Operative Procedures for Ultrasound Assessment of Extracranial Artery Disease: A Narrative Review by the Italian Society for Vascular Investigation (SIDV)
Abstract
1. Preamble
2. Introduction
3. Materials and Methods
4. Imaging Techniques for Extracranial Arterial Disease Assessment
4.1. Ultrasound
4.2. Computed Tomography
4.3. Magnetic Resonance Imaging
4.4. Digital Subtraction Angiography
4.5. Positron Emission Tomography
5. Principles of Ultrasound Imaging
5.1. Physic of Ultrasound
5.2. Doppler Ultrasound
- -
- 0° angle: Blood flows toward the transducer, resulting in a strong Doppler shift.
- -
- 180° angle: Blood flows away from the transducer, also producing a strong Doppler shift.
- -
- 90° angle: Blood flow is perpendicular to the ultrasound beam, so no Doppler shift is detected.
- -
- Difficult flow direction determination, especially in areas of narrowing (stenosis).
- -
- Out-of-plane errors where the flow jet moves outside the imaging plane.
- -
- Intrinsic spectral broadening and image variability can further reduce the accuracy of the measurements.
5.3. Power Doppler Imaging
5.4. Microvascular Flow Imaging
5.5. Contrast-Enhanced Ultrasound
5.5.1. Application of CEUS
5.5.2. CEUS Protocol [82]
- -
- Use an ultrasound machine with contrast-specific imaging modes (e.g., pulse inversion).
- -
- Set the mechanical index to a low value (≤0.2) to keep the microbubbles intact.
- -
- Use of a linear probe with a frequency range of 3–11 MHz
- -
- Inject a 2.4 mL bolus of SonoVue® (Bracco Imaging S.p.A., Milan, Italy), a sulfur hexafluoride-based contrast agent, into a large vein, like the antecubital vein, to prevent microbubble damage.
- -
- Follow the injection with 5–10 mL of 0.9% saline to ensure the contrast circulates properly.
- -
- The contrast agent typically appears in the carotid arteries within 20–30 s after injection.
- -
- Record a cine loop lasting 280–360 s.
- -
- Perform a qualitative assessment of the recorded cine loops.
- -
- Conduct a post-processing analysis to measure parameters like intraplaque enhancement intensity.
5.6. 3D
6. Carotid Artery Disease
6.1. Indications for Ultrasound Scan
- Transient monocular blindness (amaurosis fugax);
- Follow-up of known carotid stenosis;
- Preoperative evaluation before major surgical procedures, especially cardiothoracic;
- Post-intervention follow-up (carotid endarterectomy, stent, etc.);
- Suspected subclavian steal syndrome;
- Pulsatile neck mass;
- Rheumatic disease with vascular involvement.
- -
- -
- Asymptomatic individuals with elevated blood pressure or hypertension, specifically when the results are likely to alter patient management [91]
6.2. Equipment
6.3. Methodology of Examination
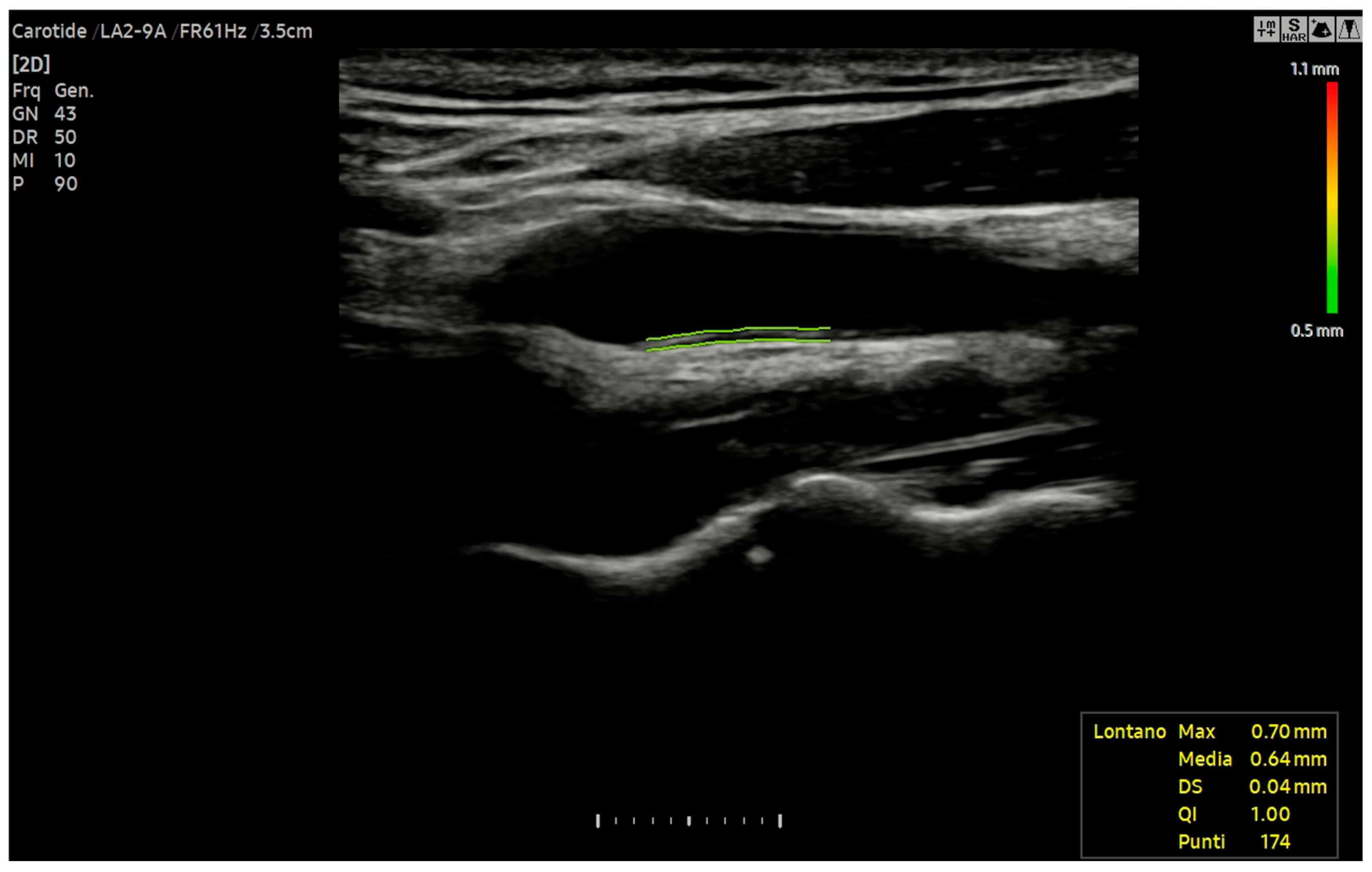
6.4. Carotid Intima-Media Thickness
6.5. Carotid Plaque
6.5.1. Definition
6.5.2. Methods of Plaque Quantification
6.5.3. Ultrasound Characteristic of Plaque
- -
- Anechoic (no echoes): Use the blood within the vessel.
- -
- Isoechoic (same echoes): Use the sternocleidomastoid muscle.
- -
6.5.4. Ultrasound Evaluation of Carotid Stenosis
- Sub-occlusion (90–95% stenosis): The stenosis is segmental and tight at the origin of the ICA from the carotid bifurcation, but the post-stenotic lumen resumes, albeit reduced.
- “Near-occlusion”: Partial or subtotal collapse caused by inadequate filling of the lumen in the ICA over a long segment from its origin to the carotid bifurcation towards the cranial base; also known as “string-sign” on instrumental evaluations. Notably, CTA is especially useful in distinguishing near occlusion from sub-occlusion.
- Several CTA parameters have been established: no distal vessel collapse, including (1) residual lumen of 1.3 mm; (2) ipsilateral distal ICA diameter of 3.5 mm; (3) ratio of ipsilateral distal ICA diameter to contralateral ICA of 0.87; and (4) ratio of ipsilateral distal ICA diameter to ipsilateral ECA diameter of 1.27 [137]. More recently, improved prognostic discrimination has been demonstrated with the combination of a distal ICA diameter of 2 mm and an ICA diameter ratio of 0.42 [138].
- Occlusion: It can be segmental at the origin of the ICA or entire throughout the extracranial ICA. In such cases, aside from the absence of colour Doppler, the PW Doppler analysis at the CCA may show a significant reduction in EDV compared to the contralateral CCA [139] or a “knocking” waveform pattern (low PSV, decreased, absent, or reversed diastolic flow, high resistance waveform pattern).
6.5.5. Post-Operative Checks
Carotid Endoarterectomy
Carotid Artery Stenting
- -
- Presence and severity of stenosis at the treatment site (in-stent).
- -
- Restenosis >50%: PSV > 220 cm/s; PSV ICA/CCA ratio > 2.5.
- Patency of the ICA.
- Patency of the ECA.
- Presence of stenosis in the stented segment.
- Presence of stenosis (new atheroma, hyperplasia, thrombus) inside the stent (in-stent restenosis).
- Presence of stenosis upstream or downstream of the stent.
- Presence of parietal thrombus.
- Adhesion of the stent to the vessel wall.
- Presence of kinking of the internal carotid at the end of the stent (caused by different compliance between the stent and the carotid).
- Migration of the stent.
- Integrity or breakage of the stent.
- Any complications related to a previous endarterectomy (patch detachment, etc.).
6.6. Carotid Dissection
6.7. Carotid Morphological Anomalies
6.8. Miscellaneous
6.8.1. Carotid Fibromuscular Dysplasia
- -
- Angiography: While considered the gold standard, angiography is typically reserved for patients with severe vascular findings that require endovascular intervention. This is because of the associated risk of iatrogenic dissection [176].
- -
- -
- Carotid DUS: This technique is primarily used in highly specialised centres. It can detect subclinical vascular abnormalities such as tortuosity or altered blood flow in the carotid arteries. Although standardised diagnostic criteria for DUS are currently lacking, abnormal findings may suggest the presence of FMD [176].
- -
- Increased Doppler Velocity: Elevated velocity in the distal carotid arteries may indicate stenosis.
- -
- Flow Turbulence: Colour Doppler ultrasound can demonstrate turbulent blood flow, characterised by aliasing, particularly in the distal segment of the ICA.
- -
- “String-of-beads” Sign: Although this sign, which represents alternating arterial lumen narrowing and dilation, is rarely visualised with ultrasound, it is diagnostically significant when seen.
Carotid Web
- -
- Location: CaW is often situated at the proximal ICA and the carotid bifurcation.
- -
- Appearance: CaW appears as a membranous structure protruding into the arterial lumen, without significant fluctuations with blood flow, unlike free-floating thrombi.
- -
- Size: In some patients, the CaW extends over half the artery’s diameter, while in others, it is comparatively short.
- -
- Longitudinal versus transverse views: CaW is more easily visualised in longitudinal views and appears clearer than in transverse sections.
- -
- Cliff-like stenosis: In certain cases, CaW causes an abrupt, cliff-like narrowing of the artery.
- -
- Presence of plaques and thrombi: Plaques are often associated with CaW, and in some cases, thrombi can be observed forming at the acute angle between the CaW and the arterial wall. These features help clinicians improve the diagnostic accuracy of CaW during ultrasound assessments [191].
Thin Fluttering Band
6.8.2. Aneurysm and Pseudoaneurysm
6.8.3. Radiation Effects
6.8.4. Carotid Body Tumor
- On B-mode scan, the mass is well-defined, predominantly hypoechoic, and located at the bifurcation of the CCA. Typically, the mass separates the ICA and the ECA, also known as the “lyre sign” [209].
- Colour Doppler reveals high vascularity with multiple flow signals and low-resistance arterial waveforms on PW Doppler. Additionally, elastography may provide further insights into the tumour’s extracellular matrix and stromal component, displaying a soft to mildly stiff profile [210]. CTA and magnetic resonance imaging offer enhanced characterisation of the tumour. For pre-operative planning, axial MRI facilitates assessment of the circumferential contact degree between the carotid body tumour and ICA [211].
6.9. Temporal Artery Disease
7. Vertebral Artery Disease
7.1. Hypoplasia
7.2. Atherosclerosis
7.3. Uncoarthrosis
7.4. Vertebral Artery Blood Flow During Cervical Spine Rotation
7.5. Vertebral Artery Dissection
8. Subclavian Artery Disease
9. Thoracic Outlet Syndrome
- Adson test: the patient is seated upright; the affected shoulder is abducted to 30° with full extension of the elbow. The patient extends their neck while turning their head towards the ipsilateral shoulder and inhaling deeply. In the modified Adson test, the affected shoulder is abducted to 90°. The test is positive if there is a diminished or absent radial pulse. It has a high rate of false positives in diagnosis, even though it is more specific for scalene syndrome or to identify a cervical rib impaction [271,272,273].
- Elevated Arm Stress Test: the patient is seated upright; the arms are abducted to 90°, externally rotated, with elbows flexed to 90°, resembling a “surrender position”. The patient maintains this position while slowly opening and closing their hands for 3 min. The test is positive if there is pain, paraesthesia, numbness, weakness, heaviness, skin colour change, or fatigue in the upper limbs.
- Upper limb tension test: in a supine position, the arms are abducted to 90° with straight elbows; then, the wrist is dorsiflexed, and the head is tilted to each side. The test is positive if neurological symptoms are present.
- Halstead manoeuvre: the patient is seated upright. The examiner palpates the radial pulse and pulls downwards on the limb to be examined while the patient hyperextends and rotates their head away from the side being tested. The test is positive if the radial pulse disappears.
- Eden manoeuvre (or Costoclavicular Maneuver): the patient is seated upright and is instructed to pull the shoulders down and back while slightly extending the neck and chest (military posture). Deep inhalation can help increase compression. The test is positive if there is a reduction or disappearance of the radial pulse.
- Wright manoeuvre: the patient is seated upright. The examiner hyperabducts the arms with external rotation to 90°, maintaining the head straight. The elbow is flexed no more than 45°. The limb is held in this position for about 1 min. The patient can take a deep breath to further provoke symptoms. The test is positive if there is a reduction or disappearance of the radial pulse and/or the onset of paresthesias.
Procedure for the Study of the Thoracic Outlet Syndrome with Ultrasound
10. Summary
- -
- B-mode imaging is utilised for assessing vessel morphology, intima-media thickness, and plaque.
- -
- Colour and Power Doppler are employed to evaluate flow direction and turbulence.
- -
- Spectral Doppler is used for stenosis quantification, using validated velocity thresholds.
- -
- CEUS and MVFI are recognised for their ability to improve plaque characterisation, evaluate intraplaque neovascularisation, and refine cerebrovascular risk stratification.
- -
- 3D US is a tool for characterising plaque morphology and measuring lesions in all planes.
Author Contributions
Funding
Institutional Review Board Statement
Informed Consent Statement
Data Availability Statement
Acknowledgments
Conflicts of Interest
Abbreviations
| 2D | Two-Dimensional |
| 3D | Three-Dimensional |
| ACT | Acceleration time |
| AVF | Arteriovenous Fistula |
| B-mode | Brightness Mode |
| CAD | Carotid Artery Disease |
| CAS | Carotid Artery Stenting |
| CCA | Common Carotid Artery |
| CDI | Colour Doppler Imaging |
| CEA | Carotid endarterectomy |
| C-FMD | Cerebrovascular Fibromuscular Dysplasia |
| CT | Computer Tomography |
| CTA | Computer Tomography Angiography |
| CVD | Cardiovascular Disease |
| CaW | Carotid Web |
| CEUS | Contrast Enhanced Ultrasound |
| DEGUM | Deutsche Gesellschaft fur Ultraschall in der Medizin |
| DSA | Digital Subtraction Angiography |
| DUS | Duplex Ultrasonography |
| ECA | External Carotid Artery |
| ECST | European Carotid Surgery Trial |
| EDV | End Diastolic Velocity |
| ESC | European Society of Cardiology |
| EVAR | Endovascular Aneurysm Repair |
| FMD | Fibromuscolar Dysplasia |
| GCA | Giant Cell Arteritis |
| GSM | Gray-scale Median |
| Hz | Hertz |
| ICA | Internal Carotid Artery |
| IMT | Intima Media Tickness |
| LVV | Large Vessel vasculitis |
| KHz | Kilo Hertz |
| MHz | Mega Hertz |
| MRA | Magnetic Resonance Angiography |
| MRI | Magnetic Resonance Imaging |
| MVFI | Microvascular flow imaging |
| NASCET | North American Symptomatic Carotid Endarterectomy Trial |
| PDI | Power Doppler Imaging |
| PET | Positron Emission Tomography |
| PRF | Pulse Repetition Frequency |
| PRP | Pulse Repetition Period |
| PSV | Peak Systolic Velocity |
| PWD | Pulsed Wave Doppler |
| RI | Resistive Index |
| ROC | Receiver Operating Characteristic |
| SIDV | Italian Society for Vascular Investigation |
| STA | Superficial Temporal Artery |
| TAK | Takayasu Arteritis |
| TFB | Thin Fluttering Band |
| TIA | Transient Ischemic Attack |
| TOS | Thoracic Outlet Syndrome |
| US | Ultrasound |
| VAD | Vertebral artery dissection |
| WHO | World Health Organization |
References
- Antignani, P.L.; Benedetti-Valentini, F.; Aluigi, L.; Baroncelli, T.A.; Camporese, G.; Failla, G.; Martinelli, O.; Palasciano, G.C.; Pulli, R.; Rispoli, P.; et al. Diagnosis of Vascular Diseases. Ultrasound Investigations—Guidelines. Int. Angiol. J. Int. Union. Angiol. 2012, 31, 1–77. [Google Scholar]
- World Health Organization. Cardiovascular Diseases (CVDs) Fact Sheet. Available online: https://Www.Who.Int/News-Room/Fact-Sheets/Detail/Cardiovascular-Diseases-(Cvds) (accessed on 3 December 2021).
- Signorelli, S.S.; Platania, I.; Tomasello, S.D.; Mangiafico, M.; Barcellona, G.; Di Raimondo, D.; Gaudio, A. Insights from Experiences on Antiplatelet Drugs in Stroke Prevention: A Review. Int. J. Environ. Res. Public. Health 2020, 17, 5840. [Google Scholar] [CrossRef]
- Mangiafico, R.A.; Mangiafico, M. Emerging Anticoagulant Therapies for Atrial Fibrillation: New Options, New Challenges. Curr. Med. Chem. 2012, 19, 4688–4698. [Google Scholar] [CrossRef]
- Bushnell, C.; Kernan, W.N.; Sharrief, A.Z.; Chaturvedi, S.; Cole, J.W.; Cornwell, W.K.; Cosby-Gaither, C.; Doyle, S.; Goldstein, L.B.; Lennon, O.; et al. 2024 Guideline for the Primary Prevention of Stroke: A Guideline From the American Heart Association/American Stroke Association. Stroke 2024, 55, e344–e424. [Google Scholar] [CrossRef] [PubMed]
- Nezu, T.; Hosomi, N.; Aoki, S.; Matsumoto, M. Carotid Intima-Media Thickness for Atherosclerosis. J. Atheroscler. Thromb. 2016, 23, 18–31. [Google Scholar] [CrossRef] [PubMed]
- Brinjikji, W.; Huston, J.; Rabinstein, A.A.; Kim, G.-M.; Lerman, A.; Lanzino, G. Contemporary Carotid Imaging: From Degree of Stenosis to Plaque Vulnerability. J. Neurosurg. 2016, 124, 27–42. [Google Scholar] [CrossRef] [PubMed]
- Martinez, E.; Martorell, J.; Riambau, V. Review of Serum Biomarkers in Carotid Atherosclerosis. J. Vasc. Surg. 2020, 71, 329–341. [Google Scholar] [CrossRef]
- Kabłak-Ziembicka, A.; Przewłocki, T. Clinical Significance of Carotid Intima-Media Complex and Carotid Plaque Assessment by Ultrasound for the Prediction of Adverse Cardiovascular Events in Primary and Secondary Care Patients. J. Clin. Med. 2021, 10, 4628. [Google Scholar] [CrossRef]
- Díaz-Gómez, J.L.; Mayo, P.H.; Koenig, S.J. Point-of-Care Ultrasonography. N. Engl. J. Med. 2021, 385, 1593–1602. [Google Scholar] [CrossRef]
- Naylor, A.R.; Ricco, J.-B.; de Borst, G.J.; Debus, S.; de Haro, J.; Halliday, A.; Hamilton, G.; Kakisis, J.; Kakkos, S.; Lepidi, S.; et al. Editor’s Choice—Management of Atherosclerotic Carotid and Vertebral Artery Disease: 2017 Clinical Practice Guidelines of the European Society for Vascular Surgery (ESVS). Eur. J. Vasc. Endovasc. Surg. 2018, 55, 3–81. [Google Scholar] [CrossRef]
- Chaturvedi, S.; Bruno, A.; Feasby, T.; Holloway, R.; Benavente, O.; Cohen, S.N.; Cote, R.; Hess, D.; Saver, J.; Spence, J.D.; et al. Carotid Endarterectomy—An Evidence-Based Review [RETIRED]: Report of the Therapeutics and Technology Assessment Subcommittee of the American Academy of Neurology. Neurology 2005, 65, 794–801. [Google Scholar] [CrossRef] [PubMed]
- Song, P.; Fang, Z.; Wang, H.; Cai, Y.; Rahimi, K.; Zhu, Y.; Fowkes, F.G.R.; Fowkes, F.J.I.; Rudan, I. Global and Regional Prevalence, Burden, and Risk Factors for Carotid Atherosclerosis: A Systematic Review, Meta-Analysis, and Modelling Study. Lancet Glob. Health 2020, 8, e721–e729. [Google Scholar] [CrossRef] [PubMed]
- Dossabhoy, S.; Arya, S. Epidemiology of Atherosclerotic Carotid Artery Disease. Semin. Vasc. Surg. 2021, 34, 3–9. [Google Scholar] [CrossRef] [PubMed]
- de Weerd, M.; Greving, J.P.; Hedblad, B.; Lorenz, M.W.; Mathiesen, E.B.; O’Leary, D.H.; Rosvall, M.; Sitzer, M.; Buskens, E.; Bots, M.L. Prevalence of Asymptomatic Carotid Artery Stenosis in the General Population: An Individual Participant Data Meta-Analysis. Stroke 2010, 41, 1294–1297. [Google Scholar] [CrossRef]
- Marquardt, L.; Kuker, W.; Chandratheva, A.; Geraghty, O.; Rothwell, P.M. Incidence and Prognosis of > or = 50% Symptomatic Vertebral or Basilar Artery Stenosis: Prospective Population-Based Study. Brain J. Neurol. 2009, 132, 982–988. [Google Scholar] [CrossRef]
- Al-Ali, F.; Barrow, T.; Duan, L.; Jefferson, A.; Louis, S.; Luke, K.; Major, K.; Smoker, S.; Walker, S.; Yacobozzi, M. Vertebral Artery Ostium Atherosclerotic Plaque as a Potential Source of Posterior Circulation Ischemic Stroke: Result from Borgess Medical Center Vertebral Artery Ostium Stenting Registry. Stroke 2011, 42, 2544–2549. [Google Scholar] [CrossRef]
- Cole, J.W. Large Artery Atherosclerotic Occlusive Disease. Contin. Minneap. Minn. 2017, 23, 133–157. [Google Scholar] [CrossRef]
- Mazzolai, L.; Teixido-Tura, G.; Lanzi, S.; Boc, V.; Bossone, E.; Brodmann, M.; Bura-Rivière, A.; De Backer, J.; Deglise, S.; Della Corte, A.; et al. 2024 ESC Guidelines for the Management of Peripheral Arterial and Aortic Diseases. Eur. Heart J. 2024, 45, 3538–3700. [Google Scholar] [CrossRef]
- Barber, F.E.; Baker, D.W.; Nation, A.W.; Strandness, D.E.; Reid, J.M. Ultrasonic Duplex Echo-Doppler Scanner. IEEE Trans. Biomed. Eng. 1974, 21, 109–113. [Google Scholar] [CrossRef]
- Beach, K.W. D. Eugene Strandness, Jr, MD, and the Revolution in Noninvasive Vascular Diagnosis: Part 1: Foundations. J. Ultrasound Med. 2005, 24, 259–272. [Google Scholar] [CrossRef]
- ter Haar, G. Safety and Bio-Effects of Ultrasound Contrast Agents. Med. Biol. Eng. Comput. 2009, 47, 893–900. [Google Scholar] [CrossRef]
- Sidhu, P.S.; Cantisani, V.; Dietrich, C.F.; Gilja, O.H.; Saftoiu, A.; Bartels, E.; Bertolotto, M.; Calliada, F.; Clevert, D.-A.; Cosgrove, D.; et al. The EFSUMB Guidelines and Recommendations for the Clinical Practice of Contrast-Enhanced Ultrasound (CEUS) in Non-Hepatic Applications: Update 2017 (Short Version). Ultraschall Med. 2018, 39, 154–180. [Google Scholar] [CrossRef]
- Kollmann, C.; Jenderka, K.-V.; Moran, C.M.; Draghi, F.; Jimenez Diaz, J.F.; Sande, R. EFSUMB Clinical Safety Statement for Diagnostic Ultrasound—(2019 Revision). Ultraschall Med. 2020, 41, 387–389. [Google Scholar] [CrossRef]
- Quarato, C.M.I.; Lacedonia, D.; Salvemini, M.; Tuccari, G.; Mastrodonato, G.; Villani, R.; Fiore, L.A.; Scioscia, G.; Mirijello, A.; Saponara, A.; et al. A Review on Biological Effects of Ultrasounds: Key Messages for Clinicians. Diagnostics 2023, 13, 855. [Google Scholar] [CrossRef]
- Demchuk, A.M.; Menon, B.K.; Goyal, M. Comparing Vessel Imaging: Noncontrast Computed Tomography/Computed Tomographic Angiography Should Be the New Minimum Standard in Acute Disabling Stroke. Stroke 2016, 47, 273–281. [Google Scholar] [CrossRef] [PubMed]
- Wardlaw, J.M.; Chappell, F.M.; Best, J.J.K.; Wartolowska, K.; Berry, E. Non-Invasive Imaging Compared with Intra-Arterial Angiography in the Diagnosis of Symptomatic Carotid Stenosis: A Meta-Analysis. Lancet Lond. Engl. 2006, 367, 1503–1512. [Google Scholar] [CrossRef] [PubMed]
- Chappell, F.M.; Wardlaw, J.M.; Young, G.R.; Gillard, J.H.; Roditi, G.H.; Yip, B.; Pell, J.P.; Rothwell, P.M.; Brown, M.M.; Gough, M.J.; et al. Carotid Artery Stenosis: Accuracy of Noninvasive Tests—Individual Patient Data Meta-Analysis. Radiology 2009, 251, 493–502. [Google Scholar] [CrossRef] [PubMed]
- Wardlaw, J.M.; Chappell, F.M.; Stevenson, M.; De Nigris, E.; Thomas, S.; Gillard, J.; Berry, E.; Young, G.; Rothwell, P.; Roditi, G.; et al. Accurate, Practical and Cost-Effective Assessment of Carotid Stenosis in the UK. Health Technol. Assess. Winch. Engl. 2006, 10, 1–182. [Google Scholar] [CrossRef]
- Vicentela, I.A.; Cifuentes, J.C.; Barahona, Z.D.; Chong, M.G.; Schiappacasse, F.G. Positron emission tomography-CT scan (PET-CT) in the diagnosis of large vessel vasculitis. Rev. Med. Chil. 2021, 149, 773–778. [Google Scholar] [CrossRef]
- Magee, P. Essential Notes on the Physics of Doppler Ultrasound. BJA Educ. 2020, 20, 112–113. [Google Scholar] [CrossRef]
- Dietrich, C.F. Physical Principles of Medical Ultrasound. In EFSUMB Course Book; Christoph, F., Ed.; Dietrich: London, UK, 2021. [Google Scholar]
- Aldrich, J.E. Basic Physics of Ultrasound Imaging. Crit. Care Med. 2007, 35, S131–S137. [Google Scholar] [CrossRef]
- Evans, D.H.; Jensen, J.A.; Nielsen, M.B. Ultrasonic Colour Doppler Imaging. Interface Focus. 2011, 1, 490–502. [Google Scholar] [CrossRef]
- Meola, M.; Ibeas, J.; Lasalle, G.; Petrucci, I. Basics for Performing a High-Quality Color Doppler Sonography of the Vascular Access. J. Vasc. Access 2021, 22, 18–31. [Google Scholar] [CrossRef]
- Dietrich, C.F. Ultrasound in Vascular Diseases. In EFSUMB Course Book; Christoph, F., Ed.; Dietrich: London, UK, 2021. [Google Scholar]
- Rubin, J.M. Power Doppler. Eur. Radiol. 1999, 9 (Suppl. S3), S318–S322. [Google Scholar] [CrossRef]
- Steinke, W.; Meairs, S.; Ries, S.; Hennerici, M. Sonographic Assessment of Carotid Artery Stenosis. Comparison of Power Doppler Imaging and Color Doppler Flow Imaging. Stroke 1996, 27, 91–94. [Google Scholar] [CrossRef] [PubMed]
- Steinke, W.; Ries, S.; Artemis, N.; Schwartz, A.; Hennerici, M. Power Doppler Imaging of Carotid Artery Stenosis. Comparison with Color Doppler Flow Imaging and Angiography. Stroke 1997, 28, 1981–1987. [Google Scholar] [CrossRef] [PubMed]
- Aziz, M.U.; Eisenbrey, J.R.; Deganello, A.; Zahid, M.; Sharbidre, K.; Sidhu, P.; Robbin, M.L. Microvascular Flow Imaging: A State-of-the-Art Review of Clinical Use and Promise. Radiology 2022, 305, 250–264. [Google Scholar] [CrossRef] [PubMed]
- Rónaszéki, A.D.; Dudás, I.; Zsély, B.; Budai, B.K.; Stollmayer, R.; Hahn, O.; Csongrády, B.; Park, B.-S.; Maurovich-Horvat, P.; Győri, G.; et al. Microvascular Flow Imaging to Differentiate Focal Hepatic Lesions: The Spoke-Wheel Pattern as a Specific Sign of Focal Nodular Hyperplasia. Ultrasonography 2023, 42, 172–181. [Google Scholar] [CrossRef]
- Leong, J.Y.; Wessner, C.E.; Kramer, M.R.; Forsberg, F.; Halpern, E.J.; Lyshchik, A.; Torkzaban, M.; Morris, A.; Byrne, K.; VanMeter, M.; et al. Superb Microvascular Imaging Improves Detection of Vascularity in Indeterminate Renal Masses. J. Ultrasound Med. 2020, 39, 1947–1955. [Google Scholar] [CrossRef]
- Xiao, X.-Y.; Chen, X.; Guan, X.-F.; Wu, H.; Qin, W.; Luo, B.-M. Superb Microvascular Imaging in Diagnosis of Breast Lesions: A Comparative Study with Contrast-Enhanced Ultrasonographic Microvascular Imaging. Br. J. Radiol. 2016, 89, 20160546. [Google Scholar] [CrossRef]
- Jiang, L.; Zhang, D.; Chen, Y.-N.; Yu, X.-J.; Pan, M.-F.; Lian, L. The Value of Conventional Ultrasound Combined with Superb Microvascular Imaging and Color Doppler Flow Imaging in the Diagnosis of Thyroid Malignant Nodules: A Systematic Review and Meta-Analysis. Front. Endocrinol. 2023, 14, 1182259. [Google Scholar] [CrossRef] [PubMed]
- Endo, T.; Matsui, Y.; Kawamura, D.; Urita, A.; Momma, D.; Ota, M.; Shibayama, H.; Iwai, T.; Nishida, M.; Iwasaki, N. Diagnostic Utility of Superb Microvascular Imaging and Power Doppler Ultrasonography for Visualizing Enriched Microvascular Flow in Patients With Carpal Tunnel Syndrome. Front. Neurol. 2022, 13, 832569. [Google Scholar] [CrossRef] [PubMed]
- Ates, F.; Sivri, M.; Durmaz, M.S.; Sekmenli, T.; Gunduz, M.; Ciftci, I. Comparison of Conventional Doppler Imaging Techniques and Superb Microvascular Imaging in Determination of Vascularization in Undescended Testes. J. Ultrason. 2023, 23, e66–e72. [Google Scholar] [CrossRef] [PubMed]
- Song, Y.; Xing, H.; Zhang, Z.; Felix, L.O. Detection of Carotid Atherosclerotic Intraplaque Neovascularization Using Superb Microvascular Imaging: A Meta-Analysis. J. Ultrasound Med. 2021, 40, 2629–2638. [Google Scholar] [CrossRef]
- Oura, K.; Kato, T.; Ohba, H.; Terayama, Y. Evaluation of Intraplaque Neovascularization Using Superb Microvascular Imaging and Contrast-Enhanced Ultrasonography. J. Stroke Cerebrovasc. Dis. 2018, 27, 2348–2353. [Google Scholar] [CrossRef]
- Gabriel, M.; Tomczak, J.; Snoch-Ziółkiewicz, M.; Dzieciuchowicz, Ł.; Strauss, E.; Pawlaczyk, K.; Wojtusik, D.; Oszkinis, G. Superb Micro-Vascular Imaging (SMI): A Doppler Ultrasound Technique with Potential to Identify, Classify, and Follow up Endoleaks in Patients after Endovascular Aneurysm Repair (EVAR). Abdom. Radiol. N. Y. 2018, 43, 3479–3486. [Google Scholar] [CrossRef]
- Curti, M.; Piacentino, F.; Fontana, F.; Ossola, C.; Coppola, A.; Marra, P.; Basile, A.; Ierardi, A.M.; Carrafiello, G.; Carcano, G.; et al. EVAR Follow-Up with Ultrasound Superb Microvascular Imaging (SMI) Compared to CEUS and CT Angiography for Detection of Type II Endoleak. Diagnostics 2022, 12, 526. [Google Scholar] [CrossRef]
- Liu, F.-J.; Ci, W.-P.; Cheng, Y. Clinical Study of Carotid Superb Microvascular Imaging in Evaluating the Activity of Takayasu’s Arteritis. Front. Cardiovasc. Med. 2023, 10, 1051862. [Google Scholar] [CrossRef]
- Greis, C. Technology Overview: SonoVue (Bracco, Milan). Eur. Radiol. 2004, 14 (Suppl. S8), P11–P15. [Google Scholar]
- Schneider, M. SonoVue, a New Ultrasound Contrast Agent. Eur. Radiol. 1999, 9 (Suppl. S3), S347–S348. [Google Scholar] [CrossRef]
- Piscaglia, F.; Nolsøe, C.; Dietrich, C.F.; Cosgrove, D.O.; Gilja, O.H.; Bachmann Nielsen, M.; Albrecht, T.; Barozzi, L.; Bertolotto, M.; Catalano, O.; et al. The EFSUMB Guidelines and Recommendations on the Clinical Practice of Contrast Enhanced Ultrasound (CEUS): Update 2011 on Non-Hepatic Applications. Ultraschall Med. 2012, 33, 33–59. [Google Scholar] [CrossRef]
- Greis, C. Ultrasound Contrast Agents as Markers of Vascularity and Microcirculation. Clin. Hemorheol. Microcirc. 2009, 43, 1–9. [Google Scholar] [CrossRef] [PubMed]
- Greis, C. Technical Aspects of Contrast-Enhanced Ultrasound (CEUS) Examinations: Tips and Tricks. Clin. Hemorheol. Microcirc. 2014, 58, 89–95. [Google Scholar] [CrossRef] [PubMed]
- Jang, J.Y.; Kim, M.Y.; Jeong, S.W.; Kim, T.Y.; Kim, S.U.; Lee, S.H.; Suk, K.T.; Park, S.Y.; Woo, H.Y.; Kim, S.G.; et al. Current Consensus and Guidelines of Contrast Enhanced Ultrasound for the Characterization of Focal Liver Lesions. Clin. Mol. Hepatol. 2013, 19, 1–16. [Google Scholar] [CrossRef] [PubMed]
- Furrer, M.A.; Spycher, S.C.J.; Büttiker, S.M.; Gross, T.; Bosshard, P.; Thalmann, G.N.; Schneider, M.P.; Roth, B. Comparison of the Diagnostic Performance of Contrast-Enhanced Ultrasound with That of Contrast-Enhanced Computed Tomography and Contrast-Enhanced Magnetic Resonance Imaging in the Evaluation of Renal Masses: A Systematic Review and Meta-Analysis. Eur. Urol. Oncol. 2020, 3, 464–473. [Google Scholar] [CrossRef]
- Bulte, C.S.E.; Slikkerveer, J.; Meijer, R.I.; Gort, D.; Kamp, O.; Loer, S.A.; de Marchi, S.F.; Vogel, R.; Boer, C.; Bouwman, R.A. Contrast-Enhanced Ultrasound for Myocardial Perfusion Imaging. Anesth. Analg. 2012, 114, 938–945. [Google Scholar] [CrossRef]
- Mehta, K.S.; Lee, J.J.; Taha, A.G.; Avgerinos, E.; Chaer, R.A. Vascular Applications of Contrast-Enhanced Ultrasound Imaging. J. Vasc. Surg. 2017, 66, 266–274. [Google Scholar] [CrossRef]
- Wang, Y.; Li, G.; Yan, K.; Fan, Z.; Long, R.; Shan, J.; Dai, Y.; Wu, W. Clinical Value of Contrast-Enhanced Ultrasound Enhancement Patterns for Differentiating Solid Pancreatic Lesions. Eur. Radiol. 2022, 32, 2060–2069. [Google Scholar] [CrossRef]
- Díez-Vidal, A.; Martínez-Martín, P.; González-Muñoz, B.; Tung-Chen, Y. Point-of-Care Ultrasound in Infectious Diseases: Current Insights and Future Perspectives. Clin. Infect. Dis. 2024, 79, 420–429. [Google Scholar] [CrossRef]
- Rafailidis, V.; Li, X.; Sidhu, P.S.; Partovi, S.; Staub, D. Contrast Imaging Ultrasound for the Detection and Characterization of Carotid Vulnerable Plaque. Cardiovasc. Diagn. Ther. 2020, 10, 965–981. [Google Scholar] [CrossRef]
- Clevert, D.A.; Sommer, W.H.; Zengel, P.; Helck, A.; Reiser, M. Imaging of Carotid Arterial Diseases with Contrast-Enhanced Ultrasound (CEUS). Eur. J. Radiol. 2011, 80, 68–76. [Google Scholar] [CrossRef] [PubMed]
- Sirlin, C.B.; Lee, Y.Z.; Girard, M.S.; Peterson, T.M.; Steinbach, G.C.; Baker, K.G.; Mattrey, R.F. Contrast-Enhanced B-Mode US Angiography in the Assessment of Experimental in Vivo and in Vitro Atherosclerotic Disease. Acad. Radiol. 2001, 8, 162–172. [Google Scholar] [CrossRef] [PubMed]
- Kono, Y.; Pinnell, S.P.; Sirlin, C.B.; Sparks, S.R.; Georgy, B.; Wong, W.; Mattrey, R.F. Carotid Arteries: Contrast-Enhanced US Angiography--Preliminary Clinical Experience. Radiology 2004, 230, 561–568. [Google Scholar] [CrossRef] [PubMed]
- Saba, L.; Antignani, P.L.; Gupta, A.; Cau, R.; Paraskevas, K.I.; Poredos, P.; Wasserman, B.; Kamel, H.; Avgerinos, E.D.; Salgado, R.; et al. International Union of Angiology (IUA) Consensus Paper on Imaging Strategies in Atherosclerotic Carotid Artery Imaging: From Basic Strategies to Advanced Approaches. Atherosclerosis 2022, 354, 23–40. [Google Scholar] [CrossRef]
- Shalhoub, J.; Owen, D.R.J.; Gauthier, T.; Monaco, C.; Leen, E.L.S.; Davies, A.H. The Use of Contrast Enhanced Ultrasound in Carotid Arterial Disease. Eur. J. Vasc. Endovasc. Surg. 2010, 39, 381–387. [Google Scholar] [CrossRef][Green Version]
- Saba, L.; Anzidei, M.; Marincola, B.C.; Piga, M.; Raz, E.; Bassareo, P.P.; Napoli, A.; Mannelli, L.; Catalano, C.; Wintermark, M. Imaging of the Carotid Artery Vulnerable Plaque. Cardiovasc. Intervent. Radiol. 2014, 37, 572–585. [Google Scholar] [CrossRef]
- Xiong, L.; Deng, Y.-B.; Zhu, Y.; Liu, Y.-N.; Bi, X.-J. Correlation of Carotid Plaque Neovascularization Detected by Using Contrast-Enhanced US with Clinical Symptoms. Radiology 2009, 251, 583–589. [Google Scholar] [CrossRef]
- Chistiakov, D.A.; Orekhov, A.N.; Bobryshev, Y.V. Contribution of Neovascularization and Intraplaque Haemorrhage to Atherosclerotic Plaque Progression and Instability. Acta Physiol. Oxf. Engl. 2015, 213, 539–553. [Google Scholar] [CrossRef]
- Greis, C. Quantitative Evaluation of Microvascular Blood Flow by Contrast-Enhanced Ultrasound (CEUS). Clin. Hemorheol. Microcirc. 2011, 49, 137–149. [Google Scholar] [CrossRef]
- Amamoto, T.; Sakata, N.; Ogata, T.; Shimada, H.; Inoue, T. Intra-Plaque Vessels on Contrast-Enhanced Ultrasound Sonography Predict Carotid Plaque Histology. Cerebrovasc. Dis. 2018, 46, 265–269. [Google Scholar] [CrossRef]
- Li, C.; He, W.; Guo, D.; Chen, L.; Jin, X.; Wang, W.; Huang, B.; Wang, W. Quantification of Carotid Plaque Neovascularization Using Contrast-Enhanced Ultrasound with Histopathologic Validation. Ultrasound Med. Biol. 2014, 40, 1827–1833. [Google Scholar] [CrossRef]
- Vavuranakis, M.; Sigala, F.; Vrachatis, D.A.; Papaioannou, T.G.; Filis, K.; Kavantzas, N.; Kalogeras, K.I.; Massoura, C.; Toufektzian, L.; Kariori, M.G.; et al. Quantitative Analysis of Carotid Plaque Vasa Vasorum by CEUS and Correlation with Histology after Endarterectomy. VASA Z. Gefasskrankh. 2013, 42, 184–195. [Google Scholar] [CrossRef]
- Iezzi, R.; Petrone, G.; Ferrante, A.; Lauriola, L.; Vincenzoni, C.; la Torre, M.F.; Snider, F.; Rindi, G.; Bonomo, L. The Role of Contrast-Enhanced Ultrasound (CEUS) in Visualizing Atherosclerotic Carotid Plaque Vulnerability: Which Injection Protocol? Which Scanning Technique? Eur. J. Radiol. 2015, 84, 865–871. [Google Scholar] [CrossRef]
- Bergner, R.; Splitthoff, J.; Wadsack, D. Use of Contrast-Enhanced Ultrasound Sonography in Giant Cell Arteritis: A Proof-of-Concept Study. Ultrasound Med. Biol. 2022, 48, 143–148. [Google Scholar] [CrossRef]
- Ma, L.-Y.; Li, C.-L.; Ma, L.-L.; Cui, X.-M.; Dai, X.-M.; Sun, Y.; Chen, H.-Y.; Huang, B.-J.; Jiang, L.-D. Value of Contrast-Enhanced Ultrasonography of the Carotid Artery for Evaluating Disease Activity in Takayasu Arteritis. Arthritis Res. Ther. 2019, 21, 24. [Google Scholar] [CrossRef]
- Ding, J.; Wu, D.; Han, Q.; Zhang, K.; Zheng, Z.; Zhu, P. Follow-up Contrast-Enhanced Ultrasonography of the Carotid Artery in Patients With Takayasu Arteritis: A Retrospective Study. J. Rheumatol. 2022, 49, 1242–1249. [Google Scholar] [CrossRef]
- Dong, Y.; Wang, Y.; Wang, Y.; Tian, X.; Li, J.; Yang, Y.; Ge, Z.; Zhang, L.; Zou, M.; Wang, H.; et al. Ultrasonography and Contrast-Enhanced Ultrasound for Activity Assessment in 115 Patients with Carotid Involvement of Takayasu Arteritis. Mod. Rheumatol. 2023, 33, 1007–1015. [Google Scholar] [CrossRef] [PubMed]
- Schmidt, W.A. Contrast-Enhanced Ultrasound for Monitoring Takayasu Arteritis. J. Rheumatol. 2022, 49, 1185–1187. [Google Scholar] [CrossRef] [PubMed]
- Nolsøe, C.P.; Lorentzen, T. International Guidelines for Contrast-Enhanced Ultrasonography: Ultrasound Imaging in the New Millennium. Ultrasonography 2016, 35, 89–103. [Google Scholar] [CrossRef]
- Fenster, A.; Lee, D.; Sherebrin, S.; Ranking, R.; Spence, D.; Downey, D. Three-Dimensional Ultrasound Imaging of Carotid Occlusive Disease. In New Trends in Cerebral Hemodynamics and Neurosonology; Klingelhöfer, J., Bartels, E., Ringelstein, E.B., Eds.; Elsevier: Amsterdam, The Netherlands, 1997; pp. 17–24. [Google Scholar]
- Delcker, A.; Diener, H.C.; Wilhelm, H. Influence of Vascular Risk Factors for Atherosclerotic Carotid Artery Plaque Progression. Stroke 1995, 26, 2016–2022. [Google Scholar] [CrossRef]
- Li, X.; Cokkinos, D.; Gadani, S.; Rafailidis, V.; Aschwanden, M.; Levitin, A.; Szaflarski, D.; Kirksey, L.; Staub, D.; Partovi, S. Advanced Ultrasound Techniques in Arterial Diseases. Int. J. Cardiovasc. Imaging 2022, 38, 1711–1721. [Google Scholar] [CrossRef]
- Johri, A.M.; Nambi, V.; Naqvi, T.Z.; Feinstein, S.B.; Kim, E.S.H.; Park, M.M.; Becher, H.; Sillesen, H. Recommendations for the Assessment of Carotid Arterial Plaque by Ultrasound for the Characterization of Atherosclerosis and Evaluation of Cardiovascular Risk: From the American Society of Echocardiography. J. Am. Soc. Echocardiogr. 2020, 33, 917–933. [Google Scholar] [CrossRef]
- National Clinical Guideline for Stroke for the UK and Ireland. London: Intercollegiate Stroke Working Party. Available online: www.Strokeguideline.Org (accessed on 4 April 2025).
- Brignole, M.; Moya, A.; de Lange, F.J.; Deharo, J.-C.; Elliott, P.M.; Fanciulli, A.; Fedorowski, A.; Furlan, R.; Kenny, R.A.; Martín, A.; et al. 2018 ESC Guidelines for the Diagnosis and Management of Syncope. Eur. Heart J. 2018, 39, 1883–1948. [Google Scholar] [CrossRef]
- LeFevre, M.L.; U.S. Preventive Services Task Force. Screening for Asymptomatic Carotid Artery Stenosis: U.S. Preventive Services Task Force Recommendation Statement. Ann. Intern. Med. 2014, 161, 356–362. [Google Scholar] [CrossRef]
- Kamtchum-Tatuene, J.; Noubiap, J.J.; Wilman, A.H.; Saqqur, M.; Shuaib, A.; Jickling, G.C. Prevalence of High-Risk Plaques and Risk of Stroke in Patients With Asymptomatic Carotid Stenosis: A Meta-Analysis. JAMA Neurol. 2020, 77, 1524–1535. [Google Scholar] [CrossRef]
- McEvoy, J.W.; McCarthy, C.P.; Bruno, R.M.; Brouwers, S.; Canavan, M.D.; Ceconi, C.; Christodorescu, R.M.; Daskalopoulou, S.S.; Ferro, C.J.; Gerdts, E.; et al. 2024 ESC Guidelines for the management of elevated blood pressure and hypertension. G. Ital. Cardiol. 2024, 25, e1–e107. [Google Scholar] [CrossRef] [PubMed]
- Mach, F.; Baigent, C.; Catapano, A.L.; Koskinas, K.C.; Casula, M.; Badimon, L.; Chapman, M.J.; De Backer, G.G.; Delgado, V.; Ference, B.A.; et al. 2019 ESC/EAS Guidelines for the Management of Dyslipidaemias: Lipid Modification to Reduce Cardiovascular Risk. Eur. Heart J. 2020, 41, 111–188. [Google Scholar] [CrossRef] [PubMed]
- Visseren, F.L.J.; Mach, F.; Smulders, Y.M.; Carballo, D.; Koskinas, K.C.; Bäck, M.; Benetos, A.; Biffi, A.; Boavida, J.-M.; Capodanno, D.; et al. 2021 ESC Guidelines on Cardiovascular Disease Prevention in Clinical Practice. Eur. Heart J. 2021, 42, 3227–3337. [Google Scholar] [CrossRef] [PubMed]
- Cosentino, F.; Grant, P.J.; Aboyans, V.; Bailey, C.J.; Ceriello, A.; Delgado, V.; Federici, M.; Filippatos, G.; Grobbee, D.E.; Hansen, T.B.; et al. 2019 ESC Guidelines on Diabetes, Pre-Diabetes, and Cardiovascular Diseases Developed in Collaboration with the EASD. Eur. Heart J. 2020, 41, 255–323. [Google Scholar] [CrossRef]
- Touboul, P.-J.; Hennerici, M.G.; Meairs, S.; Adams, H.; Amarenco, P.; Bornstein, N.; Csiba, L.; Desvarieux, M.; Ebrahim, S.; Hernandez Hernandez, R.; et al. Mannheim Carotid Intima-Media Thickness and Plaque Consensus (2004-2006-2011). An Update on Behalf of the Advisory Board of the 3rd, 4th and 5th Watching the Risk Symposia, at the 13th, 15th and 20th European Stroke Conferences, Mannheim, Germany, 2004, Brussels, Belgium, 2006, and Hamburg, Germany, 2011. Cerebrovasc. Dis. 2012, 34, 290–296. [Google Scholar] [CrossRef]
- Stein, J.H.; Korcarz, C.E.; Hurst, R.T.; Lonn, E.; Kendall, C.B.; Mohler, E.R.; Najjar, S.S.; Rembold, C.M.; Post, W.S. American Society of Echocardiography Carotid Intima-Media Thickness Task Force Use of Carotid Ultrasound to Identify Subclinical Vascular Disease and Evaluate Cardiovascular Disease Risk: A Consensus Statement from the American Society of Echocardiography Carotid Intima-Media Thickness Task Force. Endorsed by the Society for Vascular Medicine. J. Am. Soc. Echocardiogr. 2008, 21, 93–111; quiz 189–190. [Google Scholar] [CrossRef]
- Santos, R.; Gagliardi, A.; Xavier, H.; Filho, A.C.; Araújo, D.; Cesena, F.; Alves, R.; Pereira, A.; Lottemberg, A.; Chacra, A.; et al. First Brazilian Guidelines for Familial Hypercholesterolemia. Arq. Bras. Cardiol. 2012, 99, 1–28. [Google Scholar] [CrossRef] [PubMed]
- Simão, A.F.; Precoma, D.B.; Andrade, J.P.; Correa, F.H.; Saraiva, J.F.K.; Oliveira, G.M.M.; Murro, A.L.B.; Campos, A.; Alessi, A.; Avezum, A.; et al. I Brazilian Guidelines for cardiovascular prevention. Arq. Bras. Cardiol. 2013, 101, 1–63. [Google Scholar] [CrossRef] [PubMed]
- Faludi, A.; Izar, M.; Saraiva, J.; Chacra, A.; Bianco, H.; Neto, A.A.; Bertolami, A.; Pereira, A.; Lottenberg, A.; Sposito, A.; et al. Atualização da Diretriz Brasileira de Dislipidemias e Prevenção da Aterosclerose. Arq. Bras. Cardiol. 2017, 109, 1–76. [Google Scholar] [CrossRef] [PubMed]
- Santos, I.S.; Bittencourt, M.S.; Oliveira, I.R.S.; Souza, A.G.; Meireles, D.P.; Rundek, T.; Foppa, M.; Bezerra, D.C.; Freire, C.M.V.; Roelke, L.H.; et al. Carotid Intima-Media Thickness Value Distributions in the Brazilian Longitudinal Study of Adult Health (ELSA-Brasil). Atherosclerosis 2014, 237, 227–235. [Google Scholar] [CrossRef]
- Wikstrand, J. Methodological Considerations of Ultrasound Measurement of Carotid Artery Intima-Media Thickness and Lumen Diameter. Clin. Physiol. Funct. Imaging 2007, 27, 341–345. [Google Scholar] [CrossRef]
- Polak, J.F.; Johnson, C.; Harrington, A.; Wong, Q.; O’Leary, D.H.; Burke, G.; Yanez, N.D. Changes in Carotid Intima-Media Thickness during the Cardiac Cycle: The Multi-Ethnic Study of Atherosclerosis. J. Am. Heart Assoc. 2012, 1, e001420. [Google Scholar] [CrossRef]
- Freire, C.M.V.; Ribeiro, A.L.P.; Barbosa, F.B.L.; Nogueira, A.I.; de Almeida, M.C.C.; Barbosa, M.M.; Lana, A.M.Q.; de Silva, A.C.S.; Ribeiro-Oliveira, A. Comparison between Automated and Manual Measurements of Carotid Intima-Media Thickness in Clinical Practice. Vasc. Health Risk Manag. 2009, 5, 811–817. [Google Scholar]
- Lorenz, M.W.; von Kegler, S.; Steinmetz, H.; Markus, H.S.; Sitzer, M. Carotid Intima-Media Thickening Indicates a Higher Vascular Risk across a Wide Age Range: Prospective Data from the Carotid Atherosclerosis Progression Study (CAPS). Stroke 2006, 37, 87–92. [Google Scholar] [CrossRef]
- Folsom, A.R.; Kronmal, R.A.; Detrano, R.C.; O’Leary, D.H.; Bild, D.E.; Bluemke, D.A.; Budoff, M.J.; Liu, K.; Shea, S.; Szklo, M.; et al. Coronary Artery Calcification Compared with Carotid Intima-Media Thickness in the Prediction of Cardiovascular Disease Incidence: The Multi-Ethnic Study of Atherosclerosis (MESA). Arch. Intern. Med. 2008, 168, 1333–1339. [Google Scholar] [CrossRef]
- Spence, J.D.; Eliasziw, M.; DiCicco, M.; Hackam, D.G.; Galil, R.; Lohmann, T. Carotid Plaque Area: A Tool for Targeting and Evaluating Vascular Preventive Therapy. Stroke 2002, 33, 2916–2922. [Google Scholar] [CrossRef]
- Khalilov, M.A.; Moshkin, A.S.; Moshkina, L.V. Patterns of Neck Main Arteries Morphometry and Echocardiography Data. J. Radiol. Nucl. Med. 2024, 105, 255–261. [Google Scholar] [CrossRef]
- Zhu, G.; Hom, J.; Li, Y.; Jiang, B.; Rodriguez, F.; Fleischmann, D.; Saloner, D.; Porcu, M.; Zhang, Y.; Saba, L.; et al. Carotid Plaque Imaging and the Risk of Atherosclerotic Cardiovascular Disease. Cardiovasc. Diagn. Ther. 2020, 10, 1048–1067. [Google Scholar] [CrossRef] [PubMed]
- Gray-Weale, A.C.; Graham, J.C.; Burnett, J.R.; Byrne, K.; Lusby, R.J. Carotid Artery Atheroma: Comparison of Preoperative B-Mode Ultrasound Appearance with Carotid Endarterectomy Specimen Pathology. J. Cardiovasc. Surg. 1988, 29, 676–681. [Google Scholar]
- el-Barghouty, N.; Geroulakos, G.; Nicolaides, A.; Androulakis, A.; Bahal, V. Computer-Assisted Carotid Plaque Characterisation. Eur. J. Vasc. Endovasc. Surg. 1995, 9, 389–393. [Google Scholar] [CrossRef] [PubMed]
- Geroulakos, G.; Ramaswami, G.; Nicolaides, A.; James, K.; Labropoulos, N.; Belcaro, G.; Holloway, M. Characterization of Symptomatic and Asymptomatic Carotid Plaques Using High-Resolution Real-Time Ultrasonography. Br. J. Surg. 1993, 80, 1274–1277. [Google Scholar] [CrossRef]
- Joakimsen, O.; Bønaa, K.H.; Stensland-Bugge, E. Reproducibility of Ultrasound Assessment of Carotid Plaque Occurrence, Thickness, and Morphology. The Tromsø Study. Stroke 1997, 28, 2201–2207. [Google Scholar] [CrossRef]
- De Bray, J.M.; Baud, J.M.; Dauzat, M. Consensus Concerning the Morphology and the Risk of Carotid Plaques. Cerebrovasc. Dis. 1997, 7, 289–296. [Google Scholar] [CrossRef]
- Mathiesen, E.B.; Johnsen, S.H.; Wilsgaard, T.; Bønaa, K.H.; Løchen, M.-L.; Njølstad, I. Carotid Plaque Area and Intima-Media Thickness in Prediction of First-Ever Ischemic Stroke: A 10-Year Follow-up of 6584 Men and Women: The Tromsø Study. Stroke 2011, 42, 972–978. [Google Scholar] [CrossRef]
- Reiter, M.; Effenberger, I.; Sabeti, S.; Mlekusch, W.; Schlager, O.; Dick, P.; Puchner, S.; Amighi, J.; Bucek, R.A.; Minar, E.; et al. Increasing Carotid Plaque Echolucency Is Predictive of Cardiovascular Events in High-Risk Patients. Radiology 2008, 248, 1050–1055. [Google Scholar] [CrossRef]
- Johnson, J.M.; Kennelly, M.M.; Decesare, D.; Morgan, S.; Sparrow, A. Natural History of Asymptomatic Carotid Plaque. Arch. Surg. 1985, 120, 1010–1012. [Google Scholar] [CrossRef]
- Lal, B.K.; Hobson, R.W.; Pappas, P.J.; Kubicka, R.; Hameed, M.; Chakhtoura, E.Y.; Jamil, Z.; Padberg, F.T.; Haser, P.B.; Durán, W.N. Pixel Distribution Analysis of B-Mode Ultrasound Scan Images Predicts Histologic Features of Atherosclerotic Carotid Plaques. J. Vasc. Surg. 2002, 35, 1210–1217. [Google Scholar] [CrossRef] [PubMed]
- Sztajzel, R.; Momjian, S.; Momjian-Mayor, I.; Murith, N.; Djebaili, K.; Boissard, G.; Comelli, M.; Pizolatto, G. Stratified Gray-Scale Median Analysis and Color Mapping of the Carotid Plaque: Correlation with Endarterectomy Specimen Histology of 28 Patients. Stroke 2005, 36, 741–745. [Google Scholar] [CrossRef] [PubMed]
- Biasi, G.M.; Froio, A.; Diethrich, E.B.; Deleo, G.; Galimberti, S.; Mingazzini, P.; Nicolaides, A.N.; Griffin, M.; Raithel, D.; Reid, D.B.; et al. Carotid Plaque Echolucency Increases the Risk of Stroke in Carotid Stenting: The Imaging in Carotid Angioplasty and Risk of Stroke (ICAROS) Study. Circulation 2004, 110, 756–762. [Google Scholar] [CrossRef] [PubMed]
- Ramnarine, K.V.; Garrard, J.W.; Kanber, B.; Nduwayo, S.; Hartshorne, T.C.; Robinson, T.G. Shear Wave Elastography Imaging of Carotid Plaques: Feasible, Reproducible and of Clinical Potential. Cardiovasc. Ultrasound 2014, 12, 49. [Google Scholar] [CrossRef]
- Mahmood, B.; Ewertsen, C.; Carlsen, J.; Nielsen, M.B. Ultrasound Vascular Elastography as a Tool for Assessing Atherosclerotic Plaques—A Systematic Literature Review. Ultrasound Int. Open 2016, 2, E106–E112. [Google Scholar] [CrossRef]
- Sivasankar, R.; Singh, R.; Hashim, P.I.; Soni, B.; Patel, R.; Bajpai, A. Evaluation of Carotid Plaque Vulnerability Using Shear-wave Elastography: An Observational Comparative Study. J. Mar. Med. Soc. 2019, 21, 134–137. [Google Scholar] [CrossRef]
- Pruijssen, J.T.; de Korte, C.L.; Voss, I.; Hansen, H.H.G. Vascular Shear Wave Elastography in Atherosclerotic Arteries: A Systematic Review. Ultrasound Med. Biol. 2020, 46, 2145–2163. [Google Scholar] [CrossRef]
- Davidhi, A.; Rafailidis, V.; Destanis, E.; Prassopoulos, P.; Foinitsis, S. Ultrasound Elastography: Another Piece in the Puzzle of Carotid Plaque Vulnerability? Med. Ultrason. 2022, 24, 356–363. [Google Scholar] [CrossRef]
- Rafailidis, V.; Chryssogonidis, I.; Tegos, T.; Kouskouras, K.; Charitanti-Kouridou, A. Imaging of the Ulcerated Carotid Atherosclerotic Plaque: A Review of the Literature. Insights Imaging 2017, 8, 213–225. [Google Scholar] [CrossRef]
- Muraki, M.; Mikami, T.; Yoshimoto, T.; Fujimoto, S.; Tokuda, K.; Kaneko, S.; Kashiwaba, T. New Criteria for the Sonographic Diagnosis of a Plaque Ulcer in the Extracranial Carotid Artery. AJR Am. J. Roentgenol. 2012, 198, 1161–1166. [Google Scholar] [CrossRef] [PubMed]
- Sillesen, H.; Muntendam, P.; Adourian, A.; Entrekin, R.; Garcia, M.; Falk, E.; Fuster, V. Carotid Plaque Burden as a Measure of Subclinical Atherosclerosis: Comparison with Other Tests for Subclinical Arterial Disease in the High Risk Plaque BioImage Study. JACC Cardiovasc. Imaging 2012, 5, 681–689. [Google Scholar] [CrossRef] [PubMed]
- Calogero, E.; Fabiani, I.; Pugliese, N.R.; Santini, V.; Ghiadoni, L.; Di Stefano, R.; Galetta, F.; Sartucci, F.; Penno, G.; Berchiolli, R.; et al. Three-Dimensional Echographic Evaluation of Carotid Artery Disease. J. Cardiovasc. Echogr. 2018, 28, 218–227. [Google Scholar] [CrossRef] [PubMed]
- Cheng, J.; Li, H.; Xiao, F.; Fenster, A.; Zhang, X.; He, X.; Li, L.; Ding, M. Fully Automatic Plaque Segmentation in 3-D Carotid Ultrasound Images. Ultrasound Med. Biol. 2013, 39, 2431–2446. [Google Scholar] [CrossRef]
- Græbe, M.; Entrekin, R.; Collet-Billon, A.; Harrison, G.; Sillesen, H. Reproducibility of Two 3-D Ultrasound Carotid Plaque Quantification Methods. Ultrasound Med. Biol. 2014, 40, 1641–1649. [Google Scholar] [CrossRef]
- Jahromi, A.S.; Cinà, C.S.; Liu, Y.; Clase, C.M. Sensitivity and Specificity of Color Duplex Ultrasound Measurement in the Estimation of Internal Carotid Artery Stenosis: A Systematic Review and Meta-Analysis. J. Vasc. Surg. 2005, 41, 962–972. [Google Scholar] [CrossRef]
- von Reutern, G.-M.; Goertler, M.-W.; Bornstein, N.M.; Del Sette, M.; Evans, D.H.; Hetzel, A.; Kaps, M.; Perren, F.; Razumovky, A.; von Reutern, M.; et al. Grading Carotid Stenosis Using Ultrasonic Methods. Stroke 2012, 43, 916–921. [Google Scholar] [CrossRef]
- Columbo, J.A.; Zwolak, R.M.; Arous, E.J.; Goodney, P.P.; Lilly, M.P.; Welch, H.G. Variation in Ultrasound Diagnostic Thresholds for Carotid Stenosis in the United States. Circulation 2020, 141, 946–953. [Google Scholar] [CrossRef]
- North American Symptomatic Carotid Endarterectomy Trial Collaborators; Barnett, H.J.M.; Taylor, D.W.; Haynes, R.B.; Sackett, D.L.; Peerless, S.J.; Ferguson, G.G.; Fox, A.J.; Rankin, R.N.; Hachinski, V.C.; et al. Beneficial Effect of Carotid Endarterectomy in Symptomatic Patients with High-Grade Carotid Stenosis. N. Engl. J. Med. 1991, 325, 445–453. [Google Scholar] [CrossRef]
- Warlow, C.P. MRC European Carotid Surgery Trial: Interim Results for Symptomatic Patients with Severe (70-99%) or with Mild (0-29%) Carotid Stenosis. European Carotid Surgery Trialists’ Collaborative Group. Lancet Lond. Engl. 1991, 337, 1235–1243. [Google Scholar] [CrossRef]
- Rothwell, P.M.; Gibson, R.J.; Slattery, J.; Sellar, R.J.; Warlow, C.P. Equivalence of Measurements of Carotid Stenosis. A Comparison of Three Methods on 1001 Angiograms. European Carotid Surgery Trialists’ Collaborative Group. Stroke 1994, 25, 2435–2439. [Google Scholar] [CrossRef]
- Naylor, R.; Rantner, B.; Ancetti, S.; de Borst, G.J.; De Carlo, M.; Halliday, A.; Kakkos, S.K.; Markus, H.S.; McCabe, D.J.H.; Sillesen, H.; et al. Editor’s Choice—European Society for Vascular Surgery (ESVS) 2023 Clinical Practice Guidelines on the Management of Atherosclerotic Carotid and Vertebral Artery Disease. Eur. J. Vasc. Endovasc. Surg. 2023, 65, 7–111. [Google Scholar] [CrossRef]
- Johansson, E.; Gu, T.; Fox, A.J. Defining Carotid Near-Occlusion with Full Collapse: A Pooled Analysis. Neuroradiology 2022, 64, 59–67. [Google Scholar] [CrossRef] [PubMed]
- Takekawa, H.; Tsukui, D.; Kobayasi, S.; Suzuki, K.; Hamaguchi, H. Ultrasound Diagnosis of Carotid Artery Stenosis and Occlusion. J. Med. Ultrason. 2001 2022, 49, 675–687. [Google Scholar] [CrossRef] [PubMed]
- Arning, C.; Widder, B.; von Reutern, G.M.; Stiegler, H.; Görtler, M. Revision of DEGUM ultrasound criteria for grading internal carotid artery stenoses and transfer to NASCET measurement. Ultraschall Med. 2010, 31, 251–257. [Google Scholar] [CrossRef]
- Takekawa, H.; Suzuki, K.; Takada, E.; Tanaka, H.; Okabe, R.; Yamamoto, M.; Ishii, Y.; Okamura, M.; Hirata, K. Acceleration Time Ratio for the Assessment of Extracranial Internal Carotid Artery Stenosis. J. Med. Ultrason. 2001 2014, 41, 63–67. [Google Scholar] [CrossRef]
- Nishihira, T.; Takekawa, H.; Suzuki, K.; Suzuki, A.; Tsukahara, Y.; Iizuka, K.; Igarashi, H.; Iwasaki, A.; Okamura, M.; Hirata, K. Usefulness of Acceleration Time Ratio in Diagnosis of Internal Carotid Artery Origin Stenosis. J. Med. Ultrason. 2001 2018, 45, 493–500. [Google Scholar] [CrossRef]
- Oates, C.P.; Naylor, A.R.; Hartshorne, T.; Charles, S.M.; Fail, T.; Humphries, K.; Aslam, M.; Khodabakhsh, P. Joint Recommendations for Reporting Carotid Ultrasound Investigations in the United Kingdom. Eur. J. Vasc. Endovasc. Surg. 2009, 37, 251–261. [Google Scholar] [CrossRef]
- Rothwell, P.M.; Eliasziw, M.; Gutnikov, S.A.; Fox, A.J.; Taylor, D.W.; Mayberg, M.R.; Warlow, C.P.; Barnett, H.J.M. Analysis of Pooled Data from the Randomised Controlled Trials of Endarterectomy for Symptomatic Carotid Stenosis. Lancet Lond. Engl. 2003, 361, 107–116. [Google Scholar] [CrossRef]
- Pakizer, D.; Vybíralová, A.; Jonszta, T.; Roubec, M.; Král, M.; Chovanec, V.; Herzig, R.; Heryán, T.; Školoudík, D. Peak Systolic Velocity Ratio for Evaluation of Internal Carotid Artery Stenosis Correlated with Plaque Morphology: Substudy Results of the ANTIQUE Study. Front. Neurol. 2023, 14, 1206483. [Google Scholar] [CrossRef]
- Grant, E.G.; Benson, C.B.; Moneta, G.L.; Alexandrov, A.V.; Baker, J.D.; Bluth, E.I.; Carroll, B.A.; Eliasziw, M.; Gocke, J.; Hertzberg, B.S.; et al. Carotid Artery Stenosis: Gray-Scale and Doppler US Diagnosis--Society of Radiologists in Ultrasound Consensus Conference. Radiology 2003, 229, 340–346. [Google Scholar] [CrossRef]
- Bonati, L.H.; Kakkos, S.; Berkefeld, J.; de Borst, G.J.; Bulbulia, R.; Halliday, A.; van Herzeele, I.; Koncar, I.; McCabe, D.J.; Lal, A.; et al. European Stroke Organisation Guideline on Endarterectomy and Stenting for Carotid Artery Stenosis. Eur. Stroke J. 2021, 6, I–XLVII. [Google Scholar] [CrossRef]
- Stilo, F.; Montelione, N.; Calandrelli, R.; Distefano, M.; Spinelli, F.; Di Lazzaro, V.; Pilato, F. The Management of Carotid Restenosis: A Comprehensive Review. Ann. Transl. Med. 2020, 8, 1272. [Google Scholar] [CrossRef]
- Yang, W.; Wasserman, B.A.; Yang, H.; Liu, L.; Orman, G.; Intrapiromkul, J.; Trout, H.H.; Qiao, Y. Characterization of Restenosis Following Carotid Endarterectomy Using Contrast-Enhanced Vessel Wall MR Imaging. AJNR Am. J. Neuroradiol. 2022, 43, 422–428. [Google Scholar] [CrossRef] [PubMed]
- Kim, H.; Byun, E.; Jeong, M.-J.; Hong, H.S.; Han, Y.; Kwon, T.-W.; Cho, Y.-P. Duplex Ultrasound Findings and Clinical Outcomes of Carotid Restenosis after Carotid Endarterectomy. PLoS ONE 2020, 15, e0244544. [Google Scholar] [CrossRef] [PubMed]
- Schäberle, W. Sonographic Grading of Recurrent Stenosis after Carotid Stenting and Stented Peripheral Arteries. Gefässchirurgie 2019, 24 (Suppl. S1), 40–51. [Google Scholar] [CrossRef]
- Schinkel, A.F.L.; Bosch, J.G.; Staub, D.; Adam, D.; Feinstein, S.B. Contrast-Enhanced Ultrasound to Assess Carotid Intraplaque Neovascularization. Ultrasound Med. Biol. 2020, 46, 466–478. [Google Scholar] [CrossRef]
- AbuRahma, A.F.; Stone, P.; Deem, S.; Dean, L.S.; Keiffer, T.; Deem, E. Proposed Duplex Velocity Criteria for Carotid Restenosis Following Carotid Endarterectomy with Patch Closure. J. Vasc. Surg. 2009, 50, 286–291.e2; discussion 291. [Google Scholar] [CrossRef]
- Golledge, J.; Cuming, R.; Ellis, M.; Davies, A.H.; Greenhalgh, R.M. Duplex Imaging Findings Predict Stenosis after Carotid Endarterectomy. J. Vasc. Surg. 1997, 26, 43–48. [Google Scholar] [CrossRef]
- Lane, T.R.A.; Metcalfe, M.J.; Narayanan, S.; Davies, A.H. Post-Operative Surveillance after Open Peripheral Arterial Surgery. Eur. J. Vasc. Endovasc. Surg. 2011, 42, 59–77. [Google Scholar] [CrossRef]
- Knappich, C.; Schmid, S.; Tsantilas, P.; Kallmayer, M.; Salvermoser, M.; Zimmermann, A.; Eckstein, H.-H. Prospective Comparison of Duplex Ultrasound and Angiography for Intra-Operative Completion Studies after Carotid Endarterectomy. Eur. J. Vasc. Endovasc. Surg. 2020, 59, 881–889. [Google Scholar] [CrossRef]
- Szegedi, I.; Potvorszki, F.; Mészáros, Z.R.; Daniel, C.; Csiba, L.; Oláh, L. Role of Carotid Duplex in the Assessment of Carotid Artery Restenosis after Endarterectomy or Stenting. Front. Neurol. 2023, 14, 1226220. [Google Scholar] [CrossRef]
- Lal, B.K.; Hobson, R.W.; Tofighi, B.; Kapadia, I.; Cuadra, S.; Jamil, Z. Duplex Ultrasound Velocity Criteria for the Stented Carotid Artery. J. Vasc. Surg. 2008, 47, 63–73. [Google Scholar] [CrossRef] [PubMed]
- Zierler, R.E.; Jordan, W.D.; Lal, B.K.; Mussa, F.; Leers, S.; Fulton, J.; Pevec, W.; Hill, A.; Murad, M.H. The Society for Vascular Surgery Practice Guidelines on Follow-up after Vascular Surgery Arterial Procedures. J. Vasc. Surg. 2018, 68, 256–284. [Google Scholar] [CrossRef] [PubMed]
- Bandyk, D.F. Follow-up after Carotid Endarterectomy and Stenting: What to Look for and Why. Semin. Vasc. Surg. 2020, 33, 47–53. [Google Scholar] [CrossRef] [PubMed]
- Bitsko, L.J.; Ryer, E.J.; Penn, E.P.; Salzler, G.G.; Major, M.; Irvan, J.; Elmore, J.R. Defining Duplex Ultrasound Criteria for In-Stent Restenosis of the Carotid Artery Using Computed Tomographic Angiography. Cureus 2022, 14, e26700. [Google Scholar] [CrossRef]
- de Borst, G.J.; Meijer, R.; Lo, R.H.; Vosmeer, H.W.G.; Ackerstaff, R.G.A.; Moll, F.L. Effect of Carotid Angioplasty and Stenting on Duplex Velocity Measurements in a Porcine Model. J. Endovasc. Ther. 2008, 15, 672–679. [Google Scholar] [CrossRef]
- Pierce, D.S.; Rosero, E.B.; Modrall, J.G.; Adams-Huet, B.; Valentine, R.J.; Clagett, G.P.; Timaran, C.H. Open-Cell versus Closed-Cell Stent Design Differences in Blood Flow Velocities after Carotid Stenting. J. Vasc. Surg. 2009, 49, 602–606; discussion 606. [Google Scholar] [CrossRef]
- Sýkora, J.; Zeleňák, K.; Vorčák, M.; Števík, M.; Sýkorová, M.; Sivák, J.; Rovňák, M.; Zapletalová, J.; Mužík, J.; Šinák, I.; et al. Comparison of Restenosis Risk in Single-Layer versus Dual-Layer Carotid Stents: A Duplex Ultrasound Evaluation. Cardiovasc. Intervent. Radiol. 2022, 45, 1257–1266. [Google Scholar] [CrossRef]
- AbuRahma, A.F.; Avgerinos, E.D.; Chang, R.W.; Darling, R.C.; Duncan, A.A.; Forbes, T.L.; Malas, M.B.; Murad, M.H.; Perler, B.A.; Powell, R.J.; et al. Society for Vascular Surgery Clinical Practice Guidelines for Management of Extracranial Cerebrovascular Disease. J. Vasc. Surg. 2022, 75, 4S–22S. [Google Scholar] [CrossRef]
- Stanziale, S.F.; Wholey, M.H.; Boules, T.N.; Selzer, F.; Makaroun, M.S. Determining In-Stent Stenosis of Carotid Arteries by Duplex Ultrasound Criteria. J. Endovasc. Ther. 2005, 12, 346–353. [Google Scholar] [CrossRef]
- Bosch, F.T.; Hendrikse, J.; Davagnanam, I.; Bonati, L.H.; van der Lugt, A.; van der Worp, H.B.; de Borst, G.J.; Mali, W.; Brown, M.M.; Nederkoorn, P.J. Optimal Cut-off Criteria for Duplex Ultrasound Compared with Computed Tomography Angiography for the Diagnosis of Restenosis in Stented Carotid Arteries in the International Carotid Stenting Study. Eur. Stroke J. 2017, 2, 37–45. [Google Scholar] [CrossRef]
- Schievink, W.I. Spontaneous Dissection of the Carotid and Vertebral Arteries. N. Engl. J. Med. 2001, 344, 898–906. [Google Scholar] [CrossRef]
- Baumgartner, R.W.; Arnold, M.; Baumgartner, I.; Mosso, M.; Gönner, F.; Studer, A.; Schroth, G.; Schuknecht, B.; Sturzenegger, M. Carotid Dissection with and without Ischemic Events: Local Symptoms and Cerebral Artery Findings. Neurology 2001, 57, 827–832. [Google Scholar] [CrossRef]
- Hakimi, R.; Sivakumar, S. Imaging of Carotid Dissection. Curr. Pain. Headache Rep. 2019, 23, 2. [Google Scholar] [CrossRef]
- Tsivgoulis, G.; Alexandrov, A.V. Ultrasound in Neurology. Contin. Minneap. Minn. 2016, 22, 1655–1677. [Google Scholar] [CrossRef] [PubMed]
- Sacco, S.; Totaro, R.; Baldassarre, M.; Carolei, A. Morphological Variations of the Internal Carotid Artery: Prevalence, Characteristics and Association with Cerebrovascular Disease. Int. J. Angiol. 2007, 16, 59–61. [Google Scholar] [CrossRef] [PubMed]
- Weibel, J.; Fields, W.S. Tortuosity, coiling, and kinking of the internal carotid artery. I. Etiology and radiographic anatomy. Neurology 1965, 15, 7–18. [Google Scholar] [CrossRef] [PubMed]
- Di Pino, L.; Franchina, A.G.; Costa, S.; Gangi, S.; Strano, F.; Ragusa, M.; Costanzo, L.; Tamburino, C.; Capodanno, D. Prevalence and Morphological Changes of Carotid Kinking and Coiling in Growth: An Echo-Color Doppler Study of 2856 Subjects between Aged 0 to 96 Years. Int. J. Cardiovasc. Imaging 2021, 37, 479–484. [Google Scholar] [CrossRef]
- Metz, H.; Murray-Leslie, R.M.; Bannister, R.G.; Bull, J.W.; Marshall, J. Kinking of the Internal Carotid Artery. Lancet Lond. Engl. 1961, 1, 424–426. [Google Scholar] [CrossRef]
- Gornik, H.L.; Persu, A.; Adlam, D.; Aparicio, L.S.; Azizi, M.; Boulanger, M.; Bruno, R.M.; de Leeuw, P.; Fendrikova-Mahlay, N.; Froehlich, J.; et al. First International Consensus on the Diagnosis and Management of Fibromuscular Dysplasia. Vasc. Med. Lond. Engl. 2019, 24, 164–189. [Google Scholar] [CrossRef] [PubMed]
- Olin, J.W.; Froehlich, J.; Gu, X.; Bacharach, J.M.; Eagle, K.; Gray, B.H.; Jaff, M.R.; Kim, E.S.H.; Mace, P.; Matsumoto, A.H.; et al. The United States Registry for Fibromuscular Dysplasia: Results in the First 447 Patients. Circulation 2012, 125, 3182–3190. [Google Scholar] [CrossRef] [PubMed]
- Touzé, E.; Southerland, A.M.; Boulanger, M.; Labeyrie, P.-E.; Azizi, M.; Bouatia-Naji, N.; Debette, S.; Gornik, H.L.; Hussain, S.M.; Jeunemaitre, X.; et al. Fibromuscular Dysplasia and Its Neurologic Manifestations: A Systematic Review. JAMA Neurol. 2019, 76, 217–226. [Google Scholar] [CrossRef] [PubMed]
- Pappaccogli, M.; Di Monaco, S.; Warchoł-Celińska, E.; Lorthioir, A.; Amar, L.; Aparicio, L.S.; Beauloye, C.; Bruno, R.M.; Chenu, P.; de Leeuw, P.; et al. The European/International Fibromuscular Dysplasia Registry and Initiative (FEIRI)-Clinical Phenotypes and Their Predictors Based on a Cohort of 1000 Patients. Cardiovasc. Res. 2021, 117, 950–959. [Google Scholar] [CrossRef]
- Kerut, C.K.; Sheahan, C.; Sheahan, M. Carotid Artery Fibromuscular Dysplasia: Ultrasound and CT Imaging. Echocardiogr. Mt. Kisco N. 2019, 36, 971–974. [Google Scholar] [CrossRef]
- Mac Grory, B.; Nossek, E.; Reznik, M.E.; Schrag, M.; Jayaraman, M.; McTaggart, R.; de Havenon, A.; Yaghi, S.; Feng, W.; Furie, K.; et al. Ipsilateral Internal Carotid Artery Web and Acute Ischemic Stroke: A Cohort Study, Systematic Review and Meta-Analysis. PLoS ONE 2021, 16, e0257697. [Google Scholar] [CrossRef]
- Kim, S.J.; Allen, J.W.; Bouslama, M.; Nahab, F.; Frankel, M.R.; Nogueira, R.G.; Haussen, D.C. Carotid Webs in Cryptogenic Ischemic Strokes: A Matched Case-Control Study. J. Stroke Cerebrovasc. Dis. 2019, 28, 104402. [Google Scholar] [CrossRef]
- Zhang, A.J.; Dhruv, P.; Choi, P.; Bakker, C.; Koffel, J.; Anderson, D.; Kim, J.; Jagadeesan, B.; Menon, B.K.; Streib, C. A Systematic Literature Review of Patients With Carotid Web and Acute Ischemic Stroke. Stroke 2018, 49, 2872–2876. [Google Scholar] [CrossRef]
- Wang, L.Z.; Calvet, D.; Julia, P.; Domigo, V.; Mohamedi, N.; Alsac, J.-M.; El Batti, S.; Messas, E.; Mirault, T.; Bruneval, P.; et al. Is Carotid Web an Arterial Wall Dysplasia? A Histological Series. Cardiovasc. Pathol. 2023, 66, 107544. [Google Scholar] [CrossRef]
- McNamara, M.F. The Carotid Web: A Developmental Anomaly of the Brachiocephalic System. Ann. Vasc. Surg. 1987, 1, 595–597. [Google Scholar] [CrossRef]
- Hassani, S.; Nogueira, R.G.; Al-Bayati, A.R.; Kala, S.; Philbrook, B.; Haussen, D.C. Carotid Webs in Pediatric Acute Ischemic Stroke. J. Stroke Cerebrovasc. Dis. 2020, 29, 105333. [Google Scholar] [CrossRef]
- Park, C.C.; El Sayed, R.; Risk, B.B.; Haussen, D.C.; Nogueira, R.G.; Oshinski, J.N.; Allen, J.W. Carotid Webs Produce Greater Hemodynamic Disturbances than Atherosclerotic Disease: A DSA Time-Density Curve Study. J. Neurointerv. Surg. 2022, 14, 729–733. [Google Scholar] [CrossRef] [PubMed]
- Tabibian, B.E.; Parr, M.; Salehani, A.; Mahavadi, A.; Rahm, S.; Kaur, M.; Howell, S.; Jones, J.G.; Liptrap, E.; Harrigan, M.R. Morphological Characteristics of Symptomatic and Asymptomatic Carotid Webs. J. Neurosurg. 2022, 137, 1727–1732. [Google Scholar] [CrossRef] [PubMed]
- Osehobo, E.M.; Nogueira, R.G.; Koneru, S.; Al-Bayati, A.R.; de Camara, C.P.; Nahab, F.; Liberato, B.; Frankel, M.R.; Allen, J.W.; Park, C.C.; et al. Carotid Web: An under-Recognized and Misdiagnosed Ischemic Stroke Etiology. J. Neurointerv. Surg. 2022, 14, 138–142. [Google Scholar] [CrossRef]
- Madaelil, T.P.; Grossberg, J.A.; Nogueira, R.G.; Anderson, A.; Barreira, C.; Frankel, M.; Haussen, D.C. Multimodality Imaging in Carotid Web. Front. Neurol. 2019, 10, 220. [Google Scholar] [CrossRef]
- Ben, Z.; Wang, J.; Zhan, J.; Chen, S. Ultrasonic Characteristics of Carotid Webs. Neuroradiology 2022, 64, 95–98. [Google Scholar] [CrossRef]
- Fontaine, L.; Guidolin, B.; Viguier, A.; Gollion, C.; Barbieux, M.; Larrue, V. Ultrasound Characteristics of Carotid Web. J. Neuroimaging 2022, 32, 894–901. [Google Scholar] [CrossRef]
- Costanzo, L.; Sole, A.; Tamburino, C.; Di Pino, L. Carotid Thin Fluttering Bands: A New Element of Arterial Wall Remodelling? An Ultrasound Study. Int. J. Cardiovasc. Imaging 2015, 31, 1393–1400. [Google Scholar] [CrossRef]
- Di Pino, L.; Costanzo, L.; Tamburino, C. Carotid Thin Fluttering Bands: Fact or Artifact? J. Non. Invasive Vasc. Investig. 2017, 2, 6. [Google Scholar]
- Rosset, E.; Albertini, J.N.; Magnan, P.E.; Ede, B.; Thomassin, J.M.; Branchereau, A. Surgical Treatment of Extracranial Internal Carotid Artery Aneurysms. J. Vasc. Surg. 2000, 31, 713–723. [Google Scholar] [CrossRef]
- Attigah, N.; Külkens, S.; Zausig, N.; Hansmann, J.; Ringleb, P.; Hakimi, M.; Eckstein, H.-H.; Allenberg, J.-R.; Böckler, D. Surgical Therapy of Extracranial Carotid Artery Aneurysms: Long-Term Results over a 24-Year Period. Eur. J. Vasc. Endovasc. Surg. 2009, 37, 127–133. [Google Scholar] [CrossRef] [PubMed]
- de Jong, K.P.; Zondervan, P.E.; van Urk, H. Extracranial Carotid Artery Aneurysms. Eur. J. Vasc. Surg. 1989, 3, 557–562. [Google Scholar] [CrossRef] [PubMed]
- El-Sabrout, R.; Cooley, D.A. Extracranial Carotid Artery Aneurysms: Texas Heart Institute Experience. J. Vasc. Surg. 2000, 31, 702–712. [Google Scholar] [CrossRef] [PubMed]
- Welling, R.E.; Taha, A.; Goel, T.; Cranley, J.; Krause, R.; Hafner, C.; Tew, J. Extracranial Carotid Artery Aneurysms. Surgery 1983, 93, 319–323. [Google Scholar]
- Donas, K.P.; Schulte, S.; Pitoulias, G.A.; Siebertz, S.; Horsch, S. Surgical Outcome of Degenerative versus Postreconstructive Extracranial Carotid Artery Aneurysms. J. Vasc. Surg. 2009, 49, 93–98. [Google Scholar] [CrossRef]
- Zhou, W.; Lin, P.H.; Bush, R.L.; Peden, E.; Guerrero, M.A.; Terramani, T.; Lubbe, D.F.; Nguyen, L.; Lumsden, A.B. Carotid Artery Aneurysm: Evolution of Management over Two Decades. J. Vasc. Surg. 2006, 43, 493–496. [Google Scholar] [CrossRef]
- Théry, M.; Ziza, V. Symptomatic Extracranial Internal Carotid Artery Aneurysm Deferred Repair. J. Med. Vasc. 2023, 48, 84–87. [Google Scholar] [CrossRef]
- Lee, K.B.; Tanenbaum, M.T.; Wang, A.; Tsai, S.; Modrall, J.G.; Timaran, C.H.; Kirkwood, M.L.; Ramanan, B. Impact of Head and Neck Radiation on Long-Term Outcomes after Carotid Revascularization. J. Vasc. Surg. 2024, 80, 422–430. [Google Scholar] [CrossRef]
- Chang, H.M.; Venketasubramanian, N. Radiation Vasculopathy. Cerebrovasc. Dis. Extra 2025, 15, 173–180. [Google Scholar] [CrossRef]
- Texakalidis, P.; Giannopoulos, S.; Tsouknidas, I.; Song, S.; Rivet, D.J.; Reiter, E.R.; Reavey-Cantwell, J. Prevalence of Carotid Stenosis Following Radiotherapy for Head and Neck Cancer: A Systematic Review and Meta-Analysis. Head. Neck 2020, 42, 1077–1088. [Google Scholar] [CrossRef]
- Fan, D.; Luster, S.; Eid, I.G.; Saied Calvino, A. A Multidisciplinary Approach to Carotid Body Tumors Surgical Management. J. Surg. Case Rep. 2020, 2020, rjaa030. [Google Scholar] [CrossRef]
- Maxwell, J.G.; Jones, S.W.; Wilson, E.; Kotwall, C.A.; Hall, T.; Hamann, S.; Brinker, C.C. Carotid Body Tumor Excisions: Adverse Outcomes of Adding Carotid Endarterectomy. J. Am. Coll. Surg. 2004, 198, 36–41. [Google Scholar] [CrossRef] [PubMed]
- Liu, J.; Mu, H.; Zhang, W. Diagnosis and Treatment of Carotid Body Tumors. Am. J. Transl. Res. 2021, 13, 14121–14132. [Google Scholar] [PubMed]
- Venkatanarasimha, N.; Olubaniyi, B.; Freeman, S.J.; Suresh, P. Usual and Unusual Causes of Splaying of the Carotid Artery Bifurcation: The Lyre Sign—A Pictorial Review. Emerg. Radiol. 2011, 18, 75–79. [Google Scholar] [CrossRef] [PubMed]
- Nashnoush, M.; Lad, M.; Masood, I.; Singh, A.; Sazzad, S.; Bharmal, S.; Negussie, M.; Marwan, M.; Eskander, S. Multiparametric Analysis of Carotid Body Tumours: A Pictorial Essay. J. Ultrasound 2023, 26, 553–561. [Google Scholar] [CrossRef]
- Nimodia, D.; Kashikar, S.V.; Parihar, P.H.; Nagendra, V.; Dudhe, S. Carotid Body Tumor Imaging: MRI, Ultrasound, and Elastography with Surgical Management. Radiol. Case Rep. 2024, 19, 6085–6092. [Google Scholar] [CrossRef]
- Schmidt, W.A.; Kraft, H.E.; Vorpahl, K.; Völker, L.; Gromnica-Ihle, E.J. Color Duplex Ultrasonography in the Diagnosis of Temporal Arteritis. N. Engl. J. Med. 1997, 337, 1336–1342. [Google Scholar] [CrossRef]
- Arida, A.; Kyprianou, M.; Kanakis, M.; Sfikakis, P.P. The Diagnostic Value of Ultrasonography-Derived Edema of the Temporal Artery Wall in Giant Cell Arteritis: A Second Meta-Analysis. BMC Musculoskelet. Disord. 2010, 11, 44. [Google Scholar] [CrossRef]
- Ball, E.L.; Walsh, S.R.; Tang, T.Y.; Gohil, R.; Clarke, J.M.F. Role of Ultrasonography in the Diagnosis of Temporal Arteritis. Br. J. Surg. 2010, 97, 1765–1771. [Google Scholar] [CrossRef]
- Schäfer, V.S.; Juche, A.; Ramiro, S.; Krause, A.; Schmidt, W.A. Ultrasound Cut-off Values for Intima-Media Thickness of Temporal, Facial and Axillary Arteries in Giant Cell Arteritis. Rheumatol. Oxf. Engl. 2017, 56, 1479–1483. [Google Scholar] [CrossRef]
- Maeda, H.; Handa, N.; Matsumoto, M.; Hougaku, H.; Ogawa, S.; Oku, N.; Itoh, T.; Moriwaki, H.; Yoneda, S.; Kimura, K. Carotid Lesions Detected by B-Mode Ultrasonography in Takayasu’s Arteritis: “Macaroni Sign” as an Indicator of the Disease. Ultrasound Med. Biol. 1991, 17, 695–701. [Google Scholar] [CrossRef] [PubMed]
- Muratore, F.; Boiardi, L.; Restuccia, G.; Macchioni, P.; Pazzola, G.; Nicolini, A.; Germanò, G.; Possemato, N.; Cavazza, A.; Cavuto, S.; et al. Comparison between Colour Duplex Sonography Findings and Different Histological Patterns of Temporal Artery. Rheumatol. Oxf. Engl. 2013, 52, 2268–2274. [Google Scholar] [CrossRef] [PubMed]
- Schmidt, W.A. Ultrasound in Vasculitis. Clin. Exp. Rheumatol. 2014, 32, S71–S77. [Google Scholar] [PubMed]
- Bruyn, G.A.W.; Schmidt, W.A. Introductory Guide to Musculoskeletal Ultrasound for Rheumatologists, 2nd ed.; Bohn Stafleu Van Loghum: Utrecht, The Netherlands, 2012. [Google Scholar]
- Schmidt, W.A.; Seifert, A.; Gromnica-Ihle, E.; Krause, A.; Natusch, A. Ultrasound of Proximal Upper Extremity Arteries to Increase the Diagnostic Yield in Large-Vessel Giant Cell Arteritis. Rheumatol. Oxf. Engl. 2008, 47, 96–101. [Google Scholar] [CrossRef]
- Czihal, M.; Zanker, S.; Rademacher, A.; Tatò, F.; Kuhlencordt, P.J.; Schulze-Koops, H.; Hoffmann, U. Sonographic and Clinical Pattern of Extracranial and Cranial Giant Cell Arteritis. Scand. J. Rheumatol. 2012, 41, 231–236. [Google Scholar] [CrossRef]
- Schmidt, W.A.; Natusch, A.; Möller, D.E.; Vorpahl, K.; Gromnica-Ihle, E. Involvement of Peripheral Arteries in Giant Cell Arteritis: A Color Doppler Sonography Study. Clin. Exp. Rheumatol. 2002, 20, 309–318. [Google Scholar]
- Czihal, M.; Tatò, F.; Rademacher, A.; Kuhlencordt, P.; Schulze-Koops, H.; Hoffmann, U. Involvement of the Femoropopliteal Arteries in Giant Cell Arteritis: Clinical and Color Duplex Sonography. J. Rheumatol. 2012, 39, 314–321. [Google Scholar] [CrossRef]
- Schmidt, W.A.; Seipelt, E.; Krause, A.; Wernicke, D. Carotidynia in Takayasu Arteritis. J. Rheumatol. 2007, 34, 231–232. [Google Scholar]
- Keo, H.H.; Caliezi, G.; Baumgartner, I.; Diehm, N.; Willenberg, T. Increasing Echogenicity of Diffuse Circumferential Thickening (“macaroni Sign”) of the Carotid Artery Wall with Decreasing Inflammatory Activity of Takayasu Arteritis. J. Clin. Ultrasound JCU 2013, 41, 59–62. [Google Scholar] [CrossRef]
- Pfadenhauer, K.; Weber, H. Duplex Sonography of the Temporal and Occipital Artery in the Diagnosis of Temporal Arteritis. A Prospective Study. J. Rheumatol. 2003, 30, 2177–2181. [Google Scholar]
- Schmidt, W.A. Ultrasound in the Diagnosis and Management of Giant Cell Arteritis. Rheumatol. Oxf. Engl. 2018, 57, ii22–ii31. [Google Scholar] [CrossRef] [PubMed]
- Schmidt, W.A.; Schäfer, V.S. Diagnosing Vasculitis with Ultrasound: Findings and Pitfalls. Ther. Adv. Musculoskelet. Dis. 2024, 16, 1759720X241251742. [Google Scholar] [CrossRef] [PubMed]
- Aschwanden, M.; Daikeler, T.; Kesten, F.; Baldi, T.; Benz, D.; Tyndall, A.; Imfeld, S.; Staub, D.; Hess, C.; Jaeger, K.A. Temporal Artery Compression Sign—A Novel Ultrasound Finding for the Diagnosis of Giant Cell Arteritis. Ultraschall Med. Stuttg. Ger. 2013, 34, 47–50. [Google Scholar] [CrossRef] [PubMed]
- Hauenstein, C.; Reinhard, M.; Geiger, J.; Markl, M.; Hetzel, A.; Treszl, A.; Vaith, P.; Bley, T.A. Effects of Early Corticosteroid Treatment on Magnetic Resonance Imaging and Ultrasonography Findings in Giant Cell Arteritis. Rheumatol. Oxf. Engl. 2012, 51, 1999–2003. [Google Scholar] [CrossRef]
- Diamantopoulos, A.P.; Myklebust, G. Long-Term Inflammation in the Temporal Artery of a Giant Cell Arteritis Patient as Detected by Ultrasound. Ther. Adv. Musculoskelet. Dis. 2014, 6, 102–103. [Google Scholar] [CrossRef]
- Santoro, L.; D’Onofrio, F.; Bernardi, S.; Gremese, E.; Ferraccioli, G.; Santoliquido, A. Temporal Ultrasonography Findings in Temporal Arteritis: Early Disappearance of Halo Sign after Only 2 Days of Steroid Treatment. Rheumatol. Oxf. Engl. 2013, 52, 622. [Google Scholar] [CrossRef]
- Hansen, M.S.; Terslev, L.; Jensen, M.R.; Brittain, J.M.; Døhn, U.M.; Faber, C.; Heegaard, S.; Klefter, O.N.; Kønig, E.B.; Subhi, Y.; et al. Comparison of Temporal Artery Ultrasound versus Biopsy in the Diagnosis of Giant Cell Arteritis. Eye Lond. Engl. 2023, 37, 344–349. [Google Scholar] [CrossRef]
- Schmidt, W.A. Biopsy vs Imaging in the Diagnosis of Giant Cell Arteritis. Viewpoint 1: In Favour of Imaging. Rheumatol. Oxf. Engl. 2025, 64, i71–i73. [Google Scholar] [CrossRef]
- Schmidt, W.A.; Nerenheim, A.; Seipelt, E.; Poehls, C.; Gromnica-Ihle, E. Diagnosis of Early Takayasu Arteritis with Sonography. Rheumatol. Oxf. Engl. 2002, 41, 496–502. [Google Scholar] [CrossRef]
- Schinkel, A.F.L.; van den Oord, S.C.H.; van der Steen, A.F.W.; van Laar, J.A.M.; Sijbrands, E.J.G. Utility of Contrast-Enhanced Ultrasound for the Assessment of the Carotid Artery Wall in Patients with Takayasu or Giant Cell Arteritis. Eur. Heart J. Cardiovasc. Imaging 2014, 15, 541–546. [Google Scholar] [CrossRef]
- Germanò, G.; Macchioni, P.; Possemato, N.; Boiardi, L.; Nicolini, A.; Casali, M.; Versari, A.; Pipitone, N.; Salvarani, C. Contrast-Enhanced Ultrasound of the Carotid Artery in Patients With Large Vessel Vasculitis: Correlation With Positron Emission Tomography Findings. Arthritis Care Res. 2017, 69, 143–149. [Google Scholar] [CrossRef]
- Giordana, P.; Baqué-Juston, M.C.; Jeandel, P.Y.; Mondot, L.; Hirlemann, J.; Padovani, B.; Raffaelli, C. Contrast-Enhanced Ultrasound of Carotid Artery Wall in Takayasu Disease: First Evidence of Application in Diagnosis and Monitoring of Response to Treatment. Circulation 2011, 124, 245–247. [Google Scholar] [CrossRef]
- Tomelleri, A.; Dejaco, C.; Schmidt, W.A.; Falzon, L.; Bond, M.; Duftner, C.; Keen, H.; Krönke, G.; Pineda, C.; D’Agostino, M.A.; et al. Definitions of Elementary Ultrasound Lesions in Takayasu Arteritis: A Study from the OMERACT Ultrasound Working Group. RMD Open 2025, 11, e005738. [Google Scholar] [CrossRef] [PubMed]
- Patil, P.; Williams, M.; Maw, W.W.; Achilleos, K.; Elsideeg, S.; Dejaco, C.; Borg, F.; Gupta, S.; Dasgupta, B. Fast Track Pathway Reduces Sight Loss in Giant Cell Arteritis: Results of a Longitudinal Observational Cohort Study. Clin. Exp. Rheumatol. 2015, 33, S103–S106. [Google Scholar] [PubMed]
- Diamantopoulos, A.P.; Haugeberg, G.; Lindland, A.; Myklebust, G. The Fast-Track Ultrasound Clinic for Early Diagnosis of Giant Cell Arteritis Significantly Reduces Permanent Visual Impairment: Towards a More Effective Strategy to Improve Clinical Outcome in Giant Cell Arteritis? Rheumatol. Oxf. Engl. 2016, 55, 66–70. [Google Scholar] [CrossRef] [PubMed]
- Alberts, M. Temporal Arteritis: Improving Patient Evaluation with a New Protocol. Perm. J. 2013, 17, 56–62. [Google Scholar] [CrossRef]
- Besada, E.; Nossent, J.C. Ultrasonographic Resolution of the Vessel Wall Oedema with Modest Clinical Improvement in a Large-Vessel Vasculitis Patient Treated with Tocilizumab. Clin. Rheumatol. 2012, 31, 1263–1265. [Google Scholar] [CrossRef]
- Nienhuis, P.H.; van Praagh, G.D.; Glaudemans, A.W.J.M.; Brouwer, E.; Slart, R.H.J.A. A Review on the Value of Imaging in Differentiating between Large Vessel Vasculitis and Atherosclerosis. J. Pers. Med. 2021, 11, 236. [Google Scholar] [CrossRef]
- Murgatroyd, H.; Nimmo, M.; Evans, A.; MacEwen, C. The Use of Ultrasound as an Aid in the Diagnosis of Giant Cell Arteritis: A Pilot Study Comparing Histological Features with Ultrasound Findings. Eye Lond. Engl. 2003, 17, 415–419. [Google Scholar] [CrossRef]
- Fernández-Fernández, E.; Monjo-Henry, I.; Bonilla, G.; Plasencia, C.; Miranda-Carús, M.-E.; Balsa, A.; De Miguel, E. False Positives in the Ultrasound Diagnosis of Giant Cell Arteritis: Some Diseases Can Also Show the Halo Sign. Rheumatol. Oxf. Engl. 2020, 59, 2443–2447. [Google Scholar] [CrossRef]
- Tsai, C.-F.; Jeng, J.-S.; Lu, C.-J.; Yip, P.-K. Clinical and Ultrasonographic Manifestations in Major Causes of Common Carotid Artery Occlusion. J. Neuroimaging 2005, 15, 50–56. [Google Scholar] [CrossRef]
- Schmidt, W.A. Role of Ultrasound in the Understanding and Management of Vasculitis. Ther. Adv. Musculoskelet. Dis. 2014, 6, 39–47. [Google Scholar] [CrossRef] [PubMed]
- Muratore, F.; Pipitone, N.; Salvarani, C.; Schmidt, W.A. Imaging of Vasculitis: State of the Art. Best. Pract. Res. Clin. Rheumatol. 2016, 30, 688–706. [Google Scholar] [CrossRef] [PubMed]
- Gailloud, P. The Segmentation of the Vertebral Artery: An Ambiguous Anatomical Concept. Interv. Neuroradiol. 2022, 28, 765–772. [Google Scholar] [CrossRef] [PubMed]
- Seidel, E.; Eicke, B.M.; Tettenborn, B.; Krummenauer, F. Reference Values for Vertebral Artery Flow Volume by Duplex Sonography in Young and Elderly Adults. Stroke 1999, 30, 2692–2696. [Google Scholar] [CrossRef]
- Buckenham, T.M.; Wright, I.A. Ultrasound of the Extracranial Vertebral Artery. Br. J. Radiol. 2004, 77, 15–20. [Google Scholar] [CrossRef]
- Valenzuela-Fuenzalida, J.J.; Rojas-Navia, C.P.; Quirós-Clavero, A.P.; Sanchis-Gimeno, J.; Rodriguez-Luengo, M.; Nova-Baeza, P.; Orellana-Donoso, M.; Becerra Farfán, Á.; Bruna-Mejias, A.; Sepúlveda-Loyola, W.; et al. Anatomy of Vertebral Artery Hypoplasia and Its Relationship with Clinical Implications: A Systematic Review and Meta-Analysis of Prevalence. Surg. Radiol. Anat. SRA 2024, 46, 963–975. [Google Scholar] [CrossRef]
- Sauer, T.; Wolf, M.E.; Ebert, A.D.; Szabo, K.; Chatzikonstantinou, A. Vertebral Artery Hypoplasia Does Not Influence Lesion Size and Clinical Severity in Acute Ischemic Stroke. J. Stroke Cerebrovasc. Dis. 2016, 25, 1770–1775. [Google Scholar] [CrossRef]
- Vilimas, A.; Gaigalaitė, V.; Urbonas, M.; Jatužis, D. Association of Vertebral Artery Hypoplasia and Vertebrobasilar Cerebrovascular Accident. Med. Kaunas. Lith. 2022, 58, 1189. [Google Scholar] [CrossRef]
- Zhang, L.-H.; Yu, D.-L.; Liu, B.-L.; Tian, C. A Preliminary Study on Colour Doppler Ultrasound for the Evaluation of Intervertebral Stenosis of the Vertebral Artery. Clin. Radiol. 2021, 76, 80.e9–80.e13. [Google Scholar] [CrossRef]
- Solini, A.; Orsini, G.; Ruggieri, N. Vertebral Artery Release in Vertebro-Basilar Insufficiency Due to Cervical Uncoarthrosis. Ital. J. Orthop. Traumatol. 1989, 15, 43–56. [Google Scholar] [PubMed]
- Mitchell, J.A. Changes in Vertebral Artery Blood Flow Following Normal Rotation of the Cervical Spine. J. Manip. Physiol. Ther. 2003, 26, 347–351. [Google Scholar] [CrossRef] [PubMed]
- Araz Server, E.; Edizer, D.T.; Yiğit, Ö.; Yasak, A.G.; Erdim, Ç. Relationship between Vertebral Artery Blood Flow in Different Head Positions and Vertigo. Acta Otolaryngol. 2018, 138, 1–5. [Google Scholar] [CrossRef] [PubMed]
- Tavakoli, S.G.; Britt, T.B.; Agarwal, S. Vertebral Artery Dissection. In StatPearls; StatPearls Publishing: Treasure Island, FL, USA, 2025. [Google Scholar]
- Siepmann, T.; Borchert, M.; Barlinn, K. Vertebral Artery Dissection with Compelling Evidence on Duplex Ultrasound Presenting Only with Neck Pain. Neuropsychiatr. Dis. Treat. 2016, 12, 2839–2841. [Google Scholar] [CrossRef]
- Sturzenegger, M.; Mattle, H.P.; Rivoir, A.; Rihs, F.; Schmid, C. Ultrasound Findings in Spontaneous Extracranial Vertebral Artery Dissection. Stroke 1993, 24, 1910–1921. [Google Scholar] [CrossRef]
- Potter, B.J.; Pinto, D.S. Subclavian Steal Syndrome. Circulation 2014, 129, 2320–2323. [Google Scholar] [CrossRef]
- Rosenberry, R.; Nelson, M.D. Reactive Hyperemia: A Review of Methods, Mechanisms, and Considerations. Am. J. Physiol. Regul. Integr. Comp. Physiol. 2020, 318, R605–R618. [Google Scholar] [CrossRef]
- Omae, T.; Hirai, Y.; Fujii, K.; Ikeda, K.; Ibayashi, S.; Iida, M. Subclavian steal phenomenon induced by arteriovenous fistula for hemodialysis. Nihon Naika Gakkai Zasshi 2005, 94, 129–131. [Google Scholar] [CrossRef]
- Fujimoto, K.; Iida, J.; Kawaguchi, S.; Sakaki, T.; Shiiki, H.; Saito, Y. Subclavian steal phenomenon complicating an upper extremity arteriovenous fistula for hemodialysis. No To Shinkei 2004, 56, 599–602. [Google Scholar]
- Rizzo, S.; Talei Franzesi, C.; Cara, A.; Cassina, E.M.; Libretti, L.; Pirondini, E.; Raveglia, F.; Tuoro, A.; Vaquer, S.; Degiovanni, S.; et al. Diagnostic and Therapeutic Approach to Thoracic Outlet Syndrome. Tomogr. Ann. Arbor. Mich. 2024, 10, 1365–1378. [Google Scholar] [CrossRef]
- Illig, K.A.; Donahue, D.; Duncan, A.; Freischlag, J.; Gelabert, H.; Johansen, K.; Jordan, S.; Sanders, R.; Thompson, R. Reporting Standards of the Society for Vascular Surgery for Thoracic Outlet Syndrome. J. Vasc. Surg. 2016, 64, e23–e35. [Google Scholar] [CrossRef]
- Sanders, R.J.; Hammond, S.L.; Rao, N.M. Diagnosis of Thoracic Outlet Syndrome. J. Vasc. Surg. 2007, 46, 601–604. [Google Scholar] [CrossRef] [PubMed]
- Li, N.; Dierks, G.; Vervaeke, H.E.; Jumonville, A.; Kaye, A.D.; Myrcik, D.; Paladini, A.; Varrassi, G.; Viswanath, O.; Urits, I. Thoracic Outlet Syndrome: A Narrative Review. J. Clin. Med. 2021, 10, 962. [Google Scholar] [CrossRef]
- Gillard, J.; Pérez-Cousin, M.; Hachulla, E.; Remy, J.; Hurtevent, J.F.; Vinckier, L.; Thévenon, A.; Duquesnoy, B. Diagnosing Thoracic Outlet Syndrome: Contribution of Provocative Tests, Ultrasonography, Electrophysiology, and Helical Computed Tomography in 48 Patients. Joint Bone Spine 2001, 68, 416–424. [Google Scholar] [CrossRef]
- Stapleton, C.; Herrington, L.; George, K. Sonographic Evaluation of the Subclavian Artery during Thoracic Outlet Syndrome Shoulder Manoeuvres. Man. Ther. 2009, 14, 19–27. [Google Scholar] [CrossRef]
- Stegemann, E.; Larbig, J.; Stegemann, B.; Portig, I.; Prescher, H.; Bürger, T. Validity of Ultrasound for the Diagnosis of Arterial Thoracic Outlet Syndrome. EJVES Vasc. Forum 2024, 61, 92–98. [Google Scholar] [CrossRef]
- Expert Panels on Vascular Imaging, Thoracic Imaging, and Neurological Imaging; Zurkiya, O.; Ganguli, S.; Kalva, S.P.; Chung, J.H.; Shah, L.M.; Majdalany, B.S.; Bykowski, J.; Carter, B.W.; Chandra, A.; et al. ACR Appropriateness Criteria® Thoracic Outlet Syndrome. J. Am. Coll. Radiol. JACR 2020, 17, S323–S334. [Google Scholar] [CrossRef]





| ICA Stenosis (%NASCET) | ICA Stenosis (%ECST) |
|---|---|
| 30 | 60 |
| 50 | 70 |
| 60 | 75 |
| 70 | 80 |
| 80 | 90 |
| Percentage of Stenosis (NASCET) | PSV ICA (cm/s) | EDV ICA (cm/s) | PSV ICA/PSV CCA Ratio | PSV ICA/EDV CCA (St Mary’s Ratio) |
|---|---|---|---|---|
| <50 | <125 | <40 | <2 | <8 |
| 50–59 | >125 | - | 2–4 | 8–10 |
| 60–69 | - | - | - | 11–13 |
| 70–79 | >230 | >100 | >4 | 14–21 |
| 80–89 | - | - | - | 22–29 |
| >90% | >400 | - | > 5 | >30 |
| Near-occlusion | High, low-string flow | - | Variable | Variable |
| Occlusion | No flow | - | Not applicable | Not applicable |
| Timing | Follow-Up |
|---|---|
| 48 h | Optional technical check |
| 30 days | Baseline post-operative duplex ultrasound |
| Every 6 months (first 2 years) | Close surveillance during the period of higher restenosis risk |
| Annually | Long-term follow up in stable patient at low risk |
| Condition | Restenosis | ICA/CCA PSV Ratio | PSV (cm/s) |
|---|---|---|---|
| Post-CAS | >50% | >2.5 | >220 |
| Post-CAS | >70% | >3.8 | >300 |
| Post-CEA | >50% | >2.25 | >213 |
| Post-CEA | >70% | >3.35 | >274 |
| Ultrasound Parameter | Cut-Off | Specificity | Sensitivity | References |
|---|---|---|---|---|
| Temporal Artery IMT | Commonly > 0.4 mm Typically 0.5–0.8 mm | ≈83~100% if bilateral | ≈75% (biopsy-positive) 20% in perivascular/adventitial involvement | [212,214,215,216,217] |
| Axillary artery IMT | ≥1.0 mm (suspicious) ≥1.5 mm (highly suggestive) | High | N/A | [215,226] |
| Subclavian artery IMT | >1.0 mm | High | N/A | [215,224] |
| Compression sign | Lack of collapse under transducer pressure | High | Very high (~100%) | [229] |
| Bilateral halo sign | Present in both frontal and parietal branches | ≈100% | ≈75% | [213,214] |
| Macaroni sign (TAK) | IMT > 1.0 mm, homogeneous concentric thickening | High | N/A | [216] |
| Stenosis Percentage | US Parameter |
|---|---|
| <50% | PSV (iv-S) ≥ 81.5 cm/s EDV (iv-S) ≥ 24.5 cm/s PSV (iv-S)/PSV (iv-D) ≥ 1.49 |
| 50–69% | PSV (iv-S) ≥ 137.5 cm/s EDV (iv-S) ≥ 36.5 cm/s PSV (iv-S)/PSV (iv-D) ≥ 3.14 |
| 70–99% | PSV (iv-S) ≥ 216 cm/s EDV (iv-S) ≥ 55 cm/s PSV (iv-S)/PSV (iv-D) ≥ 4.31 |
Disclaimer/Publisher’s Note: The statements, opinions and data contained in all publications are solely those of the individual author(s) and contributor(s) and not of MDPI and/or the editor(s). MDPI and/or the editor(s) disclaim responsibility for any injury to people or property resulting from any ideas, methods, instructions or products referred to in the content. |
© 2025 by the authors. Licensee MDPI, Basel, Switzerland. This article is an open access article distributed under the terms and conditions of the Creative Commons Attribution (CC BY) license (https://creativecommons.org/licenses/by/4.0/).
Share and Cite
Costanzo, L.; Failla, G.; Aluigi, L.; Baroncelli, T.A.; Bua, C.; De Marchi, S.; Diaco, E.; Di Paola, F.; Di Pino, F.L.; Mannello, F.; et al. Operative Procedures for Ultrasound Assessment of Extracranial Artery Disease: A Narrative Review by the Italian Society for Vascular Investigation (SIDV). J. Clin. Med. 2025, 14, 7050. https://doi.org/10.3390/jcm14197050
Costanzo L, Failla G, Aluigi L, Baroncelli TA, Bua C, De Marchi S, Diaco E, Di Paola F, Di Pino FL, Mannello F, et al. Operative Procedures for Ultrasound Assessment of Extracranial Artery Disease: A Narrative Review by the Italian Society for Vascular Investigation (SIDV). Journal of Clinical Medicine. 2025; 14(19):7050. https://doi.org/10.3390/jcm14197050
Chicago/Turabian StyleCostanzo, Luca, Giacomo Failla, Leonardo Aluigi, Tiziana Anna Baroncelli, Chiara Bua, Sergio De Marchi, Elia Diaco, Federico Di Paola, Francesco Lorenzo Di Pino, Ferdinando Mannello, and et al. 2025. "Operative Procedures for Ultrasound Assessment of Extracranial Artery Disease: A Narrative Review by the Italian Society for Vascular Investigation (SIDV)" Journal of Clinical Medicine 14, no. 19: 7050. https://doi.org/10.3390/jcm14197050
APA StyleCostanzo, L., Failla, G., Aluigi, L., Baroncelli, T. A., Bua, C., De Marchi, S., Diaco, E., Di Paola, F., Di Pino, F. L., Mannello, F., Martinelli, O., Mascoli, C., Pedi, A. M., Privitera, I., Rescigno, E., Trani, A., Antignani, P. L., & Mangiafico, M. (2025). Operative Procedures for Ultrasound Assessment of Extracranial Artery Disease: A Narrative Review by the Italian Society for Vascular Investigation (SIDV). Journal of Clinical Medicine, 14(19), 7050. https://doi.org/10.3390/jcm14197050

