Long-Term Results of Pars Plana Vitrectomy with Internal Limiting Membrane Peeling for Vitreomacular Traction Syndrome: A Prospective Investigation in Central Asian Population
Abstract
1. Introduction
2. Materials and Methods
2.1. Vitreomacular Traction Syndrome Classification
2.2. Participants
2.3. Preoperative and Postoperative Evaluations
2.4. Surgery and Follow-Up
2.5. Statistical Analysis
3. Results
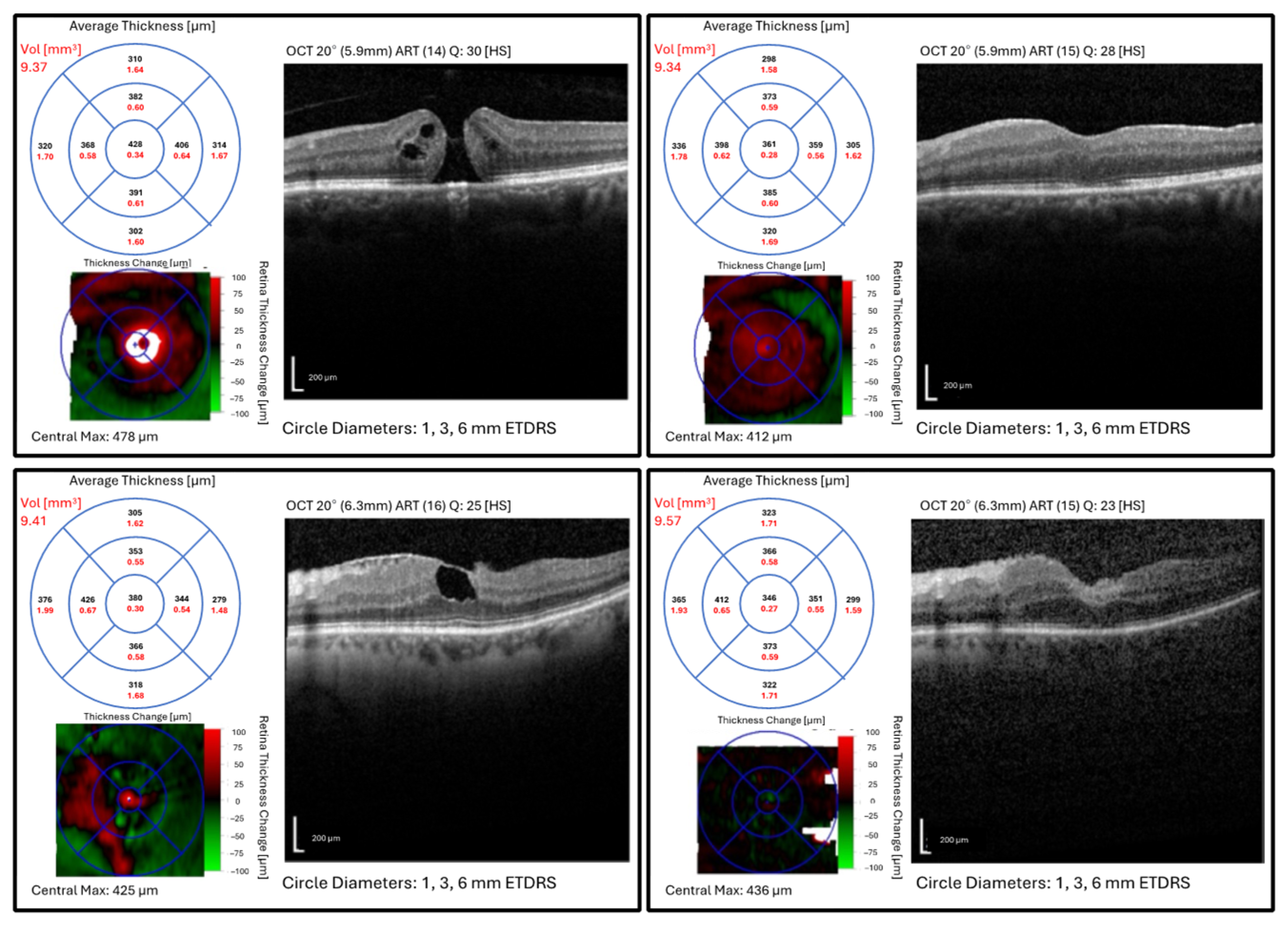
3.1. Vitreomacular Traction
3.2. Lamellar Macular Hole
3.3. Full-Thickness Macular Hole
4. Discussion
5. Conclusions
Supplementary Materials
Author Contributions
Funding
Institutional Review Board Statement
Informed Consent Statement
Data Availability Statement
Acknowledgments
Conflicts of Interest
References
- Duker, J.S.; Kaiser, P.K.; Binder, S.; de Smet, M.D.; Gaudric, A.; Reichel, E.; Sadda, S.R.; Sebag, J.; Spaide, R.F.; Stalmans, P. The International Vitreomacular Traction Study Group classification of vitreomacular adhesion, traction, and macular hole. Ophthalmology 2013, 120, 2611–2619. [Google Scholar] [CrossRef] [PubMed]
- Menzler, J.; Neubauer, A.S.; Haritoglou, C.; Jackson, T.L. Incidence and prevalence of vitreomacular traction with and without macular hole in Germany. Clin. Ophthalmol. 2019, 13, 177–188. [Google Scholar] [CrossRef]
- Cacciamani, A.; Cosimi, P.; Ripandelli, G.; Di Nicola, M.; Scarinci, F. Epiretinal membrane surgery: Structural retinal changes correlate with the improvement of visual function. J. Clin. Med. 2020, 10, 90. [Google Scholar] [CrossRef] [PubMed]
- Govetto, A.; Virgili, G.; Rodriguez, F.J.; Figueroa, M.S.; Sarraf, D.; Hubschman, J.P. Functional and anatomical significance of the ectopic inner foveal layers in eyes with idiopathic epiretinal membranes: Surgical results at 12 months. Retina 2019, 39, 347–357. [Google Scholar] [CrossRef] [PubMed]
- Jackson, T.L.; Nicod, E.; Simpson, A.; Angelis, A.; Grimaccia, F.; Kanavos, P. Symptomatic vitreomacular adhesion. Retina 2013, 33, 1503–1511. [Google Scholar] [CrossRef] [PubMed]
- Lee, E.K.; Lee, S.Y.; Lee, J.Y.; Heo, J.W.; Yu, H.G.; Chung, H. Anatomical configurations of vitreomacular traction syndrome: Influence on clinical course and surgical outcomes. Graefe’s Arch. Clin. Exp. Ophthalmol. 2019, 257, 1631–1639. [Google Scholar] [CrossRef]
- Bringmann, A.; Unterlauft, J.D.; Wiedemann, R.; Rehak, M.; Wiedemann, P. Morphology of partial-thickness macular defects: Presumed roles of Müller cells and tissue layer interfaces of low mechanical stability. Int. J. Retin. Vitr. 2020, 6, 28. [Google Scholar] [CrossRef] [PubMed]
- Ittarat, M.; Somkijrungroj, T.; Chansangpetch, S.; Pongsachareonnont, P. Literature review of surgical treatment in idiopathic full-thickness macular hole. Clin. Ophthalmol. 2020, 14, 2171–2183. [Google Scholar] [CrossRef]
- Chang, W.C.; Lin, C.; Lee, C.H.; Sung, T.L.; Tung, T.H.; Liu, J.H. Vitrectomy with or without internal limiting membrane peeling for idiopathic epiretinal membrane: A meta-analysis. PLoS ONE 2017, 12, e0179105. [Google Scholar] [CrossRef] [PubMed]
- Pradhan, D.; Agarwal, L.; Joshi, I.; Kushwaha, A.; Aditya, K.; Kumari, A. Internal limiting membrane peeling in macular hole surgery. Ger. Med. Sci. 2022, 20, Doc07. [Google Scholar]
- Danielescu, C.; Stanca, H.T.; Balta, F. The management of lamellar macular holes: A review. J. Ophthalmol. 2020, 2020, 3526316. [Google Scholar] [CrossRef]
- Schulze-Bonsel, K.; Feltgen, N.; Burau, H.; Hansen, L.; Bach, M. Visual Acuities “Hand Motion” and “Counting Fingers” Can Be Quantified with the Freiburg Visual Acuity Test. Investig. Ophthalmol. Vis. Sci. 2006, 47, 1236–1240. [Google Scholar] [CrossRef] [PubMed]
- Blautain, B.; Glacet-Bernard, A.; Blanco-Garavito, R.; Toutee, A.; Jung, C.; Ortoli, M.; Souied, E.H. Long-term follow-up of retinal sensitivity assessed by microperimetry in patients with internal limiting membrane peeling. Eur. J. Ophthalmol. 2022, 32, 539–545. [Google Scholar] [CrossRef] [PubMed]
- Wang, J.L.; Wang, Y.L. Long-Term Outcome of Vitrectomy with Suitable Internal Limiting Membrane Peeling and Air Tamponade for Highly Myopic Foveoschisis-Associated Lamellar Macular Hole. J. Ophthalmol. 2020, 2020, 2074037. [Google Scholar] [CrossRef] [PubMed]
- Rotsos, T.; Sagoo, M.S.; daCruz, L.; Andrews, R.; Dowler, J. Intravitreal anti-VEGF treatment in eyes with combined choroidal neovascularisation and vitreomacular traction syndrome. Br. J. Ophthalmol. 2010, 94, 1205–1210. [Google Scholar] [CrossRef] [PubMed][Green Version]
- Govers, B.M.; van Huet, R.A.C.; Roosing, S.; Keijser, S.; Los, L.I.; den Hollander, A.I.; Klevering, B.J. The genetics and disease mechanisms of rhegmatogenous retinal detachment. Prog. Retin. Eye Res. 2023, 97, 101158. [Google Scholar] [CrossRef]
- Rezende, F.A.; Ferreira, B.G.; Rampakakis, E.; Steel, D.H.; Koss, M.J.; Nawrocka, Z.A.; Bacherini, D.; Rodrigues, E.B.; Meyer, C.H.; Caporossi, T.; et al. Surgical classification for large macular hole: Based on different surgical techniques results: The CLOSE study group. Int. J. Retin. Vitr. 2023, 9, 4. [Google Scholar] [CrossRef] [PubMed]
- Michalewska, Z.; Michalewski, J.; Adelman, R.A.; Nawrocki, J. Inverted internal limiting membrane flap technique for large macular holes. Ophthalmology 2010, 117, 2018–2025. [Google Scholar] [CrossRef]
- Felfeli, T.; Mandelcorn, E.D. Macular Hole Hydrodissection: Surgical Technique for the Treatment of Persistent, Chronic, and Large Macular Holes. Retina 2019, 39, 743–752. [Google Scholar] [CrossRef]
- Karanfil, F.C.; Toklu, Y.; Yorgun, M.A. Amniotic Membrane Transplantation for Macular Hole Closure. Beyoglu Eye J. 2023, 8, 55–59. [Google Scholar] [CrossRef] [PubMed] [PubMed Central]
- Moysidis, S.N.; Koulisis, N.; Adrean, S.D.; Charles, S.; Chetty, N.; Chhablani, J.K.; Cortes, J.C.; Embabi, S.N.; Gordon, C.; Gregori, N.Z.; et al. Autologous Retinal Transplantation for Primary and Refractory Macular Holes and Macular Hole Retinal Detachments: The Global Consortium. Ophthalmology 2021, 128, 672–685. [Google Scholar] [CrossRef]
- Rossi, T.; Bacherini, D.; Caporossi, T.; Telani, S.; Iannetta, D.; Rizzo, S.; Moysidis, S.N.; Koulisis, N.; Mahmoud, T.H.; Ripandelli, G. Macular hole closure patterns: An updated classification. Graefe’s Arch. Clin. Exp. Ophthalmol. 2020, 258, 2629–2638. [Google Scholar] [CrossRef] [PubMed]
- Chen, X.; Li, M.; You, R.; Wang, W.; Wang, Y. Efficacy and Safety of Ocriplasmin Use for Vitreomacular Adhesion and Its Predictive Factors: A Systematic Review and Meta-Analysis. Front. Med. 2022, 8, 759311. [Google Scholar] [CrossRef] [PubMed] [PubMed Central]
- Wons, J.; Pfister, I.B.; Anastasi, S.; Steinhauer, S.; Niderprim, S.A.; Garweg, J.G. Functional Outcome After Macular Hole Surgery: Comparison of Standard Perimetry with Microperimetry. Clin. Ophthalmol. 2022, 16, 2235–2243. [Google Scholar] [CrossRef] [PubMed]
- Kulmaganbetov, M.; Morgan, J.E. Application of Texture Analysis in Retinal OCT Imaging. In Handbook of Texture Analysis; CRC Press: Boca Raton, FL, USA, 2024; pp. 154–179. [Google Scholar]
- Kulmaganbetov, M.; Bevan, R.J.; Anantrasirichai, N.; Achim, A.; Erchova, I.; White, N.; Albon, J.; Morgan, J.E. Textural Feature Analysis of Optical Coherence Tomography Phantoms. Electronics 2022, 11, 669. [Google Scholar] [CrossRef]
- Ye, T.; Yu, J.G.; Liao, L.; Liu, L.; Xia, T.; Yang, L.L. Macular hole surgery recovery with and without face-down posturing: A meta-analysis of randomized controlled trials. BMC Ophthalmol. 2019, 19, 265. [Google Scholar] [CrossRef]
- Zhang, Y.; Chen, X.; Hong, L.; Yan, Y.; Zeng, M.; Huang, Z.; Liu, R.; Ding, Q. Facedown positioning after vitrectomy will not facilitate macular hole closure based on swept-source optical coherence tomography imaging in gas-filled eyes: A Prospective, Randomized Comparative Interventional Study. Retina 2019, 39, 2353–2359. [Google Scholar] [CrossRef] [PubMed]
- Steel, D.H.; Lotery, A.J. Idiopathic vitreomacular traction and macular hole: A comprehensive review of pathophysiology, diagnosis, and treatment. Eye 2013, 27 (Suppl. S1), S1–S21. [Google Scholar] [CrossRef] [PubMed]
- Haave, H.; Petrovski, B.É.; Zając, M.; Lumi, X.; Melekidou, W.; Lytvynchuk, L.; Ruban, A.; Znaor, L.; Nawrocki, J.; Nawrocka, Z.A.; et al. Outcomes from the Retrospective Multicenter Cross-Sectional Study on Lamellar Macular Hole Surgery. Clin. Ophthalmol. 2022, 16, 1847–1860. [Google Scholar] [CrossRef] [PubMed]
- Parisi, G.; Fallico, M.; Maugeri, A.; Barchitta, M.; Agodi, A.; Russo, A.; Longo, A.; Avitabile, T.; Castellino, N.; Bonfiglio, V.; et al. Primary vitrectomy for degenerative and tractional lamellar macular holes: A systematic review and meta-analysis. PLoS ONE 2021, 16, e0246667. [Google Scholar] [CrossRef] [PubMed]
- Spiteri Cornish, K.; Lois, N.; Scott, N.W.; Burr, J.; Cook, J.; Boachie, C.; Tadayoni, R.; la Cour, M.; Christensen, U.; Kwok, A.K. Vitrectomy with internal limiting membrane peeling versus no peeling for idiopathic full-thickness macular hole. Ophthalmology 2014, 121, 649–655. [Google Scholar] [CrossRef]
- Shao, L.; Zhang, C.; Dong, L.; Zhou, W.D.; Zhang, R.H.; Wei, W.B. Prevalence and Associations of Vitreomacular Traction: The Beijing Eye Study. Int. J. Gen. Med. 2021, 14, 7059–7064. [Google Scholar] [CrossRef] [PubMed]
- Green-Simms, A.E.; Bakri, S.J. Vitreomacular traction and age-related macular degeneration. Semin. Ophthalmol. 2011, 26, 137–138. [Google Scholar] [CrossRef] [PubMed]
- Panagiotidis, D.; Karagiannis, D.; Theodossiadis, P.; Alonistiotis, D.; Charonis, A.; Tsoumbris, I.; Vergados, I. Cataract-related acute vitreomacular traction syndrome. Eur. J. Ophthalmol. 2011, 21, 20–23. [Google Scholar] [CrossRef]
- Tieger, M.G.; Vavvas, D.G. Impact of phacoemulsification on posterior vitreous detachment formation in eyes with vitreomacular traction. Digit. J. Ophthalmol. 2023, 29, 26–30. [Google Scholar] [CrossRef]





| Indicator | VMTS (npx = 1574; neye = 1784) | p-Value | ||
|---|---|---|---|---|
| VMT | LMH | FTMH | ||
| Age (mean ± SD) | 67.28 ± 10.10 | 69.34 ± 9.30 | 68.38 ± 9.50 | 0.09 |
| Gender | >0.001 | |||
| Male | 185 | 94 | 67 | |
| Female | 673 | 351 | 204 | |
| Concomitant Diagnosis | Case Number | % | χ2 Test p-Value |
|---|---|---|---|
| Age-related macular degeneration | 1481 | 83 | 0.00073 |
| Cataract | 1365 | 76.5 | |
| Hyperopia | 670 | 37.5 | |
| -low: +2.00D or less | 346 | 51.6 | |
| -moderate: +2.25D to +5.00D | 286 | 42.7 | |
| -high: +5.00D or higher | 38 | 5.7 | |
| Myopia | 592 | 33.2 | |
| -mild: 0.00D to −1.50D | 258 | 43.6 | |
| -moderate: −1.50D to 6.00D | 243 | 41 | |
| -high: −6.00D or more | 91 | 15.3 | |
| Peripheral retinal degeneration | 427 | 23.9 | |
| Glaucoma | 401 | 22.5 | |
| Pseudophakia | 398 | 22.3 | |
| Diabetic retinopathy | 73 | 4 | |
| -non-proliferative stage | 16 | 22 | |
| -pre-proliferative stage | 35 | 47.9 | |
| -proliferative stage | 22 | 30.1 | |
| Post-thrombotic retinopathy | 35 | 2 | |
| Vitreous body clouding—synchysis scintillans | 35 | 2 | |
| Hemophthalmos | 13 | 0.7 | |
| Traumatic central serous chorioretinopathy | 11 | 0.6 | |
| Retinitis pigmentosa | 8 | 0.43 | |
| Optic nerve atrophy | 7 | 0.4 | |
| Lens subluxation | 3 | 0.2 | |
| Intraocular lens dislocation to the vitreous body | 1 | 0.05 |
| Timeline of the Follow-Up Check | Macular Hole Parameters, μm (Median; Range) | t-Statistic p-Value | |
|---|---|---|---|
| LMH | FTMH | ||
| Before surgery | 396.8 ± 123.3 (365; 120–1168) | 625.1 ± 293.1 (577.5; 137–2810) | 0.0002 |
| 6th postoperative day | 389.0 ± 290.2 (403; 10–1242) | 503.3 ± 293.9 (444; 60–2180) | 0.0062 |
| 1.5 months after surgery | 265.0 ± 148.6 (258; 120–417) | 625.4 ± 284.9 (636; 140–1504) | <0.001 |
| 3 months after surgery | 418.8 ± 214.8 (402.5; 200–808) | 698.9 ± 309.4 (690; 188–2058) | <0.001 |
| 6 months after surgery | 384.9 ± 222.2 (345; 100–738) | 663.0 ± 366.9 (582; 80–1943) | <0.001 |
| 12 months after surgery | 331.4 ± 185.1 (400; 100–500) | 759.6 ± 292.0 (749.5; 250–1673) | <0.001 |
Disclaimer/Publisher’s Note: The statements, opinions and data contained in all publications are solely those of the individual author(s) and contributor(s) and not of MDPI and/or the editor(s). MDPI and/or the editor(s) disclaim responsibility for any injury to people or property resulting from any ideas, methods, instructions or products referred to in the content. |
© 2024 by the authors. Licensee MDPI, Basel, Switzerland. This article is an open access article distributed under the terms and conditions of the Creative Commons Attribution (CC BY) license (https://creativecommons.org/licenses/by/4.0/).
Share and Cite
Zhurgumbayeva, G.; Kyrykbayev, D.; Ruslanuly, K.; Binder, S.; Kulmaganbetov, M. Long-Term Results of Pars Plana Vitrectomy with Internal Limiting Membrane Peeling for Vitreomacular Traction Syndrome: A Prospective Investigation in Central Asian Population. Healthcare 2025, 13, 44. https://doi.org/10.3390/healthcare13010044
Zhurgumbayeva G, Kyrykbayev D, Ruslanuly K, Binder S, Kulmaganbetov M. Long-Term Results of Pars Plana Vitrectomy with Internal Limiting Membrane Peeling for Vitreomacular Traction Syndrome: A Prospective Investigation in Central Asian Population. Healthcare. 2025; 13(1):44. https://doi.org/10.3390/healthcare13010044
Chicago/Turabian StyleZhurgumbayeva, Gulnar, Dastan Kyrykbayev, Kairat Ruslanuly, Susanne Binder, and Mukhit Kulmaganbetov. 2025. "Long-Term Results of Pars Plana Vitrectomy with Internal Limiting Membrane Peeling for Vitreomacular Traction Syndrome: A Prospective Investigation in Central Asian Population" Healthcare 13, no. 1: 44. https://doi.org/10.3390/healthcare13010044
APA StyleZhurgumbayeva, G., Kyrykbayev, D., Ruslanuly, K., Binder, S., & Kulmaganbetov, M. (2025). Long-Term Results of Pars Plana Vitrectomy with Internal Limiting Membrane Peeling for Vitreomacular Traction Syndrome: A Prospective Investigation in Central Asian Population. Healthcare, 13(1), 44. https://doi.org/10.3390/healthcare13010044

