Stress Distribution on Endodontically Treated Anterior Teeth Restored via Different Ceramic Materials with Varying Post Lengths Versus Endocrown—A 3D Finite Element Analysis
Abstract
1. Introduction
2. Materials and Methods
2.1. Model Construction
2.2. Restoration Modeling and Grouping (Table 1 and Table 2)
- Group V-L: Vita Enamic crown—Long post; 10 mm intra-radicular length, and composite core.
- Group C-L: Celtra Duo crown—Long post; 10 mm intra-radicular length, and composite core.
- Group V-Sh: Vita Enamic crown—Short post; 3 mm intra-radicular length, and composite core.
- Group C-Sh: Celtra Duo crown—Short post; 3 mm intra-radicular length, and composite core.
- Group V-E: Vita Enamic—Endocrown with 3 mm intra-radicular extension.
- Group C-E: Celtra Duo—Endocrown with 3 mm intra-radicular extension.
| Design | Long Post (10 mm Intra-Radicular) | Short Post (3 mm Intra-Radicular) | Endocrown (3 mm Intra-Radicular) | |
|---|---|---|---|---|
| Material | ||||
| Vita Enamic | Group V-L | Group V-Sh | Group V-E | |
| Celtra Duo | Group C-L | Group C-Sh | Group C-E | |
| Material | Manufacturer | Ceramic Type | Chemical Composition |
|---|---|---|---|
| Vita Enamic | VITA-Zahnfabrik, Bad Säckingen, Germany | Polymer-infiltrated ceramic | Polymer-infiltrated feldspathic ceramic network material (UDMA, TEGDMA) with 86 wt% ceramic (SiO2, Al2O3, Na2O, K2O, B2O3, CaO, TiO2, coloring oxides) |
| Celtra Duo | Dentsply, Charlotte, NC, USA | Zirconia-reinforced lithium silicate ceramic | SiO2, P2O5, Al2O3, Li2O, ZnO, 10% ZrO2 |
2.3. Model Preparation
Boundary Conditions and Load Application
- For long post groups (V-L & C-L): 13,108 quadratic tetrahedral elements and 23,169 nodes.
- For short post groups (V-Sh& C-Sh): 15,705 quadratic tetrahedral elements and 26,733 nodes.
- For Endocrown groups (V-E & C-E): 14,037 quadratic tetrahedral elements and 24,084 nodes
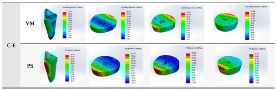
3. Results
4. Discussion
5. Conclusions
Author Contributions
Funding
Institutional Review Board Statement
Informed Consent Statement
Data Availability Statement
Conflicts of Interest
References
- Schwartz, R.S.; Robbins, J.W. Post Placement and Restoration of Endodontically Treated Teeth: A Literature Review. J. Endod. 2004, 30, 289–301. [Google Scholar] [CrossRef]
- Morgano, S.M.; Rodrigues, A.H.; Sabrosa, C.E. Restoration of Endodontically Treated Teeth. Dent. Clin. N. Am. 2004, 48, 397–416. [Google Scholar] [CrossRef]
- Slutzky-Goldberg, I.; Slutzky, H.; Gorfil, C.; Smidt, A. Restoration of Endodontically Treated Teeth: Review and Treatment Recommendations. Int. J. Dent. 2009, 2009, 150251. [Google Scholar] [CrossRef]
- Mannocci, F.; Cowie, J. Restoration of Endodontically Treated Teeth. Br. Dent. J. 2014, 216, 341–346. [Google Scholar] [CrossRef]
- Stenhagen, S.; Skeie, H.; Bårdsen, A.; Laegreid, T. Influence of the Coronal Restoration on the Outcome of Endodontically Treated Teeth. Acta Odontol. Scand. 2020, 78, 81–86. [Google Scholar] [CrossRef]
- Cook, R.D.; Malkus, D.S.; Plesha, M.E.; Witt, R.J. Concepts and Applications of Finite Element Analysis, 4th ed.; John Wiley & Sons: New York, NY, USA, 2002. [Google Scholar]
- Zarow, M.; Vadini, M.; Chojnacka-Brozek, A.; Szczeklik, K.; Milewski, G.; Biferi, V.; D’Arcangelo, C.; De Angelis, F. Effect of Fiber Posts on Stress Distribution of Endodontically Treated Upper Premolars: Finite Element Analysis. Nanomaterials 2020, 10, 1708. [Google Scholar] [CrossRef]
- Abdelhafeez, M.M. Applications of Finite Element Analysis in Endodontics: A Systematic Review and Meta-Analysis. J. Pharm. Bioallied Sci. 2024, 16, S1977–S1980. [Google Scholar] [CrossRef]
- Zhou, L.; Wang, Q. Comparison of Fracture Resistance Between Cast Posts and Fiber Posts: A Meta-Analysis of Literature. J. Endod. 2013, 39, 11–15. [Google Scholar] [CrossRef]
- Boudrias, P.; Sakkal, S.; Petrova, Y. Anatomical Post Design Meets Quartz Fiber Technology: Rationale and Case Report. Compend. Contin. Educ. Dent. 2001, 22, 337–340. [Google Scholar]
- Yee, K.; Bhagavatula, P.; Stover, S.; Eichmiller, F.; Hashimoto, L.; MacDonald, S.; Barkley, G., III. Survival Rates of Teeth with Primary Endodontic Treatment After Core/Post and Crown Placement. J. Endod. 2018, 44, 220–225. [Google Scholar] [CrossRef]
- Chen, S.; Hong, X.; Ye, Z.; Wu, M.; Chen, L.; Wu, L.; Zhao, S. The Effect of Root Canal Treatment and Post-Crown Restorations on Stress Distribution in Teeth with Periapical Periodontitis: A Finite Element Analysis. BMC Oral Health 2023, 23, 973. [Google Scholar] [CrossRef] [PubMed]
- Ferrari, M.; Vichi, A.; Garcia-Godoy, F. Clinical Evaluation of Fiber-Reinforced Epoxy Resin Posts and Cast Post and Cores. Am. J. Dent. 2000, 13, 15B–18B. [Google Scholar]
- Theodosopoulou, J.N.; Chochlidakis, K.M. A Systematic Review of Dowel (Post) and Core Materials and Systems. J. Prosthodont. 2009, 18, 464–472. [Google Scholar] [CrossRef]
- Nakamura, T.; Ohyama, T.; Waki, T.; Kinuta, S.; Wakabayashi, K.; Mutobe, Y.; Yatani, H. Stress Analysis of Endodontically Treated Anterior Teeth Restored with Different Types of Post Material. Dent. Mater. J. 2006, 25, 145–150. [Google Scholar] [CrossRef]
- Lamichhane, A.; Xu, C.; Zhang, F.Q. Dental Fiber-Post Resin Base Material: A Review. J. Adv. Prosthodont. 2014, 6, 60–65. [Google Scholar] [CrossRef]
- Ouldyerou, A.; Mehboob, H.; Mehboob, A.; Merdji, A.; Aminallah, L.; Mukdadi, O.M.; Barsoum, I.; Junaedi, H. Biomechanical Performance of Resin Composite on Dental Tissue Restoration: A Finite Element Analysis. PLoS ONE 2023, 18, e0295582. [Google Scholar] [CrossRef]
- Cagidiaco, M.C.; Goracci, C.; Garcia-Godoy, F.; Ferrari, M. Clinical Studies of Fiber Posts: A Literature Review. Int. J. Prosthodont. 2008, 21, 328–336. [Google Scholar]
- Goracci, C.; Ferrari, M. Current Perspectives on Post Systems: A Literature Review. Aust. Dent. J. 2011, 56 (Suppl. S1), 77–83. [Google Scholar] [CrossRef]
- Dietschi, D.; Duc, O.; Krejci, I.; Sadan, A. Biomechanical Considerations for the Restoration of Endodontically Treated Teeth: A Systematic Review of the Literature—Part 1. Composition and Micro- and Macrostructure Alterations. Quintessence Int. 2007, 38, 733–743. [Google Scholar] [PubMed]
- Stavropoulou, A.F.; Koidis, P.T. A Systematic Review of Single Crowns on Endodontically Treated Teeth. J. Dent. 2007, 35, 761–767. [Google Scholar] [CrossRef] [PubMed]
- Ramirez-Sebastia, A.; Bortolotto, T.; Roig, M.; Krejci, I. Composite vs Ceramic Computer-Aided Design/Computer-Assisted Manufacturing Crowns in Endodontically Treated Teeth: Analysis of Marginal Adaptation. Oper. Dent. 2013, 38, 663–673. [Google Scholar] [CrossRef]
- Lin, J.; Lin, Z.; Zheng, Z. Effect of Different Restorative Crown Design and Materials on Stress Distribution in Endodontically Treated Molars: A Finite Element Analysis Study. BMC Oral Health 2020, 20, 226. [Google Scholar] [CrossRef] [PubMed]
- Tekin, S.; Adiguzel, O.; Cangul, S.; Atas, O.; Erpacal, B. Evaluation of the Use of PEEK Material in Post-Core and Crown Restorations Using Finite Element Analysis. Am. J. Dent. 2020, 33, 251–257. [Google Scholar] [PubMed]
- Huang, M.; Wang, B.; Zhang, K.; Yan, X.; Chen, Z.; Zhang, X. Comparative Analysis of Stress Distribution in Residual Roots with Different Canal Morphologies: Evaluating CAD/CAM Glass Fiber and Other Post-Core Materials. BMC Oral Health 2024, 24, 337. [Google Scholar] [CrossRef]
- Heintze, S.D.; Cavalleri, A.; Forjanic, M.; Zellweger, G.; Rousson, V. Wear of Ceramic and Antagonist—A Systematic Evaluation of Influencing Factors In Vitro. Dent. Mater. 2008, 24, 433–449. [Google Scholar] [CrossRef]
- Kelly, J.R.; Benetti, P. Ceramic Materials in Dentistry: Historical Evolution and Current Practice. Aust. Dent. J. 2011, 56 (Suppl. S1), 84–96. [Google Scholar] [CrossRef]
- Sorensen, J.A.; Martinoff, J.T. Intracoronal Reinforcement and Coronal Coverage: A Study of Endodontically Treated Teeth. J. Prosthet. Dent. 1984, 51, 780–784. [Google Scholar] [CrossRef]
- McLaren, J.D.; McLaren, C.I.; Yaman, P.; Bin-Shuwaish, M.S.; Dennison, J.D.; McDonald, N.J. The Effect of Post Type and Length on the Fracture Resistance of Endodontically Treated Teeth. J. Prosthet. Dent. 2009, 101, 174–182. [Google Scholar] [CrossRef] [PubMed]
- Pereira, J.R.; Ribeiro Neto, E.M.; Pamato, S.; Valle, A.L.D.; Paula, V.G.D.; Vidotti, H.A. Fracture Resistance of Endodontically Treated Teeth Restored with Different Intraradicular Posts with Different Lengths. Braz. J. Oral Sci. 2013, 12, 1–4. [Google Scholar]
- Franco, É.B.; do Valle, A.L.; de Almeida, A.L.P.F.; Rubo, J.H.; Pereira, J.R. Fracture Resistance of Endodontically Treated Teeth Restored with Glass Fiber Posts of Different Lengths. J. Prosthet. Dent. 2014, 111, 30–34. [Google Scholar] [CrossRef]
- Naumann, M.; Koelpin, M.; Beuer, F.; Meyer-Lueckel, H. 10-Year Survival Evaluation for Glass-Fiber-Supported Post Endodontic Restoration: A Prospective Observational Clinical Study. J. Endod. 2012, 38, 432–435. [Google Scholar] [CrossRef]
- Bindl, A.; Mormann, W.H. Clinical Evaluation of Adhesively Placed Cerec Endocrowns After 2 Years—Preliminary Results. J. Adhes. Dent. 1999, 1, 255–265. [Google Scholar] [PubMed]
- Sevimli, G.; Cengiz, S.; Selçuk, O.R.U.Ç. Endocrowns. J. Istanbul Univ. Fac. Dent. 2015, 49, 57–63. [Google Scholar] [CrossRef] [PubMed]
- Govare, N.; Contrepois, M. Endocrowns: A Systematic Review. J. Prosthet. Dent. 2020, 123, 411–417. [Google Scholar] [CrossRef] [PubMed]
- Biacchi, G.R.; Basting, R.T. Comparison of Fracture Strength of Endocrowns and Glass Fiber Post-Retained Conventional Crowns. Oper. Dent. 2012, 37, 130–136. [Google Scholar] [CrossRef]
- Biacchi, G.R.; Mello, B.; Basting, R.T. The Endocrown: An Alternative Approach for Restoring Extensively Damaged Molars. J. Esthet. Restor. Dent. 2013, 25, 383–390. [Google Scholar] [CrossRef]
- Al-Dabbagh, R.A. Survival and Success of Endocrowns: A Systematic Review and Meta-Analysis. J. Prosthet. Dent. 2021, 125, 415.e1. [Google Scholar] [CrossRef]
- Wendling, M.M.; Mantovani, G.; Fernandes, B.V.; Carneiro, D.E.; Santos, R.V.; Sánchez-Ayala, A. Occlusal Loading Effect on Stress Distribution of Endodontically Treated Teeth: Finite Element Analysis Study. Eur. J. Prosthodont. Restor. Dent. 2024, 32, 102–108. [Google Scholar] [CrossRef]
- Monteiro, J.B.; Dal Piva, A.M.O.; Tribst, J.P.M.; Borges, A.L.S.; Tango, R.N. The Effect of Resection Angle on Stress Distribution after Root-End Surgery. Iran. Endod. J. 2018, 13, 188–194. [Google Scholar]
- Yamakami, S.A.; Gallas, J.A.; Petean, I.B.F.; Souza-Gabriel, A.E.; Sousa-Neto, M.; Macedo, A.P.; Palma-Dibb, R.G. Impact of Endodontic Kinematics on Stress Distribution During Root Canal Treatment: Analysis of Photoelastic Stress. J. Endod. 2022, 48, 255–262. [Google Scholar] [CrossRef]
- Kahyaie Aghdam, M.; Bahari, M.; Mohammadi, N.; Savadi Oskoee, S.; Ebrahimi Chaharom, M.E. Push-Out Bond Strength of Fiber Posts to Overflared Root Canals in Different Root Regions: Effect of Reinforcement Techniques. Front Dent. 2024, 10, 24. [Google Scholar]
- Yoon, H.G.; Oh, H.K.; Lee, D.Y.; Shin, J.H. 3-D finite element analysis of the effects of post location and loading location on stress distribution in root canals of the mandibular 1st molar. J. Appl. Oral. Sci. 2018, 26, e20160406. [Google Scholar] [CrossRef]
- Bucchi, C.; Del Fabbro, M.; Marce-Nogue, J. Orthodontic Loads in Teeth after Regenerative Endodontics: A Finite Element Analysis of the Biomechanical Performance of the Periodontal Ligament. Appl. Sci. 2022, 12, 7063. [Google Scholar] [CrossRef]
- Syed, A.U.Y.; Rokaya, D.; Shahrbaf, S.; Martin, N. Three-Dimensional Finite Element Analysis of Stress Distribution in a Tooth Restored with Full Coverage Machined Polymer Crown. Appl. Sci. 2021, 11, 1220. [Google Scholar] [CrossRef]
- Capra, A.; Biclesanu, C.; Buruiana, A.M. The role of periodontal ligament elasticity in periodontal changes—Numerical simulation. Ro. J. Stomatol. 2022, 68, 37–45. [Google Scholar] [CrossRef]
- Tammineedi, S.; Kakollu, S.; Thota, M.M.; Basam, R.C.; Basam, L.C.; Vemuri, S. Comparison of Stress Distribution in Teeth Restored with Fiber Post and Dentin Post by Applying Orthotropic Properties: A Three-Dimensional Finite Element Analysis. J. Conserv. Dent. 2020, 23, 589–592. [Google Scholar] [CrossRef]
- Soares, P.V.; Santos-Filho, P.C.F.; Queiroz, E.C.; Araújo, T.C.; Campos, R.E.; Araújo, C.A.; Soares, C.J. Fracture resistance and stress distribution in endodontically treated maxillary premolars restored with composite resin. J. Prosthodont. 2008, 17, 114–119. [Google Scholar] [CrossRef]
- Dentsply Sirona. Celtra® Duo: Zirconia-Reinforced Lithium Silicate (ZLS) Block FactFile; Dentsply Sirona Inc.: Charlotte, NC, USA, 2017. [Google Scholar]
- Rodrigues, Y.L.; Mathew, M.T.; Mercuri, L.G.; da Silva, J.S.P.; Henriques, B.; Souza, J.C.M. Biomechanical Simulation of Temporomandibular Joint Replacement (TMJR) Devices: A Scoping Review of the Finite Element Method. Int. J. Oral Maxillofac. Surg. 2018, 47, 1032–1042. [Google Scholar] [CrossRef]
- Alp, Ş.; Gulec Alagoz, L.; Ulusoy, N. Effect of Direct and Indirect Materials on Stress Distribution in Class II MOD Restorations: A 3D-Finite Element Analysis Study. Biomed Res. Int. 2020, 2020, 7435054. [Google Scholar] [CrossRef]
- Cantó-Navés, O.; Medina-Gálvez, R.; Marimon, X.; Ferrer, M.; Figueras-Álvarez, Ó.; Cabratosa-Termes, J. A 3D Finite Element Analysis Model of Single Implant-Supported Prosthesis Under Dynamic Impact Loading for Evaluation of Stress in the Crown, Abutment and Cortical Bone Using Different Rehabilitation Materials. Materials 2021, 14, 3519. [Google Scholar] [CrossRef]
- Lee, J.-H.; Jang, H.Y.; Lee, S.Y. Finite Element Analysis of Dental Implants with Zirconia Crown Restorations: Conventional Cement-Retained vs. Cementless Screw-Retained. Materials 2021, 14, 2666. [Google Scholar] [CrossRef] [PubMed]
- Cicciù, M. Bioengineering Methods of Analysis and Medical Devices: A Current Trends and State of the Art. Materials 2020, 13, 797. [Google Scholar] [CrossRef] [PubMed]
- Nabih, S.M.; Ibrahim, N.I.M.; Elmanakhly, A.R. Mechanical and Thermal Stress Analysis of Hybrid Ceramic and Lithium Disilicate-Based Ceramic CAD-CAM Inlays Using 3-D Finite Element Analysis. Braz. Dent. Sci. 2021, 24, 1–10. [Google Scholar] [CrossRef]
- Ausiello, P.; Dal Piva, A.M.; Borges, A.L.S.; Lanzotti, A.; Zamparini, F.; Epifania, E.; Tribst, J.P.M. Effect of Shrinking and No Shrinking Dentine and Enamel Replacing Materials in Posterior Restoration: A 3D-FEA Study. Appl. Sci. 2021, 11, 2215. [Google Scholar] [CrossRef]
- González-Lluch, C.; Pérez-González, A.; Sancho-Bru, J.L.; Rodríguez-Cervantes, P.J. Mechanical Performance of Endodontic Restorations with Prefabricated Posts: Sensitivity Analysis of Parameters with a 3D Finite Element Model. Comput. Methods Biomech. Biomed. Eng. 2014, 17, 1108–1118. [Google Scholar] [CrossRef] [PubMed]
- de Andrade, G.S.; Tribst, J.P.; Dal Piva, A.O.; Bottino, M.A.; Borges, A.L.; Valandro, L.F.; Özcan, M. A Study on Stress Distribution to Cement Layer and Root Dentin for Post and Cores Made of CAD/CAM Materials with Different Elasticity Modulus in the Absence of Ferrule. J. Clin. Exp. Dent. 2019, 11, e0–e8. [Google Scholar] [CrossRef]
- Dal Piva, A.M.; Tribst, J.P.; Souza, R.O.; Borges, A.L. Influence of Alveolar Bone Loss and Cement Layer Thickness on the Biomechanical Behavior of Endodontically Treated Maxillary Incisors: A 3-Dimensional Finite Element Analysis. J. Endod. 2017, 43, 791–795. [Google Scholar] [CrossRef]
- Soliman, M.; Alzahrani, G.; Alabdualataif, F.; Eldwakhly, E.; Alsamady, S.; Aldegheishem, A.; Abdelhafeez, M.M. Impact of Ceramic Material and Preparation Design on Marginal Fit of Endocrown Restorations. Materials 2022, 15, 5592. [Google Scholar] [CrossRef]
- Ramírez-Sebastià, A.; Bortolotto, T.; Cattani-Lorente, M.; Giner, L.; Roig, M.; Krejci, I. Adhesive Restoration of Anterior Endodontically Treated Teeth: Influence of Post Length on Fracture Strength. Clin. Oral Investig. 2014, 18, 545–554. [Google Scholar] [CrossRef]
- Garbin, C.A.; Spazzin, A.O.; Meira-Junior, A.D.; Loretto, S.C.; Lyra, A.M.; Braz, R. Biomechanical Behaviour of a Fractured Maxillary Incisor Restored with Direct Composite Resin Only or with Different Post Systems. Int. Endod. J. 2010, 43, 1098–1107. [Google Scholar] [CrossRef]
- Cruzado-Oliva, F.H.; Alarco-La Rosa, L.F.; Vega-Anticona, A.; Arbildo-Vega, H.I. Biomechanics of Anterior Endocrowns with Different Designs and Depths: Study of Finite Elements. J. Clin. Exp. Dent. 2023, 15, e1016–e1021. [Google Scholar] [CrossRef] [PubMed]
- de Carvalho, M.A.; Lazari-Carvalho, P.C.; Del Bel Cury, A.A.; Magne, P. Accelerated Fatigue Resistance of Endodontically Treated Incisors without Ferrule Restored with CAD/CAM Endocrowns. Int. J. Esthet. Dent. 2021, 16, 534–552. [Google Scholar]
- El-Damanhoury, H.M.; Haj-Ali, R.N.; Platt, J.A. Fracture Resistance and Microleakage of Endocrowns Utilizing Three CAD-CAM Blocks. Oper. Dent. 2015, 40, 201–210. [Google Scholar] [CrossRef] [PubMed]
- Bankoğlu Güngör, M.; Turhan Bal, B.; Yilmaz, H.; Aydin, C.; Karakoca Nemli, S. Fracture Strength of CAD/CAM Fabricated Lithium Disilicate and Resin Nano Ceramic Restorations Used for Endodontically Treated Teeth. Dent. Mater. J. 2017, 36, 135–141. [Google Scholar] [CrossRef]
- Li, X.; Kang, T.; Zhan, D.; Xie, J.; Guo, L. Biomechanical Behavior of Endocrowns vs Fiber Post-Core-Crown vs Cast Post-Core-Crown for the Restoration of Maxillary Central Incisors with 1 mm and 2 mm Ferrule Height: A 3D Static Linear Finite Element Analysis. Medicine 2020, 99, e22648. [Google Scholar] [CrossRef] [PubMed]
- Kanat-Ertürk, B.; Sarıdağ, S.; Köseler, E.; Helvacıoğlu-Yiğit, D.; Avcu, E.; Yıldıran-Avcu, Y. Fracture Strengths of Endocrown Restorations Fabricated with Different Preparation Depths and CAD/CAM Materials. Dent. Mater. J. 2018, 37, 256–265. [Google Scholar] [CrossRef]
- Fernandes, V.; Silva, A.S.; Carvalho, O.; Henriques, B.; Silva, F.S.; Özcan, M.; Souza, J.C. The Resin-Matrix Cement Layer Thickness Resultant from the Intracanal Fitting of Teeth Root Canal Posts: An Integrative Review. Clin. Oral Investig. 2021, 25, 5595–5612. [Google Scholar] [CrossRef]
- Dejak, B.; Młotkowski, A. Strength Comparison of Anterior Teeth Restored with Ceramic Endocrowns vs Custom-Made Post and Cores. J. Prosthodont. Res. 2018, 62, 171–176. [Google Scholar] [CrossRef]
- Zhen, M.; Wei, Y.P.; Hu, W.J.; Rong, Q.G.; Zhang, H. Finite Element Analysis of the Maxillary Central Incisor with Traditional and Modified Crown Lengthening Surgery and Post-Core Restoration in Management of Crown-Root Fracture. Zhonghua Kou Qiang Yi Xue Za Zhi 2016, 51, 362–367. [Google Scholar]
- Einhorn, M.; DuVall, N.; Wajdowicz, M.; Brewster, J.; Roberts, H. Preparation Ferrule Design Effect on Endocrown Failure Resistance. J. Prosthodont. 2019, 28, e237–e242. [Google Scholar] [CrossRef]
- Bozkurt, D.A.; Buyukerkmen, E.B.; Terlemez, A. Comparison of the Pull-Out Bond Strength of Endodontically Treated Anterior Teeth with Monolithic Zirconia Endocrown and Post-and-Core Crown Restorations. J. Oral Sci. 2023, 65, 1–5. [Google Scholar] [CrossRef] [PubMed]
- Sherfudhin, H.; Hobeich, J.; Carvalho, C.A.; Aboushelib, M.N.; Sadig, W.; Salameh, Z. Effect of Different Ferrule Designs on the Fracture Resistance and Failure Pattern of Endodontically Treated Teeth Restored with Fiber Posts and All-Ceramic Crowns. J. Appl. Oral Sci. 2011, 19, 28–33. [Google Scholar] [CrossRef] [PubMed]
- Eraslan, O.; Aykent, F.; Yücel, M.T.; Akman, S. The Finite Element Analysis of the Effect of Ferrule Height on Stress Distribution at Post-and-Core-Restored All-Ceramic Anterior Crowns. Clin. Oral Investig. 2009, 13, 223–227. [Google Scholar] [CrossRef] [PubMed]
- Conserva, E.; Consolo, U.; Gimenez Sancho, A.; Foschi, F.; Paolone, G.; Giovarrusscio, M.; Sauro, S. Stress Distribution in Carbon-Post Applied with Different Composite Core Materials: A Three-Dimensional Finite Element Analysis. J. Adhes. Sci. Technol. 2017, 31, 2435–2444. [Google Scholar] [CrossRef]
- Nahar, R.; Mishra, S.K.; Chowdhary, R. Evaluation of Stress Distribution in an Endodontically Treated Tooth Restored with Four Different Post Systems and Two Different Crowns—A Finite Element Analysis. J. Oral Biol. Craniofac. Res. 2020, 10, 719–726. [Google Scholar] [CrossRef]
crown,
composite core,
fiber post,
gutta-percha,
tooth structure.
crown,
composite core,
fiber post,
gutta-percha,
tooth structure.
crown,
composite core,
fiber post,
gutta-percha,
tooth structure.
crown,
composite core,
fiber post,
gutta-percha,
tooth structure.
Endocrown,
gutta-percha,
tooth structure.
Endocrown,
gutta-percha,
tooth structure.
Boundary conditions and
load application.





| Material | Elastic Modulus (GPa) | Poisson’s Ratio |
|---|---|---|
| Dentin [43,44,45] | 18.6 | 0.31 |
| Cementum [44] | 8.2 | 0.3 |
| Cancellous bone [43,44,45,46,47] | 1.37 | 0.3 |
| Periodontal ligament [43,47] | 0.05 | 0.45 |
| Gutta percha [43] | 0.14 | 0.45 |
| Fiber post [43] | 33 | 0.33 |
| Composite resin [47,48] | 16.6 | 0.24 |
| Adhesive resin cement [43] | 18.6 | 0.28 |
| Vita Enamic [45] | 30 | 0.23 |
| Celtra Duo [49] | 70 | 0.23 |
| Location | Finish Line | Root Coronal Third (12 mm from Apex) | Root Middle Third (8 mm from Apex) | Root Apical Third (4 mm from Apex) | |
|---|---|---|---|---|---|
| Group | |||||
| V-L | VM | 31.12 | 27.485 | 21.999 | 16.489 |
| PS | 28.36 | 30.548 | 22.182 | 7.277 | |
| C-L | VM | 34.78 | 27.796 | 21.843 | 16.496 |
| PS | 28.38 | 20.655 | 19.459 | 16.075 | |
| V-Sh | VM | 29.79 | 27.07 | 21.83 | 16.09 |
| PS | 26.74 | 20.58 | 19.26 | 8.52 | |
| C-Sh | VM | 31.45 | 27.60 | 21.77 | 16.06 |
| PS | 25.44 | 20.52 | 19.18 | 8.49 | |
| V-E | VM | 29.64 | 27.70 | 22.18 | 16.34 |
| PS | 20.25 | 20.74 | 19.51 | 7.70 | |
| C-E | VM | 31.26 | 28.05 | 22.18 | 16.34 |
| PS | 20.31 | 20.75 | 19.50 | 7.70 |
Disclaimer/Publisher’s Note: The statements, opinions and data contained in all publications are solely those of the individual author(s) and contributor(s) and not of MDPI and/or the editor(s). MDPI and/or the editor(s) disclaim responsibility for any injury to people or property resulting from any ideas, methods, instructions or products referred to in the content. |
© 2025 by the authors. Licensee MDPI, Basel, Switzerland. This article is an open access article distributed under the terms and conditions of the Creative Commons Attribution (CC BY) license (https://creativecommons.org/licenses/by/4.0/).
Share and Cite
Soliman, M.; Almutairi, N.; Alenezi, A.; Alenezi, R.; Abo-Elmagd, A.A.A.; Abdelhafeez, M.M. Stress Distribution on Endodontically Treated Anterior Teeth Restored via Different Ceramic Materials with Varying Post Lengths Versus Endocrown—A 3D Finite Element Analysis. J. Funct. Biomater. 2025, 16, 221. https://doi.org/10.3390/jfb16060221
Soliman M, Almutairi N, Alenezi A, Alenezi R, Abo-Elmagd AAA, Abdelhafeez MM. Stress Distribution on Endodontically Treated Anterior Teeth Restored via Different Ceramic Materials with Varying Post Lengths Versus Endocrown—A 3D Finite Element Analysis. Journal of Functional Biomaterials. 2025; 16(6):221. https://doi.org/10.3390/jfb16060221
Chicago/Turabian StyleSoliman, Mai, Nawaf Almutairi, Ali Alenezi, Raya Alenezi, Amal Abdallah A. Abo-Elmagd, and Manal M. Abdelhafeez. 2025. "Stress Distribution on Endodontically Treated Anterior Teeth Restored via Different Ceramic Materials with Varying Post Lengths Versus Endocrown—A 3D Finite Element Analysis" Journal of Functional Biomaterials 16, no. 6: 221. https://doi.org/10.3390/jfb16060221
APA StyleSoliman, M., Almutairi, N., Alenezi, A., Alenezi, R., Abo-Elmagd, A. A. A., & Abdelhafeez, M. M. (2025). Stress Distribution on Endodontically Treated Anterior Teeth Restored via Different Ceramic Materials with Varying Post Lengths Versus Endocrown—A 3D Finite Element Analysis. Journal of Functional Biomaterials, 16(6), 221. https://doi.org/10.3390/jfb16060221

