Machine Learning and Radiomics Analysis for Tumor Budding Prediction in Colorectal Liver Metastases Magnetic Resonance Imaging Assessment
Abstract
1. Introduction
2. Materials and Methods
2.1. Dataset Characteristics
2.2. Imaging
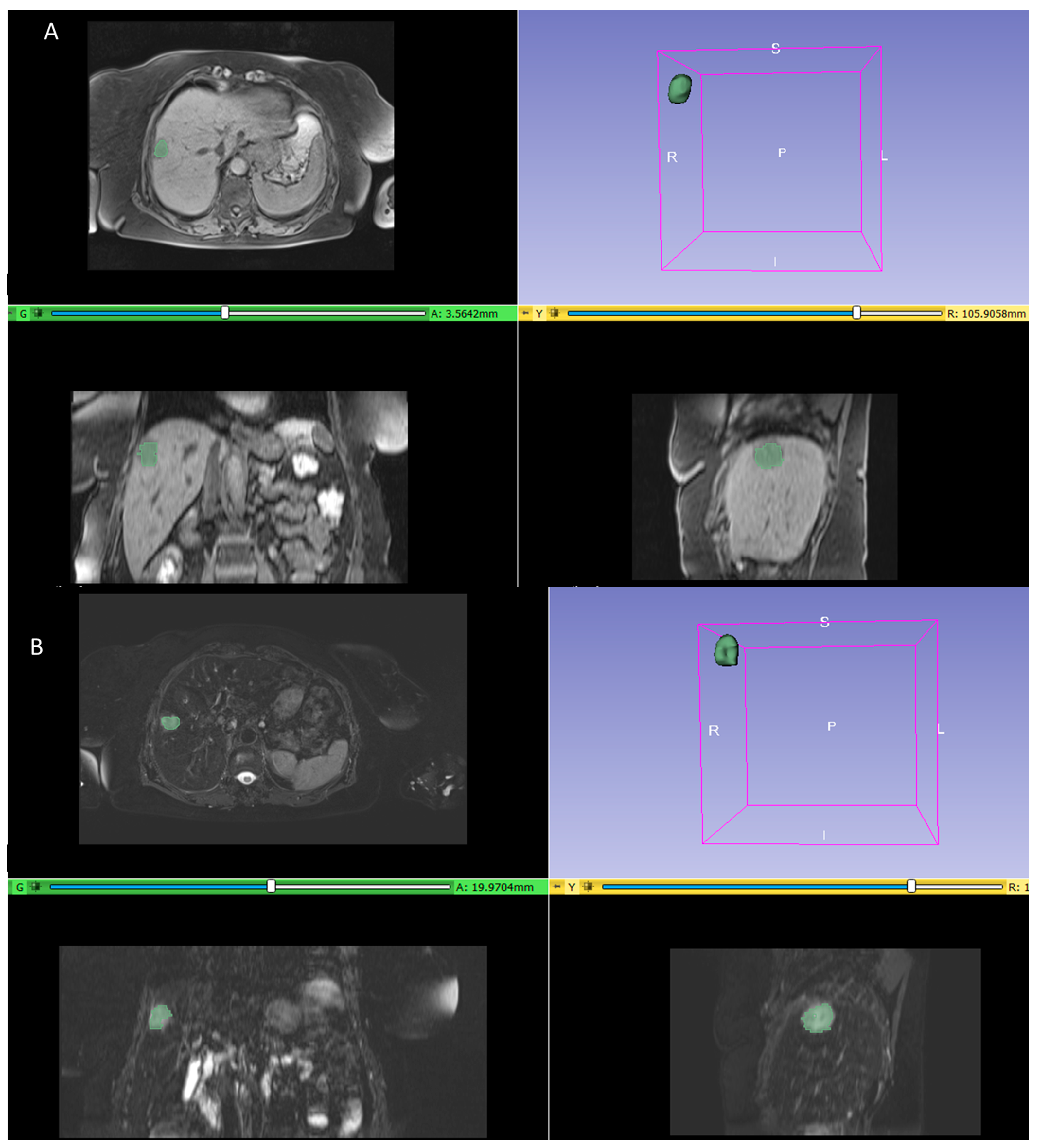
2.3. Image Processing
2.4. Statistical Analysis
3. Results
- -
- original_glcm_Idn obtained in the T1-W VIBE sequence arterial phase with an accuracy of 84%, a sensitivity of 87% and a specificity of 77%;
- -
- wavelet_LLH_firstorder_10Percentile obtained in the T1-W VIBE sequence portal phase with an accuracy of 92%, a sensitivity of 86% and a specificity of 81%;
- -
- wavelet_HHL_glcm_MaximumProbability obtained in the T1-W VIBE sequence hepatobiliary excretion phase with an accuracy of 88%, a sensitivity of 94% and a specificity of 68%;
- -
- wavelet_LLH_glcm_Imc1 obtained in the T2-W SPACE sequences with an accuracy of 88%, a sensitivity of 93% and a specificity of 71%.
- original_glcm_Idn;
- original_glcm_Idm;
- original_glcm_Id;
- wavelet_LHH_firstorder_Minimum;
- wavelet_LHH_firstorder_10Percentile;
- wavelet_LLH_glcm_MaximumProbability;
- wavelet_LLH_glcm_Imc1;
- wavelet_LLH_firstorder_10Percentile;
- wavelet_LLH_glrlm_GrayLevelNonUniformityNormalized;
- wavelet_LLH_glrlm_LongRunEmphasis;
- wavelet_LLH_glszm_SmallAreaLowGrayLevelEmphasis;
- wavelet_HLH_firstorder_10Percentile;
- wavelet_LLL_glcm_InverseVariance.
4. Discussion
5. Conclusions
Author Contributions
Funding
Institutional Review Board Statement
Informed Consent Statement
Data Availability Statement
Acknowledgments
Conflicts of Interest
References
- Berg, K.B.; Schaeffer, D.F. Tumor budding as a standardized parameter in gastrointestinal carcinomas: More than just the colon. Mod. Pathol. 2018, 31, 862–872. [Google Scholar] [CrossRef] [PubMed]
- Qu, Q.; Wu, D.; Li, Z.; Yin, H. Tumor budding and the prognosis of patients with metastatic colorectal cancer: A meta-analysis. Int. J. Color. Dis. 2023, 38, 141. [Google Scholar] [CrossRef] [PubMed]
- Noro, T.; Nishikawa, M.; Hoshikawa, M.; Einama, T.; Aosasa, S.; Kajiwara, Y.; Yaguchi, Y.; Okamoto, K.; Shinto, E.; Tsujimoto, H.; et al. Prognostic Impact of Budding Grade in Patients with Residual Liver Recurrence of Colorectal Cancer after Initial Hepatectomy. Ann. Surg. Oncol. 2020, 27, 5200–5207. [Google Scholar] [CrossRef] [PubMed]
- Granata, V.; Fusco, R.; De Muzio, F.; Cutolo, C.; Setola, S.V.; Grassi, R.; Grassi, F.; Ottaiano, A.; Nasti, G.; Tatangelo, F.; et al. Radiomics textural features by MR imaging to assess clinical outcomes following liver resection in colorectal liver metastases. Radiol. Med. 2022, 127, 461–470. [Google Scholar] [CrossRef]
- Li, N.; Wakim, J.; Koethe, Y.; Huber, T.; Schenning, R.; Gade, T.P.; Hunt, S.J.; Park, B.J. Multicenter assessment of augmented reality registration methods for image-guided interventions. Radiol. Med. 2022, 127, 857–865. [Google Scholar] [CrossRef] [PubMed]
- Granata, V.; Fusco, R.; De Muzio, F.; Cutolo, C.; Setola, S.V.; Dell’aversana, F.; Grassi, F.; Belli, A.; Silvestro, L.; Ottaiano, A.; et al. Radiomics and machine learning analysis based on magnetic resonance imaging in the assessment of liver mucinous colorectal metastases. Radiol. Med. 2022, 127, 763–772. [Google Scholar] [CrossRef] [PubMed]
- Granata, V.; Faggioni, L.; Fusco, R.; Reginelli, A.; Rega, D.; Maggialetti, N.; Buccicardi, D.; Frittoli, B.; Rengo, M.; Bortolotto, C.; et al. Structured reporting of computed tomography in the staging of colon cancer: A Delphi consensus proposal. Radiol. Med. 2022, 127, 21–29. [Google Scholar] [CrossRef]
- Granata, V.; Fusco, R.; De Muzio, F.; Brunese, M.C.; Setola, S.V.; Ottaiano, A.; Cardone, C.; Avallone, A.; Patrone, R.; Pradella, S.; et al. Radiomics and machine learning analysis by computed tomography and magnetic resonance imaging in colorectal liver metastases prognostic assessment. Radiol. Med. 2023, 128, 1310–1332. [Google Scholar] [CrossRef]
- Kang, Y.J.; Ahn, H.S.; Stybayeva, G.; Lee, J.E.; Hwang, S.H. Comparison of diagnostic performance of two ultrasound risk stratification systems for thyroid nodules: A systematic review and meta-analysis. Radiol. Med. 2023, 128, 1407–1414. [Google Scholar] [CrossRef]
- Ursprung, S.; Beer, L.; Bruining, A.; Woitek, R.; Stewart, G.D.; Gallagher, F.A.; Sala, E. Radiomics of computed tomography and magnetic resonance imaging in renal cell carcinoma—A systematic review and meta-analysis. Eur. Radiol. 2020, 30, 3558–3566. [Google Scholar] [CrossRef]
- Han, D.; Yu, N.; Yu, Y.; He, T.; Duan, X. Performance of CT radiomics in predicting the overall survival of patients with stage III clear cell renal carcinoma after radical nephrectomy. Radiol. Med. 2022, 127, 837–847. [Google Scholar] [CrossRef] [PubMed]
- Masci, G.M.; Ciccarelli, F.; Mattei, F.I.; Grasso, D.; Accarpio, F.; Catalano, C.; Laghi, A.; Sammartino, P.; Iafrate, F. Role of CT texture analysis for predicting peritoneal metastases in patients with gastric cancer. Radiol. Med. 2022, 127, 251–258. [Google Scholar] [CrossRef] [PubMed]
- Ma, X.; Qian, X.; Wang, Q.; Zhang, Y.; Zong, R.; Zhang, J.; Qian, B.; Yang, C.; Lu, X.; Shi, Y. Radiomics nomogram based on optimal VOI of multi-sequence MRI for predicting microvascular invasion in intrahepatic cholangiocarcinoma. Radiol. Med. 2023, 128, 1296–1309. [Google Scholar] [CrossRef] [PubMed]
- Caruso, D.; Polici, M.; Rinzivillo, M.; Zerunian, M.; Nacci, I.; Marasco, M.; Magi, L.; Tarallo, M.; Gargiulo, S.; Iannicelli, E.; et al. CT-based radiomics for prediction of therapeutic response to Everolimus in metastatic neuroendocrine tumors. Radiol. Med. 2022, 127, 691–701. [Google Scholar] [CrossRef] [PubMed]
- Zerunian, M.; Pucciarelli, F.; Caruso, D.; Polici, M.; Masci, B.; Guido, G.; De Santis, D.; Polverari, D.; Principessa, D.; Benvenga, A.; et al. Artificial intelligence based image quality enhancement in liver MRI: A quantitative and qualitative evaluation. Radiol. Med. 2022, 127, 1098–1105. [Google Scholar] [CrossRef] [PubMed]
- Lubner, M.G. Radiomics and Artificial Intelligence for Renal Mass Characterization. Radiol. Clin. N. Am. 2020, 58, 995–1008. [Google Scholar] [CrossRef] [PubMed]
- De Robertis, R.; Geraci, L.; Tomaiuolo, L.; Bortoli, L.; Beleù, A.; Malleo, G.; D’onofrio, M. Liver metastases in pancreatic ductal adenocarcinoma: A predictive model based on CT texture analysis. Radiol. Med. 2022, 127, 1079–1084. [Google Scholar] [CrossRef] [PubMed]
- Petrillo, A.; Fusco, R.; Barretta, M.L.; Granata, V.; Raso, M.M.; Porto, A.; Sorgente, E.; Fanizzi, A.; Massafra, R.; Lafranceschina, M.; et al. Radiomics and artificial intelligence analysis by T2-weighted imaging and dynamic contrast-enhanced magnetic resonance imaging to predict Breast Cancer Histological Outcome. Radiol. Med. 2023, 128, 1347–1371. [Google Scholar] [CrossRef]
- Granata, V.; Fusco, R.; Sansone, M.; Grassi, R.; Maio, F.; Palaia, R.; Tatangelo, F.; Botti, G.; Grimm, R.; Curley, S.; et al. Magnetic resonance imaging in the assessment of pancreatic cancer with quantitative parameter extraction by means of dynamic contrast-enhanced magnetic resonance imaging, diffusion kurtosis imaging and intravoxel incoherent motion diffusion-weighted imaging. Ther. Adv. Gastroenterol. 2020, 13, 1756284819885052. [Google Scholar] [CrossRef]
- Granata, V.; Fusco, R.; Costa, M.; Picone, C.; Cozzi, D.; Moroni, C.; La Casella, G.V.; Montanino, A.; Monti, R.; Mazzoni, F.; et al. Preliminary Report on Computed Tomography Radiomics Features as Biomarkers to Immunotherapy Selection in Lung Adenocarcinoma Patients. Cancers 2021, 13, 3992. [Google Scholar] [CrossRef]
- Granata, V.; Fusco, R.; Setola, S.V.; Palaia, R.; Belli, A.; Miele, V.; Brunese, L.; Grassi, R.; Petrillo, A.; Izzo, F. Assessment of Ablation Therapy in Pancreatic Cancer: The Radiologist’s Challenge. Front. Oncol. 2020, 10, 560952. [Google Scholar] [CrossRef] [PubMed]
- Ma, Y.-Q.; Wen, Y.; Liang, H.; Zhong, J.-G.; Pang, P.-P. Magnetic resonance imaging-radiomics evaluation of response to chemotherapy for synchronous liver metastasis of colorectal cancer. World J. Gastroenterol. 2021, 27, 6465–6475. [Google Scholar] [CrossRef] [PubMed]
- Lugli, A.; Kirsch, R.; Ajioka, Y.; Bosman, F.; Cathomas, G.; Dawson, H.; El Zimaity, H.; Fléjou, J.-F.; Hansen, T.P.; Hartmann, A.; et al. Recommendations for reporting tumor budding in colorectal cancer based on the International Tumor Budding Consensus Conference (ITBCC) 2016. Mod. Pathol. 2017, 30, 1299–1311. [Google Scholar] [CrossRef] [PubMed]
- Yan, H.; Yu, T.-N. Radiomics-clinical nomogram for response to chemotherapy in synchronous liver metastasis of colorectal cancer: Good, but not good enough. World J. Gastroenterol. 2022, 28, 973–975. [Google Scholar] [CrossRef] [PubMed]
- Shu, Z.; Fang, S.; Ding, Z.; Mao, D.; Cai, R.; Chen, Y.; Pang, P.; Gong, X. MRI-based Radiomics nomogram to detect primary rectal cancer with synchronous liver metastases. Sci. Rep. 2019, 9, 3374. [Google Scholar] [CrossRef] [PubMed]
- Giaconi, C.; Manetti, A.C.; Turco, S.; Coppola, M.; Forni, D.; Marra, D.; La Russa, R.; Karaboue, M.; Maiese, A.; Papi, L.; et al. Post-mortem computer tomography in ten cases of death while diving: A retrospective evaluation. Radiol. Med. 2022, 127, 318–329. [Google Scholar] [CrossRef]
- van Wyk, H.C.; Roseweir, A.; Alexander, P.; Park, J.H.; Horgan, P.G.; McMillan, D.C.; Edwards, J. The Relationship between Tumor Budding, Tumor Microenvironment, and Survival in Patients with Primary Operable Colorectal Cancer. Ann. Surg. Oncol. 2019, 26, 4397–4404. [Google Scholar] [CrossRef]
- Petrelli, F.; Pezzica, E.; Cabiddu, M.; Coinu, A.; Borgonovo, K.; Ghilardi, M.; Lonati, V.; Corti, D.; Barni, S. Tumour Budding and Survival in Stage II Colorectal Cancer: A Systematic Review and Pooled Analysis. J. Gastrointest. Cancer 2015, 46, 212–218. [Google Scholar] [CrossRef]
- Rogers, A.C.; Winter, D.C.; Heeney, A.; Gibbons, D.; Lugli, A.; Puppa, G.; Sheahan, K. Systematic review and meta-analysis of the impact of tumour budding in colorectal cancer. Br. J. Cancer 2016, 115, 831–840. [Google Scholar] [CrossRef]
- Nagata, K.; Shinto, E.; Yamadera, M.; Shiraishi, T.; Kajiwara, Y.; Okamoto, K.; Mochizuki, S.; Hase, K.; Kishi, Y.; Ueno, H. Prognostic and predictive values of tumour budding in stage IV colorectal cancer. BJS Open 2020, 4, 693–703. [Google Scholar] [CrossRef]
- Topal, U.; Gülcan, P.; Yüksel, S.; Teke, Z.; Bektaş, H.; Duman, M. The relationship between microsatellite instability in colorectal adenocarcinoma and tumor budding and histopathological parameters. Eur. Rev. Med. Pharmacol. Sci. 2023, 27, 9793–9800. [Google Scholar] [CrossRef]
- El Yaagoubi, S.; Zaryouhi, M.; Benmaamar, S.; El Agy, F.; El Ousrouti, L.T.; Hammas, N.; El Bouhaddouti, H.; Benbrahim, Z.; Lahmidani, N.; Chbani, L. Prognostic Impact of Tumor Budding on Moroccan Gastric Cancer Patients. Clin. Pathol. 2023, 16, 2632010X231184329. [Google Scholar] [CrossRef] [PubMed]
- Luo, H.-H.; Huo, Z.; Wang, Q.; DA, Z.; Guo, P.-P. Pathological Types, Expression of Mismatch Repair Protein, Human Epidermal Growth Factor Receptor 2, and Pan-TRK, and Eostein-Barr Virus Infection in Patients with Colorectal Cancer Resected in Tibet. Zhongguo Yi Xue Ke Xue Yuan Xue Bao 2023, 45, 422–428. [Google Scholar] [PubMed]
- Brown, I.; Zammit, A.P.; Bettington, M.; Cooper, C.; Gill, A.J.; Agoston, A.; Odze, R. Pathological features associated with metastasis in patients with early invasive (pT1) colorectal carcinoma in colorectal polyps. Histopathology 2023, 83, 591–606. [Google Scholar] [CrossRef] [PubMed]
- Quaas, A. Prognostische histologische Marker bei kolorektalen Karzinomen [Prognostic histological markers in colorectal cancer]. Pathologie 2023, 44, 287–293. [Google Scholar] [CrossRef]
- Trinh, A.; Lädrach, C.; Dawson, H.E.; Hoorn, S.T.; Kuppen, P.J.K.; Reimers, M.S.; Koopman, M.; Punt, C.J.A.; Lugli, A.; Vermeulen, L.; et al. Tumour budding is associated with the mesenchymal colon cancer subtype and RAS/RAF mutations: A study of 1320 colorectal cancers with Consensus Molecular Subgroup (CMS) data. Br. J. Cancer 2018, 119, 1244–1251. [Google Scholar] [CrossRef]
- Zlobec, I.; Molinari, F.; Martin, V.; Mazzucchelli, L.; Saletti, P.; Trezzi, R.; DeDosso, S.; Vlajnic, T.; Frattini, M.; Lugli, A. Tumor budding predicts response to anti-EGFR therapies in metastatic colorectal cancer patients. World J. Gastroenterol. 2010, 16, 4823–4831. [Google Scholar] [CrossRef] [PubMed]
- Chen, K.; Collins, G.; Wang, H.; Toh, J.W.T. Pathological Features and Prognostication in Colorectal Cancer. Curr. Oncol. 2021, 28, 5356–5383. [Google Scholar] [CrossRef]
- Granata, V.; Fusco, R.; Avallone, A.; De Stefano, A.; Ottaiano, A.; Sbordone, C.; Brunese, L.; Izzo, F.; Petrillo, A. Radiomics-Derived Data by Contrast Enhanced Magnetic Resonance in RAS Mutations Detection in Colorectal Liver Metastases. Cancers 2021, 13, 453. [Google Scholar] [CrossRef]
- Granata, V.; Fusco, R.; Risi, C.; Ottaiano, A.; Avallone, A.; De Stefano, A.; Grimm, R.; Grassi, R.; Brunese, L.; Izzo, F.; et al. Diffusion-Weighted MRI and Diffusion Kurtosis Imaging to Detect RAS Mutation in Colorectal Liver Metastasis. Cancers 2020, 12, 2420. [Google Scholar] [CrossRef]
- Hu, S.X.; Yang, K.; Wang, X.R.; Wen, D.G.; Xia, C.C.; Li, X.; Li, Z.L. Application of MRI-based Radiomics Models in the Assessment of Hepatic Metastasis of Rectal Cancer. Sichuan Da Xue Xue Bao Yi Xue Ban 2021, 52, 311–318. [Google Scholar] [CrossRef] [PubMed]
- Lancellotta, V.; Del Regno, L.; Di Stefani, A.; Fionda, B.; Marazzi, F.; Rossi, E.; Balducci, M.; Pampena, R.; Morganti, A.G.; Mangoni, M.; et al. The role of stereotactic radiotherapy in addition to immunotherapy in the management of melanoma brain metastases: Results of a systematic review. Radiol. Med. 2022, 127, 773–783. [Google Scholar] [CrossRef] [PubMed]
- Franco, D.; Granata, V.; Fusco, R.; Nardone, V.; Lombardi, L.; Cappabianca, S.; Conforti, R.; Briganti, F.; Grassi, R.; Caranci, F. Artificial intelligence and radiation effects on brain tissue in glioblastoma patient: Preliminary data using a quantitative tool. Radiol. Med. 2023, 128, 813–827. [Google Scholar] [CrossRef] [PubMed]
- Granata, V.; Fusco, R.; Cozzi, D.; Danti, G.; Faggioni, L.; Buccicardi, D.; Prost, R.; Ferrari, R.; Trinci, M.; Galluzzo, M.; et al. Structured reporting of computed tomography in the polytrauma patient assessment: A Delphi consensus proposal. Radiol. Med. 2023, 128, 222–233. [Google Scholar] [CrossRef] [PubMed]
- He, X.; Li, K.; Wei, R.; Zuo, M.; Yao, W.; Zheng, Z.; He, X.; Fu, Y.; Li, C.; An, C.; et al. A multitask deep learning radiomics model for predicting the macrotrabecular-massive subtype and prognosis of hepatocellular carcinoma after hepatic arterial infusion chemotherapy. Radiol. Med. 2023, 128, 1508–1520. [Google Scholar] [CrossRef] [PubMed]
- Pirosa, M.C.; Esposito, F.; Raia, G.; Chianca, V.; Cozzi, A.; Ruinelli, L.; Ceriani, L.; Zucca, E.; Del Grande, F.; Rizzo, S. CT-based body composition in diffuse large B cell lymphoma patients: Changes after treatment and association with survival. Radiol. Med. 2023, 128, 1497–1507. [Google Scholar] [CrossRef] [PubMed]
- Granata, V.; Fusco, R.; Barretta, M.L.; Picone, C.; Avallone, A.; Belli, A.; Patrone, R.; Ferrante, M.; Cozzi, D.; Grassi, R.; et al. Radiomics in hepatic metastasis by colorectal cancer. Infect. Agents Cancer 2021, 16, 39. [Google Scholar] [CrossRef]
- Liang, Y.; Tang, W.; Wang, T.; Ng, W.W.Y.; Chen, S.; Jiang, K.; Wei, X.; Jiang, X.; Guo, Y. HRadNet: A Hierarchical Radiomics-based Network for Multicenter Breast Cancer Molecular Subtypes Prediction. IEEE Trans. Med. Imaging 2023. [Google Scholar] [CrossRef]
- Granata, V.; Fusco, R.; Setola, S.V.; Piccirillo, M.; Leongito, M.; Palaia, R.; Granata, F.; Lastoria, S.; Izzo, F.; Petrillo, A. Early radiological assessment of locally advanced pancreatic cancer treated with electrochemotherapy. World J. Gastroenterol. 2017, 23, 4767–4778. [Google Scholar] [CrossRef]
- Hajianfar, G.; Avval, A.H.; Hosseini, S.A.; Nazari, M.; Oveisi, M.; Shiri, I.; Zaidi, H. Time-to-event overall survival prediction in glioblastoma multiforme patients using magnetic resonance imaging radiomics. Radiol. Med. 2023, 128, 1521–1534. [Google Scholar] [CrossRef]
- Shang, Y.; Chen, W.; Li, G.; Huang, Y.; Wang, Y.; Kui, X.; Li, M.; Zheng, H.; Zhao, W.; Liu, J. Computed Tomography-derived intratumoral and peritumoral radiomics in predicting EGFR mutation in lung adenocarcinoma. Radiol. Med. 2023, 128, 1483–1496. [Google Scholar] [CrossRef] [PubMed]
- Shi, J.B.; Chen, H.; Wang, X.; Cao, R.B.; Chen, Y.B.; Cheng, Y.B.; Pang, Z.B.; Huang, C. Using Radiomics to Differentiate Brain Metastases from Lung Cancer Versus Breast Cancer, Including Predicting Epidermal Growth Factor Receptor and human Epidermal Growth Factor Receptor 2 Status. J. Comput. Assist. Tomogr. 2023, 47, 924–933. [Google Scholar] [CrossRef] [PubMed]
- Kaneko, M.; Magoulianitis, V.; Ramacciotti, L.S.; Raman, A.; Paralkar, D.; Chen, A.; Chu, T.N.; Yang, Y.; Xue, J.; Yang, J.; et al. The Novel Green Learning Artificial Intelligence for Prostate Cancer Imaging. Urol. Clin. N. Am. 2024, 51, 1–13. [Google Scholar] [CrossRef] [PubMed]
- Qu, X.; Zhang, L.; Ji, W.; Lin, J.; Wang, G. Preoperative prediction of tumor budding in rectal cancer using multiple machine learning algorithms based on MRI T2WI radiomics. Front. Oncol. 2023, 13, 1267838. [Google Scholar] [CrossRef] [PubMed]
- Ma, Y.; Xu, X.; Lin, Y.; Li, J.; Yuan, H. An integrative clinical and CT-based tumoral/peritumoral radiomics nomogram to predict the microsatellite instability in rectal carcinoma. Abdom. Radiol. 2023, 1–8. [Google Scholar] [CrossRef]
- van der Reijd, D.J.; Guerendel, C.; Staal, F.C.R.; Busard, M.P.; Taveira, M.D.O.; Klompenhouwer, E.G.; Kuhlmann, K.F.D.; Moelker, A.; Verhoef, C.; Starmans, M.P.A.; et al. Independent validation of CT radiomics models in colorectal liver metastases: Predicting local tumour progression after ablation. Eur. Radiol. 2023, 1–9. [Google Scholar] [CrossRef]
- Temperley, H.C.; O’sullivan, N.J.; Waters, C.; Corr, A.; Mehigan, B.J.; O’kane, G.; McCormick, P.; Gillham, C.; Rausa, E.; Larkin, J.O.; et al. Radiomics; Contemporary Applications in the Management of Anal Cancer; A Systematic Review. Am. Surg. 2023, 31348231216494. [Google Scholar] [CrossRef]
- Li, C.; Chen, H.; Zhang, B.; Fang, Y.; Sun, W.; Wu, D.; Su, Z.; Shen, L.; Wei, Q. Radiomics Signature Based on Support Vector Machines for the Prediction of Pathological Complete Response to Neoadjuvant Chemoradiotherapy in Locally Advanced Rectal Cancer. Cancers 2023, 15, 5134. [Google Scholar] [CrossRef]
- Avella, P.; Cappuccio, M.; Cappuccio, T.; Rotondo, M.; Fumarulo, D.; Guerra, G.; Sciaudone, G.; Santone, A.; Cammilleri, F.; Bianco, P.; et al. Artificial Intelligence to Early Predict Liver Metastases in Patients with Colorectal Cancer: Current Status and Future Prospectives. Life 2023, 13, 2027. [Google Scholar] [CrossRef]
- Zhou, S.; Sun, D.; Mao, W.; Liu, Y.; Cen, W.; Ye, L.; Liang, F.; Xu, J.; Shi, H.; Ji, Y.; et al. Deep radiomics-based fusion model for prediction of bevacizumab treatment response and outcome in patients with colorectal cancer liver metastases: A multicentre cohort study. EClinicalMedicine 2023, 65, 102271. [Google Scholar] [CrossRef]
- Prelaj, A.; Miskovic, V.; Zanitti, M.; Trovo, F.; Genova, C.; Viscardi, G.; Rebuzzi, S.E.; Mazzeo, L.; Provenzano, L.; Kosta, S.; et al. Artificial intelligence for predictive biomarker discovery in immuno-oncology: A systematic review. Ann Oncol. 2023. [Google Scholar] [CrossRef] [PubMed]
- Xie, Z.; Zhang, Q.; Wang, X.; Chen, Y.; Deng, Y.; Lin, H.; Wu, J.; Huang, X.; Xu, Z.; Chi, P. Development and validation of a novel radiomics nomogram for prediction of early recurrence in colorectal cancer. Eur. J. Surg. Oncol. 2023, 49, 107118. [Google Scholar] [CrossRef] [PubMed]
- Tharmaseelan, H.; Vellala, A.K.; Hertel, A.; Tollens, F.; Rotkopf, L.T.; Rink, J.; Woźnicki, P.; Ayx, I.; Bartling, S.; Nörenberg, D.; et al. Tumor classification of gastrointestinal liver metastases using CT-based radiomics and deep learning. Cancer Imaging 2023, 23, 95. [Google Scholar] [CrossRef] [PubMed]
- Li, Y.; Li, J.; Meng, M.; Duan, S.; Shi, H.; Hang, J. Development and Validation of a Radiomics Nomogram for Liver Metastases Originating from Gastric and Colorectal Cancer. Diagnostics 2023, 13, 2937. [Google Scholar] [CrossRef] [PubMed]
- Wang, C.; Chen, J.; Zheng, N.; Zheng, K.; Zhou, L.; Zhang, Q.; Zhang, W. Predicting the risk of distant metastasis in patients with locally advanced rectal cancer using model based on pre-treatment T2WI-based radiomic features plus postoperative pathological stage. Front. Oncol. 2023, 13, 1109588. [Google Scholar] [CrossRef]
- Lara, M.A.R.; Esposito, M.I.; Aineseder, M.; Grove, R.L.; Cerini, M.A.; Verzura, M.A.; Luna, D.R.; Benítez, S.E.; Spina, J.C. Radiomics and Machine Learning for prediction of two-year disease-specific mortality and KRAS mutation status in metastatic colorectal cancer. Surg. Oncol. 2023, 51, 101986. [Google Scholar] [CrossRef]
- Wang, X.; Liu, Z.; Yin, X.; Yang, C.; Zhang, J. A radiomics model fusing clinical features to predict microsatellite status preoperatively in colorectal cancer liver metastasis. BMC Gastroenterol. 2023, 23, 308. [Google Scholar] [CrossRef]
- Kong, Y.; Xu, M.; Wei, X.; Qian, D.; Yin, Y.; Huang, Z.; Gu, W.; Zhou, L. CT imaging-based radiomics signatures improve prognosis prediction in postoperative colorectal cancer. J. X-ray Sci. Technol. 2023, 31, 1281–1294. [Google Scholar] [CrossRef]
- Gao, B.; Wang, Y.; Ma, L.; Guo, H.; Wang, X.; Ye, Z.; Fan, S.; Yin, X.-P. Efficiency of CT radiomics model in assessing the microsatellite instability of colorectal cancer liver metastasis. Curr. Med. Imaging 2023. [Google Scholar] [CrossRef]
- Yang, H.; Jiang, P.; Dong, L.; Li, P.; Sun, Y.; Zhu, S. Diagnostic value of a radiomics model based on CT and MRI for prediction of lateral lymph node metastasis of rectal cancer. Updates Surg. 2023, 75, 2225–2234. [Google Scholar] [CrossRef]
- Marmorino, F.; Faggioni, L.; Rossini, D.; Gabelloni, M.; Goddi, A.; Ferrer, L.; Conca, V.; Vargas, J.; Biagiarelli, F.; Daniel, F.; et al. The prognostic value of radiomic features in liver-limited metastatic colorectal cancer patients from the TRIBE2 study. Future Oncol. 2023, 19, 1601–1611. [Google Scholar] [CrossRef] [PubMed]
- Yang, Y.; Wei, H.; Fu, F.; Wei, W.; Wu, Y.; Bai, Y.; Li, Q.; Wang, M. Preoperative prediction of lymphovascular invasion of colorectal cancer by radiomics based on 18F-FDG PET-CT and clinical factors. Front. Radiol. 2023, 3, 1212382. [Google Scholar] [CrossRef] [PubMed]
- Li, M.; Xu, G.; Cui, Y.; Wang, M.; Wang, H.; Xu, X.; Duan, S.; Shi, J.; Feng, F. CT-based radiomics nomogram for the preoperative prediction of microsatellite instability and clinical outcomes in colorectal cancer: A multicentre study. Clin. Radiol. 2023, 78, e741–e751. [Google Scholar] [CrossRef]
- Inchingolo, R.; Maino, C.; Cannella, R.; Vernuccio, F.; Cortese, F.; Dezio, M.; Pisani, A.R.; Giandola, T.; Gatti, M.; Giannini, V.; et al. Radiomics in colorectal cancer patients. World J. Gastroenterol. 2023, 29, 2888–2904. [Google Scholar] [CrossRef] [PubMed]
- Cao, Y.; Zhang, J.; Huang, L.; Zhao, Z.; Zhang, G.; Ren, J.; Li, H.; Zhang, H.; Guo, B.; Wang, Z.; et al. Construction of prediction model for KRAS mutation status of colorectal cancer based on CT radiomics. Jpn. J. Radiol. 2023, 41, 1236–1246. [Google Scholar] [CrossRef]
- Xu, Y.; Ye, F.; Li, L.; Yang, Y.; Ouyang, J.; Zhou, Y.; Wang, S.; Xie, L.; Zhou, J.; Zhao, H.; et al. MRI-Based Radiomics Nomogram for Preoperatively Differentiating Intrahepatic Mass-Forming Cholangiocarcinoma from Resectable Colorectal Liver Metastases. Acad. Radiol. 2023, 30, 2010–2020. [Google Scholar] [CrossRef]
- Di Costanzo, G.; Ascione, R.; Ponsiglione, A.; Tucci, A.G.; Dell’aversana, S.; Iasiello, F.; Cavaglià, E. Artificial intelligence and radiomics in magnetic resonance imaging of rectal cancer: A review. Explor. Target. Anti-Tumor Ther. 2023, 4, 406–421. [Google Scholar] [CrossRef]
- Bodalal, Z.; Bogveradze, N.; ter Beek, L.C.; Berg, J.G.v.D.; Sanders, J.; Hofland, I.; Trebeschi, S.; Lipman, K.B.W.G.; Storck, K.; Hong, E.K.; et al. Radiomic signatures from T2W and DWI MRI are predictive of tumour hypoxia in colorectal liver metastases. Insights Imaging 2023, 14, 133. [Google Scholar] [CrossRef]
- Yu, Y.; Tan, J.; Yang, Y.; Zhang, B.; Yao, X.; Sang, S.; Deng, S. The Differential Diagnostic Value of Radiomics Signatures between Single-Nodule Pulmonary Metastases and Second Primary Lung Cancer in Patients with Colorectal Cancer. Technol. Cancer Res. Treat. 2023, 22, 15330338231175735. [Google Scholar] [CrossRef]
- Sun, C.; Liu, X.; Sun, J.; Dong, L.; Wei, F.; Bao, C.; Zhong, J.; Li, Y. A CT-based radiomics nomogram for predicting histopathologic growth patterns of colorectal liver metastases. J. Cancer Res. Clin. Oncol. 2023, 149, 9543–9555. [Google Scholar] [CrossRef]
- Li, M.; Xu, G.; Zhou, H.; Chen, Q.; Fan, Q.; Shi, J.; Duan, S.; Cui, Y.; Feng, F. Computed tomography-based radiomics nomogram for the pre-operative prediction of BRAF mutation and clinical outcomes in patients with colorectal cancer: A double-center study. Br. J. Radiol. 2023, 96, 20230019. [Google Scholar] [CrossRef] [PubMed]
- Shahveranova, A.; Balli, H.T.; Aikimbaev, K.; Piskin, F.C.; Sozutok, S.; Yucel, S.P. Prediction of Local Tumor Progression after Microwave Ablation in Colorectal Carcinoma Liver Metastases Patients by MRI Radiomics and Clinical Characteristics-Based Combined Model: Preliminary Results. Cardiovasc. Interv. Radiol. 2023, 46, 713–725. [Google Scholar] [CrossRef] [PubMed]
- Ruiqing, L.; Jing, Y.; Shunli, L.; Jia, K.; Zhibo, W.; Hongping, Z.; Keyu, R.; Xiaoming, Z.; Zhiming, W.; Weiming, Z.; et al. A Novel Radiomics Model Integrating Luminal and Mesenteric Features to Predict Mucosal Activity and Surgery Risk in Crohn’s Disease Patients: A Multicenter Study. Acad. Radiol. 2023, 30 (Suppl. S1), S207–S219. [Google Scholar] [CrossRef] [PubMed]
- Kim, S.; Lee, J.-H.; Park, E.J.; Lee, H.S.; Baik, S.H.; Jeon, T.J.; Lee, K.Y.; Ryu, Y.H.; Kang, J. Prediction of Microsatellite Instability in Colorectal Cancer Using a Machine Learning Model Based on PET/CT Radiomics. Yonsei Med. J. 2023, 64, 320–326. [Google Scholar] [CrossRef] [PubMed]
- Granata, V.; Fusco, R.; Setola, S.V.; De Muzio, F.; Aversana, F.D.; Cutolo, C.; Faggioni, L.; Miele, V.; Izzo, F.; Petrillo, A. CT-Based Radiomics Analysis to Predict Histopathological Outcomes Following Liver Resection in Colorectal Liver Metastases. Cancers 2022, 14, 1648. [Google Scholar] [CrossRef] [PubMed]
- Granata, V.; Fusco, R.; De Muzio, F.; Cutolo, C.; Setola, S.V.; Dell’aversana, F.; Ottaiano, A.; Nasti, G.; Grassi, R.; Pilone, V.; et al. EOB-MR Based Radiomics Analysis to Assess Clinical Outcomes following Liver Resection in Colorectal Liver Metastases. Cancers 2022, 14, 1239. [Google Scholar] [CrossRef] [PubMed]
- Granata, V.; Fusco, R.; De Muzio, F.; Cutolo, C.; Setola, S.V.; Aversana, F.D.; Ottaiano, A.; Avallone, A.; Nasti, G.; Grassi, F.; et al. Contrast MR-Based Radiomics and Machine Learning Analysis to Assess Clinical Outcomes following Liver Resection in Colorectal Liver Metastases: A Preliminary Study. Cancers 2022, 14, 1110. [Google Scholar] [CrossRef]
- Shur, J.D.; Doran, S.J.; Kumar, S.; ap Dafydd, D.; Downey, K.; O’connor, J.P.B.; Papanikolaou, N.; Messiou, C.; Koh, D.-M.; Orton, M.R. Radiomics in Oncology: A Practical Guide. Radiographics 2021, 41, 1717–1732. [Google Scholar] [CrossRef]
- Chen, M.-F.; Ho, M.-C.; Kao, J.-H.; Hwang, R.-M.; Deng, S.-B.; Yen, K.-C.; Liang, P.-C.; Wu, C.-H. Comparison of CT and gadoxetic acid–enhanced MRI with liver imaging reporting and data system to assess liver tumors before resection. J. Formos. Med. Assoc. 2023. [Google Scholar] [CrossRef]
- Fujita, S.; Sano, K.; Cruz, G.; Velasco, C.; Kawasaki, H.; Fukumura, Y.; Yoneyama, M.; Suzuki, A.; Yamamoto, K.; Morita, Y.; et al. MR Fingerprinting for Contrast Agent–free and Quantitative Characterization of Focal Liver Lesions. Radiol. Imaging Cancer 2023, 5, e230036. [Google Scholar] [CrossRef]
- Maino, C.; Vernuccio, F.; Cannella, R.; Cortese, F.; Franco, P.N.; Gaetani, C.; Giannini, V.; Inchingolo, R.; Ippolito, D.; Defeudis, A.; et al. Liver metastases: The role of magnetic resonance imaging. World J. Gastroenterol. 2023, 29, 5180–5197. [Google Scholar] [CrossRef] [PubMed]
- Kallenbach, M.; Qvartskhava, N.; Weigel, C.; Dörffel, Y.; Berger, J.; Kunze, G.; Luedde, T. KontrastverstÃrkte Sonografie (CEUS) zur Diagnostik fokaler LeberlÃsionen [Contrast-enhanced ultrasound (CEUS) for characterisation of focal liver lesions]. Z. Gastroenterol. 2023. [Google Scholar] [CrossRef]
- Dobek, A.; Kobierecki, M.; Ciesielski, W.; Grząsiak, O.; Fabisiak, A.; Stefańczyk, L. Usefulness of Contrast-Enhanced Ultrasound in the Differentiation between Hepatocellular Carcinoma and Benign Liver Lesions. Diagnostics 2023, 13, 2025. [Google Scholar] [CrossRef] [PubMed]
- Wary, P.; Hossu, G.; Ambarki, K.; Nickel, D.; Arberet, S.; Oster, J.; Orry, X.; Laurent, V. Deep learning HASTE sequence compared with T2-weighted BLADE sequence for liver MRI at 3 Tesla: A qualitative and quantitative prospective study. Eur. Radiol. 2023, 33, 6817–6827. [Google Scholar] [CrossRef] [PubMed]
- Schmidt, V.; Dietrich, O.; Kazmierczak, P.M.; Seidensticker, M.; Ricke, J.; Armbruster, M. Optimized visualization of focal liver lesions and vascular structures in real-time T1-weighted gradient echo sequences for magnetic resonance-guided liver procedures. Diagn. Interv. Radiol. 2023, 29, 128–137. [Google Scholar] [CrossRef] [PubMed]
- Jhan, S.-R.; Wu, Y.-Y.B.; Chang, P.-Y.; Chai, J.-W.; Su, T.-C. Comparison of ability of lesion detection of two MRI sequences of T2WI HASTE and T2WI BLADE for hepatocellular carcinoma. Medicine 2023, 102, e32890. [Google Scholar] [CrossRef] [PubMed]
- Ichikawa, S.; Goshima, S. Clinical Significance of Liver MR Imaging. Magn. Reson. Med. Sci. 2023, 22, 157–175. [Google Scholar] [CrossRef] [PubMed]
- Yoo, J.; Lee, J.M.; Kang, H.-J.; Bae, J.S.; Jeon, S.K.; Yoon, J.H. Comparison between Contrast-Enhanced Computed Tomography and Contrast-Enhanced Magnetic Resonance Imaging with Magnetic Resonance Cholangiopancreatography for Resectability Assessment in Extrahepatic Cholangiocarcinoma. Korean J. Radiol. 2023, 24, 983–995. [Google Scholar] [CrossRef]
- Romero, B.; Furtado, F.S.; Sertic, M.; Goiffon, R.J.; Mahmood, U.; Catalano, O.A. Abdominal Positron Emission Tomography/Magnetic Resonance Imaging. Magn. Reson. Imaging Clin. N. Am. 2023, 31, 579–589. [Google Scholar] [CrossRef]
- Altmayer, S.; Armelin, L.M.; Pereira, J.S.; Carvalho, L.V.; Tse, J.; Balthazar, P.; Francisco, M.Z.; Watte, G.; Hochhegger, B. MRI with DWI improves detection of liver metastasis and selection of surgical candidates with pancreatic cancer: A systematic review and meta-analysis. Eur. Radiol. 2023, 1–9. [Google Scholar] [CrossRef]
- Azizaddini, S.; Mani, N. Liver Imaging. In StatPearls [Internet]; StatPearls Publishing: Treasure Island, FL, USA, 2023. [Google Scholar]
- Li, Z.-F.; Kang, L.-Q.; Liu, F.-H.; Zhao, M.; Guo, S.-Y.; Lu, S.; Quan, S. Radiomics based on preoperative rectal cancer MRI to predict the metachronous liver metastasis. Abdom. Radiol. 2022, 48, 833–843. [Google Scholar] [CrossRef] [PubMed]
- Hama, Y.; Tate, E. MRI-guided stereotactic ablative radiation therapy for liver metastasis from pancreatic cancer. J. Cancer Res. Ther. 2022, 18, S489–S491. [Google Scholar] [CrossRef] [PubMed]
- Shen, K.; Mo, W.; Wang, X.; Shi, D.; Qian, W.; Sun, J.; Yu, R. A convenient scoring system to distinguish intrahepatic mass-forming cholangiocarcinoma from solitary colorectal liver metastasis based on magnetic resonance imaging features. Eur. Radiol. 2023, 33, 8986–8998. [Google Scholar] [CrossRef] [PubMed]
- Khan, S.A.; Tavolari, S.; Brandi, G. Cholangiocarcinoma: Epidemiology and risk factors. Liver Int. 2019, 39 (Suppl. S1), 19–31. [Google Scholar] [CrossRef] [PubMed]
- Valle, J.W.; Kelley, R.K.; Nervi, B.; Oh, D.-Y.; Zhu, A.X. Biliary tract cancer. Lancet 2021, 397, 428–444. [Google Scholar] [CrossRef]
- Chung, Y.E.; Kim, M.-J.; Park, Y.N.; Choi, J.-Y.; Pyo, J.Y.; Kim, Y.C.; Cho, H.J.; Kim, K.A.; Choi, S.Y. Varying Appearances of Cholangiocarcinoma: Radiologic-Pathologic Correlation. Radiographics 2009, 29, 683–700. [Google Scholar] [CrossRef]
- Manfredi, S.; Lepage, C.; Hatem, C.; Coatmeur, O.; Faivre, J.; Bouvier, A.-M. Epidemiology and Management of Liver Metastases from Colorectal Cancer. Ann. Surg. 2006, 244, 254–259. [Google Scholar] [CrossRef]
- Van Cutsem, E.; Oliveira, J. Advanced colorectal cancer: ESMO Clinical Recommendations for diagnosis, treatment and follow-up. Ann. Oncol. 2009, 20 (Suppl. S4), 61–63. [Google Scholar] [CrossRef]




| Sequence | Orientation | TR/TE/FA (ms/ms/deg.) | AT (min) | Acquisition Matrix | ST/Gap (mm) | FS |
|---|---|---|---|---|---|---|
| T2-W Trufisp | Coronal | 4.30/2.15/80 | 0.46 | 512 × 512 | 4/0 | Without |
| T2-W HASTE | Axial | 1500/90/170 | 0.36 | 320 × 320 | 5/0 | Without and with (SPAIR) |
| T2W HASTE | Coronal | 1500/92/170 | 0.38 | 320 × 320 | 5/0 | Without |
| T2W SPACE | Axial | 4471/259/120 | 4.20 | 384 × 450 | 3/0 | With (SPAIR) |
| T1-W In-Out phase | Axial | 160/2.35/70 | 0.33 | 256 × 192 | 5/0 | Without |
| DWI | Axial | 7500/91/90 | 7 | 192 × 192 | 3/0 | Without |
| T1-W VIBE | Axial | 4.80/1.76/30 | 0.18 | 320 × 260 | 3/0 | With (SPAIR) |
| Patient Description | Numbers (%)/Range |
|---|---|
| Sex | Men 50 (64.9%) |
| Women 27 (35.1%) | |
| Age | 61 years; range: 36–82 years |
| Primary cancer site | |
| Colon | 52 (67.5%) |
| Rectum | 25 (32.5%) |
| Hepatic metastases description | 147 |
| Patients with single nodule | 48 (62.3%) |
| Patients with multiple nodules | 29 (37.7%)/range: 2–13 metastases |
| Nodule size (mm) | median size 35.8 mm; range 7–58 mm |
| Tumor budding | |
| Absent | 19 (13%) |
| Low grade | 18 (12%) |
| High grade | 110 (75%) |
| Diagnostic Performance | T1-W VIBE Sequence Arterial Phase | T1-W VIBE Sequence Portal Phase | T1-W VIBE Sequence Hepatobiliary Excretion Phase | T2-W SPACE |
|---|---|---|---|---|
| original_glcm_Idn | wavelet_LLH_firstorder_10Percentile | wavelet_HHL_glcm_MaximumProbability | wavelet_LLH_glcm_Imc1 | |
| AUC | 0.74 | 0.80 | 0.70 | 0.77 |
| Sensitivity | 0.87 | 0.96 | 0.94 | 0.93 |
| Specificity | 0.77 | 0.81 | 0.68 | 0.71 |
| PPV | 0.92 | 0.93 | 0.89 | 0.90 |
| NPV | 0.67 | 0.86 | 0.81 | 0.79 |
| Accuracy | 0.84 | 0.92 | 0.88 | 0.88 |
| Cut-off | 0.94 | −37.14 | 0.28 | −0.14 |
| Diagnostic Performance | T1-W VIBE Sequence Arterial Phase | T1-W VIBE Sequence Portal Phase | T1-W VIBE Sequence Hepatobiliary Excretion Phase | T2-W SPACE |
|---|---|---|---|---|
| Linear Regression Model of | wavelet_LLH_firstorder_10Percentile | wavelet_HHL_glcm_MaximumProbability | wavelet_LLH_glcm_Imc1 | |
| AUC | 0.90 | 0.89 | 0.81 | 0.89 |
| Sensitivity | 0.99 | 1.00 | 0.89 | 0.92 |
| Specificity | 0.87 | 0.87 | 0.84 | 0.94 |
| PPV | 0.96 | 0.96 | 0.94 | 0.98 |
| NPV | 0.96 | 1.00 | 0.72 | 0.81 |
| Accuracy | 0.96 | 0.96 | 0.88 | 0.93 |
| Cut-off | 0.49 | 0.59 | 0.67 | 0.65 |
| Variables | Coefficients |
|---|---|
| Intercept | −6.88 |
| original_glcm_Idn | 21.37 |
| original_glcm_Idm | 47.83 |
| original_glcm_Id | −56.56 |
| wavelet_LHH_firstorder_Minimum | 0.01 |
| wavelet_LHH_firstorder_10Percentile | −0.03 |
| wavelet_LLH_glcm_MaximumProbability | 2.02 |
| wavelet_LLH_glcm_Imc1 | 9.51 |
| wavelet_LLH_firstorder_10Percentile | −0.01 |
| wavelet_LLH_glrlm_GrayLevelNonUniformityNormalized | −3.54 |
| wavelet_LLH_glrlm_LongRunEmphasis | −0.01 |
| wavelet_LLH_glszm_SmallAreaLowGrayLevelEmphasis | 2.52 |
| wavelet_HLH_firstorder_10Percentile | 0.27 |
| wavelet_LLL_glcm_InverseVariance | −5.27 |
Disclaimer/Publisher’s Note: The statements, opinions and data contained in all publications are solely those of the individual author(s) and contributor(s) and not of MDPI and/or the editor(s). MDPI and/or the editor(s) disclaim responsibility for any injury to people or property resulting from any ideas, methods, instructions or products referred to in the content. |
© 2024 by the authors. Licensee MDPI, Basel, Switzerland. This article is an open access article distributed under the terms and conditions of the Creative Commons Attribution (CC BY) license (https://creativecommons.org/licenses/by/4.0/).
Share and Cite
Granata, V.; Fusco, R.; Brunese, M.C.; Ferrara, G.; Tatangelo, F.; Ottaiano, A.; Avallone, A.; Miele, V.; Normanno, N.; Izzo, F.; et al. Machine Learning and Radiomics Analysis for Tumor Budding Prediction in Colorectal Liver Metastases Magnetic Resonance Imaging Assessment. Diagnostics 2024, 14, 152. https://doi.org/10.3390/diagnostics14020152
Granata V, Fusco R, Brunese MC, Ferrara G, Tatangelo F, Ottaiano A, Avallone A, Miele V, Normanno N, Izzo F, et al. Machine Learning and Radiomics Analysis for Tumor Budding Prediction in Colorectal Liver Metastases Magnetic Resonance Imaging Assessment. Diagnostics. 2024; 14(2):152. https://doi.org/10.3390/diagnostics14020152
Chicago/Turabian StyleGranata, Vincenza, Roberta Fusco, Maria Chiara Brunese, Gerardo Ferrara, Fabiana Tatangelo, Alessandro Ottaiano, Antonio Avallone, Vittorio Miele, Nicola Normanno, Francesco Izzo, and et al. 2024. "Machine Learning and Radiomics Analysis for Tumor Budding Prediction in Colorectal Liver Metastases Magnetic Resonance Imaging Assessment" Diagnostics 14, no. 2: 152. https://doi.org/10.3390/diagnostics14020152
APA StyleGranata, V., Fusco, R., Brunese, M. C., Ferrara, G., Tatangelo, F., Ottaiano, A., Avallone, A., Miele, V., Normanno, N., Izzo, F., & Petrillo, A. (2024). Machine Learning and Radiomics Analysis for Tumor Budding Prediction in Colorectal Liver Metastases Magnetic Resonance Imaging Assessment. Diagnostics, 14(2), 152. https://doi.org/10.3390/diagnostics14020152

