You are currently viewing a new version of our website. To view the old version click .
Diagnostics
  • Study Protocol
  • Open Access

8 March 2024

Comparison of Transoral and Transcervical Ultrasonography with MRI for the Diagnostic Work-Up of Oropharynx Tumors: A Protocol for a Multicenter Clinical Trial (SPOTUS)

,
,
,
,
,
,
,
,
and
1
Department of Otorhinolaryngology, Head and Neck Surgery and Audiology, Copenhagen University Hospital—Rigshospitalet, 2100 Copenhagen, Denmark
2
Institute of Clinical Medicine, Faculty of Health and Medical Sciences, University of Copenhagen, 2200 Copenhagen, Denmark
3
Department of Otorhinolaryngology, Head and Neck Surgery, Zealand University Hospital, 4600 Køge, Denmark
4
Department of Otorhinolaryngology, Head and Neck Surgery & Audiology, Aarhus University Hospital, 8200 Aarhus, Denmark
This article belongs to the Special Issue Advances in Oral Imaging

Abstract

This study protocol for a prospective, multicenter, diagnostic, clinical trial describes the integration of transoral and transcervical ultrasonography (US) in the initial clinical work-up of patients referred to tertiary head and neck cancer centers with suspected oropharyngeal cancer. The study evaluates the blinded detection rate of oropharyngeal tumors and their US-estimated size and T-stage before histopathology and cross-sectional imaging are available. Magnetic resonance imaging (MRI) scans will be prospectively rated while blinded to T-site histopathology and US. The primary outcome measures of diagnostic accuracy, including sensitivity, specificity, positive and negative predictive values, and overall accuracy, will be reported for both US and MRI. A sub-analysis of prospectively rated 18F-Fluorodeoxyglucose (FDG) positron emission tomography/computerized tomography (PET/CT) scans in patients with clinically suspected unknown primary tumors will also be compared to US and MRI. Secondary outcome measures, including a comparison of tumor size estimation between US, MRI, and CT, will also be reported. This prospective multicenter study will provide clinically impactful information regarding the use of transoral and transcervical US for the diagnostic work-up of oropharyngeal cancer.

1. Introduction

The incidence of oropharyngeal squamous cell carcinoma (OPSCC) has increased in Western countries during the past few decades [1,2,3] due to human papillomavirus (HPV) [4,5,6,7]. HPV-associated OPSCCs often present with metastases in the neck, despite small primary tumors [2,8]. Detection of the primary tumor by clinical examination is challenging due to the small size, which causes the tumor to be visually obscured or impalpable. Accordingly, these patients require multiple diagnostic imaging modalities or surgery to locate the primary tumor [9,10,11]. Magnetic resonance imaging (MRI) is regarded as the best soft-tissue imaging modality for OPSCCs. It offers visualization of the entire oropharynx, but resolution is limited when differentiating smaller focal tumors from unilateral hypertrophic tonsil tissue [12]. 18F-Fluorodeoxyglucose (FDG) positron emission tomography/computerized tomography (PET/CT) further improves the detection rate of smaller OPSCCs, but physiologic asymmetry in FDG-uptake of oropharyngeal lymphoid tissue can mimic the FDG-uptake of primary tumors [13,14,15].
Two studies have previously compared MRI, PET/CT, and CT scans with transcervical ultrasonography (US) to detect OPSCCs [16,17]. While not performed blinded to histopathology, the studies found high detection rates of 90–98% using transcervical US compared to 71% (MRI), 69–83% (CT), and 83% (PET/CT). For small or unknown primary tumors, the literature is currently limited to smaller pilot studies or case reports [18,19]. The optimization of US transducers for the visualization of deep-seated oropharyngeal structures require sacrificing image resolution for increased depth penetration, which may diminish the visibility of smaller tumors [20]. Instead, high-frequency US (>15 MHz) provides a higher-resolution image of superficial structures [21]. With the development of small-footprint US transducers, the intraoral US technique has shown potential for oral tongue cancer detection and depth-of-invasion estimation [22,23]. For the oropharynx, a transoral US approach has shown improved visualization compared to transcervical US for the diagnosis of peritonsillar abscesses [24,25]. A small-sample feasibility study found that outpatient-performed transoral US had high sensitivity and specificity to differentiate oropharyngeal tumors from normal tissue, but the study was not performed blinded to histopathology for all included cases [26]. Prospective multicenter trials blinded to cross-sectional imaging and histopathology are required to establish the diagnostic accuracy of transoral and transcervical US for oropharyngeal tumor detection and staging.

Research Question

In first-time patient referrals to tertiary head and neck cancer centers with suspicion of oropharyngeal cancer, what is the diagnostic accuracy of outpatient-performed transoral and transcervical US compared to MRI for tumor detection and staging?

2. Materials and Methods

2.1. Study Design and Setting

We will conduct a prospective, multicenter, clinical trial exploring the use of transoral and transcervical US in the outpatient clinic for detecting oropharyngeal tumors, blinded to reference standard imaging and histopathology (Clinicaltrials.gov registration NCT05696314). The Surgeon-Performed Oropharyngeal Transoral UltraSonography (SPOT-US) trial will be a single-group paired diagnostic study comparing transoral and transcervical US to MRI and PET/CT [27]. The aim of the trial is to explore whether US can improve the current diagnostic work-up of OPSCCs.

2.2. Participant Eligibility

The trial will be performed at the department of Otorhinolaryngology, Head and Neck Surgery in three public hospitals in Denmark: Copenhagen University Hospital—Rigshospitalet, Aarhus University Hospital, and Zealand University Hospital, Køge. In Denmark, patients suspected of having cancer are entitled to a free diagnostic work-up and treatment at public hospitals, funded by the national tax system.
Adult patients aged 18+ years will be screened for eligibility prior to their first clinical work-up at the departments by a study investigator at each center and registered in a screening log (Table 1).
Table 1. Screening log example for the SPOT-US trial.
During examination at the outpatient clinic in the above-mentioned hospital departments, potentially eligible patients will be assessed for eligibility by a head and neck surgeon or study investigator (Table 2). If a potentially eligible patient is unable to be included due to unavailability of study investigators, the baseline characteristics (initial clinical diagnosis, age, and sex) and the final diagnosis (tumor type, location, and T-stage) will be compared with included patients to assess for potential selection bias (Table 1).
Table 2. Eligibility criteria during initial clinical work-up of referred patients with suspicion of oropharyngeal cancer.

2.3. Outpatient-Performed Clinical Exam with Transoral and Transcervical US (Index Test)

2.3.1. Standard Clinical Work-Up

Patients with suspected head and neck cancer enter a fast-track outpatient clinic in tax-funded public hospitals’ head and neck surgery departments within one week from referral. The standard Danish oropharyngeal cancer work-up and proposed study interventions are summarized in Table 3. Clinical examinations are performed by otorhinolaryngology senior registrars or consultants.

2.3.2. Prospective Clinical Data Collection during Initial Outpatient Clinic Exam

We will prospectively register oropharyngeal findings from inspection and digital endoscopy (no visible pathology, visible tumor, or visible asymmetry), palpation (palpable tumor or no palpable findings), narrow-band imaging (suspect vasculature or normal vasculature), tumor suspicion (highly suspected tumor, inconclusive asymmetry, or no tumor detected), tumor location (palatine tonsil, lingual tonsil, overlapping palatine and lingual tonsil regions, or other oropharyngeal sites), tumor size in three diameters, tumor invasion of underlying tissue (yes, no, or inconclusive), and Union for International Cancer Control 8th Edition (UICC8) clinical T-stage (Tx, T0, T1, T2, T3, T4) [28]. Patient-reported discomfort from oropharyngeal palpation will be rated on an 11-point numeric rating scale from 0 (no discomfort) to 10 (worst discomfort imaginable) [29].
Table 3. Standard oropharyngeal cancer work-up in Denmark and integration of the proposed study interventions.
Table 3. Standard oropharyngeal cancer work-up in Denmark and integration of the proposed study interventions.
SettingStandard Diagnostic Work-UpStudy Interventions
Otorhinolaryngology, Head and Neck Surgery outpatient clinic (Initial work-up)
  • Clinical exam including inspection, palpation, and digital endoscopy with narrowband imaging.
  • Surgeon-performed neck ultrasound [30].
  • Fine-needle aspiration cytology.
  • Biopsies from T-site.
  • Transoral ultrasound of the oropharynx.
  • Transcervical ultrasound of the oropharynx.
  • Optional ultrasound-guided needle biopsy from the oropharynx.
Diagnostic imaging
  • Head and neck MRI.
  • Chest CT. °
  • PET/CT. *
Diagnostic operations
  • Direct laryngoscopy with frozen-section biopsy. §
  • Palatine tonsillectomy. *
  • Lingual tonsillectomy. *
MDT conference and treatment-initiation planning
  • Final histopathological diagnosis, tumor location, and UICC8 TNM-stage established.
  • Treatment modality chosen: surgical, (chemo)radiotherapy, or palliative treatment.
° Chest CT is included to evaluate potential distant metastases to the lungs per Danish national guidelines for oropharynx cancer [31]. * These procedures are additional procedures performed in patients suspected of having head and neck cancer of unknown primary. In Denmark, diagnostic lingual tonsillectomy is performed as a transoral robot-assisted surgery for HPV-associated cancer of unknown primary if the primary tumor has not been found during direct laryngoscopy and palatine tonsillectomy [11]. § This procedure is performed if the primary tumor cannot be located or reached in the outpatient clinic.
The following data will be gathered prospectively from medical charts: tobacco smoking, alcohol consumption, multidisciplinary team (MDT) diagnosis and tumor location, cross-sectional imaging data (including MRI, CT, and PET/CT), number of lymph node metastases (solitary or multiple), type of lymph node metastases (cystic or solid), histopathology results from biopsies or tumor resections, and HPV results (p16 status, HPV status, and HPV genotype, described previously) [2]. All data will be recorded in a REDCap database [32]. These data will be used for demographics and descriptive statistics.

2.3.3. Transoral and Transcervical US Training

Prior to initiating inclusion, all participating study investigators performing transoral and transcervical US will complete an introductory written test containing questions on important anatomical landmarks of the oropharynx using transoral or transcervical US, followed by practical performance of the scanning procedures under observation from the primary study investigator (M.G.-Z.). For all transoral US exams, study investigators will follow the systematic scanning approach described in this protocol, while the transcervical US exam is inspired by Coquia et al. [20].

2.3.4. Outpatient-Performed Transoral US

Following clinical examination, included patients will be offered combined transoral and transcervical US of the oropharynx during the initial work-up as an extension of the clinical work-up. This will be performed prior to any available T-site histopathology results. US will be performed blinded to any cross-sectional imaging. To perform the transoral US, a patient seated upright in an examination chair will receive topical anesthetic spray applied to both palatine tonsils and the posterior portion of the tongue using xylocaine (10 mg/dose). Patients are informed that eating or drinking following local anesthesia should be postponed for up to one hour due to the risk of aspiration. Patients are instructed to swallow the anesthesia. A sheathed or disinfected “hockey-stick” or small-footprint US transducer is advanced into the patient’s mouth and placed on top of the suspected palatine tonsil in the transverse plane (Figure 1a,c) with a gentle swiping motion from the cranial to caudal pole. The transducer is rotated to the sagittal plane by positioning the tip of the transducer caudally (Figure 1b,d) and a swipe is performed from the lateral to the medial edge. The procedure is repeated contralaterally. Power Doppler is performed on both palatine tonsils. If a lingual tonsil tumor is suspected, a transoral US is attempted (Figure 2).
Figure 1. Transoral US of the palatine tonsils: (a) a sheathed US transducer placed on the right palatine tonsil (arrow: swipe direction cranial-to-caudal) in the transverse plane; (b) sagittal plane (arrow: swipe direction lateral-to-medial); (c) transverse US image with Power Doppler of a right palatine tonsil tumor (dotted outline) with underlying constrictor muscle (dashed line), internal carotid artery (ICA), stylopharyngeus muscle (SPM), styloglossus muscle (SGM), and medial pterygoid muscle (MPM). The anteroposterior (red bi-directional arrow) and mediolateral (orange bi-directional arrow) tumor diameters are shown; (d) sagittal US image of the same tumor (dotted outline) with the underlying constrictor (dashed line), ICA, and MPM. In sagittal view, the MPM can be used as a craniolateral landmark. The craniocaudal diameter of the tonsil is shown using a blue bi-directional arrow.
Figure 2. Transoral US of the lingual tonsils: (a) a sheathed US transducer placed on the left lingual tonsil (arrow: swipe direction lateral-to-midline) in the sagittal plane; (b) sagittal US image with Power Doppler of the lingual tonsil (yellow outline), a tumor-suspected area (dotted outline), underlying base of tongue musculature (BOT), and the hyoid bone’s acoustic shadow (white arrowhead). The craniocaudal (blue bi-directional arrow) and anteroposterior (red bi-directional arrow) diameters are shown on the tumor-suspected area.
We will register additional clinical parameters that may affect incomplete transoral US scans such as mouth opening ability (measured in millimeters between incisors) using a measuring device such as the TheraBite® and the visibility of oropharyngeal structures (graded using the Mallampati scoring system) [33], and objectively rate the patients’ gagging severity (1—Normal; 2—Mild; 3—Moderate; 4—Severe; 5—Very severe) using the Gagging Severity Index [34]. Incomplete transoral US examination will be registered with one or more of the above-mentioned reasons.

2.3.5. Outpatient-Performed Transcervical US

For transcervical US, the tongue and lingual tonsils are visualized using a curved low-frequency transducer placed on the suprahyoid region in a transverse plane. A swipe from the chin to towards the hyoid bone is performed (Figure 3a). The probe is then rotated 90 degrees clockwise to the sagittal plane and two consecutive midline-to-lateral swipes are performed for each side of the base of tongue (Figure 3b). Similarly, the palatine tonsils are visualized in two planes in the submandibular gland region (Figure 3c,d) [20]. The quality of both transoral and transcervical US scans will be rated using a 5-point Likert scale (1—Very poor; 2—Poor; 3—Fair; 4—Good; 5—Excellent) [35]. Patient-reported discomfort from transoral US will be quantified using an 11-point numeric rating scale from 0 (no discomfort) to 10 (worst discomfort imaginable).
Figure 3. Transcervical US of the palatine and lingual tonsils. Transducer orientations are represented on the top right of each image with a white arrow representing the swiping directions: (a) oblique transverse US image of the base of tongue with the geniohyoid (GHM), genioglossus muscles (GGMs), intrinsic tongue muscles (ITMs), hyoglossus muscle (arrowhead), oral surface of the tongue (dashed line), and a hypoechoic endophytic tumor in the right base of tongue (dotted outline). The mediolateral diameter of the tumor is shown (orange bi-directional arrow); (b) sagittal US image of the same tumor with the hyoid bone’s acoustic shadow shown (white outline)—craniocaudal (blue bi-directional arrow) and anteroposterior (red bi-directional arrow) tumor diameters; (c) Oblique transverse US image of a benign hyperplastic palatine tonsil (PT, dotted outline), the submandibular gland (SMG), tongue, and mediolateral diameter of the PT (orange bi-directional arrow); (d) sagittal US image of the same PT with the mandible’s acoustic shadow shown anteriorly as a landmark for the anteroposterior diameter (red bi-directional arrow). The craniocaudal diameter (blue bi-directional arrow) of the PT is parallel to the hyperechoic mucosal surface seen below the tonsil.

2.3.6. US Criteria for Tumor Detection

If an oropharyngeal tumor is clearly visualized via US examination, a “positive” result will be registered. If altered tonsillar appearance and/or doppler flow is visualized without a well-defined tumor and clinical evaluation cannot rule out a cancer, an “inconclusive” result is registered. If no suspected lesions are found—or benign lesions such as tonsilloliths [36], peritonsillar abscesses [24], or cysts [37] are visualized—thorough examination of both sides including normal Power Doppler examination is required to yield a “negative” result. We will register whether transoral US, transcervical US, or both techniques exams could detect an oropharyngeal tumor. Suspected tumor locations will be registered identically to the clinical registered categories (Section 2.3.2). The grade of oropharyngeal tumor suspicion will be further characterized using a 5-point Likert scale (1—Very low; 2—Low; 3—Intermediate.; 4—High; 5—Very high) [38].

2.3.7. US Tumor Size Estimation and T-Staging

All US tumor measurements will be registered blinded to MRI and PET/CT. Small tumors will be measured transorally if they fit within the field-of-view of the transoral US transducers. In transverse transoral US of the palatine tonsils, the medial pterygoid muscle will serve as a lateral landmark (Figure 1c): the mediolateral diameter will be measured from the medial pterygoid muscle towards the tonsil’s medial surface. A perpendicular measurement will be performed for the anteroposterior diameter (Figure 1c). In sagittal view, the length of the tonsil tumor from the upper to lower pole will be measured as the craniocaudal diameter (Figure 1d). For the lingual tonsil, the hyoid bone will serve as a caudal landmark for the craniocaudal tumor diameter (Figure 2b). A perpendicular anteroposterior diameter will be measured through the tumor from the posterior surface of the lingual tonsil in the direction of the tongue apex. The mediolateral diameter is more difficult to measure transorally due to technical limitations of the US transducers. Instead, this diameter will be measured transcervically if the tumor can be visualized.
The greatest tumor diameters in three dimensions and an ultrasonographic T-stage will be registered considering tumor invasion of deep structures according to the UICC8 staging system. Transcervical US will be used to measure primary oropharyngeal tumors that are larger than the transoral US transducer’s field-of-view (Figure 3). We will register whether the transoral US or transcervical US was superior in terms of tumor measurement and invasion.

2.4. Cross-Sectional Imaging (Comparison Tests)

All included patients with a clinical suspicion of OPSCC will receive a Gadolinium contrast-enhanced MRI within 1–2 weeks of the initial outpatient work-up. Included patients who do not receive an MRI—such as low clinical suspicion of OPSCC—will be excluded from the primary outcome analysis. FDG PET/CTs will be performed within 1–2 weeks of the initial outpatient work-up for a subgroup of patients with clinical unknown primary cancer or for therapeutic radiotherapy planning for patients with OPSCCs. An expert neuroradiologist (R.N.) will evaluate the contrast-enhanced MRIs while blinded to PET/CT, transoral and transcervical US, cytology, and histopathology results. Fused PET/CT scans will be evaluated by an expert nuclear medicine physician (D.D.) blinded to MRI, transoral and transcervical US, cytology, and histopathology results. Any neck CT scans performed due to diagnostic or therapeutic PET/CT will be separately analyzed by an oncoradiologist (J.M.H.) blinded to PET, MRI, transoral and transcervical US, cytology, and histopathology.
For all cross-sectional imaging, scan quality will be rated using a 5-point Likert scale (1—Very poor to 5—Excellent quality) based on motion artifacts, dental artifacts, or missing contrast agents. For MRI and CT, the use of intravenous contrast agents will be reported. Tumor detection will be evaluated using the following criteria: positive (clearly visible oropharyngeal tumor), inconclusive (oropharyngeal asymmetry), and negative (no oropharyngeal tumor). A 5-point Likert score will also be reported for grading of oropharyngeal tumor suspicion (1—very low to 5—very high suspicion).
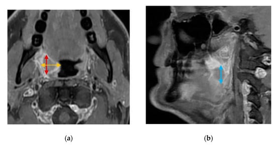
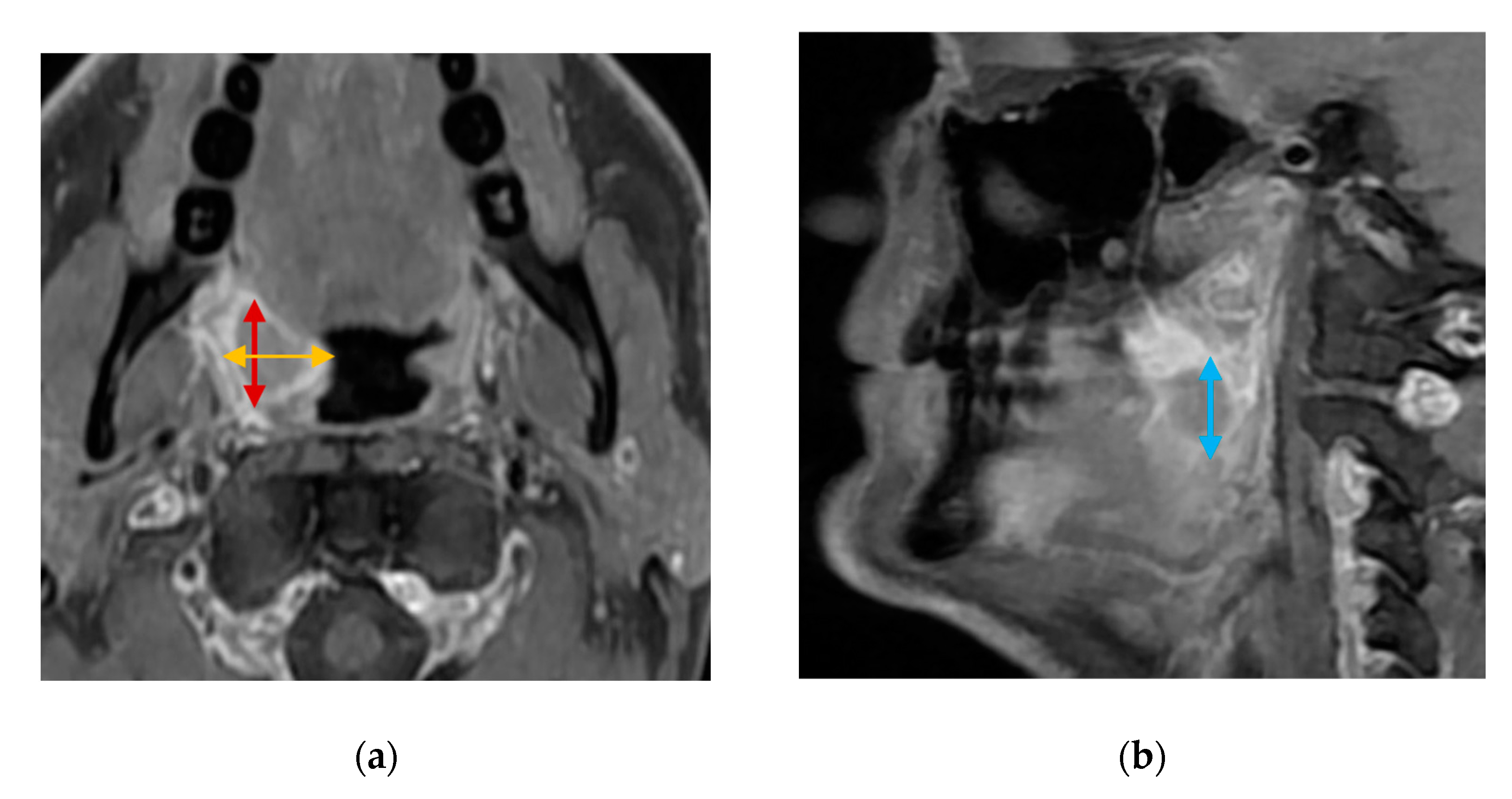
CTs and MRIs will be evaluated for the greatest tumor diameters in three dimensions (craniocaudal, anteroposterior, and mediolateral) for visible tumors. Tumors will be measured in three perpendicular dimensions in axial (anteroposterior and mediolateral diameters) and coronal/sagittal planes (craniocaudal diameter) (Figure 4). A categorical T-stage will be estimated using CT and MRI according to the UICC8 staging system.
Figure 4. Contrast-enhanced, T1-weighted MRI images of a stage T1 squamous cell carcinoma of the right palatine tonsil: (a) axial orientation showing the mediolateral (yellow bi-directional arrows) and anteroposterior (red bi-directional arrows) diameters of the tumor; (b) sagittal orientation showing the craniocaudal (blue bi-directional arrows) diameter of the tumor.

2.5. Reference Standard for Tumor Detection

The reference standard for tumor detection for all diagnostic tests will be the binary histopathology diagnosis (oropharyngeal tumor present vs. no oropharyngeal tumor). Medical charts of all included patients with an absence of oropharyngeal tumors after full examination will be looked up 3 months after concluding the study’s inclusion period to confirm that their initial benign diagnosis was correct. For patients with OPSCC, the final tumor location and T-stage will be defined via MDT conference. If primary tumors are resected, the pathologic T-stage and tumor size will be evaluated by an expert head and neck pathologist (T.K.A.). For all other primary tumors, the reference T-stage and tumor size will be determined via MDT, considering all available clinical and radiological findings.

3. Outcome Definitions

3.1. Primary Outcomes

Sensitivity and specificity of USs (both transoral and transcervical) and MRI for the diagnostic work-up of patients with clinically suspected oropharyngeal tumors.

3.2. Secondary Outcomes

  • Oropharyngeal tumor suspicion via US, MRI, PET/CT, and CT (5-point Likert scale).
  • Detection of patients suspected to have unknown primary OPSCCs via transoral and transcervical US, MRI, and PET/CT.
  • Tumor detection, size (mm) in three dimensions (craniocaudal, anteroposterior, and mediolateral), and volume (mm3) estimated clinically via US, MRI, CT, and histopathology.
  • Categorical T-stage (Tx, T0, T1, T2, T3, or T4) measured clinically via US, MRI, and CT.

3.3. Other Outcomes

  • Scan quality of transoral US, transcervical US, MRI, PET/CT, and CT (5-point Likert scale).
  • Patient mouth opening ability (mm) and categorical trismus (>35 mm, ≤35 mm).
  • An 11-point numeric rating scale for discomfort of oropharyngeal palpation and transoral US.
  • Patient gagging severity index (5-point scale).
  • Patient Mallampati score (grade I-IV).

4. Statistics

The full statistics plan can be seen in Supplementary Materials. The diagnostic accuracy of oropharyngeal primary tumor detection will be analyzed using the sensitivity, specificity, positive and negative predictive values, and overall accuracy of transoral and transcervical US, MRI, PET, and CT. The histopathology diagnosis and the final MDT specified tumor location will define true positive, false positive, true negative, and false negative results (Table 4). Positive and inconclusive diagnostic tests with correctly specified tumor locations will be analyzed as positive test results—due to the clinical consequence leading to further diagnostic interventions—if the reason for inconclusiveness is diagnostic uncertainty [39]. Non-diagnostic tests due to incomplete transoral US exams or missing contrast agents (MRI and CT) will be excluded from primary analysis, while a sub-analysis will include these cases. A multivariable logistic regression analysis will be performed using the reference standard diagnosis (oropharyngeal tumor vs. no oropharyngeal tumor) as the binary outcome variable, while results of US or cross-sectional imaging, time between scans, and the study center will be included as covariables. Generalized estimating equations (GEE) will account for correlations within the data, with an exchangeable correlation structure.
Table 4. Definition of true positive (TP), false positive (FP), false negative (FN), and true negative (TN) from histopathology diagnosis and acronym MDT specified tumor location.
A sub-analysis of the OPSCC detection rate will be compared between transoral US, transcervical US, and MRI stratified by final MDT T-stage. Another sub-analysis will be conducted for OPSCC detection stratified by tumor location (palatine tonsil, lingual tonsil, overlapping palatine/lingual tonsils, and other oropharynx). A subgroup analysis will be performed on patients with clinically suspected unknown primary cancer, where narrowband imaging, transoral US, transcervical US, MRI, CT, and PET/CT will be compared in terms of diagnostic accuracy for primary oropharyngeal tumor detection. McNemar’s test will be used to determine whether there are statistically significant differences between test sensitivities. To assess for a possible learning curve in performing transoral and transcervical US, we will perform an additional sub-analysis: each ultrasonographer’s included patients will be divided into two equal halves based on the inclusion date. The diagnostic accuracy per ultrasonographer will be compared between the first and second half of included patients.
For tumor size correlation, the greatest tumor diameters in craniocaudal, anteroposterior, and mediolateral diameters and tumor volumes will be compared between US and cross-sectional imaging using scatter plots, Pearson’s correlation coefficient (r), and Bland–Altman plots [40]. For patients with surgically resected tumors, a sub-analysis will be performed comparing pre-operative US and cross-sectional imaging to the formalin-fixated histopathology’s greatest tumor diameter.
To account for possible selection bias, all screened patients from the date of first patient inclusion at each center will be prospectively evaluated for potential eligibility according to our inclusion criteria. Eligible patients that were not included due to logistical reasons will be compared to included patients using descriptive statistics and Pearson’s Chi2 test for categorical variables stated in Table 1. We will also compare the age of these two groups using an unpaired t-test. We will also compare the inclusion rate of eligible patients between the three centers.
RStudio statistics software version 4.1.0 will be used to perform all analyses [41], 95% confidence intervals (95%CI) will be reported for all measures of diagnostic accuracy, and statistical significance will be reported as p-values < 0.05.

5. Sample Size Calculation

A sample size calculation was performed based on a feasibility study we conducted on 26 patients that received oropharyngeal US and MRI [26]. This study resulted in a 3.8% and 15.4% rate of discordance between US and MRI, respectively, in terms of successfully classifying patients according to their final diagnosis. Using a power of 90% and an alpha of 5%, we conducted a power calculation using the following online calculator (accessed on 1 January 2023): http://powerandsamplesize.com/Calculators/Compare-Paired-Proportions/McNemar-Z-test-2-Sided-Equality. To account for the exclusion of non-diagnostic tests, such as incomplete transoral US or missing intravenous contrasts for MRI, an additional 10% will be added to the sample size. The minimum required sample size will, therefore, be 161 patients referred with clinically suspected oropharyngeal cancer or unknown primary cancer. We expect to have concluded inclusion within 1½ years. Any additional patients included prior to benign histopathology or lymphoma diagnoses that do not routinely receive MRI scans will be used for subgroup analysis.

6. Discussion

The intent of this protocol is to be transparent with our systematic transoral and transcervical US method for this multicenter prospective study of diagnostic accuracy blinded to histopathology and cross-sectional imaging.
First-time patient referrals for cancer work-up with a suspicion of OPSCC or unknown primary cancer will be offered inclusion. This will result in a cohort of patients of different T-stages, benign and malignant diagnoses, and multiple histopathological diagnoses. The sample cannot be generalized to the general population since patients referred for cancer work-up are already a highly selected patient population. Instead, our oropharyngeal tumor detection analyses will be representative for head and neck cancer centers with first-time referrals. Prior studies utilizing transcervical US are limited by selection bias regarding the analysis of detection sensitivities, since patients already have histopathologically verified OPSCCs at the time of inclusion or previously available cross-sectional imaging [16,17,42]. Our study will instead present unbiased tumor detection sensitivity and specificity.
The greatest limitations for both transoral and transcervical US include the learning curve required to both perform and interpret the imaging. For our study, all study investigators that include patients will undergo an introductory course in transoral and transcervical US of the oropharynx and regularly receive supervision from the primary investigator (M.G-Z.). Furthermore, a sub-analysis will be performed comparing the tumor detection rates by stratifying US tumor detection sensitivity and specificity into “inexperienced” and “experienced” ultrasonographer groups.
Secondarily, if tumor size or T-staging is comparable with cross-sectional imaging, this will provide head and neck surgeons with a point-of-care tool to evaluate the primary tumor extent. Treatment decisions, such as operability versus chemoradiation, can then be made at the time of the patient’s first visit. One other limitation is that cross-sectional imaging is not a true gold standard for evaluating tumor size but histopathologic examination of the entire tumor specimen is. In practice, most patients with OPSCC are treated using chemoradiation, while a subset of patients with small primary tumors are operated upon. Considering this limitation, US can potentially be more precise at measuring tumor size than cross-sectional imaging. To explore this, we will perform a subgroup analysis on patients who are offered surgical treatment to compare histopathologic tumor size with cross-sectional imaging and US.
In conclusion, this study protocol provides a systematic approach to the transoral US technique of the oropharynx, which has not been well described in the current literature. This will provide surgeons and/or radiologists with a new diagnostic modality that may improve the diagnostic work-up for patients with oropharynx cancer.

Supplementary Materials

The following supporting information can be downloaded at: https://www.mdpi.com/article/10.3390/diagnostics14060577/s1, Statistical Analysis Plan (SAP). Figure S1: Bland-Altman Plot; Table S1: Test results 2 × 3 table; Table S2: Long dataset format; Table S3: GEE logistic regression.

Author Contributions

Conceptualization, M.G.-Z. and T.T.; methodology, M.G.-Z. and T.T.; writing—original draft preparation, M.G.-Z.; writing—review and editing, T.T., R.N., C.v.B., I.W., T.K., T.K.A., C.H.H., C.C.P., D.D., N.L.F., M.K., G.B.H., P.O., S.B.N., A.K.E. and J.M.H.; supervision, T.T., C.v.B. and R.N.; project administration, M.G.-Z.; funding acquisition, T.T. All authors have read and agreed to the published version of the manuscript.

Funding

This research and the APC were funded by the Novo Nordisk Foundation, Hellerup, Denmark, grant number NNF20OC0059290.

Institutional Review Board Statement

The study was conducted in accordance with the Declaration of Helsinki and approved by the Institutional Review Board (or Ethics Committee) of Region Hovedstaden (protocol code H-23043848, version 1.2, 14 September 2023).

Data Availability Statement

No new data were created or analyzed in this study. Data sharing is not applicable to this article.

Acknowledgments

The authors would like to acknowledge the nurses and doctors at each center’s outpatient clinic for allowing us to carry out the study in a busy clinical setting. We would also like to thank medical student and research assistant Magne Bech for allowing us to demonstrate the ultrasound procedures on him.

Conflicts of Interest

The authors declare no conflicts of interest. The funders had no role in the design of the study; in the collection, analyses, or interpretation of data; in the writing of the manuscript; or in the decision to publish the results.

Abbreviations

95%CI95% Confidence intervalMPMMedial pterygoid muscle
BOTBase of tongueMRIMagnetic resonance imaging
CTComputerized tomographyOPSCCOropharyngeal squamous cell carcinoma
FDG18F-FluorodeoxyglucosePET/CTPositron emission tomography/computerized tomography
GEEGeneralized estimating equationsPTPalatine tonsil
GGMGenioglossus muscleSGMStyloglossus muscle
GHMGeniohyoid muscleSMGSubmandibular gland
HPVHuman papillomavirusSPMStylopharyngeus muscle
ICAInternal carotid arterySPOT-USSurgeon-Performed Oropharyngeal Transoral UltraSonography
ITMIntrinsic tongue musclesUICC8Union for International Cancer Control 8th Edition
MDTMultidisciplinary teamUSUltrasonography

References

  1. Chaturvedi, A.K.; Anderson, W.F.; Lortet-Tieulent, J.; Curado, M.P.; Ferlay, J.; Franceschi, S.; Rosenberg, P.S.; Bray, F.; Gillison, M.L. Worldwide Trends in Incidence Rates for Oral Cavity and Oropharyngeal Cancers. J. Clin. Oncol. 2013, 31, 4550–4559. [Google Scholar] [CrossRef] [PubMed]
  2. Zamani, M.; Grønhøj, C.; Jensen, D.H.; Carlander, A.F.; Agander, T.; Kiss, K.; Olsen, C.; Baandrup, L.; Nielsen, F.C.; Andersen, E.; et al. The current epidemic of HPV-associated oropharyngeal cancer: An 18-year Danish population-based study with 2169 patients. Eur. J. Cancer 2020, 134, 52–59. [Google Scholar] [CrossRef] [PubMed]
  3. Braakhuis, B.J.M.; Visser, O.; René Leemans, C. Oral and oropharyngeal cancer in The Netherlands between 1989 and 2006: Increasing incidence, but not in young adults. Oral Oncol. 2009, 45, e85–e89. [Google Scholar] [CrossRef]
  4. Chancellor, J.A.; Ioannides, S.J.; Elwood, J.M. Oral and oropharyngeal cancer and the role of sexual behaviour: A systematic review. Community Dent. Oral Epidemiol. 2017, 45, 20–34. [Google Scholar] [CrossRef]
  5. Dahlstrom, K.R.; Bell, D.; Hanby, D.; Li, G.; Wang, L.E.; Wei, Q.; Williams, M.D.; Sturgis, E.M. Socioeconomic characteristics of patients with oropharyngeal carcinoma according to tumor HPV status, patient smoking status, and sexual behavior. Oral Oncol. 2015, 51, 832–838. [Google Scholar] [CrossRef] [PubMed]
  6. D’Souza, G.; Wentz, A.; Kluz, N.; Zhang, Y.; Sugar, E.; Youngfellow, R.M.; Guo, Y.; Xiao, W.; Gillison, M.L. Sex Differences in Risk Factors and Natural History of Oral Human Papillomavirus Infection. J. Infect. Dis. 2016, 213, 1893–1896. [Google Scholar] [CrossRef]
  7. Ruud Kjær, E.K.; Jensen, J.S.; Jakobsen, K.K.; Lelkaitis, G.; Wessel, I.; von Buchwald, C.; Grønhøj, C. The Impact of Comorbidity on Survival in Patients With Head and Neck Squamous Cell Carcinoma: A Nationwide Case-Control Study Spanning 35 Years. Front. Oncol. 2021, 10, 617184. [Google Scholar] [CrossRef]
  8. McIlwain, W.R.; Sood, A.J.; Nguyen, S.A.; Day, T.A. Initial Symptoms in Patients With HPV-Positive and HPV-Negative Oropharyngeal Cancer. JAMA Otolaryngol. Head Neck Surg. 2014, 140, 441–447. [Google Scholar] [CrossRef]
  9. Larsen, M.H.H.; Channir, H.I.; Von Buchwald, C. Human Papillomavirus and Squamous Cell Carcinoma of Unknown Primary in the Head and Neck Region: A Comprehensive Review on Clinical Implications. Viruses 2021, 13, 1297. [Google Scholar] [CrossRef]
  10. Kalavacherla, S.; Sanghvi, P.; Lin, G.Y.; Guo, T. Updates in the management of unknown primary of the head and neck. Front. Oncol. 2022, 12, 991838. [Google Scholar] [CrossRef]
  11. Channir, H.I.; Rubek, N.; Nielsen, H.U.; Kiss, K.; Charabi, B.W.; Lajer, C.B.; von Buchwald, C. Transoral robotic surgery for the management of head and neck squamous cell carcinoma of unknown primary. Acta Otolaryngol. 2015, 135, 1051–1057. [Google Scholar] [CrossRef]
  12. Bhatia, K.S.S.; King, A.D.; Yeung, D.K.W.; Mo, F.; Vlantis, A.C.; Yu, K.-H.; Wong, J.K.T.; Ahuja, A.T. Can diffusion-weighted imaging distinguish between normal and squamous cell carcinoma of the palatine tonsil? Br. J. Radiol. 2010, 83, 753–758. [Google Scholar] [CrossRef]
  13. Chen, B.; Zhang, H.; Liu, D.; Wang, X.; Ji, B.; Gao, S. Diagnostic performance of 18F-FDG PET/CT for the detection of occult primary tumors in squamous cell carcinoma of unknown primary in the head and neck: A single-center retrospective study. Nucl. Med. Commun. 2021, 42, 523–527. [Google Scholar] [CrossRef] [PubMed]
  14. Johansen, J.; Buus, S.; Loft, A.; Keiding, S.; Overgaard, M.; Hansen, H.S.; Grau, C.; Bundgaard, T.; Kirkegaard, J.; Overgaard, J. Prospective study of 18FDG-PET in the detection and management of patients with lymph node metastases to the neck from an unknown primary tumor. Results from the DAHANCA-13 study. Head Neck 2008, 30, 471–478. [Google Scholar] [CrossRef] [PubMed]
  15. Golusinski, P.; Di Maio, P.; Pehlivan, B.; Colley, S.; Nankivell, P.; Kong, A.; Hartley, A.; Mehanna, H. Evidence for the approach to the diagnostic evaluation of squamous cell carcinoma occult primary tumors of the head and neck. Oral Oncol. 2019, 88, 145–152. [Google Scholar] [CrossRef]
  16. Faraji, F.; Coquia, S.F.; Wenderoth, M.B.; Padilla, E.S.; Blitz, D.; Dejong, M.R.; Aygun, N.; Hamper, U.M.; Fakhry, C. Evaluating oropharyngeal carcinoma with transcervical ultrasound, CT, and MRI. Oral Oncol. 2018, 78, 177–185. [Google Scholar] [CrossRef]
  17. Lang Kuhs, K.A.; Wood, C.B.; Wiggleton, J.; Aulino, J.M.; Latimer, B.; Smith, D.K.; Bender, N.; Rohde, S.; Mannion, K.; Kim, Y.; et al. Transcervical sonography and human papillomavirus 16 E6 antibodies are sensitive for the detection of oropharyngeal cancer. Cancer 2020, 126, 2658–2665. [Google Scholar] [CrossRef]
  18. Fakhry, C.; Agrawal, N.; Califano, J.; Messing, B.; Liu, J.; Saunders, J.; Ha, P.; Coquia, S.; Hamper, U.; Gillison, M.; et al. The use of ultrasound in the search for the primary site of unknown primary head and neck squamous cell cancers. Oral Oncol. 2014, 50, 640–645. [Google Scholar] [CrossRef]
  19. Mydlarz, W.K.; Liu, J.; Blanco, R.; Fakhry, C. Transcervical ultrasound identifies primary tumor site of unknown primary head and neck squamous cell carcinoma. Otolaryngol. Head Neck Surg. 2014, 151, 1090–1092. [Google Scholar] [CrossRef]
  20. Coquia, S.F.; Hamper, U.M.; Holman, M.E.; DeJong, M.R.; Subramaniam, R.M.; Aygun, N.; Fakhry, C. Visualization of the Oropharynx With Transcervical Ultrasound. AJR Am. J. Roentgenol. 2015, 205, 1288–1294. [Google Scholar] [CrossRef] [PubMed]
  21. Jacobson, J.A.; Middleton, W.D.; Allison, S.J.; Dahiya, N.; Lee, K.S.; Levine, B.D.; Lucas, D.R.; Murphey, M.D.; Nazarian, L.N.; Siegel, G.W.; et al. Ultrasonography of Superficial Soft-Tissue Masses: Society of Radiologists in Ultrasound Consensus Conference Statement. Radiology 2022, 304, 18–30. [Google Scholar] [CrossRef] [PubMed]
  22. Marchi, F.; Filauro, M.; Iandelli, A.; Carobbio, A.L.C.; Mazzola, F.; Santori, G.; Parrinello, G.; Canevari, F.R.M.; Piazza, C.; Peretti, G. Magnetic Resonance vs. Intraoral Ultrasonography in the Preoperative Assessment of Oral Squamous Cell Carcinoma: A Systematic Review and Meta-Analysis. Front. Oncol. 2020, 9, 1571. [Google Scholar] [CrossRef] [PubMed]
  23. Kaltoft, M.; Hahn, C.H.; Wessman, M.; Hansen, M.L.; Agander, T.K.; Makouei, F.; Wessel, I.; Todsen, T. Intraoral Ultrasound versus MRI for Depth of Invasion Measurement in Oral Tongue Squamous Cell Carcinoma: A Prospective Diagnostic Accuracy Study. Cancers 2024, 16, 637. [Google Scholar] [CrossRef] [PubMed]
  24. Todsen, T.; Stage, M.; Holst Hahn, C. A Novel Technique for Intraoral Ultrasound-Guided Aspiration of Peritonsillar Abscess. Diagnostics 2018, 8, 50. [Google Scholar] [CrossRef] [PubMed]
  25. Todsen, T.; Stage, M.G.; Hahn, C.H. Surgeon-performed Transoral Ultrasound-Guided Aspiration of Peritonsillar Abscess. Laryngoscope 2021, 131, 2241–2245. [Google Scholar] [CrossRef]
  26. Garset-Zamani, M.; Norling, R.; Hahn, C.H.; Agander, T.K.; Von Buchwald, C.; Todsen, T. Transoral Ultrasound in the Outpatient Clinic for the Diagnostic Work-Up of Oropharyngeal Cancer: A Feasibility Study. Cancers 2023, 15, 5292. [Google Scholar] [CrossRef] [PubMed]
  27. Yang, B.; Olsen, M.; Vali, Y.; Langendam, M.W.; Takwoingi, Y.; Hyde, C.J.; Bossuyt, P.M.M.; Leeflang, M.M.G. Study designs for comparative diagnostic test accuracy: A methodological review and classification scheme. J. Clin. Epidemiol. 2021, 138, 128–138. [Google Scholar] [CrossRef] [PubMed]
  28. Union for International Cancer Control. TNM Classification of Malignant Tumours—8th Edition: Changes between the 7th and 8th Editions; Union for International Cancer Control: Geneva, Switzerland, 2018. [Google Scholar]
  29. Todsen, T.; Tolsgaard, M.G.; Benfield, T.; Folke, F.; Jakobsen, K.K.; Gredal, N.T.; Ersbøll, A.K.; Von Buchwald, C.; Kirkby, N. Higher SARS-CoV-2 detection of oropharyngeal compared with nasopharyngeal or saliva specimen for molecular testing: A multicentre randomised comparative accuracy study. Thorax 2023, 78, 1028–1034. [Google Scholar] [CrossRef]
  30. Todsen, T. Surgeon-performed ultrasonography. Dan. Med. J. 2017, 64, B5421. [Google Scholar]
  31. DAHANCA. DAHANCA Head and Neck Cancer Guidelines for Fast Track Work-Up. Available online: https://www.dahanca.dk/CA_Adm_Web_Page?WebPageMenu=1&CA_Web_TabNummer=0 (accessed on 1 January 2023).
  32. Harris, P.A.; Taylor, R.; Thielke, R.; Payne, J.; Gonzalez, N.; Conde, J.G. Research electronic data capture (REDCap)—A metadata-driven methodology and workflow process for providing translational research informatics support. J. Biomed. Inform. 2009, 42, 377–381. [Google Scholar] [CrossRef]
  33. Chatterjee, A.; Maheshwari, V.S.; Mahanty, P.R.; Nag, D.S.; Shukla, R. A Prospective, Comparative Study to Evaluate the Diagnostic Accuracy of Mallampati Grading in Supine and Sitting Positions for Prediction of Difficult Airway. Cureus 2021, 13, e18465. [Google Scholar] [CrossRef]
  34. Ramu, R.; Kottur, A.; Swamy, K.N.R.; Pallavi, M.; Kavita, G.C.; Dureja, S.; Meenakshi, S. The Gag Reflex: A Hurdle in Dentistry– Literature Review. J. Pharm. Res. Int. 2021, 33, 224–237. [Google Scholar] [CrossRef]
  35. Partovi, S.; Kohan, A.; Gaeta, C.; Rubbert, C.; Vercher-Conejero, J.L.; Jones, R.S.; O’Donnell, J.K.; Wojtylak, P.; Faulhaber, P. Image quality assessment of automatic three-segment MR attenuation correction vs. CT attenuation correction. Am. J. Nucl. Med. Mol. Imaging 2013, 3, 291–299. [Google Scholar]
  36. Cho, W.; Park, H. Transoral Sonographic Diagnosis of Tonsilloliths. J. Ultrasound Med. 2013, 32, 2037–2042. [Google Scholar] [CrossRef] [PubMed]
  37. Vrinceanu, D.; Dumitru, M.; Cergan, R.; Anghel, A.G.; Costache, A.; Patrascu, E.T.; Sarafoleanu, C.C. Correlations between ultrasonography performed by the ENT specialist and pathologic findings in the management of three cases with thyroglossal duct cyst. Med. Ultrason. 2018, 20, 524. [Google Scholar] [CrossRef] [PubMed]
  38. Harada, T.; Abe, T.; Kato, F.; Matsumoto, R.; Fujita, H.; Murai, S.; Miyajima, N.; Tsuchiya, K.; Maruyama, S.; Kudo, K.; et al. Five-point Likert scaling on MRI predicts clinically significant prostate carcinoma. BMC Urol. 2015, 15, 91. [Google Scholar] [CrossRef] [PubMed]
  39. Shinkins, B.; Thompson, M.; Mallett, S.; Perera, R. Diagnostic accuracy studies: How to report and analyse inconclusive test results. BMJ 2013, 346, f2778. [Google Scholar] [CrossRef] [PubMed]
  40. Bland, J.M.; Altman, D.G. Statistical methods for assessing agreement between two methods of clinical measurement. Lancet 1986, 327, 307–310. [Google Scholar] [CrossRef]
  41. R Core Team. R: A Language and Environment for Statistical Computing; R Foundation for Statistical Computing: Vienna, Austria, 2020. [Google Scholar]
  42. Blanco, R.G.; Califano, J.; Messing, B.; Richmon, J.; Liu, J.; Quon, H.; Neuner, G.; Saunders, J.; Ha, P.K.; Sheth, S.; et al. Transcervical ultrasonography is feasible to visualize and evaluate base of tongue cancers. PLoS ONE 2014, 9, e87565. [Google Scholar] [CrossRef]
Disclaimer/Publisher’s Note: The statements, opinions and data contained in all publications are solely those of the individual author(s) and contributor(s) and not of MDPI and/or the editor(s). MDPI and/or the editor(s) disclaim responsibility for any injury to people or property resulting from any ideas, methods, instructions or products referred to in the content.

Article Metrics

Citations

Article Access Statistics

Multiple requests from the same IP address are counted as one view.