Comparative Effects of Microwave and Ultrasonic Pretreatments on the Antioxidant, Anti-Aging, and Moisturizing Activities of Yellow Silkworm Cocoon Extracts (Bombyx mori L., var. Nang Lai)
Abstract
1. Introduction
2. Materials and Methods
2.1. Silkworm Cocoon Materials
2.2. Chemical Materials
2.3. Pretreatment Process of Silkworm Cocoon
2.3.1. Conventional Soaking Pretreatment Method
2.3.2. Microwave-Assisted Pretreatment Method
2.3.3. Ultrasound-Assisted Pretreatment Method
2.4. Extraction Process of Silkworm Cocoon
2.4.1. Aqueous Extraction
2.4.2. Enzymatic Assisted Extraction
2.5. Scanning Electron Microscopy (SEM) Analysis of Yellow Silkworm Cocoon Extracts
2.6. Chemical Composition Determination of Silkworm Cocoon Extract
2.6.1. Total Protein Content
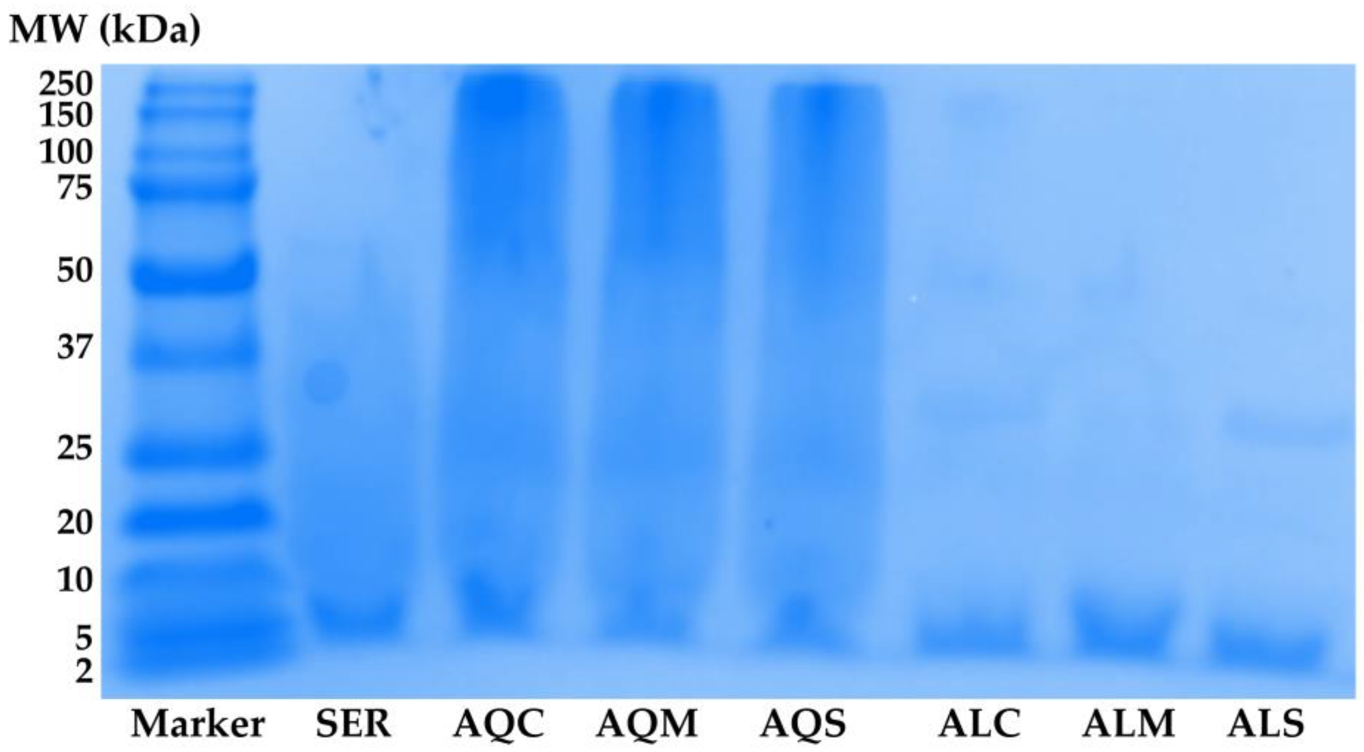
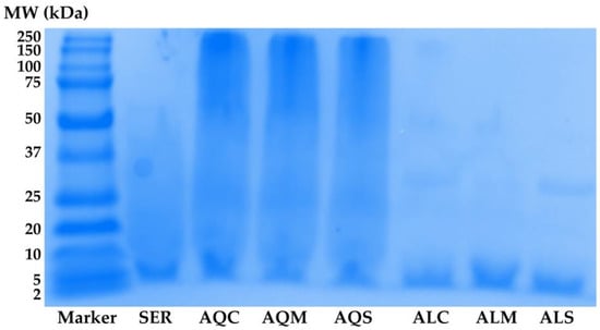
2.6.2. Analysis of Protein Molecular Weight Distribution by Sodium Dodecyl Sulfate-Polyacrylamide Gel Electrophoresis (SDS-PAGE)
2.6.3. Total Phenolic Content
2.6.4. Total Flavonoids Content
2.7. Characterization of Silkworm Cocoon Extracts
2.7.1. Fourier Transform Infrared (FT-IR) Spectroscopy
2.7.2. X-Ray Diffraction (XRD)
2.7.3. Differential Scanning Calorimetry (DSC)
2.7.4. Thermogravimetric Analysis (TGA)
2.8. Determination of Biological Activities of Silkworm Cocoon Extracts
2.8.1. NO• Inhibition
2.8.2. DPPH• Radical Scavenging Activity
2.8.3. Collagenase Inhibition
2.8.4. Skin Moisture Enhancement
2.9. Determination of Irritation Potential of Silkworm Cocoon Extracts
2.10. Statistical Analysis
3. Results and Discussion
3.1. Silkworm Cocoon Extracts and Their Chemical Compositions
3.2. Chemical Compositions of Silkworm Cocoon Extracts
3.3. Characteristics of Silkworm Cocoon Extracts
3.4. Cosmeceutical Properties of Silkworm Cocoon Extracts
3.5. Irritation Profiles of Silkworm Cocoon Extracts
4. Conclusions
Author Contributions
Funding
Data Availability Statement
Acknowledgments
Conflicts of Interest
Abbreviations
| ATR | Attenuated total reflectance | 
| ALC | Yellow silkworm cocoon extract from Alcalase® enzyme-assisted extraction after pretreatment with conventional soaking for 12 h | 
| ALM | Yellow silkworm cocoon extract from Alcalase® enzyme-assisted extraction after pretreatment with microwave treatment for 3 min | 
| ALS | Yellow silkworm cocoon extract from Alcalase® enzyme-assisted extraction after pretreatment with ultrasonication for 30 min | 
| AQC | Yellow silkworm cocoon extract from aqueous extraction after pretreatment with conventional soaking for 12 h | 
| AQM | Yellow silkworm cocoon extract from aqueous extraction after pretreatment with microwave treatment for 3 min | 
| AQS | Yellow silkworm cocoon extract from aqueous extraction after pretreatment with ultrasonication for 30 min | 
| BCA | Bicinchoninic acid | 
| BSA | Bovine serum albumin | 
| CAM | Chorioallantoic membrane | 
| DPPH | 2,2-Diphenyl-1-Picrylhydrazyl | 
| DSC | Differential scanning calorimetry | 
| EGCG | Epigallocatechin gallate | 
| FALGPA | N-[3-(2-Furyl)acryloyl]-Leu-Gly-Pro-Ala | 
| FT-IR | Fourier transform infrared | 
| GAE | Gallic acid equivalents | 
| HET-CAM | Hen’s egg test on the chorioallantoic membrane | 
| IS | Irritation score | 
| MW | Molecular weight | 
| NED | N-naphthyl ethylenediamine dihydrochloride | 
| NO• | Nitric oxide | 
| SDS-PAGE | Sodium dodecyl sulfate polyacrylamide gel electrophoresis | 
| SEM | Scanning electron microscopy | 
| SLS | Sodium lauryl sulfate | 
| SNP | sodium nitroprusside | 
| TGA | Thermogravimetric analysis | 
| TPTZ | 2,4,6-Tripyridyl-S-triazine | 
| XRD | X-ray diffraction | 
References
- Yukuhiro, K.; Sezutsu, H.; Tsubota, T.; Takasu, Y.; Kameda, T.; Yonemura, N. Insect Silks and Cocoons: Structural and Molecular Aspects. In Extracellular Composite Matrices in Arthropods; Cohen, E., Moussian, B., Eds.; Springer: Cham, Switzerland, 2016; pp. 515–555. [Google Scholar] [CrossRef]
 - Aramwit, P.; Siritientong, T.; Srichana, T. Potential applications of silkworm sericin, a natural protein from textile industry by-products. Waste Manag. Res. 2012, 30, 217–224. [Google Scholar] [CrossRef]
 - Aghaz, F.; Hajarian, H.; Shabankareh, H.K.; Abdolmohammadi, A. Effect of sericin supplementation in maturation medium on cumulus cell expansion, oocyte nuclear maturation, and subsequent embryo development in Sanjabi ewes during the breeding season. Theriogenology 2015, 84, 1631–1635. [Google Scholar] [CrossRef]
 - Chuang, C.C.; Prasannan, A.; Hong, P.D.; Chiang, M.Y. Silkworm-sericin degummed wastewater solution-derived and nitrogen enriched porous carbon nanosheets for robust biological imaging of stem cells. Int. J. Biol. Macromol. 2018, 107, 2122–2130. [Google Scholar] [CrossRef]
 - Sothornvit, R.; Chollakup, R.; Suwanruji, P. Extracted sericin from silkworm waste for film formation. Songklanakarin J. Sci. Technol. 2010, 32, 17–22. [Google Scholar]
 - Wu, J.H.; Wang, Z.; Xu, S.Y. Preparation and characterization of sericin powder extracted from silk industry wastewater. Food Chem. 2007, 103, 1255–1262. [Google Scholar] [CrossRef]
 - Bungthong, C.; Siriamornpun, S. Changes in amino acid profiles and bioactive compounds of Thai silk cocoons as affected by water extraction. Molecules 2021, 26, 2033. [Google Scholar] [CrossRef] [PubMed]
 - Prommuak, C.; De-Eknamkul, W.; Shotipruk, A. Extraction of flavonoids and carotenoids from Thai silkworm waste and antioxidant activity of extracts. Sep. Purif. Technol. 2008, 62, 444–448. [Google Scholar] [CrossRef]
 - Rangi, A.; Jajpura, L. The biopolymer sericin: Extraction and applications. J. Text Sci. Eng. 2015, 5, 1000188. [Google Scholar] [CrossRef]
 - Saha, J.; Mondal, M.I.; Sheikh, M.K.; Habib, M.A. Extraction, structural and functional properties of silk sericin biopolymer from Bombyx mori silk cocoon waste. J. Text. Sci. Eng. 2019, 9, 1000390. [Google Scholar] [CrossRef]
 - Kumar, J.P.; Mandal, B.B. Antioxidant potential of mulberry and non-mulberry silkworm sericin and its implications in biomedicine. Free Radic. Biol. Med. 2017, 108, 803–818. [Google Scholar] [CrossRef]
 - Kunz, R.I.; Brancalhão, R.M.C.; Ribeiro, L.D.F.C.; Natali, M.R.M. Silkworm sericin: Properties and biomedical applications. Biomed Res. Int. 2016, 2016, 8175701. [Google Scholar] [CrossRef] [PubMed]
 - Michalak, M.; Pierzak, M.; Kręcisz, B.; Suliga, E. Bioactive compounds for skin health: A review. Nutrients. 2021, 13, 203. [Google Scholar] [CrossRef] [PubMed]
 - Wang, W.H.; Lin, W.S.; Shih, C.H.; Chen, C.Y.; Kuo, S.H.; Li, W.L.; Lin, Y.S. Functionality of silkworm cocoon (Bombyx mori L.) sericin extracts obtained through high-temperature hydrothermal method. Materials. 2021, 14, 5314. [Google Scholar] [CrossRef]
 - Wang, R.; Zhu, Y.; Shi, Z.; Jiang, W.; Liu, X.; Ni, Q.Q. Degumming of raw silkworm via steam treatment. J. Clean. Prod. 2018, 203, 492–497. [Google Scholar] [CrossRef]
 - Gligor, O.; Mocan, A.; Moldovan, C.; Locatelli, M.; Crișan, G.; Ferreira, I.C. Enzyme-assisted extractions of polyphenols–A comprehensive review. Trends Food Sci. 2019, 88, 302–315. [Google Scholar] [CrossRef]
 - Muniglia, L.; Claisse, N.; Baudelet, P.H.; Ricochon, G. Enzymatic Aqueous Extraction (EAE). In Alternative Solvents for Natural Products Extraction. Green Chemistry and Sustainable Technology; Chemat, F., Vian, M., Eds.; Springer: Berlin/Heidelberg, Germany, 2014; pp. 167–204. [Google Scholar] [CrossRef]
 - Sangwong, G.; Sumida, M.; Sutthikhum, V. Antioxidant activity of chemically and enzymatically modified sericin extracted from cocoons of Bombyx mori. Biocatal. Agric. Biotechnol. 2016, 5, 155–161. [Google Scholar] [CrossRef]
 - Liaset, B.; Nortvedt, R.; Lied, E.; Espe, M. Studies on the nitrogen recovery in enzymic hydrolysis of Atlantic salmon (Salmo salar, L.) frames by Protamex™ protease. Process. Biochem. 2002, 37, 1263–1269. [Google Scholar] [CrossRef]
 - Yakul, K.; Takenaka, S.; Nakamura, K.; Techapun, C.; Leksawasdi, N.; Seesuriyachan, P.; Watanabe, M.; Chaiyaso, T. Characterization of thermostable alkaline protease from Bacillus halodurans SE5 and its application in degumming coupled with sericin hydrolysate production from yellow cocoon. Process Biochem. 2019, 78, 63–70. [Google Scholar] [CrossRef]
 - Kim, Y.J.; Kim, S.W.; Kim, K.Y.; Ki, C.S.; Um, I.C. Structural characteristics and properties of cocoon and regenerated silk fibroin from different silkworm strains. Int. J. Mol. Sci. 2023, 24, 4965. [Google Scholar] [CrossRef]
 - Pan, M.; Jin, Y.; Ye, Y.; Jiang, W.; Zhu, L.; Lu, W. An efficient and eco-friendly method for removing sericin using microwave-assisted steam degumming. Environ. Technol. Inno. 2024, 35, 103674. [Google Scholar] [CrossRef]
 - Lai, E.; Zhu, Y.; Lin, C.; Wang, J.; Lin, H. Effects of ultrasonic pre-treatment on physicochemical properties of sericin poteins extracted from cassava silkworm cocoon. J. Environ. Polym. Degrad. 2024, 32, 3835–3844. [Google Scholar] [CrossRef]
 - Vaithanomsat, P.; Punyasawon, C. Process optimization for the production of Philosamia ricini (Eri Silk) pupae hydrolysate. Agr. Nat. Resour. 2008, 42, 341–352. [Google Scholar]
 - Koon, M.A.; Ali, K.A.; Speaker, R.M.; McGrath, J.P.; Linton, E.W.; Steinhilb, M.L. Preparation of prokaryotic and eukaryotic organisms using chemical drying for morphological analysis in scanning electron microscopy (SEM). J. Vis. Exp. 2019, 143, e58761. [Google Scholar] [CrossRef]
 - Alou, I.N.; van der Laan, M.; Annandale, J.G.; Steyn, J.M. Water and nitrogen (N) use efficiency of upland rice (Oryza sativa L.× Oryza glaberrima Steud) under varying N application rates. Nitrogen 2020, 1, 151–166. [Google Scholar] [CrossRef]
 - Weng, Y.; Qin, J.; Eaton, S.; Yang, Y.; Ravelombola, W.S.; Shi, A. Evaluation of seed protein content in USDA cowpea germplasm. HortScience 2019, 54, 814–817. [Google Scholar] [CrossRef]
 - Li, Y.; Zhang, M.; Zheng, C.; Hu, L.; Wang, C.; Jiang, J.; He, B.; Jiang, G. Analysis of silver-associated proteins in pathogen via combination of native SDS-PAGE, fluorescent staining, and inductively coupled plasma mass spectrometry. J. Chromatogr. A 2019, 1607, 460393. [Google Scholar] [CrossRef] [PubMed]
 - Chaiyana, W.; Punyoyai, C.; Somwongin, S.; Leelapornpisid, P.; Ingkaninan, K.; Waranuch, N.; Srivilai, J.; Thitipramote, N.; Wisuitiprot, W.; Schuster, R.; et al. Inhibition of 5α-reductase, IL-6 secretion, and oxidation process of Equisetum debile Roxb. ex vaucher extract as functional food and nutraceuticals ingredients. Nutrients 2017, 9, 1105. [Google Scholar] [CrossRef] [PubMed]
 - Sriyab, S.; Laosirisathian, N.; Punyoyai, C.; Anuchapreeda, S.; Tima, S.; Chiampanichayakul, S.; Chaiyana, W. Nutricosmetic effects of Asparagus officinalis: A potent matrix metalloproteinase-1 inhibitor. Sci. Rep. 2021, 11, 8772. [Google Scholar] [CrossRef] [PubMed]
 - Thewanjutiwong, S.; Phokasem, P.; Disayathanoowat, T.; Juntrapirom, S.; Kanjanakawinkul, W.; Chaiyana, W. Development of film-forming gel formulations containing royal jelly and honey aromatic water for cosmetic applications. Gels 2023, 9, 816. [Google Scholar] [CrossRef]
 - Sumanont, Y.; Murakami, Y.; Tohda, M.; Vajragupta, O.; Matsumoto, K.; Watanabe, H. Evaluation of the nitric oxide radical scavenging activity of manganese complexes of curcumin and its derivative. Biol. Pharm. Bull. 2004, 27, 170–173. [Google Scholar] [CrossRef]
 - Brem, B.; Seger, C.; Pacher, T.; Hartl, M.; Hadacek, F.; Hofer, O.; Vajrodaya, S.; Greger, H. Antioxidant dehydrotocopherols as a new chemical character of Stemona species. Phytochemistry 2004, 65, 2719–2729. [Google Scholar] [CrossRef]
 - Sirivibulkovit, K.; Nouanthavong, S.; Sameenoi, Y. Paper-based DPPH Assay for Antioxidant Activity Analysis. Anal. Sci. 2018, 34, 795–800. [Google Scholar] [CrossRef] [PubMed]
 - Thring, T.S.; Hili, P.; Naughton, D.P. Anti-collagenase, anti-elastase and anti-oxidant activities of extracts from 21 plants. BMC Complement. Altern. Med. 2009, 9, 27. [Google Scholar] [CrossRef] [PubMed]
 - Heinrich, U.; Koop, U.; Leneveu-Duchemin, M.C.; Osterrieder, K.; Bielfeldt, S.; Chkarnat, C.; Degwert, J.; Häntschel, D.; Jaspers, S.; Nissen, H.P.; et al. Multicentre comparison of skin hydration in terms of physical-, physiological-and product-dependent parameters by the capacitive method (Corneometer CM 825). Int. J. Cosmet. Sci. 2003, 25, 45–53. [Google Scholar] [CrossRef] [PubMed]
 - Somwongin, S.; Sirilun, S.; Chantawannakul, P.; Anuchapreeda, S.; Yawootti, A.; Chaiyana, W. Ultrasound-assisted green extraction methods: An approach for cosmeceutical compounds isolation from Macadamia integrifolia pericarp. Ultrason. Sonochem. 2023, 92, 106266. [Google Scholar] [CrossRef]
 - Ribeiro, B.G.; de Souza Leão, V.L.X.; Guerra, J.M.C.; Sarubbo, L.A. Cookies and muffins containing biosurfactant: Textural, physicochemical and sensory analyses. J. Food Sci. Technol. 2023, 60, 2180–2192. [Google Scholar] [CrossRef]
 - Mukaka, M.M. A guide to appropriate use of correlation coefficient in medical research. Malawi Med. J. 2012, 24, 69–71. [Google Scholar]
 - Homhuk, P.; Nonsrirach, T.; Promma, S.; Sumida, M.; Sutthikhum, V. Cocoon characters and antioxidant activity of sericin among Thai polyvoltine strains of the silkworm, Bombyx mori. Int. J. Wild Silkmoth Silk. 2017, 20, 25–36. [Google Scholar] [CrossRef]
 - Morin, A.; Alam, P. Comparing the properties of Bombyx mori silkworm cocoons against sericin-fibroin regummed biocomposite sheets. Mater. Sci. Eng. C 2016, 65, 215–220. [Google Scholar] [CrossRef]
 - Kundu, S.C.; Dash, B.C.; Dash, R.; Kaplan, D.L. Natural protective glue protein, sericin bioengineered by silkworms: Potential for biomedical and biotechnological applications. Prog. Polym. Sci. 2008, 33, 998–1012. [Google Scholar] [CrossRef]
 - Chen, F.; Porter, D.; Vollrath, F. Structure and physical properties of silkworm cocoons. J. R. Soc. Interface. 2012, 9, 2299–2308. [Google Scholar] [CrossRef]
 - Wei, L.; Liu, S.; Dong, F. Mechanism study of micro-jet generation induced by acoustic cavitation. J. Hydrodyn. 2024, 36, 1104–1117. [Google Scholar] [CrossRef]
 - Joyjamras, K.; Netcharoensirisuk, P.; Roytrakul, S.; Chanvorachote, P.; Chaotham, C. Recycled sericin hydrolysates modified by Alcalase® suppress melanogenesis in human melanin-producing cells via modulating MITF. Int. J. Mol. Sci. 2022, 23, 3925. [Google Scholar] [CrossRef]
 - Wang, W.; Pan, Y.; Gong, K.; Zhou, Q.; Zhang, T.; Li, Q. A comparative study of ultrasonic degumming of silk sericin using citric acid, sodium carbonate and papain. Color Technol. 2019, 135, 195–201. [Google Scholar] [CrossRef]
 - Rodbumrer, P.; Arthan, D.; Uyen, U.; Yuvaniyama, J.; Svasti, J.; Wongsaengchantra, P.Y. Functional expression of a Bombyx mori cocoonase: Potential application for silk degumming. Acta Biochim. Biophys. Sin. 2012, 44, 974–983. [Google Scholar] [CrossRef] [PubMed]
 - Oh, H.D.; Cho, M.S.; Kim, J.S.; Kim, M.S.; Kim, C.H.; Kang, J.Y. Identification and characterization of a cocoon degradable enzyme from the isolated strain Bacillus subtilis Bs5C. Biotechnol. Bioprocess Eng. 2020, 25, 442–449. [Google Scholar] [CrossRef]
 - Prakash, N.J.; Shanmugarajan, D.; Wang, X.; Kandasubramanian, B. Enhancement of mechano-structural characteristics of silk fibroin using microwave assisted degumming. Sustain. Chem. Pharm. 2022, 30, 100902. [Google Scholar] [CrossRef]
 - Eom, S.J.; Lee, N.H.; Kang, M.C.; Kim, Y.H.; Lim, T.G.; Song, K.M. Silk peptide production from whole silkworm cocoon using ultrasound and enzymatic treatment and its suppression of solar ultraviolet-induced skin inflammation. Ultrason. Sonochem. 2020, 61, 104803. [Google Scholar] [CrossRef]
 - Biganeh, H.; Kabiri, M.; Zeynalpourfattahi, Y.; Brancalhão, R.M.C.; Karimi, M.; Ardekani, M.R.S.; Rahimi, R. Bombyx mori cocoon as a promising pharmacological agent: A review of ethnopharmacology, chemistry, and biological activities. Heliyon 2022, 8, e10496. [Google Scholar] [CrossRef]
 - Biswal, B.; Dan, A.K.; Sengupta, A.; Das, M.; Bindhani, B.K.; Das, D.; Parhi, P.K. Extraction of silk fibroin with several sericin removal processes and its importance in tissue engineering: A review. J. Polym. Environ. 2022, 30, 2222–2253. [Google Scholar] [CrossRef]
 - Koh, L.D.; Cheng, Y.; Teng, C.P.; Khin, Y.W.; Loh, X.J.; Tee, S.Y.; Low, M.; Ye, E.; Yu, H.D.; Zhang, Y.W.; et al. Structures, mechanical properties and applications of silk fibroin materials. Prog. Polym. Sci. 2015, 46, 86–110. [Google Scholar] [CrossRef]
 - Butkhup, L.; Jeenphakdee, M.; Jorjong, S.; Samappito, S.; Samappito, W.; Butimal, J. Phenolic composition and antioxidant activity of Thai and Eri silk sericins. Food Sci. Biotechnol. 2012, 21, 389–398. [Google Scholar] [CrossRef]
 - Ngoc, L.T.N.; Moon, J.Y.; Lee, Y.C. Insights into bioactive peptides in cosmetics. Cosmetics 2023, 10, 111. [Google Scholar] [CrossRef]
 - Rejasse, B.; Lamare, S.; Legoy, M.D.; Besson, T. Influence of microwave irradiation on enzymatic properties: Applications in enzyme chemistry. J. Enzyme Inhib. Med. Chem. 2007, 22, 519–527. [Google Scholar] [CrossRef] [PubMed]
 - Manesa, K.C.; Kebede, T.G.; Dube, S.; Nindi, M.M. Profiling of silk sericin from cocoons of three southern African wild silk moths with a focus on their antimicrobial and antioxidant properties. Materials 2020, 13, 5706. [Google Scholar] [CrossRef] [PubMed]
 - Islam, M.N.; Zhang, M.; Adhikari, B. The inactivation of enzymes by ultrasound—A review of potential mechanisms. Food Rev. Int. 2014, 30, 1–21. [Google Scholar] [CrossRef]
 - Punjataewakupt, A.; Reddy, N.; Aramwit, P. Enhancing clinical applications of PVA hydrogel by blending with collagen hydrolysate and silk sericin. J. Polym. Res. 2022, 29, 110. [Google Scholar] [CrossRef]
 - Zhang, X.; Wyeth, P. Using FTIR spectroscopy to detect sericin on historic silk. Sci. China Chem. 2010, 53, 626–631. [Google Scholar] [CrossRef]
 - Rezvankhah, A.; Yarmand, M.S.; Ghanbarzadeh, B. The effects of combined enzymatic and physical modifications of lentil protein applying Alcalase, Flavourzyme, microbial transglutaminase, and ultrasound: Antioxidant, antihypertension, and antidiabetic activities. J. Food Meas. Charact. 2022, 16, 3743–3759. [Google Scholar] [CrossRef]
 - Silva, V.R.; Hamerski, F.; Weschenfelder, T.A.; Ribani, M.; Gimenes, M.L.; Scheer, A.P. Equilibrium, kinetic, and thermodynamic studies on the biosorption of Bordeaux S dye by sericin powder derived from cocoons of the silkworm Bombyx mori. Desalin. Water Treat. 2016, 57, 5119–5129. [Google Scholar] [CrossRef]
 - Caringella, R.; Bhavsar, P.; Dalla Fontana, G.; Patrucco, A.; Tonin, C.; Pozzo, P.D.; Zoccola, M. Fabrication and properties of keratoses/sericin blend films. Polym. Bull. 2022, 79, 2189–2204. [Google Scholar] [CrossRef]
 - Pillai, S.; Oresajo, C.; Hayward, J. Ultraviolet radiation and skin aging: Roles of reactive oxygen species, inflammation and protease activation, and strategies for prevention of inflammation-induced matrix degradation—A review. Int. J. Cosmet. Sci. 2005, 27, 17–34. [Google Scholar] [CrossRef] [PubMed]
 - Pourbagher-Shahri, A.M.; Farkhondeh, T.; Talebi, M.; Kopustinskiene, D.M.; Samarghandian, S.; Bernatoniene, J. An overview of NO signaling pathways in aging. Molecules 2021, 26, 4533. [Google Scholar] [CrossRef] [PubMed]
 - Muñoz-Almagro, N.; Morales-Soriano, E.; Villamiel, M.; Condezo-Hoyos, L. Hybrid high-intensity ultrasound and microwave treatment: A review on its effect on quality and bioactivity of foods. Ultrason. Sonochemistry 2021, 80, 105835. [Google Scholar] [CrossRef]
 - Li, Q.; Cui, M.; She, J.; Sun, S.; Zhou, L.; Tang, F.; Guo, Y.; Liu, Y. Preparation high quality camellia oil by combining ultrasound pre-treatment and microwave as drying method: Interactive effect on drying kinetics, metabolite profile and antioxidant ability. Ultrason. Sonochemistry 2025, 117, 107338. [Google Scholar] [CrossRef] [PubMed]
 - Kim, B.J.; Kim, J.H.; Kim, H.P.; Heo, M.Y. Biological screening of 100 plant extracts for cosmetic use (II): Anti-oxidative activity and free radical scavenging activity. Int. J. Cosmet. Sci. 1997, 19, 299–307. [Google Scholar] [CrossRef]
 - Kusumawati, I.; Indrayanto, G. Natural antioxidants in cosmetics. Stud. Nat. Prod. Chem. 2013, 40, 485–505. [Google Scholar] [CrossRef]
 - Bosebabu, B.; Cheruku, S.P.; Chamallamudi, M.R.; Nampoothiri, M.; Shenoy, R.R.; Nandakumar, K.; Parihar, V.K.; Kumar, N. An appraisal of current pharmacological perspectives of sesamol: A review. Mini-Rev. Med. Chem. 2020, 20, 988–1000. [Google Scholar] [CrossRef]
 - Choi, H.Y.; Lee, Y.J.; Kim, C.M.; Lee, Y.M. Revolutionizing cosmetic ingredients: Harnessing the power of antioxidants, probiotics, plant extracts, and peptides in personal and skin care products. Cosmetics 2024, 11, 157. [Google Scholar] [CrossRef]
 - Jena, K.; Pandey, J.P.; Kumari, R.; Sinha, A.K.; Gupta, V.P.; Singh, G.P. Tasar silk fiber waste sericin: New source for anti-elastase, anti-tyrosinase and anti-oxidant compounds. Int. J. Biol. Macromol. 2018, 114, 1102–1108. [Google Scholar] [CrossRef]
 - Fongsodsri, K.; Tiyasatkulkovit, W.; Chaisri, U.; Reamtong, O.; Adisakwattana, P.; Supasai, S.; Kanjanapruthipong, T.; Sukphopetch, P.; Aramwit, P.; Ampawong, S. Sericin promotes chondrogenic proliferation and differentiation via glycolysis and Smad2/3 TGF-β signaling inductions and alleviates inflammation in three-dimensional models. Sci. Rep. 2024, 14, 11553. [Google Scholar] [CrossRef]
 - Jadach, B.; Mielcarek, Z.; Osmałek, T. Use of collagen in cosmetic products. Curr. Issues Mol. Biol. 2024, 46, 2043–2070. [Google Scholar] [CrossRef] [PubMed]
 - Mohiuddin, A.K. Skin aging & modern age anti-aging strategies. Int. J. Clin. Dermatol. Res. 2019, 7, 209–240. [Google Scholar] [CrossRef]
 - Porwal, M.; Rastogi, V.; Chandra, P.; Shukla, S. An Updated Review on the Role of Phytoconstituents in Modulating Signalling Pathways to Combat Skin Ageing: Nature’s Own Weapons and Approaches. J. Nat. Prod. 2024, 14, 55–71. [Google Scholar] [CrossRef]
 - Ahmed, I.A.; Mikail, M.A.; Zamakshshari, N.; Abdullah, A.S.H. Natural anti-aging skincare: Role and potential. Biogerontology 2020, 21, 293–310. [Google Scholar] [CrossRef]
 - Parikh, S.A.; Kelsey, A.; Finch, J.; Grant-Kels, J.M. Skin Health and Healthy Aging: Skin Cosmetics. In Healthy Aging; Coll, P., Ed.; Springer: Cham, Switzerland, 2019; pp. 105–113. [Google Scholar] [CrossRef]
 - Hashizume, H. Skin aging and dry skin. J. Dermatol. 2004, 31, 603–609. [Google Scholar] [CrossRef]
 - Sjerobabski-Masnec, I.; Situm, M. Skin aging. Acta Clin. Croat. 2010, 49, 515–518. [Google Scholar]
 - Harding, C.R.; Watkinson, A.; Rawlings, A.V. Dry skin, moisturization and corneodesmolysis. Int. J. Cosmet. Sci. 2000, 22, 21–52. [Google Scholar] [CrossRef]
 - Steiling, W.; Bracher, M.; Courtellemont, P.; De Silva, O. The HET–CAM, a useful in vitro assay for assessing the eye irritation properties of cosmetic formulations and ingredients. Toxicol. Vitr. 1999, 13, 375–384. [Google Scholar] [CrossRef]
 






| Sample | Yield  (% w/w)  | Total Protein Content  (g/100 g Extract)  | Total Protein Content (g/100 g Silk Cocoon)  | Total Phenolic Content (mg GAE/g Extract)  | Total Flavonoid Content (mg QE/g Extract)  | 
|---|---|---|---|---|---|
| AQC | 8.1 ± 0.5 b | 94.7 ± 0.8 a | 7.7 ± 0.5 b | 19.5 ± 0.3 b | 2.4 ± 0.6 c | 
| AQM | 8.0 ± 0.0 b | 86.4 ± 0.7 c | 6.9 ± 0.1 b | 20.3 ± 0.3 b,c | 4.7 ± 0.6 a,b | 
| AQS | 7.7 ± 0.4 b | 90.4 ± 0.1 b | 6.9 ± 0.4 b | 20.8 ± 0.3 c | 4.5 ± 0.6 b | 
| ALC | 21.1 ± 0.1 a | 67.6 ± 0.0 d | 14.3 ± 0.1 a | 21.4 ± 0.3 b | 3.1 ± 0.7 b,c | 
| ALM | 21.6 ± 0.5 a | 64.7 ± 0.3 e | 14.0 ± 0.3 a | 25.3 ± 0.3 a | 6.0 ± 0.7 a | 
| ALS | 21.7 ± 0.4 a | 65.6 ± 0.3 e | 14.2 ± 0.3 a | 26.2 ± 0.6 a | 5.6 ± 0.4 a | 
| Samples | NO• Inhibition  (%)  | DPPH• Scavenging  Activity (%)  | Collagenase  Inhibition (%)  | Skin Moisture  Enhancement (%)  | 
|---|---|---|---|---|
| Control | N.D. | N.D. | N.D. | 1.3 ± 0.6 d | 
| Ascorbic acid | N.D. | 92.1 ± 0.2 a | N.D. | N.D. | 
| EGCG | N.D. | N.D. | 87.6 ± 0.8 a | N.D. | 
| Gallic acid | 43.4 ± 0.7 a | 90.6 ± 0.3 b | 71.6 ± 1.7 b | N.D. | 
| Sericin | 2.9 ± 0.3 e | 5.7 ± 0.1 h | 51.4 ± 1.7 d | 50.0 ± 0.7 b | 
| AQC | 8.7 ± 0.1 d | 40.2 ± 0.2 g | 45.5 ± 1.7 e | 48.1 ± 2.3 b | 
| AQM | 11.5 ± 0.4 c | 55.2 ± 0.3 e | 55.0 ± 1.7 d | 41.9 ± 3.7 c | 
| AQS | 10.4 ± 0.4 c | 45.9 ± 0.2 f | 52.5 ± 2.5 d | 39.6 ± 1.7 c | 
| ALC | 11.6 ± 0.3 c | 60.0 ± 0.3 d | 52.0 ± 0.8 d | 51.3 ± 0.8 b | 
| ALM | 13.5 ± 0.4 b | 65.9 ± 0.2 c | 60.3 ± 0.8 c | 63.6 ± 2.1 a | 
| ALS | 12.9 ± 0.2 b | 65.2 ± 0.3 c | 59.7 ± 1.7 c | 61.2 ± 1.5 a | 
| Chemical  Constituents  | Pearson Correlation Coefficient: r (p-Value) | |||
|---|---|---|---|---|
| NO• Inhibition | DPPH•  Scavenging  | Collagenase  Inhibition  | Skin Moisture Enhancement  | |
| Total phenolic  content  | 0.861 (0.340)  | 0.838 (0.367)  | 0.871 (0.327)  | 0.878 (0.318)  | 
| Total flavonoid content | 0.845 (0.359)  | 0.709 (0.498)  | 0.953 (0.197)  | 0.493 (0.672)  | 
| Samples | Irritation Score | Irritation Potential | 
|---|---|---|
| Positive control | 15.1 ± 0.6 a | Severe irritation | 
| Negative control | 0.0 ± 0.0 b | No irritation | 
| AQC | 0.0 ± 0.0 b | No irritation | 
| AQM | 0.0 ± 0.0 b | No irritation | 
| AQS | 0.0 ± 0.0 b | No irritation | 
| ALC | 0.0 ± 0.0 b | No irritation | 
| ALM | 0.0 ± 0.0 b | No irritation | 
| ALS | 0.0 ± 0.0 b | No irritation | 
Disclaimer/Publisher’s Note: The statements, opinions and data contained in all publications are solely those of the individual author(s) and contributor(s) and not of MDPI and/or the editor(s). MDPI and/or the editor(s) disclaim responsibility for any injury to people or property resulting from any ideas, methods, instructions or products referred to in the content.  | 
© 2025 by the authors. Licensee MDPI, Basel, Switzerland. This article is an open access article distributed under the terms and conditions of the Creative Commons Attribution (CC BY) license (https://creativecommons.org/licenses/by/4.0/).
Share and Cite
Chareegun, S.; Somwongin, S.; Inthorn, J.; Juntrapirom, S.; Kanjanakawinkul, W.; Chaiyana, W. Comparative Effects of Microwave and Ultrasonic Pretreatments on the Antioxidant, Anti-Aging, and Moisturizing Activities of Yellow Silkworm Cocoon Extracts (Bombyx mori L., var. Nang Lai). Cosmetics 2025, 12, 170. https://doi.org/10.3390/cosmetics12040170
Chareegun S, Somwongin S, Inthorn J, Juntrapirom S, Kanjanakawinkul W, Chaiyana W. Comparative Effects of Microwave and Ultrasonic Pretreatments on the Antioxidant, Anti-Aging, and Moisturizing Activities of Yellow Silkworm Cocoon Extracts (Bombyx mori L., var. Nang Lai). Cosmetics. 2025; 12(4):170. https://doi.org/10.3390/cosmetics12040170
Chicago/Turabian StyleChareegun, Sarocha, Suvimol Somwongin, Jirasit Inthorn, Saranya Juntrapirom, Watchara Kanjanakawinkul, and Wantida Chaiyana. 2025. "Comparative Effects of Microwave and Ultrasonic Pretreatments on the Antioxidant, Anti-Aging, and Moisturizing Activities of Yellow Silkworm Cocoon Extracts (Bombyx mori L., var. Nang Lai)" Cosmetics 12, no. 4: 170. https://doi.org/10.3390/cosmetics12040170
APA StyleChareegun, S., Somwongin, S., Inthorn, J., Juntrapirom, S., Kanjanakawinkul, W., & Chaiyana, W. (2025). Comparative Effects of Microwave and Ultrasonic Pretreatments on the Antioxidant, Anti-Aging, and Moisturizing Activities of Yellow Silkworm Cocoon Extracts (Bombyx mori L., var. Nang Lai). Cosmetics, 12(4), 170. https://doi.org/10.3390/cosmetics12040170
        
