In Vitro Analysis of Matched Isolates from Localized and Disseminated Gonococcal Infections Suggests That Opa Expression Impacts Clinical Outcome
Abstract
1. Introduction
2. Results
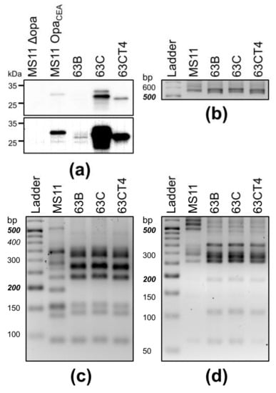
2.1. Isogenicity Characterization of Disseminated and Localized Gonococcal Isolates from the Same Patient
2.2. Disseminated Isolates Transmigrate across Polarized Epithelial Monolayers More Efficiently Than Localized Isolates
2.3. Disseminated Isolates Aggregate Less Than Localized Isolates
2.4. Isoforms of LOS and Opa Expressed by Localized and Disseminated Isolates
2.5. Transmigrated GC Have Enhanced Transmigration and Reduced Aggregation Ability
2.6. LOS and Opa Isoforms Expressed by the Transmigration-Enhanced Cervical Isolate
2.7. Loss of CEACAM-Binding Opa Expression Impacts Dissemination
3. Discussion
4. Materials and Methods
4.1. Bacteria Strains
4.2. Epithelial Cells
4.3. Multilocus Sequence Typing
4.4. Adherence, Invasion and Transmigration Assay
4.5. Transmigration-Enhanced Cervical Isolate
4.6. Opa Genotyping
4.7. LOS Purification
4.8. Silver Stain
4.9. Immunoblotting
4.10. Aggregation Analysis
4.11. Immunofluorescence Analysis of Polarized Epithelial Cells
4.12. Statistical Analysis
Supplementary Materials
Author Contributions
Funding
Institutional Review Board Statement
Informed Consent Statement
Data Availability Statement
Acknowledgments
Conflicts of Interest
References
- CDC. Gonorrhea–CDC Fact Sheet (Detailed Version). Available online: http://www.cdc.gov/std/gonorrhea/STDFact-gonorrhea-detailed.htm (accessed on 5 October 2017).
- Heijer, C.D.J.D.; Hoebe, C.J.P.A.; Van Liere, G.A.F.S.; Van Bergen, J.E.A.M.; Cals, J.W.L.; Stals, F.S.; Dukers-Muijrers, N.H.T.M. A comprehensive overview of urogenital, anorectal and oropharyngeal Neisseria gonorrhoeae testing and diagnoses among different STI care providers: A cross-sectional study. BMC Infect. Dis. 2017, 17, 290. [Google Scholar] [CrossRef] [PubMed]
- Hein, K.; Marks, A.; Cohen, M.I. Asymptomatic gonorrhea: Prevalence in apopulation of urban adolescents. J. Pediatr. 1977, 90, 634–635. [Google Scholar] [CrossRef]
- Hananta, I.P.Y.; van Dam, A.P.; Bruisten, S.M.; van der Loeff, M.F.S.; Soebono, H.; de Vries, H.J.C. Gonorrhea in Indonesia: High Prevalence of Asymptomatic Urogenital Gonorrhea but No Circulating Extended Spectrum Cephalosporins-Resistant Neisseria gonorrhoeae Strains in Jakarta, Yogyakarta, and Denpasar, Indonesia. Sex. Transm. Dis. 2016, 43, 608–616. [Google Scholar] [CrossRef] [PubMed]
- Mayor, M.T.; Roett, M.; A Uduhiri, K. Diagnosis and management of gonococcal infections. Am. Fam. Physician 2012, 86, 931–938. [Google Scholar] [PubMed]
- Alirol, E.; Wi, T.E.; Bala, M.; Bazzo, M.L.; Chen, X.-S.; Deal, C.; Dillon, J.-A.R.; Kularatne, R.; Heim, J.; van Huijsduijnen, R.H.; et al. Multidrug-resistant gonorrhea: A research and development roadmap to discover new medicines. PLoS Med. 2017, 14, e1002366. [Google Scholar] [CrossRef] [PubMed]
- Lahra, M.M.; Martin, I.; Demczuk, W.; Jennison, A.V.; Lee, K.; Nakayama, S.-I.; Lefebvre, B.; Longtin, J.; Ward, A.; Mulvey, M.R.; et al. Cooperative Recognition of Internationally Disseminated Ceftriaxone-Resistant Neisseriagonorrhoeae Strain. Emerg. Infect. Dis. 2018, 24, 735–740. [Google Scholar] [CrossRef]
- Wi, T.; Lahra, M.M.; Ndowa, F.; Bala, M.; Dillon, J.-A.R.; Ramon-Pardo, P.; Eremin, S.R.; Bolan, G.; Unemo, M. Antimicrobial resistance in Neisseria gonorrhoeae: Global surveillance and a call for international collaborative action. PLoS Med. 2017, 14, e1002344. [Google Scholar] [CrossRef]
- Hsieh, Y.-H.; Kuo, M.-J.; Hsieh, T.-C.; Lee, H.-C. Underreporting and underestimation of gonorrhea cases in the Taiwan National Gonorrhea Notifiable Disease System in the Tainan region: Evaluation by a pilot physician-based sentinel surveillance on Neisseria gonorrhoeae infection. Int. J. Infect. Dis. 2009, 13, e413–e419. [Google Scholar] [CrossRef][Green Version]
- Unemo, M.; Seifert, H.S.; Hook, E.W.; Hawkes, S.; Ndowa, F.; Dillon, J.-A.R. Gonorrhoea. Nat. Rev. Dis. Prim. 2019, 5, 79. [Google Scholar] [CrossRef]
- Rudel, T.; van Putten, J.; Gibbs, C.P.; Haas, R.; Meyer, T.F. Interaction of two variable proteins (PilE and PilC) required for pilus-mediated adherence of Neisseria gonorrhoeae to human epithelial cells. Mol. Microbiol. 1992, 6, 3439–3450. [Google Scholar] [CrossRef]
- Swanson, J. Studies on gonococcus infection: IV. Pili: Their role in attachment of gonococci to tissue culture cells. J. Exp. Med. 1973, 137, 571–589. [Google Scholar] [CrossRef]
- Sadarangani, M.; Pollard, A.J.; Gray-Owen, S.D. Opa proteins and CEACAMs: Pathways of immune engagement for pathogenicNeisseria. FEMS Microbiol. Rev. 2011, 35, 498–514. [Google Scholar] [CrossRef]
- Stein, D.C.; LeVan, A.; Hardy, B.; Wang, L.-C.; Zimmerman, L.; Song, W. Expression of Opacity Proteins Interferes with the Transmigration of Neisseria gonorrhoeae across Polarized Epithelial Cells. PLoS ONE 2015, 10, e0134342. [Google Scholar] [CrossRef] [PubMed]
- LeVan, A.; Zimmerman, L.I.; Mahle, A.C.; Swanson, K.V.; DeShong, P.; Park, J.; Edwards, V.; Song, W.; Stein, D.C. Construction and Characterization of a Derivative of Neisseria gonorrhoeae Strain MS11 Devoid of All opa Genes. J. Bacteriol. 2012, 194, 6468–6478. [Google Scholar] [CrossRef] [PubMed]
- Zöllner, R.; Oldewurtel, E.R.; Kouzel, N.; Maier, B. Phase and antigenic variation govern competition dynamics through positioning in bacterial colonies. Sci. Rep. 2017, 7, 12151. [Google Scholar] [CrossRef]
- Blake, M.S.; Blake, C.M.; A Apicella, M.; E Mandrell, R. Gonococcal opacity: Lectin-like interactions between Opa proteins and lipooligosaccharide. Infect. Immun. 1995, 63, 1434–1439. [Google Scholar] [CrossRef] [PubMed]
- Van Putten, J. Phase variation of lipopolysaccharide directs interconversion of invasive and immuno-resistant phenotypes of Neisseria gonorrhoeae. EMBO J. 1993, 12, 4043–4051. [Google Scholar] [CrossRef] [PubMed]
- Jonsson, A.-B.; Ilver, D.; Falk, P.; Pepose, J.; Normark, S. Sequence changes in the pilus subunit lead to tropism variation of Neisseria gonorrhoeae to human tissue. Mol. Microbiol. 1994, 13, 403–416. [Google Scholar] [CrossRef]
- Makino, S.; Van Putten, J.; Meyer, T.F. Phase variation of the opacity outer membrane protein controls invasion by Neisseria gonorrhoeae into human epithelial cells. EMBO J. 1991, 10, 1307–1315. [Google Scholar] [CrossRef]
- O’Brien, J.P.; Goldenberg, D.L.; A Rice, P. Disseminated gonococcal infection: A prospective analysis of 49 patients and a review of pathophysiology and immune mechanisms. Medicine 1983, 62, 395–406. [Google Scholar] [CrossRef]
- Schoolnik, G.K.; Buchanan, T.M.; Holmes, K.K. Gonococci causing disseminated gonococcal infection are resistant to the bactericidal action of normal human sera. J. Clin. Investig. 1976, 58, 1163–1173. [Google Scholar] [CrossRef] [PubMed]
- Cannon, J.G.; Buchanan, T.M.; Sparling, P.F. Confirmation of association of protein I serotype of Neisseria gonorrhoeae with ability to cause disseminated infection. Infect. Immun. 1983, 40, 816–819. [Google Scholar] [CrossRef]
- Wiesner, P.J.; Handsfield, H.H.; Holmes, K.K. Low Antibiotic Resistance of Gonococci Causing Disseminated Infection. N. Engl. J. Med. 1973, 288, 1221–1222. [Google Scholar] [CrossRef]
- Knapp, J.S.; Holmes, K.K. Disseminated Gonococcal Infections Caused by Neisseria gonorrhoeae with Unique Nutritional Requirements. J. Infect. Dis. 1975, 132, 204–208. [Google Scholar] [CrossRef]
- Yu, Q.; Wang, L.-C.; Di Benigno, S.; Gray-Owen, S.D.; Stein, D.; Song, W. Neisseria gonorrhoeae infects the heterogeneous epithelia of the human cervix using distinct mechanisms. PLoS Pathog. 2019, 15, e1008136. [Google Scholar] [CrossRef]
- Gray-Owen, S.D.; Lorenzen, D.R.; Haude, A.; Meyer, T.F.; Dehio, C. Differential Opa specificities for CD66 receptors influence tissue interactions and cellular response to Neisseria gonorrhoeae. Mol. Microbiol. 1997, 26, 971–980. [Google Scholar] [CrossRef] [PubMed]
- King, G.J.; Swanson, J. Studies on gonococcus infection. XV. Identification of surface proteins of Neisseria gonorrhoeae correlated with leukocyte association. Infect. Immun. 1978, 21, 575–584. [Google Scholar] [CrossRef] [PubMed]
- Martin, D.; Turgeon, P.L.; Mathieu, L.G. Approximate Molecular Weight of Envelope Protein 1 and Colony Opacity of Neisseria gonorrhoeae Strains Isolated from Patients with Disseminated or Localized Infection. Sex. Transm. Dis. 1986, 13, 71–74. [Google Scholar] [CrossRef] [PubMed]
- Draper, D.L.; James, J.F.; Brooks, G.F.; Sweet, R.L. Comparison of Virulence Markers of Peritoneal and Fallopian Tube Isolates with Endocervical Neisseria gonorrhoeae Isolates from Women with Acute Salpingitis. Infect. Immun. 1980, 27, 882–888. [Google Scholar] [CrossRef] [PubMed]
- Jerse, A.E.; Cohen, M.S.; Drown, P.M.; Whicker, L.G.; Isbey, S.F.; Seifert, H.S.; Cannon, J.G. Multiple gonococcal opacity proteins are expressed during experimental urethral infection in the male. J. Exp. Med. 1994, 179, 911–920. [Google Scholar] [CrossRef] [PubMed]
- Schneider, H.; Cross, A.S.; Kuschner, R.A.; Taylor, D.N.; Sadoff, J.C.; Boslego, J.W.; Deal, C.D. Experimental Human Gonococcal Urethritis: 250 Neisseria gonorrhoeae MS11mkC Are Infective. J. Infect. Dis. 1995, 172, 180–185. [Google Scholar] [CrossRef]
- Bennett, J.S.; A Jolley, K.; Sparling, P.F.; Saunders, N.J.; Hart, C.A.; Feavers, I.M.; Maiden, M.C. Species status of Neisseria gonorrhoeae: Evolutionary and epidemiological inferences from multilocus sequence typing. BMC Biol. 2007, 5, 35. [Google Scholar] [CrossRef]
- Vidovic, S.; Horsman, G.B.; Liao, M.; Dillon, J.-A.R. Influence of Conserved and Hypervariable Genetic Markers on Genotyping Circulating Strains of Neisseria gonorrhoeae. PLoS ONE 2011, 6, e28259. [Google Scholar] [CrossRef]
- Lynn, F.; Hobbs, M.M.; Zenilman, J.M.; Behets, F.M.T.F.; Van Damme, K.; Rasamindrakotroka, A.; Bash, M.C. Genetic Typing of the Porin Protein of Neisseria gonorrhoeae from Clinical Noncultured Samples for Strain Characterization and Identification of Mixed Gonococcal Infections. J. Clin. Microbiol. 2005, 43, 368–375. [Google Scholar] [CrossRef] [PubMed]
- Wang, L.-C.; Yu, Q.; Edwards, V.; Lin, B.; Qiu, J.; Turner, J.R.; Stein, D.; Song, W. Neisseria gonorrhoeae infects the human endocervix by activating non-muscle myosin II-mediated epithelial exfoliation. PLoS Pathog. 2017, 13, e1006269. [Google Scholar] [CrossRef]
- Yamasaki, R.; E Kerwood, D.; Schneider, H.; Quinn, K.P.; Griffiss, J.M.; E Mandrell, R. The structure of lipooligosaccharide produced by Neisseria gonorrhoeae, strain 15253, isolated from a patient with disseminated infection. Evidence for a new glycosylation pathway of the gonococcal lipooligosaccharide. J. Biol. Chem. 1994, 269, 30345–30351. [Google Scholar] [CrossRef]
- Minor, S.Y.; Banerjee, A.; Gotschlich, E.C.; Gopinath, R.; Hanna, L.E.; Kumaraswami, V.; Perumal, V.; Kavitha, V.; Vijayasekaran, V.; Nutman, T.B. Effect of α-Oligosaccharide Phenotype of Neisseria gonorrhoeae Strain MS11 on Invasion of Chang Conjunctival, HEC-1-B Endometrial, and ME-180 Cervical Cells. Infect. Immun. 2000, 68, 93–99. [Google Scholar] [CrossRef] [PubMed]
- O’Rourke, M.; Ison, C.A.; Renton, A.M.; Spratt, B.G. Opa-typing: A high-resolution tool for studying the epidemiology of gonorrhoea. Mol. Microbiol. 1995, 17, 865–875. [Google Scholar] [CrossRef]
- Khaki, P.; Bhalla, P.; Fayaz, A.M.; Bidhendi, S.M.; Esmailzadeh, M.; Sharma, P. Molecular Typing ofNeisseria gonorrhoeaeIsolates by Opa-Typing and Ribotyping in New Delhi, India. Int. J. Microbiol. 2009, 2009, 934823. [Google Scholar] [CrossRef]
- Dehio, C.; Gray-Owen, S.D.; Meyer, T.F. The role of neisserial Opa proteins in interactions with host cells. Trends Microbiol. 1998, 6, 489–495. [Google Scholar] [CrossRef]
- Chen, T.; Grunert, F.; Medina-Marino, A.; Gotschlich, E.C. Several Carcinoembryonic Antigens (CD66) Serve as Receptors for Gonococcal Opacity Proteins. J. Exp. Med. 1997, 185, 1557–1564. [Google Scholar] [CrossRef]
- Malorny, B.; Morelli, G.; Kusecek, B.; Kolberg, J.; Achtman, M. Sequence Diversity, Predicted Two-Dimensional Protein Structure, and Epitope Mapping of Neisserial Opa Proteins. J. Bacteriol. 1998, 180, 1323–1330. [Google Scholar] [CrossRef]
- Rodríguez-Tirado, C.; Maisey, K.; Rodríguez, F.E.; Reyes-Cerpa, S.; Reyes-López, F.E.; Imarai, M. Neisseria gonorrhoeae induced disruption of cell junction complexes in epithelial cells of the human genital tract. Microbes Infect. 2012, 14, 290–300. [Google Scholar] [CrossRef]
- CDC. Sexually Transmitted Diseases (STDs)-Sexually Transmitted Infections Prevalence, Incidence, and Cost Estimates in the United States. Available online: https://www.cdc.gov/std/statistics/prevalence-2020-at-a-glance.htm (accessed on 27 August 2021).
- Tuttle, C.S.L.; Van Dantzig, T.; Brady, S.; Ward, J.; Maguire, G. The epidemiology of gonococcal arthritis in an Indigenous Australian population. Sex. Transm. Infect. 2015, 91, 497–501. [Google Scholar] [CrossRef]
- Lambden, P.R.; Heckels, J.E.; James, L.T.; Watt, P.J. Variations in Surface Protein Composition Associated with Virulence Properties in Opacity Types of Neisseria gonorrhoeae. J. Gen. Microbiol. 1979, 114, 305–312. [Google Scholar] [CrossRef]
- James, J.F.; Swanson, J. Studies on gonococcus infection. XIII. Occurrence of color/opacity colonial variants in clinical cultures. Infect. Immun. 1978, 19, 332–340. [Google Scholar] [CrossRef] [PubMed]
- Jerse, A.E.; Rest, R.F. Adhesion and invasion by the pathogenic neisseria. Trends Microbiol. 1997, 5, 217–221. [Google Scholar] [CrossRef]
- Song, W.; Ma, L.; Chen, R.; Stein, D. Role of Lipooligosaccharide in Opa-Independent Invasion of Neisseria gonorrhoeae into Human Epithelial Cells. J. Exp. Med. 2000, 191, 949–960. [Google Scholar] [CrossRef] [PubMed]
- Parsons, N.J.; Patel, P.V.; Tan, E.L.; Andrade, J.R.; Nairn, C.A.; Goldner, M.; Cole, J.A.; Smith, H. Cytidine 5′-monophospho-N-acetyl neuraminic acid and a low molecular weight factor from human blood cells induce lipopolysaccharide alteration in gonococci when conferring resistance to killing by human serum. Microb. Pathog. 1988, 5, 303–309. [Google Scholar] [CrossRef]
- Wang, L.-C.; Litwin, M.; Sahiholnasab, Z.; Song, W.; Stein, D.C. Neisseria gonorrhoeae Aggregation Reduces Its Ceftriaxone Susceptibility. Antibiotics 2018, 7, 48. [Google Scholar] [CrossRef] [PubMed]
- Steichen, C.T.; Shao, J.Q.; Ketterer, M.R.; Apicella, M.A. Gonococcal Cervicitis: A Role for Biofilm in Pathogenesis. J. Infect. Dis. 2008, 198, 1856–1861. [Google Scholar] [CrossRef] [PubMed]
- Bilek, N.; Ison, C.A.; Spratt, B.G. Relative Contributions of Recombination and Mutation to the Diversification of the opa Gene Repertoire of Neisseria gonorrhoeae. J. Bacteriol. 2009, 191, 1878–1890. [Google Scholar] [CrossRef]
- Virji, M.; Kayhty, H.; Ferguson, D.J.P.; Alexandrescu, C.; Heckels, J.E.; Moxon, E.R. The role of pili in the interactions of pathogenic Neisseria with cultured human endothelial cells. Mol. Microbiol. 1991, 5, 1831–1841. [Google Scholar] [CrossRef] [PubMed]
- Edwards, J.L.; Apicella, M.A. I-domain-containing integrins serve as pilus receptors for Neisseria gonorrhoeae adherence to human epithelial cells. Cell. Microbiol. 2005, 7, 1197–1211. [Google Scholar] [CrossRef] [PubMed]
- Edwards, J.L.; Brown, E.J.; Uk-Nham, S.; Cannon, J.G.; Blake, M.S.; Apicella, M.A. A co-operative interaction between Neisseria gonorrhoeae and complement receptor 3 mediates infection of primary cervical epithelial cells. Cell. Microbiol. 2002, 4, 571–584. [Google Scholar] [CrossRef]
- Van Putten, J.P.; Duensing, T.D.; Carlson, J. Gonococcal Invasion of Epithelial Cells Driven by P.IA, a Bacterial Ion Channel with GTP Binding Properties. J. Exp. Med. 1998, 188, 941–952. [Google Scholar] [CrossRef]
- Rao, G.G.; Bacon, L.; Evans, J.; Dejahang, Y.; Michalczyk, P.; Donaldson, N.; Programme, O.B.O.L.C.A.G.S. Prevalence of Neisseria gonorrhoeae infection in young subjects attending community clinics in South London. Sex. Transm. Infect. 2008, 84, 117–121. [Google Scholar] [CrossRef]
- Kahn, R.H.; Mosure, D.J.; Blank, S.; Kent, C.K.; Chow, J.M.; Boudov, M.R.; Brock, J.; Tulloch, S. Chlamydia trachomatis and Neisseria gonorrhoeae Prevalence and Coinfection in Adolescents Entering Selected US Juvenile Detention Centers, 1997–2002. Sex. Transm. Dis. 2005, 32, 255–259. [Google Scholar] [CrossRef]
- Kasper, D.L.; Rice, P.A.; McCormack, W.M. Bactericidal Antibody in Genital Infection Due to Neisseria gonorrhoeae. J. Infect. Dis. 1977, 135, 243–251. [Google Scholar] [CrossRef]
- A White, L.; Kellogg, D.S. An improved fermentation medium for Neisseria gonorrhoeae and other Neisseria. Health Lab. Sci. 1965, 2, 238–241. [Google Scholar]
- Jolley, K.A.; Bray, J.E.; Maiden, M.C.J. Open-access bacterial population genomics: BIGSdb software, the PubMLST.org website and their applications. Wellcome Open Res. 2018, 3, 124. [Google Scholar] [CrossRef] [PubMed]
- Hitchcock, P.J.; Brown, T.M. Morphological heterogeneity among Salmonella lipopolysaccharide chemotypes in silver-stained polyacrylamide gels. J. Bacteriol. 1983, 154, 269–277. [Google Scholar] [CrossRef] [PubMed]
- Mortz, E.; Krogh, T.N.; Vorum, H.; Gorg, A. Improved silver staining protocols for high sensitivity protein identification using matrix-assisted laser desorption/ionization-time of flight analysis. Proteomics 2001, 1, 1359–1363. [Google Scholar] [CrossRef]







| Patient | 21 | 23 | 29 | 61 | 63 | |||||
|---|---|---|---|---|---|---|---|---|---|---|
| Locus | Blood | Cervix | Blood | Cervix | Blood | Urethra | Blood | Cervix | Blood | Cervix |
| abcZ | 129 | 129 | 200 | 200 | 126 | 126 | 126 | 126 | 128 | 128 |
| adk | 848 | 848 | 848 | 848 | 848 | 848 | * 848 | * 142 | 848 | 848 |
| gdh | 149 | 149 | 188 | 188 | 146 | 146 | * 146 | * 188 | 149 | 149 |
| pdhC | 901 | 901 | 940 | 940 | 1031 | 1031 | 901 | 901 | 153 | 153 |
| pgm | 839 | 839 | 839 | 839 | 839 | 839 | * 839 | * 981 | 65 | 65 |
| aroE | 810 | 810 | 810 | 810 | 810 | 810 | 810 | 810 | 810 | 810 |
Publisher’s Note: MDPI stays neutral with regard to jurisdictional claims in published maps and institutional affiliations. |
© 2022 by the authors. Licensee MDPI, Basel, Switzerland. This article is an open access article distributed under the terms and conditions of the Creative Commons Attribution (CC BY) license (https://creativecommons.org/licenses/by/4.0/).
Share and Cite
Wu, C.-T.; Huang, P.-W.; Lin, C.-H.; Stein, D.C.; Song, W.; Tseng, S.-P.; Wang, L.-C. In Vitro Analysis of Matched Isolates from Localized and Disseminated Gonococcal Infections Suggests That Opa Expression Impacts Clinical Outcome. Pathogens 2022, 11, 217. https://doi.org/10.3390/pathogens11020217
Wu C-T, Huang P-W, Lin C-H, Stein DC, Song W, Tseng S-P, Wang L-C. In Vitro Analysis of Matched Isolates from Localized and Disseminated Gonococcal Infections Suggests That Opa Expression Impacts Clinical Outcome. Pathogens. 2022; 11(2):217. https://doi.org/10.3390/pathogens11020217
Chicago/Turabian StyleWu, Cheng-Tai, Po-Wei Huang, Chia-Hsuan Lin, Daniel C. Stein, Wenxia Song, Sung-Pin Tseng, and Liang-Chun Wang. 2022. "In Vitro Analysis of Matched Isolates from Localized and Disseminated Gonococcal Infections Suggests That Opa Expression Impacts Clinical Outcome" Pathogens 11, no. 2: 217. https://doi.org/10.3390/pathogens11020217
APA StyleWu, C.-T., Huang, P.-W., Lin, C.-H., Stein, D. C., Song, W., Tseng, S.-P., & Wang, L.-C. (2022). In Vitro Analysis of Matched Isolates from Localized and Disseminated Gonococcal Infections Suggests That Opa Expression Impacts Clinical Outcome. Pathogens, 11(2), 217. https://doi.org/10.3390/pathogens11020217

