Pediatric Posterior Fossa ATRT: A Case Report, New Treatment Strategies and Perspectives
Abstract
1. Introduction
- ATRT-TYR typically arises in the posterior fossa, in which SMARCB1 is inactivated most often by heterozygous mutations completed by whole or partial chromosome 22 loss removing the second allele. It shows overexpression of tyrosinase [13];
- ATRT-SHH (Sonic Hedgehog) occurs as either supra- (type 1) or infratentorial (type 2), with frequent compound heterozygous SMARCB1 point mutations and overexpression of proteins in the SHH and Notch signaling pathways;
- ATRT-MYC is more commonly supratentorial with SMARCB1 deletions and MYC and HOX genes overexpression.
2. Materials and Methods
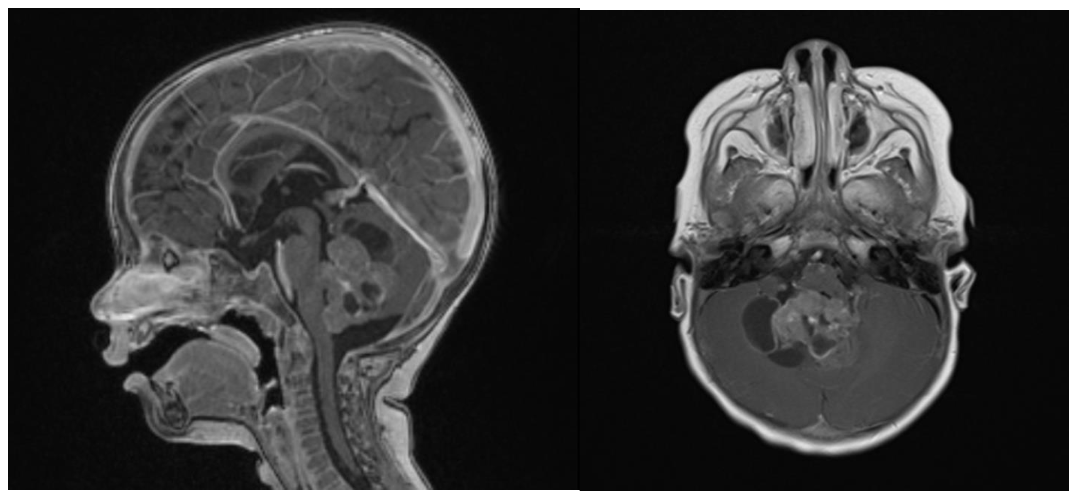
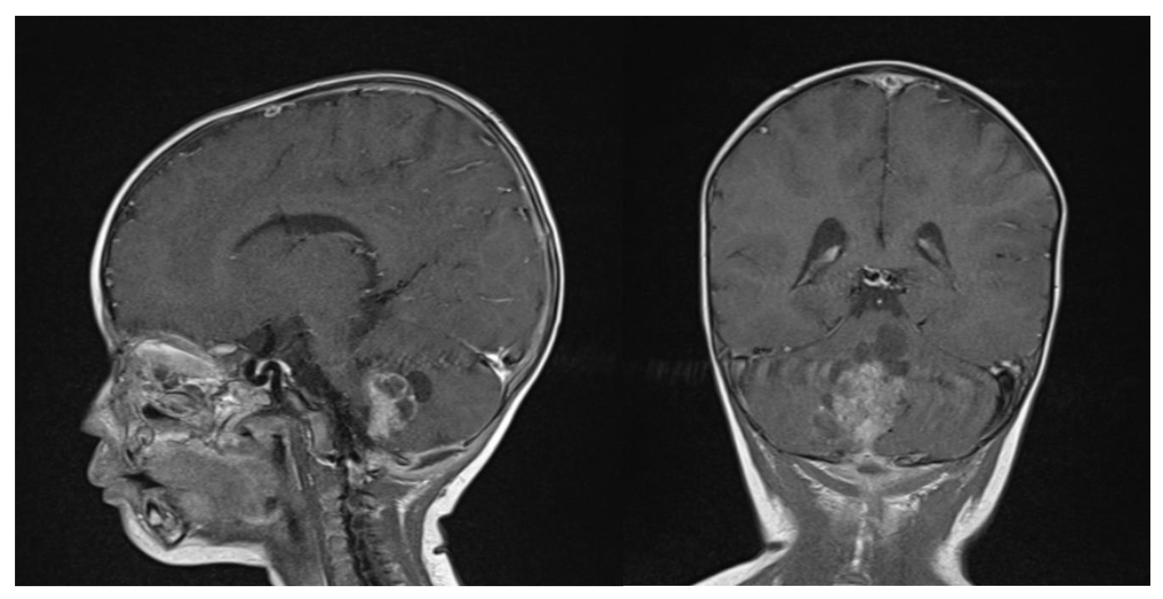
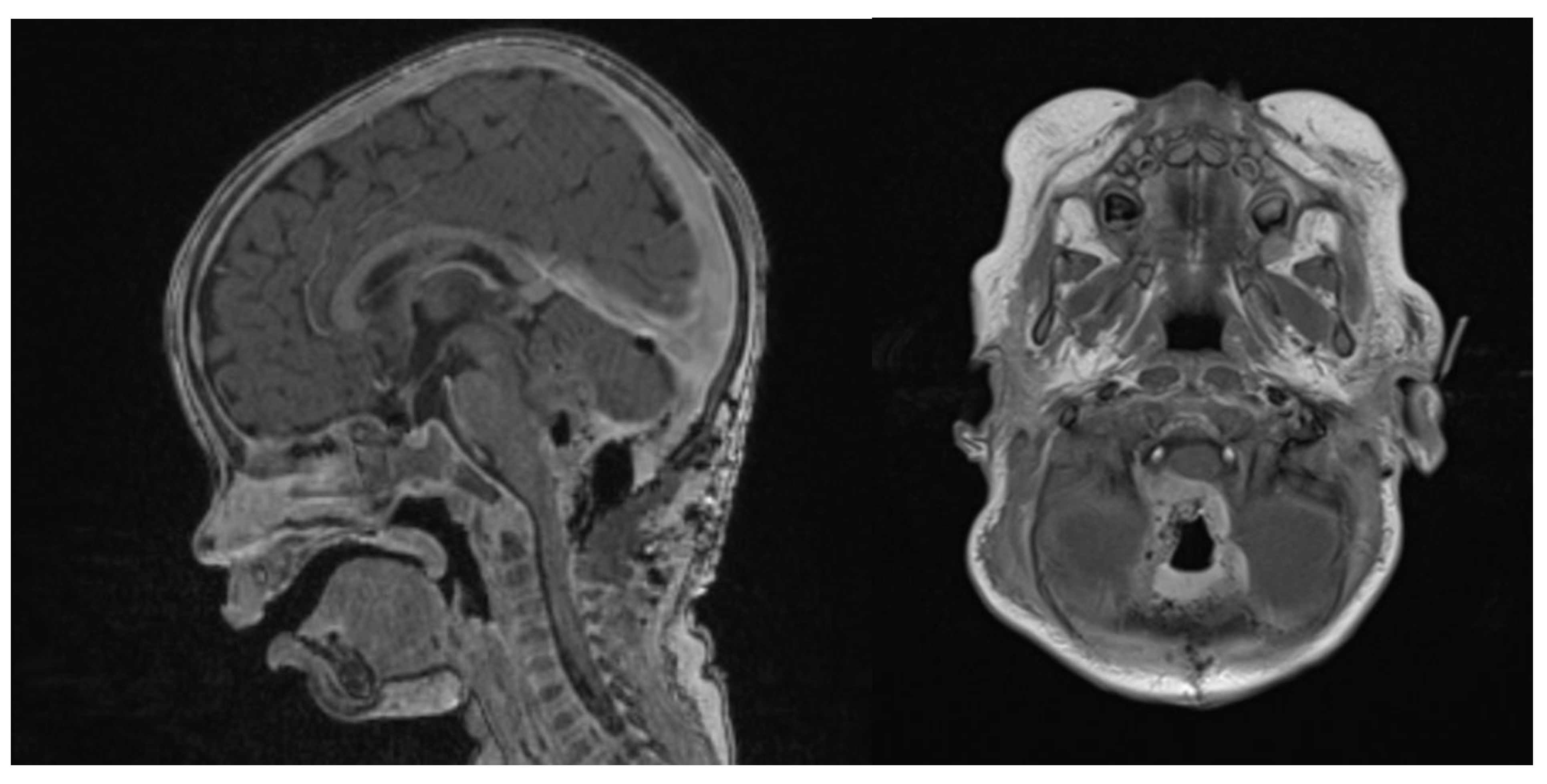
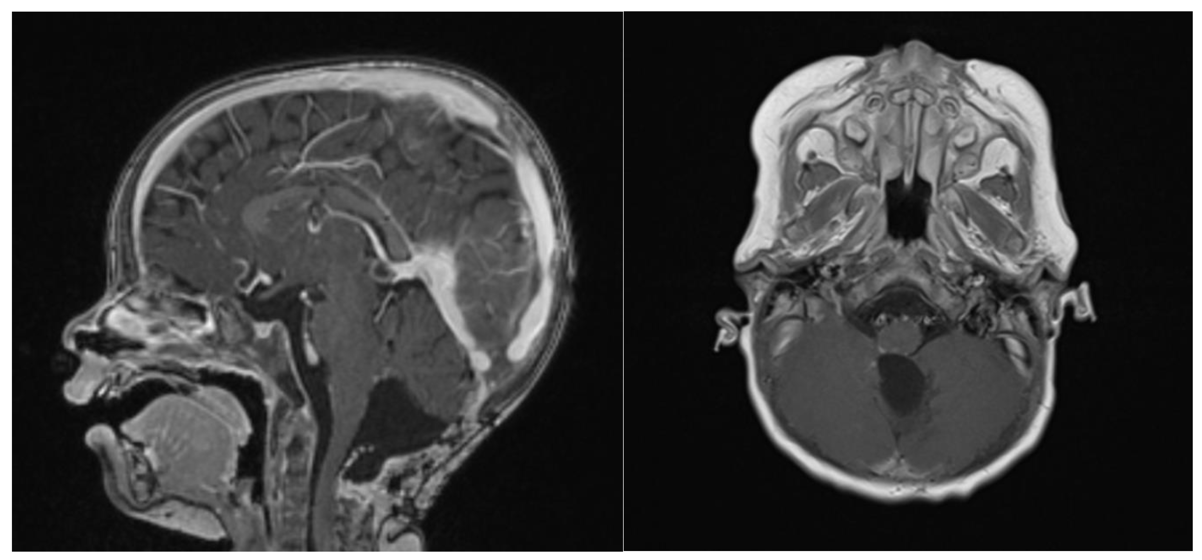
3. Case Report
4. Discussion
5. Conclusions
Author Contributions
Funding
Informed Consent Statement
Data Availability Statement
Conflicts of Interest
Abbreviations
| ATRT | Atypical teratoid rhabdoid tumor |
| GTR | Gross total resection |
| OS | Overall survival |
| PNET | Primitive neuroectodermal tumor |
| CNS | Central nervous system |
| HCP | Hydrocephalus |
| WHO | World Health Organisation |
| US | Ultrasound |
| MRI | Magnetic resonance imaging |
| NAA | N-Acetylaspartate |
| EVD | External ventricular drainage |
| RBC | Red blood cell |
| PLT | Platelets |
| PICU | Pediatric intensive care unit |
| VPS | Ventriculoperitoneal shunt |
| CNV | Copy Number Variation |
| MTX | Methotrexate |
| AVM | Arteriovenous malformation |
| PFS | Progression-free survival |
| BBB | Blood-Brain barrier |
| CAR | Chimeric antigen receptor |
References
- Baliga, S.; Gandola, L.; Timmermann, B.; Gail, H.; Padovani, L.; Janssens, G.O.; Yock, T.I. Brain tumors: Medulloblastoma, ATRT, ependymoma. Pediatr. Blood Cancer 2021, 68 (Suppl. S2), e28395. [Google Scholar] [CrossRef] [PubMed]
- DiPatri, A.J.J.; Sredni, S.T.; Grahovac, G.; Tomita, T. Atypical teratoid rhabdoid tumors of the posterior fossa in children. Child’s Nerv. Syst. 2015, 31, 1717–1728. [Google Scholar] [CrossRef] [PubMed]
- Upadhyaya, S.A.; Robinson, G.W.; Onar-Thomas, A.; Orr, B.A.; Johann, P.; Wu, G.; Billups, C.A.; Tatevossian, R.G.; Dhanda, S.K.; Srinivasan, A.; et al. Relevance of Molecular Groups in Children with Newly Diagnosed Atypical Teratoid Rhabdoid Tumor: Results from Prospective St. Jude Multi-institutional Trials. Clin. Cancer Res. 2021, 27, 2879–2889. [Google Scholar] [CrossRef] [PubMed]
- Ostrom, Q.T.; Gittleman, H.; Truitt, G.; Boscia, A.; Kruchko, C.; Barnholtz-Sloan, J.S. CBTRUS Statistical Report: Primary Brain and Other Central Nervous System Tumors Diagnosed in the United States in 2011–2015. Neuro. Oncol. 2018, 20, iv1–iv86. [Google Scholar] [CrossRef] [PubMed]
- Rorke, L.B.; Packer, R.J.; Biegel, J.A. Central nervous system atypical teratoid/rhabdoid tumors of infancy and childhood: Definition of an entity. J. Neurosurg. 1996, 85, 56–65. [Google Scholar] [CrossRef] [PubMed]
- Versteege, I.; Sévenet, N.; Lange, J.; Rousseau-Merck, M.F.; Ambros, P.; Handgretinger, R.; Aurias, A.; Delattre, O. Truncating mutations of hSNF5/INI1 in aggressive paediatric cancer. Nature 1998, 394, 203–206. [Google Scholar] [CrossRef]
- Grob, S.T.; Levy, J.M.M. Improving Diagnostic and Therapeutic Outcomes in Pediatric Brain Tumors. Mol. Diagn. Ther. 2018, 22, 25–39. [Google Scholar] [CrossRef]
- Johann, P.D.; Erkek, S.; Zapatka, M.; Kerl, K.; Buchhalter, I.; Hovestadt, V.; Jones, D.T.W.; Sturm, D.; Hermann, C.; Segura Wang, M.; et al. Atypical Teratoid/Rhabdoid Tumors Are Comprised of Three Epigenetic Subgroups with Distinct Enhancer Landscapes. Cancer Cell 2016, 29, 379–393. [Google Scholar] [CrossRef]
- Han, Z.-Y.; Richer, W.; Fréneaux, P.; Chauvin, C.; Lucchesi, C.; Guillemot, D.; Grison, C.; Lequin, D.; Pierron, G.; Masliah-Planchon, J.; et al. The occurrence of intracranial rhabdoid tumours in mice depends on temporal control of Smarcb1 inactivation. Nat. Commun. 2016, 7, 10421. [Google Scholar] [CrossRef]
- Torchia, J.; Picard, D.; Lafay-Cousin, L.; Hawkins, C.E.; Kim, S.-K.; Letourneau, L.; Ra, Y.-S.; Ho, K.C.; Chan, T.S.Y.; Sin-Chan, P.; et al. Molecular subgroups of atypical teratoid rhabdoid tumours in children: An integrated genomic and clinicopathological analysis. Lancet Oncol. 2015, 16, 569–582. [Google Scholar] [CrossRef]
- Torchia, J.; Golbourn, B.; Feng, S.; Ho, K.C.; Sin-Chan, P.; Vasiljevic, A.; Norman, J.D.; Guilhamon, P.; Garzia, L.; Agamez, N.R.; et al. Integrated (epi)-Genomic Analyses Identify Subgroup-Specific Therapeutic Targets in CNS Rhabdoid Tumors. Cancer Cell 2016, 30, 891–908. [Google Scholar] [CrossRef] [PubMed]
- Ho, B.; Johann, P.D.; Grabovska, Y.; De Dieu Andrianteranagna, M.J.; Yao, F.; Frühwald, M.; Hasselblatt, M.; Bourdeaut, F.; Williamson, D.; Huang, A.; et al. Molecular subgrouping of atypical teratoid/rhabdoid tumors—A reinvestigation and current consensus. Neuro. Oncol. 2020, 22, 613–624. [Google Scholar] [CrossRef] [PubMed]
- Kulubya, E.S.; Kercher, M.J.; Phillips, H.W.; Antony, R.; Edwards, M.S.B. Advances in the Treatment of Pediatric Brain Tumors. Children 2022, 10, 62. [Google Scholar] [CrossRef] [PubMed]
- Zin, F.; Cotter, J.A.; Haberler, C.; Dottermusch, M.; Neumann, J.; Schüller, U.; Schweizer, L.; Thomas, C.; Nemes, K.; Johann, P.D.; et al. Histopathological patterns in atypical teratoid/rhabdoid tumors are related to molecular subgroup. Brain Pathol. 2021, 31, e12967. [Google Scholar] [CrossRef] [PubMed]
- Chi, S.N.; Zimmerman, M.A.; Yao, X.; Cohen, K.J.; Burger, P.; Biegel, J.A.; Rorke-Adams, L.B.; Fisher, M.J.; Janss, A.; Mazewski, C.; et al. Intensive multimodality treatment for children with newly diagnosed CNS atypical teratoid rhabdoid tumor. J. Clin. Oncol. 2009, 27, 385–389. [Google Scholar] [CrossRef]
- Picariello, S.; Spennato, P.; Roth, J.; Shimony, N.; Marini, A.; De Martino, L.; Nicosia, G.; Mirone, G.; De Santi, M.S.; Savoia, F.; et al. Posterior Fossa Tumours in the First Year of Life: A Two-Centre Retrospective Study. Diagnostics 2022, 12, 635. [Google Scholar] [CrossRef]
- Shen, C.J.; Perkins, S.M.; Bradley, J.A.; Mahajan, A.; Marcus, K.J. Radiation therapy for infants with cancer. Pediatr. Blood Cancer 2021, 68 (Suppl. S2), e28700. [Google Scholar] [CrossRef]
- Underiner, R.M.; Eltobgy, M.; Stanek, J.R.; Finlay, J.L.; AbdelBaki, M.S. Meta-Analysis of Treatment Modalities in Metastatic Atypical Teratoid/Rhabdoid Tumors in Children. Pediatr. Neurol. 2020, 108, 106–112. [Google Scholar] [CrossRef]
- Mehrotra, N.; Shamji, M.F.; Vassilyadi, M.; Ventureyra, E.C.G. Intracranial tumors in first year of life: The CHEO experience. Child’s Nerv. Syst. 2009, 25, 1563–1569. [Google Scholar] [CrossRef]
- Sainte-Rose, C.; Cinalli, G.; Roux, F.E.; Maixner, R.; Chumas, P.D.; Mansour, M.; Carpentier, A.; Bourgeois, M.; Zerah, M.; Pierre-Kahn, A.; et al. Management of hydrocephalus in pediatric patients with posterior fossa tumors: The role of endoscopic third ventriculostomy. J. Neurosurg. 2001, 95, 791–797. [Google Scholar] [CrossRef]
- Richards, A.; Ved, R.; Murphy, C.; Hennigan, D.; Kilday, J.-P.; Kamaly-Asl, I.; Mallucci, C.; Bhatti, I.; Patel, C.; Leach, P. Outcomes with respect to extent of surgical resection for pediatric atypical teratoid rhabdoid tumors. Child’s Nerv. Syst. 2020, 36, 713–719. [Google Scholar] [CrossRef] [PubMed]
- Kleihues, P.; Louis, D.N.; Scheithauer, B.W.; Rorke, L.B.; Reifenberger, G.; Burger, P.C.; Cavenee, W.K. The WHO classification of tumors of the nervous system. J. Neuropathol. Exp. Neurol. 2002, 61, 215–219. [Google Scholar] [CrossRef] [PubMed]
- Nemes, K.; Johann, P.D.; Steinbügl, M.; Gruhle, M.; Bens, S.; Kachanov, D.; Teleshova, M.; Hauser, P.; Simon, T.; Tippelt, S.; et al. Infants and Newborns with Atypical Teratoid Rhabdoid Tumors (ATRT) and Extracranial Malignant Rhabdoid Tumors (eMRT) in the EU-RHAB Registry: A Unique and Challenging Population. Cancers 2022, 14, 2185. [Google Scholar] [CrossRef] [PubMed]
- Reddy, A.T.; Strother, D.R.; Judkins, A.R.; Burger, P.C.; Pollack, I.F.; Krailo, M.D.; Buxton, A.B.; Williams-Hughes, C.; Fouladi, M.; Mahajan, A.; et al. Efficacy of High-Dose Chemotherapy and Three-Dimensional Conformal Radiation for Atypical Teratoid/Rhabdoid Tumor: A Report From the Children’s Oncology Group Trial ACNS0333. J. Clin. Oncol. 2020, 38, 1175–1185. [Google Scholar] [CrossRef] [PubMed]
- Silva, A.H.D.; Habermann, S.; Craven, C.L.; Bhagawati, D.; O’Hare, P.; Jorgensen, M.; Dahl, C.; Mankad, K.; Thompson, D.N.P.; Hargrave, D.; et al. Atypical teratoid rhabdoid tumours (ATRTs)—A 21-year institutional experience. Child’s Nerv. Syst. 2023; online ahead of print. [Google Scholar] [CrossRef]
- Guo, G.; Zhuang, J.; Zhang, K.; Zhou, Z.; Wang, Y.; Zhang, Z. Atypical Teratoid/Rhabdoid Tumor of the Central Nervous System in Children: Case Reports and Literature Review. Front. Surg. 2022, 9, 864518. [Google Scholar] [CrossRef]
- Ud Din, N.; Barakzai, A.; Memon, A.; Hasan, S.; Ahmad, Z. Atypical Teratoid/Rhabdoid Tumor of Brain: A Clinicopathologic Study of Eleven Patients and Review of Literature. Asian Pac. J. Cancer Prev. 2017, 18, 949–954. [Google Scholar] [CrossRef]
- Tomita, T.; Frassanito, P. Tumors of the superior medullary velum in infancy and childhood: Report of 6 cases. J. Neurosurg. Pediatr. 2013, 11, 52–59. [Google Scholar] [CrossRef]
- Hasan, A.; Palumbo, M.; Atkinson, J.; Carret, A.S.; Farmer, J.-P.; Montes, J.; Albrecht, S.; Saint-Martin, C.; Freeman, C.R. Treatment-related morbidity in atypical teratoid/rhabdoid tumor: Multifocal necrotizing leukoencephalopathy. Pediatr. Neurosurg. 2011, 47, 7–14. [Google Scholar] [CrossRef]
- Mohapatra, I.; Santosh, V.; Chickabasaviah, Y.T.; Mahadevan, A.; Tandon, A.; Ghosh, A.; Chidambaram, B.; Sampath, S.; Bhagavatula, I.D.; Chandramouli, B.A.; et al. Histological and immunohistochemical characterization of AT/RT: A report of 15 cases from India. Neuropathology 2010, 30, 251–259. [Google Scholar] [CrossRef]
- Rahmat, K.; Kua, C.H.; Ramli, N. A child with atypical teratoid/rhabdoid tumour of the posterior cranial fossa. Singap. Med. J. 2008, 49, e365–e368. [Google Scholar]
- Parmar, H.; Hawkins, C.; Bouffet, E.; Rutka, J.; Shroff, M. Imaging findings in primary intracranial atypical teratoid/rhabdoid tumors. Pediatr. Radiol. 2006, 36, 126–132. [Google Scholar] [CrossRef]
- Chen, M.L.; McComb, J.G.; Krieger, M.D. Atypical teratoid/rhabdoid tumors of the central nervous system: Management and outcomes. Neurosurg. Focus 2005, 18, E8. [Google Scholar] [CrossRef] [PubMed]
- Inenaga, C.; Toyoshima, Y.; Mori, H.; Nishiyama, K.; Tanaka, R.; Takahashi, H. A fourth ventricle atypical teratoid/rhabdoid tumor in an infant. Brain Tumor Pathol. 2003, 20, 47–52. [Google Scholar] [CrossRef] [PubMed]
- Balestrini, M.R.; Micheli, R.; Giordano, L.; Lasio, G.; Giombini, S. Brain tumors with symptomatic onset in the first two years of life. Child’s Nerv. Syst. 1994, 10, 104–110. [Google Scholar] [CrossRef] [PubMed]
- Jooma, R.; Hayward, R.D.; Grant, D.N. Intracranial neoplasms during the first year of life: Analysis of one hundred consecutive cases. Neurosurgery 1984, 14, 31–41. [Google Scholar] [CrossRef] [PubMed]
- Lapras, C.; Guilburd, J.N.; Guyotat, J.; Patet, J.D. Brain tumors in infants: A study of 76 patients operated upon. Child’s Nerv. Syst. 1988, 4, 100–104. [Google Scholar] [CrossRef]
- Asai, A.; Hoffman, H.J.; Hendrick, E.B.; Humphreys, R.P.; Becker, L.E. Primary intracranial neoplasms in the first year of life. Child’s Nerv. Syst. 1989, 5, 230–233. [Google Scholar] [CrossRef]
- Rivera-Luna, R.; Medina-Sanson, A.; Leal-Leal, C.; Pantoja-Guillen, F.; Zapata-Tarrés, M.; Cardenas-Cardos, R.; Barrera-Gómez, R.; Rueda-Franco, F. Brain tumors in children under 1 year of age: Emphasis on the relationship of prognostic factors. Child’s Nerv. Syst. 2003, 19, 311–314. [Google Scholar] [CrossRef]
- Haddad, S.F.; Menezes, A.H.; Bell, W.E.; Godersky, J.C.; Afifi, A.K.; Bale, J.F. Brain tumors occurring before 1 year of age: A retrospective reviews of 22 cases in an 11-year period (1977–1987). Neurosurgery 1991, 29, 8–13. [Google Scholar] [CrossRef]
- Brown, N.J.; Shahrestani, S.; Tafreshi, A.R.; Tran, K.; Lien, B.V.; Ransom, S.C.; Ransom, R.C.; Diaz-Aguilar, L.D.; Sahyouni, R. Staged Cranial Surgery for Intracranial Lesions: Historical Perspective. World Neurosurg. 2020, 144, 28–33. [Google Scholar] [CrossRef] [PubMed]
- Spetzler, R.F.; Martin, N.A. A proposed grading system for arteriovenous malformations. J. Neurosurg. 1986, 65, 476–483. [Google Scholar] [CrossRef] [PubMed]
- Spetzler, R.F.; Martin, N.A.; Carter, L.P.; Flom, R.A.; Raudzens, P.A.; Wilkinson, E. Surgical management of large AVM’s by staged embolization and operative excision. J. Neurosurg. 1987, 67, 17–28. [Google Scholar] [CrossRef] [PubMed]
- Foreman, P.M.; Madura, C.J.; Johnston, J.M.; Rocque, B.G. Two-stage surgical resection of an atypical teratoid rhabdoid tumor occupying the infratentorial and supratentorial compartment in children under two years: Report of two cases. Int. J. Surg. Case Rep. 2016, 20, 49–52. [Google Scholar] [CrossRef]
- Pomeroy, S.L.; Tamayo, P.; Gaasenbeek, M.; Sturla, L.M.; Angelo, M.; McLaughlin, M.E.; Kim, J.Y.H.; Goumnerova, L.C.; Black, P.M.; Lau, C.; et al. Prediction of central nervous system embryonal tumour outcome based on gene expression. Nature 2002, 415, 436–442. [Google Scholar] [CrossRef]
- Nowak, J.; Nemes, K.; Hohm, A.; Vandergrift, L.A.; Hasselblatt, M.; Johann, P.D.; Kool, M.; Frühwald, M.C.; Warmuth-Metz, M. Magnetic resonance imaging surrogates of molecular subgroups in atypical teratoid/rhabdoid tumor. Neuro. Oncol. 2018, 20, 1672–1679. [Google Scholar] [CrossRef]
- Oruetxebarria, I.; Venturini, F.; Kekarainen, T.; Houweling, A.; Zuijderduijn, L.M.P.; Mohd-Sarip, A.; Vries, R.G.J.; Hoeben, R.C.; Verrijzer, C.P. P16INK4a is required for hSNF5 chromatin remodeler-induced cellular senescence in malignant rhabdoid tumor cells. J. Biol. Chem. 2004, 279, 3807–3816. [Google Scholar] [CrossRef]
- Wetmore, C.; Boyett, J.; Li, S.; Lin, T.; Bendel, A.; Gajjar, A.; Orr, B.A. Alisertib is active as single agent in recurrent atypical teratoid rhabdoid tumors in 4 children. Neuro. Oncol. 2015, 17, 882–888. [Google Scholar] [CrossRef]
- Alimova, I.; Birks, D.K.; Harris, P.S.; Knipstein, J.A.; Venkataraman, S.; Marquez, V.E.; Foreman, N.K.; Vibhakar, R. Inhibition of EZH2 suppresses self-renewal and induces radiation sensitivity in atypical rhabdoid teratoid tumor cells. Neuro. Oncol. 2013, 15, 149–160. [Google Scholar] [CrossRef]
- Knipstein, J.A.; Birks, D.K.; Donson, A.M.; Alimova, I.; Foreman, N.K.; Vibhakar, R. Histone deacetylase inhibition decreases proliferation and potentiates the effect of ionizing radiation in atypical teratoid/rhabdoid tumor cells. Neuro. Oncol. 2012, 14, 175–183. [Google Scholar] [CrossRef]
- Brabetz, S.; Leary, S.E.S.; Gröbner, S.N.; Nakamoto, M.W.; Şeker-Cin, H.; Girard, E.J.; Cole, B.; Strand, A.D.; Bloom, K.L.; Hovestadt, V.; et al. A biobank of patient-derived pediatric brain tumor models. Nat. Med. 2018, 24, 1752–1761. [Google Scholar] [CrossRef] [PubMed]
- Morin, A.; Soane, C.; Pierce, A.; Sanford, B.; Jones, K.L.; Crespo, M.; Zahedi, S.; Vibhakar, R.; Mulcahy Levy, J.M. Proteasome inhibition as a therapeutic approach in atypical teratoid/rhabdoid tumors. Neuro-Oncol. Adv. 2020, 2, vdaa051. [Google Scholar] [CrossRef] [PubMed]
- Rogers, H.A.; Estranero, J.; Gudka, K.; Grundy, R.G. The therapeutic potential of targeting the PI3K pathway in pediatric brain tumors. Oncotarget 2017, 8, 2083–2095. [Google Scholar] [CrossRef] [PubMed]
- Packer, R.J.; Kilburn, L. Molecular-Targeted Therapy for Childhood Brain Tumors: A Moving Target. J. Child Neurol. 2020, 35, 791–798. [Google Scholar] [CrossRef]
- Theruvath, J.; Sotillo, E.; Mount, C.W.; Graef, C.M.; Delaidelli, A.; Heitzeneder, S.; Labanieh, L.; Dhingra, S.; Leruste, A.; Majzner, R.G.; et al. Locoregionally administered B7-H3-targeted CAR T cells for treatment of atypical teratoid/rhabdoid tumors. Nat. Med. 2020, 26, 712–719. [Google Scholar] [CrossRef]
- Nesvick, C.L.; Lafay-Cousin, L.; Raghunathan, A.; Bouffet, E.; Huang, A.A.; Daniels, D.J. Atypical teratoid rhabdoid tumor: Molecular insights and translation to novel therapeutics. J. Neurooncol. 2020, 150, 47–56. [Google Scholar] [CrossRef]
- Lafay-Cousin, L.; Fay-McClymont, T.; Johnston, D.; Fryer, C.; Scheinemann, K.; Fleming, A.; Hukin, J.; Janzen, L.; Guger, S.; Strother, D.; et al. Neurocognitive evaluation of long term survivors of atypical teratoid rhabdoid tumors (ATRT): The Canadian registry experience. Pediatr. Blood Cancer 2015, 62, 1265–1269. [Google Scholar] [CrossRef]
- Ramón, Y.; Cajal, S.; Sesé, M.; Capdevila, C.; Aasen, T.; De Mattos-Arruda, L.; Diaz-Cano, S.J.; Hernández-Losa, J.; Castellví, J. Clinical implications of intratumor heterogeneity: Challenges and opportunities. J. Mol. Med. 2020, 98, 161–177. [Google Scholar] [CrossRef]
- Bartelheim, K.; Nemes, K.; Seeringer, A.; Kerl, K.; Buechner, J.; Boos, J.; Graf, N.; Dürken, M.; Gerss, J.; Hasselblatt, M.; et al. Improved 6-year overall survival in AT/RT—Results of the registry study Rhabdoid 2007. Cancer Med. 2016, 5, 1765–1775. [Google Scholar] [CrossRef]
- Alderson, D. The future of surgery. Br. J. Surg. 2019, 106, 9–10. [Google Scholar] [CrossRef]







| Author | Title | Year | Journal | OS (Months) |
|---|---|---|---|---|
| Silva et al. [25] | Atypical teratoid rhabdoid tumors (ATRTs)—a 21-year institutional experience | 2023 | Child’s Nervous System | 11 |
| Picariello et al. [16] | Posterior Fossa Tumors in the First Year of Life: A Two-Centre Retrospective Study | 2022 | Diagnostics | NA |
| Guo et al. [26] | Atypical Teratoid/Rhabdoid Tumor of the Central Nervous System in Children: Case Reports and Literature Review | 2022 | Frontiers in Surgery | 12 |
| Richards et al. [21] | Outcomes with respect to extent of surgical resection for pediatric atypical teratoid rhabdoid tumors | 2020 | Child’s Nervous System | NA |
| Din et al. [27] | Atypical Teratoid/Rhabdoid Tumor of Brain: a Clinicopathologic Study of Eleven Patients and Review of Literature | 2017 | Asian Pacific Journal of Cancer Prevention | NA |
| Tomita et al. [28] | Tumors of the superior medullary velum in infancy and childhood: report of 6 cases | 2013 | Journal of Neurosurgery: Pediatrics | 7.5 |
| Hasan et al. [29] | Treatment-related morbidity in atypical teratoid/rhabdoid tumor: multifocal necrotizing leukoencephalopathy | 2011 | Pediatric Neurosurgery | 7 |
| Mohapatra et al. [30] | Histological and immunohistochemical characterization of AT/RT: a report of 15 cases from India | 2010 | Neuropathology | NA |
| Rahmat et al. [31] | A child with atypical teratoid/rhabdoid tumor of the posterior cranial fossa | 2008 | Singapore Medical Journal | 4 |
| Parmar et al. [32] | Imaging findings in primary intracranial atypical teratoid/rhabdoid tumors | 2006 | Pediatric Radiology | 12 |
| Chen et al. [33] | Atypical teratoid/rhabdoid tumors of the central nervous system: management and outcomes | 2005 | Neurosurgical Focus | 18.5 |
| Inenaga et al. [34] | A fourth ventricle atypical teratoid/rhabdoid tumor in an infant | 2003 | Brain Tumor Pathology | NA |
Disclaimer/Publisher’s Note: The statements, opinions and data contained in all publications are solely those of the individual author(s) and contributor(s) and not of MDPI and/or the editor(s). MDPI and/or the editor(s) disclaim responsibility for any injury to people or property resulting from any ideas, methods, instructions or products referred to in the content. |
© 2023 by the authors. Licensee MDPI, Basel, Switzerland. This article is an open access article distributed under the terms and conditions of the Creative Commons Attribution (CC BY) license (https://creativecommons.org/licenses/by/4.0/).
Share and Cite
Paun, L.; Lavé, A.; Jannelli, G.; Egervari, K.; Janssen, I.; Schaller, K.; von Bueren, A.O.; Bartoli, A. Pediatric Posterior Fossa ATRT: A Case Report, New Treatment Strategies and Perspectives. Brain Sci. 2023, 13, 712. https://doi.org/10.3390/brainsci13050712
Paun L, Lavé A, Jannelli G, Egervari K, Janssen I, Schaller K, von Bueren AO, Bartoli A. Pediatric Posterior Fossa ATRT: A Case Report, New Treatment Strategies and Perspectives. Brain Sciences. 2023; 13(5):712. https://doi.org/10.3390/brainsci13050712
Chicago/Turabian StylePaun, Luca, Alexandre Lavé, Gianpaolo Jannelli, Kristof Egervari, Insa Janssen, Karl Schaller, André O. von Bueren, and Andrea Bartoli. 2023. "Pediatric Posterior Fossa ATRT: A Case Report, New Treatment Strategies and Perspectives" Brain Sciences 13, no. 5: 712. https://doi.org/10.3390/brainsci13050712
APA StylePaun, L., Lavé, A., Jannelli, G., Egervari, K., Janssen, I., Schaller, K., von Bueren, A. O., & Bartoli, A. (2023). Pediatric Posterior Fossa ATRT: A Case Report, New Treatment Strategies and Perspectives. Brain Sciences, 13(5), 712. https://doi.org/10.3390/brainsci13050712

