Role of Diffusion-Weighted Magnetic Resonance Imaging for Characterization of Mediastinal Lymphadenopathy
Abstract
:1. Introduction
2. Materials and Methods
2.1. Patient Enrollment
2.2. MR Imaging
2.3. Lymph Node Sampling and Pathologic Examinations
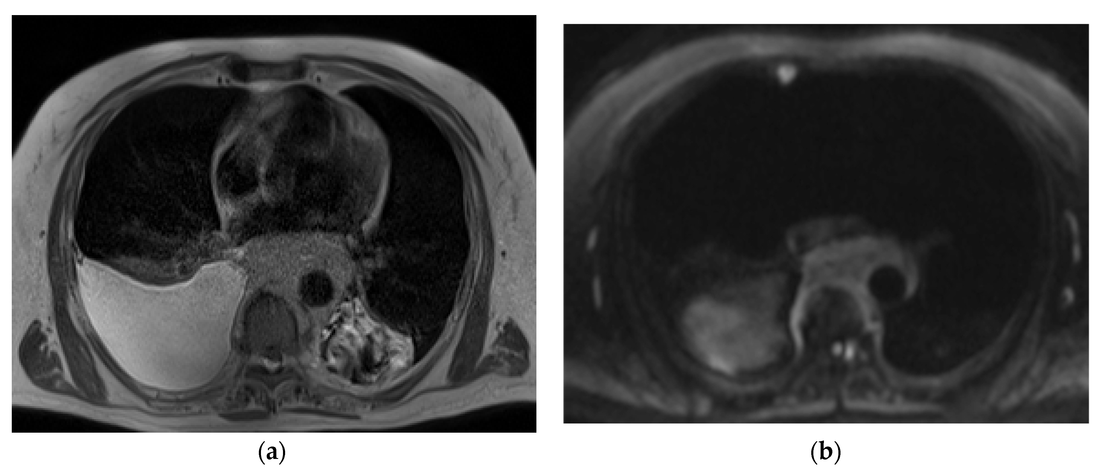
2.4. Image Analysis
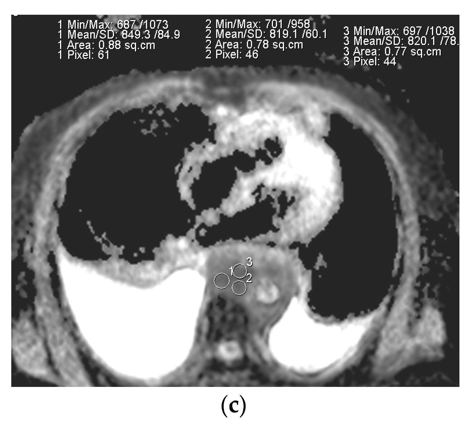
2.5. Quantitative Analysis
2.6. Qualitative Analysis
2.7. Statistical Analysis
3. Results
3.1. SAD of Lymph Nodes
3.2. T2Heterogeneity
3.3. Diffusion Restriction
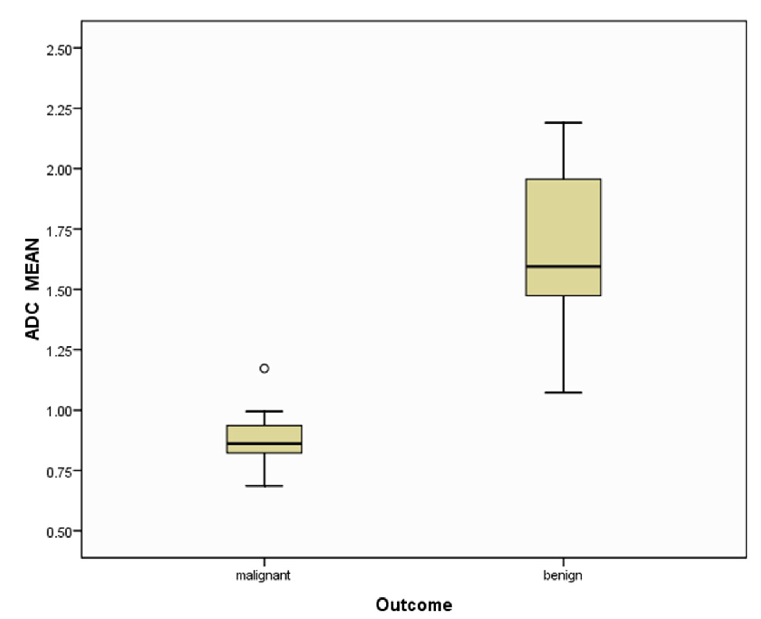
3.4. ADC
3.5. Multivariate Logistic Regression Analysis
4. Discussion
5. Conclusions
Author Contributions
Funding
Institutional Review Board Statement
Informed Consent Statement
Data Availability Statement
Conflicts of Interest
References
- Geyer, L.; Silverman, J.; Krazinski, A.; Suranyi, P.; Ravenel, J.; Wirth, S.; Costello, P.; Schoepf, U. Integrated Cardiothoracic Imaging with Computed Tomography. Semin. Respir. Crit. Care Med. 2014, 35, 050–063. [Google Scholar] [CrossRef] [PubMed]
- Stefanidis, K.; Konstantellou, E.; Yusuf, G.; Moser, J.; Tan, C.; Vlahos, I. The Evolving Landscape of Lung Cancer Surgical Resection: An Update for Radiologists with Focus on Key Chest CT Findings. Am. J. Roentgenol. 2022, 218, 52–65. [Google Scholar] [CrossRef] [PubMed]
- Garg, M.; Prabhakar, N.; Muthu, V.; Farookh, S.; Kaur, H.; Suri, V.; Agarwal, R. CT Findings of COVID-19–Associated Pulmonary Mucormycosis: A Case Series and Literature Review. Radiology 2021, 302, 211583. [Google Scholar] [CrossRef]
- Yang, S.; Shan, F.; Shi, Y.; Liu, T.; Wang, Q.; Zhang, H.; Zhang, X.; Yang, S.; Zhang, Z. Sensitivity and Specificity of Magnetic Resonance Imaging in Routine Diagnosis of Pulmonary Lesions: A Comparison with Computed Tomography. J. Thorac. Dis. 2022, 14, 3762–3772. [Google Scholar] [CrossRef] [PubMed]
- Singh, R.; Garg, M.; Sodhi, K.; Prabhakar, N.; Singh, P.; Agarwal, R.; Malhotra, P. Diagnostic Accuracy of Magnetic Resonance Imaging in the Evaluation of Pulmonary Infections in Immunocompromised Patients. Pol. J. Radiol. 2020, 85, 53–61. [Google Scholar] [CrossRef]
- Garg, M.; Lamicchane, S.; Maralakunte, M.; Debi, U.; Dhooria, S.; Sehgal, I.; Prabhakar, N.; Sandhu, M.S. Role of MRI in the Evaluation of Pulmonary Sequel Following COVID-19 Acute Respiratory Distress Syndrome (ARDS). Curr.Probl. Diagn. Radiol. 2022, 12, 117–124. [Google Scholar] [CrossRef]
- Martini, N.; Heelan, R.; Westcott, J.; Bains, M.S.; McCormack, P.; Caravelli, J.; Watson, R.; Zaman, M. Comparative Merits of Conventional, Computed Tomographic, and Magnetic Resonance Imaging in Assessing Mediastinal Involvement in Surgically Confirmed Lung Carcinoma. J. Thorac. Cardiovasc. Surg. 1985, 90, 639–648. [Google Scholar] [CrossRef]
- Laissy, J.P.; Gay-Depassier, P.; Soyer, P.; Dombret, M.C.; Murciano, G.; Sautet, A.; Aubier, M.; Menu, Y. Enlarged Mediastinal Lymph Nodes in Bronchogenic Carcinoma: Assessment with Dynamic Contrast-Enhanced MR Imaging. Work in Progress. Radiology 1994, 191, 263–267. [Google Scholar] [CrossRef]
- Takenaka, D.; Ohno, Y.; Hatabu, H.; Ohbayashi, C.; Yoshimura, M.; Ohkita, Y.; Sugimura, K. Differentiation of Metastatic versus Non-Metastatic Mediastinal Lymph Nodes in Patients with Non-Small Cell Lung Cancer Using Respiratory-Triggered Short Inversion Time Inversion Recovery (STIR) Turbo Spin-Echo MR Imaging. Eur. J. Radiol. 2002, 44, 216–224. [Google Scholar] [CrossRef]
- Ohno, Y.; Hatabu, H.; Takenaka, D.; Higashino, T.; Watanabe, H.; Ohbayashi, C.; Yoshimura, M.; Satouchi, M.; Nishimura, Y.; Sugimura, K. Metastases in Mediastinal and Hilar Lymph Nodes in Patients with Non-Small Cell Lung Cancer: Quantitative and Qualitative Assessment with STIR Turbo Spin-Echo MR Imaging. Radiology 2004, 231, 872–879. [Google Scholar] [CrossRef]
- Yi, C.A.; Lee, K.S.; Kim, B.-T.; Shim, S.S.; Chung, M.J.; Sung, Y.M.; Jeong, S.Y. Efficacy of Helical Dynamic CT versus Integrated PET/CT for Detection of Mediastinal Nodal Metastasis in Non-Small Cell Lung Cancer. Am. J. Roentgenol. 2007, 188, 318–325. [Google Scholar] [CrossRef]
- Kim, B.-T.; Lee, K.S.; Shim, S.S.; Choi, J.Y.; Kwon, O.J.; Kim, H.; Shim, Y.M.; Kim, J.; Kim, S. Stage T1 Non–Small Cell Lung Cancer: Preoperative Mediastinal Nodal Staging with Integrated FDG PET/CT—A Prospective Study. Radiology 2006, 241, 501–509. [Google Scholar] [CrossRef]
- DDeppen, S.; Putnam, J.B.; Andrade, G.; Speroff, T.; Nesbitt, J.C.; Lambright, E.S.; Massion, P.P.; Walker, R.; Grogan, E.L. Accuracy of FDG-PET to Diagnose Lung Cancer in a Region of Endemic Granulomatous Disease. Ann. Thorac. Surg. 2011, 92, 428–433. [Google Scholar] [CrossRef]
- Schmidt-Hansen, M.; Baldwin, D.R.; Hasler, E.; Zamora, J.; Abraira, V.; RoquéiFiguls, M. PET-CT for Assessing Mediastinal Lymph Node Involvement in Patients with Suspected Resectable Non-Small Cell Lung Cancer. Cochrane Database Syst. Rev. 2014, 2014, CD009519. [Google Scholar] [CrossRef]
- Kim, Y.K.; Lee, K.S.; Kim, B.-T.; Choi, J.Y.; Kim, H.; Kwon, O.J.; Shim, Y.M.; Yi, C.A.; Kim, H.Y.; Chung, M.J. Mediastinal Nodal Staging of Nonsmall Cell Lung Cancer Using Integrated18F-FDG PET/CT in a Tuberculosis-Endemic Country. Cancer 2007, 109, 1068–1077. [Google Scholar] [CrossRef]
- Pannu, H.K.; Wang, K.-P.; Borman, T.L.; Bluemke, D.A. MR Imaging of Mediastinal Lymph Nodes: Evaluation Using a Superparamagnetic Contrast Agent. J. Magn. Reson. Imaging 2000, 12, 899–904. [Google Scholar] [CrossRef]
- Koh, D.-M.; Collins, D.J. Diffusion-Weighted MRI in the Body: Applications and Challenges in Oncology. Am. J. Roentgenol. 2007, 188, 1622–1635. [Google Scholar] [CrossRef]
- Razek, A.A.K.A.; Elkammary, S.; Elmorsy, A.S.; Elshafey, M.; Elhadedy, T. Characterization of Mediastinal Lymphadenopathy with Diffusion-Weighted Imaging. Magn. Reson. Imaging 2011, 29, 167–172. [Google Scholar] [CrossRef]
- Koşucu, P.; Tekinbaş, C.; Erol, M.; Sari, A.; Kavgaci, H.; Öztuna, F.; Ersöz, S. Mediastinal Lymph Nodes: Assessment with Diffusion-Weighted MR Imaging. J. Magn. Reson. Imaging 2009, 30, 292–297. [Google Scholar] [CrossRef]
- Nakayama, J.; Miyasaka, K.; Omatsu, T.; Onodera, Y.; Terae, S.; Matsuno, Y.; Cho, Y.; Hida, Y.; Kaga, K.; Shirato, H. Metastases in Mediastinal and Hilar Lymph Nodes in Patients with Non-Small Cell Lung Cancer. J. Comput. Assist. Tomogr. 2010, 34, 1–8. [Google Scholar] [CrossRef]
- Nomori, H.; Mori, T.; Ikeda, K.; Kawanaka, K.; Shiraishi, S.; Katahira, K.; Yamashita, Y. Diffusion-Weighted Magnetic Resonance Imaging Can Be Used in Place of Positron Emission Tomography for N Staging of Non–Small Cell Lung Cancer with Fewer False-Positive Results. J. Thorac. Cardiovasc. Surg. 2008, 135, 816–822. [Google Scholar] [CrossRef]
- Rusch, V.W.; Asamura, H.; Watanabe, H.; Giroux, D.J.; Rami-Porta, R.; Goldstraw, P. The IASLC Lung Cancer Staging Project: A Proposal for a New International Lymph Node Map in the Forthcoming Seventh Edition of the TNM Classification for Lung Cancer. J. Thorac. Oncol. 2009, 4, 568–577. [Google Scholar] [CrossRef]
- Walker, C.M.; Chung, J.H.; Abbott, G.F.; Little, B.P.; El-Sherief, A.H.; Shepard, J.-A.O.; Lanuti, M. Mediastinal Lymph Node Staging: From Noninvasive to Surgical. Am. J. Roentgenol. 2012, 199, W54–W64. [Google Scholar] [CrossRef] [PubMed]
- de Bondt, R.B.J.; Nelemans, P.J.; Bakers, F.; Casselman, J.W.; Peutz-Kootstra, C.; Kremer, B.; Hofman, P.A.M.; Beets-Tan, R.G.H. Morphological MRI Criteria Improve the Detection of Lymph Node Metastases in Head and Neck Squamous Cell Carcinoma: Multivariate Logistic Regression Analysis of MRI Features of Cervical Lymph Nodes. Eur. Radiol. 2008, 19, 626–633. [Google Scholar] [CrossRef]
- Donners, R.; Yiin, R.S.Z.; Blackledge, M.; Koh, D.-M. Whole-Body Diffusion-Weighted MRI of Normal Lymph Nodes: Prospective Apparent Diffusion Coefficient Histogram and Nodal Distribution Analysis in a Healthy Cohort. Cancer Imaging 2021, 21, 64. [Google Scholar] [CrossRef] [PubMed]
- Raafat, T.A.; Ahmed, S.M.; Seif, E.M.A.; Mikhael, H.S.W.; Awad, A.S. Role of Diffusion-Weighted MRI in Characterization of Mediastinal Masses. Egypt. J. Radiol. Nucl. Med. 2020, 51, 192. [Google Scholar] [CrossRef]
- Razek, A.A.K.A.; Gaballa, G.; Elashry, R.; Elkhamary, S. Diffusion-Weighted MR Imaging of Mediastinal Lymphadenopathy in Children. Jpn. J. Radiol. 2015, 33, 449–454. [Google Scholar] [CrossRef]
- AAbou Youssef, H.; Elzorkany, M.; Hussein, S.; Taymour, T.; Gawad, M. Evaluation of Mediastinal Lymphadenopathy by Diffusion Weighted MRI.; Correlation with Histopathological Results. Adv. Respir. Med. 2019, 87, 175–183. [Google Scholar] [CrossRef]
- Abdel Razek, A.A.K.; Baky, K.A.; Helmy, E. Diffusion Tensor Imaging in Characterization of Mediastinal Lymphadenopathy. Acad. Radiol. 2022, 29 (Suppl. S2), S165–S172. [Google Scholar] [CrossRef]
- Naranje, P.; Singh, R.; Bhalla, A.; Pandey, S. Magnetic Resonance Imaging in Response Assessment of Mediastinal Tuberculous Lymphadenopathy: Going beyond Size. Lung India 2021, 38, 431. [Google Scholar] [CrossRef]
- Aboukhadrah, R.S.; Imam, H.H. Multiple b Values of Diffusion-Weighted Magnetic Resonance Imaging in Evaluation of Solid Head and Neck Masses. Egypt. J. Radiol. Nucl. Med. 2019, 50, 54. [Google Scholar] [CrossRef]
- Sabri, Y.Y.; Ewis, N.M.; Zawam, H.E.H.; Khairy, M.A. Role of Diffusion MRI in Diagnosis of Mediastinal Lymphoma: Initial Assessment and Response to Therapy. Egypt. J. Radiol. Nucl. Med. 2021, 52, 215. [Google Scholar] [CrossRef]
- de Bondt, R.B.J.; Hoeberigs, M.C.; Nelemans, P.J.; Deserno, W.M.L.L.G.; Peutz-Kootstra, C.; Kremer, B.; Beets-Tan, R.G.H. Diagnostic Accuracy and Additional Value of Diffusion-Weighted Imaging for Discrimination of Malignant Cervical Lymph Nodes in Head and Neck Squamous Cell Carcinoma. Neuroradiology 2009, 51, 183–192. [Google Scholar] [CrossRef]
- Peerlings, J.; Troost, E.G.C.; Nelemans, P.J.; Cobben, D.C.P.; de Boer, J.C.J.; Hoffmann, A.L.; Beets-Tan, R.G.H. The Diagnostic Value of MR Imaging in Determining the Lymph Node Status of Patients with Non–Small Cell Lung Cancer: A Meta-Analysis. Radiology 2016, 281, 86–98. [Google Scholar] [CrossRef]
- Shen, G.; Hu, S.; Deng, H.; Kuang, A. Performance of DWI in the Nodal Characterization and Assessment of Lung Cancer: A Meta-Analysis. Am. J. Roentgenol. 2016, 206, 283–290. [Google Scholar] [CrossRef]
- Asamura, H.; Chansky, K.; Crowley, J.; Goldstraw, P.; Rusch, V.W.; Vansteenkiste, J.F.; Watanabe, H.; Wu, Y.-L.; Zielinski, M.; Ball, D.; et al. The International Association for the Study of Lung Cancer Lung Cancer Staging Project: Proposals for the revision of the N descriptors in the forthcoming 8th edition of the TNM classification for lung cancer. J.Thorac. Oncol. 2015, 10, 1675–1684. [Google Scholar] [CrossRef]
- Bertoglio, P.; Ricciardi, S.; Alì, G.; Aprile, V.; Korasidis, S.; Palmiero, G.; Fontanini, G.; Mussi, A.; Lucchi, M. N2 Lung Cancer Is Not All the Same: An Analysis of Different Prognostic Groups. Interact. Cardio Vascular Thorac. Surg. 2018, 27, 720–726. [Google Scholar] [CrossRef]
- Thoeny, H.C.; Ross, B.D. Predicting and Monitoring Cancer Treatment Response with Diffusion-Weighted MRI. J. Magn. Reson. Imaging 2010, 32, 2–16. [Google Scholar] [CrossRef] [Green Version]






| Histological Findings | Value |
|---|---|
| Malignant lymph nodes | 17 (39.5%) |
| Metastasis (small cell lung cancer) | 2 (4.6%) |
| Metastasis (non-small cell lung cancer) | 7 (16.2%) |
| Metastasis (oropharyngeal cancer) | 1 (2.3%) |
| Metastasis (unknown primary) | 1 (2.3%) |
| Non-Hodgkin lymphoma | 4 (9.3%) |
| Hodgkin lymphoma | 2 (4.6%) |
| Benign lymph nodes | 26 (60.5%) |
| Sarcoidosis | 12 (27.9%) |
| Tuberculosis | 9 (20.9%) |
| Reactive lymph nodes | 5 (11.6%) |
| Lymph Nodal Histopathology | Mean * ADC Value (×10−3 mm2/s) |
|---|---|
| Malignant lymph nodes | 0.873 ± 0.109 |
| Metastasis | 0.9155 |
| Lymphoma | 0.8283 |
| Benign lymph nodes | 1.663 ± 0.311 |
| Sarcoidosis | 1.6085 |
| Tuberculosis | 1.6140 |
| Reactive lymph nodes | 1.925 |
| Model | SENSITIVITY (%) | SPECIFICITY (%) |
|---|---|---|
| ADC mean only | 94 | 96 |
| ADC mean with all other criteria | 94 | 96 |
| T2 heterogeneity and SAD | 83 | 92 |
| T2 heterogeneity, SAD, and diffusion restriction | 88 | 92 |
Disclaimer/Publisher’s Note: The statements, opinions and data contained in all publications are solely those of the individual author(s) and contributor(s) and not of MDPI and/or the editor(s). MDPI and/or the editor(s) disclaim responsibility for any injury to people or property resulting from any ideas, methods, instructions or products referred to in the content. |
© 2023 by the authors. Licensee MDPI, Basel, Switzerland. This article is an open access article distributed under the terms and conditions of the Creative Commons Attribution (CC BY) license (https://creativecommons.org/licenses/by/4.0/).
Share and Cite
Ramamoorthy, E.; Garg, M.; Singh, P.; Aggarwal, A.N.; Gupta, N. Role of Diffusion-Weighted Magnetic Resonance Imaging for Characterization of Mediastinal Lymphadenopathy. Diagnostics 2023, 13, 706. https://doi.org/10.3390/diagnostics13040706
Ramamoorthy E, Garg M, Singh P, Aggarwal AN, Gupta N. Role of Diffusion-Weighted Magnetic Resonance Imaging for Characterization of Mediastinal Lymphadenopathy. Diagnostics. 2023; 13(4):706. https://doi.org/10.3390/diagnostics13040706
Chicago/Turabian StyleRamamoorthy, Eniyavel, Mandeep Garg, Paramjeet Singh, Ashutosh N. Aggarwal, and Nalini Gupta. 2023. "Role of Diffusion-Weighted Magnetic Resonance Imaging for Characterization of Mediastinal Lymphadenopathy" Diagnostics 13, no. 4: 706. https://doi.org/10.3390/diagnostics13040706
APA StyleRamamoorthy, E., Garg, M., Singh, P., Aggarwal, A. N., & Gupta, N. (2023). Role of Diffusion-Weighted Magnetic Resonance Imaging for Characterization of Mediastinal Lymphadenopathy. Diagnostics, 13(4), 706. https://doi.org/10.3390/diagnostics13040706

