The Infection Properties of Trionyx sinensis Hemorrhagic Syndrome Virus and the Antiviral Effect of Curcumin In Vivo
Abstract
Simple Summary
Abstract
1. Introduction
2. Materials and Methods
2.1. Animals and Virus Sample Preparation
2.2. Electron Microscopic Observation of TSHSV
2.3. Pathogenic Characteristics of TSHSV
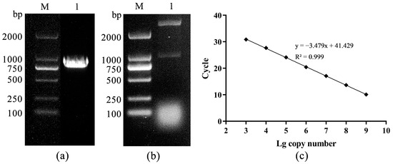
2.4. Absolute Quantification and Tissue Distribution Characteristics of TSHSV
2.5. Comparison of the Protective Effects of Three Chinese Medicines
2.6. Protective Effects of Curcumin at Different Concentrations
2.7. Anti-TSHSV and Immunoregulatory Effect of Curcumin
2.8. Data Statistics and Analysis
3. Results
3.1. The Cytopathic Effect Caused by TSHSV Infection
3.2. Histopathology of Turtles Infected with TSHSV
3.3. The LD50 of TSHSV
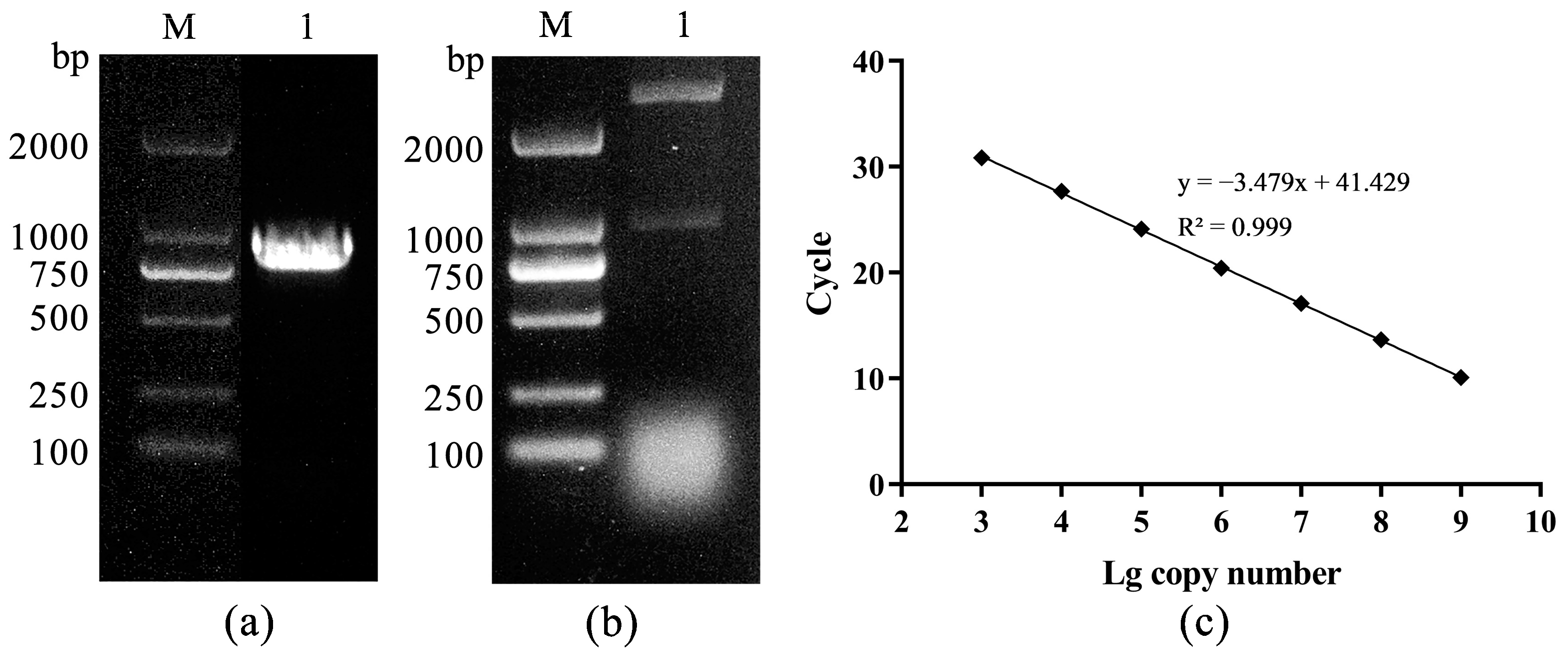
3.4. Absolute Quantification of TSHSV
3.5. Anti-TSHSV Effects of the Three Drugs
3.6. Inhibitory Effect of Curcumin on TSHSV
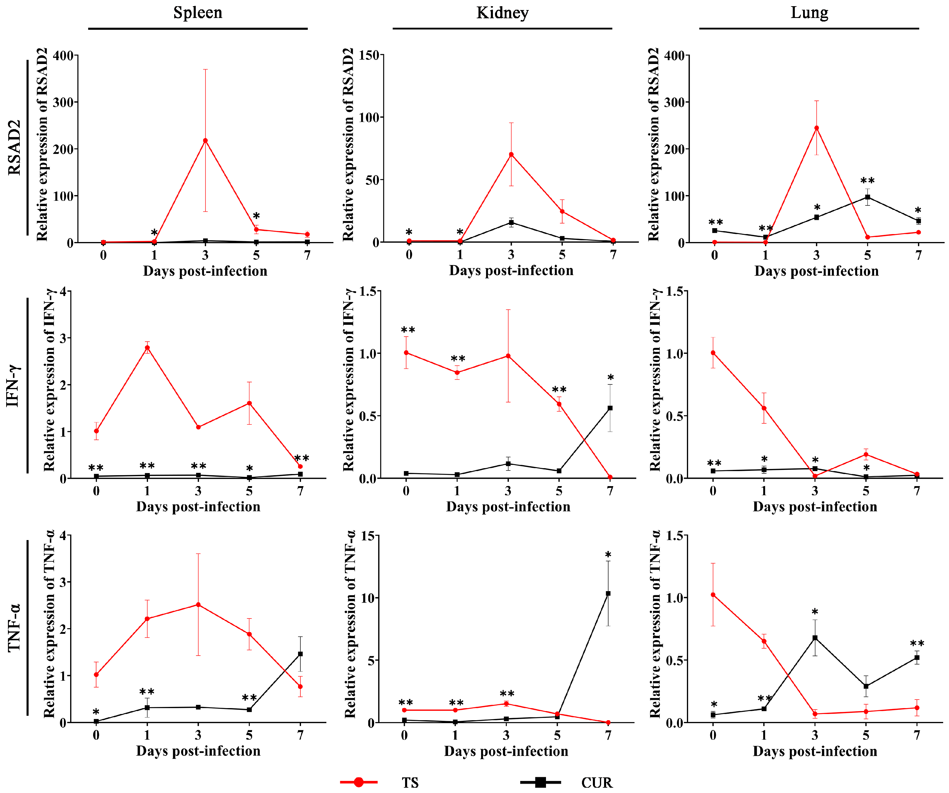
3.7. Effect of Curcumin on the Expression of Immune-Related Genes
4. Discussion
4.1. Pathogenic Characteristics of TSHSV
4.2. Antiviral Effect of Curcumin
4.3. Regulation of Immune-Related Genes by Curcumin
5. Conclusions
Author Contributions
Funding
Institutional Review Board Statement
Informed Consent Statement
Data Availability Statement
Conflicts of Interest
References
- Liu, L.; Cao, Z.; Lin, F.; Ye, X.P.; Xu, Y. Partial Sequence of a Novel Virus Isolated from Pelodiscus sinensis Hemorrhagic Disease. Intervirology 2015, 58, 197–204. [Google Scholar] [CrossRef] [PubMed]
- Lyu, S.; Yuan, X.; Zhang, H.; Shi, W.; Hang, X.; Liu, L.; Cao, Z.; Wu, Y. Complete genome sequence and analysis of a new lethal arterivirus, Trionyx sinensis hemorrhagic syndrome virus (TSHSV), amplified from an infected Chinese softshell turtle. Arch. Virol. 2019, 164, 2593–2597. [Google Scholar] [CrossRef] [PubMed]
- Liu, L.; Cao, Z.; Lin, F.; Ye, X.; Lu, S.; Lyv, S. The Histopathological Characteristics Caused by Trionyx sinensis Hemorrhagic Syndrome Virus (TSHSV) and Comparative Proteomic Analysis of Liver Tissue in TSHSV-Infected Chinese Soft-Shelled Turtles (Pelodiscus sinensis). Intervirology 2017, 60, 19–27. [Google Scholar] [CrossRef] [PubMed]
- Lyu, S.; Yuan, X.; Zhang, H.; Hang, X.; Li, Y.; Shi, W.; Liu, L.; Yu, Z.; Wu, Y. Transcriptome profiling analysis of lung tissue of Chinese soft-shell turtle infected by Trionyx sinensis Hemorrhagic Syndrome Virus. Fish Shellfish Immunol. 2020, 98, 653–660. [Google Scholar] [CrossRef] [PubMed]
- Lyu, S.; Yuan, X.; Liu, L.; Zhang, H.; Yu, Z.; Hang, X.; Shi, W.; Wu, Y. Application of a recombinant replicase to localize the Trionyx sinensis hemorrhagic syndrome virus and evaluate its effects on antiviral genes of T. sinensis. J. Zhejiang Univ. Sci. B 2021, 22, 295–304. [Google Scholar] [CrossRef] [PubMed]
- Elumalai, P.; Kurian, A.; Lakshmi, S.; Faggio, C.; Esteban, M.A.; Ringø, E. Herbal Immunomodulators in Aquaculture. Rev. Fish. Sci. Aquac. 2020, 29, 33–57. [Google Scholar] [CrossRef]
- Rai, M.; Ingle, A.P.; Pandit, R.; Paralikar, P.; Anasane, N.; Santos, C.A.D. Curcumin and curcumin-loaded nanoparticles: Antipathogenic and antiparasitic activities. Expert Rev. Anti-Infect. Ther. 2020, 18, 367–379. [Google Scholar] [CrossRef]
- Mahmoud, H.K.; Al-Sagheer, A.A.; Reda, F.M.; Mahgoub, S.A.; Ayyat, M.S. Dietary curcumin supplement influence on growth, immunity, antioxidant status, and resistance to Aeromonas hydrophila in Oreochromis niloticus. Aquaculture 2017, 475, 16–23. [Google Scholar] [CrossRef]
- Ganeva, V.O.; Korytář, T.; Pecková, H.; McGurk, C.; Mullins, J.; Yanes-Roca, C.; Gela, D.; Lepič, P.; Policar, T.; Holzer, A.S. Natural Feed Additives Modulate Immunity and Mitigate Infection with Sphaerospora molnari (Myxozoa:Cnidaria) in Common Carp: A Pilot Study. Pathogens 2020, 9, 1013. [Google Scholar] [CrossRef]
- Baldissera, M.D.; Souza, C.F.; Zeppenfeld, C.C.; Descovi, S.; Machado, V.S.; Santos, R.C.V.; Baldisserotto, B. Efficacy of dietary curcumin supplementation as bactericidal for silver catfish against Streptococcus agalactiae. Microb. Pathog. 2018, 116, 237–240. [Google Scholar] [CrossRef]
- He, K.; Luo, X.; Wen, M.; Wang, C.; Qin, C.; Shao, J.; Gan, L.; Dong, R.; Jiang, H. Effect of acute ammonia toxicity on inflammation, oxidative stress and apoptosis in head kidney macrophage of Pelteobagrus fulvidraco and the alleviation of curcumin. Comp. Biochem. Physiol. 2021, 248, 109098. [Google Scholar] [CrossRef] [PubMed]
- Si, X.N.; Wang, Y.H.; Wong, J.; Zhang, J.C.; McManus, B.M.; Luo, H.L. Dysregulation of the Ubiquitin-Proteasome System by Curcumin Suppresses Coxsackievirus B3 Replication. J. Virol. 2007, 81, 3142–3150. [Google Scholar] [CrossRef] [PubMed]
- Kim, K.; Kim, K.H.; Kim, H.Y.; Cho, H.K.; Sakamoto, N.; Cheong, J. Curcumin inhibits hepatitis C virus replication via suppressing the Akt-SREBP-1 pathway. FEBS Lett. 2010, 584, 707–712. [Google Scholar] [CrossRef] [PubMed]
- Šudomová, M.; Hassan, S.T.S. Nutraceutical Curcumin with Promising Protection against Herpesvirus Infections and Their Associated Inflammation: Mechanisms and Pathways. Microorganisms 2021, 9, 292. [Google Scholar] [CrossRef]
- Du, T.F.; Shi, Y.P.; Xiao, S.Q.; Li, N.; Zhao, Q.; Zhang, A.K.; Nan, Y.C.; Mu, Y.; Sun, Y.N.; Wu, C.Y.; et al. Curcumin is a promising inhibitor of genotype 2 porcine reproductive and respiratory syndrome virus infection. BMC Vet. Res. 2017, 13, 298. [Google Scholar] [CrossRef] [PubMed]
- Jeong, E.H.; Vaidya, B.; Cho, S.Y.; Park, M.A.; Kaewintajuk, K.; Kim, S.R.; Oh, M.J.; Choi, J.S.; Kwon, J.; Kim, D. Identification of regulators of the early stage of viral hemorrhagic septicemia virus infection during curcumin treatment. Fish Shellfish Immunol. 2015, 45, 184–193. [Google Scholar] [CrossRef]
- Wang, Y.; Xu, S.; Han, C.; Huang, Y.; Wei, J.; Wei, S.; Qin, Q. Modulatory effects of curcumin on Singapore grouper iridovirus infection-associated apoptosis and autophagy in vitro. Fish Shellfish Immunol. 2022, 131, 84–94. [Google Scholar] [CrossRef]
- Li, X.; Zeng, L.; Zhang, Y.; He, L.; Xu, Y. Report on in vitro Culture of Cell Lines Derived from Different Tissues of Chinese Soft-shelled turtle, Troinyx sinesis. J. Hydrol. 2010, 31, 111–115. [Google Scholar] [CrossRef]
- Shi, H.; Yu, Y.; Lin, D.; Zheng, P.; Zhang, P.; Hu, M.; Wang, Q.; Pan, W.; Yang, X.; Hu, T.; et al. β-glucan attenuates cognitive impairment via the gut-brain axis in diet-induced obese mice. Microbiome 2020, 8, 143. [Google Scholar] [CrossRef]
- Reed, L.J.; Muench, H. A simple method of estimating fifty percent endpoints. Am. J. Epidemiol. 1938, 27, 493–497. [Google Scholar] [CrossRef]
- Cheng, X.X.; Yang, Q.Y.; Qi, Y.L.; Liu, Z.Z.; Liu, D.; He, S.; Yang, L.H.; Xie, J. Apoptosis of mesenchymal stem cells is regulated by Rspo1 via the Wnt/β-catenin signaling pathway. Chronic Dis. Transl. Med. 2019, 5, 53–63. [Google Scholar] [CrossRef] [PubMed]
- Aros, C.J. Indirect Immunofluorescence of Tissue Sections. Methods Mol. Biol. 2022, 2386, 17–26. [Google Scholar] [CrossRef] [PubMed]
- Livak, K.J.; Schmittgen, T.D. Analysis of relative gene expression data using real-time quantitative PCR and the 2(-Delta Delta C(T)) Method. Methods 2001, 25, 402–408. [Google Scholar] [CrossRef] [PubMed]
- Brehm, K.E.; Ferris, N.P.; Lenk, M.; Riebe, R.; Haas, B. Highly sensitive fetal goat tongue cell line for detection and isolation of foot-and-mouth disease virus. J. Clin. Microbiol. 2009, 47, 3156–3160. [Google Scholar] [CrossRef] [PubMed][Green Version]
- Zeng, W.; Wang, Q.; Wang, Y.; Zhao, C.; Li, Y.; Shi, C.; Wu, S.; Song, X.; Huang, Q.; Li, S. Immunogenicity of a cell culture-derived inactivated vaccine against a common virulent isolate of grass carp reovirus. Fish Shellfish Immunol. 2016, 54, 473–480. [Google Scholar] [CrossRef] [PubMed]
- Gromowski, G.D.; Firestone, C.Y.; Bustos-Arriaga, J.; Whitehead, S.S. Genetic and phenotypic properties of vero cell-adapted Japanese encephalitis virus SA14-14-2 vaccine strain variants and a recombinant clone, which demonstrates attenuation and immunogenicity in mice. Am. J. Trop. Med. Hyg. 2015, 92, 98–107. [Google Scholar] [CrossRef] [PubMed][Green Version]
- Meng, X.Y.; Wang, Z.H.; Yu, X.D.; Zhang, Q.Y.; Ke, F. Development and characterization of a skin cell line from Chinese perch (Siniperca chuatsi) and its application in aquatic animal viruses. J. Fish Dis. 2022, 45, 1439–1449. [Google Scholar] [CrossRef] [PubMed]
- Li, B.; Zheng, S.; Wang, Y.; Wang, Q.; Li, Y.; Yin, J.; Ren, Y.; Shi, C.; Zhao, Z.; Jiang, Z.; et al. Susceptibilities of ten fish cell lines to infection with Tilapia lake virus. Microb. Pathog. 2022, 166, 105510. [Google Scholar] [CrossRef]
- Chen, Z.X.; Zheng, J.C.; Jiang, Y.L. A new iridovirus isolated from soft-shelled turtle. J. Liposome Res. 1999, 63, 147–151. [Google Scholar] [CrossRef]
- You, X.; Su, Y.; Mao, Y.; Liu, M.; Wang, J.; Zhang, M.; Wu, C. Effect of high water temperature on mortality, immune response and viral replication of WSSV-infected Marsupenaeus japonicus juveniles and adults. Aquaculture 2010, 305, 133–137. [Google Scholar] [CrossRef]
- Wang, Y.; Xu, S.; Han, C.; Wang, L.; Zheng, Q.; Wang, S.; Huang, Y.; Wei, S.; Qin, Q. Curcumin inhibits Singapore grouper iridovirus infection through multiple antiviral mechanisms. Aquaculture 2023, 562, 738870. [Google Scholar] [CrossRef]
- Ghaemi, A.; Soleimanjahi, H.; Gill, P.; Arefian, E.; Soudi, S.; Hassan, Z. Echinacea purpurea polysaccharide reduces the latency rate in herpes simplex virus type-1 infections. Intervirology 2009, 52, 29–34. [Google Scholar] [CrossRef] [PubMed]
- Hu, Y.; Chen, W.; Shen, Y.; Zhu, B.; Wang, G.X. Synthesis and antiviral activity of coumarin derivatives against infectious hematopoietic necrosis virus. Bioorg. Med. Chem. Lett. 2019, 29, 1749–1755. [Google Scholar] [CrossRef] [PubMed]
- Lee, J.C.; Kinniry, P.A.; Arguiri, E.; Serota, M.; Kanterakis, S.; Chatterjee, S.; Solomides, C.C.; Javvadi, P.; Koumenis, C.; Cengel, K.A.; et al. Dietary curcumin increases antioxidant defenses in lung, ameliorates radiation-induced pulmonary fibrosis, and improves survival in mice. Radiat. Res. 2010, 173, 590–601. [Google Scholar] [CrossRef] [PubMed]
- Literat, A.; Su, F.; Norwicki, M.; Durand, M.; Ramanathan, R.; Jones, C.A.; Minoo, P.; Kwong, K.Y. Regulation of pro-inflammatory cytokine expression by curcumin in hyaline membrane disease (HMD). Life Sci. 2001, 70, 253–267. [Google Scholar] [CrossRef] [PubMed]
- Anand, P.; Kunnumakkara, A.B.; Newman, R.A.; Aggarwal, B.B. Bioavailability of curcumin: Problems and promises. Mol. Pharm. 2007, 4, 807–818. [Google Scholar] [CrossRef] [PubMed]
- Attaluri, S.; Arora, M.; Madhu, L.N.; Kodali, M.; Shuai, B.; Melissari, L.; Upadhya, R.; Rao, X.; Bates, A.; Mitra, E.; et al. Oral Nano-Curcumin in a Model of Chronic Gulf War Illness Alleviates Brain Dysfunction with Modulation of Oxidative Stress, Mitochondrial Function, Neuroinflammation, Neurogenesis, and Gene Expression. Aging Dis. 2022, 13, 583–613. [Google Scholar] [CrossRef]
- Hu, Y.; Shan, L.; Liu, H.; Liu, L.; Chen, J. Highly efficient inhibition of infectious hematopoietic necrosis virus replication mediated by a novel synthesized coumarin derivative in vitro and in vivo. Aquaculture 2021, 545, 737281. [Google Scholar] [CrossRef]
- Obeid, M.A.; Alsaadi, M.; Aljabali, A.A. Recent updates in curcumin delivery. J. Liposome Res. 2022, 33, 53–64. [Google Scholar] [CrossRef]
- Naiel, M.A.E.; Abd El-hameed, S.A.A.; Arisha, A.H.; Negm, S.S. Gum Arabic-enriched diet modulates growth, antioxidant defenses, innate immune response, intestinal microbiota and immune related genes expression in tilapia fish. Aquaculture 2022, 556, 738249. [Google Scholar] [CrossRef]
- Upadhyay, A.S.; Stehling, O.; Panayiotou, C.; Rösser, R.; Lill, R.; Överby, A.K. Cellular requirements for iron-sulfur cluster insertion into the antiviral radical SAM protein viperin. J. Biol. Chem. 2017, 292, 13879–13889. [Google Scholar] [CrossRef] [PubMed]
- Lee, A.J.; Ashkar, A.A. The Dual Nature of Type I and Type II Interferons. Front. Immunol. 2018, 9, 2061. [Google Scholar] [CrossRef] [PubMed]
- Rhein, B.A.; Powers, L.S.; Rogers, K.; Anantpadma, M.; Singh, B.K.; Sakurai, Y.; Bair, T.; Miller-Hunt, C.; Sinn, P.; Davey, R.A.; et al. Interferon-γ Inhibits Ebola Virus Infection. PLoS Pathog. 2015, 11, e1005263. [Google Scholar] [CrossRef] [PubMed]
- Mao, R.; Zhang, J.; Jiang, D.; Cai, D.; Levy, J.M.; Cuconati, A.; Block, T.M.; Guo, J.T.; Guo, H. Indoleamine 2,3-dioxygenase mediates the antiviral effect of gamma interferon against hepatitis B virus in human hepatocyte-derived cells. J. Virol. 2011, 85, 1048–1057. [Google Scholar] [CrossRef]
- Prestwood, T.R.; Morar, M.M.; Zellweger, R.M.; Miller, R.; May, M.M.; Yauch, L.E.; Lada, S.M.; Shresta, S. Gamma interferon (IFN-γ) receptor restricts systemic dengue virus replication and prevents paralysis in IFN-α/β receptor-deficient mice. J. Virol. 2012, 86, 12561–12570. [Google Scholar] [CrossRef] [PubMed]
- Afrin, R.; Arumugam, S.; Rahman, A.; Wahed, M.I.; Karuppagounder, V.; Harima, M.; Suzuki, H.; Miyashita, S.; Suzuki, K.; Yoneyama, H.; et al. Curcumin ameliorates liver damage and progression of NASH in NASH-HCC mouse model possibly by modulating HMGB1-NF-κB translocation. Int. Immunopharmacol. 2017, 44, 174–182. [Google Scholar] [CrossRef]
- Khan, S.; Shin, E.M.; Choi, R.J.; Jung, Y.H.; Kim, J.; Tosun, A.; Kim, Y.S. Suppression of LPS-induced inflammatory and NF-κB responses by anomalin in RAW 264.7 macrophages. J. Cell. Biochem. 2011, 112, 2179–2188. [Google Scholar] [CrossRef]
- Leya, T.; Dar, S.A.; Kumar, G.; Ahmad, I. Curcumin supplement diet: Enhanced growth and down-regulated expression of pro-inflammatory cytokines in Labeo rohita fingerlings. Aquac. Res. 2020, 51, 4785–4792. [Google Scholar] [CrossRef]
- Li, M.; Kong, Y.; Wu, X.; Guo, G.; Sun, L.; Lai, Y.; Zhang, J.; Niu, X.; Wang, G. Effects of dietary curcumin on growth performance, lipopolysaccharide-induced immune responses, oxidative stress and cell apoptosis in snakehead fish (Channa argus). Aquac. Rep. 2022, 22, 100981. [Google Scholar] [CrossRef]
- Schwarz, K.; Dobiasch, S.; Nguyen, L.; Schilling, D.; Combs, S.E. Modification of radiosensitivity by Curcumin in human pancreatic cancer cell lines. Sci. Rep. 2020, 10, 3815. [Google Scholar] [CrossRef]

: Hemocyte infiltration,
: inflammatory cell infiltration, ➤: pyknotic nuclei and cytoplasmic vacuolation,
: dotted necrosis and bridging necrosis between cells. (c) The normal spleen. (d) Atrophy and necrosis in the lymph nodes. (e) The normal liver. (f)
:Pyknotic nuclei, nuclear fragmentation, and karyolytic nuclei,
: tubules were filled with blood cells and tubules atrophied, ➤: apoptosis forms vacuoles in the glomerulus. (g) The normal lung. (h)
: Necrotic and disintegrated alveolar cells, ➤: disintegrated elastic fibers in alveolar walls.
: Hemocyte infiltration,
: inflammatory cell infiltration, ➤: pyknotic nuclei and cytoplasmic vacuolation,
: dotted necrosis and bridging necrosis between cells. (c) The normal spleen. (d) Atrophy and necrosis in the lymph nodes. (e) The normal liver. (f)
:Pyknotic nuclei, nuclear fragmentation, and karyolytic nuclei,
: tubules were filled with blood cells and tubules atrophied, ➤: apoptosis forms vacuoles in the glomerulus. (g) The normal lung. (h)
: Necrotic and disintegrated alveolar cells, ➤: disintegrated elastic fibers in alveolar walls.





| Primers | Sequence (5′–3′) | Annealing/°C | Product Length/bp |
|---|---|---|---|
| F1 | TCCATCAAGGCTCGTCATGT | 60 | 191 |
| R1 | AAGCAGTAGCCATCTCCTGG | ||
| F2 | CGGATGATTTTTGGGTACAGATC | 58 | 927 |
| R2 | TCAGGGGTTTCCAGATCGG |
| Primers | Sequence (5′–3′) |
|---|---|
| 18S rRNA-F | AAAGGAATTGACGGAAGGGCAC |
| 18S rRNA-R | GCTCCACCAACTAAGAACGG |
| RSAD2-F | AGGTATTCCAGTGCCTGCTAAT |
| RSAD2-R | TCCGTCCATGTCTACAGTTCAG |
| IFN-γ-F | CTACTACTCTATCCTGCTCAG |
| IFN-γ-R | GCTTACCTCTGTCCAACTC |
| TNF-α-F | CCATCATCCTCCATCCTTG |
| TNF-α-R | ACGGTCAGTGTGATATGTG |
| Dilutability | Results of Observation | Results of Statistics | ||||
|---|---|---|---|---|---|---|
| Death | Survival | Mortality | Death | Survival | Mortality | |
| 100 | 25 | 5 | 83.3% | 77 | 5 | 93.9% |
| 10−1 | 18 | 12 | 60.0% | 52 | 17 | 75.4% |
| 10−2 | 17 | 13 | 56.7% | 34 | 30 | 53.1% |
| 10−3 | 11 | 19 | 36.7% | 17 | 49 | 25.8% |
| 10−4 | 6 | 24 | 20.0% | 6 | 73 | 7.6% |
Disclaimer/Publisher’s Note: The statements, opinions and data contained in all publications are solely those of the individual author(s) and contributor(s) and not of MDPI and/or the editor(s). MDPI and/or the editor(s) disclaim responsibility for any injury to people or property resulting from any ideas, methods, instructions or products referred to in the content. |
© 2023 by the authors. Licensee MDPI, Basel, Switzerland. This article is an open access article distributed under the terms and conditions of the Creative Commons Attribution (CC BY) license (https://creativecommons.org/licenses/by/4.0/).
Share and Cite
Jiao, J.; Yao, J.; Lin, F.; Yuan, X.; Huang, L.; Chen, J.; Peng, X.; Zhang, H.; Su, S. The Infection Properties of Trionyx sinensis Hemorrhagic Syndrome Virus and the Antiviral Effect of Curcumin In Vivo. Animals 2023, 13, 3665. https://doi.org/10.3390/ani13233665
Jiao J, Yao J, Lin F, Yuan X, Huang L, Chen J, Peng X, Zhang H, Su S. The Infection Properties of Trionyx sinensis Hemorrhagic Syndrome Virus and the Antiviral Effect of Curcumin In Vivo. Animals. 2023; 13(23):3665. https://doi.org/10.3390/ani13233665
Chicago/Turabian StyleJiao, Jinbiao, Jiayun Yao, Feng Lin, Xuemei Yuan, Lei Huang, Jing Chen, Xianqi Peng, Haiqi Zhang, and Shengqi Su. 2023. "The Infection Properties of Trionyx sinensis Hemorrhagic Syndrome Virus and the Antiviral Effect of Curcumin In Vivo" Animals 13, no. 23: 3665. https://doi.org/10.3390/ani13233665
APA StyleJiao, J., Yao, J., Lin, F., Yuan, X., Huang, L., Chen, J., Peng, X., Zhang, H., & Su, S. (2023). The Infection Properties of Trionyx sinensis Hemorrhagic Syndrome Virus and the Antiviral Effect of Curcumin In Vivo. Animals, 13(23), 3665. https://doi.org/10.3390/ani13233665

