRef]
- Lei, Y.; Loutan, J.; Anders, H.-J. B-cell depletion or belimumab or voclosporin for lupus nephritis? Curr. Opin. Nephrol. Hypertens. 2021, 30, 237–244. [Google Scholar] [CrossRef]
- Mandrik, O.; Fotheringham, J.; Ren, S.; Tice, J.A.; Chapman, R.H.; Stevenson, M.D.; Pearson, M.D.; Herron-Smith, S.; Agboola, F.; Thokala, P. The Cost-Effectiveness of Belimumab and Voclosporin for Patients with Lupus Nephritis in the United States. Clin. J. Am. Soc. Nephrol. 2022, 17, 385–394. [Google Scholar] [CrossRef]
- Obrișcă, B.; Jurubiță, R.; Andronesi, A.; Sorohan, B.; Achim, C.; Bobeica, R.; Gherghiceanu, M.; Mandache, E.; Ismail, G. Histological predictors of renal outcome in lupus nephritis: The importance of tubulointerstitial lesions and scoring of glomerular lesions. Lupus 2018, 27, 1455–1463. [Google Scholar] [CrossRef]
- Tektonidou, M.G.; Dasgupta, A.; Ward, M.M. Risk of End-Stage Renal Disease in Patients with Lupus Nephritis, 1971–2015: A Systematic Review and Bayesian Meta-Analysis. Arthritis Rheumatol. 2016, 68, 1432–1441. [Google Scholar] [CrossRef]
- Mejia-Vilet, J.M.; Malvar, A.; Arazi, A.; Rovin, B.H. The lupus nephritis management renaissance. Kidney Int. 2022, 101, 242–255. [Google Scholar] [CrossRef]
- Austin, H.A.; Klippel, J.H.; Balow, J.E.; le Riche, N.G.; Steinberg, A.D.; Plotz, P.H.; Decker, J.L. Therapy of lupus nephritis. Controlled trial of prednisone and cytotoxic drugs. N. Engl. J. Med. 1986, 314, 614–619. [Google Scholar] [CrossRef] [PubMed]
- Boumpas, D.T.; Austin, H.A.; Vaughn, E.M.; Klippel, J.H.; Steinberg, A.D.; Yarboro, C.H.; Balow, J.E. Controlled trial of pulse methylprednisolone versus two regimens of pulse cyclophosphamide in severe lupus nephritis. Lancet 1992, 340, 741–745. [Google Scholar] [CrossRef]
- Barber, C.; Herzenberg, A.; Aghdassi, E.; Su, J.; Lou, W.; Qian, G.; Yip, J.; Nasr, S.H.; Thomas, D.; Scholey, J.W.; et al. Evaluation of clinical outcomes and renal vascular pathology among patients with lupus. Clin. J. Am. Soc. Nephrol. 2012, 7, 757–764. [Google Scholar] [CrossRef] [PubMed]
- Hu, W.; Chen, Y.; Wang, S.; Chen, H.; Liu, Z.; Zeng, C.; Zhang, H.; Liu, Z. Clinical–morphological features and outcomes of lupus podocytopathy. Clin. J. Am. Soc. Nephrol. 2016, 11, 585–592. [Google Scholar] [CrossRef]
- Yu, F.; Haas, M.; Glassock, R.; Zhao, M.H. Redefining lupus nephritis: Clinical implications of pathophysiologic subtypes. Nat. Rev. Nephrol. 2017, 13, 483–495. [Google Scholar] [CrossRef]
- Turner-Stokes, T.; Wilson, H.R.; Morreale, M.; Nunes, A.; Cairns, T.; Cook, H.T.; Pusey, C.D.; Tarzi, R.M.; Lightstone, L. Positive antineutrophil cytoplasmic antibody serology in patients with lupus nephritis is associated with distinct histopathologic features on renal biopsy. Kidney Int. 2017, 92, 1223–1231. [Google Scholar] [CrossRef]
- Rijnink, E.C.; Teng, Y.K.O.; Wilhelmus, S.; Almekinders, M.; Wolterbeek, R.; Cransberg, K.; Brujin, J.A.; Bajema, I.M. Clinical and Histopathologic Characteristics Associated with Renal Outcomes in Lupus Nephritis. Clin. J. Am. Soc. Nephrol. 2017, 12, 734–743. [Google Scholar] [CrossRef]
- Yu, F.; Tan, Y.; Liu, G.; Wang, S.X.; Zou, W.Z.; Zhao, M.H. Clinicopathological characteristics and outcomes of patients with crescentic lupus nephritis. Kidney Int. 2009, 76, 307–317. [Google Scholar] [CrossRef]
- McKinley, A.; Park, E.; Spetie, D.; Hackshaw, K.V.; Nagaraja, S.; Hebert, L.A.; Rovin, B.H. Oral cyclophosphamide for lupus glomerulonephritis: An underused therapeutic option. Clin. J. Am. Soc. Nephrol. 2009, 4, 1754–1760. [Google Scholar] [CrossRef]
- Zhang, T.; Sun, W.; Xue, J.; Chen, J.; Jiang, Q.; Mou, L.; Du, H. Podocytic infolding glomerulopathy: Two new cases with connective tissue disease and literature review. Clin. Rheumatol. 2019, 38, 1521–1528. [Google Scholar] [CrossRef]
- Bajema, I.M.; Wilhelmus, S.; Alpers, C.E.; Bruijn, J.A.; Colvin, R.B.; Cook, H.T.; D’Agati, V.D.; Ferrario, F.; Haas, M.; Jennette, J.C.; et al. Revision of the International Society of Nephrology/Renal Pathology Society classification for lupus nephritis: Clarification of definitions, and modified National Institutes of Health activity and chronicity indices. Kidney Int. 2018, 93, 789–796. [Google Scholar] [CrossRef] [PubMed]
- Yu, F.; Wu, L.H.; Tan, Y.; Li, L.H.; Wang, C.L.; Wang, W.K.; Qu, Z.; Chen, M.-H.; Gao, J.-J.; Li, Z.-Y.; et al. Tubulointerstitial lesions of patients with lupus nephritis classified by the 2003 International Society of Nephrology and Renal Pathology Society system. Kidney Int. 2010, 77, 820–829. [Google Scholar] [CrossRef] [PubMed]
- Steinmetz, O.M.; Velden, J.; Kneissler, U.; Marx, M.; Klein, A.; Helmchen, U.; Stahl, R.A.K.; Panzer, U. Analysis and classification of B-cell infiltrates in lupus and ANCA-associated nephritis. Kidney Int. 2008, 74, 448–457. [Google Scholar] [CrossRef]
- Chang, A.; Henderson, S.G.; Brandt, D.; Liu, N.; Guttikonda, R.; Hsieh, C.; Kaverina, N.; Utset, T.O.; Meehan, S.M.; Quigg, R.J.; et al. In Situ B Cell-Mediated Immune Responses and Tubulointerstitial Inflammation in Human Lupus Nephritis. J. Immunol. 2011, 186, 1849–1860. [Google Scholar] [CrossRef] [PubMed]
- Shen, Y.; Sun, C.Y.; Wu, F.X.; Chen, Y.; Dai, M.; Yan, Y.C.; Yang, C.D. Association of intrarenal B-Cell infiltrates with clinical outcome in lupus nephritis: A study of 192 cases. Clin. Dev. Immunol. 2012, 2012, 967584. [Google Scholar] [CrossRef]
- Mendez, L.M.G.; Cascino, M.D.; Garg, J.; Katsumoto, T.R.; Brakeman, P.; Dall’Era, M.; Looney, R.J.; Rovin, B.; Dragone, L.; Brunetta, P. Peripheral blood B cell depletion after rituximab and complete response in lupus nephritis. Clin. J. Am. Soc. Nephrol. 2018, 13, 1502–1509. [Google Scholar] [CrossRef]
- Mejía-Vilet, J.M.; Córdova-Sánchez, B.M.; Uribe-Uribe, N.O.; Correa-Rotter, R.; Morales-Buenrostro, L.E. Prognostic significance of renal vascular pathology in lupus nephritis. Lupus 2017, 26, 1042–1050. [Google Scholar] [CrossRef]
- Pattanashetti, N.; Anakutti, H.; Ramachandran, R.; Rathi, M.; Sharma, A.; Nada, R.; Gupta, K.L. Effect of Thrombotic Microangiopathy on Clinical Outcomes in Indian Patients with Lupus Nephritis. Kidney Int. Rep. 2017, 2, 844–849. [Google Scholar] [CrossRef]
- Hahn, B.H.; McMahon, M.A.; Wilkinson, A.; Wallace, W.D.; Daikh, D.I.; Fitzgerald, J.D.; Karpouzas, G.A.; Merrill, J.T.; Wallace, D.J.; Yazdany, J.; et al. American College of Rheumatology guidelines for screening, treatment, and management of lupus nephritis. Arthritis Care Res. 2012, 64, 797–808. [Google Scholar] [CrossRef]
- Fanouriakis, A.; Kostopoulou, M.; Cheema, K.; Anders, H.J.; Aringer, M.; Bajema, I.; Boletis, J.; Frangou, E.; Houssiau, F.A.; Hollis, J.; et al. 2019 Update of the Joint European League against Rheumatism and European Renal Association-European Dialysis and Transplant Association (EULAR/ERA-EDTA) recommendations for the management of lupus nephritis. Ann. Rheum. Dis. 2020, 79, 713–723. [Google Scholar] [CrossRef]
- Rovin, B.H.; Adler, S.G.; Barratt, J.; Bridoux, F.; Burdge, K.A.; Chan, T.M.; Cook, H.T.; Fervenza, F.C.; Gibson, K.L.; Glassock, R.J.; et al. KDIGO 2021 Clinical Practice Guideline for the Management of Glomerular Diseases. Kidney Int. 2021, 100, S1–S276. [Google Scholar] [CrossRef] [PubMed]
- Wakasugi, D.; Gono, T.; Kawaguchi, Y.; Hara, M.; Koseki, Y.; Katsumata, Y.; Hanaoka, M.; Yamanaka, H. Frequency of class III and IV nephritis in systemic lupus erythematosus without clinical renal involvement: An analysis of predictive measures. J. Rheumatol. 2012, 39, 79–85. [Google Scholar] [CrossRef] [PubMed]
- De Rosa, M.; Rocha, A.S.; de Rosa, G.; Dubinsky, D.; Almaani, S.J.; Rovin, B.H. Low-Grade Proteinuria Does Not Exclude Significant Kidney Injury in Lupus Nephritis. Kidney Int. Rep. 2020, 5, 1066–1068. [Google Scholar] [CrossRef] [PubMed]
- Mavragani, C.P.; Fragoulis, G.E.; Somarakis, G.; Drosos, A.; Tzioufas, A.G.; Moutsopoulos, H.M. Clinical and Laboratory Predictors of Distinct Histopathogical Features of Lupus Nephritis. Medicine 2015, 94, e829. [Google Scholar] [CrossRef]
- Zabaleta-Lanz, M.E.; Muñoz, L.E.; Tapanes, F.J.; Vargas-Arenas, R.E.; Daboin, I.; Barrios, Y.; Pinto, J.A.; Bianco, N.E. Further description of early clinically silent lupus nephritis. Lupus 2006, 15, 845–851. [Google Scholar] [CrossRef]
- Chedid, A.; Rossi, G.M.; Peyronel, F.; Menez, S.; Atta, M.G.; Bagnasco, S.M.; Arend, L.J.; Rosenberg, A.Z.; Fine, D.M. Low-Level Proteinuria in Systemic Lupus Erythematosus. Kidney Int. Rep. 2020, 5, 2333–2340. [Google Scholar] [CrossRef]
- Weening, J.J.; D’Agati, V.D.; Schwartz, M.M.; Seshan, S.; Alpers, C.E.; Appel, G.B.; Balow, J.E.; Brujin, J.A.; Cook, T.; Ferrario, F.; et al. The classification of glomerulonephritis in systemic lupus erythematosus revisited. Kidney Int. 2004, 65, 521–530. [Google Scholar] [CrossRef]
- Markowitz, G.S.; D’Agati, V.D. The ISN/RPS 2003 classification of lupus nephritis: An assessment at 3 years. Kidney Int. 2007, 71, 491–495. [Google Scholar] [CrossRef]
- Yokoyama, H.; Wada, T.; Hara, A.; Yamahana, J.; Nakaya, I.; Kobayashi, M.; Kitagawa, K.; Kokubo, S.; Iwata, Y.; Yoshimoto, K.; et al. The outcome and a new ISN/RPS 2003 classification of lupus nephritis in Japanese. Kidney Int. 2004, 66, 2382–2388. [Google Scholar] [CrossRef]
- Najafi, C.C.; Korbet, S.M.; Lewis, E.J.; Schwartz, M.M.; Reichlin, M.; Evans, J. Significance of histologic patterns of glomerular injury upon long-term prognosis in severe lupus glomerulonephritis. Kidney Int. 2001, 59, 2156–2163. [Google Scholar] [CrossRef]
- Wilhelmus, S.; Alpers, C.E.; Cook, H.T.; Ferrario, F.; Fogo, A.B.; Haas, M.; Joh, K.; Noel, L.-H.; Seshan, S.V.; Brujin, J.A.; et al. The Revisited Classification of GN in SLE at 10 Years: Time to Re-Evaluate Histopathologic Lesions. J. Am. Soc. Nephrol. 2015, 26, 2938–2946. [Google Scholar] [CrossRef] [PubMed]
- Mittal, B.; Hurwitz, S.; Rennke, H.; Singh, A.K. New subcategories of class IV lupus nephritis: Are there clinical, histologic, and outcome differences? Am. J. Kidney Dis. 2004, 44, 1050–1059. [Google Scholar] [CrossRef] [PubMed]
- Hill, G.S.; Delahousse, M.; Nochy, D.; Bariéty, J. Class IV-S versus class IV-G lupus nephritis: Clinical and morphologic differences suggesting different pathogenesis. Kidney Int. 2005, 68, 2288–2297. [Google Scholar] [CrossRef] [PubMed]
- Hiramatsu, N.; Kuroiwa, T.; Ikeuchi, H.; Maeshima, A.; Kaneko, Y.; Hiromura, K.; Ueki, K.; Nojima, Y. Revised classification of lupus nephritis is valuable in predicting renal outcome with an indication of the proportion of glomeruli affected by chronic lesions. Rheumatology 2008, 47, 702–707. [Google Scholar] [CrossRef] [PubMed]
- Haring, C.M.; Rietveld, A.; van den Brand, J.A.J.G.; Berden, J.H.M. Segmental and Global Subclasses of Class IV Lupus Nephritis Have Similar Renal Outcomes. J. Am. Soc. Nephrol. 2012, 23, 149–154. [Google Scholar] [CrossRef] [PubMed]
- Schwartz, M.M.; Korbet, S.M.; Lewis, E.J. The prognosis and pathogenesis of severe lupus glomerulonephritis. Nephrol. Dial. Transplant. 2008, 23, 1298–1306. [Google Scholar] [CrossRef]
- Roufosse, C.; Simmonds, N.; Clahsen-Van Groningen, M.; Haas, M.; Henriksen, K.J.; Horsfield, C.; Loupy, A.; Mengel, M.; Perkowska-Ptasinska, A.; Rabant, M.; et al. A 2018 Reference Guide to the Banff Classification of Renal Allograft Pathology. Transplantation 2018, 102, 1795–1814. [Google Scholar] [CrossRef]
- Austin, H.A.; Muenz, L.R.; Joyce, K.M.; Antonovych, T.A.; Kullick, M.E.; Klippel, J.H.; Decker, J.L.; Balow, J.E. Prognostic factors in lupus nephritis. Contribution of renal histologic data. Am. J. Med. 1983, 75, 382–391. [Google Scholar] [CrossRef]
- Moroni, G.; Porata, G.; Raffiotta, F.; Quaglini, S.; Frontini, G.; Sacchi, L.; Binda, V.; Calatroni, M.; Reggiani, F.; Banfi, G.; et al. Beyond ISN/RPS Lupus Nephritis Classification: Adding Chronicity Index to Clinical Variables Predicts Kidney Survival. Kidney360 2022, 3, 122–132. [Google Scholar] [CrossRef]
- Anders, H.-J. Re-biopsy in lupus nephritis. Ann. Transl. Med. 2018, 6, S41. [Google Scholar] [CrossRef]
- Malvar, A.; Pirruccio, P.; Alberton, V.; Lococo, B.; Recalde, C.; Fazini, B.; Nagaraja, H.; Indrakanti, D.; Rovin, B.H. Histologic versus clinical remission in proliferative lupus nephritis. Nephrol. Dial. Transplant. 2017, 32, 1338–1344. [Google Scholar] [CrossRef] [PubMed]
- Houssiau, F.A.; Vasconcelos, C.; D’Cruz, D.; Sebastiani, G.D.; de Ramon Garrido, E.; Danieli, M.G.; Abramovicz, D.; Blockmans, D.; Mathieu, A.; Direskeneli, H.; et al. Immunosuppressive therapy in lupus nephritis: The Euro-Lupus Nephritis Trial, a randomized trial of low-dose versus high-dose intravenous cyclophosphamide. Arthritis Rheumatol. 2002, 46, 2121–2131. [Google Scholar] [CrossRef] [PubMed]
- Condon, M.; Ashby, D.; Pepper, R.; Cook, T.; Levy, J.; Griffith, M.; Cairns, T.D.; Lightstone, L. Prospective observational single-centre cohort study to evaluate the effectiveness of treating lupus nephritis with rituximab and mycophenolate mofetil but no oral steroids. Ann. Rheum. Dis. 2013, 72, 1280–1286. [Google Scholar] [CrossRef] [PubMed]
- Gunnarsson, I.; Sundelin, B.; Heimburger, M.; Forslid, J.; van Vollenhoven, R.; Lundberg, I.; Jacobson, S.H. Repeated Renal Biopsy in Proliferative Lupus Nephritis—Predictive Role of Serum C1q and Albuminuria. J. Rheumatol. 2002, 29, 693–699. [Google Scholar] [PubMed]
- Hill, G.S.; Delahousse, M.; Nochy, D.; Rémy, P.; Mignon, F.; Mery, J.-P.; Bariety, J. Predictive power of the second renal biopsy in lupus nephritis: Significance of macrophages. Kidney Int. 2001, 59, 304–316. [Google Scholar] [CrossRef]
- Askenazi, D.; Myones, B.; Kamdar, A.; Warren, R.; Perez, M.; Guzman, M.; Minta, A.; Hicks, J.M.; Kale, A. Outcomes of children with proliferative lupus nephritis: The role of protocol renal biopsy. Pediatr. Nephrol. 2007, 22, 981–986. [Google Scholar] [CrossRef]
- Grootscholten, C.; Bajema, I.M.; Florquin, S.; Steenbergen, E.J.; Peutz-Kootstra, C.J.; Goldschmeding, R.; Bijl, M.; Hagen, C.E.; van Houwelingen, H.C.; Derksen, R.H.W.M.; et al. Treatment with cyclophosphamide delays the progression of chronic lesions more effectively than does treatment with azathioprine plus methylprednisolone in patients with proliferative lupus nephritis. Arthritis Rheumatol. 2007, 56, 924–937. [Google Scholar] [CrossRef]
- Gunnarsson, I.; Sundelin, B.; Jónsdóttir, T.; Jacobson, S.H.; Henriksson, E.W.; van Vollenhoven, R.F. Histopathologic and clinical outcome of rituximab treatment in patients with cyclophosphamide-resistant proliferative lupus nephritis. Arthritis Rheumatol. 2007, 56, 1263–1272. [Google Scholar] [CrossRef]
- Wang, H.Y.; Cui, T.G.; Hou, F.F.; Ni, Z.H.; Chen, X.M.; Lu, F.M.; Xu, F.F.; Yu, X.Q.; Zhang, F.S.; Zhao, X.Z.; et al. Induction treatment of proliferative lupus nephritis with leflunomide combined with prednisone: A prospective multi-centre observational study. Lupus 2008, 17, 638–644. [Google Scholar] [CrossRef]
- Zickert, A.; Sundelin, B.; Svenungsson, E.; Gunnarsson, I. Role of early repeated renal biopsies in lupus nephritis. Lupus Sci. Med. 2014, 1, e000018. [Google Scholar] [CrossRef]
- Singh, A.; Ghosh, R.; Kaur, P.; Golay, V.; Pandey, R.; Roychowdhury, A. Protocol Renal Biopsy in Patients with Lupus Nephritis: A Single Center Experience. Saudi J. Kidney Dis. Transplant. 2014, 25, 801–807. [Google Scholar] [CrossRef] [PubMed]
- Tannor, E.K.; Bates, W.D.; Moosa, M.R. The clinical relevance of repeat renal biopsies in the management of lupus nephritis: A South African experience. Lupus 2018, 27, 525–535. [Google Scholar] [CrossRef] [PubMed]
- Esdaile, J.M.; Joseph, L.; Mackenzie, T.; Kashgarian, M.; Hayslett, J.P. The Pathogenesis and Prognosis of Lupus Nephritis: Information from Repeat Renal Biopsy. Semin. Arthritis Rheum. 1993, 23, 135–148. [Google Scholar] [CrossRef]
- Yoo, C.W.; Kim, M.-K.; Lee, H.S. Predictors of renal outcome in diffuse proliferative lupus nephropathy: Data from repeat renal biopsy. Nephrol. Dial. Transplant. 2000, 15, 1604–1608. [Google Scholar] [CrossRef][Green Version]
- Huraib, S.; Abu-Aisha, H.; Memon, N.; Al-Wakeel, J.; Al Ballaa, S.; Mitwalli, A.H.; Alam, A.; Sohabani, M.A.; Askar, A. Effect of Intravenous Cyclophosphamide Pulse Therapy on Renal Functions and Histopathology in Patients with Severe Lupus Nephritis. Saudi J. Kidney Dis. Transplant. 2000, 11, 167–173. [Google Scholar]
- Zhang, F.S.; Nie, Y.K.; Jin, X.M.; Yu, H.M.; Li, Y.N.; Sun, Y. The efficacy and safety of leflunomide therapy in lupus nephritis by repeat kidney biopsy. Rheumatol. Int. 2009, 29, 1331–1335. [Google Scholar] [CrossRef]
- Stoenoiu, M.S.; Aydin, S.; Tektonidou, M.; Ravelingien, I.; le Guern, V.; Fiehn, C.; Remy, P.; Delahousse, M.; Petera, P.; Quemeneur, T.; et al. Repeat kidney biopsies fail to detect differences between azathioprine and mycophenolate mofetil maintenance therapy for lupus nephritis: Data from the MAINTAIN Nephritis Trial. Nephrol. Dial. Transplant. 2012, 27, 1924–1930. [Google Scholar] [CrossRef]
- Wang, G.; Xu, Z.; Liu, H.; Zhou, Q.; Zhou, Z.; Jia, N. Changes in pathological pattern and treatment regimens based on repeat renal biopsy in lupus nephritis. Chin. Med. J. 2012, 125, 2890–2894. [Google Scholar]
- Alsuwaida, A.; Husain, S.; Alghonaim, M.; Aloudah, N.; Alwakeel, J.; Ullah, A.; Kfoury, H. Strategy for second kidney biopsy in patients with lupus nephritis. Nephrol. Dial. Transplant. 2012, 27, 1472–1478. [Google Scholar] [CrossRef]
- Alsuwaida, A.O. The clinical significance of serial kidney biopsies in lupus nephritis. Mod. Rheumatol. 2014, 24, 453–456. [Google Scholar] [CrossRef]
- Pagni, F.; Galimberti, S.; Goffredo, P.; Basciu, M.; Malachina, S.; Pilla, D.; Galbiati, E.; Ferrario, F. The value of repeat biopsy in the management of lupus nephritis: An international multicentre study in a large cohort of patients. Nephrol. Dial. Transplant. 2013, 28, 3014–3023. [Google Scholar] [CrossRef] [PubMed]
- Alvarado, A.S.; Malvar, A.; Lococo, B.; Alberton, V.; Toniolo, F.; Nagaraja, H.N.; Rovin, B.H. The value of repeat kidney biopsy in quiescent Argentinian lupus nephritis patients. Lupus 2014, 23, 840–847. [Google Scholar] [CrossRef] [PubMed]
- Piñeiro, G.J.; Arrizabalaga, P.; Solé, M.; Abellana, R.M.; Espinosa, G.; Cervera, R. Repeated renal biopsy—A predictive tool to assess the probability of renal flare in Lupus Nephritis. Am. J. Nephrol. 2016, 44, 439–446. [Google Scholar] [CrossRef] [PubMed]
- De Rosa, M.; Azzato, F.; Toblli, J.E.; de Rosa, G.; Fuentes, F.; Nagaraja, H.N.; Nash, R.; Rovin, B.H. A prospective observational cohort study highlights kidney biopsy findings of lupus nephritis patients in remission who flare following withdrawal of maintenance therapy. Kidney Int. 2018, 94, 788–794. [Google Scholar] [CrossRef] [PubMed]
- Parodis, I.; Adamichou, C.; Aydin, S.; Gomez, A.; Demoulin, N.; Weinmann-Menke, J.; Houssiau, F.A.; Tamirou, F. Per-protocol repeat kidney biopsy portends relapse and long-term outcome in incident cases of proliferative lupus nephritis. Rheumatology 2020, 59, 3424–3434. [Google Scholar] [CrossRef]
- Morales, E.; Trujillo, H.; Bada, T.; Alonso, M.; Gutiérrez, E.; Rodríguez, E.; Gutierrez, E.; Galindo, M.; Praga, M. What is the value of repeat kidney biopsies in patients with lupus nephritis? Lupus 2021, 30, 25–34. [Google Scholar] [CrossRef]
- Das, U.; Patel, R.; Guditi, S.; Taduri, G. Correlation between the clinical remission and histological remission in repeat biopsy findings of quiescent proliferative lupus nephritis. Lupus 2021, 30, 876–883. [Google Scholar] [CrossRef]
- Malvar, A.; Alberton, V.; Lococo, B.; Ferrari, M.; Delgado, P.; Nagaraja, H.N.; Rovin, B.H. Kidney biopsy–based management of maintenance immunosuppression is safe and may ameliorate flare rate in lupus nephritis. Kidney Int. 2020, 97, 156–162. [Google Scholar] [CrossRef]
- Parikh, S.V.; Almaani, S.; Brodsky, S.; Rovin, B.H. Update on Lupus Nephritis: Core Curriculum 2020. Am. J. Kidney Dis. 2020, 76, 265–281. [Google Scholar] [CrossRef]
- Fanouriakis, A.; Kostopoulou, M.; Alunno, A.; Aringer, M.; Bajema, I.; Boletis, J.N.; Cervera, R.; Doria, A.; Gordon, C.; Govoni, M.; et al. 2019 Update of the EULAR recommendations for the management of systemic lupus erythematosus. Ann. Rheum. Dis. 2019, 78, 736–745. [Google Scholar] [CrossRef]
- Vornicu, A.; Obrişcă, B.; Cotruta, B.; Dulămea, A.O.; Caceaune, N.; Ismail, G. Case Report: Hyponatremia Secondary to Desmopressin Administration Prior to Percutaneous Kidney Biopsy: A Case-Based Review. Front. Med. 2021, 8, 696904. [Google Scholar] [CrossRef] [PubMed]
- Birmingham, D.J.; Merchant, M.; Waikar, S.S.; Nagaraja, H.; Klein, J.B.; Rovin, B.H. Biomarkers of lupus nephritis histology and flare: Deciphering the relevant amidst the noise. Nephrol. Dial. Transplant. 2017, 32, i71–i79. [Google Scholar] [CrossRef] [PubMed]
- Birmingham, D.J.; Hebert, L.A. The Complement System in Lupus Nephritis. Semin. Nephrol. 2015, 35, 444–454. [Google Scholar] [CrossRef] [PubMed]
- Wilson, H.R.; Medjeral-Thomas, N.R.; Gilmore, A.C.; Trivedi, P.; Seyb, K.; Farzaneh-Far, R.; Gunnarsson, I.; Zickert, A.; Cairns, T.D.; Lightstone, L.; et al. Glomerular membrane attack complex is not a reliable marker of ongoing C5 activation in lupus nephritis. Kidney Int. 2019, 95, 655–665. [Google Scholar] [CrossRef] [PubMed]
- Caster, D.J.; Powell, D.W. Utilization of Biomarkers in Lupus Nephritis. Adv. Chronic Kidney Dis. 2019, 26, 351–359. [Google Scholar] [CrossRef]
- Mejia-Vilet, J.M.; Zhang, X.L.; Cruz, C.; Cano-Verduzco, M.L.; Shapiro, J.P.; Nagaraja, H.N.; Morales-Buenrostro, L.E.; Rovin, B.H. Urinary soluble CD163: A novel noninvasive biomarker of activity for lupus nephritis. J. Am. Soc. Nephrol. 2020, 31, 1335–1347. [Google Scholar] [CrossRef]
- Moran, S.M.; Scott, J.; Clarkson, M.R.; Conlon, N.; Dunne, J.; Griffin, M.D.; Griffin, T.P.; Groarke, E.; Holian, J.; Judge, C.; et al. The clinical application of urine soluble CD163 in ANCA-associated vasculitis. J. Am. Soc. Nephrol. 2021, 32, 2920–2932. [Google Scholar] [CrossRef]
- Gong, S.; Jin, S.; Li, Y.; Jiang, W.; Zhang, Z.; Shen, Z.; Wang, J.; Zhou, H.; Liu, X.; Xu, X.; et al. Urinary Soluble CD163 Levels Predict IgA Nephropathy Remission Status. Front. Immunol. 2021, 12, 769802. [Google Scholar] [CrossRef]
- Zhang, T.; Li, H.; Vanarsa, K.; Gidley, G.; Mok, C.C.; Petri, M.; Saxena, R.; Mohan, C. Association of Urine sCD163 With Proliferative Lupus Nephritis, Fibrinoid Necrosis, Cellular Crescents and Intrarenal M2 Macrophages. Front. Immunol. 2020, 11, 671. [Google Scholar] [CrossRef]


| Renal Compartment Involved | Clinical Context and Histological Aspect |
|---|---|
| (I) Glomerular compartment | |
| Lupus nephritis | Mesangial and subendothelial immune complex deposits (±subepithelial) associated with mesangial, endocapillary, and extracapillary hypercellularity. In the setting of pure membranous LN, there are mainly subepithelial immune complex deposits that may be accompanied by mesangial deposits and hypercellularity. |
| Crescentic necrotizing GN | Can occur in the setting of proliferative lupus nephritis. There are situations when there is a discrepancy between the magnitude of immune complex deposition (resembling a “pauciimune” appearance) and the severity of necrotizing lesions (frequently associated with ANCA positivity and possibly sharing some common pathogenic mechanism). |
| Lupus podocytopathy | A glomerular pattern of injury that is similar to MCD/FSGS with extensive foot process effacement (>70%). Can associate mesangial immune deposits and hypercellularity but NO subendothelial or subepithelial immune complex deposition. |
| Thrombotic microangiopathy | Associated with anti-phospholipid syndrome, TTP/HUS, or malignant HTA, or with an overlap with systemic sclerosis. Generalized endothelial dysfunction (endotheliosis), thrombi formation in small vessels (glomeruli and/or arterioles), the widening of subendothelial space, and mesangiolysis. |
| (II) Tubulo-interstitial compartment | |
| Tubulo-interstitial nephritis | Usually, tubulo-interstitial injury correlates with glomerular involvement, but, in rare cases, an isolated tubulo-interstitial nephritis can be encountered. |
| Tubulitis | Lymphocyte infiltration between the tubular basement membrane and the basolateral membrane of tubular epithelial cells; granular IgG immune complex deposition at this site. |
| Proximal tubular epithelial cells vacuolization | Intracytoplasmic vacuolization of tubular epithelial cells usually associated with massive proteinuria. |
| Acute tubular necrosis | Associated with massive proteinuria and/or red blood cell casts. |
| Tubular atrophy and interstitial fibrosis | Chronic, irreversible lesions as a consequence of active glomerular, tubulo-interstitial, or vascular lesions. |
| (III) Vascular compartment | |
| Lupus vasculopathy | Necrotizing changes in the vessel wall associated with abundant immune deposits causing luminal narrowing or occlusion. There is often positivity in immunofluorescence for fibrin, immunoglobulin, and complement with the absence of inflammatory cells. |
| Thrombotic microangiopathy | Generalized endothelial dysfunction (endotheliosis), thrombi formation in small vessels (glomeruli and/or arterioles), the widening of subendothelial space, and mesangiolysis. Histologically, it is identical to TTP/HUS lesions. |
| True renal vasculitis | The involvement of the small- and medium-sized arteries; there is a prominent inflammatory cell infiltrate with mural inflammation and fibrinoid necrosis resembling microscopic polyangiitis. |
| Uncomplicated vascular immune deposits—UVIDs | Lesions with vascular immune deposits that, when visualized by light microscopy, reveal that, despite the vessels appearing normal, immune complex deposits are present in the walls of arterioles and to a lesser extent, in the veins. No thrombosis or inflammatory infiltrate is present, and immunofluorescence is positive for immunoglobulins and complement. |
| Arteriosclerosis (AS) | The thickening of the medial layer of the interstitial arteries and/or arteriolar hyalinosis. |
| Study | Number of pts. | Creatinine at Biopsy | Proteinuria at Biopsy | Hematuria at Biopsy | Class of LN | Mean AI and CI |
|---|---|---|---|---|---|---|
| Mavragani (2015) [34] | 297 | Creatinine >1.2 mg/dL -Cls. II: 23.3% -Cls. III/IV: 33.3% -Cls. V: 11.1% | <0.25 mg/day -Cls. II: 15.9% -Cls. III/IV: 7.3% -Cls. V: 3.3% 0.25–0.50 mg/day -Cls. II: 22.7% -Cls. III/IV: 16.8% -Cls. V: 15% | -Cls. II: 45.4% -Cls. III/IV: 75.1% -Cls V: 38.9% | Cls. II: 47 pt. Cls. III/IV: 188 pt. Cls: V: 62 pt. | NR |
| Wakasugi (2012) [32] | 86 (no clinical signs) | 0.6 mg/dL (0.3–1.0) | 0 (0–350) mg/day | No pt. with active urinary sediment | Cls. I: 25 pt. Cls. II: 28 pt. Cls: III ± V: 8 pt. Cls: IV ± V: 5 pt. Cls: V: 9 pt. | NR |
| Zabaleta-Lanz (2006) [35] | 30 (silent LN) | CrCl: 96.08 ± 17.78 mL/min | 140 ± 80.7 mg/day | Normal urinary sediment | Cls. I: 2 pt. Cls. II: 19 pt. Cls. III: 6 pt. Cls. IV: 1 pt. Cls.: V: 2 pt. | AI: 2.9 ± 1.2 CI: 1.9 ± 1 |
| Chedid (2020) [36] | 87 | -Isolated low-level proteinuria (52 pts.): 0.7 ± 0.2 mg/dL -Low-level proteinuria with AKI ± µ hem. (35 pts.) 1.5 ± 1.1 mg/dL | -Isolated low-level proteinuria: 0.6 ± 0.2 g/day -Low-level proteinuria with AKI ± µ hem. (35 pts.) 0.5 ± 0.2 g/day | -Low-level proteinuria with AKI ± µ hem. 51% of pts. with µ hem. | -Isolated low-level proteinuria: Cls. I/II—23% Cls. III/IV/V—53% -Low-level proteinuria with AKI ± µ hem. Cls. I/II—20% Cls. III/IV/V—62% | -Isolated low-level proteinuria: AI: 4.5 ± 2.1 CI: 2.7 ± 2.5 -Low-level proteinuria with AKI ± µ hem. AI: 5.5 ± 2.4 CI: 2.1 ± 2.4 |
| De Rosa (2020) [33] | 46 | 0.7 mg/dL (0.4–1.3) | Proteinuria: <0.5 g/day Median: 0.23 g/day (0–0.42) | All had glomerular hematuria | Cls. II: 10.9% Cls. III: 30.4% Cls. IV: 45.7% Cls. V: 4.3% Cls. III–IV + V: 8.7% Cls. VI: 0% | AI: 6 (0–14) CI: 2 (0–4) |
| WHO 1974 | WHO 1982 | ISN/RPS 2003 | ISN/RPS 2018 | |
|---|---|---|---|---|
| Class I | Normal glomeruli | Normal glomeruli a. Nil (by LM/IF/EM) b. Normal by LM, but deposits by IF/EM | Minimal mesangial LN Normal by LM, mesangial deposits by IF/EM | Minimal mesangial LN Normal by LM, mesangial deposits by IF/EM |
| Class II | Purely mesangial disease a. Normocellular mesangium by LM but mesangial deposits by IF/EM b. Mesangial hypercellularity with mesangial deposits | Pure mesangial alterations a. Mild hypercellularity b. Moderate hypercellularity | Mesangial proliferative LN Mesangial hypercellularity with mesangial deposits by IF/EM | Mesangial proliferative LN Mesangial hypercellularity with mesangial deposits by IF/EM |
| Class III | Focal proliferative GN (<50%) | Focal segmental GN a. With “active” necrotizing lesion b. With “active” and sclerosing lesions c. With sclerosing lesions | Focal LN (<50%) Class III (A) Class III (A/C) Class III (C) | Focal LN (<50%) Modified NIH lupus nephritis activity and chronicity scoring system to be used instead of the A, C, and A/C parameters |
| Class IV | Diffuse proliferative GN (≥50%) | Diffuse GN a. Without segmental lesions b. With “active” necrotizing lesion c. With “active” and sclerosing lesions d. With sclerosing lesions | Diffuse LN (≥50%) Class IV-S (A) Class IV-G (A) Class IV-S (A/C) Class IV-G (A/C) Class IV-S (C) ClassIV-G (C) | Diffuse LN (≥50%) Elimination of S and G subdivisions Modified NIH lupus nephritis activity and chronicity scoring system to be used instead of the A, C, and A/C parameters |
| Class V | Membranous GN | Diffuse membranous GN a. Pure membranous GN b. Associated with lesions of class II c. Associated with lesions of class III d. Associated with lesions of class IV | Membranous LN | Membranous LN |
| Class VI | Not defined | Advanced sclerosing GN | Advanced sclerosing LN | Advanced sclerosing LN |
| Author (Year) | Nr. of pts. | Interval from 1st to 2nd Biopsy (mo) | Indications to Repeat Biopsy | Proteinuria at 1st and 2nd Biopsy (g/24 h) | Class of LN at 1st Biopsy | AI at 1st and 2nd Biopsy (Mean) | CI at 1st and 2nd Biopsy (Mean) |
|---|---|---|---|---|---|---|---|
| Gunnarsson (2002) [54] | 18 | 6 | Protocol | 1st: 1.6 (0–19.8) 2nd: 0.5 (0–3.1) | III-7 pts. IV-11 pts. | 1st: 8 (4–13) 2nd: 4 (0–13) | 1st: 1 (0–4) 2nd: 2 (0–4) |
| Hill (2001) [55] | 71 | 6 | Protocol | NR | III-9 pts. IV-55 pts. III + V-7 pts. | 1st: AI ≤ 10–16 pts. and >10–29 pt. 2nd: AI ≤ 4–29 pts. and >4 22 pts., ≤1–12 pts. and >6–15 pts. | 1st: CI ≤ 2–28 pts. and >2–17 pts. 2nd: CI ≤ 2.5–24 pts., >2.5–27 pts. |
| Askenazi (2007) [56] | 25 (ped. pop.) | 9 | Protocol | 1st: 3.2 ± 2.6 2nd: 0.6 ± 0.8 (p < 0.002) | IV ± V-25 pts. | 1st: A-68% and A/C-32% 2nd: A-53% and A/C-29% | 1st: C-0% 2nd: C-18% |
| Grootscholten (2007) [57] | 39 | 24 | Protocol | 1st: 3.6 (2.6–7.1) 2nd: 0.2 (0.1–2.2) | III-2 pts. IV-34 pts. | 1st: 8.0 (6.0–12.0) 2nd: 2.7 (2–3.3) | 1st: 2.7 (2.0–3.3) 2nd: 3.3 (2.7–4.7) |
| Gunnarsson (2007) [58] | 7 | 3–12 | Protocol | 1st: 2.7 (0.2–5.9) 2nd: 0.8 (0.1–1.8) | III-1 pts. IV-6 pts. | 1st: mean 6.42 2nd: mean 2.57 | 1st: mean 4 2nd: mean 4.14 |
| Wang (2008) [59] | 13 | 6 | Protocol | NR for the pts. with repeat biopsies | IV-10/13 III-3/13 | 1st: 8.9 2nd: 2.2 | 1st: 0.8 2nd: 2.8 |
| Zickert (2014) [60] | 67 | 8 (5–15) | Protocol | 1st: 1.4 (0–8.4) 2nd: 0.5 (0–3.6) | III-21 pts. IV-27 pts. III-IV/V-9 pts. V-10 pts. | 1st: 5 (0–13) 2nd: 2 (0–12) | 1st: 1 (0–6) 2nd: 1.5 (0–8) |
| Singh (2014) [61] | 40 | 6 | Protocol | 1st: 2.5 ± 1.8 2nd: 0.9 ± 1.1 | IV-70% | 1st: 6.05 ± 2.9 2nd: 2.5 ± 2.5 | 1st: 0.68 ± 1.23 2nd: 2.52 ± 2.9 |
| Malvar (2017) [51] | 69 | 6.6 ± 0.7 | Protocol | 1st: 2.9 ± 2.1 2nd: 1.1 ± 1.3 | III-20 pts. IV-49 pts. | 1st: 8.5 ± 3.1 2nd: 3.5 ± 2.4 | 1st: 2.6 ± 1.7 2nd: 4 ± 1.5 |
| Tannor (2018) [62] | 31 | 6.4 (6.0–7.9) | Protocol | NR | 24/31 pts.—prolif. class | 1st: 7 (4–9) 2nd: 2 (1–4) | 1st: 2.7 ± 1.7 2nd: 3.7 ± 1.6 |
| Author (Year) | Nr. of pts. | Interval from 1st to 2nd Biopsy (mo) | Indications to Repeat Biopsy | Proteinuria at 1st and 2nd Biopsy (g/24 h) | Class of LN at 1st Biopsy | AI at 1st and 2nd Biopsy (Mean) | CI at 1st and 2nd Biopsy (Mean) |
|---|---|---|---|---|---|---|---|
| Esdaile (1993) [63] | 42 | 25 | Protocol | 1st: 0.99 2nd: 0.5 | II-2 pts. III-4 pts. IV-31 pts. V-5 pts. | 1st: 7 2nd: 2 | 1st: 2 2nd: 2 |
| Yoo (2000) [64] | 21 | 43 ± 31 | Clinical/ Protocol | Pts. with clinical progression: 1st: 2.9 ± 1.2 2nd: 2.1 ± 1.2 Pts. without clinical progression: 1st: 1.3 ± 0.8 2nd: 2.5 ± 3.4 | IV-21 pts. | Pts. with clinical progression: 1st: 2.9 ± 1.2 2nd: 2.1 ± 1.1 Pts. without clinical progression: 1st: 1.3 ± 0.8 2nd: 1.5 ± 0.8 | GS(%) Pts. with clinical progression: 1st: 5.1 ± 7.1 2nd: 49 ± 29.4 Pts. without clinical progression: 1st: 1.7 ± 3 2nd: 8.9 ± 10.4 |
| Huraib (2000) [65] | 21 | 24 | Protocol | 1st: 2.81 ± 2.4 2nd: 1.39 ± 1.5 | IV-17 pts. V-4 pts. | 1st: 10.7 ± 3.6 2nd: 7.8 ± 3.3 | 1st: 3.2 ± 1.9 2nd: 6.3 ± 3.5 |
| Zhang (2009) [66] | 31 | 12 | Protocol | 1st: 4.8 ± 2.7 2nd: 1.8 ± 1.2 | II-1 pt. III-11 pts. IV-10 pts. V-9 pts. | 1st: 12.6 ± 5.8 2nd: 4.8 ± 2.1 | 1st: 2.4 ± 1.5 2nd: 2.6 ± 1.8 |
| Stoenoiu (2011) [67] | 30 | 24 ± 6 | Protocol | AZA group: 1st: 3.3 ± 2.8 2nd: 0.5 ± 1.1 MMF group: 1st: 3.5 ± 3.0 2nd: 0.6 ± 1.1 | AZA group IV ± V-10 pts. MMF group IV ± V-11 pts. | AZA group 1st: 10 (3–14) 2nd: 2 (0–14) MMF group 1st: 8.5 (5–16) 2nd: 3.5 (0–9) | AZA group 1st: 1 (0–3) 2nd: 2.5 (0–5) MMF group 1st: 1 (0–3) 2nd: 2.5 (1–7) |
| Wang (2012) [68] | 44 | NR | Clinical/ Protocol | 1st: 3.0 ± 1.8 2nd: 2.8 ± 2.1 | II-5 pts. III-4 pts. IV-22 pts. V-3 pts. III/IV + V-16 pts. | 1st: 5.8 ± 3.0 2nd: 4.7 ± 2.6 | 1st: 1.8 ± 1.2 2nd: 3.4 ± 2.0 |
| Alsuwaida (2012) [69] | 77 | 12–18 | Protocol | 1st: 1.3 (0.53–3.8) 2nd: N/A | II-8 pts. III-27 pts. IV 28 pts. V-7 pts. III/IV + V-6 pts. VI-1 pts. | Entire cohort 1st: 3 (1–9) Pts. with CR 1st: 2 (1–9) 2nd: 1 (0–2) Pts. with PR 1st: 3 (1–9) 2nd: 2 (0–3) Pts. with NR 1st: 4 (0–8) 2nd: 3 (1–9) | Entire cohort 1st: 3 (2–5) Pts. with CR 1st: 2.5 (2–4.5) 2nd: 4 (2–7) Pts. with PR 1st: 4 (2–6) 2nd: 5 (2–6) Pts. with NR 1st: 3 (2–5) 2nd: 6 (5–7) |
| Alsuwaida (2013) [70] | 11 pts. with 3 serial biopsies each | 1st–2nd: 24 mo 2nd–3rd: 42 mo | Clinical | 1st: 1.1 ± 0.8 2nd: 1.6 ± 1.4 3rd: 2.6 ± 1.9 | II-3 pts. III-1 pt. IV-6 pts. V-1 pt. | 1st: 3.1 ± 4.2 2nd: 5 ± 4.3 3rd: 4.9 ± 4.9 | 1st: 2.5 ± 2.5 2nd: 5.8 ± 2.3 3rd: 5.3 ± 2.9 |
| Pagni (2013) [71] | 142 | 4.9 years (±4.9) | Clinical/ Protocol | 1st: 3.5 ± 3.9 2nd: 3.1 ± 3.1 | II-18 pts. III-15 pts. IV-72 pts. V-24 pts. Mixed-13 pts. | 1st: 4.5 ± 3.8 2nd: 3.3 ± 3.3 | 1st: 1.5 ± 1.8 2nd: 3.6 ± 2.7 |
| Alvarado (2014) [72] | 25 | 2nd: 6 3rd: at least 42 mo | Protocol | 1st: 3.3 ± 2.09 2nd: 1.1 ± 0.7 3rd: 0.3 ± 0.2 | N/A | 1st: 8.9 ± 4.1 2nd: 4.3 ± 2.7 3rd: 0.96 ± 1.2 | 1st: 2.8 ± 1.4 2nd: 4.2 ± 1.8 3rd: 4.3 ± 1.6 |
| Pineiro (2016) [73] | 35 | 30 ± 9 | Clinical | 1st: 4.1 ± 2.8 2nd: 0.6 ± 1.1 | III and IV-33 pts. IV + V-2 pts. | 1st: 9.9 ± 3.4 2nd: 1.3 ± 1.9 | 1st: 1.5 ± 1.6 2nd: 2.4 ± 1.7 |
| De Rosa (2018) [74] | 36 | min. 36 mo. of IS | Protocol | 1st: 2.1 (0.2–20) 2nd: 0.11 (0.03–0.48) | III-13 pts. (+V-4/13) IV-23 pts. | 1st: 8 (3–16) 2nd: 0 (0–5) | 1st: 3 (0–6) 2nd: 3 (0–5) |
| Parodis (2020) [75] | 42 | 24.3 | Protocol | 1st: 2.0 (1.0–3.5) 2nd: 0.2 (0.1–0.7) | III ± V-12 pts. IV ± V 30 pts. | 1st: 8.5 (6.0–10.3) 2nd: 3.0 (1.0–4.3) | 1st: 1.0 (0.0–3.0) 2nd: 2.0 (2.0–4.0) |
| Morales (2021) [76] | 26 | 71 ± 10 | Clinical | 1st: 2.8 (1.1–4.31) 2nd: 2.83 (1.79–4.88) | II-8 pts. III-2 pts. IV-10 pts. V-3 pts. III/IV + V-3 pts. | 1st: 2 (0–8.2) 2nd: 1 (0–4.5) | 1st: 1 (0–2) 2nd:3 (2–4.2) |
| Das (2021) [77] | 29 | 61 ± 18 | Protocol | 1st: 3.9 ± 2.1 2nd: 0.24 ± 0.1 | III-3 pts. IV-25 pts. IV + V-1 pt. | 1st: 8 (3–20) 2nd: 93.1% with AI of 0 | 1st: 1 (0–3) 2nd: 2 (0–3) |
| Serum Biomarkers | Urine Biomarkers |
|---|---|
| Serum creatinine Anti-dsDNA ab Anti-C1q ab Anti-nucleosome ab Serum C3 and C4 Interferon signature Blood neutrophil signature | Proteinuria Hematuria NGAL KIM-1 MCP-1 TWEAK VCAM-1 Osteoprotegerin IL-6/IL-8/IL-17 Transferrin Ceruloplasmin usCD163 |
Publisher’s Note: MDPI stays neutral with regard to jurisdictional claims in published maps and institutional affiliations. |
© 2022 by the authors. Licensee MDPI, Basel, Switzerland. This article is an open access article distributed under the terms and conditions of the Creative Commons Attribution (CC BY) license (https://creativecommons.org/licenses/by/4.0/).
Share and Cite
Obrișcă, B.; Vornicu, A.; Procop, A.; Herlea, V.; Terinte-Balcan, G.; Gherghiceanu, M.; Ismail, G. A Histology-Guided Approach to the Management of Patients with Lupus Nephritis: Are We There Yet? Biomedicines 2022, 10, 1409. https://doi.org/10.3390/biomedicines10061409
Obrișcă B, Vornicu A, Procop A, Herlea V, Terinte-Balcan G, Gherghiceanu M, Ismail G. A Histology-Guided Approach to the Management of Patients with Lupus Nephritis: Are We There Yet? Biomedicines. 2022; 10(6):1409. https://doi.org/10.3390/biomedicines10061409
Chicago/Turabian StyleObrișcă, Bogdan, Alexandra Vornicu, Alexandru Procop, Vlad Herlea, George Terinte-Balcan, Mihaela Gherghiceanu, and Gener Ismail. 2022. "A Histology-Guided Approach to the Management of Patients with Lupus Nephritis: Are We There Yet?" Biomedicines 10, no. 6: 1409. https://doi.org/10.3390/biomedicines10061409
APA StyleObrișcă, B., Vornicu, A., Procop, A., Herlea, V., Terinte-Balcan, G., Gherghiceanu, M., & Ismail, G. (2022). A Histology-Guided Approach to the Management of Patients with Lupus Nephritis: Are We There Yet? Biomedicines, 10(6), 1409. https://doi.org/10.3390/biomedicines10061409

