Next Article in Journal
Evaluation of the Abbott Alinity i Thyroid-Stimulating Hormone Receptor Antibody (TRAb) Chemiluminescent Microparticle Immunoassay (CMIA)
Next Article in Special Issue
Prognostic Value of FDG PET/CT in Patients with Nodal Peripheral T-Cell Lymphoma
Previous Article in Journal
Measuring the Whole Wall Thickness of the Common Femoral Vein as a Distinctive Diagnostic Tool to Distinguish Behçet’s Disease Presenting with Oral Ulcers from Recurrent Aphthous Stomatitis
Previous Article in Special Issue
Is Prone Position [18F]FDG PET/CT Useful in Reducing Respiratory Motion Artifacts in Evaluating Hepatic Lesions?
 
 
Font Type:
Arial Georgia Verdana
Font Size:
Aa Aa Aa
Line Spacing:
Column Width:
Background:
Interesting Images

The Fast Growth and Quick Spread of Synchronous Tumors

1
Department of Family Medicine, Shin Kong Wu Ho-Su Memorial Hospital, Taipei 111, Taiwan
2
Department of Nuclear Medicine and PET Center, Shin Kong Wu Ho-Su Memorial Hospital, Taipei 111, Taiwan
3
School of Medicine, Fu Jen Catholic University, New Taipei City 242, Taiwan
*
Authors to whom correspondence should be addressed.
Diagnostics 2023, 13(16), 2706; https://doi.org/10.3390/diagnostics13162706
Submission received: 26 July 2023 / Revised: 7 August 2023 / Accepted: 17 August 2023 / Published: 19 August 2023
(This article belongs to the Special Issue 18F-FDG PET/CT: Current and Future Clinical Applications)

Abstract

:
A 47-year-old man was diagnosed with left buccal squamous cell carcinoma using FDG PET/CT, by which focal lesions in the left buccal and left neck lymph node were found. Three months after the operation, CT images revealed a left lower lung lesion. Pathology indicated a left lower lung adenocarcinoma. Second FDG PET/CT was performed more than 11 days later, and lesions with intense FDG uptake were found in the left lower lung, metastatic to the lymph nodes, lungs, bones, and liver. The prior FDG PET/CT scan showed negative findings in the lungs. However, lung cancer with multiple metastases appeared 4 months later.

Figure 1. Maximum intensity projection view of PET (A), transaxial views of PET (B), CT (C) and PET/CT fusion (D) images of the illustrative case. A 47-year-old man with history of newly diagnosed left buccal poorly differentiated squamous cell carcinoma, who underwent PET/CT with 18F-fluorodeoxyglucose (FDG), was found to have a focal lesion (2.3 × 1.1 × 2 cm) with moderate increased FDG uptake ((A,B) SUVmax 5.5) in the left buccal ((AD) thick arrow). There were two foci with mild increased FDG uptake (SUVmax 2.3 and 1.3) in the left neck level I ((A) 0.94 cm; thin arrow) and level II (0.8 cm), respectively. Bilateral lungs were clear and no lesion was detected. Image staging was T2N1M0. Four days later, he received wide excision for a left buccal tumor and left modified radial neck dissection. Pathology reported a verrucous and ulcerated tumor measuring 4.1 × 2.7 × 1.3 cm. The modified radical neck dissection samples showed left neck level I one out of five metastatic squamous cell carcinoma, and left neck level II one out of one negative for malignancy. Pathologic staging was pT3N1. Later, he received concurrent chemoradiotherapy with 66Gy/33Fx plus concurrent cisplatin 6 cycles. Patients with a large metabolic tumor volume on FDG-PET may experience poor clinical courses [1].
Figure 1. Maximum intensity projection view of PET (A), transaxial views of PET (B), CT (C) and PET/CT fusion (D) images of the illustrative case. A 47-year-old man with history of newly diagnosed left buccal poorly differentiated squamous cell carcinoma, who underwent PET/CT with 18F-fluorodeoxyglucose (FDG), was found to have a focal lesion (2.3 × 1.1 × 2 cm) with moderate increased FDG uptake ((A,B) SUVmax 5.5) in the left buccal ((AD) thick arrow). There were two foci with mild increased FDG uptake (SUVmax 2.3 and 1.3) in the left neck level I ((A) 0.94 cm; thin arrow) and level II (0.8 cm), respectively. Bilateral lungs were clear and no lesion was detected. Image staging was T2N1M0. Four days later, he received wide excision for a left buccal tumor and left modified radial neck dissection. Pathology reported a verrucous and ulcerated tumor measuring 4.1 × 2.7 × 1.3 cm. The modified radical neck dissection samples showed left neck level I one out of five metastatic squamous cell carcinoma, and left neck level II one out of one negative for malignancy. Pathologic staging was pT3N1. Later, he received concurrent chemoradiotherapy with 66Gy/33Fx plus concurrent cisplatin 6 cycles. Patients with a large metabolic tumor volume on FDG-PET may experience poor clinical courses [1].
Diagnostics 13 02706 g001
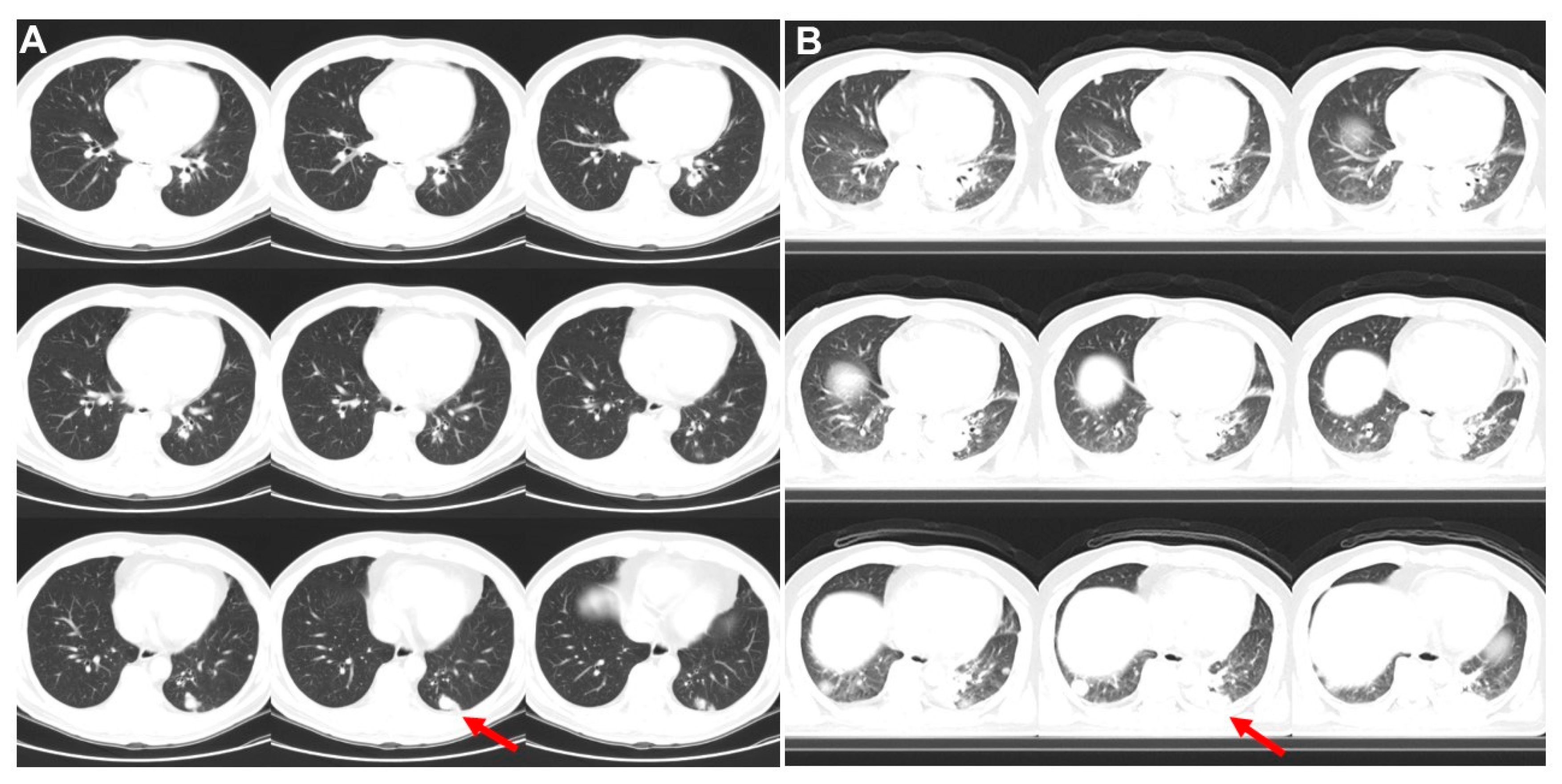
Figure 2. Three months and 21 days later, a series of transverse CT images (A) from left to right and up to down revealed the left lower lung lesion (1.1 cm; arrow) and contact to pleura on lung window. A small node close to aorta was also noted. Besides, small nodular lesions involving the mediastinal, lung and liver were detected. He received biopsy and histopathological study showed left lower lung adenocarcinoma. A further 11 days later, 2nd FDG PET/CT was performed. CT images (B) revealed the left lower lung lesion was enlarged (3.1 cm; arrow) and spread to aorta margin and pleura. Bilateral lung nodules also became enlarged. To get an idea about how fast lung cancer grows, it’s helpful to look at doubling time [2,3]. Since the left low lung lesion grew from 1.1 × 1.1 × 0.7 cm by CT scan to 3.1 × 1.9 × 1.5 cm by 2nd PET/CT scan, its doubling time was 4 days.
Figure 2. Three months and 21 days later, a series of transverse CT images (A) from left to right and up to down revealed the left lower lung lesion (1.1 cm; arrow) and contact to pleura on lung window. A small node close to aorta was also noted. Besides, small nodular lesions involving the mediastinal, lung and liver were detected. He received biopsy and histopathological study showed left lower lung adenocarcinoma. A further 11 days later, 2nd FDG PET/CT was performed. CT images (B) revealed the left lower lung lesion was enlarged (3.1 cm; arrow) and spread to aorta margin and pleura. Bilateral lung nodules also became enlarged. To get an idea about how fast lung cancer grows, it’s helpful to look at doubling time [2,3]. Since the left low lung lesion grew from 1.1 × 1.1 × 0.7 cm by CT scan to 3.1 × 1.9 × 1.5 cm by 2nd PET/CT scan, its doubling time was 4 days.
Diagnostics 13 02706 g002
Figure 3. The 2nd FDG PET/CT revealed intense FDG uptake in the left low lung ((A,B) SUVmax 13.6; arrow) contact to pleura ((C,D) 3.4 cm; arrow), metastatic to the mediastinal nodes, bilateral supraclavicular nodes, bilateral lungs, right subscapular muscle, bones and liver (A). All metastatic lesions showed intense FDG uptake, indicating that FDG metabolic status was the same as the left lower lung adenocarcinoma. Several studies have demonstrated that cancer patients, compared to the general population, had a higher risk of developing new primary tumors [4,5,6]. The series of neutrophil-to-lymphocyte ratio progressed with the following trend: from 39.6/45.7 to 69/16 when received concurrent chemoradiotherapy, increasing to 86.4/3.6 during the 2nd tumor of the left lower lung adenocarcinoma biopsy, to 91.5/3 in the 2nd FDG PET/CT, and finally to 96/1. In this case, the second lung adenocarcinoma following buccal squamous cell carcinoma developed much faster and more aggressive than in previous studies and progressed to higher neutrophil-to-lymphocyte ratio. Patient expired 11 days after the 2nd PET/CT examination. Early appearance of abnormal neutrophil-to-lymphocyte ratio associated with further examination may indicate the rapid growth and metastasis of cancer, and hence offers diagnostic and management opportunities [7,8].
Figure 3. The 2nd FDG PET/CT revealed intense FDG uptake in the left low lung ((A,B) SUVmax 13.6; arrow) contact to pleura ((C,D) 3.4 cm; arrow), metastatic to the mediastinal nodes, bilateral supraclavicular nodes, bilateral lungs, right subscapular muscle, bones and liver (A). All metastatic lesions showed intense FDG uptake, indicating that FDG metabolic status was the same as the left lower lung adenocarcinoma. Several studies have demonstrated that cancer patients, compared to the general population, had a higher risk of developing new primary tumors [4,5,6]. The series of neutrophil-to-lymphocyte ratio progressed with the following trend: from 39.6/45.7 to 69/16 when received concurrent chemoradiotherapy, increasing to 86.4/3.6 during the 2nd tumor of the left lower lung adenocarcinoma biopsy, to 91.5/3 in the 2nd FDG PET/CT, and finally to 96/1. In this case, the second lung adenocarcinoma following buccal squamous cell carcinoma developed much faster and more aggressive than in previous studies and progressed to higher neutrophil-to-lymphocyte ratio. Patient expired 11 days after the 2nd PET/CT examination. Early appearance of abnormal neutrophil-to-lymphocyte ratio associated with further examination may indicate the rapid growth and metastasis of cancer, and hence offers diagnostic and management opportunities [7,8].
Diagnostics 13 02706 g003

Author Contributions

Conception and design: Y.-K.C. and L.-Y.C.; Financial support: Y.-K.C., L.-Y.C. and Y.-H.C.; Administrative support: Y.-K.C. and Y.-H.C.; Provision of study materials or patients: Y.-K.C. and Y.-H.C.; Collection and assembly of data: Y.-K.C., L.-Y.C. and Y.-H.C.; Data analysis and interpretation: Y.-K.C. and L.-Y.C.; Manuscript writing: L.-Y.C.; Final approval of manuscript: Y.-K.C., L.-Y.C. and Y.-H.C.. All authors have read and agreed to the published version of the manuscript.

Funding

This research received no external funding.

Institutional Review Board Statement

The study was conducted in accordance with the Declaration of Helsinki, and approved by the Institutional Review Board of Shin Kong Wu Ho-Su Memorial Hospital, IRB: 20200607R.

Informed Consent Statement

Written informed consent was obtained from the patient to publish this report in accordance with the journal’s patient consent policy.

Data Availability Statement

Date available on request from the authors.

Conflicts of Interest

The authors declare no conflict of interest.

References

  1. Uchiyama, Y.; Hirata, K.; Watanabe, S.; Okamoto, S.; Shiga, T.; Okada, K.; Ito, Y.M.; Kudo, K. Development and validation of a prediction model based on the organ-based metabolic tumor volume on FDG-PET in patients with differentiated thyroid carcinoma. Ann. Nucl. Med. 2021, 35, 1223–1231. [Google Scholar] [CrossRef] [PubMed]
  2. Miura, K.; Hamanaka, K.; Koizumi, T.; Kawakami, S.; Kobayashi, N.; Ito, K.I. Solid component tumor doubling time is a prognostic factor in non-small cell lung cancer patients. J. Cardiothorac. Surg. 2019, 14, 57. [Google Scholar] [CrossRef] [PubMed]
  3. Chou, H.M.; Ku, C.T.; Teng, H.T.; Chen, S.W.; Lin, S.C.; Yeh, C.L.; Su, I.-L.; Chen, Y.K. Lung cancer smaller than 3 cm with distant metastasis: The relationship of F-18 Fluorodeoxyglucose metabolism and anatomic structure change. Ann. Nucl. Med. Mol. Imaging 2022, 35, 55–65. [Google Scholar]
  4. Kobayashi, Y.; Arimoto, H.; Watanabe, S. Occurrence of multiple primary cancer at the National Cancer Center Hospital, 1962–1989. Jpn. J. Clin. Oncol. 1991, 21, 233–251. [Google Scholar] [PubMed]
  5. Thakur, M.K.; Ruterbusch, J.J.; Schwartz, A.G.; Gadgeel, S.M.; Beebe-Dimmer, J.L.; Wozniak, A.J. Risk of Second Lung Cancer in Patients with Previously Treated Lung Cancer: Analysis of Surveillance, Epidemiology, and End Results (SEER) Data. J. Thorac. Oncol. 2018, 13, 46–53. [Google Scholar] [CrossRef] [PubMed]
  6. Day, G.L.; Blot, W.J.; Shore, R.E.; Schoenberg, J.B.; Kohler, B.A.; Greenberg, R.S.; Liff, J.M.; Preston-Martin, S.; Austin, D.F.; McLaughlin, J.K.; et al. Second cancers following oral and pharyngeal cancer: Patients’ characteristics and survival patterns. Eur. J. Cancer B Oral Oncol. 1994, 30, 381–386. [Google Scholar] [CrossRef] [PubMed]
  7. Yuan, P.; Cao, J.L.; Rustam, A.; Zhang, C.; Yuan, X.S.; Bao, F.C.; Lv, W.; Hu, J. Time-to-Progression of NSCLC from Early to Advanced Stages: An Analysis of data from SEER Registry and a Single Institute. Sci. Rep. 2016, 6, 28477. [Google Scholar] [CrossRef] [PubMed]
  8. Zahorec, R. Neutrophil-to-lymphocyte ratio, past, present and future perspectives. Bratisl. Lek. Listy 2021, 122, 474–488. [Google Scholar] [CrossRef] [PubMed]
Disclaimer/Publisher’s Note: The statements, opinions and data contained in all publications are solely those of the individual author(s) and contributor(s) and not of MDPI and/or the editor(s). MDPI and/or the editor(s) disclaim responsibility for any injury to people or property resulting from any ideas, methods, instructions or products referred to in the content.

Share and Cite

MDPI and ACS Style

Chen, L.-Y.; Chen, Y.-H.; Chen, Y.-K. The Fast Growth and Quick Spread of Synchronous Tumors. Diagnostics 2023, 13, 2706. https://doi.org/10.3390/diagnostics13162706

AMA Style

Chen L-Y, Chen Y-H, Chen Y-K. The Fast Growth and Quick Spread of Synchronous Tumors. Diagnostics. 2023; 13(16):2706. https://doi.org/10.3390/diagnostics13162706

Chicago/Turabian Style

Chen, Li-Yu, Yu-Hung Chen, and Yen-Kung Chen. 2023. "The Fast Growth and Quick Spread of Synchronous Tumors" Diagnostics 13, no. 16: 2706. https://doi.org/10.3390/diagnostics13162706

APA Style

Chen, L.-Y., Chen, Y.-H., & Chen, Y.-K. (2023). The Fast Growth and Quick Spread of Synchronous Tumors. Diagnostics, 13(16), 2706. https://doi.org/10.3390/diagnostics13162706

Note that from the first issue of 2016, this journal uses article numbers instead of page numbers. See further details here.

Article Metrics

Back to TopTop