Applications of the Amniotic Membrane in Vitreoretinal Surgery
Abstract
1. Introduction
2. Materials and Methods
Amniotic Membrane to Treat Macular Holes, Surgical Technique
3. Outcomes of the Human Amniotic Membrane Retinal Transplant and Comparison with Other Cutting Edge Vitreoretinal Surgical Techniques
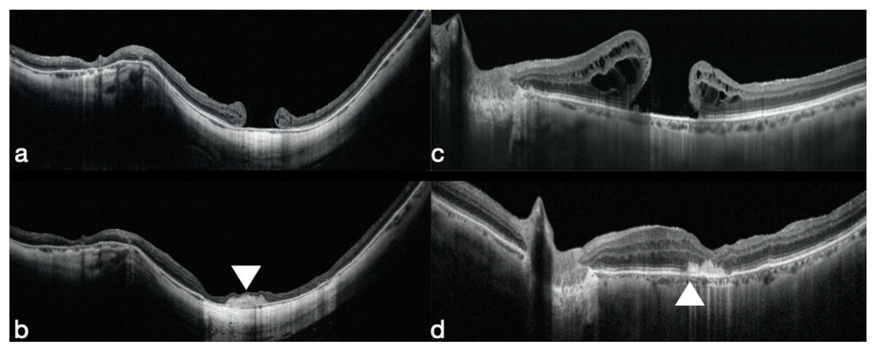
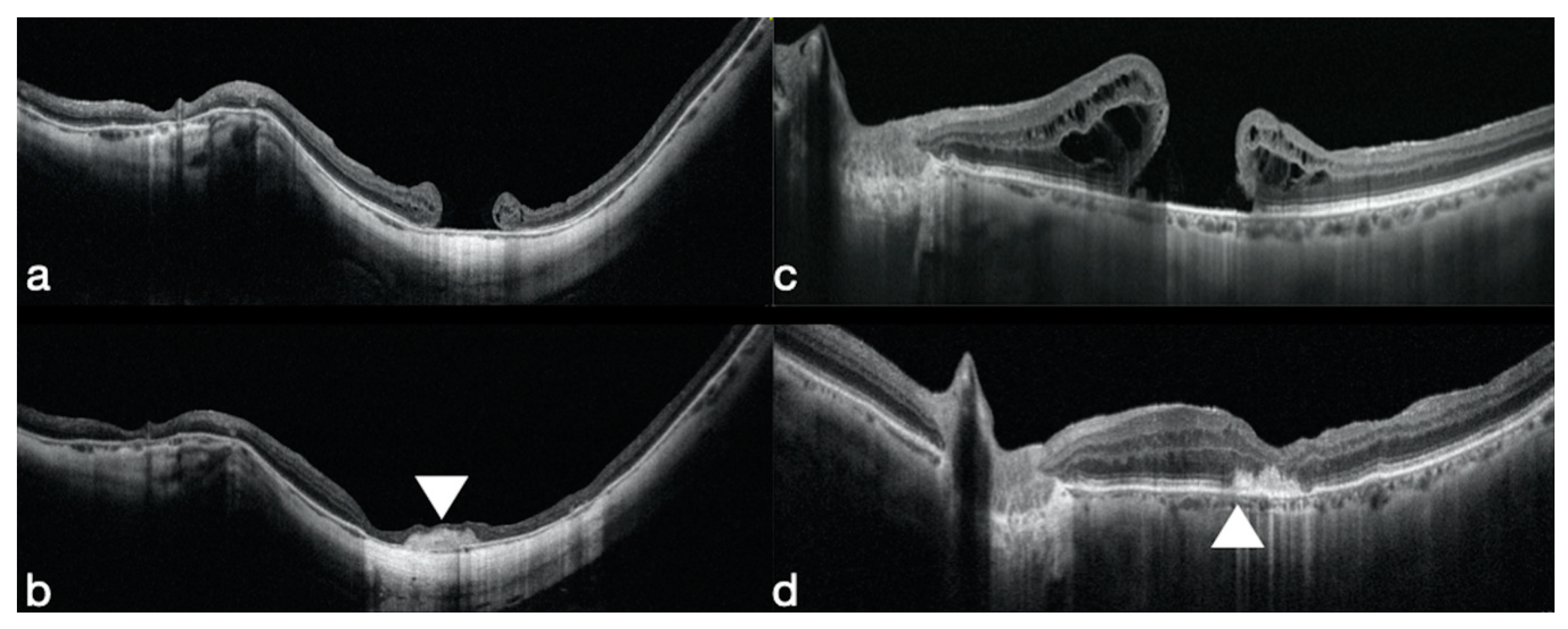
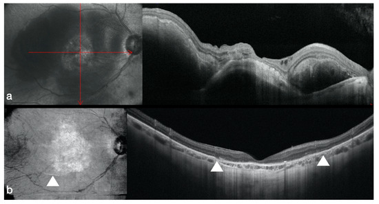
3.1. Macular Holes that Failed to Close
3.2. High Myopic Macular Hole Associated with Retinal Detachment
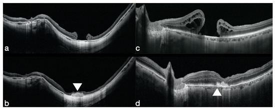
3.3. Complicated Retinal Detachment
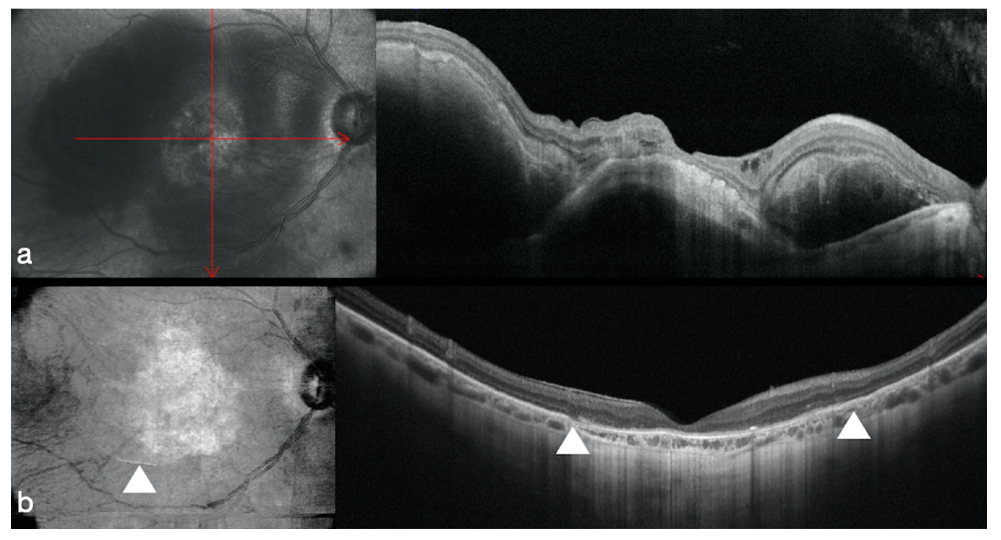
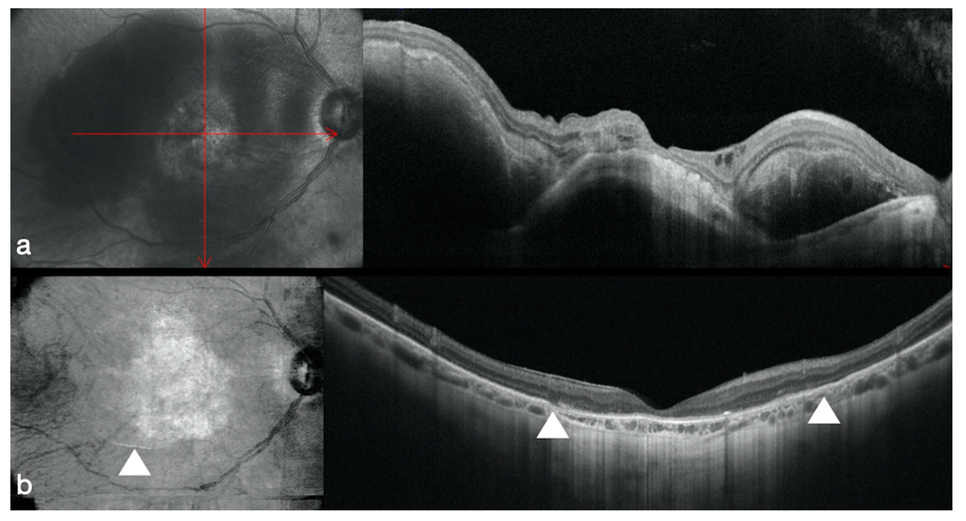
3.4. Optic Disk Pit Associated Macular Detachment
3.5. Age-Related Macular Degeneration
4. Conclusions
Author Contributions
Funding
Conflicts of Interest
References
- Tosi, G.M.; Massaro-Giordano, M.; Caporossi, A.; Toti, P. Amniotic membrane transplantation in ocular surface disorders. J. Cell Physiol. 2005, 202, 849–851. [Google Scholar] [CrossRef] [PubMed]
- Tosi, G.M.; Traversi, C.; Schuerfeld, K.; Mittica, V.; Massaro-Giordano, M.; Tilanus, M.A.; Caporossi, A.; Toti, P. Amniotic membrane graft: Histopathological findings in five cases. J. Cell Physiol. 2005, 202, 852–857. [Google Scholar] [CrossRef] [PubMed]
- Kheirkhah, A.; Blanco, G.; Casas, V.; Hayashida, Y.; Raju, V.K.; Tseng, S.C. Surgical strategies for fornix reconstruction based on symblepharon severity. Am. J. Ophthalmol. 2008, 146, 266–275. [Google Scholar] [CrossRef] [PubMed]
- Li, W.; He, H.; Chen, Y.T.; Hayashida, Y.; Tseng, S.C. Reversal of myofibroblasts by amniotic membrane stromal extract. J. Cell Physiol. 2008, 215, 657–664. [Google Scholar] [CrossRef]
- Deihim, T.; Yazdanpanah, G.; Niknejad, H. Different Light Transmittance of Placental and Reflected Regions of Human Amniotic Membrane That Could Be Crucial for Corneal Tissue Engineering. Cornea 2016, 35, 997–1003. [Google Scholar] [CrossRef]
- Niknejad, H.; Yazdanpanah, G.; Kakavand, M. Extract of fetal membrane would inhibit thrombosis and hemolysis. Med. Hypotheses 2015, 85, 197–202. [Google Scholar] [CrossRef]
- Niknejad, H.; Yazdanpanah, G.; Ahmadiani, A. Induction of apoptosis, stimulation of cell-cycle arrest and inhibition of angiogenesis make human amnion-derived cells promising sources for cell therapy of cancer. Cell Tissue Res. 2016, 363, 599–608. [Google Scholar] [CrossRef]
- Tehrani, F.A.; Ahmadiani, A.; Niknejad, H. The effects of preservation procedures on antibacterial property of amniotic membrane. Cryobiology 2013, 67, 293–298. [Google Scholar] [CrossRef]
- Tseng, S.C. Amniotic membrane transplantation for ocular surface reconstruction. Biosci. Rep. 2001, 21, 481–489. [Google Scholar] [CrossRef]
- Tseng, S.C.; Espana, E.M.; Kawakita, T.; Di Pascuale, M.A.; Li, W.; He, H.; Liu, T.S.; Cho, T.H.; Gao, Y.Y.; Yeh, L.K.; et al. How does amniotic membrane work? Ocul. Surf. 2004, 2, 177–187. [Google Scholar] [CrossRef]
- Waked, N.; El-Kazzi, V. Amniotic membrane utilization in ophthalmological surgical procedures. J. Med. Liban. 2005, 53, 39–44. [Google Scholar]
- Cheng, A.M.; Yin, H.Y.; Chen, R.; Tighe, S.; Sheha, H.; Zhao, D.; Casas, V.; Tseng, S.C. Restoration of Fornix Tear Reservoir in Conjunctivochalasis with Fornix Reconstruction. Cornea 2016, 35, 736–740. [Google Scholar] [CrossRef] [PubMed]
- Olaya, C.M.; Michael, F.; Fabian, G.; Silva, J.L.; Bernal, J.E. Role of VEGF in the differential growth between the fetal and placental ends of the umbilical cord. J. Neonatal Perinat. Med. 2018. [Google Scholar] [CrossRef]
- Heerema-McKenney, A. Defense and infection of the human placenta. APMIS 2018, 126, 570–588. [Google Scholar] [CrossRef]
- Sane, M.S.; Misra, N.; Quintanar, N.M.; Jones, C.D.; Mustafi, S.B. Biochemical characterization of pure dehydrated binate amniotic membrane: Role of cytokines in the spotlight. Regen. Med. 2018, 13, 689–703. [Google Scholar] [CrossRef] [PubMed]
- Otani, T.; Ochiai, D.; Masuda, H.; Abe, Y.; Fukutake, M.; Matsumoto, T.; Miyakoshi, K.; Tanaka, M. The neurorestorative effect of human amniotic fluid stem cells on the chronic phase of neonatal hypoxic-ischemic encephalopathy in mice. Pediatr. Res. 2018. [Google Scholar] [CrossRef] [PubMed]
- Kaur, J.; Bathla, S.C. Regenerative potential of autologous platelet-rich fibrin with and without amnion membrane in the treatment of Grade-II furcation defects: A clinicoradiographic study. J. Indian Soc. Periodontol. 2018, 22, 235–242. [Google Scholar] [CrossRef]
- Murri, M.S.; Moshirfar, M.; Birdsong, O.C.; Ronquillo, Y.C.; Ding, Y.; Hoopes, P.C. Amniotic membrane extract and eye drops: A review of literature and clinical application. Clin. Ophthalmol. 2018, 12, 1105–1112. [Google Scholar] [CrossRef]
- Meng, H.; Li, M.; You, F.; Du, J.; Luo, Z. Assessment of processed human amniotic membrane as a protective barrier in rat model of sciatic nerve injury. Neurosci. Lett. 2011, 496, 48–53. [Google Scholar] [CrossRef]
- Sadraie, S.H.; Parivar, K.; Arabi, F.; Moattari, M.; Kaka, G.; Mansouri, K. Study of Transected Sciatic Nerve Repair by Amniotic Membrane with Betamethasone in Adult Albino Wistar Rats. Arch. Iran. Med. 2016, 19, 612–617. [Google Scholar]
- Riccio, M.; Marchesini, A.; Pugliese, P.; De Francesco, F. Nerve repair and regeneration: Biological tubulization limits and future perspectives. J. Cell Physiol. 2019, 234, 3362–3375. [Google Scholar] [CrossRef] [PubMed]
- Gupta, A.; Kedige, S.D.; Jain, K. Amnion and Chorion Membranes: Potential Stem Cell Reservoir with Wide Applications in Periodontics. Int. J. Biomater. 2015, 2015, 274082. [Google Scholar] [CrossRef] [PubMed]
- Gupta, K.; Venkatesan, B.; Chandra, T.; Rajeswari, K.; Devi, T.K. Amniotic band syndrome with sacral agenesis and umbilical cord entrapment: A case report emphasizing the value of evaluation of umbilical cord. J. Radiol. Case Rep. 2015, 9, 12–19. [Google Scholar] [CrossRef] [PubMed]
- Marcus, A.J.; Woodbury, D. Fetal stem cells from extra-embryonic tissues: Do not discard. J. Cell Mol. Med. 2008, 12, 730–742. [Google Scholar] [CrossRef]
- Marcus, A.J.; Coyne, T.M.; Black, I.B.; Woodbury, D. Fate of amnion-derived stem cells transplanted to the fetal rat brain: Migration, survival and differentiation. J. Cell Mol. Med. 2008, 12, 1256–1264. [Google Scholar] [CrossRef]
- Marcus, A.J.; Coyne, T.M.; Rauch, J.; Woodbury, D.; Black, I.B. Isolation, characterization, and differentiation of stem cells derived from the rat amniotic membrane. Differentiation 2008, 76, 130–144. [Google Scholar] [CrossRef]
- Capeans, C.; Pineiro, A.; Pardo, M.; Sueiro-Lopez, C.; Blanco, M.J.; Dominguez, F.; Sanchez-Salorio, M. Amniotic membrane as support for human retinal pigment epithelium (RPE) cell growth. Acta Ophthalmol. Scand. 2003, 81, 271–277. [Google Scholar] [CrossRef]
- Ohno-Matsui, K.; Ichinose, S.; Nakahama, K.; Yoshida, T.; Kojima, A.; Mochizuki, M.; Morita, I. The effects of amniotic membrane on retinal pigment epithelial cell differentiation. Mol. Vis. 2005, 11, 1–10. [Google Scholar]
- Kiilgaard, J.F.; Scherfig, E.; Prause, J.U.; la Cour, M. Transplantation of amniotic membrane to the subretinal space in pigs. Stem Cells Int. 2012, 2012, 716968. [Google Scholar] [CrossRef]
- Rizzo, S.; Caporossi, T.; Tartaro, R.; Finocchio, L.; Franco, F.; Barca, F.; Giansanti, F. A Human Amniotic Membrane Plug to Promote Retinal Breaks Repair and Recurrent Macular Hole Closure. Retina 2019, 39 (Suppl. 1), S95–S103. [Google Scholar] [CrossRef]
- Caporossi, T.; Tartaro, R.; De Angelis, L.; Pacini, B.; Rizzo, S. A human amniotic membrane plug to repair retinal detachment associated with large macular tear. Acta Ophthalmol. 2019, 97, 821–823. [Google Scholar] [CrossRef] [PubMed]
- Caporossi, T.; De Angelis, L.; Pacini, B.; Tartaro, R.; Finocchio, L.; Barca, F.; Rizzo, S. A human Amniotic Membrane plug to manage high myopic macular hole associated with retinal detachment. Acta Ophthalmol. 2020, 98, e252–e256. [Google Scholar] [CrossRef] [PubMed]
- Caporossi, T.; De Angelis, L.; Pacini, B.; Rizzo, S. Amniotic membrane for retinal detachment due to paravascular retinal breaks over patchy chorioretinal atrophy in pathologic myopia. Eur. J. Ophthalmol. 2020, 30, 392–395. [Google Scholar] [CrossRef] [PubMed]
- Rizzo, S.; Caporossi, T.; Pacini, B.; De Angelis, L.; De Vitto, M.L.; Gainsanti, F. Management of Optic Disk Pit-associated Macular Detachment with Human Amniotic Membrane Patch. Retina 2020. [Google Scholar] [CrossRef] [PubMed]
- Rizzo, S.; Caporossi, T.; Tartaro, R.; Finocchio, L.; Pacini, B.; Bacherini, D.; Virgili, G. Human Amniotic Membrane plug to restore Age related Macular Degeneration photoreceptors’ damage. Ophthalmol. Retin. 2020. [Google Scholar] [CrossRef]
- Caporossi, T.; Tartaro, R.; Pacini, B.; De Angelis, L.; Rizzo, S. DSAEK-derived glider technique to introduce human amniotic membrane patch through small-gauge trocar for retinal pathologies. Acta Ophthalmol. 2020, 98, e526–e527. [Google Scholar] [CrossRef]
- Imai, M.; Iijima, H.; Gotoh, T.; Tsukahara, S. Optical coherence tomography of successfully repaired idiopathic macular holes. Am. J. Ophthalmol. 1999, 128, 621–627. [Google Scholar] [CrossRef]
- Kang, S.W.; Ahn, K.; Ham, D.I. Types of macular hole closure and their clinical implications. Br. J. Ophthalmol. 2003, 87, 1015–1019. [Google Scholar] [CrossRef]
- Kumagai, K.; Furukawa, M.; Ogino, N.; Larson, E. Incidence and factors related to macular hole reopening. Am. J. Ophthalmol. 2010, 149, 127–132. [Google Scholar] [CrossRef]
- Morizane, Y.; Shiraga, F.; Kimura, S.; Hosokawa, M.; Shiode, Y.; Kawata, T.; Hosogi, M.; Shirakata, Y.; Okanouchi, T. Autologous transplantation of the internal limiting membrane for refractory macular holes. Am. J. Ophthalmol. 2014, 157, 861–869. [Google Scholar] [CrossRef]
- Lee, S.M.; Kwon, H.J.; Park, S.W.; Lee, J.E.; Byon, I.S. Microstructural changes in the fovea following autologous internal limiting membrane transplantation surgery for large macular holes. Acta Ophthalmol. 2018, 96, e406–e408. [Google Scholar] [CrossRef] [PubMed]
- Grewal, D.S.; Mahmoud, T.H. Autologous Neurosensory Retinal Free Flap for Closure of Refractory Myopic Macular Holes. JAMA Ophthalmol. 2016, 134, 229–230. [Google Scholar] [CrossRef] [PubMed]
- Chen, S.N.; Yang, C.M. Lens Capsular Flap Transplantation in the Management of Refractory Macular Hole from Multiple Etiologies. Retina 2016, 36, 163–170. [Google Scholar] [CrossRef] [PubMed]
- Peng, J.; Chen, C.; Jin, H.; Zhang, H.; Zhao, P. Autologous Lens Capsular Flap Transplantation Combined with Autologous Blood Application in the Management of Refractory Macular Hole. Retina 2017. [Google Scholar] [CrossRef]
- Grewal, D.S.; Charles, S.; Parolini, B.; Kadonosono, K.; Mahmoud, T.H. Autologous Retinal Transplant for Refractory Macular Holes: Multicenter International Collaborative Study Group. Ophthalmology 2019, 126, 1399–1408. [Google Scholar] [CrossRef]
- Lai, C.C.; Chen, Y.P.; Wang, N.K.; Chuang, L.H.; Liu, L.; Chen, K.J.; Hwang, Y.S.; Wu, W.C.; Chen, T.L. Vitrectomy with Internal Limiting Membrane Repositioning and Autologous Blood for Macular Hole Retinal Detachment in Highly Myopic Eyes. Ophthalmology 2015, 122, 1889–1898. [Google Scholar] [CrossRef]
- Wu, A.L.; Chuang, L.H.; Wang, N.K.; Chen, K.J.; Liu, L.; Yeung, L.; Chen, T.L.; Hwang, Y.S.; Wu, W.C.; Lai, C.C. Refractory macular hole repaired by autologous retinal graft and blood clot. BMC Ophthalmol. 2018, 18, 213. [Google Scholar] [CrossRef]
- Liu, P.K.; Chang, Y.C.; Wu, W.C. Management of refractory macular hole with blood and gas-assisted autologous neurosensory retinal free flap transplantation: A case report. BMC Ophthalmol. 2018, 18, 230. [Google Scholar] [CrossRef]
- Lim, L.S.; Tsai, A.; Wong, D.; Wong, E.; Yeo, I.; Loh, B.K.; Ang, C.L.; Ong, S.G.; Lee, S.Y. Prognostic factor analysis of vitrectomy for retinal detachment associated with myopic macular holes. Ophthalmology 2014, 121, 305–310. [Google Scholar] [CrossRef]
- Coppola, M.; Rabiolo, A.; Cicinelli, M.V.; Querques, G.; Bandello, F. Vitrectomy in high myopia: A narrative review. Int. J. Retin. Vitr. 2017, 3, 37. [Google Scholar] [CrossRef]
- Chen, S.N.; Hsieh, Y.T.; Yang, C.M. Multiple Free Internal Limiting Membrane Flap Insertion in the Treatment of Macular Hole-Associated Retinal Detachment in High Myopia. Ophthalmologica 2018, 240, 143–149. [Google Scholar] [CrossRef] [PubMed]
- Kuriyama, S.; Matsumura, M.; Harada, T.; Ishigooka, H.; Ogino, N. Surgical techniques and reattachment rates in retinal detachment due to macular hole. Arch Ophthalmol. 1990, 108, 1559–1561. [Google Scholar] [CrossRef] [PubMed]
- Matsumura, M.; Kuriyama, S.; Harada, T.; Ishigooka, H.; Ogino, N. Surgical techniques and visual prognosis in retinal detachment due to macular hole. Ophthalmologica 1992, 204, 122–133. [Google Scholar] [CrossRef] [PubMed]
- Bovey, E.H.; Gonvers, M. Transscleral diathermy: An additional tool in the management of retinal detachment due to posterior breaks in highly myopic eyes. Retina 1999, 19, 489–494. [Google Scholar] [CrossRef] [PubMed]
- Rizzo, S.; Tartaro, R.; Barca, F.; Bacherini, D.; Franco, F.; Caporossi, T. Autologous Internal Limiting Membrane Fragment Transplantation for Rhegmatogenous Retinal Detachment Due to Paravascular or Juxtapapillary Retinal Breaks Over Patchy Chorioretinal Atrophy in Pathologic Myopia. Retina 2018, 38, 198–202. [Google Scholar] [CrossRef]
- Postel, E.A.; Pulido, J.S.; McNamara, J.A.; Johnson, M.W. The etiology and treatment of macular detachment associated with optic nerve pits and related anomalies. Trans. Am. Ophthalmol. Soc. 1998, 96, 73–88; discussion 88–93. [Google Scholar]
- Brown, G.C.; Augsburger, J.J. Congenital pits of the optic nerve head and retinochoroidal colobomas. J. Can. Ophthalmol. 1980, 15, 144–146. [Google Scholar]
- Bonnet, M. Serous macular detachment associated with optic nerve pits. Graefes. Arch. Clin. Exp. Ophthalmol. 1991, 229, 526–532. [Google Scholar] [CrossRef]
- Garcia-Arumi, J.; Guraya, B.C.; Espax, A.B.; Castillo, V.M.; Ramsay, L.S.; Motta, R.M. Optical coherence tomography in optic pit maculopathy managed with vitrectomy-laser-gas. Graefes. Arch. Clin. Exp. Ophthalmol. 2004, 242, 819–826. [Google Scholar] [CrossRef]
- Hirakata, A.; Okada, A.A.; Hida, T. Long-term results of vitrectomy without laser treatment for macular detachment associated with an optic disc pit. Ophthalmology 2005, 112, 1430–1435. [Google Scholar] [CrossRef]
- Mohammed, O.A.; Pai, A. Inverted autologous internal limiting membrane for management of optic disc pit with macular detachment. Middle East Afr. J. Ophthalmol. 2013, 20, 357–359. [Google Scholar] [CrossRef] [PubMed]
- Travassos, A.S.; Regadas, I.; Alfaiate, M.; Silva, E.D.; Proenca, R.; Travassos, A. Optic pit: Novel surgical management of complicated cases. Retina 2013, 33, 1708–1714. [Google Scholar] [CrossRef]
- Shah, P.K.; Karandikar, S.S.; Narendran, V. Scleral Autograft for Optic Nerve Head Pit Associated Chronic Maculopathy. Ophthalmic. Surg. Lasers Imaging Retin. 2017, 48, 251–254. [Google Scholar] [CrossRef]
- Parolini, B.; Grewal, D.S.; Pinackatt, S.J.; Baldi, A.; Di Salvatore, A.; Besozzi, G.; Finzi, A.; Cardillo, D.; Mahmoud, T.H. Combined Autologous Transplantation of Neurosensory Retina, Retinal Pigment Epithelium, and Choroid Free Grafts. Retina 2018, 38 (Suppl. 1), S12–S22. [Google Scholar] [CrossRef] [PubMed]
- Da Cruz, L.; Fynes, K.; Georgiadis, O.; Kerby, J.; Luo, Y.H.; Ahmado, A.; Vernon, A.; Daniels, J.T.; Nommiste, B.; Hasan, S.M.; et al. Phase 1 clinical study of an embryonic stem cell-derived retinal pigment epithelium patch in age-related macular degeneration. Nat. Biotechnol. 2018, 36, 328–337. [Google Scholar] [CrossRef] [PubMed]



© 2020 by the authors. Licensee MDPI, Basel, Switzerland. This article is an open access article distributed under the terms and conditions of the Creative Commons Attribution (CC BY) license (http://creativecommons.org/licenses/by/4.0/).
Share and Cite
Caporossi, T.; Tartaro, R.; Bacherini, D.; Pacini, B.; De Angelis, L.; Governatori, L.; Di Leo, L.; Oliverio, L.; Rizzo, S. Applications of the Amniotic Membrane in Vitreoretinal Surgery. J. Clin. Med. 2020, 9, 2675. https://doi.org/10.3390/jcm9082675
Caporossi T, Tartaro R, Bacherini D, Pacini B, De Angelis L, Governatori L, Di Leo L, Oliverio L, Rizzo S. Applications of the Amniotic Membrane in Vitreoretinal Surgery. Journal of Clinical Medicine. 2020; 9(8):2675. https://doi.org/10.3390/jcm9082675
Chicago/Turabian StyleCaporossi, Tomaso, Ruggero Tartaro, Daniela Bacherini, Bianca Pacini, Lorenzo De Angelis, Lorenzo Governatori, Laura Di Leo, Leandro Oliverio, and Stanislao Rizzo. 2020. "Applications of the Amniotic Membrane in Vitreoretinal Surgery" Journal of Clinical Medicine 9, no. 8: 2675. https://doi.org/10.3390/jcm9082675
APA StyleCaporossi, T., Tartaro, R., Bacherini, D., Pacini, B., De Angelis, L., Governatori, L., Di Leo, L., Oliverio, L., & Rizzo, S. (2020). Applications of the Amniotic Membrane in Vitreoretinal Surgery. Journal of Clinical Medicine, 9(8), 2675. https://doi.org/10.3390/jcm9082675

