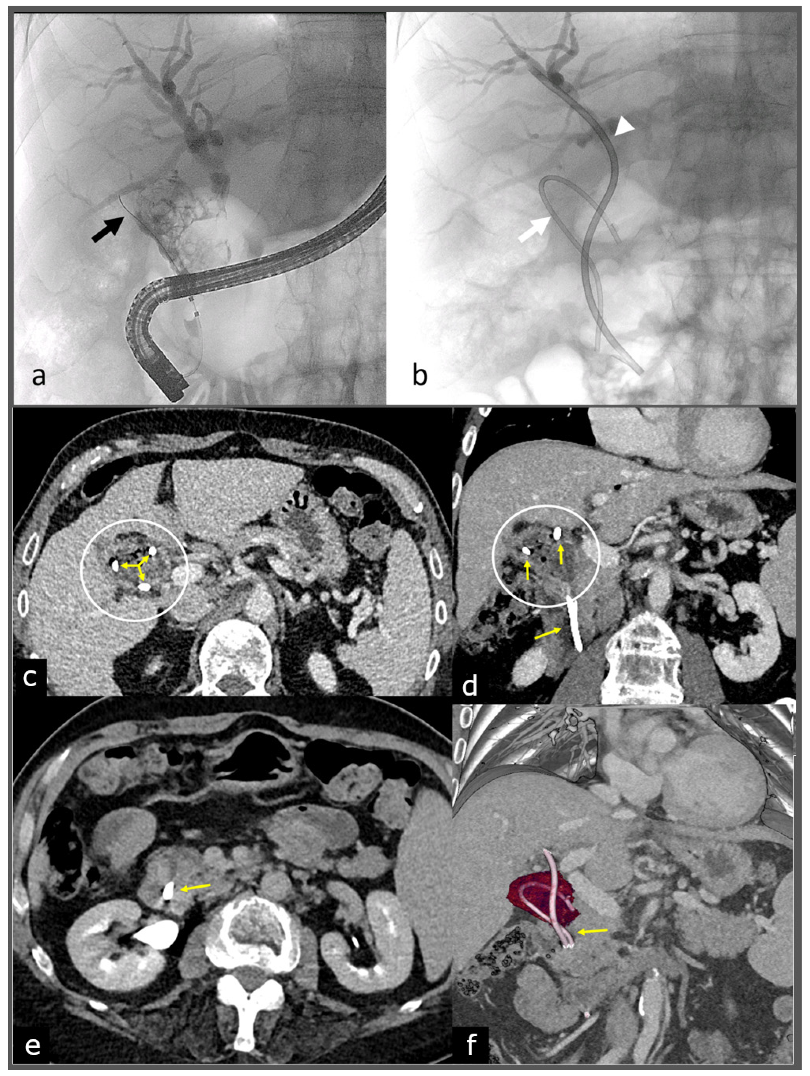
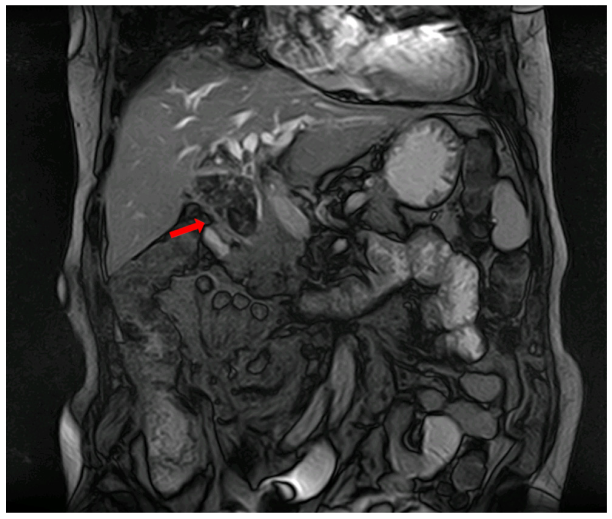
Endoscopic Retrograde Cholangiopancreatography (ERCP) for Suspected Mirizzi Syndrome Type IV as Both a Diagnostic and Bridge-to-Surgery Procedure
Abstract



Author Contributions
Funding
Institutional Review Board Statement
Informed Consent Statement
Data Availability Statement
Conflicts of Interest
References
- Kulkarni, S.S.; Hotta, M.; Sher, L.; Selby, R.R.; Parekh, D.; Buxbaum, J.; Stapfer, M. Complicated gallstone disease: Diagnosis and management of Mirizzi syndrome. Surg. Endosc. 2017, 31, 2215–2222. [Google Scholar] [CrossRef]
- Rizzo, G.E.; Di Carlo, G.; Rizzo, G.; Ferro, G.; Corbo, G.; Sciumè, C. Mirizzi syndrome in a patient with partial gastrectomy with Billroth II anastomosis: A case report. Int. J. Surg. Case Rep. 2020, 77, 549–553. [Google Scholar] [CrossRef]
- Klekowski, J.; Piekarska, A.; Góral, M.; Kozula, M.; Chabowski, M. The Current Approach to the Diagnosis and Classification of Mirizzi Syndrome. Diagnostics 2021, 11, 1660. [Google Scholar] [CrossRef]
- Yeh, C.; Wang, S.; Liu, K.; Yeh, T.; Tsai, C.; Tseng, J.; Wu, C.; Liu, N.; Chu, Y.; Jan, Y. Surgical outcome of Mirizzi syndrome: Value of endoscopic retrograde cholangiopancreatography and laparoscopic procedures. J. Hepato-Biliary-Pancreatic Sci. 2021, 28, 760–769. [Google Scholar] [CrossRef]
- Rizzo, G.E.M.; Rizzo, G.; Di Carlo, G.; Corbo, G.; Ferro, G.; Sciumè, C. Mirizzi syndrome type V complicated with both cholecystobiliary and cholecystocolic fistula: A case report. J. Surg. Case Rep. 2021, 2021, rjab239. [Google Scholar] [CrossRef] [PubMed]
- Csendes, A.; Díaz, J.C.; Burdiles, P.; Maluenda, F.; Nava, O. Mirizzi syndrome and cholecystobiliary fistula: A unifying classification. Br. J. Surg. 1989, 76, 1139–1143. [Google Scholar] [CrossRef] [PubMed]
Disclaimer/Publisher’s Note: The statements, opinions and data contained in all publications are solely those of the individual author(s) and contributor(s) and not of MDPI and/or the editor(s). MDPI and/or the editor(s) disclaim responsibility for any injury to people or property resulting from any ideas, methods, instructions or products referred to in the content. |
© 2024 by the authors. Licensee MDPI, Basel, Switzerland. This article is an open access article distributed under the terms and conditions of the Creative Commons Attribution (CC BY) license (https://creativecommons.org/licenses/by/4.0/).
Share and Cite
Rizzo, G.E.M.; Caruso, S.; Tarantino, I. Endoscopic Retrograde Cholangiopancreatography (ERCP) for Suspected Mirizzi Syndrome Type IV as Both a Diagnostic and Bridge-to-Surgery Procedure. Diagnostics 2024, 14, 855. https://doi.org/10.3390/diagnostics14080855
Rizzo GEM, Caruso S, Tarantino I. Endoscopic Retrograde Cholangiopancreatography (ERCP) for Suspected Mirizzi Syndrome Type IV as Both a Diagnostic and Bridge-to-Surgery Procedure. Diagnostics. 2024; 14(8):855. https://doi.org/10.3390/diagnostics14080855
Chicago/Turabian StyleRizzo, Giacomo Emanuele Maria, Settimo Caruso, and Ilaria Tarantino. 2024. "Endoscopic Retrograde Cholangiopancreatography (ERCP) for Suspected Mirizzi Syndrome Type IV as Both a Diagnostic and Bridge-to-Surgery Procedure" Diagnostics 14, no. 8: 855. https://doi.org/10.3390/diagnostics14080855
APA StyleRizzo, G. E. M., Caruso, S., & Tarantino, I. (2024). Endoscopic Retrograde Cholangiopancreatography (ERCP) for Suspected Mirizzi Syndrome Type IV as Both a Diagnostic and Bridge-to-Surgery Procedure. Diagnostics, 14(8), 855. https://doi.org/10.3390/diagnostics14080855

