Immune-Enhancing Effects of Red Platycodon grandiflorus Root Extract via p38 MAPK-Mediated NF-κB Activation
Abstract
1. Introduction
2. Materials and Methods
2.1. Red Platycodon grandiflorus Root Extract (RPGE) Preparation
2.2. Cell Culture and Reagents
2.3. Splenocyte Isolation
2.4. Cell Viability Assay
2.5. Phagocytosis Assay
2.6. Measurement of Nitric Oxide (NO) Production
2.7. RNA Isolation and Real-Time Reverse Transcription–Polymerase Chain Reaction (RT-PCR)
2.8. Quantification of Cytokine Levels
2.9. Luciferase Assay
2.10. Western Blot Analysis
2.11. Statistical Analysis
3. Results
3.1. RPGE Increases Phagocytic Activity in RAW 264.7 Cells
3.2. RPGE Enhances NO Production in RAW 264.7 Cells
3.3. RPGE Increases Cytokine Levels in RAW 264.7 Cells
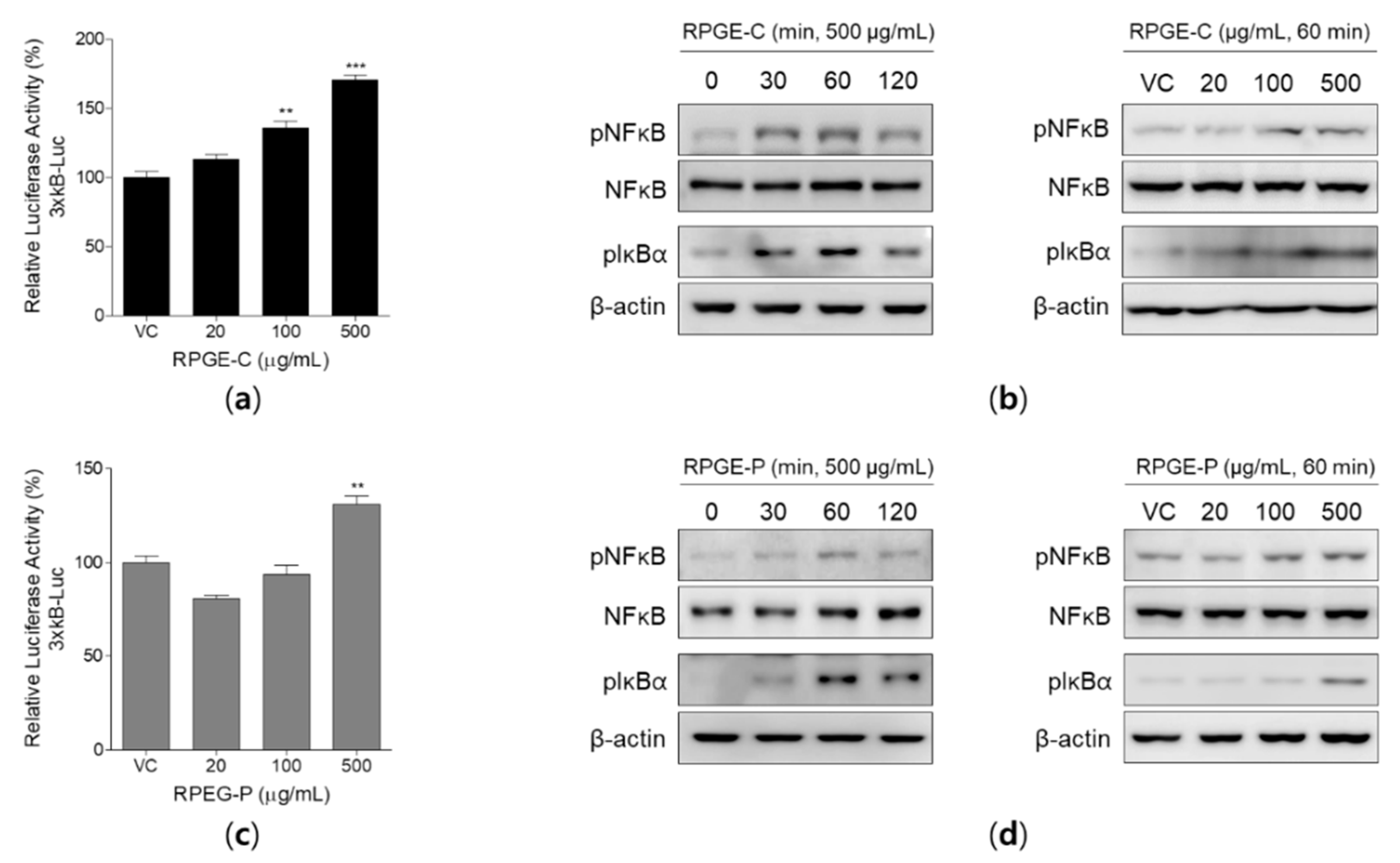
3.4. RPGE Activates NF-κB and MAPK Signaling in RAW 264.7 Cells
3.5. RPGE-Induced NF-κB Activation Is Associated with p38 MAPK in RAW 264.7 Cells
3.6. RPGE Induces Cell Proliferation and Increases IL-10 Expression Levels in Mouse Splenocytes
4. Discussion
Supplementary Materials
Author Contributions
Funding
Acknowledgments
Conflicts of Interest
References
- Kim, Y.S.; Kim, E.K.; Nawarathna, W.; Dong, X.; Shin, W.B.; Park, J.S.; Moon, S.H.; Park, P.J. Immune-Stimulatory Effects of Althaea rosea Flower Extracts through the MAPK Signaling Pathway in RAW264.7 Cells. Molecules 2017, 22, 679. [Google Scholar] [CrossRef]
- Kim, G.T.; Tran, N.K.; Choi, E.H.; Song, Y.J.; Song, J.H.; Shim, S.M.; Park, T.S. Immunomodulatory Efficacy of Standardized Annona muricata (Graviola) Leaf Extract via Activation of Mitogen-Activated Protein Kinase Pathways in RAW 264.7 Macrophages. Evi. Based Complementary Altern. Med. 2016, 2016, 2905127. [Google Scholar]
- Chun, S.H.; Lee, H.A.; Lee, K.B.; Kim, S.H.; Park, K.Y.; Lee, K.W. Effects of Glycated Whey Protein Concentrate on Pro-inflammatory Cytokine Expression and Phagocytic Activity in RAW264.7 Macrophages. Biol. Pharm. Bull. 2016, 39, 199–206. [Google Scholar] [CrossRef]
- Hayden, M.S.; West, A.P.; Ghosh, S. NF-kappaB and the immune response. Oncogene 2006, 25, 6758–6780. [Google Scholar] [CrossRef]
- Shin, M.S.; Song, J.H.; Choi, P.; Lee, J.H.; Kim, S.Y.; Shin, K.S.; Ham, J.; Kang, K.S. Stimulation of Innate Immune Function by Panax ginseng after Heat Processing. J. Agric. Food. Chem. 2018, 66, 4652–4659. [Google Scholar] [CrossRef]
- Ma, D.; Zhang, R.N.; Wen, Y.; Yin, W.N.; Bai, D.; Zheng, G.Y.; Li, J.S.; Zheng, B.; Wen, J.K. 1,25(OH)2D3-induced interaction of vitamin D receptor with p50 subunit of NF-kappaB suppresses the interaction between KLF5 and p50, contributing to inhibition of LPS-induced macrophage proliferation. Biochem. Biophys. Res. Commun. 2017, 482, 366–374. [Google Scholar] [CrossRef]
- Ji, K.Y.; Kim, K.M.; Kim, Y.H.; Im, A.R.; Lee, J.Y.; Park, B.; Na, M.; Chae, S. The enhancing immune response and anti-inflammatory effects of Anemarrhena asphodeloides extract in RAW 264.7 cells. Phytomed. Int. J. Phytother. Phytopharmacol. 2019, 59, 152789. [Google Scholar]
- Park, E.J.; Lee, Y.S.; Jeong, H.C.; Lee, S.H.; Lee, H.J. Mitigation effects of red Platycodon grandiflorum extract on lipopolysaccharide-induced inflammation in splenocytes isolated from mice. J. Nutr. Health 2019, 52, 6. [Google Scholar] [CrossRef]
- Mebius, R.E.; Kraal, G. Structure and function of the spleen. Nat. Rev. Immunol. 2005, 5, 606–616. [Google Scholar] [CrossRef]
- Park, M.; Park, S.Y.; Lee, H.J.; Kim, C.E. A Systems-Level Analysis of Mechanisms of Platycodon grandiflorum Based on A Network Pharmacological Approach. Molecules 2018, 23, 2841. [Google Scholar] [CrossRef]
- Li, W.; Tian, Y.H.; Liu, Y.; Wang, Z.; Tang, S.; Zhang, J.; Wang, Y.P. Platycodin D exerts anti-tumor efficacy in H22 tumor-bearing mice via improving immune function and inducing apoptosis. J. Toxicol. Sci. 2016, 41, 417–428. [Google Scholar] [CrossRef]
- Xie, Y.; Ye, Y.P.; Sun, H.X.; Li, D. Contribution of the glycidic moieties to the haemolytic and adjuvant activity of platycodigenin-type saponins from the root of Platycodon grandiflorum. Vaccine 2008, 26, 3452–3460. [Google Scholar] [CrossRef]
- Park, M.; Yoo, J.H.; Lee, Y.S.; Park, E.J.; Lee, H.J. Ameliorative effects of black ginseng on nonalcoholic fatty liver disease in free fatty acid-induced HepG2 cells and high-fat/high-fructose diet-fed mice. J. Ginseng Res. 2020, 44, 350–361. [Google Scholar] [CrossRef]
- Ghosh, S.; Howe, N.; Volk, K.; Tati, S.; Nickerson, K.W.; Petro, T.M. Candida albicans cell wall components and farnesol stimulate the expression of both inflammatory and regulatory cytokines in the murine RAW264.7 macrophage cell line. FEMS Immunol. Med. Microbiol. 2010, 60, 63–73. [Google Scholar] [CrossRef]
- Chun, J.N.; Park, S.; Lee, S.; Kim, J.K.; Park, E.J.; Kang, M.; Kim, H.K.; Park, J.K.; So, I.; Jeon, J.H. Schisandrol B and schisandrin B inhibit TGFbeta1-mediated NF-kappaB activation via a Smad-independent mechanism. Oncotarget 2018, 9, 3121–3130. [Google Scholar] [CrossRef]
- Murakami, A.; Ohigashi, H. Targeting NOX, INOS and COX-2 in inflammatory cells: chemoprevention using food phytochemicals. Int. J. Cancer 2007, 121, 2357–2363. [Google Scholar] [CrossRef]
- Lee, J.; Choi, J.W.; Sohng, J.K.; Pandey, R.P.; Park, Y.I. The immunostimulating activity of quercetin 3-O-xyloside in murine macrophages via activation of the ASK1/MAPK/NF-kappaB signaling pathway. Int. Immunopharmacol. 2016, 31, 88–97. [Google Scholar] [CrossRef] [PubMed]
- Chaplin, D.D. Overview of the immune response. J. Allergy Clin. Immunol. 2010, 125, S3–S23. [Google Scholar] [CrossRef]
- Pandya, P.H.; Murray, M.E.; Pollok, K.E.; Renbarger, J.L. The Immune System in Cancer Pathogenesis: Potential Therapeutic Approaches. J. Immunol. Res. 2016, 2016, 4273943. [Google Scholar] [CrossRef]
- Ghonime, M.; Emara, M.; Shawky, R.; Soliman, H.; El-Domany, R.; Abdelaziz, A. Immunomodulation of RAW 264.7 murine macrophage functions and antioxidant activities of 11 plant extracts. Immunol. Invest. 2015, 44, 237–252. [Google Scholar] [CrossRef]
- Choi, E.Y.; Lee, S.S.; Hyeon, J.Y.; Choe, S.H.; Keum, B.R.; Lim, J.M.; Park, D.C.; Choi, I.S.; Cho, K.K. Effects of beta-Glucan on the Release of Nitric Oxide by Macrophages Stimulated with Lipopolysaccharide. Asian- Australas. J. Anim. Sci. 2016, 29, 1664–1674. [Google Scholar] [CrossRef]
- Checker, R.; Patwardhan, R.S.; Sharma, D.; Menon, J.; Thoh, M.; Bhilwade, H.N.; Konishi, T.; Sandur, S.K. Schisandrin B exhibits anti-inflammatory activity through modulation of the redox-sensitive transcription factors Nrf2 and NF-kappaB. Free Radical Biol. Med. 2012, 53, 1421–1430. [Google Scholar] [CrossRef]
- Gerondakis, S.; Siebenlist, U. Roles of the NF-kappaB pathway in lymphocyte development and function. Cold Spring Harbor Perspect. Biol. 2010, 2, a000182. [Google Scholar] [CrossRef] [PubMed]
- Dong, C.; Davis, R.J.; Flavell, R.A. MAP kinases in the immune response. Annu. Rev. Immunol. 2002, 20, 55–72. [Google Scholar] [CrossRef]
- Chao, J.; Dai, Y.; Cheng, H.Y.; Lam, W.; Cheng, Y.C.; Li, K.; Peng, W.H.; Pao, L.H.; Hsieh, M.T.; Qin, X.M.; et al. Improving the Concentrations of the Active Components in the Herbal Tea Ingredient, Uraria crinita: The Effect of Post-harvest Oven-drying Processing. Sci. Rep. 2017, 7, 38763. [Google Scholar] [CrossRef]
- Shin, J.H.; Park, Y.J.; Kim, W.; Kim, D.O.; Kim, B.Y.; Lee, H.; Baik, M.Y. Change of Ginsenoside Profiles in Processed Ginseng by Drying, Steaming, and Puffing. J. Microbiol. Biotechnol. 2019, 29, 222–229. [Google Scholar] [CrossRef]
- Lee, S.M.; Bae, B.S.; Park, H.W.; Ahn, N.G.; Cho, B.G.; Cho, Y.L.; Kwak, Y.S. Characterization of Korean Red Ginseng (Panax ginseng Meyer): History, preparation method, and chemical composition. J. Ginseng Res. 2015, 39, 384–391. [Google Scholar] [CrossRef]
- Choi, Y.H.; Yoo, D.S.; Choi, C.W.; Cha, M.R.; Kim, Y.S.; Lee, H.S.; Lee, K.R.; Ryu, S.Y. Platyconic acid A, a genuine triterpenoid saponin from the roots of Platycodon grandiflorum. Molecules 2008, 13, 2871–2879. [Google Scholar] [CrossRef]
- Zhang, W.; Liu, H.T. MAPK signal pathways in the regulation of cell proliferation in mammalian cells. Cell Res. 2002, 12, 9–18. [Google Scholar] [CrossRef]
- Richardson, E.T.; Shukla, S.; Nagy, N.; Boom, W.H.; Beck, R.C.; Zhou, L.; Landreth, G.E.; Harding, C.V. ERK Signaling Is Essential for Macrophage Development. PLoS ONE 2015, 10, e0140064. [Google Scholar] [CrossRef]
- Funakoshi, M.; Tago, K.; Sonoda, Y.; Tominaga, S.; Kasahara, T. A MEK inhibitor, PD98059 enhances IL-1-induced NF-kappaB activation by the enhanced and sustained degradation of IkappaBalpha. Biochem. Biophys. Res. Commun. 2001, 283, 248–254. [Google Scholar] [CrossRef]








| Genes | Forward Sequence | Reverse Sequence | Ref. |
|---|---|---|---|
| Nos2 | GCGAAAGGTCATGGCTTCAC | CTGGTCCATGCAGACAACCT | This study |
| Ptgs2 | CATCCCCTTCCTGCGAAGTT | GGCCCTGGTGTAGTAGGAGA | This study |
| Tnf-α | TGTCCCTTTCACTCACTGGC | CATCTTTTGGGGGAGTGCCT | [13] |
| IL-1b | AACTGTTCCTGAACTCAACTGT | GAGATTTGAAGCTGGATGCTCT | [14] |
| IL-6 | GGGACTGATGCTGGTGACAA | TCCACGATTTCCCAGAGAACA | [13] |
| Actb | GACGTTGACATCCGTAAAG | CAGTAACAGTCCGCCT | [2] |
© 2020 by the authors. Licensee MDPI, Basel, Switzerland. This article is an open access article distributed under the terms and conditions of the Creative Commons Attribution (CC BY) license (http://creativecommons.org/licenses/by/4.0/).
Share and Cite
Park, E.-J.; Lee, Y.-S.; Kim, S.M.; Jung, A.J.; Yoo, J.-H.; Lee, S.-H.; Jeong, H.C.; Lee, H.-J. Immune-Enhancing Effects of Red Platycodon grandiflorus Root Extract via p38 MAPK-Mediated NF-κB Activation. Appl. Sci. 2020, 10, 5457. https://doi.org/10.3390/app10165457
Park E-J, Lee Y-S, Kim SM, Jung AJ, Yoo J-H, Lee S-H, Jeong HC, Lee H-J. Immune-Enhancing Effects of Red Platycodon grandiflorus Root Extract via p38 MAPK-Mediated NF-κB Activation. Applied Sciences. 2020; 10(16):5457. https://doi.org/10.3390/app10165457
Chicago/Turabian StylePark, Eun-Jung, You-Suk Lee, Sung Min Kim, Ah Jin Jung, Jeong-Hyun Yoo, Sung-Hyen Lee, Hyun Cheol Jeong, and Hae-Jeung Lee. 2020. "Immune-Enhancing Effects of Red Platycodon grandiflorus Root Extract via p38 MAPK-Mediated NF-κB Activation" Applied Sciences 10, no. 16: 5457. https://doi.org/10.3390/app10165457
APA StylePark, E.-J., Lee, Y.-S., Kim, S. M., Jung, A. J., Yoo, J.-H., Lee, S.-H., Jeong, H. C., & Lee, H.-J. (2020). Immune-Enhancing Effects of Red Platycodon grandiflorus Root Extract via p38 MAPK-Mediated NF-κB Activation. Applied Sciences, 10(16), 5457. https://doi.org/10.3390/app10165457

