Detection of Trypanosoma cruzi DNA in Blood of the Lizard Microlophus atacamensis: Understanding the T. cruzi Cycle in a Coastal Island of the Atacama Desert
Simple Summary
Abstract
1. Introduction
2. Materials and Methods
2.1. Study Area and Sample Collections in Lizards
2.2. DNA Extraction from Blood Samples of Lizards
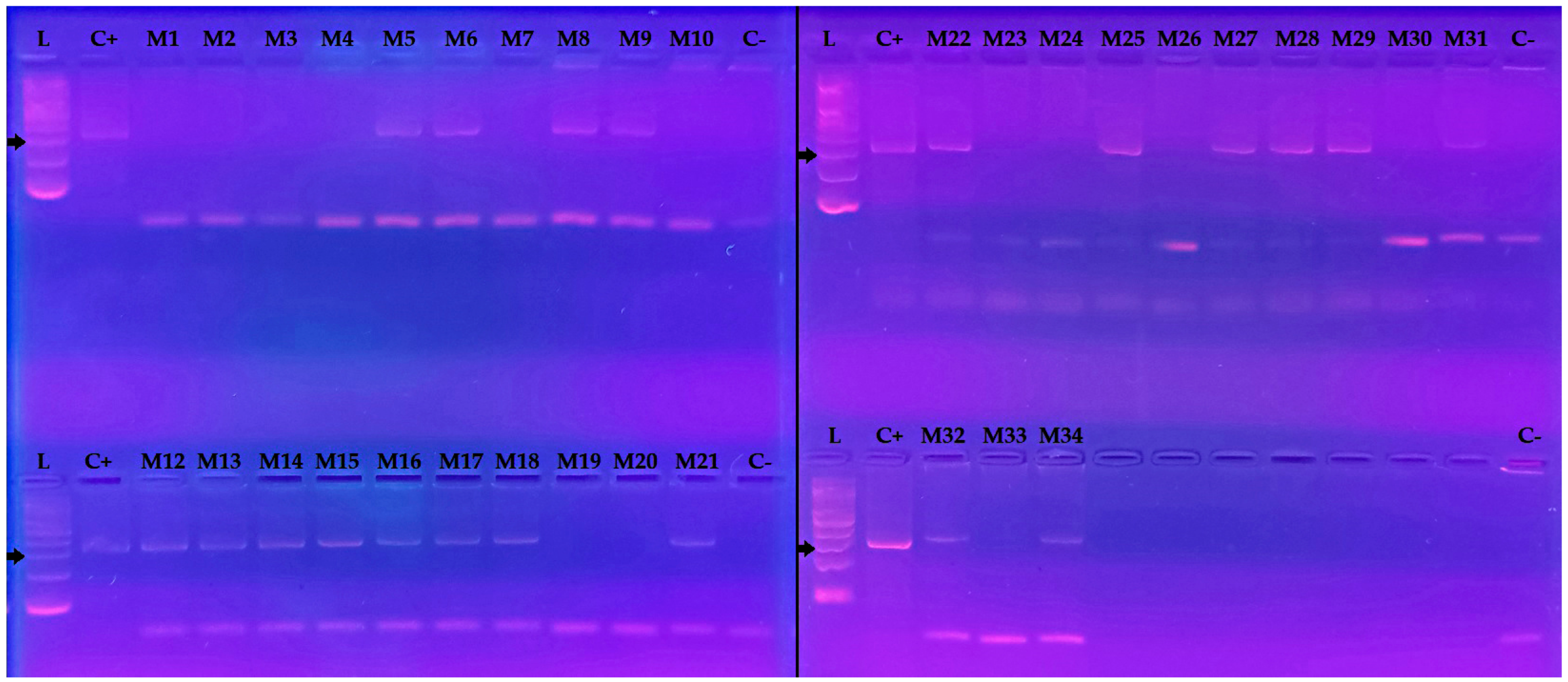
2.3. Kinetoplast DNA Amplification of T. cruzi by Conventional PCR
2.4. Satellite DNA Amplification of T. cruzi by Quantitative PCR
2.5. Data Analysis
2.6. Sequencing of the Amplified satDNA Segments
3. Results
3.1. kDNA and satDNA Amplification
3.2. Sequencing of the satDNA Segments
4. Discussion
5. Conclusions
Supplementary Materials
Author Contributions
Funding
Institutional Review Board Statement
Informed Consent Statement
Data Availability Statement
Acknowledgments
Conflicts of Interest
Abbreviations
| cPCR | Conventional PCR |
| qPCR | Quantitative Real-Time PCR |
| satDNA | Satellite DNA |
| kDNA | Kinetoplast DNA |
| IAC | Internal amplification control |
| Ct | Cycle threshold |
References
- Herbold, J.R. Emerging Zoonotic Diseases: An Opportunity to Apply the Concepts of Nidality and One-Medicine. Environ. Health Prev. Med. 2005, 10, 260–262. [Google Scholar] [CrossRef]
- Zinsstag, J.; Schelling, E.; Waltner-Toews, D.; Tanner, M. From “One Medicine” to “One Health” and Systemic Approaches to Health and Well-Being. Prev. Vet. Med. 2011, 101, 148–156. [Google Scholar] [CrossRef]
- Destoumieux-Garzón, D.; Mavingui, P.; Boetsch, G.; Boissier, J.; Darriet, F.; Duboz, P.; Fritsch, C.; Giraudoux, P.; Roux, F.L.; Morand, S.; et al. The One Health Concept: 10 Years Old and a Long Road Ahead. Front. Vet. Sci. 2018, 5, 14. [Google Scholar] [CrossRef]
- Schaub, G.A. Interaction of Trypanosoma cruzi, Triatomines and the Microbiota of the Vectors—A Review. Microorganisms 2024, 12, 855. [Google Scholar] [CrossRef]
- Schaub, G.A. An Update on the Knowledge of Parasite–Vector Interactions of Chagas Disease. Res. Rep. Trop. Med. 2021, 12, 63–76. [Google Scholar] [CrossRef]
- Jansen, A.M.; Xavier, S.C.d.C.; Roque, A.L.R. Landmarks of the Knowledge and Trypanosoma cruzi Biology in the Wild Environment. Front. Cell. Infect. Microbiol. 2020, 10, 510760. [Google Scholar] [CrossRef]
- Tyler, K.M.; Engman, D.M. The Life Cycle of Trypanosoma cruzi Revisited. Int. J. Parasitol. 2001, 31, 472–481. [Google Scholar] [CrossRef]
- Botto-Mahan, C.; Correa, J.P.; Araya-Donoso, R.; Farías, F.; Juan, E.S.; Quiroga, N.; Campos-Soto, R.; Reyes-Olivares, C.; González-Acuña, D. Lizards as Silent Hosts of Trypanosoma cruzi. Emerg. Infect. Dis. 2022, 28, 1250–1253. [Google Scholar] [CrossRef]
- Nantes, W.A.G.; Liberal, S.C.; Santos, F.M.; Dario, M.A.; Hota Mukoyama, L.; Berres Woidella, K.; Santa Rita, P.H.; Rodrigues Roque, A.L.; Elisei de Oliveira, C.; Miraglia Herrera, H.; et al. Viperidae Snakes Infected by Mammalian-Associated Trypanosomatids and a Free-Living Kinetoplastid. Infect. Genet. Evol. 2024, 123, 105630. [Google Scholar] [CrossRef]
- Zingales, B.; Miles, M.A.; Campbell, D.A.; Tibayrenc, M.; Macedo, A.M.; Teixeira, M.M.G.; Schijman, A.G.; Llewellyn, M.S.; Lages-Silva, E.; Machado, C.R.; et al. The Revised Trypanosoma cruzi Subspecific Nomenclature: Rationale, Epidemiological Relevance and Research Applications. Infect. Genet. Evol. 2012, 12, 240–253. [Google Scholar] [CrossRef]
- Abras, A.; Gállego, M.; Muñoz, C.; Juiz, N.A.; Ramírez, J.C.; Cura, C.I.; Tebar, S.; Fernández-Arévalo, A.; Pinazo, M.J.; de la Torre, L.; et al. Identification of Trypanosoma cruzi Discrete Typing Units (DTUs) in Latin-American Migrants in Barcelona (Spain). Parasitol. Int. 2017, 66, 83–88. [Google Scholar] [CrossRef]
- Majeau, A.; Murphy, L.; Herrera, C.; Dumonteil, E. Assessing Trypanosoma cruzi Parasite Diversity through Comparative Genomics: Implications for Disease Epidemiology and Diagnostics. Pathogens 2021, 10, 212. [Google Scholar] [CrossRef]
- Frías, D.; Henry, A.; Gonzalez, C. Mepraia gajardoi: A New Species of Tritominae (Hemiptera: Reduviidae) from Chile and Its Comparison with Mepraia spinolai. Rev. Chil. Hist. Nat. 1998, 71, 177–188. [Google Scholar]
- Campos-Soto, R.; Rodríguez-Valenzuela, E.; Díaz-Campusano, G.; Boric-Bargetto, D.; Zúñiga-Reinoso, Á.; Cianferoni, F.; Torres-Pérez, F. Testing Phylogeographic Hypotheses in Mepraia (Hemiptera: Reduviidae) Suggests a Complex Spatio-Temporal Colonization in the Coastal Atacama Desert. Insects 2022, 13, 419. [Google Scholar] [CrossRef]
- Frías-Lasserre, D. A New Species and Karyotype Variation in the Bordering Distribution of Mepraia spinolai (Porter) and Mepraia gajardoi Frías et al. (Hemiptera: Reduviidae: Triatominae) in Chile and Its Parapatric Model of Speciation. Neotrop. Entomol. 2010, 39, 572–583. [Google Scholar] [CrossRef] [PubMed]
- Rives-Blanchard, N.; Torres-Pérez, F.; Ortiz, S.; Solari, A.; Campos-Soto, R. Trypanosoma cruzi over the Ocean: Insular Zones of Chile with Presence of Infected Vector Mepraia Species. Acta Trop. 2017, 172, 229–231. [Google Scholar] [CrossRef] [PubMed]
- Campos-Soto, R.; Díaz-Campusano, G.; Quiroga, N.; Muñoz-San Martín, C.; Rives-Blanchard, N.; Torres-Pérez, F. Trypanosoma cruzi-Infected Triatomines and Rodents Co-Occur in a Coastal Island of Northern Chile. PeerJ 2020, 8, e9967. [Google Scholar] [CrossRef] [PubMed]
- Quiroga, N.; Correa, J.P.; Campos-Soto, R.; San Juan, E.; Araya-Donoso, R.; Díaz-Campusano, G.; González, C.R.; Botto-Mahan, C. Blood-Meal Sources and Trypanosoma cruzi Infection in Coastal and Insular Triatomine Bugs from the Atacama Desert of Chile. Microorganisms 2022, 10, 785. [Google Scholar] [CrossRef]
- Campos-Soto, R.; Ortiz, S.; Ivan, C.; Bruneau, N.; Botto-Mahan, C.; Solari, A. Interactions between Trypanosoma cruzi the Chagas Disease Parasite and Naturally Infected Wild Mepraia Vectors of Chile. Vector-Borne Zoonotic Dis. 2016, 16, 165–171. [Google Scholar] [CrossRef]
- Ihle-Soto, C.; Costoya, E.; Correa, J.P.; Bacigalupo, A.; Cornejo-Villar, B.; Estadella, V.; Solari, A.; Ortiz, S.; Hernández, H.J.; Botto-Mahan, C.; et al. Spatio-Temporal Characterization of Trypanosoma cruzi Infection and Discrete Typing Units Infecting Hosts and Vectors from Non-Domestic Foci of Chile. PLoS Negl. Trop. Dis. 2019, 13, e0007170. [Google Scholar] [CrossRef]
- Clarke, J.D.A. Antiquity of Aridity in the Chilean Atacama Desert. Geomorphology 2006, 73, 101–114. [Google Scholar] [CrossRef]
- Oldfield, C. How to Obtain a Blood Sample in Reptiles via Venepuncture. Vet. Nurs. 2014, 5, 532–537. [Google Scholar] [CrossRef]
- ArcGIS Online. Available online: https://www.arcgis.com/index.html (accessed on 9 May 2024).
- Mc Cabe, A.; Yañez, F.; Pinto, R.; López, A.; Ortiz, S.; Martin, C.M.S.; Botto-Mahan, C.; Solari, A. Survivorship of Wild Caught Mepraia spinolai Nymphs: The Effect of Seasonality and Trypanosoma cruzi Infection after Feeding and Fasting in the Laboratory. Infect. Genet. Evol. 2019, 71, 197–204. [Google Scholar] [CrossRef]
- Sturm, N.R.; Degrave, W.; Morel, C.; Simpson, L. Sensitive Detection and Schizodeme Classification of Trypanosoma cruzi Cells by Amplification of Kinetoplast Minicircle DNA Sequences: Use in Diagnosis of Chagas’ Disease. Mol. Biochem. Parasitol. 1989, 33, 205–214. [Google Scholar] [CrossRef]
- Wincker, P.; Britto, C.; Pereira, J.B.; Cardoso, M.A.; Oelemann, W.; Morel, C. Use of a Simplified Polymerase Chain Reaction Procedure to Detect Trypanosoma cruzi in Blood Samples from Chronic Chagasic Patients in a Rural Endemic Area. Am. J. Trop. Med. Hyg. 1994, 51, 771–777. [Google Scholar] [CrossRef]
- Piron, M.; Fisa, R.; Casamitjana, N.; López-Chejade, P.; Puig, L.; Vergés, M.; Gascón, J.; Prat, J.G.i; Portús, M.; Sauleda, S. Development of a Real-Time PCR Assay for Trypanosoma cruzi Detection in Blood Samples. Acta Trop. 2007, 103, 195–200. [Google Scholar] [CrossRef]
- Ponce-Revello, C.; Quiroga, N.; San Juan, E.; Correa, J.P.; Botto-Mahan, C. Detection of Trypanosoma cruzi DNA in Lizards: Using Non-Lethal Sampling Techniques in a Sylvatic Species with Zoonotic Reservoir Potential in Chile. Vet. Parasitol. Reg. Stud. Reports 2024, 55, 101113. [Google Scholar] [CrossRef]
- Estay-Olea, D.; Correa, J.P.; de Bona, S.; Bacigalupo, A.; Quiroga, N.; San Juan, E.; Solari, A.; Botto-Mahan, C. Trypanosoma cruzi Could Affect Wild Triatomine Approaching Behaviour to Humans by Altering Vector Nutritional Status: A Field Test. Acta Trop. 2020, 210, 105574. [Google Scholar] [CrossRef]
- Muñoz-San Martín, C.; Apt, W.; Zulantay, I. Real-Time PCR Strategy for the Identification of Trypanosoma cruzi Discrete Typing Units Directly in Chronically Infected Human Blood. Infect. Genet. Evol. 2017, 49, 300–308. [Google Scholar] [CrossRef]
- Moreira, O.C.; Ramírez, J.D.; Velázquez, E.; Melo, M.F.A.D.; Lima-Ferreira, C.; Guhl, F.; Sosa-Estani, S.; Marin-Neto, J.A.; Morillo, C.A.; Britto, C. Towards the Establishment of a Consensus Real-Time QPCR to Monitor Trypanosoma cruzi Parasitemia in Patients with Chronic Chagas Disease Cardiomyopathy: A Substudy from the BENEFIT Trial. Acta Trop. 2013, 125, 23–31. [Google Scholar] [CrossRef]
- Hall, T.A. BioEdit: A User-Friendly Biological Sequence Alignment Editor and Analysis Program for Windows 95/98/NT. Nucleic Acids Symp. 1999, 41, 95–98. [Google Scholar]
- Morgulis, A.; Coulouris, G.; Raytselis, Y.; Madden, T.L.; Agarwala, R.; Schäffer, A.A. Database Indexing for Production MegaBLAST Searches. Bioinformatics 2008, 24, 1757–1764. [Google Scholar] [CrossRef]
- Zhang, Z.; Schwartz, S.; Wagner, L.; Miller, W. A Greedy Algorithm for Aligning DNA Sequences. J. Comput. Biol. 2004, 7, 203–214. [Google Scholar] [CrossRef]
- Landis, J.R.; Koch, G.G. The Measurement of Observer Agreement for Categorical Data—PubMed. Biometrics 1977, 33, 159–174. [Google Scholar] [CrossRef]
- Mendoza-Roldan, J.A.; Mendoza-Roldan, M.A.; Otranto, D. Reptile Vector-Borne Diseases of Zoonotic Concern. Int. J. Parasitol. Parasites Wildl. 2021, 15, 132–142. [Google Scholar] [CrossRef]
- Viola, L.B.; Campaner, M.; Takata, C.S.A.; Ferreira, R.C.; Rodrigues, A.C.; Freitas, R.A.; Duarte, M.R.; Grego, K.F.; Barrett, T.V.; Camargo, E.P.; et al. Phylogeny of Snake Trypanosomes Inferred by SSU RDNA Sequences, Their Possible Transmission by Phlebotomines, and Taxonomic Appraisal by Molecular, Cross-Infection and Morphological Analysis. Parasitology 2008, 135, 595–605. [Google Scholar] [CrossRef]
- Hamilton, P.B.; Gibson, W.C.; Stevens, J.R. Patterns of Co-Evolution between Trypanosomes and Their Hosts Deduced from Ribosomal RNA and Protein-Coding Gene Phylogenies. Mol. Phylogenet. Evol. 2007, 44, 15–25. [Google Scholar] [CrossRef]
- Njagu, Z.; Mihok, S.; Kokwaro, E.; Verloo, D. Isolation of Trypanosoma brucei from the Monitor Lizard (Varanus niloticus) in an Endemic Focus of Rhodesian Sleeping Sickness in Kenya. Acta Trop. 1999, 72, 137–148. [Google Scholar] [CrossRef]
- Chen, H.; Li, J.; Zhang, J.; Guo, X.; Liu, J.; He, J.; Song, Q.; Zhang, J.; Chen, M.; Zheng, Z.; et al. Multi-Locus Characterization and Phylogenetic Inference of Leishmania spp. in Snakes from Northwest China. PLoS ONE 2019, 14, e0210681. [Google Scholar] [CrossRef]
- Martínez-Hernández, F.; Oria-Martínez, B.; Rendón-Franco, E.; Villalobos, G.; Muñoz-García, C.I. Trypanosoma cruzi, beyond the Dogma of Non-Infection in Birds. Infect. Genet. Evol. 2022, 99, 105239. [Google Scholar] [CrossRef]
- Qvarnstrom, Y.; Schijman, A.G.; Veron, V.; Aznar, C.; Steurer, F.; da Silva, A.J. Sensitive and Specific Detection of Trypanosoma cruzi DNA in Clinical Specimens Using a Multi-Target Real-Time PCR Approach. PLoS Negl. Trop. Dis. 2012, 6, e1689. [Google Scholar] [CrossRef]
- Seiringer, P.; Pritsch, M.; Flores-Chavez, M.; Marchisio, E.; Helfrich, K.; Mengele, C.; Hohnerlein, S.; Bretzel, G.; Löscher, T.; Hoelscher, M.; et al. Comparison of Four PCR Methods for Efficient Detection of Trypanosoma cruzi in Routine Diagnostics. Diagn. Microbiol. Infect. Dis. 2017, 88, 225–232. [Google Scholar] [CrossRef]
- Ramírez, J.C.; Cura, C.I.; da Cruz Moreira, O.; Lages-Silva, E.; Juiz, N.; Velázquez, E.; Ramírez, J.D.; Alberti, A.; Pavia, P.; Flores-Chávez, M.D.; et al. Analytical Validation of Quantitative Real-Time PCR Methods for Quantification of Trypanosoma cruzi DNA in Blood Samples from Chagas Disease Patients. J. Mol. Diagn. 2015, 17, 605–615. [Google Scholar] [CrossRef]
- Vallejo, G.A.; Suárez, J.; Olaya, J.L.; Gutierrez, S.A.; Carranza, J.C. Trypanosoma rangeli: Un Protozoo Infectivo y No Patógeno Para El Humano Que Contribuye al Entendimiento de La Transmisión Vectorial y La Infección Por Trypanosoma cruzi, Agente Causal de La Enfermedad de Chagas. Rev. Acad. Colomb. Cienc. Exactas Fis. Nat. 2015, 39, 111–122. [Google Scholar] [CrossRef]
- Ramírez, J.D.; Guhl, F.; Umezawa, E.S.; Morillo, C.A.; Rosas, F.; Marin-Neto, J.A.; Restrepo, S. Evaluation of Adult Chronic Chagas’ Heart Disease Diagnosis by Molecular and Serological Methods. J. Clin. Microbiol. 2009, 47, 3945–3951. [Google Scholar] [CrossRef]
- Cummings, K.L.; Tarleton, R.L. Rapid Quantitation of Trypanosoma cruzi in Host Tissue by Real-Time PCR. Mol. Biochem. Parasitol. 2003, 129, 53–59. [Google Scholar] [CrossRef]
- Viola, L.B.; Attias, M.; Takata, C.S.A.; Campaner, M.; de Souza, W.; Camargo, E.P.; Teixeira, M.M.G. Phylogenetic Analyses Based on Small Subunit RRNA and Glycosomal Glyceraldehyde-3-Phosphate Dehydrogenase Genes and Ultrastructural Characterization of Two Snake Trypanosomes: Trypanosoma serpentis n. sp. from Pseudoboa nigra and Trypanosoma cascavelli from Crotalus durissus terrificus. J. Eukaryot. Microbiol. 2009, 56, 594–602. [Google Scholar] [CrossRef]
- Jordaan, B.J.; van As, J.; Netherlands, E.C. Morphological and Molecular Diagnosis of Two New Species of Trypanosoma Gruby, 1843 Infecting South African Cordylid Lizards (Squamata: Cordylidae: Cordylinae), Trypanosoma (Squamatrypanum) ndumoensis n. sp. and Trypanosoma (Trypanosoma) tokoloshi n. sp. J. Eukaryot. Microbiol. 2023, 70, e12970. [Google Scholar] [CrossRef]
- Duffy, T.; Bisio, M.; Altcheh, J.; Burgos, J.M.; Diez, M.; Levin, M.J.; Favaloro, R.R.; Freilij, H.; Schijman, A.G. Accurate Real-Time PCR Strategy for Monitoring Bloodstream Parasitic Loads in Chagas Disease Patients. PLoS Negl. Trop. Dis. 2009, 3, e419. [Google Scholar] [CrossRef]
- Cura, C.I.; Mejía-Jaramillo, A.M.; Duffy, T.; Burgos, J.M.; Rodriguero, M.; Cardinal, M.V.; Kjos, S.; Gurgel-Gonçalves, R.; Blanchet, D.; De Pablos, L.M.; et al. Trypanosoma cruzi I Genotypes in Different Geographical Regions and Transmission Cycles Based on a Microsatellite Motif of the Intergenic Spacer of Spliced-Leader Genes. Int. J. Parasitol. 2010, 40, 1599–1607. [Google Scholar] [CrossRef]
- Llewellyn, M.S.; Miles, M.A.; Carrasco, H.J.; Lewis, M.D.; Yeo, M.; Vargas, J.; Torrico, F.; Diosque, P.; Valente, V.; Valente, S.A.; et al. Genome-Scale Multilocus Microsatellite Typing of Trypanosoma cruzi Discrete Typing Unit I Reveals Phylogeographic Structure and Specific Genotypes Linked to Human Infection. PLoS Pathog. 2009, 5, e1000410. [Google Scholar] [CrossRef]
- Farina, J.M.; Sepulveda, M.; Reyna, M.V.; Wallem, K.P.; Ossa-Zazzali, P.G. Geographical Variation in the Use of Intertidal Rocky Shores by the Lizard Microlophus Atacamensis in Relation to Changes in Terrestrial Productivity along the Atacama Desert Coast. J. Anim. Ecol. 2008, 77, 458–468. [Google Scholar] [CrossRef]
- Brunner, J.L.; LoGiudice, K.; Ostfeld, R.S. Estimating Reservoir Competence of Borrelia Burgdorferi Hosts: Prevalence and Infectivity, Sensitivity, and Specificity. J. Med. Entomol. 2008, 45, 139–147. [Google Scholar] [CrossRef]
- Huang, Z.Y.X.; de Boer, W.F.; van Langevelde, F.; Olson, V.; Blackburn, T.M.; Prins, H.H.T. Species’ Life-History Traits Explain Interspecific Variation in Reservoir Competence: A Possible Mechanism Underlying the Dilution Effect. PLoS ONE 2013, 8, e54341. [Google Scholar] [CrossRef]
- Gervasi, S.S.; Civitello, D.J.; Kilvitis, H.J.; Martin, L.B. The Context of Host Competence: A Role for Plasticity in Host–Parasite Dynamics. Trends Parasitol. 2015, 31, 419–425. [Google Scholar] [CrossRef]
- Ibáñez, S.; Vidal, M.A.; Ortiz, J.C.; Torres-Pérez, F. Geometric Morphometric Analysis of the Head of Microlophus atacamensis (Tropiduridae) in a Latitudinal Gradient. Zool. Stud. 2015, 54, 24. [Google Scholar] [CrossRef]
- Demangel, D. Reptiles En Chile; Fauna Nativa Ediciones: Santiago, Chile, 2016; ISBN 978-956-9801-00-6. [Google Scholar]
- González, C.R.; Reyes, C.; Canals, A.; Parra, A.; Muñoz, X.; Rodríguez, K. An Entomological and Seroepidemiological Study of the Vectorial-Transmission Risk of Chagas Disease in the Coast of Northern Chile. Med. Vet. Entomol. 2015, 29, 387–392. [Google Scholar] [CrossRef]
- Pereira, K.S.; Schmidt, F.L.; Guaraldo, A.M.A.; Franco, R.M.B.; Dias, V.L.; Passos, L.A.C. Chagas’ Disease as a Foodborne Illness. J. Food. Prot. 2009, 72, 441–446. [Google Scholar] [CrossRef]
- Coura, J.R. The Main Sceneries of Chagas Disease Transmission. The Vectors, Blood and Oral Transmissions—A Comprehensive Review. Mem. Inst. Oswaldo Cruz 2015, 110, 277–282. [Google Scholar] [CrossRef]
- Bern, C.; Messenger, L.A.; Whitman, J.D.; Maguire, J.H. Chagas Disease in the United States: A Public Health Approach. Clin. Microbiol. Rev. 2019, 33, 10–1128. [Google Scholar] [CrossRef]


| Lizard ID | cPCR | qPCR |
|---|---|---|
| M1 | − | ic |
| M2 | − | + |
| M3 | − | + |
| M4 | − | + |
| M5 | + | + |
| M6 | + | − |
| M7 | − | ic |
| M8 | + | + |
| M9 | + | + |
| M10 | − | ic |
| M12 | + | + |
| M13 | + | + |
| M14 | + | + |
| M15 | + | + |
| M16 | + | ic |
| M17 | + | + |
| M18 | + | + |
| M19 | − | ic |
| M20 | − | + |
| M21 | + | + |
| M22 | + | + |
| M23 | − | + |
| M24 | − | ic |
| M25 | + | ic |
| M26 | − | + |
| M27 | + | + |
| M28 | + | ic |
| M29 | + | − |
| M30 | − | ic |
| M31 | + | ic |
| M32 | + | + |
| M33 | − | + |
| M34 | + | ic |
| Total | 20/33 (60.6%) | 20/33 (60.6%) |
| Lizard ID | Sequence Length (bp) | Accession Number | Score | Query Cover (%) | E Value | Identity (%) | Species Match |
|---|---|---|---|---|---|---|---|
| M5 | 82 | PV297859 | 135 | 100 | 5 × 10−28 | 96.34 | Trypanosoma cruzi |
| M13 | 96 | PV297860 | 158 | 95 | 1 × 10−34 | 97.80 | Trypanosoma cruzi |
| M14 | 164 | PV297861 | 270 | 98 | 3 × 10−68 | 96.89 | Trypanosoma cruzi |
| M15 | 110 | PV297862 | 145 | 98 | 1 × 10−30 | 90.74 | Trypanosoma cruzi |
| M18 | 164 | PV297863 | 255 | 99 | 1 × 10−63 | 95.06 | Trypanosoma cruzi |
| M19 | 168 | PV297864 | 268 | 95 | 1 × 10−67 | 96.88 | Trypanosoma cruzi |
| M20 | 108 | PV297865 | 167 | 100 | 3 × 10−37 | 94.44 | Trypanosoma cruzi |
| M27 | 108 | PV297866 | 150 | 100 | 3 × 10−32 | 91.67 | Trypanosoma cruzi |
Disclaimer/Publisher’s Note: The statements, opinions and data contained in all publications are solely those of the individual author(s) and contributor(s) and not of MDPI and/or the editor(s). MDPI and/or the editor(s) disclaim responsibility for any injury to people or property resulting from any ideas, methods, instructions or products referred to in the content. |
© 2025 by the authors. Licensee MDPI, Basel, Switzerland. This article is an open access article distributed under the terms and conditions of the Creative Commons Attribution (CC BY) license (https://creativecommons.org/licenses/by/4.0/).
Share and Cite
Borcosque-Avendaño, J.; Quiroga, N.; Cianferoni, F.; Díaz-Campusano, G.; Marcos, J.L.; Botto-Mahan, C.; Torres-Pérez, F.; Bacigalupo, A.; Campos-Soto, R. Detection of Trypanosoma cruzi DNA in Blood of the Lizard Microlophus atacamensis: Understanding the T. cruzi Cycle in a Coastal Island of the Atacama Desert. Animals 2025, 15, 1221. https://doi.org/10.3390/ani15091221
Borcosque-Avendaño J, Quiroga N, Cianferoni F, Díaz-Campusano G, Marcos JL, Botto-Mahan C, Torres-Pérez F, Bacigalupo A, Campos-Soto R. Detection of Trypanosoma cruzi DNA in Blood of the Lizard Microlophus atacamensis: Understanding the T. cruzi Cycle in a Coastal Island of the Atacama Desert. Animals. 2025; 15(9):1221. https://doi.org/10.3390/ani15091221
Chicago/Turabian StyleBorcosque-Avendaño, Josefa, Nicol Quiroga, Franco Cianferoni, Gabriel Díaz-Campusano, José Luis Marcos, Carezza Botto-Mahan, Fernando Torres-Pérez, Antonella Bacigalupo, and Ricardo Campos-Soto. 2025. "Detection of Trypanosoma cruzi DNA in Blood of the Lizard Microlophus atacamensis: Understanding the T. cruzi Cycle in a Coastal Island of the Atacama Desert" Animals 15, no. 9: 1221. https://doi.org/10.3390/ani15091221
APA StyleBorcosque-Avendaño, J., Quiroga, N., Cianferoni, F., Díaz-Campusano, G., Marcos, J. L., Botto-Mahan, C., Torres-Pérez, F., Bacigalupo, A., & Campos-Soto, R. (2025). Detection of Trypanosoma cruzi DNA in Blood of the Lizard Microlophus atacamensis: Understanding the T. cruzi Cycle in a Coastal Island of the Atacama Desert. Animals, 15(9), 1221. https://doi.org/10.3390/ani15091221

