Accuracy and Efficiency of Right-Lobe Graft Weight Estimation Using Deep-Learning-Assisted CT Volumetry for Living-Donor Liver Transplantation
Abstract
:1. Introduction
2. Material and Method
2.1. Study Population
2.2. CT Examination
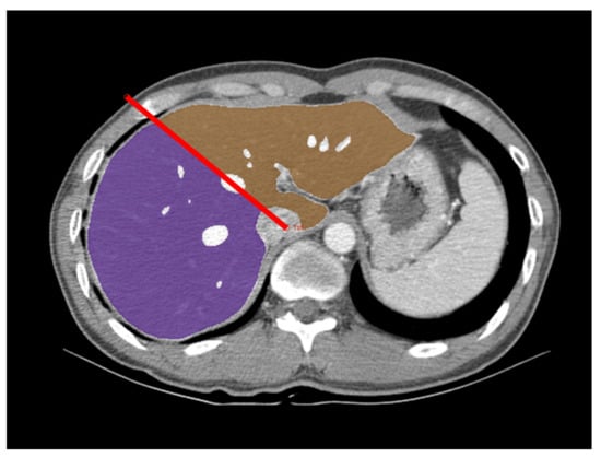
2.3. Graft Volume Measurement Using a Deep Learning Algorithm
2.4. Clinical and Pathologic Data and Intraoperative Graft Weight Measurement
2.5. Statistical Analysis
3. Results
3.1. Characteristics of the Study Population
3.2. Liver Segmentation and Graft Volume Estimation Using DLA
3.3. Construction of Graft Volume-to-Weight Conversion Formula in the Development Group
3.4. Agreement between the Estimated and Measured Graft Weights in the Validation Group
3.5. Factors Associated with Differences in Estimated and Measured Graft Weights
4. Discussion
5. Conclusions
Supplementary Materials
Author Contributions
Funding
Institutional Review Board Statement
Informed Consent Statement
Conflicts of Interest
References
- Hwang, S.; Lee, S.G.; Joh, J.W.; Suh, K.S.; Kim, D.G. Liver transplantation for adult patients with hepatocellular carcinoma in Korea: Comparison between cadaveric donor and living donor liver transplantations. Liver Transpl. 2005, 11, 1265–1272. [Google Scholar] [CrossRef] [PubMed]
- Lee, S.G.; Hwang, S. How I do it: Assessment of hepatic functional reserve for indication of hepatic resection. J. Hepato-Biliary-Pancreat. Surg. 2005, 12, 38–43. [Google Scholar] [CrossRef] [PubMed]
- Kiuchi, T.; Tanaka, K.; Ito, T.; Oike, F.; Ogura, Y.; Fujimoto, Y.; Ogawa, K. Small-for-size graft in living donor liver transplantation: How far should we go? Liver Transpl. 2003, 9, S29–S35. [Google Scholar] [CrossRef] [PubMed]
- Lim, M.; Tan, C.; Cai, J.; Zheng, J.; Kow, A. CT volumetry of the liver: Where does it stand in clinical practice? Clin. Radiol. 2014, 69, 887–895. [Google Scholar] [CrossRef]
- Kwon, H.J.; Kim, K.W.; Jang, J.K.; Lee, J.; Song, G.W.; Lee, S.G. Reproducibility and reliability of computed tomography volumetry in estimation of the right-lobe graft weight in adult-to-adult living donor liver transplantation: Cantlie’s line vs portal vein territorialization. J. Hepato-Biliary-Pancreat. Sci. 2020, 27, 541–547. [Google Scholar] [CrossRef]
- Jeong, W.K. Clinical implication of hepatic volumetry for living donor liver transplantation. Clin. Mol. Hepatol. 2018, 24, 51–53. [Google Scholar] [CrossRef] [Green Version]
- Satou, S.; Sugawara, Y.; Tamura, S.; Yamashiki, N.; Kaneko, J.; Aoki, T.; Hasegawa, K.; Beck, Y.; Makuuchi, M.; Kokudo, N. Discrepancy between estimated and actual weight of partial liver graft from living donors. J. Hepato-Biliary-Pancreat. Sci. 2011, 18, 586–591. [Google Scholar] [CrossRef]
- Kim, K.W.; Lee, J.; Lee, H.; Jeong, W.K.; Won, H.J.; Shin, Y.M.; Jung, D.-H.; Park, J.I.; Song, G.-W.; Ha, T.-Y. Right lobe estimated blood-free weight for living donor liver transplantation: Accuracy of automated blood-free CT volumetry—Preliminary results. Radiology 2010, 256, 433–440. [Google Scholar] [CrossRef]
- Karlo, C.; Reiner, C.S.; Stolzmann, P.; Breitenstein, S.; Marincek, B.; Weishaupt, D.; Frauenfelder, T. CT- and MRI-based volumetry of resected liver specimen: Comparison to intraoperative volume and weight measurements and calculation of conversion factors. Eur. J. Radiol. 2010, 75, e107–e111. [Google Scholar] [CrossRef]
- Nakayama, Y.; Li, Q.; Katsuragawa, S.; Ikeda, R.; Hiai, Y.; Awai, K.; Kusunoki, S.; Yamashita, Y.; Okajima, H.; Inomata, Y. Automated hepatic volumetry for living related liver transplantation at multisection CT. Radiology 2006, 240, 743–748. [Google Scholar] [CrossRef]
- Lemke, A.-J.; Brinkmann, M.J.; Schott, T.; Niehues, S.M.; Settmacher, U.; Neuhaus, P.; Felix, R. Living donor right liver lobes: Preoperative CT volumetric measurement for calculation of intraoperative weight and volume. Radiology 2006, 240, 736–742. [Google Scholar] [CrossRef] [PubMed]
- Hiroshige, S.; Shimada, M.; Harada, N.; Shiotani, S.; Ninomiya, M.; Minagawa, R.; Soejima, Y.; Suehiro, T.; Honda, H.; Hashizume, M.; et al. Accurate preoperative estimation of liver-graft volumetry using three-dimensional computed tomography. Transplantation 2003, 75, 1561–1564. [Google Scholar] [CrossRef] [PubMed]
- Urata, K.; Kawasaki, S.; Matsunami, H.; Hashikura, Y.; Ikegami, T.; Ishizone, S.; Momose, Y.; Komiyama, A.; Makuuchi, M. Calculation of child and adult standard liver volume for liver transplantation. Hepatology 1995, 21, 1317–1321. [Google Scholar] [CrossRef]
- Hwang, S.; Lee, S.; Kim, K.; Park, K.; Ahn, C. Correlation of blood-free graft weight and volumetric graft volume by an analysis of blood content in living donor liver grafts. Transplant. Proc. 2002, 8, 3293–3294. [Google Scholar] [CrossRef]
- Hermoye, L.; Laamari-Azjal, I.; Cao, Z.; Annet, L.; Lerut, J.; Dawant, B.M.; Van Beers, B.E. Liver segmentation in living liver transplant donors: Comparison of semiautomatic and manual methods. Radiology 2005, 234, 171–178. [Google Scholar] [CrossRef] [PubMed] [Green Version]
- Radtke, A.; Sotiropoulos, G.C.; Nadalin, S.; Molmenti, E.P.; Schroeder, T.; Lang, H.; Saner, F.; Valentin-Gamazo, C.; Frilling, A.; Schenk, A.; et al. Preoperative volume prediction in adult living donor liver transplantation: How much can we rely on it? Am. J. Transplant. 2007, 7, 672–679. [Google Scholar] [CrossRef]
- Mokry, T.; Bellemann, N.; Muller, D.; Lorenzo Bermejo, J.; Klauss, M.; Stampfl, U.; Radeleff, B.; Schemmer, P.; Kauczor, H.U.; Sommer, C.M. Accuracy of estimation of graft size for living-related liver transplantation: First results of a semi-automated interactive software for CT-volumetry. PLoS ONE 2014, 9, e110201. [Google Scholar] [CrossRef]
- Ahn, Y.; Yoon, J.S.; Lee, S.S.; Suk, H.I.; Son, J.H.; Sung, Y.S.; Lee, Y.; Kang, B.K.; Kim, H.S. Deep Learning Algorithm for Automated Segmentation and Volume Measurement of the Liver and Spleen Using Portal Venous Phase Computed Tomography Images. Korean J. Radiol. 2020, 21, 987–997. [Google Scholar] [CrossRef]
- Kleiner, D.E.; Brunt, E.M.; Van Natta, M.; Behling, C.; Contos, M.J.; Cummings, O.W.; Ferrell, L.D.; Liu, Y.C.; Torbenson, M.S.; Unalp-Arida, A.; et al. Design and validation of a histological scoring system for nonalcoholic fatty liver disease. Hepatology 2005, 41, 1313–1321. [Google Scholar] [CrossRef]
- Tang, A.; Chen, J.; Le, T.A.; Changchien, C.; Hamilton, G.; Middleton, M.S.; Loomba, R.; Sirlin, C.B. Cross-sectional and longitudinal evaluation of liver volume and total liver fat burden in adults with nonalcoholic steatohepatitis. Abdom. Imaging 2015, 40, 26–37. [Google Scholar] [CrossRef] [Green Version]
- Bian, H.; Hakkarainen, A.; Zhou, Y.; Lundbom, N.; Olkkonen, V.M.; Yki-Järvinen, H. Impact of non-alcoholic fatty liver disease on liver volume in humans. Hepatol. Res. 2015, 45, 210–219. [Google Scholar] [CrossRef] [PubMed]
- Siriwardana, R.C.; Chan, S.C.; Chok, K.S.; Lo, C.M.; Fan, S.T. Effects of the liver volume and donor steatosis on errors in the estimated standard liver volume. Liver Transpl. 2011, 17, 1437–1442. [Google Scholar] [CrossRef] [PubMed]
- Miller, C.M.; Durand, F.; Heimbach, J.K.; Kim-Schluger, L.; Lee, S.G.; Lerut, J.; Lo, C.M.; Quintini, C.; Pomfret, E.A. The International Liver Transplant Society Guideline on Living Liver Donation. Transplantation 2016, 100, 1238–1243. [Google Scholar] [CrossRef] [PubMed]
- Lee, S.; Park, K.; Hwang, S.; Lee, Y.; Kim, K.; Ahn, C.; Choi, D.; Joo, S.; Jeon, J.; Chu, C. Adult-to-adult living donor liver transplantation at the Asan Medical Center, Korea. Asian J. Surg. 2002, 25, 277–284. [Google Scholar] [CrossRef] [Green Version]





| KERRYPNX | Total | Developmental Group | Validation Group | p-Value * |
|---|---|---|---|---|
| Number of patients | 581 | 207 | 374 | |
| Age (years) † | 27.7 ± 7.2 | 27.6 ± 6.9 | 27.8 ± 7.3 | 0.661 |
| Sex | ||||
| Male | 413 (71.1) | 132 (63.8) | 282 (74.8) | 0.004 |
| Hepatic steatosis | 0.816 | |||
| None | 492 (84.7) | 177 (85.5) | 315 (84.2) | |
| Mild | 87 (15.0) | 29 (14.0) | 58 (15.5) | |
| Moderate | 2 (0.3) | 1 (0.5) | 1 (0.3) | |
| BMI (kg/m2) † | 22.9 ± 2.9 | 22.5 ± 2.9 | 23.1 ± 2.9 | 0.015 |
| Height (cm) † | 170.4 ± 8.1 | 169.9 ± 8.4 | 170.7 ± 7.9 | 0.268 |
| Weight (kg) † | 66.8 ± 11.4 | 65.4 ± 11.7 | 67.6 ± 11.1 | 0.022 |
| Type of liver graft | 0.151 | |||
| RLG without MHV | 559 (96.2) | 196 (94.7) | 363 (97.1) | |
| RLG with MHV | 22 (3.8) | 11 (5.3) | 11 (2.9) | |
| Interval between CT and graft donation (days) † | 30.6 ± 19.0 | 30.9 ± 18.8 | 30.4 ± 19.1 | 0.728 |
| Graft weight (g) † | 748.8 ± 129.3 | 728.1 ± 123.5 | 760.2 ± 131.2 | 0.004 |
Publisher’s Note: MDPI stays neutral with regard to jurisdictional claims in published maps and institutional affiliations. |
© 2022 by the authors. Licensee MDPI, Basel, Switzerland. This article is an open access article distributed under the terms and conditions of the Creative Commons Attribution (CC BY) license (https://creativecommons.org/licenses/by/4.0/).
Share and Cite
Park, R.; Lee, S.; Sung, Y.; Yoon, J.; Suk, H.-I.; Kim, H.; Choi, S. Accuracy and Efficiency of Right-Lobe Graft Weight Estimation Using Deep-Learning-Assisted CT Volumetry for Living-Donor Liver Transplantation. Diagnostics 2022, 12, 590. https://doi.org/10.3390/diagnostics12030590
Park R, Lee S, Sung Y, Yoon J, Suk H-I, Kim H, Choi S. Accuracy and Efficiency of Right-Lobe Graft Weight Estimation Using Deep-Learning-Assisted CT Volumetry for Living-Donor Liver Transplantation. Diagnostics. 2022; 12(3):590. https://doi.org/10.3390/diagnostics12030590
Chicago/Turabian StylePark, Rohee, Seungsoo Lee, Yusub Sung, Jeeseok Yoon, Heung-Il Suk, Hyoungjung Kim, and Sanghyun Choi. 2022. "Accuracy and Efficiency of Right-Lobe Graft Weight Estimation Using Deep-Learning-Assisted CT Volumetry for Living-Donor Liver Transplantation" Diagnostics 12, no. 3: 590. https://doi.org/10.3390/diagnostics12030590
APA StylePark, R., Lee, S., Sung, Y., Yoon, J., Suk, H.-I., Kim, H., & Choi, S. (2022). Accuracy and Efficiency of Right-Lobe Graft Weight Estimation Using Deep-Learning-Assisted CT Volumetry for Living-Donor Liver Transplantation. Diagnostics, 12(3), 590. https://doi.org/10.3390/diagnostics12030590

