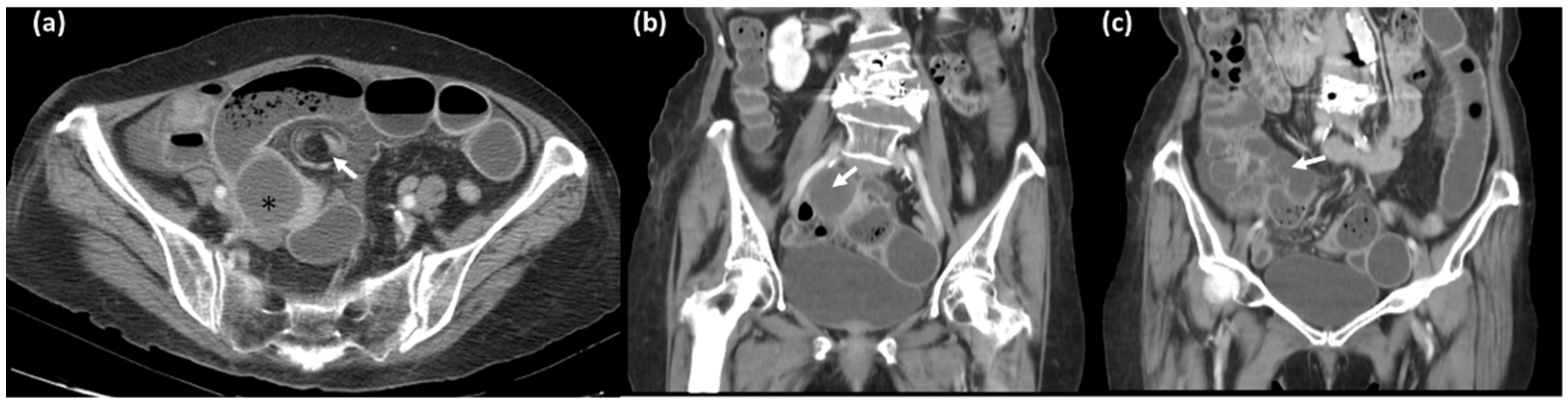
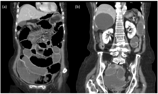
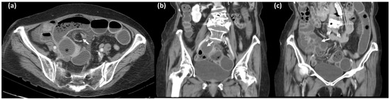
Appendiceal Mucinous Tumor Presenting as Recurrent Bowel Obstruction
Abstract




Author Contributions
Funding
Institutional Review Board Statement
Informed Consent Statement
Data Availability Statement
Conflicts of Interest
References
- Leonards, L.M.; Pahwa, A.; Patel, M.K.; Petersen, J.; Nguyen, M.J.; Jude, C.M. Neoplasms of the Appendix: Pictorial Review with Clinical and Pathologic Correlation. Radiographics 2017, 37, 1059–1083. [Google Scholar] [CrossRef] [PubMed]
- Karande, G.Y.; Chua, W.M.; Yiin, R.S.Z.; Wong, K.M.; Hedgire, S.; Tan, J.T. Spectrum of computed tomography manifestations of appendiceal neoplasms: Acute appendicitis and beyond. Singap. Med. J. 2019, 60, 173–182. [Google Scholar] [CrossRef]
- Kawai, K.; Murata, K.; Kagawa, Y.; Naito, A.; Takase, K.; Mori, R.; Nose, Y.; Sakamoto, T.; Murakami, K.; Katsura, Y.; et al. A Case of Strangulating Intestinal Obstruction Caused by Coiling of Low-Grade Appendiceal Mucinous Neoplasm to Terminal Ileum. Gan Kagaku Ryoho 2019, 46, 291–293. [Google Scholar]
- Komo, T.; Kohashi, T.; Hihara, J.; Oishi, K.; Yoshimitsu, M.; Kanou, M.; Nakashima, A.; Aoki, Y.; Miguchi, M.; Kaneko, M.; et al. Intestinal obstruction caused by low-grade appendiceal mucinous neoplasm: A case report and review of the literature. Int. J. Surg. Case Rep. 2018, 51, 37–40. [Google Scholar] [CrossRef] [PubMed]
- Takei, R.; Kanamoto, K.; Tamaru, Y.; Nojima, K.; Mitta, K.; Zaimoku, R.; Kanamoto, A.; Terakawa, H.; Higashi, Y.; Tsukioka, Y.; et al. A Case of Strangulation Ileus Due to a Low-Grade Appendiceal Mucinous Neoplasm. Am. J. Case Rep. 2020, 21, e922405. [Google Scholar] [CrossRef] [PubMed]
- Houlzé-Laroye, C.; Eveno, C. Low-grade appendiceal mucinous neoplasms with bowel obstruction. Pleura Peritoneum 2019, 4, e20190020. [Google Scholar] [CrossRef] [PubMed]
- Nakamatsu, D.; Nishida, T.; Yamamoto, M.; Matsubara, T.; Hayashi, S. Colon intussusceptions caused by a low-grade appendiceal mucinous neoplasm. Indian J. Gastroenterol. 2018, 37, 475–476. [Google Scholar] [CrossRef] [PubMed]
- Shaib, W.L.; Assi, R.; Shamseddine, A.; Alese, O.B.; Staley, C., 3rd; Memis, B.; Adsay, V.; Bekaii-Saab, T.; El-Rayes, B.F. Appendiceal Mucinous Neoplasms: Diagnosis and Management. Oncologist 2017, 22, 1107–1116. [Google Scholar] [CrossRef] [PubMed]
- Li, X.; Zhou, J.; Dong, M.; Yang, L. Management and prognosis of low-grade appendiceal mucinous neoplasms: A clinicopathologic analysis of 50 cases. Eur. J. Surg. Oncol. 2018, 44, 1640–1645. [Google Scholar] [CrossRef] [PubMed]
Publisher’s Note: MDPI stays neutral with regard to jurisdictional claims in published maps and institutional affiliations. |
© 2022 by the authors. Licensee MDPI, Basel, Switzerland. This article is an open access article distributed under the terms and conditions of the Creative Commons Attribution (CC BY) license (https://creativecommons.org/licenses/by/4.0/).
Share and Cite
Lin, W.-T.; Wang, Y.-H.; Chen, W.-Y.; Lao, W.T. Appendiceal Mucinous Tumor Presenting as Recurrent Bowel Obstruction. Diagnostics 2022, 12, 2832. https://doi.org/10.3390/diagnostics12112832
Lin W-T, Wang Y-H, Chen W-Y, Lao WT. Appendiceal Mucinous Tumor Presenting as Recurrent Bowel Obstruction. Diagnostics. 2022; 12(11):2832. https://doi.org/10.3390/diagnostics12112832
Chicago/Turabian StyleLin, Wei-Tang, Yen-Hsiang Wang, Wei-Yu Chen, and Wilson T. Lao. 2022. "Appendiceal Mucinous Tumor Presenting as Recurrent Bowel Obstruction" Diagnostics 12, no. 11: 2832. https://doi.org/10.3390/diagnostics12112832
APA StyleLin, W.-T., Wang, Y.-H., Chen, W.-Y., & Lao, W. T. (2022). Appendiceal Mucinous Tumor Presenting as Recurrent Bowel Obstruction. Diagnostics, 12(11), 2832. https://doi.org/10.3390/diagnostics12112832

