Quantitative Three-Dimensional Computed Tomography Measurements Provide a Precise Diagnosis of Fractures of the Mandibular Condylar Process
Abstract
:1. Introduction
2. Materials and Methods
2.1. Study Population
2.2. Fracture Classification and Clinical Parameters
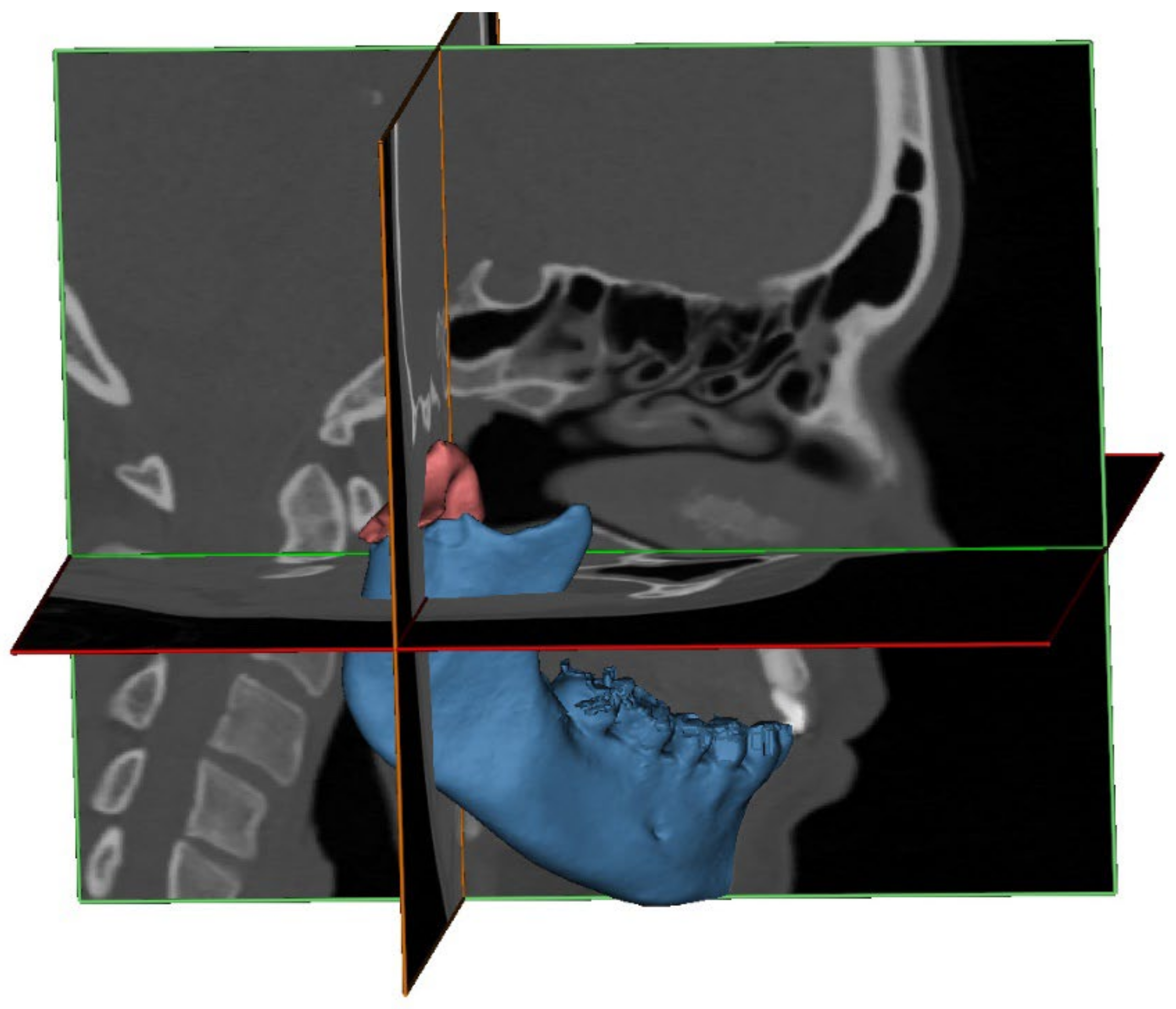
2.3. Segmentation and 3D Model
2.4. The 3D Measurements
2.5. Volume of Fracture Fragment
2.6. Reproducibility and Statistical Analysis
3. Results
3.1. Descriptives
3.2. Reproducibility
3.3. Clinical Parameters by Diacapitular Fractures (Loukota Classification)
3.4. The 3D Measurements by Diacapitular Fractures (Loukota Classification)
3.5. Clinical Parameters by Condylar Process Fractures (Loukota Classification)
3.6. The 3D Measurements of Condylar Process Fractures (Loukota Classification)
3.7. Clinical Parameters According to the Spiessl and Schroll Classification
3.8. The 3D Measurements According to the Spiessl and Schroll Classification
3.9. Correlations between Clinical Parameters and 3D Measurements
4. Discussion
5. Conclusions
Author Contributions
Funding
Institutional Review Board Statement
Informed Consent Statement
Data Availability Statement
Conflicts of Interest
References
- Iida, S.; Kogo, M.; Sugiura, T.; Mima, T.; Matsuya, T. Retrospective Analysis of 1502 Patients with Facial Fractures. Int. J. Oral Maxillofac. Surg. 2001, 30, 286–290. [Google Scholar] [CrossRef] [PubMed]
- Jensen, T.; Jensen, J.; Nørholt, S.E.; Dahl, M.; Lenk-Hansen, L.; Svensson, P. Open Reduction and Rigid Internal Fixation of Mandibular Condylar Fractures by an Intraoral Approach: A Long-Term Follow-Up Study of 15 Patients. J. Oral Maxillofac. Surg. 2006, 64, 1771–1779. [Google Scholar] [CrossRef] [PubMed]
- Boffano, P.; Roccia, F.; Zavattero, E.; Dediol, E.; Uglešić, V.; Kovačič, Ž.; Vesnaver, A.; Konstantinović, V.S.; Petrović, M.; Stephens, J.; et al. European Maxillofacial Trauma (EURMAT) Project: A Multicentre and Prospective Study. J. Cranio-Maxillofac. Surg. 2015, 43, 62–70. [Google Scholar] [CrossRef] [PubMed]
- Neff, A.; Chossegros, C.; Blanc, J.L.; Champsaur, P.; Cheynet, F.; Devauchelle, B.; Eckelt, U.; Ferri, J.; Gabrielli, M.F.R.; Guyot, L.; et al. Position Paper from the IBRA Symposium on Surgery of the Head—The 2nd International Symposium for Condylar Fracture Osteosynthesis, Marseille, France 2012. J. Cranio-Maxillofac. Surg. 2014, 42, 1234–1249. [Google Scholar] [CrossRef] [PubMed] [Green Version]
- Zhou, H.H.; Liu, Q.; Cheng, G.; Li, Z.B. Aetiology, Pattern and Treatment of Mandibular Condylar Fractures in 549 Patients: A 22-Year Retrospective Study. J. Cranio-Maxillofac. Surg. 2013, 41, 34–41. [Google Scholar] [CrossRef]
- Bos, R.R.; Ward Booth, R.P.; de Bont, L.G. Mandibular Condyle Fractures: A Consensus. Br. J. Oral Maxillofac. Surg. 1999, 37, 87–89. [Google Scholar] [CrossRef]
- Neff, A.; Cornelius, C.P.; Rasse, M.; Torre, D.D.; Audigé, L. The Comprehensive AOCMF Classification System: Condylar Process Fractures—Level 3 Tutorial. Craniomaxillofac. Trauma Reconstr. 2014, 7, S44–S58. [Google Scholar] [CrossRef] [Green Version]
- He, D.; Yang, C.; Chen, M.; Zhang, X.; Qiu, Y.; Yang, X.; Li, L.; Fang, B. Traumatic Temporomandibular Joint Ankylosis: Our Classification and Treatment Experience. J. Oral Maxillofac. Surg. 2011, 69, 1600–1607. [Google Scholar] [CrossRef]
- He, D.; Yang, C.; Chen, M.; Jiang, B.; Wang, B. Intracapsular Condylar Fracture of the Mandible: Our Classification and Open Treatment Experience. J. Oral Maxillofac. Surg. 2009, 67, 1672–1679. [Google Scholar] [CrossRef]
- Lindahl, L. Condylar Fractures of the Mandible. Int. J. Oral Surg. 1977, 6, 12–21. [Google Scholar] [CrossRef]
- Loukota, R.A.; Eckelt, U.; De Bont, L.; Rasse, M. Subclassification of Fractures of the Condylar Process of the Mandible. Br. J. Oral Maxillofac. Surg. 2005, 43, 72–73. [Google Scholar] [CrossRef]
- Loukota, R.A.; Neff, A.; Rasse, M. Nomenclature/Classification of Fractures of the Mandibular Condylar Head. Br. J. Oral Maxillofac. Surg. 2010, 48, 477–478. [Google Scholar] [CrossRef]
- Spiessl, B.; Schroll, K. Gelenkfortsatz-Und Kieferköpfchenfrakturen. In Spezielle Frakturen-Und Luxationslehre. Band l/1: Gesichtsschädel Ed.; Georg Thieme Verlag: Stuttgart, Germany; New York, NY, USA, 1972; pp. 136–152. [Google Scholar]
- Bhagol, A.; Singh, V.; Kumar, I.; Verma, A. Prospective Evaluation of a New Classification System for the Management of Mandibular Subcondylar Fractures. J. Oral Maxillofac. Surg. 2011, 69, 1159–1165. [Google Scholar] [CrossRef]
- Schneider, M.; Erasmus, F.; Gerlach, K.L.; Kuhlisch, E.; Loukota, R.A.; Rasse, M.; Schubert, J.; Terheyden, H.; Eckelt, U. Open Reduction and Internal Fixation Versus Closed Treatment and Mandibulomaxillary Fixation of Fractures of the Mandibular Condylar Process: A Randomized, Prospective, Multicenter Study With Special Evaluation of Fracture Level. J. Oral Maxillofac. Surg. 2008, 66, 2537–2544. [Google Scholar] [CrossRef]
- Widmark, G.; Bågenholm, T.; Kahnberg, K.E.; Lindahl, L. Open Reduction of Subcondylar Fractures A Study of Functional Rehabilitation. Int. J. Oral Maxillofac. Surg. 1996, 25, 107–111. [Google Scholar] [CrossRef]
- Palmieri, C.; Ellis, E., III; Throckmorton, G.S. Mandibular Motion after Treatment of Unilateral Condylar Process Fractures. J. Oral Maxillofac. Surg. 1999, 57, 764–775. [Google Scholar] [CrossRef]
- Kommers, S.; Moghimi, M.; van de Ven, L.; Forouzanfar, T. Is Radiological Shortening of the Ramus a Reliable Guide to Operative Management of Unilateral Fractures of the Mandibular Condyle? Br. J. Oral Maxillofac. Surg. 2014, 52, 491–495. [Google Scholar] [CrossRef]
- Uysal, T.; Sisman, Y.; Kurt, G.; Ramoglu, S.I. Condylar and Ramal Vertical Asymmetry in Unilateral and Bilateral Posterior Crossbite Patients and a Normal Occlusion Sample. Am. J. Orthod. Dentofac. Orthop. 2009, 136, 37–43. [Google Scholar] [CrossRef]
- Sadat-Khonsari, R.; Fenske, C.; Behfar, L.; Bauss, O. Panoramic Radiography: Effects of Head Alignment on the Vertical Dimension of the Mandibular Ramus and Condyle Region. Eur. J. Orthod. 2012, 34, 164–169. [Google Scholar] [CrossRef] [Green Version]
- Wyatt, D.L.; Farman, A.G.; Orbell, G.M.; Silveira, A.M.; Scarfe, W.C. Accuracy of Dimensional and Angular Measurements from Panoramic and Lateral Oblique Radiographs. Dentomaxillofac. Radiol. 1995, 24, 225–231. [Google Scholar] [CrossRef] [Green Version]
- Xie, Q.; Soikkonen, K.; Wolf, J.; Mattila, K.; Gong, M.; Ainamo, A. Effect of Head Positioning in Panoramic Radiography on Vertical Measurements: An in Vitro Study. Dentomaxillofac. Radiol. 1996, 25, 61–66. [Google Scholar] [CrossRef]
- Nunes, R.; Lara, Y.; Crivelaro, G. Common Positioning Errors in Panoramic Radiography: A Review. Imaging Sci. Dent. 2014, 44, 1–6. [Google Scholar] [CrossRef] [Green Version]
- Zhou, Z.; Li, Z.; Ren, J.; He, M.; Huang, Y.; Tian, W.; Tang, W. Digital Diagnosis and Treatment of Mandibular Condylar Fractures Based on Extensible Neuro Imaging Archive Toolkit (XNAT). PLoS ONE 2018, 13, e0192831. [Google Scholar] [CrossRef]
- Guitton, T.G.; Van Der Werf, H.J.; Ring, D. Quantitative Three-Dimensional Computed Tomography Measurement of Radial Head Fractures. J. Shoulder Elb. Surg. 2010, 19, 973–977. [Google Scholar] [CrossRef]
- De Muinck Keizer, R.J.O.; Meijer, D.T.; Van Der Gronde, B.A.T.D.; Teunis, T.; Stufkens, S.A.S.; Kerkhoffs, G.M.; Goslings, J.C.; Doornberg, J.N. Articular Gap and Step-off Revisited: 3D Quantification of Operative Reduction for Posterior Malleolar Fragments. J. Orthop. Trauma 2016, 30, 670–675. [Google Scholar] [CrossRef]
- Mellema, J.J.; Janssen, S.J.; Guitton, T.G.; Ring, D. Quantitative 3-Dimensional Computed Tomography Measurements of Coronoid Fractures. J. Hand Surg. Am. 2015, 40, 526–533. [Google Scholar] [CrossRef]
- Meesters, A.M.L.; ten Duis, K.; Kraeima, J.; Banierink, H.; Stirler, V.M.A.; Wouters, P.C.R.; de Vries, J.P.P.M.; Witjes, M.J.H.; IJpma, F.F.A. The Accuracy of Gap and Step-off Measurements in Acetabular Fracture Treatment. Sci. Rep. 2021, 11, 18294. [Google Scholar] [CrossRef]
- Fariña, R.; Bravo, R.; Villanueva, R.; Valladares, S.; Hinojosa, A.; Martinez, B. Measuring the Condylar Unit in Condylar Hyperplasia: From the Sigmoid Notch or from the Mandibular Lingula? Int. J. Oral Maxillofac. Surg. 2017, 46, 857–860. [Google Scholar] [CrossRef]
- Kommers, S.C.; Boffano, P.; Forouzanfar, T. Consensus or Controversy? The Classification and Treatment Decision-Making by 491 Maxillofacial Surgeons from around the World in Three Cases of a Unilateral Mandibular Condyle Fracture. J. Cranio-Maxillofac. Surg. 2015, 43, 1952–1960. [Google Scholar] [CrossRef]





| Variables | Diacapitular Type A | Diacapitular Type B | Diacapitular Type C | Diacapitular Overall | Neck | Base | p Value * | |
|---|---|---|---|---|---|---|---|---|
| MMO [mm; mean ± SD] | 23.5 ± 10.9 | 26.5 ± 12.0 | 9.0 | 22.2 ± 10.9 | 16.5 ± 5.0 | 24.1 ± 4.9 | 0.235 | |
| Ramus height loss [mm; median (IQR)] | - | - | - | - | - | 5.7 (1.6;8.2) | - | |
| 3D displacement [mm; median (IQR)] | 8.3 (3.7;12.1) | 1.3 (0.0;1.3) | 10.3 (8.8;10.3) | 6.1 (2.1;11.2) | 10.7 (2.8;15.1) | 5.0 (1.9;5.9) | 0.117 | |
| Rotation [degrees; median (IQR)] | X | 10.2 (2.2;15.8) | 1.6 (0.0;1.6) | 25.8 (19.9;25.8) | 5.8 (1.1;18.1) | 6.3 (1.9;35) | 4.5 (2.1;4.5) | 0.880 |
| Y | −9.8 (−10.1;−3.5) | 0.9 (0.6;0.9) | −1.5 (−2.1;−1.5) | −1.5 (−9.8;0.7) | −3.6 (−17.6;18.3) | −0.1 (−1.5;7.9) | 0.498 | |
| Z | 7.5 (4.8;10.8) | 4.1 (2.6;4.1) | 13.8 (6.8;13.8) | 6.8 (4.4;10.5) | 19.7 (0.4;64.6) | 2.1 (0.4;9.0) | 0.187 | |
| Volume [mm3; mean ± SD] | 693 ± 440 | 851 ± 201 | 761 ± 72 | 761 ± 298 | 2140 ± 626 | 2226 ± 571 | 0.001 | |
| Variables | Type I | Type II | Type IV | Type V | Type VI A | Type VI B | p Value * | |
|---|---|---|---|---|---|---|---|---|
| MMO [mm; mean ± SD] | 23.5 ± 6.7 | 26.3 ± 6.1 | 21.4 ± 7.1 | 12.0 ± 4.2 | 23.5 ± 10.9 | 18.0 | 0.354 | |
| Ramus height loss [mm; median (IQR)] | 0.143 | |||||||
| 3D displacement [mm; median (IQR)] | 2.3 (1.3;4.1) | 5.4 (2.0;6.2) | 6.8 (4.6;11.2) | 11.9 (8.8;11.9) | 8.3 (3.7;12.1) | 3.5 (1.3;3.5) | 0.013 | |
| Rotation [degrees; median (IQR)] | X | 2.4 (0.7;4.5) | 4.3 (1.7;8.4) | 9.4 (5.3;13.0) | 31.8 (19.9;31.8) | 10.2 (2.2;15.8) | 1.0 (0.0;1.0) | 0.021 |
| Y | 0.1 (−2.6;1.9) | 6.3 (−6.7;11.9) | −13.0 (−16.4;−2.0) | 0.0 (−2.1;0.0) | −9.8 (−10.1;−3.5) | 3.9 (0.6;3.9) | 0.031 | |
| Z | 1.4 (0.4;3.1) | 5.8 (0.3;14.6) | 8.6 (0.3−24.2) | 20.8 (6.8;20.8) | 7.5 (4.8;10.8) | 4.8 (2.6;4.8) | 0.173 | |
| Volume [mm3; mean ±SD] | 2291 ± 826 | 2151 ± 392 | 1950 ± 575 | 1244 ± 838 | 693 ± 440 | 793 ± 247 | 0.002 | |
| Parameters | MMO | ||
|---|---|---|---|
| Spearman’s Correlation Coefficient | p Value | ||
| Ramus height loss | 0.57 | 0.23 | |
| 3D displacement | −0.41 | 0.05 * | |
| Rotation | X-axis | −0.27 | 0.23 |
| Y-axis | −0.54 | 0.82 | |
| Z-axis | −0.56 | 0.01 * | |
| Volume | −0.12 | 0.59 | |
Publisher’s Note: MDPI stays neutral with regard to jurisdictional claims in published maps and institutional affiliations. |
© 2022 by the authors. Licensee MDPI, Basel, Switzerland. This article is an open access article distributed under the terms and conditions of the Creative Commons Attribution (CC BY) license (https://creativecommons.org/licenses/by/4.0/).
Share and Cite
Batbayar, E.-O.; Assink, N.; Kraeima, J.; Meesters, A.M.L.; Bos, R.R.M.; Vissink, A.; Witjes, M.J.H.; van Minnen, B. Quantitative Three-Dimensional Computed Tomography Measurements Provide a Precise Diagnosis of Fractures of the Mandibular Condylar Process. J. Pers. Med. 2022, 12, 1225. https://doi.org/10.3390/jpm12081225
Batbayar E-O, Assink N, Kraeima J, Meesters AML, Bos RRM, Vissink A, Witjes MJH, van Minnen B. Quantitative Three-Dimensional Computed Tomography Measurements Provide a Precise Diagnosis of Fractures of the Mandibular Condylar Process. Journal of Personalized Medicine. 2022; 12(8):1225. https://doi.org/10.3390/jpm12081225
Chicago/Turabian StyleBatbayar, Enkh-Orchlon, Nick Assink, Joep Kraeima, Anne M. L. Meesters, Ruud R. M. Bos, Arjan Vissink, Max J. H. Witjes, and Baucke van Minnen. 2022. "Quantitative Three-Dimensional Computed Tomography Measurements Provide a Precise Diagnosis of Fractures of the Mandibular Condylar Process" Journal of Personalized Medicine 12, no. 8: 1225. https://doi.org/10.3390/jpm12081225
APA StyleBatbayar, E.-O., Assink, N., Kraeima, J., Meesters, A. M. L., Bos, R. R. M., Vissink, A., Witjes, M. J. H., & van Minnen, B. (2022). Quantitative Three-Dimensional Computed Tomography Measurements Provide a Precise Diagnosis of Fractures of the Mandibular Condylar Process. Journal of Personalized Medicine, 12(8), 1225. https://doi.org/10.3390/jpm12081225

