Reproducibility Examination of Histopathological Growth Patterns of Liver Metastases in a Retrospective, Consecutive, Single-Center, Cohort Study with Literature Review
Abstract
1. Introduction
2. Materials and Methods
2.1. Patient Selection and Eligibility Criteria
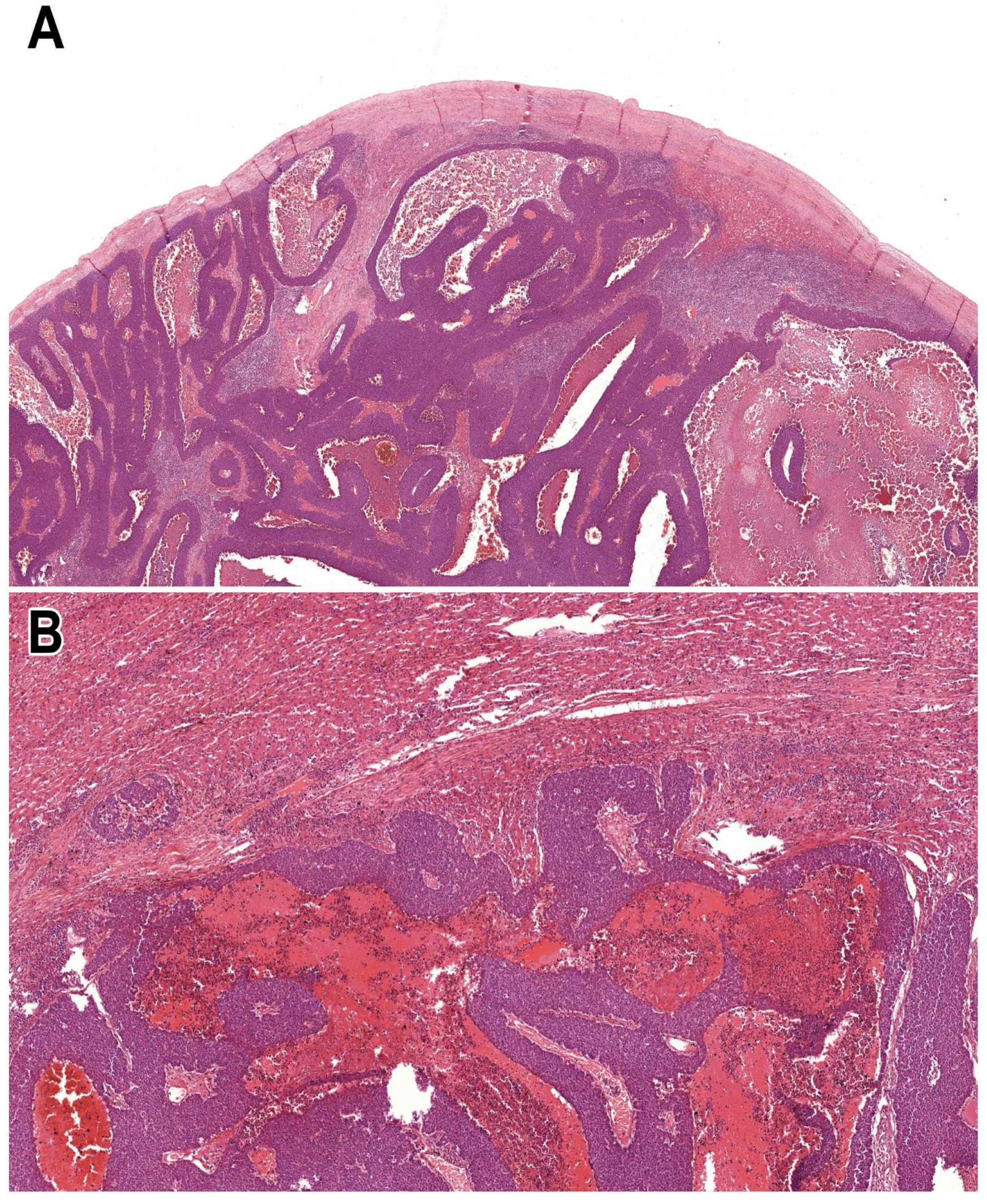
2.2. Evaluation of HGPs
2.3. Statistical Analysis
3. Results
3.1. General Patient and Clinicopathological Data
3.2. Reproducibility of HGPs
4. Discussion with Literature Review
Author Contributions
Funding
Institutional Review Board Statement
Informed Consent Statement
Data Availability Statement
Acknowledgments
Conflicts of Interest
Abbreviations
| CI | Confidence interval |
| HE | Hematoxylin and eosin |
| HGP | Histopathological growth pattern |
| ICC | Intraclass correlation |
| ICD | International Classification of Diseases |
| NEC | Neuroendocrine carcinoma |
| NET | Neuroendocrine tumour |
| NOS | Not otherwise specified |
| NST | No special type carcinoma |
| OS | Overall survival |
| RFS | Recurrence-free survival |
| TFE3 | Transcription factor E3 |
| TTR | Time-to-recurrence |
References
- van Dam, P.-J.; Van Der Stok, E.P.; Teuwen, L.-A.; Van den Eynden, G.G.; Illemann, M.; Frentzas, S.; Majeed, A.W.; Eefsen, R.L.; van den Braak, R.R.J.C.; Lazaris, A.; et al. International consensus guidelines for scoring the histopathological growth patterns of liver metastasis. Br. J. Cancer 2017, 117, 1427–1441. [Google Scholar] [CrossRef] [PubMed]
- Bohlok, A.; Richard, F.; Lucidi, V.; El Asmar, A.; Demetter, P.; Craciun, L.; Larsimont, D.; Hendlisz, A.; Van Laethem, J.L.; Dirix, L.; et al. Histopathological growth pattern of liver metastases as an independent marker of metastatic behavior in different primary cancers. Front. Oncol. 2023, 13, 1260880. [Google Scholar] [CrossRef] [PubMed]
- Nakashima, T.; Kojiro, M.; Kawano, Y.; Shirai, F.; Takemoto, N.; Tomimatsu, H.; Kawasaki, H.; Okuda, K. Histologic growth pattern of hepatocellular carcinoma: Relationship to orcein (hepatitis B surface antigen)-positive cells in cancer tissue. Hum. Pathol. 1982, 13, 563–568. [Google Scholar] [CrossRef] [PubMed]
- Terayama, N.; Terada, T.; Nakanuma, Y. Histologic growth patterns of metastatic carcinomas of the liver. Jpn. J. Clin. Oncol. 1996, 26, 24–29. [Google Scholar] [CrossRef] [PubMed]
- Meyer, Y.; Bohlok, A.; Höppener, D.; Galjart, B.; Doukas, M.; Grünhagen, D.J.; Labar, A.; Lucidi, V.; Vermeulen, P.B.; Verhoef, C.; et al. Histopathological growth patterns of resected non-colorectal, non-neuroendocrine liver metastases: A retrospective multicenter study. Clin. Exp. Metastasis 2022, 39, 433–442. [Google Scholar] [CrossRef] [PubMed]
- Meyer, Y.; Bohlok, A.; Olthof, P.; Donckier, V.; Doukas, M.; Lucidi, V.; Vermeulen, P.; Grünhagen, D.; Verhoef, C. Histopathological growth patterns of neuroendocrine tumor liver metastases. Clin. Exp. Metastasis 2023, 40, 227–234. [Google Scholar] [CrossRef] [PubMed]
- Latacz, E.; Höppener, D.; Bohlok, A.; Leduc, S.; Tabariès, S.; Moro, C.F.; Lugassy, C.; Nyström, H.; Bozóky, B.; Floris, G.; et al. Histopathological growth patterns of liver metastasis: Updated consensus guidelines for pattern scoring, perspectives and recent mechanistic insights. Br. J. Cancer 2022, 127, 988–1013. [Google Scholar] [CrossRef] [PubMed]
- Höppener, D.J.; Nierop, P.M.H.; Herpel, E.; Rahbari, N.N.; Doukas, M.; Vermeulen, P.B.; Grünhagen, D.J.; Verhoef, C. Histopathological growth patterns of colorectal liver metastasis exhibit little heterogeneity and can be determined with a high diagnostic accuracy. Clin. Exp. Metastasis 2019, 36, 311–319. [Google Scholar] [CrossRef] [PubMed]
- Koo, T.K.; Li, M.Y. A Guideline of Selecting and Reporting Intraclass Correlation Coefficients for Reliability Research. J. Chiropr. Med. 2016, 15, 155–163. [Google Scholar] [CrossRef] [PubMed]
- Fleiss, J.L. The measurement of interrater agreement. In Statistical Methods for Rates and Proportions, 3rd ed.; Fleiss, J.L., Levin, B., Paik, M.C., Eds.; John Wiley and Sons: New York, NY, USA, 2003; pp. 598–627. [Google Scholar] [CrossRef]
- Landis, J.R.; Koch, G.G. The measurement of observer agreement for categorical data. Biometrics 1977, 33, 159–174. [Google Scholar] [CrossRef] [PubMed]
- Zhuang, Y.; Yu, H.; Chen, C.-J.; Jian, J.-L.; Wu, X.-Y. Establishment and validation of a prognostic nomogram for patients with colorectal neuroendocrine carcinoma. Asian J. Surg. 2024, 47, 433–442. [Google Scholar] [CrossRef] [PubMed]
- Sawano, H.; Matsuoka, H.; Mizuno, T.; Kamiya, T.; Chong, Y.; Iwama, H.; Takahara, T.; Hiro, J.; Otsuka, K.; Ishihara, T.; et al. Risk factors for residual liver recurrence of colorectal cancer after resection of liver metastases and significance of adjuvant chemotherapy. Asian J. Surg. 2024, 47, 5124–5130. [Google Scholar] [CrossRef] [PubMed]


| Primary Tumour Histological Subtype | Number of Cases |
|---|---|
| Colonic adenocarcinoma NOS | 102 |
| Colonic mucinous adenocarcinoma | 5 |
| Colonic leiomyosarcoma | 1 |
| Rectal adenocarcinoma NOS | 52 |
| Rectal mucinous adenocarcinoma | 4 |
| Gastric intestinal adenocarcinoma | 4 |
| Gastric NET | 1 |
| Small intestinal NET | 3 |
| Small intestinal NEC | 2 |
| Pancreatic ductal adenocarcinoma | 3 |
| Pancreatic NET | 2 |
| Gallbladder carcinoma | 4 |
| Extrahepatic bile duct carcinoma | 4 |
| Gallbladder NET | 1 |
| NST carcinoma | 4 |
| Pulmonary small cell lung carcinoma | 1 |
| Pulmonary basaloid squamous cell carcinoma | 1 |
| Nasopharyngeal squamous cell carcinoma | 1 |
| Hypopharyngeal squamous cell carcinoma | 1 |
| Prostatic adenocarcinoma | 1 |
| Papillary renal cell carcinoma | 1 |
| Urothelial carcinoma | 1 |
| Cervical squamous cell carcinoma | 1 |
| TFE3-rearranged renal cell carcinoma | 1 |
| Mixed germ cell tumour * | 1 |
| Malignant melanoma | 1 |
| Evaluator | ICC Score | CI (95%) | ICC Scale | Interpretation [9] |
|---|---|---|---|---|
| Pathologist | 0.984 | 0.980–0.987 | <0.5 | Poor |
| Specialist trainee | 0.911 | 0.894–0.926 | 95%CI < 0.5 | Moderate to poor |
| Medical student | 0.567 | 0.490–0.636 | 0.5–0.749 | Moderate |
| Altogether | 0.822 | 0.796–0.847 | 95%CI > 0.749 | Good to moderate |
| 0.75–0.9 | Good | |||
| >0.9 | Excellent |
| Evaluator | Fleiss’ Kappa | CI (95%) | Kappa Scale | Interpretation [11] |
|---|---|---|---|---|
| Pathologist | 0.971 | 0.969–0.974 | −1 to −0.01 | Poor |
| Specialist trainee | 0.897 | 0.896–0.899 | 0–0.10 | Slight |
| Medical student | 0.532 | 0.529–0.534 | 0.11–0.20 | Slight |
| Altogether | 0.793 | 0.792–0.793 | 0.21–0.30 | Fair |
| 0.31–0.40 | Fair | |||
| 0.41–0.50 | Moderate | |||
| 0.51–0.60 | Moderate | |||
| 0.61–0.70 | Substantial | |||
| 0.71–0.80 | Substantial | |||
| 0.80–0.90 | Almost perfect | |||
| 0.9–1 | Almost perfect |
| Author and Year of Publication | Case Number (n) | Number of Evaluators (n) | Educational Background | Identifiable Patterns | Statistical Method | Training Session | Results |
|---|---|---|---|---|---|---|---|
| van Dam et al., 2017 [1] | 152 | 12 | 3 pathologists, 9 scientists | Replacement, desmoplastic, pushing, sinusoidal, portal | ICC | Teaching and training set | Good-to-excellent agreement (ICC > 0.5) between evaluators, regardless of educational background |
| Höppener et al., 2019 [8] | 825 within, 363 between | 2 | 1 pathologist, 1 PhD student | Replacement, desmoplastic, pushing | Cohen | 2 training sessions | Within k = 0.953; between k = 0.0951 |
| Our study, 2024 | 205 cases with 336 foci | 7 | 2 pathologists, 3 pathology specialist trainees, 2 medical students | Replacement, desmoplastic, pushing, sinusoidal, portal | ICC, Fleiss’ kappa | Short training session | Excellent agreement between pathologists and pathology specialist trainees (ICC: 0.984 and 0.911). Moderate agreement between medical students (ICC: 0.567). Good general agreement between all evaluators (ICC: 0.822). Excellent agreement between pathologists and pathology specialist trainees (kappa = 0.971 and kappa = 0.897). Moderate agreement between medical students (kappa = 0.532). Substantial overall agreement (kappa = 0.793). |
Disclaimer/Publisher’s Note: The statements, opinions and data contained in all publications are solely those of the individual author(s) and contributor(s) and not of MDPI and/or the editor(s). MDPI and/or the editor(s) disclaim responsibility for any injury to people or property resulting from any ideas, methods, instructions or products referred to in the content. |
© 2025 by the authors. Licensee MDPI, Basel, Switzerland. This article is an open access article distributed under the terms and conditions of the Creative Commons Attribution (CC BY) license (https://creativecommons.org/licenses/by/4.0/).
Share and Cite
Sejben, A.; Almási, S.; Pósfai, B.; Baráth, B.; Ferenczi, Á.; Abbasi, P.; Zombori, T.; Lantos, T. Reproducibility Examination of Histopathological Growth Patterns of Liver Metastases in a Retrospective, Consecutive, Single-Center, Cohort Study with Literature Review. Med. Sci. 2025, 13, 220. https://doi.org/10.3390/medsci13040220
Sejben A, Almási S, Pósfai B, Baráth B, Ferenczi Á, Abbasi P, Zombori T, Lantos T. Reproducibility Examination of Histopathological Growth Patterns of Liver Metastases in a Retrospective, Consecutive, Single-Center, Cohort Study with Literature Review. Medical Sciences. 2025; 13(4):220. https://doi.org/10.3390/medsci13040220
Chicago/Turabian StyleSejben, Anita, Szintia Almási, Boglárka Pósfai, Bence Baráth, Ádám Ferenczi, Parsa Abbasi, Tamás Zombori, and Tamás Lantos. 2025. "Reproducibility Examination of Histopathological Growth Patterns of Liver Metastases in a Retrospective, Consecutive, Single-Center, Cohort Study with Literature Review" Medical Sciences 13, no. 4: 220. https://doi.org/10.3390/medsci13040220
APA StyleSejben, A., Almási, S., Pósfai, B., Baráth, B., Ferenczi, Á., Abbasi, P., Zombori, T., & Lantos, T. (2025). Reproducibility Examination of Histopathological Growth Patterns of Liver Metastases in a Retrospective, Consecutive, Single-Center, Cohort Study with Literature Review. Medical Sciences, 13(4), 220. https://doi.org/10.3390/medsci13040220

