Development of Immunoassays for Detection of Francisella tularensis Lipopolysaccharide in Tularemia Patient Samples
Abstract
:1. Introduction
2. Results
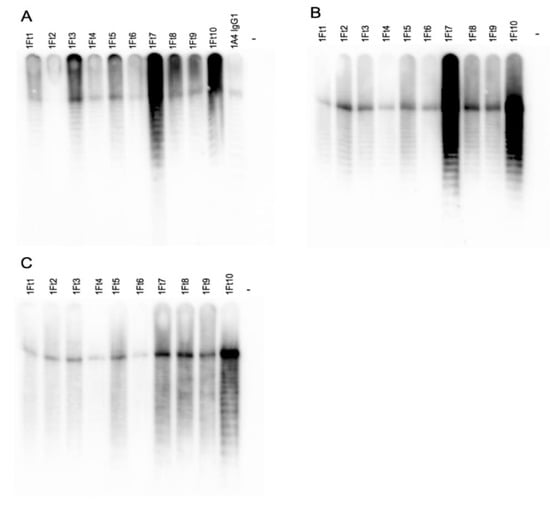
2.1. mAb Production and Reactivity
2.2. Antigen-Capture ELISA Optimization
2.3. Quantification of LPS in Patient Samples
2.4. LFI Development
3. Discussion
4. Materials and Methods
4.1. mAb Production
4.2. Ethics Statement
4.3. Indirect ELISA
4.4. Western Immunoblot
4.5. Antigen-Capture ELISA
4.6. Optimization of Antigen-Capture ELISA in Serum and Urine
4.7. Patient Samples
4.8. Quantitative Antigen-Capture ELISA
4.9. LFI Screening
4.10. LFI Prototype
4.11. LFI Testing
Supplementary Materials
Author Contributions
Funding
Institutional Review Board Statement
Informed Consent Statement
Data Availability Statement
Acknowledgments
Conflicts of Interest
References
- Koplan, J.P.; Director, M.; Holloway, B.R.; Acting Director, M.; Richard Jackson, H.J.; James Hughes, D.M.; Linda Rosenstock, H. Biological and Chemical Terrorism: Strategic Plan for Preparedness and Response—Recommendations of the CDC Strategic Planning Workgroup. Morb. Mortal. Wkly. Rep. 2000, 49, 1–14. [Google Scholar]
- U.S. Department of Health and Human Services; Centers for Disease Control and Prevention. Possession, Use, and Transfer of Select Agents and Toxins; Biennial Review of the List of Select Agents and Toxins and Enhanced Biosafety Requirements. Final rule. Fed. Regist. 2017, 82, 6278–6294. [Google Scholar]
- Dennis, D.T.; Inglesby, T.V.; Henderson, D.A.; Bartlett, J.G.; Ascher, M.S.; Eitzen, E.; Fine, A.D.; Friedlander, A.M.; Hauer, J.; Layton, M.; et al. Tularemia as a Biological Weapon Medical and Public Health Management. JAMA 2017, 285, 2763–2773. [Google Scholar] [CrossRef]
- Maurin, M. Francisella tularensis as a potential agent of bioterrorism? Expert Rev. Anti. Infect. Ther. 2015, 13, 141–144. [Google Scholar] [CrossRef]
- Mörner, T. The ecology of tularaemia. Rev. Sci. Tech. l’OIE 1992, 11, 1123–1130. [Google Scholar] [CrossRef] [Green Version]
- Reintjes, R.; Dedushaj, I.; Gjini, A.; Jorgensen, T.R.; Cotter, B.; Lieftucht, A.; D’Ancona, F.; Dennis, D.T.; Kosoy, M.A.; Mulliqi-Osmani, G.; et al. Tularemia outbreak investigation in Kosovo: Case control and environmental studies. Emerg. Infect. Dis. 2002, 8, 69. [Google Scholar] [CrossRef] [PubMed]
- Tärnvik, A.; Berglund, L. Tularaemia. Eur. Respir. J. 2003, 21, 361–373. [Google Scholar] [CrossRef] [PubMed] [Green Version]
- Maurin, M.; Gyuranecz, M. Tularaemia: Clinical aspects in Europe. Lancet Infect. Dis. 2016, 16, 113–124. [Google Scholar] [CrossRef]
- Ulu-Kilic, A.; Doganay, M. An overview: Tularemia and travel medicine. Travel Med. Infect. Dis. 2014, 12, 609–616. [Google Scholar] [CrossRef] [PubMed]
- Faber, M.; Heuner, K.; Jacob, D.; Grunow, R. Tularemia in Germany—A Re-emerging Zoonosis. Front. Cell. Infect. Microbiol. 2018, 8, 40. [Google Scholar] [CrossRef] [Green Version]
- Rijks, J.M.; Kik, M.; Koene, M.G.; Engelsma, M.; Van Tulden, P.; Montizaan, M.G.; Oomen, T.; Spierenburg, M.A.; Ijzer, J.; Van Der Giessen, J.W.; et al. Tularaemia in a brown hare (Lepus europaeus) in 2013: First case in the Netherlands in 60 years. Eurosurveillance 2013, 18, 20655. [Google Scholar] [CrossRef] [Green Version]
- Rydén, P.; Sjöstedt, A.; Johansson, A.F. Effects of climate change on tularaemia disease activity in Sweden. Glob. Health Action 2009, 2. [Google Scholar] [CrossRef] [PubMed]
- Janse, I.; Van Der Plaats, R.Q.J.; Husman, A.M.D.R.; Van Passel, M.W.J. Environmental Surveillance of Zoonotic Francisella tularensis in the Netherlands. Front. Cell. Infect. Microbiol. 2018, 8, 140. [Google Scholar] [CrossRef]
- Elashvili, E.; Kracalik, I.; Burjanadze, I.; Datukishvili, S.; Chanturia, G.; Tsertsvadze, N.; Beridze, L.; Shavishvili, M.; Dzneladze, A.; Grdzelidze, M.; et al. Environmental Monitoring and Surveillance of Rodents and Vectors for Francisella tularensis Following Outbreaks of Human Tularemia in Georgia. Vector Borne Zoonotic Dis. 2015, 15, 633–636. [Google Scholar] [CrossRef] [Green Version]
- Mostafavi, E.; Ghasemi, A.; Rohani, M.; Molaeipoor, L.; Esmaeili, S.; Mohammadi, Z.; Mahmoudi, A.; Aliabadian, M.; Johansson, A. Molecular Survey of Tularemia and Plague in Small Mammals From Iran. Front. Cell. Infect. Microbiol. 2018, 8, 215. [Google Scholar] [CrossRef]
- Oyston, P.C.F. Francisella tularensis: Unravelling the secrets of an intracellular pathogen. J. Med. Microbiol. 2008, 57, 921–930. [Google Scholar] [CrossRef]
- Keim, P.; Johansson, A.; Wagner, D.M. Molecular epidemiology, evolution, and ecology of Francisella. Ann. N. Y. Acad. Sci. 2007, 1105, 30–66. [Google Scholar] [CrossRef] [PubMed]
- Petersen, J.M.; Molins, C.R. Subpopulations of Francisella tularensis ssp. tularensis and holarctica: Identification and associated epidemiology. Future Microbiol. 2010, 5, 649–661. [Google Scholar] [CrossRef] [PubMed]
- Kingry, L.C.; Petersen, J.M. Comparative review of Francisella tularensis and Francisella novicida. Front. Cell. Infect. Microbiol. 2014, 4, 35. [Google Scholar] [CrossRef] [PubMed]
- Jones, R.M.; Nicas, M.; Hubbard, A.; Sylvester, M.D.; Reingold, A. The Infectious Dose of Francisella tularensis (Tularemia). Appl. Biosaf. 2005, 10, 227–239. [Google Scholar] [CrossRef] [Green Version]
- Boone, I.; Hassler, D.; Nguyen, T.; Splettstoesser, W.; Wagner-Wiening, C.; Pfaff, G. Tularaemia in southwest Germany: Three cases of tick-borne transmission. Ticks Tick Borne Dis. 2015, 6, 611–614. [Google Scholar] [CrossRef]
- Kenney, A.; Cusick, A.; Payne, J.; Gaughenbaugh, A.; Renshaw, A.; Wright, J.; Seeber, R.; Barnes, R.; Florjanczyk, A.; Horzempa, J. The potential for flower nectar to allow mosquito to mosquito transmission of Francisella tularensis. PLoS ONE 2017, 12, e0175157. [Google Scholar] [CrossRef] [Green Version]
- Ohara, Y.; Sato, T.; Fujita, H.; Ueno, T.; Homma, M. Clinical manifestations of tularemia in Japan—Analysis of 1,355 cases observed between 1924 and 1987. Infection 1991, 19, 14–17. [Google Scholar] [CrossRef] [PubMed]
- Bahuaud, O.; Le Brun, C.; Chalopin, T.; Lacasse, M.; Le Marec, J.; Pantaleon, C.; Nicolas, C.; Barbier, L.; Bernard, L.; Lemaignen, A. Severe infections due to Francisella tularensis ssp. holarctica in solid organ transplant recipient: Report of two cases and review of literature. BMC Infect. Dis. 2019, 19, 238. [Google Scholar]
- Koskela, P.; Salminen, A. Humoral immunity against Francisella tularensis after natural infection. J. Clin. Microbiol. 1985, 22, 973–979. [Google Scholar] [CrossRef] [Green Version]
- Bevanger, L.; Maeland, J.A.; Kvan, A.I. Comparative analysis of antibodies to Francisella tularensis antigens during the acute phase of tularemia and eight years later. Clin. Diagn. Lab. Immunol. 1994, 1. [Google Scholar] [CrossRef]
- Johansson, A.F.; Berglund, L.; Eriksson, U.; Göransson, I.; Wollin, R.; Forsman, M.; Tärnvik, A.; Sjöstedt, A. Comparative Analysis of PCR versus Culture for Diagnosis of Ulceroglandular Tularemia. J. Clin. Microbiol. 2000, 38. [Google Scholar] [CrossRef]
- Raetz, C.R.H.; Whitfield, C. Lipopolysaccharide Endotoxins. Annu. Rev. Biochem. 2002, 71, 635–700. [Google Scholar] [CrossRef] [Green Version]
- Phillips, N.J.; Schilling, B.; McLendon, M.K.; Apicella, M.A.; Gibson, B.W. Novel Modification of Lipid A of Francisella tularensis. Infect. Immun. 2004, 72, 5340–5348. [Google Scholar] [CrossRef] [Green Version]
- Hajjar, A.M.; Harvey, M.D.; Shaffer, S.A.; Goodlett, D.R.; Sjostedt, A.; Edebro, H.; Forsman, M.; Bystrom, M.; Pelletier, M.; Wilson, C.B.; et al. Lack of In Vitro and In Vivo Recognition of Francisella tularensis Subspecies Lipopolysaccharide by Toll-Like Receptors. Infect. Immun. 2006, 74, 6730–6738. [Google Scholar] [CrossRef] [PubMed] [Green Version]
- Rietschel, E.T.; Kirikae, T.; Schade, F.U.; Mamat, U.; Schmidt, G.; Loppnow, H.; Ulmer, A.J.; Zähringer, U.; Seydel, U.; Di Padova, F.; et al. Bacterial endotoxin: Molecular relationships of structure to activity and function. FASEB J. 1994, 8, 217–225. [Google Scholar] [CrossRef]
- Vinogradov, E.; Conlan, W.J.; Gunn, J.S.; Perry, M.B. Characterization of the lipopolysaccharide O-antigen of Francisella novicida (U112). Carbohydr. Res. 2004, 339, 649–654. [Google Scholar] [CrossRef] [PubMed]
- Thomas, R.M.; Titball, R.W.; Oyston, P.C.F.; Griffin, K.; Waters, E.; Hitchen, P.G.; Michell, S.L.; Grice, I.D.; Wilson, J.C.; Prior, J.L. The Immunologically Distinct O Antigens from Francisella tularensis Subspecies tularensis and Francisella novicida are both Virulence Determinants and Protective Antigens. Infect. Immun. 2007, 75, 371–378. [Google Scholar] [CrossRef] [PubMed] [Green Version]
- Gunn, J.S.; Ernst, R. The Structure and Function of Francisella Lipopolysaccharide. Ann. N. Y. Acad. Sci. 2007, 1105, 202–218. [Google Scholar] [CrossRef] [PubMed]
- Apicella, M.A.; Post, D.M.B.; Fowler, A.; Jones, B.; Rasmussen, J.A.; Hunt, J.R.; Imagawa, S.; Choudhury, B.; Inzana, T.J.; Maier, T.M.; et al. Identification, Characterization and Immunogenicity of an O-Antigen Capsular Polysaccharide of Francisella tularensis. PLoS ONE 2010, 5, e11060. [Google Scholar] [CrossRef] [PubMed] [Green Version]
- Nuti, D.E.; Crump, R.B.; Handayani, F.D.; Chantratita, N.; Peacock, S.J.; Bowen, R.; Felgner, P.L.; Davies, D.H.; Wu, T.; Lyons, C.R.; et al. Identification of Circulating Bacterial Antigens by In Vivo Microbial Antigen Discovery. mBio 2011, 2. [Google Scholar] [CrossRef] [Green Version]
- Rowe, H.M.; Huntley, J.F. From the Outside-In: The Francisella tularensis Envelope and Virulence. Front. Cell. Infect. Microbiol. 2015, 5, 94. [Google Scholar] [CrossRef] [Green Version]
- Schmitt, P.; Splettstösser, W.; Porsch-Özcürümez, M.; Finke, E.-J.; Grunow, R. A novel screening ELISA and a confirmatory Western blot useful for diagnosis and epidemiological studies of tularemia. Epidemiol. Infect. 2005, 133, 759–766. [Google Scholar] [CrossRef]
- Sharma, N.; Hotta, A.; Yamamoto, Y.; Fujita, O.; Uda, A.; Morikawa, S.; Yamada, A.; Tanabayashi, K. Detection of Francisella tularensis-Specific Antibodies in Patients with Tularemia by a Novel Competitive Enzyme-Linked Immunosorbent Assay. Clin. Vaccine Immunol. 2013, 20, 9–16. [Google Scholar] [CrossRef] [Green Version]
- Lu, Z.; Perkins, H.M.; Sharon, J. Antibodies to Both Terminal and Internal B-Cell Epitopes of Francisella tularensis O-Polysaccharide Produced by Patients with Tularemia. Clin. Vaccine Immunol. 2013, 21, 227–233. [Google Scholar] [CrossRef]
- Sjöstedt, A. Tularemia: History, epidemiology, pathogen physiology, and clinical manifestations. Ann. N. Y. Acad. Sci. 2007, 1105, 1–29. [Google Scholar] [CrossRef]
- Nualnoi, T.; Kirosingh, A.; Basallo, K.; Hau, D.; Gates-Hollingsworth, M.A.; Thorkildson, P.; Crump, R.B.; Reed, D.E.; Pandit, S.; Aucoin, D.P. Immunoglobulin G subclass switching impacts sensitivity of an immunoassay targeting Francisella tularensis lipopolysaccharide. PLoS ONE 2018, 13, e0195308. [Google Scholar] [CrossRef] [Green Version]
- Nualnoi, T.; Kirosingh, A.; Pandit, S.G.; Thorkildson, P.; Brett, P.J.; Burtnick, M.N.; Aucoin, D.P. In vivo Distribution and Clearance of Purified Capsular Polysaccharide from Burkholderia pseudomallei in a Murine Model. PLoS Negl. Trop. Dis. 2016, 10, e0005217. [Google Scholar] [CrossRef] [Green Version]
- Rossow, H.; Sissonen, S.; Koskela, K.A.; Kinnunen, P.M.; Hemmilä, H.; Niemimaa, J.; Huitu, O.; Kuusi, M.; Vapalahti, O.; Henttonen, H.; et al. Detection ofFrancisella tularensis in Voles in Finland. Vector Borne Zoonotic Dis. 2014, 14, 193–198. [Google Scholar] [CrossRef] [Green Version]
- Tärnvik, A.; Löfgren, S.; Öhlund, L.; Sandström, G. Detection of antigen in urine of a patient with Tularemia. Eur. J. Clin. Microbiol. 1987, 6, 318–319. [Google Scholar] [CrossRef]
- Bell, J.F.; Stewart, S.J. Chronic shedding tularemia nephritis in rodents: Possible relation to occurrence of Francisella tularensis in lotic waters. J. Wildl. Dis. 1975, 11, 421–430. [Google Scholar] [CrossRef] [PubMed] [Green Version]
- Twenhafel, N.A.; Alves, D.A.; Purcell, B.K. Pathology of Inhalational Francisella tularensis spp. tularensis SCHU S4 Infection in African Green Monkeys (Chlorocebus aethiops). Vet. Pathol. 2009, 46, 698–706. [Google Scholar] [CrossRef]
- Çelebi, G.; Baruönü, F.; Ayoǧlu, F.; Çinar, F.; Karadenizli, A.; Uǧur, M.B.; Gedikoǧlu, S. Tularemia, a reemerging disease in northwest Turkey: Epidemiological investigation and evaluation of treatment responses. Jpn. J. Infect. Dis. 2006, 59, 229. [Google Scholar]
- Hepburn, M.J.; Simpson, A.J. Tularemia: Current diagnosis and treatment options. Expert Rev. Anti Infect. Ther. 2008, 6, 231–240. [Google Scholar] [CrossRef] [Green Version]
- Tate, J.; Ward, G. Interferences in immunoassay. Clin. Biochem. Rev. 2004, 25, 105. [Google Scholar]
- O’Farrell, B. Evolution in Lateral Flow–Based Immunoassay Systems. In Lateral Flow Immunoassay; Humana Press: Totowa, NJ, USA, 2009. [Google Scholar]
- Houghton, R.L.; Reed, D.E.; Hubbard, M.; Dillon, M.; Chen, H.; Currie, B.J.; Mayo, M.; Sarovich, D.; Theobald, V.; Limmathurotsakul, D.; et al. Development of a Prototype Lateral Flow Immunoassay (LFI) for the Rapid Diagnosis of Melioidosis. PLoS Negl. Trop. Dis. 2014, 8, e2727. [Google Scholar] [CrossRef] [PubMed]
- Shaw, T.; Tellapragada, C.; Ke, V.; Aucoin, D.P.; Mukhopadhyay, C. Performance evaluation of Active Melioidosis Detect-Lateral Flow Assay (AMD-LFA) for diagnosis of melioidosis in endemic settings with limited resources. PLoS ONE 2018, 13, e0194595. [Google Scholar] [CrossRef] [Green Version]
- Kozel, T.R.; Murphy, W.J.; Brandt, S.; Blazar, B.R.; Lovchik, J.A.; Thorkildson, P.; Percival, A.; Lyons, C.R. mAbs to Bacillus anthracis capsular antigen for immunoprotection in anthrax and detection of antigenemia. Proc. Natl. Acad. Sci. USA 2004, 101, 5042–5047. [Google Scholar] [CrossRef] [Green Version]




| mAb | Subclass | Immunization |
|---|---|---|
| 1Ft1 | IgG1 | Ft. LPS-BSA |
| 1Ft2 | IgG2b | Ft. LPS-BSA |
| 1Ft3 | IgG2b | Ft. LPS-BSA |
| 1Ft4 | IgG1 | Ft. LPS-BSA + Alum |
| 1Ft5 | IgG1 | Ft. LPS-BSA |
| 1Ft6 | IgG2b | Ft. LPS-BSA + Alum |
| 1Ft7 | IgG2b | Ft. LPS-BSA + Alum |
| 1Ft8 | IgG2b | Ft. LPS-BSA + Alum |
| 1Ft9 | IgG2b | Ft. LPS-BSA + Alum |
| 1Ft10 | IgG2b | Ft. LPS-BSA + Alum |
| Sample # | LPS (ng/mL) | Standard Deviation | Diagnosis | Time Since Lymph Node Enlargement (Days) |
|---|---|---|---|---|
| 1 | 0 | - | PCR | 30 |
| 2 | Insufficient volume | - | PCR | ND |
| 3 | 0 | - | PCR | 4 |
| 4 | Insufficient volume | - | PCR | 20 |
| 5 | 0 | - | PCR | 2 |
| 6 # | 0.74 | 0.0039 | PCR | 4 |
| 7 | 0 | - | PCR | 2 |
| 8 | 0 | - | PCR | 2 |
| 9 * | 0.35 | - | PCR | 6 |
| 10 | 0.22 | 0.044 | PCR | 3 |
| 11 | 109.95 | 12.11 | PCR | 5 |
| 12 | 0.41 | 0.088 | PCR | ND |
| 13 | 0 | - | PCR | ND |
| 14 | 0 | - | Serology | 60 |
| 15 | 0 | - | Serology | 20 |
| 16 | 0 | - | Serology | ND |
| 17 | 0 | - | Serology | 17 |
| 18 | 5.023 | 0.70 | Serology | 30 |
| 19 | 0.36 | 0.051 | Serology | 21 |
| 20 | 0.33 | 0.16 | Serology | 15 |
| 21 | 0 | - | Serology | 20 |
Publisher’s Note: MDPI stays neutral with regard to jurisdictional claims in published maps and institutional affiliations. |
© 2021 by the authors. Licensee MDPI, Basel, Switzerland. This article is an open access article distributed under the terms and conditions of the Creative Commons Attribution (CC BY) license (https://creativecommons.org/licenses/by/4.0/).
Share and Cite
Hannah, E.E.; Pandit, S.G.; Hau, D.; DeMers, H.L.; Robichaux, K.; Nualnoi, T.; Dissanayaka, A.; Arias-Umana, J.; Green, H.R.; Thorkildson, P.; et al. Development of Immunoassays for Detection of Francisella tularensis Lipopolysaccharide in Tularemia Patient Samples. Pathogens 2021, 10, 924. https://doi.org/10.3390/pathogens10080924
Hannah EE, Pandit SG, Hau D, DeMers HL, Robichaux K, Nualnoi T, Dissanayaka A, Arias-Umana J, Green HR, Thorkildson P, et al. Development of Immunoassays for Detection of Francisella tularensis Lipopolysaccharide in Tularemia Patient Samples. Pathogens. 2021; 10(8):924. https://doi.org/10.3390/pathogens10080924
Chicago/Turabian StyleHannah, Emily E., Sujata G. Pandit, Derrick Hau, Haley L. DeMers, Kayleigh Robichaux, Teerapat Nualnoi, Anjana Dissanayaka, Jose Arias-Umana, Heather R. Green, Peter Thorkildson, and et al. 2021. "Development of Immunoassays for Detection of Francisella tularensis Lipopolysaccharide in Tularemia Patient Samples" Pathogens 10, no. 8: 924. https://doi.org/10.3390/pathogens10080924
APA StyleHannah, E. E., Pandit, S. G., Hau, D., DeMers, H. L., Robichaux, K., Nualnoi, T., Dissanayaka, A., Arias-Umana, J., Green, H. R., Thorkildson, P., Pflughoeft, K. J., Gates-Hollingsworth, M. A., Ozsurekci, Y., & AuCoin, D. P. (2021). Development of Immunoassays for Detection of Francisella tularensis Lipopolysaccharide in Tularemia Patient Samples. Pathogens, 10(8), 924. https://doi.org/10.3390/pathogens10080924

