Isolation, Identification, and Pathogenicity of Vibrio gigantis Retrieved from European Seabass (Dicentrarchus labrax) Farmed in Türkiye
Abstract
:Simple Summary
Abstract
1. Introduction
2. Materials and Methods
2.1. Case History, Outbreak, and Farm Conditions
2.2. Fish Sampling
2.3. Clinical Examination (Gross Observations and Necropsy Findings)
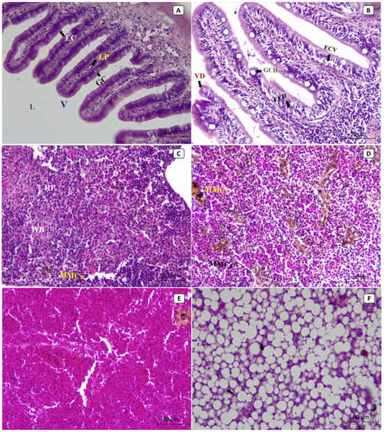
2.4. Histopathological Examination
2.5. Bacterial Isolation Protocol
2.6. Phenotypic Characterization
2.7. Molecular Identification/Characterization of Bacterial Isolates
2.8. Antibiotic Susceptibility Assay
2.9. Pathogenicity Study
2.9.1. Preparation of the Bacterial Suspension
2.9.2. Experimental Challenge
3. Results
3.1. Clinical Signs and Gross Pathology
3.2. Histopathological Findings
3.3. Bacteriological and Phenotypic Characterization
3.4. Bacterial Identification and Characterization
3.5. Susceptibility to Antibiotics
3.6. Challenge Trial Results
4. Discussion
5. Conclusions
Supplementary Materials
Author Contributions
Funding
Institutional Review Board Statement
Informed Consent Statement
Data Availability Statement
Conflicts of Interest
References
- Ertör, I.; Ortega-Cerdà, M. The expansion of intensive marine aquaculture in Turkey: The next-to-last commodity frontier? J. Agrar. Chang. 2019, 19, 337–360. [Google Scholar] [CrossRef]
- FAO. Online Statistical Query Panel. 2021. Available online: https://www.fao.org/fishery/statistics-query/en/aquaculture/aquaculture_quantity (accessed on 6 June 2023).
- Abdel-Latif, H.M.R.; Dawood, M.A.O.; Menanteau-Ledouble, S.; El-Matbouli, M. The nature and consequences of co-infections in tilapia: A review. J. Fish Dis. 2020, 43, 651–664. [Google Scholar] [CrossRef]
- Austin, B.; Austin, D.A. Bacterial Fish Pathogens: Disease of Farmed and Wildfish; Springer: Cham, Switzerland, 2016. [Google Scholar] [CrossRef]
- Lafferty, K.D.; Harvell, C.D.; Conrad, J.M.; Friedman, C.S.; Kent, M.L.; Kuris, A.M.; Powell, E.N.; Rondeau, D.; Saksida, S.M. Infectious diseases affect marine fisheries and aquaculture economics. Annu. Rev. Mar. Sci. 2015, 7, 471–496. [Google Scholar] [CrossRef] [PubMed]
- El-Son, M.A.M.; Nofal, M.I.; Abdel-Latif, H.M.R. Co-infection of Aeromonas hydrophila and Vibrio parahaemolyticus isolated from diseased farmed striped mullet (Mugil cephalus) in Manzala, Egypt—A case report. Aquaculture 2021, 530, 735738. [Google Scholar] [CrossRef]
- Mohamad, N.; Amal, M.N.A.; Yasin, I.S.M.; Zamri Saad, M.; Nasruddin, N.S.; Al-saari, N.; Mino, S.; Sawabe, T. Vibriosis in cultured marine fishes: A review. Aquaculture 2019, 512, 734289. [Google Scholar] [CrossRef]
- Toranzo, A.E.; Magariños, B.; Romalde, J.L. A review of the main bacterial fish diseases in mariculture systems. Aquaculture 2005, 246, 37–61. [Google Scholar] [CrossRef]
- Ina-Salwany, M.Y.; Al-saari, N.; Mohamad, A.; Mursidi, F.-A.; Mohd-Aris, A.; Amal, M.N.A.; Kasai, H.; Mino, S.; Sawabe, T.; Zamri-Saad, M. Vibriosis in Fish: A Review on Disease Development and Prevention. J. Aquat. Anim. Health 2019, 31, 3–22. [Google Scholar] [CrossRef]
- Parte, A.C.; Sardà Carbasse, J.; Meier-Kolthoff, J.P.; Reimer, L.C.; Göker, M. List of Prokaryotic names with Standing in Nomenclature (LPSN) moves to the DSMZ. Int. J. Syst. Evol. Microbiol. 2020, 70, 5607–5612. [Google Scholar] [CrossRef]
- FAO. Cultured Aquatic Species Information Programme. 2022. Available online: https://www.fao.org/fishery/en/culturedspecies/sparus_aurata/en (accessed on 6 June 2023).
- Gomez-Gil, B.; Thompson, C.; Matsumura, Y.; Sawabe, T.; Iida, T.; Christen, R.; Thompson, F.; Sawabe, T. The family vibrionaceae. In The Prokaryotes, 4th ed.; Rosenberg, E., DeLong, E.F., Lory, S., Stackebrandt, E., Thompson, F., Eds.; Springer: Cham, Switzerland, 2014. [Google Scholar]
- Duman, M.; Buján, N.; Altun, S.; Romalde, J.L.; Saticioglu, I.B. Population genetic and evolution analysis of Vibrio isolated from Turkish fish farms. Aquaculture 2023, 562, 738728. [Google Scholar] [CrossRef]
- Romalde, J.; Diéguez, A.; Lasa, A.; Balboa, S. New Vibrio species associated to molluscan microbiota: A review. Front. Microbiol. 2014, 4, 413. [Google Scholar] [CrossRef]
- Jiang, C.; Kasai, H.; Mino, S.; Romalde, J.L.; Sawabe, T. The pan-genome of Splendidus clade species in the family Vibrionaceae: Insights into evolution, adaptation, and pathogenicity. Environ. Microbiol. 2022, 24, 4587–4606. [Google Scholar] [CrossRef] [PubMed]
- Le Roux, F.; Goubet, A.; Thompson, F.L.; Faury, N.; Gay, M.; Swings, J.; Saulnier, D. Vibrio gigantis sp. nov., isolated from the haemolymph of cultured oysters (Crassostrea gigas). Int. J. Syst. Evol. Microbiol. 2005, 55, 2251–2255. [Google Scholar] [CrossRef]
- Beleneva, I.A.; Kukhlevskii, A.D. Characterization of Vibrio gigantis and Vibrio pomeroyi isolated from invertebrates of Peter the Great Bay, Sea of Japan. Microbiology 2010, 79, 402–407. [Google Scholar] [CrossRef]
- Cánovas, F.; Domínguez-Godino, J.A.; González-Wangüemert, M. Epidemiology of skin ulceration disease in wild sea cucumber Holothuria arguinensis, a new aquaculture target species. Dis. Aquat. Org. 2019, 135, 77–88. [Google Scholar] [CrossRef] [PubMed]
- Sohn, H.; Kim, J.; Jin, C.; Lee, J. Identification of Vibrio species isolated from cultured olive flounder (Paralichthys olivaceus) in Jeju Island, South Korea. Fish. Aquat. Sci. 2019, 22, 14. [Google Scholar] [CrossRef]
- Nam, U.-H.; Park, J.-R.; Pyo, J.-H.; Kim, J.-H. Identification of Vibrio species isolated from dark-banded rockfish (Sebastes inermis). J. Fish Pathol. 2021, 34, 105–110. [Google Scholar]
- Triga, A.; Smyrli, M.; Katharios, P. Pathogenic and Opportunistic Vibrio spp. Associated with Vibriosis Incidences in the Greek Aquaculture: The Role of Vibrio harveyi as the Principal Cause of Vibriosis. Microorganisms 2023, 11, 1197. [Google Scholar] [CrossRef]
- Amlacher, E.; Conroy, D.A.; Herman, R.L. Textbook of Fish Diseases; TFH Publications: Neptune City, NJ, USA, 1970; p. 302. [Google Scholar]
- Francis-Floyd, R. Clinical Examination of Fish in Private Collections. Vet. Clin. North Am. Exot. Anim. Pract. 1999, 2, 247–264. [Google Scholar] [CrossRef]
- Bancroft, J.D.; Gamble, M. The hematoxylin and eosin. In Theory and Practice of Histological Techniques, 7th ed.; Suvarna, S.K., Layton, C., Bancroft, J.D., Eds.; Churchill Livingstone Elsevier: London, UK, 2013; pp. 179–220. [Google Scholar]
- Heuer, H.; Krsek, M.; Baker, P.; Smalla, K.; Wellington, E.M. Analysis of actinomycete communities by specific amplification of genes encoding 16S rRNA and gel-electrophoretic separation in denaturing gradients. Appl. Environ. Microbiol. 1997, 63, 3233–3241. [Google Scholar] [CrossRef]
- Bankevich, A.; Nurk, S.; Antipov, D.; Gurevich, A.A.; Dvorkin, M.; Kulikov, A.S.; Lesin, V.M.; Nikolenko, S.I.; Pham, S.; Prjibelski, A.D.; et al. SPAdes: A new genome assembly algorithm and its applications to single-cell sequencing. J. Comput. Biol. A J. Comput. Mol. Cell Biol. 2012, 19, 455–477. [Google Scholar] [CrossRef]
- Seemann, T. Prokka: Rapid prokaryotic genome annotation. Bioinformatics 2014, 30, 2068–2069. [Google Scholar] [CrossRef]
- Jain, C.; Rodriguez-R, L.M.; Phillippy, A.M.; Konstantinidis, K.T.; Aluru, S. High throughput ANI analysis of 90K prokaryotic genomes reveals clear species boundaries. Nat. Commun. 2018, 9, 5114. [Google Scholar] [CrossRef] [PubMed]
- Chen, L.; Yang, J.; Yu, J.; Yao, Z.; Sun, L.; Shen, Y.; Jin, Q. VFDB: A reference database for bacterial virulence factors. Nucleic Acids Res. 2005, 33, D325–D328. [Google Scholar] [CrossRef]
- Bauer, A.; Kirby, W.M.M.; Sherris, J.C.; Turck, M. Antibiotic susceptibility testing by a standardized single diffusion method. Am. J. Clin. Pathol. 1966, 45, 493–496. [Google Scholar] [CrossRef]
- CLSI. Methods for Antimicrobial Broth Dilution and Disk Diffusion Susceptibility Testing of Bacteria Isolated from Aquatic Animals, 2nd ed.; CLSI Guideline VET03; Clinical and Laboratory Standards Institute: Wayne, PA, USA, 2020. [Google Scholar]
- CLSI. Performance Standards for Antimicrobial Susceptibility Testing of Bacteria Isolated from Aquatic Animals, 3rd ed.; CLSI Supplement VET04; Clinical and Laboratory Standards Institute: Wayne, PA, USA, 2020. [Google Scholar]
- Akşit, D. Balık yetiştiriciliğinde antibakteriyel direnç ve önemi. Turk. Klin. J. Vet. Sci.-Pharmacol. Toxicol.-Spec. Top. 2016, 2, 47–54. [Google Scholar]
- Uzun, E.; Ogut, H. The isolation frequency of bacterial pathogens from sea bass (Dicentrarchus labrax) in the Southeastern Black Sea. Aquaculture 2015, 437, 30–37. [Google Scholar] [CrossRef]
- Yarsan, E. Veteriner Hekimlikte Antibiyotikler; Güneş Tıp Kitabevleri: Çankaya, Türkiye, 2013. [Google Scholar]
- CLSI. Methods for Antimicrobial Dilution and Disk Susceptibility Testing of Infrequently Isolated or Fastidious Bacteria; Approved Guideline—Second Edition; CLSI Document M45–A2; Clinical and Laboratory Standards Institute: Wayne, PA, USA, 2010; ISBN 1-56238-732-4. [Google Scholar]
- CLSI. Performance Standards for Antimicrobial Susceptibility Testing, 27th ed.; CLSI Supplement M100; Clinical and Laboratory Standards Institute: Wayne, PA, USA, 2017. [Google Scholar]
- Shryock, T.R.; White, D.W.; Staples, J.M.; Werner, C.S. Minimum inhibitory concentration breakpoints and disk diffusion inhibitory zone interpretive criteria for tilmicosin susceptibility testing against Pasteurella spp. associated with bovine respiratory disease. J. Vet. Diagn. Investig. 1996, 8, 337–344. [Google Scholar] [CrossRef]
- Miller, R.A.; Walker, R.D.; Baya, A.; Clemens, K.; Coles, M.; Hawke, J.P.; Henricson, B.E.; Hsu, H.M.; Mathers, J.J.; Oaks, J.L.; et al. Antimicrobial susceptibility testing of aquatic bacteria: Quality control disk diffusion ranges for Escherichia coli ATCC 25922 and Aeromonas salmonicida subsp. salmonicida ATCC 33658 at 22 and 28 degrees C. J. Clin. Microbiol. 2003, 41, 4318–4323. [Google Scholar] [CrossRef]
- Faury, N.; Saulnier, D.; Thompson, F.L.; Gay, M.; Swings, J.; Roux, F.L. Vibrio crassostreae sp. nov., isolated from the haemolymph of oysters (Crassostrea gigas). Int. J. Syst. Evol. Microbiol. 2004, 54, 2137–2140. [Google Scholar] [CrossRef]
- Omeroglu, E.E.; Karaboz, I. Characterization and genotyping by pulsed-field gel electrophoresis (PFGE) of the first bioluminescent Vibrio gigantis strains. Afr. J. Microbiol. Res. 2012, 6, 7111–7122. [Google Scholar]
- Thompson Fabiano, L.; Iida, T.; Swings, J. Biodiversity of Vibrios. Microbiol. Mol. Biol. Rev. 2004, 68, 403–431. [Google Scholar] [CrossRef]
- Figueras, M.J.; Beaz-Hidalgo, R.; Hossain, M.J.; Liles, M.R. Taxonomic affiliation of new genomes should be verified using average nucleotide identity and multilocus phylogenetic analysis. Genome Announc. 2014, 2, e00927-14. [Google Scholar] [CrossRef]
- Goris, J.; Konstantinidis, K.T.; Klappenbach, J.A.; Coenye, T.; Vandamme, P.; Tiedje, J.M. DNA–DNA hybridization values and their relationship to whole-genome sequence similarities. Int. J. Syst. Evol. Microbiol. 2007, 57, 81–91. [Google Scholar] [CrossRef]
- Konstantinidis, K.T.; Ramette, A.; Tiedje, J.M. Toward a more robust assessment of intraspecies diversity, using fewer genetic markers. Appl. Environ. Microbiol. 2006, 72, 7286–7293. [Google Scholar] [CrossRef] [PubMed]
- Elmahdi, S.; DaSilva, L.V.; Parveen, S. Antibiotic resistance of Vibrio parahaemolyticus and Vibrio vulnificus in various countries: A review. Food Microbiol. 2016, 57, 128–134. [Google Scholar] [CrossRef] [PubMed]
- Deng, Y.; Xu, L.; Chen, H.; Liu, S.; Guo, Z.; Cheng, C.; Ma, H.; Feng, J. Prevalence, virulence genes, and antimicrobial resistance of Vibrio species isolated from diseased marine fish in South China. Sci. Rep. 2020, 10, 14329. [Google Scholar] [CrossRef]
- Macpherson, H.L.; Bergh, Ø.; Birkbeck, T.H. An aerolysin-like enterotoxin from Vibrio splendidus may be involved in intestinal tract damage and mortalities in turbot, Scophthalmus maximus (L.), and cod, Gadus morhua L., larvae. J. Fish Dis. 2012, 35, 153–167. [Google Scholar] [CrossRef] [PubMed]
- Wong, S.K.; Zhang, X.-H.; Woo, N.Y.S. Vibrio alginolyticus thermolabile hemolysin (TLH) induces apoptosis, membrane vesiculation and necrosis in sea bream erythrocytes. Aquaculture 2012, 330–333, 29–36. [Google Scholar] [CrossRef]




| Characteristics | Vibrio Isolate—This Study | V. gigantis 915 [17] | V. gigantis [16] |
|---|---|---|---|
| Morphology | curved rod | rod | curved |
| Motility | + | + | + |
| Gram staining | Negative | Negative | Negative |
| Oxidase | + | + | + |
| Catalase | + | + | + |
| Indole | + | + | + |
| Oxidation/fermentation | +/+ | +/+ | +/+ |
| Arginine dihydrolase | + | + | + |
| Lysine decarboxylase | − | − | − |
| Ornithine decarboxylase | − | − | − |
| Simmons citrate | − | − | − |
| Nitrate reduction | + | + | + |
| Sensitivity to: 0129 (10/150 µg) | + | + | + |
| Growth on TCBS agar Colony color | + Green | + Green | + Yellow |
| Growth at: | |||
| 4 °C | + | + | + |
| 30 °C | + | − | ND |
| 35 °C | − | − | − |
| Growth at: | |||
| 0% NaCI | − | − | − |
| 2% NaCI | + | ND | + |
| 4% NaCI | + | ND | + |
| 6% NaCI | + | + | + |
| 8% NaCI | + | + | − |
| 10% NaCI | − | − | ND |
| Query Strain ID | Refseq Strain ID | NCBI Accession No. | ANI Value (%) |
|---|---|---|---|
| Vibrio isolate C24 (this study) | Vibrio gigantis LGP 13T | NZ_MVJE01000001.1 | 98.0 |
| Vibrio gigantis strain CCUG56969T | NZ_VXJS01000001.1 | 97.9 | |
| Vibrio gigantis strain ACE001 | NZ_CP092384.1 | 97.9 | |
| Vibrio gigantis strain 43_P_281 | NZ_JAGDQE010000001.1 | 97.7 | |
| Vibrio crassostreae strain 16SF1_51 | NZ_RJKJ01000001.1 | 90.9 | |
| Vibrio celticus strain Rd 8.15 | NZ_MVJF01000001.1 | 90.8 | |
| Vibrio coralliirubri strain Evd3 | NZ_ORXW01000001.1 | 90.6 | |
| Vibrio bathopelagicus strain Sal10 | NZ_CP062500.1 | 90.3 |
| Prokka Locustag/Annotation | Pident (%) | e-Value | Bitscore | VF Database Descript./ID/Source Bact. |
|---|---|---|---|---|
| C24_00250 Thermolabile hemolysin | 63.0 | 0 | 571 | (tlh) thermolabile hemolysin TLH (VF0610) Vibrio cholerae O1 biovar El Tor str. N16961 |
| C24_04078 Aerolysin gene (aerA_2) | 53.4 | 0 | 533 | (aerA/act) Aerolysin A (VF0481) Aeromonas hydrophila ML09-119 |
| C24_02991 Aerolysin gene (aerA_1) | 43.2 | 1.03E-148 | 431 | (aerA/act) Aerolysin A (VF0481) Aeromonas hydrophila ML09-119 |
| Antibiotic Discs | Abbreviation | Content (μg) | Diameters of Inhibition Zone (mm) | Susceptibility |
|---|---|---|---|---|
| Ampicillin | (AMP) | 10 | 10 | R |
| Amoxicillin/clavulanic acid | (AMC) | 30 | 18 | S |
| Tetracycline | (TET) | 30 | 25 | S |
| Chloramphenicol | (CHL) | 30 | 27 | S |
| Streptomycin | (ST) | 10 | 0 | R |
| Gentamicin | (CN) | 10 | 18 | S |
| Kanamycin | (K) | 30 | 13 | R |
| Nalidixic acid | (NA) | 30 | 22 | S |
| Ciprofloxacin | (CIP) | 5 | 30 | S |
| Imipenem | (IPM) | 10 | 25 | S |
| Trimethoprim/Sulfamethoxazole | (SXT) | 25 | 28 | S |
| Cefotaxime | (CTX) | 30 | 28 | S |
| Tilmicosin | (TIL) | 15 | 10 | R |
| Levofloxacin | (LEVO) | 5 | 33 | S |
| Groups | Days Post-Challenge | Total No. of Challenged Fish | Total No. of Dead Fish | Mortality (%) | |||||
|---|---|---|---|---|---|---|---|---|---|
| 1st | 2nd | 3rd | 4th | 5th–20th | |||||
| Group 1 | Control (PBS) | 0 | 0 | 0 | 0 | 0 | 90 | 0 | 0 |
| Group 2 | 1 × 105 CFU/mL | 2 | 2 | 0 | 0 | 0 | 90 | 4 | 4.4 |
| Group 3 | 1 × 106 CFU/mL | 6 | 5 | 3 | 2 | 0 | 90 | 16 | 17.8 |
| Group 4 | 1 × 107 CFU/mL | 15 | 9 | 6 | 1 | 0 | 90 | 31 | 34.4 |
| Group 5 | 1 × 108 CFU/mL | 32 | 10 | 2 | 2 | 2 | 90 | 48 | 53.3 |
| Group 6 | 1 × 109 CFU/mL | 55 | 19 | 13 | 2 | 1 | 90 | 90 | 100 |
Disclaimer/Publisher’s Note: The statements, opinions and data contained in all publications are solely those of the individual author(s) and contributor(s) and not of MDPI and/or the editor(s). MDPI and/or the editor(s) disclaim responsibility for any injury to people or property resulting from any ideas, methods, instructions or products referred to in the content. |
© 2023 by the authors. Licensee MDPI, Basel, Switzerland. This article is an open access article distributed under the terms and conditions of the Creative Commons Attribution (CC BY) license (https://creativecommons.org/licenses/by/4.0/).
Share and Cite
Yilmaz, S.; Karataş, S.; Steinum, T.M.; Gürkan, M.; Yilmaz, D.K.; Abdel-Latif, H.M.R. Isolation, Identification, and Pathogenicity of Vibrio gigantis Retrieved from European Seabass (Dicentrarchus labrax) Farmed in Türkiye. Animals 2023, 13, 3580. https://doi.org/10.3390/ani13223580
Yilmaz S, Karataş S, Steinum TM, Gürkan M, Yilmaz DK, Abdel-Latif HMR. Isolation, Identification, and Pathogenicity of Vibrio gigantis Retrieved from European Seabass (Dicentrarchus labrax) Farmed in Türkiye. Animals. 2023; 13(22):3580. https://doi.org/10.3390/ani13223580
Chicago/Turabian StyleYilmaz, Sevdan, Süheyla Karataş, Terje Marken Steinum, Mert Gürkan, Dilek Kahraman Yilmaz, and Hany M. R. Abdel-Latif. 2023. "Isolation, Identification, and Pathogenicity of Vibrio gigantis Retrieved from European Seabass (Dicentrarchus labrax) Farmed in Türkiye" Animals 13, no. 22: 3580. https://doi.org/10.3390/ani13223580
APA StyleYilmaz, S., Karataş, S., Steinum, T. M., Gürkan, M., Yilmaz, D. K., & Abdel-Latif, H. M. R. (2023). Isolation, Identification, and Pathogenicity of Vibrio gigantis Retrieved from European Seabass (Dicentrarchus labrax) Farmed in Türkiye. Animals, 13(22), 3580. https://doi.org/10.3390/ani13223580

