Role of Ultrasonography and MRI in Acute Hamstring Strains: Diagnostic and Prognostic Insights
Abstract
1. Introduction
2. Materials and Methods
2.1. Study Design and Ethical Considerations
2.2. Study Population
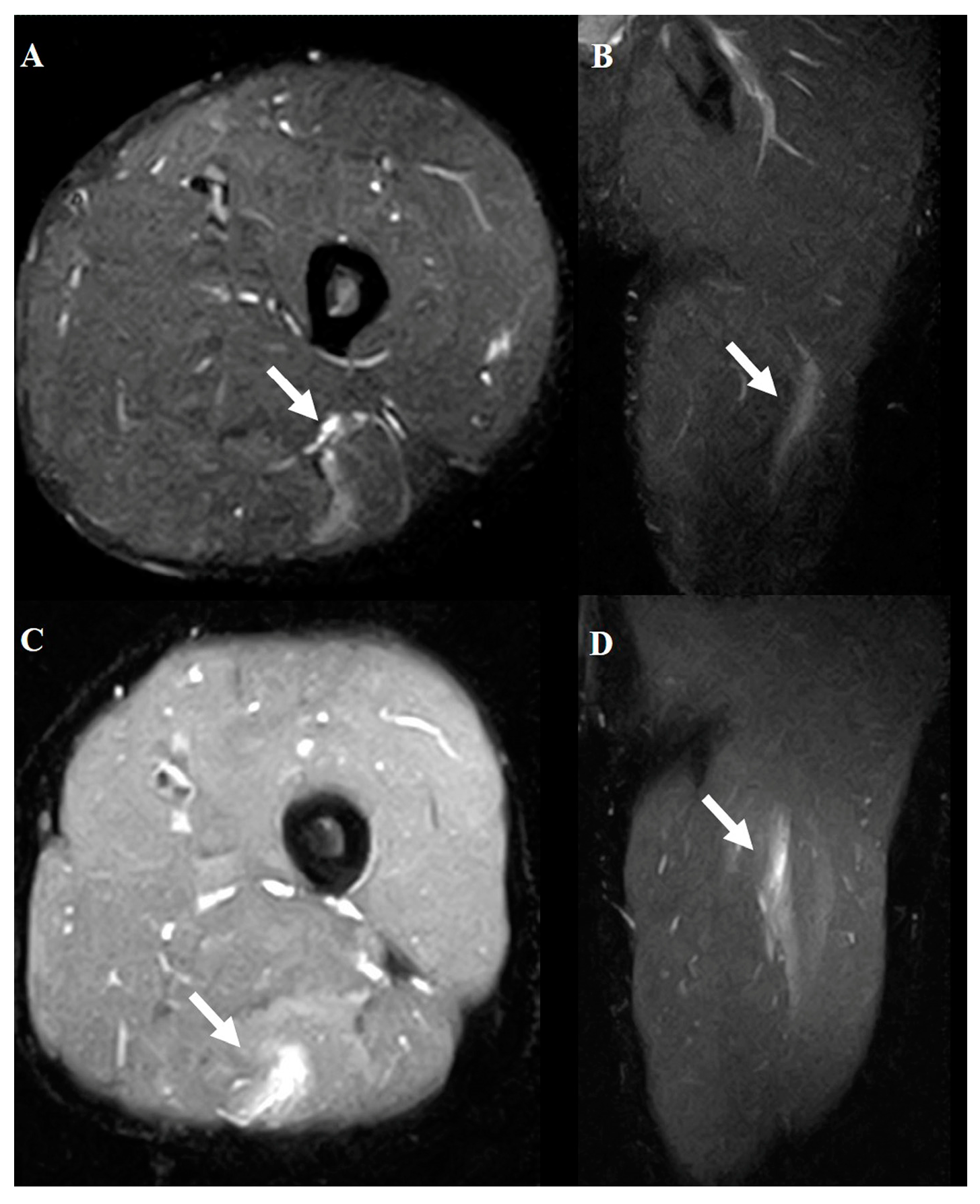
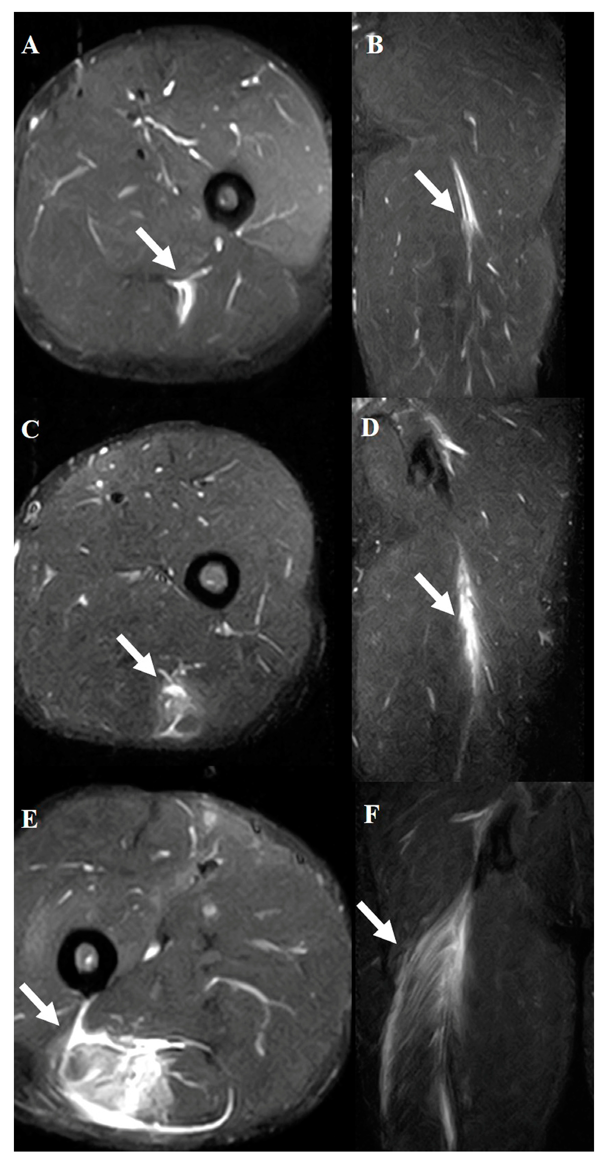
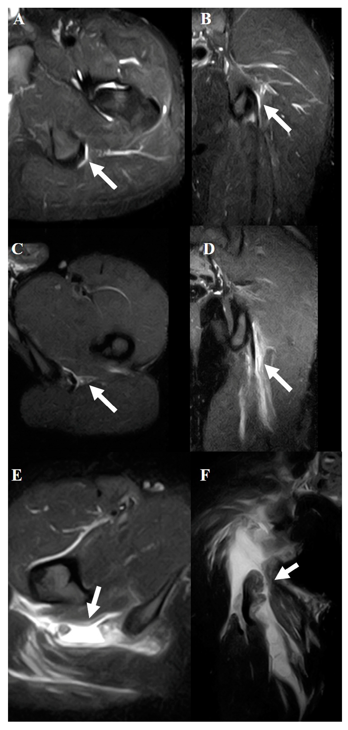
2.3. Hamstring Muscle Diagnosis Using US
- Changes in echogenicity or fiber disruption within the muscle.
- Edema or hemorrhage, defined as areas of increased echogenicity with or without visible fiber disruption in orthogonal planes.
- Hypoechoic fluid tracking along the fascial layer surrounding the muscle was indicative of intermuscular hematoma.
2.4. Hamstring Muscle Diagnosis Using MRI
2.5. Evaluation Criteria
2.6. Statistical Analysis
3. Results
3.1. US’s Diagnostic Accuracy as Part of Agreement Analysis
3.2. Patient Demographics and Clinical Characteristics
3.3. Agreement Between US and MRI and Clinical Relevance of Injury Location
3.4. Impact of Injury Severity on Return to Sport Based on MRI Analysis
4. Combined Analysis of Injury Location and Severity
Summary of US and MRI Utility in Diagnosing Hamstring Injuries
- The recovery times showed distinct differences depending on the injury location:
- Tendon grade 3 injuries required the longest recovery time, averaging 383 days, and differed significantly from all other groups (p < 0.001).
- Musculotendinous junction grade 3 injuries had a recovery time of 100 days, which was significantly longer than that in most other groups, except for tendon grade 3 injuries (p < 0.01).
- The groups with musculotendinous junction grade 2 and tendon grades 1 and 2 injuries showed similar recovery times, ranging from 57 to 65 days.
- Muscle grade 1 injuries had the shortest recovery time, averaging 16 days.
5. Discussion
6. Conclusions
Author Contributions
Funding
Institutional Review Board Statement
Informed Consent Statement
Data Availability Statement
Conflicts of Interest
Abbreviations
| MRI | magnetic resonance imaging |
| US | ultrasonography |
References
- Heer, S.T.; Callander, J.W.; Kraeutler, M.J.; Mei-Dan, O.; Mulcahey, M.K. Hamstring injuries: Risk Factors, Treatment, and Rehabilitation. J. Bone Joint Surg. Am. 2019, 101, 843–853. [Google Scholar] [CrossRef]
- Kerkhoffs, G.M.M.J.; van Es, N.; Wieldraaijer, T.; Sierevelt, I.N.; Ekstrand, J.; van Dijk, C.N. Diagnosis and prognosis of acute hamstring injuries in athletes. Knee Surg. Sports Traumatol. Arthrosc. 2013, 21, 500–509. [Google Scholar] [CrossRef] [PubMed]
- Arner, J.W.; McClincy, M.P.; Bradley, J.P. Hamstring injuries in athletes: Evidence-based treatment. J. Am. Acad. Orthop. Surg. 2019, 27, 868–877. [Google Scholar] [CrossRef]
- Heiderscheit, B.C.; Sherry, M.A.; Silder, A.; Chumanov, E.S.; Thelen, D.G. Hamstring strain injuries: Recommendations for diagnosis, rehabilitation, and injury prevention. J. Orthop. Sports Phys. Ther. 2010, 40, 67–81. [Google Scholar] [CrossRef]
- Greenky, M.; Cohen, S.B. Magnetic resonance imaging for assessing hamstring injuries: Clinical benefits and pitfalls–A review of the current literature. Open Access J. Sports Med. 2017, 8, 167–170. [Google Scholar] [CrossRef] [PubMed]
- Connell, D.A.; Schneider-Kolsky, M.E.; Hoving, J.L.; Malara, F.; Buchbinder, R.; Koulouris, G.; Burke, F.; Bass, C. Longitudinal study comparing sonographic and MRI assessments of acute and healing hamstring injuries. AJR Am. J. Roentgenol. 2004, 183, 975–984. [Google Scholar] [CrossRef] [PubMed]
- van Beek, E.J.R.; Kuhl, C.; Anzai, Y.; Desmond, P.; Ehman, R.L.; Gong, Q.; Gold, G.; Gulani, V.; Hall-Craggs, M.; Leiner, T.; et al. Value of MRI in medicine: More than just another test? J. Magn. Reson. Imaging 2019, 49, e14–e25. [Google Scholar] [CrossRef]
- Petersen, J.; Thorborg, K.; Nielsen, M.B.; Skjødt, T.; Bolvig, L.; Bang, N.; Hölmich, P. The diagnostic and prognostic value of US in soccer players with acute hamstring injuries. Am. J. Sports Med. 2014, 42, 399–404. [Google Scholar] [CrossRef]
- Hendawi, T.K.; Rendos, N.K.; Warrell, C.S.; Hackel, J.G.; Jordan, S.E.; Andrews, J.R.; Ostrander, R.V. Medial elbow stability assessment after ultrasound-guided ulnar collateral ligament transection in a cadaveric model: Ultrasound versus stress radiography. J. Shoulder Elbow Surg. 2019, 28, 1154–1158. [Google Scholar] [CrossRef]
- Chiang, Y.-P.; Wang, T.-G.; Hsieh, S.-F. Application of ultrasound in sports injury. J. Med. Ultrasound 2013, 21, 1–8. [Google Scholar] [CrossRef]
- Fournier-Farley, C.; Lamontagne, M.; Gendron, P.; Gagnon, D.H. Determinants of return to play after the nonoperative management of hamstring injuries in athletes: A systematic review. Am. J. Sports Med. 2016, 44, 2166–2172. [Google Scholar] [CrossRef] [PubMed]
- Kuske, B.; Hamilton, D.F.; Pattle, S.B.; Simpson, A.H.R.W. Patterns of hamstring muscle tears in the general population: A systematic review. PLoS One 2016, 11, e0152855. [Google Scholar] [CrossRef]
- van der Horst, N.; van de Hoef, S.; Reurink, G.; Huisstede, B.; Backx, F. Return to play after hamstring injuries: A qualitative systematic review of definitions and criteria. Sports Med. 2016, 46, 899–912. [Google Scholar] [CrossRef] [PubMed]
- Peetrons, P. Ultrasound of muscles. Eur. Radiol. 2002, 12, 35–43. [Google Scholar] [CrossRef]
- Zein, M.I.; Mokkenstorm, M.J.K.; Cardinale, M.; Holtzhausen, L.; Whiteley, R.; Moen, M.H.; Reurink, G.; Tol, J.L.; Qatari and Dutch Hamstring Study Group. Baseline clinical and MRI risk factors for hamstring reinjury showing the value of performing baseline MRI and delaying return to play: A multicentre, prospective cohort of 330 acute hamstring injuries. Br. J. Sports Med. 2024, 58, 766–776. [Google Scholar] [CrossRef] [PubMed]
- Pedret, C. Hamstring muscle injuries: MRI and ultrasound for diagnosis and prognosis. J. Belg. Soc. Radiol. 2021, 105, 91. [Google Scholar] [CrossRef]
- Koulouris, G.; Connell, D. Evaluation of the hamstring muscle complex following acute injury. Skeletal Radiol. 2003, 32, 582–589. [Google Scholar] [CrossRef]
- Naqvi, G.A.; Jadaan, M.; Harrington, P. Accuracy of US and magnetic resonance imaging for detection of full thickness rotator cuff tears. Int. J. Shoulder Surg. 2009, 3, 94–97. [Google Scholar] [CrossRef][Green Version]
- Bhimani, R.; Lubberts, B.; DiGiovanni, C.W.; Tanaka, M.J. Dynamic ultrasound can accurately quantify severity of medial knee injury: A cadaveric study. Arthrosc. Sports Med. Rehabil. 2022, 4, e1777–e1787. [Google Scholar] [CrossRef]
- Ergün, T.; Peker, A.; Aybay, M.N.; Turan, K.; Muratoğlu, O.G.; Çabuk, H. US vıew for acute ankle ınjury: Comparison of US and magnetic resonance ımaging. Arch. Orthop. Trauma. Surg. 2023, 143, 1531–1536. [Google Scholar] [CrossRef]
- Ekstrand, J.; Lee, J.C.; Healy, J.C. MRI findings and return to play in football: A prospective analysis of 255 hamstring injuries in the UEFA Elite Club Injury Study. Br. J. Sports Med. 2016, 50, 738–743. [Google Scholar] [CrossRef] [PubMed]
- Cohen, S.B.; Towers, J.D.; Zoga, A.; Irrgang, J.J.; Makda, J.; Deluca, P.F.; Bradley, J.P. Hamstring injuries in professional football players: Magnetic resonance imaging correlation with return to play. Sports Health 2011, 3, 423–430. [Google Scholar] [CrossRef] [PubMed]
- Askling, C.M.; Tengvar, M.; Saartok, T.; Thorstensson, A. Acute first-time hamstring strains during high-speed running: A longitudinal study including clinical and magnetic resonance imaging findings. Am. J. Sports Med. 2007, 35, 197–206. [Google Scholar] [CrossRef] [PubMed]





| Variable | Value |
|---|---|
| Number of patients | 71 |
| Sex (% male) | 61 (86%) |
| Age (yr, mean ± SD) | 21.0 ± 4.7 (18–48) |
| Injured side (%) | Right: 48, Left: 52 |
| Sports activity | Rugby: 49, Sprint: 14, Baseball: 13, Soccer: 11, Judo: 8, Long-distance running: 7, American football: 3, Field events: 2, Tennis: 1, Lacrosse: 1 |
| Time to imaging (hr) | US: 57.2 ± 59.3, MRI: 88.9 ± 83.1 |
| Injury Location | Agreement Rate (%) |
|---|---|
| Overall Agreement | 70 |
| By Muscle Group | |
| Semitendinosus | 100 |
| Biceps Femoris | 82 |
| Semimembranosus | 68 |
| By Specific Location | |
| Musculotendinous Junction | 80 |
| Muscle Belly | 90 |
| Tendon | 60 |
| Musculotendinous Junction | Tendon | Muscle | p-Value | |
|---|---|---|---|---|
| Proportion of Injuries (%) | 65 | 21 | 14 | |
| Time to Return to Sporting Activity (Days) | 70 ± 36 | 83 ± 90 | 16 ± 8 | <0.01 |
| Grade 1 | Grade 2 | Grade 3 | p-Value | |
|---|---|---|---|---|
| Proportion of Injuries (%) | 37 | 32 | 31 | |
| The Time to Return to Sporting Activity (Days) | 35 ± 28 | 56 ± 28 | 111 ± 67 | <0.01 |
| Injured Part | Grade | Number of Patients | Return to Sporting Activity (Days, Mean ± SD) |
|---|---|---|---|
| Muscle | 1 | 8 | 17 ± 8 |
| 2 | 1 | 8 ± 0 | |
| 3 | 0 | ||
| Musculotendinous Junction | 1 | 10 | 31 ± 13 |
| 2 | 17 | 57 ± 21 | |
| 3 | 20 | 100 ± 27 | |
| Tendon | 1 | 6 | 65 ± 39 |
| 2 | 8 | 59 ± 37 | |
| 3 | 1 | 383 ± 0 |
| Group | Muscle Grade 1 | Muscle Grade 2 | Musculotendinous Grade 1 | Musculotendinous Grade 2 | Musculotendinous Grade 3 | Tendon Grade 1 | Tendon Grade 2 | Tendon Grade 3 |
|---|---|---|---|---|---|---|---|---|
| Muscle Grade 2 | n.s. * | |||||||
| Musculotendinous Grade 1 | n.s. * | n.s. * | ||||||
| Musculotendinous Grade 2 | <0.05 | n.s. * | n.s. * | |||||
| Musculotendinous Grade 3 | <0.001 | <0.05 | <0.001 | <0.001 | ||||
| Tendon Grade 1 | <0.05 | n.s. * | n.s. * | n.s. * | n.s. * | |||
| Tendon Grade 2 | <0.05 | n.s. * | n.s. * | n.s. * | n.s. * | <0.01 | ||
| Tendon Grade 3 | <0.001 | <0.001 | <0.001 | <0.001 | <0.001 | <0.001 | <0.001 |
Disclaimer/Publisher’s Note: The statements, opinions and data contained in all publications are solely those of the individual author(s) and contributor(s) and not of MDPI and/or the editor(s). MDPI and/or the editor(s) disclaim responsibility for any injury to people or property resulting from any ideas, methods, instructions or products referred to in the content. |
© 2025 by the authors. Licensee MDPI, Basel, Switzerland. This article is an open access article distributed under the terms and conditions of the Creative Commons Attribution (CC BY) license (https://creativecommons.org/licenses/by/4.0/).
Share and Cite
Hirahata, Y.; Yasui, Y.; Sasahara, J.; Inui, T.; Nakagawa, T.; Kawano, H.; Miyamoto, W. Role of Ultrasonography and MRI in Acute Hamstring Strains: Diagnostic and Prognostic Insights. Diagnostics 2025, 15, 1053. https://doi.org/10.3390/diagnostics15091053
Hirahata Y, Yasui Y, Sasahara J, Inui T, Nakagawa T, Kawano H, Miyamoto W. Role of Ultrasonography and MRI in Acute Hamstring Strains: Diagnostic and Prognostic Insights. Diagnostics. 2025; 15(9):1053. https://doi.org/10.3390/diagnostics15091053
Chicago/Turabian StyleHirahata, Yusuke, Youichi Yasui, Jun Sasahara, Takahiro Inui, Takumi Nakagawa, Hirotaka Kawano, and Wataru Miyamoto. 2025. "Role of Ultrasonography and MRI in Acute Hamstring Strains: Diagnostic and Prognostic Insights" Diagnostics 15, no. 9: 1053. https://doi.org/10.3390/diagnostics15091053
APA StyleHirahata, Y., Yasui, Y., Sasahara, J., Inui, T., Nakagawa, T., Kawano, H., & Miyamoto, W. (2025). Role of Ultrasonography and MRI in Acute Hamstring Strains: Diagnostic and Prognostic Insights. Diagnostics, 15(9), 1053. https://doi.org/10.3390/diagnostics15091053

