Sign in to use this feature.

Years

Between: -

Subjects

remove_circle_outline
remove_circle_outline
remove_circle_outline
remove_circle_outline
remove_circle_outline
remove_circle_outline
remove_circle_outline
remove_circle_outline
remove_circle_outline

Journals

remove_circle_outline
remove_circle_outline
remove_circle_outline
remove_circle_outline
remove_circle_outline
remove_circle_outline
remove_circle_outline
remove_circle_outline
remove_circle_outline
remove_circle_outline
remove_circle_outline
remove_circle_outline
remove_circle_outline
remove_circle_outline

Article Types

Countries / Regions

remove_circle_outline
remove_circle_outline
remove_circle_outline
remove_circle_outline
remove_circle_outline
remove_circle_outline

Search Results (889)

Search Parameters:
Keywords = carotid disease

Order results
Result details
Results per page
Select all
Export citation of selected articles as:
15 pages, 3285 KB  
Article
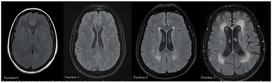
Relationship Between Carotid Artery Anatomy and Geometry and White Matter Hyperintensities and Accompanying Comorbid Factors
by Semih Sağlık and Ayfer Ertekin
Tomography 2026, 12(1), 12; https://doi.org/10.3390/tomography12010012 - 22 Jan 2026
Viewed by 7
Abstract
Background/Objectives: This study aimed to investigate the relationship between carotid artery anatomy and geometry and white matter hyperintensities (WMH) and to determine whether it is a risk factor for the disease. Methods: The geometry and anatomy of both carotid arteries were evaluated with [...] Read more.
Background/Objectives: This study aimed to investigate the relationship between carotid artery anatomy and geometry and white matter hyperintensities (WMH) and to determine whether it is a risk factor for the disease. Methods: The geometry and anatomy of both carotid arteries were evaluated with the three-dimensional vessel model obtained from the computed tomography angiography (CTA) data, and the segmentation software calculated the geometrical features of the arteries. In this model, vascular diameter, vascular cross-sectional area, carotid bifurcation and internal carotid artery (ICA) angles, as well as ICA tortuosity index (TI) measurements of the common carotid artery (CCA) and ICA were determined. Results: Compared with the non-WMH group, increased carotid bifurcation and ICA angle and higher ICA TI values were found in the WMH group (p < 0.001). In multivariate regression analysis, increased carotid bifurcation angle, higher ICA TI values, age, hypertension, and stroke history were identified as independent risk factors for the development of WMH (p < 0.05). In addition, age, carotid bifurcation angles and ICA angles were found to be associated with the severity of WMH (p < 0.05). Conclusions: Considering the vascular pathologies involved in the pathogenesis of WMH, identifying these risk factors may help determine individuals who are at an increased risk. Full article
(This article belongs to the Section Neuroimaging)
Show Figures

Figure 1

29 pages, 2502 KB  
Review
Non-Coding RNA Profile in the Progression of Carotid Atherosclerosis: A Systematic Review
by Gemma Sardelli, Pasquale Bufano, Rosetta Ragusa, Marco Laurino, Gabriele Masini, Luna Gargani, Danilo Neglia, Raffaele De Caterina and Chiara Caselli
Int. J. Mol. Sci. 2026, 27(2), 1002; https://doi.org/10.3390/ijms27021002 - 19 Jan 2026
Viewed by 165
Abstract
Carotid atherosclerosis remains one of the primary etiological factors underlying ischemic stroke, contributing to adult neurological disability and mortality. In recent years, non-coding RNAs (ncRNAs) have emerged as key regulators of gene expression, actively modulating molecular pathways involved in atherogenesis. This systematic review, [...] Read more.
Carotid atherosclerosis remains one of the primary etiological factors underlying ischemic stroke, contributing to adult neurological disability and mortality. In recent years, non-coding RNAs (ncRNAs) have emerged as key regulators of gene expression, actively modulating molecular pathways involved in atherogenesis. This systematic review, the first to be exclusively focused on carotid atherosclerosis, aimed at synthesizing current findings on the differential expression of ncRNAs throughout the natural history of the disease, thus providing the first comprehensive attempt to delineate a stage-specific ncRNA expression profile in carotid disease. A comprehensive literature search was conducted in PubMed and Scopus databases in January 2025, following PRISMA guidelines. Original studies involving human subjects with carotid atherosclerosis, evaluating the expression of intracellular or circulating ncRNAs, were included and then categorized according to their association with cardiovascular risk factors, carotid intima-media thickness (cIMT), presence of atherosclerotic plaques, plaque vulnerability, clinical symptoms, and ischemic stroke. Out of 148 articles initially identified, 49 met the inclusion criteria and were analyzed in depth. Among the different classes of ncRNAs, microRNAs (miRNAs) were the most frequently reported as dysregulated, followed by circular RNAs (circRNAs) and long non-coding RNAs (lncRNAs). Notably, the majority of identified ncRNAs were implicated in key pathogenic mechanisms such as inflammatory signaling, vascular smooth muscle cell (VSMC) phenotypic modulation, and ABCA1-mediated cholesterol efflux. Collectively, the evidence underscores the association and possible involvement of ncRNAs in the initiation and progression of carotid atherosclerosis and its cerebrovascular complications. Their relative stability in biological fluids and cell-specific expression profiles highlight their strong potential as minimally invasive biomarkers and—possibly—novel therapeutic targets. Full article
Show Figures

Graphical abstract

27 pages, 1106 KB  
Article
Comparative Diagnostic Performance of Conventional and Novel Fatty Acid Indices in Blood Plasma as Biomarkers of Atherosclerosis Under Statin Therapy
by Nikolay Eroshchenko, Elena Danilova, Anastasiia Lomonosova, Philipp Kopylov, Svetlana Lebedeva, Andreas Tsakalof and Alexander Nosyrev
Biomedicines 2026, 14(1), 149; https://doi.org/10.3390/biomedicines14010149 - 11 Jan 2026
Viewed by 343
Abstract
Background: Atherosclerosis and its associated chronic inflammation of the arterial wall disrupt fatty acid metabolism, leading to changes in plasma fatty acid composition. These alterations can be used to improve disease diagnosis and risk stratification by the development and application of specific lipidomic [...] Read more.
Background: Atherosclerosis and its associated chronic inflammation of the arterial wall disrupt fatty acid metabolism, leading to changes in plasma fatty acid composition. These alterations can be used to improve disease diagnosis and risk stratification by the development and application of specific lipidomic indices. Objectives: The objectives of this study are to evaluate the performance of conventional fatty acid indices and enhance diagnostic efficiency in atherosclerosis by introducing novel index based on plasma PUFA n-6 and n-3 content (Omega-6/3 Balance Index, O6/3-BI), as well as the perspective SFA/MUFA ratio (stearic/oleic acid ratio, C18:0/C18:1n-9) and a logit function combining PUFA and SFA/MUFA biomarkers. Methods: Plasma fatty acids were quantified by LC-MS/MS in healthy controls (n = 50) and patients with carotid atherosclerosis (n = 52), stratified by atorvastatin, rosuvastatin, or no statin therapy. The conventional indices (the Omega-3 Status (EPA + DHA), AA/EPA, and the omega-6/omega-3 ratio), and pathway ratios (C18:0/C18:1n-9; and C20:4n-6/C22:4n-6), as well as the newly introduced PUFA index and combined PUFA-SFA/MUFA logit function, were calculated. Their diagnostic performance for distinguishing atherosclerosis was assessed by a receiver operating characteristic (ROC) analysis with the cross-validation and calculation of Cliff’s Δ effect size. Results: The conventional parameters demonstrated a poor to low discrimination ability of the atherosclerosis patients’ groups from healthy controls (area under the ROC curve, AUC 0.548–0.711). In statin-treated patients, these conventional markers lost significance. The newly introduced PUFA index and SFA/MUFA ratio demonstrated improved patients’ discrimination with AUC 0.734–0.780 for the former and strong predictive power with AUC 0.831–0.858 for the latter marker and maintained their diagnostic value under statin therapy. The most significant positive effect size was observed for the SFA/MUFA ratio with Cliff’s Δ = 0.67–0.71. The combined PUFA-SFA/MUFA logit function also demonstrated a strong predictive power with AUC = 0.880 (Cliff’s Δ = −0.76), outperforming any single index. Conclusions: The newly introduced lipidomic index based on the PUFA content, SFA/MUFA ratio, and a logit function combining PUFA-SFA/MUFA biomarkers demonstrated a substantially better discrimination of atherosclerosis-related fatty acid metabolic disturbances than conventional fatty acid biomarkers. Full article
Show Figures

Figure 1

11 pages, 689 KB  
Perspective
Revisiting the Windkessel Function: Toward Accessible Assessment of Central Arterial Health
by Jun Sugawara
J. Clin. Med. 2026, 15(1), 342; https://doi.org/10.3390/jcm15010342 - 2 Jan 2026
Viewed by 384
Abstract
Cardiovascular disease (CVD) remains the leading cause of death worldwide, accounting for nearly one-third of global mortality. Arterial stiffening, particularly in the central elastic arteries, impairs the Windkessel (cushioning and pumping) function and contributes to cardiovascular risk beyond traditional factors. Carotid–femoral pulse wave [...] Read more.
Cardiovascular disease (CVD) remains the leading cause of death worldwide, accounting for nearly one-third of global mortality. Arterial stiffening, particularly in the central elastic arteries, impairs the Windkessel (cushioning and pumping) function and contributes to cardiovascular risk beyond traditional factors. Carotid–femoral pulse wave velocity (cfPWV) is established as the gold standard for assessing aortic stiffness and predicting cardiovascular and all-cause mortality; however, its technical complexity and requirement for trained personnel limit its use in routine clinical and community settings. These challenges have driven the development of simplified techniques for population screening, such as brachial–ankle PWV (baPWV). More recently, single-cuff oscillometric devices have emerged as practical alternatives. These methods are simple enough to be implemented in daily healthcare at home, thereby greatly enhancing accessibility, although their accuracy depends on model assumptions and calibration. In this perspective article, we highlight the pathophysiological significance of preserving the central arterial Windkessel function and emphasize the need for its practical assessment. Recent innovations mark a paradigm shift from complex laboratory-based measurements toward simplified, data-driven, and socially feasible screening tools for the early detection and prevention of CVD. Full article
(This article belongs to the Section Cardiovascular Medicine)
Show Figures

Figure 1

11 pages, 2009 KB  
Article
Retinal Ischemic Perivascular Lesions Are Associated with Cardiovascular Diseases in Patients with Severe Carotid Artery Stenosis
by Li Zhang, Ying-Ying Chen, Chun-Yan Lei, Fei-Peng Jiang, Tian-Yu Yang, Zhi-Hao Xiao, Sheng Gao and Mei-Xia Zhang
J. Clin. Med. 2026, 15(1), 246; https://doi.org/10.3390/jcm15010246 - 29 Dec 2025
Viewed by 289
Abstract
Background/Objectives: The objective of this study is to evaluate the association between retinal ischemic perivascular lesions (RIPLs) and cardiovascular diseases (CVDs) among patients diagnosed with severe carotid artery stenosis (SCAS). Methods: Consecutive patients (123 patients) with SCAS were included and underwent [...] Read more.
Background/Objectives: The objective of this study is to evaluate the association between retinal ischemic perivascular lesions (RIPLs) and cardiovascular diseases (CVDs) among patients diagnosed with severe carotid artery stenosis (SCAS). Methods: Consecutive patients (123 patients) with SCAS were included and underwent swept-source optical coherence tomography angiography (SS-OCTA). Retinal structural and blood flow parameters of the macular region were calculated and compared between patients with and without CVD. The prevalence of RIPLs confirmed on B-scan images was compared between patients with and without CVD. The relationship between RIPLs and CVD in patients with SCAS was explored using multivariate logistic regression analysis. Subgroup analysis was conducted to evaluate the relationship between ipsilateral RIPLs, contralateral RIPLs, and bilateral RIPLs and CVD. Results: Of the 123 patients with SCAS, 61 patients (49.6%) had a history of CVD. The CVD group had lower vessel density in the superficial and deep retinal vascular complexes, thinner inner retinal thickness, and thicker outer retinal thickness compared with the non-CVD group. A higher prevalence of RIPLs was found in the CVD group compared to the non-CVD group (55.7% vs. 30.6%, p = 0.006). The presence of RIPLs was significantly associated with CVD in SCAS patients (OR = 3.953 [1.695–9.219], p = 0.001) after adjusting for covariates. Subgroup analysis revealed greatest risk of bilateral RIPLs for CVD (OR = 7.383 [1.749–30.393], p = 0.006), followed by contralateral RIPLs (OR = 4.024 [1.432–11.306], p = 0.008) and ipsilateral RIPLs (OR = 2.951 [1.258–6.921], p = 0.013). Conclusions: The presence of RIPLs is significantly associated with CVD in SCAS patients. Findings of this research demonstrated that evaluation of RIPLs may help identify high-risk SCAS patients and facilitate special medical care for this group of patients. Full article
(This article belongs to the Section Ophthalmology)
Show Figures

Figure 1

16 pages, 856 KB  
Article
Predictors of Escalation of Lipid-Lowering Therapy with Subanalysis of the Influence of Lipoprotein (a) on the Decision-Making Process
by Paweł Muszyński, Kinga Natalia Dudzińska, Marlena Święcicka, Wiktoria Grądzka-Matys, Małgorzata Chlabicz, Dominika Musiałowska, Joanna Kruszyńska, Piotr Kazberuk, Urszula Bajda and Anna Tomaszuk-Kazberuk
Diseases 2026, 14(1), 8; https://doi.org/10.3390/diseases14010008 - 27 Dec 2025
Viewed by 412
Abstract
Background/Objectives: Cardiovascular diseases are the leading cause of death worldwide. The preventive efforts to reduce the burden are crucial. Primary causes of cardiovascular diseases include lipid disorders. The variety of available medications influences cardiovascular risk and allows for improvement. However, discontinuation or infrequent [...] Read more.
Background/Objectives: Cardiovascular diseases are the leading cause of death worldwide. The preventive efforts to reduce the burden are crucial. Primary causes of cardiovascular diseases include lipid disorders. The variety of available medications influences cardiovascular risk and allows for improvement. However, discontinuation or infrequent initiation of lipid-lowering therapies remains a problem. This study aimed to investigate predictors of lipid-lowering therapy escalation. Methods: 431 patients with known concentrations of Lipoprotein (a) (Lp (a)) acquired as part of routine cardiovascular risk assessment from the HELPE-R registry, hospitalised in the University Clinical Hospital in Białystok were included in this study. Escalation of treatment was defined as the initiation of any form of lowering therapy or an increase in the potency or dose of statins. The analysis of the influence of various factors on the decision about escalation was performed. Results: The median age was 69.00 years. The escalation of therapy occurred in 48.49% of patients. Not reaching the LDL-C goal was the strongest predictor of escalation (OR: 9.177). The other factors increasing the probability of escalation included acute coronary syndrome (OR: 3.913), prediabetes (OR: 2.372), chronic coronary syndrome (OR: 2.217), dyslipidemia (OR: 2.354), hypertension (OR: 1.734), carotid artery stenosis (OR: 1.625), and obesity (OR: 1.543). There was no effect of past MI and stroke on the escalation of lipid profile. Lp (a) did not affect the escalation. Conclusions: The decision about escalation of lipid-lowering therapy is mainly influenced by classical risk factors and established atherosclerotic disease. Lp (a) did not affect the escalation, despite growing interest among medical practitioners. Full article
(This article belongs to the Special Issue Insights into the Management of Cardiovascular Disease Risk Factors)
Show Figures

Graphical abstract

17 pages, 1036 KB  
Article
Subclinical Carotid Atherosclerosis Is Present from Early COPD Stages, Being in a Close Relationship with Systemic Inflammation
by Ioana Ciortea, Emanuela Vastag, Corneluța Fira-Mladinescu, Alexandru Florian Crisan, Norbert Wellmann, Ana Adriana Trusculescu, Nicoleta Sorina Bertici, Daniel Traila, Cristian Oancea and Ovidiu Fira-Mladinescu
J. Clin. Med. 2026, 15(1), 180; https://doi.org/10.3390/jcm15010180 - 26 Dec 2025
Viewed by 332
Abstract
Background: Several cohort studies have demonstrated a link between subclinical carotid atherosclerosis and obstructive chronic airflow limitation. These conditions exhibit common risk factors associated with unhealthy lifestyles, as well as analogous pathophysiological mechanisms, including chronic low-degree systemic inflammation. Purpose: The aim of this [...] Read more.
Background: Several cohort studies have demonstrated a link between subclinical carotid atherosclerosis and obstructive chronic airflow limitation. These conditions exhibit common risk factors associated with unhealthy lifestyles, as well as analogous pathophysiological mechanisms, including chronic low-degree systemic inflammation. Purpose: The aim of this study was to investigate the association between airflow obstruction and carotid intima–media thickness (c-IMT), together with the influence of inflammatory biomarkers on this relationship, in patients diagnosed with chronic obstructive pulmonary disease (COPD). Methods and Patients: This study is cross-sectional and includes 106 patients with stable COPD. All patients underwent evaluation through spirometry, carotid ultrasound, and assessment of inflammatory biomarkers, including C-reactive protein, fibrinogen, and erythrocyte sedimentation rate. The relationship between carotid subclinical atherosclerosis and the Global Initiative for Chronic Obstructive Lung Disease (GOLD) stage of COPD was assessed. Additionally, we compared patients with two positive biomarkers of inflammation with those who had no positive inflammatory biomarkers. Results: Significant statistical differences were observed in carotid intima–media thickness values associated with the severity of airflow obstruction, with measurements of 1.03 mm in COPD stage 1–2 GOLD, 1.07 mm in COPD GOLD 3, and 0.96 mm in GOLD 4 (p = 0.04). However, no direct correlation with forced expiratory volume in the first second (FEV1) was identified. The post hoc analysis revealed a notable increase in carotid wall thickness for the early stages of COPD. C-IMT demonstrated a significant association with inflammation parameters, muscle dysfunction, body composition, and lipid profile. The comparison of groups exhibiting two positive inflammatory biomarkers with those with no positive inflammatory markers revealed significant differences in age, c-IMT, exercise tolerance, and COPD symptoms. Conclusions: Subclinical carotid atherosclerosis is evident from the early stages of obstructive airflow limitation. Carotid intima–media thickness is significantly higher in patients with positive inflammatory biomarkers. Full article
(This article belongs to the Special Issue Advances in Pulmonary Disease Management and Innovation in Treatment)
Show Figures

Figure 1

14 pages, 354 KB  
Review
Should Neurogenic Supine Hypertension Be Treated? Insights from Hypertension-Mediated Organ Damage Studies—A Narrative Review
by Cristiano Fava, Federica Stocchetti and Sara Bonafini
Biomedicines 2026, 14(1), 40; https://doi.org/10.3390/biomedicines14010040 - 24 Dec 2025
Viewed by 463
Abstract
Neurodegenerative synucleinopathies—including Parkinson’s disease, multiple system atrophy, pure autonomic failure, and dementia with Lewy bodies—often feature cardiovascular autonomic dysfunction. Neurogenic orthostatic hypotension (nOH) is common and symptomatic, while neurogenic supine hypertension (nSH) is less frequent but may carry long-term cardiovascular risks. Lifestyle measures [...] Read more.
Neurodegenerative synucleinopathies—including Parkinson’s disease, multiple system atrophy, pure autonomic failure, and dementia with Lewy bodies—often feature cardiovascular autonomic dysfunction. Neurogenic orthostatic hypotension (nOH) is common and symptomatic, while neurogenic supine hypertension (nSH) is less frequent but may carry long-term cardiovascular risks. Lifestyle measures are first-line for managing nSH, yet persistent hypertension unresponsive to nonpharmacological strategies presents a treatment dilemma. Limited trial data and unclear guidelines make it difficult to determine when antihypertensive therapy is appropriate. Evidence from studies on hypertension-mediated organ damage (HMOD)—assessed through markers such as carotid intima-media thickness, pulse wave velocity, left ventricular hypertrophy, estimated glomerular filtration rate, and white matter hyperintensities—suggests that nSH, rather than the underlying neurodegenerative disorder, drives vascular, cardiac, renal, and cerebral injury. Therefore, treatment decisions should be individualized. While antihypertensive therapy may help prevent subclinical organ damage, clinicians must balance this benefit against the risk of worsening nOH and further compromising overall prognosis. Full article
(This article belongs to the Section Neurobiology and Clinical Neuroscience)
16 pages, 1560 KB  
Article
Performance Comparison of U-Net and Its Variants for Carotid Intima–Media Segmentation in Ultrasound Images
by Seungju Jeong, Minjeong Park, Sumin Jeong and Dong Chan Park
Diagnostics 2026, 16(1), 2; https://doi.org/10.3390/diagnostics16010002 - 19 Dec 2025
Viewed by 404
Abstract
Background/Objectives: This study systematically compared the performance of U-Net and variants for automatic analysis of carotid intima-media thickness (CIMT) in ultrasound images, focusing on segmentation accuracy and real-time efficiency. Methods: Ten models were trained and evaluated using a publicly available Carotid [...] Read more.
Background/Objectives: This study systematically compared the performance of U-Net and variants for automatic analysis of carotid intima-media thickness (CIMT) in ultrasound images, focusing on segmentation accuracy and real-time efficiency. Methods: Ten models were trained and evaluated using a publicly available Carotid Ultrasound Boundary Study (CUBS) dataset (2176 images from 1088 subjects). Images were preprocessed using histogram-based smoothing and resized to a resolution of 256 × 256 pixels. Model training was conducted using identical hyperparameters (50 epochs, batch size 8, Adam optimizer with a learning rate of 1 × 10−4, and binary cross-entropy loss). Segmentation accuracy was assessed using Dice, Intersection over Union (IoU), Precision, Recall, and Accuracy metrics, while real-time performance was evaluated based on training/inference times and the model parameter counts. Results: All models achieved high accuracy, with Dice/IoU scores above 0.80/0.67. Attention U-Net achieved the highest segmentation accuracy, while UNeXt demonstrated the fastest training/inference speeds (approximately 420,000 parameters). Qualitatively, UNet++ produced smooth and natural boundaries, highlighting its strength in boundary reconstruction. Additionally, the relationship between the model parameter count and Dice performance was visualized to illustrate the tradeoff between accuracy and efficiency. Conclusions: This study provides a quantitative/qualitative evaluation of the accuracy, efficiency, and boundary reconstruction characteristics of U-Net-based models for CIMT segmentation, offering guidance for model selection according to clinical requirements (accuracy vs. real-time performance). Full article
(This article belongs to the Special Issue 3rd Edition: AI/ML-Based Medical Image Processing and Analysis)
Show Figures

Figure 1

13 pages, 1372 KB  
Systematic Review
IL-6 and Surgical Outcomes in Carotid Endarterectomy: A Systematic Review
by Antónia Rocha-Melo-Sousa, Márcio Brazuna, Carmen Tavares, Sai Guduru, Mariana Fragão-Marques and João Rocha-Neves
Med. Sci. 2025, 13(4), 325; https://doi.org/10.3390/medsci13040325 - 18 Dec 2025
Viewed by 475
Abstract
Background: Interleukin-6 (IL-6) is a key inflammatory cytokine implicated in atherosclerotic plaque progression and carotid vulnerability. Although elevated IL-6 levels have been linked to cerebrovascular risk, its prognostic value in patients undergoing carotid endarterectomy (CEA) remains undefined. This systematic review aimed to investigate [...] Read more.
Background: Interleukin-6 (IL-6) is a key inflammatory cytokine implicated in atherosclerotic plaque progression and carotid vulnerability. Although elevated IL-6 levels have been linked to cerebrovascular risk, its prognostic value in patients undergoing carotid endarterectomy (CEA) remains undefined. This systematic review aimed to investigate the available evidence on the relationship between IL-6 levels, surgical outcomes and mechanistic evidence in CEA patients. Materials and Methods: The review followed the PRISMA statement and AMSTAR-2 critical appraisal guidelines, with the protocol registered on PROSPERO (CRD420251120023). PubMed/MEDLINE, Scopus, and Web of Science were systematically searched up to July 2025 using the terms “interleukin-6” and “carotid endarterectomy”. Original studies in humans assessing IL-6 in relation to clinical outcomes after CEA or mechanistic evidence were included without language or date restrictions. Study quality was evaluated using the Cochrane Risk of Bias 2 and NHLBI tools, and evidence certainty was appraised using the GRADE framework. Given the heterogeneity of studies, only a qualitative synthesis was performed. Results: From 1232 records identified, 13 studies encompassing 1396 patients met the inclusion criteria. Most were prospective observational cohorts, with a mean participant age of 68.52 years and 81.16% male predominance. Perioperative stroke and mortality rates were uniformly low (≤2%), consistent with contemporary registry data. Across studies, elevated IL-6 levels—whether systemic or plaque-derived—were consistently associated with symptomatic carotid disease, plaque vulnerability, and adverse long-term outcomes. However, not all studies presented quantitative data on IL-6 levels, limiting the ability to draw definitive prognostic conclusions. Conclusions: Current evidence supports a mechanistic link between IL-6–mediated inflammation and carotid plaque instability, yet robust clinical validation in surgical populations is lacking. Future large-scale, prospective studies incorporating IL-6 measurement are warranted to establish its prognostic utility, guide anti-inflammatory therapeutic strategies, and refine postoperative risk stratification in patients undergoing CEA. Full article
Show Figures

Figure 1

15 pages, 2151 KB  
Article
Development and Validation of an Acute Large Animal Model for Type A Aortic Dissection
by Ezin Deniz, Sibylle Marsen, Florian Helms, Heike Krüger, Naoki Arima, Jasmin Hanke, Ali Saad Merzah, Sadeq Al-Hasan-Al-Saegh, Sara Knigge, Saman Alhowaizy, Tanja Meyer, Rabea Hinkel, Morsi Arar, Aron F. Popov, Günes Dogan, Bastian Schmack, Alexander Weymann, Arjang Ruhparwar, Salaheldien Ali Mohamed-Glüer and Jan D. Schmitto
J. Cardiovasc. Dev. Dis. 2025, 12(12), 496; https://doi.org/10.3390/jcdd12120496 - 16 Dec 2025
Viewed by 294
Abstract
Background: Animal models are essential for translating diagnostic and therapeutic strategies into clinical practice and offer valuable insights into the pathophysiology of diseases such as aortic dissection. This study presents a novel acute in vivo large animal model of Stanford type A aortic [...] Read more.
Background: Animal models are essential for translating diagnostic and therapeutic strategies into clinical practice and offer valuable insights into the pathophysiology of diseases such as aortic dissection. This study presents a novel acute in vivo large animal model of Stanford type A aortic dissection, combining open surgical access with endovascular techniques to leverage the advantages of both. The model aims to reproducibly simulate acute dissections in swine, providing a standardized platform for evaluating diagnostics, disease mechanisms, and treatment strategies. Methods: Six pigs underwent a standardized protocol to induce aortic dissection. Arterial pressure was monitored via femoral and carotid catheterization. A conventional sternotomy was performed, followed by tangential cross-clamping of the ascending aorta and a controlled incision proximal to the brachiocephalic trunk. The intima and the media were separated using a guidewire and catheter-based technique to create a false lumen. A re-entry tear was also established to allow for controlled intraluminal access. Animals were monitored for 12 h post-intervention, with serial blood sampling. At the end of the experiment, the animals were euthanized and the aortas harvested for macroscopic and histological analysis. Results: In all 6 animals, the placement of arterial catheters in femoral and carotid arteries, as well as the sternotomy, was established without any complications. The dissection model was successfully created in 5 out of 6 animals by clinical signs such as adventitial hematoma, macroscopic wall separation and/or decreased femoral blood pressure. One animal experienced complete aortic perforation. Five animals completed the full observation period of 12 h. Conclusion: A standardized, reproducible, and robust large animal model of acute Stanford type A aortic dissection using a hybrid approach was developed. This model closely simulates the clinical and pathological features of human aortic dissection, making it a valuable tool for preclinical research in diagnostics, pathophysiology, and treatment development. Full article
(This article belongs to the Special Issue Aortic Surgery—Back to the Roots and Looking to the Future)
Show Figures

Figure 1

12 pages, 933 KB  
Article
Should the Approach to Pre-Procedural Cardiological Diagnostics in Patients with Peripheral Artery Disease Be Reconsidered? The Prevalence of Coronary Artery Disease in Asymptomatic Patients
by Eugeniusz Hrycek, Gabriel Grzadziel, Magda Konkolewska, Edyta Halatek, Przemyslaw Nowakowski, Piotr Buszman, Krzysztof Milewski and Aleksander Zurakowski
J. Clin. Med. 2025, 14(24), 8858; https://doi.org/10.3390/jcm14248858 - 15 Dec 2025
Viewed by 252
Abstract
Background/Objectives: Patients with peripheral arterial disease (PAD) or carotid stenosis (CS) who do not exhibit symptoms suggesting the coexistence of CAD are often not evaluated for CAD. The aim of this study was to assess the prevalence of asymptomatic CAD identified by coronary [...] Read more.
Background/Objectives: Patients with peripheral arterial disease (PAD) or carotid stenosis (CS) who do not exhibit symptoms suggesting the coexistence of CAD are often not evaluated for CAD. The aim of this study was to assess the prevalence of asymptomatic CAD identified by coronary angiography in patients with PAD or CS, undergoing peripheral arteriography, and without prior diagnosis of CAD. Methods: A total of 350 PAD patients undergoing peripheral angiography, without a history or symptoms of CAD were prospectively enrolled in this study. These patients underwent simultaneous coronary angiography during scheduled peripheral arteriography. The severity of CAD was assessed using the Jeopardy Score Scale (JSC) and by evaluating the number of major coronary vessels involved. Results: Significant coronary artery stenosis was detected in 52.86%, with 50.00% in the PAD group and 51.43% in the CS group. One-, two-, and three-vessel disease was present in 29.14%, 14.28%, and 10.01% of the study population, respectively. The JSC median for the entire cohort was 2 (0–4) and 4 (2–8) when CAD was diagnosed. The combination of CS and PAD was associated with the highest risk for CAD (73%), with a median JSC of 2 (0–8). Conclusions: The risk of co-occurrence of CAD in patients with PAD, regardless of the presence of CAD symptoms, is high, exceeding 50%. Consequently, (in accordance with the guidelines for the management of chronic coronary syndromes), in all patients with PAD, regardless of CAD symptoms, advanced cardiological diagnostics, including coronary CT angiography or functional imaging, should be considered. Full article
Show Figures

Figure 1

11 pages, 1138 KB  
Article
Internal Carotid Artery Anatomical Variants and Their Association with Increased Thromboembolic Risk in Vascular Eagle Syndrome
by Giorgio Lo Giudice, Samuele Cicchiello, Alessandro Calvo, Francesco Saverio De Ponte and Enrico Nastro Siniscalchi
Appl. Sci. 2025, 15(24), 13085; https://doi.org/10.3390/app152413085 - 12 Dec 2025
Viewed by 368
Abstract
Eagle Syndrome (ES), characterized by an elongated styloid process, has a vascular variant that risks cerebrovascular complications due to Internal Carotid Artery (ICA) compression. The role of pre-existing ICA anatomical variations (tortuosity, kinking, looping) in modulating this risk is unclear. This study aimed [...] Read more.
Eagle Syndrome (ES), characterized by an elongated styloid process, has a vascular variant that risks cerebrovascular complications due to Internal Carotid Artery (ICA) compression. The role of pre-existing ICA anatomical variations (tortuosity, kinking, looping) in modulating this risk is unclear. This study aimed to explore the relationship between vascular ES, ICA variants, and thromboembolic risk. We conducted an observational retrospective study on 37 confirmed vascular ES patients in Messina, Italy (2019–2024), collecting data on styloid length, ICA variant type, and the CHA2DS2-VASc score. ICA anomalies were highly prevalent (96% of arteries). Crucially, while no correlation was found between styloid length and the CHA2DS2-VASc score, a statistically significant association was detected between the ICA anatomical variant type and the CHA2DS2-VASc score (Fisher’s exact test p = 0.024). This suggests that ICA morphology, rather than styloid length alone, is associated with an elevated thromboembolic risk profile in vascular ES patients, emphasizing the need for detailed CT angiography evaluation to guide personalized management. Full article
(This article belongs to the Special Issue Advances in Dental and Oral Surgery)
Show Figures

Figure 1

12 pages, 5960 KB  
Case Report
Reverse-Wire TEVAR for Subacute Type B Aortic Dissection with Severe True-Lumen Collapse: A Case Report
by Andrada Bogdan, Mircea Robu, Elena Nechifor, Aida Badea, Maria Sabina Safta, Alexandru Zaman, Andrada Guță, Bogdan Gaşpar, Gabriel Gorecki and Horațiu Moldovan
Life 2025, 15(12), 1879; https://doi.org/10.3390/life15121879 - 9 Dec 2025
Viewed by 324
Abstract
Type B aortic dissection (TBAD) requires management tailored to the disease phase and clinical presentation, with the subacute period representing a favorable window for endovascular intervention due to improved procedural safety and remodeling potential. We report the case of a 38-year-old male with [...] Read more.
Type B aortic dissection (TBAD) requires management tailored to the disease phase and clinical presentation, with the subacute period representing a favorable window for endovascular intervention due to improved procedural safety and remodeling potential. We report the case of a 38-year-old male with hypertension, dyslipidemia, and bicuspid aortic valve disease who presented one month after symptom onset with persistent chest pain and progressive bilateral lower-limb numbness. Clinical examination suggested early spinal cord ischemia, while laboratory tests demonstrated acute hepatic and renal dysfunction. CT angiography revealed a subacute TBAD with a markedly expanded false lumen and near-complete compression of the true lumen, resulting in visceral, renal, and potential spinal malperfusion. Given the high-risk anatomy and evolving organ dysfunction, a staged hybrid strategy was undertaken. A left carotid–subclavian bypass was performed to secure proximal landing for endovascular repair, followed the next day by thoracic endovascular aortic repair (TEVAR) using two thoracic stent grafts. Postoperative recovery was favorable, with rapid resolution of neurological symptoms and normalization of hepatic and renal parameters, allowing discharge on postoperative day seven. This case underscores the importance of early recognition of malperfusion and timely hybrid intervention in subacute TBAD with severely compressed true lumen, demonstrating excellent early clinical outcomes. Full article
(This article belongs to the Section Medical Research)
Show Figures

Figure 1

11 pages, 687 KB  
Article
Serum Phenylacetylglutamine Is a Potential Risk Factor for Aortic Stiffness in Patients with Chronic Hemodialysis
by I-Min Su, Tsung-Jui Wu, Chin-Hung Liu, Yu-Li Lin and Bang-Gee Hsu
Diagnostics 2025, 15(24), 3123; https://doi.org/10.3390/diagnostics15243123 - 8 Dec 2025
Viewed by 341
Abstract
Background/Objectives: Phenylacetylglutamine (PAG), a gut microbiota-derived metabolite, may contribute to the development of cardiometabolic diseases. The diagnostic value of PAG for vascular dysfunction in hemodialysis (HD) remains unclear. This study assessed how serum PAG levels relate to carotid–femoral pulse wave velocity (cfPWV), which [...] Read more.
Background/Objectives: Phenylacetylglutamine (PAG), a gut microbiota-derived metabolite, may contribute to the development of cardiometabolic diseases. The diagnostic value of PAG for vascular dysfunction in hemodialysis (HD) remains unclear. This study assessed how serum PAG levels relate to carotid–femoral pulse wave velocity (cfPWV), which is a validated index of aortic stiffness, in patients on maintenance HD. Methods: A total of 138 patients on maintenance HD were enrolled. Participants with cfPWV values greater than 10 m/s were categorized as having aortic stiffness. Serum PAG levels were measured using high-performance liquid chromatography–mass spectrometry. Results: Aortic stiffness was present in 33.3% of patients. Those with aortic stiffness were older (p = 0.016), had a higher prevalence of diabetes mellitus (p = 0.030) and hypertension (p < 0.001), and had higher systolic (p < 0.001) and diastolic (p < 0.001) blood pressures, glucose (p = 0.005), and serum PAG (p < 0.001) levels. Multivariable analysis identified serum PAG (odds ratio [OR] = 1.903; 95% confidence interval [CI] = 1.171–3.094, p = 0.009) and age (OR = 1.042, 95% CI = 1.001–1.084, p = 0.044) as independent determinants of aortic stiffness. Linear regression revealed that PAG (p < 0.001), systolic blood pressure (p < 0.001), age (p = 0.013), and glucose level (p = 0.024) were positively associated with cfPWV. Conclusions: Among individuals undergoing maintenance HD, higher serum PAG levels independently predicted greater aortic stiffness. PAG may be a potential diagnostic biomarker for vascular stiffness and a tool for cardiovascular risk stratification in this population. Full article
Show Figures

Figure 1

Back to TopTop