The Associations between the Maxillary Sinus Volume, Infraorbital Ethmoid Cells, and the Infraorbital Canal: A CT-Based Study
Abstract
1. Introduction
2. Materials and Methods
2.1. Infraorbital Ethmoid Cells
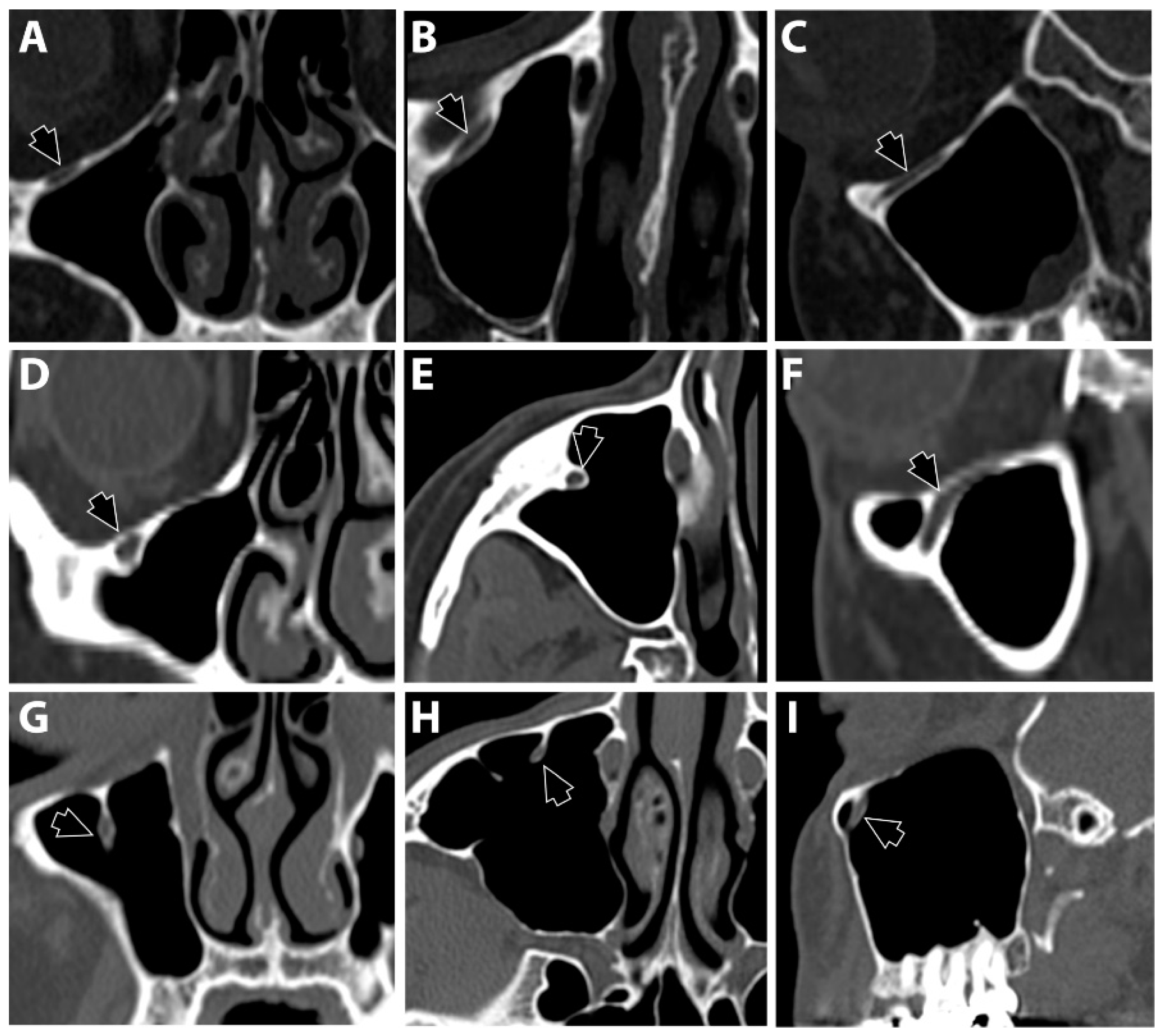
2.2. Infraorbital Canal Location
2.3. Evaluating the Maxillary Sinus Volume
2.4. Statistical Analysis
3. Results
3.1. Prevalence of Infraorbital Ethmoid Cells and Their Association with Sex
3.2. Prevalence of the Infraorbital Canal Type and Its Association with Sex
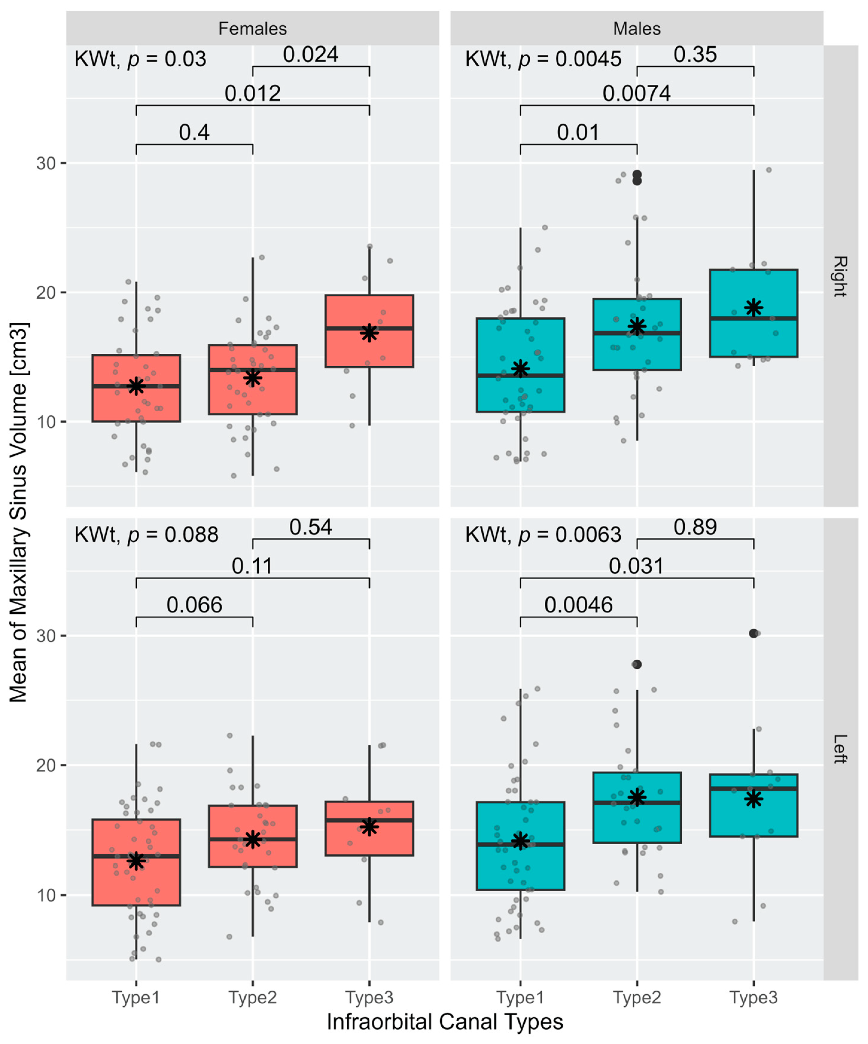
3.3. Sinus Volume in Males and Females
3.4. Association between IEC, IOC, and the Sinus Volume
3.5. Association of IEC and IOC with Sinusitis
4. Discussion
4.1. Infraorbital Ethmoid Cells
4.2. Infraorbital Canal
4.3. Clinical Implications
4.4. Conclusions
4.5. Limits of This Study and Future Thoughts
Author Contributions
Funding
Institutional Review Board Statement
Informed Consent Statement
Data Availability Statement
Conflicts of Interest
Abbreviations
References
- Witmer, L.M. The phylogenetic history of paranasal air sinuses. In The Paranasal Sinuses of Higher Primates: Development, Function, and Evolution; Koppe, T., Hiroshi, N., Alt, K.W., Eds.; Quintessence: Chicago, IL, USA, 1999; pp. 21–34. [Google Scholar]
- Chmielewski, P.P. Exploring the uncharted: Missing anatomical names in the Terminologia Anatomica. Clin. Anat. 2023, 1–8. [Google Scholar] [CrossRef] [PubMed]
- Gibelli, D.; Cellina, M.; Gibelli, S.; Cappella, A.; Oliva, A.G.; Termine, G.; Sforza, C. Anatomical variants of ethmoid bone on multidetector CT. Surg. Radiol. Anat. 2018, 40, 1301–1311. [Google Scholar] [CrossRef] [PubMed]
- Chmielik, L.P.; Chmielik, A. The prevalence of the Onodi cell—Most suitable method of CT evaluation in its detection. Int. J. Pediatr. Otorhinolaryngol. 2017, 97, 202–205. [Google Scholar] [CrossRef] [PubMed]
- Ahmad, M.; Khurana, N.; Jaberi, J.; Sampair, C.; Kuba, R.K. Prevalence of infraorbital ethmoid (Haller’s) cells on panoramic radiographs. Oral. Surg. Oral. Med. Oral. Pathol. Oral. Radiol. Endod. 2006, 101, 658–661. [Google Scholar] [CrossRef] [PubMed]
- Mathew, R.; Omami, G.; Hand, A.; Fellows, D.; Lurie, A. Cone beam CT analysis of Haller cells: Prevalence and clinical significance. Dentomaxillofac. Radiol. 2013, 42, 20130055. [Google Scholar] [CrossRef] [PubMed]
- Friedrich, R.E.; Fraederich, M.; Schoen, G. Frequency and volumetry of infraorbital ethmoid cells (Haller cells) on cone-beam computed tomograms (CBCT) of the mid-face. GMS Interdiscip. Plast. Reconstr. Surg. DGPW 2017, 6, Doc07. [Google Scholar]
- Caversaccio, M.; Boschung, U.; Mudry, A. Historical review of Haller’s cells. Ann. Anat-Anat. Anz. 2011, 193, 185–190. [Google Scholar] [CrossRef]
- Alkire, B.C.; Bhattacharyya, N. An assessment of sinonasal anatomic variants potentially associated with recurrent acute rhinosinusitis. Laryngoscope 2010, 120, 631–634. [Google Scholar] [CrossRef]
- Khojastepour, L.; Haghnegahdar, A.; Khosravifard, N. Role of sinonasal anatomic variations in the development of maxillary sinusitis: A cone beam CT analysis. Open Dent. J. 2017, 11, 367–374. [Google Scholar] [CrossRef][Green Version]
- Sedaghat, A.R.; Gray, S.T.; Wilke, C.O.; Caradonna, D.S. Risk factors for development of chronic rhinosinusitis in patients with allergic rhinitis. Int. Forum Allergy Rhinol. 2012, 2, 370–375. [Google Scholar] [CrossRef]
- Jun Kim, H.; Jung Cho, M.; Lee, J.-W.; Tae Kim, Y.; Kahng, H.; Sung Kim, H.; Hahm, K.H. The relationship between anatomic variations of paranasal sinuses and chronic sinusitis in children. Acta Oto-Laryngol. 2006, 126, 1067–1072. [Google Scholar] [CrossRef] [PubMed]
- Shpilberg, K.A.; Daniel, S.C.; Doshi, A.H.; Lawson, W.; Som, P.M. CT of anatomic variants of the paranasal sinuses and nasal cavity: Poor correlation with radiologically significant rhinosinusitis but importance in surgical planning. Am. J. Roentgenol. 2015, 204, 1255–1260. [Google Scholar] [CrossRef]
- Ference, E.H.; Smith, S.S.; Conley, D.; Chandra, R.K. Surgical anatomy and variations of the infraorbital nerve. Laryngoscope 2015, 125, 1296–1300. [Google Scholar] [CrossRef] [PubMed]
- Bahşi, İ.; Orhan, M.; Kervancioğlu, P.; Yalçin, E.D. Morphometric evaluation and surgical implications of the infraorbital groove, canal and foramen on cone-beam computed tomography and a review of literature. Folia Morphol. 2019, 78, 331–343. [Google Scholar] [CrossRef] [PubMed]
- Yenigun, A.; Gun, C.; Uysal, I.I.; Nayman, A. Radiological classification of the infraorbital canal and correlation with variants of neighboring structures. Eur. Arch. Oto-Rhino-Laryngol. 2016, 273, 139–144. [Google Scholar] [CrossRef] [PubMed]
- Haghnegahdar, A.; Khojastepour, L.; Naderi, A. Evaluation of infraorbital canal in cone beam computed tomography of maxillary sinus. J. Dent. 2018, 19, 41–47. [Google Scholar]
- Weber, R.K.; Hosemann, W. Comprehensive review on endonasal endoscopic sinus surgery. GMS Curr. Top. Otorhinolaryngol. Head. Neck Surg. 2015, 14, Doc08. [Google Scholar]
- World Health Organization. International Statistical Classification of Diseases and Related Health Problems, 5th ed.; 10th revision; World Health Organization: Geneva, Switzerland, 2016. [Google Scholar]
- R Core Team. R: A Language and Environment for Statistical Computing; R Core Team: Vienna, Austria, 2021. [Google Scholar]
- RStudio Team. RStudio: Integrated Development Environment for R; RStudio Team: Boston, MA, USA, 2021. [Google Scholar]
- Harrison, E.; Drake, T.; Ots, R. Finalfit: Quickly Create Elegant Regression Results Tables and Plots When Modelling, R Package Version 1.0.6. 2023. Available online: https://rdrr.io/cran/finalfit/ (accessed on 30 November 2023).
- Zhu, H. kableExtra: Construct Complex Table with “Kable” and Pipe Syntax, R Package Version 1.3.4. 2021. Available online: https://rdrr.io/cran/kableExtra/ (accessed on 30 November 2023).
- Wickham, H. ggplot2: Elegant Graphics for Data Analysis; Springer: New York, NY, USA, 2016. [Google Scholar]
- Pekiner, F.N.; Borahan, M.O.; Dumlu, A.; Özbayrak, S. Infraorbital ethmoid (Haller) cells: A cone-beam computed tomographic study. Oral. Radiol. 2014, 30, 219–225. [Google Scholar] [CrossRef]
- Cohen, O.; Warman, M.; Fried, M.; Shoffel-Havakuk, H.; Adi, M.; Halperin, D.; Lahav, Y. Volumetric analysis of the maxillary, sphenoid and frontal sinuses: A comparative computerized tomography based study. Auris Nasus Larynx 2018, 45, 96–102. [Google Scholar] [CrossRef]
- Kucybała, I.; Janik, K.A.; Ciuk, S.; Storman, D.; Urbanik, A. Nasal septal deviation and concha bullosa–do they have an impact on maxillary sinus volumes and prevalence of maxillary sinusitis? Pol. J. Radiol. 2017, 82, 126–133. [Google Scholar] [CrossRef]
- Clemente, M.P. Surgical anatomy of the paranasal sinus. In Sinus Surgery: Endoscopic and Microscopic Approaches; Levine, H.L., Clemente, M.P., Eds.; Thieme Medical Publishers, Incorporated: New York, NY, USA, 2004; pp. 2–55. [Google Scholar]
- Zollikofer, C.P.E.; Weissmann, J.D. A Morphogenetic model of cranial pneumatization based on the invasive tissue hypothesis. Anat. Rec. 2008, 291, 1446–1454. [Google Scholar] [CrossRef]
- de Arreola, G.A.; Serna, N.L.; de Hoyos Parra, R.; Salinas, M.A.A. Morphogenesis of the lateral nasal wall from 6 to 36 weeks. Otolaryngol. Head Neck Surg. 1996, 114, 54–60. [Google Scholar] [CrossRef] [PubMed]
- Emirzeoglu, M.; Sahin, B.; Bilgic, S.; Celebi, M.; Uzun, A. Volumetric evaluation of the paranasal sinuses in normal subjects using computer tomography images: A stereological study. Auris Nasus Larynx 2007, 34, 191–195. [Google Scholar] [CrossRef]
- Karaskas, S.; Kavakli, A. Morphometric examination of the paranasal sinuses and mastoid air cells using computed tomography. Ann. Saudi Med. 2005, 25, 41–45. [Google Scholar] [CrossRef] [PubMed]
- Guidugli, G.A.; Gibelli, D.M.; Michaela, C.; Oliva, A.G.; Barni, L.; Sartori, P.M.; Sforza, C. Volume, asymmetry and reciprocal relationships between paranasal sinuses: A 3D segmentation study on head CT-scans. Stomatol. Edu. J. 2020, 7, 20–27. [Google Scholar] [CrossRef]
- Marino, M.J.; Riley, C.A.; Kessler, R.H.; McCoul, E.D. Clinician assessment of paranasal sinus pneumatization is correlated with total sinus volume. Int. Forum Allergy Rhinol. 2016, 6, 1088–1093. [Google Scholar] [CrossRef] [PubMed]
- Fontolliet, M.; Bornstein, M.M.; von Arx, T. Characteristics and dimensions of the infraorbital canal: A radiographic analysis using cone beam computed tomography (CBCT). Surg. Radiol. Anat. 2019, 41, 169–179. [Google Scholar] [CrossRef]
- Osbon, S.C.A.; Butaric, L.N. Investigating the relationship between infraorbital canal morphology and maxillary sinus size. Anat. Rec. 2023, 306, 110–123. [Google Scholar] [CrossRef]
- Kazkayasi, M.; Ergin, A.; Ersoy, M.; Bengi, O.; Tekdemir, I.; Elhan, A. Certain anatomical relations and the precise morphometry of the infraorbital foramen–canal and groove: An anatomical and cephalometric study. Laryngoscope 2001, 111, 609–614. [Google Scholar] [CrossRef]
- Smit, S.; Hutchinson, E.F.; Kramer, B. A morphometric analysis of the immature human infraorbital canal. Surg. Radiol. Anat. 2021, 43, 201–210. [Google Scholar] [CrossRef]
- Barghouth, G.; Prior, J.O.; Lepori, D.; Duvoisin, B.; Schnyder, P.; Gudincht, F. Paranasal sinuses in children: Size evaluation of maxillary, sphenoid, and frontal sinuses by magnetic resonance imaging and proposal of volume index percentile curves. Eur. Radiol. 2002, 12, 1451–1458. [Google Scholar] [CrossRef]
- Akbulut, A.; Dilaver, E. Correlation between prevelance of Haller cells and postoperative maxillary sinusitis after sinus lifting Procedure. Br. J. Oral Maxillofac. Surg. 2019, 57, 473–476. [Google Scholar] [CrossRef]
- Stackpole, S.A.; Edelstein, D.R. The anatomic relevance of the Haller cell in sinusitis. Am. J. Rhinol. 1997, 11, 219–224. [Google Scholar] [CrossRef] [PubMed]
- Kim, S.-J.; Moon, J.W.; Lee, H.-M. Clinical and imaging features of ethmomaxillary sinus compared to Haller’s cell. Eur. Arch. Oto-Rhino-Laryngol. 2023, 280, 5401–5406. [Google Scholar] [CrossRef] [PubMed]
- Lantos, J.E.; Pearlman, A.N.; Gupta, A.; Chazen, J.L.; Zimmerman, R.D.; Shatzkes, D.R.; Phillips, C.D. Protrusion of the infraorbital nerve into the maxillary sinus on CT: Prevalence, proposed grading method, and suggested clinical implications. Am. J. Neuroradiol. 2016, 37, 349–353. [Google Scholar] [CrossRef]
- Casiano, R.R. A stepwise surgical technique using the medial orbital floor as the key landmark in performing endoscopic sinus surgery. Laryngoscope 2001, 111, 964–974. [Google Scholar] [CrossRef] [PubMed]
- Van Rompaey, J.; Bush, C.; Solares, C.A. Anatomic analysis specific for the endoscopic approach to the inferior, medial and lateral orbit. Orbit-Abingdon 2014, 33, 115–123. [Google Scholar] [CrossRef] [PubMed]
- Lund, V.J.; Wright, A.; Yiotakis, J. Complications and medicolegal aspects of endoscopic sinus surgery. J. R. Soc. Med. 1997, 90, 422–428. [Google Scholar] [CrossRef] [PubMed]
- Busaba, N.Y.; Salman, S.D. Ethmoid mucocele as a late complication of endoscopic ethmoidectomy. Otolaryngol. Head Neck Surg. 2003, 128, 517–522. [Google Scholar] [CrossRef]
- Telmesani, L.M.; Al-Shawarby, M. Osteitis in chronic rhinosinusitis with nasal polyps: A comparative study between primary and recurrent cases. Eur. Arch. Oto-Rhino-Laryngol. 2010, 267, 721–724. [Google Scholar] [CrossRef]
- Earwaker, J. Anatomic variants in sinonasal CT. Radiographics 1993, 13, 381–415. [Google Scholar] [CrossRef] [PubMed]





| Males N (%) | Females N (%) | p-Value * | |
|---|---|---|---|
| Presence of IEC | |||
| No | 43 (46.7) | 59 (65.6) | 0.016 |
| Yes | 49 (53.3) | 31 (34.4) | |
| Laterality of IEC | |||
| Unilateral (right) | 13 (26.5) | 4 (12.9) | 0.339 |
| Unilateral (left) | 11 (22.5) | 9 (29.0) | |
| Bilateral | 25 (51.0) | 18 (58.1) |
| Infraorbital Canal Types | p-Value | |||
|---|---|---|---|---|
| Type-1 | Type-2 | Type-3 | ||
| Total N (%) | 85 (46.7) | 73 (40.1) | 24 (13.2) | |
| Males N (%) | 46 (50.0) | 33 (35.9) | 13 (14.1) | 0.498 |
| Females N (%) | 39 (43.3) | 40 (44.5) | 11 (12.2) | |
| IOC (Left) N (%) | Total-Right | p-Value | ||||
|---|---|---|---|---|---|---|
| Type-1 | Type-2 | Type-3 | ||||
| IOC (right) | Type-1 | 78 (80.4) | 6 (9.7) | 1 (4.3) | 85 (46.7) | 0.085 |
| Type-2 | 16 (16.5) | 49 (79.0) | 8 (34.8) | 73 (40.1) | ||
| Type-3 | 3 (3.1) | 7 (11.3) | 14 (60.9) | 24 (13.2) | ||
| Total-left | 97 (53.3) | 62 (34.1) | 23 (12.6) | 182 (100.0) | ||
| Estimate | Std. Error | z Value | Pr (>|z|) | |
|---|---|---|---|---|
| (Intercept) | −2.7361 | 0.5895 | −4.641 | <0.001 |
| Sex Male | 0.5307 | 0.3403 | 1.560 | 0.119 |
| RMSV | 0.1149 | 0.0370 | 3.105 | <0.01 |
| Infraorbital Canal Type | p-Value | ||||
|---|---|---|---|---|---|
| Type-1 | Type-2 | Type-3 | |||
| IEC N (%) | No (n = 122) | 69 (56.6) | 43 (35.2) | 10 (8.2) | <0.001 |
| Yes (n = 60) | 16 (26.7) | 30 (50.0) | 14 (23.3) | ||
| Estimate | Std. Error | z Value | p (>|z|) | |
|---|---|---|---|---|
| (Intercept) | −4.406164 | 1.138936 | −3.869 | <0.001 |
| Sex Male | −0.447697 | 0.498864 | −0.897 | 0.370 |
| IEC | 0.828927 | 1.760585 | 0.471 | 0.638 |
| RMSV | 0.145169 | 0.069290 | 2.095 | <0.005 |
| IEC:RMSV | 0.008495 | 0.098510 | 0.086 | 0.931 |
| Anatomic Variation | Recorded Sinusitis | Pearson’s Chi-Squared Test | ||
|---|---|---|---|---|
| No | Yes | |||
| IEC | No | 79 (56.8) | 23 (53.5) | χ2 = 0.044, df = 1, p = 0.833 |
| Yes | 60 (43.2) | 20 (46.5) | ||
| IOC (right) | Type 1 | 76 (54.7) | 21 (48.8) | χ2 = 3.330, df = 2, p = 0.189 |
| Type 2 | 43 (30.9) | 19 (44.2) | ||
| Type 3 | 20 (14.4) | 3 (7.0) | ||
| IOC (left) | Type 1 | 65 (46.8) | 20 (46.5) | χ2 = 0.030, df = 2, p = 0.985 |
| Type 2 | 56 (40.3) | 17 (39.5) | ||
| Type 3 | 18 (12.9) | 6 (14.0) | ||
Disclaimer/Publisher’s Note: The statements, opinions and data contained in all publications are solely those of the individual author(s) and contributor(s) and not of MDPI and/or the editor(s). MDPI and/or the editor(s) disclaim responsibility for any injury to people or property resulting from any ideas, methods, instructions or products referred to in the content. |
© 2023 by the authors. Licensee MDPI, Basel, Switzerland. This article is an open access article distributed under the terms and conditions of the Creative Commons Attribution (CC BY) license (https://creativecommons.org/licenses/by/4.0/).
Share and Cite
Kedar, E.; Koren, I.; Medlej, B.; Hershkovitz, I. The Associations between the Maxillary Sinus Volume, Infraorbital Ethmoid Cells, and the Infraorbital Canal: A CT-Based Study. Diagnostics 2023, 13, 3593. https://doi.org/10.3390/diagnostics13233593
Kedar E, Koren I, Medlej B, Hershkovitz I. The Associations between the Maxillary Sinus Volume, Infraorbital Ethmoid Cells, and the Infraorbital Canal: A CT-Based Study. Diagnostics. 2023; 13(23):3593. https://doi.org/10.3390/diagnostics13233593
Chicago/Turabian StyleKedar, Einat, Ilan Koren, Bahaa Medlej, and Israel Hershkovitz. 2023. "The Associations between the Maxillary Sinus Volume, Infraorbital Ethmoid Cells, and the Infraorbital Canal: A CT-Based Study" Diagnostics 13, no. 23: 3593. https://doi.org/10.3390/diagnostics13233593
APA StyleKedar, E., Koren, I., Medlej, B., & Hershkovitz, I. (2023). The Associations between the Maxillary Sinus Volume, Infraorbital Ethmoid Cells, and the Infraorbital Canal: A CT-Based Study. Diagnostics, 13(23), 3593. https://doi.org/10.3390/diagnostics13233593

